Spandidos Publications Logo
  • About
    • About Spandidos
    • Aims and Scopes
    • Abstracting and Indexing
    • Editorial Policies
    • Reprints and Permissions
    • Job Opportunities
    • Terms and Conditions
    • Contact
  • Journals
    • All Journals
    • Oncology Letters
      • Oncology Letters
      • Information for Authors
      • Editorial Policies
      • Editorial Board
      • Aims and Scope
      • Abstracting and Indexing
      • Bibliographic Information
      • Archive
    • International Journal of Oncology
      • International Journal of Oncology
      • Information for Authors
      • Editorial Policies
      • Editorial Board
      • Aims and Scope
      • Abstracting and Indexing
      • Bibliographic Information
      • Archive
    • Molecular and Clinical Oncology
      • Molecular and Clinical Oncology
      • Information for Authors
      • Editorial Policies
      • Editorial Board
      • Aims and Scope
      • Abstracting and Indexing
      • Bibliographic Information
      • Archive
    • Experimental and Therapeutic Medicine
      • Experimental and Therapeutic Medicine
      • Information for Authors
      • Editorial Policies
      • Editorial Board
      • Aims and Scope
      • Abstracting and Indexing
      • Bibliographic Information
      • Archive
    • International Journal of Molecular Medicine
      • International Journal of Molecular Medicine
      • Information for Authors
      • Editorial Policies
      • Editorial Board
      • Aims and Scope
      • Abstracting and Indexing
      • Bibliographic Information
      • Archive
    • Biomedical Reports
      • Biomedical Reports
      • Information for Authors
      • Editorial Policies
      • Editorial Board
      • Aims and Scope
      • Abstracting and Indexing
      • Bibliographic Information
      • Archive
    • Oncology Reports
      • Oncology Reports
      • Information for Authors
      • Editorial Policies
      • Editorial Board
      • Aims and Scope
      • Abstracting and Indexing
      • Bibliographic Information
      • Archive
    • Molecular Medicine Reports
      • Molecular Medicine Reports
      • Information for Authors
      • Editorial Policies
      • Editorial Board
      • Aims and Scope
      • Abstracting and Indexing
      • Bibliographic Information
      • Archive
    • World Academy of Sciences Journal
      • World Academy of Sciences Journal
      • Information for Authors
      • Editorial Policies
      • Editorial Board
      • Aims and Scope
      • Abstracting and Indexing
      • Bibliographic Information
      • Archive
    • International Journal of Functional Nutrition
      • International Journal of Functional Nutrition
      • Information for Authors
      • Editorial Policies
      • Editorial Board
      • Aims and Scope
      • Abstracting and Indexing
      • Bibliographic Information
      • Archive
    • International Journal of Epigenetics
      • International Journal of Epigenetics
      • Information for Authors
      • Editorial Policies
      • Editorial Board
      • Aims and Scope
      • Abstracting and Indexing
      • Bibliographic Information
      • Archive
    • Medicine International
      • Medicine International
      • Information for Authors
      • Editorial Policies
      • Editorial Board
      • Aims and Scope
      • Abstracting and Indexing
      • Bibliographic Information
      • Archive
  • Articles
  • Information
    • Information for Authors
    • Information for Reviewers
    • Information for Librarians
    • Information for Advertisers
    • Conferences
  • Language Editing
Spandidos Publications Logo
  • About
    • About Spandidos
    • Aims and Scopes
    • Abstracting and Indexing
    • Editorial Policies
    • Reprints and Permissions
    • Job Opportunities
    • Terms and Conditions
    • Contact
  • Journals
    • All Journals
    • Biomedical Reports
      • Information for Authors
      • Editorial Policies
      • Editorial Board
      • Aims and Scope
      • Abstracting and Indexing
      • Bibliographic Information
      • Archive
    • Experimental and Therapeutic Medicine
      • Information for Authors
      • Editorial Policies
      • Editorial Board
      • Aims and Scope
      • Abstracting and Indexing
      • Bibliographic Information
      • Archive
    • International Journal of Epigenetics
      • Information for Authors
      • Editorial Policies
      • Editorial Board
      • Aims and Scope
      • Abstracting and Indexing
      • Bibliographic Information
      • Archive
    • International Journal of Functional Nutrition
      • Information for Authors
      • Editorial Policies
      • Editorial Board
      • Aims and Scope
      • Abstracting and Indexing
      • Bibliographic Information
      • Archive
    • International Journal of Molecular Medicine
      • Information for Authors
      • Editorial Policies
      • Editorial Board
      • Aims and Scope
      • Abstracting and Indexing
      • Bibliographic Information
      • Archive
    • International Journal of Oncology
      • Information for Authors
      • Editorial Policies
      • Editorial Board
      • Aims and Scope
      • Abstracting and Indexing
      • Bibliographic Information
      • Archive
    • Medicine International
      • Information for Authors
      • Editorial Policies
      • Editorial Board
      • Aims and Scope
      • Abstracting and Indexing
      • Bibliographic Information
      • Archive
    • Molecular and Clinical Oncology
      • Information for Authors
      • Editorial Policies
      • Editorial Board
      • Aims and Scope
      • Abstracting and Indexing
      • Bibliographic Information
      • Archive
    • Molecular Medicine Reports
      • Information for Authors
      • Editorial Policies
      • Editorial Board
      • Aims and Scope
      • Abstracting and Indexing
      • Bibliographic Information
      • Archive
    • Oncology Letters
      • Information for Authors
      • Editorial Policies
      • Editorial Board
      • Aims and Scope
      • Abstracting and Indexing
      • Bibliographic Information
      • Archive
    • Oncology Reports
      • Information for Authors
      • Editorial Policies
      • Editorial Board
      • Aims and Scope
      • Abstracting and Indexing
      • Bibliographic Information
      • Archive
    • World Academy of Sciences Journal
      • Information for Authors
      • Editorial Policies
      • Editorial Board
      • Aims and Scope
      • Abstracting and Indexing
      • Bibliographic Information
      • Archive
  • Articles
  • Information
    • For Authors
    • For Reviewers
    • For Librarians
    • For Advertisers
    • Conferences
  • Language Editing
Login Register Submit
  • This site uses cookies
  • You can change your cookie settings at any time by following the instructions in our Cookie Policy. To find out more, you may read our Privacy Policy.

    I agree
Search articles by DOI, keyword, author or affiliation
Search
Advanced Search
presentation
Experimental and Therapeutic Medicine
Join Editorial Board Propose a Special Issue
Print ISSN: 1792-0981 Online ISSN: 1792-1015
Journal Cover
March-2023 Volume 25 Issue 3

Full Size Image

Sign up for eToc alerts
Recommend to Library

Journals

International Journal of Molecular Medicine

International Journal of Molecular Medicine

International Journal of Molecular Medicine is an international journal devoted to molecular mechanisms of human disease.

International Journal of Oncology

International Journal of Oncology

International Journal of Oncology is an international journal devoted to oncology research and cancer treatment.

Molecular Medicine Reports

Molecular Medicine Reports

Covers molecular medicine topics such as pharmacology, pathology, genetics, neuroscience, infectious diseases, molecular cardiology, and molecular surgery.

Oncology Reports

Oncology Reports

Oncology Reports is an international journal devoted to fundamental and applied research in Oncology.

Experimental and Therapeutic Medicine

Experimental and Therapeutic Medicine

Experimental and Therapeutic Medicine is an international journal devoted to laboratory and clinical medicine.

Oncology Letters

Oncology Letters

Oncology Letters is an international journal devoted to Experimental and Clinical Oncology.

Biomedical Reports

Biomedical Reports

Explores a wide range of biological and medical fields, including pharmacology, genetics, microbiology, neuroscience, and molecular cardiology.

Molecular and Clinical Oncology

Molecular and Clinical Oncology

International journal addressing all aspects of oncology research, from tumorigenesis and oncogenes to chemotherapy and metastasis.

World Academy of Sciences Journal

World Academy of Sciences Journal

Multidisciplinary open-access journal spanning biochemistry, genetics, neuroscience, environmental health, and synthetic biology.

International Journal of Functional Nutrition

International Journal of Functional Nutrition

Open-access journal combining biochemistry, pharmacology, immunology, and genetics to advance health through functional nutrition.

International Journal of Epigenetics

International Journal of Epigenetics

Publishes open-access research on using epigenetics to advance understanding and treatment of human disease.

Medicine International

Medicine International

An International Open Access Journal Devoted to General Medicine.

Journal Cover
March-2023 Volume 25 Issue 3

Full Size Image

Sign up for eToc alerts
Recommend to Library

  • Article
  • Citations
    • Cite This Article
    • Download Citation
    • Create Citation Alert
    • Remove Citation Alert
    • Cited By
  • Similar Articles
    • Related Articles (in Spandidos Publications)
    • Similar Articles (Google Scholar)
    • Similar Articles (PubMed)
  • Download PDF
  • Download XML
  • View XML
Case Report

Multiple nocardial abscesses secondary to anti‑neutrophil cytoplasmic antibody‑associated vasculitis in an elderly patient: A case report and literature review

  • Authors:
    • Xu Chen
    • Yaping Fan
    • Yide Zhang
  • View Affiliations / Copyright

    Affiliations: Department of Nephrology, Affiliated Hospital of Nantong University, Nantong, Jiangsu 226001, P.R. China
  • Article Number: 115
    |
    Published online on: January 30, 2023
       https://doi.org/10.3892/etm.2023.11814
  • Expand metrics +
Metrics: Total Views: 0 (Spandidos Publications: | PMC Statistics: )
Metrics: Total PDF Downloads: 0 (Spandidos Publications: | PMC Statistics: )
Cited By (CrossRef): 0 citations Loading Articles...

This article is mentioned in:



Abstract

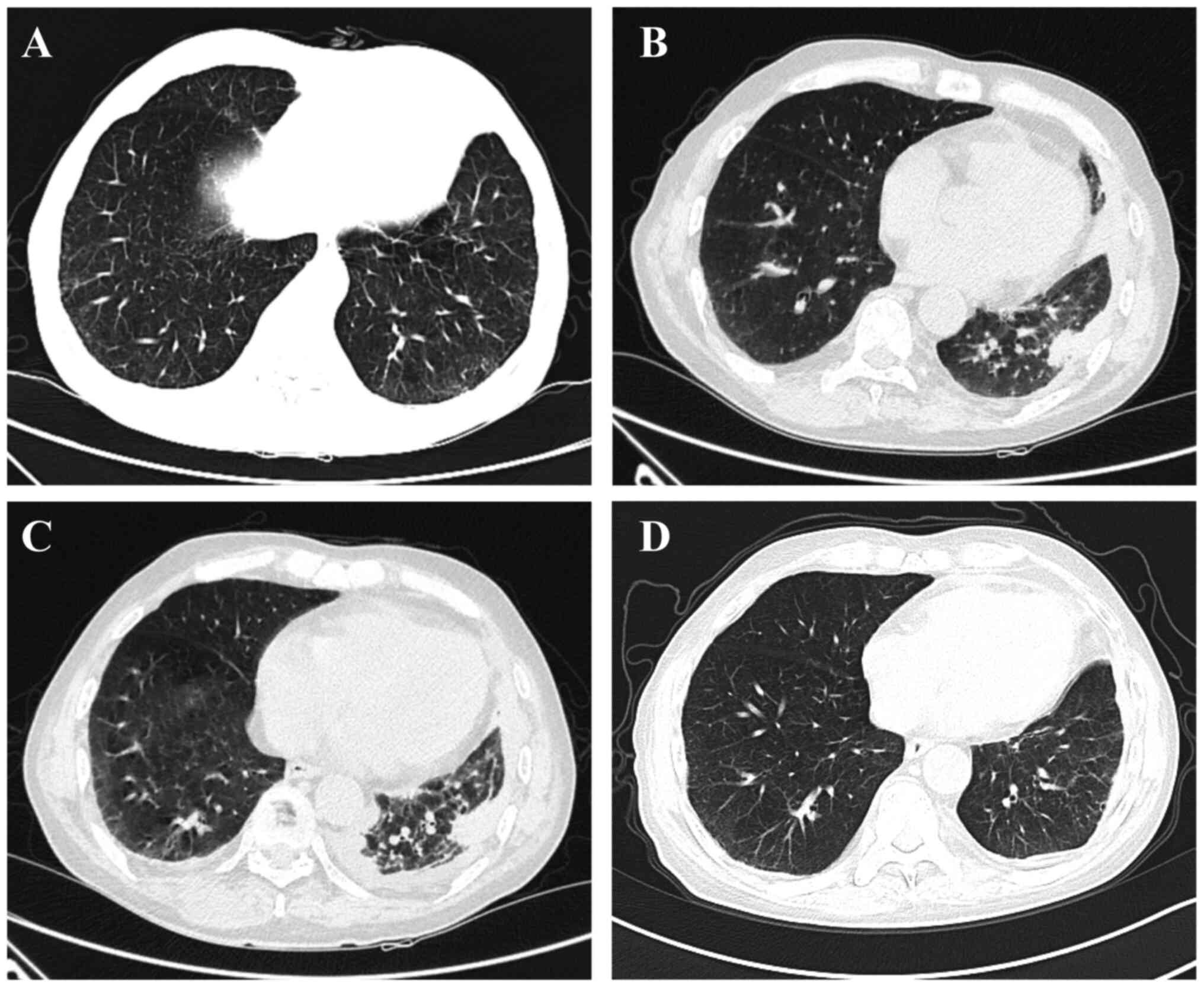
A nocardial abscess is a relatively rare opportunistic infection that typically occurs after immunosuppressive treatment and is a clinical challenge. In the present study, the case of a 69‑year‑old patient with anti‑neutrophil cytoplasmic antibody (ANCA)‑associated vasculitis, and lung and kidney involvement, was reported. The patient received systemic glucocorticoid and cyclophosphamide treatment for 6 months, after which a large encapsulated abscess appeared on magnetic resonance imaging and CT in the subcutaneous tissue of the left hip and lung, respectively, and the pus culture showed Nocardia. Orthopedic abscess incision and ultrasound‑guided thoracic puncture drainage were performed, and the lesion was completely absorbed after 1 month of treatment with linezolid and compound sulfamethoxazole. Tests for ANCA were negative, and renal function and urine tests were completely normal after 1 year of follow‑up. Furthermore, a literature review performed for the present study retrieved a few reports of successful treatment of multiple nocardial abscesses secondary to ANCA‑associated vasculitis in elderly patients in a short period of time. Therefore, the present case report and literature review have been reported to improve awareness of this rare disease, so as to facilitate its early diagnosis and treatment.
View Figures

Figure 1

Figure 2

Figure 3

View References

1 

Fernández LR, Guerra JM and González IZ: Bacteremia by Nocardia farcinica. Med Clin (Barc). 154:520–521. 2020.PubMed/NCBI View Article : Google Scholar : (In English, Spanish).

2 

Ambrosioni J, Lew D and Garbino J: Nocardiosis: Updated clinical review and experience at a tertiary center. Infection. 38:89–97. 2010.PubMed/NCBI View Article : Google Scholar

3 

Sonesson A, Oqvist B, Hagstam P, Björkman-Burtscher IM, Miörner H and Petersson AC: An immunosuppressed patient with systemic vasculitis suffering from cerebral abscesses due to Nocardia farcinica identified by 16S rRNA gene universal PCR. Nephrol Dial Transplant. 19:2896–2900. 2004.PubMed/NCBI View Article : Google Scholar

4 

Hirayama T, Takazono T, Horai Y, Tashiro M, Saijo T, Kosai K, Morinaga Y, Kurihara S, Nakamura S, Imamura Y, et al: Pulmonary nocardiosis caused by nocardia concava with a literature review. Intern Med. 55:1213–1217. 2016.PubMed/NCBI View Article : Google Scholar

5 

Wang T, Jia Y, Chu B, Liu H, Dong X and Zhang Y: Nocardiosis in kidney disease patients under immunosuppressive therapy: Case report and literature review. Int J Med Sci. 16:838–844. 2019.PubMed/NCBI View Article : Google Scholar

6 

Brown-Elliott BA, Brown JM, Conville PS and Wallace RJ Jr: Clinical and laboratory features of the Nocardia spp. Based on current molecular taxonomy. Clin Microbiol Rev. 19:259–282. 2006.PubMed/NCBI View Article : Google Scholar

7 

You Y, Chen W, Zhong B, Song Z and Yang X: Disseminated nocardiosis caused by Nocardia elegans: A case report and review of the literature. Infection. 46:705–710. 2018.PubMed/NCBI View Article : Google Scholar

8 

Salinas-Carmona MC: Nocardia brasiliensis: From microbe to human and experimental infections. Microbes Infect. 2:1373–1381. 2000.PubMed/NCBI View Article : Google Scholar

9 

Husain S, McCurry K, Dauber J, Singh N and Kusne S: Nocardia infection in lung transplant recipients. J Heart Lung Transplant. 21:354–359. 2002.PubMed/NCBI View Article : Google Scholar

10 

Saubolle MA and Sussland D: Nocardiosis: Review of clinical and laboratory experience. J Clin Microbiol. 41:4497–4501. 2003.PubMed/NCBI View Article : Google Scholar

11 

Salazar MN, Wray D, Denlinger C, Srinivas T, Thomas B and Posadas A: Mediastinal mass and pericardial tamponade in a renal transplant recipient: A rare case of nocardia infection. Am J Case Rep. 14:295–299. 2013.PubMed/NCBI View Article : Google Scholar

12 

Mc-Nab P, Fuentealba C, Ballesteros F, Pacheco D, Alvarez M, Dabanch J and Cona E: Nocardia asteroides infection in a patient with systemic lupus erythematosus. Rev Med Chil. 128:526–528. 2000.PubMed/NCBI(In Spanish).

13 

Lee JS, Lee YH, Cho SJ, Ji JD and Song GG: A nocardial infection in a patient with systemic lupus erythematosus. Korean J Med. 62:100–103. 2002.(In Korean).

14 

Pottumarthy S, Limaye AP, Prentice JL, Houze YB, Swanzy SR and Cookson BT: Nocardia veterana, a new emerging pathogen. J Clin Microbiol. 41:1705–1709. 2003.PubMed/NCBI View Article : Google Scholar

15 

Elmaci I, Senday D, Silav G, Ekenel F, Balak N, Ayan E, Akinci M, Isik N and Yazici S: Nocardial cerebral abscess associated with mycetoma, pneumonia, and membranoproliferative glomerulonephritis. J Clin Microbiol. 45:2072–2074. 2007.PubMed/NCBI View Article : Google Scholar

16 

Tilak R, Achra A and Tilak V: Primary cerebral nocardiosis in a renal transplant recipient: A case report. J Clin Diagn Res. 6:1417–1418. 2012.PubMed/NCBI View Article : Google Scholar

17 

Lee SH, Sung H, Lee SO, Choi SH, Kim YS, Woo JH and Kim SH: The first report of disseminated Nocardia concava infection, in an immunocompromised patient, in South Korea. J Infect Chemother. 18:764–766. 2012.PubMed/NCBI View Article : Google Scholar

18 

Ates Ö, Cilan H, Oymak S, Yildiz O and Oymak O: Multidrug-resistant disseminated nocardia farcinica infection in a systemic lupus erythematosus patient. Turk J Rheumatol. 28:278–281. 2013.

19 

Patel MP, Kute VB, Gumber MR, Shah PR, Patel HV, Dhananjay KL, Jain SH, Trivedi HL and Vanikar AV: Successful treatment of Nocardia pneumonia with cytomegalovirus retinitis coinfection in a renal transplant recipient. Int Urol Nephrol. 45:581–585. 2013.PubMed/NCBI View Article : Google Scholar

20 

Weerakkody RM, Palangasinghe DR, Wadanambi S and Wijewikrama ES: ‘Primary’ nocardial brain abscess in a renal transplant patient. BMC Res Notes. 8(701)2015.PubMed/NCBI View Article : Google Scholar

21 

Grahammer F and Fischer KG: Pulmonary infiltrate and painful nodular leg lesions in a patient with membranous glomerulonephritis. BMJ Case Rep. 28(bcr2015210032)2015.PubMed/NCBI View Article : Google Scholar

22 

Poisnel E, Roseau JB, Landais C, Rodriguez-Nava V, Bussy E and Gaillard T: Nocardia veterana: Disseminated infection with urinary tract infection. Braz J Infect Dis. 19:216–219. 2015.PubMed/NCBI View Article : Google Scholar

23 

Zhu N, Zhu Y, Wang Y and Dong S: Pulmonary and cutaneous infection caused by Nocardia farcinica in a patient with nephrotic syndrome: A case report. Medicine. (Baltimore). 96(e7211)2017.PubMed/NCBI View Article : Google Scholar

24 

Gandhi BV, Bahadur MM, Dodeja H, Aggrwal V, Thamba A and Mali M: Systemic fungal infections in renal diseases. J Postgrad Med. 51 (Suppl 1):S30–S36. 2005.PubMed/NCBI

25 

Diekema DJ and Jones RN: Oxazolidinone antibiotics. Lancet. 358:1975–1982. 2001.PubMed/NCBI View Article : Google Scholar

26 

Moylett EH, Pacheco SE, Brown-Elliott BA, Perry TR, Buescher ES, Birmingham MC, Schentag JJ, Gimbel JF, Apodaca A, Schwartz MA, et al: Clinical experience with linezolid for the treatment of nocardia infection. Clin Infect Dis. 36:313–318. 2003.PubMed/NCBI View Article : Google Scholar

27 

Margalit I, Lebeaux D, Tishler O, Goldberg E, Bishara J, Yahav D and Coussement J: How do I manage nocardiosis? Clin Microbiol Infect. 27:550–558. 2021.PubMed/NCBI View Article : Google Scholar

28 

Hemmersbach-Miller M, Stout JE, Woodworth MH, Cox GM and Saullo JL: Nocardia infections in the transplanted host. Transpl Infect Dis. 20(e12902)2018.PubMed/NCBI View Article : Google Scholar

29 

Matchett C, Djamali A, Mandelbrot D, Saddler C and Parajuli S: Nocardia infection in kidney transplant recipients: A single-center experience. Transpl Infect Dis. 21(e13192)2019.PubMed/NCBI View Article : Google Scholar

Related Articles

  • Abstract
  • View
  • Download
  • Twitter
Copy and paste a formatted citation
Spandidos Publications style
Chen X, Fan Y and Zhang Y: Multiple nocardial abscesses secondary to anti‑neutrophil cytoplasmic antibody‑associated vasculitis in an elderly patient: A case report and literature review. Exp Ther Med 25: 115, 2023.
APA
Chen, X., Fan, Y., & Zhang, Y. (2023). Multiple nocardial abscesses secondary to anti‑neutrophil cytoplasmic antibody‑associated vasculitis in an elderly patient: A case report and literature review. Experimental and Therapeutic Medicine, 25, 115. https://doi.org/10.3892/etm.2023.11814
MLA
Chen, X., Fan, Y., Zhang, Y."Multiple nocardial abscesses secondary to anti‑neutrophil cytoplasmic antibody‑associated vasculitis in an elderly patient: A case report and literature review". Experimental and Therapeutic Medicine 25.3 (2023): 115.
Chicago
Chen, X., Fan, Y., Zhang, Y."Multiple nocardial abscesses secondary to anti‑neutrophil cytoplasmic antibody‑associated vasculitis in an elderly patient: A case report and literature review". Experimental and Therapeutic Medicine 25, no. 3 (2023): 115. https://doi.org/10.3892/etm.2023.11814
Copy and paste a formatted citation
x
Spandidos Publications style
Chen X, Fan Y and Zhang Y: Multiple nocardial abscesses secondary to anti‑neutrophil cytoplasmic antibody‑associated vasculitis in an elderly patient: A case report and literature review. Exp Ther Med 25: 115, 2023.
APA
Chen, X., Fan, Y., & Zhang, Y. (2023). Multiple nocardial abscesses secondary to anti‑neutrophil cytoplasmic antibody‑associated vasculitis in an elderly patient: A case report and literature review. Experimental and Therapeutic Medicine, 25, 115. https://doi.org/10.3892/etm.2023.11814
MLA
Chen, X., Fan, Y., Zhang, Y."Multiple nocardial abscesses secondary to anti‑neutrophil cytoplasmic antibody‑associated vasculitis in an elderly patient: A case report and literature review". Experimental and Therapeutic Medicine 25.3 (2023): 115.
Chicago
Chen, X., Fan, Y., Zhang, Y."Multiple nocardial abscesses secondary to anti‑neutrophil cytoplasmic antibody‑associated vasculitis in an elderly patient: A case report and literature review". Experimental and Therapeutic Medicine 25, no. 3 (2023): 115. https://doi.org/10.3892/etm.2023.11814
Follow us
  • Twitter
  • LinkedIn
  • Facebook
About
  • Spandidos Publications
  • Careers
  • Cookie Policy
  • Privacy Policy
How can we help?
  • Help
  • Live Chat
  • Contact
  • Email to our Support Team