Spandidos Publications Logo
  • About
    • About Spandidos
    • Aims and Scopes
    • Abstracting and Indexing
    • Editorial Policies
    • Reprints and Permissions
    • Job Opportunities
    • Terms and Conditions
    • Contact
  • Journals
    • All Journals
    • Oncology Letters
      • Oncology Letters
      • Information for Authors
      • Editorial Policies
      • Editorial Board
      • Aims and Scope
      • Abstracting and Indexing
      • Bibliographic Information
      • Archive
    • International Journal of Oncology
      • International Journal of Oncology
      • Information for Authors
      • Editorial Policies
      • Editorial Board
      • Aims and Scope
      • Abstracting and Indexing
      • Bibliographic Information
      • Archive
    • Molecular and Clinical Oncology
      • Molecular and Clinical Oncology
      • Information for Authors
      • Editorial Policies
      • Editorial Board
      • Aims and Scope
      • Abstracting and Indexing
      • Bibliographic Information
      • Archive
    • Experimental and Therapeutic Medicine
      • Experimental and Therapeutic Medicine
      • Information for Authors
      • Editorial Policies
      • Editorial Board
      • Aims and Scope
      • Abstracting and Indexing
      • Bibliographic Information
      • Archive
    • International Journal of Molecular Medicine
      • International Journal of Molecular Medicine
      • Information for Authors
      • Editorial Policies
      • Editorial Board
      • Aims and Scope
      • Abstracting and Indexing
      • Bibliographic Information
      • Archive
    • Biomedical Reports
      • Biomedical Reports
      • Information for Authors
      • Editorial Policies
      • Editorial Board
      • Aims and Scope
      • Abstracting and Indexing
      • Bibliographic Information
      • Archive
    • Oncology Reports
      • Oncology Reports
      • Information for Authors
      • Editorial Policies
      • Editorial Board
      • Aims and Scope
      • Abstracting and Indexing
      • Bibliographic Information
      • Archive
    • Molecular Medicine Reports
      • Molecular Medicine Reports
      • Information for Authors
      • Editorial Policies
      • Editorial Board
      • Aims and Scope
      • Abstracting and Indexing
      • Bibliographic Information
      • Archive
    • World Academy of Sciences Journal
      • World Academy of Sciences Journal
      • Information for Authors
      • Editorial Policies
      • Editorial Board
      • Aims and Scope
      • Abstracting and Indexing
      • Bibliographic Information
      • Archive
    • International Journal of Functional Nutrition
      • International Journal of Functional Nutrition
      • Information for Authors
      • Editorial Policies
      • Editorial Board
      • Aims and Scope
      • Abstracting and Indexing
      • Bibliographic Information
      • Archive
    • International Journal of Epigenetics
      • International Journal of Epigenetics
      • Information for Authors
      • Editorial Policies
      • Editorial Board
      • Aims and Scope
      • Abstracting and Indexing
      • Bibliographic Information
      • Archive
    • Medicine International
      • Medicine International
      • Information for Authors
      • Editorial Policies
      • Editorial Board
      • Aims and Scope
      • Abstracting and Indexing
      • Bibliographic Information
      • Archive
  • Articles
  • Information
    • Information for Authors
    • Information for Reviewers
    • Information for Librarians
    • Information for Advertisers
    • Conferences
  • Language Editing
Spandidos Publications Logo
  • About
    • About Spandidos
    • Aims and Scopes
    • Abstracting and Indexing
    • Editorial Policies
    • Reprints and Permissions
    • Job Opportunities
    • Terms and Conditions
    • Contact
  • Journals
    • All Journals
    • Biomedical Reports
      • Information for Authors
      • Editorial Policies
      • Editorial Board
      • Aims and Scope
      • Abstracting and Indexing
      • Bibliographic Information
      • Archive
    • Experimental and Therapeutic Medicine
      • Information for Authors
      • Editorial Policies
      • Editorial Board
      • Aims and Scope
      • Abstracting and Indexing
      • Bibliographic Information
      • Archive
    • International Journal of Epigenetics
      • Information for Authors
      • Editorial Policies
      • Editorial Board
      • Aims and Scope
      • Abstracting and Indexing
      • Bibliographic Information
      • Archive
    • International Journal of Functional Nutrition
      • Information for Authors
      • Editorial Policies
      • Editorial Board
      • Aims and Scope
      • Abstracting and Indexing
      • Bibliographic Information
      • Archive
    • International Journal of Molecular Medicine
      • Information for Authors
      • Editorial Policies
      • Editorial Board
      • Aims and Scope
      • Abstracting and Indexing
      • Bibliographic Information
      • Archive
    • International Journal of Oncology
      • Information for Authors
      • Editorial Policies
      • Editorial Board
      • Aims and Scope
      • Abstracting and Indexing
      • Bibliographic Information
      • Archive
    • Medicine International
      • Information for Authors
      • Editorial Policies
      • Editorial Board
      • Aims and Scope
      • Abstracting and Indexing
      • Bibliographic Information
      • Archive
    • Molecular and Clinical Oncology
      • Information for Authors
      • Editorial Policies
      • Editorial Board
      • Aims and Scope
      • Abstracting and Indexing
      • Bibliographic Information
      • Archive
    • Molecular Medicine Reports
      • Information for Authors
      • Editorial Policies
      • Editorial Board
      • Aims and Scope
      • Abstracting and Indexing
      • Bibliographic Information
      • Archive
    • Oncology Letters
      • Information for Authors
      • Editorial Policies
      • Editorial Board
      • Aims and Scope
      • Abstracting and Indexing
      • Bibliographic Information
      • Archive
    • Oncology Reports
      • Information for Authors
      • Editorial Policies
      • Editorial Board
      • Aims and Scope
      • Abstracting and Indexing
      • Bibliographic Information
      • Archive
    • World Academy of Sciences Journal
      • Information for Authors
      • Editorial Policies
      • Editorial Board
      • Aims and Scope
      • Abstracting and Indexing
      • Bibliographic Information
      • Archive
  • Articles
  • Information
    • For Authors
    • For Reviewers
    • For Librarians
    • For Advertisers
    • Conferences
  • Language Editing
Login Register Submit
  • This site uses cookies
  • You can change your cookie settings at any time by following the instructions in our Cookie Policy. To find out more, you may read our Privacy Policy.

    I agree
Search articles by DOI, keyword, author or affiliation
Search
Advanced Search
presentation
Experimental and Therapeutic Medicine
Join Editorial Board Propose a Special Issue
Print ISSN: 1792-0981 Online ISSN: 1792-1015
Journal Cover
March-2023 Volume 25 Issue 3

Full Size Image

Sign up for eToc alerts
Recommend to Library

Journals

International Journal of Molecular Medicine

International Journal of Molecular Medicine

International Journal of Molecular Medicine is an international journal devoted to molecular mechanisms of human disease.

International Journal of Oncology

International Journal of Oncology

International Journal of Oncology is an international journal devoted to oncology research and cancer treatment.

Molecular Medicine Reports

Molecular Medicine Reports

Covers molecular medicine topics such as pharmacology, pathology, genetics, neuroscience, infectious diseases, molecular cardiology, and molecular surgery.

Oncology Reports

Oncology Reports

Oncology Reports is an international journal devoted to fundamental and applied research in Oncology.

Experimental and Therapeutic Medicine

Experimental and Therapeutic Medicine

Experimental and Therapeutic Medicine is an international journal devoted to laboratory and clinical medicine.

Oncology Letters

Oncology Letters

Oncology Letters is an international journal devoted to Experimental and Clinical Oncology.

Biomedical Reports

Biomedical Reports

Explores a wide range of biological and medical fields, including pharmacology, genetics, microbiology, neuroscience, and molecular cardiology.

Molecular and Clinical Oncology

Molecular and Clinical Oncology

International journal addressing all aspects of oncology research, from tumorigenesis and oncogenes to chemotherapy and metastasis.

World Academy of Sciences Journal

World Academy of Sciences Journal

Multidisciplinary open-access journal spanning biochemistry, genetics, neuroscience, environmental health, and synthetic biology.

International Journal of Functional Nutrition

International Journal of Functional Nutrition

Open-access journal combining biochemistry, pharmacology, immunology, and genetics to advance health through functional nutrition.

International Journal of Epigenetics

International Journal of Epigenetics

Publishes open-access research on using epigenetics to advance understanding and treatment of human disease.

Medicine International

Medicine International

An International Open Access Journal Devoted to General Medicine.

Journal Cover
March-2023 Volume 25 Issue 3

Full Size Image

Sign up for eToc alerts
Recommend to Library

  • Article
  • Citations
    • Cite This Article
    • Download Citation
    • Create Citation Alert
    • Remove Citation Alert
    • Cited By
  • Similar Articles
    • Related Articles (in Spandidos Publications)
    • Similar Articles (Google Scholar)
    • Similar Articles (PubMed)
  • Download PDF
  • Download XML
  • View XML
Article Open Access

Evaluation of the detection rate of high‑grade gastric intraepithelial neoplasia using linked color imaging and white light imaging

  • Authors:
    • Jun-Hui Lu
    • Hai-Hua Chen
    • Xing Chen
    • Hezhao Zhang
    • Jing Fan
    • Wenbin Zhang
  • View Affiliations / Copyright

    Affiliations: Faculty of Graduate Studies, Shanxi Medical University, Taiyuan, Shanxi 030000, P.R. China, Department of Gastroenterology, The First Hospital of Shanxi Medical University, Taiyuan, Shanxi 030000, P.R. China, Endoscopy Center, Shanxi Cancer Hospital, Taiyuan, Shanxi 030000, P.R. China
    Copyright: © Lu et al. This is an open access article distributed under the terms of Creative Commons Attribution License.
  • Article Number: 107
    |
    Published online on: January 24, 2023
       https://doi.org/10.3892/etm.2023.11806
  • Expand metrics +
Metrics: Total Views: 0 (Spandidos Publications: | PMC Statistics: )
Metrics: Total PDF Downloads: 0 (Spandidos Publications: | PMC Statistics: )
Cited By (CrossRef): 0 citations Loading Articles...

This article is mentioned in:


Abstract

As an endoscopic technology for the enhancement of images, linked color imaging (LCI) performs well when used for the early detection and diagnosis of gastrointestinal cancer. However, literature data are lacking for LCI in the detection of high‑grade gastric intraepithelial neoplasia. Therefore, the aim of the present study was to investigate the efficacy of LCI compared with traditional white light imaging (WLI) in the detection of high‑grade gastric intraepithelial neoplasia via the comparison of detection rates between senior and junior endoscopists using both techniques. Overall, 84 lesions from 81 patients with high‑grade gastric intraepithelial neoplasia diagnosed between January 2017 and December 2017 were considered. Following the exclusion of three patients with two lesions, 78 patients who had only one lesion were enrolled. The two types of endoscopy, WLI and LCI, were performed in the same patients under the same conditions. Four senior and four junior endoscopists retrospectively compared the images. The detection rate of high‑grade gastric intraepithelial neoplasia was significantly higher with LCI than with WLI when performed by senior and junior endoscopists. With WLI, the detection rate obtained by senior endoscopists was significantly higher than that obtained by junior endoscopists. However, for LCI, the detection rates for junior and senior endoscopists were comparable. Interobserver agreement was good to satisfactory. These findings indicate that LCI is superior to WLI in the detection and identification of gastric cancer and provides highly accurate diagnostic results from endoscopic examinations, regardless of the experience of the endoscopist. LCI may be used to narrow the gap in the detection rate of high‑grade gastric intraepithelial neoplasia between junior and senior endoscopists.

Introduction

Gastric cancer is a major cancer worldwide, with the fifth highest incidence and fourth highest mortality (1). Although endoscopy is the most sensitive diagnostic screening method, the detection of gastric cancer in the early stages is challenging (2,3). The effectiveness of gastric cancer treatment in developing countries is very low, and certain countries are unable to treat gastric cancer. However, the success rate of gastric cancer treatment in Japan is high (4,5). Japan mainly performs tumor resection for patients where gastric cancer has been detected early; the detection of cancer at an early stage is important for obtaining a good outcome. Early gastric cancer only shows mild morphological changes and color differences in relation to the surrounding mucosa (2,6). Due to these subtle manifestations, it can be challenging for junior endoscopists to diagnose, and numerous experts use white light imaging (WLI) to screen and diagnose patients with gastric cancer.

Several image-enhanced endoscopic (IEE) systems (7), including narrow-band imaging (NBI) (8,9), flexible spectral imaging color enhancement, blue laser imaging (BLI) and linked color imaging (LCI), have recently emerged as simple and convenient imaging methods for the detection of gastric tumours (10). Early gastric cancers may be missed by conventional endoscopy as they may not be easy to recognize (11). NBI and LCI are more intuitive than WLI regarding the visualization of epidermal vessels (12). LCI enhances the surface color and the boundary between the malignant lesion and the surrounding mucosa (12), with high diagnostic performance for gastrointestinal endoscopy (13). However, data on this subject are insufficient, with few papers reporting the diagnostic performance of LCI for high-grade gastric intraepithelial neoplasia. Therefore, the aim of the present study was to investigate whether LCI had improved diagnostic accuracy for high-grade gastric intraepithelial neoplasia compared with WLI, particularly when performed by junior endoscopists.

Materials and methods

Patients

From January 2017 to December 2017, 84 lesions from 81 patients diagnosed using LCI and WLI, and confirmed to have high-grade gastric intraepithelial neoplasia by the pathological examination of biopsy tissue, were enrolled in the present study. High-grade gastric intraepithelial neoplasia includes severe dysplasia and carcinoma in situ. Carcinoma in situ is distinguished from intramucosal carcinoma by the destruction of the basement membrane of the gland which occurs in the latter. Three patients who had two lesions were excluded and the remaining 78 patients who had only one lesion were included in the study. The lesions of macroscopic type are classified using the Paris classification (14-15): 0-IIa, slightly elevated; 0-IIb, flat; and 0-IIc, slightly depressed. The mean age of the patients was 46.44±11.99 years, and their sex ratio was 0.73:1 (male: female). The patients were enrolled at Shanxi Cancer Hospital (Taiyuan, China), and the study design was approved by the Ethics Committee of Shanxi Cancer Hospital (ref. no. 201992). Written informed consent was obtained from patients or their guardians for participation in the study. The inclusion criteria were as follows: Patients undergoing gastroscopy for the first time; diagnosed with high-grade gastric intraepithelial neoplasia by pathology after biopsy; and agreed to undergo detailed examination using the linkage imaging mode of the gastroscope (LASEREO EG L590ZW; Fujifilm Corporation). The exclusion criteria were as follows: Patients with incomplete clinical, endoscopic and pathological data; multiple gastric cancer lesions; and underwent radiotherapy or chemotherapy before the examination.

Endoscopic image acquisition and selection

The HD EG-L590WR endoscope (Fujifilm Corporation) was used for all examinations. Images of high-grade gastric intraepithelial neoplasia were captured carefully from the same place and angle as the unmagnified photographs with LCI and conventional WLI. Only endoscopic images of high-grade intraepithelial neoplasia were included; benign erosions, ulcers or polyps, which are also distinctive on WLI, were not examined. Figs. 1 and 2 show the ease of recognition of high-grade intraepithelial neoplasia by WLI as well as LCI. By contrast, Figs. 3 and 4 show that it can be challenging to recognise high-grade intraepithelial neoplasia by WLI, while recognition is easier using LCI. Two sets of images were collected for each patient, one acquired by WLI and the other by LCI. Next, both sets of images were numbered randomly. The images were captured by two expert endoscopists who had previously performed >5,000 esophagogastroduodenoscopies and did not participate in the subsequent study.

Figure 1

White light imaging of an easily recognized high-grade gastric intraepithelial neoplasm.

Figure 2

Linked color imaging of an easily recognized high-grade gastric intraepithelial neoplasm.

Figure 3

White light imaging of a high-grade gastric intraepithelial neoplasm that was challenging to identify.

Figure 4

Linked color imaging of a high-grade gastric intraepithelial neoplasm that was challenging to identify.

Pathological image acquisition

The fresh specimen was preserved by prompt immersion in a 10% neutral buffered formalin solution for fixation at room temperature for 24-48 h. The specimen was then dehydrated by immersion in 75% ethanol for 1 h, 85% ethanol for 1 h, 95% ethanol for 1 h twice and absolute ethanol for 1 h three times, then washed with xylene for 40 min twice and immersed in paraffin for 1 h four times. Wax embedding was subsequently performed by pouring molten wax into an embedding box, placing the specimens at the center of the bottom surface of the embedding box and injecting paraffin. The prepared embedding box was frozen at -20˚C for 1 h. Wax blocks were decanted from the embedding frame and sliced into 4-µm sections using a microtome.

To prepare the sections for hematoxylin and eosin staining, each specimen was promptly immersed in xylene for 5 min three times, then in 100, 95, 85 and 75% ethanol for 20 sec each, and finally in tap water for 20 sec. Subsequently, the specimen was immersed in hematoxylin solution for 5 min at room temperature and washed with water for 30 sec. It was then differentiated in 1% hydrochloric ethanol for 2 sec, rinsed with water for 30 sec and treated with lithium carbonate reverse blue solution for 1 min at room temperature. After this, it was immersed in 0.5% eosin ethanol solution for 1 min at room temperature, followed by 100% ethanol for 20 sec, 75, 85 and 95% ethanol for 10 sec each, 100% ethanol for 20 sec twice and xylene for 1 min three times. The stained specimens were finally sealed using a neutral gum sealing piece.

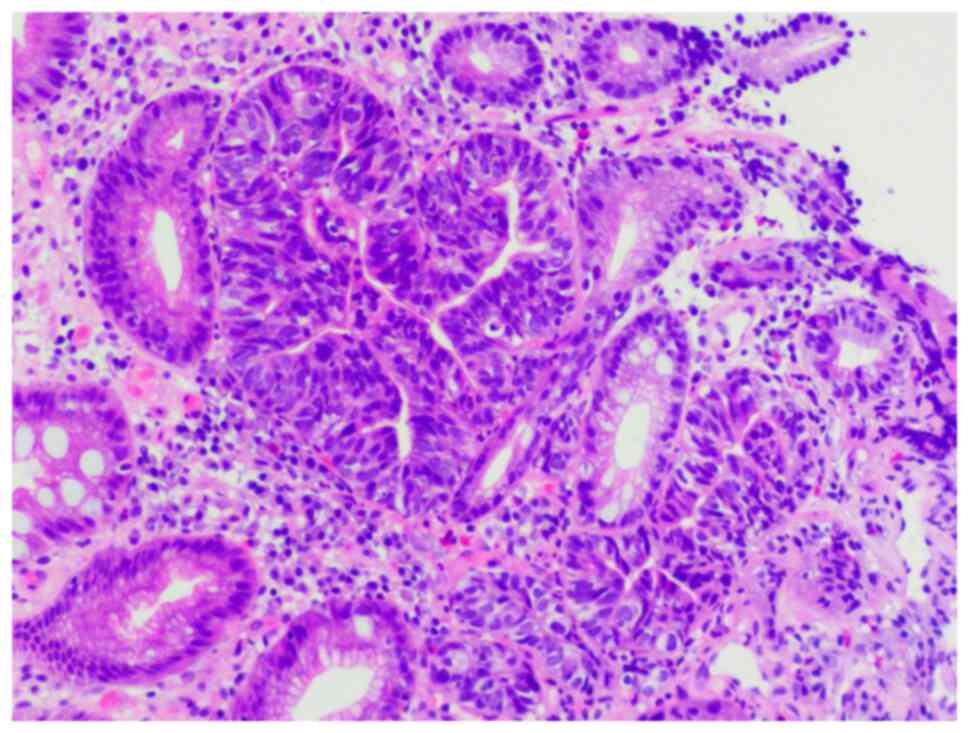
Pathological evaluation was performed by an experienced clinical pathologist using plain light microscopy. Figs. 5 and 6 show pathological images of high-grade gastric intraepithelial neoplasms that were easy and challenging, respectively, to recognize by imaging.

Figure 5

Pathological image of a high-grade gastric intraepithelial neoplasm that was easily recognized by imaging. Hematoxylin and eosin staining (magnification, x400).

Figure 6

Pathological image of a high-grade gastric intraepithelial neoplasm that was challenging to recognize by imaging. Hematoxylin and eosin staining (magnification, x400).

Methods of image analysis

Four senior endoscopists, each of whom had performed >5,000 esophagogastroduodenoscopies, and four junior endoscopists, each of whom had performed ~1,000 esophagogastroduodenoscopies, evaluated the images retrospectively. The patients were examined using conventional endoscopies with WLI and LCI under the same conditions. The sets of endoscopic images, divided into 156 groups, were presented to each endoscopist randomly. The study was designed only to evaluate the diagnosis of high-grade intraepithelial neoplasia; the location or size of the lesions was not considered. After the diagnoses were completed, the endoscopists immediately recorded the results as either positive or negative. The method of verification was through two sets of LCI and WLI image evaluation experiments conducted by different doctors.

Study outcomes

The primary outcome of this study was the rate of diagnosis between modalities and endoscopists. The secondary outcome was the interobserver agreement (16), which was calculated at 5 levels: 0.0-0.20=slight; 0.21-0.40=fair; 0.41-0.60=moderate; 0.61-0.80=substantial; and 0.81-1.00=almost perfect.

Statistical analysis

Quantitative data are expressed as the mean and standard deviation. The rates of diagnosis between modalities and endoscopists were compared using the χ2 test. P<0.05 was considered to indicate a statistically significant result. The interobserver agreement was evaluated using Kappa test. All statistical analysis was performed using SPSS 19.0 statistical software (IBM Corp.).

Results

Baseline characteristics

From January 2017 to December 2017, 78 patients were enrolled in the study. The patients were confirmed to have high-grade gastric intraepithelial neoplasia by pathological examination of the biopsy tissues. The mean age of the patients was 46.44±11.99 years and their sex ratio was 0.73:1 (male:female). Table I displays characteristics of the patients and their tumors.

Table I

Patient and tumor characteristics.

Table I

Patient and tumor characteristics.

FactorsValue
Total patients, n78
Patient characteristics 
     Sex, n 
          Male33
          Female45
     Age, years, mean ± SD46.44±11.99
Tumour characteristics 
     Location, n 
          Upper40
          Middle18
          Lower20
     Macroscopic typea, n 
          0-IIa34
          0-IIc44
     Size, mm, mean ± SD13.99±4.61

[i] aParis classification; 0-IIa, slightly elevated; 0-IIc, slightly depressed.

Evaluation of the WLI images

Table II reports the results of the evaluation of the WLI images by the eight endoscopists. The lesion detection rates by the four junior endoscopists were 30/78 (38.46%), 32/78 (41.03%), 35/78 (44.87) and 31/78 (39.74). There were no significant differences among the four junior endoscopists in their evaluation of the WLI images. The lesion detection rates by the four senior endoscopists were 47/78 (60.26%), 45/78 (57.69%), 45/78 (57.69%) and 50/78 (64.10%). There were also no significant differences in detection rates among the four senior endoscopists.

Table II

Lesion detection rate using white light imaging.

Table II

Lesion detection rate using white light imaging.

EndoscopistPositive, n (%)Negative, n (%)χ2P-value
Junior  0.740.86
     A30 (38.46)48 (61.54)  
     B32 (41.03)46 (58.97)  
     C35 (44.87)43 (55.13)  
     D31 (39.74)47 (60.26)  
Senior  0.890.83
     E47 (60.26)31 (39.74)  
     F45 (57.69)33 (42.31)  
     G45 (57.69)33 (42.31)  
     H50 (64.10)28 (35.90)  
Evaluation of the LCI images

Table III reports the results of the evaluation of the LCI images by the eight endoscopists. The lesion detection rates by the four junior endoscopists were 64/78 (82.05%), 66/78 (84.62%), 69/78 (88.46%) and 67/78 (85.90%), respectively. No significant differences were identified among the four junior endoscopists in the evaluation of the images. The lesion detection rates by the four senior endoscopists were 70/78 (89.74%), 70/78 (89.74%), 68/78 (87.18%) and 71/78 (91.03%), respectively. No significant differences in detection rates were detected among the four senior endoscopists.

Table III

Lesion detection rate using linked color imaging.

Table III

Lesion detection rate using linked color imaging.

EndoscopistPositive, n (%)Negative, n (%)χ2P-value
Junior  1.330.72
     A64 (82.05)14 (17.95)  
     B66 (84.62)12 (15.38)  
     C69 (88.46)9 (11.54)  
     D67 (85.90)11 (14.1)  
Senior  0.640.89
     E70 (89.74)8 (10.26)  
     F70 (89.74)8 (10.26)  
     G68 (87.18)10 (12.82)  
     H71 (91.03)7 (8.97)  
Detection rates

Table IV reports the detection rates obtained using WLI and LCI for the junior and senior endoscopists. The lesion detection rates by the junior and senior endoscopists based on images obtained by WLI were 128/312 (41.03%) and 187/312 (59.94%), respectively. The lesion detection rates of the junior and senior endoscopists were significantly different. The lesion detection rates by the junior and senior endoscopists based on images obtained by LCI were 266/312 (85.26%) and 279/312 (89.42%), respectively. The lesion detection rates of the junior and senior endoscopists were not significantly different.

Table IV

Lesion detection rates by WLI and LCI for junior and senior endoscopists.

Table IV

Lesion detection rates by WLI and LCI for junior and senior endoscopists.

Imaging typeJunior endoscopists, n (%)Senior endoscopists, n (%)χ2P-value
WLI128 (41.03)187 (59.94)22.32<0.01
LCI266 (85.26)279 (89.42)2.450.12

[i] WLI, white light imaging; LCI, linked color imaging.

Interobserver agreement values

Table V reports that the interobserver agreement values for WLI and LCI were 0.54 and 0.59 for junior endoscopists and 0.63 and 0.65 for senior endoscopists, respectively. These values indicate that the interobserver agreement was good to satisfactory.

Table V

Interobserver agreement of evaluation by junior and senior endoscopists.

Table V

Interobserver agreement of evaluation by junior and senior endoscopists.

Imaging typeJunior endoscopistsSenior endoscopists
WLI0.540.63
LCI0.590.65

[i] WLI, white light imaging; LCI, linked color imaging.

Discussion

Gastric cancer is a malignant disease that is challenging to treat (17). Following years of research, a consensus on the utility of endoscopy for gastric cancer diagnosis has been reached, along with recommendations to reduce Helicobacter pylori infections, take sufficient exercise and follow a healthy lifestyle (18). The early detection of gastric cancer increases the likelihood of treatments being effective (19-21).

For the early diagnosis of gastric cancer, the timely detection of early lesions is very important. Characteristics of lesions revealed by IEE techniques are enhancement and a change in color. Observation using image-enhanced endoscopy enables the early signs of gastric cancer to be detected effectively. LCI aids visualization of the difference between gastric lesions and normal stomach tissue and enables junior endoscopists to observe the difference between the two types of tissue (22).

The present study is a comparative analysis of the diagnostic utility of LCI for high-grade gastric intraepithelial neoplasia. Gastric lesions and normal stomach tissue may be distinguished when observed using LCI due to a difference in color. Color differences observed by LCI are more obvious than those observed by WLI. Improved detection rates were observed for junior and senior endoscopists using LCI compared with WLI, and the difference in detection rates was statistically significant. These results indicate that in the early diagnosis of gastric cancer, LCI is more effective than WLI.

With WLI, the lesion detection rate for junior endoscopists ranged from 38.46 to 44.87%, and for senior endoscopists, it ranged from 57.69 to 64.10%. These results suggest that senior endoscopists had a much higher detection rate than junior endoscopists, and the lesion detection rate using WLI was significantly different between junior and senior endoscopists. By contrast, the detection rate using LCI improved to >80% for both senior and junior endoscopists, and no significant differences were detected between them. The results of the present study indicate that LCI allows the easy recognition and early detection of gastric cancer even by junior endoscopists, which may improve the rate of diagnosis and reduce that of misdiagnosis, regardless of the level of experience of the endoscopist. LCI may enable the gap in the detection rate of high-grade gastric intraepithelial neoplasia between junior and senior endoscopists to be narrowed.

Yoshifuku et al (23) evaluated the visibility of early gastric cancer using LCI and BLI. The study found that LCI improved the visibility of early gastric cancer, regardless of the endoscopist's experience or Helicobacter pylori eradication in patients, compared with BLI; the visibility obtained with LCI was significantly higher with than that obtained with BLI. In another study, Suzuki et al (24) reported the efficacy of LCI in improving the visibility of flat colorectal lesions compared with BLI. When compared with WLI and BLI, LCI presents greater color differences between gastric lesions and the mucosa around the stomach, thereby improving the detection of gastric cancer, as verified by the current study and previous research.

The present study has some limitations. First, a relatively small patient sample was examined rather than a large-scale cohort and type 0-IIb lesions were not included. Therefore, the effectiveness of LCI for the detection of 0-IIb lesions remains unclear. To address this, random evaluations and controlled multicenter clinical trials are required. Secondly, only endoscopic images of high-grade intraepithelial neoplasia were examined, as they were the focus of the study. Benign erosions, ulcers and polyps, which are also distinctive when viewed using WLI, were not examined. Therefore, other reddish lesions require further examination in future studies.

In conclusion, the present study shows that junior endoscopists can detect gastric cancer early using LCI, which may improve the rate of diagnosis and reduce misdiagnosis, regardless of the level of experience of the endoscopist. Additionally, the use of LCI may narrow the gap in detection rates between junior and senior endoscopists for high-grade gastric intraepithelial neoplasia.

Acknowledgements

The authors would like to thank Dr Qi Zhao (Shanxi Cancer Hospital, Department of Pathology) for their theoretical guidance on pathology.

Funding

Funding: The study was funded by Key Research and Development Projects of Shanxi Province (grant no. 201903D321140).

Availability of data and materials

The datasets used and/or analyzed during the current study are available from the corresponding author on reasonable request.

Authors' contributions

XC conceived and supervised the study. JHL and HHC designed the study. HHC, JHL and HZZ performed data collection and processing. HZZ, WBZ and JF analyzed and interpreted the data. JHL and WBZ conducted the literature search. JHL and HHC wrote the manuscript. XC critically reviewed the manuscript. All authors read and approved the final version of the manuscript. XC and JHL confirm the authenticity of all the raw data.

Ethics approval and consent to participate

Ethics committee approval was provided for this study by the Ethics Committee of Shanxi Cancer Hospital (approval. no. 201992). Written informed consent was obtained from patients or their guardians for participation in the study.

Patient consent for publication

Not applicable.

Authors' information

Junhui Lu is a PhD student, ORCID no. 0000-0003-2387-5945; Haihua Chen is a Bachelor of Medicine, ORCID no. 0000-0002-1581-0490; Xing Chen is a Doctor of Medicine, ORCID no. 0000-0003-3806-5494; Hezhao Zhang is a PhD student, ORCID no. 0000-0002-9565-4298; Jing Fan is a Master of Medicine, ORCID no. 0000-0002-7080-0666; and Wenbin Zhang is a Master of Medicine, ORCID no. 0000-0003-1995-6750.

Competing interests

The authors declare that they have no competing interests.

References

1 

Sung H, Ferlay J, Siegel RL, Laversanne M, Soerjomataram I, Jemal A and Bray F: Global cancer statistics 2020: GLOBOCAN estimates of incidence and mortality worldwide for 36 cancers in 185 countries. CA Cancer J Clin. 71:209–249. 2021.PubMed/NCBI View Article : Google Scholar

2 

Yao K, Uedo N, Kamada T, Hirasawa T, Nagahama T, Yoshinaga S, Oka M, Inoue K, Mabe K, Yao T, et al: Guidelines for endoscopic diagnosis of early gastric cancer. Dig Endosc. 32:663–698. 2020.PubMed/NCBI View Article : Google Scholar

3 

Parkin DM, Bray F, Ferlay J and Pisani P: Global cancer statistics, 2002. CA Cancer J Clin. 55:74–108. 2005.PubMed/NCBI View Article : Google Scholar

4 

Tanabe S, Hirabayashi S, Oda I, Ono H, Nashimoto A, Isobe Y, Miyashiro I, Tsujitani S, Seto Y, Fukagawa T, et al: Gastric cancer treated by endoscopic submucosal dissection or endoscopic mucosal resection in Japan from 2004 through 2006: JGCA nationwide registry conducted in 2013. Gastric Cancer. 20:834–842. 2017.PubMed/NCBI View Article : Google Scholar

5 

Young E, Philpott H and Singh R: Endoscopic diagnosis and treatment of gastric dysplasia and early cancer: Current evidence and what the future may hold. World J Gastroenterol. 27:5126–5151. 2021.PubMed/NCBI View Article : Google Scholar

6 

Nasu J, Doi T, Endo H, Nishina T, Hirasaki S and Hyodo I: Characteristics of metachronous multiple early gastric cancers after endoscopic mucosal resection. Endoscopy. 37:990–993. 2005.PubMed/NCBI View Article : Google Scholar

7 

Loncroft-Wheaton G and Bhandari P: Image enhanced endoscopy: Optical diagnosis or optical illusion? Saudi J Gastroenterol. 25:71–72. 2019.PubMed/NCBI View Article : Google Scholar

8 

Doyama H, Nakanishi H and Yao K: Image-enhanced endoscopy and its corresponding histopathology in the stomach. Gut Liver. 15:329–337. 2021.PubMed/NCBI View Article : Google Scholar

9 

Yoshida N, Doyama H, Yano T, Horimatsu T, Uedo N, Yamamoto Y, Kakushima N, Kanzaki H, Hori S, Yao K, et al: Early gastric cancer detection in high-risk patients: A multicentre randomised controlled trial on the effect of second-generation narrow band imaging. Gut. 70:67–75. 2021.PubMed/NCBI View Article : Google Scholar

10 

Zhenming Y and Lei S: Diagnostic value of blue laser imaging combined with magnifying endoscopy for precancerous and early gastric cancer lesions. Turk J Gastroenterol. 30:549–556. 2019.PubMed/NCBI View Article : Google Scholar

11 

Onozato Y, Ishihara H, Iizuka H, Sohara N, Kakizaki S, Okamura S and Mori M: Endoscopic submucosal dissection for early gastric cancers and large flat adenomas. Endoscopy. 38:980–986. 2006.PubMed/NCBI View Article : Google Scholar

12 

Fujimoto D, Muguruma N, Okamoto K, Fujino Y, Kagemoto K, Okada Y, Takaoka Y, Mitsui Y, Kitamura S, Kimura T, et al: Linked color imaging enhances endoscopic detection of sessile serrated adenoma/polyps. Endosc Int Open. 6:E322–E334. 2018.PubMed/NCBI View Article : Google Scholar

13 

Ono S, Abiko S and Kato M: Linked color imaging enhances gastric cancer in gastric intestinal metaplasia. Dig Endosc. 29:230–231. 2017.PubMed/NCBI View Article : Google Scholar

14 

The Paris endoscopic classification of superficial neoplastic lesions: Esophagus, stomach, and colon: November 30 to December 1, 2002. Gastrointest Endosc. 58 (6 Suppl):S3–S43. 2003.PubMed/NCBI View Article : Google Scholar

15 

Endoscopic Classification Review Group. Update on the paris classification of superficial neoplastic lesions in the digestive tract. Endoscopy. 37:570–578. 2005.PubMed/NCBI View Article : Google Scholar

16 

Landis JR and Koch GG: The measurement of observer agreement for categorical data. Biometrics. 33:159–174. 1977.PubMed/NCBI

17 

Toyokawa T, Inaba T, Omote S, Okamoto A, Miyasaka R, Watanabe K, Izumikawa K, Fujita I, Horii J, Ishikawa S, et al: Risk factors for non-curative resection of early gastric neoplasms with endoscopic submucosal dissection: Analysis of 1,123 lesions. Exp Ther Med. 9:1209–1214. 2015.PubMed/NCBI View Article : Google Scholar

18 

Nakanishi H, Doyama H, Ishikawa H, Uedo N, Gotoda T, Kato M, Nagao S, Nagami Y, Aoyagi H, Imagawa A, et al: Evaluation of an e-learning system for diagnosis of gastric lesions using magnifying narrow-band imaging: A multicenter randomized controlled study. Endoscopy. 49:957–967. 2017.PubMed/NCBI View Article : Google Scholar

19 

Fujiyoshi MRA, Inoue H, Fujiyoshi Y, Nishikawa Y, Toshimori A, Shimamura Y, Tanabe M, Ikeda H and Onimaru M: Endoscopic classifications of early gastric cancer: A literature review. Cancers (Basel). 14(100)2021.PubMed/NCBI View Article : Google Scholar

20 

Park JH, Lee KN, Lee HL, Jun DW, Yoon JH, Lee OY, Yoon BC and Choi HS: Rates and risk factors for interval gastric cancers at screening gastroscopy. Turk J Gastroenterol. 32:194–202. 2021.PubMed/NCBI View Article : Google Scholar

21 

Chen MJ, Wu W, Pan S, Lin CJ, Dong LM, Chen ZF, Wu JS and Huang ZM: Sedated gastroscopy improves detection of gastric polyps. Exp Ther Med. 16:3116–3120. 2018.PubMed/NCBI View Article : Google Scholar

22 

Zhu Y, Wang F, Zhou Y, Xia GL, Dong L, He WH and Xiao B: Blue laser magnifying endoscopy in the diagnosis of chronic gastritis. Exp Ther Med. 18:1993–2000. 2019.PubMed/NCBI View Article : Google Scholar

23 

Yoshifuku Y, Sanomura Y, Oka S, Kurihara M, Mizumoto T, Miwata T, Urabe Y, Hiyama T, Tanaka S and Chayama K: Evaluation of the visibility of early gastric cancer using linked color imaging and blue laser imaging. BMC Gastroenterol. 17(150)2017.PubMed/NCBI View Article : Google Scholar

24 

Suzuki T, Hara T, Kitagawa Y, Takashiro H, Nankinzan R, Sugita O and Yamaguchi T: Linked-color imaging improves endoscopic visibility of colorectal nongranular flat lesions. Gastrointest Endosc. 86:692–697. 2017.PubMed/NCBI View Article : Google Scholar

Related Articles

  • Abstract
  • View
  • Download
  • Twitter
Copy and paste a formatted citation
Spandidos Publications style
Lu J, Chen H, Chen X, Zhang H, Fan J and Zhang W: Evaluation of the detection rate of high‑grade gastric intraepithelial neoplasia using linked color imaging and white light imaging. Exp Ther Med 25: 107, 2023.
APA
Lu, J., Chen, H., Chen, X., Zhang, H., Fan, J., & Zhang, W. (2023). Evaluation of the detection rate of high‑grade gastric intraepithelial neoplasia using linked color imaging and white light imaging. Experimental and Therapeutic Medicine, 25, 107. https://doi.org/10.3892/etm.2023.11806
MLA
Lu, J., Chen, H., Chen, X., Zhang, H., Fan, J., Zhang, W."Evaluation of the detection rate of high‑grade gastric intraepithelial neoplasia using linked color imaging and white light imaging". Experimental and Therapeutic Medicine 25.3 (2023): 107.
Chicago
Lu, J., Chen, H., Chen, X., Zhang, H., Fan, J., Zhang, W."Evaluation of the detection rate of high‑grade gastric intraepithelial neoplasia using linked color imaging and white light imaging". Experimental and Therapeutic Medicine 25, no. 3 (2023): 107. https://doi.org/10.3892/etm.2023.11806
Copy and paste a formatted citation
x
Spandidos Publications style
Lu J, Chen H, Chen X, Zhang H, Fan J and Zhang W: Evaluation of the detection rate of high‑grade gastric intraepithelial neoplasia using linked color imaging and white light imaging. Exp Ther Med 25: 107, 2023.
APA
Lu, J., Chen, H., Chen, X., Zhang, H., Fan, J., & Zhang, W. (2023). Evaluation of the detection rate of high‑grade gastric intraepithelial neoplasia using linked color imaging and white light imaging. Experimental and Therapeutic Medicine, 25, 107. https://doi.org/10.3892/etm.2023.11806
MLA
Lu, J., Chen, H., Chen, X., Zhang, H., Fan, J., Zhang, W."Evaluation of the detection rate of high‑grade gastric intraepithelial neoplasia using linked color imaging and white light imaging". Experimental and Therapeutic Medicine 25.3 (2023): 107.
Chicago
Lu, J., Chen, H., Chen, X., Zhang, H., Fan, J., Zhang, W."Evaluation of the detection rate of high‑grade gastric intraepithelial neoplasia using linked color imaging and white light imaging". Experimental and Therapeutic Medicine 25, no. 3 (2023): 107. https://doi.org/10.3892/etm.2023.11806
Follow us
  • Twitter
  • LinkedIn
  • Facebook
About
  • Spandidos Publications
  • Careers
  • Cookie Policy
  • Privacy Policy
How can we help?
  • Help
  • Live Chat
  • Contact
  • Email to our Support Team