International Journal of Molecular Medicine is an international journal devoted to molecular mechanisms of human disease.
International Journal of Oncology is an international journal devoted to oncology research and cancer treatment.
Covers molecular medicine topics such as pharmacology, pathology, genetics, neuroscience, infectious diseases, molecular cardiology, and molecular surgery.
Oncology Reports is an international journal devoted to fundamental and applied research in Oncology.
Experimental and Therapeutic Medicine is an international journal devoted to laboratory and clinical medicine.
Oncology Letters is an international journal devoted to Experimental and Clinical Oncology.
Explores a wide range of biological and medical fields, including pharmacology, genetics, microbiology, neuroscience, and molecular cardiology.
International journal addressing all aspects of oncology research, from tumorigenesis and oncogenes to chemotherapy and metastasis.
Multidisciplinary open-access journal spanning biochemistry, genetics, neuroscience, environmental health, and synthetic biology.
Open-access journal combining biochemistry, pharmacology, immunology, and genetics to advance health through functional nutrition.
Publishes open-access research on using epigenetics to advance understanding and treatment of human disease.
An International Open Access Journal Devoted to General Medicine.
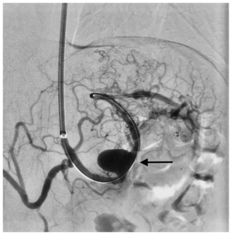
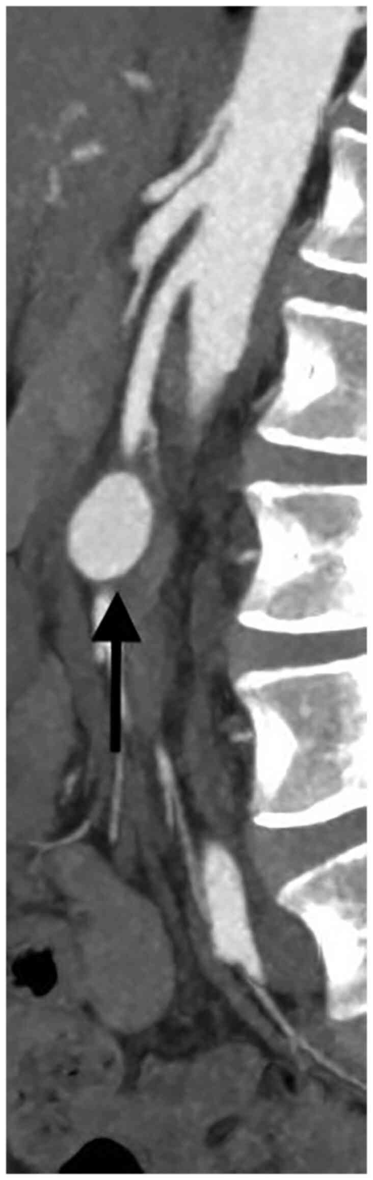
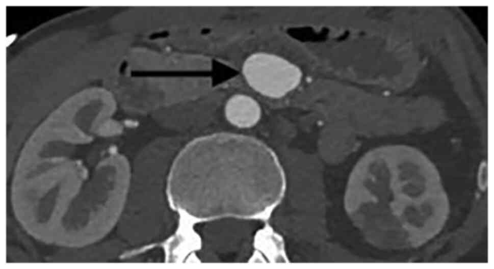
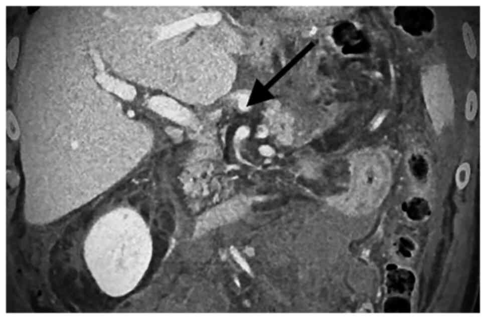
Visceral artery aneurysms are defined in this retrospective analysis as a true aneurysm in the celiac trunk (CT), superior mesenteric artery (SMA), inferior mesenteric artery, and/or their branches. Visceral artery aneurysms (VAAs) are rare and mostly asymptomatic., Rapid growth, size >2 cm, and pregnancy are risk factors associated with rupture. True visceral aneurysms are aneurysms are the result of weakening and thinning of the artery wall. Atherosclerosis, connective tissue disorders, infection (for example pancreatitis) and abdominal surgery are known risk factors for the development of VAA. Nowadays, conservative therapy, endovascular, and open surgery are the treatment options for patients with visceral aneurysms (VAA). During the last decade, endovascular repair of VAAs has been increasingly used (1-6). Catheter-based embolization or stent-graft placement are two major treatment options. Most VAAs originate from the splenic artery (SA) (60%) (Figs. 1 and 2), followed by the hepatic artery (HA) (20-50%) (Figs. 3 and 4). An origin from the superior mesenteric artery (SMA) (6%) (Figs. 5 and 6), the celiac trunk (CT) (4%) or other, smaller visceral arteries is considerably less common (7).
Mostly, VAAs are asymptomatic and incidental findings owing to the evolving and more frequently used imaging modalities. Risk factors associated with rupture are pancreatitis, rapid growth, size >2 cm, and pregnancy. The mortality associated with splenic artery aneurysm rupture has been reported at around 30%. In pregnancy, these rates are higher. Higher flow rate through the splenic artery because of distal compression of the aorta and iliac arteries by the pregnant uterus, portal congestion, and the progressive weakening of the basic structure of the arterial media are possible factors that explain this high mortality (8-16).
The aim of the present study is to compare the outcomes of patients undergoing open surgery (OS) or endovascular repair (ER) for the treatment of VAAs. We present our single center experience on the treatment of VAAs, reporting on 12 patients.
All patients 18 years or older at the time of surgery who were treated for VAAs and underwent endovascular or open surgery at the Department of Visceral, Vascular and Endocrine Surgery at the University Hospital Halle (Saale), Germany from 2014 to 2022 were included in the study. The STROBE statement (a checklist of items that should be addressed in articles reporting on the three main study designs of analytical epidemiology: cohort, case-control, and cross-sectional studies) was followed for reporting on observational data (17).
Anastomotic pseudoaneurysms and aortic aneurysms involving the visceral arteries were excluded. The decision to perform an open or endovascular repair was made after discussion in a multidisciplinary meeting (angiology, radiology and vascular surgery). All ruptured VAAs underwent intervention. Open repair was performed in general anesthesia as an aneurysmorrhaphy with or without vascular reconstruction by (direct end-to- end anastomosis or using a vein graft interposition). Endovascular treatment was performed in local anesthesia and consisted either of coilembolization or covered stent placement. If a stent graft placement was technically possible it was performed in order to maintain the vessel patency. If not, a coilembolization was performed.
Data was extracted and presented in a tabular fashion. The following descriptive patient and operation characteristics were documented: sex, age at diagnosis, use of diagnostic imaging techniques, aneurysm localization, aneurysm size and symptoms and therapy. The following predefined outcomes were also extracted: in-hospital mortality, major morbidity (when defined as Dindo-Clavien >III) (18), length of hospital stay and technical success (complete aneurysm occlusion in the postoperative CT-Scan). The Clavien Dindo Classification was used to rank the severity of surgical complications. This classification consists in a scale of several grades (Grade I, II, IIIa, IIIb, IV and V). Grade I complications consists in any deviation from the normal postoperative course without the need for pharmacological treatment or surgical, endoscopic, and radiological interventions. Grade II include complications requiring pharmacological treatment. Grade III refers to complications requiring surgical, endoscopic or radiological intervention (IIIa not under general anesthesia and IIIb under anesthesia). Grade IV regards life-threneting complications and Grade V represents the death of the patient (18). Descriptive statistics from our patient collective are reported as numbers or mean.
From 2014 to 2022, 12 patients with VAAs, 11 females and one male were treated at the University Hospital Halle (Saale).
The median age was 59 years (range 40 to 87 years). Only one patient was male, and all were diagnosed by a CT-scan. The detailed patient and operative characteristics are given in Tables I and II.
There were eight patients with an aneurysm of the SA, two patients with aneurysms of the SMA, one patient with an aneurysm of the HA and one patient with an aneurysm of the CT. Only one patient was symptomatic and presented with signs of bleeding. All patients received a contrast-enhanced CT-scan.
The median aneurysm diameter was 2 cm (range 1.5 cm to 5 cm) for all aneurysms, 3.75 cm for aneurysms of the SMA, 2 cm for aneurysms of the SA and for aneurysms of the CT and 1.5 for the aneurysm of the HA.
Six aneurysms of SA, one aneurysm of the CT and one aneurysm of the HA were treated with ER (eight patients). Seven patients were treated with covered stents and one with coiling embolization. In total eight covered stents were implanted. Two patients with SA aneurysms and two patients with SMA aneurysms underwent OS. No allogeneic grafts were required. Three patients needed direct suture only and one a vein graft.
There was no in-hospital mortality and no major postoperative complications (Clavien-Dindo grade ≥3). Technical success was achieved in all patients. The median postoperative stay was four days for all procedures and significantly longer after OS when compared with ER (seven days vs. three days).
In this retrospective study we reported on our single center experience on the treatment of VAAs, both with endovascular and open surgery.
In our small patient collective, no mortality was observed. This may be due to the almost total absence of emergency repairs. Considerable mortality is described in the treatment of these patients in an emergency setting (19). In a retrospective study reporting on 185 aneurysms, 46% of the patients were symptomatic with bleeding or rupture. Despite 98% technical success on treating symptomatic patients, 30-day overall and aneurysm-related mortality was 6.2 and 3.4%, respectively. On the other hand, no deaths were observed in patients undergoing elective treatment (20). In another report of 217 splenic artery aneurysms, operative mortality was 5% in the elective group and 20% in the emergency group (8). In another study an operative mortality rate of 37.5% for ruptured superior mesenteric artery aneurysms was described. Also in this study, no mortality was observed for elective repair (21). In another large retrospective study, morbidity (19% vs. 4%; P=.003), 30-day mortality (13% vs. 0% P=0.001), 1-year (32.5% vs. 4.1%, P<.001), and 3-year mortality rates (36.4% vs. 8.3%; P<.001) were significantly higher for ruptured aneurysms than for intact aneurysms. Open surgery had higher 30-day mortality rates thanendovascular repair (28% vs. 7%; P= .06) (22). In our retrospective patient cohort, length of stay was shorter in the ER group (mean difference -4.25 days, 95% CI [-5.52; -2.98], P<0.00001; seven vs. four days). Comparable results regarding the length of stay were reported in a previous meta-analysis (23). The technical success of 100% when using endovascular stentgrafts or coiling observed in our patient collective may reflect the bias inherent in the analysis of a very small patient collective. In a systematic review and meta-analysis from 2016 comprising 22 studies reporting on endovascular treatment of VAAs, a 93.2% technical success rate was reported (24).
This study has limitations. The main limitation is that it is exclusively based on retrospective data, which could represent a problem in terms of selection bias. The long inclusion period does not necessarily reflect contemporary surgical and endovascular techniques. Another limitation is the small number of patients. The STROBE guidelines were followed to ensure transparency and standardized reporting. Nevertheless, the findings of this work may provide useful information, as it reports a case series of a rare disease with outcomes on open and endovascular treatment.
In conclusion, evidence from this retrospective small case series shows no mortality and a shorter length of stay for patients undergoing ER for the treatment of VAA. Although the results are in line with the fact that ER is nowadays considered the first line treatment for VAA, they may be prone to selection bias.
Not applicable.
Funding: This work was partially supported by the Advanced Clinician Scientist Program of the Medical Faculty of the Martin-Luther University Halle-Wittenberg, Halle (Saale), Germany (grant no. FKZ ACS23/06).
The datasets used and/or analyzed during the current study are available from the corresponding author on reasonable request.
AR outlined, wrote and drafted the manuscript. AR, UR, JP, JK, EJ and JU performed analysis or interpretation of data for the work. All authors critically revised the manuscript and read and approved the final version of the manuscript. All authors agree to be accountable for all aspects of the work in ensuring that questions related to the accuracy or integrity of any part of the work are appropriately investigated and resolved. AR and JP confirm the authenticity of all the raw data.
A fully anonymized retrospective evaluation of the study data was conducted, and so the need for an ethical vote and patient consent was waived, according to section 17 of the Hospital Act of the Federal State of Saxony-Anhalt and section 15 of the Saxony-Anhalt Medical Association's professional code of conduct.
Not applicable.
The authors declare that they have no competing interests
|
Iida A, Katayama K and Yamaguchi A: Laparoscopic resection for splenic artery aneurysm using the lateral approach: Report of two cases. Asian J Endosc Surg. 6:147–150. 2013.PubMed/NCBI View Article : Google Scholar | |
|
Kim Y and Johna S: Laparoscopic excision of splenic artery aneurysm. JSLS. 17:132–134. 2013.PubMed/NCBI View Article : Google Scholar | |
|
Pietrabissa A, Ferrari M, Berchiolli R, Morelli L, Pugliese L, Ferrari V and Mosca F: Laparoscopic treatment of splenic artery aneurysms. J Vasc Surg. 50:275–279. 2009.PubMed/NCBI View Article : Google Scholar | |
|
Tiberio GA, Bonardelli S, Gheza F, Arru L, Cervi E and Giulini SM: Prospective randomized comparison of open versus laparoscopic management of splenic artery aneurysms: A 10-year study. Surg Endosc: Jun 30, 2012 (Epub ahead of print). | |
|
Balderi A, Antonietti A, Ferro L, Peano E, Pedrazzini F, Fonio P and Grosso M: Trattamento endovascolare di aneurismi e pseudoaneurismi viscerali: la nostra esperienza. Radiologia Medica. 117:815–830. 2012. | |
|
Cappucci M, Zarco F, Orgera G, López-Rueda A, Moreno J, Laurino F, Barnes D, Tipaldi MA, Gomez F, Macho Fernandez J and Rossi M: Endovascular treatment of visceral artery aneurysms and pseudoaneurysms with stent-graft: Analysis of immediate and long-term results. Cir Esp. 95:283–292. 2017.PubMed/NCBI View Article : Google Scholar : (In English, Spanish). | |
|
Meyer A, Uder M, Lang W and Croner R: Visceral artery aneurysms. Zentralbl Chir. 135:416–420. 2010.PubMed/NCBI View Article : Google Scholar : (Article in German). | |
|
Abbas MA, Stone WM, Fowl RJ, Gloviczki P, Oldenburg WA, Pairolero PC, Hallett JW, Bower TC, Panneton JM and Cherry KJ: Splenic artery aneurysms: Two decades experience at mayo clinic. Ann Vasc Surg. 16:442–449. 2002.PubMed/NCBI View Article : Google Scholar | |
|
Tulsyan N, Kashyap VS, Greenberg RK, Sarac TP, Clair DG, Pierce G and Ouriel K: The endovascular management of visceral artery aneurysms and pseudoaneurysms. J Vasc Surg. 45:276–283. 2007.PubMed/NCBI View Article : Google Scholar | |
|
Herbeck M, Horbach T, Putzenlechner C, Klein P and Lang W: Ruptured splenic artery aneurysm during pregnancy: A rare case report with both maternal and fetal survival. Am J Obstet Gynecol. 181:763–764. 1999.PubMed/NCBI View Article : Google Scholar | |
|
Barrett JM, Van Hooydonk JE and Boehm FH: Pregnancy related rupture of arterial aneurysms. Obstet Gynecol Surv. 37:557–566. 1982.PubMed/NCBI View Article : Google Scholar | |
|
Trastek VF, Pairolero PC and Bernatz PE: Splenic artery aneurysms. World J Surg. 9:378–383. 1985.PubMed/NCBI View Article : Google Scholar | |
|
Lee PC, Rhee RY, Gordon RY, Fung JJ and Webster MW: Management of splenic artery aneurysms: The significance of portal and essential hypertension. J Am Coll Surg. 5:483–490. 1999.PubMed/NCBI View Article : Google Scholar | |
|
Berceli SA: Hepatic and splenic artery aneurysms. Semin Vasc Surg. 18:196–201. 2005.PubMed/NCBI View Article : Google Scholar | |
|
Moore SW, Guida PM and Schumacher HW: Splénic artery aneurysm. Bull Soc Int Chir. 29:210–218. 1970.PubMed/NCBI | |
|
Nanez L, Knowles M, Modrall JG and Valentine RJ: Ruptured splenic artery aneurysms are exceedingly rare in pregnant women. J Vasc Surg. 60:1520–1523. 2014.PubMed/NCBI View Article : Google Scholar | |
|
von Elm E, Altman DG, Egger M, Pocock SJ, Gøtzsche PC, Vandenbroucke JP and STROBE Initiative: The strengthening the reporting of observational studies in epidemiology (STROBE) statement: Guidelines for reporting observational studies. J Clin Epidemiol. 61:344–349. 2008.PubMed/NCBI View Article : Google Scholar | |
|
Dindo D, Demartines N and Clavien PA: Classification of surgical complications: A new proposal with evaluation in a cohort of 6336 patients and results of a survey. Ann Surg. 240:205–213. 2004.PubMed/NCBI View Article : Google Scholar | |
|
Roberts KJ, McCulloch N, Forde C, Mahon B, Mangat K, Olliff SP and Jones RG: Emergency treatment of haemorrhaging coeliac or mesenteric artery aneurysms and pseudoaneurysms in the era of endovascular management. Eur J Vasc Endovasc Surg. 49:382–389. 2015.PubMed/NCBI View Article : Google Scholar | |
|
Fankhauser GT, Stone WM, Naidu SG, Oderich GS, Ricotta JJ, Bjarnason H and Money SR: Mayo Vascular Research Center Consortium. The minimally invasive management of visceral artery aneurysms and pseudoaneurysms. J Vasc Surg. 53:966–970. 2011.PubMed/NCBI View Article : Google Scholar | |
|
Stone WM, Abbas M, Cherry KJ, Fowl RJ and Gloviczki P: Superior mesenteric artery aneurysms: Is presence an indication for intervention? J Vasc Surg. 36:234–237; discussion 237. 2002.PubMed/NCBI View Article : Google Scholar | |
|
Shukla AJ, Eid R, Fish L, Avgerinos E, Marone L, Makaroun M and Chaer RA: Contemporary outcomes of intact and ruptured visceral artery aneurysms. J Vasc Surg. 61:1442–1447. 2015.PubMed/NCBI View Article : Google Scholar | |
|
Barrionuevo P, Malas MB, Nejim B, Haddad A, Morrow A, Ponce O, Hasan B, Seisa M, Chaer R and Murad MH: A systematic review and meta-analysis of the management of visceral artery aneurysms. J Vasc Surg. 72:40S–45S. 2020.PubMed/NCBI View Article : Google Scholar | |
|
Kok HK, Asadi H, Sheehan M, Given MF and Lee MJ: Systematic review and single-center experience for endovascular management of visceral and renal artery aneurysms. J Vasc Interv Radiol. 27:1630–1641. 2016.PubMed/NCBI View Article : Google Scholar |