Spandidos Publications Logo
  • About
    • About Spandidos
    • Aims and Scopes
    • Abstracting and Indexing
    • Editorial Policies
    • Reprints and Permissions
    • Job Opportunities
    • Terms and Conditions
    • Contact
  • Journals
    • All Journals
    • Oncology Letters
      • Oncology Letters
      • Information for Authors
      • Editorial Policies
      • Editorial Board
      • Aims and Scope
      • Abstracting and Indexing
      • Bibliographic Information
      • Archive
    • International Journal of Oncology
      • International Journal of Oncology
      • Information for Authors
      • Editorial Policies
      • Editorial Board
      • Aims and Scope
      • Abstracting and Indexing
      • Bibliographic Information
      • Archive
    • Molecular and Clinical Oncology
      • Molecular and Clinical Oncology
      • Information for Authors
      • Editorial Policies
      • Editorial Board
      • Aims and Scope
      • Abstracting and Indexing
      • Bibliographic Information
      • Archive
    • Experimental and Therapeutic Medicine
      • Experimental and Therapeutic Medicine
      • Information for Authors
      • Editorial Policies
      • Editorial Board
      • Aims and Scope
      • Abstracting and Indexing
      • Bibliographic Information
      • Archive
    • International Journal of Molecular Medicine
      • International Journal of Molecular Medicine
      • Information for Authors
      • Editorial Policies
      • Editorial Board
      • Aims and Scope
      • Abstracting and Indexing
      • Bibliographic Information
      • Archive
    • Biomedical Reports
      • Biomedical Reports
      • Information for Authors
      • Editorial Policies
      • Editorial Board
      • Aims and Scope
      • Abstracting and Indexing
      • Bibliographic Information
      • Archive
    • Oncology Reports
      • Oncology Reports
      • Information for Authors
      • Editorial Policies
      • Editorial Board
      • Aims and Scope
      • Abstracting and Indexing
      • Bibliographic Information
      • Archive
    • Molecular Medicine Reports
      • Molecular Medicine Reports
      • Information for Authors
      • Editorial Policies
      • Editorial Board
      • Aims and Scope
      • Abstracting and Indexing
      • Bibliographic Information
      • Archive
    • World Academy of Sciences Journal
      • World Academy of Sciences Journal
      • Information for Authors
      • Editorial Policies
      • Editorial Board
      • Aims and Scope
      • Abstracting and Indexing
      • Bibliographic Information
      • Archive
    • International Journal of Functional Nutrition
      • International Journal of Functional Nutrition
      • Information for Authors
      • Editorial Policies
      • Editorial Board
      • Aims and Scope
      • Abstracting and Indexing
      • Bibliographic Information
      • Archive
    • International Journal of Epigenetics
      • International Journal of Epigenetics
      • Information for Authors
      • Editorial Policies
      • Editorial Board
      • Aims and Scope
      • Abstracting and Indexing
      • Bibliographic Information
      • Archive
    • Medicine International
      • Medicine International
      • Information for Authors
      • Editorial Policies
      • Editorial Board
      • Aims and Scope
      • Abstracting and Indexing
      • Bibliographic Information
      • Archive
  • Articles
  • Information
    • Information for Authors
    • Information for Reviewers
    • Information for Librarians
    • Information for Advertisers
    • Conferences
  • Language Editing
Spandidos Publications Logo
  • About
    • About Spandidos
    • Aims and Scopes
    • Abstracting and Indexing
    • Editorial Policies
    • Reprints and Permissions
    • Job Opportunities
    • Terms and Conditions
    • Contact
  • Journals
    • All Journals
    • Biomedical Reports
      • Information for Authors
      • Editorial Policies
      • Editorial Board
      • Aims and Scope
      • Abstracting and Indexing
      • Bibliographic Information
      • Archive
    • Experimental and Therapeutic Medicine
      • Information for Authors
      • Editorial Policies
      • Editorial Board
      • Aims and Scope
      • Abstracting and Indexing
      • Bibliographic Information
      • Archive
    • International Journal of Epigenetics
      • Information for Authors
      • Editorial Policies
      • Editorial Board
      • Aims and Scope
      • Abstracting and Indexing
      • Bibliographic Information
      • Archive
    • International Journal of Functional Nutrition
      • Information for Authors
      • Editorial Policies
      • Editorial Board
      • Aims and Scope
      • Abstracting and Indexing
      • Bibliographic Information
      • Archive
    • International Journal of Molecular Medicine
      • Information for Authors
      • Editorial Policies
      • Editorial Board
      • Aims and Scope
      • Abstracting and Indexing
      • Bibliographic Information
      • Archive
    • International Journal of Oncology
      • Information for Authors
      • Editorial Policies
      • Editorial Board
      • Aims and Scope
      • Abstracting and Indexing
      • Bibliographic Information
      • Archive
    • Medicine International
      • Information for Authors
      • Editorial Policies
      • Editorial Board
      • Aims and Scope
      • Abstracting and Indexing
      • Bibliographic Information
      • Archive
    • Molecular and Clinical Oncology
      • Information for Authors
      • Editorial Policies
      • Editorial Board
      • Aims and Scope
      • Abstracting and Indexing
      • Bibliographic Information
      • Archive
    • Molecular Medicine Reports
      • Information for Authors
      • Editorial Policies
      • Editorial Board
      • Aims and Scope
      • Abstracting and Indexing
      • Bibliographic Information
      • Archive
    • Oncology Letters
      • Information for Authors
      • Editorial Policies
      • Editorial Board
      • Aims and Scope
      • Abstracting and Indexing
      • Bibliographic Information
      • Archive
    • Oncology Reports
      • Information for Authors
      • Editorial Policies
      • Editorial Board
      • Aims and Scope
      • Abstracting and Indexing
      • Bibliographic Information
      • Archive
    • World Academy of Sciences Journal
      • Information for Authors
      • Editorial Policies
      • Editorial Board
      • Aims and Scope
      • Abstracting and Indexing
      • Bibliographic Information
      • Archive
  • Articles
  • Information
    • For Authors
    • For Reviewers
    • For Librarians
    • For Advertisers
    • Conferences
  • Language Editing
Login Register Submit
  • This site uses cookies
  • You can change your cookie settings at any time by following the instructions in our Cookie Policy. To find out more, you may read our Privacy Policy.

    I agree
Search articles by DOI, keyword, author or affiliation
Search
Advanced Search
presentation
Experimental and Therapeutic Medicine
Join Editorial Board Propose a Special Issue
Print ISSN: 1792-0981 Online ISSN: 1792-1015
Journal Cover
August-2022 Volume 24 Issue 2

Full Size Image

Sign up for eToc alerts
Recommend to Library

Journals

International Journal of Molecular Medicine

International Journal of Molecular Medicine

International Journal of Molecular Medicine is an international journal devoted to molecular mechanisms of human disease.

International Journal of Oncology

International Journal of Oncology

International Journal of Oncology is an international journal devoted to oncology research and cancer treatment.

Molecular Medicine Reports

Molecular Medicine Reports

Covers molecular medicine topics such as pharmacology, pathology, genetics, neuroscience, infectious diseases, molecular cardiology, and molecular surgery.

Oncology Reports

Oncology Reports

Oncology Reports is an international journal devoted to fundamental and applied research in Oncology.

Experimental and Therapeutic Medicine

Experimental and Therapeutic Medicine

Experimental and Therapeutic Medicine is an international journal devoted to laboratory and clinical medicine.

Oncology Letters

Oncology Letters

Oncology Letters is an international journal devoted to Experimental and Clinical Oncology.

Biomedical Reports

Biomedical Reports

Explores a wide range of biological and medical fields, including pharmacology, genetics, microbiology, neuroscience, and molecular cardiology.

Molecular and Clinical Oncology

Molecular and Clinical Oncology

International journal addressing all aspects of oncology research, from tumorigenesis and oncogenes to chemotherapy and metastasis.

World Academy of Sciences Journal

World Academy of Sciences Journal

Multidisciplinary open-access journal spanning biochemistry, genetics, neuroscience, environmental health, and synthetic biology.

International Journal of Functional Nutrition

International Journal of Functional Nutrition

Open-access journal combining biochemistry, pharmacology, immunology, and genetics to advance health through functional nutrition.

International Journal of Epigenetics

International Journal of Epigenetics

Publishes open-access research on using epigenetics to advance understanding and treatment of human disease.

Medicine International

Medicine International

An International Open Access Journal Devoted to General Medicine.

Journal Cover
August-2022 Volume 24 Issue 2

Full Size Image

Sign up for eToc alerts
Recommend to Library

  • Article
  • Citations
    • Cite This Article
    • Download Citation
    • Create Citation Alert
    • Remove Citation Alert
    • Cited By
  • Similar Articles
    • Related Articles (in Spandidos Publications)
    • Similar Articles (Google Scholar)
    • Similar Articles (PubMed)
  • Download PDF
  • Download XML
  • View XML
Case Report Open Access

An unusual case of appendicitis due to appendiceal neuroendocrine tumor in a patient: A case report

  • Authors:
    • Tingting Gao
    • Weijue Xu
  • View Affiliations / Copyright

    Affiliations: Department of General Surgery, Shanghai Children's Hospital, School of Medicine, Shanghai Jiao Tong University, Shanghai 200000, P.R. China
    Copyright: © Gao et al. This is an open access article distributed under the terms of Creative Commons Attribution License.
  • Article Number: 531
    |
    Published online on: June 22, 2022
       https://doi.org/10.3892/etm.2022.11458
  • Expand metrics +
Metrics: Total Views: 0 (Spandidos Publications: | PMC Statistics: )
Metrics: Total PDF Downloads: 0 (Spandidos Publications: | PMC Statistics: )
Cited By (CrossRef): 0 citations Loading Articles...

This article is mentioned in:



Abstract

Appendiceal neuroendocrine tumor (NET) is the most common type of appendiceal cancer and is rare in the pediatric population. The clinical characteristics of this cancer are not specific and are highly similar to those of acute appendicitis. By contrast, acute appendicitis is a common surgical indication that is caused by obstruction of the appendix lumen. With a detection rate of 0.5‑1% in all appendectomy specimens, appendiceal NET is rare histopathologically and can easily be missed. However, detecting an appendiceal NET in a patient with appendicitis is highly difficult. Therefore, clinicians must be aware of this much under‑reported and rare tumor in children. In the present report, a case was reported, of a 13‑year‑old female child who initially presented with clinical presentation of acute appendicitis, but was subsequently diagnosed with appendiceal NET by histopathological examination after an emergency appendectomy. Follow‑up examination including abdominal enhanced CT and enteroscopy 2 years after surgery revealed normal results.

Introduction

Neuroendocrine tumors (NETs) are most commonly found in the gastrointestinal tract. Previous epidemiological studies have shown that the small intestine, rectum, and appendix are the sites most at risk of developing NETs (1,2). Appendiceal NET accounts for ~19% of all NETs and is the most common type of appendiceal cancer. Even so, appendiceal NET is a relatively rare disease in terms of prevalence, especially in children (3). Due to the lack of specific and standardized clinical guidelines, laboratory or imaging profiles for diagnosis on presentation, it remains exceptionally difficult to diagnose appendiceal NET preoperatively. As a result, it can be easily misdiagnosed as acute or chronic appendicitis. Therefore, such individuals would typically need a second operation, which is performed based on the size of the tumor. The present study reports an unusual case of acute appendicitis in an adolescent individual caused by appendiceal NET. The aim of the present case report is to provide guidance and assistance for the early diagnosis and treatment of appendiceal NET in children.

Case report

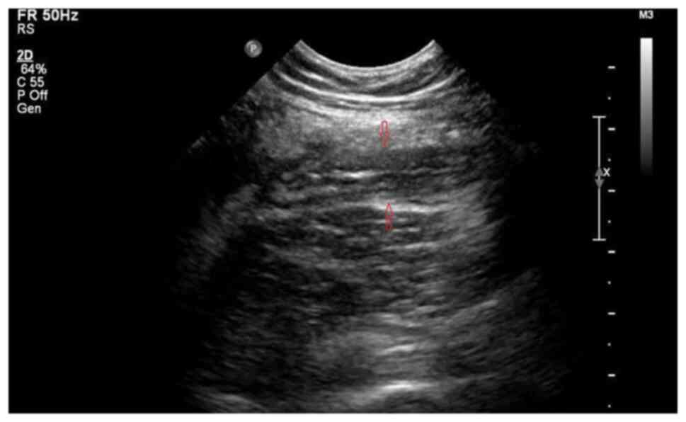
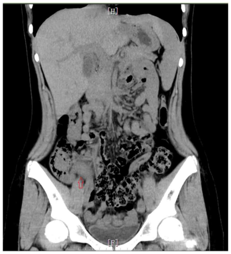
A 13-year-old female adolescent individual with pain in the lower right abdomen for 3 days was first admitted to Shanghai Children's Hospital (Shanghai, China). She initially complained of pain in the lower right abdomen but without fever or diarrhea 3 days before admission. However, she vomited once 1 day before admission. No similar type of abdominal pain was experienced by the patient in the past. Physical examination revealed a fixed area of tenderness in the lower right abdomen without rebound tenderness. No obvious masses could be found in the abdominal area and the bowel sound was normal. Laboratory examination revealed her inflammatory markers to be elevated. Specifically, the white blood cell count was 8.49x109 cells/l and C reactive protein (CRP) count was 15 mg/l. The blood biochemical parameters of liver function, renal function and electrolytes were normal. In addition, abdominal ultrasound revealed that the diameter of the appendix was 9 mm, suggesting an acutely inflamed appendix (Fig. 1). From the computerized tomography (CT) scan images it could be observed that the appendix was thickened with exudation, where there was a small quantity of fluid within the pelvic cavity (Fig. 2).

Figure 1

Abdominal ultrasound showing acutely inflamed appendix, as indicated by the arrows.

Figure 2

Computerized tomography (CT) scanning showing that the appendix is thickened with exudation, as indicated by the arrow.

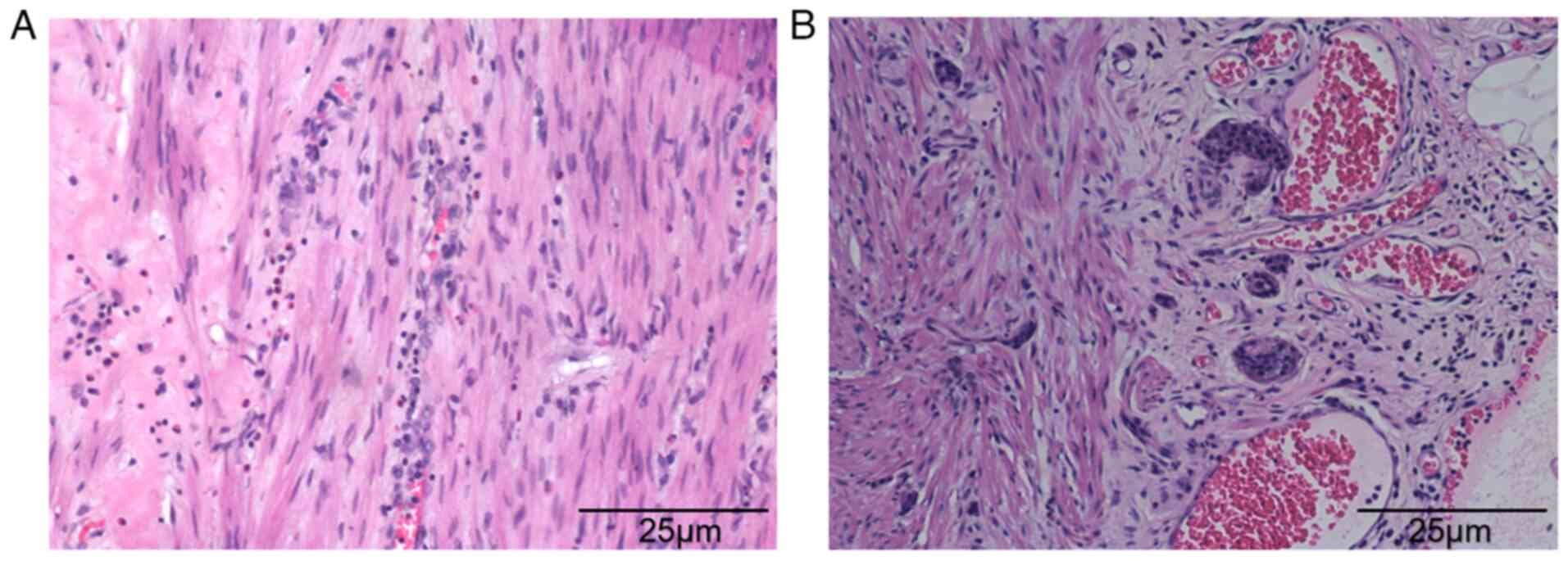
After preoperative preparation, the patient underwent surgery. During the operation, the appendix was found to be located in the pelvic area with notable swelling in the head and body. No obvious perforations were observed and the root of the appendix was otherwise healthy. Pathological examination found that a appendiceal NET was located at the tip of the appendix, the diameter of which was 7 mm. Acute purulent appendicitis was also detected (Fig. 3). The diagnosis of appendiceal NET was confirmed by the positive immunostaining of tumor markers, such as synaptophysin (Syn)+, Ki-67, chromogranin A (CgA)+, cytokeratin (CK)+, CD56+, cytokeratin (CAM) 5.2+ (Fig. 4).

Figure 3

Hematoxylin and eosin staining showing (A) inflammatory cell infiltration (magnification, x100) and (B) vascular congestion (magnification, x100).

Figure 4

(a and b) Appendiceal neuroendocrine tumor (NET) is shown (A: magnification, x40; B: magnification, x100). Immunohistochemical markers such as (C) cytokeratin (CAM)5.2+, (D) CD56+, (E) chromogranin A (CgA)+, (F) cytokeratin (CK)+, (G) Ki-67, and (H) synaptophysin (Syn)+ were positive.

No further treatment was administered. The patient recovered in 4 days after surgery and was discharged without complications. No tumor recurrence and metastasis were found 2 years after the operation. Abdominal enhanced CT and enteroscopy examinations yielded normal unremarkable results.

Discussion

Appendiceal neuroendocrine tumor (NET) is a relatively uncommon and low-grade malignancy that has a detection rate of 0.3 to 0.9% in all patients and only 0.08% in pediatric patients following appendectomy (4,5). It typically originates from subepithelial neuroendocrine cells located in the intrinsic mucosa (6,7), where its predilection site appears to be the tip of the appendix, followed by the body and root of the same organ (8). According to the Ki-67 proliferation index and the mitotic rate, which are considered to be predictors of metastasis and recurrence, the WHO in 2010 classified appendiceal NET into G1 [Ki-67 <2% and mitotic rate <2/10 high-power field (HPF)] and G2 [Ki-67 is 3-20% and mitotic rate is 2-20 HPF] (9). A number of studies have previously shown that the clinical progression of G1- and G2-stage appendiceal NET is relatively stable, with only limited cases showing invasiveness (10). The present case was diagnosed to be in the G1 phase.

Acute appendicitis, related to obstruction of the appendix lumen by fecalith, lymphoid hyperplasia or tumors, is a common surgical indication. Due to the low incidence of appendiceal NET in children and the lack of specific clinical presentations, the preoperative diagnosis of this disease is highly difficult. At present it must be confirmed by pathological examination after appendicitis appendectomy or other surgical interventions in the abdominal cavity. Previous studies have revealed that patients with appendiceal NET have older onset age and lower white blood cell count compared with those with appendicitis (11). However, since these two differences are not quantifiable, they can be easily ignored by clinicians. In the case of the patient reported above, the tumor was located at the tip of the appendix, where the clinical presentation was similar to that of acute appendicitis.

The majority of appendiceal NET exhibit the biological characteristics of benign tumors, such that metastasis has almost never been observed in children (2). Therefore the primary choice of treatment is surgery, where the scope of surgical resection is determined according to the size, location and metastatic status of the tumor. It is important to note that the size of the tumor is the most reliable index for predicting invasion and therefore the most important factor for determining the type of surgical method. Furthermore, it is generally considered that tumors located in the tip and middle of the appendix with a diameter of <1 cm will more likely present biological characteristics of benign tumors that will not undergo metastasis, but appendectomy is required. However, ileocecal resection is advisable for tumors located in the root of the appendix with diameters <1 cm, especially for younger patients. By contrast, tumors with diameters >2 cm frequently presents with biological characteristics of malignant tumors, where the occurrence of distant metastasis is 20-85%. It is generally considered at present that radical resection of the right colon should been performed, although Ciarrocchi et al (12) previously proposed that tumor size should not be considered an absolute indication for right hemicolectomy. For tumors with diameters of 1-2 cm, the optimal surgical method remains controversial (13-15). Furthermore, for tumors located in the tip or body of the appendix that do not infiltrate into the serous membrane or lymph node, appendectomy can be performed simply without complications (16).

It remains to be a challenge to make an accurate clinical diagnosis of appendiceal NET according to the currently known atypical clinical presentations. While some patients can be admitted to the hospital with symptoms such as lower right abdominal mass and gastrointestinal bleeding, other patients can appear with NET syndrome such as intermittent flush, purple face, diarrhea, asthma attacks and shock (12). NET syndrome frequently indicates that the tumor has already progressed to advanced stages. Therefore, appendix swelling, fester, bezoar, necrosis or perforation should not be the only parameter examined following appendix resection. In addition, it should also be examined if there is a yellow or white hard round mass in patients suspected with appendicitis. Appendiceal NET should never be ruled out and a biopsy must be conducted in time to avoid injuries caused by secondary surgery in patients. In addition, laboratory examinations of parameters, including serum serotonin, tryptophan and 5-hydroxyindoleacetic acid should be evaluated in patients discovered with appendiceal NET accidentally after appendectomy. Various forms of imaging examination such as chest X-ray, ultrasonic and abdominal CT (17) should also be performed to exclude metastases.

Appendiceal NET is a low-grade malignancy, with a relatively optimistic clinical prognosis on account of the low rates of distant metastasis, slow growth characteristics and long natural course of the disease (18). Tumor size, proliferation rate, infiltration of the appendiceal wall and status of the surgical margins are indicators of prognosis (19).

In conclusion, appendiceal NET is rare in children and there is a lack of specific clinical presentation. The majority of patients present with symptoms similar to those of acute or chronic appendicitis, rendering it easily misdiagnosed. Therefore, clinicians should deepen their understanding of appendiceal NET, which should be considered, particularly during surgical procedures. The present report intends to highlight that appendiceal NET should not be overlooked as an unusual cause of acute appendicitis especially in children, to avoid the necessity of a second operation.

Acknowledgements

Not applicable.

Funding

Funding: No funding was received.

Availability of data and materials

All data generated or analyzed during this study are included in this published article.

Authors' contributions

TG conceived the study and wrote the initial draft of the paper. TG also contributed to care of the patient and literature review. WX contributed to the study, performed additional analyses and produced the final draft of the paper. WX and TG confirm the authenticity of all the raw data. All authors read and approved the final manuscript.

Ethics approval and consent to participate

The procedure mentioned in the present report has been approved by the Ethics Committee of Shanghai Children's Hospital (approval no. 2018R055).

Patient consent for publication

Written informed consent of this case report was obtained from the legal guardian of the patient.

Competing interests

The authors declare that they have no competing interests.

References

1 

Alexandraki KI, Kaltsas GA, Grozinsky-Glasberg S, Chatzellis E and Grossman AB: Appendiceal neuroendocrine neoplasms: Diagnosis and management. Endocr Relat Cancer. 23:R27–R41. 2016.PubMed/NCBI View Article : Google Scholar

2 

Moris D, Tsilimigras DI, Vagios S, Ntanasis-Stathopoulos I, Karachaliou GS, Papalampros A, Alexandrou A, Blazer DG III and Felekouras E: Neuroendocrine neoplasms of the appendix: A review of the literature. Anticancer Res. 38:601–611. 2018.PubMed/NCBI View Article : Google Scholar

3 

Emmanouil H, Paraskevi P, Vasiliki SF, Fragandrea L and Koliouskas DE: Carcinoid tumors of the appendix in children: Experience from a tertiary centre in northern Greece. J Pediatr Gastroenterol Nutr. 51:622–625. 2010.PubMed/NCBI View Article : Google Scholar

4 

Allan B, Davis J, Perez E, Lew J and Sola J: Malignant neuroendocrine tumors: Incidence and outcomes in pediatric patients. Eur J Pediatr Surg. 23:394–399. 2013.PubMed/NCBI View Article : Google Scholar

5 

Shapiro R, Eldar S, Sadot E, Papa MZ and Zippel DB: Appendiceal carcinoid at a large tertiary center: Pathologic findings and long-term follow-up evaluation. Am J Surg. 201:805–808. 2011.PubMed/NCBI View Article : Google Scholar

6 

Meeks MW, Grace S, Chen Y, Petterchak J, Bolesta E, Zhou Y and Lai JP: Synchronous quadruple primary neoplasms: Colon adenocarcinoma, collision tumor of neuroendocrine tumor and Schwann cell hamartoma and sessile serrated adenoma of the appendix. Anticancer Res. 36:4307–4311. 2016.PubMed/NCBI

7 

Wu H, Chintagumpala M, Hicks J, Nuchtern JG, Okcu MF and Venkatramani R: Neuroendocrine tumor of the appendix in children. J Pediatr Hematol Oncol. 39:97–102. 2017.PubMed/NCBI View Article : Google Scholar

8 

Kim JY and Hong SM: Recent updates on neuroendocrine tumors from the gastrointestinal and pancreatobiliary tracts. Arch Pathol Lab Med. 140:437–448. 2016.PubMed/NCBI View Article : Google Scholar

9 

Yamaguchi T, Fujimori T, Tomita S, Ichikawa K, Mitomi H, Ohno K, Shida Y and Kato H: Clinical validation of the gastrointestinal NET grading system.Ki67 index criteria of the WHO 2010 classification is appropriate to predict metastasis or recurrence. Diagn Pathol. 8(65)2013.PubMed/NCBI View Article : Google Scholar

10 

Mullen JT and Savarese DM: Carcinoid tumors of the appendix: A population-based study. J Surg Oncol. 104:41–44. 2011.

11 

Van Gompel JJ, Stoddard E and Chen H: Incidental carcinoid tumors of the appendix: Do they affect presentation or prognosis? Int Surg. 92:331–334. 2007.PubMed/NCBI

12 

Ciarrocchi A, Pietroletti R, Carlei F, Necozione S and Amicucci G: Propensity adjusted appraisal of the surgical strategy for appendiceal carcinoids. Tech Coloproctol. 19:35–41. 2015.PubMed/NCBI View Article : Google Scholar

13 

Lambert G, Lardy H, Martelli H, Orbach D, Gauthier F and Guérin F: Surgical management of neuroendocrine tumors of the appendix in children and adolescents: A retrospective French multicenter study of 114 cases. Pediatr Blood Cancer. 63:598–603. 2016.PubMed/NCBI View Article : Google Scholar

14 

Ciarrocchi A, Rindi G and Pietroletti R: Diagnosis and treatment of primary tumors of the appendix: A critical review. J Gastrointest Cancer. 52:471–475. 2021.PubMed/NCBI View Article : Google Scholar

15 

Lobeck IN, Jeste N, Geller J, Pressey J and von Allmen D: Surgical management and surveillance of pediatric appendiceal carcinoid tumor. J Pediatr Surg. 52:925–927. 2017.PubMed/NCBI View Article : Google Scholar

16 

National Comprehensive Cancer Network Guidelines for patients neuroendocrine tumors (version1 .2018). Available from: https://www.nccn.org/patients/guidelines/content/PDF/neuroendocrine-patient.pdf.

17 

Ciarrocchi A, Pietroletti R, Carlei F and Amicucci G: Clinical significance of metastatic lymph nodes in the gut of patients with pure and mixed primary appendiceal carcinoids. Dis Colon Rectum. 59:508–512. 2016.PubMed/NCBI View Article : Google Scholar

18 

Deschamps L and Couvelard A: Endocrine tumors of the appendix: A pathologic review. Arch Pathol Lab Med. 134:871–875. 2010.PubMed/NCBI View Article : Google Scholar

19 

Prommegger R, Obrist P, Ensinger C, Profanter C, Mittermair R and Hager J: Retrospective evaluation of carcinoid tumors of the appendix in children. World J Surg. 26:1489–1492. 2002.PubMed/NCBI View Article : Google Scholar

Related Articles

  • Abstract
  • View
  • Download
  • Twitter
Copy and paste a formatted citation
Spandidos Publications style
Gao T and Xu W: An unusual case of appendicitis due to appendiceal neuroendocrine tumor in a patient: A case report. Exp Ther Med 24: 531, 2022.
APA
Gao, T., & Xu, W. (2022). An unusual case of appendicitis due to appendiceal neuroendocrine tumor in a patient: A case report. Experimental and Therapeutic Medicine, 24, 531. https://doi.org/10.3892/etm.2022.11458
MLA
Gao, T., Xu, W."An unusual case of appendicitis due to appendiceal neuroendocrine tumor in a patient: A case report". Experimental and Therapeutic Medicine 24.2 (2022): 531.
Chicago
Gao, T., Xu, W."An unusual case of appendicitis due to appendiceal neuroendocrine tumor in a patient: A case report". Experimental and Therapeutic Medicine 24, no. 2 (2022): 531. https://doi.org/10.3892/etm.2022.11458
Copy and paste a formatted citation
x
Spandidos Publications style
Gao T and Xu W: An unusual case of appendicitis due to appendiceal neuroendocrine tumor in a patient: A case report. Exp Ther Med 24: 531, 2022.
APA
Gao, T., & Xu, W. (2022). An unusual case of appendicitis due to appendiceal neuroendocrine tumor in a patient: A case report. Experimental and Therapeutic Medicine, 24, 531. https://doi.org/10.3892/etm.2022.11458
MLA
Gao, T., Xu, W."An unusual case of appendicitis due to appendiceal neuroendocrine tumor in a patient: A case report". Experimental and Therapeutic Medicine 24.2 (2022): 531.
Chicago
Gao, T., Xu, W."An unusual case of appendicitis due to appendiceal neuroendocrine tumor in a patient: A case report". Experimental and Therapeutic Medicine 24, no. 2 (2022): 531. https://doi.org/10.3892/etm.2022.11458
Follow us
  • Twitter
  • LinkedIn
  • Facebook
About
  • Spandidos Publications
  • Careers
  • Cookie Policy
  • Privacy Policy
How can we help?
  • Help
  • Live Chat
  • Contact
  • Email to our Support Team