Spandidos Publications Logo
  • About
    • About Spandidos
    • Aims and Scopes
    • Abstracting and Indexing
    • Editorial Policies
    • Reprints and Permissions
    • Job Opportunities
    • Terms and Conditions
    • Contact
  • Journals
    • All Journals
    • Oncology Letters
      • Oncology Letters
      • Information for Authors
      • Editorial Policies
      • Editorial Board
      • Aims and Scope
      • Abstracting and Indexing
      • Bibliographic Information
      • Archive
    • International Journal of Oncology
      • International Journal of Oncology
      • Information for Authors
      • Editorial Policies
      • Editorial Board
      • Aims and Scope
      • Abstracting and Indexing
      • Bibliographic Information
      • Archive
    • Molecular and Clinical Oncology
      • Molecular and Clinical Oncology
      • Information for Authors
      • Editorial Policies
      • Editorial Board
      • Aims and Scope
      • Abstracting and Indexing
      • Bibliographic Information
      • Archive
    • Experimental and Therapeutic Medicine
      • Experimental and Therapeutic Medicine
      • Information for Authors
      • Editorial Policies
      • Editorial Board
      • Aims and Scope
      • Abstracting and Indexing
      • Bibliographic Information
      • Archive
    • International Journal of Molecular Medicine
      • International Journal of Molecular Medicine
      • Information for Authors
      • Editorial Policies
      • Editorial Board
      • Aims and Scope
      • Abstracting and Indexing
      • Bibliographic Information
      • Archive
    • Biomedical Reports
      • Biomedical Reports
      • Information for Authors
      • Editorial Policies
      • Editorial Board
      • Aims and Scope
      • Abstracting and Indexing
      • Bibliographic Information
      • Archive
    • Oncology Reports
      • Oncology Reports
      • Information for Authors
      • Editorial Policies
      • Editorial Board
      • Aims and Scope
      • Abstracting and Indexing
      • Bibliographic Information
      • Archive
    • Molecular Medicine Reports
      • Molecular Medicine Reports
      • Information for Authors
      • Editorial Policies
      • Editorial Board
      • Aims and Scope
      • Abstracting and Indexing
      • Bibliographic Information
      • Archive
    • World Academy of Sciences Journal
      • World Academy of Sciences Journal
      • Information for Authors
      • Editorial Policies
      • Editorial Board
      • Aims and Scope
      • Abstracting and Indexing
      • Bibliographic Information
      • Archive
    • International Journal of Functional Nutrition
      • International Journal of Functional Nutrition
      • Information for Authors
      • Editorial Policies
      • Editorial Board
      • Aims and Scope
      • Abstracting and Indexing
      • Bibliographic Information
      • Archive
    • International Journal of Epigenetics
      • International Journal of Epigenetics
      • Information for Authors
      • Editorial Policies
      • Editorial Board
      • Aims and Scope
      • Abstracting and Indexing
      • Bibliographic Information
      • Archive
    • Medicine International
      • Medicine International
      • Information for Authors
      • Editorial Policies
      • Editorial Board
      • Aims and Scope
      • Abstracting and Indexing
      • Bibliographic Information
      • Archive
  • Articles
  • Information
    • Information for Authors
    • Information for Reviewers
    • Information for Librarians
    • Information for Advertisers
    • Conferences
  • Language Editing
Spandidos Publications Logo
  • About
    • About Spandidos
    • Aims and Scopes
    • Abstracting and Indexing
    • Editorial Policies
    • Reprints and Permissions
    • Job Opportunities
    • Terms and Conditions
    • Contact
  • Journals
    • All Journals
    • Biomedical Reports
      • Information for Authors
      • Editorial Policies
      • Editorial Board
      • Aims and Scope
      • Abstracting and Indexing
      • Bibliographic Information
      • Archive
    • Experimental and Therapeutic Medicine
      • Information for Authors
      • Editorial Policies
      • Editorial Board
      • Aims and Scope
      • Abstracting and Indexing
      • Bibliographic Information
      • Archive
    • International Journal of Epigenetics
      • Information for Authors
      • Editorial Policies
      • Editorial Board
      • Aims and Scope
      • Abstracting and Indexing
      • Bibliographic Information
      • Archive
    • International Journal of Functional Nutrition
      • Information for Authors
      • Editorial Policies
      • Editorial Board
      • Aims and Scope
      • Abstracting and Indexing
      • Bibliographic Information
      • Archive
    • International Journal of Molecular Medicine
      • Information for Authors
      • Editorial Policies
      • Editorial Board
      • Aims and Scope
      • Abstracting and Indexing
      • Bibliographic Information
      • Archive
    • International Journal of Oncology
      • Information for Authors
      • Editorial Policies
      • Editorial Board
      • Aims and Scope
      • Abstracting and Indexing
      • Bibliographic Information
      • Archive
    • Medicine International
      • Information for Authors
      • Editorial Policies
      • Editorial Board
      • Aims and Scope
      • Abstracting and Indexing
      • Bibliographic Information
      • Archive
    • Molecular and Clinical Oncology
      • Information for Authors
      • Editorial Policies
      • Editorial Board
      • Aims and Scope
      • Abstracting and Indexing
      • Bibliographic Information
      • Archive
    • Molecular Medicine Reports
      • Information for Authors
      • Editorial Policies
      • Editorial Board
      • Aims and Scope
      • Abstracting and Indexing
      • Bibliographic Information
      • Archive
    • Oncology Letters
      • Information for Authors
      • Editorial Policies
      • Editorial Board
      • Aims and Scope
      • Abstracting and Indexing
      • Bibliographic Information
      • Archive
    • Oncology Reports
      • Information for Authors
      • Editorial Policies
      • Editorial Board
      • Aims and Scope
      • Abstracting and Indexing
      • Bibliographic Information
      • Archive
    • World Academy of Sciences Journal
      • Information for Authors
      • Editorial Policies
      • Editorial Board
      • Aims and Scope
      • Abstracting and Indexing
      • Bibliographic Information
      • Archive
  • Articles
  • Information
    • For Authors
    • For Reviewers
    • For Librarians
    • For Advertisers
    • Conferences
  • Language Editing
Login Register Submit
  • This site uses cookies
  • You can change your cookie settings at any time by following the instructions in our Cookie Policy. To find out more, you may read our Privacy Policy.

    I agree
Search articles by DOI, keyword, author or affiliation
Search
Advanced Search
presentation
Experimental and Therapeutic Medicine
Join Editorial Board Propose a Special Issue
Print ISSN: 1792-0981 Online ISSN: 1792-1015
Journal Cover
December-2020 Volume 20 Issue 6

Full Size Image

Sign up for eToc alerts
Recommend to Library

Journals

International Journal of Molecular Medicine

International Journal of Molecular Medicine

International Journal of Molecular Medicine is an international journal devoted to molecular mechanisms of human disease.

International Journal of Oncology

International Journal of Oncology

International Journal of Oncology is an international journal devoted to oncology research and cancer treatment.

Molecular Medicine Reports

Molecular Medicine Reports

Covers molecular medicine topics such as pharmacology, pathology, genetics, neuroscience, infectious diseases, molecular cardiology, and molecular surgery.

Oncology Reports

Oncology Reports

Oncology Reports is an international journal devoted to fundamental and applied research in Oncology.

Experimental and Therapeutic Medicine

Experimental and Therapeutic Medicine

Experimental and Therapeutic Medicine is an international journal devoted to laboratory and clinical medicine.

Oncology Letters

Oncology Letters

Oncology Letters is an international journal devoted to Experimental and Clinical Oncology.

Biomedical Reports

Biomedical Reports

Explores a wide range of biological and medical fields, including pharmacology, genetics, microbiology, neuroscience, and molecular cardiology.

Molecular and Clinical Oncology

Molecular and Clinical Oncology

International journal addressing all aspects of oncology research, from tumorigenesis and oncogenes to chemotherapy and metastasis.

World Academy of Sciences Journal

World Academy of Sciences Journal

Multidisciplinary open-access journal spanning biochemistry, genetics, neuroscience, environmental health, and synthetic biology.

International Journal of Functional Nutrition

International Journal of Functional Nutrition

Open-access journal combining biochemistry, pharmacology, immunology, and genetics to advance health through functional nutrition.

International Journal of Epigenetics

International Journal of Epigenetics

Publishes open-access research on using epigenetics to advance understanding and treatment of human disease.

Medicine International

Medicine International

An International Open Access Journal Devoted to General Medicine.

Journal Cover
December-2020 Volume 20 Issue 6

Full Size Image

Sign up for eToc alerts
Recommend to Library

  • Article
  • Citations
    • Cite This Article
    • Download Citation
    • Create Citation Alert
    • Remove Citation Alert
    • Cited By
  • Similar Articles
    • Related Articles (in Spandidos Publications)
    • Similar Articles (Google Scholar)
    • Similar Articles (PubMed)
  • Download PDF
  • Download XML
  • View XML
Article Open Access

Human umbilical cord‑derived mesenchymal stem cells and human cord blood mononuclear cells protect against cisplatin‑induced acute kidney injury in rat models

  • Authors:
    • Qian Xu
    • Ping Yan
    • Xiang-Jie Duan
    • Xi Wu
    • Xiao-Jun Chen
    • Min Luo
    • Jing-Cheng Peng
    • Li-Xin Feng
    • Jie Liu
    • Hui-Lin Zhong
    • Wei Cheng
    • Qing-Yan Zou
    • Shao-Bin Duan
  • View Affiliations / Copyright

    Affiliations: Department of Nephrology, The Second Xiangya Hospital, Central South University, Hunan Key Laboratory of Kidney Disease and Blood Purification, Changsha, Hunan 410011, P.R. China, Translational Center for Stem Cell Research, Tongji Hospital, Tongji University School of Medicine, Shanghai, 200065, P.R. China, Neuromedical Research Center, Guangdong 999 Brain Hospital, Guangzhou, Guangdong 510510, P.R. China
    Copyright: © Xu et al. This is an open access article distributed under the terms of Creative Commons Attribution License.
  • Article Number: 145
    |
    Published online on: October 5, 2020
       https://doi.org/10.3892/etm.2020.9274
  • Expand metrics +
Metrics: Total Views: 0 (Spandidos Publications: | PMC Statistics: )
Metrics: Total PDF Downloads: 0 (Spandidos Publications: | PMC Statistics: )
Cited By (CrossRef): 0 citations Loading Articles...

This article is mentioned in:



Abstract

Human umbilical cord‑derived mesenchymal stem cells (hUCMSCs) are a promising tool to attenuate cisplatin (CP)‑induced acute kidney injury (AKI). However, whether the transplantation of human cord blood mononuclear cells (hCBMNCs) exhibits similar protective effects and their potential underlying mechanisms of action remain unclear. The present study aimed to determine the protective effects of hUCMSCs and hCBMNCs transplantation therapies on an established CP‑induced rat model and explore their underlying mechanisms of action. A total of 24 Sprague‑Dawley rats, selected based on body weight, were randomly assigned into 4 groups: i) normal control; ii) model (CP); iii) hCBMNCs (CP + hCBMNCs); and iv) hUCMSCs (CP + hUCMSCs). hUCMSCs (2.0x106 cells) and hCBMNCs (2.0x106 cells) were injected into the femoral vein of rats 24 h after CP (8 mg/kg) treatment. To determine the effects of hCBMNCs and hUCMSCs on CP‑induced rats, renal function assessment and histological evaluations were performed. Expression levels of high mobility group box 1 (HMGB1) and the ratio of Bax/Bcl2 in renal tissues were detected to elucidate their underlying molecular mechanisms of action. The results demonstrated that transplantation of hUCMSCs and hCBMNCs significantly improved renal function in CP‑induced AKI rats, as evidenced by the enhancement of renal morphology; decreased concentrations of blood urea nitrogen and serum creatinine; and a lower percentage of apoptotic renal tubular cells. The expression of HMGB1 and the ratio of Bax/Bcl‑2 were significantly reduced in the hUCMSCs and hCBMNCs groups compared with CP group. In conclusion, the present study indicated that hCBMNCs exert similar protective effects to hUCMSCs on CP‑induced AKI. hUCMSCs and hCBMNCs protect against CP‑induced AKI by suppressing HMGB1 expression and preventing cell apoptosis.

Introduction

Acute kidney injury (AKI) refers to a broad spectrum of clinical conditions ranging from mild injury dysfunction to severe renal failure and can result in the permanent and complete loss of renal function (1). The pooled incidence of AKI in hospitalized patients in Eastern Asia (mainly including China, Japan and south Korea) is 15% from 2004 to 2012(2) and has been increasing over the past few decades (3). The incidence of AKI in critically ill patients worldwide ranges from 20 to 50%, with a mortality rate as high as 50% since 2004 (4,5), where continuous renal replacement therapy was used in 10-15% critically ill patients with AKI in a large multicenter study conducted in Finnish intensive care units and the Acute Kidney Injury-Epidemiologic Prospective Investigation study (6,7). Cisplatin (CP), a common cause of AKI, can induce the progression of chronic kidney disease if left untreated (8). Dose-dependent and cumulative nephrotoxicity are major side effects of this chemotherapeutic compound and patients often require a reduction in dose or discontinuation of treatment (9). A total of ~1/3 patients experience nephrotoxicity following an initial dose (50-100 mg/m2) of CP (10). The pathophysiological features of CP-induced AKI include proximal tubular injury (including apoptosis, autophagy, DNA damage and mitochondrial dysfunction), oxidative stress, inflammation and vascular injury in the kidneys (9).

Previous studies have demonstrated that inflammation and apoptotic cell death in renal tissues serve an important role in the progression of AKI (11-15). High mobility group box 1 (HMGB1) is an alarmin that is released by activated inflammatory cells, necrotic and apoptotic cells (16). HMGB1 has been shown to enhance the progression of acute injury (17,18). Previous studies have reported that AKI induced by ischemia-reperfusion (19), CP (20) or folic acid (21) contribute to the release of HMGB1 in renal tissues, resulting in the promotion of the inflammatory response. Administration of exogenous HMGB1 aggravates kidney injury whereas HMGB1 inhibition significantly attenuates tubular injury and renal dysfunction (19). Furthermore, HMGB1 expression was previously found to be increased in a sepsis AKI mouse model with 5/6 nephrectomy where serum HMGB1 levels are positively associated with the severity of sepsis (22). These studies supported the notion that HMGB1 is a mediator of inflammation in AKI that can be used as an intervention target for AKI treatment.

Activation of the mitochondria-dependent apoptotic pathway also serves an important role in CP-induced nephrotoxicity, as evidenced by the upregulation of the pro-apoptotic protein Bax in renal tubular cells in a CP-treated mouse model (23). CP-induced renal damage was found to be attenuated in Bax-knockout mice (23). In addition, Bcl-2, an anti-apoptotic protein, inhibits CP-induced Bax translocation, which suppresses apoptosis in T24R2 human bladder cancer cells (24). The protein ratio of Bax/Bcl-2 is associated with cell survival and apoptotic cell death in CP-treated proximal tubule cells (25).

Over the past decade, mesenchymal stem cells (MSCs) derived from bone marrow, umbilical cords and adipose tissues have been reported to be some of the most promising tools for treating AKI in various animal models, including CP-induced nephrotoxicity models (26-28). Compared with MSCs from other tissues, human umbilical cord-derived MSCs (hUCMSCs) can be separated from discarded umbilical cords, which are routinely harvested with no risk to donors and are rarely contaminated by infectious agents, including cytomegalovirus (29). Human cord blood mononuclear cells (hCBMNCs) are mononuclear cells (MNCs) derived from cord blood which exhibit similar advantages to hUCMSCs (30). hCBMNCs are composed of lymphocytes, hematopoietic stem cells, endothelial progenitor cells, monocytes and MSCs, which provides these cells with high regenerative and differentiation potentials (31).

While the protective effects of hUCMSCs against CP-induced AKI have been demonstrated, the role of hCBMNCs in renal diseases, particularly AKI, remain unknown. It is unclear whether hCBMNCs transplantation therapies exhibit similar protective effects and mechanisms of action. The present study aimed to investigate the protective effects of the transplantation of hUCMSCs and hCBMNCs on a CP-induced AKI rat model and elucidate the underlying molecular mechanisms of action. The results may provide experimental evidence for the future application of hUCMSCs and hCBMNCs for the treatment of patients with AKI.

Materials and methods

Sample collection

Umbilical cord and umbilical cord blood were collected from a 23-year-old woman in the Third Hospital of Guangdong Pharmaceutical University (Guangzhou, China) by Guangzhou Cedicine Biotechnology Co., Ltd. on March 12th, 2016. Umbilical cord blood was used to prepare hCBMNCs by Guangzhou Cedicine Biotechnology Co., Ltd. whilst umbilical cord was sent to Professor Jie Liu (China-US Research Center for Stem Cell, Shanghai, China) to prepare hUCMSCs. The project was carried out under the cooperation between the Second Xiangya Hospital and Guangzhou Cedicine Biotechnology Co., Ltd. Our study obtained the approval from the Medical Ethics Committee of the Second Xiangya Hospital of Central South University (Changsha, China) and written informed consent from the donor. Only one donor was recruited in our study. The present study was registered with the Chinese Clinical Trial Registry (November 1st, 2018; registration no. ChiCTR1800019254).

Preparation of hUCMSCs

Isolation and preparation of hUCMSCs were performed within 24 h, as previously described (32). Briefly, hUCMSCs were identified according to expressed antigens CD90, CD73 and CD105(33) using flow cytometry with the flow cytometer BD FACSCanto™ II (BD Biosciences). Fluorescently-labelled primary antibodies against CD90 [allophycocyanin (APC); cat. no. 17-0909-42; 5 µl/ml], CD73 [phycoerythrin (PE); cat. no. 12-0739-42; 5 µl/ml), CD105 (PE; cat. no. 12-1057-42; 5 µl/ml), CD45 (FITC; cat. no. 11-0459-42; 5 µl/ml), CD34 (eFluor® 450; cat. no. 48-0349-42; 5 µl/ml), CD133 (PE; cat. no. 12-1338-42; 5 µl/ml), provided by Thermo Fishier Scientific. Inc., were used for flow cytometry. The cells were blocked in 1% bovine serum albumin (BSA; Affinity BioReagents, Thermo Fisher Scientific, Inc.) for 30 min at room temperature in the dark, washed with PBS twice and then incubated with the primary antibodies for 30 min at room temperature at a cell density of 3x107/ml prior to analysis. The data were analyzed using BD CellQuest™ software (version 5.1; BD Biosciences). The adipogenic, osteogenic and chondrogenic differentiation potentials were determined by using a Human Mesenchymal Stem Cell Functional Identification kit (R&D Systems, Inc.) according to the manufacturer's protocol. The adhesive capacity of the hUCMSCs was observed under a fluorescence microscope (magnification, x40; Leica M205 FA; Leica Microsystems GmbH).

Preparation of hCBMNCs

Umbilical cord blood was collected in 250 ml standard blood collection bags (Baxter International, Inc.) containing citrate-phosphate-dextrose anticoagulant, as previously described (34). Briefly, samples were tested for pathogens of communicable diseases, including hepatitis B and C, human immunodeficiency virus, cytomegalovirus and Treponema pallidum within 24 h of collection. MNCs were isolated from the umbilical cord blood using Ficoll-Paque TM PLUS medium (Amersham Biosciences). Flow cytometry was used to examine the expressed antigens of hCBMNCs using a flow cytometer (BD FACSCanto™ II; BD Biosciences). Fluorescently-labelled primary antibodies against CD38 (PE-Cyanine7; cat. no. 25-0389-42; 5 µl/ml), CD5 (PE; cat. no. 12-0059-42; 5 µl/ml), CD3 (APC-eFluor® 780; cat. no. 47-0038-42; 5 µl/ml), CD34 (eFluor® 450; cat. no. 48-0349-42; 5 µl/ml), CD133 (PE; cat. no. 12-1338-42; 5 µl/ml) provided by Thermo Fishier Scientific. Inc., were used for flow cytometry. The cells were blocked in 1% bovine serum albumin (BSA; Affinity BioReagents, Thermo Fisher Scientific, Inc.) for 30 min at room temperature in the dark, washed with PBS twice and then incubated with primary antibodies for 30 min at room temperature at a cell density of 3x107/ml prior to the analysis. The data were analyzed using BD CellQuest™ software (version 5.1; BD Biosciences). hCBMNCs were then collected and washed twice with DMEM, diluted to a cell density of 3x107 MNCs/ml and cryopreserved in sterile 2 ml cryovials with 10% DMSO. Prior to cell transplantation, cell viability was evaluated using trypan blue assays before and then diluted with PBS (concentration, 2x106 MNCs/ml) (35).

Study design

Male Sprague-Dawley rats (age, ~8 weeks; weight, 250±10 g) were obtained from Laboratory Animal Center of Southern Medical University (Guangzhou, China). All rats in experiments were provided free access to water and normal rat chow and were acclimatized for 7 days at 24˚C, 60±10% humidity and 12-h light/dark cycles before each animal experiment. To determine the effects of hUCMSCs and hCBMNCs on CP-induced AKI rats, 24 rats with similar body weights after 7 days of acclimatization (310±10 g) were selected and randomly assigned into 4 groups (n=6/group) as follows: i) normal control (CN); ii) model (CP); iii) hCBMNCs (CP + hCBMNCs); and iv) hUCMSCs (CP + hUCMSCs). AKI models were established by subcutaneous injections of the nephrotoxic drug CP (Qilu Pharmaceutical Co., Ltd.) at a dose of 8 mg/kg. hUCMSCs (2.0x106 cells) and hCBMNCs (2.0x106 cells) were injected into the femoral vein of rats 24 h following CP treatment. On day 5 following CP injection, all rats were intraperitoneally injected with 2% pentobarbital sodium (45 mg/kg) for anesthesia. Following the collection of 2 ml blood from the auricula dextra, rats were sacrificed by exsanguination. All animal-related operations were conducted under the approval of the Animal Care and Use Committee of the Second Xiangya Hospital, Central South University, Changsha, China (approval no. SYXK(Xiang) 2017-0002).

Measurement of blood urea nitrogen (BUN) and creatinine

Blood samples were collected for BUN and serum creatinine (SCr) measurements on days 0, 3 and 5 following CP injection. On days 0 and 3, 1 ml blood was collected from the orbital venous plexus after inhalation anesthesia with 5% isoflurane. Blood collection was performed within 2 min. Rats were then put back to their cages to keep raising after compression hemostasis and provided free access to water and normal rat chow. On day 5, 2 ml blood was collected from the auricula dextra after anesthesia with an intraperitoneal injection of 2% pentobarbital sodium (45 mg/kg) for anesthesia, where the blood collection was done within 10 min. Rats were sacrificed by exsanguination after blood collection. Death was confirmed by the absence of heartbeat. BUN and SCr levels were determined using an automatic biochemical analyzer (Shimadzu Corporation; CL-8000) at the Chinese Academy of Sciences Guangzhou Institute of Biomedicine and Health Laboratory Animal Center.

Renal histological evaluation

Right kidneys were fixed with 10% buffered formalin for 24 h at room temperature and embedded in paraffin. Subsequently, kidney samples were cut into 3 µm thick sections and stained with hematoxylin and eosin at room temperature for 15 and 3 min, respectively. Histological changes were observed and semi-quantitative scoring was performed. A minimum of 10 fields were assessed and graded per biopsy using a light microscope (magnification, x200; BX51TF; Olympus Corporation). For tubular injury assessment, the following scale was used: i) 0, no tubular injury; ii) 1, <25% of tubules injured; iii) 2, 25-50% of tubules injured; iv) 3, 51-75% of tubules injured; and v) 4, ≥76% of tubules injured (36).

Apoptosis analysis of renal tubular epithelial cells

Renal samples were fixed in 10% buffered formalin as aforementioned. Apoptotic cells in renal tissue were quantified by terminal deoxynucleotidyl transferase dUTP nick end labeling (TUNEL) assays using an in situ cell detection kit (TdT-FragEL™ DNA fragmentation detection kit; Merck KGaA) according to the manufacturer's protocol. At room temperature, renal sections were labeled with biotin-dUTP for 60 min and combined with streptavidin-horseradish peroxidase for 10 min. They were then labeled with 3,3' diaminobenzidine (Dako; Agilent Technologies, Inc.) for 10 min, counterstained with methyl green (Vector Laboratories, Inc.; Maravai LifeSciences) for 1 min at room temperature and mounted with glycerinum (Beyotime Institute of Biotechnology). To compare the abundance of TUNEL-positive renal tubular cells among groups, 10 different fields from each group were chosen and 1x102 renal tubular epithelial cells in each group were examined by a light microscope (magnification, x200; BX51TF; Olympus Corporation). Tubular apoptosis was evaluated by counting TUNEL-positive cells. The obtained results are presented as TUNEL positive cells per 1x102 renal tubular cells.

Expression of high mobility group box 1 (HMGB1) and Bax/Bcl2 in renal tissues

Protein expression levels of HMGB1 in renal tissues were detected using Rat HMGB-1 ELISA Kit (cat. no. E-EL-R0505c; Elabscience, Inc.) and western blotting (Affinity BioReagents; Thermo Fisher Scientific, Inc.). Protein expression levels of Bax and Bcl-2 in renal tissues were examined by western blotting.

Briefly, 100 mg samples of subpolar tissues from right kidneys were treated with a mixture of ice-cold RIPA lysis buffer and PMSF (100:1; Beyotime Institute of Biotechnology) for 60 min and centrifugated at 10,000 x g for 20 min at 4˚C. Supernatants were collected and stored at -70˚C. Protein concentrations were determined using a bicinchoninic acid Protein Assay Reagent kit (Beyotime Institute of Biotechnology). Following this, protein samples (50 µg protein/lane) were loaded, separated by 12% SDS-PAGE and transferred to nitrocellulose filter membranes. Membranes were blocked by incubation with TBS-T (TBS with 0.05% Tween-20, pH 7.4) and 5% BSA (Affinity BioReagents, Thermo Fisher Scientific, Inc.) at room temperature for 1 h. Following this, membranes were incubated with HMGB1 (cat. no. PA5-27378), Bax (cat. no. PA5-39778) and Bcl-2 (cat. no. PA5-27094) primary antibodies (polyclonal; rabbit anti-rat; 1:1,000, Affinity BioReagents; Thermo Fisher Scientific, Inc.) and anti-β-actin antibodies (polyclonal; rabbit anti-rat; 1:2,000; Santa Cruz Biotechnology, Inc.) at 4˚C overnight with shaking. Membranes were rinsed with TBST 4 times and incubated with horseradish peroxidase-conjugated secondary antibodies (1:5,000; cat. no. ab98364; Abcam). Finally, protein bands were detected using ECL western blotting detection reagent (EMD Millipore) and quantified using Tanon 5200 Multi Image Analysis software 1.0 (Tanon Science & Technology Co., Ltd.).

Statistical analysis

SPSS Statistics software (version 20.0; IBM Corp.) was used for statistical analyses. Data are presented as mean ± standard deviation. Data were analyzed using one-way ANOVA and two-group comparisons among multiple samples was analyzed using Tukey's multiple comparison test. P<0.05 was considered to indicate a statistically significant difference.

Results

Phenotypic characterization and flow cytometric analysis of isolated hUCMSCs and hCBMNCs

hUCMSCs were spindle shaped and arranged in a radial pattern following passage, hCBMNCs did not adhere and exhibited a single or multiple cell aggregate suspension state (Fig. 1). Flow cytometric analysis revealed that hUCMSCs were positive for CD90, CD73 and CD105 and negative for CD45, CD34 and CD133. The percentage of CD90, CD73 and CD105 positive cells were 83.00, 82.25 and 80.11%, respectively, whilst CD45, CD34 and CD133 were only expressed in 4.08, 1.31 and 0.70% of hUCMSCs, respectively (data not shown). A clonal hUCMSCs population was chosen for following experiments and used at passage 4. hCBMNCs mainly expressed CD38, CD5 and CD3 with the positive rates being 39.32, 38.50 and 41.10%, respectively; whilst 2.11% hCBMNCs expressed CD34 and 2.31% expressed CD133 (data not shown).

Figure 1

Morphology of the human cord blood mononuclear cell and human umbilical cord-derived mesenchymal stem cells.

Changes in BUN and SCr levels

Compared with the CN group, BUN and SCr levels in the CP group were significantly raised on day 3 and 5 following CP injection (P<0.01). The levels of BUN (P<0.05, hUCMSCs vs. CP; P<0.01, hCBMNCs vs. CP group) and SCr (P<0.01) in the hUCMSCs and hCBMNCs groups were significantly decreased compared with those in the CP group on day 5. There were no significant differences in BUN and SCr levels between the hUCMSCs and hCBMNCs group (Table I).

Table I

Changes in the levels of BUN and SCr in each group.

Table I

Changes in the levels of BUN and SCr in each group.

A, BUN
 Group  
DayCNCPhCBMNCshUCMSCs
07.15±1.246.41±1.085.13±1.516.92±1.73
36.09±1.31 31.14±7.75a 19.98±7.56a,b 20.16±10.99a,b
55.28±1.83 56.97±15.55a 29.39±18.10a,c 41.02±13.27a,b
B, SCr
 Group  
DayCNCPhCBMNCshUCMSCs
020.82±3.2221.35±1.5918.95±3.9920.83±2.97
319.15±4.78 122.52±41.6a 65.52±21.18a,c 68.73±21.52a,c
519.50±8.39 206.87±57.7a 140.25±38.2a,c 148.38±30.77a,c

[i] Data are presented as the mean ± SD.

[ii] aP<0.01 vs. the CN group.

[iii] bP<0.05 vs. the CP group.

[iv] cP<0.01 vs. the CP group. BUN, blood urea nitrogen; SCr, serum creatinine; CN, normal control; CP, cisplatin model; hCBMNCs, human cord blood mononuclear cells (CP + hCBMNCs); hUCMSCs, human umbilical cord-derived mesenchymal stem cells (CP + hUCMSCs).

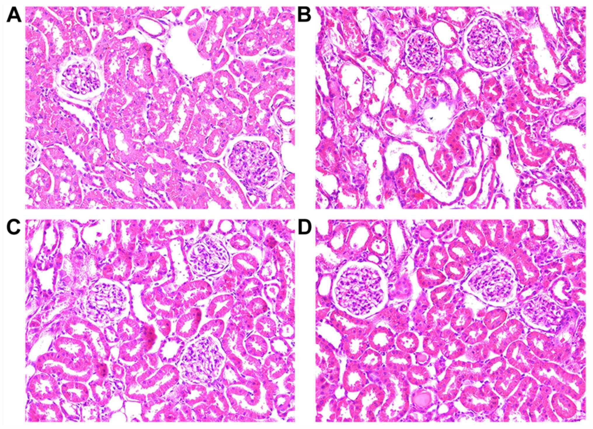
Renal histopathology

The morphology of renal tubules was normal in normal control group (Fig. 2A). No tubular dilation, cast formation or vacuolar degeneration of tubular epithelial cells were observed. However, vacuolar degeneration, tubular dilation, cast formation and loss of the tubular brush border were observed in CP-injected rats (Fig. 2B). Rats treated with hCBMNCs (Fig. 2C) or hUCMSCs (Fig. 2D) exhibited a mild loss of the tubular brush border and cast formation in focal tubular epithelial cells. Semi-quantitative analysis of the tubular injury score in renal tissues revealed that renal tubular damage was significantly aggravated in the model, hUCMSCs and hCBMNCs groups compared with that in the normal control group (P<0.01; Table II). Tubular injury score was found to be significantly attenuated in rats injected with hUCMSCs or hCBMNCs compared with the CP group (P<0.05; Table II). There were no significant difference in the severity of renal tubular damage between the hUCMSCs and hCBMNCs groups (P>0.05).

Figure 2

Representative images of renal histomorphological changes. (A) Normal control group. On day 5 following cisplatin injections, kidney tissues from the (B) model group exhibited swelling, vacuolar degeneration, necrosis of tubular epithelial cells, tubular dilation, protein-cast formation, and loss of the tubular brush border. Kidney tissues from the (C) human cord blood mononuclear cell and (D) human umbilical cord-derived mesenchymal stem cell groups presented marked attenuation of renal tubular damage, with only mild loss of the tubular brush border, swelling and vacuolar degeneration in focal tubular epithelial cells. Arrow 1 indicates the location of the loss of the tubular brush border; arrow 2 indicates the location of cast formation; arrow 3 indicates the location of tubular dilation; arrow 4 indicates the location of vacuolar degeneration. Magnification, x200.

Table II

Semi-quantitative analysis of renal tubular damage in each group.

Table II

Semi-quantitative analysis of renal tubular damage in each group.

GroupTubular injury scoreApoptosis of renal tubular epithelial cells, %
CN0.1±0.3161.3±0.949
CP 2.5±0.527a 12.5±1.08a
hCBMNCs 1.7±0.675a,b 6.1±1.524a,c
hUCMSCs 1.6±0.699a,b 6.6±0.843a,c

[i] Data are presented as mean ± SD.

[ii] aP<0.01 vs. the CN group.

[iii] bP<0.05 vs. the CP group.

[iv] cP<0.01 vs. the CP group. CN, normal control; CP, cisplatin model; hCBMNCs, human cord blood mononuclear cells (CP + hCBMNCs); hUCMSCs, human umbilical cord-derived mesenchymal stem cells (CP + hUCMSCs).

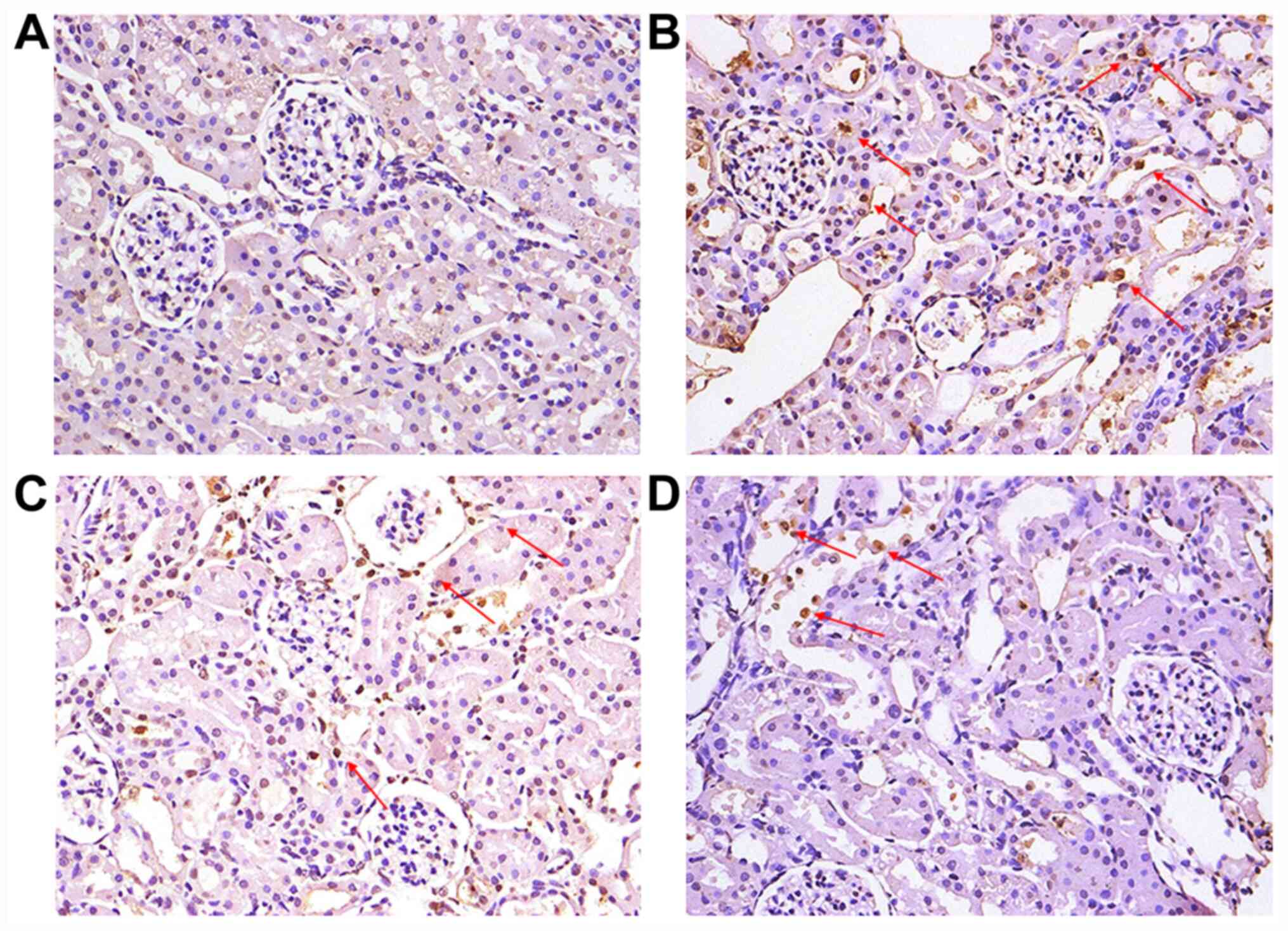
Apoptosis of renal tubular epithelial cells

TUNEL staining was performed to detect apoptosis of renal tubular epithelial cells. Cells with brownish yellow granules in the nucleus were considered to be apoptotic renal tubular epithelial cells. Apoptotic renal tubular epithelial cells were not observed in the normal control group (Fig. 3A) but could be seen in hUCMSCs or hCBMNCs group (Fig. 3C and D), and were widely distributed in the renal tubules of the model group (Fig. 3B). Semi-quantitative analysis showed that the percentage of apoptotic renal tubular cells in the hUCMSCs and hCBMNCs groups were significantly increased compared with the normal control group (P<0.01; Fig. 3 and Table II) and significantly decreased compared with model group (P<0.01).

Figure 3

Representative images of apoptotic characteristics of renal tubular epithelial cells. (A) normal control group. (B) model group. (C) human cord blood mononuclear cell group. (D) human umbilical cord-derived mesenchymal stem cell group. Arrows indicate representative apoptotic cells. Cells with brownish yellow granules in the nucleus were considered apoptotic. Magnification, x200.

Protein expression of HMGB1, Bcl-2 and Bax, in renal tissues

CP administration significantly increased the expression levels of HMGB1 in renal tissues in the CP group compared with CN group (Fig. 4; P<0.01). Furthermore, treatment with hCBMNCs and hUCMSCs significantly downregulated HMGB1 in renal tissues compared with the CP group (P<0.01). Western blotting results demonstrated that the ratio of Bax/Bcl-2 and the expression of HMGB1 were significantly higher in the CP group compared with the CN group (P<0.01; Figs. 5 and 6). Additionally, in both the hUCMSCs group or hCBMNCs group, the expression of HMGB1 and ratio of Bax/Bcl-2 were significantly lower in the hUCMSCs and hCBMNCs groups compared with the CP group (P<0.01).

Figure 4

Changes in HMGB1 concentrations in the renal tissues of each group (µg/l). HMGB1 concentrations were determined by ELISA. Data are presented as the mean ± SD (n=6/group). #P<0.01 vs. the CN group. ▲P<0.01 vs. the CP group. HMGB1, high mobility group box 1; CN, normal control; CP, cisplatin model; hCBMNCs, human cord blood mononuclear cells; hUCMSCs, human umbilical cord-derived mesenchymal stem cells.

Figure 5

Changes in Bax and Bcl-2 protein expression in the renal tissues of each group. (A) Protein levels of Bax and Bcl-2 were measured using western blotting. (B) Protein bands were quantified using Tanon 5200 Multi Image Analysis software and relative Bax/Bcl-2 band densities were measured. Data are presented as the mean ± SD (n=6/group). #P<0.01 vs. the CN group. ▲P<0.01 vs. the CP group. CN, normal control; CP, cisplatin model; hCBMNCs, human cord blood mononuclear cells; hUCMSCs, human umbilical cord-derived mesenchymal stem cells.

Figure 6

Protein expression of HMGB1 in the renal tissues of each group. (A) Protein levels of HMBG1 were measured using western blotting. (B) Protein bands were quantified using Tanon 5200 Multi Image Analysis software and relative HMGB1/β-actin band densities were measured. Data are presented as the mean ± SD (n=6/group). #P<0.01 vs. the CN group. ▲P<0.01 vs. the CP group. HMGB1, high mobility group box 1; CN, normal control; CP, cisplatin model; hCBMNCs, human cord blood mononuclear cells; hUCMSCs, human umbilical cord-derived mesenchymal stem cells.

Discussion

The results of the present study demonstrated that hUCMSCs and hCBMNCs exhibited similar protective effects in CP-induced AKI rats. These protective effects may be associated with HMGB1 downregulation and a decreased Bax/Bcl-2 ratio.

Due to the widespread use of CP and other platinum derivatives as chemotherapeutic agents to treat solid tumors, CP-induced AKI has become a common side effect and accounts for 8-60% of hospital-acquired cases of AKI (37). CP-induced AKI is characterized by renal tubular epithelial cell injury, renal dysfunction and high mortality with no effective prevention measures (9). Clinically, CP-induced nephrotoxicity is mainly prevented by hydration therapy, proper administration times and dose restriction (38). However, the occurrence of CP-induced kidney injury remains high (39). Therefore, the development of novel and effective strategies for CP-induced AKI are urgently needed.

MSCs are a group of undifferentiated pluripotent cells in higher organisms that have been widely employed in the research of human diseases (40-43). Previous studies have demonstrated that MSCs significantly improve the survival rate and renal function in CP-induced AKI animal models with normal or compromised immune systems (44,45). Another previous study has reported that early, rather than late, treatment with hUCMSCs attenuates CP-induced nephrotoxicity through immunomodulation (46). Jiao et al (28) revealed that bone marrow MSC-derived conditioned medium prevented CP-induced AKI through the activation of the Wnt/β-catenin pathway. However, few studies have compared the effects of hUCMSCs and hCBMNCs on CP-induced AKI. The present study evaluated the therapeutic potentials of hUCMSCs and hCBMNCs in CP-induced AKI in rat models. The results demonstrated that hUCMSCs and hCBMNCs significantly improved renal function, as evidenced by improved renal morphology; decreased concentrations of BUN and SCr; and a reduced percentage of apoptotic renal tubular cells. This indicated that hUCMSCs and hCBMNCs had protective effects on CP-induced AKI rats. Following this, the possible mechanisms underlying the renoprotective effects of hUCMSCs and hCBMNCs on CP-induced AKI were further investigated in the present study.

The present study demonstrated that renal HMGB1 protein expression was significantly upregulated in rats with CP-induced renal toxicity. However, in rats administrated with hUCMSCs or hCBMNCs, HMGB1 expression levels decreased significantly compared with the CP group, indicating that hUCMSCs or hCBMNCs may protect against CP-induced AKI in rat models by suppressing the release of HMGB1. CP also significantly increased the number of TUNEL-positive cells and the Bax/Bcl-2 ratio. Additionally, the results demonstrated that the number of TUNEL-positive cells and the ratio of Bax/Bcl-2 decreased in rats treated with hUCMSCs or hCBMNCs. These results suggested alleviated kidney tissue injury and improved renal function. The present study confirmed the role of Bax/Bcl-2 in CP-induced AKI demonstrated in previous studies (24,25,47), where the level of Bax was shown to be upregulated during CP treatment accompanied with the release of mitochondrial cytochrome c and cell apoptosis. This indicates the involvement of the intrinsic pathway of apoptosis in CP-induced nephrotoxicity (25,47), Bcl-2 downregulation by RNA interference potentiates the redistribution of Bax and cytochrome c and promotes apoptosis (24). The present study further indicated that hUCMSCs and hCBMNCs attenuated CP-induced nephrotoxicity by inhibiting apoptosis in renal tubular cells and reducing the Bax/Bcl-2 ratio.

However, it is unknown whether this protective effect is due to the local action or a systemic effect of the MSCs. It has been reported that stem cells exert therapeutic effects via two distinct mechanisms: i) differentiation into target tissue cells; and ii) secretion of regulatory factors (48). Previous studies have demonstrated that stem cell-mediated protection is a result of their ability to engraft into a damaged kidney (44,49) and PKH-26-labeled hUCMSCs have been detected in CP-injured kidneys (46). By contrast, other studies have reported that the beneficial effect of stem cells is mediated through paracrine activities, in which MSCs produce various cytokines and growth factors, including VEGF (50,51). Furthermore, the administration of secreted microvesicles from stem cells loaded with mRNA and microRNA alleviates renal tubular injury and improves renal function in models of AKI (52,53). Due to the inconsistencies in the reported mechanisms of action behind the renoprotective effects of stem cells by previous studies, it is crucial to further investigate whether the renoprotective effect of stem cells are associated with local or systemic effects, or a combination of both.

The present study had certain limitations. Firstly, there was a lack of in vitro and clinical experiments to support the animal experiments. Secondly, the distribution of stem cells in the renal tissues of AKI models were not observed. Thirdly, the possible role of HMGB1 in the renoprotective mechanisms of action of hUCMSCs and hCBMNCs requires further verification by gene silencing or knockout experiments. Therefore, future work should focus on elucidating the renoprotective mechanisms of action of hUCMSCs and hCBMNCs, as well as the functional role of HMGB1 and relevant signaling pathways, which could confirm the results of the current study.

In conclusion, the present study demonstrated that hUCMSCs and hCBMNCs exert similar renoprotective effects on CP-induced AKI rat models. The renoprotective mechanisms of action may be associated with HMGB1 downregulation, anti-apoptosis in renal tubular cells and a decrease in the Bax/Bcl-2 ratio. Transplantation of hUCMSCs and hCBMNCs may be a potential novel therapy for patients with AKI.

Acknowledgements

Not applicable.

Funding

The present study was supported by the Clinical Medical Technology Innovation Guide Project of Hunan Province (grant no. 2017SK50117), the National Natural Science Foundation of China (grant no. 81570618), the Development and Reform Commission of Hunan Province (grant no. 2014-658) and the Scientific Foundation of Hunan Province (grant no. S2013F1022).

Availability of data and materials

The datasets used and/or analyzed during the current study are available from the corresponding author on reasonable request.

Authors' contributions

SBD designed the present study and revised the manuscript critically for important intellectual content. QX, PY and XJD acquired, analyzed and interpreted the data, and drafted the manuscript. XW, XJC, ML, JCP, LXF and WC analyzed and interpreted the data, and revised the manuscript critically for important intellectual content. JL provided the hUCMSCs, analyzed and interpreted the data, and revised the manuscript critically for important intellectual content. HLZ and QYZ provided the hCBMNCs, analyzed and interpreted the data, and revised the manuscript critically for important intellectual content. All authors read and approved the final manuscript, and agreed to be accountable for all aspects of the work.

Ethics approval and consent to participate

All animal experimental procedures and protocols were approved by the Animal Care and Use Committee of the Second Xiangya Hospital, Central South University, Changsha, China. Human umbilical cords were collected after obtaining written informed consent from the donors with institutional review board approval.

Patient consent for publication

Not applicable.

Competing interests

The authors declare that they have no competing interests.

References

1 

Hoste EAJ, Kellum JA, Selby NM, Zarbock A, Palevsky PM, Bagshaw SM, Goldstein SL, Cerdá J and Chawla LS: Global epidemiology and outcomes of acute kidney injury. Nat Rev Nephrol. 14:607–625. 2018.PubMed/NCBI View Article : Google Scholar

2 

Susantitaphong P, Cruz DN, Cerda J, Abulfaraj M, Alqahtani F, Koulouridis I and Jaber BL: Acute Kidney Injury Advisory Group of the American Society of Nephrology: World incidence of AKI: A meta-analysis. Clin J Am Soc Nephrol. 8:1482–1493. 2013.PubMed/NCBI View Article : Google Scholar

3 

Negi S, Koreeda D, Kobayashi S, Yano T, Tatsuta K, Mima T, Shigematsu T and Ohya M: Acute kidney injury: Epidemiology, outcomes, complications, and therapeutic strategies. Semin Dial. 31:519–527. 2018.PubMed/NCBI View Article : Google Scholar

4 

Schiffl H, Lang SM and Fischer R: Long-term outcomes of survivors of ICU acute kidney injury requiring renal replacement therapy: A 10-year prospective cohort study. Clin Kidney J. 5:297–302. 2012.PubMed/NCBI View Article : Google Scholar

5 

Case J, Khan S, Khalid R and Khan A: Epidemiology of acute kidney injury in the intensive care unit. Crit Care Res Pract. 2013(479730)2013.PubMed/NCBI View Article : Google Scholar

6 

Nisula S, Kaukonen KM, Vaara ST, Korhonen AM, Poukkanen M, Karlsson S, Haapio M, Inkinen O, Parviainen I, Suojaranta-Ylinen R, et al: Incidence, risk factors and 90-day mortality of patients with acute kidney injury in finnish intensive care units: The FINNAKI study. Intensive Care Med. 39:420–428. 2013.PubMed/NCBI View Article : Google Scholar

7 

Hoste EA, Bagshaw SM, Bellomo R, Cely CM, Colman R, Cruz DN, Edipidis K, Forni LG, Gomersall CD, Govil D, et al: Epidemiology of acute kidney injury in critically ill patients: The multinational AKI-EPI study. Intensive Care Med. 41:1411–1423. 2015.PubMed/NCBI View Article : Google Scholar

8 

Uchino S, Kellum JA, Bellomo R, Doig GS, Morimatsu H, Morgera S, Schetz M, Tan I, Bouman C, Macedo E, et al: Acute renal failure in critically ill patients: A multinational, multicenter study. JAMA. 294:813–818. 2005.PubMed/NCBI View Article : Google Scholar

9 

Ozkok A and Edelstein CL: Pathophysiology of cisplatin-induced acute kidney injury. Biomed Res Int. 2014(967826)2014.PubMed/NCBI View Article : Google Scholar

10 

Shiraishi F, Curtis LM, Truong L, Poss K, Visner GA, Madsen K, Nick HS and Agarwal A: Heme oxygenase-1 gene ablation or expression modulates cisplatin-induced renal tubular apoptosis. Am J Physiol Renal Physiol. 278:F726–F736. 2000.PubMed/NCBI View Article : Google Scholar

11 

Zhang B, Ramesh G, Uematsu S, Akira S and Reeves WB: TLR4 signaling mediates inflammation and tissue injury in nephrotoxicity. J Am Soc Nephrol. 19:923–932. 2008.PubMed/NCBI View Article : Google Scholar

12 

Faubel S, Lewis EC, Reznikov L, Ljubanovic D, Hoke TS, Somerset H, Oh DJ, Lu L, Klein CL, Dinarello CA and Edelstein CL: Cisplatin-induced acute renal failure is associated with an increase in the cytokines interleukin (IL)-1beta, IL-18, IL-6, and neutrophil infiltration in the kidney. J Pharmacol Exp Ther. 322:8–15. 2007.PubMed/NCBI View Article : Google Scholar

13 

Deng J, Kohda Y, Chiao H, Wang Y, Hu X, Hewitt SM, Miyaji T, McLeroy P, Nibhanupudy B, Li S and Star RA: Interleukin-10 inhibits ischemic and cisplatin-induced acute renal injury. Kidney Int. 60:2118–2128. 2001.PubMed/NCBI View Article : Google Scholar

14 

Ni J, Hou X, Wang X, Shi Y, Xu L, Zheng X, Liu N, Qiu A and Zhuang S: 3-deazaneplanocin A protects against cisplatin-induced renal tubular cell apoptosis and acute kidney injury by restoration of E-cadherin expression. Cell Death Dis. 10(355)2019.PubMed/NCBI View Article : Google Scholar

15 

Lu QB, Du Q, Wang HP, Tang ZH, Wang YB and Sun HJ: Salusin-β mediates tubular cell apoptosis in acute kidney injury: Involvement of the PKC/ROS signaling pathway. Redox Biol. 30(101411)2020.PubMed/NCBI View Article : Google Scholar

16 

Scaffidi P, Misteli T and Bianchi ME: Release of chromatin protein HMGB1 by necrotic cells triggers inflammation. Nature. 418:191–195. 2002.PubMed/NCBI View Article : Google Scholar

17 

Wu H, Ma J, Wang P, Corpuz TM, Panchapakesan U, Wyburn KR and Chadban SJ: HMGB1 contributes to kidney ischemia reperfusion injury. J Am Soc Nephrol. 21:1878–1890. 2010.PubMed/NCBI View Article : Google Scholar

18 

Doi K, Ishizu T, Tsukamoto-Sumida M, Hiruma T, Yamashita T, Ogasawara E, Hamasaki Y, Yahagi N, Nangaku M and Noiri E: The high-mobility group protein B1-Toll-like receptor 4 pathway contributes to the acute lung injury induced by bilateral nephrectomy. Kidney Int. 86:316–326. 2014.PubMed/NCBI View Article : Google Scholar

19 

Ruan Y, Wang L, Zhao Y, Yao Y, Chen S, Li J, Guo H, Ming C, Chen S, Gong F and Chen G: Carbon monoxide potently prevents ischemia-induced high-mobility group box 1 translocation and release and protects against lethal renal ischemia-reperfusion injury. Kidney Int. 86:525–537. 2014.PubMed/NCBI View Article : Google Scholar

20 

Kim J: Poly(ADP-ribose) polymerase activation induces high mobility group box 1 release from proximal tubular cells during cisplatin nephrotoxicity. Physiol Res. 65:333–340. 2016.PubMed/NCBI View Article : Google Scholar

21 

Zhu F, Chong Lee Shin OL, Xu H, Zhao Z, Pei G, Hu Z, Yang J, Guo Y, Mou J, Sun J, et al: Melatonin promoted renal regeneration in folic acid-induced acute kidney injury via inhibiting nucleocytoplasmic translocation of HMGB1 in tubular epithelial cells. Am J Transl Res. 9:1694–1707. 2017.PubMed/NCBI

22 

Leelahavanichkul A, Huang Y, Hu X, Zhou H, Tsuji T, Chen R, Kopp JB, Schnermann J, Yuen PST and Star RA: Chronic kidney disease worsens sepsis and sepsis-induced acute kidney injury by releasing high mobility group box protein-1. Kidney Int. 80:1198–1211. 2011.PubMed/NCBI View Article : Google Scholar

23 

Wei Q, Dong G, Franklin J and Dong Z: The pathological role of Bax in cisplatin nephrotoxicity. Kidney Int. 72:53–62. 2007.PubMed/NCBI View Article : Google Scholar

24 

Cho HJ, Kim JK, Kim KD, Yoon HK, Cho MY, Park YP, Jeon JH, Lee ES, Byun SS, Lim HM, et al: Upregulation of Bcl-2 is associated with cisplatin-resistance via inhibition of Bax translocation in human bladder cancer cells. Cancer Lett. 237:56–66. 2006.PubMed/NCBI View Article : Google Scholar

25 

Nagothu KK, Bhatt R, Kaushal GP and Portilla D: Fibrate prevents cisplatin-induced proximal tubule cell death. Kidney Int. 68:2680–2693. 2005.PubMed/NCBI View Article : Google Scholar

26 

Morigi M, Rota C, Montemurro T, Montelatici E, Cicero VL, Imberti B, Abbate M, Zoja C, Cassis P, Longaretti L, et al: Life-sparing effect of human cord blood-mesenchymal stem cells in experimental acute kidney injury. Stem Cells. 28:513–522. 2010.PubMed/NCBI View Article : Google Scholar

27 

Peired AJ, Sisti A and Romagnani P: Mesenchymal stem cell-based therapy for kidney disease: A review of clinical evidence. Stem Cells Int. 2016(4798639)2016.PubMed/NCBI View Article : Google Scholar

28 

Jiao X, Cai J, Yu X and Ding X: Paracrine activation of the wnt/β-catenin pathway by bone marrow stem cell attenuates cisplatin-induced kidney injury. Cell Physiol Biochem. 44:1980–1994. 2017.PubMed/NCBI View Article : Google Scholar

29 

Fang TC and Poulsom R: Cell-based therapies for birth defects: A role for adult stem cell plasticity? Birth Defects Res C Embryo Today. 69:238–249. 2003.PubMed/NCBI View Article : Google Scholar

30 

El-Ashmawy NE, Khedr EG, El-Bahrawy HA and El-Berashy SA: Effect of human umbilical cord blood-derived mononuclear cells on diabetic nephropathy in rats. Biomed Pharmacother. 97:1040–1045. 2018.PubMed/NCBI View Article : Google Scholar

31 

Pimentel-Coelho PM, Rosado-de-Castro PH, da Fonseca LM and Mendez-Otero R: Umbilical cord blood mononuclear cell transplantation for neonatal hypoxic-ischemic encephalopathy. Pediatr Res. 71:464–473. 2012.PubMed/NCBI View Article : Google Scholar

32 

Cui X, Chen L, Xue T, Yu J, Liu J, Ji Y and Cheng L: Human umbilical cord and dental pulp-derived mesenchymal stem cells: Biological characteristics and potential roles in vitro and in vivo. Mol Med Rep. 11:3269–3278. 2015.PubMed/NCBI View Article : Google Scholar

33 

Pittenger MF, Mackay AM, Beck SC, Jaiswal RK, Douglas R, Mosca JD, Moorman MA, Simonetti DW, Craig S and Marshak DR: Multilineage potential of adult human mesenchymal stem cells. Science. 284:143–147. 1999.PubMed/NCBI View Article : Google Scholar

34 

Rubinstein P, Dobrila L, Rosenfield RE, Adamson JW, Migliaccio G, Migliaccio AR, Taylor PE and Stevens CE: Processing and cryopreservation of placental/umbilical cord blood for unrelated bone marrow reconstitution. Proc Natl Acad Sci USA. 92:10119–10122. 1995.PubMed/NCBI View Article : Google Scholar

35 

Seo Y, Yang SR, Jee MK, Joo EK, Roh KH, Seo MS, Han TH, Lee SY, Ryu PD, Jung JW, et al: Human umbilical cord blood-derived mesenchymal stem cells protect against neuronal cell death and ameliorate motor deficits in Niemann Pick type C1 mice. Cell Transplant. 20:1033–1047. 2011.PubMed/NCBI View Article : Google Scholar

36 

Duan SB, Liu GL, Chen GC, Wang P, Pan P and Xu XQ: Aged rats are susceptible to nephrotoxicity induced by iodinated contrast media. Ren Fail. 35:150–154. 2013.PubMed/NCBI View Article : Google Scholar

37 

Schetza M, Dastab J, Goldsteinc S and Golperd T: Drug-induced acute kidney injury. Curr Opin Crit Care. 11:555–565. 2005.PubMed/NCBI View Article : Google Scholar

38 

Launay-Vacher V, Rey JB, Isnard-Bagnis C, Deray G and Daouphars M: European Society of Clinical Pharmacy Special Interest Group on Cancer Care: Prevention of cisplatin nephrotoxicity: State of the art and recommendations from the european society of clinical pharmacy special interest group on cancer care. Cancer Chemother Pharmacol. 61:903–909. 2008.PubMed/NCBI View Article : Google Scholar

39 

Perazella MA and Moeckel GW: Nephrotoxicity from chemotherapeutic agents: Clinical manifestations, pathobiology, and prevention/therapy. Semin Nephrol. 30:570–581. 2010.PubMed/NCBI View Article : Google Scholar

40 

Freitag J, Bates D, Boyd R, Shah K, Barnard A, Huguenin L and Tenen A: Mesenchymal stem cell therapy in the treatment of osteoarthritis: Reparative pathways, safety and efficacy-a review. BMC Musculoskelet Disord. 17(230)2016.PubMed/NCBI View Article : Google Scholar

41 

Eom YW, Shim KY and Baik SK: Mesenchymal stem cell therapy for liver fibrosis. Korean J Intern Med. 30:580–589. 2015.PubMed/NCBI View Article : Google Scholar

42 

Bagno L, Hatzistergos KE, Balkan W and Hare JM: Mesenchymal stem cell-based therapy for cardiovascular disease: Progress and challenges. Mol Ther. 26:1610–1623. 2018.PubMed/NCBI View Article : Google Scholar

43 

Mendt M, Rezvani K and Shpall E: Mesenchymal stem cell-derived exosomes for clinical use. Bone Marrow Transplant. 54 (Suppl 2):S789–S792. 2019.PubMed/NCBI View Article : Google Scholar

44 

Morigi M, Imberti B, Zoja C, Corna D, Tomasoni S, Abbate M, Rottoli D, Angioletti S, Benigni A, Perico N, et al: Mesenchymal stem cells are renotropic, helping to repair the kidney and improve function in acute renal failure. J Am Soc Nephrol. 15:1794–1804. 2004.PubMed/NCBI View Article : Google Scholar

45 

Eliopoulos N, Zhao J, Forner K, Birman E, Young YK and Bouchentouf M: Erythropoietin gene-enhanced marrow mesenchymal stromal cells decrease cisplatin-induced kidney injury and improve survival of allogeneic mice. Mol Ther. 19:2072–2083. 2011.PubMed/NCBI View Article : Google Scholar

46 

Park JH, Jang HR, Kim DH, Kwon GY, Lee JE, Huh W, Choi SJ, Oh W, Oh HY and Kim YG: Early, but not late, treatment with human umbilical cord blood-derived mesenchymal stem cells attenuates cisplatin nephrotoxicity through immunomodulation. Am J Physiol Renal Physiol. 313:F984–F996. 2017.PubMed/NCBI View Article : Google Scholar

47 

Lee RH, Song JM, Park MY, Kang SK, Kim YK and Jung JS: Cisplatin-induced apoptosis by translocation of endogenous Bax in mouse collecting duct cells. Biochem Pharmacol. 62:1013–1023. 2001.PubMed/NCBI View Article : Google Scholar

48 

Phinney DG and Prockop DJ: Concise review: Mesenchymal stem/multipotent stromal cells: The state of transdifferentiation and modes of tissue repair-current views. Stem Cells. 25:2896–2902. 2007.PubMed/NCBI View Article : Google Scholar

49 

Herrera MB, Bussolati B, Bruno S, Fonsato V, Romanazzi GM and Camussi G: Mesenchymal stem cells contribute to the renal repair of acute tubular epithelial injury. Int J Mol Med. 14:1035–1041. 2004.PubMed/NCBI

50 

Tögel F, Weiss K, Yang Y, Hu ZM, Zhang P and Westenfelder C: Vasculotropic, paracrine actions of infused mesenchymal stem cells are important to the recovery from acute kidney injury. Am J Physiol Renal Physiol. 292:F1626–F1635. 2007.PubMed/NCBI View Article : Google Scholar

51 

Tögel F, Zhang P, Hu ZM and Westenfelder C: VEGF is a mediator of the renoprotective effects of multipotent marrow stromal cells in acute kidney injury. J Cell Mol Med. 13:2109–2114. 2009.PubMed/NCBI View Article : Google Scholar

52 

Zhou Y, Xu H, Xu W, Wang B, Wu H, Tao Y, Zhang B, Wang M, Mao F, Yan Y, et al: Exosomes released by human umbilical cord mesenchymal stem cells protect against cisplatin-induced renal oxidative stress and apoptosis in vivo and in vitro. Stem Cell Res Ther. 4(34)2013.PubMed/NCBI View Article : Google Scholar

53 

Zhang G, Zou X, Huang Y, Wang F, Miao S, Liu G, Chen M and Zhu Y: Mesenchymal stromal cell-derived extracellular vesicles protect against acute kidney injury through anti-oxidation by enhancing Nrf2/ARE activation in rats. Kidney Blood Press Res. 41:119–128. 2016.PubMed/NCBI View Article : Google Scholar

Related Articles

  • Abstract
  • View
  • Download
  • Twitter
Copy and paste a formatted citation
Spandidos Publications style
Xu Q, Yan P, Duan X, Wu X, Chen X, Luo M, Peng J, Feng L, Liu J, Zhong H, Zhong H, et al: Human umbilical cord‑derived mesenchymal stem cells and human cord blood mononuclear cells protect against cisplatin‑induced acute kidney injury in rat models. Exp Ther Med 20: 145, 2020.
APA
Xu, Q., Yan, P., Duan, X., Wu, X., Chen, X., Luo, M. ... Duan, S. (2020). Human umbilical cord‑derived mesenchymal stem cells and human cord blood mononuclear cells protect against cisplatin‑induced acute kidney injury in rat models. Experimental and Therapeutic Medicine, 20, 145. https://doi.org/10.3892/etm.2020.9274
MLA
Xu, Q., Yan, P., Duan, X., Wu, X., Chen, X., Luo, M., Peng, J., Feng, L., Liu, J., Zhong, H., Cheng, W., Zou, Q., Duan, S."Human umbilical cord‑derived mesenchymal stem cells and human cord blood mononuclear cells protect against cisplatin‑induced acute kidney injury in rat models". Experimental and Therapeutic Medicine 20.6 (2020): 145.
Chicago
Xu, Q., Yan, P., Duan, X., Wu, X., Chen, X., Luo, M., Peng, J., Feng, L., Liu, J., Zhong, H., Cheng, W., Zou, Q., Duan, S."Human umbilical cord‑derived mesenchymal stem cells and human cord blood mononuclear cells protect against cisplatin‑induced acute kidney injury in rat models". Experimental and Therapeutic Medicine 20, no. 6 (2020): 145. https://doi.org/10.3892/etm.2020.9274
Copy and paste a formatted citation
x
Spandidos Publications style
Xu Q, Yan P, Duan X, Wu X, Chen X, Luo M, Peng J, Feng L, Liu J, Zhong H, Zhong H, et al: Human umbilical cord‑derived mesenchymal stem cells and human cord blood mononuclear cells protect against cisplatin‑induced acute kidney injury in rat models. Exp Ther Med 20: 145, 2020.
APA
Xu, Q., Yan, P., Duan, X., Wu, X., Chen, X., Luo, M. ... Duan, S. (2020). Human umbilical cord‑derived mesenchymal stem cells and human cord blood mononuclear cells protect against cisplatin‑induced acute kidney injury in rat models. Experimental and Therapeutic Medicine, 20, 145. https://doi.org/10.3892/etm.2020.9274
MLA
Xu, Q., Yan, P., Duan, X., Wu, X., Chen, X., Luo, M., Peng, J., Feng, L., Liu, J., Zhong, H., Cheng, W., Zou, Q., Duan, S."Human umbilical cord‑derived mesenchymal stem cells and human cord blood mononuclear cells protect against cisplatin‑induced acute kidney injury in rat models". Experimental and Therapeutic Medicine 20.6 (2020): 145.
Chicago
Xu, Q., Yan, P., Duan, X., Wu, X., Chen, X., Luo, M., Peng, J., Feng, L., Liu, J., Zhong, H., Cheng, W., Zou, Q., Duan, S."Human umbilical cord‑derived mesenchymal stem cells and human cord blood mononuclear cells protect against cisplatin‑induced acute kidney injury in rat models". Experimental and Therapeutic Medicine 20, no. 6 (2020): 145. https://doi.org/10.3892/etm.2020.9274
Follow us
  • Twitter
  • LinkedIn
  • Facebook
About
  • Spandidos Publications
  • Careers
  • Cookie Policy
  • Privacy Policy
How can we help?
  • Help
  • Live Chat
  • Contact
  • Email to our Support Team