Spandidos Publications Logo
  • About
    • About Spandidos
    • Aims and Scopes
    • Abstracting and Indexing
    • Editorial Policies
    • Reprints and Permissions
    • Job Opportunities
    • Terms and Conditions
    • Contact
  • Journals
    • All Journals
    • Oncology Letters
      • Oncology Letters
      • Information for Authors
      • Editorial Policies
      • Editorial Board
      • Aims and Scope
      • Abstracting and Indexing
      • Bibliographic Information
      • Archive
    • International Journal of Oncology
      • International Journal of Oncology
      • Information for Authors
      • Editorial Policies
      • Editorial Board
      • Aims and Scope
      • Abstracting and Indexing
      • Bibliographic Information
      • Archive
    • Molecular and Clinical Oncology
      • Molecular and Clinical Oncology
      • Information for Authors
      • Editorial Policies
      • Editorial Board
      • Aims and Scope
      • Abstracting and Indexing
      • Bibliographic Information
      • Archive
    • Experimental and Therapeutic Medicine
      • Experimental and Therapeutic Medicine
      • Information for Authors
      • Editorial Policies
      • Editorial Board
      • Aims and Scope
      • Abstracting and Indexing
      • Bibliographic Information
      • Archive
    • International Journal of Molecular Medicine
      • International Journal of Molecular Medicine
      • Information for Authors
      • Editorial Policies
      • Editorial Board
      • Aims and Scope
      • Abstracting and Indexing
      • Bibliographic Information
      • Archive
    • Biomedical Reports
      • Biomedical Reports
      • Information for Authors
      • Editorial Policies
      • Editorial Board
      • Aims and Scope
      • Abstracting and Indexing
      • Bibliographic Information
      • Archive
    • Oncology Reports
      • Oncology Reports
      • Information for Authors
      • Editorial Policies
      • Editorial Board
      • Aims and Scope
      • Abstracting and Indexing
      • Bibliographic Information
      • Archive
    • Molecular Medicine Reports
      • Molecular Medicine Reports
      • Information for Authors
      • Editorial Policies
      • Editorial Board
      • Aims and Scope
      • Abstracting and Indexing
      • Bibliographic Information
      • Archive
    • World Academy of Sciences Journal
      • World Academy of Sciences Journal
      • Information for Authors
      • Editorial Policies
      • Editorial Board
      • Aims and Scope
      • Abstracting and Indexing
      • Bibliographic Information
      • Archive
    • International Journal of Functional Nutrition
      • International Journal of Functional Nutrition
      • Information for Authors
      • Editorial Policies
      • Editorial Board
      • Aims and Scope
      • Abstracting and Indexing
      • Bibliographic Information
      • Archive
    • International Journal of Epigenetics
      • International Journal of Epigenetics
      • Information for Authors
      • Editorial Policies
      • Editorial Board
      • Aims and Scope
      • Abstracting and Indexing
      • Bibliographic Information
      • Archive
    • Medicine International
      • Medicine International
      • Information for Authors
      • Editorial Policies
      • Editorial Board
      • Aims and Scope
      • Abstracting and Indexing
      • Bibliographic Information
      • Archive
  • Articles
  • Information
    • Information for Authors
    • Information for Reviewers
    • Information for Librarians
    • Information for Advertisers
    • Conferences
  • Language Editing
Spandidos Publications Logo
  • About
    • About Spandidos
    • Aims and Scopes
    • Abstracting and Indexing
    • Editorial Policies
    • Reprints and Permissions
    • Job Opportunities
    • Terms and Conditions
    • Contact
  • Journals
    • All Journals
    • Biomedical Reports
      • Information for Authors
      • Editorial Policies
      • Editorial Board
      • Aims and Scope
      • Abstracting and Indexing
      • Bibliographic Information
      • Archive
    • Experimental and Therapeutic Medicine
      • Information for Authors
      • Editorial Policies
      • Editorial Board
      • Aims and Scope
      • Abstracting and Indexing
      • Bibliographic Information
      • Archive
    • International Journal of Epigenetics
      • Information for Authors
      • Editorial Policies
      • Editorial Board
      • Aims and Scope
      • Abstracting and Indexing
      • Bibliographic Information
      • Archive
    • International Journal of Functional Nutrition
      • Information for Authors
      • Editorial Policies
      • Editorial Board
      • Aims and Scope
      • Abstracting and Indexing
      • Bibliographic Information
      • Archive
    • International Journal of Molecular Medicine
      • Information for Authors
      • Editorial Policies
      • Editorial Board
      • Aims and Scope
      • Abstracting and Indexing
      • Bibliographic Information
      • Archive
    • International Journal of Oncology
      • Information for Authors
      • Editorial Policies
      • Editorial Board
      • Aims and Scope
      • Abstracting and Indexing
      • Bibliographic Information
      • Archive
    • Medicine International
      • Information for Authors
      • Editorial Policies
      • Editorial Board
      • Aims and Scope
      • Abstracting and Indexing
      • Bibliographic Information
      • Archive
    • Molecular and Clinical Oncology
      • Information for Authors
      • Editorial Policies
      • Editorial Board
      • Aims and Scope
      • Abstracting and Indexing
      • Bibliographic Information
      • Archive
    • Molecular Medicine Reports
      • Information for Authors
      • Editorial Policies
      • Editorial Board
      • Aims and Scope
      • Abstracting and Indexing
      • Bibliographic Information
      • Archive
    • Oncology Letters
      • Information for Authors
      • Editorial Policies
      • Editorial Board
      • Aims and Scope
      • Abstracting and Indexing
      • Bibliographic Information
      • Archive
    • Oncology Reports
      • Information for Authors
      • Editorial Policies
      • Editorial Board
      • Aims and Scope
      • Abstracting and Indexing
      • Bibliographic Information
      • Archive
    • World Academy of Sciences Journal
      • Information for Authors
      • Editorial Policies
      • Editorial Board
      • Aims and Scope
      • Abstracting and Indexing
      • Bibliographic Information
      • Archive
  • Articles
  • Information
    • For Authors
    • For Reviewers
    • For Librarians
    • For Advertisers
    • Conferences
  • Language Editing
Login Register Submit
  • This site uses cookies
  • You can change your cookie settings at any time by following the instructions in our Cookie Policy. To find out more, you may read our Privacy Policy.

    I agree
Search articles by DOI, keyword, author or affiliation
Search
Advanced Search
presentation
Experimental and Therapeutic Medicine
Join Editorial Board Propose a Special Issue
Print ISSN: 1792-0981 Online ISSN: 1792-1015
Journal Cover
October-2020 Volume 20 Issue 4

Full Size Image

Sign up for eToc alerts
Recommend to Library

Journals

International Journal of Molecular Medicine

International Journal of Molecular Medicine

International Journal of Molecular Medicine is an international journal devoted to molecular mechanisms of human disease.

International Journal of Oncology

International Journal of Oncology

International Journal of Oncology is an international journal devoted to oncology research and cancer treatment.

Molecular Medicine Reports

Molecular Medicine Reports

Covers molecular medicine topics such as pharmacology, pathology, genetics, neuroscience, infectious diseases, molecular cardiology, and molecular surgery.

Oncology Reports

Oncology Reports

Oncology Reports is an international journal devoted to fundamental and applied research in Oncology.

Experimental and Therapeutic Medicine

Experimental and Therapeutic Medicine

Experimental and Therapeutic Medicine is an international journal devoted to laboratory and clinical medicine.

Oncology Letters

Oncology Letters

Oncology Letters is an international journal devoted to Experimental and Clinical Oncology.

Biomedical Reports

Biomedical Reports

Explores a wide range of biological and medical fields, including pharmacology, genetics, microbiology, neuroscience, and molecular cardiology.

Molecular and Clinical Oncology

Molecular and Clinical Oncology

International journal addressing all aspects of oncology research, from tumorigenesis and oncogenes to chemotherapy and metastasis.

World Academy of Sciences Journal

World Academy of Sciences Journal

Multidisciplinary open-access journal spanning biochemistry, genetics, neuroscience, environmental health, and synthetic biology.

International Journal of Functional Nutrition

International Journal of Functional Nutrition

Open-access journal combining biochemistry, pharmacology, immunology, and genetics to advance health through functional nutrition.

International Journal of Epigenetics

International Journal of Epigenetics

Publishes open-access research on using epigenetics to advance understanding and treatment of human disease.

Medicine International

Medicine International

An International Open Access Journal Devoted to General Medicine.

Journal Cover
October-2020 Volume 20 Issue 4

Full Size Image

Sign up for eToc alerts
Recommend to Library

  • Article
  • Citations
    • Cite This Article
    • Download Citation
    • Create Citation Alert
    • Remove Citation Alert
    • Cited By
  • Similar Articles
    • Related Articles (in Spandidos Publications)
    • Similar Articles (Google Scholar)
    • Similar Articles (PubMed)
  • Download PDF
  • Download XML
  • View XML
Case Report Open Access

A novel SPTB gene mutation in neonatal hereditary spherocytosis: A case report

  • Authors:
    • Yang Liu
    • Jie Zheng
    • Li Song
    • Yulian Fang
    • Chao Sun
    • Na Li
    • Geli Liu
    • Jianbo Shu
  • View Affiliations / Copyright

    Affiliations: Department of Neonatalogy, Tianjin Children's Hospital, The Pediatric Clinical College in Tianjin Medical University, Tianjin 300074, P.R. China, Graduate College of Tianjin Medical University, Tianjin 300070, P.R. China, Tianjin Key Laboratory of Prevention and Treatment of Birth Defects, Tianjin 300134, P.R. China, Department of Pediatrics, Tianjin Medical University General Hospital, Tianjin 300052, P.R. China
    Copyright: © Liu et al. This is an open access article distributed under the terms of Creative Commons Attribution License.
  • Pages: 3253-3259
    |
    Published online on: July 28, 2020
       https://doi.org/10.3892/etm.2020.9062
  • Expand metrics +
Metrics: Total Views: 0 (Spandidos Publications: | PMC Statistics: )
Metrics: Total PDF Downloads: 0 (Spandidos Publications: | PMC Statistics: )
Cited By (CrossRef): 0 citations Loading Articles...

This article is mentioned in:


Abstract

The aim of the present study was to enhance the understanding of the diagnosis and treatment of neonatal hereditary spherocytosis (HS). Gene sequencing and analysis was performed for the crucial splicing signals on the exons and introns of the 302 known pathogenic genes [including ANK1, SPTAN1, SPTA1, EPB42, SLC4A1, and SPTB] that are associated with this genetic deficiency of erythrocytes. A 26‑day‑old female presented with jaundice, anemia, an increased count in peripheral blood reticulocyte and spherocytes and a positive acidified glycerol hemolysis test. Gene sequencing revealed a novel mutation of c.3737delA (p.Lys1246fs) in the exon 16 of SPTB (14q23|NM_000347.5) gene in the patient and her father. The mutation was a frame‑shifting mutation, which may result in the truncation of β‑haemoglobin in the erythrocyte membrane can lead to loss of normal function, leading to the occurrence of diseases, including jaundice and hemolytic anemia. For neonates with jaundice and anemia, family history, erythrocyte index and peripheral blood smear findings have been indicated to contribute to the diagnosis of HS. In the current study, gene sequencing was indicated to be helpful for the diagnosis of HS. A novel mutation of SPTB gene was identified, which may be pathogenic via modulating the activity of β‑spectrin in the erythrocyte membrane.

Introduction

Hereditary spherocytosis (HS), which is also known as Minkowski-Chauffard disease, is a heterogeneous disease and a type of non-immune hemolytic anemia that is identified by spherocytes in the peripheral blood smear of patients. The clinical manifestations of HS include anemia, jaundice and splenomegaly. Most of the neonates with HS present with jaundice at the early stages of the disease, which then progresses into severe anemia (1). For the neonates with HS aged <1 year, the clinical manifestations are usually severe, with the majority of patients showing initial jaundice and subsequent severe anemia. In contrast, in the affected neonates aged >1 year, the conditions showed gradual attenuation (2). According to previous studies (3-7), early-stage diagnosis and treatment contribute to the reduction of adverse events. In North Europe and North America, the prevalence of HS in the neonates was 1/5,000 and 1/2,000, respectively (4). In mainland China, the prevalence of HS in male neonates (<1 year old) was indicated to be 0.18/1 million, while the prevalence was 0.19/1 million among female counterparts between January 1987 and December 2013(2). To date, in hospitals on a country level or even from communities, which accounts for ~70% of the country's medical resources, only ~3% of total number of HS cases are diagnosed (2). The present study reports on a neonate with HS, and summarizes the clinical manifestations, laboratory test findings and gene sequencing data gained. This report will contribute to the understanding and diagnosis of the HS in neonates and expand the spectrum of SPTB gene mutations.

Case report

A 26-day-old female neonate was admitted to Tianjin Children's Hospital due to jaundice on February 13, 2018. The neonate was born via spontaneous delivery at a gestational age of 41 weeks. After birth, the neonate was breast-fed and the defecation of the neonatal meconium was normal. Jaundice was noticed ~24 h post-delivery and phototherapy lasting for 2 days was subsequently performed at Nanpi County Hospital, Hebei Province, China. The condition showed slight attenuation. No obvious remission or deterioration was noticed when the patient was admitted to the hospital. No urine that was dark brown in color, kaolin stools or torsion spasm were observed. The patient's father had a history of anemia, and received cholecystectomy due to gallstones. The patient's mother had no history of haematological system diseases.

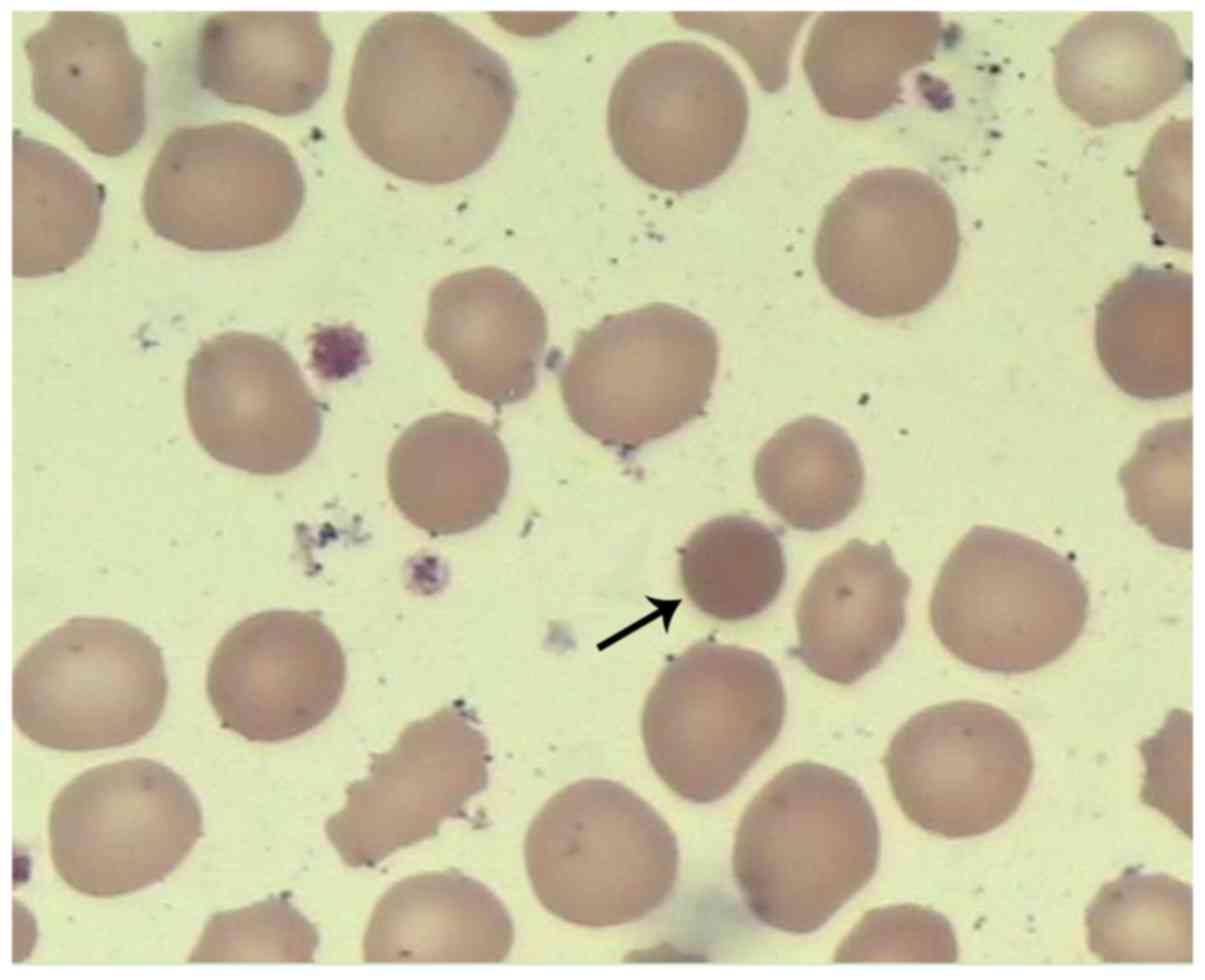
On physical examination, the body temperature of the patient was 36.5˚C, the respiration rate was 50 breaths/min, the pulse was 150 beats/min and the blood pressure was 65/35 mmHg. The blood oxygen saturation level was 94%. According to the standard of growth curves for Chinese children and adolescents which contains weight, length/height, head circumference, weight-for-length/height and body mass index aged 0-18 years, the child's nutrition and development were normal (8). The results of neonatal behavioral neurological assessment showed that the child's mental response was satisfactory. Ochrodermia was observed across the whole body. Estimation of bilirubin according to the location of jaundice on the skin, the bilirubin value of the child was close to 5-10 mg/dl. No edema was observed. The doctors in the department of neonatology carried out physical examination on the patient and no positive signs were indicated, such as lassitude, feeding difficulty and hepatosplenomegaly. For the blood routine examination, the hemoglobin level was 51 g/l (normal range, 110-160 g/l), the mean corpuscular volume (MCV) was 81.5 fl (normal range, 86-100 fl), the mean hemoglobin was 29.3 pg (normal range, 26-31 pg), the mean hemoglobin concentration was 384 g/l (normal range, 210-370 fl) and the red cell distribution width was 53.8 fl (37-50 fl). The results of cell counting demonstrated that a total of 10 intermediate erythroblasts and 3 acidophilic erythroblasts were identified per 100 leukocytes. These were counted manually using an Olympus CX21 optical microscope (100X oil immersion objective; Olympus Optical Co, Ltd.). The proportion of reticulocyte was 12.3%. The number of leukocyte was 11.03x109/l. The proportion of lymphocytes, neutrophils, monocytes, eosinophils and basophils was 60, 31, 7, 1 and 1%, respectively. The platelet count was 333x1011/l. The concentration of C-reactive protein was <2.5 mg/l. The results of the blood smear test indicated that the morphology of the erythrocytes was different, the spherocyte was smaller than the normal erythrocyte (Fig. 1), in which spherocytes accounted for ~5% in total. Hemolysis findings revealed that the proportion of alkali-resistant hemoglobin was 47.97%, while the acidified glycerin hemolysis test (AGLT) was 110 sec (control, 290 sec). No aberrant changes were identified in the hemoglobin electrophoresis and glucose-6-phosphate dehydrogenase (G-6-PD) activity. The concentration of ferritin was 588.6 µg/l. The folic acid, vitamin B12 and serum iron were within normal ranges (folic acid 5-6 µg/l, vitamin B12 200-800 ng/l, serum iron 12.8-31.3 µmol/l). The unsaturated iron and the total iron-binding capacity were 23 µmol/l (normal range, 26-51 µmol/l,) and 50 µmol/l (normal range, 55-77 µmol/l), respectively, which were lower than the normal ranges. For the biochemical analysis, the direct bilirubin, indirect bilirubin, and lactate dehydrogenase was at a concentration of 11.2, 139.8 and 553 U/l, respectively. The liver and renal function was normal, and the results of blood gas analysis and electrolyte findings were normal. A serological test for hemolysis indicated that the patient was of type O blood group (RHD positivity). The patient's mother was blood type A (RHD positivity). The direct antiglobulin test, free antibody test and antibody release test were all negative. No abnormalities were noticed in the TORCH test. The examinations of auto-antibodies, electrocardiogram, echocardiography and imaging examinations of the chest and abdomen were within their normal ranges. Ultrasonography indicated no abnormalities in the liver, gallbladder, spleen, kidneys or brain.

Figure 1

Morphology of erythrocytes in the blood smear (Wright-Giemsa stain; magnification, x1000). The spherocyte is indicated by the black arrow.

Upon admission, the patient received phototherapy. Type O washed red blood cells were supplemented to correct the anemia, together with supporting therapy. The whole treatment duration was four days. The jaundice showed remission, and the anemia was corrected. Finally, the patient exhibited a satisfactory outcome. In the 9-month follow-up, the patient received erythrocytes supplementation due to anemia at months 3 and 7, respectively. No jaundice, splenectasis or liver dysfunction were observed.

Genetic analysis

The genomic DNA was extracted from the patient's and her parents' peripheral blood using the QIAamp blood DNA mini kit (QiagenGmbH) following the manufacturer's protocol. The exome sequencing kit (xGen® Exome Research Panel; Integrated DNA Technologies, Inc.) was used for the preparation of the sequencing library. The generated library was analyzed on the NextSeq 500 analyzer (Illumina, Inc.) for the sequencing of the exons of the 302 genes associated with hematological system disease related genes (such as ANK1, SPTA1, EPB42, SLC4A1 and SPTB). The mean sequencing depth was 100X. Sequencing data was processed using Burrows-Wheeler-Aligner forhg19 reference sequence (9) alignment and a Genomic-Analysis-Toolkit (V4.0.6.0) for variant calling. Variants annotation was performed using Annovar (V20180118) (10).

According to the high-throughput sequencing results, the SPTB mutation was verified using Sanger sequencing based on the neonatal and parental DNA samples. Specific primers were designed using the Primer Premier 5.0 software (PREMIER Biosoft) for the coding region of the exon of the target gene (forward, 5'-CCGCTCATGGAATCCCAC-3'; reverse, 5'-GGAGTAGTGCCTCCTCCCTG-3'). PCR amplification was performed using the 2XPCR Master mix polymerase (Qiagen, GmbH) on an ABI 9700 PCR facility (Thermo Fisher Scientific, Inc.). The thermo cycling conditions of PCR were as follows: 95˚C for 10 min, followed by 35 cycles of 95˚C for 30 sec, 60˚C for 30 sec and 72˚C for 1 min, and final extension at 72˚C for 7 min. Following DNA purification, Sanger sequencing was performed on the ABI3500 analyzer (Thermo Fisher Scientific, Inc.), followed by sequencing comparison with the reference sequences.

Based on the determination of the crucial splicing signals on the exons and introns of the 302 known pathogenic genes (such as ANK1, SPTA1, EPB42, SLC4A1 and SPTB) for the genetic deficiency of erythrocyte, a heterozygous pathogenic gene was identified in the SPTB gene. A mutation of the SPTB gene, c.3737delA (p.Lys1246fs), was identified in exon 16. Additionally, the same mutation was identified in the patient's father (Fig. 2). The mutation was a type of frame-shift mutation, resulting in frame-shifting from Lys1246. The mutation may lead to loss of normal function due to termination of the coded protein. Moreover, this mutation was not available in the HGMD database (http://www.hgmd.cf.ac.uk/ac/index.php), ESP6500 (https://evs.gs.washington.edu/EVS/), 1000 G (http://www.1000genomes.org/) or dbSNP (https://www.ncbi.nlm.nih.gov/snp/?term=) database. Overall, c.3737delA on the exon 16 of SPTB identified in the present study was a novel pathogenic mutation. Sequencing data of the SPTB gene in the patient and her father are presented in Fig. 3. The patient was diagnosed with type 2 HS, which was divided into autosomal dominant (AD) inheritance.

Figure 3

Gene sequencing results of the mutation c.3737delA of SPTB gene in the (A) child, (B) her father, (C) her mother and the (D) referencing sequences.

Prediction of protein structure

The SWISS-MODEL homology modeling server (https://www.swissmodel.expasy.org/) was used to predict and compare the spatial structure of the wild-type protein and the protein encoded by the mutated genes. Meanwhile, the effects of the SPTB gene mutation on coding protein were justified, in order to speculate the pathogenicity of the new protein.

Fig. 4A indicates the results of the prediction of the tertiary structure of the SPTB protein (817-1265) using the SWISS-MODEL software. The predicted template was Protein Data Bank ID number 4uxv.1.A. Fig. 4B summarizes the prediction data of the protein sequence with a mutation on residue 1246. Compared with the tertiary structure of wild-type protein, the c.3737delA (p.Lys1246fs) mutation resulted in premature termination of the protein, triggering the loss of the subsequent α-spiral.

Figure 4

SPTB protein structure prediction using the SWISS-MODEL software. (A) normal protein tertiary structure. (B) Tertiary structure of mutated protein.

Discussion

HS, which affects many individuals worldwide, exhibits a prevalence of 27.6 per million within the Chinese population (2). In neonates aged <1 year, the prevalence of HS is ~0.37/1 million with a ratio of 1:1 in male and females (2). However, a higher trend of misdiagnosis is reported among these patients, and some patients with moderate manifestations are not diagnosed in clinical settings (6). Due to this, the number of patients may be higher than expected (11).

The pathogenesis of HS may be associated with the deficiency of a variety of membrane proteins of the erythrocytes, including ankyrin-1, band 3, SPTB, α-spectrin and protein 4.2, which result in the decline of the surface area of the erythrocyte membrane in patients with HS (12). Meanwhile, the damage of erythrocytes with poor deformation capacity in the spleen of individuals with HS is a major cause of hemolysis (8). According to the genetic deficiency of erythrocyte membrane proteins, HS is divided into five types (Table I), among which type 3 and 5 are of autosomal recessive (AR) inheritance with a lower prevalence (3,13). In this case, the patient was diagnosed with type 2 HS, which was divided into AD inheritance.

Table I

Correlation between the gene and phenotype of the HS.

Table I

Correlation between the gene and phenotype of the HS.

TypeGeneGene locationProteinGenetic typePercentage (%)Severity
Type 1, OMIM:182900ANK1 (612641)8p11.21Ankyrin-1Autosomal dominant40-50Mild and moderate
Type 2, OMIM: 616649SPTB (182870)14q23.3β-spectrinAutosomal dominant15-30Mild and moderate
Type 3, OMIM: 270970SPTA1 (182860)1q23.1α-spectrinAutosomal recessive<5Severe
Type 4, OMIM: 612653SCL4A1(109270)17q21.31Band-3Autosomal dominant20-35Mild and moderate
Type 5, OMIM: 612690EPB42 (177070)15q15.2Protein 4.2Autosomal recessive<5Mild and moderate

[i] HS, hereditary spherocytosis.

The typical features of HS include anemia, jaundice, splenomegaly and ceticulocytosis (2). The severity of HS is divided into asymptomatic state, mild, moderate and severe, according to the degree of anemia (14). The majority of patients exhibit mild HS, and up to 20-30% present with a purely compensated hemolysis due to the balance between reticulocyte production and red cell destruction (15). Approximately 50% of neonates with HS are anemia-free at post-natal week one, and rare cases exhibit splenomegaly (16). Jaundice is the most common manifestation for neonatal HS (3,15,17). Neonatal jaundice usually occurs within a few post-natal days. The hemoglobin concentration would be in the normal range, cases may develop transient or even severe anemia within a few post-natal weeks, due to inadequate compensation of the splenic filtration function caused by the lack of appropriate reticulocytes (7). Most of these conditions exhibit remission within 12 months post-partum (14). In the present study, the neonate with HS exhibited delayed remission of jaundice and severe anemia without kernicterus. The patient was followed up for 9 months, and blood transfusion was required to correct the anemia.

Clinical manifestations, family history and peripheral blood smear findings are relied upon in the diagnosis of HS. For the blood smear, patients with HS exhibit alternations of spherocyte proportion that are associated with the severity of anemia, as well as presence of mushroom-shaped erythrocytes, poikilocytosis and acanthocyte (18). According to the HS diagnosis guidelines that are proposed by the British Committee for Standards in Haematology (6), additional tests are not recommended for patients with HS and with typical clinical manifestations and laboratory findings. As the clinical manifestations in the neonatal patients with HS are not typical, and some patients usually present spherocytes, the diagnosis of HS in these patients is still difficult (14). A parental history of HS has been reported in the majority (65%) of the neonates with HS (16). Therefore, determining the parental history of anemia and/or the family history of anemia, jaundice, splenectomy or early-stage cholelithiasis in these neonates with jaundice is crucial for the diagnosis of HS in clinical practice (3). In addition, the eosin-5-maleimide binding test, osmotic fragility test, osmotic gradient ektacytometry, AGLT and pink test all contributed to the diagnosis of HS in clinical practice (11,19,20). For some patients, a genetic test is required to assist the diagnosis (14,17). In the present study, the patient's father exhibited anemia with a family history of cholelithiasis, which was clinically manifested as delayed remission of jaundice and severe anemia. Finally, diagnosis of HS was confirmed based on laboratory findings and the results of the genetic analysis.

HS is a rare disease of genetic deficiency that lacks appropriate treatment options. Currently, its treatment is mainly focused on the control of its severity (2). Phototherapy, which lowers the bilirubin in the neonatal HS, is considered to be the major treatment therapy in the early post-partum period (16). Moreover, treatment should begin immediately to those with a high level of bilirubin or a higher medium than the risk zone (>75th percentile zone). Furthermore, according to the guidelines proposed by the American Academy of Pediatrics (3), further blood exchange transfusion is required. In cases of signs of anemia, blood transfusion may also be required. Since erythropoiesis is damaging at a certain post-partum period (1-4 weeks) (16), single administration of erythropoietin could be used, or utilized simultaneously with blood transfusion. Folic acid supplementation should be considered for those with moderate and severe HS in order to prevent the complications associated with folic acid deficiency (16). Splenectomy is not recommended for ~12 months after delivery (16). Splenectomy is effective for treating moderate and severe HS, however, it may lead to trauma, decline of immunity, and pulmonary hypertension that is induced by arterial and venous thrombosis (5,14). Total splenectomy may therefore be more effective than partial splenectomy (2,21-24). Individual follow-up schemes should be established for children with HS, which are based on the severity of anemia and the monitoring of the growth and development (16). Meanwhile, care should be taken regarding iron overload in the children who undergo persistent blood transfusion (3).

The SPTB gene, which encodes for the β subunit of spectrin, is a member of the spectrin gene family. It is localized on 14q23.3 with a length of 100 kb, consisting of 35 exons, and its encoded proteins form the cytoskeletal superstructure of the erythrocyte plasma membrane (25). Upon binding with ankyrin, spectrin serves a crucial role in the formation and stability of the erythrocyte membrane. The SPTB gene mutation is associated with type II spherocytosis, hereditary elliptocytosis and hemolytic anemia of neonates (26,27). In general, the AD pattern was reported in 75% of patients with HS, while in the remaining 25%, the AR pattern was exhibited, or the disease was due to denovo mutations (5). Moreover, the inheritance patterns of some SPTB mutations are unknown (28). In the present study, the patient's father carried the similar mutation of the SPTB gene, which was not identified in the patient's mother. The patient's father had a history of anemia and cholelithiasis. Therefore, it was proposed that this novel mutation in SPTB gene was of AD inheritance, Therefore, the risk of HS was speculated to be up to 50% in the second child of this family.

In general, the common mutation types of SPTB gene include nonsense mutations, frame-shifting mutations and splice site mutations, which give rise to mRNA defects and truncated β-spectrin (29). In this case, a novel mutation of c.3737delA (p.Lys1246fs) in the SPTB gene was identified as a frameshift mutation, which led to premature termination of the protein and the loss of the subsequent α-spiral. Similarly, the identified mutation, expected to encode for a truncated protein, was usually the pathogenic one (5,30,31). In addition, the mutation types in other populations was reviewed (Table II). It was concluded that the most common mutation types are nonsense and frame-shifting mutations. This provides a direction for further exploration of the instability and degradation of mRNA with premature termination codons.

Table II

Frequency of mutation types in SPTB gene in different populations.

Table II

Frequency of mutation types in SPTB gene in different populations.

Mutation types (%)MissenseNonsenseFrame shiftSplicing mutationOther typesNo. of mutations(Refs.)
Netherlands21.442.914.3-21.414(28)
Korea9.136.454.5--11(33)
Chinese Mainland11.847.123.517.6-17(34)
Chinese Mainland33.333.3-33.3-3(35)
Chinese Mainland18.7550.018.7512.5-16(36)

[i] -, No frame shift mutation was identified.

The homology modeling technique is a mature technique that is commonly utilized in structural biology, and can notably reduce the differences between the predicted and actual protein sequences (32). The SWISS-MODEL software is the first homology modeling server of protein that is completely automatized to date (30). In the present study, The SWISS-MODEL software was utilized for the analysis of the spatial structure of the protein sequence encoded by SPTB gene. Compared with the predicted tertiary structure of the wild type protein, the α-spiral was no longer available, due to premature termination of protein transcription induced by the c.3737delA (p.Lys1246fs) mutation. Such spatial alteration of the protein may finally result in functional changes of β-spectrin in the erythrocyte membrane, which then can induce the onset of the disease.

In the present study, a novel mutation of SPTB is reported. The SWISS-MODEL software was used to analyze the spatial structure of the protein encoded by the SPTB gene, without validating it using laboratory data, which will be focused on in future studies. During the follow-up, genetic communication and suggestions were given to the parents of the patients, together with informing the guidelines about giving birth to a new child, in order to reduce the prevalence of HS. In summary, the clinical manifestations, laboratory findings and gene sequencing results of one neonatal HS case was reported in the current study. Furthermore, the epidemiological features, clinical manifestations, diagnosis and treatment of HS were summarized. In cases of neonates with severe hyperbilirubinemia, special attention should be paid to the family history, erythrocyte index and findings of the peripheral blood smear test. For the icterohemolytic neonates, the bilirubin should be monitored strictly, together with appropriate treatment. Particularly, the hemoglobin must be monitored in the post-partum period between1 week to 1 month. Gene sequencing also contributes to the diagnosis of this disease. The identified c.3737delA (p.Lys1246fs) mutation results in loss of α-spiral, after prediction of the tertiary structure of protein. This may lead to the dysfunction of β-spectrin in the erythrocyte membrane, triggering corresponding changes in the clinical and laboratory test findings. Early diagnosis and treatment may decrease the severity and poor outcome among patients with HS.

Acknowledgements

Not applicable.

Funding

The present study was supported by the Program of Tianjin Science and Technology Plan (grant no. 18ZXDBSY00170), and the Tianjin Health Bureau Science and Technology (grant no. 2014KZ031).

Availability of data and materials

The datasets used and/or analyzed during the current study are available from the corresponding author on reasonable request.

Authors' contributions

YL and JZ collected and analyzed the data, and wrote the manuscript. LS, CS and NL collected the clinical data. JS and YF predicted the protein structure. GL and JS participated in making substantial contributions to the conception and design, drafting and revising the important intellectual content of manuscript All authors read and approved the final manuscript.

Ethics approval and consent to participate

The study protocols were approved by the Ethical Committee of Tianjin Medical University General Hospital.

Patient consent for publication

Consent for publication was obtained from the patient's family.

Competing interests

The authors declare that they have no competing interests.

References

1 

Tole S, Dhir P, Pugi J, Drury LJ, Butchart S, Fantauzzi M, Langer JC, Baker JM, Blanchette VS, Kirby-Allen M and Carcao MD: Genotype-phenotype correlation in children with hereditary spherocytosis. Br J Haematol: May 20, 2020 (Epub ahead of print).

2 

Wang C, Cui Y, Li Y, Liu X and Han J: A systematic review of hereditary spherocytosis reported in Chinese biomedical journals from 1978 to 2013 and estimation of the prevalence of the disease using a disease model. Intractable Rare Dis Res. 4:76–81. 2015.PubMed/NCBI View Article : Google Scholar

3 

Suzuki H, Kiryluk K, Novak J, Moldoveanu Z, Herr AB, Renfrow MB, Wyatt RJ, Scolari F, Mestecky J, Gharavi AG and Julian BA: The pathophysiology of IgA nephropathy. J Am Soc Nephrol. 22:1795–1803. 2011.PubMed/NCBI View Article : Google Scholar

4 

Da Costa L, Suner L, Galimand J, Bonnel A, Pascreau T, Couque N, Fenneteau O and Mohandas N: Society of Hematology and Pediatric Immunology (SHIP) group; French Society of Hematology (SFH). Diagnostic tool for red blood cell membrane disorders: Assessment of a new generation ektacytometer. Blood Cells Mol Dis. 56:9–22. 2016.PubMed/NCBI View Article : Google Scholar

5 

Perrotta S, Gallagher PG and Mohandas N: Hereditary spherocytosis. Lancet. 372:1411–1426. 2008.PubMed/NCBI View Article : Google Scholar

6 

Bolton-Maggs PH, Langer JC, Iolascon A, Tittensor P and King MJ: General Haematology Task Force of the British Committee for Standards in Haematology. Guidelines for the diagnosis and management of hereditary spherocytosis-2011 update. Br J Haematol. 156:37–49. 2012.PubMed/NCBI View Article : Google Scholar

7 

Manciu S, Matei E and Trandafir B: Hereditary spherocytosis-diagnosis, surgical treatment and outcomes. A literature Review. Chirurgia (Bucur). 112:110–116. 2017.PubMed/NCBI View Article : Google Scholar

8 

Zong XN and Li H: Construction of a new growth references for China based on urban Chinese children: Comparison with the WHO growth standards. PLoS One. 8(e59569)2013.PubMed/NCBI View Article : Google Scholar

9 

Li H and Durbin R: Fast and accurate short read alignment with Burrows-Wheeler transform. Bioinformatics. 25:1754–1760. 2009.PubMed/NCBI View Article : Google Scholar

10 

Wang K, Li M and Hakonarson H: ANNOVAR: Functional annotation of genetic variants from high-throughput sequencing data. Nucleic Acids Res. 38(e164)2010.PubMed/NCBI View Article : Google Scholar

11 

Andolfo I, Russo R, Gambale A and Iolascon A: New insights on hereditary erythrocyte membrane defects. Haematologica. 101:1284–1294. 2016.PubMed/NCBI View Article : Google Scholar

12 

Farias MG: Advances in laboratory diagnosis of hereditary spherocytosis. Clin Chem Lab Med. 55:944–948. 2017.PubMed/NCBI View Article : Google Scholar

13 

He BJ, Liao L, Deng ZF, Tao YF, Xu YC and Lin FQ: Molecular genetic mechanisms of hereditary spherocytosis: Current perspectives. Acta Haematol. 139:60–66. 2018.PubMed/NCBI View Article : Google Scholar

14 

Wang X, Liu A, Lu Y and Hu Q: Novel compound heterozygous mutations in the SPTA1 gene, causing hereditary spherocytosis in a neonate with Coombsnegative hemolytic jaundice. Mol Med Rep. 19:2801–2807. 2019.PubMed/NCBI View Article : Google Scholar

15 

King MJ, Garcon L, Hoyer JD, Iolascon A, Picard V, Stewart G, Bianchi P, Lee SH and Zanella A: International Council for Standardization in Haematology. ICSH guidelines for the laboratory diagnosis of nonimmune hereditary red cell membrane disorders. Int J Lab Hematol. 37:304–325. 2015.PubMed/NCBI View Article : Google Scholar

16 

Christensen RD, Yaish HM and Gallagher PG: A pediatrician's practical guide to diagnosing and treating hereditary spherocytosis in neonates. Pediatrics. 135:1107–1114. 2015.PubMed/NCBI View Article : Google Scholar

17 

Christensen RD, Nussenzveig RH, Yaish HM, Henry E, Eggert LD and Agarwal AM: Causes of hemolysis in neonates with extreme hyperbilirubinemia. J Perinatol. 34:616–619. 2014.PubMed/NCBI View Article : Google Scholar

18 

Da Costa L, Galimand J, Fenneteau O and Mohandas N: Hereditary spherocytosis, elliptocytosis, and other red cell membrane disorders. Blood Rev. 27:167–178. 2013.PubMed/NCBI View Article : Google Scholar

19 

Llaudet-Planas E, Vives-Corrons JL, Rizzuto V, Gómez-Ramírez P, Sevilla Navarro J, Coll Sibina MT, García-Bernal M, Ruiz Llobet A, Badell I, Velasco-Puyó P, et al: Osmotic gradient ektacytometry: A valuable screening test for hereditary spherocytosis and other red blood cell membrane disorders. Int J Lab Hematol. 40:94–102. 2018.PubMed/NCBI View Article : Google Scholar

20 

Park SH, Park CJ, Lee BR, Cho YU, Jang S, Kim N, Koh KN, Im HJ, Seo JJ, Park ES, et al: Comparison study of the eosin-5'-maleimide binding test, flow cytometric osmotic fragility test, and cryohemolysis test in the diagnosis of hereditary spherocytosis. Am J Clin Pathol. 142:474–484. 2014.PubMed/NCBI View Article : Google Scholar

21 

Baloira A, Bastos M, Pousada G and Valverde D: Pulmonary arterial hypertension associated with hereditary spherocytosis and splenectomy in a patient with a mutation in the BMPR2 gene. Clin Case Rep. 4:752–755. 2016.PubMed/NCBI View Article : Google Scholar

22 

Bader-Meunier B, Gauthier F, Archambaud F, Cynober T, Mielot F, Dommergues JP, Warszawski J, Mohandas N and Tchernia G: Long-term evaluation of the beneficial effect of subtotal splenectomy for management of hereditary spherocytosis. Blood. 97:399–403. 2001.PubMed/NCBI View Article : Google Scholar

23 

Abdullah F, Zhang Y, Camp M, Rossberg MI, Bathurst MA, Colombani PM, Casella JF, Nabaweesi R and Chang DC: Splenectomy in hereditary spherocytosis: Review of 1,657 patients and application of the pediatric quality indicators. Pediatr Blood Cancer. 52:834–837. 2009.PubMed/NCBI View Article : Google Scholar

24 

Guizzetti L: Total versus partial splenectomy in pediatric hereditary spherocytosis: A systematic review and meta-analysis. Pediatr Blood Cancer. 63:1713–1722. 2016.PubMed/NCBI View Article : Google Scholar

25 

Fan LL, Liu JS, Huang H, Du R and Xiang R: Whole exome sequencing identified a novel mutation (p.Ala1884Pro) of β-spectrin in a Chinese family with hereditary spherocytosis. J Gene Med. 21(e3073)2019.PubMed/NCBI View Article : Google Scholar

26 

Boguslawska DM, Heger E, Machnicka B, Skulski M, Kuliczkowski K and Sikorski AF: A new frameshift mutation of the β-spectrin gene associated with hereditary spherocytosis. Ann Hematol. 96:163–165. 2017.PubMed/NCBI View Article : Google Scholar

27 

Shin S, Jang W, Kim M, Kim Y, Park SY, Park J and Yang YJ: Targeted next-generation sequencing identifies a novel nonsense mutation in SPTB for hereditary spherocytosis: A case report of a Korean family. Medicine (Baltimore). 97(e9677)2018.PubMed/NCBI View Article : Google Scholar

28 

van Vuren A, van der Zwaag B, Huisjes R, Lak N, Bierings M, Gerritsen E, van Beers E, Bartels M and van Wijk R: The complexity of genotype-phenotype correlations in hereditary spherocytosis: A Cohort of 95 Patients: Genotype-phenotype correlation in hereditary spherocytosis. Hemasphere. 3(e276)2019.PubMed/NCBI View Article : Google Scholar

29 

Maciag M, Plochocka D, Adamowicz-Salach A and Burzynska B: Novel beta-spectrin mutations in hereditary spherocytosis associated with decreased levels of mRNA. Br J Haematol. 146:326–332. 2009.PubMed/NCBI View Article : Google Scholar

30 

Barcellini W, Bianchi P, Fermo E, Imperiali FG, Marcello AP, Vercellati C, Zaninoni A and Zanella A: Hereditary red cell membrane defects: Diagnostic and clinical aspects. Blood Transfus. 9:274–277. 2011.PubMed/NCBI View Article : Google Scholar

31 

Iolascon A and Avvisati RA: Genotype/phenotype correlation in hereditary spherocytosis. Haematologica. 93:1283–1288. 2008.PubMed/NCBI View Article : Google Scholar

32 

Waterhouse A, Bertoni M, Bienert S, Studer G, Tauriello G, Gumienny R, Heer FT, de Beer TAP, Rempfer C, Bordoli L, et al: SWISS-MODEL: Homology modelling of protein structures and complexes. Nucleic Acids Res. 46:W296–W303. 2018.PubMed/NCBI View Article : Google Scholar

33 

Park J, Jeong DC, Yoo J, Jang W, Chae H, Kim J, Kwon A, Choi H, Lee JW, Chung NG, et al: Mutational characteristics of ANK1 and SPTB genes in hereditary spherocytosis. Clin Genet. 90:69–78. 2016.PubMed/NCBI View Article : Google Scholar

34 

Wang R, Yang S, Xu M, Huang J, Liu H, Gu W and Zhang X: Exome sequencing confirms molecular diagnoses in 38 Chinese families with hereditary spherocytosis. Sci China Life Sci. 61:947–953. 2018.PubMed/NCBI View Article : Google Scholar

35 

Xue J, He Q, Xie X, Su A and Cao S: Erratum to clinical utility of targeted gene enrichment and sequencing technique in the diagnosis of adult hereditary spherocytosis. Ann Transl Med. 7(S391)2019.PubMed/NCBI View Article : Google Scholar

36 

Qin L, Nie Y, Zhang H, Chen L, Zhang D, Lin Y and Ru K: Identification of new mutations in patients with hereditary spherocytosis by next-generation sequencing. J Hum Genet. 65:427–434. 2020.PubMed/NCBI View Article : Google Scholar

Related Articles

  • Abstract
  • View
  • Download
  • Twitter
Copy and paste a formatted citation
Spandidos Publications style
Liu Y, Zheng J, Song L, Fang Y, Sun C, Li N, Liu G and Shu J: A novel SPTB gene mutation in neonatal hereditary spherocytosis: A case report. Exp Ther Med 20: 3253-3259, 2020.
APA
Liu, Y., Zheng, J., Song, L., Fang, Y., Sun, C., Li, N. ... Shu, J. (2020). A novel SPTB gene mutation in neonatal hereditary spherocytosis: A case report. Experimental and Therapeutic Medicine, 20, 3253-3259. https://doi.org/10.3892/etm.2020.9062
MLA
Liu, Y., Zheng, J., Song, L., Fang, Y., Sun, C., Li, N., Liu, G., Shu, J."A novel SPTB gene mutation in neonatal hereditary spherocytosis: A case report". Experimental and Therapeutic Medicine 20.4 (2020): 3253-3259.
Chicago
Liu, Y., Zheng, J., Song, L., Fang, Y., Sun, C., Li, N., Liu, G., Shu, J."A novel SPTB gene mutation in neonatal hereditary spherocytosis: A case report". Experimental and Therapeutic Medicine 20, no. 4 (2020): 3253-3259. https://doi.org/10.3892/etm.2020.9062
Copy and paste a formatted citation
x
Spandidos Publications style
Liu Y, Zheng J, Song L, Fang Y, Sun C, Li N, Liu G and Shu J: A novel SPTB gene mutation in neonatal hereditary spherocytosis: A case report. Exp Ther Med 20: 3253-3259, 2020.
APA
Liu, Y., Zheng, J., Song, L., Fang, Y., Sun, C., Li, N. ... Shu, J. (2020). A novel SPTB gene mutation in neonatal hereditary spherocytosis: A case report. Experimental and Therapeutic Medicine, 20, 3253-3259. https://doi.org/10.3892/etm.2020.9062
MLA
Liu, Y., Zheng, J., Song, L., Fang, Y., Sun, C., Li, N., Liu, G., Shu, J."A novel SPTB gene mutation in neonatal hereditary spherocytosis: A case report". Experimental and Therapeutic Medicine 20.4 (2020): 3253-3259.
Chicago
Liu, Y., Zheng, J., Song, L., Fang, Y., Sun, C., Li, N., Liu, G., Shu, J."A novel SPTB gene mutation in neonatal hereditary spherocytosis: A case report". Experimental and Therapeutic Medicine 20, no. 4 (2020): 3253-3259. https://doi.org/10.3892/etm.2020.9062
Follow us
  • Twitter
  • LinkedIn
  • Facebook
About
  • Spandidos Publications
  • Careers
  • Cookie Policy
  • Privacy Policy
How can we help?
  • Help
  • Live Chat
  • Contact
  • Email to our Support Team