Spandidos Publications Logo
  • About
    • About Spandidos
    • Aims and Scopes
    • Abstracting and Indexing
    • Editorial Policies
    • Reprints and Permissions
    • Job Opportunities
    • Terms and Conditions
    • Contact
  • Journals
    • All Journals
    • Oncology Letters
      • Oncology Letters
      • Information for Authors
      • Editorial Policies
      • Editorial Board
      • Aims and Scope
      • Abstracting and Indexing
      • Bibliographic Information
      • Archive
    • International Journal of Oncology
      • International Journal of Oncology
      • Information for Authors
      • Editorial Policies
      • Editorial Board
      • Aims and Scope
      • Abstracting and Indexing
      • Bibliographic Information
      • Archive
    • Molecular and Clinical Oncology
      • Molecular and Clinical Oncology
      • Information for Authors
      • Editorial Policies
      • Editorial Board
      • Aims and Scope
      • Abstracting and Indexing
      • Bibliographic Information
      • Archive
    • Experimental and Therapeutic Medicine
      • Experimental and Therapeutic Medicine
      • Information for Authors
      • Editorial Policies
      • Editorial Board
      • Aims and Scope
      • Abstracting and Indexing
      • Bibliographic Information
      • Archive
    • International Journal of Molecular Medicine
      • International Journal of Molecular Medicine
      • Information for Authors
      • Editorial Policies
      • Editorial Board
      • Aims and Scope
      • Abstracting and Indexing
      • Bibliographic Information
      • Archive
    • Biomedical Reports
      • Biomedical Reports
      • Information for Authors
      • Editorial Policies
      • Editorial Board
      • Aims and Scope
      • Abstracting and Indexing
      • Bibliographic Information
      • Archive
    • Oncology Reports
      • Oncology Reports
      • Information for Authors
      • Editorial Policies
      • Editorial Board
      • Aims and Scope
      • Abstracting and Indexing
      • Bibliographic Information
      • Archive
    • Molecular Medicine Reports
      • Molecular Medicine Reports
      • Information for Authors
      • Editorial Policies
      • Editorial Board
      • Aims and Scope
      • Abstracting and Indexing
      • Bibliographic Information
      • Archive
    • World Academy of Sciences Journal
      • World Academy of Sciences Journal
      • Information for Authors
      • Editorial Policies
      • Editorial Board
      • Aims and Scope
      • Abstracting and Indexing
      • Bibliographic Information
      • Archive
    • International Journal of Functional Nutrition
      • International Journal of Functional Nutrition
      • Information for Authors
      • Editorial Policies
      • Editorial Board
      • Aims and Scope
      • Abstracting and Indexing
      • Bibliographic Information
      • Archive
    • International Journal of Epigenetics
      • International Journal of Epigenetics
      • Information for Authors
      • Editorial Policies
      • Editorial Board
      • Aims and Scope
      • Abstracting and Indexing
      • Bibliographic Information
      • Archive
    • Medicine International
      • Medicine International
      • Information for Authors
      • Editorial Policies
      • Editorial Board
      • Aims and Scope
      • Abstracting and Indexing
      • Bibliographic Information
      • Archive
  • Articles
  • Information
    • Information for Authors
    • Information for Reviewers
    • Information for Librarians
    • Information for Advertisers
    • Conferences
  • Language Editing
Spandidos Publications Logo
  • About
    • About Spandidos
    • Aims and Scopes
    • Abstracting and Indexing
    • Editorial Policies
    • Reprints and Permissions
    • Job Opportunities
    • Terms and Conditions
    • Contact
  • Journals
    • All Journals
    • Biomedical Reports
      • Information for Authors
      • Editorial Policies
      • Editorial Board
      • Aims and Scope
      • Abstracting and Indexing
      • Bibliographic Information
      • Archive
    • Experimental and Therapeutic Medicine
      • Information for Authors
      • Editorial Policies
      • Editorial Board
      • Aims and Scope
      • Abstracting and Indexing
      • Bibliographic Information
      • Archive
    • International Journal of Epigenetics
      • Information for Authors
      • Editorial Policies
      • Editorial Board
      • Aims and Scope
      • Abstracting and Indexing
      • Bibliographic Information
      • Archive
    • International Journal of Functional Nutrition
      • Information for Authors
      • Editorial Policies
      • Editorial Board
      • Aims and Scope
      • Abstracting and Indexing
      • Bibliographic Information
      • Archive
    • International Journal of Molecular Medicine
      • Information for Authors
      • Editorial Policies
      • Editorial Board
      • Aims and Scope
      • Abstracting and Indexing
      • Bibliographic Information
      • Archive
    • International Journal of Oncology
      • Information for Authors
      • Editorial Policies
      • Editorial Board
      • Aims and Scope
      • Abstracting and Indexing
      • Bibliographic Information
      • Archive
    • Medicine International
      • Information for Authors
      • Editorial Policies
      • Editorial Board
      • Aims and Scope
      • Abstracting and Indexing
      • Bibliographic Information
      • Archive
    • Molecular and Clinical Oncology
      • Information for Authors
      • Editorial Policies
      • Editorial Board
      • Aims and Scope
      • Abstracting and Indexing
      • Bibliographic Information
      • Archive
    • Molecular Medicine Reports
      • Information for Authors
      • Editorial Policies
      • Editorial Board
      • Aims and Scope
      • Abstracting and Indexing
      • Bibliographic Information
      • Archive
    • Oncology Letters
      • Information for Authors
      • Editorial Policies
      • Editorial Board
      • Aims and Scope
      • Abstracting and Indexing
      • Bibliographic Information
      • Archive
    • Oncology Reports
      • Information for Authors
      • Editorial Policies
      • Editorial Board
      • Aims and Scope
      • Abstracting and Indexing
      • Bibliographic Information
      • Archive
    • World Academy of Sciences Journal
      • Information for Authors
      • Editorial Policies
      • Editorial Board
      • Aims and Scope
      • Abstracting and Indexing
      • Bibliographic Information
      • Archive
  • Articles
  • Information
    • For Authors
    • For Reviewers
    • For Librarians
    • For Advertisers
    • Conferences
  • Language Editing
Login Register Submit
  • This site uses cookies
  • You can change your cookie settings at any time by following the instructions in our Cookie Policy. To find out more, you may read our Privacy Policy.

    I agree
Search articles by DOI, keyword, author or affiliation
Search
Advanced Search
presentation
Experimental and Therapeutic Medicine
Join Editorial Board Propose a Special Issue
Print ISSN: 1792-0981 Online ISSN: 1792-1015
Journal Cover
January-2023 Volume 25 Issue 1

Full Size Image

Sign up for eToc alerts
Recommend to Library

Journals

International Journal of Molecular Medicine

International Journal of Molecular Medicine

International Journal of Molecular Medicine is an international journal devoted to molecular mechanisms of human disease.

International Journal of Oncology

International Journal of Oncology

International Journal of Oncology is an international journal devoted to oncology research and cancer treatment.

Molecular Medicine Reports

Molecular Medicine Reports

Covers molecular medicine topics such as pharmacology, pathology, genetics, neuroscience, infectious diseases, molecular cardiology, and molecular surgery.

Oncology Reports

Oncology Reports

Oncology Reports is an international journal devoted to fundamental and applied research in Oncology.

Experimental and Therapeutic Medicine

Experimental and Therapeutic Medicine

Experimental and Therapeutic Medicine is an international journal devoted to laboratory and clinical medicine.

Oncology Letters

Oncology Letters

Oncology Letters is an international journal devoted to Experimental and Clinical Oncology.

Biomedical Reports

Biomedical Reports

Explores a wide range of biological and medical fields, including pharmacology, genetics, microbiology, neuroscience, and molecular cardiology.

Molecular and Clinical Oncology

Molecular and Clinical Oncology

International journal addressing all aspects of oncology research, from tumorigenesis and oncogenes to chemotherapy and metastasis.

World Academy of Sciences Journal

World Academy of Sciences Journal

Multidisciplinary open-access journal spanning biochemistry, genetics, neuroscience, environmental health, and synthetic biology.

International Journal of Functional Nutrition

International Journal of Functional Nutrition

Open-access journal combining biochemistry, pharmacology, immunology, and genetics to advance health through functional nutrition.

International Journal of Epigenetics

International Journal of Epigenetics

Publishes open-access research on using epigenetics to advance understanding and treatment of human disease.

Medicine International

Medicine International

An International Open Access Journal Devoted to General Medicine.

Journal Cover
January-2023 Volume 25 Issue 1

Full Size Image

Sign up for eToc alerts
Recommend to Library

  • Article
  • Citations
    • Cite This Article
    • Download Citation
    • Create Citation Alert
    • Remove Citation Alert
    • Cited By
  • Similar Articles
    • Related Articles (in Spandidos Publications)
    • Similar Articles (Google Scholar)
    • Similar Articles (PubMed)
  • Download PDF
  • Download XML
  • View XML
Case Report Open Access

Gastric inverted hyperplastic polyp: A case report

  • Authors:
    • Qiang Ma
    • Lixiang Gao
    • Naiying Sun
    • Ying Chen
    • Li Liu
    • Limin Liu
    • Wenjun Guo
    • Xingjie Yang
  • View Affiliations / Copyright

    Affiliations: Department of Pathology, Sunshine Union Hospital, Weifang, Shandong 261000, P.R. China
    Copyright: © Ma et al. This is an open access article distributed under the terms of Creative Commons Attribution License.
  • Article Number: 6
    |
    Published online on: November 16, 2022
       https://doi.org/10.3892/etm.2022.11705
  • Expand metrics +
Metrics: Total Views: 0 (Spandidos Publications: | PMC Statistics: )
Metrics: Total PDF Downloads: 0 (Spandidos Publications: | PMC Statistics: )
Cited By (CrossRef): 0 citations Loading Articles...

This article is mentioned in:



Abstract

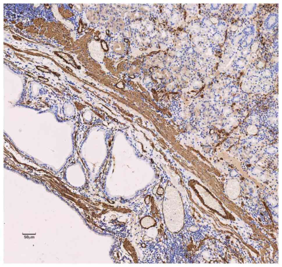
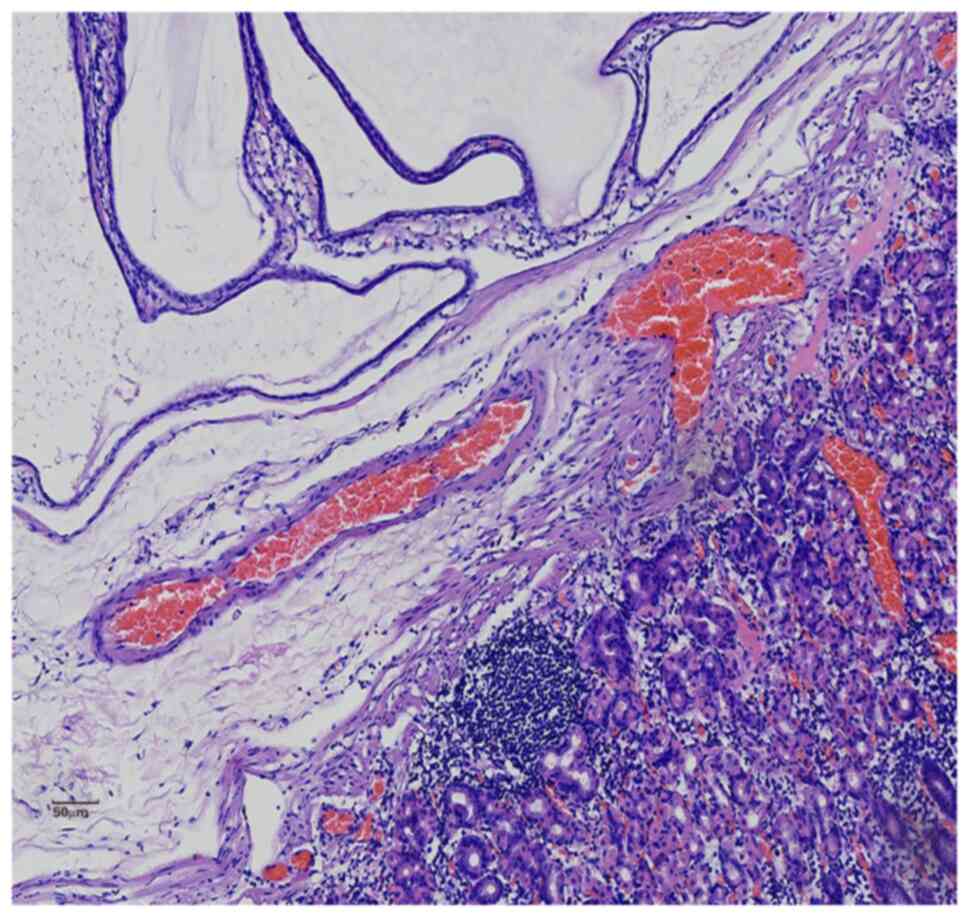
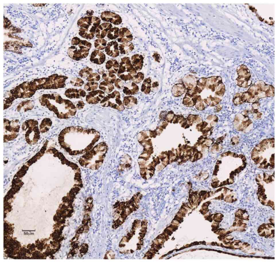
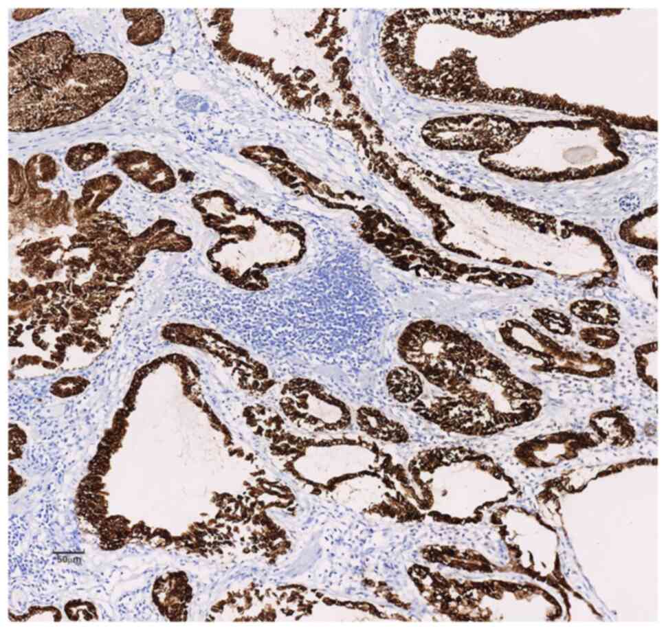
Inverted hyperplastic polyp (IHP) is a rare disease characterized by the downward growth of proliferative mucosal components into the submucosal layer. It is often misdiagnosed as other submucosal tumors and accurate diagnosis requires pathological examination. Most patients with IHP have no clinical symptoms and some have non‑specific symptoms, such as abdominal distension, abdominal pain and even anemia. IHP is treated via endoscopic mucosal resection or endoscopic sub‑mucosal section. The present study reported a case of IHP and discussed its clinical manifestations, clinicopathological diagnosis, differential diagnosis and treatment to improve our understanding of the disease.
View Figures

Figure 1

Figure 2

Figure 3

Figure 4

Figure 5

Figure 6

Figure 7

View References

1 

Kamata Y, Kurotaki H, Onodera T and Nishida N: An unusual heterotopia of pyloric glands of the stomach with inverted downgrowth. Acta Pathol Jpn. 43:192–197. 1993.PubMed/NCBI View Article : Google Scholar

2 

Hua HJ, Wu J, Li KD, Song GX and Li H: Analysis of clinicopathological characteristics of gastric-type inverted hyperplastic polyps. Zhonghua Bing Li Xue Za Zhi. 51:749–751. 2022.PubMed/NCBI View Article : Google Scholar : (In Chinese).

3 

Lee SJ, Park JK, Seo HI, Han KH, Kim YD, Jeong WJ, Cheon GJ and Eom DW: A case of gastric inverted hyperplastic polyp found with gastritis cystica profunda and early gastric cancer. Clin Endosc. 46:568–571. 2013.PubMed/NCBI View Article : Google Scholar

4 

Kim HS, Hwang EJ, Jang JY, Lee J and Kim YW: Multifocal adenocarcinomas arising within a gastric inverted hyperplastic polyp. Korean J Pathol. 46:387–391. 2012.PubMed/NCBI View Article : Google Scholar

5 

Itoh K, Tsuchigame T, Matsukawa T, Takahashi M, Honma K and Ishimaru Y: Unusual gastric polyp showing submucosal proliferation of glands: Case report and literature review. J Gastroenterol. 33:720–723. 1998.PubMed/NCBI View Article : Google Scholar

6 

Kim JY, Ahn S, Kim KM, Chang SH, Kim HS, Lee JH, Kim JJ, Sohn TS, Kang HJ and Joo M: Gastric inverted polyps-distinctive subepithelial lesions of the stomach: Clinicopathologic analysis of 12 cases with an emphasis on neoplastic potential. Am J Surg Pathol. 45:680–689. 2021.PubMed/NCBI View Article : Google Scholar

7 

Kono T, Imai Y, Ichihara T, Miyagawa K, Kanemitsu K, Ajiki T, Kawasaki K, Kamigaki T, Ikuta H, Ohbayashi C, et al: Adenocarcinoma arising in gastric inverted hyperplastic polyp: A case report and review of the literature. Pathol Res Pract. 203:53–56. 2007.PubMed/NCBI View Article : Google Scholar

8 

Yun JT, Lee SW, Kim DP, Choi SH, Kim SH, Park JK, Jang SH, Park YJ, Sung YG and Sul HJ: Gastric inverted hyperplastic polyp: A rare cause of iron deficiency anemia. World J Gastroenterol. 22:4066–4070. 2016.PubMed/NCBI View Article : Google Scholar

9 

Franzin G and Novelli P: Gastritis cystica profunda. Histopathology. 5:535–547. 1981.PubMed/NCBI View Article : Google Scholar

Related Articles

  • Abstract
  • View
  • Download
  • Twitter
Copy and paste a formatted citation
Spandidos Publications style
Ma Q, Gao L, Sun N, Chen Y, Liu L, Liu L, Guo W and Yang X: Gastric inverted hyperplastic polyp: A case report. Exp Ther Med 25: 6, 2023.
APA
Ma, Q., Gao, L., Sun, N., Chen, Y., Liu, L., Liu, L. ... Yang, X. (2023). Gastric inverted hyperplastic polyp: A case report. Experimental and Therapeutic Medicine, 25, 6. https://doi.org/10.3892/etm.2022.11705
MLA
Ma, Q., Gao, L., Sun, N., Chen, Y., Liu, L., Liu, L., Guo, W., Yang, X."Gastric inverted hyperplastic polyp: A case report". Experimental and Therapeutic Medicine 25.1 (2023): 6.
Chicago
Ma, Q., Gao, L., Sun, N., Chen, Y., Liu, L., Liu, L., Guo, W., Yang, X."Gastric inverted hyperplastic polyp: A case report". Experimental and Therapeutic Medicine 25, no. 1 (2023): 6. https://doi.org/10.3892/etm.2022.11705
Copy and paste a formatted citation
x
Spandidos Publications style
Ma Q, Gao L, Sun N, Chen Y, Liu L, Liu L, Guo W and Yang X: Gastric inverted hyperplastic polyp: A case report. Exp Ther Med 25: 6, 2023.
APA
Ma, Q., Gao, L., Sun, N., Chen, Y., Liu, L., Liu, L. ... Yang, X. (2023). Gastric inverted hyperplastic polyp: A case report. Experimental and Therapeutic Medicine, 25, 6. https://doi.org/10.3892/etm.2022.11705
MLA
Ma, Q., Gao, L., Sun, N., Chen, Y., Liu, L., Liu, L., Guo, W., Yang, X."Gastric inverted hyperplastic polyp: A case report". Experimental and Therapeutic Medicine 25.1 (2023): 6.
Chicago
Ma, Q., Gao, L., Sun, N., Chen, Y., Liu, L., Liu, L., Guo, W., Yang, X."Gastric inverted hyperplastic polyp: A case report". Experimental and Therapeutic Medicine 25, no. 1 (2023): 6. https://doi.org/10.3892/etm.2022.11705
Follow us
  • Twitter
  • LinkedIn
  • Facebook
About
  • Spandidos Publications
  • Careers
  • Cookie Policy
  • Privacy Policy
How can we help?
  • Help
  • Live Chat
  • Contact
  • Email to our Support Team