Spandidos Publications Logo
  • About
    • About Spandidos
    • Aims and Scopes
    • Abstracting and Indexing
    • Editorial Policies
    • Reprints and Permissions
    • Job Opportunities
    • Terms and Conditions
    • Contact
  • Journals
    • All Journals
    • Oncology Letters
      • Oncology Letters
      • Information for Authors
      • Editorial Policies
      • Editorial Board
      • Aims and Scope
      • Abstracting and Indexing
      • Bibliographic Information
      • Archive
    • International Journal of Oncology
      • International Journal of Oncology
      • Information for Authors
      • Editorial Policies
      • Editorial Board
      • Aims and Scope
      • Abstracting and Indexing
      • Bibliographic Information
      • Archive
    • Molecular and Clinical Oncology
      • Molecular and Clinical Oncology
      • Information for Authors
      • Editorial Policies
      • Editorial Board
      • Aims and Scope
      • Abstracting and Indexing
      • Bibliographic Information
      • Archive
    • Experimental and Therapeutic Medicine
      • Experimental and Therapeutic Medicine
      • Information for Authors
      • Editorial Policies
      • Editorial Board
      • Aims and Scope
      • Abstracting and Indexing
      • Bibliographic Information
      • Archive
    • International Journal of Molecular Medicine
      • International Journal of Molecular Medicine
      • Information for Authors
      • Editorial Policies
      • Editorial Board
      • Aims and Scope
      • Abstracting and Indexing
      • Bibliographic Information
      • Archive
    • Biomedical Reports
      • Biomedical Reports
      • Information for Authors
      • Editorial Policies
      • Editorial Board
      • Aims and Scope
      • Abstracting and Indexing
      • Bibliographic Information
      • Archive
    • Oncology Reports
      • Oncology Reports
      • Information for Authors
      • Editorial Policies
      • Editorial Board
      • Aims and Scope
      • Abstracting and Indexing
      • Bibliographic Information
      • Archive
    • Molecular Medicine Reports
      • Molecular Medicine Reports
      • Information for Authors
      • Editorial Policies
      • Editorial Board
      • Aims and Scope
      • Abstracting and Indexing
      • Bibliographic Information
      • Archive
    • World Academy of Sciences Journal
      • World Academy of Sciences Journal
      • Information for Authors
      • Editorial Policies
      • Editorial Board
      • Aims and Scope
      • Abstracting and Indexing
      • Bibliographic Information
      • Archive
    • International Journal of Functional Nutrition
      • International Journal of Functional Nutrition
      • Information for Authors
      • Editorial Policies
      • Editorial Board
      • Aims and Scope
      • Abstracting and Indexing
      • Bibliographic Information
      • Archive
    • International Journal of Epigenetics
      • International Journal of Epigenetics
      • Information for Authors
      • Editorial Policies
      • Editorial Board
      • Aims and Scope
      • Abstracting and Indexing
      • Bibliographic Information
      • Archive
    • Medicine International
      • Medicine International
      • Information for Authors
      • Editorial Policies
      • Editorial Board
      • Aims and Scope
      • Abstracting and Indexing
      • Bibliographic Information
      • Archive
  • Articles
  • Information
    • Information for Authors
    • Information for Reviewers
    • Information for Librarians
    • Information for Advertisers
    • Conferences
  • Language Editing
Spandidos Publications Logo
  • About
    • About Spandidos
    • Aims and Scopes
    • Abstracting and Indexing
    • Editorial Policies
    • Reprints and Permissions
    • Job Opportunities
    • Terms and Conditions
    • Contact
  • Journals
    • All Journals
    • Biomedical Reports
      • Information for Authors
      • Editorial Policies
      • Editorial Board
      • Aims and Scope
      • Abstracting and Indexing
      • Bibliographic Information
      • Archive
    • Experimental and Therapeutic Medicine
      • Information for Authors
      • Editorial Policies
      • Editorial Board
      • Aims and Scope
      • Abstracting and Indexing
      • Bibliographic Information
      • Archive
    • International Journal of Epigenetics
      • Information for Authors
      • Editorial Policies
      • Editorial Board
      • Aims and Scope
      • Abstracting and Indexing
      • Bibliographic Information
      • Archive
    • International Journal of Functional Nutrition
      • Information for Authors
      • Editorial Policies
      • Editorial Board
      • Aims and Scope
      • Abstracting and Indexing
      • Bibliographic Information
      • Archive
    • International Journal of Molecular Medicine
      • Information for Authors
      • Editorial Policies
      • Editorial Board
      • Aims and Scope
      • Abstracting and Indexing
      • Bibliographic Information
      • Archive
    • International Journal of Oncology
      • Information for Authors
      • Editorial Policies
      • Editorial Board
      • Aims and Scope
      • Abstracting and Indexing
      • Bibliographic Information
      • Archive
    • Medicine International
      • Information for Authors
      • Editorial Policies
      • Editorial Board
      • Aims and Scope
      • Abstracting and Indexing
      • Bibliographic Information
      • Archive
    • Molecular and Clinical Oncology
      • Information for Authors
      • Editorial Policies
      • Editorial Board
      • Aims and Scope
      • Abstracting and Indexing
      • Bibliographic Information
      • Archive
    • Molecular Medicine Reports
      • Information for Authors
      • Editorial Policies
      • Editorial Board
      • Aims and Scope
      • Abstracting and Indexing
      • Bibliographic Information
      • Archive
    • Oncology Letters
      • Information for Authors
      • Editorial Policies
      • Editorial Board
      • Aims and Scope
      • Abstracting and Indexing
      • Bibliographic Information
      • Archive
    • Oncology Reports
      • Information for Authors
      • Editorial Policies
      • Editorial Board
      • Aims and Scope
      • Abstracting and Indexing
      • Bibliographic Information
      • Archive
    • World Academy of Sciences Journal
      • Information for Authors
      • Editorial Policies
      • Editorial Board
      • Aims and Scope
      • Abstracting and Indexing
      • Bibliographic Information
      • Archive
  • Articles
  • Information
    • For Authors
    • For Reviewers
    • For Librarians
    • For Advertisers
    • Conferences
  • Language Editing
Login Register Submit
  • This site uses cookies
  • You can change your cookie settings at any time by following the instructions in our Cookie Policy. To find out more, you may read our Privacy Policy.

    I agree
Search articles by DOI, keyword, author or affiliation
Search
Advanced Search
presentation
Experimental and Therapeutic Medicine
Join Editorial Board Propose a Special Issue
Print ISSN: 1792-0981 Online ISSN: 1792-1015
Journal Cover
June-2023 Volume 25 Issue 6

Full Size Image

Sign up for eToc alerts
Recommend to Library

Journals

International Journal of Molecular Medicine

International Journal of Molecular Medicine

International Journal of Molecular Medicine is an international journal devoted to molecular mechanisms of human disease.

International Journal of Oncology

International Journal of Oncology

International Journal of Oncology is an international journal devoted to oncology research and cancer treatment.

Molecular Medicine Reports

Molecular Medicine Reports

Covers molecular medicine topics such as pharmacology, pathology, genetics, neuroscience, infectious diseases, molecular cardiology, and molecular surgery.

Oncology Reports

Oncology Reports

Oncology Reports is an international journal devoted to fundamental and applied research in Oncology.

Experimental and Therapeutic Medicine

Experimental and Therapeutic Medicine

Experimental and Therapeutic Medicine is an international journal devoted to laboratory and clinical medicine.

Oncology Letters

Oncology Letters

Oncology Letters is an international journal devoted to Experimental and Clinical Oncology.

Biomedical Reports

Biomedical Reports

Explores a wide range of biological and medical fields, including pharmacology, genetics, microbiology, neuroscience, and molecular cardiology.

Molecular and Clinical Oncology

Molecular and Clinical Oncology

International journal addressing all aspects of oncology research, from tumorigenesis and oncogenes to chemotherapy and metastasis.

World Academy of Sciences Journal

World Academy of Sciences Journal

Multidisciplinary open-access journal spanning biochemistry, genetics, neuroscience, environmental health, and synthetic biology.

International Journal of Functional Nutrition

International Journal of Functional Nutrition

Open-access journal combining biochemistry, pharmacology, immunology, and genetics to advance health through functional nutrition.

International Journal of Epigenetics

International Journal of Epigenetics

Publishes open-access research on using epigenetics to advance understanding and treatment of human disease.

Medicine International

Medicine International

An International Open Access Journal Devoted to General Medicine.

Journal Cover
June-2023 Volume 25 Issue 6

Full Size Image

Sign up for eToc alerts
Recommend to Library

  • Article
  • Citations
    • Cite This Article
    • Download Citation
    • Create Citation Alert
    • Remove Citation Alert
    • Cited By
  • Similar Articles
    • Related Articles (in Spandidos Publications)
    • Similar Articles (Google Scholar)
    • Similar Articles (PubMed)
  • Download PDF
  • Download XML
  • View XML
Article Open Access

ZBTB16 eases lipopolysaccharide‑elicited inflammation, apoptosis and degradation of extracellular matrix in chondrocytes during osteoarthritis by suppressing GRK2 transcription

  • Authors:
    • Bo Xiong
    • Lihua Chen
    • Yue Huang
    • Guanyu Lu
    • Cai Chen
    • Jiao Nong
    • Haida Pan
  • View Affiliations / Copyright

    Affiliations: Department of Orthopaedics and Traumatology, First Affiliated Hospital of The Guangxi University of Chinese Medicine, Nanning, Guangxi 530000, P.R. China, Teaching Department, First Affiliated Hospital of The Guangxi University of Chinese Medicine, Nanning, Guangxi 530000, P.R. China, Department of Orthopaedics and Traumatology, Yongjia County Traditional Chinese Medicine Hospital, Wenzhou, Zhejiang 325100, P.R. China
    Copyright: © Xiong et al. This is an open access article distributed under the terms of Creative Commons Attribution License.
  • Article Number: 276
    |
    Published online on: April 24, 2023
       https://doi.org/10.3892/etm.2023.11975
  • Expand metrics +
Metrics: Total Views: 0 (Spandidos Publications: | PMC Statistics: )
Metrics: Total PDF Downloads: 0 (Spandidos Publications: | PMC Statistics: )
Cited By (CrossRef): 0 citations Loading Articles...

This article is mentioned in:



Abstract

Osteoarthritis (OA) is a chronic degenerative disease of the bone that is a major contributor of disability in the elderly population. Zinc finger and BTB domain‑containing 16 (ZBTB16) is a transcription factor that has been previously revealed to be impaired in human OA tissues. The present study was designed to elaborate the potential impact of ZBTB16 on OA and to possibly assess any latent regulatory mechanism. ZBTB16 expression in human OA tissues was examined using the Gene Expression Series (GSE) database (https://www.ncbi.nlm.nih.gov/geo/query/acc.cgi?acc=GSE169077) whereas ZBTB16 expression in chondrocytes was examined using reverse transcription‑quantitative PCR (RT‑qPCR) and western blotting. Cell viability was examined using a Cell Counting Kit‑8 assay. A TUNEL assay and western blotting were used to assess cell apoptosis and apoptosis‑related markers, including Bcl‑2, Bax and cleaved caspase‑3. The levels and expression of inflammatory factors, including TNF‑α, IL‑1β and IL‑6, were determined by ELISA and western blotting. RT‑qPCR and western blotting were also used to analyze the expression levels of extracellular matrix (ECM)‑degrading enzymes, including MMP‑13, a disintegrin‑like and metalloproteinase with thrombospondin type‑1 motifs‑5, aggrecan and collagen type II α1. After the potential binding of ZBTB16 with the G protein coupled receptor kinase type 2 (GRK2) promoter was predicted using the Cistrome DB database, GRK2 expression was confirmed by RT‑qPCR and western blotting. Chromatin immunoprecipitation and luciferase reporter assays were then used to determine the potential interaction between ZBTB16 and the GRK2 promoter. Following GRK2 overexpression in ZBTB16‑overexpressing chondrocytes by co‑transfection of GRK2 and ZBTB16 overexpression plasmids, the aforementioned functional experiments were performed again. ZBTB16 expression was found to be reduced in human OA tissues compared with in normal cartilage tissues and lipopolysaccharide (LPS)‑stimulated chondrocytes. ZBTB16 overexpression increased cell viability whilst decreasing apoptosis, inflammation and ECM degradation by LPS‑treated chondrocytes. In addition, GRK2 expression was found to be increased in LPS‑stimulated chondrocytes. ZBTB16 successfully bound to the GRK2 promoter, which negatively modulated GRK2 expression. GRK2 upregulation reversed the effects of ZBTB16 overexpression on the viability, apoptosis, inflammation and ECM degradation by LPS‑challenged chondrocytes. In conclusion, these data suggest that ZBTB16 may inhibit the development of OA through the transcriptional inactivation of GRK2.

Introduction

Osteoarthritis (OA) is a prevalent chronic degenerative joint disease. This is mainly manifested as joint stiffness, swelling, pain and loss of mobility resulting from the destruction of articular cartilage and synovial fluid inflammation (1,2). In addition, histopathological changes including subchondral bone resorption, sclerosis and osteophyte formation, can be observed (1,2). In 2017, it was estimated that ~300 million individuals suffered from OA worldwide (3). The incidence rate of OA in China has reached 21.5% between 2000 and 2018 as the general age of the population increased (4). Furthermore, OA is a predominant contributor of disability among the elderly as the most frequent form of arthritis, which adversely reduces the quality of life of patients, imposing an economic burden on society (5). Despite the emergence of a variety of pain-relief agents, such as MTX, side effects, including lung, liver and kidney injury, remain an obstacle and the process of OA cannot be prevented (6).

Articular cartilage is the hyaline cartilage that covers the surface of the joint and is smooth in healthy individuals. Its main function is to form the articular surface, provide a surface with almost no friction for the joint, which is pivotal for the smooth movement of the joint (7). As the only cell type in the articular cartilage, chondrocytes can generate extracellular matrix (ECM) proteins to maintain the structure, function and integrity of the articular cartilage (8,9). Under normal physiological conditions, a delicate balance between anabolism and catabolism in chondrocytes is maintained, which ensures a dynamic balance between the generation and destruction of ECM (10). However, this balance can be easily broken by proinflammatory factors, aging, trauma, and other factors such as physiological load and metabolism (10). When anabolism by chondrocytes is reduced or when catabolism is increased, ECM degradation occurs, which leads to the destruction of articular cartilage (11,12). Chondrocyte apoptosis and cartilage ECM damage have been previously documented to drive the initiation and progression of OA up (13,14). Therefore, maintenance of the normal structure and functions of chondrocytes is the key to OA therapy.

Zinc finger proteins belong to a superfamily of multifunctional transcription factors that are engaged in gene regulation, cell differentiation and embryonic development (15,16). Zinc finger and BTB domain-containing 16 (ZBTB16), which is also referred to as promyelocytic leukemia zinc finger and zinc finger protein 145, is a highly conserved member of the Kruppel-like zinc finger protein family (17). The role of ZBTB16 in human diseases has been previously highlighted. ZBTB16 has been reported to decrease neuron apoptosis following cerebral ischemic reperfusion injury (18). In addition, ZBTB16 expression has been shown to be increased during the osteoblastogenesis of human multipotent mesenchymal stromal cells and participates in osteoblastic differentiation (19). ZBTB16 has also been reported to display decreased expression in human OA tissues (20). ZBTB16 has been observed to promote hypertrophic chondrocyte differentiation and accelerate dexamethasone-stimulated cell cycle arrest (21). However, the definite role of ZBTB16 during the process of OA remains unclear.

G protein-coupled receptor kinases (GRKs) are pivotal protein kinases that function by the phosphorylation of G protein-coupled receptors (22). Among all subtypes of GRKs, G protein-coupled receptor kinase type 2 (GRK2), which is widely expressed in human tissues, has been extensively studied (23-25). Aberrant expression of GRK2 has been observed in multiple diseases, including cancer, and brain, cardiovascular and metabolic diseases (24). GRK2 has been proposed to facilitate chondrocyte hypertrophy whilst suppressing cartilage regeneration in OA (25).

Therefore, the present study aimed to determine the significance of ZBTB16 and the possible relationship between ZBTB16 and GRK2 in OA.

Materials and methods

Online database analysis

The GSE169077 dataset in the GEO database (26) (https://www.ncbi.nlm.nih.gov/geo/query/acc.cgi?acc=GSE169077), which was selected to analyze the differentially expressed genes in OA, was used to analyze ZBTB16 expression in OA tissues. The possible binding of ZBTB16 to the GRK2 promoter was predicted using the Cistrome DB database (version 1.0; http://cistrome.org/db/#/).

Cell culture and treatment

The culture medium for human C-28/I2 chondrocytes (Shanghai Yubo Biotechnology Co., Ltd.) was DMEM/Ham's F12 medium (HyClone; Cytiva) with 10% FBS (BioWhittaker™; Lonza Group, Ltd.) and 1% penicillin/streptomycin (Invitrogen; Thermo Fisher Scientific, Inc.). Cells were routinely maintained in a humidified incubator with 5% CO2 at 37˚C. To establish the OA model in vitro, C-28/I2 cells were exposed to various concentrations of lipopolysaccharide (LPS; 0, 1, 3 and 5 µg/ml; Beijing Solarbio Science & Technology Co., Ltd.) for 12 h at 37˚C (27).

Reverse transcription-quantitative PCR (RT-qPCR)

Using a RevertAid First Strand cDNA Synthesis Kit (Fermentas; Thermo Fisher Scientific, Inc.), cDNA was produced from total RNA prepared from C-28/I2 cells using an E.Z.N.A.® Total RNA kit (Omega Bio-Tek, Inc.) according to the manufacturer's protocol. PCR amplification was performed using SYBR Green PCR Master Mix (Thermo Fisher Scientific, Inc.) using a Mx3000P PCR system (Agilent Technologies, Inc.). The following thermocycling conditions were used for qPCR: 95˚C for 10 min; followed by 40 cycles of denaturation at 95˚C for 10 sec and annealing/extension at 60˚C for 60 sec. The primer pairs used in the present study were as follows: ZBTB16 forward, 5'-CCCTCCTCGGCTCTCGG-3' and reverse, 5'-CTCAACCTTGTCCCCCATCC-3'; MMP-13 forward, 5'-GCACTTCCCACAGTGCCTAT-3' and reverse, 5'-AGTTCTTCCCTTGATGGCCG-3'; a disintegrin-like and metalloproteinase with thrombospondin type-1 motifs-5 (ADAMTS-5) forward, 5'-ACAAGAGCCTGGAAGTGAGC-3' and reverse, 5'-TTGGACCAGGGCTTAGATGC-3'; aggrecan (ACAN) forward, 5'-AAGGGCGAGTGGAATGATGT-3' and reverse, 5'-CGTTTGTAGGTGGTGGCTGTG-3'; collagen type II a1 (COL2A1) forward, 5'-CTTCCCCCTCCTGCTCCAAG-3' and reverse, 5'-CTGGGCAGCAAAGTTTCCAC-3'; GRK2 forward, 5'-GATGGCCATGGAGAAGAGCAAG-3' and reverse, 5'-CACTGGCAAAACCGTGTGAA-3'; and GAPDH forward, 5'-GGAGCGAGATCCCTCCAAAAT-3' and reverse, 5'-GGCTGTTGTCATACTTCTCATGG-3'. Relative gene expression was calculated using the 2-ΔΔCq method (28). GAPDH expression was used for normalization.

Western blotting

Briefly, total proteins were isolated from C-28/I2 cells using the RIPA buffer (Beijing Solarbio Science & Technology Co., Ltd.) and levels were determined using a BCA protein assay kit (Thermo Fisher Scientific, Inc.). The proteins were resolved by 10% SDS-PAGE (30 µg/lane) and transferred onto PVDF membranes. The membranes were blocked with 5% non-fat milk for 2 h at room temperature to prevent non-specific interactions. Afterwards, the membranes were immunoblotted with primary antibodies overnight at 4˚C and the goat anti-rabbit HRP antibody (1:5,000; cat. no. ab205718; Abcam) for 1 h at room temperature. The bands were made visible using the ECL Western Blotting Detection Reagent (Amersham; Cytiva) and analyzed using Image Quant LAS 500 (Cytiva). Signal intensity was determined using Image J software version 1.46 (National Institutes of Health). ZBTB16 (1:1,000; cat. no. ab189849; Abcam), Bcl-2 (1:1,000; cat. no. ab32124; Abcam), Bax (1:1,000; cat. no. ab32503; Abcam), cleaved caspase-3 (1:1,000; cat. no. ab32042; Abcam), TNF-α (1:1,000; cat. no. ab183218; Abcam), IL-1β (1:1,000; cat. no. ab254360; Abcam), IL-6 (1:1,000; cat. no. ab233706; Abcam), MMP-13 (1:3,000; cat. no. ab39012; Abcam), ADAMTS-5 (1:250; cat. no. ab41037; Abcam), ACAN (1:1,000; cat. no. NB100-74350; Novus Biologicals, LLC), COL2A1 (1:1,000; cat. no. ab188570; Abcam), GRK2 (1:1,000; cat. no. ab227825; Abcam) and GAPDH (1:2,500; cat. no. ab9485; Abcam) were the primary antibodies utilized for the present study.

Plasmid transfection

The pcDNA3.1 vector containing full-length ZBTB16 (Ov-ZBTB16) and GRK2 (Ov-GRK2) and the empty overexpression vector (Ov-NC) were procured from Sino Biological, Inc. C-28/I2 cells were subjected to plasmid transfection (20 nM) using Lipofectamine™ 3000 (Thermo Fisher Scientific, Inc.) at 37˚C for 48 h. Cells were harvested 48 h post-transfection for subsequent experiments.

Cell Counting Kit-8 (CCK-8) assay

In brief, 10 µl CCK-8 solution (APeXBIO Technology LLC) was added to the LPS-challenged cells (5,000 cells/well) plated into a 96-well plate. After cultivation for an additional 1 h at 37˚C, the optical density (OD) value at 450 nm was recorded by using a microplate reader (SPECTROstar Nano; BMG Labtech GmbH).

TUNEL

Cell apoptosis was examined using a Click-iT Plus TUNEL Assay kit (cat. no. C10617; Invitrogen; Thermo Fisher Scientific, Inc.) in compliance with the manufacturer's instructions. Briefly, 4% paraformaldehyde-immobilized C-28/I2 cells (room temperature for 15 min) were immersed in 50 µl TUNEL solution for 1 h at 37˚C and incubated with 1 mg/ml DAPI (Beijing Solarbio Science & Technology Co., Ltd.) for 10 min at 37˚C and mounted in an anti-fade reagent (Beijing Solarbio Science & Technology Co., Ltd.). Finally, after rinsing with PBS, the apoptotic rate was quantified in five fields of view selected at random under a fluorescence microscope (Olympus Corporation) and analyzed by ImageJ software (version 6.0; National Institutes of Health). The apoptotic rate was calculated as follows: Apoptosis rate=(average number of apoptotic cells/average number of total cells) x100%.

ELISA

C-28/I2 cells were cultured in 6-well plates (2x105 cells/ml). After LPS challenge and transfection, the cells were centrifuged at 1,000 x g for 5 min at 4˚C. The supernatant was collected and used for ELISA. TNF-α (human TNF-α ELISA kit; cat. no. ab181421; Abcam), IL-1β (human IL-1β ELISA kit; cat. no. ab214025; Abcam) and IL-6 (human IL-6 ELISA kit; cat. no. ab178013; Abcam) levels were examined using the corresponding ELISA kits according to the manufacturer's protocols. The OD450 nm value was estimated using a microplate reader (SPECTROstar Nano; BMG Labtech GmbH).

Chromatin immunoprecipitation (ChIP)

A ChIP assay was performed using the Imprint ChIP kit (cat. no. CHP1; Sigma-Aldrich; Merck KGaA) according to the manufacturer's guidelines. Firstly, C-28/I2 cells were treated with 1% formaldehyde at 37˚C for 10 min followed by centrifugation at 300 x g for 3 min at 25˚C, and washed in pre-cooled PBS for 10 min at 25˚C. A total of 300 µl SDS lysis buffer (1% SDS, 10 mM EDTA and 50 mM Tris-HCl pH 8.0) was then used to lyse the 2x106 cells at room temperature for 10 min. The chromatin fragments were acquired after the sonication of cell lysates (20 kHz; 4 pulses of 12 sec each, followed by being sheared with 30-sec pulses on ice). Following sonication, the samples were centrifuged at 13,000 x g for 10 min at 4˚C. Subsequently, the supernatant (100 µg) was pre-absorbed by 100 µl protein A/G beads and was incubated with magnetic beads conjugated to 5 µg ZBTB16 antibody (cat. no. sc-28319; Santa Cruz Biotechnology, Inc.) or IgG antibody (cat. no. B900620; ProteinTech Group, Inc.) at 4˚C overnight. The magnetic beads were then rinsed four times with lysis buffer, twice with LiCl buffer and three times with Tris-EDTA buffer. The bound immunocomplex was eluted by adding 300 µl of fresh elution buffer [10 mM Tris; 1 mM EDTA, (pH 8.0)]. Subsequently, 20 µl 5 M NaCl was mixed with the eluted product, which was incubated at 65˚C overnight to reverse the crosslinking and the purification of immunoprecipitated DNA was conducted using a CH-IP DNA purification kit (cat. no. D0033; Beyotime Institute of Biotechnology). The purified DNA fragments were then subjected to PCR analysis as described above. The GRK2 primer sequences were as follows: Forward, 5'-CAGTTGTCAGGTCCCAGGTT-3' and reverse, 5'-TCCTGGTTACTGACCCCAAC-3'.

Luciferase reporter assay

Using Lipofectamine® 3000 (Thermo Fisher Scientific, Inc), pGL3 vectors (100 ng; Promega Corporation) containing the wild-type (WT) GRK2 promoter sequence or the corresponding mutant GRK2 promoter sequence (GRK2-MUT) were co-transfected with 2.5 µg Ov-ZBTB16 or Ov-NC into C-28/I2 cells. After 48 h, the luciferase activity was evaluated using Dual-Glo® Luciferase Reagent (Promega Corporation) and normalized to Renilla luciferase activity.

Statistical analysis

All statistical analyses were performed using GraphPad Prism 8 software (GraphPad Software, Inc.) and continuous variables are presented as the mean ± SD from three independent experiments. Differences between two groups was evaluated using an unpaired Student's t-test. One-way ANOVA followed by Tukey's test was applied for comparisons among multiple means. P<0.05 was considered to indicate a statistically significant difference.

Results

ZBTB16 expression is decreased in OA tissues and LPS-challenged C-28/I2 cells

Based on data from the GSE169077 dataset in the GEO database, ZBTB16 expression was significantly lower in OA tissues compared with that in normal cartilage tissues of heakthy controls (Fig. 1A). Experimental results of the CCK-8 assay revealed that upon exposure to increasing concentrations of LPS (0, 1, 3 and 5 µg/ml), the viability of C-28/I2 cells was dose-dependently decreased (Fig. 1B). Furthermore, increasing concentrations of LPS (0, 1, 3 and 5 µg/ml) resulted in significantly decreased mRNA and protein expression levels of ZBTB16 in C-28/I2 cells (Fig. 1C and D). These observations suggest that ZBTB16 expression is downregulated in OA tissues and LPS-exposed C-28/I2 cells.

Figure 1

ZBTB16 expression is reduced in OA tissues and LPS-challenged C-28/I2 cells. (A) The GSE169077 dataset in the Gene Expression Omnibus database was used to examine ZBTB16 expression in OA tissues. *P<0.05. (B) Cell Counting Kit-8 assay of the viability of LPS-challenged C-28/I2 cells. (C) Reverse transcription-quantitative PCR and (D) western blotting were used to examine ZBTB16 expression in LPS-challenged C-28/I2 cells. *P<0.05, **P<0.01 and ***P<0.001 vs. LPS 0 µg/ml. ZBTB16, zinc finger and BTB domain containing 16; OA, osteoarthritis; LPS, lipopolysaccharide.

ZBTB16 overexpression reverses LPS-elicited reductions in cell viability and apoptosis in C-28/I2 cells

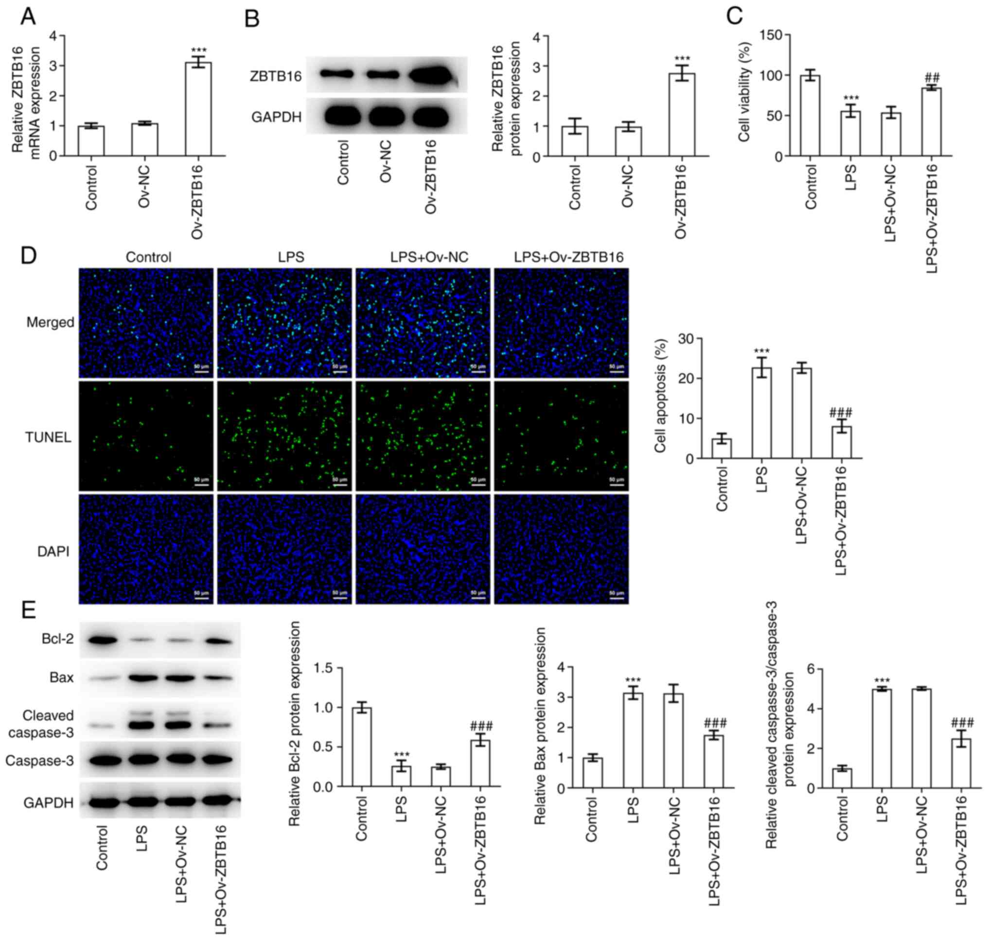
To assess the impact of ZBTB16 on the phenotype of LPS-challenged C-28/I2 cells, ZBTB16 overexpression plasmids were transfected into C-28/I2 cells before the transfection efficacy was verified by RT-qPCR and western blotting (Fig. 2A and B). CCK-8 assay revealed that LPS exposure significantly inhibited C-28/I2 cell viability, which was then significantly reversed following ZBTB16 overexpression (Fig. 2C). Furthermore, TUNEL assay demonstrated that the apoptosis of C-28/I2 cells was significantly increased following LPS treatment. Under this condition, ZBTB16 overexpression significantly impeded the apoptosis of LPS-treated C-28/I2 cells (Fig. 2D). Subsequent western blot analysis revealed that ZBTB16 overexpression significantly reversed the decreased Bcl-2 expression, whilst also significantly reversing the increased Bax expression and cleaved caspase-3/caspase-3 ratio, originally induced by LPS treatment in C-28/I2 cells (Fig. 2E). Collectively, these data indicate that ZBTB16 overexpression increased the viability but decreased the apoptosis of C-28/I2 cells that were exposed to LPS.

Figure 2

ZBTB16 overexpression reverses LPS-elicited reductions in cell viability and apoptosis in C-28/I2 cells. The transfection efficiency of Ov-ZBTB16 plasmids was tested by (A) reverse transcription-quantitative PCR and (B) western blotting. (C) Cell Counting Kit-8 assay of the viability of LPS-challenged C-28/I2 cells overexpressing ZBTB16. (D) TUNEL assay estimating the apoptosis of LPS-exposed C-28/I2 cells overexpressing ZBTB16. Scale bar, 50 µm. Magnification, x200. (E) Protein expression levels of apoptosis-associated factors were analyzed by western blotting. ***P<0.001 vs. Control. ##P<0.01 and ###P<0.001 vs. LPS + Ov-NC. ZBTB16, zinc finger and BTB domain-containing 16; LPS, lipopolysaccharide; Ov-ZBTB16, ZBTB16 overexpression vector; Ov-NC, empty overexpression vector.

ZBTB16 overexpression alleviates the LPS-stimulated inflammatory response and ECM degradation by C-28/I2 cells

The levels and expression of inflammatory factors TNF-α, IL-1β and IL-6 were measured by ELISA and western blotting, respectively. The expression levels of TNF-α, IL-1β and IL-6 were found to be significantly increased in LPS-challenged C-28/I2 cells. These were then significantly reduced following ZBTB16 overexpression (Fig. 3A and B). Subsequently, RT-qPCR and western blotting were used to examine the expression levels of ECM degradation-associated proteins MMP-13, ADAMTS-5, ACAN and COL2A1. As depicted in Fig. 3C, LPS treatment significantly increased MMP-13 and ADAMTS-5 expression whilst it significantly reduced ACAN and COL2A1 expression. By contrast, overexpression of ZBTB16 significantly decreased MMP-13 and ADAMTS-5 expression whilst significantly increasing ACAN and COL2A1 expression in LPS-treated C-28/I2 cells (Fig. 3C and D). Overall, these findings suggest that ZBTB16 overexpression can suppress the LPS-stimulated inflammatory response and ECM degradation by C-28/I2 cells.

Figure 3

ZBTB16 overexpression alleviates the LPS-stimulated inflammatory response and ECM degradation by C-28/I2 cells. (A) ELISA and (B) western blotting were used to determine the levels and expression of inflammatory factors in the cell culture supernatant of LPS-treated C-28/I2 cells overexpressing ZBTB16. (C) Reverse transcription-quantitative PCR and (D) western blotting were used to examine the expression levels of ECM degradation-associated proteins in LPS-treated C-28/I2 cells overexpressing ZBTB16. ***P<0.001 vs. Control. ##P<0.01 and ###P<0.001 vs. LPS + Ov-NC. ZBTB16, zinc finger and BTB domain-containing 16; LPS, lipopolysaccharide; ECM, extracellular matrix; Ov-NC, empty overexpression vector; Ov-ZBTB16, ZBTB16 overexpression vector; ADAMTS-5, a disintegrin-like and metalloproteinase with thrombospondin type-1 motifs-5; ACAN, aggrecan; COL2A1, collagen type II α1.

ZBTB16 transcriptionally suppresses GRK2 expression

According to the Cistrome DB database, it was predicted that ZBTB16 can potentially bind to the GRK2 promoter (Fig. 4A). RT-qPCR and western blotting then revealed that GRK2 expression was significantly increased in C-28/I2 cells exposed to increasing concentrations of LPS (0, 1, 3 and 5 µg/ml; Fig. 4B and C). Additionally, the significantly augmented GRK2 expression levels in LPS-treated C-28/I2 cells were then significantly reversed by ZBTB16 overexpression (Fig. 4D and E). Subsequently, ChIP assay demonstrated significant accumulation of the GRK2 promoter sequence in protein complexes pulled down by the ZBTB16 antibody (Fig. 4F). Furthermore, the luciferase reporter assay revealed that the luciferase activity of the GRK2-WT promoter was significantly diminished following the overexpression of ZBTB16 compared with the Ov-NC group, but no apparent changes were observed in the luciferase activity of the GRK2-MUT promoter (Fig. 4G). The potential binding site for ZBTB16 on the GRK2 promoter is shown in Fig. 4H. Overall, these findings are indicative that GRK2 can be transcriptionally inactivated by ZBTB16.

Figure 4

ZBTB16 transcriptionally suppresses GRK2 expression. (A) Cistrome DB database predicted the binding of ZBTB16 with GRK2 promoter. (B) RT-qPCR and (C) western blotting were used to examine GRK2 expression in LPS-challenged C-28/I2 cells. ***P<0.001 vs. LPS 0 µg/ml. (D) RT-qPCR and (E) western blotting were used to examine GRK2 expression following ZBTB16 overexpression in LPS-challenged C-28/I2 cells overexpressing ZBTB16. ***P<0.001 vs. Control. ##P<0.01 and ###P<0.001 vs. LPS + Ov-NC. (F) Chromatin immunoprecipitation assay was used to assess if ZBTB binds to the GRK2 promoter using the ZBTB16 antibody. ***P<0.001 vs. IgG. (G) Luciferase reporter assay of the luciferase activity of the GRK2 promoter following transfection with Ov-ZBTB16 and Ov-NC plasmids. ***P<0.001 vs. Ov-NC. (H) ZBTB16 binding site on the GRK2 promoter. ZBTB16, zinc finger and BTB domain containing 16; GRK2, G protein coupled receptor kinase type 2; RT-qPCR, reverse transcription-quantitative PCR; LPS, lipopolysaccharide; Ov-NC, empty overexpression vector; Ov-ZBTB16, ZBTB16 overexpression vector; GRK2-WT, GRK2-wild-type; GRK2-MUT, GRK2-mutant; TSS, transcription start site.

GRK2 overexpression reverses the inhibitory effects of ZBTB16 on LPS-induced C-28/I2 cell viability inhibition and apoptosis

To assess the role of ZBTB16 overexpression on OA and the transcriptional regulation of GRK2, GRK2 overexpression plasmids were transfected into C-28/I2 cells before the transfection efficacy was verified by RT-qPCR and western blotting (Fig. 5A and B). As shown in Fig. 5C, results from the CCK-8 assay corroborated that the increased viability of LPS-challenged C-28/I2 cells induced by ZBTB16 overexpression was significantly reversed when GRK2 was also overexpressed. Conversely, the apoptosis of LPS-exposed C-28/I2 cells was significantly reduced due to ZBTB16 overexpression, which was coupled with significantly augmented Bcl2 expression and significantly diminished Bax and cleaved caspase-3/caspase-3 expression. However, following GRK2 co-overexpression, these aforementioned effects were all significantly reversed (Fig. 5D and E). Taken together, these results suggest that ZBTB16 overexpression protected against LPS-triggered C-28/I2 cell viability inhibition and apoptosis by transcriptionally suppressing GRK2 expression.

Figure 5

GRK2 overexpression reverses the inhibitory effects of ZBTB16 overexpression on LPS-induced C-28/I2 cell viability inhibition and apoptosis. The transfection efficiency of Ov-GRK2 plasmids was examined using (A) reverse transcription-quantitative PCR and (B) western blotting. (C) Cell Counting Kit-8 assay of the viability of LPS-challenged C-28/I2 cells overexpressing both ZBTB16 and GRK2. (D) TUNEL assay estimating the apoptosis of LPS-exposed C-28/I2 cells overexpressing both ZBTB16 and GRK2. Scale bar, 50 µm. Magnification, x200. (E) Protein expression levels of apoptosis-associated factors were analyzed by western blotting. ***P<0.001 vs. Control. ###P<0.001 vs. LPS. ∆∆P<0.01 and ∆∆∆P<0.001 vs. LPS + Ov-ZBTB16 + Ov-NC group. GRK2, G protein-coupled receptor kinase type 2; ZBTB16, zinc finger and BTB domain containing 16; LPS, lipopolysaccharide; Ov-GRK2, GRK2 overexpression vector; Ov-NC, empty overexpression vector; Ov-ZBTB16, ZBTB16 overexpression vector.

GRK2 overexpression reverses the inhibitory effect of ZBTB16 on the LPS-evoked inflammatory response and ECM degradation by C-28/I2 cells

The levels and expression of TNF-α, IL-1β and IL-6 in LPS-treated C-28/I2 cells that were significantly decreased by ZBTB16 overexpression were significantly increased by GRK2 co-overexpression (Fig. 6A and B). Western blotting revealed that the significantly decreased MMP-13 and ADAMTS-5 expression and significantly increased ACAN and COL2A1 expression in LPS-challenged C-28/I2 cells previously overexpressing ZBTB16 were all significantly reversed following GRK2 co-overexpression (Fig. 6C and D). Taken together, these data suggest that ZBTB16 protected against the LPS-evoked inflammatory responses and ECM degradation by C-28/I2 cells through transcriptionally suppressing GRK2 expression.

Figure 6

GRK2 overexpression reverses the inhibitory effects of ZBTB16 overexpression on the LPS-evoked inflammatory response and ECM degradation by C-28/I2 cells. (A) ELISA and (B) western blotting were used to measure inflammatory factor levels and expression in the cell culture supernatant of LPS-treated C-28/I2 cells. (C) Reverse transcription-quantitative PCR and (D) western blotting were used to examine the expression levels of ECM degradation-associated proteins in LPS-treated C-28/I2 cells. ***P<0.001 vs. Control. ###P<0.001 vs. LPS. ∆P<0.05, ∆∆P<0.01 and ∆∆∆P<0.001 vs. LPS + Ov-ZBTB16 + Ov-NC. GRK2, G protein coupled receptor kinase type 2; ZBTB16, zinc finger and BTB domain containing 16; LPS, lipopolysaccharide; ECM, extracellular matrix; Ov-ZBTB16, ZBTB16 overexpression vector; Ov-NC, empty overexpression vector; Ov-GRK2, GRK2 overexpression vector; ADAMTS-5, a disintegrin-like and metalloproteinase with thrombospondin type-1 motifs-5; ACAN, aggrecan; COL2A1, collagen type II α1.

Discussion

OA is a highly prevalent chronic degenerative joint disease, the occurrence and development of which are closely associated with chondrocyte loss or damage (29). Under normal physiological conditions, chondrocytes, which are distributed in ECM in articular cartilage all over the body, maintain cartilage structure and functions by secreting large quantities of ECM (30). Proteolytic enzymes released by chondrocytes may mediate ECM degradation to induce articular cartilage destruction (12). Furthermore, inhibition of chondrocyte apoptosis is considered to be an essential means for preventing OA (13). Therefore, protecting against chondrocyte damage may be critical for OA therapy. ZBTB16 is an epigenetically-regulated transcription factor that has been previously revealed to be aberrantly expressed in OA (20). Using the GSE169077 dataset, the significantly reduced ZBTB16 expression in OA tissues was also highlighted in the present study. LPS is commonly deemed to be a proinflammatory cell-wall component of Gram-negative bacteria in cartilage tissues, which may drive the progression of OA by stimulating the generation of MMPs from chondrocytes and other inflammatory cytokines, including TNF-α and IL-1β (31). Therefore, the present study utilized LPS to establish an in vitro inflammatory cell model in C-28/I2 cells as OA is considered to be an inflammatory disease. The experimental results revealed that LPS dose-dependently suppressed cell viability and exacerbated the apoptosis of C-28/I2 cells, which are accompanied by decreased Bcl2 expression, increased Bax and cleaved caspase-3/caspase-3 expression. These findings are consistent with the previous research conducted by Luo et al (32). In addition, ZBTB16 expression was found to be reduced in C-28/I2 cells exposed to LPS in a concentration-dependent manner. Overexpression of ZBTB16 improved cell viability whilst hindering the apoptosis of LPS-challenged C-28/I2 cells, as evidenced by the augmented Bcl2 expression, decreased Bax and cleaved caspase-3/caspase-3 expression. These findings suggest that ZBTB16 mediates a protective role against OA.

The inflammatory response occupies an important position in the pathology of joint destruction during OA and is considered to be an important process mediating cartilage degeneration in OA (33,34). During the inflammatory response, the excessive release of inflammatory factors, including TNF-α, IL-1β and IL-6, may disrupt chondrocyte metabolism, inhibit the synthesis of ECM proteins and eventually induce chondrocyte apoptosis and ECM degradation (35,36). A previous study reported that ZBTB16 can reverse advanced glycation end product-induced inflammation in vascular endothelial cells (37). In accordance with this, the present study demonstrated that the LPS-enhanced TNF-α, IL-1β and IL-6 levels and expression were decreased by ZBTB16 overexpression in C-28/I2 cells. The imbalance between the synthesis and degradation of ECM is a primary pathological change during the early stages of OA and serves a vital role in the cartilage degeneration process in OA (38). MMP-13 and ADAMTS-5 are the main proteases that mediate ECM degradation during OA and were previously found to be upregulated during cartilage damage (39,40). ACAN and COL2A1 form the major components of the ECM (41). In the present study, it was found that the increased MMP-13, ADAMTS-5 expression and the decreased ACAN and COL2A1 expression in LPS-treated C-28/I2 cells were reversed after ZBTB16 was overexpressed.

ZBTB16 has been suggested to serve as a transcriptional suppressor through DNA binding (42,43). According to analysis using the Cistrome DB database, ZBTB16 could potentially bind to the GRK2 promoter. In addition, GRK2 expression was found to be dose-dependently augmented in LPS-treated C-28/I2 cells but was then reversed by ZBTB16 overexpression. The affinity of ZBTB16 to the GRK2 promoter was next validated by mechanistic assays. The enhanced viability and attenuated apoptosis of C-28/I2 cells exposed to LPS mediated by ZBTB16 overexpression were both reversed when GRK2 was co-overexpressed. Additionally, ZBTB16 overexpression-induced alterations in the expression of apoptotic factors Bcl2, Bax and cleaved caspase-3 were all reversed by GRK2 overexpression. GRK2 has been previously revealed to be implicated in inflammation (44). In addition, GRK2 can halt cartilage regeneration and contribute to OA development (25). Consistent with these previous findings, the decreased TNF-α, IL-1β, IL-6, MMP-13 and ADAMTS-5 expression and the increased ACAN and COL2A1 expression caused by ZBTB16 overexpression in LPS-challenged C-28/I2 cells were all reversed by GRK2 co-overexpression.

In conclusion, ZBTB16 overexpression reversed LPS-mediated viability inhibition, apoptosis, inflammation and ECM degradation in chondrocytes by possibly binding to the GRK2 promoter to transcriptionally inactivate GRK2 (Fig. 7). To the best of our knowledge, the present study was the first to demonstrate the suppressive role of ZBTB16 in OA and present a novel negative regulatory relationship between ZBTB16 and GRK2 in OA. Overall, the present observations may provide a potentially novel therapeutic modality for OA. However, future studies are required to expound the role of ZBTB16 in OA in vivo. Additionally, whether ZBTB16 can regulate the transcription of other genes in the OA setting will also need to be explored in future experiments.

Figure 7

Proposed model of the present study. The main finding of the present study was that ZBTB16 overexpression alleviated lipopolysaccharide-induced inflammation, apoptosis and degradation of the ECM in chondrocytes to suppress the development of OA by suppressing GRK2 transcription. ZBTB16, zinc finger and BTB domain containing 16; ECM, extracellular matrix; GRK2, G protein coupled receptor kinase type 2; TSS, transcription start site.

Acknowledgements

Not applicable.

Funding

Funding: No funding was received.

Availability of data and materials

The datasets used and/or analyzed during the current study are available from the corresponding author on reasonable request.

Authors' contributions

HP designed and conceived the study. BX, LC, YH and GL conducted the experiments. CC and JN helped to analyze the data. BX and LC drafted the manuscript, which was revised by HP. HP and BX confirm the authenticity of all the raw data. All authors have read and approved the final manuscript.

Ethics approval and consent to participate

Not applicable.

Patient consent for publication

Not applicable.

Competing interests

The authors declare that they have no competing interests.

References

1 

Mei X, Villamagna IJ, Nguyen T, Beier F, Appleton CT and Gillies ER: Polymer particles for the intra-articular delivery of drugs to treat osteoarthritis. Biomed Mater: 16, 2021. doi: 10.1088/1748-605X/abee62.

2 

Sohn R, Rösch G, Junker M, Meurer A, Zaucke F and Jenei-Lanzl Z: Adrenergic signalling in osteoarthritis. Cell Signal. 82(109948)2021.PubMed/NCBI View Article : Google Scholar

3 

GBD 2017 Disease and Injury Incidence and Prevalence Collaborators. Global, regional, and national incidence, prevalence, and years lived with disability for 354 diseases and injuries for 195 countries and territories, 1990-2017: A systematic analysis for the Global Burden of Disease Study 2017. Lancet. 392:1789–858. 2018.PubMed/NCBI View Article : Google Scholar

4 

Sun X, Zhen X, Hu X, Li Y, Gu S, Gu Y and Dong H: Osteoarthritis in the Middle-Aged and Elderly in China: Prevalence and influencing factors. Int J Environ Res Public Health. 16(4701)2019.PubMed/NCBI View Article : Google Scholar

5 

Hawker GA: Osteoarthritis is a serious disease. Clin Exp Rheumatol. 37 (Suppl 120):S3–S6. 2019.PubMed/NCBI

6 

Bindu S, Mazumder S and Bandyopadhyay U: Non-steroidal anti-inflammatory drugs (NSAIDs) and organ damage: A current perspective. Biochem Pharmacol. 180(114147)2020.PubMed/NCBI View Article : Google Scholar

7 

Palukuru UP, McGoverin CM and Pleshko N: Assessment of hyaline cartilage matrix composition using near infrared spectroscopy. Matrix Biol. 38:3–11. 2014.PubMed/NCBI View Article : Google Scholar

8 

Yan X, Kononenko NL, Bruel A, Thomsen JS and Poy MN: Neuronal cell adhesion molecule 1 regulates leptin sensitivity and bone mass. Calcif Tissue Int. 102:329–336. 2018.PubMed/NCBI View Article : Google Scholar

9 

Huang W, Cheng C, Shan WS, Ding ZF, Liu FE, Lu W, He W, Xu JG and Yin ZS: Knockdown of SGK1 alleviates the IL-1β-induced chondrocyte anabolic and catabolic imbalance by activating FoxO1-mediated autophagy in human chondrocytes. FEBS J. 287:94–107. 2020.PubMed/NCBI View Article : Google Scholar

10 

Zheng L, Zhang Z, Sheng P and Mobasheri A: The role of metabolism in chondrocyte dysfunction and the progression of osteoarthritis. Ageing Res Rev. 66(101249)2021.PubMed/NCBI View Article : Google Scholar

11 

Chomchalao P, Pongcharoen S, Sutheerawattananonda M and Tiyaboonchai W: Fibroin and fibroin blended three-dimensional scaffolds for rat chondrocyte culture. Biomed Eng Online. 12(28)2013.PubMed/NCBI View Article : Google Scholar

12 

Yunus MHM, Nordin A and Kamal H: Pathophysiological perspective of osteoarthritis. Medicina (Kaunas). 56(614)2020.PubMed/NCBI View Article : Google Scholar

13 

Hwang HS and Kim HA: Chondrocyte apoptosis in the pathogenesis of osteoarthritis. Int J Mol Sci. 16:26035–26054. 2015.PubMed/NCBI View Article : Google Scholar

14 

Krishnan Y and Grodzinsky AJ: Cartilage diseases. Matrix Biol. 71-72:51–69. 2018.PubMed/NCBI View Article : Google Scholar

15 

Jen J and Wang YC: Zinc finger proteins in cancer progression. J Biomed Sci. 23(53)2016.PubMed/NCBI View Article : Google Scholar

16 

Ye Q, Liu J and Xie K: Zinc finger proteins and regulation of the hallmarks of cancer. Histol Histopathol. 34:1097–109. 2019.PubMed/NCBI View Article : Google Scholar

17 

Liu TM, Lee EH, Lim B and Shyh-Chang N: Concise review: Balancing stem cell self-renewal and differentiation with PLZF. Stem Cells. 34:277–287. 2016.PubMed/NCBI View Article : Google Scholar

18 

Seidel K, Kirsch S, Lucht K, Zaade D, Reinemund J, Schmitz J, Klare S, Li Y, Schefe JH, Schmerbach K, et al: The promyelocytic leukemia zinc finger (PLZF) protein exerts neuroprotective effects in neuronal cells and is dysregulated in experimental stroke. Brain Pathol. 21:31–43. 2011.PubMed/NCBI View Article : Google Scholar

19 

Onizuka S, Iwata T, Park SJ, Nakai K, Yamato M, Okano T and Izumi Y: ZBTB16 as a downstream target gene of osterix regulates osteoblastogenesis of human multipotent mesenchymal stromal cells. J Cell Biochem. 117:2423–2434. 2016.PubMed/NCBI View Article : Google Scholar

20 

Alvarez-Garcia O, Fisch KM, Wineinger NE, Akagi R, Saito M, Sasho T, Su AI and Lotz MK: Increased DNA methylation and reduced expression of transcription factors in human osteoarthritis cartilage. Arthritis Rheumatol. 68:1876–1886. 2016.PubMed/NCBI View Article : Google Scholar

21 

Naito M, Vongsa S, Tsukune N, Ohashi A and Takahashi T: Promyelocytic leukemia zinc finger mediates glucocorticoid-induced cell cycle arrest in the chondroprogenitor cell line ATDC5. Mol Cell Endocrinol. 417:114–123. 2015.PubMed/NCBI View Article : Google Scholar

22 

Gurevich VV and Gurevich EV: GPCR signaling regulation: The role of GRKs and arrestins. Front Pharmacol. 10(125)2019.PubMed/NCBI View Article : Google Scholar

23 

Guccione M, Ettari R, Taliani S, Da Settimo F, Zappalà M and Grasso S: G-Protein-coupled receptor Kinase 2 (GRK2) inhibitors: Current trends and future perspectives. J Med Chemistry. 59:9277–9294. 2016.PubMed/NCBI View Article : Google Scholar

24 

Kang JH, Toita R, Kawano T, Murata M and Asai D: Design of substrates and inhibitors of G protein-coupled receptor kinase 2 (GRK2) based on its phosphorylation reaction. Amino Acids. 52:863–870. 2020.PubMed/NCBI View Article : Google Scholar

25 

Carlson EL, Karuppagounder V, Pinamont WJ, Yoshioka NK, Ahmad A, Schott EM, Le Bleu HK, Zuscik MJ, Elbarbary RA and Kamal F: Paroxetine-mediated GRK2 inhibition is a disease-modifying treatment for osteoarthritis. Sci Transl Med. 13(eaau8491)2021.PubMed/NCBI View Article : Google Scholar

26 

Xu WB, Kotheeranurak V, Zhang HL, Feng JY, Liu JW, Chen CM, Lin GX and Rui G: Identification of the circRNA-miRNA-mRNA regulatory network in osteoarthritis using bioinformatics analysis. Front Genet. 13(994163)2022.PubMed/NCBI View Article : Google Scholar

27 

Jia Z and Wei QJ: CircRNA-MSR regulates LPS-induced C28/I2 chondrocyte injury through miR-643/MAP2K6 signaling pathway. Cartilage. 13 (2_suppl):785S–795S. 2021.PubMed/NCBI View Article : Google Scholar

28 

Livak KJ and Schmittgen TD: Analysis of relative gene expression data using real-time quantitative PCR and the 2(-Delta Delta C(T)) method. Methods. 25:402–408. 2001.PubMed/NCBI View Article : Google Scholar

29 

Wang Y, Chen LY and Liu-Bryan R: Mitochondrial biogenesis, activity, and DNA isolation in chondrocytes. Methods Mol Biol. 2245:195–213. 2021.PubMed/NCBI View Article : Google Scholar

30 

Caron MM, Emans PJ, Coolsen MM, Voss L, Surtel DA, Cremers A, van Rhijn LW and Welting TJ: Redifferentiation of dedifferentiated human articular chondrocytes: Comparison of 2D and 3D cultures. Osteoarthritis Cartilage. 20:1170–1178. 2012.PubMed/NCBI View Article : Google Scholar

31 

Nguyen QT, Jacobsen TD and Chahine NO: Effects of inflammation on multiscale biomechanical properties of cartilaginous cells and tissues. ACS Biomater Sci Eng. 3:2644–2656. 2017.PubMed/NCBI View Article : Google Scholar

32 

Luo X, Wang J, Wei X, Wang S and Wang A: Knockdown of lncRNA MFI2-AS1 inhibits lipopolysaccharide-induced osteoarthritis progression by miR-130a-3p/TCF4. Life Sci. 240(117019)2020.PubMed/NCBI View Article : Google Scholar

33 

Lee YM, Son E, Kim SH, Kim OS and Kim DS: Anti-inflammatory and anti-osteoarthritis effect of Mollugo pentaphylla extract. Pharm Biol. 57:74–81. 2019.PubMed/NCBI View Article : Google Scholar

34 

Hu Y, Gui Z, Zhou Y, Xia L, Lin K and Xu Y: Quercetin alleviates rat osteoarthritis by inhibiting inflammation and apoptosis of chondrocytes, modulating synovial macrophages polarization to M2 macrophages. Free Radic Biol Med. 145:146–160. 2019.PubMed/NCBI View Article : Google Scholar

35 

Drevet S, Gavazzi G, Grange L, Dupuy C and Lardy B: Reactive oxygen species and NADPH oxidase 4 involvement in osteoarthritis. Exp Gerontol. 111:107–117. 2018.PubMed/NCBI View Article : Google Scholar

36 

Salucci S, Falcieri E and Battistelli M: Chondrocyte death involvement in osteoarthritis. Cell Tissue Res. 389:159–170. 2022.PubMed/NCBI View Article : Google Scholar

37 

Chen CH, Chen TH, Wu MY, Chou TC, Chen JR, Wei MJ, Lee SL, Hong LY, Zheng CM, Chiu IJ, et al: Far-infrared protects vascular endothelial cells from advanced glycation end products-induced injury via PLZF-mediated autophagy in diabetic mice. Sci Rep. 7(40442)2017.PubMed/NCBI View Article : Google Scholar

38 

Rahmati M, Nalesso G, Mobasheri A and Mozafari M: Aging and osteoarthritis: Central role of the extracellular matrix. Ageing Res Rev. 40:20–30. 2017.PubMed/NCBI View Article : Google Scholar

39 

Mehana EE, Khafaga AF and El-Blehi SS: The role of matrix metalloproteinases in osteoarthritis pathogenesis: An updated review. Life Sci. 234(116786)2019.PubMed/NCBI View Article : Google Scholar

40 

Yang CY, Chanalaris A and Troeberg L: ADAMTS and ADAM metalloproteinases in osteoarthritis-looking beyond the ‘usual suspects’. Osteoarthritis Cartilage. 25:1000–1009. 2017.PubMed/NCBI View Article : Google Scholar

41 

Wang C, Gao Y, Zhang Z, Chi Q, Liu Y, Yang L and Xu K: Safflower yellow alleviates osteoarthritis and prevents inflammation by inhibiting PGE2 release and regulating NF-κB/SIRT1/AMPK signaling pathways. Phytomedicine. 78(153305)2020.PubMed/NCBI View Article : Google Scholar

42 

Fréchette I, Darsigny M, Brochu-Gaudreau K, Jones C and Boudreau F: The Promyelocytic Leukemia Zinc Finger (PLZF ) gene is a novel transcriptional target of the CCAAT-displacement-protein (CUX1) repressor. FEBS J. 277:4241–4253. 2010.PubMed/NCBI View Article : Google Scholar

43 

Labbaye C, Spinello I, Quaranta MT, Pelosi E, Pasquini L, Petrucci E, Biffoni M, Nuzzolo ER, Billi M, Foà R, et al: A three-step pathway comprising PLZF/miR-146a/CXCR4 controls megakaryopoiesis. Nat Cell Biol. 10:788–801. 2008.PubMed/NCBI View Article : Google Scholar

44 

Cheng H, Guo P, Su T, Jiang C, Zhu Z, Wei W, Zhang L and Wang Q: G protein-coupled receptor kinase type 2 and β-arrestin2: Key players in immune cell functions and inflammation. Cell Signal. 95(110337)2022.PubMed/NCBI View Article : Google Scholar

Related Articles

  • Abstract
  • View
  • Download
  • Twitter
Copy and paste a formatted citation
Spandidos Publications style
Xiong B, Chen L, Huang Y, Lu G, Chen C, Nong J and Pan H: ZBTB16 eases lipopolysaccharide‑elicited inflammation, apoptosis and degradation of extracellular matrix in chondrocytes during osteoarthritis by suppressing GRK2 transcription. Exp Ther Med 25: 276, 2023.
APA
Xiong, B., Chen, L., Huang, Y., Lu, G., Chen, C., Nong, J., & Pan, H. (2023). ZBTB16 eases lipopolysaccharide‑elicited inflammation, apoptosis and degradation of extracellular matrix in chondrocytes during osteoarthritis by suppressing GRK2 transcription. Experimental and Therapeutic Medicine, 25, 276. https://doi.org/10.3892/etm.2023.11975
MLA
Xiong, B., Chen, L., Huang, Y., Lu, G., Chen, C., Nong, J., Pan, H."ZBTB16 eases lipopolysaccharide‑elicited inflammation, apoptosis and degradation of extracellular matrix in chondrocytes during osteoarthritis by suppressing GRK2 transcription". Experimental and Therapeutic Medicine 25.6 (2023): 276.
Chicago
Xiong, B., Chen, L., Huang, Y., Lu, G., Chen, C., Nong, J., Pan, H."ZBTB16 eases lipopolysaccharide‑elicited inflammation, apoptosis and degradation of extracellular matrix in chondrocytes during osteoarthritis by suppressing GRK2 transcription". Experimental and Therapeutic Medicine 25, no. 6 (2023): 276. https://doi.org/10.3892/etm.2023.11975
Copy and paste a formatted citation
x
Spandidos Publications style
Xiong B, Chen L, Huang Y, Lu G, Chen C, Nong J and Pan H: ZBTB16 eases lipopolysaccharide‑elicited inflammation, apoptosis and degradation of extracellular matrix in chondrocytes during osteoarthritis by suppressing GRK2 transcription. Exp Ther Med 25: 276, 2023.
APA
Xiong, B., Chen, L., Huang, Y., Lu, G., Chen, C., Nong, J., & Pan, H. (2023). ZBTB16 eases lipopolysaccharide‑elicited inflammation, apoptosis and degradation of extracellular matrix in chondrocytes during osteoarthritis by suppressing GRK2 transcription. Experimental and Therapeutic Medicine, 25, 276. https://doi.org/10.3892/etm.2023.11975
MLA
Xiong, B., Chen, L., Huang, Y., Lu, G., Chen, C., Nong, J., Pan, H."ZBTB16 eases lipopolysaccharide‑elicited inflammation, apoptosis and degradation of extracellular matrix in chondrocytes during osteoarthritis by suppressing GRK2 transcription". Experimental and Therapeutic Medicine 25.6 (2023): 276.
Chicago
Xiong, B., Chen, L., Huang, Y., Lu, G., Chen, C., Nong, J., Pan, H."ZBTB16 eases lipopolysaccharide‑elicited inflammation, apoptosis and degradation of extracellular matrix in chondrocytes during osteoarthritis by suppressing GRK2 transcription". Experimental and Therapeutic Medicine 25, no. 6 (2023): 276. https://doi.org/10.3892/etm.2023.11975
Follow us
  • Twitter
  • LinkedIn
  • Facebook
About
  • Spandidos Publications
  • Careers
  • Cookie Policy
  • Privacy Policy
How can we help?
  • Help
  • Live Chat
  • Contact
  • Email to our Support Team