Spandidos Publications Logo
  • About
    • About Spandidos
    • Aims and Scopes
    • Abstracting and Indexing
    • Editorial Policies
    • Reprints and Permissions
    • Job Opportunities
    • Terms and Conditions
    • Contact
  • Journals
    • All Journals
    • Oncology Letters
      • Oncology Letters
      • Information for Authors
      • Editorial Policies
      • Editorial Board
      • Aims and Scope
      • Abstracting and Indexing
      • Bibliographic Information
      • Archive
    • International Journal of Oncology
      • International Journal of Oncology
      • Information for Authors
      • Editorial Policies
      • Editorial Board
      • Aims and Scope
      • Abstracting and Indexing
      • Bibliographic Information
      • Archive
    • Molecular and Clinical Oncology
      • Molecular and Clinical Oncology
      • Information for Authors
      • Editorial Policies
      • Editorial Board
      • Aims and Scope
      • Abstracting and Indexing
      • Bibliographic Information
      • Archive
    • Experimental and Therapeutic Medicine
      • Experimental and Therapeutic Medicine
      • Information for Authors
      • Editorial Policies
      • Editorial Board
      • Aims and Scope
      • Abstracting and Indexing
      • Bibliographic Information
      • Archive
    • International Journal of Molecular Medicine
      • International Journal of Molecular Medicine
      • Information for Authors
      • Editorial Policies
      • Editorial Board
      • Aims and Scope
      • Abstracting and Indexing
      • Bibliographic Information
      • Archive
    • Biomedical Reports
      • Biomedical Reports
      • Information for Authors
      • Editorial Policies
      • Editorial Board
      • Aims and Scope
      • Abstracting and Indexing
      • Bibliographic Information
      • Archive
    • Oncology Reports
      • Oncology Reports
      • Information for Authors
      • Editorial Policies
      • Editorial Board
      • Aims and Scope
      • Abstracting and Indexing
      • Bibliographic Information
      • Archive
    • Molecular Medicine Reports
      • Molecular Medicine Reports
      • Information for Authors
      • Editorial Policies
      • Editorial Board
      • Aims and Scope
      • Abstracting and Indexing
      • Bibliographic Information
      • Archive
    • World Academy of Sciences Journal
      • World Academy of Sciences Journal
      • Information for Authors
      • Editorial Policies
      • Editorial Board
      • Aims and Scope
      • Abstracting and Indexing
      • Bibliographic Information
      • Archive
    • International Journal of Functional Nutrition
      • International Journal of Functional Nutrition
      • Information for Authors
      • Editorial Policies
      • Editorial Board
      • Aims and Scope
      • Abstracting and Indexing
      • Bibliographic Information
      • Archive
    • International Journal of Epigenetics
      • International Journal of Epigenetics
      • Information for Authors
      • Editorial Policies
      • Editorial Board
      • Aims and Scope
      • Abstracting and Indexing
      • Bibliographic Information
      • Archive
    • Medicine International
      • Medicine International
      • Information for Authors
      • Editorial Policies
      • Editorial Board
      • Aims and Scope
      • Abstracting and Indexing
      • Bibliographic Information
      • Archive
  • Articles
  • Information
    • Information for Authors
    • Information for Reviewers
    • Information for Librarians
    • Information for Advertisers
    • Conferences
  • Language Editing
Spandidos Publications Logo
  • About
    • About Spandidos
    • Aims and Scopes
    • Abstracting and Indexing
    • Editorial Policies
    • Reprints and Permissions
    • Job Opportunities
    • Terms and Conditions
    • Contact
  • Journals
    • All Journals
    • Biomedical Reports
      • Information for Authors
      • Editorial Policies
      • Editorial Board
      • Aims and Scope
      • Abstracting and Indexing
      • Bibliographic Information
      • Archive
    • Experimental and Therapeutic Medicine
      • Information for Authors
      • Editorial Policies
      • Editorial Board
      • Aims and Scope
      • Abstracting and Indexing
      • Bibliographic Information
      • Archive
    • International Journal of Epigenetics
      • Information for Authors
      • Editorial Policies
      • Editorial Board
      • Aims and Scope
      • Abstracting and Indexing
      • Bibliographic Information
      • Archive
    • International Journal of Functional Nutrition
      • Information for Authors
      • Editorial Policies
      • Editorial Board
      • Aims and Scope
      • Abstracting and Indexing
      • Bibliographic Information
      • Archive
    • International Journal of Molecular Medicine
      • Information for Authors
      • Editorial Policies
      • Editorial Board
      • Aims and Scope
      • Abstracting and Indexing
      • Bibliographic Information
      • Archive
    • International Journal of Oncology
      • Information for Authors
      • Editorial Policies
      • Editorial Board
      • Aims and Scope
      • Abstracting and Indexing
      • Bibliographic Information
      • Archive
    • Medicine International
      • Information for Authors
      • Editorial Policies
      • Editorial Board
      • Aims and Scope
      • Abstracting and Indexing
      • Bibliographic Information
      • Archive
    • Molecular and Clinical Oncology
      • Information for Authors
      • Editorial Policies
      • Editorial Board
      • Aims and Scope
      • Abstracting and Indexing
      • Bibliographic Information
      • Archive
    • Molecular Medicine Reports
      • Information for Authors
      • Editorial Policies
      • Editorial Board
      • Aims and Scope
      • Abstracting and Indexing
      • Bibliographic Information
      • Archive
    • Oncology Letters
      • Information for Authors
      • Editorial Policies
      • Editorial Board
      • Aims and Scope
      • Abstracting and Indexing
      • Bibliographic Information
      • Archive
    • Oncology Reports
      • Information for Authors
      • Editorial Policies
      • Editorial Board
      • Aims and Scope
      • Abstracting and Indexing
      • Bibliographic Information
      • Archive
    • World Academy of Sciences Journal
      • Information for Authors
      • Editorial Policies
      • Editorial Board
      • Aims and Scope
      • Abstracting and Indexing
      • Bibliographic Information
      • Archive
  • Articles
  • Information
    • For Authors
    • For Reviewers
    • For Librarians
    • For Advertisers
    • Conferences
  • Language Editing
Login Register Submit
  • This site uses cookies
  • You can change your cookie settings at any time by following the instructions in our Cookie Policy. To find out more, you may read our Privacy Policy.

    I agree
Search articles by DOI, keyword, author or affiliation
Search
Advanced Search
presentation
Experimental and Therapeutic Medicine
Join Editorial Board Propose a Special Issue
Print ISSN: 1792-0981 Online ISSN: 1792-1015
Journal Cover
September-2022 Volume 24 Issue 3

Full Size Image

Sign up for eToc alerts
Recommend to Library

Journals

International Journal of Molecular Medicine

International Journal of Molecular Medicine

International Journal of Molecular Medicine is an international journal devoted to molecular mechanisms of human disease.

International Journal of Oncology

International Journal of Oncology

International Journal of Oncology is an international journal devoted to oncology research and cancer treatment.

Molecular Medicine Reports

Molecular Medicine Reports

Covers molecular medicine topics such as pharmacology, pathology, genetics, neuroscience, infectious diseases, molecular cardiology, and molecular surgery.

Oncology Reports

Oncology Reports

Oncology Reports is an international journal devoted to fundamental and applied research in Oncology.

Experimental and Therapeutic Medicine

Experimental and Therapeutic Medicine

Experimental and Therapeutic Medicine is an international journal devoted to laboratory and clinical medicine.

Oncology Letters

Oncology Letters

Oncology Letters is an international journal devoted to Experimental and Clinical Oncology.

Biomedical Reports

Biomedical Reports

Explores a wide range of biological and medical fields, including pharmacology, genetics, microbiology, neuroscience, and molecular cardiology.

Molecular and Clinical Oncology

Molecular and Clinical Oncology

International journal addressing all aspects of oncology research, from tumorigenesis and oncogenes to chemotherapy and metastasis.

World Academy of Sciences Journal

World Academy of Sciences Journal

Multidisciplinary open-access journal spanning biochemistry, genetics, neuroscience, environmental health, and synthetic biology.

International Journal of Functional Nutrition

International Journal of Functional Nutrition

Open-access journal combining biochemistry, pharmacology, immunology, and genetics to advance health through functional nutrition.

International Journal of Epigenetics

International Journal of Epigenetics

Publishes open-access research on using epigenetics to advance understanding and treatment of human disease.

Medicine International

Medicine International

An International Open Access Journal Devoted to General Medicine.

Journal Cover
September-2022 Volume 24 Issue 3

Full Size Image

Sign up for eToc alerts
Recommend to Library

  • Article
  • Citations
    • Cite This Article
    • Download Citation
    • Create Citation Alert
    • Remove Citation Alert
    • Cited By
  • Similar Articles
    • Related Articles (in Spandidos Publications)
    • Similar Articles (Google Scholar)
    • Similar Articles (PubMed)
  • Download PDF
  • Download XML
  • View XML
Review Open Access

Tensioned space after pneumonectomy for cancer with mediastinal shift and cardiac tamponade‑causes and treatment (Review)

  • Authors:
    • Natalia Motas
    • Veronica Manolache
    • Ovidiu Rus
    • Mihnea Davidescu
    • Madalina Cristiana Cioalca‑iliescu
    • Bogdan Socea
    • Mihail Constantin Ceausu
    • Oana Gabriela Trifanescu
  • View Affiliations / Copyright

    Affiliations: Clinic of Thoracic Surgery, Institute of Oncology ‘Prof. Dr. Al. Trestioreanu’, Bucharest RO‑022328, Romania, Clinic of Thoracic Surgery ‘Prof. Dr. Al. Trestioreanu’, University of Medicine and Pharmacy Carol Davila, Bucharest RO‑020021, Romania, Clinic of General Surgery, Emergency Clinical Hospital Sf. Pantelimon, Bucharest RO‑021659, Romania, Department of Pathology, Institute of Oncology ‘Prof. Dr. Al. Trestioreanu’, Bucharest RO‑022328, Romania, Clinic of Oncology, Institute of Oncology ‘Prof. Dr. Al. Trestioreanu’, Bucharest RO‑022328, Romania
    Copyright: © Motas et al. This is an open access article distributed under the terms of Creative Commons Attribution License.
  • Article Number: 548
    |
    Published online on: July 1, 2022
       https://doi.org/10.3892/etm.2022.11485
  • Expand metrics +
Metrics: Total Views: 0 (Spandidos Publications: | PMC Statistics: )
Metrics: Total PDF Downloads: 0 (Spandidos Publications: | PMC Statistics: )
Cited By (CrossRef): 0 citations Loading Articles...

This article is mentioned in:


Abstract

Regarding the pleural space after pneumonectomy for malignancy, a vast number of studies have assessed early drop in the fluid level, suggesting a broncho‑pleural fistula, but only a small number of studies reported on the abnormal increase in the fluid level‑a potentially lethal complication. In the present study, the available databases worldwide were screened and 19 cases were retrieved, including 14 chylothorax and 3 hydrothorax cases, 1 pneumothorax and 1 haemothorax case. Tension chylothorax is caused by mediastinal lymph node dissection as an assumed risk in radical cancer surgery. For tensioned haemothorax, the cause has not been elucidated, although lymphatic stasis associated with deep venous thrombosis was suspected. Tensioned pneumothorax was caused by chest wall damage after extrapleural pneumonectomy combined with low aspiration pressure on the chest drain. No cause was determined for none of the tensioned hydrothorax‑all 3 cases had the scenario of pericardial resection in addition to pneumonectomy in common. Tensioned space after pneumonectomy for cancer manifests as cardiac tamponade. Initial management is emergent decompression of the heart and mediastinum. Final management depends on the fluid type (chyle, transudate, air, blood) and the medical context of each case. Of the 19 cases, 12 required a major surgical procedure as the definitive management.

1. Introduction

The removal of one entire lung-pneumonectomy-is not a surgical decision to be taken lightly. Although technically considered the simplest anatomical resection, its high mortality [10-60% (1)] and difficulty to manage possible post-operative complications warrant careful selection of eligible cases.

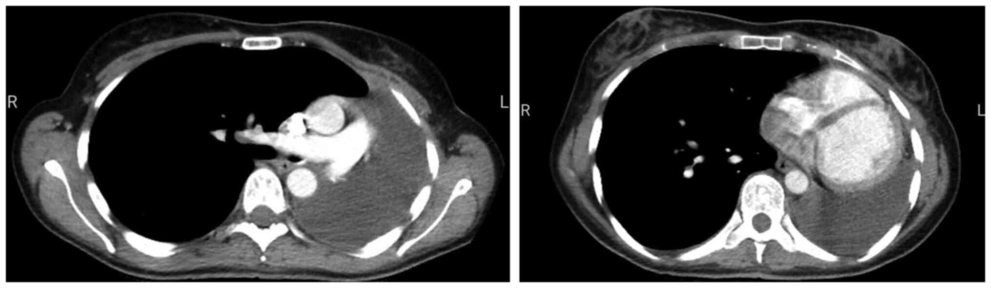
As it is the only type of pulmonary resection that leaves the entire pleural cavity empty, specific changes are expected after pneumonectomy. Typically, after surgery, the empty space is filled with air, which is then gradually replaced by fluid. Then, in a course of 1-7 months (2), the pleural cavity should be entirely obliterated. Obviously, these changes also have an anatomic impact, such as the rise of the diaphragm and the shift of the mediastinum towards the empty cavity, also narrowing the intercostal spaces on the same side (Fig. 1).

Figure 1

Normal post-pneumonectomy aspect-CT scan at 2 months after left pneumonectomy for cancer using video-assisted thoracic surgery, for a central typical carcinoid with lung destruction after one year of evolution, in a 23-year-old female patient-section at the level of the great vessels (left) and at the level of the heart ventricles (right).

Although patients eligible for pneumonectomy undergo a rigorous workup prior to surgery, certain post-operative complications still do occur. Complications may occur more frequently when oncological elective surgeries are delayed or even cancelled, e.g., due to associated comorbidities or due to the COVID-19 pandemic (3-5).

As for the post-operative management of any other type of pulmonary anatomical resection, the standard cautions and care apply when it comes to pneumonectomies, but there are specific post-operative complications that the patient must be monitored for: post-pneumonectomy empyema, post-pneumonectomy pulmonary oedema and post-pneumonectomy syndrome (1), followed by other more or less frequent complications (1,6,7) that are outlined in Table I, stratified by acute or chronic state.

Table I

Most common complications after pneumonectomy (6,7).

Table I

Most common complications after pneumonectomy (6,7).

TypeItems
Acute complicationsEarly bronchopleural fistula
 Cardiac herniation
 Haemorrhage
 Early empyema
 Chylothorax
 Pulmonary edema
 Pneumonia
 Acute lung injury
Chronic complicationsTumor recurrence
 Late on-set empyema
 Postpneumonectomy syndrome
 Late bronchopleural fistula
Other common complicationsIntrathoracic transdiaphragmatic
 herniation after extrapleural
 pneumonectomy
 Cardiovascular complications:
 Arrythmias, myocardial infarction, acute heart failure
 Pulmonary embolism
 Vocal cord paralysis (permanent or transitory)
 Cor pulmonale

2. Methodology of the review

Search strategy

Search strategy and selection criteria: All of the available studies were searched on PubMed (pubmed.ncbi.nlm.nih.gov) and MedLine (lwwreprints.ovidds.com/?utm_source=google&utm_medium=paidsearch&utm_campaign=2022-ga-las-rd-reprints-portal&gclid=CjwKCAjwtIaVBhBkEiwAsr7-c8oqHpC-9zEiptQ4xQxiCUAsMK-gmcSQ5fDQY3YNXkD8XslYfiSMOxoCSj4QAvD_BwE). Case reports and studies on the chosen topic were retrieved using different combinations of the following key words: tension, hypertensive, hypertension, hydrothorax, haemothorax, pneumothorax, chylothorax, pneumonectomy, lung cancer, lung malignancy, and mesothelioma. No language restrictions were applied to the search. Cases regarding pneumonectomies for lung malignancy (carcinoma, sarcoma, mesothelioma) were included, while cases of traumatic tension pneumothorax or another non-neoplastic disease, such as dialysis-related or traumatic haemothorax, were excluded. The publication dates were set from inception until April 2021. The search was performed between May and August 2021 by authors VM and MN, independently.

Study screening and selection

After a rigorous search, a total of 19 case reports that matched the selection criteria were identified (2,8-20). Of these cases, 18 were with liquid in tension and 1 with air in tension into the post-pneumonectomy space, all after pneumonectomy for malignancy, as presented in Table II. As mentioned above, those cases that had pneumonectomy for other reasons than malignancy and patients that had a complication after pneumonectomy on the contralateral side were excluded.

Table II

Cases screened in literature matching the review criteria, presented according to the type of tensioned fluid from the post-pneumonectomy space.

Table II

Cases screened in literature matching the review criteria, presented according to the type of tensioned fluid from the post-pneumonectomy space.

Nr. crtAuthor (year)Initial diagnosisRight/ left lungType of surgeryTime between surgery and complication (number of post-operative time units)Time of complicationSexPleural fluidFirst managementAnalysis of pleural liquidDefinitive managementKnown follow-up(Refs.)
1Ammori (2006)Lung squamous cell carcinoma T2N1M0)RightIntrapleural extrapericardial pneumonectomy14 daysTension chylothoraxMChyleDiagnosys thoracentesisN/ASurgery-mass ligation of the thoracic duct at the level of the diaphragmNo recurrence(8)
2Coco (2020)AdenocarcinomaLeftIntrapleural extrapericardial pneumonectomy48 hTension chylothorax TensionFChyleEvacuatory thoracentesis1,922 leu/µl, trgly 825 mg/dl, chol 83 mg/dlChest drainNo recurrence(9)
3Hemang (2014)Lung squamous cell carcinoma (st.IIB T2N1M0)RightIntrapleural extrapericardial pneumonectomy9 dayschylothoraxFChyleChest drainMilky white, trgly 1,729 mg/dlFirst case without duct ligation: Pigtail catheter, daily instillation of antibiotic solution (gentamicin/ polymixin B)Day 13 pigtail catheter removed(10)
4Huwer (1991)N/ALeftIntrapleural extrapericardial pneumonectomyBetween the 5th and the 8th dayTension chylothoraxN/AChyleChest drainN/aSurgery-ductal ligatureN/A(11)
5Huwer (1991)N/ALeftIntrapleural extrapericardial pneumonectomyBetween the 5th and the 8th dayTension chylothoraxN/AChyleSurgeryN/aSurgery-ductal ligatureN/A(11)
6Van Mulders (1984)Lung squamous cell carcinomaLeftIntrapleural extrapericardial pneumonectomy4 daysTension chylothoraxMChyleEvacuatory thoracentesisTrgly 387 mg/dl, LDH 176, chol 46 mg/100 mlSurgery-ductal ligature3 days post- discharge from ICU(12)
7Sarsam (1994)Primary lung cancerLeftIntrapleural extrapericardial pneumonectomyBetween the 5th and the 6th dayTension chylothoraxN/AChyleChest drainChyleReinsertion of the chest drain. Surgery-direct suturing of the leak siteNo recurrence(13)
8Sarsam (1994)Primary lung cancerLeftIntrapleural intrapericardial pneumonectomyBetween the 5th and the 6th dayTension chylothoraxN/AChyleSurgery-ductal ligature-below the aortic arch, posterior to the bronchial suture lineChyleSurgery-ductal ligature-below the aortic arch, posterior to the bronchial suture lineNo recurrence(13)
9Sarsam (1994)Primary lung cancerRightIntrapleural Extrapericardial pneumonectomyBetween the 5th and the 6th dayTension chylothoraxN/AChyleSurgery-ductal ligature-in the vicinity of the inferior pulmonary vein stump, medial to the esophagusChyleSurgery-ductal ligature-in the vicinity of the inferior pulmonary vein stump, medial to the esophagusNo recurrence(13)
10Sarsam (1994)Primary lung cancerRightIntrapleural intrapericardial pneumonectomyBetween the 5th and the 6th dayTension chylothoraxN/AChyleSurgery-ductal ligature-in the vicinity of the Inferior pulmonary vein stump, medial to the esophagusChyleSurgery-ductal ligature-in the vicinity of the inferior pulmonary vein stump, medial to the esophagusNo recurrence(13)
11Karwande (1986)Lung squamous cell carcinomaRightIntrapleural intrapericardial pneumonectomy5th dayTension chylothoraxMChyleEvacuatory thoracentesisHigh trgly, low cholSurgery-supra diaphragmatic ligation of the thoracic duct and mattressed suture of the leak at the hilum areaNo recurrence(14)
12Karwande (1986)Hilar adenocarcinomaRightIntrapleural extrapericardial pneumonectomy15th dayTension chylothoraxFChyleEvacuatory thoracentesisHigh trgly, low cholRepeated evacuatory thoracentesis followed by 18 gauge chest drainPatient deceased due to comorbidities (hemoragic duodenal ulcer). The high-output chylothorax persisted until her death(14)
13Kanjanauthai (2009)Primary lung cancerLeftIntrapleural extrapericardial pneumonectomy14 daysTension chylothoraxN/AChyleEvacuatory thoracentesisChylothoraxSurgery-thoracic duct ligationno recurrence(2)
14Valliers (1993)NSCLC adenocarcinomaRightIntrapleural extrapericardial pneumonectomy11 daysTension chylothoraxFChyleDiagnosis thoracentesisHigh trgly, low cholChest drain with instillation of antibiotic solutionNo recurrence. 96 h after the pleurostomy, the chest drain was removed(15)
15Maguire (2013)MesotheliomaLeftExtrapleural pneumonectoy6 monthsTension hydrothoraxMExudative pleural effusionEvacuatory thoracentesisNo malignant cells(Cefazolin+ gentamicin)N/A(16)
16Sawar (2006)MesotheliomaLeftExtrapleural pneumonectoy9 monthsTension hydrothoraxMExudative pleural effusionEvacuatory thoracentesisNo malignant cellsThoracoscopy, laparoscopy-N/A(17)
17Vakil (2017)Lung high grade spindle cell sarcomaLeftIntapleural pneumonectomy with partial pericardiectomy17 monthsTension hydrothoraxFExudative pleural effusionEvacuatory thoracentesisCytology negative for malignancy. Cultures negative for microorganismsMalignancy excluded; pigtailNo recurrence(18)
18Sakuraba (2018)Thymoma st. IVbInvasion of right lung hilumExtrapleural pneumonectoy0 (zero) daysTension pneumothoraxMAirSuction pressure increased from -5 to -15 cm H2ON/ACatheterNo recurrence(19)
19Rus (2014)Adenocarcinoma (T3N0M0)LeftIntrapleural extrapericardial pneumonectomy15 monthsTension hemothoraxFHematic pleural liquidThoracoscopyN/AEvacuatory thoracentesisNo recurrence; alive and well in March 2022(20)

[i] NSCLC, non-small cell lung cancer; M, male; F, female; N/A, not available; trgly, triglycerides; chol, cholesterol; LDH, lactate dehydrogenase; ICU, intensive care unit.

These complications after pneumonectomy are not frequent in daily practice but they present usually as emergencies and their impact may be fatal.

The reviewed pneumonectomies were performed for spindle lung sarcoma (1 case), mesothelioma (3 cases), and primary lung carcinoma (15 cases).

All 19 patients underwent pneumonectomy for malignancy. There were 16 intrapleural pneumonectomies (of which 3 were with intrapericardial approach) and 3 extrapleural pneumonectomies (Table II). The complications appeared immediately after surgery (1 case), early after surgery-in the first 15 postoperative days (14 cases), and late after surgery-between 6 and 17 months (4 cases), as presented in Fig. 2.

Figure 2

Incidence of complications reported for the 19 cases that matched the review criteria, stratified by time or occurrence after surgery.

3. Types of fluid in the post-pneumonectomy space

Occurrence

Tension chylothorax after pneumonectomy for malignancy was the most frequent complication described, accounting for 14 patients out of 19 (73.68%); however, chylothorax is a rare complication with an incidence of <0.7% (10). Tension chylothorax was followed in incidence by tension hydrothorax (3 cases; 15.78%), tension haemothorax (1 case; 5.26%) and tension pneumothorax (1 case; 5.26%).

Tension chylothorax

The development of tension chylothorax after pneumonectomy for malignancy may be explained by the injury during subcarinal or subaortic dissection of small lymphatics that drain the lung or the mediastinal lymph nodes directly into the thoracic duct (21).

Tension chylothorax occurred only after classic pneumonectomies (intrapleural extrapericardial), 7 right and 7 left (Table II; cases 1-14). On the right, it occurred between post-operative days 5 and 15 (mean, 9.14 days) and on the left between post-operative days 2 and 14 (mean, 6.22 days). Perhaps after left pneumonectomy, recovery is faster compared to the right and the patient is allowed to ingest normal food earlier, thus causing the chylothorax to manifest earlier.

Tension hydrothorax

After pneumonectomy, given an uneventful post-operative course, effusion in the post-pneumonectomy space usually accumulates ex vacuo as pleural pressure equilibrates to zero (18). The fluid builds up gradually in weeks to months as the air resorbs partially or totally, as exemplified in Fig. 1. As this happens, the mediastinum is still shifted to the operated site but when an abnormal level of fluid rapidly accumulates or air is present, the mediastinum is pushed to the contralateral side, the heart is compressed and the patient usually has a certain form of cardiovascular and respiratory symptomatology (tachycardia, hypotension, high venous pressure, tachypnoea, marked dyspnoea at rest, cardiac tamponade, pericarditis).

Tension hydrothorax after pneumonectomy is more frequent in patients who undergo peritoneal dialysis (22). However, after pneumonectomy for cancer, tension hydrothorax was reported for only 3 cases-two left extra-pleural-pneumonectomies for diffuse malignant mesothelioma (16,17) and 1 left intrapericardial pneumonectomy with partial pericardiectomy for lung sarcoma (18). They occurred at 6, 9 and 17 post-operative months, respectively (Table II; cases 15, 16, 17). The first suspicion was of malignancy progression causing fluid accumulation, but this was excluded by cytology/pleural biopsy. In all 3 cases, the pericardium was resected and the heart cavities were exposed to the pressure of the fluid from the post-pneumonectomy space, causing cardiac compression.

Tension pneumothorax

One case of tension pneumothorax after pneumonectomy for malignancy was reported, which was attributed by the authors to the chest wall damage after extrapleural pneumonectomy and a lower suction pressure of the chest drain was selected in order to avoid cardiac herniation (19). It occurred on the first post-operative day (case 18-Table II).

Tension haemothorax

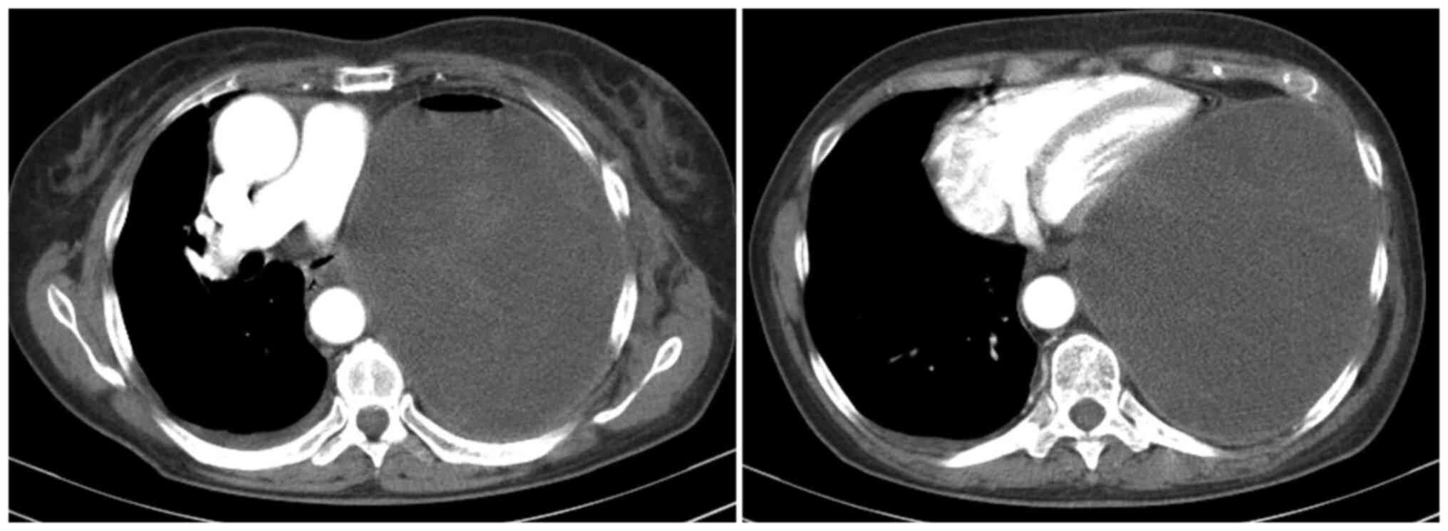
One case of tension haemothorax was reported and the complication appeared almost 1 year after pneumonectomy, causing fatigue, dyspnoea, and oedema of the left arm; internal jugular, subclavian and axillary left veins presented thrombosis; the case was presented by our group in 2014(20) (case 19-Table II). Thoracoscopic evacuation and pleural biopsies were performed. The liquid analysis indicated no malignancy but given the pleural aspect found during surgery, it was deemed to be the mechanism of appearance. However, pleural biopsies proved no malignancy. At four months after therapeutic anticoagulation for the deep venous thrombosis, left haemothorax recurrence developed, with cardiac compression and hypodiastolia (Fig. 3), and emergency evacuation was performed. At present, 8 years after left pneumonectomy, the patient is alive and in a good clinical condition.

Figure 3

CT scan presenting the tension haemothorax case (20)-recurrence 4 months after thoracoscopic evacuation and biopsies, at 1 year and a half after left pneumonectomy for lung adenocarcinoma in a female patient 66y (case 19 from Table II); CT section at the level of the great vessels (left image) and at the level of the heart ventricles (right image).

4. Treatment of the tensioned post-pneumonectomy space

Once the diagnosis is established, the treatment for the tensioned space is imperative, as this complication frequently poses a fatal risk. Normally, without a strong reason, thoracentesis and pleural puncturing are not the best solutions after pneumonectomy, since seeding the pleural cavity may lead to empyema. However, thoracentesis may be a lifesaving intervention in tension fluid-thorax; which was the most common initial approach in the literature: 9 thoracenteses, 2 for diagnostic and 7 for therapeutic purposes (Table II).

The final treatment was surgical in 12 cases, either by video-assisted thoracic surgery or open surgery: 10 thoracic duct ligations, 1 thoracoscopic exclusion of malignancy, and 1 evacuation of clots (Table II).

For tensioned chylothorax (14 cases), initial management was decompression in 10 cases, followed by either conservative or surgical management. In 4 cases of tensioned chylothorax, the initial management was surgical duct ligation. The general management of chylothorax is not the subject of this paper and will therefore not be further discussed, but the cause is the same: lymphatics interrupted during the mediastinal lymph node dissection.

For tension hydrothorax (3 cases), the initial management was evacuation thoracentesis, followed by exclusion of malignancy through cytology in one case, thoracoscopy and laparoscopy with pigtail catheter in another case and indwelling pleural catheter in the third case. No specific causes were observed.

In the case of tensioned pneumothorax, the adopted solution was the simplest and solved the problem: Increasing suction pressure and maintaining the drainage until the air leak disappeared.

In the case of tensioned haemothorax with recurrence, the evacuation of haemorrhagic fluid was performed thoracoscopically the first time and through thoracotomy the second time (fluid + clots). The cause was determined to be the anticoagulant therapy administered for venous thrombosis of the left internal jugular, subclavian and axillary veins.

5. Conclusions

Tensioned post-pneumonectomy space is a rare but potentially fatal complication. To date, a total of 19 cases of tensioned post-pneumonectomy space after pneumonectomy for cancer were published in the literature.

Tension chylothorax is the most frequent type (14 cases) and is most probably caused by mediastinal lymph node dissection (MLND); it is an assumed complication because MLND is mandatory for radical resection of lung cancer. It appeared after a maximum of 15 days post-pneumonectomy and it was solved similarly to any post-operative chylothorax.

Tension hydrothorax is the second-most frequent type (3 cases) and it appeared after complex pneumonectomies for mesothelioma and sarcoma.

Tension haemothorax and tension pneumothorax have one published case each, and each was caused by a particular condition of the case.

Shifted mediastinum with cardiac compression (leading to cardiac tamponade) causes haemodynamic instability and dyspnoea; in such cases, emergency thoracentesis may be required. After stabilization, a major surgical procedure may be necessary to definitively treat the cause of the tensioned post-pneumonectomy space.

Acknowledgements

The authors thank Professor Teodor Horvat (Clinic of Thoracic Surgery, Institute of Oncology ‘Prof. Dr. Al. Trestioreanu’ Bucharest, University of Medicine and Pharmacy Carol Davila Bucharest) for mentorship.

Funding

Funding: No funding was received.

Availability of data and materials

Not applicable.

Authors' contributions

NM and VM contributed to the conception and design of the study, performed the literature review and wrote the manuscript. OR, MD, MCCI and OGT analyzed the data, integrated the medical information and prepared the figures. NM, VM, BS and MCC contributed to manuscript revision. All authors have read and approved the final manuscript. Data authentication is not applicable.

Ethics approval and consent to participate

Not applicable.

Patient consent for publication

Not applicable.

Competing interests

The authors declare that they have no competing interests.

References

1 

Collau S and Dartevelle P: Pneumonectomy and its modifications. In: LoCicero J III, Feins RH, Colson YL and Rocco G (eds). Shields' General Thoracic Surgery. 8th edition. Philadelphia: Wolters Kluwer, pp412-418, 2018.

2 

Kanjanauthai S, Kanluen T and Bergman M: Tension chylothorax: A rare life threatening entity after pneumonectomy. Heart Lung Circ. 18:55–56. 2009.PubMed/NCBI View Article : Google Scholar

3 

COVIDSurg Collaborative: Effect of COVID-19 pandemic lockdowns on planned cancer surgery for 15 tumour types in 61 countries: An international, prospective, cohort study. Lancet Oncol. 22:1507–1517. 2021.PubMed/NCBI View Article : Google Scholar

4 

Serban D, Socea B, Badiu CD, Tudor C, Balasescu SA, Dumitrescu D, Trotea AM, Spataru RI, Vancea G, Dascalu AM and Tanasescu C: Acute surgical abdomen during the COVID-19 pandemic: Clinical and therapeutic challenges. Exp Ther Med. 21(519)2021.PubMed/NCBI View Article : Google Scholar

5 

Serban D, Papanas N, Dascalu AM, Stana D, Nicolae VA, Vancea G, Badiu CD, Tanasescu D, Tudor C, Balasescu SA and Pantea-Stoian A: Diabetic retinopathy in patients with diabetic foot ulcer: A systematic review. Int J Low Extrem Wounds. 20:98–103. 2021.PubMed/NCBI View Article : Google Scholar

6 

Alloubi I, Jougon J, Delcambre F, Baste JM and Velly JF: Early complications after pneumonectomy: Retrospective study of 168 patients. Interact Cardiovasc Thorac Surg. 11:162–165. 2010.PubMed/NCBI View Article : Google Scholar

7 

Sugarbaker DJ, Jaklitsch MT, Bueno R, Richards W, Lukanich J, Mentzer SJ, Colson Y, Linden P, Chang M, Capalbo L, et al: Prevention, early detection, and management of complications after 328 consecutive extrapleural pneumonectomies. J Thorac Cardiovasc Surg. 128:138–146. 2004.PubMed/NCBI View Article : Google Scholar

8 

Ammori JB, Pickens A, Chang AC and Orringer MB: Tension chylothorax. Ann Thorac Surg. 82:729–730. 2006.PubMed/NCBI View Article : Google Scholar

9 

Coco LF, Redondo Enríquez JM, Pardo Romero G and Barba Orejudo A: Tension chylothorax in the late postoperative period of left-sided pneumonectomy. Rev Esp Anestesiol Reanim (Engl Ed). 67:49–50. 2020.PubMed/NCBI View Article : Google Scholar : (In English, Spanish).

10 

Hemang Y, Matthew E, Nolan FC III and Daniels CE: Tension chylothorax following pneumonectomy. Respir Med Case Rep. 14:16–18. 2014.PubMed/NCBI View Article : Google Scholar

11 

Huwer H, Volkmer I and Feindt P: Tension chylothorax following left-side lung surgery. Pneumologie. 45:337–339. 1991.PubMed/NCBI(In German).

12 

Van Mulders A, Lacquet LM, Van Mieghem W and Deneffe G: Chylothorax complicating pneumonectomy. Thorax. 39:954–955. 1984.PubMed/NCBI View Article : Google Scholar

13 

Sarsam MA, Rahman AN and Deiraniya AK: Postpneumonectomy chylothorax. Ann Thorac Surg. 57:689–690. 1994.PubMed/NCBI View Article : Google Scholar

14 

Karwande SV, Wolcott MW and Gay WA Jr: Postpneumonectomy tension chylothorax. Ann Thorac Surg. 42:585–586. 1986.PubMed/NCBI View Article : Google Scholar

15 

Vallieres E, Shamji FM and Todd TR: Postpneumonectomy chylothorax. Ann Thorac Surg. 55:1006–1008. 1993.PubMed/NCBI View Article : Google Scholar

16 

Maguire K, Leung C, Kodali V, Taylor B, Fontaine JP, Rojas CA and Maya G: Heart failure due to tension hydrothorax after left pneumonectomy. Heart Surg Forum. 16:E319–E323. 2013.PubMed/NCBI View Article : Google Scholar

17 

Sawar A and Schocken DD: Cardiac tamponade complicating trimodal therapy for malignant mesothelioma. Heart Lung. 35:355–357. 2006.PubMed/NCBI View Article : Google Scholar

18 

Vakil E, Faiz SA, Iliescu C, Balachandran DD, Ong P, Debiane LG and Mehran R: Managing post-pneumonectomy tension hydrothorax. Ann Am Thorac Soc. 14:1031–1035. 2017.PubMed/NCBI View Article : Google Scholar

19 

Sakuraba S, Omae T, Kawagoe I, Koh K and Inada E: Respiratory failure caused by impending tension pneumothorax after extrapleural pneumonectomy: A case report. JA Clin Rep. 4(45)2018.PubMed/NCBI View Article : Google Scholar

20 

Rus O, Motas C, Motas N, Achim D and Horvat T: Hypertensive late hemothorax following left pneumonectomy. Chirurgia (Bucur). 109:827–831. 2014.PubMed/NCBI

21 

Nistor C, Ciuche A and Horvat T: Chilothorax. In: Textbook of Surgery. Popescu I (ed). Vol. 4. Editura Academiei Romane, Bucharest, pp297-314, 2008.

22 

Chow KM, Szeto CC, Wong TY and Li PK: Hydrothorax complicating peritoneal dialysis: Diagnostic value of glucose concentration in pleural fluid aspirate. Perit Dial Int. 22:525–528. 2002.PubMed/NCBI

Related Articles

  • Abstract
  • View
  • Download
  • Twitter
Copy and paste a formatted citation
Spandidos Publications style
Motas N, Manolache V, Rus O, Davidescu M, Cioalca‑iliescu MC, Socea B, Ceausu MC and Trifanescu OG: Tensioned space after pneumonectomy for cancer with mediastinal shift and cardiac tamponade‑causes and treatment (Review). Exp Ther Med 24: 548, 2022.
APA
Motas, N., Manolache, V., Rus, O., Davidescu, M., Cioalca‑iliescu, M.C., Socea, B. ... Trifanescu, O.G. (2022). Tensioned space after pneumonectomy for cancer with mediastinal shift and cardiac tamponade‑causes and treatment (Review). Experimental and Therapeutic Medicine, 24, 548. https://doi.org/10.3892/etm.2022.11485
MLA
Motas, N., Manolache, V., Rus, O., Davidescu, M., Cioalca‑iliescu, M. C., Socea, B., Ceausu, M. C., Trifanescu, O. G."Tensioned space after pneumonectomy for cancer with mediastinal shift and cardiac tamponade‑causes and treatment (Review)". Experimental and Therapeutic Medicine 24.3 (2022): 548.
Chicago
Motas, N., Manolache, V., Rus, O., Davidescu, M., Cioalca‑iliescu, M. C., Socea, B., Ceausu, M. C., Trifanescu, O. G."Tensioned space after pneumonectomy for cancer with mediastinal shift and cardiac tamponade‑causes and treatment (Review)". Experimental and Therapeutic Medicine 24, no. 3 (2022): 548. https://doi.org/10.3892/etm.2022.11485
Copy and paste a formatted citation
x
Spandidos Publications style
Motas N, Manolache V, Rus O, Davidescu M, Cioalca‑iliescu MC, Socea B, Ceausu MC and Trifanescu OG: Tensioned space after pneumonectomy for cancer with mediastinal shift and cardiac tamponade‑causes and treatment (Review). Exp Ther Med 24: 548, 2022.
APA
Motas, N., Manolache, V., Rus, O., Davidescu, M., Cioalca‑iliescu, M.C., Socea, B. ... Trifanescu, O.G. (2022). Tensioned space after pneumonectomy for cancer with mediastinal shift and cardiac tamponade‑causes and treatment (Review). Experimental and Therapeutic Medicine, 24, 548. https://doi.org/10.3892/etm.2022.11485
MLA
Motas, N., Manolache, V., Rus, O., Davidescu, M., Cioalca‑iliescu, M. C., Socea, B., Ceausu, M. C., Trifanescu, O. G."Tensioned space after pneumonectomy for cancer with mediastinal shift and cardiac tamponade‑causes and treatment (Review)". Experimental and Therapeutic Medicine 24.3 (2022): 548.
Chicago
Motas, N., Manolache, V., Rus, O., Davidescu, M., Cioalca‑iliescu, M. C., Socea, B., Ceausu, M. C., Trifanescu, O. G."Tensioned space after pneumonectomy for cancer with mediastinal shift and cardiac tamponade‑causes and treatment (Review)". Experimental and Therapeutic Medicine 24, no. 3 (2022): 548. https://doi.org/10.3892/etm.2022.11485
Follow us
  • Twitter
  • LinkedIn
  • Facebook
About
  • Spandidos Publications
  • Careers
  • Cookie Policy
  • Privacy Policy
How can we help?
  • Help
  • Live Chat
  • Contact
  • Email to our Support Team