Spandidos Publications Logo
  • About
    • About Spandidos
    • Aims and Scopes
    • Abstracting and Indexing
    • Editorial Policies
    • Reprints and Permissions
    • Job Opportunities
    • Terms and Conditions
    • Contact
  • Journals
    • All Journals
    • Oncology Letters
      • Oncology Letters
      • Information for Authors
      • Editorial Policies
      • Editorial Board
      • Aims and Scope
      • Abstracting and Indexing
      • Bibliographic Information
      • Archive
    • International Journal of Oncology
      • International Journal of Oncology
      • Information for Authors
      • Editorial Policies
      • Editorial Board
      • Aims and Scope
      • Abstracting and Indexing
      • Bibliographic Information
      • Archive
    • Molecular and Clinical Oncology
      • Molecular and Clinical Oncology
      • Information for Authors
      • Editorial Policies
      • Editorial Board
      • Aims and Scope
      • Abstracting and Indexing
      • Bibliographic Information
      • Archive
    • Experimental and Therapeutic Medicine
      • Experimental and Therapeutic Medicine
      • Information for Authors
      • Editorial Policies
      • Editorial Board
      • Aims and Scope
      • Abstracting and Indexing
      • Bibliographic Information
      • Archive
    • International Journal of Molecular Medicine
      • International Journal of Molecular Medicine
      • Information for Authors
      • Editorial Policies
      • Editorial Board
      • Aims and Scope
      • Abstracting and Indexing
      • Bibliographic Information
      • Archive
    • Biomedical Reports
      • Biomedical Reports
      • Information for Authors
      • Editorial Policies
      • Editorial Board
      • Aims and Scope
      • Abstracting and Indexing
      • Bibliographic Information
      • Archive
    • Oncology Reports
      • Oncology Reports
      • Information for Authors
      • Editorial Policies
      • Editorial Board
      • Aims and Scope
      • Abstracting and Indexing
      • Bibliographic Information
      • Archive
    • Molecular Medicine Reports
      • Molecular Medicine Reports
      • Information for Authors
      • Editorial Policies
      • Editorial Board
      • Aims and Scope
      • Abstracting and Indexing
      • Bibliographic Information
      • Archive
    • World Academy of Sciences Journal
      • World Academy of Sciences Journal
      • Information for Authors
      • Editorial Policies
      • Editorial Board
      • Aims and Scope
      • Abstracting and Indexing
      • Bibliographic Information
      • Archive
    • International Journal of Functional Nutrition
      • International Journal of Functional Nutrition
      • Information for Authors
      • Editorial Policies
      • Editorial Board
      • Aims and Scope
      • Abstracting and Indexing
      • Bibliographic Information
      • Archive
    • International Journal of Epigenetics
      • International Journal of Epigenetics
      • Information for Authors
      • Editorial Policies
      • Editorial Board
      • Aims and Scope
      • Abstracting and Indexing
      • Bibliographic Information
      • Archive
    • Medicine International
      • Medicine International
      • Information for Authors
      • Editorial Policies
      • Editorial Board
      • Aims and Scope
      • Abstracting and Indexing
      • Bibliographic Information
      • Archive
  • Articles
  • Information
    • Information for Authors
    • Information for Reviewers
    • Information for Librarians
    • Information for Advertisers
    • Conferences
  • Language Editing
Spandidos Publications Logo
  • About
    • About Spandidos
    • Aims and Scopes
    • Abstracting and Indexing
    • Editorial Policies
    • Reprints and Permissions
    • Job Opportunities
    • Terms and Conditions
    • Contact
  • Journals
    • All Journals
    • Biomedical Reports
      • Information for Authors
      • Editorial Policies
      • Editorial Board
      • Aims and Scope
      • Abstracting and Indexing
      • Bibliographic Information
      • Archive
    • Experimental and Therapeutic Medicine
      • Information for Authors
      • Editorial Policies
      • Editorial Board
      • Aims and Scope
      • Abstracting and Indexing
      • Bibliographic Information
      • Archive
    • International Journal of Epigenetics
      • Information for Authors
      • Editorial Policies
      • Editorial Board
      • Aims and Scope
      • Abstracting and Indexing
      • Bibliographic Information
      • Archive
    • International Journal of Functional Nutrition
      • Information for Authors
      • Editorial Policies
      • Editorial Board
      • Aims and Scope
      • Abstracting and Indexing
      • Bibliographic Information
      • Archive
    • International Journal of Molecular Medicine
      • Information for Authors
      • Editorial Policies
      • Editorial Board
      • Aims and Scope
      • Abstracting and Indexing
      • Bibliographic Information
      • Archive
    • International Journal of Oncology
      • Information for Authors
      • Editorial Policies
      • Editorial Board
      • Aims and Scope
      • Abstracting and Indexing
      • Bibliographic Information
      • Archive
    • Medicine International
      • Information for Authors
      • Editorial Policies
      • Editorial Board
      • Aims and Scope
      • Abstracting and Indexing
      • Bibliographic Information
      • Archive
    • Molecular and Clinical Oncology
      • Information for Authors
      • Editorial Policies
      • Editorial Board
      • Aims and Scope
      • Abstracting and Indexing
      • Bibliographic Information
      • Archive
    • Molecular Medicine Reports
      • Information for Authors
      • Editorial Policies
      • Editorial Board
      • Aims and Scope
      • Abstracting and Indexing
      • Bibliographic Information
      • Archive
    • Oncology Letters
      • Information for Authors
      • Editorial Policies
      • Editorial Board
      • Aims and Scope
      • Abstracting and Indexing
      • Bibliographic Information
      • Archive
    • Oncology Reports
      • Information for Authors
      • Editorial Policies
      • Editorial Board
      • Aims and Scope
      • Abstracting and Indexing
      • Bibliographic Information
      • Archive
    • World Academy of Sciences Journal
      • Information for Authors
      • Editorial Policies
      • Editorial Board
      • Aims and Scope
      • Abstracting and Indexing
      • Bibliographic Information
      • Archive
  • Articles
  • Information
    • For Authors
    • For Reviewers
    • For Librarians
    • For Advertisers
    • Conferences
  • Language Editing
Login Register Submit
  • This site uses cookies
  • You can change your cookie settings at any time by following the instructions in our Cookie Policy. To find out more, you may read our Privacy Policy.

    I agree
Search articles by DOI, keyword, author or affiliation
Search
Advanced Search
presentation
Experimental and Therapeutic Medicine
Join Editorial Board Propose a Special Issue
Print ISSN: 1792-0981 Online ISSN: 1792-1015
Journal Cover
July-2022 Volume 24 Issue 1

Full Size Image

Sign up for eToc alerts
Recommend to Library

Journals

International Journal of Molecular Medicine

International Journal of Molecular Medicine

International Journal of Molecular Medicine is an international journal devoted to molecular mechanisms of human disease.

International Journal of Oncology

International Journal of Oncology

International Journal of Oncology is an international journal devoted to oncology research and cancer treatment.

Molecular Medicine Reports

Molecular Medicine Reports

Covers molecular medicine topics such as pharmacology, pathology, genetics, neuroscience, infectious diseases, molecular cardiology, and molecular surgery.

Oncology Reports

Oncology Reports

Oncology Reports is an international journal devoted to fundamental and applied research in Oncology.

Experimental and Therapeutic Medicine

Experimental and Therapeutic Medicine

Experimental and Therapeutic Medicine is an international journal devoted to laboratory and clinical medicine.

Oncology Letters

Oncology Letters

Oncology Letters is an international journal devoted to Experimental and Clinical Oncology.

Biomedical Reports

Biomedical Reports

Explores a wide range of biological and medical fields, including pharmacology, genetics, microbiology, neuroscience, and molecular cardiology.

Molecular and Clinical Oncology

Molecular and Clinical Oncology

International journal addressing all aspects of oncology research, from tumorigenesis and oncogenes to chemotherapy and metastasis.

World Academy of Sciences Journal

World Academy of Sciences Journal

Multidisciplinary open-access journal spanning biochemistry, genetics, neuroscience, environmental health, and synthetic biology.

International Journal of Functional Nutrition

International Journal of Functional Nutrition

Open-access journal combining biochemistry, pharmacology, immunology, and genetics to advance health through functional nutrition.

International Journal of Epigenetics

International Journal of Epigenetics

Publishes open-access research on using epigenetics to advance understanding and treatment of human disease.

Medicine International

Medicine International

An International Open Access Journal Devoted to General Medicine.

Journal Cover
July-2022 Volume 24 Issue 1

Full Size Image

Sign up for eToc alerts
Recommend to Library

  • Article
  • Citations
    • Cite This Article
    • Download Citation
    • Create Citation Alert
    • Remove Citation Alert
    • Cited By
  • Similar Articles
    • Related Articles (in Spandidos Publications)
    • Similar Articles (Google Scholar)
    • Similar Articles (PubMed)
  • Download PDF
  • Download XML
  • View XML
Case Report Open Access

Radiologically suspected COVID‑19‑associated organizing pneumonia responding well to corticosteroids: A report of two cases and a review of the literature

  • Authors:
    • Christos Siafarikas
    • Christos Stafylidis
    • Anastasios Tentolouris
    • Stamatia Samara
    • Irene Eliadi
    • Sotiria Makrodimitri
    • Demetrios A. Spandidos
    • Nikolaos Mathioudakis
    • Panagiotis Karamichalos
    • Petros Papalexis
    • Serafeim Chlapoutakis
    • Pagona Sklapani
    • Nikolaos Trakas
    • Vasiliki Epameinondas Georgakopoulou
  • View Affiliations / Copyright

    Affiliations: First Department of Propedeutic and Internal Medicine, Laiko General Hospital, Medical School, National and Kapodistrian University of Athens, 11527 Athens, Greece, First Department of Internal Medicine, Laiko General Hospital, Medical School, National and Kapodistrian University of Athens, 11527 Athens, Greece, First Department of Propedeutic and Internal Medicine, Laiko General Hospital, Medical School, National and Kapodistrian University of Athens, 11527 Athens, Greece, Department of Infectious Diseases‑COVID‑19 Unit, Laiko General Hospital, 11527 Athens, Greece, Department of Infectious Diseases‑COVID‑19 Unit, Laiko General Hospital, 11527 Athens, Greece, Laboratory of Clinical Virology, School of Medicine, University of Crete, 71003 Heraklion, Greece, Renal Transplantation Unit, Laiko General Hospital, 11527 Athens, Greece, Department of Pathophysiology, Laiko General Hospital, 11527 Athens, Greece, Unit of Endocrinology, First Department of Internal Medicine, Laiko General Hospital, National and Kapodistrian University of Athens, 11527 Athens, Greece, Department of Thoracic Surgery, Agios Savvas, Hospital, 11522 Athens, Greece, Department of Cytology, Mitera Hospital, 15123 Athens, Greece, Department of Biochemistry, Sismanogleio Hospital, 15126 Athens, Greece
    Copyright: © Siafarikas et al. This is an open access article distributed under the terms of Creative Commons Attribution License.
  • Article Number: 453
    |
    Published online on: May 18, 2022
       https://doi.org/10.3892/etm.2022.11379
  • Expand metrics +
Metrics: Total Views: 0 (Spandidos Publications: | PMC Statistics: )
Metrics: Total PDF Downloads: 0 (Spandidos Publications: | PMC Statistics: )
Cited By (CrossRef): 0 citations Loading Articles...

This article is mentioned in:



Abstract

Organizing pneumonia (OP) is a type of diffuse interstitial lung disease, which may be induced in the context of several clinical conditions, such as drug reactions, infections, autoimmune diseases and cancer. Coronavirus disease 2019 (COVID‑19)‑associated OP has been reported as a late‑stage consequence of the infection or a histological form of COVID‑19‑associated pneumonia. Autopsies and postmortem lung biopsies have demonstrated that the majority of patients with COVID‑19‑associated pneumonia develop secondary OP, and COVID‑19‑associated pneumonia and OP have common radiological features. The diagnosis of COVID‑19‑associated OP should be suspected in patients with severe acute respiratory syndrome coronavirus 2 infection who exhibit clinical deterioration despite optimal care, or who have aggravating symptoms following an initial recovery. The use of corticosteroids is a typical treatment for OP. However, to date, at least to the best of our knowledge, there are a few reports regarding the role of corticosteroids in COVID‑19‑associated pneumonia; thus, the optimal time for administration, the dose and treatment duration have not yet been determined. The present study presents two cases of patients with COVID‑19, who exhibited clinical deterioration following the initial phase of infection and with radiological characteristics of OP who received corticosteroids and had a favorable outcome. The early diagnosis of COVID‑19‑associated OP may lead to targeted treatment, decreased requirements for ventilatory support and an improved survival rate.

Introduction

Since December, 2019, the new coronavirus disease 2019 (COVID-19) has become a worldwide hazard. The multi-organ manifestations of COVID-19 have been well-established. The most common manifestation is COVID-19-associated pneumonia. Although the majority of cases of COVID-19 are mild, in more severe cases, acute lung damage may be followed by interstitial lung disease, pulmonary fibrosis and chronic lung function impairment (1,2).

Organizing pneumonia (OP) is a type of diffuse interstitial lung disease, which is histopathologically characterized by inflammatory debris in the distal airway containing myofibroblasts, fibroblasts and inflammatory cells embedded in a matrix of connective tissue, and interstitial inflammation of the surrounding lung parenchyma (3). OP may develop in the context of various clinical conditions, such as reactions to medication, infections, connective tissue disorders and solid organ or hematologic malignancies (4). The term cryptogenic OP is used for the primary disease, in which no cause is identified (5). Typical radiological features of OP are peribronchovascular and peripheral ground glass opacities (GGOs) or consolidations. These lesions may be migratory and accompanied by nodules, masses and interstitial opacities. Another radiological finding consistent with OP is the reversed halo sign, a central GGO surrounded by a consolidation halo. According to previous research, OP is considered to be in the spectrum of manifestations of acute lung injury (6).

Research on viral-induced OP during severe acute respiratory syndrome coronavirus (SARS), Middle East respiratory syndrome (MERS) and H1N1 infection is extensive (7,8). Αn increasing number of studies have revealed a link between SARS-coronavirus 2 (CoV-2) infection and OP. COVID-19-associated OP had been previously considered to be a result of COVID-19 infection or a histological type of COVID-19-associated pneumonia (9). Of note, the most common findings on chest computed tomography (CT) scans in patients with COVID-19 are peripheral GGOs, consolidation or both, mostly in bilateral and multifocal distributions that highly resemble a CT pattern of OP (10). Moreover, postmortem lung pathological examinations have demonstrated that the majority of patients with COVID-19-associated pneumonia have secondary OP (11).

Research concerning COVID-19-associated OP is still limited. The present study reports two cases of patients with COVID-19 with radiological evidence of OP following the initial infection, who responded well to treatment with corticosteroids.

Case report

Case 1

A 51-year-old male patient with no notable previous medical history was admitted to the Emergency Department (ED) of Laiko General Hospital complaining of fever, cough and dyspnea over the last 7 days. The patient had been diagnosed with COVID-19 by reverse transcription polymerase chain reaction (RT-PCR) of a nasopharyngeal swab sample for SARS-CoV-2 4 days prior to his admission. The patient was unvaccinated against SARS-CoV-2.

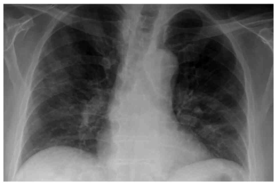
Upon admission, his body temperature was 37.4˚C, his blood pressure was 120/70 mmHg, his heart rate was 94 beats per minute, his respiratory rate was 32 breaths per minute, and his oxygen saturation (SpO2) was 92% in room air. A chest examination revealed crackles on auscultation in all lung fields. Arterial blood gases analysis revealed a partial pressure of oxygen (pO2) of 56 mmHg, partial pressure of carbon dioxide (pCO2) 31 mmHg, pH 7.51, HCO3 24.7 mmol/l on room air. A chest X-ray revealed diffuse infiltrates in all lung fields (Fig. 1). The laboratory findings included an increased white blood cell (WBC) count (11.22 k/µl; reference range, 4.5-11 k/µl) with neutrophilia (87.4%; reference range, 40-74%) and lymphopenia (6.63%; reference range, 19-48%), elevated C-reactive protein (CRP) levels (151.77 mg/l; reference range 0-5 mg/l), elevated lactate dehydrogenase (LDH) levels (331 U/l; reference range, 135-225 U/l) and elevated ferritin levels (1,200 ng/ml; reference range, 30-400 ng/ml).

Figure 1

Chest X-ray illustrating diffuse infiltrates in all lung fields in the patient in case 1 upon admission.

Based on these findings, treatment with intravenous remdesivir (200 mg on the first day, followed by 100 mg daily for the following 4 days) and dexamethasone (6 mg/day) for 10 days was commenced for SARS-CoV-2 infection. The patient also received oxygen therapy with a Venturi mask, delivering an oxygen concentration of 60%. The patient exhibited further respiratory deterioration and required oxygen therapy with a high-flow nasal cannula [oxygen flow rate, 60 l/min; fraction of inspired oxygen (FiO2), 90%]. He also received a single dose of intravenous tocilizumab (400 mg).

The patient's fever, cough, dyspnea and inflammatory indices improved after the treatment was commenced, and on day 8 of hospitalization (day 15 of illness), his SpO2 was 97% while breathing through a high-flow nasal cannula with lower settings (oxygen flow rate, 40 l/min; FiO2, 70%). However, on day 14 of hospitalization (day 21 of illness), he developed rapidly progressive respiratory failure, and his SpO2 decreased to 90%; He thus required oxygen therapy with a high-flow nasal cannula at maximum settings (oxygen flow rate, 60 l/min; FiO2, 100%).

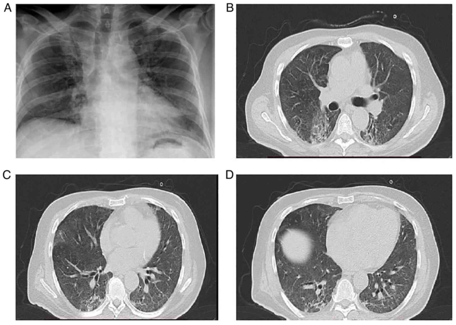
The patient underwent a new chest X-ray which revealed worsening infiltrates in all lung fields (Fig. 2A). He also underwent a chest CT scan and chest computed pulmonary angiogram (CTPA), which revealed bilateral peripheral GGO infiltrates and consolidation in both lower lung lobes, with areas of reversed halo sign (Fig. 2B-D). There were no findings suggesting pulmonary embolism. Simultaneously with this radiological and respiratory deterioration, the patient presented with recurrent fever and significantly elevated CRP levels (279.31 mg/l; reference range, 0-5 mg/l). He received antimicrobial therapy with intravenous piperacillin-tazobactam at 4.5 g four times daily and intravenous linezolid 600 mg twice daily. Blood and sputum culture did not reveal any infectious microorganisms. In addition, serum procalcitonin levels were within the normal range. The patient did not exhibit any improvement with antibiotics. Based on clinical and radiological data, COVID-19-associated OP was suspected, and systemic corticosteroid therapy (methylprednisolone 1 mg/kg/day) was initiated. On day 23 of hospitalization (day 30 of illness), 3 days following the commencement of corticosteroid therapy, his oxygenation level markedly improved. A chest X-ray and CT imaging performed on day 14 following the commencement of corticosteroid therapy (day 34 of illness) revealed an improvement of lung infiltrates (Fig. 3). The levels of CRP also returned to normal. The methylprednisolone administration was decreased to 40 mg, and the patient was discharged on day 39 following admission (day 46 of illness). Following discharge, the methylprednisolone administration was decreased to 32 mg for 10 days, 16 mg for 10 days and 8 mg for 10 days, and discontinued thereafter. The patient did not present with a relapse on a follow-up at 3 months after discharge.

Figure 2

Chest X-ray and computed tomography of the patient in case 1 on day 14 of hospitalization. (A) Chest X-ray illustrating lung infiltrates in all lung fields. (B) Chest computed tomography illustrating bilateral peripheral ground glass infiltrates in upper lung lobes. (C and D) Chest computed tomography illustrating consolidation in both lower lung lobes, with areas of reverse halo sign.

Figure 3

Chest X-ray and computed tomography of the patient in case 1 performed on day 14 following the commencement of corticosteroid therapy. (A) Chest X-ray illustrating an improvement in lung infiltrates in all lung fields. (B) Chest computed tomography reveals improvement in bilateral peripheral ground glass infiltrates in upper lung lobes. (C and D) Chest computed tomography reveals improvement in lung lesions compared to Fig. 2C and D.

Case 2

A 71-year-old male patient presented to the ED of Laiko General Hospital complaining of fever, cough and dyspnea over the last 24 h. The patient had been diagnosed with COVID-19 by RT-PCR testing of a nasopharyngeal swab sample for SARS-CoV-2 14 days prior to his admission. The patient reported low-grade fever then for only 2 days without any other symptoms and had not received any specific therapy for COVID-19.

The patient had a medical history of asthma, arterial hypertension, dyslipidemia, appendectomy and inguinal hernia surgery. His current medications included inhaled formoterol/budesonide (160/4.5 µg twice daily), olmesartan/hydrochlothiazide (40/12 mg once daily) and atorvastatin (20 mg once daily). The patient was unvaccinated against SARS-CoV-2.

Upon admission, his body temperature was 38.5˚C, his blood pressure was 140/80 mmHg, his heart rate was 90 beats per minute, his respiratory rate was 28 breaths per minute, and his SpO2 was 87% in room air. A chest examination revealed crackles on auscultation in all lung fields. Arterial blood gas analysis revealed a pO2 of 52 mmHg, a pCO2 of 29 mmHg, pH 7.50 and HCO3 22.7 mmol/l in room air. A chest X-ray revealed diffuse infiltrates in all lung fields with consolidations in the right upper and middle lung field and in the left middle lung field (Fig. 4). The laboratory findings included an increased WBC count (13.56 k/µl; reference range, 4.5-11 k/µl) with neutrophilia (84.8%; reference range, 40-74%) and lymphopenia (8.7%; reference range, 19-48%), elevated CRP levels (93 mg/l; reference range, 0-5 mg/l), elevated LDH levels (500 U/l; reference range, 135-225 U/l) and elevated ferritin levels (816 ng/ml; reference range, 30-400 ng/ml).

Figure 4

Chest X-ray illustrating diffuse infiltrates in all lung fields with consolidations in the right upper and middle lung field and in the left middle lung field of the patient in case 2 upon admission.

Based on these findings, treatment with intravenous remdesivir (200 mg on the first day, followed by 100 mg daily for the following 4 days) and dexamethasone (6 mg/day) was commenced for SARS-CoV-2 infection for 10 days. The patient also received oxygen therapy with a Venturi mask, delivering an oxygen concentration of 60%. The patient exhibited further respiratory deterioration with a further elevation of CRP levels (174 mg/l; reference range, 0-5 mg/l) on the second day of hospitalization (day 15 of illness) and required oxygen therapy with a high-flow nasal cannula (oxygen flow rate, 60 l/min; FiO2, 90%). He also received antimicrobial treatment with intravenous ceftriaxone at 2 g once daily and linezolid 600 mg twice daily for 7 days.

The patient's clinical symptoms and inflammatory indices (CRP, 17 mg/l; reference range, 0-5 mg/l) improved after commencing the treatment, and on day 10 of hospitalization (day 23 of illness), his SpO2 was 97%, while breathing through a Venturi mask delivering an oxygen concentration of 60%. The patient did not exhibit any further improvement for the following 2 days. On day 13 of hospitalization (day 26 of illness) the patient developed recurrent low-grade fever and a concurrent new increase in CRP levels (49 mg/l; reference range, 0-5 mg/l).

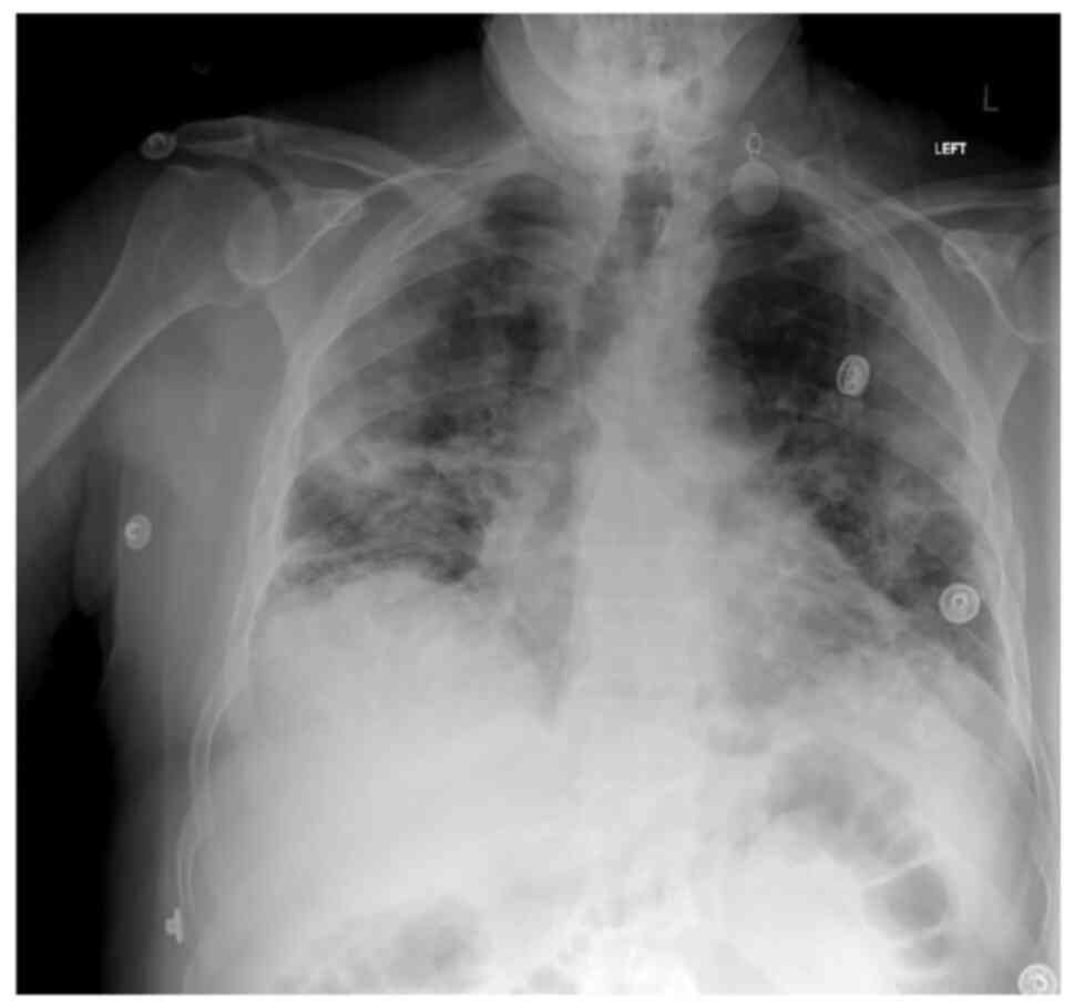
The patient underwent a new chest X-ray, which revealed persistent infiltrates in all lung fields with consolidations in the right upper and middle lung field, and in the left middle lung field (Fig. 5A). He also underwent a chest CT scan and CTPA, which revealed bilateral consolidations with areas of reversed halo sign in all lung fields and peripheral GGO infiltrates in both lower lung lobes (Fig. 5B-D). There were no findings suggesting pulmonary embolism. No infectious microorganisms were isolated from blood and sputum cultures. Based on the clinical and radiological data, COVID-19-associated OP was suspected, and systemic corticosteroid therapy (methylprednisolone at 1 mg/kg/day) was initiated on day 15 (day 28 of illness). On day 18, at 3 days following the commencement of corticosteroid therapy (day 31 of illness), his oxygenation level improved considerably. A chest X-ray and CT imaging performed on day 13 following the commencement of corticosteroid therapy (day 28 of hospitalization, day 41 of illness) revealed a notable improvement in previously noted lung infiltrates (Fig. 6). The levels of CRP also returned to normal. Methylprednisolone administration was decreased to 40 mg, and the patient was discharged on day 33 after admission (day 46 of illness). Following discharge, methylprednisolone administration was decreased to 32 mg for 7 days, 16 mg for 7 days and 8 mg for 7 days, and discontinued thereafter. The patient did not present with a relapse and he had improvement in chest X-ray at a follow-up 2 months after discharge (Fig. 7).

Figure 5

Chest X-ray and computed tomography of the patient in case 2 on day 13 of hospitalization. (A) Chest X-ray illustrating persistent infiltrates in all lung fields with consolidations in the right upper and middle lung field and in the left middle lung field. (B and C) Chest computed tomography illustrating bilateral consolidations with areas of reverse halo sign in upper lung fields. (D) Chest computed tomography illustrating bilateral consolidations with areas of reverse halo sign and peripheral ground glass infiltrates in both lower lung lobes.

Figure 6

Chest X-ray and computed tomography of the patient in case 2 performed on day 13 following the commencement of corticosteroid therapy. (A) Chest X-ray illustrating an improvement in lung infiltrates compared to Fig. 5A. (B and C) Chest computed tomography illustrating an improvement in lung infiltrates in upper lung fields. (D) Chest computed tomography reveals improvement in lung infiltrates in both lower lung lobes.

Figure 7

Chest X-ray illustrating a significant improvement in lung infiltrates of the patient in case 2 at the follow-up of 2 months. Please compare this to the image in Fig. 5A.

Discussion

The present study describes the cases of two individuals who had rapidly worsening respiratory symptoms after the initial phase of COVID-19 infection. In numerous aspects, the patients' symptoms are compatible with those of OP caused by SARS-CoV-2. Following early treatment for their COVID-19 infection, both patients had rapidly deteriorating respiratory symptoms that were not responding to optimal therapy.

Of note, the patient in case 1 who was younger than the patient in case 2 developed rapidly progressive respiratory failure on the day 14, while the patient in case 2 recovered more easily under the same treatment regimen. Genetic factors may be a possible explanation for this event. Some patients have heritable, single-gene mutations that influence their immune systems. Such distinctive mutations have been detected in numerous cases of young individuals who are healthy, yet suddenly develop a life-threatening infection (12).

Furthermore, no substantial superimposed infection was proven in the patients described herein. Moreover, their condition markedly improved following the initiation of high-dose corticosteroid treatment, suggesting that OP was the cause of their decompensated respiratory symptoms.

Clinical and investigation data regarding COVID-19-associated OP are limited. The diagnosis of OP was made in some cases, by using only radiological data (13-19), and in other cases, by performing transbronchial biopsy and a histological examination of the obtained tissue (14,20-25). The cases of COVID-19-associated organizing pneumonia reported in the literature are summarized in Table I.

Table I

Cases of COVID-19-associated organizing pneumonia identified in the literature.

Table I

Cases of COVID-19-associated organizing pneumonia identified in the literature.

Case no.Author/(Refs.)Age (years)/sexDiagnosisManagementOutcome
1Alsulami et al (13)71/ΜRadiological CorticosteroidsRecovery
2Alsulami et al (13)54/MRadiological CorticosteroidsRecovery
3Alsulami et al (13)57/MRadiological CorticosteroidsRecovery
4Alsulami et al (13)49/MRadiological CorticosteroidsRecovery
5Alsulami et al (13)56/FRadiological CorticosteroidsRecovery
6Alsulami et al (13)83/FRadiological CorticosteroidsRecovery
7Ng et al (14)58/FRadiological CorticosteroidsRecovery
8de Oliveira Filho et al (15)52/ΜRadiological CorticosteroidsRecovery
9de Oliveira Filho et al (15)60/FRadiological CorticosteroidsRecovery
10de Oliveira Filho et al (15)63/FRadiological CorticosteroidsRecovery
11Horii et al (16)70/FRadiological CorticosteroidsRecovery
12Okamori et al (17)60/MRadiological CorticosteroidsRecovery
13Okamori et al (17)61/FRadiological CorticosteroidsRecovery
14Kim et al (18)71/MRadiological CorticosteroidsRecovery
15Simões et al (19)71/MRadiological CorticosteroidsRecovery
16Simões et al (19)83/MRadiological CorticosteroidsRecovery
17Ng et al (14)81/MTBLB, histopathological examination CorticosteroidsRecovery
18Seo et al (20)50/MTBLB, histopathological examinationSpontaneous remissionRecovery
19Funk et al (21)49/MTBLB, histopathological examinationSpontaneous remissionRecovery
20Golbets et al (22)36/MTBLB, histopathological examination CorticosteroidsRecovery
21Kanaoka et al (23)56/MTBLB, histopathological examination CorticosteroidsRecovery
22Kanaoka et al (23)84/FTBLB, histopathological examination CorticosteroidsRecovery
23Cortés Colorado et al (24)62/MTBLB, histopathological examination CorticosteroidsRecovery
24Vadász et al (25)57/M TBLB.histopathological examination CorticosteroidsRecovery
25Vadász et al (25)70/M TBLB,histopathological examination CorticosteroidsRecovery
26Vadász et al (25)76/MTBLB, histopathological examination CorticosteroidsRecovery

[i] F, female; M, male; TBLB, transbronchial lung biopsy.

A pathological investigation is essential for definitive diagnosis of COVID-19-associated OP, as radiological manifestations of bacterial co-infection and OP may be similar. Therefore, it does not appear plausible to confirm the presence of OP in patients with SARS-CoV-2-related pneumonia based solely on radiological abnormalities (25). However, in both cases present herein, the conduction of lung biopsy was considered extremely dangerous and was thus not performed, due to high hypoxic conditions.

Notably, not every case of OP is confirmed by pathological data, as is well-recognized. The primary goal of a biopsy in individuals with suspected OP is to rule out other possible causes of comparable symptoms. As the histopathologic characteristics of OP are similar to those of other interstitial lung diseases, relying on transbronchial biopsies may increase the risk of OP misdiagnosis or delay (13). Furthermore, the radiographic characteristics of OP are distinct, and a chest CT scan has a good diagnostic accuracy (79%) for OP (26).

A chest CT scan may be beneficial for ruling out complications, such as pulmonary embolism, secondary pneumonia, or OP in patients with SARS-CoV-2 infection who have clinical deterioration despite optimal treatment and ventilatory support, or who have worsening symptoms following an initial recovery. Both patients in the present study waited an average of 21 days (20-22 days) from symptom initiation to undergo a chest CT scan, and their average duration of stay after commencing treatment with steroids was 10 days (5-15 days). In the case that additional imaging analyses are required for such individuals, this time frame may be an attractive approach.

From the beginning of the pandemic, some researchers have expressed their concerns about potential widespread failure to identify and treat COVID-19-associated OP (9). Radiological evidence of OP has been documented during the later course of SARS-CoV-2 infection. In a previous study, the observed prevalence of COVID-19-associated OP was 12.5% (27). In another observational study, the authors studied persistent lung changes following COVID-19 infection and described ongoing symptoms in 39% of participants. In that study, OP was observed in 4.8% of these patients, with significant radiological and clinical improvement following steroid administration (28). In addition, in a study on respiratory intermediate care unit patients, 58% of patients that underwent a chest CT scan had a radiological pattern consistent with OP and a significantly decreased need for intubation and in-hospital mortality compared to those with a GGO pattern (29).

Of note, both patients described herein were unvaccinated against SARS-CoV-2. A recent study demonstrated that vaccination with at least two doses of COVID-19 vaccine was associated with a significant decrease in reporting the most common post-acute COVID-19 symptoms, such as fatigue, headache, weakness and persistent muscle pain (30). However, whether vaccination against SARS-CoV-2 exerts a protective effect against the development of OP following COVID-19 remains to be determined.

The role of corticosteroids in COVID-19-associated pneumonia has been well-established. Dexamethasone therapy is effective for COVID-19-associated pneumonia (31). Methylprednisolone has been reported to increase the survival of hospitalized patients who experience severe COVID-19 pneumonia (31). A previous meta-analysis revealed a positive effect of corticosteroids on short-term mortality and a decrease in the need for mechanical ventilation in patients with COVID-19(32).

The cornerstone of OP treatment is corticosteroids. Prednisone at a dosage of 0.75-1.5 mg/kg/day for 4 weeks, tapered over a period of 3-6 months, is the current recommendation (33). In COVID-19-associated OP, case reports and case series, including ours, have documented favorable outcomes with corticosteroid treatment, sometimes with high doses and prolonged therapy, often weeks to months (13-19, 22-25). A single-center prospective observational study discovered that almost a quarter of post-COVID-19 pneumonia patients had recurrent dyspnea with radiological signs of OP, and that restarting corticosteroids resulted in clinical and radiological improvement in these patients (27). Of interest, the spontaneous remission of OP without corticosteroid administration has been described in two cases of histologically diagnosed COVID-19-associated OP (20,21).

A previous study demonstrated that approximately one third of OP cases exhibited a complete resolution of lesions at 1-2 months following disease onset, while those with greater areas of consolidation and more extensive lung involvement were more likely to develop fibrotic-like changes (34). There is currently no evidence to indicate that corticosteroid therapy can prevent relapses of OP or minimize the development of residual pulmonary fibrosis in COVID-19-associated OP (35). There has been no research to date, at least to the best of our knowledge, on the impact of corticosteroids on the resolution of COVID-19-related OP and long-term pulmonary outcomes. Large, multicenter randomized control trials are required to determine the optimal time to start, dosage, duration and benefit of corticosteroid therapy in COVID-19-associated OP. Clinicians should take the possible risks and advantages of corticosteroids into account and utilize CT as an evaluation tool for the distinct phases of CT patterns in patients with COVID-19.

In conclusion, the importance of detecting OP arises from the fact that patients who receive treatment with corticosteroids have a better prognosis and outcome. Increasing awareness of this diagnosis may lead to more effective treatment approaches for COVID-19 disease, further reduction of requirements for ventilatory support, and improved survival. Patients with COVID-19 that exhibit a minimal or no improvement despite optimal therapy should be evaluated further with lung imaging, as they may benefit from early diagnosis and targeted treatment. The optimal time for corticosteroid administration, the dose and the duration of therapy need to be addressed.

Acknowledgements

Not applicable.

Funding

Funding: No funding was received.

Availability of data and materials

The datasets used and/or analyzed during the current study are available from the corresponding author on reasonable request.

Authors' contributions

SM, SS and IE conceptualized the study. PP, PK, NM, PS, NT and SC obtained medical images, and prepared the tables and figures. VEG, CSi, CSt and AT advised on patient treatment and wrote and prepared the draft of the manuscript. DAS and VEG analyzed patient data and provided critical revisions. CSi, CSt, AT, NM, PK, PP, SC, PS and NT made substantial contributions to conception and design, and analysis and interpretation of data. VEG and SM confirm the authenticity of all the data. All authors contributed to manuscript revision and have read and approved the final manuscript.

Ethics approval and consent to participate

Not applicable.

Patient consent for publication

Written informed was obtained from the patients for the publication of the data. A copy of the written consent is available for review by the Editor-in-Chief of this journal on request.

Competing interests

DAS is the Editor-in-Chief for the journal, but had no personal involvement in the reviewing process, or any influence in terms of adjudicating on the final decision, for this article. The other authors declare that they have no competing interests.

References

1 

Wang F, Kream RM and Stefano GB: Long-term respiratory and neurological sequelae of COVID-19. Med Sci Monit. 26(e928996)2020.PubMed/NCBI View Article : Google Scholar

2 

Vasarmidi E, Tsitoura E, Spandidos DA, Tzanakis N and Antoniou KM: Pulmonary fibrosis in the aftermath of the COVID-19 era (Review). Exp Ther Med. 20:2557–2560. 2020.PubMed/NCBI View Article : Google Scholar

3 

Roberton BJ and Hansell DM: Organizing pneumonia: A kaleidoscope of concepts and morphologies. Eur Radiol. 21:2244–2254. 2011.PubMed/NCBI View Article : Google Scholar

4 

Oikonomou A and Hansell DM: Organizing pneumonia: The many morphological faces. Eur Radiol. 12:1486–1496. 2002.PubMed/NCBI View Article : Google Scholar

5 

Cottin V and Cordier JF: Cryptogenic organizing pneumonia. Semin Respir Crit Care Med. 33:462–475. 2012.PubMed/NCBI View Article : Google Scholar

6 

Mandal RV, Mark EJ and Kradin RL: Organizing pneumonia and pulmonary lymphatic architecture in diffuse alveolar damage. Hum Pathol. 39:1234–1238. 2008.PubMed/NCBI View Article : Google Scholar

7 

Cornejo R, Llanos O, Fernández C, Carlos Díaz J, Cardemil G, Salguero J, Luengo C, Tobar E, Romero C and Gálvez LR: Organizing pneumonia in patients with severe respiratory failure due to novel A (H1N1) influenza. BMJ Case Rep. 2010(bcr0220102708)2010.PubMed/NCBI View Article : Google Scholar

8 

Tse GM, To KF, Chan PK, Lo AW, Ng KC, Wu A, Lee N, Wong HC, Mak SM, Chan KF, et al: Pulmonary pathological features in coronavirus associated severe acute respiratory syndrome (SARS). J Clin Pathol. 57:260–265. 2004.PubMed/NCBI View Article : Google Scholar

9 

Kory P and Kanne JP: SARS-CoV-2 organising pneumonia: ‘Has there been a widespread failure to identify and treat this prevalent condition in COVID-19?’. BMJ Open Respir Res. 7(e000724)2020.PubMed/NCBI View Article : Google Scholar

10 

Kanne JP, Little BP, Chung JH, Elicker BM and Ketai LH: Essentials for radiologists on COVID-19: An update-radiology scientific expert panel. Radiology. 296:E113–E114. 2020.PubMed/NCBI View Article : Google Scholar

11 

Copin MC, Parmentier E, Duburcq T, Poissy J and Mathieu D: Lille COVID-19 ICU and Anatomopathology Group. Time to consider histologic pattern of lung injury to treat critically ill patients with COVID-19 infection. Intensive Care Med. 46:1124–1126. 2020.PubMed/NCBI View Article : Google Scholar

12 

Andreakos E, Abel L, Vinh DC, Kaja E, Drolet BA, Zhang Q, O'Farrelly C, Novelli G, Rodríguez-Gallego C, Haerynck F, et al: A global effort to dissect the human genetic basis of resistance to SARS-CoV-2 infection. Nat Immunol. 23:159–164. 2022.PubMed/NCBI View Article : Google Scholar

13 

Alsulami F, Dhaliwal I, Mrkobrada M and Nicholson M: Post Covid-19 organizing pneumonia: Case series for 6 patients with post-COVID interstitial lung disease. J Lung Pulm Respir Res. 8:108–111. 2021.

14 

Ng BH, Ban AY, Nik Abeed NN and Faisal M: Organising pneumonia manifesting as a late-phase complication of COVID-19. BMJ Case Rep. 14(e246119)2021.PubMed/NCBI View Article : Google Scholar

15 

de Oliveira Filho CM, Vieceli T, de Fraga Bassotto C, da Rosa Barbato JP, Garcia TS and Scheffel RS: Organizing pneumonia: A late phase complication of COVID-19 responding dramatically to corticosteroids. Braz J Infect Dis. 25(101541)2021.PubMed/NCBI View Article : Google Scholar

16 

Horii H, Kamada K, Nakakubo S, Yamashita Y, Nakamura J, Nasuhara Y and Konno S: Rapidly progressive organizing pneumonia associated with COVID-19. Respir Med Case Rep. 31(101295)2020.PubMed/NCBI View Article : Google Scholar

17 

Okamori S, Lee H, Kondo Y, Akiyama Y, Kabata H, Kaneko Y, Ishii M, Hasegawa N and Fukunaga K: Coronavirus disease 2019-associated rapidly progressive organizing pneumonia with fibrotic feature: Two case reports. Medicine (Baltimore). 99(e21804)2020.PubMed/NCBI View Article : Google Scholar

18 

Kim T, Son E, Jeon D, Lee SJ, Lim S and Cho WH: Effectiveness of steroid treatment for SARS-CoV-2 pneumonia with cryptogenic organizing pneumonia-like reaction: A case report. Disaster Med Public Health Prep. 26:1–4. 2020.PubMed/NCBI View Article : Google Scholar

19 

Simões JP, Alves Ferreira AR, Almeida PM, Trigueiros F, Braz A, Inácio JR, Medeiros FC, Braz S and Pais de Lacerda A: Organizing pneumonia and COVID-19: A report of two cases. Respir Med Case Rep. 32(101359)2021.PubMed/NCBI View Article : Google Scholar

20 

Seo H, Jung J, Kim MJ, Jang SJ and Kim SH: Radiologically suspected organizing pneumonia in a patient recovering from COVID-19: A case report. Infect Chemother. 54:208–212. 2022.PubMed/NCBI View Article : Google Scholar

21 

Funk GC, Nell C, Pokieser W, Thaler B, Rainer G and Valipour A: Organizing pneumonia following Covid19 pneumonia. Wien Klin Wochenschr. 133:979–982. 2021.PubMed/NCBI View Article : Google Scholar

22 

Golbets E, Kaplan A, Shafat T, Yagel Y, Jotkowitz A, Awesat J and Barski L: Secondary organizing pneumonia after recovery of mild COVID-19 infection. J Med Virol. 94:417–423. 2022.PubMed/NCBI View Article : Google Scholar

23 

Kanaoka K, Minami S, Ihara S, Tanaka T, Yasuoka H and Komuta K: Secondary organizing pneumonia after coronavirus disease 2019: Two cases. Respir Med Case Rep. 32(101356)2021.PubMed/NCBI View Article : Google Scholar

24 

Cortés Colorado JM, Cardona Ardila LF, Aguirre Vásquez N, Gómez Calderón KC, Lozano Álvarez SL and Carrillo Bayona JA: Organizing pneumonia associated with SARS-CoV-2 infection. Radiol Case Rep. 16:2634–2639. 2021.PubMed/NCBI View Article : Google Scholar

25 

Vadász I, Husain-Syed F, Dorfmüller P, Roller FC, Tello K, Hecker M, Morty RE, Gattenlöhner S, Walmrath HD, Grimminger F, et al: Severe organising pneumonia following COVID-19. Thorax. 76:201–204. 2021.PubMed/NCBI View Article : Google Scholar

26 

Johkoh T, Müller NL, Cartier Y, Kavanagh PV, Hartman TE, Akira M, Ichikado K, Ando M and Nakamura H: Idiopathic interstitial pneumonias: diagnostic accuracy of thin-section CT in 129 patients. Radiology. 211:555–560. 1999.PubMed/NCBI View Article : Google Scholar

27 

Shi H, Han X, Jiang N, Cao Y, Alwalid O, Gu J, Fan Y and Zheng C: Radiological findings from 81 patients with COVID-19 pneumonia in Wuhan, China: A descriptive study. Lancet Infect Dis. 20:425–434. 2020.PubMed/NCBI View Article : Google Scholar

28 

Myall KJ, Mukherjee B, Castanheira AM, Lam JL, Benedetti G, Mak SM, Preston R, Thillai M, Dewar A, Molyneaux PL and West AG: Persistent post-COVID-19 interstitial lung disease. An observational study of corticosteroid treatment. Ann Am Thorac Soc. 18:799–806. 2021.PubMed/NCBI View Article : Google Scholar

29 

Rocha AS, Meireles M, Vilaça H, Guimarães TC, Martins MD, Santos LR, Castro A and Mesquita M: Outcomes of Covid-19 organizing pneumonia in critically ill patients. J Infect. 83:496–522. 2021.PubMed/NCBI View Article : Google Scholar

30 

Kuodi P, Gorelik Y, Zayyad H, Wertheim O, Beiruti Wiegler K, Abu Jabal K, Dror AA, Nazzal S, Glikman D and Edelstein M: Association between vaccination status and reported incidence of post-acute COVID-19 symptoms in Israel: A cross-sectional study of patients tested between March 2020 and November 2021. medRxiv: Jan 17, 2022 (Epub ahead of print).

31 

RECOVERY Collaborative Group. Horby P, Lim WS, Emberson JR, Mafham M, Bell JL, Linsell L, Staplin N, Brightling C, Ustianowski A, et al: Dexamethasone in hospitalized patients with Covid-19. N Engl J Med. 384:693–704. 2021.PubMed/NCBI View Article : Google Scholar

32 

Edalatifard M, Akhtari M, Salehi M, Naderi Z, Jamshidi A, Mostafaei S, Najafizadeh SR, Farhadi E, Jalili N, Esfahani M, et al: Intravenous methylprednisolone pulse as a treatment for hospitalised severe COVID-19 patients: Results from a randomised controlled clinical trial. Eur Respir J. 56(2002808)2020.PubMed/NCBI View Article : Google Scholar

33 

van Paassen J, Vos JS, Hoekstra EM, Neumann KMI, Boot PC and Arbous SM: Corticosteroid use in COVID-19 patients: A systematic review and meta-analysis on clinical outcomes. Crit Care. 24(696)2020.PubMed/NCBI View Article : Google Scholar

34 

Cordier JF: Cryptogenic organising pneumonia. Eur Respir J. 28:422–446. 2006.PubMed/NCBI View Article : Google Scholar

35 

Wang Y, Jin C, Wu CC, Zhao H, Liang T, Liu Z, Jian Z, Li R, Wang Z, Li F, et al: Organizing pneumonia of COVID-19: Time-dependent evolution and outcome in CT findings. PLoS One. 15(e0240347)2020.PubMed/NCBI View Article : Google Scholar

Related Articles

  • Abstract
  • View
  • Download
  • Twitter
Copy and paste a formatted citation
Spandidos Publications style
Siafarikas C, Stafylidis C, Tentolouris A, Samara S, Eliadi I, Makrodimitri S, Spandidos DA, Mathioudakis N, Karamichalos P, Papalexis P, Papalexis P, et al: Radiologically suspected COVID‑19‑associated organizing pneumonia responding well to corticosteroids: A report of two cases and a review of the literature. Exp Ther Med 24: 453, 2022.
APA
Siafarikas, C., Stafylidis, C., Tentolouris, A., Samara, S., Eliadi, I., Makrodimitri, S. ... Georgakopoulou, V.E. (2022). Radiologically suspected COVID‑19‑associated organizing pneumonia responding well to corticosteroids: A report of two cases and a review of the literature. Experimental and Therapeutic Medicine, 24, 453. https://doi.org/10.3892/etm.2022.11379
MLA
Siafarikas, C., Stafylidis, C., Tentolouris, A., Samara, S., Eliadi, I., Makrodimitri, S., Spandidos, D. A., Mathioudakis, N., Karamichalos, P., Papalexis, P., Chlapoutakis, S., Sklapani, P., Trakas, N., Georgakopoulou, V. E."Radiologically suspected COVID‑19‑associated organizing pneumonia responding well to corticosteroids: A report of two cases and a review of the literature". Experimental and Therapeutic Medicine 24.1 (2022): 453.
Chicago
Siafarikas, C., Stafylidis, C., Tentolouris, A., Samara, S., Eliadi, I., Makrodimitri, S., Spandidos, D. A., Mathioudakis, N., Karamichalos, P., Papalexis, P., Chlapoutakis, S., Sklapani, P., Trakas, N., Georgakopoulou, V. E."Radiologically suspected COVID‑19‑associated organizing pneumonia responding well to corticosteroids: A report of two cases and a review of the literature". Experimental and Therapeutic Medicine 24, no. 1 (2022): 453. https://doi.org/10.3892/etm.2022.11379
Copy and paste a formatted citation
x
Spandidos Publications style
Siafarikas C, Stafylidis C, Tentolouris A, Samara S, Eliadi I, Makrodimitri S, Spandidos DA, Mathioudakis N, Karamichalos P, Papalexis P, Papalexis P, et al: Radiologically suspected COVID‑19‑associated organizing pneumonia responding well to corticosteroids: A report of two cases and a review of the literature. Exp Ther Med 24: 453, 2022.
APA
Siafarikas, C., Stafylidis, C., Tentolouris, A., Samara, S., Eliadi, I., Makrodimitri, S. ... Georgakopoulou, V.E. (2022). Radiologically suspected COVID‑19‑associated organizing pneumonia responding well to corticosteroids: A report of two cases and a review of the literature. Experimental and Therapeutic Medicine, 24, 453. https://doi.org/10.3892/etm.2022.11379
MLA
Siafarikas, C., Stafylidis, C., Tentolouris, A., Samara, S., Eliadi, I., Makrodimitri, S., Spandidos, D. A., Mathioudakis, N., Karamichalos, P., Papalexis, P., Chlapoutakis, S., Sklapani, P., Trakas, N., Georgakopoulou, V. E."Radiologically suspected COVID‑19‑associated organizing pneumonia responding well to corticosteroids: A report of two cases and a review of the literature". Experimental and Therapeutic Medicine 24.1 (2022): 453.
Chicago
Siafarikas, C., Stafylidis, C., Tentolouris, A., Samara, S., Eliadi, I., Makrodimitri, S., Spandidos, D. A., Mathioudakis, N., Karamichalos, P., Papalexis, P., Chlapoutakis, S., Sklapani, P., Trakas, N., Georgakopoulou, V. E."Radiologically suspected COVID‑19‑associated organizing pneumonia responding well to corticosteroids: A report of two cases and a review of the literature". Experimental and Therapeutic Medicine 24, no. 1 (2022): 453. https://doi.org/10.3892/etm.2022.11379
Follow us
  • Twitter
  • LinkedIn
  • Facebook
About
  • Spandidos Publications
  • Careers
  • Cookie Policy
  • Privacy Policy
How can we help?
  • Help
  • Live Chat
  • Contact
  • Email to our Support Team