Spandidos Publications Logo
  • About
    • About Spandidos
    • Aims and Scopes
    • Abstracting and Indexing
    • Editorial Policies
    • Reprints and Permissions
    • Job Opportunities
    • Terms and Conditions
    • Contact
  • Journals
    • All Journals
    • Oncology Letters
      • Oncology Letters
      • Information for Authors
      • Editorial Policies
      • Editorial Board
      • Aims and Scope
      • Abstracting and Indexing
      • Bibliographic Information
      • Archive
    • International Journal of Oncology
      • International Journal of Oncology
      • Information for Authors
      • Editorial Policies
      • Editorial Board
      • Aims and Scope
      • Abstracting and Indexing
      • Bibliographic Information
      • Archive
    • Molecular and Clinical Oncology
      • Molecular and Clinical Oncology
      • Information for Authors
      • Editorial Policies
      • Editorial Board
      • Aims and Scope
      • Abstracting and Indexing
      • Bibliographic Information
      • Archive
    • Experimental and Therapeutic Medicine
      • Experimental and Therapeutic Medicine
      • Information for Authors
      • Editorial Policies
      • Editorial Board
      • Aims and Scope
      • Abstracting and Indexing
      • Bibliographic Information
      • Archive
    • International Journal of Molecular Medicine
      • International Journal of Molecular Medicine
      • Information for Authors
      • Editorial Policies
      • Editorial Board
      • Aims and Scope
      • Abstracting and Indexing
      • Bibliographic Information
      • Archive
    • Biomedical Reports
      • Biomedical Reports
      • Information for Authors
      • Editorial Policies
      • Editorial Board
      • Aims and Scope
      • Abstracting and Indexing
      • Bibliographic Information
      • Archive
    • Oncology Reports
      • Oncology Reports
      • Information for Authors
      • Editorial Policies
      • Editorial Board
      • Aims and Scope
      • Abstracting and Indexing
      • Bibliographic Information
      • Archive
    • Molecular Medicine Reports
      • Molecular Medicine Reports
      • Information for Authors
      • Editorial Policies
      • Editorial Board
      • Aims and Scope
      • Abstracting and Indexing
      • Bibliographic Information
      • Archive
    • World Academy of Sciences Journal
      • World Academy of Sciences Journal
      • Information for Authors
      • Editorial Policies
      • Editorial Board
      • Aims and Scope
      • Abstracting and Indexing
      • Bibliographic Information
      • Archive
    • International Journal of Functional Nutrition
      • International Journal of Functional Nutrition
      • Information for Authors
      • Editorial Policies
      • Editorial Board
      • Aims and Scope
      • Abstracting and Indexing
      • Bibliographic Information
      • Archive
    • International Journal of Epigenetics
      • International Journal of Epigenetics
      • Information for Authors
      • Editorial Policies
      • Editorial Board
      • Aims and Scope
      • Abstracting and Indexing
      • Bibliographic Information
      • Archive
    • Medicine International
      • Medicine International
      • Information for Authors
      • Editorial Policies
      • Editorial Board
      • Aims and Scope
      • Abstracting and Indexing
      • Bibliographic Information
      • Archive
  • Articles
  • Information
    • Information for Authors
    • Information for Reviewers
    • Information for Librarians
    • Information for Advertisers
    • Conferences
  • Language Editing
Spandidos Publications Logo
  • About
    • About Spandidos
    • Aims and Scopes
    • Abstracting and Indexing
    • Editorial Policies
    • Reprints and Permissions
    • Job Opportunities
    • Terms and Conditions
    • Contact
  • Journals
    • All Journals
    • Biomedical Reports
      • Information for Authors
      • Editorial Policies
      • Editorial Board
      • Aims and Scope
      • Abstracting and Indexing
      • Bibliographic Information
      • Archive
    • Experimental and Therapeutic Medicine
      • Information for Authors
      • Editorial Policies
      • Editorial Board
      • Aims and Scope
      • Abstracting and Indexing
      • Bibliographic Information
      • Archive
    • International Journal of Epigenetics
      • Information for Authors
      • Editorial Policies
      • Editorial Board
      • Aims and Scope
      • Abstracting and Indexing
      • Bibliographic Information
      • Archive
    • International Journal of Functional Nutrition
      • Information for Authors
      • Editorial Policies
      • Editorial Board
      • Aims and Scope
      • Abstracting and Indexing
      • Bibliographic Information
      • Archive
    • International Journal of Molecular Medicine
      • Information for Authors
      • Editorial Policies
      • Editorial Board
      • Aims and Scope
      • Abstracting and Indexing
      • Bibliographic Information
      • Archive
    • International Journal of Oncology
      • Information for Authors
      • Editorial Policies
      • Editorial Board
      • Aims and Scope
      • Abstracting and Indexing
      • Bibliographic Information
      • Archive
    • Medicine International
      • Information for Authors
      • Editorial Policies
      • Editorial Board
      • Aims and Scope
      • Abstracting and Indexing
      • Bibliographic Information
      • Archive
    • Molecular and Clinical Oncology
      • Information for Authors
      • Editorial Policies
      • Editorial Board
      • Aims and Scope
      • Abstracting and Indexing
      • Bibliographic Information
      • Archive
    • Molecular Medicine Reports
      • Information for Authors
      • Editorial Policies
      • Editorial Board
      • Aims and Scope
      • Abstracting and Indexing
      • Bibliographic Information
      • Archive
    • Oncology Letters
      • Information for Authors
      • Editorial Policies
      • Editorial Board
      • Aims and Scope
      • Abstracting and Indexing
      • Bibliographic Information
      • Archive
    • Oncology Reports
      • Information for Authors
      • Editorial Policies
      • Editorial Board
      • Aims and Scope
      • Abstracting and Indexing
      • Bibliographic Information
      • Archive
    • World Academy of Sciences Journal
      • Information for Authors
      • Editorial Policies
      • Editorial Board
      • Aims and Scope
      • Abstracting and Indexing
      • Bibliographic Information
      • Archive
  • Articles
  • Information
    • For Authors
    • For Reviewers
    • For Librarians
    • For Advertisers
    • Conferences
  • Language Editing
Login Register Submit
  • This site uses cookies
  • You can change your cookie settings at any time by following the instructions in our Cookie Policy. To find out more, you may read our Privacy Policy.

    I agree
Search articles by DOI, keyword, author or affiliation
Search
Advanced Search
presentation
Experimental and Therapeutic Medicine
Join Editorial Board Propose a Special Issue
Print ISSN: 1792-0981 Online ISSN: 1792-1015
Journal Cover
February-2023 Volume 25 Issue 2

Full Size Image

Sign up for eToc alerts
Recommend to Library

Journals

International Journal of Molecular Medicine

International Journal of Molecular Medicine

International Journal of Molecular Medicine is an international journal devoted to molecular mechanisms of human disease.

International Journal of Oncology

International Journal of Oncology

International Journal of Oncology is an international journal devoted to oncology research and cancer treatment.

Molecular Medicine Reports

Molecular Medicine Reports

Covers molecular medicine topics such as pharmacology, pathology, genetics, neuroscience, infectious diseases, molecular cardiology, and molecular surgery.

Oncology Reports

Oncology Reports

Oncology Reports is an international journal devoted to fundamental and applied research in Oncology.

Experimental and Therapeutic Medicine

Experimental and Therapeutic Medicine

Experimental and Therapeutic Medicine is an international journal devoted to laboratory and clinical medicine.

Oncology Letters

Oncology Letters

Oncology Letters is an international journal devoted to Experimental and Clinical Oncology.

Biomedical Reports

Biomedical Reports

Explores a wide range of biological and medical fields, including pharmacology, genetics, microbiology, neuroscience, and molecular cardiology.

Molecular and Clinical Oncology

Molecular and Clinical Oncology

International journal addressing all aspects of oncology research, from tumorigenesis and oncogenes to chemotherapy and metastasis.

World Academy of Sciences Journal

World Academy of Sciences Journal

Multidisciplinary open-access journal spanning biochemistry, genetics, neuroscience, environmental health, and synthetic biology.

International Journal of Functional Nutrition

International Journal of Functional Nutrition

Open-access journal combining biochemistry, pharmacology, immunology, and genetics to advance health through functional nutrition.

International Journal of Epigenetics

International Journal of Epigenetics

Publishes open-access research on using epigenetics to advance understanding and treatment of human disease.

Medicine International

Medicine International

An International Open Access Journal Devoted to General Medicine.

Journal Cover
February-2023 Volume 25 Issue 2

Full Size Image

Sign up for eToc alerts
Recommend to Library

  • Article
  • Citations
    • Cite This Article
    • Download Citation
    • Create Citation Alert
    • Remove Citation Alert
    • Cited By
  • Similar Articles
    • Related Articles (in Spandidos Publications)
    • Similar Articles (Google Scholar)
    • Similar Articles (PubMed)
  • Download PDF
  • Download XML
  • View XML
Case Report Open Access

B‑cell lymphoblastic lymphoma‑associated renal damage: A case report and literature review

  • Authors:
    • Yonghong Jian
    • Guohua Ding
    • Dingping Yang
    • Juan Du
  • View Affiliations / Copyright

    Affiliations: Department of Nephrology, Renmin Hospital of Wuhan University, Wuhan, Hubei 430060, P.R. China
    Copyright: © Jian et al. This is an open access article distributed under the terms of Creative Commons Attribution License.
  • Article Number: 85
    |
    Published online on: January 3, 2023
       https://doi.org/10.3892/etm.2023.11784
  • Expand metrics +
Metrics: Total Views: 0 (Spandidos Publications: | PMC Statistics: )
Metrics: Total PDF Downloads: 0 (Spandidos Publications: | PMC Statistics: )
Cited By (CrossRef): 0 citations Loading Articles...

This article is mentioned in:



Abstract

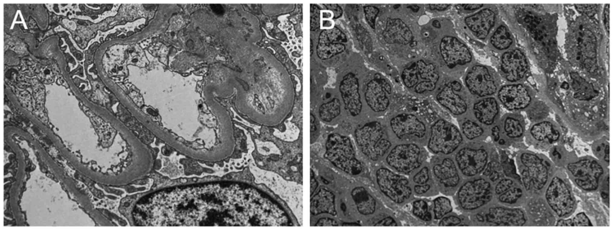
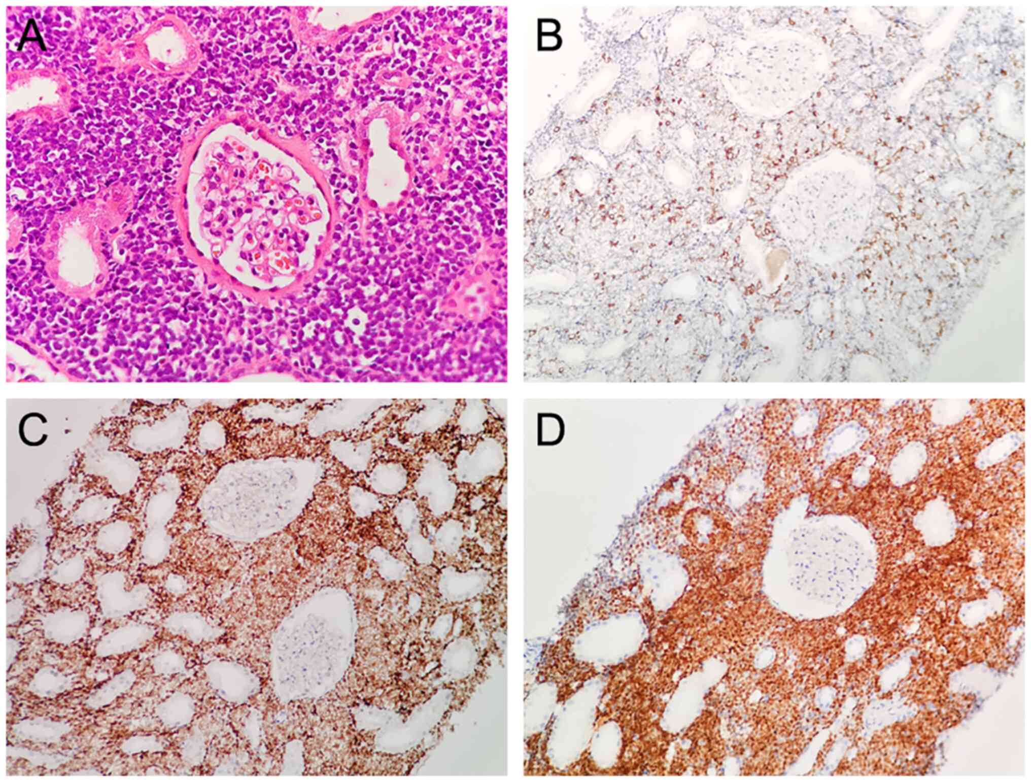
Lymphoblastic lymphoma (LBL) is a highly malignant form of lymphoma with rapid progression and high mortality. According to the World Health Organization immunophenotype, it is classified into T‑lymphoblastic lymphoma (T‑LBL) and B‑lymphoblastic lymphoma (B‑LBL). B‑LBL often involves lymph nodes and extranodal locations, such as the skin, bones, and soft tissues. However, renal damage as an initial symptom is very rare in B‑LBL. The present study presented a rare case of renal involvement in a 30‑year‑old male patient with B‑LBL presenting with acute renal failure with bilateral renal enlargement. Renal involvement is rare in B‑LBL, and nephrologists should improve the understanding of this disease.
View Figures

Figure 1

Figure 2

Figure 3

Figure 4

View References

1 

Richmond J, Sherman RS, Diamond HD and Craver LF: Renal lesions associated with malignant lymphomas. Am J Med. 32:184–207. 1962.PubMed/NCBI View Article : Google Scholar

2 

Obrador GT, Price B, Omeara Y and Salant DJ: Acute renal failure due to lymphomatous infiltration of the kidneys. J Am Soc Nephrol. 8:1348–1353. 1997.PubMed/NCBI View Article : Google Scholar

3 

Morel P, Dupriez B, Herbrecht R, Bastion Y, Tilly H, Delannoy A, Haioun C, Nouvel C and Bouabdallah K: Aggressive lymphomas with renal involvement-a study of 48 patients treated with the lnh-84 and lnh-87 regimens. Br J Cancer. 70:154–159. 1994.PubMed/NCBI View Article : Google Scholar

4 

Kandel LB, Mccullough DL, Harrison LH, Woodruff RD, Ahl ET Jr and Munitz HA: Primary renal lymphoma-does it exist. Cancer. 60:386–391. 1987.PubMed/NCBI View Article : Google Scholar

5 

Olusanya AA, Huff G, Adeleye O, Faulkner M, Burnette R, Thompson H, Adeola T and Woods K: Primary renal non-Hodgkins lymphoma presenting with acute renal failure. J Natl Med Assoc. 95:220–224. 2003.PubMed/NCBI

6 

Betta PG, Bottero G, Cosimi MF and Musante F: Primary renal lymphoma. Eur Urol. 12:352–354. 1986.PubMed/NCBI View Article : Google Scholar

7 

Geethakumari PR, Hoffmann MS, Pemmaraju N, Hu S, Jorgensen JL, O'Brien S and Daver N: Extramedullary B lymphoblastic leukemia/lymphoma (B-ALL/B-LBL): A diagnostic challenge. Clin Lymphoma Myeloma Leuk. 14:e115–e118. 2014.PubMed/NCBI View Article : Google Scholar

8 

Zhang L, Feng Y, Cheng N, Zou Q, Lai W and Liu JJ: A case of renal involvement in b lymphoblastic lymphoma leukemia. Clin Lab. 65:177–180. 2019.PubMed/NCBI View Article : Google Scholar

9 

Soslow RA, Baergen RN and Warnke RA: B-lineage lymphoblastic lymphoma is a clinicopathologic entity distinct from other histologically similar aggressive lymphomas with blastic morphology. Cancer. 85:2648–2654. 1999.PubMed/NCBI

10 

Rajakumar V, Balaraman V, Balasubramaniam R, Shankar S, Ganesan TS and Kurien AA: Lymphoblastic lymphoma presenting as bilateral renal enlargement diagnosed by percutaneous kidney biopsy: Report of three cases. Indian J Nephrol. 26:298–301. 2016.PubMed/NCBI View Article : Google Scholar

11 

Hande KR and Garrow GC: Acute tumor lysis syndrome in patients with high-grade non-hodgkins-lymphoma. Am J Med. 94:133–139. 1993.PubMed/NCBI View Article : Google Scholar

12 

Sheibani K, Battifora H, Winberg CD, Burke JS, Ben-Ezra J, Ellinger GM, Quigley NJ, Fernandez BB, Morrow D and Rappaport H: Further evidence that malignant angioendotheliomatosis is an angiotropic large-cell lymphoma. N Engl J Med. 314:943–948. 1986.PubMed/NCBI View Article : Google Scholar

13 

Ferry JA, Harris NL, Papanicolaou N and Young RH: Lymphoma of the kidney-a report of 11 cases. Am J Surg Pathol. 19:134–144. 1995.PubMed/NCBI View Article : Google Scholar

14 

Tornroth T, Heiro M, Marcussen N and Franssila K: Lymphomas diagnosed by percutaneous kidney biopsy. Am J Kidney Dis. 42:960–971. 2003.PubMed/NCBI View Article : Google Scholar

15 

Brouland JP, Meeus F, Rossert J, Hernigou A, Gentric D, Jacquot C, Diebold J and Nochy D: Primary bilateral b-cell renal lymphoma-a case-report and review of the literature. Am J Kidney Dis. 24:586–589. 1994.PubMed/NCBI View Article : Google Scholar

16 

Boye J, Elter T and Engert A: An overview of the current clinical use of the anti-CD20 monoclonal antibody rituximab. Ann Oncol. 14:520–535. 2003.PubMed/NCBI View Article : Google Scholar

17 

Al-Salam S, Shaaban A, Alketbi M, Haq NU and Abouchacra S: Acute kidney injury secondary to renal large B-cell lymphoma: Role of early renal biopsy. Int Urol Nephrol. 43:237–240. 2011.PubMed/NCBI View Article : Google Scholar

18 

Tai WM, Chung J, Tang PL, Koo YX, Hou X, Tay KW, Quek R, Tao M and Lim ST: Central nervous system (CNS) relapse in diffuse large B cell lymphoma (DLBCL): Pre- and post-rituximab. Ann Hematol. 90:809–818. 2011.PubMed/NCBI View Article : Google Scholar

19 

Villa D, Connors JM, Shenkier TN, Gascoyne RD, Sehn LH and Savage KJ: Incidence and risk factors for central nervous system relapse in patients with diffuse large B-cell lymphoma: The impact of the addition of rituximab to CHOP chemotherapy. Ann Oncol. 21:1046–1052. 2010.PubMed/NCBI View Article : Google Scholar

20 

Cassaday RD, Stevenson PA, Wood BL, Becker PS, Hendrie PC, Sandmaier BM, Radich JL and Shustov AR: Description and prognostic significance of the kinetics of minimal residual disease status in adults with acute lymphoblastic leukemia treated with HyperCVAD. Am J Hematol. 93:546–552. 2018.PubMed/NCBI View Article : Google Scholar

Related Articles

  • Abstract
  • View
  • Download
  • Twitter
Copy and paste a formatted citation
Spandidos Publications style
Jian Y, Ding G, Yang D and Du J: B‑cell lymphoblastic lymphoma‑associated renal damage: A case report and literature review. Exp Ther Med 25: 85, 2023.
APA
Jian, Y., Ding, G., Yang, D., & Du, J. (2023). B‑cell lymphoblastic lymphoma‑associated renal damage: A case report and literature review. Experimental and Therapeutic Medicine, 25, 85. https://doi.org/10.3892/etm.2023.11784
MLA
Jian, Y., Ding, G., Yang, D., Du, J."B‑cell lymphoblastic lymphoma‑associated renal damage: A case report and literature review". Experimental and Therapeutic Medicine 25.2 (2023): 85.
Chicago
Jian, Y., Ding, G., Yang, D., Du, J."B‑cell lymphoblastic lymphoma‑associated renal damage: A case report and literature review". Experimental and Therapeutic Medicine 25, no. 2 (2023): 85. https://doi.org/10.3892/etm.2023.11784
Copy and paste a formatted citation
x
Spandidos Publications style
Jian Y, Ding G, Yang D and Du J: B‑cell lymphoblastic lymphoma‑associated renal damage: A case report and literature review. Exp Ther Med 25: 85, 2023.
APA
Jian, Y., Ding, G., Yang, D., & Du, J. (2023). B‑cell lymphoblastic lymphoma‑associated renal damage: A case report and literature review. Experimental and Therapeutic Medicine, 25, 85. https://doi.org/10.3892/etm.2023.11784
MLA
Jian, Y., Ding, G., Yang, D., Du, J."B‑cell lymphoblastic lymphoma‑associated renal damage: A case report and literature review". Experimental and Therapeutic Medicine 25.2 (2023): 85.
Chicago
Jian, Y., Ding, G., Yang, D., Du, J."B‑cell lymphoblastic lymphoma‑associated renal damage: A case report and literature review". Experimental and Therapeutic Medicine 25, no. 2 (2023): 85. https://doi.org/10.3892/etm.2023.11784
Follow us
  • Twitter
  • LinkedIn
  • Facebook
About
  • Spandidos Publications
  • Careers
  • Cookie Policy
  • Privacy Policy
How can we help?
  • Help
  • Live Chat
  • Contact
  • Email to our Support Team