Spandidos Publications Logo
  • About
    • About Spandidos
    • Aims and Scopes
    • Abstracting and Indexing
    • Editorial Policies
    • Reprints and Permissions
    • Job Opportunities
    • Terms and Conditions
    • Contact
  • Journals
    • All Journals
    • Oncology Letters
      • Oncology Letters
      • Information for Authors
      • Editorial Policies
      • Editorial Board
      • Aims and Scope
      • Abstracting and Indexing
      • Bibliographic Information
      • Archive
    • International Journal of Oncology
      • International Journal of Oncology
      • Information for Authors
      • Editorial Policies
      • Editorial Board
      • Aims and Scope
      • Abstracting and Indexing
      • Bibliographic Information
      • Archive
    • Molecular and Clinical Oncology
      • Molecular and Clinical Oncology
      • Information for Authors
      • Editorial Policies
      • Editorial Board
      • Aims and Scope
      • Abstracting and Indexing
      • Bibliographic Information
      • Archive
    • Experimental and Therapeutic Medicine
      • Experimental and Therapeutic Medicine
      • Information for Authors
      • Editorial Policies
      • Editorial Board
      • Aims and Scope
      • Abstracting and Indexing
      • Bibliographic Information
      • Archive
    • International Journal of Molecular Medicine
      • International Journal of Molecular Medicine
      • Information for Authors
      • Editorial Policies
      • Editorial Board
      • Aims and Scope
      • Abstracting and Indexing
      • Bibliographic Information
      • Archive
    • Biomedical Reports
      • Biomedical Reports
      • Information for Authors
      • Editorial Policies
      • Editorial Board
      • Aims and Scope
      • Abstracting and Indexing
      • Bibliographic Information
      • Archive
    • Oncology Reports
      • Oncology Reports
      • Information for Authors
      • Editorial Policies
      • Editorial Board
      • Aims and Scope
      • Abstracting and Indexing
      • Bibliographic Information
      • Archive
    • Molecular Medicine Reports
      • Molecular Medicine Reports
      • Information for Authors
      • Editorial Policies
      • Editorial Board
      • Aims and Scope
      • Abstracting and Indexing
      • Bibliographic Information
      • Archive
    • World Academy of Sciences Journal
      • World Academy of Sciences Journal
      • Information for Authors
      • Editorial Policies
      • Editorial Board
      • Aims and Scope
      • Abstracting and Indexing
      • Bibliographic Information
      • Archive
    • International Journal of Functional Nutrition
      • International Journal of Functional Nutrition
      • Information for Authors
      • Editorial Policies
      • Editorial Board
      • Aims and Scope
      • Abstracting and Indexing
      • Bibliographic Information
      • Archive
    • International Journal of Epigenetics
      • International Journal of Epigenetics
      • Information for Authors
      • Editorial Policies
      • Editorial Board
      • Aims and Scope
      • Abstracting and Indexing
      • Bibliographic Information
      • Archive
    • Medicine International
      • Medicine International
      • Information for Authors
      • Editorial Policies
      • Editorial Board
      • Aims and Scope
      • Abstracting and Indexing
      • Bibliographic Information
      • Archive
  • Articles
  • Information
    • Information for Authors
    • Information for Reviewers
    • Information for Librarians
    • Information for Advertisers
    • Conferences
  • Language Editing
Spandidos Publications Logo
  • About
    • About Spandidos
    • Aims and Scopes
    • Abstracting and Indexing
    • Editorial Policies
    • Reprints and Permissions
    • Job Opportunities
    • Terms and Conditions
    • Contact
  • Journals
    • All Journals
    • Biomedical Reports
      • Information for Authors
      • Editorial Policies
      • Editorial Board
      • Aims and Scope
      • Abstracting and Indexing
      • Bibliographic Information
      • Archive
    • Experimental and Therapeutic Medicine
      • Information for Authors
      • Editorial Policies
      • Editorial Board
      • Aims and Scope
      • Abstracting and Indexing
      • Bibliographic Information
      • Archive
    • International Journal of Epigenetics
      • Information for Authors
      • Editorial Policies
      • Editorial Board
      • Aims and Scope
      • Abstracting and Indexing
      • Bibliographic Information
      • Archive
    • International Journal of Functional Nutrition
      • Information for Authors
      • Editorial Policies
      • Editorial Board
      • Aims and Scope
      • Abstracting and Indexing
      • Bibliographic Information
      • Archive
    • International Journal of Molecular Medicine
      • Information for Authors
      • Editorial Policies
      • Editorial Board
      • Aims and Scope
      • Abstracting and Indexing
      • Bibliographic Information
      • Archive
    • International Journal of Oncology
      • Information for Authors
      • Editorial Policies
      • Editorial Board
      • Aims and Scope
      • Abstracting and Indexing
      • Bibliographic Information
      • Archive
    • Medicine International
      • Information for Authors
      • Editorial Policies
      • Editorial Board
      • Aims and Scope
      • Abstracting and Indexing
      • Bibliographic Information
      • Archive
    • Molecular and Clinical Oncology
      • Information for Authors
      • Editorial Policies
      • Editorial Board
      • Aims and Scope
      • Abstracting and Indexing
      • Bibliographic Information
      • Archive
    • Molecular Medicine Reports
      • Information for Authors
      • Editorial Policies
      • Editorial Board
      • Aims and Scope
      • Abstracting and Indexing
      • Bibliographic Information
      • Archive
    • Oncology Letters
      • Information for Authors
      • Editorial Policies
      • Editorial Board
      • Aims and Scope
      • Abstracting and Indexing
      • Bibliographic Information
      • Archive
    • Oncology Reports
      • Information for Authors
      • Editorial Policies
      • Editorial Board
      • Aims and Scope
      • Abstracting and Indexing
      • Bibliographic Information
      • Archive
    • World Academy of Sciences Journal
      • Information for Authors
      • Editorial Policies
      • Editorial Board
      • Aims and Scope
      • Abstracting and Indexing
      • Bibliographic Information
      • Archive
  • Articles
  • Information
    • For Authors
    • For Reviewers
    • For Librarians
    • For Advertisers
    • Conferences
  • Language Editing
Login Register Submit
  • This site uses cookies
  • You can change your cookie settings at any time by following the instructions in our Cookie Policy. To find out more, you may read our Privacy Policy.

    I agree
Search articles by DOI, keyword, author or affiliation
Search
Advanced Search
presentation
Experimental and Therapeutic Medicine
Join Editorial Board Propose a Special Issue
Print ISSN: 1792-0981 Online ISSN: 1792-1015
Journal Cover
July-2022 Volume 24 Issue 1

Full Size Image

Sign up for eToc alerts
Recommend to Library

Journals

International Journal of Molecular Medicine

International Journal of Molecular Medicine

International Journal of Molecular Medicine is an international journal devoted to molecular mechanisms of human disease.

International Journal of Oncology

International Journal of Oncology

International Journal of Oncology is an international journal devoted to oncology research and cancer treatment.

Molecular Medicine Reports

Molecular Medicine Reports

Covers molecular medicine topics such as pharmacology, pathology, genetics, neuroscience, infectious diseases, molecular cardiology, and molecular surgery.

Oncology Reports

Oncology Reports

Oncology Reports is an international journal devoted to fundamental and applied research in Oncology.

Experimental and Therapeutic Medicine

Experimental and Therapeutic Medicine

Experimental and Therapeutic Medicine is an international journal devoted to laboratory and clinical medicine.

Oncology Letters

Oncology Letters

Oncology Letters is an international journal devoted to Experimental and Clinical Oncology.

Biomedical Reports

Biomedical Reports

Explores a wide range of biological and medical fields, including pharmacology, genetics, microbiology, neuroscience, and molecular cardiology.

Molecular and Clinical Oncology

Molecular and Clinical Oncology

International journal addressing all aspects of oncology research, from tumorigenesis and oncogenes to chemotherapy and metastasis.

World Academy of Sciences Journal

World Academy of Sciences Journal

Multidisciplinary open-access journal spanning biochemistry, genetics, neuroscience, environmental health, and synthetic biology.

International Journal of Functional Nutrition

International Journal of Functional Nutrition

Open-access journal combining biochemistry, pharmacology, immunology, and genetics to advance health through functional nutrition.

International Journal of Epigenetics

International Journal of Epigenetics

Publishes open-access research on using epigenetics to advance understanding and treatment of human disease.

Medicine International

Medicine International

An International Open Access Journal Devoted to General Medicine.

Journal Cover
July-2022 Volume 24 Issue 1

Full Size Image

Sign up for eToc alerts
Recommend to Library

  • Article
  • Citations
    • Cite This Article
    • Download Citation
    • Create Citation Alert
    • Remove Citation Alert
    • Cited By
  • Similar Articles
    • Related Articles (in Spandidos Publications)
    • Similar Articles (Google Scholar)
    • Similar Articles (PubMed)
  • Download PDF
  • Download XML
  • View XML
Case Report Open Access

Primary pulmonary epithelioid angiosarcoma with thyroid tumor history: A case report and literature review

  • Authors:
    • Lu Yu
    • Yuhui Sun
    • Meifang Wang
    • Lingling Yuan
    • Qiang Wang
    • Xin Qian
  • View Affiliations / Copyright

    Affiliations: Department of Pulmonary and Critical Care Medicine, Taihe Hospital, Hubei University of Medicine, Shiyan, Hubei 442000, P.R. China, Department of Pediatrics, Taihe Hospital, Hubei University of Medicine, Shiyan, Hubei 442000, P.R. China, Department of Pathology, Taihe Hospital, Hubei University of Medicine, Shiyan, Hubei 442000, P.R. China, Department of Gastroenterology, Taihe Hospital, Hubei University of Medicine, Shiyan, Hubei 442000, P.R. China
    Copyright: © Yu et al. This is an open access article distributed under the terms of Creative Commons Attribution License.
  • Article Number: 471
    |
    Published online on: May 27, 2022
       https://doi.org/10.3892/etm.2022.11398
  • Expand metrics +
Metrics: Total Views: 0 (Spandidos Publications: | PMC Statistics: )
Metrics: Total PDF Downloads: 0 (Spandidos Publications: | PMC Statistics: )
Cited By (CrossRef): 0 citations Loading Articles...

This article is mentioned in:



Abstract

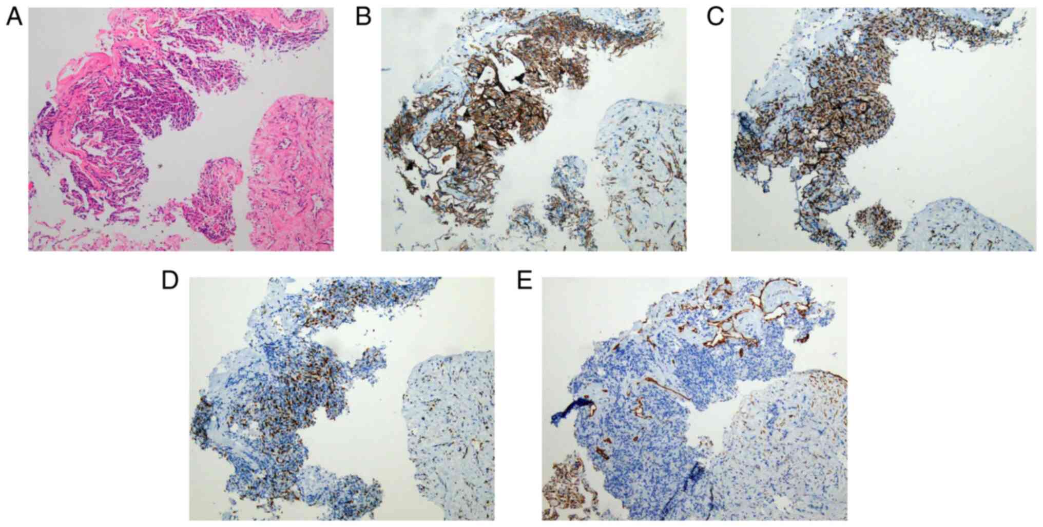
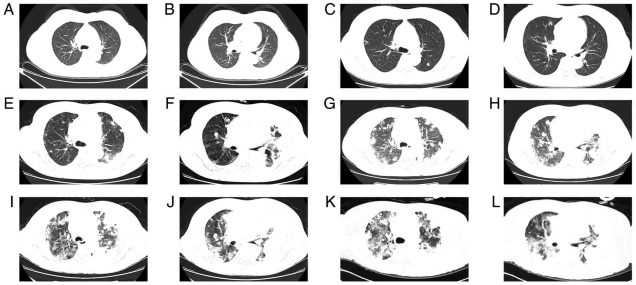
Primary pulmonary epithelioid angiosarcoma is a rare tumor type without any specific clinical and imaging features. Therefore, it is associated with high rates of misdiagnosis. The present study reports the case of a 54‑year‑old female patient who was admitted after complaining of cough, expectoration and bloody sputum for >5 months in May 2021. The patient reported a previous history of papillary thyroid carcinoma in 2003 and had undergone treatment through surgery, postoperative chemotherapy and iodine131 therapy. Chest computed tomography (CT) was performed in May 2021, which indicated that the disease had progressed rapidly since February 2021. CT‑guided lung biopsy and immunohistochemical staining of the tumor indicated positivity for CD31, CD34 and E26 transformation‑specific‑related gene markers. The tumor was negative for thyroid cancer‑associated antibodies; thus, a diagnosis of primary pulmonary epithelioid angiosarcoma was made. The patient died 3 months after the diagnosis. Primary pulmonary epithelioid angiosarcoma is a rare tumor type with high recurrence and metastasis rates. This tumor has no specific clinical symptoms and signs and is thus easily misdiagnosed. Biopsy is essential for diagnosis of the disease, particularly if patients have a tumor history.
View Figures

Figure 1

Figure 2

View References

1 

Naka N, Ohsawa M, Tomita Y, Kanno H, Uchida A and Aozasa K: Angiosarcoma in Japan. A review of 99 cases. Cancer. 75:989–996. 1995.PubMed/NCBI View Article : Google Scholar

2 

Penel N, Marréaud S, Robin YM and Hohenberger P: Angiosarcoma: State of the art and perspectives. Crit Rev Oncol Hematol. 80:257–263. 2011.PubMed/NCBI View Article : Google Scholar

3 

Young RJ, Brown NJ, Reed MW, Hughes D and Woll PJ: Angiosarcoma. Lancet Oncol. 11:983–991. 2010.PubMed/NCBI View Article : Google Scholar

4 

Wang H, Shi J, Liu H, Chen Y, Wang Y, Wang W and Zhang L: Clinical and diagnostic features of angiosarcoma with pulmonary metastases: A retrospective observational study. Medicine (Baltimore). 96(e8033)2017.PubMed/NCBI View Article : Google Scholar

5 

Shimabukuro I, Yatera K, Noguchi S, Kawanami Y, Iwanami T, Nishida C, Yamasaki K, Kawanami T, Ishimoto H, So T, et al: Primary pulmonary angiosarcoma presenting with hemoptysis and ground-glass opacity: A case report and literature review. Tohoku J Exp Med. 237:273–278. 2015.PubMed/NCBI View Article : Google Scholar

6 

Wang P, Xu L and Yang Y: A rare cause of pulmonary nodules diagnosed as angiosarcoma was misdiagnosed as Vasculitis and Wegener's granuloma in an elderly man: A case report. Front Oncol. 11(629597)2021.PubMed/NCBI View Article : Google Scholar

7 

Yang X, Jiang J, Dong X, Liang J and Guan Y: Correlations between computed tomography and positron emission tomography/computed tomography findings and pathology in 6 cases of pulmonary epithelioid angiosarcoma. Medicine (Baltimore). 97(e12107)2018.PubMed/NCBI View Article : Google Scholar

8 

Krishnamurthy A, Nayak D, Ramshankar V and Majhi U: Fluorine-18 fluorodeoxyglucose positron emission tomography/computed tomography in the detection of primary pulmonary angiosarcomas. Indian J Nucl Med. 30:142–144. 2015.PubMed/NCBI View Article : Google Scholar

9 

Piechuta A, Przybylowski T, Szolkowska M and Krenke R: Hemoptysis in a patient with multifocal primary pulmonary angiosarcoma. Pneumonol Alergol Pol. 84:283–289. 2016.PubMed/NCBI View Article : Google Scholar

10 

Sayan M, Valiyev E, Akarsu I, Esendagli G, Korpeoglu T and Celik A: Primary pulmonary angiosarcoma presenting as Pancoast tumor. Asian Cardiovasc Thorac Ann. 29:434–437. 2021.PubMed/NCBI View Article : Google Scholar

11 

Zhang Y, Huang X, Peng C, Wang Y, Wu Q, Wu Z, Shao H and Wang W: Primary pulmonary epithelioid angiosarcoma: A case report and literature review. J Cancer Res Ther. 14 (Suppl 1):S533–S535. 2018.PubMed/NCBI View Article : Google Scholar

12 

Ng FH, Yu SM, Wai OK and Chan JC: Primary epithelioid angiosarcoma of lung: Radiologic and clinicopathologic correlation. J Clin Imaging Sci. 7(33)2017.PubMed/NCBI View Article : Google Scholar

13 

Goedert JJ, Coté TR, Virgo P, Scoppa SM, Kingma DW, Gail MH, Jaffe ES and Biggar RJ: Spectrum of AIDS-associated malignant disorders. Lancet. 351:1833–1839. 1998.PubMed/NCBI View Article : Google Scholar

14 

Ma J, Zhang W, Huang Y, Wang L, Wang J, Yuan L and Zhang J: Radiologic findings of primary pulmonary angiosarcoma: A case report. Medicine (Baltimore). 97(e11105)2018.PubMed/NCBI View Article : Google Scholar

15 

Ren Y, Zhu M, Liu Y, Diao X and Zhang Y: Primary pulmonary angiosarcoma: Three case reports and literature review. Thorac Cancer. 7:607–613. 2016.PubMed/NCBI View Article : Google Scholar

16 

Chen YB, Guo LC, Yang L, Feng W, Zhang XQ, Ling CH, Ji C and Huang JA: Angiosarcoma of the lung: 2 cases report and literature reviewed. Lung Cancer. 70:352–356. 2010.PubMed/NCBI View Article : Google Scholar

17 

Grafino M, Alves P, de Almeida MM, Garrido P, Hasmucrai D, Teixeira E and Sotto-Mayor R: Angiosarcoma of the lung. J Bras Pneumol. 42:68–70. 2016.PubMed/NCBI View Article : Google Scholar : (In English, Portuguese).

18 

Atasoy C, Fitoz S, Yiğit H, Atasoy P, Erden I and Akyar S: Radiographic, CT, and MRI findings in primary pulmonary angiosarcoma. Clin Imaging. 25:337–340. 2001.PubMed/NCBI View Article : Google Scholar

19 

Yang CF, Chen TW, Tseng GC and Chiang IP: Primary pulmonary epithelioid angiosarcoma presenting as a solitary pulmonary nodule on image. Pathol Int. 62:424–428. 2012.PubMed/NCBI View Article : Google Scholar

20 

Aramini B, Masciale V, Bianchi D, Manfredini B, Banchelli F, D'Amico R, Bertolini F, Dominici M, Morandi U and Maiorana A: ALDH expression in angiosarcoma of the lung: A potential marker of aggressiveness? Front Med (Lausanne). 7(544158)2020.PubMed/NCBI View Article : Google Scholar

21 

Faiek S, Tariq H, Upparapalli D, Bansal A and Sompalli S: Primary pulmonary epithelioid angiosarcoma: A rare case presentation of bilateral pneumothoraces. Cureus. 11(e6514)2019.PubMed/NCBI View Article : Google Scholar

22 

Kakegawa S, Kawashima O, Ibe T, Ujita M, Iwashina M, Nakano T and Shimizu K: A case of primary angiosarcoma of the lung presenting as a hemorrhagic bronchial tumor. Ann Thorac Cardiovasc Surg. 18:347–351. 2012.PubMed/NCBI View Article : Google Scholar

23 

Kato A, Nakamoto Y, Ishimori T, Saga T and Togashi K: Prognostic value of quantitative parameters of 18F-FDG PET/CT for patients with angiosarcoma. AJR Am J Roentgenol. 214:649–657. 2020.PubMed/NCBI View Article : Google Scholar

24 

Modrzewska K, Radzikowska E, Szołkowska M, Oniszh K, Szczęsna M and Roszkowski-Śliż K: Diffuse pulmonary haemorrhage accompanied by haemothorax as a rare presentation of primary lung angiosarcoma. Kardiochir Torakochirurgia Pol. 12:367–371. 2015.PubMed/NCBI View Article : Google Scholar

25 

Anderson T, Zhang L, Hameed M, Rusch V, Travis WD and Antonescu CR: Thoracic epithelioid malignant vascular tumors: a clinicopathologic study of 52 cases with emphasis on pathologic grading and molecular studies of WWTR1-CAMTA1 fusions. Am J Surg Pathol. 39:132–139. 2015.PubMed/NCBI View Article : Google Scholar

26 

Wilson R, Glaros S, Brown RK, Michael C and Reisman D: Complete radiographic response of primary pulmonary angiosarcomas following gemcitabine and taxotere. Lung Cancer. 61:131–136. 2008.PubMed/NCBI View Article : Google Scholar

27 

Nguyen QT, Pham AT, Nguyen TT, Nguyen TTT and Van Le K: Role of immunotherapy in pulmonary angiosarcoma: A case report. Case Rep Oncol. 14:797–801. 2021.PubMed/NCBI View Article : Google Scholar

28 

Xu F, Zheng J, Fu M and Zhou H: Antiprogrammed cell death protein 1 immunotherapy for angiosarcoma with high programmed death-ligand 1 expression: A case report. Immunotherapy. 12:771–776. 2020.PubMed/NCBI View Article : Google Scholar

29 

Carillo GA, Carretero MA, Vazquez JE, Fontan EG, Ramos MB, Ventura JA, Rodriguez AP, Salmon AS and Tejedor JL: Epithelioid angiosarcoma of the lung with pleural metastases: A rare cause of haemoptysis clinicopathological conference. Heart Lung Circ. 19:624–628. 2010.PubMed/NCBI View Article : Google Scholar

30 

Shirey L, Coombs D, Talwar A and Mickus T: Pulmonary epithelioid angiosarcoma responsive to chemotherapy: A case report. Radiol Case Rep. 13:479–484. 2018.PubMed/NCBI View Article : Google Scholar

31 

Sindhu S, Gimber LH, Cranmer L, McBride A and Kraft AS: Angiosarcoma treated successfully with anti-PD-1 therapy-a case report. J Immunother Cancer. 5(58)2017.PubMed/NCBI View Article : Google Scholar

32 

Florou V, Rosenberg AE, Wieder E, Komanduri KV, Kolonias D, Uduman M, Castle JC, Buell JS, Trent JC and Wilky BA: Correction to: Angiosarcoma patients treated with immune checkpoint inhibitors: A case series of seven patients from a single institution. J Immunother Cancer. 7(285)2019.PubMed/NCBI View Article : Google Scholar

33 

Kojima K, Okamoto I, Ushijima S, Yoshinaga T, Kitaoka M, Suga M and Sasaki Y: Successful treatment of primary pulmonary angiosarcoma. Chest. 124:2397–2400. 2003.PubMed/NCBI View Article : Google Scholar

34 

Duck L, Baurain JF and Machiels JP: Treatment of a primary pulmonary angiosarcoma. Chest. 126:317–318. 2004.PubMed/NCBI View Article : Google Scholar

35 

Florou V and Wilky BA: Current management of angiosarcoma: Recent advances and lessons from the past. Curr Treat Options Oncol. 22(61)2021.PubMed/NCBI View Article : Google Scholar

36 

Dajsakdipon T, Siripoon T, Ngamphaiboon N, Ativitavas T and Dejthevaporn T: Immunotherapy and biomarkers in sarcoma. Curr Treat Options Oncol. 23:415–438. 2022.PubMed/NCBI View Article : Google Scholar

Related Articles

  • Abstract
  • View
  • Download
  • Twitter
Copy and paste a formatted citation
Spandidos Publications style
Yu L, Sun Y, Wang M, Yuan L, Wang Q and Qian X: Primary pulmonary epithelioid angiosarcoma with thyroid tumor history: A case report and literature review. Exp Ther Med 24: 471, 2022.
APA
Yu, L., Sun, Y., Wang, M., Yuan, L., Wang, Q., & Qian, X. (2022). Primary pulmonary epithelioid angiosarcoma with thyroid tumor history: A case report and literature review. Experimental and Therapeutic Medicine, 24, 471. https://doi.org/10.3892/etm.2022.11398
MLA
Yu, L., Sun, Y., Wang, M., Yuan, L., Wang, Q., Qian, X."Primary pulmonary epithelioid angiosarcoma with thyroid tumor history: A case report and literature review". Experimental and Therapeutic Medicine 24.1 (2022): 471.
Chicago
Yu, L., Sun, Y., Wang, M., Yuan, L., Wang, Q., Qian, X."Primary pulmonary epithelioid angiosarcoma with thyroid tumor history: A case report and literature review". Experimental and Therapeutic Medicine 24, no. 1 (2022): 471. https://doi.org/10.3892/etm.2022.11398
Copy and paste a formatted citation
x
Spandidos Publications style
Yu L, Sun Y, Wang M, Yuan L, Wang Q and Qian X: Primary pulmonary epithelioid angiosarcoma with thyroid tumor history: A case report and literature review. Exp Ther Med 24: 471, 2022.
APA
Yu, L., Sun, Y., Wang, M., Yuan, L., Wang, Q., & Qian, X. (2022). Primary pulmonary epithelioid angiosarcoma with thyroid tumor history: A case report and literature review. Experimental and Therapeutic Medicine, 24, 471. https://doi.org/10.3892/etm.2022.11398
MLA
Yu, L., Sun, Y., Wang, M., Yuan, L., Wang, Q., Qian, X."Primary pulmonary epithelioid angiosarcoma with thyroid tumor history: A case report and literature review". Experimental and Therapeutic Medicine 24.1 (2022): 471.
Chicago
Yu, L., Sun, Y., Wang, M., Yuan, L., Wang, Q., Qian, X."Primary pulmonary epithelioid angiosarcoma with thyroid tumor history: A case report and literature review". Experimental and Therapeutic Medicine 24, no. 1 (2022): 471. https://doi.org/10.3892/etm.2022.11398
Follow us
  • Twitter
  • LinkedIn
  • Facebook
About
  • Spandidos Publications
  • Careers
  • Cookie Policy
  • Privacy Policy
How can we help?
  • Help
  • Live Chat
  • Contact
  • Email to our Support Team