Spandidos Publications Logo
  • About
    • About Spandidos
    • Aims and Scopes
    • Abstracting and Indexing
    • Editorial Policies
    • Reprints and Permissions
    • Job Opportunities
    • Terms and Conditions
    • Contact
  • Journals
    • All Journals
    • Oncology Letters
      • Oncology Letters
      • Information for Authors
      • Editorial Policies
      • Editorial Board
      • Aims and Scope
      • Abstracting and Indexing
      • Bibliographic Information
      • Archive
    • International Journal of Oncology
      • International Journal of Oncology
      • Information for Authors
      • Editorial Policies
      • Editorial Board
      • Aims and Scope
      • Abstracting and Indexing
      • Bibliographic Information
      • Archive
    • Molecular and Clinical Oncology
      • Molecular and Clinical Oncology
      • Information for Authors
      • Editorial Policies
      • Editorial Board
      • Aims and Scope
      • Abstracting and Indexing
      • Bibliographic Information
      • Archive
    • Experimental and Therapeutic Medicine
      • Experimental and Therapeutic Medicine
      • Information for Authors
      • Editorial Policies
      • Editorial Board
      • Aims and Scope
      • Abstracting and Indexing
      • Bibliographic Information
      • Archive
    • International Journal of Molecular Medicine
      • International Journal of Molecular Medicine
      • Information for Authors
      • Editorial Policies
      • Editorial Board
      • Aims and Scope
      • Abstracting and Indexing
      • Bibliographic Information
      • Archive
    • Biomedical Reports
      • Biomedical Reports
      • Information for Authors
      • Editorial Policies
      • Editorial Board
      • Aims and Scope
      • Abstracting and Indexing
      • Bibliographic Information
      • Archive
    • Oncology Reports
      • Oncology Reports
      • Information for Authors
      • Editorial Policies
      • Editorial Board
      • Aims and Scope
      • Abstracting and Indexing
      • Bibliographic Information
      • Archive
    • Molecular Medicine Reports
      • Molecular Medicine Reports
      • Information for Authors
      • Editorial Policies
      • Editorial Board
      • Aims and Scope
      • Abstracting and Indexing
      • Bibliographic Information
      • Archive
    • World Academy of Sciences Journal
      • World Academy of Sciences Journal
      • Information for Authors
      • Editorial Policies
      • Editorial Board
      • Aims and Scope
      • Abstracting and Indexing
      • Bibliographic Information
      • Archive
    • International Journal of Functional Nutrition
      • International Journal of Functional Nutrition
      • Information for Authors
      • Editorial Policies
      • Editorial Board
      • Aims and Scope
      • Abstracting and Indexing
      • Bibliographic Information
      • Archive
    • International Journal of Epigenetics
      • International Journal of Epigenetics
      • Information for Authors
      • Editorial Policies
      • Editorial Board
      • Aims and Scope
      • Abstracting and Indexing
      • Bibliographic Information
      • Archive
    • Medicine International
      • Medicine International
      • Information for Authors
      • Editorial Policies
      • Editorial Board
      • Aims and Scope
      • Abstracting and Indexing
      • Bibliographic Information
      • Archive
  • Articles
  • Information
    • Information for Authors
    • Information for Reviewers
    • Information for Librarians
    • Information for Advertisers
    • Conferences
  • Language Editing
Spandidos Publications Logo
  • About
    • About Spandidos
    • Aims and Scopes
    • Abstracting and Indexing
    • Editorial Policies
    • Reprints and Permissions
    • Job Opportunities
    • Terms and Conditions
    • Contact
  • Journals
    • All Journals
    • Biomedical Reports
      • Information for Authors
      • Editorial Policies
      • Editorial Board
      • Aims and Scope
      • Abstracting and Indexing
      • Bibliographic Information
      • Archive
    • Experimental and Therapeutic Medicine
      • Information for Authors
      • Editorial Policies
      • Editorial Board
      • Aims and Scope
      • Abstracting and Indexing
      • Bibliographic Information
      • Archive
    • International Journal of Epigenetics
      • Information for Authors
      • Editorial Policies
      • Editorial Board
      • Aims and Scope
      • Abstracting and Indexing
      • Bibliographic Information
      • Archive
    • International Journal of Functional Nutrition
      • Information for Authors
      • Editorial Policies
      • Editorial Board
      • Aims and Scope
      • Abstracting and Indexing
      • Bibliographic Information
      • Archive
    • International Journal of Molecular Medicine
      • Information for Authors
      • Editorial Policies
      • Editorial Board
      • Aims and Scope
      • Abstracting and Indexing
      • Bibliographic Information
      • Archive
    • International Journal of Oncology
      • Information for Authors
      • Editorial Policies
      • Editorial Board
      • Aims and Scope
      • Abstracting and Indexing
      • Bibliographic Information
      • Archive
    • Medicine International
      • Information for Authors
      • Editorial Policies
      • Editorial Board
      • Aims and Scope
      • Abstracting and Indexing
      • Bibliographic Information
      • Archive
    • Molecular and Clinical Oncology
      • Information for Authors
      • Editorial Policies
      • Editorial Board
      • Aims and Scope
      • Abstracting and Indexing
      • Bibliographic Information
      • Archive
    • Molecular Medicine Reports
      • Information for Authors
      • Editorial Policies
      • Editorial Board
      • Aims and Scope
      • Abstracting and Indexing
      • Bibliographic Information
      • Archive
    • Oncology Letters
      • Information for Authors
      • Editorial Policies
      • Editorial Board
      • Aims and Scope
      • Abstracting and Indexing
      • Bibliographic Information
      • Archive
    • Oncology Reports
      • Information for Authors
      • Editorial Policies
      • Editorial Board
      • Aims and Scope
      • Abstracting and Indexing
      • Bibliographic Information
      • Archive
    • World Academy of Sciences Journal
      • Information for Authors
      • Editorial Policies
      • Editorial Board
      • Aims and Scope
      • Abstracting and Indexing
      • Bibliographic Information
      • Archive
  • Articles
  • Information
    • For Authors
    • For Reviewers
    • For Librarians
    • For Advertisers
    • Conferences
  • Language Editing
Login Register Submit
  • This site uses cookies
  • You can change your cookie settings at any time by following the instructions in our Cookie Policy. To find out more, you may read our Privacy Policy.

    I agree
Search articles by DOI, keyword, author or affiliation
Search
Advanced Search
presentation
Experimental and Therapeutic Medicine
Join Editorial Board Propose a Special Issue
Print ISSN: 1792-0981 Online ISSN: 1792-1015
Journal Cover
November-2020 Volume 20 Issue 5

Full Size Image

Sign up for eToc alerts
Recommend to Library

Journals

International Journal of Molecular Medicine

International Journal of Molecular Medicine

International Journal of Molecular Medicine is an international journal devoted to molecular mechanisms of human disease.

International Journal of Oncology

International Journal of Oncology

International Journal of Oncology is an international journal devoted to oncology research and cancer treatment.

Molecular Medicine Reports

Molecular Medicine Reports

Covers molecular medicine topics such as pharmacology, pathology, genetics, neuroscience, infectious diseases, molecular cardiology, and molecular surgery.

Oncology Reports

Oncology Reports

Oncology Reports is an international journal devoted to fundamental and applied research in Oncology.

Experimental and Therapeutic Medicine

Experimental and Therapeutic Medicine

Experimental and Therapeutic Medicine is an international journal devoted to laboratory and clinical medicine.

Oncology Letters

Oncology Letters

Oncology Letters is an international journal devoted to Experimental and Clinical Oncology.

Biomedical Reports

Biomedical Reports

Explores a wide range of biological and medical fields, including pharmacology, genetics, microbiology, neuroscience, and molecular cardiology.

Molecular and Clinical Oncology

Molecular and Clinical Oncology

International journal addressing all aspects of oncology research, from tumorigenesis and oncogenes to chemotherapy and metastasis.

World Academy of Sciences Journal

World Academy of Sciences Journal

Multidisciplinary open-access journal spanning biochemistry, genetics, neuroscience, environmental health, and synthetic biology.

International Journal of Functional Nutrition

International Journal of Functional Nutrition

Open-access journal combining biochemistry, pharmacology, immunology, and genetics to advance health through functional nutrition.

International Journal of Epigenetics

International Journal of Epigenetics

Publishes open-access research on using epigenetics to advance understanding and treatment of human disease.

Medicine International

Medicine International

An International Open Access Journal Devoted to General Medicine.

Journal Cover
November-2020 Volume 20 Issue 5

Full Size Image

Sign up for eToc alerts
Recommend to Library

  • Article
  • Citations
    • Cite This Article
    • Download Citation
    • Create Citation Alert
    • Remove Citation Alert
    • Cited By
  • Similar Articles
    • Related Articles (in Spandidos Publications)
    • Similar Articles (Google Scholar)
    • Similar Articles (PubMed)
  • Download PDF
  • Download XML
  • View XML
Case Report Open Access

Primary carnitine deficiency in two sisters with intractable epilepsy and reversible metabolic cardiomyopathy: Two case reports

  • Authors:
    • Xiu-Fang Yang
    • Guo-Sheng Liu
    • Bing Yi
  • View Affiliations / Copyright

    Affiliations: Department of Pediatrics and Neonatology, Zhongshan Hospital Affiliated to Sun Yat‑Sen University, Zhongshan, Guangdong 528400, P.R. China, Department of Neonatology, The First Affiliated Hospital of Jinan University, Guangzhou, Guangdong 510630, P.R. China, Molecular Inspection Center of Clinical Laboratory, Zhongshan Hospital Affiliated to Sun Yat‑Sen University, Zhongshan, Guangdong 528400, P.R. China
    Copyright: © Yang et al. This is an open access article distributed under the terms of Creative Commons Attribution License.
  • Article Number: 118
    |
    Published online on: September 21, 2020
       https://doi.org/10.3892/etm.2020.9246
  • Expand metrics +
Metrics: Total Views: 0 (Spandidos Publications: | PMC Statistics: )
Metrics: Total PDF Downloads: 0 (Spandidos Publications: | PMC Statistics: )
Cited By (CrossRef): 0 citations Loading Articles...

This article is mentioned in:



Abstract

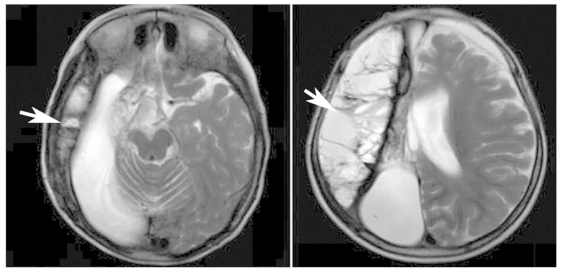
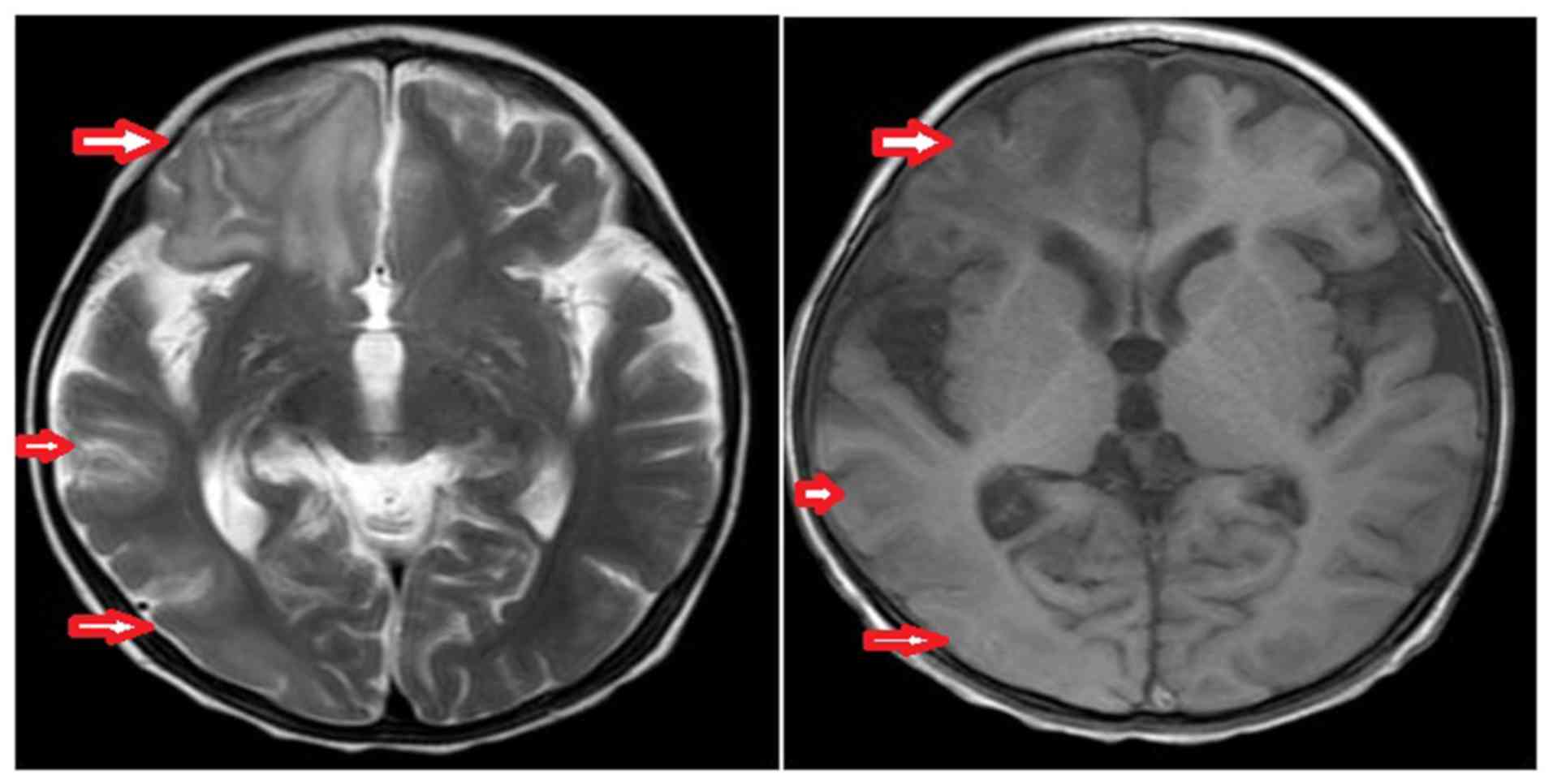
Primary carnitine deficiency (PCD) is a disorder of the carnitine cycle that results in defective fatty acid oxidation. When carnitine cannot be transported into the cells, fatty acid oxidation is impaired, resulting a variety of symptoms, such as chronic muscle weakness, cardiomyopathy, hypoglycemia and liver dysfunction. The clinical manifestations and outcomes of different cases with PCD vary among patients. The present case report focused on two sisters with PCD. The younger sister presented with intractable epilepsy, and the older sister presented with reversible metabolic cardiomyopathy. Potential mutations in the SLC22A5 gene were investigated within the family, and a nonsense mutation [c.760C>T (p.R254X)] was identified in four family members. The two sisters harbored homozygous mutations, whereas their parents presented heterozygous mutations. Metabolic disease screening revealed low plasma free carnitine levels (<5 µmol/l) in the two sisters. The plasma free carnitine levels of their parents were normal, and they were asymptomatic. PCD in the two patients was managed using oral levocarnitine. The metabolic cardiomyopathy of the older sister improved following 3 months of treatment. However, the epilepsy of the younger sister was recurrent with oral antiepileptic therapy lasting one year and eight months, and epilepsy was finally controlled following right cerebral resection. The present case report demonstrated that the clinical manifestations presented by patients with PCD within the same family were different. The results indicated that treatment with levocarnitine supplementation should be initiated as soon as possible before irreversible organ damage occurs. In addition, metabolic decompensation and cardiac muscle functions were improved following carnitine supplementation. The resection of the severely diseased unilateral brain combined with carnitine supplementation and antiepileptic therapy may be an effective treatment for PCD with intractable epilepsy complications.
View Figures

Figure 1

Figure 2

Figure 3

Figure 4

Figure 5

View References

1 

Tan JQ, Chen DY, Li ZT, Yan TZ, Huang JW and Cai R: Genetic diagnosis of 10 neonates with primary carnitine deficiency. Zhongguo Dang Dai Er Ke Za Zhi. 19:1150–1154. 2017.PubMed/NCBI View Article : Google Scholar : (In Chinese).

2 

Buist NR: Historical perspective on clinical trials of carnitine in children and adults. Ann Nutr Metab. 68:1–4. 2016.PubMed/NCBI View Article : Google Scholar

3 

Ravindranath A, Pai G, Srivastava A, Poddar U and Yachha SK: Infant with hepatomegaly and hypoglycemia: A setting for fatty acid oxidation defects. Indian J Gastroenterol. 36:429–434. 2017.PubMed/NCBI View Article : Google Scholar

4 

Belousova ED: The decreased level of plasma carnitine in patients with epilepsy. Zh Nevrol Psikhiatr Im S S Korsakova. 117:106–110. 2017.PubMed/NCBI View Article : Google Scholar : (In Russian).

5 

Greenberg DA, Aminoff MJ and Simon RP: Clinical Neurogy (5th edition). The United States: Mc Graw-Hill, New York, NY, pp157-158, 2002.

6 

Ferdinandusse S, Brinke HT, Ruiter JP, Haasjes J, Oostheim W, Ven Lenthe H, IJlst L, Ebberink MS, Wanders RJ, Vaz FM and Waterham HR: Mutation creating an upstream translation initiation codon in SLC22A5 5'UTR is a frequent cause of primary carnitine deficiency. Hum Mutat. 40:1899–1904. 2019.PubMed/NCBI View Article : Google Scholar

7 

Koizumi A, Nozaki J, Ohura T, Kayo T, Wada Y, Nezu J, Ohashi R, Tamai I, Shoji Y, Takada G, et al: Genetic epidemiology of the carnitine transporter OCTN2 gene in a Japanese population and phenotypic characterization in Japanese pedigrees with primary systemic carnitine deficiency. Hum Mol Genet. 8:2247–2254. 1999.PubMed/NCBI View Article : Google Scholar

8 

Hassan FA, El Mougy F, Sharaf SA, Mandour I, Morgan MF, Selim LA, Hassan SA, Salem F, Oraby A, Girgis MY, et al: Inborn errors of metabolism detectable by tandem mass spectrometry in Egypt: The first newborn screening pilot study. J Med Screen. 23:124–129. 2016.PubMed/NCBI View Article : Google Scholar

9 

Nałęcz KA and Nałęcz MJ: Carnitine-mitochondria and beyond. Postepy Biochem. 62:85–93. 2016.PubMed/NCBI

10 

Lindner M, Gramer G, Haege G, Fang-Hoffmann J, Schwab KO, Tacke U, Trefz FK, Mengel E, Wendel U, Leichsenring M, et al: Efficacy and outcome of expanded newborn screening for metabolic diseases-report of 10 years from South-West Germany. Orphanet J Rare Dis. 6(44)2011.PubMed/NCBI View Article : Google Scholar

11 

Lehotay DC, Hall P, Lepage J, Eichhorst JC, Etter ML and Greenberg CR: LC-MS/MS progress in newborn screening. Clin Biochem. 44:21–31. 2011.PubMed/NCBI View Article : Google Scholar

12 

Longo N, Frigeni M and Pasquali M: Carntiin transport and fatty acid oxidation. Biochim Biophys Acta. 1863:2422–2435. 2016.PubMed/NCBI View Article : Google Scholar

13 

Gallant NM, Leydiker K, Wilnai Y, Lee C, Lorey F, Feuchtbaum L, Tang H, Carter J, Enns GM, Packman S, et al: Biochemical characteristics of newborns with carnitine transporter defect identified by newborn screening in California. Mol Genet Metab. 122:76–84. 2017.PubMed/NCBI View Article : Google Scholar

14 

Lin Y, Lin W, Yu K, Zheng F, Zheng Z and Fu Q: Mutational analysis of SLC22A5 gene in eight patients with systemic primary carnitine deficiency. Zhonghua Yi Xue Yi Chuan Xue Za Zhi. 34:35–39. 2017.PubMed/NCBI View Article : Google Scholar : (In Chinese).

15 

Frigeni M, Balakrishnan B, Yin X, Calderon FR, Mao R, Pasquali M and Longo N: Functional and molecular studies in primary carnitine deficiency. Hum Mutat. 38:1684–1699. 2017.PubMed/NCBI View Article : Google Scholar

16 

Li FY, El-Hattab AW, Bawle EV, Boles RG, Schmitt ES, Scaglia F and Wong LJ: Molecular spectrum of SLC22A5 (OCTN2) gene mutations detected in 143 subjects evaluated for systemic carnitine defciency. Hum Mutat. 31:E1632–E1651. 2010.PubMed/NCBI View Article : Google Scholar

17 

Angelini C: Letter: Carnitine Deficiency. Lancet. 2(554)1975.PubMed/NCBI View Article : Google Scholar

18 

Longo N: Primary carnitine deficiency and newborn screening for disorders of the carnitinecycle. Ann Nutr Metab. 68:5–9. 2016.PubMed/NCBI View Article : Google Scholar

19 

Zheng J, Zhang Y, Hong F, Yang J, Tong F, Mao H and Huang X, Zhou X, Yang R, Zhao Z and Huang X: Screening for fatty acid oxidation disorders of newborns in Zhejiang province: prevalence, outcome and follow-up. Zhejiang Da Xue Xue Bao Yi Xue Ban. 46:248–255. 2017.PubMed/NCBI(In Chinese).

20 

Deswal S, Bijarnia-Mahay S, Manocha V, Hara K, Shigematsu Y, Saxena R and Verma IC: Primary carnitine deficiency-a rare treatable cause of cardiomyopathy and massive hepatomegaly. Indian J Pediatr. 84:83–85. 2017.PubMed/NCBI View Article : Google Scholar

21 

Lahrouchi N, Lodder EM, Mansouri M, Tadros R, Zniber L, Adadi N, Clur SA, van Spaendonck-Zwarts KY, Postma AV, Sefiani A, et al: Exome sequencing identifies primary carnitine deficiency in a family with cardiomyopathy and sudden death. Eur J Hum Genet. 25:783–787. 2017.PubMed/NCBI View Article : Google Scholar

22 

Madsen KL, Preisler N, Rasmussen J, Hedermann G, Olesen JH, Lund AM and Vissing J: L-Carnitine improves skeletal muscle fat oxidation in primary carnitine deficiency. J Clin Endocrinol Metab. 103:4580–4588. 2018.PubMed/NCBI View Article : Google Scholar

23 

Jun JS, Lee EJ, Park HD and Kim HS: Systemic primary carnitine deficiency with hypoglycemic encephalopathy. Ann Pediatr Endocrinol Metab. 21:226–229. 2016.PubMed/NCBI View Article : Google Scholar

24 

Perin F, Rodríguez-Vázquez Del Rey MD, Carreras-Blesa C, Arrabal-Fernández L, Jiménez-Jáimez J and Tercedor L: Dilated cardiomyopathy with short QT interval suggests primary carnitine deficiency. Rev Esp Cardiol (Engl Ed). 71:1074–1075. 2018.PubMed/NCBI View Article : Google Scholar

25 

Papadopoulou-Legbelou K, Gogou M, Dokousli V, Eboriadou M and Evangeliou A: Dilated cardiomyopathy as the only clinical manifestation of carnitine transporter deficiency. Indian J Pediatr. 84:231–233. 2017.PubMed/NCBI View Article : Google Scholar

26 

Morrison-Levy N, Go C, Ochi A, Otsubo H, Drake J, Rutka J and Weiss SK: Children with autism spectrum disorders and drug-resistant epilepsy can benefit from epilepsy surgery. Epilepsy Behav. 85:200–204. 2018.PubMed/NCBI View Article : Google Scholar

27 

Hirsch E and Arzimanoglou A: Children with drug-resistant partial epilepsy: Criteria for the identification of surgical candidates. Rev Neurol (Paris). 160:5S210–5S219. 2004.PubMed/NCBI(In French).

28 

Roth J, Nagar S, Constantini S and Fried I: Hemispherotomy for treatment of refractory epilepsy in children. Harefuah. 156:482–485. 2017.PubMed/NCBI(In Hebrew).

Related Articles

  • Abstract
  • View
  • Download
  • Twitter
Copy and paste a formatted citation
Spandidos Publications style
Yang X, Liu G and Yi B: Primary carnitine deficiency in two sisters with intractable epilepsy and reversible metabolic cardiomyopathy: Two case reports. Exp Ther Med 20: 118, 2020.
APA
Yang, X., Liu, G., & Yi, B. (2020). Primary carnitine deficiency in two sisters with intractable epilepsy and reversible metabolic cardiomyopathy: Two case reports. Experimental and Therapeutic Medicine, 20, 118. https://doi.org/10.3892/etm.2020.9246
MLA
Yang, X., Liu, G., Yi, B."Primary carnitine deficiency in two sisters with intractable epilepsy and reversible metabolic cardiomyopathy: Two case reports". Experimental and Therapeutic Medicine 20.5 (2020): 118.
Chicago
Yang, X., Liu, G., Yi, B."Primary carnitine deficiency in two sisters with intractable epilepsy and reversible metabolic cardiomyopathy: Two case reports". Experimental and Therapeutic Medicine 20, no. 5 (2020): 118. https://doi.org/10.3892/etm.2020.9246
Copy and paste a formatted citation
x
Spandidos Publications style
Yang X, Liu G and Yi B: Primary carnitine deficiency in two sisters with intractable epilepsy and reversible metabolic cardiomyopathy: Two case reports. Exp Ther Med 20: 118, 2020.
APA
Yang, X., Liu, G., & Yi, B. (2020). Primary carnitine deficiency in two sisters with intractable epilepsy and reversible metabolic cardiomyopathy: Two case reports. Experimental and Therapeutic Medicine, 20, 118. https://doi.org/10.3892/etm.2020.9246
MLA
Yang, X., Liu, G., Yi, B."Primary carnitine deficiency in two sisters with intractable epilepsy and reversible metabolic cardiomyopathy: Two case reports". Experimental and Therapeutic Medicine 20.5 (2020): 118.
Chicago
Yang, X., Liu, G., Yi, B."Primary carnitine deficiency in two sisters with intractable epilepsy and reversible metabolic cardiomyopathy: Two case reports". Experimental and Therapeutic Medicine 20, no. 5 (2020): 118. https://doi.org/10.3892/etm.2020.9246
Follow us
  • Twitter
  • LinkedIn
  • Facebook
About
  • Spandidos Publications
  • Careers
  • Cookie Policy
  • Privacy Policy
How can we help?
  • Help
  • Live Chat
  • Contact
  • Email to our Support Team