Spandidos Publications Logo
  • About
    • About Spandidos
    • Aims and Scopes
    • Abstracting and Indexing
    • Editorial Policies
    • Reprints and Permissions
    • Job Opportunities
    • Terms and Conditions
    • Contact
  • Journals
    • All Journals
    • Oncology Letters
      • Oncology Letters
      • Information for Authors
      • Editorial Policies
      • Editorial Board
      • Aims and Scope
      • Abstracting and Indexing
      • Bibliographic Information
      • Archive
    • International Journal of Oncology
      • International Journal of Oncology
      • Information for Authors
      • Editorial Policies
      • Editorial Board
      • Aims and Scope
      • Abstracting and Indexing
      • Bibliographic Information
      • Archive
    • Molecular and Clinical Oncology
      • Molecular and Clinical Oncology
      • Information for Authors
      • Editorial Policies
      • Editorial Board
      • Aims and Scope
      • Abstracting and Indexing
      • Bibliographic Information
      • Archive
    • Experimental and Therapeutic Medicine
      • Experimental and Therapeutic Medicine
      • Information for Authors
      • Editorial Policies
      • Editorial Board
      • Aims and Scope
      • Abstracting and Indexing
      • Bibliographic Information
      • Archive
    • International Journal of Molecular Medicine
      • International Journal of Molecular Medicine
      • Information for Authors
      • Editorial Policies
      • Editorial Board
      • Aims and Scope
      • Abstracting and Indexing
      • Bibliographic Information
      • Archive
    • Biomedical Reports
      • Biomedical Reports
      • Information for Authors
      • Editorial Policies
      • Editorial Board
      • Aims and Scope
      • Abstracting and Indexing
      • Bibliographic Information
      • Archive
    • Oncology Reports
      • Oncology Reports
      • Information for Authors
      • Editorial Policies
      • Editorial Board
      • Aims and Scope
      • Abstracting and Indexing
      • Bibliographic Information
      • Archive
    • Molecular Medicine Reports
      • Molecular Medicine Reports
      • Information for Authors
      • Editorial Policies
      • Editorial Board
      • Aims and Scope
      • Abstracting and Indexing
      • Bibliographic Information
      • Archive
    • World Academy of Sciences Journal
      • World Academy of Sciences Journal
      • Information for Authors
      • Editorial Policies
      • Editorial Board
      • Aims and Scope
      • Abstracting and Indexing
      • Bibliographic Information
      • Archive
    • International Journal of Functional Nutrition
      • International Journal of Functional Nutrition
      • Information for Authors
      • Editorial Policies
      • Editorial Board
      • Aims and Scope
      • Abstracting and Indexing
      • Bibliographic Information
      • Archive
    • International Journal of Epigenetics
      • International Journal of Epigenetics
      • Information for Authors
      • Editorial Policies
      • Editorial Board
      • Aims and Scope
      • Abstracting and Indexing
      • Bibliographic Information
      • Archive
    • Medicine International
      • Medicine International
      • Information for Authors
      • Editorial Policies
      • Editorial Board
      • Aims and Scope
      • Abstracting and Indexing
      • Bibliographic Information
      • Archive
  • Articles
  • Information
    • Information for Authors
    • Information for Reviewers
    • Information for Librarians
    • Information for Advertisers
    • Conferences
  • Language Editing
Spandidos Publications Logo
  • About
    • About Spandidos
    • Aims and Scopes
    • Abstracting and Indexing
    • Editorial Policies
    • Reprints and Permissions
    • Job Opportunities
    • Terms and Conditions
    • Contact
  • Journals
    • All Journals
    • Biomedical Reports
      • Information for Authors
      • Editorial Policies
      • Editorial Board
      • Aims and Scope
      • Abstracting and Indexing
      • Bibliographic Information
      • Archive
    • Experimental and Therapeutic Medicine
      • Information for Authors
      • Editorial Policies
      • Editorial Board
      • Aims and Scope
      • Abstracting and Indexing
      • Bibliographic Information
      • Archive
    • International Journal of Epigenetics
      • Information for Authors
      • Editorial Policies
      • Editorial Board
      • Aims and Scope
      • Abstracting and Indexing
      • Bibliographic Information
      • Archive
    • International Journal of Functional Nutrition
      • Information for Authors
      • Editorial Policies
      • Editorial Board
      • Aims and Scope
      • Abstracting and Indexing
      • Bibliographic Information
      • Archive
    • International Journal of Molecular Medicine
      • Information for Authors
      • Editorial Policies
      • Editorial Board
      • Aims and Scope
      • Abstracting and Indexing
      • Bibliographic Information
      • Archive
    • International Journal of Oncology
      • Information for Authors
      • Editorial Policies
      • Editorial Board
      • Aims and Scope
      • Abstracting and Indexing
      • Bibliographic Information
      • Archive
    • Medicine International
      • Information for Authors
      • Editorial Policies
      • Editorial Board
      • Aims and Scope
      • Abstracting and Indexing
      • Bibliographic Information
      • Archive
    • Molecular and Clinical Oncology
      • Information for Authors
      • Editorial Policies
      • Editorial Board
      • Aims and Scope
      • Abstracting and Indexing
      • Bibliographic Information
      • Archive
    • Molecular Medicine Reports
      • Information for Authors
      • Editorial Policies
      • Editorial Board
      • Aims and Scope
      • Abstracting and Indexing
      • Bibliographic Information
      • Archive
    • Oncology Letters
      • Information for Authors
      • Editorial Policies
      • Editorial Board
      • Aims and Scope
      • Abstracting and Indexing
      • Bibliographic Information
      • Archive
    • Oncology Reports
      • Information for Authors
      • Editorial Policies
      • Editorial Board
      • Aims and Scope
      • Abstracting and Indexing
      • Bibliographic Information
      • Archive
    • World Academy of Sciences Journal
      • Information for Authors
      • Editorial Policies
      • Editorial Board
      • Aims and Scope
      • Abstracting and Indexing
      • Bibliographic Information
      • Archive
  • Articles
  • Information
    • For Authors
    • For Reviewers
    • For Librarians
    • For Advertisers
    • Conferences
  • Language Editing
Login Register Submit
  • This site uses cookies
  • You can change your cookie settings at any time by following the instructions in our Cookie Policy. To find out more, you may read our Privacy Policy.

    I agree
Search articles by DOI, keyword, author or affiliation
Search
Advanced Search
presentation
Experimental and Therapeutic Medicine
Join Editorial Board Propose a Special Issue
Print ISSN: 1792-0981 Online ISSN: 1792-1015
Journal Cover
June-2023 Volume 25 Issue 6

Full Size Image

Sign up for eToc alerts
Recommend to Library

Journals

International Journal of Molecular Medicine

International Journal of Molecular Medicine

International Journal of Molecular Medicine is an international journal devoted to molecular mechanisms of human disease.

International Journal of Oncology

International Journal of Oncology

International Journal of Oncology is an international journal devoted to oncology research and cancer treatment.

Molecular Medicine Reports

Molecular Medicine Reports

Covers molecular medicine topics such as pharmacology, pathology, genetics, neuroscience, infectious diseases, molecular cardiology, and molecular surgery.

Oncology Reports

Oncology Reports

Oncology Reports is an international journal devoted to fundamental and applied research in Oncology.

Experimental and Therapeutic Medicine

Experimental and Therapeutic Medicine

Experimental and Therapeutic Medicine is an international journal devoted to laboratory and clinical medicine.

Oncology Letters

Oncology Letters

Oncology Letters is an international journal devoted to Experimental and Clinical Oncology.

Biomedical Reports

Biomedical Reports

Explores a wide range of biological and medical fields, including pharmacology, genetics, microbiology, neuroscience, and molecular cardiology.

Molecular and Clinical Oncology

Molecular and Clinical Oncology

International journal addressing all aspects of oncology research, from tumorigenesis and oncogenes to chemotherapy and metastasis.

World Academy of Sciences Journal

World Academy of Sciences Journal

Multidisciplinary open-access journal spanning biochemistry, genetics, neuroscience, environmental health, and synthetic biology.

International Journal of Functional Nutrition

International Journal of Functional Nutrition

Open-access journal combining biochemistry, pharmacology, immunology, and genetics to advance health through functional nutrition.

International Journal of Epigenetics

International Journal of Epigenetics

Publishes open-access research on using epigenetics to advance understanding and treatment of human disease.

Medicine International

Medicine International

An International Open Access Journal Devoted to General Medicine.

Journal Cover
June-2023 Volume 25 Issue 6

Full Size Image

Sign up for eToc alerts
Recommend to Library

  • Article
  • Citations
    • Cite This Article
    • Download Citation
    • Create Citation Alert
    • Remove Citation Alert
    • Cited By
  • Similar Articles
    • Related Articles (in Spandidos Publications)
    • Similar Articles (Google Scholar)
    • Similar Articles (PubMed)
  • Download PDF
  • Download XML
  • View XML
Article Open Access

A combination of Sophora flavescens alkaloids and Panax quinquefolium saponins attenuates coxsackievirus B3‑induced acute myocarditis in mice via NF‑κB signaling

  • Authors:
    • Menghui Liu
    • Meiling Fan
    • Huibo Xu
    • Bo Liu
    • Xin Wang
    • Fuchun Wen
    • Fenglan Ji
    • Tao Ding
  • View Affiliations / Copyright

    Affiliations: Department of Pediatrics, Jilin Academy of Traditional Chinese Medicine, Changchun, Jilin 130012, P.R. China, Department of Cardiology, The First Affiliated Hospital of Changchun University of Chinese Medicine, Changchun, Jilin 130012, P.R. China, Pharmacodynamic and Toxicological Evaluation Center, Jilin Academy of Traditional Chinese Medicine, Changchun, Jilin 130012, P.R. China
    Copyright: © Liu et al. This is an open access article distributed under the terms of Creative Commons Attribution License.
  • Article Number: 292
    |
    Published online on: May 4, 2023
       https://doi.org/10.3892/etm.2023.11991
  • Expand metrics +
Metrics: Total Views: 0 (Spandidos Publications: | PMC Statistics: )
Metrics: Total PDF Downloads: 0 (Spandidos Publications: | PMC Statistics: )
Cited By (CrossRef): 0 citations Loading Articles...

This article is mentioned in:



Abstract

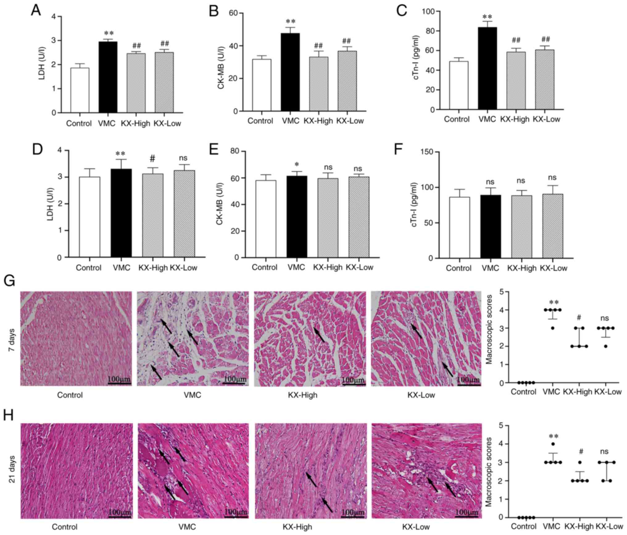
Timely treatment of viral myocarditis (VMC), a form of cardiac inflammation caused by viral infections, can reduce the occurrence of dilated cardiomyopathy and sudden death. Our previous study demonstrated the anti‑inflammatory and anti‑fibrotic effects of KX, a combination of Sophora flavescens alkaloids and Panax quinquefolium saponins, on an autoimmune myocarditis model in vivo. The present study explored the effects of KX on coxsackievirus B3 (CVB3)‑induced acute VMC in mice. Mice were randomly divided into four groups: Control, VMC, KX‑high (275 mg/kg) and KX‑low (138 mg/kg). Mice in the VMC, KX‑high and KX‑low groups received injections of CVB3 to establish the VMC model, and those in the KX‑high and KX‑low groups also received KX by gavage (10 ml/kg) 2 h after virus injection until euthanasia was performed on day 7 or 21. Mice in the control group received an equal KX volume of purified water. The levels of lactate dehydrogenase (LDH), creatine kinase‑myocardial band (CK‑MB), cardiac troponin I (cTn‑I), IL‑1β, IL‑6, TNF‑α and high‑sensitive C‑reactive protein (hs‑CRP) in mouse serum was measured using ELISA. Myocardial tissue structure and degree of injury were observed using hematoxylin and eosin staining. Western blotting and reverse transcription‑quantitative PCR were performed to detect the expression levels of NF‑κB pathway‑related mRNA and protein in myocardial tissue. The results showed that the inflammation and myocardial damage levels of the mice in the VMC group were higher at 7 days than those at 21 days. At both 7 and 21 days, KX decreased the serum CK‑MB, LDH, cTn‑I, IL‑6, TNF‑α and hs‑CRP levels, and inhibited NF‑κB pathway‑related mRNA and protein expression in the myocardium of mice. These findings indicated that KX may reduce the inflammatory response and attenuate the pathological damage in the acute and subacute phases of CVB3‑induced VMC through the NF‑κB pathway.
View Figures

Figure 1

Figure 2

Figure 3

Figure 4

Figure 5

View References

1 

Putschoegl A and Auerbach S: Diagnosis, evaluation, and treatment of myocarditis in children. Pediatr Clin North Am. 67:855–874. 2020.PubMed/NCBI View Article : Google Scholar

2 

Doolan A, Langlois N and Semsarian C: Causes of sudden cardiac death in young Australians. Med J Aust. 180:110–112. 2004.PubMed/NCBI View Article : Google Scholar

3 

Fairley CK, Ryan M, Wall PG and Weinberg J: The organisms reported to cause infective myocarditis and pericarditis in England and Wales. J Infect. 32:223–225. 1996.PubMed/NCBI View Article : Google Scholar

4 

Woodruff JF: Viral myocarditis. A review. Am J Pathol. 101:425–484. 1980.PubMed/NCBI

5 

He Y, Chipman PR, Howitt J, Bator CM, Whitt MA, Baker TS, Kuhn RJ, Anderson CW, Freimuth P and Rossmann MG: Interaction of coxsackievirus B3 with the full length coxsackievirus-adenovirus receptor. Nat Struct Biol. 8:874–878. 2001.PubMed/NCBI View Article : Google Scholar

6 

Pollack A, Kontorovich AR, Fuster V and Dec GW: Viral myocarditis-diagnosis, treatment options, and current controversies. Nat Rev Cardiol. 12:670–680. 2015.PubMed/NCBI View Article : Google Scholar

7 

Brucato A, Imazio M, Gattorno M, Lazaros G, Maestroni S, Carraro M, Finetti M, Cumetti D, Carobbio A, Ruperto N, et al: Effect of anakinra on recurrent pericarditis among patients with colchicine resistance and corticosteroid dependence: The AIRTRIP randomized clinical trial. JAMA. 316:1906–1912. 2016.PubMed/NCBI View Article : Google Scholar

8 

Scott IC, Hajela V, Hawkins PN and Lachmann HJ: A case series and systematic literature review of anakinra and immunosuppression in idiopathic recurrent pericarditis. J Cardiol Cases. 4:e93–e97. 2011.PubMed/NCBI View Article : Google Scholar

9 

Tschöpe C, Ammirati E, Bozkurt B, Caforio ALP, Cooper LT, Felix SB, Hare JM, Heidecker B, Heymans S, Hübner N, et al: Myocarditis and inflammatory cardiomyopathy: Current evidence and future directions. Nat Rev Cardiol. 18:169–193. 2021.PubMed/NCBI View Article : Google Scholar

10 

Li FS and Weng JK: Demystifying traditional herbal medicine with modern approach. Nat Plants. 3(17109)2017.PubMed/NCBI View Article : Google Scholar

11 

Niu Y, Dong Q and Li R: Matrine regulates Th1/Th2 cytokine responses in rheumatoid arthritis by attenuating the NF-κB signaling. Cell Biol Int. 41:611–621. 2017.PubMed/NCBI View Article : Google Scholar

12 

Zheng X, Wang S, Zou X, Jing Y, Yang R, Li S and Wang F: Ginsenoside Rb1 improves cardiac function and remodeling in heart failure. Exp Anim. 66:217–228. 2017.PubMed/NCBI View Article : Google Scholar

13 

Wang QW, Yu XF, Xu HL, Zhao XZ and Sui DY: Ginsenoside re improves isoproterenol-induced myocardial fibrosis and heart failure in rats. Evid Based Complement Alternat Med. 2019(3714508)2019.PubMed/NCBI View Article : Google Scholar

14 

Liu M, Lin Y, Xu H, Li L and Ding T: Combination of Sophora flavescens alkaloids and Panax quinquefolium saponins modulates different stages of experimental autoimmune myocarditis via the NF-κB and TGF-β1 pathways. Exp Ther Med. 24(570)2022.PubMed/NCBI View Article : Google Scholar

15 

Aretz HT: Myocarditis: The dallas criteria. Hum Pathol. 18:619–624. 1987.PubMed/NCBI View Article : Google Scholar

16 

Livak KJ and Schmittgen TD: Analysis of relative gene expression data using real-time quantitative PCR and the 2(-Delta Delta C(T)) method. Methods. 25:402–408. 2001.PubMed/NCBI View Article : Google Scholar

17 

Sinagra G, Anzini M, Pereira NL, Bussani R, Finocchiaro G, Bartunek J and Merlo M: Myocarditis in clinical practice. Mayo Clin Proc. 91:1256–1266. 2016.PubMed/NCBI View Article : Google Scholar

18 

Liu M, Lin Y, Xu H, Wang X, Liu B, Fan M, Ding T and Li L: Mechanism of the combination of KuShen and XiYangShen on myocarditis based on network pharmacology and animal experiments. Pharmacol Res-Mod Chin Med. 4(100141)2022.

19 

Błyszczuk P: Myocarditis in humans and in experimental animal models. Front Cardiovasc Med. 6(64)2019.PubMed/NCBI View Article : Google Scholar

20 

Lasrado N and Reddy J: An overview of the immune mechanisms of viral myocarditis. Rev Med Virol. 30:1–14. 2020.PubMed/NCBI View Article : Google Scholar

21 

Kandolf R, Ameis D, Kirschner P, Canu A and Hofschneider PH: In situ detection of enteroviral genomes in myocardial cells by nucleic acid hybridization: An approach to the diagnosis of viral heart disease. Proc Natl Acad Sci USA. 84:6272–6276. 1987.PubMed/NCBI View Article : Google Scholar

22 

Badorff C, Lee GH, Lamphear BJ, Martone ME, Campbell KP, Rhoads RE and Knowlton KU: Enteroviral protease 2A cleaves dystrophin: Evidence of cytoskeletal disruption in an acquired cardiomyopathy. Nat Med. 5:320–326. 1999.PubMed/NCBI View Article : Google Scholar

23 

Huber SA, Sartini D and Exley M: Vgamma4(+) T cells promote autoimmune CD8(+) cytolytic T-lymphocyte activation in coxsackievirus B3-induced myocarditis in mice: Role for CD4(+) Th1 cells. J Virol. 76:10785–10790. 2002.PubMed/NCBI View Article : Google Scholar

24 

Izumi T, Takehana H, Matsuda C, Yokoyama H, Kohno K, Suzuki K and Inomata T: Experimental autoimmune myocarditis and its pathomechanism. Herz. 25:274–278. 2000.PubMed/NCBI View Article : Google Scholar

25 

Esfandiarei M and McManus BM: Molecular biology and pathogenesis of viral myocarditis. Annu Rev Pathol. 3:127–155. 2008.PubMed/NCBI View Article : Google Scholar

26 

Liu T, Zhang M, Niu H, Liu J, Ruilian M, Wang Y, Xiao Y, Xiao Z, Sun J, Dong Y and Liu X: Astragalus polysaccharide from Astragalus Melittin ameliorates inflammation via suppressing the activation of TLR-4/NF-κB p65 signal pathway and protects mice from CVB3-induced virus myocarditis. Int J Biol Macromol. 126:179–186. 2019.PubMed/NCBI View Article : Google Scholar

27 

Gu X, Li Y, Chen K, Wang X, Wang Z, Lian H, Lin Y, Rong X, Chu M, Lin J and Guo X: Exosomes derived from umbilical cord mesenchymal stem cells alleviate viral myocarditis through activating AMPK/mTOR-mediated autophagy flux pathway. J Cell Mol Med. 24:7515–7530. 2020.PubMed/NCBI View Article : Google Scholar

28 

Kubota T, Bounoutas GS, Miyagishima M, Kadokami T, Sanders VJ, Bruton C, Robbins PD, McTiernan CF and Feldman AM: Soluble tumor necrosis factor receptor abrogates myocardial inflammation but not hypertrophy in cytokine-induced cardiomyopathy. Circulation. 101:2518–2525. 2000.PubMed/NCBI View Article : Google Scholar

29 

Kraft L, Erdenesukh T, Sauter M, Tschöpe C and Klingel K: Blocking the IL-1β signalling pathway prevents chronic viral myocarditis and cardiac remodeling. Basic Res Cardiol. 114(11)2019.PubMed/NCBI View Article : Google Scholar

30 

Yue-Chun L, Gu XH, Li-Sha G, Zhou DP, Xing C, Guo XL, Pan LL, Song SY, Yu LL, Chen GY, et al: Vagus nerve plays a pivotal role in CD4+ T cell differentiation during CVB3-induced murine acute myocarditis. Virulence. 12:360–376. 2021.PubMed/NCBI View Article : Google Scholar

31 

Sen R and Baltimore D: Multiple nuclear factors interact with the immunoglobulin enhancer sequences. Cell. 46:705–716. 1986.PubMed/NCBI View Article : Google Scholar

32 

Shim JH, Xiao C, Paschal AE, Bailey ST, Rao P, Hayden MS, Lee KY, Bussey C, Steckel M, Tanaka N, et al: TAK1, but not TAB1 or TAB2, plays an essential role in multiple signaling pathways in vivo. Genes Dev. 19:2668–2681. 2005.PubMed/NCBI View Article : Google Scholar

33 

Cheng Z, Taylor B, Ourthiague DR and Hoffmann A: Distinct single-cell signaling characteristics are conferred by the MyD88 and TRIF pathways during TLR4 activation. Sci Signal. 8(ra69)2015.PubMed/NCBI View Article : Google Scholar

34 

Xue YL, Zhang SX, Zheng CF, Li YF, Zhang LH, Hao YF, Wang S and Li XW: Silencing of STAT4 protects against autoimmune myocarditis by regulating Th1/Th2 immune response via inactivation of the NF-κB pathway in rats. Inflammation. 42:1179–1189. 2019.PubMed/NCBI View Article : Google Scholar

35 

Pan A, Tan Y, Wang Z and Xu G: STAT4 silencing underlies a novel inhibitory role of microRNA-141-3p in inflammation response of mice with experimental autoimmune myocarditis. Am J Physiol Heart Circ Physiol. 317:H531–H540. 2019.PubMed/NCBI View Article : Google Scholar

36 

Zhu Z, Xueying L, Chunlin L, Wen X, Rongrong Z, Jing H, Meilan J, Yuwei X and Zili W: Effect of berberine on LPS-induced expression of NF-κB/MAPK signalling pathway and related inflammatory cytokines in porcine intestinal epithelial cells. Innate Immun. 26:627–634. 2020.PubMed/NCBI View Article : Google Scholar

37 

Hu J, Luo J, Zhang M, Wu J, Zhang Y, Kong H, Qu H, Cheng G and Zhao Y: Protective effects of radix sophorae flavescentis carbonisata-based carbon dots against ethanol-induced acute gastric ulcer in rats: Anti-inflammatory and antioxidant activities. Int J Nanomedicine. 16:2461–2475. 2021.PubMed/NCBI View Article : Google Scholar

38 

Liu ZL, Liu ZJ, Liu JP, Yang M and Kwong J: Herbal medicines for viral myocarditis. Cochrane Database Syst Rev. (CD003711)2010.PubMed/NCBI View Article : Google Scholar

39 

Matsumori A, Wang H, Abelmann WH and Crumpacker CS: Treatment of viral myocarditis with ribavirin in an animal preparation. Circulation. 71:834–839. 1985.PubMed/NCBI View Article : Google Scholar

Related Articles

  • Abstract
  • View
  • Download
  • Twitter
Copy and paste a formatted citation
Spandidos Publications style
Liu M, Fan M, Xu H, Liu B, Wang X, Wen F, Ji F and Ding T: A combination of <em>Sophora flavescens</em> alkaloids and <em>Panax quinquefolium</em> saponins attenuates coxsackievirus B3‑induced acute myocarditis in mice via NF‑κB signaling. Exp Ther Med 25: 292, 2023.
APA
Liu, M., Fan, M., Xu, H., Liu, B., Wang, X., Wen, F. ... Ding, T. (2023). A combination of <em>Sophora flavescens</em> alkaloids and <em>Panax quinquefolium</em> saponins attenuates coxsackievirus B3‑induced acute myocarditis in mice via NF‑κB signaling. Experimental and Therapeutic Medicine, 25, 292. https://doi.org/10.3892/etm.2023.11991
MLA
Liu, M., Fan, M., Xu, H., Liu, B., Wang, X., Wen, F., Ji, F., Ding, T."A combination of <em>Sophora flavescens</em> alkaloids and <em>Panax quinquefolium</em> saponins attenuates coxsackievirus B3‑induced acute myocarditis in mice via NF‑κB signaling". Experimental and Therapeutic Medicine 25.6 (2023): 292.
Chicago
Liu, M., Fan, M., Xu, H., Liu, B., Wang, X., Wen, F., Ji, F., Ding, T."A combination of <em>Sophora flavescens</em> alkaloids and <em>Panax quinquefolium</em> saponins attenuates coxsackievirus B3‑induced acute myocarditis in mice via NF‑κB signaling". Experimental and Therapeutic Medicine 25, no. 6 (2023): 292. https://doi.org/10.3892/etm.2023.11991
Copy and paste a formatted citation
x
Spandidos Publications style
Liu M, Fan M, Xu H, Liu B, Wang X, Wen F, Ji F and Ding T: A combination of <em>Sophora flavescens</em> alkaloids and <em>Panax quinquefolium</em> saponins attenuates coxsackievirus B3‑induced acute myocarditis in mice via NF‑κB signaling. Exp Ther Med 25: 292, 2023.
APA
Liu, M., Fan, M., Xu, H., Liu, B., Wang, X., Wen, F. ... Ding, T. (2023). A combination of <em>Sophora flavescens</em> alkaloids and <em>Panax quinquefolium</em> saponins attenuates coxsackievirus B3‑induced acute myocarditis in mice via NF‑κB signaling. Experimental and Therapeutic Medicine, 25, 292. https://doi.org/10.3892/etm.2023.11991
MLA
Liu, M., Fan, M., Xu, H., Liu, B., Wang, X., Wen, F., Ji, F., Ding, T."A combination of <em>Sophora flavescens</em> alkaloids and <em>Panax quinquefolium</em> saponins attenuates coxsackievirus B3‑induced acute myocarditis in mice via NF‑κB signaling". Experimental and Therapeutic Medicine 25.6 (2023): 292.
Chicago
Liu, M., Fan, M., Xu, H., Liu, B., Wang, X., Wen, F., Ji, F., Ding, T."A combination of <em>Sophora flavescens</em> alkaloids and <em>Panax quinquefolium</em> saponins attenuates coxsackievirus B3‑induced acute myocarditis in mice via NF‑κB signaling". Experimental and Therapeutic Medicine 25, no. 6 (2023): 292. https://doi.org/10.3892/etm.2023.11991
Follow us
  • Twitter
  • LinkedIn
  • Facebook
About
  • Spandidos Publications
  • Careers
  • Cookie Policy
  • Privacy Policy
How can we help?
  • Help
  • Live Chat
  • Contact
  • Email to our Support Team