Spandidos Publications Logo
  • About
    • About Spandidos
    • Aims and Scopes
    • Abstracting and Indexing
    • Editorial Policies
    • Reprints and Permissions
    • Job Opportunities
    • Terms and Conditions
    • Contact
  • Journals
    • All Journals
    • Oncology Letters
      • Oncology Letters
      • Information for Authors
      • Editorial Policies
      • Editorial Board
      • Aims and Scope
      • Abstracting and Indexing
      • Bibliographic Information
      • Archive
    • International Journal of Oncology
      • International Journal of Oncology
      • Information for Authors
      • Editorial Policies
      • Editorial Board
      • Aims and Scope
      • Abstracting and Indexing
      • Bibliographic Information
      • Archive
    • Molecular and Clinical Oncology
      • Molecular and Clinical Oncology
      • Information for Authors
      • Editorial Policies
      • Editorial Board
      • Aims and Scope
      • Abstracting and Indexing
      • Bibliographic Information
      • Archive
    • Experimental and Therapeutic Medicine
      • Experimental and Therapeutic Medicine
      • Information for Authors
      • Editorial Policies
      • Editorial Board
      • Aims and Scope
      • Abstracting and Indexing
      • Bibliographic Information
      • Archive
    • International Journal of Molecular Medicine
      • International Journal of Molecular Medicine
      • Information for Authors
      • Editorial Policies
      • Editorial Board
      • Aims and Scope
      • Abstracting and Indexing
      • Bibliographic Information
      • Archive
    • Biomedical Reports
      • Biomedical Reports
      • Information for Authors
      • Editorial Policies
      • Editorial Board
      • Aims and Scope
      • Abstracting and Indexing
      • Bibliographic Information
      • Archive
    • Oncology Reports
      • Oncology Reports
      • Information for Authors
      • Editorial Policies
      • Editorial Board
      • Aims and Scope
      • Abstracting and Indexing
      • Bibliographic Information
      • Archive
    • Molecular Medicine Reports
      • Molecular Medicine Reports
      • Information for Authors
      • Editorial Policies
      • Editorial Board
      • Aims and Scope
      • Abstracting and Indexing
      • Bibliographic Information
      • Archive
    • World Academy of Sciences Journal
      • World Academy of Sciences Journal
      • Information for Authors
      • Editorial Policies
      • Editorial Board
      • Aims and Scope
      • Abstracting and Indexing
      • Bibliographic Information
      • Archive
    • International Journal of Functional Nutrition
      • International Journal of Functional Nutrition
      • Information for Authors
      • Editorial Policies
      • Editorial Board
      • Aims and Scope
      • Abstracting and Indexing
      • Bibliographic Information
      • Archive
    • International Journal of Epigenetics
      • International Journal of Epigenetics
      • Information for Authors
      • Editorial Policies
      • Editorial Board
      • Aims and Scope
      • Abstracting and Indexing
      • Bibliographic Information
      • Archive
    • Medicine International
      • Medicine International
      • Information for Authors
      • Editorial Policies
      • Editorial Board
      • Aims and Scope
      • Abstracting and Indexing
      • Bibliographic Information
      • Archive
  • Articles
  • Information
    • Information for Authors
    • Information for Reviewers
    • Information for Librarians
    • Information for Advertisers
    • Conferences
  • Language Editing
Spandidos Publications Logo
  • About
    • About Spandidos
    • Aims and Scopes
    • Abstracting and Indexing
    • Editorial Policies
    • Reprints and Permissions
    • Job Opportunities
    • Terms and Conditions
    • Contact
  • Journals
    • All Journals
    • Biomedical Reports
      • Information for Authors
      • Editorial Policies
      • Editorial Board
      • Aims and Scope
      • Abstracting and Indexing
      • Bibliographic Information
      • Archive
    • Experimental and Therapeutic Medicine
      • Information for Authors
      • Editorial Policies
      • Editorial Board
      • Aims and Scope
      • Abstracting and Indexing
      • Bibliographic Information
      • Archive
    • International Journal of Epigenetics
      • Information for Authors
      • Editorial Policies
      • Editorial Board
      • Aims and Scope
      • Abstracting and Indexing
      • Bibliographic Information
      • Archive
    • International Journal of Functional Nutrition
      • Information for Authors
      • Editorial Policies
      • Editorial Board
      • Aims and Scope
      • Abstracting and Indexing
      • Bibliographic Information
      • Archive
    • International Journal of Molecular Medicine
      • Information for Authors
      • Editorial Policies
      • Editorial Board
      • Aims and Scope
      • Abstracting and Indexing
      • Bibliographic Information
      • Archive
    • International Journal of Oncology
      • Information for Authors
      • Editorial Policies
      • Editorial Board
      • Aims and Scope
      • Abstracting and Indexing
      • Bibliographic Information
      • Archive
    • Medicine International
      • Information for Authors
      • Editorial Policies
      • Editorial Board
      • Aims and Scope
      • Abstracting and Indexing
      • Bibliographic Information
      • Archive
    • Molecular and Clinical Oncology
      • Information for Authors
      • Editorial Policies
      • Editorial Board
      • Aims and Scope
      • Abstracting and Indexing
      • Bibliographic Information
      • Archive
    • Molecular Medicine Reports
      • Information for Authors
      • Editorial Policies
      • Editorial Board
      • Aims and Scope
      • Abstracting and Indexing
      • Bibliographic Information
      • Archive
    • Oncology Letters
      • Information for Authors
      • Editorial Policies
      • Editorial Board
      • Aims and Scope
      • Abstracting and Indexing
      • Bibliographic Information
      • Archive
    • Oncology Reports
      • Information for Authors
      • Editorial Policies
      • Editorial Board
      • Aims and Scope
      • Abstracting and Indexing
      • Bibliographic Information
      • Archive
    • World Academy of Sciences Journal
      • Information for Authors
      • Editorial Policies
      • Editorial Board
      • Aims and Scope
      • Abstracting and Indexing
      • Bibliographic Information
      • Archive
  • Articles
  • Information
    • For Authors
    • For Reviewers
    • For Librarians
    • For Advertisers
    • Conferences
  • Language Editing
Login Register Submit
  • This site uses cookies
  • You can change your cookie settings at any time by following the instructions in our Cookie Policy. To find out more, you may read our Privacy Policy.

    I agree
Search articles by DOI, keyword, author or affiliation
Search
Advanced Search
presentation
Experimental and Therapeutic Medicine
Join Editorial Board Propose a Special Issue
Print ISSN: 1792-0981 Online ISSN: 1792-1015
Journal Cover
January-2023 Volume 25 Issue 1

Full Size Image

Sign up for eToc alerts
Recommend to Library

Journals

International Journal of Molecular Medicine

International Journal of Molecular Medicine

International Journal of Molecular Medicine is an international journal devoted to molecular mechanisms of human disease.

International Journal of Oncology

International Journal of Oncology

International Journal of Oncology is an international journal devoted to oncology research and cancer treatment.

Molecular Medicine Reports

Molecular Medicine Reports

Covers molecular medicine topics such as pharmacology, pathology, genetics, neuroscience, infectious diseases, molecular cardiology, and molecular surgery.

Oncology Reports

Oncology Reports

Oncology Reports is an international journal devoted to fundamental and applied research in Oncology.

Experimental and Therapeutic Medicine

Experimental and Therapeutic Medicine

Experimental and Therapeutic Medicine is an international journal devoted to laboratory and clinical medicine.

Oncology Letters

Oncology Letters

Oncology Letters is an international journal devoted to Experimental and Clinical Oncology.

Biomedical Reports

Biomedical Reports

Explores a wide range of biological and medical fields, including pharmacology, genetics, microbiology, neuroscience, and molecular cardiology.

Molecular and Clinical Oncology

Molecular and Clinical Oncology

International journal addressing all aspects of oncology research, from tumorigenesis and oncogenes to chemotherapy and metastasis.

World Academy of Sciences Journal

World Academy of Sciences Journal

Multidisciplinary open-access journal spanning biochemistry, genetics, neuroscience, environmental health, and synthetic biology.

International Journal of Functional Nutrition

International Journal of Functional Nutrition

Open-access journal combining biochemistry, pharmacology, immunology, and genetics to advance health through functional nutrition.

International Journal of Epigenetics

International Journal of Epigenetics

Publishes open-access research on using epigenetics to advance understanding and treatment of human disease.

Medicine International

Medicine International

An International Open Access Journal Devoted to General Medicine.

Journal Cover
January-2023 Volume 25 Issue 1

Full Size Image

Sign up for eToc alerts
Recommend to Library

  • Article
  • Citations
    • Cite This Article
    • Download Citation
    • Create Citation Alert
    • Remove Citation Alert
    • Cited By
  • Similar Articles
    • Related Articles (in Spandidos Publications)
    • Similar Articles (Google Scholar)
    • Similar Articles (PubMed)
  • Download PDF
  • Download XML
  • View XML
Case Report Open Access

Prophylactic oophorectomy and aromatase inhibitors for premenopausal deep angiomyxoma: A case report and literature review

  • Authors:
    • Nobutomo Tonai
    • Kaei Nasu
    • Mitsutake Yano
    • Miho Sato
    • Kentaro Kai
    • Masakazu Nishida
    • Yasushi Kawano
  • View Affiliations / Copyright

    Affiliations: Department of Obstetrics and Gynecology, Oita University Faculty of Medicine, Yufu, Oita 879‑5593, Japan
    Copyright: © Tonai et al. This is an open access article distributed under the terms of Creative Commons Attribution License.
  • Article Number: 3
    |
    Published online on: November 16, 2022
       https://doi.org/10.3892/etm.2022.11702
  • Expand metrics +
Metrics: Total Views: 0 (Spandidos Publications: | PMC Statistics: )
Metrics: Total PDF Downloads: 0 (Spandidos Publications: | PMC Statistics: )
Cited By (CrossRef): 0 citations Loading Articles...

This article is mentioned in:



Abstract

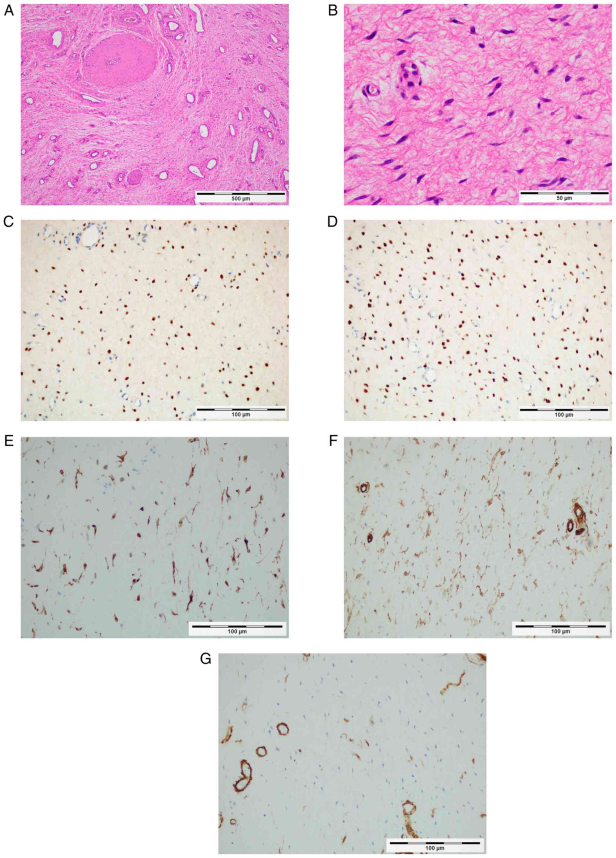
Deep angiomyxoma is a rare, infiltrative, hormone‑dependent, benign‑mesenchymal neoplasm that occurs in the deep soft tissues of the perineal regions. In total, 33% females with newly diagnosed deep angiomyxoma will typically relapse within 5 years after the standard treatment of radical resection. Postoperative hormone therapy is frequently administered to prevent recurrence, but the role of prophylactic oophorectomy in premenopausal women remain to be fully elucidated. In the present report, a 42‑year‑old Japanese woman was referred for a refractory Bartholin's cyst that is 14 cm in diameter. Based on the results of imaging (unenhanced CT and MRI) and histopathology, deep angiomyxoma was suspected, but no definitive diagnosis was possible. Tumor resection and bilateral salpingo‑oophorectomy were performed before the postoperative diagnosis was confirmed to be deep angiomyxoma. The patient received an aromatase inhibitor (2.5 mg letrozole daily) as adjuvant hormonal therapy. There was no evidence of recurrence at the 1‑year postoperative follow‑up. In conclusion, prophylactic oophorectomy and postoperative adjuvant therapy with aromatase inhibitors may be a promising treatment option for deep angiomyxoma to optimize the outcome of surgical treatment. Long‑term follow‑up is required to monitor for the late and/or local recurrence of deep angiomyxoma and possible adverse effects of adjuvant hormonal therapy.
View Figures

Figure 1

Figure 2

View References

1 

WHO Classification of Tumours Editorial Board (ed.): Female genital tumours: WHO Classification of Tumours (Medicine). Vol 4. 5th edition. International Agency for Research on Cancer, Lyon France, 2020.

2 

Steeper TA and Rosai J: Aggressive angiomyxoma of the female pelvis and perineum. Report of nine cases of a distinctive type of gynecologic soft-tissue neoplasm. Am J Surg Pathol. 7:463–475. 1983.PubMed/NCBI View Article : Google Scholar

3 

Smith HO, Worrell RV, Smith AY, Dorin MH, Rosenberg RD and Bartow SA: Aggressive angiomyxoma of the female pelvis and perineum: Review of the literature. Gynecol Oncol. 42:79–85. 1991.PubMed/NCBI View Article : Google Scholar

4 

Chapel DB, Cipriani NA and Bennett JA: Mesenchymal lesions of the vulva. Semin Diagn Pathol. 38:85–98. 2021.PubMed/NCBI View Article : Google Scholar

5 

Harkness R and McCluggage WG: HMGA2 is a useful marker of vulvovaginal aggressive angiomyxoma but may be positive in other mesenchymal lesions at this site. Int J Gynecol Pathol. 40:185–189. 2021.PubMed/NCBI View Article : Google Scholar

6 

Chan YM, Hon E, Ngai SW, Ng TY and Wong LC: Aggressive angiomyxoma in females: Is radical resection the only option? Acta Obstet Gynecol Scand. 79:216–220. 2000.PubMed/NCBI

7 

Fucà G, Hindi N, Ray-Coquard I, Colia V, Dei Tos AP, Martin-Broto J, Brahmi M, Collini P, Lorusso D, Raspagliesi F, et al: Treatment outcomes and sensitivity to hormone therapy of aggressive angiomyxoma: A multicenter, International, retrospective study. Oncologist. 24:e536–e541. 2019.PubMed/NCBI View Article : Google Scholar

8 

Dahiya K, Jain S, Duhan N, Nanda S and Kundu P: Aggressive angiomyxoma of vulva and vagina: A series of three cases and review of literature. Arch Gynecol Obstet. 283:1145–1148. 2011.PubMed/NCBI View Article : Google Scholar

9 

Lourenço C, Oliveira N, Ramos F, Ferreira I and Oliveira M: Aggressive angiomyxoma of the vagina: A case report. Rev Bras Ginecol Obstet. 35:575–582. 2013.PubMed/NCBI View Article : Google Scholar

10 

Zou R, Xu H, Shi Y, Wang J, Wang S and Zhu L: Retrospective analysis of clinicopathological features and prognosis for aggressive angiomyxoma of 27 cases in a tertiary center: A 14-year survey and related literature review. Arch Gynecol Obstet. 302:219–229. 2020.PubMed/NCBI View Article : Google Scholar

11 

Fetsch JF, Laskin WB, Lefkowitz M, Kindblom LG and Meis-Kindblom JM: Aggressive angiomyxoma: A clinicopathologic study of 29 female patients. Cancer. 78:79–90. 1996.PubMed/NCBI View Article : Google Scholar

12 

Orfanelli T, Kim CS, Vitez SF, Van Gurp J and Misra N: A case report of aggressive angiomyxoma in pregnancy: Do hormones play a role? Case Rep Obstet Gynecol. 2016(6810368)2016.PubMed/NCBI View Article : Google Scholar

13 

Kooy J, Carlson V, Šačiragić L, Sawhney S and Nelson G: A case series of aggressive angiomyxoma: Using morphologic type and hormonal modification to tailor treatment. Gynecol Oncol Rep. 36(100765)2021.PubMed/NCBI View Article : Google Scholar

14 

Blandamura S, Cruz J, Faure Vergara L, Machado Puerto I and Ninfo V: Aggressive angiomyxoma: A second case of metastasis with patient's death. Hum Pathol. 34:1072–1074. 2003.PubMed/NCBI View Article : Google Scholar

15 

Dellapasqua S and Colleoni M: Letrozole. Expert Opin Drug Metab Toxicol. 6:251–259. 2010.PubMed/NCBI View Article : Google Scholar

16 

Mizoguchi C, Matsumoto H, Nasu K, Arakane M, Kai K and Narahara H: Intravenous leiomyomatosis treated with radical hysterectomy and adjuvant aromatase inhibitor therapy. J Obstet Gynaecol Res. 42:1405–1408. 2016.PubMed/NCBI View Article : Google Scholar

17 

Nasu K, Tsuno A, Takai N and Narahara H: A case of benign metastasizing leiomyoma treated by surgical castration followed by an aromatase inhibitor, anastrozole. Arch Gynecol Obstet. 279:255–257. 2009.PubMed/NCBI View Article : Google Scholar

18 

El-Saghir NS, El-Hajj II, Makarem JA and Otrock ZK: Combined ovarian ablation and aromatase inhibition as first-line therapy for hormone receptor-positive metastatic breast cancer in premenopausal women: Report of three cases. Anticancer Drugs. 17:999–1002. 2006.PubMed/NCBI View Article : Google Scholar

19 

Metcalfe K, Lynch HT, Foulkes WD, Tung N, Kim-Sing C, Olopade OI, Eisen A, Rosen B, Snyder C, Gershman S, et al: Effect of oophorectomy on survival after breast cancer in BRCA1 and BRCA2 mutation carriers. JAMA Oncol. 1:306–313. 2015.PubMed/NCBI View Article : Google Scholar

20 

Finch AP, Lubinski J, Møller P, Singer CF, Karlan B, Senter L, Rosen B, Maehle L, Ghadirian P, Cybulski C, et al: Impact of oophorectomy on cancer incidence and mortality in women with a BRCA1 or BRCA2 mutation. J Clin Oncol. 32:1547–1553. 2014.PubMed/NCBI View Article : Google Scholar

21 

Chen D, Reierstad S, Lu M, Lin Z, Ishikawa H and Bulun SE: Regulation of breast cancer-associated aromatase promoters. Cancer Lett. 273:15–27. 2009.PubMed/NCBI View Article : Google Scholar

22 

Sirasagi A and Arakeri S: Deep aggressive angiomyxoma of pelvic soft tissue: A rare case report. J Obstet Gynaecol India. 64:438–439. 2014.PubMed/NCBI View Article : Google Scholar

23 

Beuran M, Ciubotaru C, Runcanu A, Enache V and Negoi I: Surgical resection of retroperitoneal aggressive angiomyxoma: Case report and review of the literature. Cureus. 9(e1485)2017.PubMed/NCBI View Article : Google Scholar

24 

Song M, Glasgow M, Murugan P and Rivard C: Aggressive angiomyxoma of the vulva and bladder. Obstet Gynecol. 130:885–888. 2017.PubMed/NCBI View Article : Google Scholar

25 

Gaurav A, Gill P, Khoiwal K, Chowdhuri S, Kapoor D and Chaturvedi J: Aggressive angiomyxoma of the vulva-a rare entity: Case report and review of literature. Int J Reprod Contracept Obstet Gynecol. 9:2605–2609. 2020.

26 

Lee MY, da Silva B, Ramirez DC and Maki RG: Novel HMGA2-YAP1 fusion gene in aggressive angiomyxoma. BMJ Case Rep. 12(e227475)2019.PubMed/NCBI View Article : Google Scholar

27 

Giles DL, Liu PT, Lidner TK and Magtibay PM: Treatment of aggressive angiomyxoma with aromatase inhibitor prior to surgical resection. Int J Gynecol Cancer. 18:375–379. 2008.PubMed/NCBI View Article : Google Scholar

Related Articles

  • Abstract
  • View
  • Download
  • Twitter
Copy and paste a formatted citation
Spandidos Publications style
Tonai N, Nasu K, Yano M, Sato M, Kai K, Nishida M and Kawano Y: Prophylactic oophorectomy and aromatase inhibitors for premenopausal deep angiomyxoma: A case report and literature review. Exp Ther Med 25: 3, 2023.
APA
Tonai, N., Nasu, K., Yano, M., Sato, M., Kai, K., Nishida, M., & Kawano, Y. (2023). Prophylactic oophorectomy and aromatase inhibitors for premenopausal deep angiomyxoma: A case report and literature review. Experimental and Therapeutic Medicine, 25, 3. https://doi.org/10.3892/etm.2022.11702
MLA
Tonai, N., Nasu, K., Yano, M., Sato, M., Kai, K., Nishida, M., Kawano, Y."Prophylactic oophorectomy and aromatase inhibitors for premenopausal deep angiomyxoma: A case report and literature review". Experimental and Therapeutic Medicine 25.1 (2023): 3.
Chicago
Tonai, N., Nasu, K., Yano, M., Sato, M., Kai, K., Nishida, M., Kawano, Y."Prophylactic oophorectomy and aromatase inhibitors for premenopausal deep angiomyxoma: A case report and literature review". Experimental and Therapeutic Medicine 25, no. 1 (2023): 3. https://doi.org/10.3892/etm.2022.11702
Copy and paste a formatted citation
x
Spandidos Publications style
Tonai N, Nasu K, Yano M, Sato M, Kai K, Nishida M and Kawano Y: Prophylactic oophorectomy and aromatase inhibitors for premenopausal deep angiomyxoma: A case report and literature review. Exp Ther Med 25: 3, 2023.
APA
Tonai, N., Nasu, K., Yano, M., Sato, M., Kai, K., Nishida, M., & Kawano, Y. (2023). Prophylactic oophorectomy and aromatase inhibitors for premenopausal deep angiomyxoma: A case report and literature review. Experimental and Therapeutic Medicine, 25, 3. https://doi.org/10.3892/etm.2022.11702
MLA
Tonai, N., Nasu, K., Yano, M., Sato, M., Kai, K., Nishida, M., Kawano, Y."Prophylactic oophorectomy and aromatase inhibitors for premenopausal deep angiomyxoma: A case report and literature review". Experimental and Therapeutic Medicine 25.1 (2023): 3.
Chicago
Tonai, N., Nasu, K., Yano, M., Sato, M., Kai, K., Nishida, M., Kawano, Y."Prophylactic oophorectomy and aromatase inhibitors for premenopausal deep angiomyxoma: A case report and literature review". Experimental and Therapeutic Medicine 25, no. 1 (2023): 3. https://doi.org/10.3892/etm.2022.11702
Follow us
  • Twitter
  • LinkedIn
  • Facebook
About
  • Spandidos Publications
  • Careers
  • Cookie Policy
  • Privacy Policy
How can we help?
  • Help
  • Live Chat
  • Contact
  • Email to our Support Team