Spandidos Publications Logo
  • About
    • About Spandidos
    • Aims and Scopes
    • Abstracting and Indexing
    • Editorial Policies
    • Reprints and Permissions
    • Job Opportunities
    • Terms and Conditions
    • Contact
  • Journals
    • All Journals
    • Oncology Letters
      • Oncology Letters
      • Information for Authors
      • Editorial Policies
      • Editorial Board
      • Aims and Scope
      • Abstracting and Indexing
      • Bibliographic Information
      • Archive
    • International Journal of Oncology
      • International Journal of Oncology
      • Information for Authors
      • Editorial Policies
      • Editorial Board
      • Aims and Scope
      • Abstracting and Indexing
      • Bibliographic Information
      • Archive
    • Molecular and Clinical Oncology
      • Molecular and Clinical Oncology
      • Information for Authors
      • Editorial Policies
      • Editorial Board
      • Aims and Scope
      • Abstracting and Indexing
      • Bibliographic Information
      • Archive
    • Experimental and Therapeutic Medicine
      • Experimental and Therapeutic Medicine
      • Information for Authors
      • Editorial Policies
      • Editorial Board
      • Aims and Scope
      • Abstracting and Indexing
      • Bibliographic Information
      • Archive
    • International Journal of Molecular Medicine
      • International Journal of Molecular Medicine
      • Information for Authors
      • Editorial Policies
      • Editorial Board
      • Aims and Scope
      • Abstracting and Indexing
      • Bibliographic Information
      • Archive
    • Biomedical Reports
      • Biomedical Reports
      • Information for Authors
      • Editorial Policies
      • Editorial Board
      • Aims and Scope
      • Abstracting and Indexing
      • Bibliographic Information
      • Archive
    • Oncology Reports
      • Oncology Reports
      • Information for Authors
      • Editorial Policies
      • Editorial Board
      • Aims and Scope
      • Abstracting and Indexing
      • Bibliographic Information
      • Archive
    • Molecular Medicine Reports
      • Molecular Medicine Reports
      • Information for Authors
      • Editorial Policies
      • Editorial Board
      • Aims and Scope
      • Abstracting and Indexing
      • Bibliographic Information
      • Archive
    • World Academy of Sciences Journal
      • World Academy of Sciences Journal
      • Information for Authors
      • Editorial Policies
      • Editorial Board
      • Aims and Scope
      • Abstracting and Indexing
      • Bibliographic Information
      • Archive
    • International Journal of Functional Nutrition
      • International Journal of Functional Nutrition
      • Information for Authors
      • Editorial Policies
      • Editorial Board
      • Aims and Scope
      • Abstracting and Indexing
      • Bibliographic Information
      • Archive
    • International Journal of Epigenetics
      • International Journal of Epigenetics
      • Information for Authors
      • Editorial Policies
      • Editorial Board
      • Aims and Scope
      • Abstracting and Indexing
      • Bibliographic Information
      • Archive
    • Medicine International
      • Medicine International
      • Information for Authors
      • Editorial Policies
      • Editorial Board
      • Aims and Scope
      • Abstracting and Indexing
      • Bibliographic Information
      • Archive
  • Articles
  • Information
    • Information for Authors
    • Information for Reviewers
    • Information for Librarians
    • Information for Advertisers
    • Conferences
  • Language Editing
Spandidos Publications Logo
  • About
    • About Spandidos
    • Aims and Scopes
    • Abstracting and Indexing
    • Editorial Policies
    • Reprints and Permissions
    • Job Opportunities
    • Terms and Conditions
    • Contact
  • Journals
    • All Journals
    • Biomedical Reports
      • Information for Authors
      • Editorial Policies
      • Editorial Board
      • Aims and Scope
      • Abstracting and Indexing
      • Bibliographic Information
      • Archive
    • Experimental and Therapeutic Medicine
      • Information for Authors
      • Editorial Policies
      • Editorial Board
      • Aims and Scope
      • Abstracting and Indexing
      • Bibliographic Information
      • Archive
    • International Journal of Epigenetics
      • Information for Authors
      • Editorial Policies
      • Editorial Board
      • Aims and Scope
      • Abstracting and Indexing
      • Bibliographic Information
      • Archive
    • International Journal of Functional Nutrition
      • Information for Authors
      • Editorial Policies
      • Editorial Board
      • Aims and Scope
      • Abstracting and Indexing
      • Bibliographic Information
      • Archive
    • International Journal of Molecular Medicine
      • Information for Authors
      • Editorial Policies
      • Editorial Board
      • Aims and Scope
      • Abstracting and Indexing
      • Bibliographic Information
      • Archive
    • International Journal of Oncology
      • Information for Authors
      • Editorial Policies
      • Editorial Board
      • Aims and Scope
      • Abstracting and Indexing
      • Bibliographic Information
      • Archive
    • Medicine International
      • Information for Authors
      • Editorial Policies
      • Editorial Board
      • Aims and Scope
      • Abstracting and Indexing
      • Bibliographic Information
      • Archive
    • Molecular and Clinical Oncology
      • Information for Authors
      • Editorial Policies
      • Editorial Board
      • Aims and Scope
      • Abstracting and Indexing
      • Bibliographic Information
      • Archive
    • Molecular Medicine Reports
      • Information for Authors
      • Editorial Policies
      • Editorial Board
      • Aims and Scope
      • Abstracting and Indexing
      • Bibliographic Information
      • Archive
    • Oncology Letters
      • Information for Authors
      • Editorial Policies
      • Editorial Board
      • Aims and Scope
      • Abstracting and Indexing
      • Bibliographic Information
      • Archive
    • Oncology Reports
      • Information for Authors
      • Editorial Policies
      • Editorial Board
      • Aims and Scope
      • Abstracting and Indexing
      • Bibliographic Information
      • Archive
    • World Academy of Sciences Journal
      • Information for Authors
      • Editorial Policies
      • Editorial Board
      • Aims and Scope
      • Abstracting and Indexing
      • Bibliographic Information
      • Archive
  • Articles
  • Information
    • For Authors
    • For Reviewers
    • For Librarians
    • For Advertisers
    • Conferences
  • Language Editing
Login Register Submit
  • This site uses cookies
  • You can change your cookie settings at any time by following the instructions in our Cookie Policy. To find out more, you may read our Privacy Policy.

    I agree
Search articles by DOI, keyword, author or affiliation
Search
Advanced Search
presentation
Experimental and Therapeutic Medicine
Join Editorial Board Propose a Special Issue
Print ISSN: 1792-0981 Online ISSN: 1792-1015
Journal Cover
March-2023 Volume 25 Issue 3

Full Size Image

Sign up for eToc alerts
Recommend to Library

Journals

International Journal of Molecular Medicine

International Journal of Molecular Medicine

International Journal of Molecular Medicine is an international journal devoted to molecular mechanisms of human disease.

International Journal of Oncology

International Journal of Oncology

International Journal of Oncology is an international journal devoted to oncology research and cancer treatment.

Molecular Medicine Reports

Molecular Medicine Reports

Covers molecular medicine topics such as pharmacology, pathology, genetics, neuroscience, infectious diseases, molecular cardiology, and molecular surgery.

Oncology Reports

Oncology Reports

Oncology Reports is an international journal devoted to fundamental and applied research in Oncology.

Experimental and Therapeutic Medicine

Experimental and Therapeutic Medicine

Experimental and Therapeutic Medicine is an international journal devoted to laboratory and clinical medicine.

Oncology Letters

Oncology Letters

Oncology Letters is an international journal devoted to Experimental and Clinical Oncology.

Biomedical Reports

Biomedical Reports

Explores a wide range of biological and medical fields, including pharmacology, genetics, microbiology, neuroscience, and molecular cardiology.

Molecular and Clinical Oncology

Molecular and Clinical Oncology

International journal addressing all aspects of oncology research, from tumorigenesis and oncogenes to chemotherapy and metastasis.

World Academy of Sciences Journal

World Academy of Sciences Journal

Multidisciplinary open-access journal spanning biochemistry, genetics, neuroscience, environmental health, and synthetic biology.

International Journal of Functional Nutrition

International Journal of Functional Nutrition

Open-access journal combining biochemistry, pharmacology, immunology, and genetics to advance health through functional nutrition.

International Journal of Epigenetics

International Journal of Epigenetics

Publishes open-access research on using epigenetics to advance understanding and treatment of human disease.

Medicine International

Medicine International

An International Open Access Journal Devoted to General Medicine.

Journal Cover
March-2023 Volume 25 Issue 3

Full Size Image

Sign up for eToc alerts
Recommend to Library

  • Article
  • Citations
    • Cite This Article
    • Download Citation
    • Create Citation Alert
    • Remove Citation Alert
    • Cited By
  • Similar Articles
    • Related Articles (in Spandidos Publications)
    • Similar Articles (Google Scholar)
    • Similar Articles (PubMed)
  • Download PDF
  • Download XML
  • View XML
Article Open Access

Pure endoscopic minimally invasive surgery with a non‑expandable tubular retractor for intradural extramedullary spinal tumors

  • Authors:
    • Gang Zhang
    • Bin Jia
    • Pan Wang
    • Chaoling Xu
    • Jie Liu
    • Chao Tang
    • Haotian Jiang
    • Xiaorong Tan
    • Nan Wu
  • View Affiliations / Copyright

    Affiliations: Department of Neurosurgery, Chongqing General Hospital, University of Chinese Academy of Sciences, Chongqing 401147, P.R. China
    Copyright: © Zhang et al. This is an open access article distributed under the terms of Creative Commons Attribution License.
  • Article Number: 137
    |
    Published online on: February 13, 2023
       https://doi.org/10.3892/etm.2023.11836
  • Expand metrics +
Metrics: Total Views: 0 (Spandidos Publications: | PMC Statistics: )
Metrics: Total PDF Downloads: 0 (Spandidos Publications: | PMC Statistics: )
Cited By (CrossRef): 0 citations Loading Articles...

This article is mentioned in:



Abstract

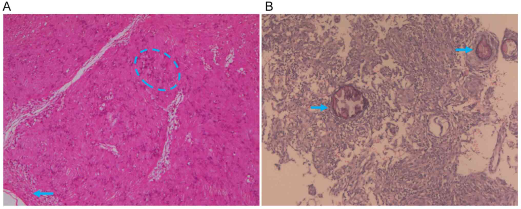
Minimally invasive spinal surgery (MISS) for intradural extramedullary (IDEM) spinal tumors is a safe and effective surgical strategy. Currently, various tubular retractors are widely used in the MISS of IDEM spinal tumors, primarily relying on microscopic visualization. To the best of the authors' knowledge, there is no report of pure endoscopic surgery with parallel non‑expandable tubular retractors for IDEM spinal lesions. The present study reports a case series of IDEM spinal tumors that were treated via pure endoscopic MISS with a parallel non‑expandable tubular retractor. The extent of tumor resection was evaluated by comparing preoperative and postoperative magnetic resonance imaging (MRI). The initial and follow‑up clinical conditions were assessed according to the visual analog scale for pain and the modified McCormick scale for neurological status. Postoperative MRI demonstrated that all cases had achieved a gross total resection. After the operation, the clinical symptoms of all patients were significantly improved and there were no serious postoperative complications. At the initial follow‑up, the pain experienced by the patients was significantly reduced or had even disappeared, and the neurological deficit was improved by at least one grade on the modified McCormick scale. The present report indicates that pure endoscopic MISS with a parallel non‑expandable tubular retractor may be an effective and safe surgical strategy for IDEM spinal tumor resection.
View Figures

Figure 1

Figure 2

Figure 3

Figure 4

Figure 5

View References

1 

Ottenhausen M, Ntoulias G, Bodhinayake I, Ruppert FH, Schreiber S, Förschler A, Boockvar JA and Jödicke A: Intradural spinal tumors in adults-update on management and outcome. Neurosurg Rev. 42:371–388. 2019.PubMed/NCBI View Article : Google Scholar

2 

Wong AP, Lall RR, Dahdaleh NS, Lawton CD, Smith ZA, Wong RH, Harvey MJ, Lam S, Koski TR and Fessler RG: Comparison of open and minimally invasive surgery for intradural-extramedullary spine tumors. Neurosurg Focus. 39(E11)2015.PubMed/NCBI View Article : Google Scholar

3 

Lu DC, Chou D and Mummaneni PV: A comparison of mini-open and open approaches for resection of thoracolumbar intradural spinal tumors. J Neurosurg Spine. 14:758–764. 2011.PubMed/NCBI View Article : Google Scholar

4 

McGirt MJ, Garcés-Ambrossi GL, Parker SL, Sciubba DM, Bydon A, Wolinksy JP, Gokaslan ZL, Jallo G and Witham TF: Short-term progressive spinal deformity following laminoplasty versus laminectomy for resection of intradural spinal tumors: Analysis of 238 patients. Neurosurgery. 66:1005–112. 2010.PubMed/NCBI View Article : Google Scholar

5 

Haji FA, Cenic A, Crevier L, Murty N and Reddy K: Minimally invasive approach for the resection of spinal neoplasm. Spine (Phila Pa 1976). 36:E1018–E1026. 2011.PubMed/NCBI View Article : Google Scholar

6 

Zong S, Zeng G, Du L, Fang Y, Gao T and Zhao J: . Treatment results in the different surgery of intradural extramedullary tumor of 122 cases. PLoS One. 9(e111495)2014.PubMed/NCBI View Article : Google Scholar

7 

Raygor KP, Than KD, Chou D and Mummaneni PV: Comparison of minimally invasive transspinous and open approaches for thoracolumbar intradural-extramedullary spinal tumors. Neurosurg Focus. 39(E12)2015.PubMed/NCBI View Article : Google Scholar

8 

Gandhi RH and German JW: Minimally invasive approach for the treatment of intradural spinal pathology. Neurosurg Focus. 35(E5)2013.PubMed/NCBI View Article : Google Scholar

9 

Iacoangeli M, Gladi M, Di Rienzo A, Dobran M, Alvaro L, Nocchi N, Maria LG, Somma D, Colasanti R and Scerrati M: Minimally invasive surgery for benign intradural extramedullary spinal meningiomas: Experience of a single institution in a cohort of elderly patients and review of the literature. Clin Interv Aging. 7:557–564. 2012.PubMed/NCBI View Article : Google Scholar

10 

Banczerowski P, Czigléczki G, Papp Z, Veres R, Rappaport HZ and Vajda J: Minimally invasive spine surgery: Systematic review. Neurosurg Rev. 38:11–26. 2015.PubMed/NCBI View Article : Google Scholar

11 

Sharif S, Shaikh Y and Peev N: Minimally invasive spinal surgery: How to keep out of trouble. World Neurosurg. 119:517–526. 2018.PubMed/NCBI View Article : Google Scholar

12 

Ohnhaus EE and Adler R: Methodological problems in the measurement of pain: A comparison between the verbal rating scale and the visual analogue scale. Pain. 1:379–384. 1975.PubMed/NCBI View Article : Google Scholar

13 

McCormick PC, Torres R, Post KD and Stein BM: Intramedullary ependymoma of the spinal cord. J Neurosurg. 72:523–532. 1990.PubMed/NCBI View Article : Google Scholar

14 

Parihar VS, Yadav N, Yadav YR, Ratre S, Bajaj J and Kher Y: Endoscopic management of spinal intradural extramedullary tumors. J Neurol Surg A Cent Eur Neurosurg. 8:219–226. 2017.PubMed/NCBI View Article : Google Scholar

15 

Goldstein CL, Macwan K, Sundararajan K and Rampersaud YR: Perioperative outcomes and adverse events of minimally invasive versus open posterior lumbar fusion: Meta-analysis and systematic review. J Neurosurg Spine. 24:416–427. 2016.PubMed/NCBI View Article : Google Scholar

16 

Fontes RB, Wewel JT and O'Toole JE: Perioperative cost analysis of minimally invasive vs open resection of intradural extramedullary spinal cord tumors. Neurosurgery. 78:531–539. 2016.PubMed/NCBI View Article : Google Scholar

17 

Dhandapani S and Karthigeyan M: ‘Microendoscopic’ versus ‘pure endoscopic’ surgery for spinal intradural mass lesions: A comparative study and review. Spine J. 18:1592–1602. 2018.PubMed/NCBI View Article : Google Scholar

18 

Wu J, Zhang C, Lu K, Li C and Zhou Y: A Novel inextensible endoscopic tube versus traditional extensible retractor system in single-level minimally invasive transforaminal lumbar interbody fusion: A prospective observation study. Pain Physician. 22:E587–E599. 2019.PubMed/NCBI

19 

Dahlberg D, Halvorsen CM, Lied B and Helseth E: Minimally invasive microsurgical resection of primary, intradural spinal tumours using a tubular retraction system. Br J Neurosurg. 26:472–475. 2012.PubMed/NCBI View Article : Google Scholar

20 

Nzokou A, Weil AG and Shedid D: Minimally invasive removal of thoracic and lumbar spinal tumors using a non-expandable tubular retractor. J Neurosurg Spine. 19:708–715. 2013.PubMed/NCBI View Article : Google Scholar

21 

Balasubramanian SC, Nair AR, Saphiya NN, Madan A and Mathews SS: Minimally invasive resection of spinal tumors with tubular retractor: Case series, surgical technique, and outcome. World Neurosurg. 149:e612–e621. 2021.PubMed/NCBI View Article : Google Scholar

22 

Zhu YJ, Ying GY, Chen AQ, Wang LL, Yu DF, Zhu LL, Ren YC, Wang C, Wu PC, Yao Y, et al: Minimally invasive removal of lumbar intradural extramedullary lesions using the interlaminar approach. Neurosurg Focus. 39(E10)2015.PubMed/NCBI View Article : Google Scholar

23 

Mannion RJ, Nowitzke AM, Efendy J and Wood MJ: Safety and efficacy of intradural extramedullary spinal tumor removal using a minimally invasive approach. Neurosurgery. 68:208–216. 2011.PubMed/NCBI View Article : Google Scholar

24 

Formo M, Halvorsen CM, Dahlberg D, Brommeland T, Fredø H, Hald J, Scheie D, Langmoen IA, Lied B and Helseth E: Minimally invasive microsurgical resection of primary, intradural spinal tumors is feasible and safe: A consecutive series of 83 Patients. Neurosurgery. 82:365–371. 2018.PubMed/NCBI View Article : Google Scholar

25 

Caballero-García J, Linares-Benavides YJ, Leitão ULS, Aparicio-García C and López-Sánchez M: Minimally invasive removal of extra- and intradural spinal tumors using full endoscopic visualization. Global Spine J. 12:121–129. 2022.PubMed/NCBI View Article : Google Scholar

26 

Zeng W, Jiang H, He S, Zhang Y, Yu B, Wang H and Wang C: Comparison of neuroendoscopic and microscopic surgery for unilateral hemilaminectomy: Experience of a single institution. Front Surg. 9(823770)2022.PubMed/NCBI View Article : Google Scholar

27 

Ying GY, Yao Y, Shen F, Wu ZY, Chen CM and Zhu YJ: Percutaneous endoscopic removal of cervical foraminal schwannoma via interlaminar approach: A case report. Oper Neurosurg (Hagerstown). 14:1–5. 2018.PubMed/NCBI View Article : Google Scholar

28 

Özkan N, Dammann P, Chen B, Schoemberg T, Schlamann M, Sandalcioglu IE and Sure U: Operative strategies in ventrally and ventrolaterally located spinal meningiomas and review of the literature. Neurosurg Rev. 36:611–619. 2013.PubMed/NCBI View Article : Google Scholar

29 

Telfeian AE, Choi DB and Aghion DM: Transforaminal endoscopic surgery under local analgesia for ventral epidural thoracic spinal tumor: Case report. Clin Neurol Neurosurg. 134:1–3. 2015.PubMed/NCBI View Article : Google Scholar

30 

Minamide A, Yoshida M, Yamada H, Nakagawa Y, Maio K, Kawai M and Iwasaki H: Clinical outcomes of microendoscopic decompression surgery for cervical myelopathy. Eur Spine J. 19:487–493. 2010.PubMed/NCBI View Article : Google Scholar

31 

Soriano-Sánchez JA, Soto García ME, Soriano Solís S, Rodríguez García M, Trejo Huerta P, Sánchez Escandón O, Flores Soria ER and Romero-Rangel JAI: Microsurgical resection of intraspinal benign tumors using non-expansile tubular access. World Neurosurg. 133:e97–e104. 2020.PubMed/NCBI View Article : Google Scholar

32 

El-Hajj VG, Pettersson-Segerlind J, Fletcher-Sandersjöö A, Edström E and Elmi-Terander A: Current knowledge on spinal meningiomas-surgical treatment, complications, and outcomes: A systematic review and meta-analysis (Part 2). Cancers (Basel). 14(6221)2022.PubMed/NCBI View Article : Google Scholar

33 

Tola S, De Angelis M, Bistazzoni S, Chiaramonte C, Esposito V and Paolini S: Hemilaminectomy for spinal meningioma: A case series of 20 patients with a focus on ventral- and ventrolateral lesions. Clin Neurol Neurosurg. 148:35–41. 2016.PubMed/NCBI View Article : Google Scholar

34 

Kravtsov MN, Manukovsky VA, Mirzametov SD, Malysheva OV, Averyanov DA and Svistov DV: Percutaneous transforaminal full-endoscopic removal of neurinoma of the fifth lumbar nerve root with intraoperative neuromonitoring: A case report. Front Surg. 9(877974)2022.PubMed/NCBI View Article : Google Scholar

35 

Tumialán LM, Theodore N, Narayanan M, Marciano FF and Nakaji P: Anatomic basis for minimally invasive resection of intradural extramedullary lesions in thoracic spine. World Neurosurg. 109:e770–e777. 2018.PubMed/NCBI View Article : Google Scholar

36 

Duff JM, Omoumi P, Bobinski L, Belouaer A, Plaza Wuthrich S, Zanchi F and Maduri R: Transtubular image-guided surgery for spinal intradural lesions: Techniques, results, and complications in a consecutive series of 60 patients. J Neurosurg Spine: 1-9, 2022 doi: 10.3171/2021.10.SPINE211168 (Epub ahead of print).

37 

Maduri R, Bobinski L and Duff JM: Image merge tailored access resection (IMTAR) of spinal intradural tumors. Technical report of 13 cases. World Neurosurg. 98:594–602. 2017.PubMed/NCBI View Article : Google Scholar

Related Articles

  • Abstract
  • View
  • Download
  • Twitter
Copy and paste a formatted citation
Spandidos Publications style
Zhang G, Jia B, Wang P, Xu C, Liu J, Tang C, Jiang H, Tan X and Wu N: Pure endoscopic minimally invasive surgery with a non‑expandable tubular retractor for intradural extramedullary spinal tumors. Exp Ther Med 25: 137, 2023.
APA
Zhang, G., Jia, B., Wang, P., Xu, C., Liu, J., Tang, C. ... Wu, N. (2023). Pure endoscopic minimally invasive surgery with a non‑expandable tubular retractor for intradural extramedullary spinal tumors. Experimental and Therapeutic Medicine, 25, 137. https://doi.org/10.3892/etm.2023.11836
MLA
Zhang, G., Jia, B., Wang, P., Xu, C., Liu, J., Tang, C., Jiang, H., Tan, X., Wu, N."Pure endoscopic minimally invasive surgery with a non‑expandable tubular retractor for intradural extramedullary spinal tumors". Experimental and Therapeutic Medicine 25.3 (2023): 137.
Chicago
Zhang, G., Jia, B., Wang, P., Xu, C., Liu, J., Tang, C., Jiang, H., Tan, X., Wu, N."Pure endoscopic minimally invasive surgery with a non‑expandable tubular retractor for intradural extramedullary spinal tumors". Experimental and Therapeutic Medicine 25, no. 3 (2023): 137. https://doi.org/10.3892/etm.2023.11836
Copy and paste a formatted citation
x
Spandidos Publications style
Zhang G, Jia B, Wang P, Xu C, Liu J, Tang C, Jiang H, Tan X and Wu N: Pure endoscopic minimally invasive surgery with a non‑expandable tubular retractor for intradural extramedullary spinal tumors. Exp Ther Med 25: 137, 2023.
APA
Zhang, G., Jia, B., Wang, P., Xu, C., Liu, J., Tang, C. ... Wu, N. (2023). Pure endoscopic minimally invasive surgery with a non‑expandable tubular retractor for intradural extramedullary spinal tumors. Experimental and Therapeutic Medicine, 25, 137. https://doi.org/10.3892/etm.2023.11836
MLA
Zhang, G., Jia, B., Wang, P., Xu, C., Liu, J., Tang, C., Jiang, H., Tan, X., Wu, N."Pure endoscopic minimally invasive surgery with a non‑expandable tubular retractor for intradural extramedullary spinal tumors". Experimental and Therapeutic Medicine 25.3 (2023): 137.
Chicago
Zhang, G., Jia, B., Wang, P., Xu, C., Liu, J., Tang, C., Jiang, H., Tan, X., Wu, N."Pure endoscopic minimally invasive surgery with a non‑expandable tubular retractor for intradural extramedullary spinal tumors". Experimental and Therapeutic Medicine 25, no. 3 (2023): 137. https://doi.org/10.3892/etm.2023.11836
Follow us
  • Twitter
  • LinkedIn
  • Facebook
About
  • Spandidos Publications
  • Careers
  • Cookie Policy
  • Privacy Policy
How can we help?
  • Help
  • Live Chat
  • Contact
  • Email to our Support Team