Spandidos Publications Logo
  • About
    • About Spandidos
    • Aims and Scopes
    • Abstracting and Indexing
    • Editorial Policies
    • Reprints and Permissions
    • Job Opportunities
    • Terms and Conditions
    • Contact
  • Journals
    • All Journals
    • Oncology Letters
      • Oncology Letters
      • Information for Authors
      • Editorial Policies
      • Editorial Board
      • Aims and Scope
      • Abstracting and Indexing
      • Bibliographic Information
      • Archive
    • International Journal of Oncology
      • International Journal of Oncology
      • Information for Authors
      • Editorial Policies
      • Editorial Board
      • Aims and Scope
      • Abstracting and Indexing
      • Bibliographic Information
      • Archive
    • Molecular and Clinical Oncology
      • Molecular and Clinical Oncology
      • Information for Authors
      • Editorial Policies
      • Editorial Board
      • Aims and Scope
      • Abstracting and Indexing
      • Bibliographic Information
      • Archive
    • Experimental and Therapeutic Medicine
      • Experimental and Therapeutic Medicine
      • Information for Authors
      • Editorial Policies
      • Editorial Board
      • Aims and Scope
      • Abstracting and Indexing
      • Bibliographic Information
      • Archive
    • International Journal of Molecular Medicine
      • International Journal of Molecular Medicine
      • Information for Authors
      • Editorial Policies
      • Editorial Board
      • Aims and Scope
      • Abstracting and Indexing
      • Bibliographic Information
      • Archive
    • Biomedical Reports
      • Biomedical Reports
      • Information for Authors
      • Editorial Policies
      • Editorial Board
      • Aims and Scope
      • Abstracting and Indexing
      • Bibliographic Information
      • Archive
    • Oncology Reports
      • Oncology Reports
      • Information for Authors
      • Editorial Policies
      • Editorial Board
      • Aims and Scope
      • Abstracting and Indexing
      • Bibliographic Information
      • Archive
    • Molecular Medicine Reports
      • Molecular Medicine Reports
      • Information for Authors
      • Editorial Policies
      • Editorial Board
      • Aims and Scope
      • Abstracting and Indexing
      • Bibliographic Information
      • Archive
    • World Academy of Sciences Journal
      • World Academy of Sciences Journal
      • Information for Authors
      • Editorial Policies
      • Editorial Board
      • Aims and Scope
      • Abstracting and Indexing
      • Bibliographic Information
      • Archive
    • International Journal of Functional Nutrition
      • International Journal of Functional Nutrition
      • Information for Authors
      • Editorial Policies
      • Editorial Board
      • Aims and Scope
      • Abstracting and Indexing
      • Bibliographic Information
      • Archive
    • International Journal of Epigenetics
      • International Journal of Epigenetics
      • Information for Authors
      • Editorial Policies
      • Editorial Board
      • Aims and Scope
      • Abstracting and Indexing
      • Bibliographic Information
      • Archive
    • Medicine International
      • Medicine International
      • Information for Authors
      • Editorial Policies
      • Editorial Board
      • Aims and Scope
      • Abstracting and Indexing
      • Bibliographic Information
      • Archive
  • Articles
  • Information
    • Information for Authors
    • Information for Reviewers
    • Information for Librarians
    • Information for Advertisers
    • Conferences
  • Language Editing
Spandidos Publications Logo
  • About
    • About Spandidos
    • Aims and Scopes
    • Abstracting and Indexing
    • Editorial Policies
    • Reprints and Permissions
    • Job Opportunities
    • Terms and Conditions
    • Contact
  • Journals
    • All Journals
    • Biomedical Reports
      • Information for Authors
      • Editorial Policies
      • Editorial Board
      • Aims and Scope
      • Abstracting and Indexing
      • Bibliographic Information
      • Archive
    • Experimental and Therapeutic Medicine
      • Information for Authors
      • Editorial Policies
      • Editorial Board
      • Aims and Scope
      • Abstracting and Indexing
      • Bibliographic Information
      • Archive
    • International Journal of Epigenetics
      • Information for Authors
      • Editorial Policies
      • Editorial Board
      • Aims and Scope
      • Abstracting and Indexing
      • Bibliographic Information
      • Archive
    • International Journal of Functional Nutrition
      • Information for Authors
      • Editorial Policies
      • Editorial Board
      • Aims and Scope
      • Abstracting and Indexing
      • Bibliographic Information
      • Archive
    • International Journal of Molecular Medicine
      • Information for Authors
      • Editorial Policies
      • Editorial Board
      • Aims and Scope
      • Abstracting and Indexing
      • Bibliographic Information
      • Archive
    • International Journal of Oncology
      • Information for Authors
      • Editorial Policies
      • Editorial Board
      • Aims and Scope
      • Abstracting and Indexing
      • Bibliographic Information
      • Archive
    • Medicine International
      • Information for Authors
      • Editorial Policies
      • Editorial Board
      • Aims and Scope
      • Abstracting and Indexing
      • Bibliographic Information
      • Archive
    • Molecular and Clinical Oncology
      • Information for Authors
      • Editorial Policies
      • Editorial Board
      • Aims and Scope
      • Abstracting and Indexing
      • Bibliographic Information
      • Archive
    • Molecular Medicine Reports
      • Information for Authors
      • Editorial Policies
      • Editorial Board
      • Aims and Scope
      • Abstracting and Indexing
      • Bibliographic Information
      • Archive
    • Oncology Letters
      • Information for Authors
      • Editorial Policies
      • Editorial Board
      • Aims and Scope
      • Abstracting and Indexing
      • Bibliographic Information
      • Archive
    • Oncology Reports
      • Information for Authors
      • Editorial Policies
      • Editorial Board
      • Aims and Scope
      • Abstracting and Indexing
      • Bibliographic Information
      • Archive
    • World Academy of Sciences Journal
      • Information for Authors
      • Editorial Policies
      • Editorial Board
      • Aims and Scope
      • Abstracting and Indexing
      • Bibliographic Information
      • Archive
  • Articles
  • Information
    • For Authors
    • For Reviewers
    • For Librarians
    • For Advertisers
    • Conferences
  • Language Editing
Login Register Submit
  • This site uses cookies
  • You can change your cookie settings at any time by following the instructions in our Cookie Policy. To find out more, you may read our Privacy Policy.

    I agree
Search articles by DOI, keyword, author or affiliation
Search
Advanced Search
presentation
Experimental and Therapeutic Medicine
Join Editorial Board Propose a Special Issue
Print ISSN: 1792-0981 Online ISSN: 1792-1015
Journal Cover
January-2023 Volume 25 Issue 1

Full Size Image

Sign up for eToc alerts
Recommend to Library

Journals

International Journal of Molecular Medicine

International Journal of Molecular Medicine

International Journal of Molecular Medicine is an international journal devoted to molecular mechanisms of human disease.

International Journal of Oncology

International Journal of Oncology

International Journal of Oncology is an international journal devoted to oncology research and cancer treatment.

Molecular Medicine Reports

Molecular Medicine Reports

Covers molecular medicine topics such as pharmacology, pathology, genetics, neuroscience, infectious diseases, molecular cardiology, and molecular surgery.

Oncology Reports

Oncology Reports

Oncology Reports is an international journal devoted to fundamental and applied research in Oncology.

Experimental and Therapeutic Medicine

Experimental and Therapeutic Medicine

Experimental and Therapeutic Medicine is an international journal devoted to laboratory and clinical medicine.

Oncology Letters

Oncology Letters

Oncology Letters is an international journal devoted to Experimental and Clinical Oncology.

Biomedical Reports

Biomedical Reports

Explores a wide range of biological and medical fields, including pharmacology, genetics, microbiology, neuroscience, and molecular cardiology.

Molecular and Clinical Oncology

Molecular and Clinical Oncology

International journal addressing all aspects of oncology research, from tumorigenesis and oncogenes to chemotherapy and metastasis.

World Academy of Sciences Journal

World Academy of Sciences Journal

Multidisciplinary open-access journal spanning biochemistry, genetics, neuroscience, environmental health, and synthetic biology.

International Journal of Functional Nutrition

International Journal of Functional Nutrition

Open-access journal combining biochemistry, pharmacology, immunology, and genetics to advance health through functional nutrition.

International Journal of Epigenetics

International Journal of Epigenetics

Publishes open-access research on using epigenetics to advance understanding and treatment of human disease.

Medicine International

Medicine International

An International Open Access Journal Devoted to General Medicine.

Journal Cover
January-2023 Volume 25 Issue 1

Full Size Image

Sign up for eToc alerts
Recommend to Library

  • Article
  • Citations
    • Cite This Article
    • Download Citation
    • Create Citation Alert
    • Remove Citation Alert
    • Cited By
  • Similar Articles
    • Related Articles (in Spandidos Publications)
    • Similar Articles (Google Scholar)
    • Similar Articles (PubMed)
  • Download PDF
  • Download XML
  • View XML
Case Report

Acquired benign tracheo‑oesophageal fistula secondary to oesophageal stenting for post lye ingestion stenosis: A case report

  • Authors:
    • Ciprian Bolca
    • Andrei Bobocea
    • George Cosoveanu
    • Mihai Alexe
    • Genoveva Cadar
    • Irina Balescu
    • Nicolae Bacalbasa
    • Florentina Gherghiceanu
    • Florentina Furtunescu
    • Daniel Radavoi
    • Cristian Paleru
    • Adrian Miron
    • Ioan Cordos
  • View Affiliations / Copyright

    Affiliations: Department of Thoracic Surgery, ‘Marius Nasta’ National Institute of Pneumology, Bucharest 050159, Romania, Department of Bronchology, ‘Marius Nasta’ National Institute of Pneumology, Bucharest 050159, Romania, Department of Intensive Care Unit, ‘Marius Nasta’ National Institute of Pneumology, Bucharest 050159, Romania, Department of Surgery, ‘Ponderas’ Academic Hospital, Bucharest 021188, Romania, Department of Obstetrics and Gynecology, ‘Carol Davila’ University of Medicine and Pharmacy, Bucharest 020021, Romania, Department of Marketing and Medical Technology, ‘Carol Davila’ University of Medicine and Pharmacy, Bucharest 020021, Romania, Department of Public Health and Management, ‘Carol Davila’ University of Medicine and Pharmacy, Bucharest 020021, Romania, Department of Urology, ‘Prof. Dr. Th. Burghele’ Clinical Hospital, Bucharest 050653, Romania, Department of Surgery, ‘Carol Davila’ University of Medicine and Pharmacy, Bucharest 020021, Romania
  • Article Number: 15
    |
    Published online on: November 21, 2022
       https://doi.org/10.3892/etm.2022.11714
  • Expand metrics +
Metrics: Total Views: 0 (Spandidos Publications: | PMC Statistics: )
Metrics: Total PDF Downloads: 0 (Spandidos Publications: | PMC Statistics: )
Cited By (CrossRef): 0 citations Loading Articles...

This article is mentioned in:



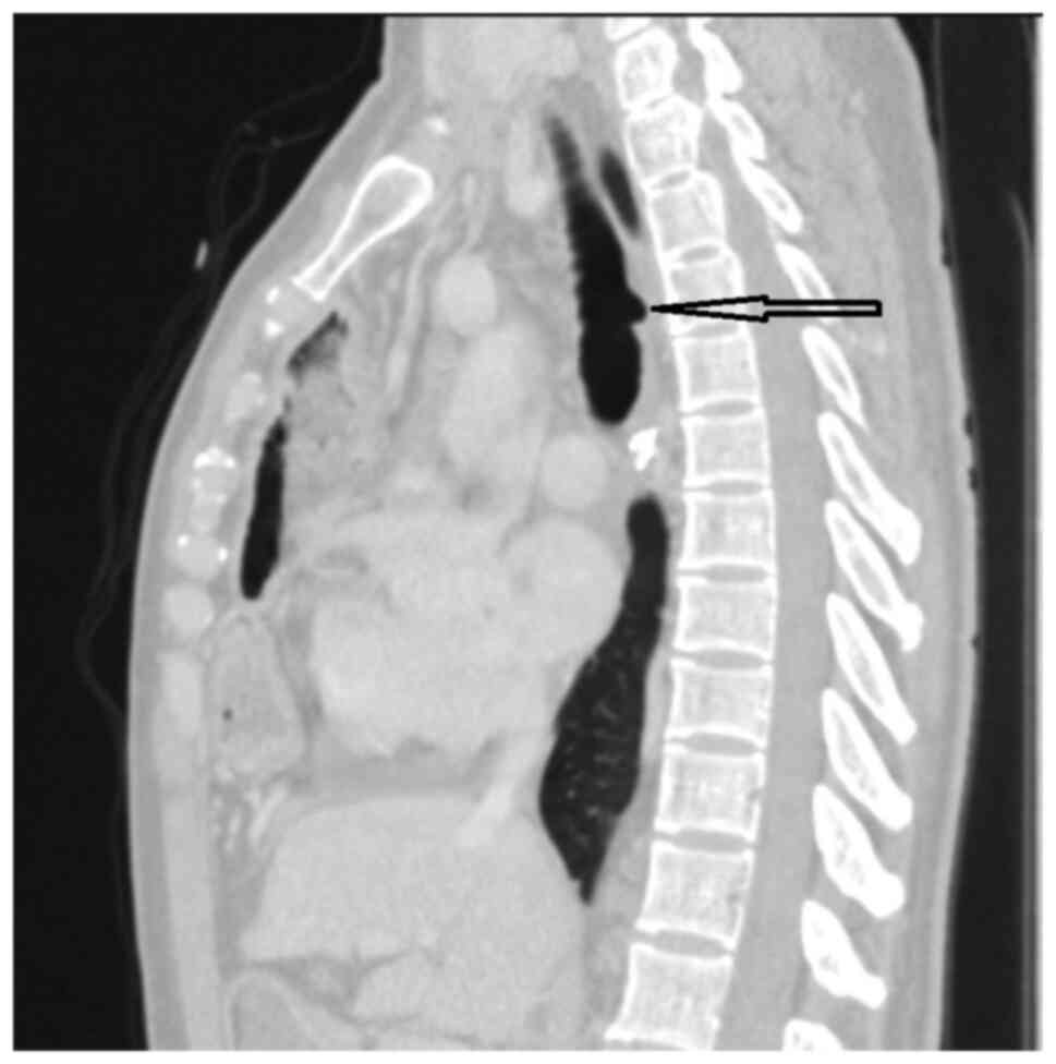
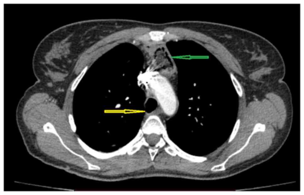
Abstract

Acquired benign trachea‑oesophageal fistula is a rare benign pathological entity with varying aetiologies that most often occurs post‑intubation. This case report presents the case of a female patient, 31 years old, admitted to the emergency room with sepsis syndrome following bilateral aspiration pneumonia caused by a large trachea‑oesophageal fistula. The fistula was the result of intra‑tracheal migration of an oesophageal stent placed for post lye ingestion stenosis. Esophageal diversion and partial resection with oesophageal patch to repair the tracheal defect, under general anaesthesia with ventilation using rigid bronchoscopy and high frequency jet ventilation (HFJV), followed at a later date by esophageal replacement with colic graft were the procedures performed with a view to curing the patient. In conclusion, complex cases always require a tailored approach. It is important to note that HFJV may be applied for a longer period of time and the oesophagus can be used as patch for the posterior tracheal wall in selected cases. Staged surgery is also an option when the patients' poor health status does not permit major surgery.
View Figures

Figure 1

Figure 2

Figure 3

Figure 4

Figure 5

View References

1 

Reed MF and Mathisen DJ: Tracheoesophageal fistula. Chest Surg Clin N Am. 13:271–289. 2003.PubMed/NCBI View Article : Google Scholar

2 

Shu YS, Sun C, Shi WP, Shi HC, Lu SC and Wang K: Tubular stomach or whole stomach for esophagectomy through cervico-thoraco-abdominal approach: A comparative clinical study on anastomotic leakage. Ir J Med Sci. 182:477–480. 2013.PubMed/NCBI View Article : Google Scholar

3 

Bakken JC, Wong Kee Song LM, de Groen PC and Baron TH: Use of a fully covered self-expandable metal stent for the treatment of benign esophageal diseases. Gastrointest Endosc. 72:712–720. 2010.PubMed/NCBI View Article : Google Scholar

4 

Farkas ZC, Pal S, Jolly GP, Lim MMD, Malik A and Malekan R: Esophagopericardial fistula and pneumopericardium from caustic ingestion and esophageal stent. Ann Thorac Surg. 107:e207–e208. 2019.PubMed/NCBI View Article : Google Scholar

5 

Aneeshkumar S, Sundararajan L, Santosham R, Palaniappan R and Dhus U: Erosion of esophageal stent into left main bronchus causing airway compromise. Lung India. 34:76–78. 2017.PubMed/NCBI View Article : Google Scholar

6 

Cordos I, Bolca C, Paleru C, Posea R and Stoica R: Sixty tracheal resections-single center experience. Interact Cardiovasc Thorac Surg. 8:62–65. 2009.PubMed/NCBI View Article : Google Scholar

7 

Couraud L, Jougon JB and Velly JF: Surgical treatment of nontumoral stenoses of the upper airway. Ann Thorac Surg. 60:250–260. 1995.PubMed/NCBI View Article : Google Scholar

8 

Stoica RT, Cordos I and Popescu WM: Anesthetic considerations for tracheobronchial resection in oncologic surgery. Curr Opin Anaesthesiol. 33:55–63. 2020.PubMed/NCBI View Article : Google Scholar

9 

He J, Chen M, Shao W and Wang D: Surgical management of huge tracheo-oesophageal fistula with oesophagus segment in situ as replacement of the posterior membranous wall of the trachea. Eur J Cardiothorac Surg. 36:600–602. 2009.PubMed/NCBI View Article : Google Scholar

10 

de Castro G, Iribarren M, Rivo E, Meléndez R, Nóvoa E, Cañizares M and Gil P: Tracheoesophageal fistula in an intubated patient. Treatment through exclusion and esophageal patch. Cir Esp. 77:230–232. 2005.PubMed/NCBI View Article : Google Scholar : (In Spanish).

11 

Oesophago-Gastric Anastomosis Study Group on behalf of the West Midlands Research Collaborative. International variation in surgical practices in units performing oesophagectomy for oesophageal cancer: A unit survey from the oesophago-gastric anastomosis audit (OGAA). World J Surg. 43:2874–2884. 2019.PubMed/NCBI View Article : Google Scholar

12 

Erus S, Öztürk AB, Albayrak Ö, İncir S, Kapdağlı MH, Cesur EE, Yavuz Ö, Tanju S and Dilege Ş: Immune profiling after minimally invasive lobectomy. Interact Cardiovasc Thorac Surg. 32:291–297. 2021.PubMed/NCBI View Article : Google Scholar

Related Articles

  • Abstract
  • View
  • Download
  • Twitter
Copy and paste a formatted citation
Spandidos Publications style
Bolca C, Bobocea A, Cosoveanu G, Alexe M, Cadar G, Balescu I, Bacalbasa N, Gherghiceanu F, Furtunescu F, Radavoi D, Radavoi D, et al: Acquired benign tracheo‑oesophageal fistula secondary to oesophageal stenting for post lye ingestion stenosis: A case report. Exp Ther Med 25: 15, 2023.
APA
Bolca, C., Bobocea, A., Cosoveanu, G., Alexe, M., Cadar, G., Balescu, I. ... Cordos, I. (2023). Acquired benign tracheo‑oesophageal fistula secondary to oesophageal stenting for post lye ingestion stenosis: A case report. Experimental and Therapeutic Medicine, 25, 15. https://doi.org/10.3892/etm.2022.11714
MLA
Bolca, C., Bobocea, A., Cosoveanu, G., Alexe, M., Cadar, G., Balescu, I., Bacalbasa, N., Gherghiceanu, F., Furtunescu, F., Radavoi, D., Paleru, C., Miron, A., Cordos, I."Acquired benign tracheo‑oesophageal fistula secondary to oesophageal stenting for post lye ingestion stenosis: A case report". Experimental and Therapeutic Medicine 25.1 (2023): 15.
Chicago
Bolca, C., Bobocea, A., Cosoveanu, G., Alexe, M., Cadar, G., Balescu, I., Bacalbasa, N., Gherghiceanu, F., Furtunescu, F., Radavoi, D., Paleru, C., Miron, A., Cordos, I."Acquired benign tracheo‑oesophageal fistula secondary to oesophageal stenting for post lye ingestion stenosis: A case report". Experimental and Therapeutic Medicine 25, no. 1 (2023): 15. https://doi.org/10.3892/etm.2022.11714
Copy and paste a formatted citation
x
Spandidos Publications style
Bolca C, Bobocea A, Cosoveanu G, Alexe M, Cadar G, Balescu I, Bacalbasa N, Gherghiceanu F, Furtunescu F, Radavoi D, Radavoi D, et al: Acquired benign tracheo‑oesophageal fistula secondary to oesophageal stenting for post lye ingestion stenosis: A case report. Exp Ther Med 25: 15, 2023.
APA
Bolca, C., Bobocea, A., Cosoveanu, G., Alexe, M., Cadar, G., Balescu, I. ... Cordos, I. (2023). Acquired benign tracheo‑oesophageal fistula secondary to oesophageal stenting for post lye ingestion stenosis: A case report. Experimental and Therapeutic Medicine, 25, 15. https://doi.org/10.3892/etm.2022.11714
MLA
Bolca, C., Bobocea, A., Cosoveanu, G., Alexe, M., Cadar, G., Balescu, I., Bacalbasa, N., Gherghiceanu, F., Furtunescu, F., Radavoi, D., Paleru, C., Miron, A., Cordos, I."Acquired benign tracheo‑oesophageal fistula secondary to oesophageal stenting for post lye ingestion stenosis: A case report". Experimental and Therapeutic Medicine 25.1 (2023): 15.
Chicago
Bolca, C., Bobocea, A., Cosoveanu, G., Alexe, M., Cadar, G., Balescu, I., Bacalbasa, N., Gherghiceanu, F., Furtunescu, F., Radavoi, D., Paleru, C., Miron, A., Cordos, I."Acquired benign tracheo‑oesophageal fistula secondary to oesophageal stenting for post lye ingestion stenosis: A case report". Experimental and Therapeutic Medicine 25, no. 1 (2023): 15. https://doi.org/10.3892/etm.2022.11714
Follow us
  • Twitter
  • LinkedIn
  • Facebook
About
  • Spandidos Publications
  • Careers
  • Cookie Policy
  • Privacy Policy
How can we help?
  • Help
  • Live Chat
  • Contact
  • Email to our Support Team