Spandidos Publications Logo
  • About
    • About Spandidos
    • Aims and Scopes
    • Abstracting and Indexing
    • Editorial Policies
    • Reprints and Permissions
    • Job Opportunities
    • Terms and Conditions
    • Contact
  • Journals
    • All Journals
    • Oncology Letters
      • Oncology Letters
      • Information for Authors
      • Editorial Policies
      • Editorial Board
      • Aims and Scope
      • Abstracting and Indexing
      • Bibliographic Information
      • Archive
    • International Journal of Oncology
      • International Journal of Oncology
      • Information for Authors
      • Editorial Policies
      • Editorial Board
      • Aims and Scope
      • Abstracting and Indexing
      • Bibliographic Information
      • Archive
    • Molecular and Clinical Oncology
      • Molecular and Clinical Oncology
      • Information for Authors
      • Editorial Policies
      • Editorial Board
      • Aims and Scope
      • Abstracting and Indexing
      • Bibliographic Information
      • Archive
    • Experimental and Therapeutic Medicine
      • Experimental and Therapeutic Medicine
      • Information for Authors
      • Editorial Policies
      • Editorial Board
      • Aims and Scope
      • Abstracting and Indexing
      • Bibliographic Information
      • Archive
    • International Journal of Molecular Medicine
      • International Journal of Molecular Medicine
      • Information for Authors
      • Editorial Policies
      • Editorial Board
      • Aims and Scope
      • Abstracting and Indexing
      • Bibliographic Information
      • Archive
    • Biomedical Reports
      • Biomedical Reports
      • Information for Authors
      • Editorial Policies
      • Editorial Board
      • Aims and Scope
      • Abstracting and Indexing
      • Bibliographic Information
      • Archive
    • Oncology Reports
      • Oncology Reports
      • Information for Authors
      • Editorial Policies
      • Editorial Board
      • Aims and Scope
      • Abstracting and Indexing
      • Bibliographic Information
      • Archive
    • Molecular Medicine Reports
      • Molecular Medicine Reports
      • Information for Authors
      • Editorial Policies
      • Editorial Board
      • Aims and Scope
      • Abstracting and Indexing
      • Bibliographic Information
      • Archive
    • World Academy of Sciences Journal
      • World Academy of Sciences Journal
      • Information for Authors
      • Editorial Policies
      • Editorial Board
      • Aims and Scope
      • Abstracting and Indexing
      • Bibliographic Information
      • Archive
    • International Journal of Functional Nutrition
      • International Journal of Functional Nutrition
      • Information for Authors
      • Editorial Policies
      • Editorial Board
      • Aims and Scope
      • Abstracting and Indexing
      • Bibliographic Information
      • Archive
    • International Journal of Epigenetics
      • International Journal of Epigenetics
      • Information for Authors
      • Editorial Policies
      • Editorial Board
      • Aims and Scope
      • Abstracting and Indexing
      • Bibliographic Information
      • Archive
    • Medicine International
      • Medicine International
      • Information for Authors
      • Editorial Policies
      • Editorial Board
      • Aims and Scope
      • Abstracting and Indexing
      • Bibliographic Information
      • Archive
  • Articles
  • Information
    • Information for Authors
    • Information for Reviewers
    • Information for Librarians
    • Information for Advertisers
    • Conferences
  • Language Editing
Spandidos Publications Logo
  • About
    • About Spandidos
    • Aims and Scopes
    • Abstracting and Indexing
    • Editorial Policies
    • Reprints and Permissions
    • Job Opportunities
    • Terms and Conditions
    • Contact
  • Journals
    • All Journals
    • Biomedical Reports
      • Information for Authors
      • Editorial Policies
      • Editorial Board
      • Aims and Scope
      • Abstracting and Indexing
      • Bibliographic Information
      • Archive
    • Experimental and Therapeutic Medicine
      • Information for Authors
      • Editorial Policies
      • Editorial Board
      • Aims and Scope
      • Abstracting and Indexing
      • Bibliographic Information
      • Archive
    • International Journal of Epigenetics
      • Information for Authors
      • Editorial Policies
      • Editorial Board
      • Aims and Scope
      • Abstracting and Indexing
      • Bibliographic Information
      • Archive
    • International Journal of Functional Nutrition
      • Information for Authors
      • Editorial Policies
      • Editorial Board
      • Aims and Scope
      • Abstracting and Indexing
      • Bibliographic Information
      • Archive
    • International Journal of Molecular Medicine
      • Information for Authors
      • Editorial Policies
      • Editorial Board
      • Aims and Scope
      • Abstracting and Indexing
      • Bibliographic Information
      • Archive
    • International Journal of Oncology
      • Information for Authors
      • Editorial Policies
      • Editorial Board
      • Aims and Scope
      • Abstracting and Indexing
      • Bibliographic Information
      • Archive
    • Medicine International
      • Information for Authors
      • Editorial Policies
      • Editorial Board
      • Aims and Scope
      • Abstracting and Indexing
      • Bibliographic Information
      • Archive
    • Molecular and Clinical Oncology
      • Information for Authors
      • Editorial Policies
      • Editorial Board
      • Aims and Scope
      • Abstracting and Indexing
      • Bibliographic Information
      • Archive
    • Molecular Medicine Reports
      • Information for Authors
      • Editorial Policies
      • Editorial Board
      • Aims and Scope
      • Abstracting and Indexing
      • Bibliographic Information
      • Archive
    • Oncology Letters
      • Information for Authors
      • Editorial Policies
      • Editorial Board
      • Aims and Scope
      • Abstracting and Indexing
      • Bibliographic Information
      • Archive
    • Oncology Reports
      • Information for Authors
      • Editorial Policies
      • Editorial Board
      • Aims and Scope
      • Abstracting and Indexing
      • Bibliographic Information
      • Archive
    • World Academy of Sciences Journal
      • Information for Authors
      • Editorial Policies
      • Editorial Board
      • Aims and Scope
      • Abstracting and Indexing
      • Bibliographic Information
      • Archive
  • Articles
  • Information
    • For Authors
    • For Reviewers
    • For Librarians
    • For Advertisers
    • Conferences
  • Language Editing
Login Register Submit
  • This site uses cookies
  • You can change your cookie settings at any time by following the instructions in our Cookie Policy. To find out more, you may read our Privacy Policy.

    I agree
Search articles by DOI, keyword, author or affiliation
Search
Advanced Search
presentation
Experimental and Therapeutic Medicine
Join Editorial Board Propose a Special Issue
Print ISSN: 1792-0981 Online ISSN: 1792-1015
Journal Cover
March-2021 Volume 21 Issue 3

Full Size Image

Sign up for eToc alerts
Recommend to Library

Journals

International Journal of Molecular Medicine

International Journal of Molecular Medicine

International Journal of Molecular Medicine is an international journal devoted to molecular mechanisms of human disease.

International Journal of Oncology

International Journal of Oncology

International Journal of Oncology is an international journal devoted to oncology research and cancer treatment.

Molecular Medicine Reports

Molecular Medicine Reports

Covers molecular medicine topics such as pharmacology, pathology, genetics, neuroscience, infectious diseases, molecular cardiology, and molecular surgery.

Oncology Reports

Oncology Reports

Oncology Reports is an international journal devoted to fundamental and applied research in Oncology.

Experimental and Therapeutic Medicine

Experimental and Therapeutic Medicine

Experimental and Therapeutic Medicine is an international journal devoted to laboratory and clinical medicine.

Oncology Letters

Oncology Letters

Oncology Letters is an international journal devoted to Experimental and Clinical Oncology.

Biomedical Reports

Biomedical Reports

Explores a wide range of biological and medical fields, including pharmacology, genetics, microbiology, neuroscience, and molecular cardiology.

Molecular and Clinical Oncology

Molecular and Clinical Oncology

International journal addressing all aspects of oncology research, from tumorigenesis and oncogenes to chemotherapy and metastasis.

World Academy of Sciences Journal

World Academy of Sciences Journal

Multidisciplinary open-access journal spanning biochemistry, genetics, neuroscience, environmental health, and synthetic biology.

International Journal of Functional Nutrition

International Journal of Functional Nutrition

Open-access journal combining biochemistry, pharmacology, immunology, and genetics to advance health through functional nutrition.

International Journal of Epigenetics

International Journal of Epigenetics

Publishes open-access research on using epigenetics to advance understanding and treatment of human disease.

Medicine International

Medicine International

An International Open Access Journal Devoted to General Medicine.

Journal Cover
March-2021 Volume 21 Issue 3

Full Size Image

Sign up for eToc alerts
Recommend to Library

  • Article
  • Citations
    • Cite This Article
    • Download Citation
    • Create Citation Alert
    • Remove Citation Alert
    • Cited By
  • Similar Articles
    • Related Articles (in Spandidos Publications)
    • Similar Articles (Google Scholar)
    • Similar Articles (PubMed)
  • Download PDF
  • Download XML
  • View XML
Case Report

Somatically acquired mutations in primary myelofibrosis: A case report and meta‑analysis

  • Authors:
    • Yongming Xia
    • Qingxiao Hong
    • Zhibin Gao
    • Shijun Wang
    • Shiwei Duan
  • View Affiliations / Copyright

    Affiliations: Department of Hematology, Yuyao People's Hospital, Yuyao, Zhejiang 315400, P.R. China, Medical Genetics Center, School of Medicine at Ningbo University, Ningbo, Zhejiang 315211, P.R. China
  • Article Number: 193
    |
    Published online on: January 7, 2021
       https://doi.org/10.3892/etm.2021.9625
  • Expand metrics +
Metrics: Total Views: 0 (Spandidos Publications: | PMC Statistics: )
Metrics: Total PDF Downloads: 0 (Spandidos Publications: | PMC Statistics: )
Cited By (CrossRef): 0 citations Loading Articles...

This article is mentioned in:



Abstract

Familial myeloproliferative disease (MPD) cases account for 7.6% of the global MPD cases. The present study reported 2 cases of primary myelofibrosis (PMF). The patients were two sisters; the older sister succumbed to the disease at the age of 37, whereas the younger sister maintained a stable disease status and gave birth to a son through in vitro fertilization. Genetic analysis of bone marrow DNA samples showed that both sisters carried a Janus kinase 2 (JAK2) V617F mutation, and the older sister also had a trisomy 8 chromosomal abnormality (47, XX, +8). A systematic literature search was also performed using PubMed, CNKI and Wanfang databases, to determine the association between JAK2 and PMF. Following comprehensive screening of the published literature, 19 studies were found to be eligible for the current meta‑analysis. The results showed that JAK2 V617F was a risk factor of PMF, and no sex dimorphism was observed in JAK2 V617F mutation prevalence amongst all PMF cases. In addition, there was a lack of association between the JAK2 V617F mutation and PMF‑related mortality.

Introduction

Primary myelofibrosis (PMF) is a classic myeloproliferative neoplasm (MPN), characterized by the appearance of diffuse fibrous tissue in the bone marrow, increased numbers of myeloid cells, extramedullary hematopoiesis, organomegaly, pancytopenia and an altered cytokine expression profile (1-4). PMF comprises chronic and acute PMF (CPMF and APMF, respectively), according to the type of onset.

The majority of PMF cases are hard to identify and diagnose during the asymptomatic state (5). PMF-related mortality is often caused by cardiac failure, infection, hemorrhage or acute leukemia transformation (6). Acute leukemia transformation occurs in ~20% of PMF patients within 10 years of diagnosis (3). PMF is difficult to cure, and the only known treatment method is allogeneic stem cell transplantation (7). PMF is a severe disease that poses a serious threat to human health. The median survival time of PMF is 3.5-5.5 years from diagnosis (8,9), and the 10-year survival rate for familial PMF cases is only 30% (10). PMF predominantly occurs in patients aged >50 years. However, half of the children with PMF are diagnosed at <3 years old (1). Familial PMF cases account for ~7.6% of chronic myeloproliferative disorders (11). The first-degree relatives of patients with PMF have a 5-7-fold increased risk of developing MPN, as compared with other more distant relatives (10). Janus kinase 2 (JAK2) belongs to the identified Janus family of non-receptor tyrosine kinases that are important for the transduction of cytokine-mediated signals in several cell types (2). The JAK2 V617F somatic mutation arises from a single base G-T transversion in the pseudokinase domain of JAK2. The somatic mutation is observed in 50% of cases with PMF. This mutation results in a valine-to-phenylalanine substitution at codon 617(12), leading to constitutive kinase activation (13). The JAK2 V617F mutation stimulates various signaling pathways downstream of JAK2, thus leading to cytokine-independent cell survival and proliferation (14). A previous study showed that the rate of splenomegaly in JAK2 V617F-mutated PMF patients was higher than that in JAK2-negative PMF patients, whereas the incidence of leukemia transformation was lower in JAK2 V617F-mutated PMF than in JAK2-negative patients (15).

Since the reports of familial PMF are infrequent, the present case report describes two familial cases (two sisters) with PMF, both of whom carried a JAK2 V617F mutation. Both sisters provided written informed consent for participation in the present study and publication of the case report. The karyotype of the older sister was 47, XX, +8, and that of the younger sister 46, XX. The clinical data and Dynamic International Prognostic Scoring System (DIPSS) plus (16) risk stratification score of the two sisters are shown in Table I. The patients were followed up until the older sister succumbed to the disease 16 months after the initial diagnosis. The study protocol was approved by the Ethics Committee of Yuyao People's Hospital. Additionally, a meta-analysis of candidate genes in PMF was also performed, in order to examine their molecular links with the pathophysiology of the disease.

Table I

Clinical data and DIPSS-plus risk stratification of the two sisters.

Table I

Clinical data and DIPSS-plus risk stratification of the two sisters.

ParametersOlder sisterYounger sister
Time of initial diagnosis, date19.10.201127.8.2008
Age at initial diagnosis, years3530
White blood cell count, x109/l20.72.7
Neutrophil count, x109/l8.071.7
Peripheral blood primordial cells, %10
Middle and late myelocytes, %118
Naive nucleated red blood cells, %55
Lymphocyte count, x109/l1.450.19
Eosinophil count, x109/l5.380.05
Basophil count, x109/l1.240.14
Monocyte count, x109/l2.070.41
Platelet count, x109/l31148
Hemoglobin, g/l110132
RBC transfusion dependenceNo RBC transfusion-dependence occurred following hemolysis after exacerbationNever transfused
B-ultrasound findingsDiffuse liver disease, increased liver capacity, anterior-posterior diameter of the left lobe was 78 mm, oblique diameter of the left lobe was 161 mm, the spleen was significantly enlarged, the thickness of the spleen was 72 mm; the lower edge was ~32 mm below the umbilical level, the right side of the umbilicus was ~40 mm. Portal hypertension: The diameter of the portal vein was 14 mm, the flow rate 12.1 cm/sec, and the diameter of the splenic vein 9 mm.Diffuse liver disease, normal liver size, markedly enlarged spleen, splenomegaly located 4 finger widths below the umbilicus, 65-mm thick, 175-mm long, laminar hypoechoic area (spleen infarction) in the spleen, portal hypertension: portal vein diameter was 14 mm, flow rate 13.3 cm/sec, and splenic vein diameter 11 mm.
JAK2 mutation ratio40%100%
BCR/ABL fusion gene P210 and P190NegativeNegative
Karyotype (R band) 447, XX, +8[15]46, XX[15]
IPSS (risk group)1 point, (moderate-risk group 1)0 points (low-risk group)
DIPSS1 point (moderate-risk group 1)0 points (low-risk group)
DIPSS plus3 points (moderate-risk group 2)0 points (low-risk group)
Prognosis, overall survival16 months>11 yearsa

[i] aStill alive. RBC, red blood cells; IPSS, International Prognostic Scoring System; D.IPSS, Dynamic IPSS. MIPSS70, mutation-enhanced IPSS.

Materials and methods

Collection and analysis of samples

Clinical and laboratory features of PMF, such as peripheral blood counts and smear analysis, bone marrow morphology, karyotype and high-molecular risk mutations were used to diagnose or monitor the disease progression (17). In the present study, patients were made to fast overnight and 5-8 ml of antecubital venous blood was drawn. Routine blood tests were performed, which included detection of 24 important indicators using a Sysmex XN-3000 hematology analyzer (Sysmex Corporation) and EDTA anticoagulated blood. A mutation at codon 617 of the JAK2 gene (JAK2 V617F) mutation was detected by allele-specific PCR (18), which was performed using DNA isolated from peripheral white blood cells using the QIAamp DNA Blood Mini kit (Qiagen) following the manufacturer's protocol. RNA was extracted using an RNeasy Mini kit (Qiagen), quantitative PCR for identifying BCR-ABL fusions was performed using specific primers and the PCR products were electrophoresed in agarose gels (19). All of the PCR reactions were performed by Adicon Clinical Laboratories, Ltd, and they were performed as described in the reference. Subsequently, the blood was centrifuged at 1,500-1,800 x g for 8 min at room temperature to isolate the serum. The serum was tested for hepatitis B surface antigen (HBsAg) using ELISA (cat. no: DECO0844; DECO), and classified as HBsAg positive or negative (20).

Liver function parameters were assessed using a Beckman AU5800 automated biochemistry analyzer (Beckman Coulter, Inc.) using 3 ml coagulated peripheral blood after centrifugation at 1,800 x g for 10 min at room temperature. Liver fibrosis stage was evaluated semi-quantitatively according to the METAVIR scoring system (21).

Bone marrow aspiration was performed following a standard operating procedure by a trained clinician (22). The posterior iliac crest is usually the preferred location of biopsy (22). Films of aspirated marrow and, when appropriate, films of crushed particles were prepared and labeled, as previously described (22). Once thoroughly dry, films were fixed in fresh methanol in ethanol at 37˚C for at least 30 min and stained with Romanowsky stains at 37˚C for at least 8 min. A cover slip was applied, and the bone marrow films were assessed and reported in a systematic manner. The films were first examined under a low power (x10 objective) to assess the number of fragments, the cellularity, the number of megakaryocytes and to detect any low incidence abnormal cells. Then the films were examined in detail using a x50 objective to systematically assess the cellularity and contents of fragments, megakaryocyte number, morphology and cytological features of other lineages. Finally, fine cytological details were assessed using an oil immersion x100 objective, as previously reported (22). The bone marrow findings were interpreted, taking into account the clinical and hematological features of the specific patients. Chromosome preparations were processed for R banding, as previously described (23). At least 10 metaphases, and typically more, were fully karyotyped for karyotype analysis. The ultrasound examination was performed to analyze liver morphology and echogenicity as well as spleen size, which was carried out as described by Khan et al (24). Abdominal computed tomography was used to define abdominal involvement in PMF, such as the splenomegaly and the possible low-density lesions on lumbar. All data were analyzed by an experienced pathologist.

Literature search

A literature search for PMF-related studies between January 2002 and February 2016 was performed using PubMed, CNKI and Wanfang literature databases. No restrictions on language were applied. Keywords and Medical Subject Headings, including ‘idiopathic myelofibrosis’, ‘IMF’, ‘primary myelofibrosis’, ‘PMF’ and ‘mutation’, were used, where IMF stands for idiopathic myelofibrosis.

Inclusion criteria

Studies were included in the present meta-analysis if they met all of the following inclusion criteria: i) They assessed patients with PMF; ii) the subjects in every study provided the number of cases and controls; iii) they assessed the JAK2 mutation; and iv) the publications appeared in a peer-reviewed journal.

Data extraction

For each eligible study, information was collected regarding the mutation position, names of first authors, publication year, country of origin, age, number of cases and controls, number of male and female patients, mutation frequencies and mutations detection method.

Statistical analysis

The meta-analysis was performed using Review Manager version 5.2 (Cochrane). The combined odds ratios (ORs) and the corresponding 95% confidence intervals (CIs) were calculated in the forest plots using the fixed effect model (moderate heterogeneity, I2<50%) or random effects model (moderate heterogeneity, I2≥50%). Funnel plots were used to show potential publication bias amongst the involved studies. P<0.05 was considered to indicate a statistically significant difference.

Case report

Case of the younger sister

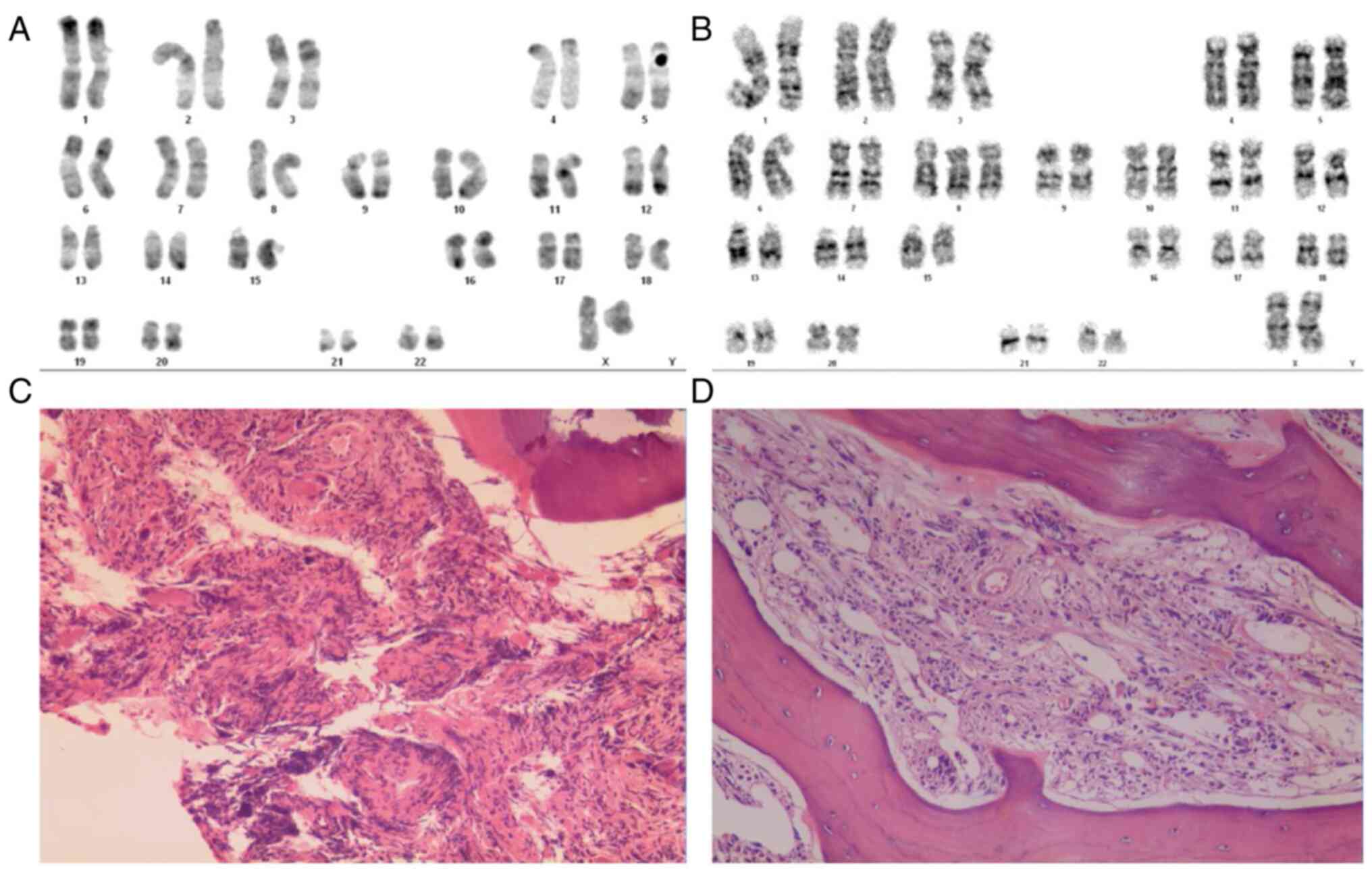
According to the medical records, on August 27th, 2008 the younger sister was 30 years old and had no permanent teeth. The patient was diagnosed with asymptomatic splenomegaly 3 months after prenatal examination. The physical examination performed whilst at the hospital showed that her splenomegaly was four-finger widths below the umbilicus. The auxiliary examination indicated a hemoglobin level of 125 g/l, total leukocyte count of 2.7x109/l, platelet count of 148x109/l, 7% lymphocytes, 15% mononuclear cells, 2% eosinophils, 5% basophils, 5% immature nucleated erythrocytes, 63% neutrophils, 8% myelocytes and metamyelocytes. The hepatitis B surface antibody was electropositive. The B-ultrasonic test showed megalosplenia, portal hypertension, splenic infarction and diffuse liver lesions. The four indices of liver fibrosis showed that procollagen peptides III and IV, type IV collagen, hyaluronic acid and laminin determination in the serum were all normal. The routine examination of her bone marrow on both sides of the posterior superior iliac crest revealed ‘dry tap’, which is described as a failure to obtain bone marrow upon attempted marrow aspiration (25). In addition, it was hard to insert the biopsy needle, which was referred to as ‘bone hard’. Routine inspection and biopsy of the bone marrow confirmed the transformation of fibrosis. The karyotype of the patient was 46, XX (Fig. 1A), and the JAK2 genotype in the bone marrow was 100% of the heterozygous mutation JAK2 V617F, with no evidence of aberrant BCR-ABL fusion gene.

Figure 1

Karyotypes and bone marrow biopsy of the sisters. (A) Karyotype of the younger sister was 46, XX (Giemsa stain; magnification, x1,000). (B) Karyotype of the older sister was 47, XX, +8 (Giemsa stain; magnification, x1,000). (C) Bone marrow hematopoietic tissue biopsy of the younger sister (H&E staining; magnification, x100). (D) Bone marrow hematopoietic tissue biopsy of the older sister (H&E staining; magnification, x100). Atypical nuclear morphology was identified and staining of the reticular protein from a bone marrow biopsy suggested that there was increased collagen compared to levels typically seen in individuals without myelofibrosis. H&E, hematoxylin and eosin.

The patient was administered 0.5 g hydroxycarbamide tablets orally once a day, on days 1-3 following diagnosis. Due to 2nd degree gastrointestinal reactions and chest discomfort, the medication was withdrawn. Subsequently, she was treated with an interferon injection only once for treatment of 3rd-degree bone marrow depression, and subsequently administered Calcitriol soft capsules orally for 3 months 0.25 µg, 3 times a day. Previous studies have shown that calcitriol can be used for the treatment of bone marrow fibrosis, although its effect is relatively weak compared with that of JAK2 inhibitors (26,27). Her spleen was palpable 2-3 finger widths below the umbilicus, and it was softer than before. Since then, she has received no treatments, is under continuous review, and her erythrocyte and erythrocyte platelet counts were maintained at normal levels.

Case of the older sister

The older sister was 35 years old and had no permanent teeth. She had repeatedly presented with bruise blocks in the skin for >10 years. According to our medical records on October 27, 2011, she presented with splenomegaly for >1 month. Physical examination performed whilst at the hospital revealed slight scattered mucocutaneous hemorrhage in all 4 limbs. Auxiliary examination showed that her hemogram results comprised of hemoglobin levels of 110 g/l, total leukocyte count of 20.7x109/l, platelet count of 31x109/l, 26% mononuclear cells, 6% eosinophils, 10% basophils, 5% immature nucleated erythrocytes, 39% neutrophils and 11% myelocytes and metamyelocytes. Lactate dehydrogenase was 508 U/l. The hepatitis B surface, hepatitis B e, and hepatitis B core antibodies were all electropositive. The four indices of liver fibrosis showed a serum procollagen peptide level of 34.2 µg/l and a serum type IV collagen of 36.75 µg/l. Computed tomography revealed megalosplenia, portal hypertension and the formation of collateral circulation. The 5 different locations of routine examination of the bone marrow on both sides of the posterior superior iliac crest showed 3 instances of ‘dry tap’ (as mentioned above) and another 2 instances of ‘analogous to diluted marrow’. Bone marrow biopsy revealed that the bone marrow was ‘quite hard’, making it difficult to insert the biopsy needle. Bone marrow fibrosis confirmed transformation of fibrosis with scattered atypical cells. The karyotype of the older sister was 47, XX, +8 (Fig. 1B). The JAK2 genotype in the bone marrow showed a 40% heterozygous mutation (JAK2 V617F).

The patient was then treated with an injection of 150 µg pegylated interferon (hypodermic injection administered once a week for 4 weeks). Her spleen extended to 5 cm below the umbilicus during treatment. A routine blood test revealed no decline in the leukocyte count. However, the platelet count dropped to 26x109/l, and treatment was discontinued due to 3rd-degree gastrointestinal reactions. The patient was later transferred to another hospital was administered Ganoderma lucidum (10 capsules, orally, three times per day) and Calcitriol soft (0.25 µg, orally, three times per day) capsules. Her spleen was palpable at 3 cm below the umbilicus, the side had dwindled and it was softer than before. The leukocyte count increased slowly and the platelet count was maintained at 30-40x109/l. The results of the February 2012 follow-up showed a leukocyte count of 59.8x109/l, 10% myelocytes and metamyelocytes, 63% neutrophils, 7% lymphocytes, 9% mononuclear cells, 6% eosinophils, 5% basophils, 4% immature nucleated erythrocytes, hemoglobin levels of 86 g/l and a platelet count of 40x109/l. She was then treated with hydroxyurea 0.5 g (orally, once per day) and did not experience any notable toxicity. Unfortunately, she succumbed to intracranial hemorrhage in February 2013.

Summary of the two cases

The clinical manifestations of the sisters in the case report were similar, suggesting that the same type of complications (bleeding) may occur in familial PMF patients, which may result in progression of the disease. A previous study showed that the clinical manifestations of PMF include progressive anemia, massive splenomegaly, cachexia and extramedullary hematopoiesis (28). Both cases here exhibited bone marrow hematopoietic tissue hyperplasia, an increased proportion of granulocyte erythrocytes (particularly myeloid and bone marrow cells), increased megakaryocytes, aggregation into small clusters and a large number of fibroblasts in the interstitium (Fig. 1C and D).

Both sisters harbored a JAK2 mutation, but their all-round healthy parents did not. PMF was shown to be a disease with autosomal recessive inheritance (10), suggesting that the JAK2 mutation in these cases was acquired and occurred as a secondary genetic event in familial chronic MPD (CMPD). Furthermore, the older sister had a trisomy 8 (47, XX, +8) karyotype and 40% JAK2 V617F mutation in the bone marrow, and her outcome was more severe than that of the younger sister, who had a normal karyotype and 100% JAK2 V617F mutation in the bone marrow. Research has shown that patients with trisomy 8 mosaicism are at a higher risk of developing leukemia (29), and karyotype abnormalities are associated with lower survival in the univariate analysis (30). A higher mutation frequency of JAK2 V617F in PMF is associated with an unfavorable cytogenetic profile, and the presence of unfavorable cytogenetic abnormalities is significantly associated with decreased survival (31). The overall survival and risk of mortality for a patient in which trisomy 8 and JAK2 V617F mutations exist simultaneously is currently unknown, to the best of our knowledge. However, the findings from the cases of the two sisters may suggest that trisomy 8 translates to an increased risk of mortality, when compared with the JAK2 mutation.

Meta-analysis

As shown in Fig. 2, a total of 1,558 relevant publications appeared to meet the inclusion criteria during an initial search in the PubMed, CNKI and Wanfang literature databases. A total of 1,106 irrelevant studies, 268 studies without mutation data and 113 studies without the controls were excluded. A total of 71 eligible studies were included in the current meta-analysis. Fixed-effect tests were applied for the subgroup association of JAK2 V617F by sex and mortality of PMF (I2<1%). A funnel plot evaluated publication bias in the meta-analysis. As shown in Fig. 3, no visual bias was present in the current meta-analysis.

Figure 2

Flow diagram of the selection process for the meta-analysis; CALR, calreticulin.

Figure 3

Funnel plots for the meta-analysis exploring the association between JAK2 V617F mutation and PMF. (A) No bias was observed in the funnel plots between the case and control, (B) between males and females, and (C) between PMF-related mortality with the JAK2 V617F mutation in the meta-analysis. PMF, primary myelofibrosis; SE, standard error; RR, risk ratio; M-H, Mantel-Haenszel; IMF idiopathic myelofibrosis.

The JAK2 V617F mutation was shown to be significantly associated with PMF. Total ORs and 95% CIs were estimated to assess the association between JAK2 V617F mutation and PMF risk. The fixed effects model was used for meta-analysis with minimal heterogeneity (I2=0%). P<0.05 was used to determine the significance of the total ORs. The results indicated that JAK2 V617F was a risk factor for PMF (OR=17.12, 95% CI=11.32-25.89; P<0.00001; Fig. 4 and Table II). Further sex-based subgroup meta-analysis amongst 1,089 male and 649 female PMF patients revealed no association between sex and the JAK2 V617F mutation with PMF (OR=0.98, 95% CI=0.89-1.08; P=0.69; Fig. 5 and Table II). A follow-up survey demonstrated that the JAK2 V617F mutation was not associated with PMF-related mortality in 6 independent studies (OR=1.43, 95% CI=0.94-2.18; P=0.09; Fig. 6 and Table II).

Figure 4

Forest plot of the meta-analysis exploring the association between the JAK2 V617F mutation and PMF. Total ORs and 95% CIs were estimated to assess the association between JAK2 V617F mutation and PMF risk. Minimal heterogeneity was found in the meta-analysis; I2=0%. The results indicated that JAK2 V617F was a risk factor for PMF. OR=17.12, 95% CI=11.32-25.89, P<0.00001. OR, odds ratio; CI, confidence interval; PMF, primary myelofibrosis; IMF idiopathic myelofibrosis.

Figure 5

Forest plot of the meta-analysis exploring the association between the JAK2 V617F mutation and sex of IMF patients. Total OR and 95% CIs were estimated to assess the association between the JAK2 V617F mutation and the sex of patients. Z-test with a two-sided P<0.05 was used to determine the significance of the total OR. No association was observed between the sex of patients and the JAK2 V617F mutation; OR=0.98, 95% CI=0.89-1.08, P=0.69. OR, odds ratio; CI, confidence interval; PMF, primary myelofibrosis; M-H, Mantel-Haenszel.

Figure 6

Forest plots of the meta-analysis exploring the association between the JAK2 V617F mutation and PMF-related mortality. Total OR and 95% CIs were estimated to assess the association between the JAK2 V617F mutation and PMF-related mortality. Z-test with a two-sided P<0.05 was used to determine the significance of the total ORs. No association was observed between PMF-related mortality and the JAK2 V617F mutation; OR=1.43, 95% CI=0.94-2.18, P=0.09). OR, odds ratio; CI, confidence interval; PMF, primary myelofibrosis; M-H, Mantel-Haenszel; IMF, idiopathic myelofibrosis.

Table II

Characteristics of the meta-analyses for JAK2 V617F mutation in primary myelofibrosis studies.

Table II

Characteristics of the meta-analyses for JAK2 V617F mutation in primary myelofibrosis studies.

ComparisonStudies, nCases, nControls, nOdds ratio 95% confidence intervalaI2P-value
Case vs. control4460596417.12 (11.32, 25.89)0<0.00001
Male vs. female case191,0896490.98 (0.89, 1.08)00.69
Mutation and death68184811.43 (0.94, 2.18)0.680.09

[i] aOdds ratio describes the likelihood of observing the gene mutations in primary myelofibrosis cases compared with controls.

Discussion

Reports on familial PMF are rare, but first-degree relatives may acquire one or several MPDs (32). It is reasonable to assume that germ-line mutations or a patient's genetic background can facilitate one or several somatic mutations that result in PMF or other forms of MPD. The present study reported the cases of two sisters with PMF. This case report can shed new light on PMF. A meta-analysis was also performed to clarify the correlation between JAK2 mutations with other clinical phenotypes, including PMF risk, sex and PMF-related mortality.

Autosomal recessive inheritance remains a logical explanation for PMF. The two sisters were diagnosed with PMF and multiple hemangiomas (13); given the fact that the parents showed no signs of PMF, recessive inheritance may have been involved. A total of 14 patients in this sister's family had PMF, but the previously published article did not describe the 14 cases (33). Perez-Encinas et al (34) reported 5 cases of familial CMPD. Cases 1-3 were siblings. Case 5 was the daughter of case 1, and case 4 was the cousin of cases 1 and 3. This suggested that the genetic pathogenesis of CMPD may be heritable. Sheikha (35) described a family whose 4 consecutive children died of acute myelofibrosis. The fact that their mother had another 2 healthy girls, ruled out sex-linked inheritance for PMF. The present study reported the case of two sisters with PMF who acquired a JAK2 V617F mutation that their healthy parents did not harbor. The present case report thus supports the notion that PMF is a recessive inheritable disease.

The molecular basis of PMF is complex. Of the PMF patients, ~30% had clonal chromosomal abnormalities, such as del (13) (q12-22) or der (6) t (1;6) (q21-23;p21.3). The development of molecular biology enabled the identification of various important pathological events involved in PMF (7). The common mutations in the pathogenesis of PMF included JAK2, myeloproliferative leukemia virus oncogene (36), calreticulin (37), tet methylcytosine dioxygenase 2(38), additional sex combs like 1(39), enhancer of zeste 2 polycomb repressive complex 2 subunit (40), serine and arginine-rich splicing factor 2(41), isocitrate dehydrogenase (42), splicing factor 3b subunit 1(43) and U2 small nuclear RNA auxiliary factor 1(44). Among these, the JAK2 mutation was identified in 50-60% of PMF patients (45). In the present case report, the two sisters were found to harbor a JAK2 mutation in the bone marrow, which their parents did not possess. This suggested that the JAK2 mutation was somatically acquired by the two sisters.

A previous in vitro studies have found that cells with a JAK2 V617F mutation possess proliferative and survival advantages over wild-type JAK2 cells (46). JAK2 activation may trigger downstream signaling pathway activation, including that of cell survival and proliferation pathways, promoting myeloproliferation and resistance to cell death (47). JAK2 V617F may contribute to PMF through the deregulation of the apoptotic pathway (48). JAK2 V617F was also shown to work as a potentially useful biomarker for prognosis and treatment response (4). In the present study, disease progression in both PMF patients with the JAK2 V617F mutation were once well controlled. This may have been due to their JAK2 V617F mutation in the bone marrow. The worse outcome of the older sister may have been due to her abnormal karyotype (47, XX, +8).

A comprehensive overview of mutation studies was also performed to evaluate the overall contribution of the JAK2 V617F mutation to the risk of PMF patients in the present study. Following a 3-step filtration process, a total of 605 PMF patients and 964 non-PMF controls from 71 eligible studies were included in the present meta-analysis.

The meta-analysis results showed that the JAK2 V617F mutation was significantly associated with an increased risk of PMF. However, subgroup meta-analysis by sex showed no evidence of an association between the sex of the patients and the JAK2 V617F mutation. The follow-up analysis revealed that PMF-related mortality was not associated with the JAK2 V617F mutation. The present study demonstrated a significant association between JAK2 V617F mutation and PMF risk. Additionally, the meta-analysis showed no association between sex and PMF-related mortality with the JAK2 V617F mutation. These data are generally consistent with previous studies which showed that JAK2 V617F mutation was significantly associated with fibrotic progression and histology (49,50). Some clinical signs of the disease, such as anemia and splenomegaly, and the risk of transformation to AML have been shown to be associated with JAK2 V617F mutational status or the JAK2 V617F allele burden (51). As the most important mutation, JAK2 V617F was present in over half of the patients with PMF, and serves as a potential molecular target for therapeutic intervention (51), such as through the development of ruxolitinib, an inhibitor of JAK2, which has transformed therapy for myelofibrosis (52).

In the present study, a familial case of PMF is described; two sisters with IMF and their healthy parents were observed. The molecular basis of PMF was complex, and the present report may provide additional evidence of familial PMF. The present meta-analysis however was not without its limitations. First, selection bias may have existed, since only English and Chinese publications were assessed. Secondly, the primary ethnicities of the studied population were Caucasians and Asians; other ethnic populations should be included in the future. Well-designed studies with larger samples may help elucidate the contribution of the JAK2 V617F mutation to disease outcomes. The majority of the studies selected for the meta-analysis were performed using allele-specific PCR, which may have limited the scope of the analysis. More samples should be tested in the future in order to draw a more reliable result. Finally, in the present study, the two sisters were diagnosed as having PMF in 2008 and 2012 according to their clinical manifestations, bone marrow biopsy and JAK2 mutation. The diagnosis of familial MPN is involved in genomic aberrations of TERT, GSKIP, ATG2B and RBBP6. However, basic genomic screenings were not performed due to the lack of facilities at the primary hospital.

In conclusion, the present study reported the case of two sisters with PMF that harbored a JAK2 V617F mutation. In addition, the meta-analysis showed that JAK2 V617F was a risk factor for PMF, and no sex dimorphism was observed in the JAK2 V617F mutation amongst all PMF cases. There was also a lack of association between PMF-related mortality and the JAK2 V617F mutation.

Acknowledgements

The authors gratefully thank the undergraduate students of the Medical Genetics Center (School of Medicine of Ningbo University, Ningbo, China) Miss Xuer Bi, Miss Chunsheng Shu, Miss Weicong Hua, Mr. Zhangbo Xu and Mr. Nan Wang for the collection and collation of existing data.

Funding

This research was supported by grants from the K. C. Wong Magna Fund of Ningbo University.

Availability of data and materials

The datasets used and/or analyzed during the present study are available from the corresponding author on reasonable request.

Authors' contributions

SD designed the study; YX and QH wrote the manuscript; YX recruited the patients and analyzed their information; QH, ZG and SW analyzed the data. All authors read and approved the final manuscript.

Ethics approval and consent to participate

The study protocol was approved by the Ethics Committee of Yuyao People's Hospital. Both sisters provided written informed consent for participation in the present study.

Patient consent for publication

Both sisters provided written informed consent for publication of the case report.

Competing interests

The authors declare that they have no competing interests.

References

1 

Bavikar RR, Kulkarni RK, Rathod AD and Hastak MS: Idiopathic myelofibrosis in an infant. Indian J Pediatr. 78:734–736. 2011.PubMed/NCBI View Article : Google Scholar

2 

Bhagwat N, Levine RL and Koppikar P: Sensitivity and resistance of JAK2 inhibitors to myeloproliferative neoplasms. Int J Hematol. 97:695–702. 2013.PubMed/NCBI View Article : Google Scholar

3 

Cox MC, Panetta P, Venditti A, Abruzzese E, Del Poeta G, Cantonetti M and Amadori S: New reciprocal translocation t(6;10) (q27;q11) associated with idiopathic myelofibrosis and eosinophilia. Leuk Res. 25:349–351. 2001.PubMed/NCBI View Article : Google Scholar

4 

Tognon R, Gasparotto EP, Leroy JM, Oliveira GL, Neves RP, Carrara Rde C, Kashima S, Covas DT, Santana M, Souto EX, et al: Differential expression of apoptosis-related genes from death receptor pathway in chronic myeloproliferative diseases. J Clin Pathol. 64:75–82. 2011.PubMed/NCBI View Article : Google Scholar

5 

Bouabdallah R, Coso D, Gonzague-Casabianca L, Alzieu C, Resbeut M and Gastaut JA: Safety and efficacy of splenic irradiation in the treatment of patients with idiopathic myelofibrosis: A report on 15 patients. Leuk Res. 24:491–495. 2000.PubMed/NCBI View Article : Google Scholar

6 

Kerbauy DM, Gooley TA, Sale GE, Flowers ME, Doney KC, Georges GE, Greene JE, Linenberger M, Petersdorf E, Sandmaier BM, et al: Hematopoietic cell transplantation as curative therapy for idiopathic myelofibrosis, advanced polycythemia vera, and essential thrombocythemia. Biol Blood Marrow Transplant. 13:355–365. 2007.PubMed/NCBI View Article : Google Scholar

7 

Wolf D, Rudzki J and Gastl G: Current treatment concepts of Philadelphia-negative MPN. Curr Cancer Drug Targets. 11:44–55. 2011.PubMed/NCBI View Article : Google Scholar

8 

Cervantes F: Modern management of myelofibrosis. Br J Haematol. 128:583–592. 2005.PubMed/NCBI View Article : Google Scholar

9 

Cervantes F, Barosi G, Demory JL, Reilly J, Guarnone R, Dupriez B, Pereira A and Montserrat E: Myelofibrosis with myeloid metaplasia in young individuals: Disease characteristics, prognostic factors and identification of risk groups. Br J Haematol. 102:684–690. 1998.PubMed/NCBI View Article : Google Scholar

10 

Rumi E: Familial chronic myeloproliferative disorders: The state of the art. Hematol Oncol. 26:131–138. 2008.PubMed/NCBI View Article : Google Scholar

11 

Rumi E, Passamonti F, Della Porta MG, Elena C, Arcaini L, Vanelli L, Del Curto C, Pietra D, Boveri E, Pascutto C, et al: Familial chronic myeloproliferative disorders: Clinical phenotype and evidence of disease anticipation. J Clin Oncol. 25:5630–5635. 2007.PubMed/NCBI View Article : Google Scholar

12 

Quintas-Cardama A and Verstovsek S: Molecular pathways: Jak/STAT pathway: Mutations, inhibitors, and resistance. Clin Cancer Res. 19:1933–1940. 2013.PubMed/NCBI View Article : Google Scholar

13 

Bennett M and Stroncek DF: Recent advances in the bcr-abl negative chronic myeloproliferative diseases. J Transl Med. 4(41)2006.PubMed/NCBI View Article : Google Scholar

14 

Ishida S, Akiyama H, Umezawa Y, Okada K, Nogami A, Oshikawa G, Nagao T and Miura O: Mechanisms for mTORC1 activation and synergistic induction of apoptosis by ruxolitinib and BH3 mimetics or autophagy inhibitors in JAK2-V617F-expressing leukemic cells including newly established PVTL-2. Oncotarget. 9:26834–26851. 2018.PubMed/NCBI View Article : Google Scholar

15 

He ZP, Tian HY, Tan M and Wu Y: Clinical Analysis of Driver Mutations in Patients with Ph Negative Myeloproliferative Neoplasms. Zhongguo Shi Yan Xue Ye Xue Za Zhi. 26:842–848. 2018.PubMed/NCBI View Article : Google Scholar : (In Chinese).

16 

Tefferi A: Primary myelofibrosis: 2017 update on diagnosis, risk-stratification, and management. Am J Hematol. 91:1262–1271. 2016.PubMed/NCBI View Article : Google Scholar

17 

Kvasnicka HM: The differential diagnosis of classical myeloproliferative neoplasms (MPN): The updated WHO criteria. Rinsho Ketsueki. 60:1166–1175. 2019.PubMed/NCBI View Article : Google Scholar

18 

Baxter EJ, Scott LM, Campbell PJ, East C, Fourouclas N, Swanton S, Vassiliou GS, Bench AJ, Boyd EM, Curtin N, et al: Acquired mutation of the tyrosine kinase JAK2 in human myeloproliferative disorders. Lancet. 365:1054–1561. 2005.PubMed/NCBI View Article : Google Scholar

19 

Ayatollahi H, Keramati MR, Shirdel A, Kooshyar MM, Raiszadeh M, Shakeri S and Sadeghian MH: BCR-ABL fusion genes and laboratory findings in patients with chronic myeloid leukemia in northeast Iran. Caspian J Intern Med. 9:65–70. 2018.PubMed/NCBI View Article : Google Scholar

20 

Fatema K, Tabassum S, Nessa A and Jahan M: Development and evaluation of an in-house ELISA to detect hepatitis B virus surface antigen in resource-limited settings. Bangladesh Med Res Counc Bull. 39:65–8. 2013.PubMed/NCBI View Article : Google Scholar

21 

Friedrich-Rust M, Rosenberg W, Parkes J, Herrmann E, Zeuzem S and Sarrazin C: Comparison of ELF, FibroTest and FibroScan for the non-invasive assessment of liver fibrosis. BMC Gastroenterol. 10(103)2010.PubMed/NCBI View Article : Google Scholar

22 

Bain BJ: Bone marrow aspiration. J Clin Pathol. 54:657–63. 2001.PubMed/NCBI View Article : Google Scholar

23 

Wang YL, Wang T, Xu F, Gang Y and Wang J: Analysis of DEK-CAN fusion gene expression in acute myeloid leukemia patients with 6; 9 chromosome translocation. Zhongguo Shi Yan Xue Ye Xue Za Zhi. 14:232–236. 2006.PubMed/NCBI(In Chinese).

24 

Khan SA, Yasmeen S, Adel H, Adil SO, Huda F and Khan S: Sonographic evaluation of normal liver, spleen, and renal parameters in adult population: A multicenter study. J Coll Physicians Surg Pak. 28:834–839. 2018.PubMed/NCBI View Article : Google Scholar

25 

Humphries JE: Dry tap bone marrow aspiration: Clinical significance. Am J Hematol. 35:247–250. 1990.PubMed/NCBI View Article : Google Scholar

26 

Hirri HM and Green RJ: Myelodysplasia and bone marrow fibrosis treated with calcitriol and venesection. Leuk Lymphoma. 43:1489–1491. 2002.PubMed/NCBI View Article : Google Scholar

27 

Guo Y, Xu WW, Dong L, Huang N and Bi KH: Progression of primary myelofibrosis to polycythemia vera: A case report. Medicine (Baltimore). 96(e7464)2017.PubMed/NCBI View Article : Google Scholar

28 

Tefferi A: The forgotten myeloproliferative disorder: Myeloid metaplasia. Oncologist. 8:225–231. 2003.PubMed/NCBI View Article : Google Scholar

29 

Narendran A, Hawkins LM, Ganjavi H, Vanek W, Gee MF, Barlow JW, Johnson G, Malkin D and Freedman MH: Characterization of bone marrow stromal abnormalities in a patient with constitutional trisomy 8 mosaicism and myelodysplastic syndrome. Pediatr Hematol Oncol. 21:209–221. 2004.PubMed/NCBI View Article : Google Scholar

30 

Tavares RS, Nonino A, Pagnano KBB, Nascimento ACKVD, Conchon M, Fogliatto LM, Funke VA, Bendit I, Clementino NC, Chauffaille MLLF, et al: Guideline on myeloproliferative neoplasms: Associacão brasileira de hematologia, hemoterapia E terapia cellular: Project guidelines: Associação médica brasileira-2019. Hematol Transfus Cell Ther. 41 (Suppl):S1–S73. 2019.PubMed/NCBI View Article : Google Scholar

31 

Alshemmari SH, Rajan R and Emadi A: Molecular pathogenesis and clinical significance of driver mutations in primary myelofibrosis: A review. Med Princ Pract. 25:501–509. 2016.PubMed/NCBI View Article : Google Scholar

32 

Skoda R and Prchal JT: Lessons from familial myeloproliferative disorders. Semin Hematol. 42:266–273. 2005.PubMed/NCBI View Article : Google Scholar

33 

Malak S, Labopin M, Saint-Martin C, Bellanne-Chantelot C and Najman A: French Group of Familial Myeloproliferative Disorders. Long term follow up of 93 families with myeloproliferative neoplasms: Life expectancy and implications of JAK2V617F in the occurrence of complications. Blood Cells Mol Dis. 49:170–176. 2012.PubMed/NCBI View Article : Google Scholar

34 

Perez-Encinas M, Bello JL, Perez-Crespo S, De Miguel R and Tome S: Familial myeloproliferative syndrome. Am J Hematol. 46:225–229. 1994.PubMed/NCBI View Article : Google Scholar

35 

Sheikha A: Fatal familial infantile myelofibrosis. J Pediatr Hematol Oncol. 26:164–168. 2004.PubMed/NCBI View Article : Google Scholar

36 

Bruchova H, Merkerova M and Prchal JT: Aberrant expression of microRNA in polycythemia vera. Haematologica. 93:1009–1016. 2008.PubMed/NCBI View Article : Google Scholar

37 

Panagiota V, Thol F, Markus B, Fehse B, Alchalby H, Badbaran A, Lehmann U, Koenecke C, Shahswar R, Chaturvedi A, et al: Prognostic effect of calreticulin mutations in patients with myelofibrosis after allogeneic hematopoietic stem cell transplantation. Leukemia. 28:1552–1555. 2014.PubMed/NCBI View Article : Google Scholar

38 

Saint-Martin C, Leroy G, Delhommeau F, Panelatti G, Dupont S, James C, Plo I, Bordessoule D, Chomienne C, Delannoy A, et al: Analysis of the ten-eleven translocation 2 (TET2) gene in familial myeloproliferative neoplasms. Blood. 114:1628–1632. 2009.PubMed/NCBI View Article : Google Scholar

39 

Stein BL, Williams DM, O'Keefe C, Rogers O, Ingersoll RG, Spivak JL, Verma A, Maciejewski JP, McDevitt MA and Moliterno AR: Disruption of the ASXL1 gene is frequent in primary, post-essential thrombocytosis and post-polycythemia vera myelofibrosis, but not essential thrombocytosis or polycythemia vera: Analysis of molecular genetics and clinical phenotypes. Haematologica. 96:1462–1469. 2011.PubMed/NCBI View Article : Google Scholar

40 

Guglielmelli P, Biamonte F, Score J, Hidalgo-Curtis C, Cervantes F, Maffioli M, Fanelli T, Ernst T, Winkelman N, Jones AV, et al: EZH2 mutational status predicts poor survival in myelofibrosis. Blood. 118:5227–5234. 2011.PubMed/NCBI View Article : Google Scholar

41 

Guglielmelli P, Lasho TL, Rotunno G, Score J, Mannarelli C, Pancrazzi A, Biamonte F, Pardanani A, Zoi K, Reiter A, et al: The number of prognostically detrimental mutations and prognosis in primary myelofibrosis: An international study of 797 patients. Leukemia. 28:1804–1810. 2014.PubMed/NCBI View Article : Google Scholar

42 

Tefferi A: Primary myelofibrosis: 2014 update on diagnosis, risk-stratification, and management. Am J Hematol. 89:915–925. 2014.PubMed/NCBI View Article : Google Scholar

43 

Lasho TL, Finke CM, Hanson CA, Jimma T, Knudson RA, Ketterling RP, Pardanani A and Tefferi A: SF3B1 mutations in primary myelofibrosis: Clinical, histopathology and genetic correlates among 155 patients. Leukemia. 26:1135–1137. 2012.PubMed/NCBI View Article : Google Scholar

44 

Tefferi A, Finke CM, Lasho TL, Wassie EA, Knudson R, Ketterling RP, Hanson CA and Pardanani A: U2AF1 mutations in primary myelofibrosis are strongly associated with anemia and thrombocytopenia despite clustering with JAK2V617F and normal karyotype. Leukemia. 28:431–433. 2014.PubMed/NCBI View Article : Google Scholar

45 

Tanaka H, Takeuchi M, Takeda Y, Sakai S, Abe D, Ohwada C, Sakaida E, Shimizu N, Saito Y, Miyagi S, et al: Identification of a novel TEL-Lyn fusion gene in primary myelofibrosis. Leukemia. 24:197–200. 2010.PubMed/NCBI View Article : Google Scholar

46 

Kralovics R and Skoda RC: Molecular pathogenesis of Philadelphia chromosome negative myeloproliferative disorders. Blood Rev. 19:1–13. 2005.PubMed/NCBI View Article : Google Scholar

47 

Tognon R, Gasparotto EP, Neves RP, Nunes NS, Ferreira AF, Palma PV, Kashima S, Covas DT, Santana M, Souto EX, et al: Deregulation of apoptosis-related genes is associated with PRV1 overexpression and JAK2 V617F allele burden in Essential Thrombocythemia and Myelofibrosis. J Hematol Oncol. 5(2)2012.PubMed/NCBI View Article : Google Scholar

48 

Kaushansky K: The chronic myeloproliferative disorders and mutation of JAK2: Dameshek's 54 year old speculation comes of age. Best Pract Res Clin Haematol. 20:5–12. 2007.PubMed/NCBI View Article : Google Scholar

49 

Latagliata R, Polverelli N, Tieghi A, Palumbo GA, Breccia M, Sabattini E, Villari L, Riminucci M, Valli R, Catani L, et al: Comparison of JAK2V617F-positive essential thrombocythaemia and early primary myelofibrosis: The impact of mutation burden and histology. Hematol Oncol. 36:269–275. 2018.PubMed/NCBI View Article : Google Scholar

50 

Schwartz DM, Kanno Y, Villarino A, Ward M, Gadina M and O'Shea JJ: JAK inhibition as a therapeutic strategy for immune and inflammatory diseases. Nat Rev Drug Discov. 17(78)2017.PubMed/NCBI View Article : Google Scholar

51 

Verstovsek S, Kantarjian H, Mesa RA, Pardanani AD, Cortes-Franco J, Thomas DA, Estrov Z, Fridman JS, Bradley EC, Erickson-Viitanen S, et al: Safety and efficacy of INCB018424, a JAK1 and JAK2 inhibitor, in myelofibrosis. N Engl J Med. 363:1117–1127. 2010.PubMed/NCBI View Article : Google Scholar

52 

Hu M, Xu C, Yang C, Zuo H, Chen C, Zhang D, Shi G, Wang W, Shi J and Zhang T: Discovery and evaluation of ZT55, a novel highly-selective tyrosine kinase inhibitor of JAK2V617F against myeloproliferative neoplasms. J Exp Clin Cancer Res. 38(49)2019.PubMed/NCBI View Article : Google Scholar

Related Articles

  • Abstract
  • View
  • Download
  • Twitter
Copy and paste a formatted citation
Spandidos Publications style
Xia Y, Hong Q, Gao Z, Wang S and Duan S: Somatically acquired mutations in primary myelofibrosis: A case report and meta‑analysis. Exp Ther Med 21: 193, 2021.
APA
Xia, Y., Hong, Q., Gao, Z., Wang, S., & Duan, S. (2021). Somatically acquired mutations in primary myelofibrosis: A case report and meta‑analysis. Experimental and Therapeutic Medicine, 21, 193. https://doi.org/10.3892/etm.2021.9625
MLA
Xia, Y., Hong, Q., Gao, Z., Wang, S., Duan, S."Somatically acquired mutations in primary myelofibrosis: A case report and meta‑analysis". Experimental and Therapeutic Medicine 21.3 (2021): 193.
Chicago
Xia, Y., Hong, Q., Gao, Z., Wang, S., Duan, S."Somatically acquired mutations in primary myelofibrosis: A case report and meta‑analysis". Experimental and Therapeutic Medicine 21, no. 3 (2021): 193. https://doi.org/10.3892/etm.2021.9625
Copy and paste a formatted citation
x
Spandidos Publications style
Xia Y, Hong Q, Gao Z, Wang S and Duan S: Somatically acquired mutations in primary myelofibrosis: A case report and meta‑analysis. Exp Ther Med 21: 193, 2021.
APA
Xia, Y., Hong, Q., Gao, Z., Wang, S., & Duan, S. (2021). Somatically acquired mutations in primary myelofibrosis: A case report and meta‑analysis. Experimental and Therapeutic Medicine, 21, 193. https://doi.org/10.3892/etm.2021.9625
MLA
Xia, Y., Hong, Q., Gao, Z., Wang, S., Duan, S."Somatically acquired mutations in primary myelofibrosis: A case report and meta‑analysis". Experimental and Therapeutic Medicine 21.3 (2021): 193.
Chicago
Xia, Y., Hong, Q., Gao, Z., Wang, S., Duan, S."Somatically acquired mutations in primary myelofibrosis: A case report and meta‑analysis". Experimental and Therapeutic Medicine 21, no. 3 (2021): 193. https://doi.org/10.3892/etm.2021.9625
Follow us
  • Twitter
  • LinkedIn
  • Facebook
About
  • Spandidos Publications
  • Careers
  • Cookie Policy
  • Privacy Policy
How can we help?
  • Help
  • Live Chat
  • Contact
  • Email to our Support Team