Spandidos Publications Logo
  • About
    • About Spandidos
    • Aims and Scopes
    • Abstracting and Indexing
    • Editorial Policies
    • Reprints and Permissions
    • Job Opportunities
    • Terms and Conditions
    • Contact
  • Journals
    • All Journals
    • Oncology Letters
      • Oncology Letters
      • Information for Authors
      • Editorial Policies
      • Editorial Board
      • Aims and Scope
      • Abstracting and Indexing
      • Bibliographic Information
      • Archive
    • International Journal of Oncology
      • International Journal of Oncology
      • Information for Authors
      • Editorial Policies
      • Editorial Board
      • Aims and Scope
      • Abstracting and Indexing
      • Bibliographic Information
      • Archive
    • Molecular and Clinical Oncology
      • Molecular and Clinical Oncology
      • Information for Authors
      • Editorial Policies
      • Editorial Board
      • Aims and Scope
      • Abstracting and Indexing
      • Bibliographic Information
      • Archive
    • Experimental and Therapeutic Medicine
      • Experimental and Therapeutic Medicine
      • Information for Authors
      • Editorial Policies
      • Editorial Board
      • Aims and Scope
      • Abstracting and Indexing
      • Bibliographic Information
      • Archive
    • International Journal of Molecular Medicine
      • International Journal of Molecular Medicine
      • Information for Authors
      • Editorial Policies
      • Editorial Board
      • Aims and Scope
      • Abstracting and Indexing
      • Bibliographic Information
      • Archive
    • Biomedical Reports
      • Biomedical Reports
      • Information for Authors
      • Editorial Policies
      • Editorial Board
      • Aims and Scope
      • Abstracting and Indexing
      • Bibliographic Information
      • Archive
    • Oncology Reports
      • Oncology Reports
      • Information for Authors
      • Editorial Policies
      • Editorial Board
      • Aims and Scope
      • Abstracting and Indexing
      • Bibliographic Information
      • Archive
    • Molecular Medicine Reports
      • Molecular Medicine Reports
      • Information for Authors
      • Editorial Policies
      • Editorial Board
      • Aims and Scope
      • Abstracting and Indexing
      • Bibliographic Information
      • Archive
    • World Academy of Sciences Journal
      • World Academy of Sciences Journal
      • Information for Authors
      • Editorial Policies
      • Editorial Board
      • Aims and Scope
      • Abstracting and Indexing
      • Bibliographic Information
      • Archive
    • International Journal of Functional Nutrition
      • International Journal of Functional Nutrition
      • Information for Authors
      • Editorial Policies
      • Editorial Board
      • Aims and Scope
      • Abstracting and Indexing
      • Bibliographic Information
      • Archive
    • International Journal of Epigenetics
      • International Journal of Epigenetics
      • Information for Authors
      • Editorial Policies
      • Editorial Board
      • Aims and Scope
      • Abstracting and Indexing
      • Bibliographic Information
      • Archive
    • Medicine International
      • Medicine International
      • Information for Authors
      • Editorial Policies
      • Editorial Board
      • Aims and Scope
      • Abstracting and Indexing
      • Bibliographic Information
      • Archive
  • Articles
  • Information
    • Information for Authors
    • Information for Reviewers
    • Information for Librarians
    • Information for Advertisers
    • Conferences
  • Language Editing
Spandidos Publications Logo
  • About
    • About Spandidos
    • Aims and Scopes
    • Abstracting and Indexing
    • Editorial Policies
    • Reprints and Permissions
    • Job Opportunities
    • Terms and Conditions
    • Contact
  • Journals
    • All Journals
    • Biomedical Reports
      • Information for Authors
      • Editorial Policies
      • Editorial Board
      • Aims and Scope
      • Abstracting and Indexing
      • Bibliographic Information
      • Archive
    • Experimental and Therapeutic Medicine
      • Information for Authors
      • Editorial Policies
      • Editorial Board
      • Aims and Scope
      • Abstracting and Indexing
      • Bibliographic Information
      • Archive
    • International Journal of Epigenetics
      • Information for Authors
      • Editorial Policies
      • Editorial Board
      • Aims and Scope
      • Abstracting and Indexing
      • Bibliographic Information
      • Archive
    • International Journal of Functional Nutrition
      • Information for Authors
      • Editorial Policies
      • Editorial Board
      • Aims and Scope
      • Abstracting and Indexing
      • Bibliographic Information
      • Archive
    • International Journal of Molecular Medicine
      • Information for Authors
      • Editorial Policies
      • Editorial Board
      • Aims and Scope
      • Abstracting and Indexing
      • Bibliographic Information
      • Archive
    • International Journal of Oncology
      • Information for Authors
      • Editorial Policies
      • Editorial Board
      • Aims and Scope
      • Abstracting and Indexing
      • Bibliographic Information
      • Archive
    • Medicine International
      • Information for Authors
      • Editorial Policies
      • Editorial Board
      • Aims and Scope
      • Abstracting and Indexing
      • Bibliographic Information
      • Archive
    • Molecular and Clinical Oncology
      • Information for Authors
      • Editorial Policies
      • Editorial Board
      • Aims and Scope
      • Abstracting and Indexing
      • Bibliographic Information
      • Archive
    • Molecular Medicine Reports
      • Information for Authors
      • Editorial Policies
      • Editorial Board
      • Aims and Scope
      • Abstracting and Indexing
      • Bibliographic Information
      • Archive
    • Oncology Letters
      • Information for Authors
      • Editorial Policies
      • Editorial Board
      • Aims and Scope
      • Abstracting and Indexing
      • Bibliographic Information
      • Archive
    • Oncology Reports
      • Information for Authors
      • Editorial Policies
      • Editorial Board
      • Aims and Scope
      • Abstracting and Indexing
      • Bibliographic Information
      • Archive
    • World Academy of Sciences Journal
      • Information for Authors
      • Editorial Policies
      • Editorial Board
      • Aims and Scope
      • Abstracting and Indexing
      • Bibliographic Information
      • Archive
  • Articles
  • Information
    • For Authors
    • For Reviewers
    • For Librarians
    • For Advertisers
    • Conferences
  • Language Editing
Login Register Submit
  • This site uses cookies
  • You can change your cookie settings at any time by following the instructions in our Cookie Policy. To find out more, you may read our Privacy Policy.

    I agree
Search articles by DOI, keyword, author or affiliation
Search
Advanced Search
presentation
Experimental and Therapeutic Medicine
Join Editorial Board Propose a Special Issue
Print ISSN: 1792-0981 Online ISSN: 1792-1015
Journal Cover
July-2022 Volume 24 Issue 1

Full Size Image

Sign up for eToc alerts
Recommend to Library

Journals

International Journal of Molecular Medicine

International Journal of Molecular Medicine

International Journal of Molecular Medicine is an international journal devoted to molecular mechanisms of human disease.

International Journal of Oncology

International Journal of Oncology

International Journal of Oncology is an international journal devoted to oncology research and cancer treatment.

Molecular Medicine Reports

Molecular Medicine Reports

Covers molecular medicine topics such as pharmacology, pathology, genetics, neuroscience, infectious diseases, molecular cardiology, and molecular surgery.

Oncology Reports

Oncology Reports

Oncology Reports is an international journal devoted to fundamental and applied research in Oncology.

Experimental and Therapeutic Medicine

Experimental and Therapeutic Medicine

Experimental and Therapeutic Medicine is an international journal devoted to laboratory and clinical medicine.

Oncology Letters

Oncology Letters

Oncology Letters is an international journal devoted to Experimental and Clinical Oncology.

Biomedical Reports

Biomedical Reports

Explores a wide range of biological and medical fields, including pharmacology, genetics, microbiology, neuroscience, and molecular cardiology.

Molecular and Clinical Oncology

Molecular and Clinical Oncology

International journal addressing all aspects of oncology research, from tumorigenesis and oncogenes to chemotherapy and metastasis.

World Academy of Sciences Journal

World Academy of Sciences Journal

Multidisciplinary open-access journal spanning biochemistry, genetics, neuroscience, environmental health, and synthetic biology.

International Journal of Functional Nutrition

International Journal of Functional Nutrition

Open-access journal combining biochemistry, pharmacology, immunology, and genetics to advance health through functional nutrition.

International Journal of Epigenetics

International Journal of Epigenetics

Publishes open-access research on using epigenetics to advance understanding and treatment of human disease.

Medicine International

Medicine International

An International Open Access Journal Devoted to General Medicine.

Journal Cover
July-2022 Volume 24 Issue 1

Full Size Image

Sign up for eToc alerts
Recommend to Library

  • Article
  • Citations
    • Cite This Article
    • Download Citation
    • Create Citation Alert
    • Remove Citation Alert
    • Cited By
  • Similar Articles
    • Related Articles (in Spandidos Publications)
    • Similar Articles (Google Scholar)
    • Similar Articles (PubMed)
  • Download PDF
  • Download XML
  • View XML

  • Supplementary Files
    • Supplementary_Data.pdf
Article Open Access

Systemic injury caused by taurocholate‑induced severe acute pancreatitis in rats

  • Authors:
    • Xin-Xin Hong
    • Hong-Yan Wang
    • Jiong-Ming Yang
    • Bao-Fu Lin
    • Qin-Qin Min
    • Yi-Zhong Liang
    • Pei-Di Huang
    • Zi-You Zhong
    • Shao-Ju Guo
    • Bin Huang
    • Yi-Fei Xu
  • View Affiliations / Copyright

    Affiliations: Shenzhen Traditional Chinese Medicine Hospital, The Fourth Clinical Medical College of Guangzhou University of Chinese Medicine, Shenzhen, Guangdong 518033, P.R. China, School of Pharmaceutical Sciences, Guangzhou University of Chinese Medicine, Guangzhou, Guangdong 510006, P.R. China
    Copyright: © Hong et al. This is an open access article distributed under the terms of Creative Commons Attribution License.
  • Article Number: 468
    |
    Published online on: May 26, 2022
       https://doi.org/10.3892/etm.2022.11395
  • Expand metrics +
Metrics: Total Views: 0 (Spandidos Publications: | PMC Statistics: )
Metrics: Total PDF Downloads: 0 (Spandidos Publications: | PMC Statistics: )
Cited By (CrossRef): 0 citations Loading Articles...

This article is mentioned in:



Abstract

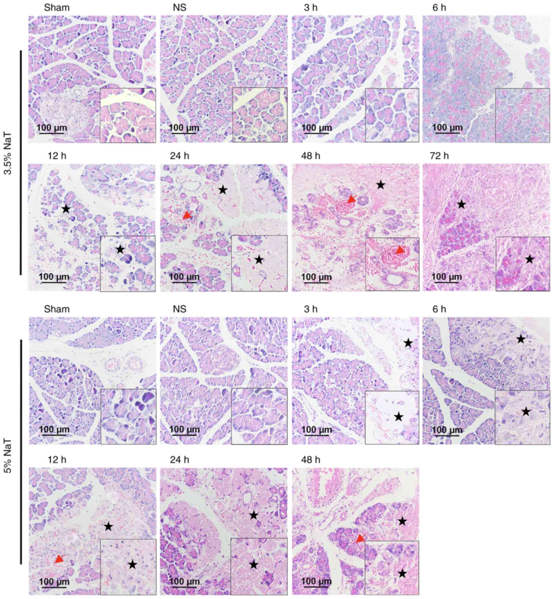
Systemic injury plays a central role in severe acute pancreatitis (SAP). Retrograde biliopancreatic duct infusion of sodium taurocholate (NaT) is commonly used to establish SAP animal models. To better characterize the systemic injury in this model, SAP was induced in Sprague‑Dawley rats by NaT administration (3.5 or 5%), followed by sacrifice at 3, 6, 9, 12, 24, 48 and 72 h. Normal saline was used as a control in Sham‑operated rats. The mortality rate, ascites volume, and serum and ascitic fluid amylase and lipase activities were assessed. Multiple organ dysfunction, including dysfunction of the pancreas, lung, ileum, liver, and kidney, was investigated using hematoxylin and eosin staining. The interleukin (IL)‑1β, IL‑6, and tumor necrosis factor‑α levels in the ascitic fluid, serum, and ileum tissues were evaluated using an enzyme‑linked immunosorbent assay (ELISA). Tight junction proteins, zonula occludens‑1 (ZO‑1) and occludin, in ileum tissues were studied using immunofluorescence. Aspartate aminotransferase (AST), alanine aminotransferase (ALT), creatinine (CRE) and urea levels were measured using an automatic biochemical analyzer. The results of the present study indicated that both 3.5 and 5% NaT could induce a stable elevation of pancreatitis indices, with histopathological injury of the pancreas, lungs and ileum (5% NaT). The ascitic fluid levels of IL‑6 and IL‑1β were increased in the 5% NaT group. ALT and AST levels increased temporarily and recovered in 72 h, without a significant increase in CRE and urea levels or apparent hepatic and renal pathological injury. In conclusion, rats with NaT‑induced SAP have characteristics of necrotizing hemorrhagic pancreatitis with multiple organ injuries, including inflammatory lung injury, ischemic intestinal injury and slight liver and kidney injuries.
View Figures

Figure 1

Figure 2

Figure 3

Figure 4

Figure 5

Figure 6

View References

1 

Boxhoorn L, Voermans RP, Bouwense SA, Bruno MJ, Verdonk RC, Boermeester MA, van Santvoort HC and Besselink MG: Acute pancreatitis. Lancet. 396:726–734. 2020.PubMed/NCBI View Article : Google Scholar

2 

Xiao AY, Tan ML, Wu LM, Asrani VM, Windsor JA, Yadav D and Petrov MS: Global incidence and mortality of pancreatic diseases: A systematic review, meta-analysis, and meta-regression of population-based cohort studies. Lancet Gastroenterol Hepatol. 1:45–55. 2016.PubMed/NCBI View Article : Google Scholar

3 

Schepers NJ, Bakker OJ, Besselink MG, Ahmed Ali U, Bollen TL, Gooszen HG, van Santvoort HC and Bruno MJ: Dutch Pancreatitis Study Group. Impact of characteristics of organ failure and infected necrosis on mortality in necrotising pancreatitis. Gut. 68:1044–1051. 2019.PubMed/NCBI View Article : Google Scholar

4 

van Santvoort HC, Bakker OJ, Bollen TL, Besselink MG, Ahmed Ali U, Schrijver AM, Boermeester MA, van Goor H, Dejong CH, van Eijck CH, et al: A conservative and minimally invasive approach to necrotizing pancreatitis improves outcome. Gastroenterology. 141:1254–1263. 2011.PubMed/NCBI View Article : Google Scholar

5 

Bang JY, Wilcox CM, Arnoletti JP and Varadarajulu S: Superiority of endoscopic interventions over minimally invasive surgery for infected necrotizing pancreatitis: Meta-analysis of randomized trials. Dig Endosc. 32:298–308. 2020.PubMed/NCBI View Article : Google Scholar

6 

Banks PA, Bollen TL, Dervenis C, Gooszen HG, Johnson CD, Sarr MG, Tsiotos GG and Vege SS: Acute Pancreatitis Classification Working Group. Classification of acute pancreatitis-2012: Revision of the Atlanta classification and definitions by international consensus. Gut. 62:102–111. 2013.PubMed/NCBI View Article : Google Scholar

7 

Moggia E, Koti R, Belgaumkar AP, Fazio F, Pereira SP, Davidson BR and Gurusamy KS: Pharmacological interventions for acute pancreatitis. Cochrane Database Syst Rev. 4(CD011384)2017.PubMed/NCBI View Article : Google Scholar

8 

Aho HJ and Nevalainen TJ: Experimental pancreatitis in the rat. Ultrastructure of sodium taurocholate-induced pancreatic lesions. Scand J Gastroenterol. 15:417–424. 1980.PubMed/NCBI View Article : Google Scholar

9 

Aho HJ, Koskensalo SM and Nevalainen TJ: Experimental pancreatitis in the rat. Sodium taurocholate-induced acute haemorrhagic pancreatitis. Scand J Gastroenterol. 15:411–416. 1980.PubMed/NCBI View Article : Google Scholar

10 

Laukkarinen JM, Van Acker GJ, Weiss ER, Steer ML and Perides G: A mouse model of acute biliary pancreatitis induced by retrograde pancreatic duct infusion of Na-taurocholate. Gut. 56:1590–1598. 2007.PubMed/NCBI View Article : Google Scholar

11 

Saluja A, Dudeja V, Dawra R and Sah RP: Early intra-acinar events in pathogenesis of pancreatitis. Gastroenterology. 156:1979–1993. 2019.PubMed/NCBI View Article : Google Scholar

12 

Su KH, Cuthbertson C and Christophi C: Review of experimental animal models of acute pancreatitis. HPB (Oxford). 8:264–286. 2006.PubMed/NCBI View Article : Google Scholar

13 

Serra MB, Koike MK, Barbeiro DF, Machado MCC and de Souza HP: Sodium taurocholate induced severe acute pancreatitis in C57BL/6 Mice. J Vis Exp. 172(e61547)2021.PubMed/NCBI View Article : Google Scholar

14 

Yang X, Geng H, You L, Yuan L, Meng J, Ma Y, Gu X and Lei M: Rhein protects against severe acute pancreatitis in vitro and in vivo by regulating the JAK2/STAT3 pathway. Front Pharmacol. 13(778221)2022.PubMed/NCBI View Article : Google Scholar

15 

Liu ZH, Peng JS, Li CJ, Yang ZL, Xiang J, Song H, Wu XB, Chen JR and Diao DC: A simple taurocholate-induced model of severe acute pancreatitis in rats. World J Gastroenterol. 15:5732–5739. 2009.PubMed/NCBI View Article : Google Scholar

16 

Guo P, Liu L, Yang X, Li M, Zhao Q and Wu H: Irisin improves BBB dysfunction in SAP rats by inhibiting MMP-9 via the ERK/NF-κB signaling pathway. Cell Signal. 93(110300)2022.PubMed/NCBI View Article : Google Scholar

17 

Qi H, Lu Q, Yin C, Xiao H, Wen Y, Zhang S, Cui Q and Yang W: Exogenous leptin protects rat models of sodium taurocholate-induced severe acute pancreatitis through endocrinal and immunological pathways. Mol Med Rep. 16:6306–6312. 2017.PubMed/NCBI View Article : Google Scholar

18 

Guo Q, Li A, Xia Q, Liu X, Tian B, Mai G, Huang Z, Chen G, Tang W, Jin X, et al: The role of organ failure and infection in necrotizing pancreatitis: A prospective study. Ann Surg. 259:1201–1207. 2014.PubMed/NCBI View Article : Google Scholar

19 

Garg PK and Singh VP: Organ failure due to systemic injury in acute pancreatitis. Gastroenterology. 156:2008–2023. 2019.PubMed/NCBI View Article : Google Scholar

20 

Johnson CD and Abu-Hilal M: Persistent organ failure during the first week as a marker of fatal outcome in acute pancreatitis. Gut. 53:1340–1344. 2004.PubMed/NCBI View Article : Google Scholar

21 

Mofidi R, Duff MD, Wigmore SJ, Madhavan KK, Garden OJ and Parks RW: Association between early systemic inflammatory response, severity of multiorgan dysfunction and death in acute pancreatitis. Br J Surg. 93:738–744. 2006.PubMed/NCBI View Article : Google Scholar

22 

Mowbray NG, Ben-Ismaeil B, Hammoda M, Shingler G and Al-Sarireh B: The microbiology of infected pancreatic necrosis. Hepatobiliary Pancreat Dis Int. 17:456–460. 2018.PubMed/NCBI View Article : Google Scholar

23 

Schmidt J, Rattner DW, Lewandrowski K, Compton CC, Mandavilli U, Knoefel WT and Warshaw AL: A better model of acute pancreatitis for evaluating therapy. Ann Surg. 215:44–56. 1992.PubMed/NCBI View Article : Google Scholar

24 

Matta B, Gougol A, Gao X, Reddy N, Talukdar R, Kochhar R, Goenka MK, Gulla A, Gonzalez JA, Singh VK, et al: Worldwide variations in demographics, management, and outcomes of acute pancreatitis. Clin Gastroenterol Hepatol. 18:1567–1575.e2. 2020.PubMed/NCBI View Article : Google Scholar

25 

Gliem N, Ammer-Herrmenau C, Ellenrieder V and Neesse A: Management of severe acute pancreatitis: An update. Digestion. 102:503–507. 2021.PubMed/NCBI View Article : Google Scholar

26 

Gapp J, Hoilat GJ and Chandra S: Pancreatic ascites. In: StatPearls. Treasure Island (FL): StatPearls Publishing, 2020.

27 

Wittel UA, Wiech T, Chakraborty S, Boss B, Lauch R, Batra SK and Hopt UT: Taurocholate-induced pancreatitis: A model of severe necrotizing pancreatitis in mice. Pancreas. 36:e9–e21. 2008.PubMed/NCBI View Article : Google Scholar

28 

Malmstrøm ML, Hansen MB, Andersen AM, Ersbøll AK, Nielsen OH, Jørgensen LN and Novovic S: Cytokines and organ failure in acute pancreatitis: Inflammatory response in acute pancreatitis. Pancreas. 41:271–277. 2012.PubMed/NCBI View Article : Google Scholar

29 

Hirota M, Nozawa F, Okabe A, Shibata M, Beppu T, Shimada S, Egami H, Yamaguchi Y, Ikei S, Okajima T, et al: Relationship between plasma cytokine concentration and multiple organ failure in patients with acute pancreatitis. Pancreas. 21:141–146. 2000.PubMed/NCBI View Article : Google Scholar

30 

Brivet FG, Emilie D and Galanaud P: Pro- and anti-inflammatory cytokines during acute severe pancreatitis: An early and sustained response, although unpredictable of death. Parisian study group on acute pancreatitis. Crit Care Med. 27:749–755. 1999.PubMed/NCBI View Article : Google Scholar

31 

Sendler M, Maertin S, John D, Persike M, Weiss FU, Krüger B, Wartmann T, Wagh P, Halangk W, Schaschke N, et al: Cathepsin B activity initiates apoptosis via digestive protease activation in pancreatic acinar cells and experimental pancreatitis. J Biol Chem. 291:14717–14731. 2016.PubMed/NCBI View Article : Google Scholar

32 

Sendler M, Weiss FU, Golchert J, Homuth G, van den Brandt C, Mahajan UM, Partecke LI, Döring P, Gukovsky I, Gukovskaya AS, et al: Cathepsin B-mediated activation of trypsinogen in endocytosing macrophages increases severity of pancreatitis in mice. Gastroenterology. 154:704–718.e10. 2018.PubMed/NCBI View Article : Google Scholar

33 

Zhang J, Yu WQ, Wei T, Zhang C, Wen L, Chen Q, Chen W, Qiu JY, Zhang Y and Liang TB: Effects of short-peptide-based enteral nutrition on the intestinal microcirculation and mucosal barrier in mice with severe acute pancreatitis. Mol Nutr Food Res. 64(e1901191)2020.PubMed/NCBI View Article : Google Scholar

34 

de Madaria E, Martínez J, Lozano B, Sempere L, Benlloch S, Such J, Uceda F, Francés R and Pérez-Mateo M: Detection and identification of bacterial DNA in serum from patients with acute pancreatitis. Gut. 54:1293–1297. 2005.PubMed/NCBI View Article : Google Scholar

35 

ShaykhoIslami A, Ghasemian M, Zardast M and Farzad M: Effect of intra-abdominal administration of ascites fluid on postoperative peritoneal adhesion in rat model: A randomized controlled trail. Ann Med Surg (Lond). 71(102928)2021.PubMed/NCBI View Article : Google Scholar

36 

Baroja-Mazo A, Martín-Sánchez F, Gomez AI, Martínez CM, Amores-Iniesta J, Compan V, Barberà-Cremades M, Yagüe J, Ruiz-Ortiz E, Antón J, et al: The NLRP3 inflammasome is released as a particulate danger signal that amplifies the inflammatory response. Nat Immunol. 15:738–748. 2014.PubMed/NCBI View Article : Google Scholar

37 

Sendler M, van den Brandt C, Glaubitz J, Wilden A, Golchert J, Weiss FU, Homuth G, De Freitas Chama LL, Mishra N, Mahajan UM, et al: NLRP3 inflammasome regulates development of systemic inflammatory response and compensatory anti-inflammatory response syndromes in mice with acute pancreatitis. Gastroenterology. 158:253–269.e14. 2020.PubMed/NCBI View Article : Google Scholar

38 

Liu RH, Wen Y, Sun HY, Liu CY, Zhang YF, Yang Y, Huang QL, Tang JJ, Huang CC and Tang LJ: Abdominal paracentesis drainage ameliorates severe acute pancreatitis in rats by regulating the polarization of peritoneal macrophages. World J Gastroenterol. 24:5131–5143. 2018.PubMed/NCBI View Article : Google Scholar

39 

Kaukonen KM, Bailey M, Pilcher D, Cooper DJ and Bellomo R: Systemic inflammatory response syndrome criteria in defining severe sepsis. N Engl J Med. 372:1629–1638. 2015.PubMed/NCBI View Article : Google Scholar

40 

Matsumoto M, Kamei K, Chikugo T, Matsumoto I, Kawaguchi K and Takeyama Y: Efficacy of recombinant human-soluble thrombomodulin for severe acute pancreatitis in a rat experimental model. Pancreas. 49:503–508. 2020.PubMed/NCBI View Article : Google Scholar

41 

Rashid MU, Hussain I, Jehanzeb S, Ullah W, Ali S, Jain AG, Khetpal N and Ahmad S: Pancreatic necrosis: Complications and changing trend of treatment. World J Gastrointest Surg. 11:198–217. 2019.PubMed/NCBI View Article : Google Scholar

42 

Shi Q, Liao KS, Zhao KL, Wang WX, Zuo T, Deng WH, Chen C, Yu J, Guo WY, He XB, et al: Hydrogen-rich saline attenuates acute renal injury in sodium taurocholate-induced severe acute pancreatitis by inhibiting ROS and NF-κB pathway. Mediators Inflamm. 2015(685043)2015.PubMed/NCBI View Article : Google Scholar

43 

Zhu S, Zhang C, Weng Q and Ye B: Curcumin protects against acute renal injury by suppressing JAK2/STAT3 pathway in severe acute pancreatitis in rats. Exp Ther Med. 14:1669–1674. 2017.PubMed/NCBI View Article : Google Scholar

44 

Zhang XH, Li ML, Wang B, Guo MX and Zhu RM: Caspase-1 inhibition alleviates acute renal injury in rats with severe acute pancreatitis. World J Gastroenterol. 20:10457–10463. 2014.PubMed/NCBI View Article : Google Scholar

45 

Li YY, Li XL, Yang CX, Zhong H, Yao H and Zhu L: Effects of tetrandrine and QYT on ICAM-1 and SOD gene expression in pancreas and liver of rats with acute pancreatitis. World J Gastroenterol. 9:155–159. 2003.PubMed/NCBI View Article : Google Scholar

46 

Stoppacher R: Sudden death due to acute pancreatitis. Acad Forensic Pathol. 8:239–255. 2018.PubMed/NCBI View Article : Google Scholar

47 

Yang A, Zhang L and Vege SS: Autopsy study of patients dying due to acute pancreatitis: 262. Am Coll Gastroenterol. 109(S81)2014.

48 

Li XY, He C, Zhu Y and Lu NH: Role of gut microbiota on intestinal barrier function in acute pancreatitis. World J Gastroenterol. 26:2187–2193. 2020.PubMed/NCBI View Article : Google Scholar

49 

Bansal A, Gupta P, Singh H, Samanta J, Mandavdhare H, Sharma V, Sinha SK, Dutta U and Kochhar R: Gastrointestinal complications in acute and chronic pancreatitis. JGH Open. 3:450–455. 2019.PubMed/NCBI View Article : Google Scholar

50 

Piao X, Liu B, Sui X, Niu W, Zhang Q, Shi X, Cai S and Fan Y: Picroside II improves severe acute pancreatitis-induced intestinal barrier injury by inactivating oxidative and inflammatory TLR4-dependent PI3K/AKT/NF-κB signaling and improving gut microbiota. Oxid Med Cell Longev. 2020(3589497)2020.PubMed/NCBI View Article : Google Scholar

51 

Su S, Liang T, Zhou X, He K, Li B and Xia X: Qingyi decoction attenuates severe acute pancreatitis in rats via inhibition of inflammation and protection of the intestinal barrier. J Int Med Res. 47:2215–2227. 2019.PubMed/NCBI View Article : Google Scholar

52 

Ye J, Dai H, Liu Y, Yu B, Yang J and Fei A: Blockade of C3a/C3aR axis alleviates severe acute pancreatitis-induced intestinal barrier injury. Am J Transl Res. 12:6290–6301. 2020.PubMed/NCBI

53 

Ning JW, Zhang Y, Yu MS, Gu ML, Xu J, Usman A and Ji F: Emodin alleviates intestinal mucosal injury in rats with severe acute pancreatitis via the caspase-1 inhibition. Hepatobiliary Pancreat Dis Int. 16:431–436. 2017.PubMed/NCBI View Article : Google Scholar

Related Articles

  • Abstract
  • View
  • Download
  • Twitter
Copy and paste a formatted citation
Spandidos Publications style
Hong X, Wang H, Yang J, Lin B, Min Q, Liang Y, Huang P, Zhong Z, Guo S, Huang B, Huang B, et al: Systemic injury caused by taurocholate‑induced severe acute pancreatitis in rats. Exp Ther Med 24: 468, 2022.
APA
Hong, X., Wang, H., Yang, J., Lin, B., Min, Q., Liang, Y. ... Xu, Y. (2022). Systemic injury caused by taurocholate‑induced severe acute pancreatitis in rats. Experimental and Therapeutic Medicine, 24, 468. https://doi.org/10.3892/etm.2022.11395
MLA
Hong, X., Wang, H., Yang, J., Lin, B., Min, Q., Liang, Y., Huang, P., Zhong, Z., Guo, S., Huang, B., Xu, Y."Systemic injury caused by taurocholate‑induced severe acute pancreatitis in rats". Experimental and Therapeutic Medicine 24.1 (2022): 468.
Chicago
Hong, X., Wang, H., Yang, J., Lin, B., Min, Q., Liang, Y., Huang, P., Zhong, Z., Guo, S., Huang, B., Xu, Y."Systemic injury caused by taurocholate‑induced severe acute pancreatitis in rats". Experimental and Therapeutic Medicine 24, no. 1 (2022): 468. https://doi.org/10.3892/etm.2022.11395
Copy and paste a formatted citation
x
Spandidos Publications style
Hong X, Wang H, Yang J, Lin B, Min Q, Liang Y, Huang P, Zhong Z, Guo S, Huang B, Huang B, et al: Systemic injury caused by taurocholate‑induced severe acute pancreatitis in rats. Exp Ther Med 24: 468, 2022.
APA
Hong, X., Wang, H., Yang, J., Lin, B., Min, Q., Liang, Y. ... Xu, Y. (2022). Systemic injury caused by taurocholate‑induced severe acute pancreatitis in rats. Experimental and Therapeutic Medicine, 24, 468. https://doi.org/10.3892/etm.2022.11395
MLA
Hong, X., Wang, H., Yang, J., Lin, B., Min, Q., Liang, Y., Huang, P., Zhong, Z., Guo, S., Huang, B., Xu, Y."Systemic injury caused by taurocholate‑induced severe acute pancreatitis in rats". Experimental and Therapeutic Medicine 24.1 (2022): 468.
Chicago
Hong, X., Wang, H., Yang, J., Lin, B., Min, Q., Liang, Y., Huang, P., Zhong, Z., Guo, S., Huang, B., Xu, Y."Systemic injury caused by taurocholate‑induced severe acute pancreatitis in rats". Experimental and Therapeutic Medicine 24, no. 1 (2022): 468. https://doi.org/10.3892/etm.2022.11395
Follow us
  • Twitter
  • LinkedIn
  • Facebook
About
  • Spandidos Publications
  • Careers
  • Cookie Policy
  • Privacy Policy
How can we help?
  • Help
  • Live Chat
  • Contact
  • Email to our Support Team