Spandidos Publications Logo
  • About
    • About Spandidos
    • Aims and Scopes
    • Abstracting and Indexing
    • Editorial Policies
    • Reprints and Permissions
    • Job Opportunities
    • Terms and Conditions
    • Contact
  • Journals
    • All Journals
    • Oncology Letters
      • Oncology Letters
      • Information for Authors
      • Editorial Policies
      • Editorial Board
      • Aims and Scope
      • Abstracting and Indexing
      • Bibliographic Information
      • Archive
    • International Journal of Oncology
      • International Journal of Oncology
      • Information for Authors
      • Editorial Policies
      • Editorial Board
      • Aims and Scope
      • Abstracting and Indexing
      • Bibliographic Information
      • Archive
    • Molecular and Clinical Oncology
      • Molecular and Clinical Oncology
      • Information for Authors
      • Editorial Policies
      • Editorial Board
      • Aims and Scope
      • Abstracting and Indexing
      • Bibliographic Information
      • Archive
    • Experimental and Therapeutic Medicine
      • Experimental and Therapeutic Medicine
      • Information for Authors
      • Editorial Policies
      • Editorial Board
      • Aims and Scope
      • Abstracting and Indexing
      • Bibliographic Information
      • Archive
    • International Journal of Molecular Medicine
      • International Journal of Molecular Medicine
      • Information for Authors
      • Editorial Policies
      • Editorial Board
      • Aims and Scope
      • Abstracting and Indexing
      • Bibliographic Information
      • Archive
    • Biomedical Reports
      • Biomedical Reports
      • Information for Authors
      • Editorial Policies
      • Editorial Board
      • Aims and Scope
      • Abstracting and Indexing
      • Bibliographic Information
      • Archive
    • Oncology Reports
      • Oncology Reports
      • Information for Authors
      • Editorial Policies
      • Editorial Board
      • Aims and Scope
      • Abstracting and Indexing
      • Bibliographic Information
      • Archive
    • Molecular Medicine Reports
      • Molecular Medicine Reports
      • Information for Authors
      • Editorial Policies
      • Editorial Board
      • Aims and Scope
      • Abstracting and Indexing
      • Bibliographic Information
      • Archive
    • World Academy of Sciences Journal
      • World Academy of Sciences Journal
      • Information for Authors
      • Editorial Policies
      • Editorial Board
      • Aims and Scope
      • Abstracting and Indexing
      • Bibliographic Information
      • Archive
    • International Journal of Functional Nutrition
      • International Journal of Functional Nutrition
      • Information for Authors
      • Editorial Policies
      • Editorial Board
      • Aims and Scope
      • Abstracting and Indexing
      • Bibliographic Information
      • Archive
    • International Journal of Epigenetics
      • International Journal of Epigenetics
      • Information for Authors
      • Editorial Policies
      • Editorial Board
      • Aims and Scope
      • Abstracting and Indexing
      • Bibliographic Information
      • Archive
    • Medicine International
      • Medicine International
      • Information for Authors
      • Editorial Policies
      • Editorial Board
      • Aims and Scope
      • Abstracting and Indexing
      • Bibliographic Information
      • Archive
  • Articles
  • Information
    • Information for Authors
    • Information for Reviewers
    • Information for Librarians
    • Information for Advertisers
    • Conferences
  • Language Editing
Spandidos Publications Logo
  • About
    • About Spandidos
    • Aims and Scopes
    • Abstracting and Indexing
    • Editorial Policies
    • Reprints and Permissions
    • Job Opportunities
    • Terms and Conditions
    • Contact
  • Journals
    • All Journals
    • Biomedical Reports
      • Information for Authors
      • Editorial Policies
      • Editorial Board
      • Aims and Scope
      • Abstracting and Indexing
      • Bibliographic Information
      • Archive
    • Experimental and Therapeutic Medicine
      • Information for Authors
      • Editorial Policies
      • Editorial Board
      • Aims and Scope
      • Abstracting and Indexing
      • Bibliographic Information
      • Archive
    • International Journal of Epigenetics
      • Information for Authors
      • Editorial Policies
      • Editorial Board
      • Aims and Scope
      • Abstracting and Indexing
      • Bibliographic Information
      • Archive
    • International Journal of Functional Nutrition
      • Information for Authors
      • Editorial Policies
      • Editorial Board
      • Aims and Scope
      • Abstracting and Indexing
      • Bibliographic Information
      • Archive
    • International Journal of Molecular Medicine
      • Information for Authors
      • Editorial Policies
      • Editorial Board
      • Aims and Scope
      • Abstracting and Indexing
      • Bibliographic Information
      • Archive
    • International Journal of Oncology
      • Information for Authors
      • Editorial Policies
      • Editorial Board
      • Aims and Scope
      • Abstracting and Indexing
      • Bibliographic Information
      • Archive
    • Medicine International
      • Information for Authors
      • Editorial Policies
      • Editorial Board
      • Aims and Scope
      • Abstracting and Indexing
      • Bibliographic Information
      • Archive
    • Molecular and Clinical Oncology
      • Information for Authors
      • Editorial Policies
      • Editorial Board
      • Aims and Scope
      • Abstracting and Indexing
      • Bibliographic Information
      • Archive
    • Molecular Medicine Reports
      • Information for Authors
      • Editorial Policies
      • Editorial Board
      • Aims and Scope
      • Abstracting and Indexing
      • Bibliographic Information
      • Archive
    • Oncology Letters
      • Information for Authors
      • Editorial Policies
      • Editorial Board
      • Aims and Scope
      • Abstracting and Indexing
      • Bibliographic Information
      • Archive
    • Oncology Reports
      • Information for Authors
      • Editorial Policies
      • Editorial Board
      • Aims and Scope
      • Abstracting and Indexing
      • Bibliographic Information
      • Archive
    • World Academy of Sciences Journal
      • Information for Authors
      • Editorial Policies
      • Editorial Board
      • Aims and Scope
      • Abstracting and Indexing
      • Bibliographic Information
      • Archive
  • Articles
  • Information
    • For Authors
    • For Reviewers
    • For Librarians
    • For Advertisers
    • Conferences
  • Language Editing
Login Register Submit
  • This site uses cookies
  • You can change your cookie settings at any time by following the instructions in our Cookie Policy. To find out more, you may read our Privacy Policy.

    I agree
Search articles by DOI, keyword, author or affiliation
Search
Advanced Search
presentation
Experimental and Therapeutic Medicine
Join Editorial Board Propose a Special Issue
Print ISSN: 1792-0981 Online ISSN: 1792-1015
Journal Cover
June-2023 Volume 25 Issue 6

Full Size Image

Sign up for eToc alerts
Recommend to Library

Journals

International Journal of Molecular Medicine

International Journal of Molecular Medicine

International Journal of Molecular Medicine is an international journal devoted to molecular mechanisms of human disease.

International Journal of Oncology

International Journal of Oncology

International Journal of Oncology is an international journal devoted to oncology research and cancer treatment.

Molecular Medicine Reports

Molecular Medicine Reports

Covers molecular medicine topics such as pharmacology, pathology, genetics, neuroscience, infectious diseases, molecular cardiology, and molecular surgery.

Oncology Reports

Oncology Reports

Oncology Reports is an international journal devoted to fundamental and applied research in Oncology.

Experimental and Therapeutic Medicine

Experimental and Therapeutic Medicine

Experimental and Therapeutic Medicine is an international journal devoted to laboratory and clinical medicine.

Oncology Letters

Oncology Letters

Oncology Letters is an international journal devoted to Experimental and Clinical Oncology.

Biomedical Reports

Biomedical Reports

Explores a wide range of biological and medical fields, including pharmacology, genetics, microbiology, neuroscience, and molecular cardiology.

Molecular and Clinical Oncology

Molecular and Clinical Oncology

International journal addressing all aspects of oncology research, from tumorigenesis and oncogenes to chemotherapy and metastasis.

World Academy of Sciences Journal

World Academy of Sciences Journal

Multidisciplinary open-access journal spanning biochemistry, genetics, neuroscience, environmental health, and synthetic biology.

International Journal of Functional Nutrition

International Journal of Functional Nutrition

Open-access journal combining biochemistry, pharmacology, immunology, and genetics to advance health through functional nutrition.

International Journal of Epigenetics

International Journal of Epigenetics

Publishes open-access research on using epigenetics to advance understanding and treatment of human disease.

Medicine International

Medicine International

An International Open Access Journal Devoted to General Medicine.

Journal Cover
June-2023 Volume 25 Issue 6

Full Size Image

Sign up for eToc alerts
Recommend to Library

  • Article
  • Citations
    • Cite This Article
    • Download Citation
    • Create Citation Alert
    • Remove Citation Alert
    • Cited By
  • Similar Articles
    • Related Articles (in Spandidos Publications)
    • Similar Articles (Google Scholar)
    • Similar Articles (PubMed)
  • Download PDF
  • Download XML
  • View XML
Case Report Open Access

Extracorporeal membrane oxygenation combined with minimally invasive surgery for acute respiratory failure and sudden cardiac arrest: A case report

  • Authors:
    • Da-Wei Guo
    • Jun Gao
    • Heng-Lan Wu
    • Cheng Wu
    • Jian-Xiang Wu
    • Qiang Rui
    • Yi Bao
    • Zhong-Hua Liu
    • Xi-Yong Wang
    • Li-Dong Xu
    • Xun Hu
    • Jun Zhang
  • View Affiliations / Copyright

    Affiliations: Department of Cardiothoracic Surgery, The Second Affiliated Hospital of Jiaxing University, Jiaxing, Zhejiang 314000, P.R. China, Department of Nephrology, The First Hospital of Jiaxing, Affiliated Hospital of Jiaxing University, Jiaxing, Zhejiang 314000, P.R. China, Department of Anesthesiology, The Second Affiliated Hospital of Jiaxing University, Jiaxing, Zhejiang 314000, P.R. China, Department of Emergency, The Second Affiliated Hospital of Jiaxing University, Jiaxing, Zhejiang 314000, P.R. China, The Key Laboratory, The Second Affiliated Hospital of Jiaxing University, Jiaxing, Zhejiang 314000, P.R. China
    Copyright: © Guo et al. This is an open access article distributed under the terms of Creative Commons Attribution License.
  • Article Number: 250
    |
    Published online on: April 13, 2023
       https://doi.org/10.3892/etm.2023.11949
  • Expand metrics +
Metrics: Total Views: 0 (Spandidos Publications: | PMC Statistics: )
Metrics: Total PDF Downloads: 0 (Spandidos Publications: | PMC Statistics: )
Cited By (CrossRef): 0 citations Loading Articles...

This article is mentioned in:



Abstract

Acute respiratory failure and sudden cardiac arrest caused by acute intrathoracic infection is a fatal clinical condition with a low resuscitation success rate. The present study describes the case of a patient with acute empyema secondary to an acute lung abscess rupture, complicated by acute respiratory failure and sudden cardiac arrest caused by severe hypoxemia. The patient recovered well through the administration of multiple therapeutic measures, including medication and closed chest drainage, cardiopulmonary resuscitation, extracorporeal membrane oxygenation combined with continuous renal replacement therapy, and minimally invasive surgical resection of the lung lesion with persistent alveolar fistula as the clinical manifestation. To the best of our knowledge, the treatment of such a severe condition combined with thoracoscopic surgery has rarely been reported before, and the present study may provide insight regarding therapeutic schedules for acute respiratory failure by intrathoracic infection, and excision of ruptured lung abscess.

Introduction

Suppurative pleural effusion caused by intrathoracic infection is the main manifestation of acute empyema (1). Severe empyema can be complicated by acute respiratory distress syndrome (ARDS) or, in severe cases, by respiratory and circulatory failure which can lead to death. Conventional treatments for acute empyema and ARDS include thoracic drainage and mechanical ventilation, extracorporeal membrane oxygenation (ECMO), and continuous renal replacement therapy (CRRT) may be necessary to provide effective respiratory and circulatory support and correct water and electrolyte imbalances (2). Additionally, a surgical procedure should be considered and may be critical to remove the focus of the infection completely, especially when conservative treatment has not been effective despite the extreme risk. Herein, we describe the case presentation of a 51-year-old man with acute empyema secondary to an acute lung abscess rupture complicated by a sudden cardiac arrest caused by rapidly progressing severe hypoxemia who was successfully treated with ECMO combined with CRRT and thoracoscopic minimally invasive surgery for persistent alveolar fistula.

Case report

A 51-year-old man was admitted to emergency intensive care unit (EICU) of the Second Affiliated Hospital of Jiaxing University (Jiaxing, China) in July, 2020, due to a cough accompanied by left chest pain and high fever. On the afternoon of admission, he experienced sudden shortness of breath and a cough with yellow purulent foul-smelling sputum accompanied by systemic profuse sweating. Chest computed tomography (CT) was performed immediately (Fig. 1) and showed a left upper lung abscess and left empyema, considered indicative of infection. A cardiac color ultrasound showed blunt and paradoxical apex movement and mild aortic valve, mitral valve, and tricuspid regurgitation. His blood tests showed metabolic acidosis and hypoxemia and white blood cell (WBC) count of 65.5x109/l. The patient had a history of ankylosing spondylitis, a kind of autoimmune disease, and had been taking immunosuppressive drugs, including salazosulfadimidine and adrenocortical hormone. However, his family medical history was unremarkable.

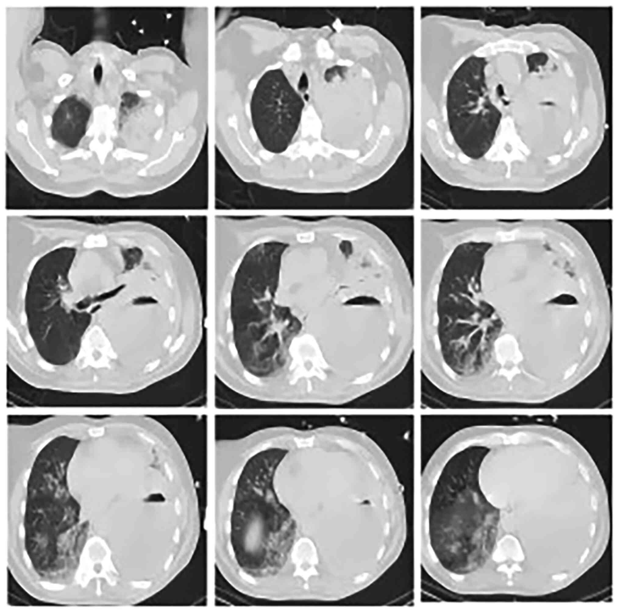
Figure 1

Chest computed tomography images of the patient on admission showing a large left pleural effusion, left lung consolidation, and right lower lung infection.

After admission, bedside left thoracic closed drainage was performed immediately. After placement of a 24F thoracic drainage tube, a large amount of yellow pus and foul-smelling pleural effusion were drained. Simultaneously, meropenem (1.0 g Q6h) and Vancomycin (0.5 g Q12H) was administered empirically as anti-infection measures. According to the bacteriological results of the pleural effusion after thoracic closed drainage, both gram-positive cocci and gram-negative bacilli were found in the pleural fluid smear, and the bacterial culture results indicated Streptococcus constellations. The blood culture was negative at that time. His chest distress improved, but his oxygenation levels remained unstable. A dynamic blood gas reanalysis revealed continuous deterioration of hypoxia and acidosis. He was ventilated with an endotracheal intubation ventilator 32 h after admission, and a second chest CT (Fig. 2) was performed immediately; it showed multiple infections in both lungs and a large consolidation in the left lung. A mega dose of methylprednisolone (500 mg) was administered to reduce inflammation. Compared with previous examinations, these conditions progressed significantly and rapidly, and he continued to present with low oxygenation under pure oxygen ventilation with endotracheal intubation. Thirty-four hours after admission, he experienced ventricular fibrillation and sudden cardiac arrest three times in the following two hours. Aggressive treatment, including cardiac compression, electrical defibrillation, and drug treatment, was immediately initiated. ECMO using veno-arterial catheterization (VA-ECMO) (flow rate, 2.8 l/min) was performed immediately after cardioversion. One hour after ECMO placement, arterial blood gas analysis showed a partial pressure of oxygen of 131 mmHg, suggesting a substantial improvement in his hypoxia and acidosis.

Figure 2

Chest computed tomography 32 h after admission showing multiple infections in both lungs and a large consolidation in the left lung.

Four hours after ECMO implantation, the patient had continuous anuria and a urea nitrogen level of 8.9 mmol/l, and his creatinine levels rose to 150.7 µmol/l. Bedside CRRT was performed immediately. The treatment mode was set to continuous venovenous hemofiltration (flow rate, 2,000 ml/h). The patient's condition gradually improved after this. On the 8th day after admission, both ECMO and CRRT were withdrawn after six days of treatment. On the 11th day, chest CT showed that the pulmonary infection had improved significantly. Tracheal extubation was then performed. After the patient was transferred to the thoracic surgery ward for subsequent treatment, he continued to have air bubble overflow in the left chest tube (1-2 degrees of air leakage) while coughing. On the 20th day after admission, he developed a low-grade fever and leukopenia. Routine blood tests showed a WBC count of 1.8x109/l, neutrophil count of 0.2x109/l (11.3%), and hemoglobin level of 67 g/l. Drug-induced myelosuppression was considered after discussion with a multidisciplinary team (MDT). All drugs, including antibiotics, were discontinued, and a subcutaneous injection of granulocytes was subsequently administered. Three days later, his body temperature was back to normal.

A chest CT on the 35th day after admission (Fig. 3) demonstrated that the exudation in both lungs was absorbed, but a left upper lung abscess with bronchopleural fistula was considered as a possible diagnosis. After MDT discussions, minimally invasive surgery-having only a single-hole (Fig. 4A)-was performed the next day, including wedge resection of the left upper lung lesion and empyema removal. Intraoperative exploration revealed a peripheral abscess with an alveolar fistula in the left upper lung lesion. The total operation time was ~70 min. During intraoperative exploration, lesions were observed in the visceral pleura. The surrounding lung tissues showed inflammatory changes and demonstrated a brittle texture. After the lesion was removed using Endo-GIA staplers (Ethicon, Somerville, NJ, USA), 4-0 prolene thread (Ethicon) was used for continuous suture reinforcement of the wound surfaces to reduce postoperative air leakage.

Figure 3

Chest computed tomography on the 35th day after admission showing a bronchial abscess with bronchopleural fistula in the left upper lung, a very difficult condition to treat without surgery.

Figure 4

Surgical approach, chest radiography and postoperative pathology images. (A) Image showing the location of the single-port surgical incision, approximately 3 cm in length, and placement of the #19 drainage tube. (B) Chest X-ray at 2 h after surgery revealing no significant hydropneumothorax in the left thoracic cavity. (C) Good re-expansion of the left lung and only a small residual cavity at the top of the left thoracic cavity is observed at 3 weeks after surgery. (D) Image corresponding to the pathological examination of the lung lesion revealing pulmonary fibrous hyperplasia, with massive neutrophil and plasma cell infiltration, and massive foam cell accumulation in the alveolar space (magnification, x200).

Chest radiography performed the day after surgery revealed no significant hydropneumothorax in the left thoracic cavity (Fig. 4B). There was no air leakage in the left thoracic duct one week postoperatively. The chest tube was removed two weeks postoperatively and chest radiography at three weeks (Fig. 4C) showed that the left lung had recovered well. Postoperative pathology (Fig. 4D) revealed fibrous hyperplasia with massive neutrophil and plasma cell infiltration, and massive foam cell accumulation in the alveolar space in the left upper lung. His vital signs were stable, and he was discharged uneventfully. The timeline of the treatment process is shown in Fig. 5. The critical information that reflects the severity of the disease included partial pressure of oxygen (PaO2)/fraction of inspired oxygen (FiO2) ratio (P/F ratio) and endogenous creatinine clearance rate (Ccr) are shown in Fig. 6. After one year of postoperative follow-up, his cardiopulmonary function continued to be stable, with no recurrence of infection.

Figure 5

Treatment timeline. EICU, emergency intensive care unit; ECMO, extracorporeal membrane oxygenation; CRRT, continuous renal replacement therapy.

Figure 6

Trend chart of oxygenation index (P/F ratio), endogenous Ccr and WBC count during the whole treatment cycle. P/F ratio, partial pressure of oxygen (PaO2)/fraction of inspired oxygen (FiO2) ratio; Ccr, creatinine clearance; WBC, white blood cell; h, hours; d, days.

Discussion

ARDS caused by acute intrathoracic infection usually progress rapidly because of systemic inflammatory storm, especially in patients with a history of autoimmune disease. With accumulating evidence (3,4), ECMO has demonstrated strong potential for a good prognosis and good application prospects in the treatment of adult ARDS. For example, venovenous ECMO (VV-ECMO) plays a definitive role in improving hypoxia, correcting carbon dioxide retention, and protecting lung tissue (2). However, controversies still remain regarding the selection of VV-ECMO or VA-ECMO (5). After an MDT discussion, the patient finally underwent VA-ECMO. The reasons were: first, echocardiography on admission revealed paradoxical movement of the ventricular wall, significantly elevated creatine kinase myocardial band (142 ng/ml, ref 0-5), myoglobin (>3,000 ng/ml, ref 20-80), and high-sensitivity troponin levels (1,592 ng/l, ref 0-0.04), suggesting pre-existing infectious myocarditis and myocardial damage. Second, he had experienced three episodes of ventricular fibrillation and sudden cardiac arrest due to hypoxia, so the myocardial damage was substantially aggravated. Third, he experienced hemodynamic instability after cardiopulmonary resuscitation. Although VA-ECMO can increase the risk of stroke, bleeding, renal failure, and cobra syndrome (i.e., selective upper body hypoxia) compared to that with VV-ECMO (6-8), this patient experienced no associated adverse events.

Protection of renal function and hemofiltration are especially important in the presence of multiple organ failure. The main purpose of CRRT is to remove excessive water and metabolic waste, correct water and electrolyte imbalances. CRRT is mostly used for treating acute and chronic kidney diseases. Since CRRT can also remove various cytokines and inflammatory mediators, it has likewise been successfully applied to the treatment of severe liver, lung, heart, pancreas, and other organ damage as well as sepsis (9). For this patient, we conducted bedside CRRT to protect the patient's renal function in the early stages of renal impairment, and thus avoided additional deterioration of renal function, adjusted the stability of his internal environment, and provided the proper preconditions for drug efficacy. It should be also noted that CRRT can remove small molecules, promoting the recovery of cardiac function (his left ventricular ejection fraction increased from 39 to 58%). Moreover, CRRT can also help patients with severe ARDS with hemodynamic instability by accurately implementing fluid management strategies (10,11). A previous retrospective study showed better fluid management with than without CRRT among surviving patients treated with ECMO, and that fluid overload during ECMO was an important factor associated with a poor prognosis (12).

After the patient was transferred to the general ward at our hospital, chest CT showed a left upper lung abscess (~1.5 cm in diameter) with an alveolar fistula accompanied by two clinical problems: persistent air leakage in the left chest tube and intermittent low-grade fever. A prior study confirmed that surgical treatment should be selected for patients with small lung abscesses, localized empyema, symptoms lasting >12 weeks, and little hope for the efficacy of conservative treatment (13). Additional surgical indications include massive hemoptysis, persistent septic fever, bronchopleural fistula, and empyema caused by abscess rupture (14). Recommended surgical methods include lobectomy, segmentectomy, and pulmonary wedge resection, which are selected according to the lesion size and location (14). The prognosis for surgery depends on the patient's systemic status and immune function. Although postoperative mortality as high as 11-28% was reported, as of 2005 the mortality rate has decreased with the recent popularization of effective and minimally invasive techniques (15).

In summary, acute empyema may rapidly develop into ARDS and lead to fatal consequences especially in immunocompromised patients, thus this critical situation warrants vigilance from clinicians. Also, timely and effective use of ECMO can increase the success rate of rescue, and the choice of ECMO mode depends on comprehensively evaluating the patient's condition. Moreover, minimally invasive surgery, even for high-risk patients, should still be considered when conservative treatment fails.

Acknowledgements

Not applicable.

Funding

Funding: No funding was received.

Availability of data and materials

The datasets used and/or analyzed during the current study are available from the corresponding author on reasonable request.

Authors' contributions

JZ and HW conceived and designed the work. DG collected and collated the data and wrote the manuscript. CW, JW and QR implemented the placement and withdrawal of ECMO. HW guided the use of CRRT. JG, ZL, XW, LX and XH participated in the operation and the collation of patient information. YB guided the anti-infection drug treatment and collected data. JZ critically revised the manuscript. All authors read and approved the final manuscript. DG and JZ confirm the authenticity of all the raw data.

Ethics approval and consent to participate

This report was approved and presented according to the guidelines of the Ethics Committee of the Second Hospital of Jiaxing (approval no. JXEY-LWSC080).

Patient consent for publication

Written informed consent was obtained for the publication of the patient's data and images in this case report.

Competing interests

The authors declare that they have no competing interests.

References

1 

Man MY, Shum HP, Wu A, Lee RA and Yan WW: A case of severe empyema with acute respiratory distress syndrome caused by slackia exigua requiring veno-venous extracorporeal membrane oxygenation. Anaerobe. 48:7–11. 2017.PubMed/NCBI View Article : Google Scholar

2 

Tandukar S and Palevsky PM: Continuous renal replacement therapy: Who, when, why, and how. Chest. 155:626–638. 2019.PubMed/NCBI View Article : Google Scholar

3 

Australia and New Zealand Extracorporeal Membrane Oxygenation (ANZ ECMO) Influenza Investigators. Davies A, Jones D, Bailey M, Beca J, Bellomo R, Blackwell N, Forrest P, Gattas D, Granger E, et al: Extracorporeal membrane oxygenation for 2009 influenza A(H1N1) acute respiratory distress syndrome. JAMA. 302:1888–1895. 2009.PubMed/NCBI View Article : Google Scholar

4 

Peek GJ, Mugford M, Tiruvoipati R, Wilson A, Allen E, Thalanany MM, Hibbert CL, Truesdale A, Clemens F, Cooper N, et al: Efficacy and economic assessment of conventional ventilatory support versus extracorporeal membrane oxygenation for severe adult respiratory failure (CESAR): A multicentre randomised controlled trial. Lancet. 374:1351–1363. 2009.PubMed/NCBI View Article : Google Scholar

5 

Kon ZN, Bittle GJ, Pasrija C, Pham SM, Mazzeffi MA, Herr DL, Sanchez PG and Griffith BP: Venovenous versus venoarterial extracorporeal membrane oxygenation for adult patients with acute respiratory distress syndrome requiring precannulation hemodynamic support: A review of the ELSO registry. Ann Thorac Surg. 104:645–649. 2017.PubMed/NCBI View Article : Google Scholar

6 

Delius R, Anderson H III, Schumacher R, Shapiro M, Otsu T, Toft K, Hirsch J and Bartlett R: Venovenous compares favorably with venoarterial access for extracorporeal membrane oxygenation in neonatal respiratory failure. J Thorac Cardiovasc Surg. 106:329–338. 1993.PubMed/NCBI

7 

Oshima K, Kunimoto F, Hinohara H, Ohkawa M, Mita N, Tajima Y and Saito S: Extracorporeal membrane oxygenation for respiratory failure: A comparison of venovenous versus venoarterial bypass. Surg Today. 40:216–222. 2010.PubMed/NCBI View Article : Google Scholar

8 

Papademetriou MD, Tachtsidis I, Banaji M, Elliott MJ, Hoskote A and Elwell CE: Optical topography to measure variations in regional cerebral oxygenation in an infant supported on veno-arterial extra-corporeal membrane oxygenation. Adv Exp Med Biol. 737:71–76. 2012.PubMed/NCBI View Article : Google Scholar

9 

Zhu CY, Pan AJ, Mei Q and Chen T: Successful cure of a patient with urosepsis using a combination of extracorporeal membrane oxygenation and continuous renal replacement therapy: A case report and literature review. Chin J Traumatol. 23:372–375. 2020.PubMed/NCBI View Article : Google Scholar

10 

Han F, Sun R, Ni Y, Hu X, Chen X, Jiang L, Wu A, Ma L, Chen M, Xv Y and Tu Y: Early initiation of continuous renal replacement therapy improves clinical outcomes in patients with acute respiratory distress syndrome. Am J Med Sci. 349:199–205. 2015.PubMed/NCBI View Article : Google Scholar

11 

Laggner AN, Druml W, Lenz K, Schneeweiss B and Grimm G: Influence of ultrafiltration/hemofiltration on extravascular lung water. Contrib Nephrol. 93:65–70. 1991.PubMed/NCBI View Article : Google Scholar

12 

Cavagnaro F, Kattan J, Godoy L, Gonzáles A, Vogel A, Rodríguez JI, Faunes M, Fajardo C and Becker P: Continuous renal replacement therapy in neonates and young infants during extracorporeal membrane oxygenation. Int J Artif Organs. 30:220–226. 2007.PubMed/NCBI View Article : Google Scholar

13 

Kuhajda I, Zarogoulidis K, Tsirgogianni K, Tsavlis D, Kioumis I, Kosmidis C, Tsakiridis K, Mpakas A, Zarogoulidis P, Zissimopoulos A, et al: Lung abscess-etiology, diagnostic and treatment options. Ann Transl Med. 3(183)2015.PubMed/NCBI View Article : Google Scholar

14 

Pagès PB and Bernard A: Lung abscess and necrotizing pneumonia: Chest tube insertion or surgery? Rev Pneumol Clin. 68:84–90. 2012.PubMed/NCBI View Article : Google Scholar : (In French).

15 

Herth F, Ernst A and Becker HD: Endoscopic drainage of lung abscesses: Technique and outcome. Chest. 127:1378–1381. 2005.PubMed/NCBI View Article : Google Scholar

Related Articles

  • Abstract
  • View
  • Download
  • Twitter
Copy and paste a formatted citation
Spandidos Publications style
Guo D, Gao J, Wu H, Wu C, Wu J, Rui Q, Bao Y, Liu Z, Wang X, Xu L, Xu L, et al: Extracorporeal membrane oxygenation combined with minimally invasive surgery for acute respiratory failure and sudden cardiac arrest: A case report. Exp Ther Med 25: 250, 2023.
APA
Guo, D., Gao, J., Wu, H., Wu, C., Wu, J., Rui, Q. ... Zhang, J. (2023). Extracorporeal membrane oxygenation combined with minimally invasive surgery for acute respiratory failure and sudden cardiac arrest: A case report. Experimental and Therapeutic Medicine, 25, 250. https://doi.org/10.3892/etm.2023.11949
MLA
Guo, D., Gao, J., Wu, H., Wu, C., Wu, J., Rui, Q., Bao, Y., Liu, Z., Wang, X., Xu, L., Hu, X., Zhang, J."Extracorporeal membrane oxygenation combined with minimally invasive surgery for acute respiratory failure and sudden cardiac arrest: A case report". Experimental and Therapeutic Medicine 25.6 (2023): 250.
Chicago
Guo, D., Gao, J., Wu, H., Wu, C., Wu, J., Rui, Q., Bao, Y., Liu, Z., Wang, X., Xu, L., Hu, X., Zhang, J."Extracorporeal membrane oxygenation combined with minimally invasive surgery for acute respiratory failure and sudden cardiac arrest: A case report". Experimental and Therapeutic Medicine 25, no. 6 (2023): 250. https://doi.org/10.3892/etm.2023.11949
Copy and paste a formatted citation
x
Spandidos Publications style
Guo D, Gao J, Wu H, Wu C, Wu J, Rui Q, Bao Y, Liu Z, Wang X, Xu L, Xu L, et al: Extracorporeal membrane oxygenation combined with minimally invasive surgery for acute respiratory failure and sudden cardiac arrest: A case report. Exp Ther Med 25: 250, 2023.
APA
Guo, D., Gao, J., Wu, H., Wu, C., Wu, J., Rui, Q. ... Zhang, J. (2023). Extracorporeal membrane oxygenation combined with minimally invasive surgery for acute respiratory failure and sudden cardiac arrest: A case report. Experimental and Therapeutic Medicine, 25, 250. https://doi.org/10.3892/etm.2023.11949
MLA
Guo, D., Gao, J., Wu, H., Wu, C., Wu, J., Rui, Q., Bao, Y., Liu, Z., Wang, X., Xu, L., Hu, X., Zhang, J."Extracorporeal membrane oxygenation combined with minimally invasive surgery for acute respiratory failure and sudden cardiac arrest: A case report". Experimental and Therapeutic Medicine 25.6 (2023): 250.
Chicago
Guo, D., Gao, J., Wu, H., Wu, C., Wu, J., Rui, Q., Bao, Y., Liu, Z., Wang, X., Xu, L., Hu, X., Zhang, J."Extracorporeal membrane oxygenation combined with minimally invasive surgery for acute respiratory failure and sudden cardiac arrest: A case report". Experimental and Therapeutic Medicine 25, no. 6 (2023): 250. https://doi.org/10.3892/etm.2023.11949
Follow us
  • Twitter
  • LinkedIn
  • Facebook
About
  • Spandidos Publications
  • Careers
  • Cookie Policy
  • Privacy Policy
How can we help?
  • Help
  • Live Chat
  • Contact
  • Email to our Support Team