Spandidos Publications Logo
  • About
    • About Spandidos
    • Aims and Scopes
    • Abstracting and Indexing
    • Editorial Policies
    • Reprints and Permissions
    • Job Opportunities
    • Terms and Conditions
    • Contact
  • Journals
    • All Journals
    • Oncology Letters
      • Oncology Letters
      • Information for Authors
      • Editorial Policies
      • Editorial Board
      • Aims and Scope
      • Abstracting and Indexing
      • Bibliographic Information
      • Archive
    • International Journal of Oncology
      • International Journal of Oncology
      • Information for Authors
      • Editorial Policies
      • Editorial Board
      • Aims and Scope
      • Abstracting and Indexing
      • Bibliographic Information
      • Archive
    • Molecular and Clinical Oncology
      • Molecular and Clinical Oncology
      • Information for Authors
      • Editorial Policies
      • Editorial Board
      • Aims and Scope
      • Abstracting and Indexing
      • Bibliographic Information
      • Archive
    • Experimental and Therapeutic Medicine
      • Experimental and Therapeutic Medicine
      • Information for Authors
      • Editorial Policies
      • Editorial Board
      • Aims and Scope
      • Abstracting and Indexing
      • Bibliographic Information
      • Archive
    • International Journal of Molecular Medicine
      • International Journal of Molecular Medicine
      • Information for Authors
      • Editorial Policies
      • Editorial Board
      • Aims and Scope
      • Abstracting and Indexing
      • Bibliographic Information
      • Archive
    • Biomedical Reports
      • Biomedical Reports
      • Information for Authors
      • Editorial Policies
      • Editorial Board
      • Aims and Scope
      • Abstracting and Indexing
      • Bibliographic Information
      • Archive
    • Oncology Reports
      • Oncology Reports
      • Information for Authors
      • Editorial Policies
      • Editorial Board
      • Aims and Scope
      • Abstracting and Indexing
      • Bibliographic Information
      • Archive
    • Molecular Medicine Reports
      • Molecular Medicine Reports
      • Information for Authors
      • Editorial Policies
      • Editorial Board
      • Aims and Scope
      • Abstracting and Indexing
      • Bibliographic Information
      • Archive
    • World Academy of Sciences Journal
      • World Academy of Sciences Journal
      • Information for Authors
      • Editorial Policies
      • Editorial Board
      • Aims and Scope
      • Abstracting and Indexing
      • Bibliographic Information
      • Archive
    • International Journal of Functional Nutrition
      • International Journal of Functional Nutrition
      • Information for Authors
      • Editorial Policies
      • Editorial Board
      • Aims and Scope
      • Abstracting and Indexing
      • Bibliographic Information
      • Archive
    • International Journal of Epigenetics
      • International Journal of Epigenetics
      • Information for Authors
      • Editorial Policies
      • Editorial Board
      • Aims and Scope
      • Abstracting and Indexing
      • Bibliographic Information
      • Archive
    • Medicine International
      • Medicine International
      • Information for Authors
      • Editorial Policies
      • Editorial Board
      • Aims and Scope
      • Abstracting and Indexing
      • Bibliographic Information
      • Archive
  • Articles
  • Information
    • Information for Authors
    • Information for Reviewers
    • Information for Librarians
    • Information for Advertisers
    • Conferences
  • Language Editing
Spandidos Publications Logo
  • About
    • About Spandidos
    • Aims and Scopes
    • Abstracting and Indexing
    • Editorial Policies
    • Reprints and Permissions
    • Job Opportunities
    • Terms and Conditions
    • Contact
  • Journals
    • All Journals
    • Biomedical Reports
      • Information for Authors
      • Editorial Policies
      • Editorial Board
      • Aims and Scope
      • Abstracting and Indexing
      • Bibliographic Information
      • Archive
    • Experimental and Therapeutic Medicine
      • Information for Authors
      • Editorial Policies
      • Editorial Board
      • Aims and Scope
      • Abstracting and Indexing
      • Bibliographic Information
      • Archive
    • International Journal of Epigenetics
      • Information for Authors
      • Editorial Policies
      • Editorial Board
      • Aims and Scope
      • Abstracting and Indexing
      • Bibliographic Information
      • Archive
    • International Journal of Functional Nutrition
      • Information for Authors
      • Editorial Policies
      • Editorial Board
      • Aims and Scope
      • Abstracting and Indexing
      • Bibliographic Information
      • Archive
    • International Journal of Molecular Medicine
      • Information for Authors
      • Editorial Policies
      • Editorial Board
      • Aims and Scope
      • Abstracting and Indexing
      • Bibliographic Information
      • Archive
    • International Journal of Oncology
      • Information for Authors
      • Editorial Policies
      • Editorial Board
      • Aims and Scope
      • Abstracting and Indexing
      • Bibliographic Information
      • Archive
    • Medicine International
      • Information for Authors
      • Editorial Policies
      • Editorial Board
      • Aims and Scope
      • Abstracting and Indexing
      • Bibliographic Information
      • Archive
    • Molecular and Clinical Oncology
      • Information for Authors
      • Editorial Policies
      • Editorial Board
      • Aims and Scope
      • Abstracting and Indexing
      • Bibliographic Information
      • Archive
    • Molecular Medicine Reports
      • Information for Authors
      • Editorial Policies
      • Editorial Board
      • Aims and Scope
      • Abstracting and Indexing
      • Bibliographic Information
      • Archive
    • Oncology Letters
      • Information for Authors
      • Editorial Policies
      • Editorial Board
      • Aims and Scope
      • Abstracting and Indexing
      • Bibliographic Information
      • Archive
    • Oncology Reports
      • Information for Authors
      • Editorial Policies
      • Editorial Board
      • Aims and Scope
      • Abstracting and Indexing
      • Bibliographic Information
      • Archive
    • World Academy of Sciences Journal
      • Information for Authors
      • Editorial Policies
      • Editorial Board
      • Aims and Scope
      • Abstracting and Indexing
      • Bibliographic Information
      • Archive
  • Articles
  • Information
    • For Authors
    • For Reviewers
    • For Librarians
    • For Advertisers
    • Conferences
  • Language Editing
Login Register Submit
  • This site uses cookies
  • You can change your cookie settings at any time by following the instructions in our Cookie Policy. To find out more, you may read our Privacy Policy.

    I agree
Search articles by DOI, keyword, author or affiliation
Search
Advanced Search
presentation
Experimental and Therapeutic Medicine
Join Editorial Board Propose a Special Issue
Print ISSN: 1792-0981 Online ISSN: 1792-1015
Journal Cover
May-2022 Volume 23 Issue 5

Full Size Image

Sign up for eToc alerts
Recommend to Library

Journals

International Journal of Molecular Medicine

International Journal of Molecular Medicine

International Journal of Molecular Medicine is an international journal devoted to molecular mechanisms of human disease.

International Journal of Oncology

International Journal of Oncology

International Journal of Oncology is an international journal devoted to oncology research and cancer treatment.

Molecular Medicine Reports

Molecular Medicine Reports

Covers molecular medicine topics such as pharmacology, pathology, genetics, neuroscience, infectious diseases, molecular cardiology, and molecular surgery.

Oncology Reports

Oncology Reports

Oncology Reports is an international journal devoted to fundamental and applied research in Oncology.

Experimental and Therapeutic Medicine

Experimental and Therapeutic Medicine

Experimental and Therapeutic Medicine is an international journal devoted to laboratory and clinical medicine.

Oncology Letters

Oncology Letters

Oncology Letters is an international journal devoted to Experimental and Clinical Oncology.

Biomedical Reports

Biomedical Reports

Explores a wide range of biological and medical fields, including pharmacology, genetics, microbiology, neuroscience, and molecular cardiology.

Molecular and Clinical Oncology

Molecular and Clinical Oncology

International journal addressing all aspects of oncology research, from tumorigenesis and oncogenes to chemotherapy and metastasis.

World Academy of Sciences Journal

World Academy of Sciences Journal

Multidisciplinary open-access journal spanning biochemistry, genetics, neuroscience, environmental health, and synthetic biology.

International Journal of Functional Nutrition

International Journal of Functional Nutrition

Open-access journal combining biochemistry, pharmacology, immunology, and genetics to advance health through functional nutrition.

International Journal of Epigenetics

International Journal of Epigenetics

Publishes open-access research on using epigenetics to advance understanding and treatment of human disease.

Medicine International

Medicine International

An International Open Access Journal Devoted to General Medicine.

Journal Cover
May-2022 Volume 23 Issue 5

Full Size Image

Sign up for eToc alerts
Recommend to Library

  • Article
  • Citations
    • Cite This Article
    • Download Citation
    • Create Citation Alert
    • Remove Citation Alert
    • Cited By
  • Similar Articles
    • Related Articles (in Spandidos Publications)
    • Similar Articles (Google Scholar)
    • Similar Articles (PubMed)
  • Download PDF
  • Download XML
  • View XML
Article Open Access

Radiation‑induced enterocolitis after combination therapy with palliative radiotherapy and immune checkpoint inhibitors in patients with metastatic lung cancer

  • Authors:
    • Kenji Makita
    • Yasushi Hamamoto
    • Hiromitsu Kanzaki
    • Kei Nagasaki
    • Yoshifumi Sugawara
    • Takashi Ninomiya
    • Daijiro Harada
    • Toshiyuki Kozuki
  • View Affiliations / Copyright

    Affiliations: Department of Radiation Oncology, National Hospital Organization Shikoku Cancer Center, Matsuyama, Ehime 791‑0280, Japan, Department of Diagnostic Radiology, National Hospital Organization Shikoku Cancer Center, Matsuyama, Ehime 791‑0280, Japan, Department of Thoracic Oncology and Medicine, National Hospital Organization Shikoku Cancer Center, Matsuyama, Ehime 791‑0280, Japan
    Copyright: © Makita et al. This is an open access article distributed under the terms of Creative Commons Attribution License.
  • Article Number: 336
    |
    Published online on: March 18, 2022
       https://doi.org/10.3892/etm.2022.11266
  • Expand metrics +
Metrics: Total Views: 0 (Spandidos Publications: | PMC Statistics: )
Metrics: Total PDF Downloads: 0 (Spandidos Publications: | PMC Statistics: )
Cited By (CrossRef): 0 citations Loading Articles...

This article is mentioned in:



Abstract

The impact of immune checkpoint inhibitors (ICIs) on radiation‑induced enterocolitis (RIE) after palliative radiotherapy (PRT) to the bowel has remained to be fully investigated. The aim of the present study was to investigate whether ICIs affect RIE after PRT. For this purpose, 32 lesions (vertebral bone, 13; pelvic bone, 12; adrenal gland, 3; lymph node, 3; liver, 1) in 28 patients with metastatic lung cancer who were treated with both PRT involving the bowel (8‑48 Gy; typically 30 Gy in 10 fractions or 20 Gy in 5 fractions) and ICIs between December 2015 and June 2021 were retrospectively reviewed. A total of 12 lesions were treated with ICIs only prior to PRT, 16 received ICIs only after PRT and the remaining 4 received ICIs both prior to and after PRT. The 1‑year overall survival rate was 53%. The median PRT dose was 30 Gy (range, 8‑48 Gy) in 10 fractions (range, 1‑24 fractions). The median interval between PRT and the closest administration of ICIs was 20.5 days (range, 1‑212 days). Combination therapy with PRT and ICIs was well tolerated by the majority of patients. However, grade 2 or higher RIE occurred in 6.3% of the patients. In these patients, ICIs were administered within 7 days after completing PRT with 3.6 Gy or a higher‑fraction dose (evaluated at the isocenter). There were significant differences in the incidence of RIE between administration of ICIs <7 days after PRT completion and ≥7 days (P=0.05), between <3.6 Gy per fraction and ≥3.6 Gy (p=0.04), and between maximum dose to 2 cc (D2cc) of large bowel <3.3 Gy and D2cc of large bowel ≥3.3 Gy (P=0.02). There was no clear association between the incidence of RIE and any other factors. These results suggest that the administration of ICIs soon after PRT completion and a comparatively high fraction dose may potentially increase the risk of grade 2 or higher RIE.

Introduction

In recent years, significant progress has been made regarding systemic therapies for lung cancer. For patients with advanced, epidermal growth factor receptor (EGFR) mutation-positive non-small-cell lung cancer (NSCLC) in particular, EGFR tyrosine kinase inhibitors are widely used as the first-line therapy and provide significantly improved overall survival (OS) (1,2). However, NSCLC frequently gains resistance to these drug therapies during the course of treatment. In such cases, immune checkpoint inhibitors (ICIs) with or without chemotherapy are alternatives for treating NSCLC that is resistant to cytotoxic chemotherapies/molecular targeted therapies or does not have any EGFR mutations.

ICIs, including inhibitors of programmed cell death protein 1 (PD-1), programmed death-ligand 1 (PD-L1) and cytotoxic T-lymphocyte-associated protein 4 (CTLA-4), are widely used in patients with advanced NSCLC. However, a variety of immune-related adverse events (irAEs) after the administration of ICIs have been reported. IrAEs occur in ~45% of patients with NSCLC. Endocrine, gastrointestinal and dermatologic toxicities are common events associated with irAE (3,4). The incidence of fatal irAEs is ~1% (5).

In palliative radiotherapy (PRT), the delivered doses are lower than the maximum tolerated doses of gastrointestinal tissues [mean PRT equivalent dose in 2 Gy fractions (EQD2), 36 Gy; maximum tolerance dose of small bowel, 50 Gy; maximum tolerance dose of large bowel, 55 Gy) (6). In PRT, the delivered doses (mean PRT EQD2, 36 Gy) are lower than the maximum tolerated dose of gastrointestinal tissue. However, there is a possibility that RT toxicity in the bowel is enhanced when RT and ICIs are combined. Regarding combination therapy of PRT and ICIs, certain studies suggested that it is well-tolerated (7-9). They reported that the incidence of colitis in patients treated with PRT involving the bowel was 5% or less and gastrointestinal toxicities did not increase. However, these studies were limited by the heterogeneity of patients and treatments. Therefore, further studies on the safety of PRT and ICI combination therapy are required.

In a study of adjuvant ICIs with durvalumab after definitive chemoradiotherapy for NSCLC (PACIFIC study), adjuvant ICI therapy appeared to slightly increase the incidence of pneumonitis (statistically not significant) (10). Patel et al (11) suggested that T- and natural killer (NK) cell infiltration are enhanced in lesions treated with low-dose radiotherapy. These results suggest that activated T- and NK cells accumulate in normal tissue damaged by RT and these accumulated T- and NK cells damage the tissue further. Based on these studies, the administration of ICIs may have the potential to enhance radiation toxicity. Despite the comparatively lower dose and small irradiation field size, administration of ICIs may also increase the toxicity of PRT. To the best of our knowledge, only a small number of studies have investigated whether gastrointestinal toxicities are associated with combination therapy of PRT and ICIs (7). Therefore, the present retrospective study aimed to investigate the occurrence of radiation-induced enterocolitis (RIE) after the administration of a combination therapy of PRT and ICIs in patients with metastatic lung cancer.

Patients and methods

A total of 45 abdominal-pelvic metastatic lesions in 38 patients with lung cancer who were treated with PRT involving the bowel and ICIs (a PD-1/L1 inhibitor and/or a CTLA-4 inhibitor) between December 2015 and June 2021 were reviewed. Of these, patients who did not undergo follow-up computed tomography (CT) after treatment (n=12) and those in whom the interval between PRT and closest administration of ICIs was more than one year (n=4) were excluded from this study. Finally, the remaining 32 lesions in 28 patients were retrospectively evaluated. This retrospective study was approved by the institutional review board (Shikoku Cancer Center, Ehime, Japan). An opt-out form of consent was used to obtain consent for this study.

PRT doses were determined at the discretion of each physician and 30 Gy in 10 fractions was the most frequently used regimen. To compare the different dose-fraction schedules, total doses of PRT were calculated with EQD2 values using an α/β ratio of 3 for the bowel. PRT was performed using 6-10 MV linear accelerators (Varian Medical Systems, Inc.) and the doses of the target volumes were ≥90% of the PRT dose in principle. The treatment of all lesions was planned using three-dimensional conformal RT.

RIE after combination therapy of PRT and ICIs was graded using the Common Terminology Criteria for Adverse Events version 5.0(12). The definition of RIE was ‘segmental and circumferential bowel wall thickening and inflammatory stranding in the area of an irradiated field occurring within 6 months after PRT on CT images’. The diagnosis of RIE was based on the patient's symptoms, physical examination and CT imaging and/or colonoscopy. The dose-volume parameters of the large and small bowel were assessed using CT simulation images. The dose-volume parameters of the large and small bowel were analyzed to determine the absolute volume cubic centimeters (cc) receiving doses from 10 to 20 Gy (V10 and V20), as well as the maximum dose to 2 cc volume (D2cc) and D2cc per fraction (D2cc/fr).

Statistical analysis

Kaplan-Meier survival analysis was used to calculate the OS rate and the duration of follow-up was calculated from the initiation of PRT. The statistical significance of differences in OS was evaluated using the generalized Wilcoxon test. The interval between PRT and the closest administration of ICIs was calculated from the date of initiation of PRT if ICIs were administered prior to PRT and the date of completion of PRT if ICIs were administered after PRT. Fisher's exact test was used to examine the relationship between the incidence of RIE and the risk factors. P-values were calculated by rounding to the nearest three decimal places and a two-sided P≤0.05 was considered to indicate statistical significance.

In addition, receiver operating characteristic (ROC) analysis was performed to examine optimal cut-off values of the interval between PRT and the closest administration of ICIs, fraction dose evaluated at the isocenter, total EQD2, V10 Gy, V20 Gy, D2cc and D2cc/fr for the incidence of RIE. Statistical analyses were performed using JMP software (version 14.3.0; SAS Institute, Inc.).

Results

Patients

Data from 32 lesions in 28 patients (one with SCLC and 27 with NSCLC; male/female, 23/5; age 42-75 years, median age, 64 years) were included in the analysis dataset (Table I). Of these, two patients had recurrent distant metastases that were not present at the initial diagnosis, while the remaining 26 had distant metastases at the initial diagnosis. The median follow-up time from the initiation of PRT was nine months (range, 1-41 months).

Table I

Characteristics of the lesions.

Table I

Characteristics of the lesions.

CharacteristicValue (%)
Age, years [range]64.0 [42-75]
     <6517 (53.1)
     ≥6515 (46.9)
Sex 
     Male27 (84.4)
     Female5 (15.6)
PS (ECOG) 
     02 (6.3)
     118 (56.2)
     29 (28.1)
     31 (3.1)
     42 (6.3)
Primary cancer histology 
     Non-small cell lung cancer30 (93.8)
     Small cell lung cancer2 (6.3)
PRT sites 
     Vertebral bone13 (40.6)
     Pelvic bone12 (37.5)
     Adrenal gland3 (9.4)
     Lymph node3 (9.4)
     Liver1 (3.1)
PRT dose, Gy (total dose/number of fractions)30 [8-48]
     8.0/11 (3.1)
     20/54 (12.5)
     28.8/82 (6.3)
     30/1020 (62.5)
     37.5/151 (3.1)
     40/161 (3.1)
     45/181 (3.1)
     45/151 (3.1)
     48/241 (3.1)
Chemotherapy 
     Yes30 (93.8)
          Administration before PRT19 (59.4)
          Administration after PRT28 (87.5)
     No2 (6.3)
Biotherapy 
     Yes9 (28.1)
          Administration before PRT4 (12.5)
          Administration after PRT6 (18.8)
     No23 (71.9)
ICIs therapy 
     Anti-PD-1 monotherapy22 (68.8)
     Anti-PD-L1 monotherapy5 (15.6)
     Anti-PD-1/PD-L1 + anti-CTLA-45 (15.6)
     combination therapy 
No. of ICI cycles [range] 
     Anti-PD1/PD-L1 monotherapy4 [1-30]
     Anti-PD-1/PD-L1 + anti-CTLA-44.0 [1.0-8]
     combination therapy 
Interval between PRT and the closest administration of ICIs, days 
     Administration of ICIs before PRT11 (34.4)
          ≤71 (3.1)
          8-141 (3.1)
          15-304 (12.5)
          31-904 (12.5)
          >901 (3.1)
     Administration of ICIs after PRT17 (53.1)
          ≤74 (12.5)
          8-142 (6.3)
          15-304 (12.5)
          31-904 (12.5)
          >903 (9.4)
     Administration of ICIs before and after PRT4 (12.5)
          ≤73 (9.4)
          8-141 (3.1)

[i] Values are expressed as the median (range) or n (%). PS (ECOG), Performance Status (Eastern Cooperative Oncology Group); PRT, palliative radiotherapy; ICIs, immune checkpoint inhibitors; PD-1, programmed cell death protein 1; PD-L1, programmed death-ligand 1; CTLA-4, cytotoxic T-lymphocyte-associated protein 4.

ROC analysis

The areas under the ROC curves for the incidence of RIE were 0.56 (sensitivity, 100%; specificity, 47%) for the interval between PRT and the closest administration of ICIs, 0.88 (sensitivity, 100%; specificity, 84%) for the fraction dose and 0.54 (sensitivity, 50%; specificity, 87%) for total EQD2. Regarding the dose-volume parameters of the large bowel, the areas under the ROC curve were 0.60 (sensitivity, 100%; specificity, 43%) for V10 Gy, 0.43 (sensitivity, 100%; specificity, 43%) for V20 Gy, 0.37 (sensitivity, 100%; specificity, 27%) for D2cc and 0.92 (sensitivity, 100%; specificity, 90%) for D2cc/fr. For the dose-volume parameters of the small bowel, the areas under the ROC curve were 0.65 (sensitivity, 100%; specificity, 53%) for V10 Gy, 0.58 (sensitivity, 100%; specificity, 50%) for V20 Gy, 0.63 (sensitivity, 100%; specificity, 60%) for D2cc and 0.63 (sensitivity, 50%; specificity, 43%) for D2cc/fr. For the incidence of RIE, the interval between PRT and closest administration of ICIs of 6-10 days, 3.6 Gy per fraction, total EQD2 of 28 Gy, V10 (large bowel) of 67.2 cc, V20 (large bowel) of 49.6 cc, D2cc (large bowel) of 21.2 Gy, D2cc/fr (large bowel) of 3.4 Gy, V10 (small bowel) of 43 cc, V20 (small bowel) of 7.8 cc, D2cc (small bowel) of 19.7 Gy and D2cc/fr (small bowel) of 3.9 Gy corresponded to the maximum sum of sensitivity and specificity.

Treatment

A total of 19 patients with 22 lesions received anti-PD-1 (pembrolizumab or nivolumab) monotherapy, 5 patients with 5 lesions received anti-PD-L1 (durvalumab or atezolizumab) monotherapy and 4 patients with 5 lesions received anti-PD-1/PD-L1 (nivolumab, pembrolizumab or durvalumab) and anti-CTLA-4 (ipilimumab) therapy. Furthermore, 19 lesions were treated with ICIs prior to the initiation of PRT, 19 lesions were treated with ICIs after the initiation of PRT and the remaining 4 lesions were treated with ICIs both prior to and after PRT. The median interval between PRT and the closest administration of ICIs was 20.5 days (range, 1-212 days).

In addition, 17 patients with 19 lesions received chemotherapy prior to PRT and 24 patients with 28 lesions received chemotherapy after PRT. Furthermore, two patients with four lesions (one, bevacizumab; one, erlotinib) and six patients with six lesions (four, ramucirumab; two, bevacizumab) received biotherapy prior to and after PRT, respectively.

The median PRT dose was 30 Gy (range, 8-48 Gy) and the median total EQD2 was 36.0 Gy (range, 17.6-49.5 Gy). In addition, the frequently used dose-fractionation schedules, in sequential order, were as follows for the PRT dose (EQD2): 1x8 Gy (17.6 Gy), 5x4 Gy (28.0 Gy), 8x3.6 Gy (38.0 Gy), 10x3 Gy (36.0 Gy), 15-18x2.5 Gy (41.3-49.5 Gy), 24x2 Gy (48.0 Gy) and 10x2 Gy + 5x3 Gy (38.0 Gy). The irradiated sites were the vertebral bones (n=13), pelvic bones (n=12), adrenal glands (n=3), lymph nodes (n=3) and liver (n=1). The details of patients and lesions characteristics are shown in Table I.

OS

The 1-year OS rate was 53% (Fig. 1). The median survival time in all patients was 10 months (range, 1-41 months) and the median follow-up time in surviving patients was 7 months (range, 1-33 months). The 1-year OS rate in the group in which ICIs were administered after PRT was 70%, while that in the group in which ICIs were not administered after PRT was 38% (P=0.0091).

Figure 1

Overall survival rates.

Factors affecting grade 2 or higher RIE

Grade 2 or higher RIE was observed in 2 patients (2/28 patients, 7.1%; 2/32 lesions, 6.3%; Figs. 2 and 3). Regarding the fraction dose of PRT evaluated at the isocenter, there was a significant difference in the incidence of RIE between <3.6 and ≥3.6 Gy per fraction (P=0.04, Table II). In addition, there tended to be differences in the incidence of RIE between administration of ICIs <7 and ≥7 days after PRT completion (P=0.07). In 19 lesions that were treated with ICIs after PRT, these two factors (<3.6 vs. ≥3.6 Gy per fraction and the administration of ICIs <7 vs. ≥7 days after PRT completion) were associated with significantly different incidences of RIE (P=0.04 and 0.05, respectively; Fig. 4, Table II). In addition, D2cc/fr of the large bowel (<3.4 vs. ≥3.4 Gy) had a significant influence on the incidence of RIE (P=0.02, Table II). However, the other dose-volume parameters of the bowel (V10, V20 and D2cc of small and large bowel) were not associated with the incidence of RIE (Fig. 5, Tables II and III). In addition, age, sex, performance status, PRT sites, total dose (EQD2), chemotherapy and biotherapy were not associated with the incidence of RIE. The clinical and treatment details of subgroups of patients that received >3 Gy per fraction and/or were administered ICIs within seven days after completing PRT are provided in Table IV.

Figure 2

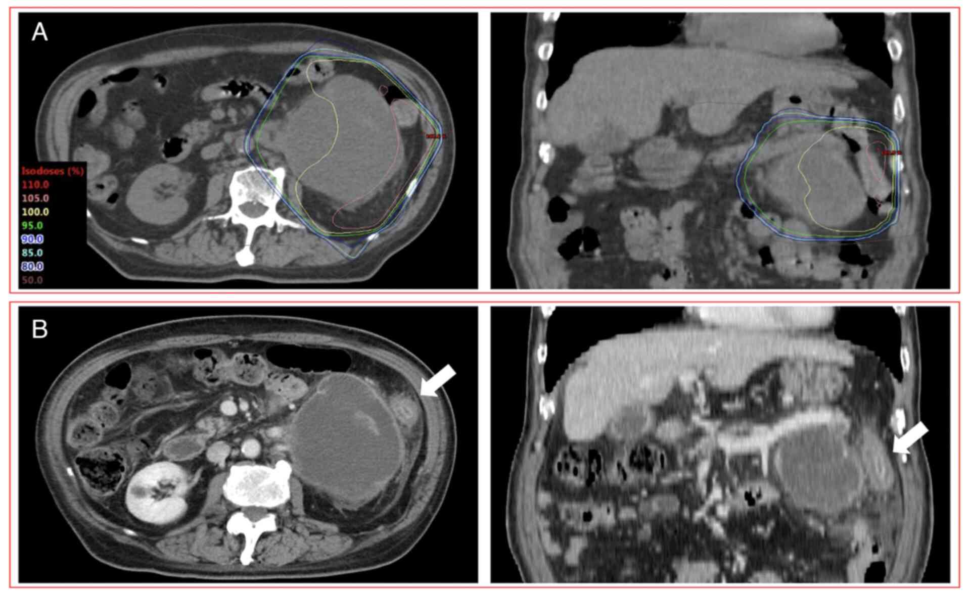
A patient (75 years, male) with grade 4 RIE after PRT involving the large bowel and administration of ICIs. (A) CT images displaying dose distribution of PRT to an adrenal metastasis (20 Gy in 5 fractions); (B) Contrast-enhanced CT images acquired 28 days after completion of PRT. This patient with grade 4 RIE exhibited segmental and circumferential bowel wall thickening, pericolic fat stranding and mucosal hyperenhancement in the area of the irradiated field (white arrow) as seen on CT imaging after receiving combination therapy of PRT and ICIs. Left panel showed transverse images and the right panel showed coronal images. RIE, radiation-induced enterocolitis; PRT, palliative radiotherapy; ICIs, immune checkpoint inhibitors; CT, computed tomography.

Figure 3

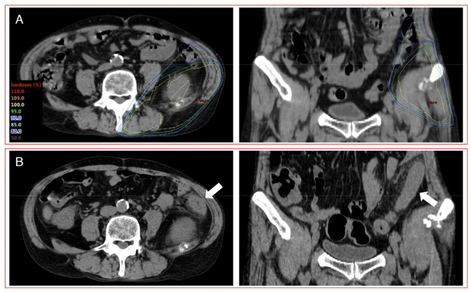
A patient (58 years, male) with grade 2 RIE after PRT involving the large bowel and administration of ICIs. (A) CT images indicating the dose distribution of PRT to an iliac bone metastasis (28.8 Gy in 8 fractions). (B) CT images acquired 17 days after the completion of PRT. This patient developed grade 2 RIE with segmental and circumferential bowel wall thickening and pericolic fat stranding in the area of the irradiated field (white arrow) as observed in CT images after combination therapy with PRT and ICIs. Left panel showed transverse images and the right panel showed coronal images. RIE, radiation-induced enterocolitis; PRT, palliative radiotherapy; ICIs, immune checkpoint inhibitors; CT, computed tomography.

Figure 4

Relationship between the fraction dose and the interval between bowel PRT and the closest administration of ICIs. The blue dotted vertical line in the figure denotes seven days after the completion of PRT (A, <7 days; B, ≥7 days), and the blue dotted horizontal line marks 3 Gy per fraction (a, >3 Gy; b, ≤3 Gy). PRT, palliative radiotherapy; ICIs, immune checkpoint inhibitors.

Figure 5

Dose-volume parameters of the bowel. (A) D2cc of the large bowel. (B) V10 of the large bowel. (C) V20 of the large bowel. (D) D2cc of the small bowel. (E) V10 of the small bowel. (F) V20 of the small bowel. The black diamond on the bar chart denotes the case with grade 4 RIE and the white diamond on the bar chart denotes the case with grade 2 RIE. The D2cc, V10 and V20 in the large and small bowels of all cases were listed in decreasing orders. There was no clear association of these dose-volume parameters between the two cases of grade 2 or higher RIE and the other cases. D2cc, the minimal radiation doses for the most irradiated volumes of 2 cc; V10, percentage of the large or small bowel volume receiving at least 10 Gy; V20, percentage of the large or small bowel volume receiving at least 20 Gy; RIE, radiation-induced enterocolitis.

Table II

Incidence of grade 2 or higher radiation-induced enterocolitis.

Table II

Incidence of grade 2 or higher radiation-induced enterocolitis.

 Administration of ICIs before and/or after PRTAdministration of ICIs after PRT
CharacteristicNo. of lesionsP-valueNo. of lesionsP-value
Age, years 1.00 1.00
     <651/17 1/10 
     ≥651/15 1/9 
Sex 1.00 1.00
     Male2/27 2/16 
     Female0/5 0/3 
PS (ECOG) 0.13 0.12
     0-10/20 0/12 
     2-42/12 2/7 
PRT sites 0.40 0.30
     Bone1/25 1/16 
     Others1/6 1/3 
Total EQD2, Gy 1.00 -
     <280/1 0/0 
     ≥282/31 2/19 
Fraction dose, Gy 0.04 0.04
     <3.60/25 0/15 
     ≥3.62/7 2/4 
Chemotherapy before PRT 1.00 1.00
     Yes1/19 1/9 
     No1/13 1/10 
Chemotherapy after PRT 1.00 -
     Yes2/28 2/19 
     No0/4 0/0 
Biotherapy before PRT 1.00 1.00
     Yes0/4 0/1 
     No2/28 2/18 
Biotherapy after PRT 1.00 1.00
     Yes0/6 0/4 
     No2/26 2/15 
Administration of ICIs before PRT 0.49 1.00
     Yes0/15 0/2 
     No2/17 2/17 
Administration of ICIs after PRT 0.53 0.30
     Yes2/21 1/16 
     No0/11 1/3 
ICIs monotherapy 0.29 0.30
     Yes1/27 1/16 
     No1/5 1/3 
Interval between the closest administration of ICIs and PRT, days 0.07 0.05
     <72/9 2/5 
     ≥70/23 0/14 
V10 of the small bowel 1.00 1.00
     <431/12 1/6 
     ≥431/20 1/13 
V20 of the small bowel 1.00 1.00
     <7.81/16 0/4 
     ≥7.81/16 2/15 
D2cc of the small bowel 1.00 1.00
     <19.71/12 1/6 
     ≥19.71/20 1/13 
D2cc/fr of the small bowel 0.12 0.20
     <3.91/30 1/17 
     ≥3.91/2 1/2 
V10 of the large bowel 0.50 0.51
     <67.20/13 0/7 
     ≥67.22/19 2/12 
V20 of the large bowel 1.00 1.00
     <49.61/18 1/9 
     ≥49.61/14 1/10 
D2cc of the large bowel 1.00 1.00
     <21.20/9 1/11 
     ≥21.22/23 1/8 
D2cc/fr of the large bowel 0.02 0.02
     <3.40/27 0/16 
     ≥3.42/5 2/3 

[i] In all cases (the administration of ICIs before and/or after PRT), fraction dose and D2cc/fr of the large bowel were statistically significant factors for the grade 2 or higher RIE. In cases where ICIs were administered after PRT, fraction dose, D2cc/fr of the large bowel, and the interval between the closest administration of ICIs and PRT were significant factors for the incidence of grade 2 or higher RIE. PS (ECOG), Performance Status (Eastern Cooperative Oncology Group); PRT, palliative radiotherapy; ICIs, immune-checkpoint inhibitors; PD-1, programmed cell death protein 1; PD-L1, programmed death-ligand 1; CTLA-4, cytotoxic T-lymphocyte-associated protein 4; D2cc, the minimal radiation doses for the most irradiated volumes of 2 cc; V10, percentage of the large or small bowel volume that received at least 10 Gy; V20, percentage of the large or small bowel volume that received at least 20 Gy; D2cc/fr, D2cc per fraction; EQD2, equivalent doses at 2 Gy.

Table III

Dose-volume parameters for the patients/lesions.

Table III

Dose-volume parameters for the patients/lesions.

 Large bowel Small bowel
SubgroupEQD2Fraction dosesGrade of enterocolitisD2cc/frD2ccV20V10D2cc/frD2ccV20V10
All36.0 (17.6-49.5)3.0 (2-8)-2.8 (0-7.4)27.0 (0-38.4)33.9 (0-271.5)77.35 (0-456.2)2.8 (0-4.1)26.0 (0-51.6)7.6 (0-247.7)47.7 (0-410.9)
ICIs after PRT36.0 (28.0-49.5)3 (2-4)-2.8 (1.6-4.2)26.9 (9-31.1)37.3 (0-236.4)74.6 (1.7-456.2)2.8 (0-3.9)25.7 (0-29.6)7.3 (0-247.7)48.4 (0-410.9)
No ICIs after PRT36.0 (17.6-41.3)3 (2.5-8)-2.8 (0-7.4)27.3 (0-38.4)29.5 (0-271.5)84.6 (0-355.7)2.9 (0-4.1)28.3 (0-51.6)19.9 (0-144.3)47.0 (0-183.3)
Patient 128.0444.221.249.6141.83.919.70.535.1
Patient 238.03.623.426.938.467.22.419.57.843

[i] Values are expressed as the median (range). In patients with grade 2 or higher RIE, the total dose (EQD2) and dose-volume parameters of the bowel were not substantially different from those of other patients. D2cc, minimal radiation doses for the most irradiated volumes of 2 cc; V10, percentage of the large or small bowel volume that received at least 10 Gy; V20, percentage of the large or small bowel volume that received at least 20 Gy; D2cc/fr, D2cc per fraction; EQD2, equivalent doses at 2 Gy; RIE, radiation-induced enterocolitis.

Table IV

Characteristics of patients/lesions given >3 Gy per fraction or ICIs within 7 days after PRT.

Table IV

Characteristics of patients/lesions given >3 Gy per fraction or ICIs within 7 days after PRT.

A, Series with grade 2 or higher RIE
PatientAgeSexPS (ECOG)Grade of enterocolitisPRT sitesTotal dose in Gy/fractionsICIs therapyInterval between PRT and closest administration of ICIsTiming of onset of RIE symptomsCT imageMax fraction dose of descending colon, Gy (%)
175Male24Adrenal gland20.0/5.0Anti-PD-L1 monotherapy1 day after completion of PRT8 days after completion of PRTDescending colitis4.28(107)
258Male22Pelvic bone28.8/8.0Anti-PD-1 + anti-CTLA-4 combination therapy6 days completion after end of PRT7 days after completion of PRTDescending colitis3.63(104)
B, series received >3 Gy per fraction
PatientAgeSexPS (ECOG)Grade of enterocolitisPRT sitesTotal dose in Gy/fractionsICIs therapyInterval between PRT and closest administration of ICIsTiming of onset of RIE symptomsCT imageMax fraction dose of descending colon, Gy (%)
363Male20Pelvic bone20/5Anti-PD-1 monotherapy75 days before initiation of PRT-No enterocolitis4.12(103)
565Male10Pelvic bone20/5Anti-PD-1 monotherapy67 days after completion of PRT-No enterocolitis4.24(106)
463Male20Vertebral bone20/5Anti-PD-1 monotherapy82 days before initiation of PRT-No enterocolitis3.44(86)
673Male10Vertebral bone28.8/8.0Anti-PD-1 monotherapy72 days after completion of PRT-No enterocolitis3.31(92)
748Male10Vertebral bone8/1.0Anti-PD-L1 monotherapy183 days before initiation of PRT-No enterocolitis7.52(94)
C, Series received the administration of ICIs within seven days after completion of PRT
PatientAgeSexPS (ECOG)Grade of enterocolitisPRT sitesTotal dose in Gy/fractionsICIs therapyInterval between PRT and closest administration of ICIsTiming of onset of RIE symptomsCT imageMax fraction dose of descending colon, Gy (%)
873Male30Pelvic bone30/10Anti-PD-1 monotherapy2 days after completion of PRT-No enterocolitis2.58(86)
967Male00Lymph node48/24Anti-PD-L1 monotherapy3 days after completion of PRT and 26 days before initiation of PRT-No enterocolitis1.21(60)
1064Female10Pelvic bone40/16Anti-PD-1 monotherapy3 days after completion of PRT and 20 days before initiation of PRT-No enterocolitis2.29(92)
1170Male10Pelvic bone30/10Anti-PD-1 monotherapy5 days after completion of PRT-No enterocolitis3.08(103)
1257Male00Adrenal gland45/18Anti-PD-1 monotherapy6 days after completion of PRT and 5 days before initiation of PRT-No enterocolitis1.76(70)

[i] PS (ECOG), Performance Status (Eastern Cooperative Oncology Group); PRT, palliative radiotherapy; RIE, radiation-induced enterocolitis; ICIs, immune checkpoint inhibitors; PD-1, programmed cell death protein 1; PD-L1, programmed death-ligand 1; CTLA-4, cytotoxic T-lymphocyte-associated protein 4.

Cases with grade 2 or higher RIE

Grade 4 RIE was reported in one patient (75 years, male) who received anti-PD-L1 (atezolizumab) monotherapy with chemotherapy (carboplatin and paclitaxel) one day after completing PRT (5x4 Gy) (Fig. 2). After completing PRT, this patient had diarrhea and abdominal pain after 8 days and hematochezia after 18 days. CT images acquired 28 days after the completion of PRT indicated enterocolitis limited to the irradiated field. These symptoms were improved 49 days after the completion of PRT. However, after the third administration of anti-PD-L1 (atezolizumab) monotherapy, enterocolitis deteriorated 98 days after the completion of PRT (11 days after the third ICI administration). Eventually, as colonoscopy performed 128 days after the completion of PRT revealed erosion and angiectasis of the descending colon limited to the irradiated field without neutrophilic infiltration of the intra-epithelial compartment or formation of neutrophilic crypt abscess, this patient was diagnosed with RIE and colostomy was performed. The dose-volume parameters of D2cc, V10 and V20 of the large bowel were 21.2 Gy, 141.8 cc and 49.6 cc, respectively.

Another patient (58 years, male) who had grade 2 RIE was administered anti-PD-1 (nivolumab) plus anti-CTLA-4 (ipilimumab) combination therapy with chemotherapy (carboplatin and pemetrexed) 6 days after the completion of PRT (8x3.6 Gy) (Fig. 3). This patient had diarrhea and abdominal pain 7 days after the completion of PRT. CT images acquired 17 days after the completion of PRT revealed findings of enterocolitis limited to the irradiated field. Biopsy was not performed. The dose-volume parameters of D2cc, V10 and V20 of the large bowel were 26.9 Gy, 67.2 cc and 38.4 cc, respectively.

Discussion

The present study indicated that the combination of PRT involving the bowel and ICIs were well tolerated by a majority of patients. However, RIE of grade 2 or higher was observed in 6.3% (2/32) of patients. In all of these cases, the interval between the administration of ICIs and the completion of PRT was within 7 days and fraction doses were >3.6 Gy (evaluated at the isocenter), and D2cc/fr ≥3.4 Gy. A clear relationship between grade 2 or higher RIE and other dose-volume parameters of the bowel was not observed in patients who received PRT in combination with ICIs. However, it was indicated that a larger fraction dose of PRT and a shorter interval between the administration of ICIs and PRT may affect the incidence of grade 2 or higher RIE.

RIE is typically associated with progressive occlusive vasculitis. Although the role of ICIs in RIE remains elusive, PRT alone, as it involves a comparatively low dose, is unlikely to cause severe RIE (6,13). Bang et al (7) reported that mild colitis was observed in 4% of the patients who received ICIs and PRT to the bowel. The present results also suggested that the incidence of enterocolitis was not high after combination therapy with PRT and ICIs. By contrast, Bang et al (7) indicated that irAEs occurred more frequently when ICIs were administered within 14 days prior to and after PRT compared to when ICIs were administered 14 days or more after PRT (statistically not significant). In the present study, patients who experienced grade 2 or higher RIE received ICIs within 7 days after the completion of PRT. Although the optimal intervals between RT and ICIs to achieve a systemic effect of RT and ICIs remained to be determined (14), the administration of ICIs immediately after PRT may also be a potential risk factor for severe RIE.

In addition, several studies suggested that moderate hypofractionated regimens (6-8 Gy per fraction) may increase the synergistic effect of ICIs (15,16). In the present study, the fraction doses (3.6 and 4 Gy per fraction) in the two patients with RIE were lower than this fraction dose. A fraction dose of >3 Gy (D2cc/fr of large bowel ≥3.4 Gy) may be associated with the risk of severe RIE with PRT and ICI combination therapy. Thus, for combination therapy with PRT and ICIs, two factors, namely the fraction dose and interval between PRT and ICIs, may be important. Furthermore, the interaction between a higher fraction dose of PRT and the interval between PRT and administration of ICIs may be significant in the development of grade 2 or higher RIE.

In addition, elevated levels and imbalance of several cytokines generally result in various symptoms in advanced cancers (17). The RT-induced inflammatory response in the bowel involves the recruitment of activated inflammatory cells (18). These immune cells synthesize and release several different cytokines, inflammatory mediators and reactive oxygen metabolites (19). In addition to the RT-induced inflammatory response, ICIs also promote the activity of immune cells and facilitate autoimmune responses against any organ (20). The combination of these two factors may lead to RIE even when PRT is administered.

In the present study, one patient (3.1%) experienced grade 4 RIE after combination therapy with PRT and ICIs. In this patient, the interaction between PRT and ICIs may have induced severe RIE. Although RIE was initially alleviated in this patient, it worsened again and grade 4 RIE was developed after the subsequent administration of ICIs. Radiation recall phenomenon is an inflammatory reaction that manifests within a previously irradiated field after the administration of a variety of pharmacological agents (21). This grade 4 RIE may have been caused by a radiation recall phenomenon associated with the subsequent administration of ICIs.

There were certain limitations to the present study owing to its retrospective nature and small sample size. Selection bias and confounding factors must also be considered. In addition, based on symptoms alone, accurate differentiation between RIE and irAE is difficult in numerous cases, as RIE and irAE enterocolitis exhibit similar symptoms. Therefore, the present study focused on the importance of CT images in addition to the symptoms of enterocolitis. Although the incidence of mild irAEs in the bowel, such as diarrhea, abdominal pain and nausea, is 12.1-13.7% for anti-PD-1 and 30.2-35.4% for anti-CTLA-4, the incidence of severe irAEs of the bowel (enterocolitis) is 0.7-1.6% for anti-PD-1, 5.7-9.1% for anti-CTLA-4 and 13.6% for the combination of both therapies (22,23). In the present study, the incidence of RIE was similar to the incidence of irAEs of the bowel. However, as the CT images of RIE (grade 2 and 4) were consistent with the irradiated fields and the histology of grade 4 RIE was not typical for an irAE of the bowel, these two cases were diagnosed as RIE. Although irAE enterocolitis and RIE may not be completely separated, the results of the present study suggested that RIE may appear even after administering PRT in combination with ICIs.

Severe RIE may at times be induced by PRT involving the bowel and ICI administration. Although further studies are required, administration of ICIs immediately after PRT with a higher fraction dose (at the isocenter) was indicated to be a risk factor for severe RIE. However, a relationship between dose-volume parameters other than D2cc/fr and RIE was not observed in the present study.

Acknowledgements

Not applicable.

Funding

Funding: No funding was received.

Availability of data and materials

All data generated or analyzed during this study are included in this published article.

Authors' contributions

KM, YH, HK, and KN were involved in the conception and design of the study. KM, YH, HK and KN collected patient data and drafted the manuscript. KM, YH, HK, KN, YS, TN, DH and TK interpreted the data. KM and YH prepared the manuscript and HK, KN, YS and TK edited the manuscript. All authors confirm the authenticity of all the raw data. All authors have read and approved the final manuscript.

Ethics approval and consent to participate

All procedures performed in studies involving human participants were conducted in accordance with the ethical standards of the institutional research committee and with the 1964 Declaration of Helsinki and its later amendments or comparable ethical standards. This retrospective study was approved by the institutional review board (Shikoku Cancer Center, Ehime, Japan).

Patient consent for publication

Patients consented in writing to the possibility of the use of their anonymous data for research at the time of tissue collection. In addition, the Opt-out method was used to obtain consent for this study.

Competing interests

DH received honoraria from MSD, Ono, Kyowa Hakko Kirin, AstraZeneca, Boehringer Ingelheim, TOWA, Chugai, TAIHO, and Eli Lilly, and received research funding MSD, Chugai, AstraZeneca, Eli Lilly, Pfizer, BMS, Novartis, Kissei and Takeda. TK received honoraria from MSD, Ono, Kyowa Hakko Kirin, AstraZeneca, Boehringer Ingelheim, Chugai, TAIHO, Eli Lilly, Bristol Myers Squibb, Pfizer, Merck Biopharma, Nippon Kayaku, Novartis, Daiichi-Sankyo, AbbVie and Bayer, and received research funding MSD, Kyowa Hakko Kirin, AstraZeneca, Eli Lilly, Pfizer, BMS, Novartis, Kissei, Takeda, Chugai, TAIHO, Bristol-Myers, Merck Biopharma, Daiichi-Sankyo, AbbVie and AMGEN. All other authors declare that they have no competing interests.

References

1 

Maemondo M, Inoue A, Kobayashi K, Sugawara S, Oizumi S, Isobe H, Gemma A, Harada M, Yoshizawa H, Kinoshita I, et al: Gefitinib or chemotherapy for non-small-cell lung cancer with mutated EGFR. N Engl J Med. 362:2380–2388. 2010.PubMed/NCBI View Article : Google Scholar

2 

Ramalingam SS, Vansteenkiste J, Planchard D, Cho BC, Gray JE, Ohe Y, Zhou C, Reungwetwattana T, Cheng Y, Chewaskulyong B, et al: Overall survival with Osimertinib in untreated, EGFR-mutated advanced NSCLC. N Engl J Med. 382:41–50. 2020.PubMed/NCBI View Article : Google Scholar

3 

Grangeon M, Tomasini P, Chaleat S, Jeanson A, Souquet-Bressand M, Khobta N, Bermudez J, Trigui Y, Greillier L, Blanchon M, et al: Association between immune-related adverse events and efficacy of immune checkpoint inhibitors in non-small-cell lung cancer. Clin Lung Cancer. 20:201–207. 2019.PubMed/NCBI View Article : Google Scholar

4 

Ricciuti B, Genova C, De Giglio A, Bassanelli M, Dal Bello MG, Metro G, Brambilla M, Baglivo S, Grossi F and Chiari R: Impact of immune-related adverse events on survival in patients with advanced non-small cell lung cancer treated with nivolumab: Long-term outcomes from a multi-institutional analysis. J Cancer Res Clin Oncol. 145:479–485. 2019.PubMed/NCBI View Article : Google Scholar

5 

Wang DY, Salem JE, Cohen JV, Chandra S, Menzer C, Ye F, Zhao S, Das S, Beckermann KE, Ha L, et al: Fatal toxic effects associated with immune checkpoint inhibitors: A systematic review and meta-analysis. JAMA Oncol. 4:1721–1728. 2018.PubMed/NCBI View Article : Google Scholar

6 

Emami B, Lyman J, Brown A, Coia L, Goitein M, Munzenrider JE, Shank B, Solin LJ and Wesson M: Tolerance of normal tissue to therapeutic irradiation. Int J Radiat Oncol Biol Phys. 21:109–122. 1991.PubMed/NCBI View Article : Google Scholar

7 

Bang A, Wilhite TJ, Pike LRG, Cagney DN, Aizer AA, Taylor A, Spektor A, Krishnan M, Ott PA, Balboni TA, et al: Multicenter evaluation of the tolerability of combined treatment with PD-1 and CTLA-4 immune checkpoint inhibitors and palliative radiation therapy. Int J Radiat Oncol Biol Phys. 98:344–351. 2017.PubMed/NCBI View Article : Google Scholar

8 

Qin R, Olson A, Singh B, Thomas S, Wolf S, Bhavsar NA, Hanks BA, Salama JK and Salama AK: Safety and efficacy of radiation therapy in advanced melanoma patients treated with ipilimumab. Int J Radiat Oncol Biol Phys. 96:72–77. 2016.PubMed/NCBI View Article : Google Scholar

9 

Barker CA, Postow MA, Khan SA, Beal K, Parhar PK, Yamada Y, Lee NY and Wolchok JD: Concurrent radiotherapy and ipilimumab immunotherapy for patients with melanoma. Cancer Immunol Res. 1:92–98. 2013.PubMed/NCBI View Article : Google Scholar

10 

Antonia SJ, Villegas A, Daniel D, Vicente D, Murakami S, Hui R, Kurata T, Chiappori A, Lee KH, de Wit M, et al: Overall survival with durvalumab after chemoradiotherapy in stage III NSCLC. N Engl J Med. 379:2342–2350. 2018.PubMed/NCBI View Article : Google Scholar

11 

Patel RR, He K, Barsoumian HB, Chang JY, Tang C, Verma V, Comeaux N, Chun SG, Gandhi S, Truong MT, et al: High-dose irradiation in combination with non-ablative low-dose radiation to treat metastatic disease after progression on immunotherapy: Results of a phase II trial. Radiother Oncol. 162:60–67. 2021.PubMed/NCBI View Article : Google Scholar

12 

National Cancer Institute: Common terminology criteria for adverse events (CTCAE) v.5.0. https://ctep.cancer.gov/protocoldevelopment/electronic_applications/docs/CTCAE_v5_Quick_Reference_8.5x11.pdf. Accessed July 22, 2021.

13 

Sprave T, Verma V, Förster R, Schlampp I, Bruckner T, Bostel T, Welte SE, Tonndorf-Martini E, El Shafie R, Nicolay NH, et al: Radiation-induced acute toxicities after image-guided intensity-modulated radiotherapy versus three-dimensional conformal radiotherapy for patients with spinal metastases (IRON-1 trial): First results of a randomized controlled trial. Strahlenther Onkol. 194:911–920. 2018.PubMed/NCBI View Article : Google Scholar

14 

Bassanelli M, Ricciuti B, Giannarelli D, Cecere FL, Roberto M, Giacinti S, Barucca V, Santarelli M, Ruggeri EM, Marchetti P, et al: Systemic effect of radiotherapy before or after nivolumab in lung cancer: An observational, retrospective, multicenter study. Tumors 3008916211004733, 2021 (Epub ahead of print).

15 

Schaue D, Ratikan JA, Iwamoto KS and McBride WH: Maximizing tumor immunity with fractionated radiation. Int J Radiat Oncol Biol Phys. 83:1306–1310. 2012.PubMed/NCBI View Article : Google Scholar

16 

Dewan MZ, Galloway AE, Kawashima N, Dewyngaert JK, Babb JS, Formenti SC and Demaria S: Fractionated but not single-dose radiotherapy induces an immune-mediated abscopal effect when combined with anti-CTLA-4 antibody. Clin Cancer Res. 15:5379–5388. 2009.PubMed/NCBI View Article : Google Scholar

17 

Dunlop RJ and Campbell CW: Cytokines and advanced cancer. J Pain Symptom Manag. 20:214–232. 2000.PubMed/NCBI View Article : Google Scholar

18 

Uchida A, Mizutani Y, Nagamuta M and Ikenaga M: Effects of X-ray irradiation on natural killer (NK) cell system. II. Increased sensitivity to natural killer cytotoxic factor (NKCF). Immunopharmacol Immunotoxicol. 11:521–534. 1989.PubMed/NCBI View Article : Google Scholar

19 

Agrawal A, Chandra D and Kale RK: Radiation induced oxidative stress: II studies in liver as a distant organ of tumor bearing mice. Mol Cell Biochem. 224:9–17. 2001.PubMed/NCBI View Article : Google Scholar

20 

Postow MA, Sidlow R and Hellmann MD: Immune-related adverse events associated with immune checkpoint blockade. N Engl J Med. 378:158–168. 2018.PubMed/NCBI View Article : Google Scholar

21 

Azria D, Magné N, Zouhair A, Castadot P, Culine S, Ychou M, Stupp R, Van Houtte P, Dubois JB and Ozsahin M: Radiation recall: A well recognized but neglected phenomenon. Cancer Treat Rev. 31:555–570. 2005.PubMed/NCBI View Article : Google Scholar

22 

Marthey L, Mateus C, Mussini C, Nachury M, Nancey S, Grange F, Zallot C, Peyrin-Biroulet L, Rahier JF, Bourdier de Beauregard M, et al: Cancer immunotherapy with anti-CTLA-4 monoclonal antibodies induces an inflammatory bowel disease. J Crohns Colitis. 10:395–401. 2016.PubMed/NCBI View Article : Google Scholar

23 

Soularue E, Lepage P, Colombel JF, Coutzac C, Faleck D, Marthey L, Collins M, Chaput N, Robert C and Carbonnel F: Enterocolitis due to immune checkpoint inhibitors: A systematic review. Gut. 67:2056–2067. 2018.PubMed/NCBI View Article : Google Scholar

Related Articles

  • Abstract
  • View
  • Download
  • Twitter
Copy and paste a formatted citation
Spandidos Publications style
Makita K, Hamamoto Y, Kanzaki H, Nagasaki K, Sugawara Y, Ninomiya T, Harada D and Kozuki T: Radiation‑induced enterocolitis after combination therapy with palliative radiotherapy and immune checkpoint inhibitors in patients with metastatic lung cancer. Exp Ther Med 23: 336, 2022.
APA
Makita, K., Hamamoto, Y., Kanzaki, H., Nagasaki, K., Sugawara, Y., Ninomiya, T. ... Kozuki, T. (2022). Radiation‑induced enterocolitis after combination therapy with palliative radiotherapy and immune checkpoint inhibitors in patients with metastatic lung cancer. Experimental and Therapeutic Medicine, 23, 336. https://doi.org/10.3892/etm.2022.11266
MLA
Makita, K., Hamamoto, Y., Kanzaki, H., Nagasaki, K., Sugawara, Y., Ninomiya, T., Harada, D., Kozuki, T."Radiation‑induced enterocolitis after combination therapy with palliative radiotherapy and immune checkpoint inhibitors in patients with metastatic lung cancer". Experimental and Therapeutic Medicine 23.5 (2022): 336.
Chicago
Makita, K., Hamamoto, Y., Kanzaki, H., Nagasaki, K., Sugawara, Y., Ninomiya, T., Harada, D., Kozuki, T."Radiation‑induced enterocolitis after combination therapy with palliative radiotherapy and immune checkpoint inhibitors in patients with metastatic lung cancer". Experimental and Therapeutic Medicine 23, no. 5 (2022): 336. https://doi.org/10.3892/etm.2022.11266
Copy and paste a formatted citation
x
Spandidos Publications style
Makita K, Hamamoto Y, Kanzaki H, Nagasaki K, Sugawara Y, Ninomiya T, Harada D and Kozuki T: Radiation‑induced enterocolitis after combination therapy with palliative radiotherapy and immune checkpoint inhibitors in patients with metastatic lung cancer. Exp Ther Med 23: 336, 2022.
APA
Makita, K., Hamamoto, Y., Kanzaki, H., Nagasaki, K., Sugawara, Y., Ninomiya, T. ... Kozuki, T. (2022). Radiation‑induced enterocolitis after combination therapy with palliative radiotherapy and immune checkpoint inhibitors in patients with metastatic lung cancer. Experimental and Therapeutic Medicine, 23, 336. https://doi.org/10.3892/etm.2022.11266
MLA
Makita, K., Hamamoto, Y., Kanzaki, H., Nagasaki, K., Sugawara, Y., Ninomiya, T., Harada, D., Kozuki, T."Radiation‑induced enterocolitis after combination therapy with palliative radiotherapy and immune checkpoint inhibitors in patients with metastatic lung cancer". Experimental and Therapeutic Medicine 23.5 (2022): 336.
Chicago
Makita, K., Hamamoto, Y., Kanzaki, H., Nagasaki, K., Sugawara, Y., Ninomiya, T., Harada, D., Kozuki, T."Radiation‑induced enterocolitis after combination therapy with palliative radiotherapy and immune checkpoint inhibitors in patients with metastatic lung cancer". Experimental and Therapeutic Medicine 23, no. 5 (2022): 336. https://doi.org/10.3892/etm.2022.11266
Follow us
  • Twitter
  • LinkedIn
  • Facebook
About
  • Spandidos Publications
  • Careers
  • Cookie Policy
  • Privacy Policy
How can we help?
  • Help
  • Live Chat
  • Contact
  • Email to our Support Team