Spandidos Publications Logo
  • About
    • About Spandidos
    • Aims and Scopes
    • Abstracting and Indexing
    • Editorial Policies
    • Reprints and Permissions
    • Job Opportunities
    • Terms and Conditions
    • Contact
  • Journals
    • All Journals
    • Oncology Letters
      • Oncology Letters
      • Information for Authors
      • Editorial Policies
      • Editorial Board
      • Aims and Scope
      • Abstracting and Indexing
      • Bibliographic Information
      • Archive
    • International Journal of Oncology
      • International Journal of Oncology
      • Information for Authors
      • Editorial Policies
      • Editorial Board
      • Aims and Scope
      • Abstracting and Indexing
      • Bibliographic Information
      • Archive
    • Molecular and Clinical Oncology
      • Molecular and Clinical Oncology
      • Information for Authors
      • Editorial Policies
      • Editorial Board
      • Aims and Scope
      • Abstracting and Indexing
      • Bibliographic Information
      • Archive
    • Experimental and Therapeutic Medicine
      • Experimental and Therapeutic Medicine
      • Information for Authors
      • Editorial Policies
      • Editorial Board
      • Aims and Scope
      • Abstracting and Indexing
      • Bibliographic Information
      • Archive
    • International Journal of Molecular Medicine
      • International Journal of Molecular Medicine
      • Information for Authors
      • Editorial Policies
      • Editorial Board
      • Aims and Scope
      • Abstracting and Indexing
      • Bibliographic Information
      • Archive
    • Biomedical Reports
      • Biomedical Reports
      • Information for Authors
      • Editorial Policies
      • Editorial Board
      • Aims and Scope
      • Abstracting and Indexing
      • Bibliographic Information
      • Archive
    • Oncology Reports
      • Oncology Reports
      • Information for Authors
      • Editorial Policies
      • Editorial Board
      • Aims and Scope
      • Abstracting and Indexing
      • Bibliographic Information
      • Archive
    • Molecular Medicine Reports
      • Molecular Medicine Reports
      • Information for Authors
      • Editorial Policies
      • Editorial Board
      • Aims and Scope
      • Abstracting and Indexing
      • Bibliographic Information
      • Archive
    • World Academy of Sciences Journal
      • World Academy of Sciences Journal
      • Information for Authors
      • Editorial Policies
      • Editorial Board
      • Aims and Scope
      • Abstracting and Indexing
      • Bibliographic Information
      • Archive
    • International Journal of Functional Nutrition
      • International Journal of Functional Nutrition
      • Information for Authors
      • Editorial Policies
      • Editorial Board
      • Aims and Scope
      • Abstracting and Indexing
      • Bibliographic Information
      • Archive
    • International Journal of Epigenetics
      • International Journal of Epigenetics
      • Information for Authors
      • Editorial Policies
      • Editorial Board
      • Aims and Scope
      • Abstracting and Indexing
      • Bibliographic Information
      • Archive
    • Medicine International
      • Medicine International
      • Information for Authors
      • Editorial Policies
      • Editorial Board
      • Aims and Scope
      • Abstracting and Indexing
      • Bibliographic Information
      • Archive
  • Articles
  • Information
    • Information for Authors
    • Information for Reviewers
    • Information for Librarians
    • Information for Advertisers
    • Conferences
  • Language Editing
Spandidos Publications Logo
  • About
    • About Spandidos
    • Aims and Scopes
    • Abstracting and Indexing
    • Editorial Policies
    • Reprints and Permissions
    • Job Opportunities
    • Terms and Conditions
    • Contact
  • Journals
    • All Journals
    • Biomedical Reports
      • Information for Authors
      • Editorial Policies
      • Editorial Board
      • Aims and Scope
      • Abstracting and Indexing
      • Bibliographic Information
      • Archive
    • Experimental and Therapeutic Medicine
      • Information for Authors
      • Editorial Policies
      • Editorial Board
      • Aims and Scope
      • Abstracting and Indexing
      • Bibliographic Information
      • Archive
    • International Journal of Epigenetics
      • Information for Authors
      • Editorial Policies
      • Editorial Board
      • Aims and Scope
      • Abstracting and Indexing
      • Bibliographic Information
      • Archive
    • International Journal of Functional Nutrition
      • Information for Authors
      • Editorial Policies
      • Editorial Board
      • Aims and Scope
      • Abstracting and Indexing
      • Bibliographic Information
      • Archive
    • International Journal of Molecular Medicine
      • Information for Authors
      • Editorial Policies
      • Editorial Board
      • Aims and Scope
      • Abstracting and Indexing
      • Bibliographic Information
      • Archive
    • International Journal of Oncology
      • Information for Authors
      • Editorial Policies
      • Editorial Board
      • Aims and Scope
      • Abstracting and Indexing
      • Bibliographic Information
      • Archive
    • Medicine International
      • Information for Authors
      • Editorial Policies
      • Editorial Board
      • Aims and Scope
      • Abstracting and Indexing
      • Bibliographic Information
      • Archive
    • Molecular and Clinical Oncology
      • Information for Authors
      • Editorial Policies
      • Editorial Board
      • Aims and Scope
      • Abstracting and Indexing
      • Bibliographic Information
      • Archive
    • Molecular Medicine Reports
      • Information for Authors
      • Editorial Policies
      • Editorial Board
      • Aims and Scope
      • Abstracting and Indexing
      • Bibliographic Information
      • Archive
    • Oncology Letters
      • Information for Authors
      • Editorial Policies
      • Editorial Board
      • Aims and Scope
      • Abstracting and Indexing
      • Bibliographic Information
      • Archive
    • Oncology Reports
      • Information for Authors
      • Editorial Policies
      • Editorial Board
      • Aims and Scope
      • Abstracting and Indexing
      • Bibliographic Information
      • Archive
    • World Academy of Sciences Journal
      • Information for Authors
      • Editorial Policies
      • Editorial Board
      • Aims and Scope
      • Abstracting and Indexing
      • Bibliographic Information
      • Archive
  • Articles
  • Information
    • For Authors
    • For Reviewers
    • For Librarians
    • For Advertisers
    • Conferences
  • Language Editing
Login Register Submit
  • This site uses cookies
  • You can change your cookie settings at any time by following the instructions in our Cookie Policy. To find out more, you may read our Privacy Policy.

    I agree
Search articles by DOI, keyword, author or affiliation
Search
Advanced Search
presentation
Experimental and Therapeutic Medicine
Join Editorial Board Propose a Special Issue
Print ISSN: 1792-0981 Online ISSN: 1792-1015
Journal Cover
November-2022 Volume 24 Issue 5

Full Size Image

Sign up for eToc alerts
Recommend to Library

Journals

International Journal of Molecular Medicine

International Journal of Molecular Medicine

International Journal of Molecular Medicine is an international journal devoted to molecular mechanisms of human disease.

International Journal of Oncology

International Journal of Oncology

International Journal of Oncology is an international journal devoted to oncology research and cancer treatment.

Molecular Medicine Reports

Molecular Medicine Reports

Covers molecular medicine topics such as pharmacology, pathology, genetics, neuroscience, infectious diseases, molecular cardiology, and molecular surgery.

Oncology Reports

Oncology Reports

Oncology Reports is an international journal devoted to fundamental and applied research in Oncology.

Experimental and Therapeutic Medicine

Experimental and Therapeutic Medicine

Experimental and Therapeutic Medicine is an international journal devoted to laboratory and clinical medicine.

Oncology Letters

Oncology Letters

Oncology Letters is an international journal devoted to Experimental and Clinical Oncology.

Biomedical Reports

Biomedical Reports

Explores a wide range of biological and medical fields, including pharmacology, genetics, microbiology, neuroscience, and molecular cardiology.

Molecular and Clinical Oncology

Molecular and Clinical Oncology

International journal addressing all aspects of oncology research, from tumorigenesis and oncogenes to chemotherapy and metastasis.

World Academy of Sciences Journal

World Academy of Sciences Journal

Multidisciplinary open-access journal spanning biochemistry, genetics, neuroscience, environmental health, and synthetic biology.

International Journal of Functional Nutrition

International Journal of Functional Nutrition

Open-access journal combining biochemistry, pharmacology, immunology, and genetics to advance health through functional nutrition.

International Journal of Epigenetics

International Journal of Epigenetics

Publishes open-access research on using epigenetics to advance understanding and treatment of human disease.

Medicine International

Medicine International

An International Open Access Journal Devoted to General Medicine.

Journal Cover
November-2022 Volume 24 Issue 5

Full Size Image

Sign up for eToc alerts
Recommend to Library

  • Article
  • Citations
    • Cite This Article
    • Download Citation
    • Create Citation Alert
    • Remove Citation Alert
    • Cited By
  • Similar Articles
    • Related Articles (in Spandidos Publications)
    • Similar Articles (Google Scholar)
    • Similar Articles (PubMed)
  • Download PDF
  • Download XML
  • View XML
Case Report Open Access

Uterine adenomyotic cyst with markedly elevated serum CA19‑9 and CA125 levels: A case report

  • Authors:
    • Lihua Zheng
    • Li Shan
    • Fengfeng Cai
  • View Affiliations / Copyright

    Affiliations: Department of Gynecology and Obstetrics, Northwest Women's and Children's Hospital, Xi'an, Shaanxi 710012, P.R. China, Department of Breast Surgery, Yangpu Hospital, School of Medicine, Tongji University, Shanghai 200090, P.R. China
    Copyright: © Zheng et al. This is an open access article distributed under the terms of Creative Commons Attribution License.
  • Article Number: 665
    |
    Published online on: September 7, 2022
       https://doi.org/10.3892/etm.2022.11601
  • Expand metrics +
Metrics: Total Views: 0 (Spandidos Publications: | PMC Statistics: )
Metrics: Total PDF Downloads: 0 (Spandidos Publications: | PMC Statistics: )
Cited By (CrossRef): 0 citations Loading Articles...

This article is mentioned in:



Abstract

Adenomyotic cysts are small cysts with a diameter of <5 mm, usually containing hemorrhagic material. The present study reported on a patient with a large adenomyotic cyst with abnormally high serum levels of CA19‑9 (>1,000 U/ml) and CA125 (642 U/ml) and a complaint of pelvic pain. MRI scans were critical in diagnosing the case. Adhering to the principle of tumor‑free implantation, a laparotomy was performed. After the operation, six weeks were required to normalize the serum level of CA19‑9 and four weeks for CA125. Elevated tumor markers are frequently observed in malignancies, but the outcome reported in the present case was a benign lesion and the prognosis was favorable. In the present case, it was unusual that CA19‑9 was elevated in addition to CA125, as it is commonly reported that only CA125 is elevated in cases of large adenomyotic cyst.

Introduction

Uterine cystic adenomyosis is an uncommon gynecological disease (1). Its characteristic features include ectopic endometrial glands, stromal invasion of the myometrium, cystic part of old blood, with diffuse or focal widening of the junctional zone and bright foci or linear striations in the myometrium on T2-weighted magnetic resonance imaging (MRI) scans.

Buerger and Petzing (2) pointed out that, although uterine adenomyosis may have a cystic part of old blood, the scope of the area is small, generally not >5 mm, and large cystic lesions are rare, which are called adenomyoma bone cyst (adenomyotic cyst), bursa sex gland fibroids (cystic adenomyoma) or bursa sex steroid myopathy (cystic adenomyosis). Large adenomyotic cysts (≥1 cm in diameter) are uncommon; to date, only ~70 cases of this type of lesion have been reported worldwide according to a literature search performed in MEDLINE and the Foreign Medical Literature Retrievals Service database using search term ‘adenomyotic cyst’ from 1992 to 2022.

The serum concentration of cancer antigen 125 (CA125) has been revealed to increase during endometriosis and measurement of the serum CA125 concentration is widely used as a supplementary test for diagnosing the disease and evaluating therapeutic effects (3). Another cancer antigen, CA19-9, has recently been reported to increase endometriosis, but it rarely increases above 1,000 U/ml (4). However, the literature has reported only seven cases of adenomyotic cyst with elevated CA19-9 or CA125 levels (Table I).

Table I

Details of previous similar studies.

Table I

Details of previous similar studies.

First author, yearRegionPatient age, yearsElevation of CA125 or CA19-9a(U/ml)Case description(Refs.)
Kammerer-Doak, 1996Maricopa, USA37CA125: >1,000Benign gynecologic condition presented in a case report. After excision of the affected areas, the CA125 levels returned to normal(10)
Imaoka, 2005Tenri, Japan41CA125: 673; CA19-9: 846Cystic adenomyosis with florid glandular mass present as a huge exophytic cystic mimicking an ovarian malignancy(12)
Cucinella, 2013Palermo, Italy25CA125: 38.00; CA19-9: 88.19A 4.5-cm adenomyotic cyst in a 25-year-old nulliparous female with severe dysmenorrhea and pelvic pain(5)
Pontrelli, 2015Negrar, Italy27CA125: 96Rare case of giant cystic adenomyoma (8.0 cm) mimicking an uterine malformation, diagnosed and treated by hysteroscopy(9)
Isik, 2014Kirikkale, Turkey47CA125: 63A giant adenomyotic cyst originating from the cervix with an elevated serum concentration of CA125(4)
Fan, 2019Jilin Province, China39CA125: 1,212.00Two cases of intrauterine cystic adenomyosis were treated by hysterectomy or hysteroscopy to release the liquid inside, one of which had elevated serum levels of CA125(11)
Zhao, 2021Chongqing, China30CA125: 76.20A rare case of a cystic adenomyotic lesion that was treated by laparoscopic surgery; CA125 levels were elevated(8)

[i] aNormal ranges: CA125, 0-35 U/ml; CA19-9, 0-27 U/ml.

The present report presents a case of a uterine adenomyotic cyst with markedly elevated serum CA19-9 and CA125 levels.

Case report

Case presentation

A 32-year-old female [gravida 3 (referred for artificial abortion due to abnormal fetal development in 2019; one missed abortion in 2020), para 1 (gave birth to a live healthy full-term baby in 2011)] presented at the Northwest Women's and Children's Hospital (Xi'an, China). Ultrasonography was performed during the follow-up after the missed abortion, revealing an intrauterine cystic lesion without any symptoms of menorrhagia, chronic pelvic pain or dysmenorrhea. Following that, a hematologic examination and tumor marker detection were performed, which revealed CA125 levels of 175 U/ml and CA19-9 of >1,000 U/ml. Given the abnormally high tumor marker levels, abdominal CT scanning and gastroscopy were all completed but did not reveal any evidence of gastrointestinal malignant lesions. The patient suddenly experienced pelvic pain and was referred to the department for a thorough gynecological evaluation.

Measurement of serum CA19-9 and CA125 levels. Blood samples were taken and serum was obtained according to standard protocols. CA125 (normal ranges: CA125, 0-35 U/ml; CA19-9, 0-27 U/ml) were measured using the electrochemiluminescence immunoassay on a Roche Cobas e 801 analyzer (Roche Diagnostics).

Imaging. CT scanning parameters were 128x0.628 mm collimation with a reconstruction interval of 1 mm, rotation time of 0.75 sec, tube voltage of 120 kV and 200 mAsec (Brilliance iCT; Philips Healthcare).

A Color Doppler Ultrasound (U22; Philips Healthcare) diagnostic instrument was adopted with 7.5 MHz endovaginal probe. MRI was performed with a 1.5-T superconductive magnet unit (Picker International Co. Ltd.). T1-weighted spin-echo images (T1-WI; repetition time, 600 msec; echo time, 20 msec) and T2 weighted spin-echo images (T2-WI; repetition time, 2,000 msec; echo time, 80 msec) were obtained.

Immunohistochemistry. Tissue samples were fixed in a 10% (v/v) solution of buffered formalin for 24 h at 4˚C and then dehydrated, cleared in xylene and embedded in paraffin. Paraffin sections (5 mm) were mounted on silane-coated slides, de-waxed and rehydrated. For antigen retrieval, the sections were treated with 10 mM citrate buffer, pH 6.0 in a water bath (30 min at 95˚C), then treated with 1.5% (v/v) H2O2 in methanol for 10 min for quenching the endogenous peroxidase activity and finally equilibrated in 10 mM PBS-0.05% v/v Tween 20 pH 7.5. Nonspecific binding was reduced by incubation in 1% BSA (Cytiva) for 60 min. Subsequently, the slides were incubated with rabbit polyclonal anti-CA125 (cat. no. HPA065600; dilution, 1:100; MilliporeSigma) or mouse monoclonal antibody anti-CA19-9 (cat. no. 399S; dilution, 1:100; MilliporeSigma) in a humidified chamber for 22 h at 4˚C. After washing in PBS-Tween 20, the sections were incubated with biotinylated goat anti-rabbit or horse anti-mouse immunoglobulin (cat. no. CY-4500 or CY-2500, respectively; 1:100 dilution; Vector Laboratories, Inc.; Maravai LifeSciences) for 30 min at 25˚C, and then treated with avidin-biotinylated peroxidase complex (Vector Laboratories, Inc.; Maravai LifeSciences) for 30 min at 28˚C. The bound antibodies were visualized with diaminobenzidine and H2O2 in PBS, pH 7.5 according to the manufacturer's instructions (Vector Laboratories, Inc.; Maravai LifeSciences). Finally, the tissues were stained with Gill's hematoxylin, dehydrated and mounted with coverslips. Negative controls were prepared by substituting the primary antibodies with rabbit IgG (cat. no. 0023305; dilution, 1:20; Thermo Fisher Scientific, Inc.) or mouse IgG (cat. no. 12371; dilution, 1:20; EMD Millipore).

History of menstruation. The patient had attained menarche at the age of 14 years. The patient had a history of a 28-day regular menstrual cycle without hypermenorrhea.

Pelvic examination. The uterus was displaced to the right of the median line and was estimated to be larger than a goose egg. There were no pelvic tenderness or nodules. Pelvic examination revealed a normal vagina, vulva and adnexa and an enlarged retroflexed uterus.

Hematologic examination. Laboratory tests revealed anemia (hemoglobin concentration, 102 g/l (normal range, 115-150 g/l). The biochemical profile was otherwise unremarkable. The serum concentration of CA125 and CA19-9 was elevated at 642 U/ml and >1,000 U/ml, respectively.

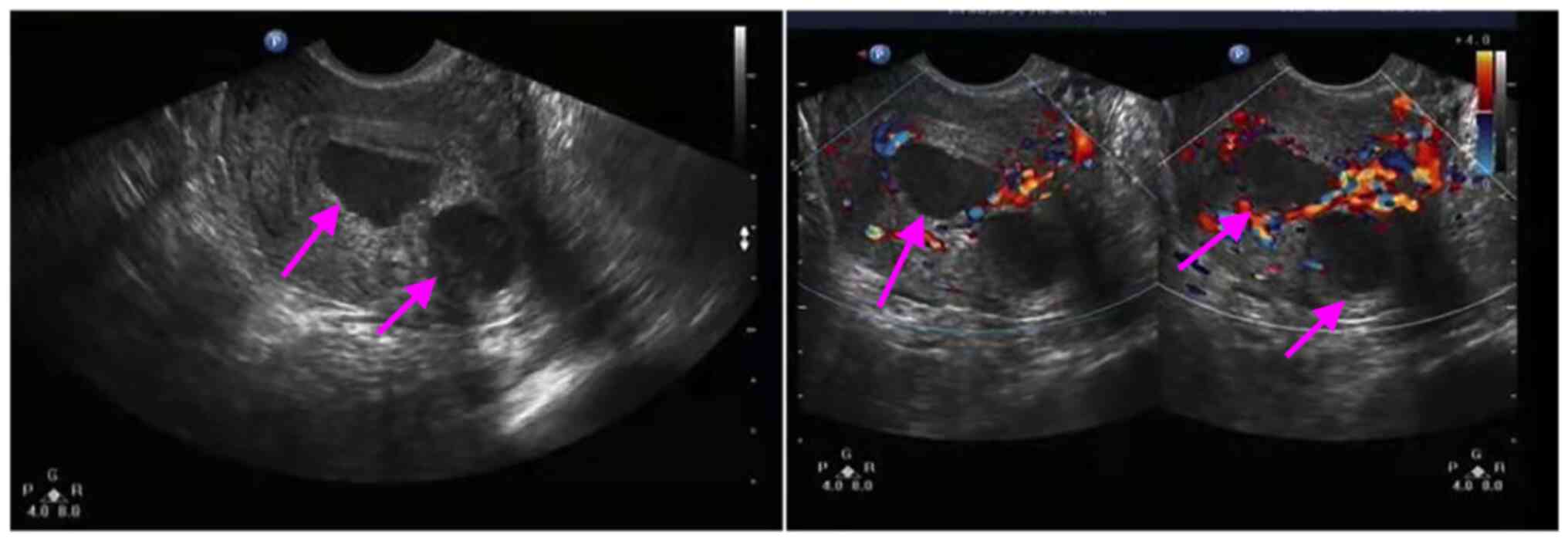
Ultrasonic examination. Ultrasonography displayed a multi-locular cystic mass on the posterior wall of the uterus. Color power Doppler revealed a difference from a leiomyoma. The mass was diagnosed as uterine adenomyoma (Fig. 1). The ultrasound of the hepatobiliary duct, pancreas and spleen exhibited no abnormalities. An abdominal CT scan indicated no abnormal density lesions in the liver, bile duct, pancreas, spleen or gastrointestinal tract.

Figure 1

Transvaginal ultrasound scan of the uterus indicating the lesion with an adenomyotic cyst (the left panel arrows). Doppler flow examination (right panel) demonstrated blood flow to the lesions (arrows).

MRI findings. From the MRI findings (Fig. 2), the abnormal signal shadow and central hemorrhagic cystic in the posterior compartment of the uterus were considered adenomyoma. The mass measured 53x48x41 mm and T2-WI displayed the cyst as an area of high intensity. The normal uterine cavity was visualized as a line near the cyst. It was slightly hyperintense on T1- and T2-WI, with an internal fluid level, typical for the layering of simple and hemorrhagic or proteinaceous fluids.

Figure 2

Magnetic resonance imaging revealed the uterine adenomyotic cyst. (A) Axial T2-weighted image with fat suppression shows hyperintense lesion of uterine adenomyotic cyst (arrows). (B) Axial T1-weighted imaging. demonstrates the cystic lesion (arrows). (C) Sagittal T2-weighted image shows the hyperintense cystic lesion (arrows). (D) Sagittal contrast-enhanced T1-weighted image shows the cystic mass (arrows).

Hysteroscopy check. Hysteroscopy visualized a normal uterine cavity and bilaterally patent tubal ostia (Fig. 3).

Figure 3

Hysteroscopy visualized a normal uterine cavity (white arrows) and bilaterally patent tubal ostia (blue arrows; left-hand panel). The adenomyotic tissues excised from the posterior part of the uterus was used for pathology examation. The histologic image confirms lesions (H&E; magnification, x100; long arrow refers to the endometrial glands while short arrow shows the stroma; right-hand panel).

Intraoperative findings. Laparotomy surgery was performed. The surgery was very similar to that in the case report of Cucinella et al (5). Enlargement of the posterior wall of the uterus was seen and chocolate-colored fluid flowed out of the posterior wall after incision. No abnormality was found in the appearance of bilateral fallopian tubes and ovaries. The excised lesion was sent for pathological examination (Fig. 3).

Tissue distribution of CA19-9 and CA125. The resected specimens were fixed in 10% formalin, embedded in paraffin and examined by immunohistochemical staining with anti-CA125 and anti-CA19-9 to determine the tissue distribution of each tumor marker. CA19-9 and CA125 were not expressed in the adenomyotic cyst which results not shown.

Changes in serum CA19-9 and CA125 levels. Both tumor markers were assayed using commercially available radioimmunoassay kits (Centocorl) once per week. CA125 decreased below the cut-off level (0-35 U/ml) at ≥4 weeks after the operation, but CA19-9 did not decrease below the cut-off level (0-37 U/ml) until ≥6 weeks after the operation (Fig. 4). The patient underwent GnRha therapy for six months and there was no evidence of recurrence throughout the follow-up.

Figure 4

Changes in serum CA19-9 and CA125 after the operation.

Discussion

CA19-9, first reported by Koprowski et al (6), is mainly found in the fetal stomach, intestinal epithelial cells and pancreas, and as a carbohydrate antigen recognized by a monoclonal antibody in a human colon cancer cell line. In addition to being a highly sensitive tumor marker for pancreatic and bile duct cancers, it has been reported to be highly sensitive for gynecologic tumors, such as endometrial carcinoma or ovarian cancer. Recently, CA19-9 was also reported to be increased in patients with endometriosis and adenomyosis (7), but it rarely exceeds 1,000 U/ml, as it did in the present case.

Increased serum CA125 levels have also been proposed as a diagnostic tool for cystic adenomyosis. Cucinella et al (5) and Zhao et al (8) respectively described a large adenomyotic cyst with slightly elevated CA125. Furthermore, two cases of giant adenomyotic cyst originating from the cervix with raised CA125 levels were also reported by Pontrelli et al (9) and Isik et al (4). Certain studies reported that preoperative CA125 levels as high as 1,212.00 U/ml returned to normal after excision of these areas (10,11). Serum CA125 levels are generally elevated in patients with giant adenomyotic cyst.

A large-magnitude increase in the serum levels of both CA125 and CA19-9 in patients with cystic adenomyosis is rare (12,13). In the present case, serum CA125 was 642 U/ml and CA19-9 was as high as >1,000 U/ml prior to surgery, which decreased after tumor removal, consistent with previous reports. The present study expands the knowledge on cases with significantly increased CA19-9. However, it was not possible to determine the reason for the abnormally high serum level of CA19-9. Similarly, MRI and other imaging studies (14,15) suggest that hemorrhage in uterine adenomyosis lesions in the present case may damage the ovaries, uterus and nearby tissues, causing surrounding tissue adhesion, damaging the peritoneal barrier and possibly causing CA19-9 leakage into the circulation. In benign biliary tract diseases such as acute cholangitis, the bile duct epithelium is reported to be damaged by inflammation and biliary CA19-9 and CA125 may leak into the circulation (3). The differential diagnosis (such as biliary tract diseases, ovarian disease and enteropatia), was excluded by ultrasonic examination, MRI findings, CT scan, hysteroscopy check and pathological results.

MRI imaging and 3D ultrasound have recently been clinically applied in the gynecologic field, with reports that may be useful for the diagnosis of adenomyosis (16). MRI may now detect the normal junctional zone and adenomyotic cysts (17). The Myometrial location (intramural, submucous, subserous), Uterine site (midline, paramedian, lateral); Structure (cystic, mixed, polypoid), Contents (clear, hemorrhagic), Level (fundus, body, cervix) and Endometrial or inner lining (endometrium, metaplastic) (MUSCLE) classification was suggested for evaluating cystic adenomyosis (18). The patient of the present study may be classified as an intramural cystadenoma, namely M1 U1 S1 C2 L2 E2. MRI is considered clinically valuable in this respect. To distinguish the condition from other types of intramural cyst, histological diagnosis is necessary to identify the endometrial inner layering and the presence of outer myometrium.

To prevent malignant tumor spread, a laparotomy operation was performed. There is doubt regarding the nature of such rare voluminous cysts in young females prior to surgery, considering patient age at symptom occurrence (8).

The postoperative decrease of CA19-9 was slower than that of CA125. It remains unclear whether this difference was caused by a difference in the half-life of these two tumor markers in the circulation. However, unlike CA125 in adenomyotic cyst, CA19-9 appears to not be a sensitive marker of adenomyotic cyst.

In conclusion, larger adenomyotic cysts are rare, while small adenomyotic cysts of <5 mm in diameter have been detected in hysterectomy specimens. In addition, 70 cases of adenomyotic cyst have so far been reported in the literature. In the case of the present study, serum CA19-9 and CA125 levels were significantly increased, which has been rarely reported. Due to these laboratory test results, it was not possible to make a confident differentiation of benign vs. malignant tumors. The ultrasound results and MRI suggested a diagnosis of a mass of uterine origin. In addition, the operation and pathology examination confirmed cystic lesions. However, additional case reports are required to further elucidate the pathogenesis and clinical characteristics of this rare disorder.

Acknowledgements

Not applicable.

Funding

Funding: The present study was supported by the Shanghai Yangpu District Health and Family Planning Commission Fund for Hao Yi Shi Training Project (grant nos. 201742 and 2020-2023), the Natural Science Foundation of Shanghai (grant no. 18ZR1436000) and by the clinical research project fund for Northwest Women's and Children's Hospital (grant no. 2022YN08).

Availability of data and materials

The datasets used and/or analyzed during the current study are available from the corresponding author on reasonable request.

Authors' contributions

LZ substantially contributed to the conception or design of the work, as well as the acquisition, analysis and interpretation of data for the work. LS performed the experiments, analyzed the data and drafted the manuscript. FC made contributions to the analysis and interpretation of data. All authors checked and approved the authenticity of all the raw data. All authors read and approved the final manuscript.

Ethics approval and consent to participate

The study protocol was reviewed and approved by the Medical Ethics committee of Northwest Women's and Children's Hospital (Xi'an, China; approval no. 21-039).

Patient consent for publication

Written informed consent was obtained from the patient for the publication of the details of her medical case and any accompanying images.

Competing interests

The authors have no competing interests to declare.

References

1 

Lacheta J: Uterine adenomyosis: Pathogenesis, diagnostics, symptomatology and treatment. Ceska Gynekol. 84:240–246. 2019.PubMed/NCBI

2 

Buerger PT and Petzing He: Congenital cysts of the corpus uteri. Am J Obstet Gynecol. 67:143–151. 1954.PubMed/NCBI View Article : Google Scholar

3 

Takemori M and Sugimura K: Ovarian chocolate cyst with markedly elevated serum CA19-9 level: A case report. Eur J Obstet Gynecol Reprod Biol. 42:241–244. 1991.PubMed/NCBI View Article : Google Scholar

4 

Isik Y, Dag ZO and Celik H: A giant adenomyotic cyst originating from the cervix. Int J Gynaecol Obstet. 131:205–206. 2015.PubMed/NCBI View Article : Google Scholar

5 

Cucinella G, Billone V, Pitruzzella I, Lo Monte AI, Palumbo VD and Perino A: Adenomyotic cyst in a 25-year-old woman: Case report. J Minim Invasive Gynecol. 20:894–898. 2013.PubMed/NCBI View Article : Google Scholar

6 

Koprowski H, Steplewski Z, Mitchell K, Herlyn M, Herlyn D and Fuhrer P: Colorectal carcinoma antigens detected by hybridoma antibodies. Somatic Cell Genet. 5:957–971. 1979.PubMed/NCBI View Article : Google Scholar

7 

Rokhgireh S, Mehdizadeh Kashi A, Chaichian S, Delbandi AA, Allahqoli L, Ahmadi-Pishkuhi M, Khodaverdi S and Alkatout I: The Diagnostic accuracy of combined enolase/Cr, CA125, and CA19-9 in the detection of endometriosis. Biomed Res Int. 2020(5208279)2020.PubMed/NCBI View Article : Google Scholar

8 

Zhao CZ, Wang B, Zhong CY, Lu ST and Lei L: Management of uterine cystic adenomyosis by laparoscopic surgery: Case report. BMC Womens Health. 21(263)2021.PubMed/NCBI View Article : Google Scholar

9 

Pontrelli G, Bounous VE, Scarperi S, Minelli L, Di Spiezio Sardo A and Florio P: Rare case of giant cystic adenomyoma mimicking a uterine malformation, diagnosed and treated by hysteroscopy. J Obstet Gynaecol Res. 41:1300–1304. 2015.PubMed/NCBI View Article : Google Scholar

10 

Kammerer-Doak DN, Magrina JF, Nemiro JS and Lidner TK: Benign gynecologic conditions associated with a CA-125 level > 1,000 U/mL. A case report. J Reprod Med. 41:179–182. 1996.PubMed/NCBI

11 

Fan YY, Liu YN, Li J and Fu Y: Intrauterine cystic adenomyosis: Report of two cases. World J Clin Cases. 7:676–683. 2019.PubMed/NCBI View Article : Google Scholar

12 

Imaoka I, Kaji Y, Kobashi Y, Wada A, Honjo G, Hayashi M, Yoshida M and Matsuo M: Cystic adenomyosis with florid glandular differentiation mimicking ovarian malignancy. Br J Radiol. 78:558–561. 2005.PubMed/NCBI View Article : Google Scholar

13 

AL-Tai TH, AL-Hadithi HS and Abdulsalam HS: CA19-9 versus CA-125 in Endometriosis. J Dent Med Sci. 13:27–30. 2014.

14 

Kataoka ML, Togashi K, Konishi I, Hatabu H, Morikawa K, Kojima N, Kuroda H, Fujimoto R, Kataoka N and Konishi J: MRI of adenomyotic cyst of the uterus. J Comput Assist Tomogr. 22:555–559. 1998.PubMed/NCBI View Article : Google Scholar

15 

Vinci V, Saldari M, Sergi ME, Bernardo S, Rizzo G, Porpora MG, Catalano C and Manganaro L: MRI, US or real-time virtual sonography in the evaluation of adenomyosis? Radiol Med. 122:361–368. 2017.PubMed/NCBI View Article : Google Scholar

16 

Gordts S, Campo R and Brosens I: Hysteroscopic diagnosis and excision of myometrial cystic adenomyosis. Gynecol Surg. 11:273–278. 2014.PubMed/NCBI View Article : Google Scholar

17 

Ho ML, Raptis C, Hulett R, McAlister WH, Moran K and Bhalla S: Adenomyotic cyst of the uterus in an adolescent. Pediatr Radiol. 38:1239–1242. 2008.PubMed/NCBI View Article : Google Scholar

18 

Bazot M and Daraï E: Role of transvaginal sonography and magnetic resonance imaging in the diagnosis of uterine adenomyosis. Fertil Steril. 109:389–397. 2018.PubMed/NCBI View Article : Google Scholar

Related Articles

  • Abstract
  • View
  • Download
  • Twitter
Copy and paste a formatted citation
Spandidos Publications style
Zheng L, Shan L and Cai F: Uterine adenomyotic cyst with markedly elevated serum CA19‑9 and CA125 levels: A case report. Exp Ther Med 24: 665, 2022.
APA
Zheng, L., Shan, L., & Cai, F. (2022). Uterine adenomyotic cyst with markedly elevated serum CA19‑9 and CA125 levels: A case report. Experimental and Therapeutic Medicine, 24, 665. https://doi.org/10.3892/etm.2022.11601
MLA
Zheng, L., Shan, L., Cai, F."Uterine adenomyotic cyst with markedly elevated serum CA19‑9 and CA125 levels: A case report". Experimental and Therapeutic Medicine 24.5 (2022): 665.
Chicago
Zheng, L., Shan, L., Cai, F."Uterine adenomyotic cyst with markedly elevated serum CA19‑9 and CA125 levels: A case report". Experimental and Therapeutic Medicine 24, no. 5 (2022): 665. https://doi.org/10.3892/etm.2022.11601
Copy and paste a formatted citation
x
Spandidos Publications style
Zheng L, Shan L and Cai F: Uterine adenomyotic cyst with markedly elevated serum CA19‑9 and CA125 levels: A case report. Exp Ther Med 24: 665, 2022.
APA
Zheng, L., Shan, L., & Cai, F. (2022). Uterine adenomyotic cyst with markedly elevated serum CA19‑9 and CA125 levels: A case report. Experimental and Therapeutic Medicine, 24, 665. https://doi.org/10.3892/etm.2022.11601
MLA
Zheng, L., Shan, L., Cai, F."Uterine adenomyotic cyst with markedly elevated serum CA19‑9 and CA125 levels: A case report". Experimental and Therapeutic Medicine 24.5 (2022): 665.
Chicago
Zheng, L., Shan, L., Cai, F."Uterine adenomyotic cyst with markedly elevated serum CA19‑9 and CA125 levels: A case report". Experimental and Therapeutic Medicine 24, no. 5 (2022): 665. https://doi.org/10.3892/etm.2022.11601
Follow us
  • Twitter
  • LinkedIn
  • Facebook
About
  • Spandidos Publications
  • Careers
  • Cookie Policy
  • Privacy Policy
How can we help?
  • Help
  • Live Chat
  • Contact
  • Email to our Support Team