Spandidos Publications Logo
  • About
    • About Spandidos
    • Aims and Scopes
    • Abstracting and Indexing
    • Editorial Policies
    • Reprints and Permissions
    • Job Opportunities
    • Terms and Conditions
    • Contact
  • Journals
    • All Journals
    • Oncology Letters
      • Oncology Letters
      • Information for Authors
      • Editorial Policies
      • Editorial Board
      • Aims and Scope
      • Abstracting and Indexing
      • Bibliographic Information
      • Archive
    • International Journal of Oncology
      • International Journal of Oncology
      • Information for Authors
      • Editorial Policies
      • Editorial Board
      • Aims and Scope
      • Abstracting and Indexing
      • Bibliographic Information
      • Archive
    • Molecular and Clinical Oncology
      • Molecular and Clinical Oncology
      • Information for Authors
      • Editorial Policies
      • Editorial Board
      • Aims and Scope
      • Abstracting and Indexing
      • Bibliographic Information
      • Archive
    • Experimental and Therapeutic Medicine
      • Experimental and Therapeutic Medicine
      • Information for Authors
      • Editorial Policies
      • Editorial Board
      • Aims and Scope
      • Abstracting and Indexing
      • Bibliographic Information
      • Archive
    • International Journal of Molecular Medicine
      • International Journal of Molecular Medicine
      • Information for Authors
      • Editorial Policies
      • Editorial Board
      • Aims and Scope
      • Abstracting and Indexing
      • Bibliographic Information
      • Archive
    • Biomedical Reports
      • Biomedical Reports
      • Information for Authors
      • Editorial Policies
      • Editorial Board
      • Aims and Scope
      • Abstracting and Indexing
      • Bibliographic Information
      • Archive
    • Oncology Reports
      • Oncology Reports
      • Information for Authors
      • Editorial Policies
      • Editorial Board
      • Aims and Scope
      • Abstracting and Indexing
      • Bibliographic Information
      • Archive
    • Molecular Medicine Reports
      • Molecular Medicine Reports
      • Information for Authors
      • Editorial Policies
      • Editorial Board
      • Aims and Scope
      • Abstracting and Indexing
      • Bibliographic Information
      • Archive
    • World Academy of Sciences Journal
      • World Academy of Sciences Journal
      • Information for Authors
      • Editorial Policies
      • Editorial Board
      • Aims and Scope
      • Abstracting and Indexing
      • Bibliographic Information
      • Archive
    • International Journal of Functional Nutrition
      • International Journal of Functional Nutrition
      • Information for Authors
      • Editorial Policies
      • Editorial Board
      • Aims and Scope
      • Abstracting and Indexing
      • Bibliographic Information
      • Archive
    • International Journal of Epigenetics
      • International Journal of Epigenetics
      • Information for Authors
      • Editorial Policies
      • Editorial Board
      • Aims and Scope
      • Abstracting and Indexing
      • Bibliographic Information
      • Archive
    • Medicine International
      • Medicine International
      • Information for Authors
      • Editorial Policies
      • Editorial Board
      • Aims and Scope
      • Abstracting and Indexing
      • Bibliographic Information
      • Archive
  • Articles
  • Information
    • Information for Authors
    • Information for Reviewers
    • Information for Librarians
    • Information for Advertisers
    • Conferences
  • Language Editing
Spandidos Publications Logo
  • About
    • About Spandidos
    • Aims and Scopes
    • Abstracting and Indexing
    • Editorial Policies
    • Reprints and Permissions
    • Job Opportunities
    • Terms and Conditions
    • Contact
  • Journals
    • All Journals
    • Biomedical Reports
      • Information for Authors
      • Editorial Policies
      • Editorial Board
      • Aims and Scope
      • Abstracting and Indexing
      • Bibliographic Information
      • Archive
    • Experimental and Therapeutic Medicine
      • Information for Authors
      • Editorial Policies
      • Editorial Board
      • Aims and Scope
      • Abstracting and Indexing
      • Bibliographic Information
      • Archive
    • International Journal of Epigenetics
      • Information for Authors
      • Editorial Policies
      • Editorial Board
      • Aims and Scope
      • Abstracting and Indexing
      • Bibliographic Information
      • Archive
    • International Journal of Functional Nutrition
      • Information for Authors
      • Editorial Policies
      • Editorial Board
      • Aims and Scope
      • Abstracting and Indexing
      • Bibliographic Information
      • Archive
    • International Journal of Molecular Medicine
      • Information for Authors
      • Editorial Policies
      • Editorial Board
      • Aims and Scope
      • Abstracting and Indexing
      • Bibliographic Information
      • Archive
    • International Journal of Oncology
      • Information for Authors
      • Editorial Policies
      • Editorial Board
      • Aims and Scope
      • Abstracting and Indexing
      • Bibliographic Information
      • Archive
    • Medicine International
      • Information for Authors
      • Editorial Policies
      • Editorial Board
      • Aims and Scope
      • Abstracting and Indexing
      • Bibliographic Information
      • Archive
    • Molecular and Clinical Oncology
      • Information for Authors
      • Editorial Policies
      • Editorial Board
      • Aims and Scope
      • Abstracting and Indexing
      • Bibliographic Information
      • Archive
    • Molecular Medicine Reports
      • Information for Authors
      • Editorial Policies
      • Editorial Board
      • Aims and Scope
      • Abstracting and Indexing
      • Bibliographic Information
      • Archive
    • Oncology Letters
      • Information for Authors
      • Editorial Policies
      • Editorial Board
      • Aims and Scope
      • Abstracting and Indexing
      • Bibliographic Information
      • Archive
    • Oncology Reports
      • Information for Authors
      • Editorial Policies
      • Editorial Board
      • Aims and Scope
      • Abstracting and Indexing
      • Bibliographic Information
      • Archive
    • World Academy of Sciences Journal
      • Information for Authors
      • Editorial Policies
      • Editorial Board
      • Aims and Scope
      • Abstracting and Indexing
      • Bibliographic Information
      • Archive
  • Articles
  • Information
    • For Authors
    • For Reviewers
    • For Librarians
    • For Advertisers
    • Conferences
  • Language Editing
Login Register Submit
  • This site uses cookies
  • You can change your cookie settings at any time by following the instructions in our Cookie Policy. To find out more, you may read our Privacy Policy.

    I agree
Search articles by DOI, keyword, author or affiliation
Search
Advanced Search
presentation
Experimental and Therapeutic Medicine
Join Editorial Board Propose a Special Issue
Print ISSN: 1792-0981 Online ISSN: 1792-1015
Journal Cover
September-2022 Volume 24 Issue 3

Full Size Image

Sign up for eToc alerts
Recommend to Library

Journals

International Journal of Molecular Medicine

International Journal of Molecular Medicine

International Journal of Molecular Medicine is an international journal devoted to molecular mechanisms of human disease.

International Journal of Oncology

International Journal of Oncology

International Journal of Oncology is an international journal devoted to oncology research and cancer treatment.

Molecular Medicine Reports

Molecular Medicine Reports

Covers molecular medicine topics such as pharmacology, pathology, genetics, neuroscience, infectious diseases, molecular cardiology, and molecular surgery.

Oncology Reports

Oncology Reports

Oncology Reports is an international journal devoted to fundamental and applied research in Oncology.

Experimental and Therapeutic Medicine

Experimental and Therapeutic Medicine

Experimental and Therapeutic Medicine is an international journal devoted to laboratory and clinical medicine.

Oncology Letters

Oncology Letters

Oncology Letters is an international journal devoted to Experimental and Clinical Oncology.

Biomedical Reports

Biomedical Reports

Explores a wide range of biological and medical fields, including pharmacology, genetics, microbiology, neuroscience, and molecular cardiology.

Molecular and Clinical Oncology

Molecular and Clinical Oncology

International journal addressing all aspects of oncology research, from tumorigenesis and oncogenes to chemotherapy and metastasis.

World Academy of Sciences Journal

World Academy of Sciences Journal

Multidisciplinary open-access journal spanning biochemistry, genetics, neuroscience, environmental health, and synthetic biology.

International Journal of Functional Nutrition

International Journal of Functional Nutrition

Open-access journal combining biochemistry, pharmacology, immunology, and genetics to advance health through functional nutrition.

International Journal of Epigenetics

International Journal of Epigenetics

Publishes open-access research on using epigenetics to advance understanding and treatment of human disease.

Medicine International

Medicine International

An International Open Access Journal Devoted to General Medicine.

Journal Cover
September-2022 Volume 24 Issue 3

Full Size Image

Sign up for eToc alerts
Recommend to Library

  • Article
  • Citations
    • Cite This Article
    • Download Citation
    • Create Citation Alert
    • Remove Citation Alert
    • Cited By
  • Similar Articles
    • Related Articles (in Spandidos Publications)
    • Similar Articles (Google Scholar)
    • Similar Articles (PubMed)
  • Download PDF
  • Download XML
  • View XML
Article Open Access

Laparoscopic surgery of intra‑abdominal lymphatic malformation in children

  • Authors:
    • Qianlong Liu
    • Jialu Fu
    • Qiang Yu
    • Wei Gong
    • Peng Li
    • Xinkui Guo
  • View Affiliations / Copyright

    Affiliations: Department of Pediatric Surgery, The Second Affiliated Hospital of Xi'an Jiaotong University, Xi'an, Shaanxi 710004, P.R. China
    Copyright: © Liu et al. This is an open access article distributed under the terms of Creative Commons Attribution License.
  • Article Number: 581
    |
    Published online on: July 19, 2022
       https://doi.org/10.3892/etm.2022.11519
  • Expand metrics +
Metrics: Total Views: 0 (Spandidos Publications: | PMC Statistics: )
Metrics: Total PDF Downloads: 0 (Spandidos Publications: | PMC Statistics: )
Cited By (CrossRef): 0 citations Loading Articles...

This article is mentioned in:



Abstract

Lymphatic malformation (LM) in the abdomen is uncommon in children, and the standard treatment is surgical excision. The present study aimed to evaluate the safety and efficacy of laparoscopic surgery of intra‑abdominal LM in a pediatric population. The medical records of 10 children with intra‑abdominal LM treated by laparoscopic resection from March 2017 to June 2021 in The Second Affiliated Hospital of Xi'an Jiaotong University (Xi'an, China) were retrospectively reviewed. Equal numbers of female and male patients were included and underwent surgery at the median age of 55 months (range, 40 days‑94 months). Abdominal pain was the most frequent symptom presenting in eight patients (80%). All children were referral patients, and half of them presented to the emergency department with acute abdominal pain. All 10 of the patients benefited from laparoscopic treatment; three patients underwent extraperitoneal segmental intestinal resection and anastomosis via an enlarged umbilical incision, and two patients were converted to laparotomy because of a large retroperitoneal LM with involvement of the colon. No recurrence or complications occurred in the patients during the follow‑up period with mean of 35 months (range, 11‑60 months) after surgery. Overall, laparoscopic resection of intra‑abdominal LM was an effective, minimally invasive therapy in the pediatric population. Segmental intestinal resection is usually required to achieve the complete removal of lesions to lessen the risk for recurrence.

Introduction

Lymphatic malformation (LM) is one of the slow-flow vascular anomalies caused by abnormal embryologic development of the lymphatic system. LM manifests before the age of 2 years in >90% of patients, and has been called ‘lymphangioma’ or ‘cystic hydroma’ in the past (1-3). It most commonly occurs in the neck, followed by the trunk and extremities. However, intra-abdominal LM is rare, only accounting for 5-10% of cases (4-6). Abdominal pain and other gastrointestinal symptoms such as abdominal distension, vomiting and constipation are present in children with abdominal LM (4,6,7), which is different from the painless LM mass typical in the more common sites (2,8). LMs are classified by size as macrocystic, microcystic or mixed patterns, which is of therapeutic importance (2). In the abdomen, the majority of LM are classified as a macrocystic lesion (6-8), arising from mesentery, retroperitoneum or solid organs (4,8,9).

Historically, surgical resection has been the standard treatment regardless of location (1,2,7). Percutaneous sclerotherapy as a minimally invasive method by image-guidance has been preferred treatment applied for LM with good outcomes over the past years (1,2,6-8). However, surgical resection for intra-abdominal LM, especially with laparoscopy, has some advantages. In The Second Affiliated Hospital Of Xi'an Jiaotong University (Xi'an, China), laparoscopic surgery has been widely used in the pediatric population, and so the present retrospective analysis of intra-abdominal LM treated with laparoscopy was undertaken to provide pediatric surgeons with more experience in diagnosis and treatment of this lesion.

Materials and methods

Study population

A total of 13 patients with intra-abdominal LM were collected retrospectively from electronic medical records of The Second Affiliated Hospital Of Xi'an Jiaotong University (Xi'an, China) of patients from March 2017 to June 2021. Overall, 10 children were included in the study; one child who was simply monitored and two children who underwent sclerotherapy were excluded. Clinical data were reviewed including present and past history of illness, demographic characteristics, imaging choice for diagnosis, operative data and postoperative follow-up. Written informed consent was obtained from parents of children. The study was approved by the Ethics Committee of The Second Affiliated Hospital Of Xi'an Jiaotong University (approval number: 2022205).

Laparoscopic technique

Laparoscopy was performed with patients under general anesthesia in the supine position. At first, a 5-mm umbilical trocar was inserted with the open method (10). Pneumoperitoneum was established and maintained at 8-12 mmHg by CO2 gas according to the child's age and weight. Subsequently, the next two 5-mm (or 3-mm) trocars were inserted according to lesion location.

After confirmation of the origin and involvement of the lymphatic cysts, the surgeon decided how to finish the resection. LMs can contain huge cysts that block sight and be difficult to extract via the small incisions created by the trocars. Therefore, large cysts were punctured with Veress needle guided by laparoscopy and lymphatic fluid was suctioned clear (Fig. 1) to extracorporeal container. The lymphatic cysts, mesentery or adjacent tissues were then resected. Complete resection of the LM and intestinal anastomosis after partial resection of the small intestine were performed by exteriorization of the small bowel via the enlarged umbilical trocar port. Nearly complete resection was made in instances of severe adhesion to important tissues or organs, and the cyst wall was cauterized by electrocoagulation.

Figure 1

Intraoperative findings of intra-abdominal lymphatic malformation. (A) The appearance of intra-abdominal lymphatic malformation and intestine surrounded before suction. (B) Suctioning by suction apparatus. (C) Condition after suction.

Results

Clinical characteristics of patients

Overall, 10 patients with intra-abdominal LM underwent laparoscopic surgery, and their characteristics are presented in Table I. The male to female ratio was 1:1, and the average age at operation was 55 months (range, 1-94 months). All of them were referral patients with 20% (2/10) diagnosed with LM, half of whom presented to the emergency department because of acute abdomen. Subsequently, one patient was diagnosed on prenatal ultrasound, one infant presented with restlessness and the other eight patients suffered from abdominal pain accompanied by vomiting or fever. The referral diagnosis was obtained from the medical records or description by the parents. The interval from primary diagnosis to surgery ranged from 5 days to 21 months (median, 24 days).

Table I

Patient characteristics and preoperative assessment.

Table I

Patient characteristics and preoperative assessment.

Patient no.SexAge, monthsWeight, kgEmergency experienceReferral diagnosisSymptomsDuration, daysPreoperative imagingSize, cm
1Male3716.5YesPeritoneal effusionAbdominal pain, fever7US + CT12
2Male7719YesLymphangiomaAbdominal pain639US + CT7.8
3Male5418YesIntestinal duplicationAbdominal pain, vomiting9US2.8
4Female9420NoOmental cystAbdominal pain93US + MRI4.6
5Female5316YesMesenteric cystAbdominal pain, fever5US + CT9.9
6Male15NoLymphatic malformationPrenatal examination45US + MRI10
7Female7419NoGiant massAbdominal pain36US + MRI12.7
8Female7824YesIntra-abdominal cystAbdominal pain, vomiting29US + MRI11.8
9Female7321NoIntra-abdominal cystAbdominal pain19US + CT9.6
10Male910NoIntra-abdominal cystRestless6US + MRI13.8

[i] CT, computed tomography; MRI, magnetic resonance imaging; US, ultrasound.

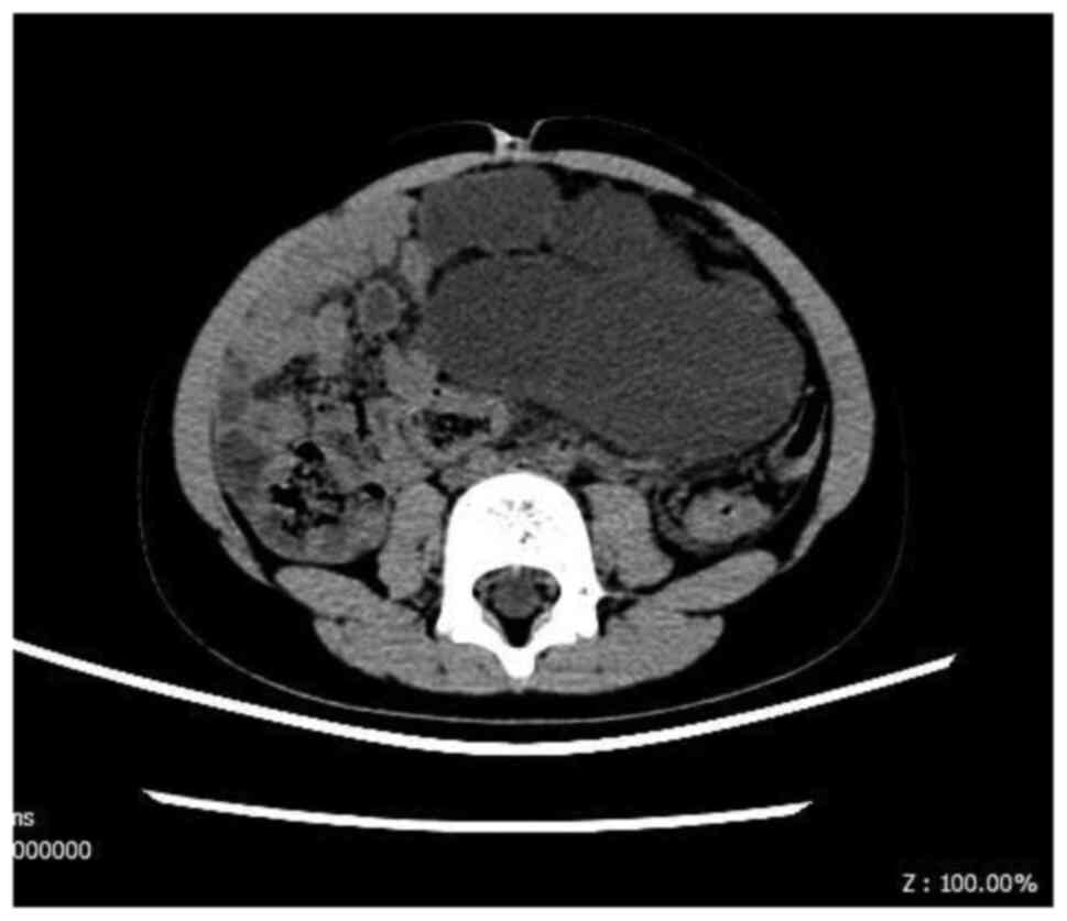
Ultrasound as the first choice was performed in all of the patients to identify the lesion. Computed tomography (Fig. 2) and magnetic resonance imaging were performed for further information in four and five cases, respectively. Overall, 40% (4/10) of the patients were diagnosed with LM preoperatively without any biopsies; three mesenteric cysts, two intra-abdominal cysts and one intestinal duplication were suspected in the remaining six patients preoperatively. By imaging, LM size ranged from 2.8-13.8 cm (mean, 9.5 cm).

Figure 2

Computed tomography imaging of intra-abdominal lymphatic malformation.

Surgical outcome

The final diagnosis was confirmed by intraoperative findings and postoperative histopathology. As presented in Table II, LMs were located in the mesentery in 70% (7/10) patients, other locations included retroperitoneum and greater omentum. Macrocystic LM was diagnosed in nine patients by intraoperative and imaging findings after final diagnosis.

Table II

Intraoperative and postoperative data.

Table II

Intraoperative and postoperative data.

Patient no.LocationTypeLaparoscopic approachMode of operationOperative duration, minIntraoperative bleeding, mlFinal diagnosisFollow-up, months
1Greater omentumMacrocysticYesLesion with partial greater omentum16580Omental LM with hemorrhage60
2MesocolonMacrocysticYesLesion with segmental colon resection135<5Mesenteric LM with infectionMissing visit
3MesoileumMixedYesLesion excision only85<5Mesenteric LM with hemorrhage50
4MesocolonMacrocysticYesLesion excision only65<5Mesenteric LM46
5MesocolonMacrocysticYesLesion excision only80<5Mesenteric LM with infection36
6MesocolonMacrocysticYesLesion excision only95<5Mesenteric LM17
7 RetroperitoneumMacrocysticConverting to laparotomyLesion with segmental colon resection31020Retroperitoneal LM with hemorrhage11
8MesoileumMacrocysticYesLesion with segmental ileum resection100<5Mesenteric LM48
9Jejunum- ileum mesenteryMacrocysticYesLesion with segmental jejunum- ileum resection120<5Mesenteric LM30
10 RetroperitoneumMacrocysticConverting to laparotomyLesion with segmental colon to ileum resection26010Retroperitoneal LM with infection19

[i] LM, lymphatic malformation.

Laparoscopic resection of LMs was completed in eight patients; however, two patients were converted to laparotomy because of the retroperitoneal origin of huge LMs that involved the colon. In three of the eight patients who underwent complete laparoscopic resection, an assisting and enlarged incision via umbilical trocar site to finish the extraperitoneal intestinal anastomosis. Incomplete excision of the LM was performed in patient 7 because of severe adhesion to the inferior vena cava. The residual cyst wall was cauterized carefully to avoid recurrence. Complete resection was performed in the other nine patients. The mean duration of operative time was 106 min (range, 65-165 min) in eight patients with complete laparoscopic resection. Total blood loss during the operation was very small. Intracystic hemorrhage and infection was confirmed by intraoperative findings and histopathology in 60% (6/10) patients. No complications or mortality occurred after surgery. The mean follow-up period was 35 months (range, 11-61 months). Patients were asymptomatic and no recurrence was identified by ultrasound from 1 to 12 months after surgery except for missing one.

Discussion

Intra-abdominal LM is rare in children and challenging for surgeons to differentiate from other cystic lesions (8). Surgical excision is indicated for patients with LM who have complications such as infection or hemorrhage (2). Laparoscopic surgery is a minimally invasive method for treating intra-abdominal LM, and the rapid development of laparoscopic technique has benefitted patients with LM (11). Because of less intraoperative blood loss, postoperative pain and scarring, laparoscopic surgery has more advantages compared with conventional open surgery (11).

The majority of LMs are noted in the first few years of life, and grow proportionately with the growth of children (2). Intra-abdominal LMs are usually diagnosed with acute gastrointestinal symptoms because of complications of large LMs at the mean age of 5 years (4), which is similar to the results of the present study. Female patients outnumbered male in some previous studies (4,6); male predominance was reported in other studies (7,12,13), but there was no sex predilection in the present cases, which may be because of the small number of patients included.

The majority of patients of intra-abdominal LM are reported to have acute gastrointestinal symptoms (4,6,13), which differed from the majority of LMs presenting as a painless mass (1,2,8) diagnosed clinically and radiologically (7,14). Although varied symptoms were present in 80-96% of patients, abdominal pain was the most common symptom of intra-abdominal LMs (4,6,7,12) as in the present study. Macrocystic LMs were the most common pattern of intra-abdominal LMs although combined and microcystic were also identified in the abdomen (4,6,7,9,13). Except for symptoms from mass effect and volvulus, complications including intracystic hemorrhage and infection occurred in 60% of the present patients and may be the main cause of acute abdomen (3). Therefore, the diagnosis was challenging preoperatively and misdiagnosis occurred in ~1/3 of patients with intra-abdominal LM (4).

On imaging, cystic lesions such as teratoma, enteric duplication cyst and ovarian cyst can be confused with intra-abdominal LMs (8). To avoid radiation, ultrasound is the first choice to evaluate intra-abdominal LMs in children, which typically shows multilocular cystic masses. Further evaluation with cross-sectional imaging provides additional information on diagnosis and location of the lesion. However, although imaging findings play an important role in the diagnosis of intra-abdominal LMs, there is no highly specific radiological presentation that makes the definitive diagnosis (4,8).

Percutaneous sclerotherapy by image-guidance has been preferred as primary treatment modality for LM over the past years (1,2,15). However, repeated sclerotherapy with residual lesions (6,7,13) cannot replace surgery as the first treatment modality because of frequent recurrence (3,16-18). The final diagnosis was usually corrected by intraoperative findings and the histopathology of lesions (8,19), which makes resection important (4,11,12,16,17,20). Surgical resection is a potential curative procedure for LM (19), and the laparoscopic approach can be performed to find the location and dissect primarily without large scars (4,11).

In fact, it is also challenging to remove intra-abdominal LMs completely because of the involvement of neighboring structures such as blood vessels and the alimentary tract (4,17), and recurrence may result after incomplete resection (3). Therefore, segmental resection of the intestine is usually necessary to achieve complete the resection of and decrease the potential recurrence of LMs (3,4,20). A total of five patients in the present study underwent intestinal anastomosis after segmental intestinal resection, which was common (84% of patients) in a previous study (4) and in case reports (11,16-18). In some circumstances, LM cannot be resected completely because of the involvement of vital structures, and percutaneous sclerotherapy may be suitable for recurrence after surgical resection (6).

Ileus and recurrence are the frequent postoperative complications of surgical resection (3,4). With the exception of residual lesion in one patient who underwent incomplete resection, there were no instances of recurrence or ileus in our patients during the mean follow-up period of 35 months. Conversion to laparotomy occurred in patients from the current study who had large retroperitoneal LM, suggesting that these larger-volume lesions had more involvement of adjacent organs and tissues (9). It is worthwhile to perform laparoscopic exploration to confirm the origin and extent of the lesion as well as the possibility of laparoscopic resection. Furthermore, the classification of mesenteric LM by radiological information would give surgeons guidance in preoperative planning (4).

Compared with adults, pediatric laparoscopic surgery of intra-abdominal LM is challenging because of the smaller space in children. Puncturation and aspiration guided by laparoscopy is recommended to minimize the lesion and to provide more space for laparoscopic resection because of benign cysts (3). After the removal of lesions, segmental intestinal resection and anastomosis of can be finished by expanding the umbilical trocar incision in some cases. Complete resection can be performed by laparoscopy without relapse during the follow-up. This approach was proved to be effective for treating intra-abdominal LM in the present study.

To the best of our knowledge, this is the largest study of laparoscopic resection of intra-abdominal LM in the pediatric population. However, there were limitations to the current study, as in the majority of case series: Small number of patients, retrospective review and no controls because of the rarity of intra-abdominal LMs.

In summary, intra-abdominal LM in pediatric population of the present study was diagnosed by initial acute gastrointestinal symptoms, mainly onset of abdominal pain at the mean age of 5 years. Macrocytic LM was the most frequent type of intra-abdominal LM and was effectively resected laparoscopically. Complete resection was associated with a lower recurrence, which was usually accompanied by segmental intestinal resection.

Acknowledgements

Not applicable.

Funding

Funding: No funding was received.

Availability of data and materials

The datasets used and/or analyzed during the current study are available from the corresponding author on reasonable request.

Authors' contributions

QL and JF participated in study design and data collection, carried out the initial analysis and drafted the article. QY and WG analyzed and interpreted the patient data regarding the technique and outcome of laparoscopic surgery, and revised the manuscript. PL and XG conceptualized and designed the study, and performed critical revisions of the article. QL and JF confirm the authenticity of all the raw data. All authors read and approved the final manuscript.

Ethics approval and consent to participate

Written informed consent was obtained from parents of children. The study was approved by the Ethics Committee of The Second Affiliated Hospital Of Xi'an Jiaotong University (approval no. 2022205).

Patient consent for publication

Not applicable.

Competing interests

The authors declare that they have no competing interests.

References

1 

Elluru RG, Balakrishnan K and Padua HM: Lymphatic malformations: Diagnosis and management. Semin Pediatr Surg. 23:178–185. 2014.PubMed/NCBI View Article : Google Scholar

2 

Kulungowski AM and Patel M: Lymphatic malformations. Semin Pediatr Surg. 29(150971)2020.PubMed/NCBI View Article : Google Scholar

3 

Makni A, Chebbi F, Fetirich F, Ksantini R, Bedioui H, Jouini M, Kacem M and Ben Safta Z: Surgical management of intra-abdominal cystic lymphangioma. Report of 20 cases. World J Surg. 36:1037–1043. 2012.PubMed/NCBI View Article : Google Scholar

4 

Kim SH, Kim HY, Lee C, Min HS and Jung SE: Clinical features of mesenteric lymphatic malformation in children. J Pediatr Surg. 51:582–587. 2016.PubMed/NCBI View Article : Google Scholar

5 

Kronfli AP, McLaughlin CJ, Moroco AE and Grant CN: Lymphatic malformations: A 20-year single institution experience. Pediatr Surg Int. 37:783–790. 2021.PubMed/NCBI View Article : Google Scholar

6 

Russell KW, Rollins MD, Feola GP, Arnold R, Barnhart DC and Scaife ER: Sclerotherapy for intra-abdominal lymphatic malformations in children. Eur J Pediatr Surg. 24:317–321. 2014.PubMed/NCBI View Article : Google Scholar

7 

Madsen HJ, Annam A, Harned R, Nakano TA, Larroque LO and Kulungowski AM: Symptom resolution and volumetric reduction of abdominal lymphatic malformations with sclerotherapy. J Surg Res. 233:256–261. 2019.PubMed/NCBI View Article : Google Scholar

8 

Michael LF, White CL, Oliveri B, Lee EY and Restrepo R: Intraabdominal lymphatic malformations: Pearls and pitfalls of diagnosis and differential diagnoses in pediatric patients. AJR Am J Roentgenol. 208:637–649. 2017.PubMed/NCBI View Article : Google Scholar

9 

Poroes F, Petermann D, Andrejevic-Blant S, Labgaa I and Di Mare L: Pediatric cystic lymphangioma of the retroperitoneum: A case report and review of the literature. Medicine (Baltimore). 99(e20827)2020.PubMed/NCBI View Article : Google Scholar

10 

McHoney M, Kiely EM and Mushtaq I: Color Atlas of Pediatric Anatomy, Laparoscopy, and Thoracoscopy. Springer Berlin Heidelberg, Berlin, Heidelberg, 2017.

11 

Zhuo CH, Shi DB, Ying MG, Cheng YF, Wang YW, Zhang WM, Cai SJ and Li XX: Laparoscopic segmental colectomy for colonic lymphangiomas: A definitive, minimally invasive surgical option. World J Gastroenterol. 20:8745–8750. 2014.PubMed/NCBI View Article : Google Scholar

12 

Takiff H, Calabria R, Yin L and Stabile BE: Mesenteric cysts and intra-abdominal cystic lymphangiomas. Arch Surg. 120:1266–1269. 1985.PubMed/NCBI View Article : Google Scholar

13 

Chaudry G, Burrows PE, Padua HM, Dillon BJ, Fishman SJ and Alomari AI: Sclerotherapy of abdominal lymphatic malformations with doxycycline. J Vasc Interv Radiol. 22:1431–1435. 2011.PubMed/NCBI View Article : Google Scholar

14 

Thomas DM, Wieck MM, Grant CN, Dossa A, Nowicki D, Stanley P, Zeinati C, Howell LK and Anselmo DM: Doxycycline sclerotherapy is superior in the treatment of pediatric lymphatic malformations. J Vasc Interv Radiol. 27:1846–1856. 2016.PubMed/NCBI View Article : Google Scholar

15 

Acord M, Srinivasan AS and Cahill AM: Percutaneous treatment of lymphatic malformations. Tech Vasc Interv Radiol. 19:305–311. 2016.PubMed/NCBI View Article : Google Scholar

16 

Shayesteh S, Salimian KJ, Fouladi DF, Blanco A, Fishman EK and Kawamoto S: Intra-abdominal lymphangioma: A case report. Radiol Case Rep. 16:123–127. 2020.PubMed/NCBI View Article : Google Scholar

17 

Gasparella P, Singer G, Castellani C, Sorantin E, Haxhija EQ and Till H: Giant lymphatic malformation causing abdominal compartment syndrome in a neonate: A rare surgical emergency. J Surg Case Rep. 2020(rjaa252)2020.PubMed/NCBI View Article : Google Scholar

18 

Cauley CE, Spencer PJ, Sagar P and Goldstein AM: Giant mesenteric lymphatic malformation presenting as small bowel volvulus. J Surg Case Rep. 2013(rjt083)2013.PubMed/NCBI View Article : Google Scholar

19 

Lal A, Gupta P, Singhal M, Sinha SK, Lal S, Rana S and Khandelwal N: Abdominal lymphatic malformation: Spectrum of imaging findings. Indian J Radiol Imaging. 26:423–428. 2016.PubMed/NCBI View Article : Google Scholar

20 

Sriram G, Zendejas B, Vargas SO and Chen C: Colonic mesenteric lymphatic malformation presenting as an intraabdominal abscess in an infant: A case report. Int J Surg Case Rep. 39:154–158. 2017.PubMed/NCBI View Article : Google Scholar

Related Articles

  • Abstract
  • View
  • Download
  • Twitter
Copy and paste a formatted citation
Spandidos Publications style
Liu Q, Fu J, Yu Q, Gong W, Li P and Guo X: Laparoscopic surgery of intra‑abdominal lymphatic malformation in children. Exp Ther Med 24: 581, 2022.
APA
Liu, Q., Fu, J., Yu, Q., Gong, W., Li, P., & Guo, X. (2022). Laparoscopic surgery of intra‑abdominal lymphatic malformation in children. Experimental and Therapeutic Medicine, 24, 581. https://doi.org/10.3892/etm.2022.11519
MLA
Liu, Q., Fu, J., Yu, Q., Gong, W., Li, P., Guo, X."Laparoscopic surgery of intra‑abdominal lymphatic malformation in children". Experimental and Therapeutic Medicine 24.3 (2022): 581.
Chicago
Liu, Q., Fu, J., Yu, Q., Gong, W., Li, P., Guo, X."Laparoscopic surgery of intra‑abdominal lymphatic malformation in children". Experimental and Therapeutic Medicine 24, no. 3 (2022): 581. https://doi.org/10.3892/etm.2022.11519
Copy and paste a formatted citation
x
Spandidos Publications style
Liu Q, Fu J, Yu Q, Gong W, Li P and Guo X: Laparoscopic surgery of intra‑abdominal lymphatic malformation in children. Exp Ther Med 24: 581, 2022.
APA
Liu, Q., Fu, J., Yu, Q., Gong, W., Li, P., & Guo, X. (2022). Laparoscopic surgery of intra‑abdominal lymphatic malformation in children. Experimental and Therapeutic Medicine, 24, 581. https://doi.org/10.3892/etm.2022.11519
MLA
Liu, Q., Fu, J., Yu, Q., Gong, W., Li, P., Guo, X."Laparoscopic surgery of intra‑abdominal lymphatic malformation in children". Experimental and Therapeutic Medicine 24.3 (2022): 581.
Chicago
Liu, Q., Fu, J., Yu, Q., Gong, W., Li, P., Guo, X."Laparoscopic surgery of intra‑abdominal lymphatic malformation in children". Experimental and Therapeutic Medicine 24, no. 3 (2022): 581. https://doi.org/10.3892/etm.2022.11519
Follow us
  • Twitter
  • LinkedIn
  • Facebook
About
  • Spandidos Publications
  • Careers
  • Cookie Policy
  • Privacy Policy
How can we help?
  • Help
  • Live Chat
  • Contact
  • Email to our Support Team