Spandidos Publications Logo
  • About
    • About Spandidos
    • Aims and Scopes
    • Abstracting and Indexing
    • Editorial Policies
    • Reprints and Permissions
    • Job Opportunities
    • Terms and Conditions
    • Contact
  • Journals
    • All Journals
    • Oncology Letters
      • Oncology Letters
      • Information for Authors
      • Editorial Policies
      • Editorial Board
      • Aims and Scope
      • Abstracting and Indexing
      • Bibliographic Information
      • Archive
    • International Journal of Oncology
      • International Journal of Oncology
      • Information for Authors
      • Editorial Policies
      • Editorial Board
      • Aims and Scope
      • Abstracting and Indexing
      • Bibliographic Information
      • Archive
    • Molecular and Clinical Oncology
      • Molecular and Clinical Oncology
      • Information for Authors
      • Editorial Policies
      • Editorial Board
      • Aims and Scope
      • Abstracting and Indexing
      • Bibliographic Information
      • Archive
    • Experimental and Therapeutic Medicine
      • Experimental and Therapeutic Medicine
      • Information for Authors
      • Editorial Policies
      • Editorial Board
      • Aims and Scope
      • Abstracting and Indexing
      • Bibliographic Information
      • Archive
    • International Journal of Molecular Medicine
      • International Journal of Molecular Medicine
      • Information for Authors
      • Editorial Policies
      • Editorial Board
      • Aims and Scope
      • Abstracting and Indexing
      • Bibliographic Information
      • Archive
    • Biomedical Reports
      • Biomedical Reports
      • Information for Authors
      • Editorial Policies
      • Editorial Board
      • Aims and Scope
      • Abstracting and Indexing
      • Bibliographic Information
      • Archive
    • Oncology Reports
      • Oncology Reports
      • Information for Authors
      • Editorial Policies
      • Editorial Board
      • Aims and Scope
      • Abstracting and Indexing
      • Bibliographic Information
      • Archive
    • Molecular Medicine Reports
      • Molecular Medicine Reports
      • Information for Authors
      • Editorial Policies
      • Editorial Board
      • Aims and Scope
      • Abstracting and Indexing
      • Bibliographic Information
      • Archive
    • World Academy of Sciences Journal
      • World Academy of Sciences Journal
      • Information for Authors
      • Editorial Policies
      • Editorial Board
      • Aims and Scope
      • Abstracting and Indexing
      • Bibliographic Information
      • Archive
    • International Journal of Functional Nutrition
      • International Journal of Functional Nutrition
      • Information for Authors
      • Editorial Policies
      • Editorial Board
      • Aims and Scope
      • Abstracting and Indexing
      • Bibliographic Information
      • Archive
    • International Journal of Epigenetics
      • International Journal of Epigenetics
      • Information for Authors
      • Editorial Policies
      • Editorial Board
      • Aims and Scope
      • Abstracting and Indexing
      • Bibliographic Information
      • Archive
    • Medicine International
      • Medicine International
      • Information for Authors
      • Editorial Policies
      • Editorial Board
      • Aims and Scope
      • Abstracting and Indexing
      • Bibliographic Information
      • Archive
  • Articles
  • Information
    • Information for Authors
    • Information for Reviewers
    • Information for Librarians
    • Information for Advertisers
    • Conferences
  • Language Editing
Spandidos Publications Logo
  • About
    • About Spandidos
    • Aims and Scopes
    • Abstracting and Indexing
    • Editorial Policies
    • Reprints and Permissions
    • Job Opportunities
    • Terms and Conditions
    • Contact
  • Journals
    • All Journals
    • Biomedical Reports
      • Information for Authors
      • Editorial Policies
      • Editorial Board
      • Aims and Scope
      • Abstracting and Indexing
      • Bibliographic Information
      • Archive
    • Experimental and Therapeutic Medicine
      • Information for Authors
      • Editorial Policies
      • Editorial Board
      • Aims and Scope
      • Abstracting and Indexing
      • Bibliographic Information
      • Archive
    • International Journal of Epigenetics
      • Information for Authors
      • Editorial Policies
      • Editorial Board
      • Aims and Scope
      • Abstracting and Indexing
      • Bibliographic Information
      • Archive
    • International Journal of Functional Nutrition
      • Information for Authors
      • Editorial Policies
      • Editorial Board
      • Aims and Scope
      • Abstracting and Indexing
      • Bibliographic Information
      • Archive
    • International Journal of Molecular Medicine
      • Information for Authors
      • Editorial Policies
      • Editorial Board
      • Aims and Scope
      • Abstracting and Indexing
      • Bibliographic Information
      • Archive
    • International Journal of Oncology
      • Information for Authors
      • Editorial Policies
      • Editorial Board
      • Aims and Scope
      • Abstracting and Indexing
      • Bibliographic Information
      • Archive
    • Medicine International
      • Information for Authors
      • Editorial Policies
      • Editorial Board
      • Aims and Scope
      • Abstracting and Indexing
      • Bibliographic Information
      • Archive
    • Molecular and Clinical Oncology
      • Information for Authors
      • Editorial Policies
      • Editorial Board
      • Aims and Scope
      • Abstracting and Indexing
      • Bibliographic Information
      • Archive
    • Molecular Medicine Reports
      • Information for Authors
      • Editorial Policies
      • Editorial Board
      • Aims and Scope
      • Abstracting and Indexing
      • Bibliographic Information
      • Archive
    • Oncology Letters
      • Information for Authors
      • Editorial Policies
      • Editorial Board
      • Aims and Scope
      • Abstracting and Indexing
      • Bibliographic Information
      • Archive
    • Oncology Reports
      • Information for Authors
      • Editorial Policies
      • Editorial Board
      • Aims and Scope
      • Abstracting and Indexing
      • Bibliographic Information
      • Archive
    • World Academy of Sciences Journal
      • Information for Authors
      • Editorial Policies
      • Editorial Board
      • Aims and Scope
      • Abstracting and Indexing
      • Bibliographic Information
      • Archive
  • Articles
  • Information
    • For Authors
    • For Reviewers
    • For Librarians
    • For Advertisers
    • Conferences
  • Language Editing
Login Register Submit
  • This site uses cookies
  • You can change your cookie settings at any time by following the instructions in our Cookie Policy. To find out more, you may read our Privacy Policy.

    I agree
Search articles by DOI, keyword, author or affiliation
Search
Advanced Search
presentation
Experimental and Therapeutic Medicine
Join Editorial Board Propose a Special Issue
Print ISSN: 1792-0981 Online ISSN: 1792-1015
Journal Cover
August-2023 Volume 26 Issue 2

Full Size Image

Sign up for eToc alerts
Recommend to Library

Journals

International Journal of Molecular Medicine

International Journal of Molecular Medicine

International Journal of Molecular Medicine is an international journal devoted to molecular mechanisms of human disease.

International Journal of Oncology

International Journal of Oncology

International Journal of Oncology is an international journal devoted to oncology research and cancer treatment.

Molecular Medicine Reports

Molecular Medicine Reports

Covers molecular medicine topics such as pharmacology, pathology, genetics, neuroscience, infectious diseases, molecular cardiology, and molecular surgery.

Oncology Reports

Oncology Reports

Oncology Reports is an international journal devoted to fundamental and applied research in Oncology.

Experimental and Therapeutic Medicine

Experimental and Therapeutic Medicine

Experimental and Therapeutic Medicine is an international journal devoted to laboratory and clinical medicine.

Oncology Letters

Oncology Letters

Oncology Letters is an international journal devoted to Experimental and Clinical Oncology.

Biomedical Reports

Biomedical Reports

Explores a wide range of biological and medical fields, including pharmacology, genetics, microbiology, neuroscience, and molecular cardiology.

Molecular and Clinical Oncology

Molecular and Clinical Oncology

International journal addressing all aspects of oncology research, from tumorigenesis and oncogenes to chemotherapy and metastasis.

World Academy of Sciences Journal

World Academy of Sciences Journal

Multidisciplinary open-access journal spanning biochemistry, genetics, neuroscience, environmental health, and synthetic biology.

International Journal of Functional Nutrition

International Journal of Functional Nutrition

Open-access journal combining biochemistry, pharmacology, immunology, and genetics to advance health through functional nutrition.

International Journal of Epigenetics

International Journal of Epigenetics

Publishes open-access research on using epigenetics to advance understanding and treatment of human disease.

Medicine International

Medicine International

An International Open Access Journal Devoted to General Medicine.

Journal Cover
August-2023 Volume 26 Issue 2

Full Size Image

Sign up for eToc alerts
Recommend to Library

  • Article
  • Citations
    • Cite This Article
    • Download Citation
    • Create Citation Alert
    • Remove Citation Alert
    • Cited By
  • Similar Articles
    • Related Articles (in Spandidos Publications)
    • Similar Articles (Google Scholar)
    • Similar Articles (PubMed)
  • Download PDF
  • Download XML
  • View XML
Article

Astragaloside IV attenuates cardiac hypertrophy in rats born from mothers with intrauterine hypoxia through the PKCβII/Egr‑1 pathway

  • Authors:
    • Ying Zhang
    • Mengqi Wu
    • Yanbing Deng
    • Baomei He
    • Hong Li
  • View Affiliations / Copyright

    Affiliations: Center for Reproductive Medicine, Department of Pediatrics, Zhejiang Provincial People's Hospital, Affiliated People's Hospital, Hangzhou Medical College, Hangzhou, Zhejiang 310003, P.R. China, Department of Postgraduate Education, Jinzhou Medical University, Jinzhou, Liaoning 121004, P.R. China
  • Article Number: 365
    |
    Published online on: June 14, 2023
       https://doi.org/10.3892/etm.2023.12064
  • Expand metrics +
Metrics: Total Views: 0 (Spandidos Publications: | PMC Statistics: )
Metrics: Total PDF Downloads: 0 (Spandidos Publications: | PMC Statistics: )
Cited By (CrossRef): 0 citations Loading Articles...

This article is mentioned in:



Abstract

Astragaloside IV (AS‑IV) is a naturally occurring agent that confers several wide‑ranging reported pharmacological effects, such as cardioprotective, antioxidative and pro‑angiogenic activities. Although it was previously reported that AS‑IV could attenuate neonatal rat myocardial ischemia‑reperfusion injury, the possible effects of AS‑IV on the development of cardiac hypertrophy associated with intrauterine hypoxia (IUH) remain unclear. The present study established a model of IHU by placing the pregnant rats in a plexiglass chamber with an oxygen supply of 10% before neonatal rat delivery. To investigate the in vivo effect of AS‑IV on cardiac hypertrophy, neonatal rats with hypertension were randomly grouped to receive AS‑IV (20 mg/kg), AS‑IV (40 mg/kg), AS‑IV (80 mg/kg) or vehicle for 12 weeks, followed by left ventricular (LV) hemodynamics and heart tissue histological analysis. Rats born from mothers with IHU displayed pathological features of cardiac hypertrophy. However, AS‑IV 40 and 80 mg/kg significantly decreased the heart/body weight (BW), LV mass (LVM)/BW, heart mass/tibia length (TL) and LVM/TL ratios. H&E staining showed that 40 and 80 mg/kg AS‑IV prevented the morphometric changes induced by IHU. According to data from LV hemodynamics measurements, AS‑IV 80 mg/kg reversed the increased systolic blood pressure, diastolic blood pressure, LV systolic pressure, LV end‑diastolic pressure, dP/dt maximum and heart rate induced by IHU. Mechanistically, ERK1/2 activation and early growth response 1 (Egr‑1) protein expression were both upregulated by IHU induction, which was reversed by AS‑IV treatment. In conclusion, these data suggested that AS‑IV could attenuate cardiac hypertrophy in neonatal rats born from mothers with IHU through the protein kinase C β type isoform 2/Egr‑1 pathway, but the underlying mechanism requires further investigation.

Introduction

Intrauterine hypoxia is a relatively common complication that can occur during pregnancy (1). It can adversely impact cardiac myogenesis and increase the risk of heart disease in children (1). In addition, the health problems associated with intrauterine hypoxia (IUH) continue into adulthood (2). Cardiac hypertrophy is one such issue that can arise and increases the mortality rate (3). However, the underlying mechanism of cardiac hypertrophy development that is associated with IHU remains unclear.

Protein kinase C β type isoform 2 (PKCβII) belongs to the PKC family of serine- and threonine-specific protein kinases that can be activated by calcium and the second messenger diacylglycerol (4). PKCβII was shown to regulate several different cellular processes, including apoptosis induction, cell proliferation and metabolism, by phosphorylating a wide variety of different target proteins (5). Early growth response 1 (Egr-1) is one of these PKCβII downstream targets (6). Egr-1 is a member of the C2H2-type zinc-finger family of proteins and functions as a transcription regulator (7). It was demonstrated that hypoxia/reoxygenation could induce cardiomyocyte injury through the PKCβII/Egr-1 pathway (8). However, the potential effects of this pathway on the induction of cardiac hypertrophy associated with IHU remain unclear.

Astragaloside IV (AS-IV) is a bioactive, naturally occurring compound that can be extracted from the plant Astragalus membranaceus (8). It is applied as a traditional Chinese medicine for the treatment of viral and bacterial infections, inflammation and cancer (9). Previous studies showed that AS-IV could serve a potential role in protecting the heart against myocardial ischemia (10). The mechanism of action may involve antioxidative and nitric oxide-inducing properties, reduction of intracellular calcium levels and sarcoplasmic reticulum calcium load and decreased lipid peroxidation (11). Furthermore, another previous study indicated that AS-IV could attenuate neonatal rat myocardial ischemia-reperfusion injury through the PKCβ/Egr-1 pathway (12).

The present study investigated the effects of AS-IV on the development of cardiac hypertrophy associated with IHU.

Materials and methods

Animals

AS-IV was purchased from Sigma-Aldrich (Merck KGaA) and was dissolved in distilled water. The animal study protocol was approved by the Medical Ethics Committee of Zhejiang Provincial People's Hospital (approval no. 2020022). Experiments were performed on 8-week-old male and female rats (body weight, 220-250 g) obtained from Beijing Vital River Laboratory Animal Technology Co., Ltd. (Charles River Laboratories, Inc.). All of the animals were kept in an environment with controlled temperature (22-25˚C) and humidity (50-65%) and a 12-h light/dark cycle with free access to food and water.

The adult parent rats were sacrificed by inhalation of 4% isoflurane followed by cervical dislocation after delivering the neonatal rats. Neonatal rats were sacrificed by inhalation of 4% isoflurane followed by cervical dislocation at the end of the experiment.

The humane endpoints of the present study were: i) Abnormal physical appearance, including abnormal posture, rough coat, head tucked into the abdomen, exudate surrounding eyes and/or nose, skin lesions and abnormal breathing; ii) ≥20% body weight loss (as compared with the original body weight of the animal); and iii) body condition score <2.0.

Experimental protocol

For the present study, 3-month-old male and female rats were mated in one cage at a ratio of one male to two females. The female rats were adjudged to be pregnant by checking if there was a vaginal plug or if there was sperm in the vaginal secretion smear of the female rat obtained the following morning. If a rat was found to be pregnant at this stage, that was considered as day 0 of pregnancy.

In the hypoxia group, 10 pregnant rats were then placed in a plexiglass chamber from day 15-21 of pregnancy with an oxygen supply of 10% for 4 h every day. In the control group, 2 pregnant rats were placed in an atmosphere with a normal air composition. The percentage of oxygen in the plexiglass chamber (XBS-03; AIPU Laboratory; https://www.cn-aipu.com/laboratory.html) was monitored using a continuous infusion of a mixture of nitrogen gas and air with an oxygen analyzer (2KY-4F; AIPU Laboratory). During hypoxia, arterial blood was collected every 60 min, which was immediately used to measure oxygen partial pressure, blood oxygen saturation and pH using a detection chip (ABL-9 blood gas analyzer; Radiometer Medical ApS). The arterial partial pressure of oxygen in the pregnant rats was maintained at 50-55 mmHg and the blood oxygen saturation was maintained at 80-85% (13,14). Subsequently, 100 µl arterial blood was collected from the tail artery and the rats did not need to be anesthetized before this step. By contrast, the pregnant rats in the control group were kept at room temperature with an oxygen concentration of 21% until natural delivery.

After birth, neonatal rats from the two treatment groups were reared with their mothers and housed under room air conditions. Neonatal rats born from the pregnant rats in the control group constituted the control (Ctrl) group for the subsequent experiments performed on neonatal rats.

After 4 weeks, the blood pressure of the rats was measured and the 42 neonatal rats with hypertension were randomly divided into four groups: i) IUH; ii) IUH + AS-IV (20 mg/kg); iii) IUH + AS-IV (40 mg/kg); and iv) IUH + AS-IV (80 mg/kg). Rats in the Ctrl and IUH groups were administered with distilled water (1 ml/kg/day), whilst the treatment groups received AS-IV 20, 40 or 80 mg/kg/day (oral gavage) for 5 days a week (administering AS-IV continuously for 5 days, then suspended for 2 day) for 12 weeks (15). All rats from different groups were kept in the same environment with controlled temperature (22-25˚C) and humidity (50-65%) and a 12-h light/dark cycle and free access to food and water.

LV hemodynamics experiments

Rats were anaesthetized using isoflurane, 4% for induction and 1.5% for maintenance of anesthesia for ~15-30 min by following the guidelines of Animal Care Committee of The University of British Columbia (16). A 2-F microtip pressure-volume catheter (SPR-838; Millar, Inc.) was then inserted into the right carotid artery and advanced into the ascending aorta. After a 5-min stabilization period, the arterial blood pressure was recorded before the catheter was advanced into the left ventricle under pressure control. Using a special pressure-volume analysis machine (cat. no. BL422I; Chengdu Techman Co., Ltd.), heart rate, systolic and diastolic blood pressures (SBP and DBP, respectively), mean arterial pressure, LV systolic pressure (LVSP), LV end-diastolic pressure (LVEDP), stroke volume, ejection fraction, cardiac output, the maximal slope of the systolic pressure increment (dP/dt maximum), the maximal slope of the diastolic pressure decrement (dP/dt minimum) and systemic vascular resistance were all computed and calculated. To exclude the influence of body weight differences, cardiac output and stroke volume were normalized to body weight, yielding the cardiac and stroke volume indices. Ventricular relaxation was assessed using the time constant of LV pressure decay (τ), calculated using the Glantz method (τ-g; regression of dP/dt vs. pressure) (17). LV pressure-volume relations were assessed by transiently compressing the inferior vena cava. The slope Emax of the LV end-systolic pressure-volume relationship, pre-load recruitable stroke work and the slope of dP/dt maximum/end-diastolic volume relationship were calculated as load-independent indices of LV contractility. The slope of the end-diastolic pressure-volume relationship was calculated as an index of LV stiffness (18). Subsequently, the heart was removed and weighed.

Histological analysis

For histological analyses, heart tissues were fixed in 4% paraformaldehyde for 24-48 h at room temperature. The tissues were subsequently dehydrated in a graded ethanol series, cleared in toluene, embedded in paraffin and sliced into 5-µm sections. They were then stained with hematoxylin and eosin (H&E; C0105S; Beyotime Institute of Biotechnology) and images were captured to assess the overall cardiac morphology using an optical microscope (BX53; Olympus Corporation). Dr Baomei He (co-author) and the technicians evaluated the histological preparations.

Western blot analysis

The heart tissues were dissected on ice and transferred into round-bottomed microcentrifuge tubes, where they were snap-frozen by immersing in liquid nitrogen. Ice-cold lysis buffer (1 mg tissue/50 µl; RIPA; Beyotime Institute of Biotechnology) was then added and the tissues were homogenized using an electric homogenizer. An additional 50 µl lysis buffer was added during homogenization. The lysates were then agitated at 4˚C for 2 h and centrifuged at 16,000 x g for 20 min at 4˚C before the supernatant was collected in a fresh tube and placed on ice. Total protein was quantified using a Bradford assay kit (Beyotime Institute of Biotechnology) before equivalent amounts of protein per lane (50 mg) were separated using SDS-PAGE on a 10% gel. The separated proteins were transferred onto PVDF membranes, which were blocked in TBS-Tween 20 (0.1%) containing 5% (w/v) skimmed milk (Beyotime Institute of Biotechnology) at 37˚C for 1 h. The membranes were incubated overnight at 4˚C with primary rabbit antibodies against Egr-1 (1:1,000; cat. no. sc-515830; Santa Cruz Biotechnology, Inc.), ERK1/2 (1:1,000; cat. no. 9102; Cell Signaling Technology, Inc.), phosphorylated (p-)-p44/42 ERK1/2 (1:1,000; cat. no. 9101; Cell Signaling Technology, Inc.), anti-MyHC polyclonal antibody (1:1,000; cat. no. K107673P; Solarbio Science & Technology Co., Ltd) and α-tubulin (1:1,000; H-300, cat. no. sc-5546; Santa Cruz Biotechnology, Inc.). After washing, the samples were incubated with HRP-labeled goat anti-rabbit IgG (1:1,000; cat. no. A0208; Beyotime Institute of Biotechnology) or HRP-labeled goat anti-mouse IgG (1:1,000; cat. no. A0216; Beyotime Institute of Biotechnology) secondary antibodies at room temperature for 1 h. The immunoreactive proteins were then developed using an ultrasensitive ECL luminescent solution (Proteintech Group, Inc.) and captured using the Amersham Imager 680 (GE Healthcare). α-tubulin was used as the loading control.

Reverse transcription-quantitative (RT-q)PCR

Total RNA was extracted from the heart tissue samples using TRIzol™ reagent (Invitrogen; Thermo Fisher Scientific, Inc.), according to the manufacturer's protocols. Total RNA was reverse transcribed into cDNA using a reverse transcription kit (PrimeScript™ RT Reagent Kit; cat. no. RR037A; Takara Biotechnology Co., Ltd.). The synthetized cDNA was amplified by RT-qPCR using the following primers: Egr-1 forward, 5'-AACAACCCTACGAGCACCTG-3' and reverse, 5'-AAAGGGGTTCAGGCCACAAA-3'; and GAPDH forward, 5'-GCATCTTCTTGTGCAGTGCC-3' and reverse, 5'-GATGGTGATGGGTTTCCCGT-3'. The following thermocycling conditions were used for qPCR: Initial denaturation at 95˚C for 30 sec, followed by 40 cycles of 95˚C for 5 sec and 60˚C for 30 sec, 95˚C for 15 sec and 60˚C for 60 sec, before finishing with 95˚C for 15 sec. The target gene expression was calculated using the 2-ΔΔCq method and normalized to the internal reference gene GAPDH (19).

Statistical analysis

All statistical analyses were performed using GraphPad Prism version 8.0 (GraphPad Software; Dotmatics). Statistical significance was analyzed using ANOVA followed by Tukey's post hoc test. Data are presented as the mean ± standard error of the mean. P<0.05 was considered to indicate a statistically significant difference.

Results

AS-IV prevents the increases in heart mass (HM)/body weight (BW), LVM/BW, HM/TL and LVM/TL ratios in rats born from mothers with IHU

Following the experimental procedure, the neonatal rats were anaesthetized at 12 weeks after birth for the subsequent tests. As shown in Fig. 1, compared with those in the control group (where their mothers were maintained at room temperature with an oxygen concentration of 21% until natural delivery) rats born from mothers with IHU exhibited the characteristics of cardiac hypertrophy, with higher HW/BW (Fig. 1A), LVM/BM (Fig. 1B), HM/TL (Fig. 1C) and LVM/TL (Fig. 1D) ratios. However, AS-IV 40 and 80 mg/kg attenuated these characteristics of cardiac hypertrophy and significantly decreased the HW/BW (Fig. 1A), LVM/BM (Fig. 1B), HM/TL (Fig. 1C) and LVM/TL (Fig. 1D) ratios compared with those in the model group.

Figure 1

Astragaloside IV prevents the increase in the heart indices of rats born from mothers with intrauterine hypoxia. Quantitative analysis of (A) HM/BW, (B) LVM/BW, (C) HM/TL and (D) LVM/TL in control and treatment groups. Statistical analysis was performed using one-way ANOVA followed by Tukey's post hoc test. IUH, intrauterine hypoxia; Ctrl, control group; AS-IV, astragaloside IV; BW, body weight; HM, heart mass; LVM, left ventricular mass; TL, tibia length.

AS-IV prevents the induction of myocardial damage in rats born from mothers with IHU

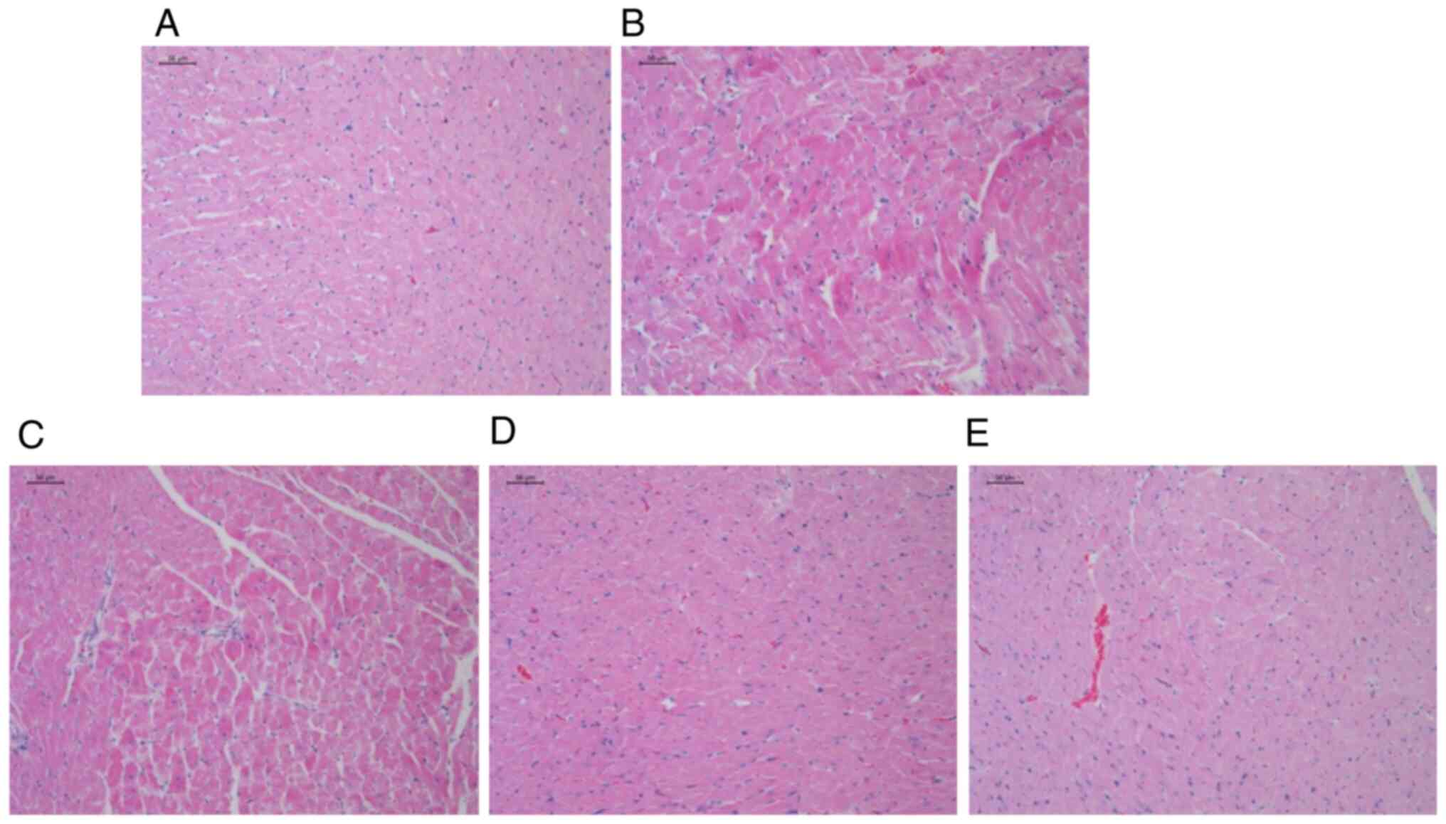
Microscopic investigation of the H&E-stained heart tissues from the Ctrl group demonstrated typical features of the normal endocardium and myocardium, with normal quantities and distribution of the vascular endomysium among cardiac cells. By contrast, heart tissues from rats in the IHU group showed focal areas of sub-endocardium degeneration, which were mainly found in the left ventricle. In addition, several focal areas of mononuclear cellular infiltrations could be observed, where there was an accumulation of fibrous tissues in the endomysium and increased thickness of the myocardium in the left ventricle; however, treatment with AS-IV 40 and 80 mg/kg prevented these morphometric changes (Fig. 2). Meanwhile, the marker of cardiac hypertrophy, β-myosin heavy chain (MyHC) expression level was also increased in heart tissues from rats born from mothers with IHU. AS-IV treatment decreased the upregulated MyHC (Fig. 4A).

Figure 2

Representative images of hematoxylin and eosin staining in the heart tissues. (A) control group; (B) intrauterine hypoxia group; (C) Astragaloside IV 20 mg/kg group; (D) Astragaloside IV 40 mg/kg group; (E) Astragaloside IV 80 mg/kg group (scale bars, 50 µm).

Figure 4

Astragaloside IV prevents the activation of PKCβII/Egr-1 in rats born from mothers with intrauterine hypoxia. (A) ERK1/2 phosphorylation, MyHC and Egr-1 levels were detected using western blotting. (B) Egr-1 mRNA expression was measured using reverse transcription-quantitative PCR. Data are presented as fold changes relative to the Egr-1 levels in control tissues. (C) Representative immunohistochemistry assay images of PKCβII staining in the rat heart tissues. #P<0.05, ##P<0.01 vs. Ctrl; *P<0.05, **P<0.01 vs. IUH group. IUH, intrauterine hypoxia; Ctrl, control group; AS-IV, astragaloside IV; PKCβII, protein kinase C β type isoform 2; Egr-1, early growth response 1; p-, phosphorylated.

AS-IV prevents the changes in the LV hemodynamics of rats born from mothers with IHU

Cardiac catheterization was performed at the end of the treatment. During cardiac catheterization, increases in the SBP, DBP, LVSP, LVEDP, dP/dt maximum and heart rate (HR) were observed in the IHU group compared with those in the control group (Fig. 3A-E). Treatment with 80 mg/kg AS-IV suppressed the increased SBP, DBP, LVSP, LVEDP, dP/dt maximum and HR induced by IHU (Fig. 3A-F). However, there were no differences in all the cardiac catheterization parameters between the AS-IV 20 mg/kg treatment group and the IHU group. These results suggested that AS-IV could prevent changes in the LV hemodynamics of rats born from mothers with IHU in a dose-dependent manner.

Figure 3

Astragaloside IV reverses cardiac dysfunction associated with intrauterine hypoxia. Echocardiography measurements of (A) Systolic blood pressure, (B) Diastolic blood pressure, (C) Left ventricular systolic pressure, (D) Left ventricular end-diastolic pressure, (E) Maximal slope of the systolic pressure increment and (F) Heart rate. Statistical analysis was performed using one-way ANOVA followed by Tukey's post hoc test. IUH, intrauterine hypoxia; Ctrl, control group; AS-IV, astragaloside IV; SBP, systolic blood pressure; DBP, diastolic blood pressure; LVSP, left ventricular systolic pressure; LVEDP, left ventricular end-diastolic pressure; dp/dt max, the maximal slope of the systolic pressure increment; HR, heart rate.

AS-IV prevents the activation of PKCβII/Egr-1 signaling in rats born from mothers with IHU

PKCβII and Egr-1 were reported to be associated with cardiomyocyte injury (20,21). Furthermore, AS-IV was shown to exert suppressive effects on PKCβII and Egr-1 activity and mRNA expression (12). In the present study, ERK1/2 phosphorylation and Egr-1 protein expression were markedly increased in rats born from mothers with IHU (Fig. 4A). Similarly, Egr-1 mRNA expression was also significantly increased compared with that in the control group (Fig. 4B). In addition, using immunohistochemistry assays, p-ERK1/2 levels were increased in the IHU group (Fig. 4C). In the AS-IV treatment groups, these increased levels of ERK1/2 phosphorylation and Egr-1 expression were significantly decreased compared with those in the IHU group (Fig. 4A-C).

Discussion

In the present study, treatment with 40 and 80 mg/kg AS-IV significantly decreased the HW/BW, LVM/BM, HM/TL and LVM/TL ratios in rats born from mothers with IHU. H&E staining demonstrated that AS-IV 40 and 80 mg/kg prevented the pathological changes induced by IHU. According to the LV hemodynamics experiments, AS-IV 80 mg/kg treatment ameliorated the increased SBP, DBP, LVSP, LVEDP, dP/dt maximum and HR induced by IHU. Mechanistically, ERK1/2 phosphorylation and Egr-1 protein expression levels were increased in rats born from mothers with IHU, which were reversed by AS-IV treatment.

Intrauterine hypoxia was shown to occur when the fetus is deprived of an adequate supply of oxygen, which may be due to a variety of reasons, such as prolapse or occlusion of the umbilical cord, placental infarction, maternal diabetes (prepregnancy or gestational diabetes) and maternal smoking (22). Although the role of oxygen in the development of the fetus remains controversial, it was proposed that the lack of oxygen in utero may be responsible for increasing the risk of cardiovascular disorders in the offspring (23). Data from the present study indicated that after placing the pregnant rats in a plexiglass chamber with a maternal oxygen supply of 10%, their offspring exhibited pathological features of cardiac hypertrophy when growing up. This suggested that IHU could increase the risk of cardiac hypertrophy development in children and young adults.

AS-IV is the most abundant saponin and a marker compound found in Astragali Radix, a Chinese herb prescribed in compound formulas for medicinal purposes or dietary purposes as a functional food in China and other eastern Asian countries (19). Its use was associated with its reported potent immune-promoting and anti-aging effects (24). A recent pharmacological study investigated the properties of AS-IV, including its cardioprotective, angiogenic, hepatoprotective, neuroprotective, anti-inflammatory and immunoregulatory effects (25). The present study revealed that AS-IV could prevent the increases in the heart function indices, LV hemodynamics parameters, pathological changes and MyHC levels induced by IHU. Therefore, AS-IV may be a potential compound for preventing IHU-mediated cardiac hypertrophy. However, the present study had certain limitations, since it did not include the echocardiography analysis of rat cardiac function and the analysis of other markers of cardiac hypertrophy, such as atrial natriuretic and brain natriuretic peptides; therefore, further research is needed.

PKCβII isoform overexpression was shown to lead to LV hypertrophy in mice (26,27). The present immunochemistry assay showed that AS-IV treatment reversed the increases in PKCβII expression in the heart tissues mediated by IHU. It is also noteworthy that ERK1/2 and Egr-1 were indicated as downstream targets of PKCβII (28). The present western blotting and RT-qPCR results suggested that the p-ERK1/2 protein levels and Egr-1 protein and mRNA levels were increased upon IHU induction. By contrast, the AS-IV treatment groups reversed the increased ERK1/2 phosphorylation and Egr-1 expression. These results suggested that the regulatory mechanism downstream of AS-IV may be mediated by PKCβII/Egr-1 signaling.

In conclusion, the present study demonstrated that AS-IV could attenuate cardiac hypertrophy in rats born from mothers with IHU through the PKCβII/Egr-1 pathway, with the underlying mechanism requiring further study.

Acknowledgements

Not applicable.

Funding

Funding: This study was funded by Zhejiang Provincial Natural Science Foundation of China (grant no. LGD22H040004) and the Traditional Chinese Medicine Technology Project of Zhejiang Province (grant no. 2021ZA015).

Availability of data and materials

The datasets used and/or analyzed during the current study are available from the corresponding author on reasonable request.

Authors' contributions

YZ and HL performed data analysis and interpretation and wrote the manuscript. YZ, MW, YD and BH conducted the experiments. All authors have read and approved the final manuscript. YZ and HL confirm the authenticity of all the raw data.

Ethics approval and consent to participate

The animal study protocol was approved by the Medical Ethics Committee of Zhejiang Provincial People's Hospital (approval no. 2020022).

Patient consent for publication

Not applicable.

Competing interests

The authors declare that they have no competing interests.

References

1 

Giussani DA: Breath of Life: Heart disease link to developmental hypoxia. Circulation. 144:1429–1443. 2021.PubMed/NCBI View Article : Google Scholar

2 

Rueda-Clausen CF, Morton JS and Davidge ST: Effects of hypoxia-induced intrauterine growth restriction on cardiopulmonary structure and function during adulthood. Cardiovasc Res. 81:713–722. 2009.PubMed/NCBI View Article : Google Scholar

3 

Zhang P, Ke J, Li Y, Huang L, Chen Z, Huang X, Zhang L and Xiao D: Long-term exposure to high altitude hypoxia during pregnancy increases fetal heart susceptibility to ischemia/reperfusion injury and cardiac dysfunction. Int J Cardiol. 274:7–15. 2019.PubMed/NCBI View Article : Google Scholar

4 

Kamp TJ and Hell JW: Regulation of cardiac L-type calcium channels by protein kinase A and protein kinase C. Circ Res. 87:1095–1102. 2000.PubMed/NCBI View Article : Google Scholar

5 

Zhang HL, Hu BX, Li ZL, Du T, Shan JL, Ye ZP, Peng XD, Li X, Huang Y, Zhu XY, et al: PKCβII phosphorylates ACSL4 to amplify lipid peroxidation to induce ferroptosis. Nat Cell Biol. 24:88–98. 2022.PubMed/NCBI View Article : Google Scholar

6 

Yan SF, Lu J, Zou YS, Kisiel W, Mackman N, Leitges M, Steinberg S, Pinsky D and Stern D: Protein kinase C-beta and oxygen deprivation. A novel Egr-1-dependent pathway for fibrin deposition in hypoxemic vasculature. J Biol Chem. 275:11921–11928. 2000.PubMed/NCBI View Article : Google Scholar

7 

Ramadas N, Rajaraman B, Kuppuswamy AA and Vedantham S: Early growth response-1 (EGR-1)-a key player in myocardial cell injury. Cardiovasc Hematol Agents Med Chem. 12:66–71. 2014.PubMed/NCBI View Article : Google Scholar

8 

Wang JZ, Cai CY, Zhang YM, Zheng JH, Chen YC, Li WQ and Shi GG: N-n-Butyl haloperidol iodide protects against hypoxia/reoxygenation-induced cardiomyocyte injury by modulating protein kinase C activity. Biochem Pharmacol. 79:1428–1436. 2010.PubMed/NCBI View Article : Google Scholar

9 

Zhang J, Wu C, Gao L, Du G and Qin X: Astragaloside IV derived from Astragalus membranaceus: A research review on the pharmacological effects. Adv Pharmacol. 87:89–112. 2020.PubMed/NCBI View Article : Google Scholar

10 

Zheng Q, Zhu JZ, Bao XY, Zhu PC, Tong Q, Huang YY, Zhang QH, Zhang KJ, Zheng GQ and Wang Y: A preclinical systematic review and meta-analysis of astragaloside IV for myocardial ischemia/reperfusion injury. Front Physiol. 9(795)2018.PubMed/NCBI View Article : Google Scholar

11 

Zang Y, Wan J, Zhang Z, Huang S, Liu X and Zhang W: An updated role of astragaloside IV in heart failure. Biomed Pharmacother. 126(110012)2020.PubMed/NCBI View Article : Google Scholar

12 

Yang P, Zhou Y, Xia Q, Yao L and Chang X: Astragaloside IV Regulates the PI3K/Akt/HO-1 signaling pathway and inhibits H9c2 cardiomyocyte injury induced by hypoxia-reoxygenation. Biol Pharm Bull. 42:721–727. 2019.PubMed/NCBI View Article : Google Scholar

13 

Sun Y, Li L, Song J, Mao W, Xiao K and Jiang C: Intrauterine hypoxia changed the colonization of the gut microbiota in newborn rats. Front Pediatr. 9(675022)2021.PubMed/NCBI View Article : Google Scholar

14 

Chai N, Zhang H, Li L, Yu X, Liu Y, Lin Y, Wang L, Yan J, Nikolaevna SE and Zhao Y: Spermidine prevents heart injury in neonatal rats exposed to intrauterine hypoxia by inhibiting oxidative stress and mitochondrial fragmentation. Oxid Med Cell Longev. 2019(5406468)2019.PubMed/NCBI View Article : Google Scholar

15 

Tuerxun D, Aierken R, Zhang YM, Huang Y, Sui S, Li XY, Abulikemu Z and Dilixiati N: Astragaloside IV alleviates lipopolysaccharide-induced preeclampsia-like phenotypes via suppressing the inflammatory responses. Kaohsiung J Med Sci. 37:236–244. 2021.PubMed/NCBI View Article : Google Scholar

16 

Dai W, Shi J, Carreno J and Kloner RA: Different effects of volatile and nonvolatile anesthetic agents on long-term survival in an experimental model of hemorrhagic shock. J Cardiovasc Pharmacol Ther. 25:346–353. 2020.PubMed/NCBI View Article : Google Scholar

17 

Kalkhoran S and Glantz SA: E-cigarettes and smoking cessation in real-world and clinical settings: A systematic review and meta-analysis. Lancet Respir Med. 4:116–128. 2016.PubMed/NCBI View Article : Google Scholar

18 

Korkmaz-Icöz S, Lehner A, Li S, Vater A, Radovits T, Brune M, Ruppert M, Sun X, Brlecic P, Zorn M, et al: Left ventricular pressure-volume measurements and myocardial gene expression profile in type 2 diabetic Goto-Kakizaki rats. Am J Physiol Heart Circ Physiol. 311:H958–H971. 2016.PubMed/NCBI View Article : Google Scholar

19 

Livak KJ and Schmittgen TD: Analysis of relative gene expression data using real-time quantitative PCR and the 2(-Delta Delta C(T)) Method. Methods. 25:402–408. 2001.PubMed/NCBI View Article : Google Scholar

20 

Huang S, Wang W, Li L, Wang T, Zhao Y, Lin Y, Huang W, Wang Y and Huang Z: P2X7 receptor deficiency ameliorates STZ-induced cardiac damage and remodeling through PKCβ and ERK. Front Cell Dev Biol. 9(692028)2021.PubMed/NCBI View Article : Google Scholar

21 

Zhou J, Yao Y, Zhang J, Wang Z, Zheng T, Lu Y, Kong W and Zhao J: JNK-dependent phosphorylation and nuclear translocation of EGR-1 promotes cardiomyocyte apoptosis. Apoptosis. 27:246–260. 2022.PubMed/NCBI View Article : Google Scholar

22 

Tarvonen M, Hovi P, Sainio S, Vuorela P, Andersson S and Teramo K: Intrapartal cardiotocographic patterns and hypoxia-related perinatal outcomes in pregnancies complicated by gestational diabetes mellitus. Acta Diabetol. 58:1563–1573. 2021.PubMed/NCBI View Article : Google Scholar

23 

Siu SC and Colman JM: Heart disease and pregnancy. Heart. 85:710–715. 2001.PubMed/NCBI View Article : Google Scholar

24 

Zhou RN, Song YL, Ruan JQ, Wang YT and Yan R: Pharmacokinetic evidence on the contribution of intestinal bacterial conversion to beneficial effects of astragaloside IV, a marker compound of astragali radix, in traditional oral use of the herb. Drug Metab Pharmacokinet. 27:586–597. 2012.PubMed/NCBI View Article : Google Scholar

25 

Chen C, Yu LT, Cheng BR, Xu JL, Cai Y, Jin JL, Feng RL, Xie L, Qu XY, Li D, et al: Promising therapeutic candidate for myocardial ischemia/reperfusion injury: What are the possible mechanisms and roles of phytochemicals? Front Cardiovasc Med. 8(792592)2021.PubMed/NCBI View Article : Google Scholar

26 

Xia Z, Kuo KH, Nagareddy PR, Wang F, Guo Z, Guo T, Jiang J and McNeill JH: N-acetylcysteine attenuates PKCbeta2 overexpression and myocardial hypertrophy in streptozotocin-induced diabetic rats. Cardiovasc Res. 73:770–782. 2007.PubMed/NCBI View Article : Google Scholar

27 

Wakasaki H, Koya D, Schoen FJ, Jirousek MR, Ways DK, Hoit BD, Walsh RA and King GL: Targeted overexpression of protein kinase C beta2 isoform in myocardium causes cardiomyopathy. Proc Natl Acad Sci USA. 94:9320–9325. 1997.PubMed/NCBI View Article : Google Scholar

28 

Heo KS, Kim DU, Kim L, Nam M, Baek ST, Park SK, Park Y, Myung CS, Hwang SO and Hoe KL: Activation of PKCbeta(II) and PKCtheta is essential for LDL-induced cell proliferation of human aortic smooth muscle cells via Gi-mediated Erk1/2 activation and Egr-1 upregulation. Biochem Biophys Res Commun. 368:126–131. 2008.PubMed/NCBI View Article : Google Scholar

Related Articles

  • Abstract
  • View
  • Download
  • Twitter
Copy and paste a formatted citation
Spandidos Publications style
Zhang Y, Wu M, Deng Y, He B and Li H: Astragaloside IV attenuates cardiac hypertrophy in rats born from mothers with intrauterine hypoxia through the PKCβII/Egr‑1 pathway. Exp Ther Med 26: 365, 2023.
APA
Zhang, Y., Wu, M., Deng, Y., He, B., & Li, H. (2023). Astragaloside IV attenuates cardiac hypertrophy in rats born from mothers with intrauterine hypoxia through the PKCβII/Egr‑1 pathway. Experimental and Therapeutic Medicine, 26, 365. https://doi.org/10.3892/etm.2023.12064
MLA
Zhang, Y., Wu, M., Deng, Y., He, B., Li, H."Astragaloside IV attenuates cardiac hypertrophy in rats born from mothers with intrauterine hypoxia through the PKCβII/Egr‑1 pathway". Experimental and Therapeutic Medicine 26.2 (2023): 365.
Chicago
Zhang, Y., Wu, M., Deng, Y., He, B., Li, H."Astragaloside IV attenuates cardiac hypertrophy in rats born from mothers with intrauterine hypoxia through the PKCβII/Egr‑1 pathway". Experimental and Therapeutic Medicine 26, no. 2 (2023): 365. https://doi.org/10.3892/etm.2023.12064
Copy and paste a formatted citation
x
Spandidos Publications style
Zhang Y, Wu M, Deng Y, He B and Li H: Astragaloside IV attenuates cardiac hypertrophy in rats born from mothers with intrauterine hypoxia through the PKCβII/Egr‑1 pathway. Exp Ther Med 26: 365, 2023.
APA
Zhang, Y., Wu, M., Deng, Y., He, B., & Li, H. (2023). Astragaloside IV attenuates cardiac hypertrophy in rats born from mothers with intrauterine hypoxia through the PKCβII/Egr‑1 pathway. Experimental and Therapeutic Medicine, 26, 365. https://doi.org/10.3892/etm.2023.12064
MLA
Zhang, Y., Wu, M., Deng, Y., He, B., Li, H."Astragaloside IV attenuates cardiac hypertrophy in rats born from mothers with intrauterine hypoxia through the PKCβII/Egr‑1 pathway". Experimental and Therapeutic Medicine 26.2 (2023): 365.
Chicago
Zhang, Y., Wu, M., Deng, Y., He, B., Li, H."Astragaloside IV attenuates cardiac hypertrophy in rats born from mothers with intrauterine hypoxia through the PKCβII/Egr‑1 pathway". Experimental and Therapeutic Medicine 26, no. 2 (2023): 365. https://doi.org/10.3892/etm.2023.12064
Follow us
  • Twitter
  • LinkedIn
  • Facebook
About
  • Spandidos Publications
  • Careers
  • Cookie Policy
  • Privacy Policy
How can we help?
  • Help
  • Live Chat
  • Contact
  • Email to our Support Team