Spandidos Publications Logo
  • About
    • About Spandidos
    • Aims and Scopes
    • Abstracting and Indexing
    • Editorial Policies
    • Reprints and Permissions
    • Job Opportunities
    • Terms and Conditions
    • Contact
  • Journals
    • All Journals
    • Oncology Letters
      • Oncology Letters
      • Information for Authors
      • Editorial Policies
      • Editorial Board
      • Aims and Scope
      • Abstracting and Indexing
      • Bibliographic Information
      • Archive
    • International Journal of Oncology
      • International Journal of Oncology
      • Information for Authors
      • Editorial Policies
      • Editorial Board
      • Aims and Scope
      • Abstracting and Indexing
      • Bibliographic Information
      • Archive
    • Molecular and Clinical Oncology
      • Molecular and Clinical Oncology
      • Information for Authors
      • Editorial Policies
      • Editorial Board
      • Aims and Scope
      • Abstracting and Indexing
      • Bibliographic Information
      • Archive
    • Experimental and Therapeutic Medicine
      • Experimental and Therapeutic Medicine
      • Information for Authors
      • Editorial Policies
      • Editorial Board
      • Aims and Scope
      • Abstracting and Indexing
      • Bibliographic Information
      • Archive
    • International Journal of Molecular Medicine
      • International Journal of Molecular Medicine
      • Information for Authors
      • Editorial Policies
      • Editorial Board
      • Aims and Scope
      • Abstracting and Indexing
      • Bibliographic Information
      • Archive
    • Biomedical Reports
      • Biomedical Reports
      • Information for Authors
      • Editorial Policies
      • Editorial Board
      • Aims and Scope
      • Abstracting and Indexing
      • Bibliographic Information
      • Archive
    • Oncology Reports
      • Oncology Reports
      • Information for Authors
      • Editorial Policies
      • Editorial Board
      • Aims and Scope
      • Abstracting and Indexing
      • Bibliographic Information
      • Archive
    • Molecular Medicine Reports
      • Molecular Medicine Reports
      • Information for Authors
      • Editorial Policies
      • Editorial Board
      • Aims and Scope
      • Abstracting and Indexing
      • Bibliographic Information
      • Archive
    • World Academy of Sciences Journal
      • World Academy of Sciences Journal
      • Information for Authors
      • Editorial Policies
      • Editorial Board
      • Aims and Scope
      • Abstracting and Indexing
      • Bibliographic Information
      • Archive
    • International Journal of Functional Nutrition
      • International Journal of Functional Nutrition
      • Information for Authors
      • Editorial Policies
      • Editorial Board
      • Aims and Scope
      • Abstracting and Indexing
      • Bibliographic Information
      • Archive
    • International Journal of Epigenetics
      • International Journal of Epigenetics
      • Information for Authors
      • Editorial Policies
      • Editorial Board
      • Aims and Scope
      • Abstracting and Indexing
      • Bibliographic Information
      • Archive
    • Medicine International
      • Medicine International
      • Information for Authors
      • Editorial Policies
      • Editorial Board
      • Aims and Scope
      • Abstracting and Indexing
      • Bibliographic Information
      • Archive
  • Articles
  • Information
    • Information for Authors
    • Information for Reviewers
    • Information for Librarians
    • Information for Advertisers
    • Conferences
  • Language Editing
Spandidos Publications Logo
  • About
    • About Spandidos
    • Aims and Scopes
    • Abstracting and Indexing
    • Editorial Policies
    • Reprints and Permissions
    • Job Opportunities
    • Terms and Conditions
    • Contact
  • Journals
    • All Journals
    • Biomedical Reports
      • Information for Authors
      • Editorial Policies
      • Editorial Board
      • Aims and Scope
      • Abstracting and Indexing
      • Bibliographic Information
      • Archive
    • Experimental and Therapeutic Medicine
      • Information for Authors
      • Editorial Policies
      • Editorial Board
      • Aims and Scope
      • Abstracting and Indexing
      • Bibliographic Information
      • Archive
    • International Journal of Epigenetics
      • Information for Authors
      • Editorial Policies
      • Editorial Board
      • Aims and Scope
      • Abstracting and Indexing
      • Bibliographic Information
      • Archive
    • International Journal of Functional Nutrition
      • Information for Authors
      • Editorial Policies
      • Editorial Board
      • Aims and Scope
      • Abstracting and Indexing
      • Bibliographic Information
      • Archive
    • International Journal of Molecular Medicine
      • Information for Authors
      • Editorial Policies
      • Editorial Board
      • Aims and Scope
      • Abstracting and Indexing
      • Bibliographic Information
      • Archive
    • International Journal of Oncology
      • Information for Authors
      • Editorial Policies
      • Editorial Board
      • Aims and Scope
      • Abstracting and Indexing
      • Bibliographic Information
      • Archive
    • Medicine International
      • Information for Authors
      • Editorial Policies
      • Editorial Board
      • Aims and Scope
      • Abstracting and Indexing
      • Bibliographic Information
      • Archive
    • Molecular and Clinical Oncology
      • Information for Authors
      • Editorial Policies
      • Editorial Board
      • Aims and Scope
      • Abstracting and Indexing
      • Bibliographic Information
      • Archive
    • Molecular Medicine Reports
      • Information for Authors
      • Editorial Policies
      • Editorial Board
      • Aims and Scope
      • Abstracting and Indexing
      • Bibliographic Information
      • Archive
    • Oncology Letters
      • Information for Authors
      • Editorial Policies
      • Editorial Board
      • Aims and Scope
      • Abstracting and Indexing
      • Bibliographic Information
      • Archive
    • Oncology Reports
      • Information for Authors
      • Editorial Policies
      • Editorial Board
      • Aims and Scope
      • Abstracting and Indexing
      • Bibliographic Information
      • Archive
    • World Academy of Sciences Journal
      • Information for Authors
      • Editorial Policies
      • Editorial Board
      • Aims and Scope
      • Abstracting and Indexing
      • Bibliographic Information
      • Archive
  • Articles
  • Information
    • For Authors
    • For Reviewers
    • For Librarians
    • For Advertisers
    • Conferences
  • Language Editing
Login Register Submit
  • This site uses cookies
  • You can change your cookie settings at any time by following the instructions in our Cookie Policy. To find out more, you may read our Privacy Policy.

    I agree
Search articles by DOI, keyword, author or affiliation
Search
Advanced Search
presentation
Experimental and Therapeutic Medicine
Join Editorial Board Propose a Special Issue
Print ISSN: 1792-0981 Online ISSN: 1792-1015
Journal Cover
April-2022 Volume 23 Issue 4

Full Size Image

Sign up for eToc alerts
Recommend to Library

Journals

International Journal of Molecular Medicine

International Journal of Molecular Medicine

International Journal of Molecular Medicine is an international journal devoted to molecular mechanisms of human disease.

International Journal of Oncology

International Journal of Oncology

International Journal of Oncology is an international journal devoted to oncology research and cancer treatment.

Molecular Medicine Reports

Molecular Medicine Reports

Covers molecular medicine topics such as pharmacology, pathology, genetics, neuroscience, infectious diseases, molecular cardiology, and molecular surgery.

Oncology Reports

Oncology Reports

Oncology Reports is an international journal devoted to fundamental and applied research in Oncology.

Experimental and Therapeutic Medicine

Experimental and Therapeutic Medicine

Experimental and Therapeutic Medicine is an international journal devoted to laboratory and clinical medicine.

Oncology Letters

Oncology Letters

Oncology Letters is an international journal devoted to Experimental and Clinical Oncology.

Biomedical Reports

Biomedical Reports

Explores a wide range of biological and medical fields, including pharmacology, genetics, microbiology, neuroscience, and molecular cardiology.

Molecular and Clinical Oncology

Molecular and Clinical Oncology

International journal addressing all aspects of oncology research, from tumorigenesis and oncogenes to chemotherapy and metastasis.

World Academy of Sciences Journal

World Academy of Sciences Journal

Multidisciplinary open-access journal spanning biochemistry, genetics, neuroscience, environmental health, and synthetic biology.

International Journal of Functional Nutrition

International Journal of Functional Nutrition

Open-access journal combining biochemistry, pharmacology, immunology, and genetics to advance health through functional nutrition.

International Journal of Epigenetics

International Journal of Epigenetics

Publishes open-access research on using epigenetics to advance understanding and treatment of human disease.

Medicine International

Medicine International

An International Open Access Journal Devoted to General Medicine.

Journal Cover
April-2022 Volume 23 Issue 4

Full Size Image

Sign up for eToc alerts
Recommend to Library

  • Article
  • Citations
    • Cite This Article
    • Download Citation
    • Create Citation Alert
    • Remove Citation Alert
    • Cited By
  • Similar Articles
    • Related Articles (in Spandidos Publications)
    • Similar Articles (Google Scholar)
    • Similar Articles (PubMed)
  • Download PDF
  • Download XML
  • View XML
Article Open Access

Kidney and lung injury in rats following acute diquat exposure

  • Authors:
    • Yuzheng Wu
    • Siqi Cui
    • Wenjun Wang
    • Tianzi Jian
    • Baotian Kan
    • Xiangdong Jian
  • View Affiliations / Copyright

    Affiliations: Department of Poisoning and Occupational Diseases, Emergency Department, Qilu Hospital of Shandong University, Jinan, Shandong 250012, P.R. China, Department of Geriatric Medicine, Qilu Hospital of Shandong University, Jinan, Shandong 250012, P.R. China
    Copyright: © Wu et al. This is an open access article distributed under the terms of Creative Commons Attribution License.
  • Article Number: 275
    |
    Published online on: February 11, 2022
       https://doi.org/10.3892/etm.2022.11201
  • Expand metrics +
Metrics: Total Views: 0 (Spandidos Publications: | PMC Statistics: )
Metrics: Total PDF Downloads: 0 (Spandidos Publications: | PMC Statistics: )
Cited By (CrossRef): 0 citations Loading Articles...

This article is mentioned in:



Abstract

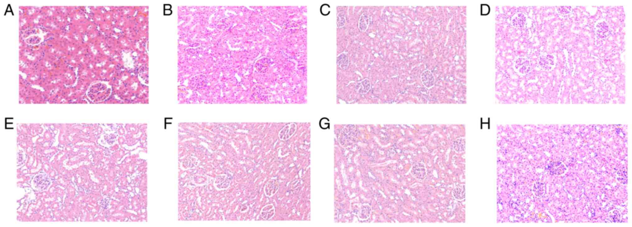
Diquat (1,1'‑ethylene‑2,2'‑bipyridylium) is a type of widely used agricultural chemical, whose toxicity results in damage to numerous tissues, including the lung, liver, kidney and brain. The aim of the present study was to establish a rat model of acute diquat exposure and explore the relationship between diquat concentration, and kidney and lung injury, in order to provide an experimental basis for clinical treatment. A total of 140 healthy adult male Wistar rats were randomly divided into control and exposure groups. The diquat solution was administered intragastrically to the exposure group at 1/2 of the lethal dose (140 mg/kg). An equal volume of water was administered to the control group. The dynamic changes in the plasma and tissue diquat levels were quantitatively determined at 0.5, 1, 2, 4, 8, 16 and 24 h following exposure using liquid chromatography mass spectrometry. The content of hydroxyproline (HYP) in the lung tissues, as well as the levels of blood urea nitrogen (BUN), creatinine (Cr), uric acid (UA), kidney injury molecule‑1 (KIM‑1) and tumor growth factor (TGF)‑β1, were detected using western blot analysis at every time point. Lung and kidney morphology were also assessed. Electron microscopy showed that the degree of renal damage gradually increased with time. Vacuolation gradually increased, some mitochondrial bilayer membrane structures disappeared and lysosomes increased. The lung tissue damage was mild, and the cell membrane integrity and organelles were damaged to varying degrees. The plasma and organ levels of diquat peaked at ~2 h, followed by a steady decrease, depending on the excretion rate. Over time, the serum concentrations of UA, BUN, Cr and KIM‑1 were all significantly increased (P<0.05). Serum KIM‑1 in rats was increased after 0.5 h, and was significantly increased after 4 h, suggesting that KIM‑1 is an effective predictor of early renal injury. Early TGF‑β1 expression was clearly observed in renal tissue, while no clear TGF‑β1 expression was observed in the lung tissue. In conclusion, the concentration of diquat in the serum and tissue of rats with acute diquat poisoning peaked at an early stage and then rapidly decreased. The renal function damage and pathological changes persisted, the lung tissue was slightly damaged with inflammatory cell infiltration, and early pulmonary fibrosis injury was not obvious.
View Figures

Figure 1

Figure 2

Figure 3

Figure 4

Figure 5

Figure 6

Figure 7

Figure 8

View References

1 

Ameno K, Fuke C, Shirakawa Y, Ogura S, Ameno S, Kiriu T, Kinoshita H and Ijiri I: Different distribution of paraquat and diquat in human poisoning cases after ingestion of a combined herbicide. Arch Toxicol. 68:134–137. 1994.PubMed/NCBI View Article : Google Scholar

2 

Van Vleet TR and Schnellmann RG: Toxic nephropathy: Environmental chemicals. Semin Nephrol. 23:500–508. 2000.PubMed/NCBI View Article : Google Scholar

3 

Jones GM and Vale JA: Mechanisms of toxicity, clinical features, and management of diquat poisoning: A review. J Toxicol Clin Toxicol. 38:123–128. 2000.PubMed/NCBI View Article : Google Scholar

4 

Fortenberry GZ, Beckman J, Schwartz A, Prado JB, Graham LS, Higgins S, Lackovic M, Mulay P, Bojes H, Waltz J, et al: Magnitude and characteristics of acute paraquat- and diquat-related illnesses in the US: 1998-2013. Environ Res. 146:191–199. 2016.PubMed/NCBI View Article : Google Scholar

5 

Magalhães N, Carvalho F and Dinis-Oliveira RJ: Human and experimental toxicology of diquat poisoning: Toxicokinetics, mechanisms of toxicity, clinical features, and treatment. Hum Exp Toxicol. 37:1131–1160. 2018.PubMed/NCBI View Article : Google Scholar

6 

Dinis-Oliveira RJ, Duarte JA, Sánchez-Navarro A, Remião F, Bastos ML and Carvalho F: Paraquat poisonings: Mechanisms of lung toxicity, clinical features, and treatment. Crit Rev Toxicol. 38:13–71. 2008.PubMed/NCBI View Article : Google Scholar

7 

Fussell KC, Udasin RG, Gray JP, Mishin V, Smith PJ, Heck DE and Laskin JD: Redox cycling and increased oxygen utilization contribute to diquat-induced oxidative stress and cytotoxicity in Chinese hamster ovary cells overexpressing NADPH-cytochrome P450 reductase. Free Radic Biol Med. 50:874–882. 2011.PubMed/NCBI View Article : Google Scholar

8 

Vanholder R, Colardyn F, De Reuck J, Praet M, Lameire N and Ringoir S: Diquat intoxication: Report of two cases and review of the literature. Am J Med Jun. 70:1267–1271. 1981.PubMed/NCBI View Article : Google Scholar

9 

Clark DG and Hurst EW: The toxicity of diquat. Br J Ind Med. 27:51–55. 1970.PubMed/NCBI View Article : Google Scholar

10 

Rose MS, Crabtree HC, Fletcher K and Wyatt I: Biochemical effects of diquat and paraquat. Disturbance of the control of corticosteroid synthesis in rat adrenal and subsequent effects on the control of liver glycogen utilization. Biochem J. 138:437–443. 1974.PubMed/NCBI View Article : Google Scholar

11 

Lock EA: The effect of paraquat and diquat on renal function in the rat. Toxicol Appl Pharmacol. 48:327–336. 1979.PubMed/NCBI View Article : Google Scholar

12 

Zhang J, Zhao Y, Bai Y, Lv G, Wu J and Chen Y: The significance of serum uric acid level in humans with acute paraquat poisoning. Sci Rep. 5(9168)2015.PubMed/NCBI View Article : Google Scholar

13 

Djukic M, Jovanovic MD, Ninkovic M, Stevanovic I, Curcic M, Topic A, Vujanovic D and Djurdjevic D: Intrastriatal pre-treatment with L-NAME protects rats from diquat neurotoxcity. Ann Agric Environ Med. 19:666–672. 2012.PubMed/NCBI

14 

Rogers LK, Bates CM, Welty SE and Smith CV: Diquat induces renal proximal tubule injury in glutathione reductase-deficient mice. Toxicol Appl Pharmacol. 217:289–298. 2006.PubMed/NCBI View Article : Google Scholar

15 

Kashani K, Cheungpasitporn W and Ronco C: Biomarkers of acute kidney injury: The pathway from discovery to clinical adoption. Clin Chem Lab Med. 55:1074–1089. 2017.PubMed/NCBI View Article : Google Scholar

16 

Calvier L, Chouvarine P, Legchenko E, Hoffmann N, Geldner J, Borchert P, Jonigk D, Mozes MM and Hansmann G: PPARγ Links BMP2 and TGF-β1 pathways in vascular smooth muscle cells, regulating cell proliferation and glucose metabolism. Cell Metab. 25:1118–1134.e7. 2017.PubMed/NCBI View Article : Google Scholar

17 

Kim KK, Sheppard D and Chapman HA: TGF-β1 signaling and tissue fibrosis. Cold Spring Harb Perspect Biol. 10(a022293)2018.PubMed/NCBI View Article : Google Scholar

18 

Wu Z, Hou Y, Dai Z, Hu CA and Wu G: Metabolism, nutrition, and redox signaling of hydroxyproline. Antioxid Redox Signal. 30:674–682. 2019.PubMed/NCBI View Article : Google Scholar

Related Articles

  • Abstract
  • View
  • Download
  • Twitter
Copy and paste a formatted citation
Spandidos Publications style
Wu Y, Cui S, Wang W, Jian T, Kan B and Jian X: Kidney and lung injury in rats following acute diquat exposure. Exp Ther Med 23: 275, 2022.
APA
Wu, Y., Cui, S., Wang, W., Jian, T., Kan, B., & Jian, X. (2022). Kidney and lung injury in rats following acute diquat exposure. Experimental and Therapeutic Medicine, 23, 275. https://doi.org/10.3892/etm.2022.11201
MLA
Wu, Y., Cui, S., Wang, W., Jian, T., Kan, B., Jian, X."Kidney and lung injury in rats following acute diquat exposure". Experimental and Therapeutic Medicine 23.4 (2022): 275.
Chicago
Wu, Y., Cui, S., Wang, W., Jian, T., Kan, B., Jian, X."Kidney and lung injury in rats following acute diquat exposure". Experimental and Therapeutic Medicine 23, no. 4 (2022): 275. https://doi.org/10.3892/etm.2022.11201
Copy and paste a formatted citation
x
Spandidos Publications style
Wu Y, Cui S, Wang W, Jian T, Kan B and Jian X: Kidney and lung injury in rats following acute diquat exposure. Exp Ther Med 23: 275, 2022.
APA
Wu, Y., Cui, S., Wang, W., Jian, T., Kan, B., & Jian, X. (2022). Kidney and lung injury in rats following acute diquat exposure. Experimental and Therapeutic Medicine, 23, 275. https://doi.org/10.3892/etm.2022.11201
MLA
Wu, Y., Cui, S., Wang, W., Jian, T., Kan, B., Jian, X."Kidney and lung injury in rats following acute diquat exposure". Experimental and Therapeutic Medicine 23.4 (2022): 275.
Chicago
Wu, Y., Cui, S., Wang, W., Jian, T., Kan, B., Jian, X."Kidney and lung injury in rats following acute diquat exposure". Experimental and Therapeutic Medicine 23, no. 4 (2022): 275. https://doi.org/10.3892/etm.2022.11201
Follow us
  • Twitter
  • LinkedIn
  • Facebook
About
  • Spandidos Publications
  • Careers
  • Cookie Policy
  • Privacy Policy
How can we help?
  • Help
  • Live Chat
  • Contact
  • Email to our Support Team