Spandidos Publications Logo
  • About
    • About Spandidos
    • Aims and Scopes
    • Abstracting and Indexing
    • Editorial Policies
    • Reprints and Permissions
    • Job Opportunities
    • Terms and Conditions
    • Contact
  • Journals
    • All Journals
    • Oncology Letters
      • Oncology Letters
      • Information for Authors
      • Editorial Policies
      • Editorial Board
      • Aims and Scope
      • Abstracting and Indexing
      • Bibliographic Information
      • Archive
    • International Journal of Oncology
      • International Journal of Oncology
      • Information for Authors
      • Editorial Policies
      • Editorial Board
      • Aims and Scope
      • Abstracting and Indexing
      • Bibliographic Information
      • Archive
    • Molecular and Clinical Oncology
      • Molecular and Clinical Oncology
      • Information for Authors
      • Editorial Policies
      • Editorial Board
      • Aims and Scope
      • Abstracting and Indexing
      • Bibliographic Information
      • Archive
    • Experimental and Therapeutic Medicine
      • Experimental and Therapeutic Medicine
      • Information for Authors
      • Editorial Policies
      • Editorial Board
      • Aims and Scope
      • Abstracting and Indexing
      • Bibliographic Information
      • Archive
    • International Journal of Molecular Medicine
      • International Journal of Molecular Medicine
      • Information for Authors
      • Editorial Policies
      • Editorial Board
      • Aims and Scope
      • Abstracting and Indexing
      • Bibliographic Information
      • Archive
    • Biomedical Reports
      • Biomedical Reports
      • Information for Authors
      • Editorial Policies
      • Editorial Board
      • Aims and Scope
      • Abstracting and Indexing
      • Bibliographic Information
      • Archive
    • Oncology Reports
      • Oncology Reports
      • Information for Authors
      • Editorial Policies
      • Editorial Board
      • Aims and Scope
      • Abstracting and Indexing
      • Bibliographic Information
      • Archive
    • Molecular Medicine Reports
      • Molecular Medicine Reports
      • Information for Authors
      • Editorial Policies
      • Editorial Board
      • Aims and Scope
      • Abstracting and Indexing
      • Bibliographic Information
      • Archive
    • World Academy of Sciences Journal
      • World Academy of Sciences Journal
      • Information for Authors
      • Editorial Policies
      • Editorial Board
      • Aims and Scope
      • Abstracting and Indexing
      • Bibliographic Information
      • Archive
    • International Journal of Functional Nutrition
      • International Journal of Functional Nutrition
      • Information for Authors
      • Editorial Policies
      • Editorial Board
      • Aims and Scope
      • Abstracting and Indexing
      • Bibliographic Information
      • Archive
    • International Journal of Epigenetics
      • International Journal of Epigenetics
      • Information for Authors
      • Editorial Policies
      • Editorial Board
      • Aims and Scope
      • Abstracting and Indexing
      • Bibliographic Information
      • Archive
    • Medicine International
      • Medicine International
      • Information for Authors
      • Editorial Policies
      • Editorial Board
      • Aims and Scope
      • Abstracting and Indexing
      • Bibliographic Information
      • Archive
  • Articles
  • Information
    • Information for Authors
    • Information for Reviewers
    • Information for Librarians
    • Information for Advertisers
    • Conferences
  • Language Editing
Spandidos Publications Logo
  • About
    • About Spandidos
    • Aims and Scopes
    • Abstracting and Indexing
    • Editorial Policies
    • Reprints and Permissions
    • Job Opportunities
    • Terms and Conditions
    • Contact
  • Journals
    • All Journals
    • Biomedical Reports
      • Information for Authors
      • Editorial Policies
      • Editorial Board
      • Aims and Scope
      • Abstracting and Indexing
      • Bibliographic Information
      • Archive
    • Experimental and Therapeutic Medicine
      • Information for Authors
      • Editorial Policies
      • Editorial Board
      • Aims and Scope
      • Abstracting and Indexing
      • Bibliographic Information
      • Archive
    • International Journal of Epigenetics
      • Information for Authors
      • Editorial Policies
      • Editorial Board
      • Aims and Scope
      • Abstracting and Indexing
      • Bibliographic Information
      • Archive
    • International Journal of Functional Nutrition
      • Information for Authors
      • Editorial Policies
      • Editorial Board
      • Aims and Scope
      • Abstracting and Indexing
      • Bibliographic Information
      • Archive
    • International Journal of Molecular Medicine
      • Information for Authors
      • Editorial Policies
      • Editorial Board
      • Aims and Scope
      • Abstracting and Indexing
      • Bibliographic Information
      • Archive
    • International Journal of Oncology
      • Information for Authors
      • Editorial Policies
      • Editorial Board
      • Aims and Scope
      • Abstracting and Indexing
      • Bibliographic Information
      • Archive
    • Medicine International
      • Information for Authors
      • Editorial Policies
      • Editorial Board
      • Aims and Scope
      • Abstracting and Indexing
      • Bibliographic Information
      • Archive
    • Molecular and Clinical Oncology
      • Information for Authors
      • Editorial Policies
      • Editorial Board
      • Aims and Scope
      • Abstracting and Indexing
      • Bibliographic Information
      • Archive
    • Molecular Medicine Reports
      • Information for Authors
      • Editorial Policies
      • Editorial Board
      • Aims and Scope
      • Abstracting and Indexing
      • Bibliographic Information
      • Archive
    • Oncology Letters
      • Information for Authors
      • Editorial Policies
      • Editorial Board
      • Aims and Scope
      • Abstracting and Indexing
      • Bibliographic Information
      • Archive
    • Oncology Reports
      • Information for Authors
      • Editorial Policies
      • Editorial Board
      • Aims and Scope
      • Abstracting and Indexing
      • Bibliographic Information
      • Archive
    • World Academy of Sciences Journal
      • Information for Authors
      • Editorial Policies
      • Editorial Board
      • Aims and Scope
      • Abstracting and Indexing
      • Bibliographic Information
      • Archive
  • Articles
  • Information
    • For Authors
    • For Reviewers
    • For Librarians
    • For Advertisers
    • Conferences
  • Language Editing
Login Register Submit
  • This site uses cookies
  • You can change your cookie settings at any time by following the instructions in our Cookie Policy. To find out more, you may read our Privacy Policy.

    I agree
Search articles by DOI, keyword, author or affiliation
Search
Advanced Search
presentation
Experimental and Therapeutic Medicine
Join Editorial Board Propose a Special Issue
Print ISSN: 1792-0981 Online ISSN: 1792-1015
Journal Cover
December-2023 Volume 26 Issue 6

Full Size Image

Sign up for eToc alerts
Recommend to Library

Journals

International Journal of Molecular Medicine

International Journal of Molecular Medicine

International Journal of Molecular Medicine is an international journal devoted to molecular mechanisms of human disease.

International Journal of Oncology

International Journal of Oncology

International Journal of Oncology is an international journal devoted to oncology research and cancer treatment.

Molecular Medicine Reports

Molecular Medicine Reports

Covers molecular medicine topics such as pharmacology, pathology, genetics, neuroscience, infectious diseases, molecular cardiology, and molecular surgery.

Oncology Reports

Oncology Reports

Oncology Reports is an international journal devoted to fundamental and applied research in Oncology.

Experimental and Therapeutic Medicine

Experimental and Therapeutic Medicine

Experimental and Therapeutic Medicine is an international journal devoted to laboratory and clinical medicine.

Oncology Letters

Oncology Letters

Oncology Letters is an international journal devoted to Experimental and Clinical Oncology.

Biomedical Reports

Biomedical Reports

Explores a wide range of biological and medical fields, including pharmacology, genetics, microbiology, neuroscience, and molecular cardiology.

Molecular and Clinical Oncology

Molecular and Clinical Oncology

International journal addressing all aspects of oncology research, from tumorigenesis and oncogenes to chemotherapy and metastasis.

World Academy of Sciences Journal

World Academy of Sciences Journal

Multidisciplinary open-access journal spanning biochemistry, genetics, neuroscience, environmental health, and synthetic biology.

International Journal of Functional Nutrition

International Journal of Functional Nutrition

Open-access journal combining biochemistry, pharmacology, immunology, and genetics to advance health through functional nutrition.

International Journal of Epigenetics

International Journal of Epigenetics

Publishes open-access research on using epigenetics to advance understanding and treatment of human disease.

Medicine International

Medicine International

An International Open Access Journal Devoted to General Medicine.

Journal Cover
December-2023 Volume 26 Issue 6

Full Size Image

Sign up for eToc alerts
Recommend to Library

  • Article
  • Citations
    • Cite This Article
    • Download Citation
    • Create Citation Alert
    • Remove Citation Alert
    • Cited By
  • Similar Articles
    • Related Articles (in Spandidos Publications)
    • Similar Articles (Google Scholar)
    • Similar Articles (PubMed)
  • Download PDF
  • Download XML
  • View XML

  • Supplementary Files
    • Supplementary_Data.pdf
Article Open Access

Effect of autologous lyophilized platelet‑rich fibrin on the reconstruction of osteochondral defects in rabbits

  • Authors:
    • Jianwei Sun
    • Leng Han
    • Chundong Liu
    • Junli Ma
    • Xiao Li
    • Shuohui Sun
    • Zhifa Wang
  • View Affiliations / Copyright

    Affiliations: The Fourth Recuperate Area, Guangzhou Special Service Recuperation Center of People's Liberation Army (PLA) of China Rocket Force, Guangzhou, Guangdong 510515, P.R. China, Department of Pathology, General Hospital of Southern Theater Command of PLA, Guangzhou, Guangdong 510010, P.R. China, Department of Stomatology, Zhujiang Hospital, Southern Medical University, Guangzhou, Guangdong 510280, P.R. China, Department of Stomatology, General Hospital of Southern Theater Command of PLA, Guangzhou, Guangdong 510010, P.R. China
    Copyright: © Sun et al. This is an open access article distributed under the terms of Creative Commons Attribution License.
  • Article Number: 569
    |
    Published online on: October 24, 2023
       https://doi.org/10.3892/etm.2023.12268
  • Expand metrics +
Metrics: Total Views: 0 (Spandidos Publications: | PMC Statistics: )
Metrics: Total PDF Downloads: 0 (Spandidos Publications: | PMC Statistics: )
Cited By (CrossRef): 0 citations Loading Articles...

This article is mentioned in:



Abstract

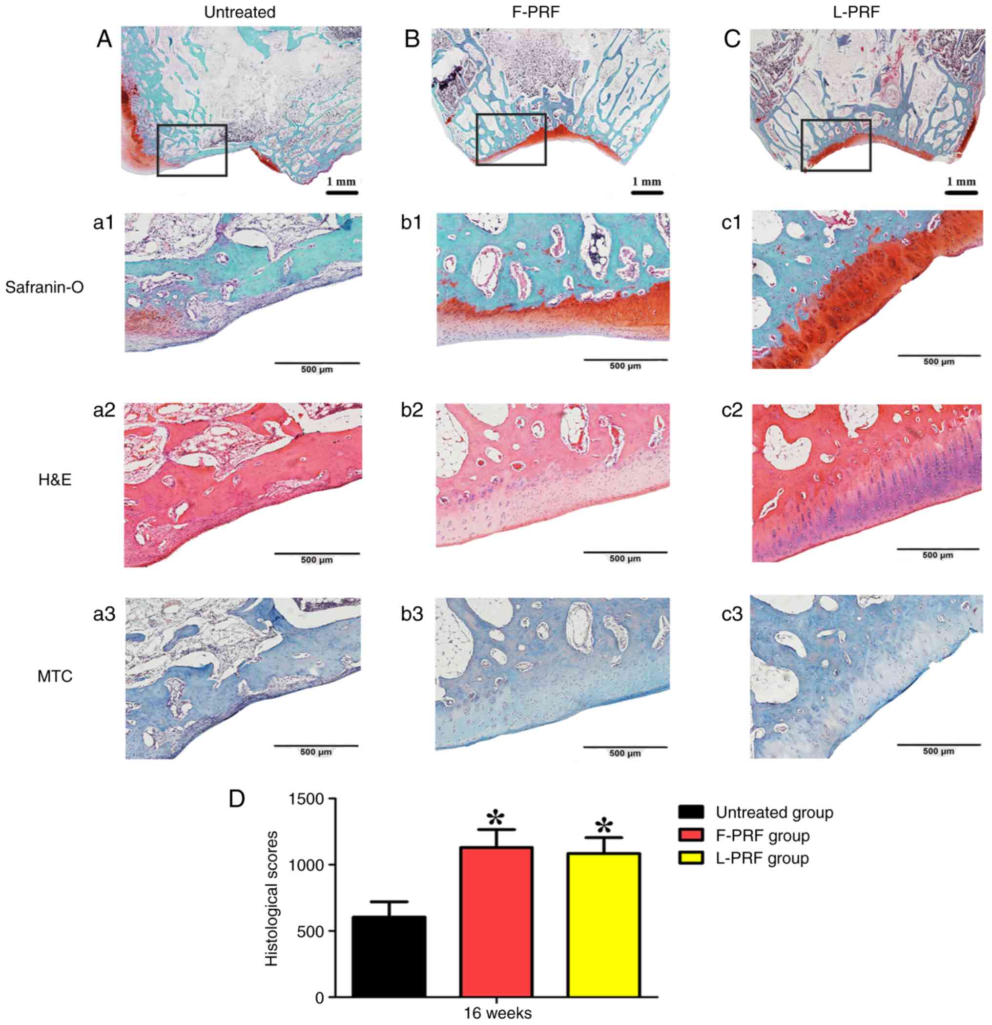
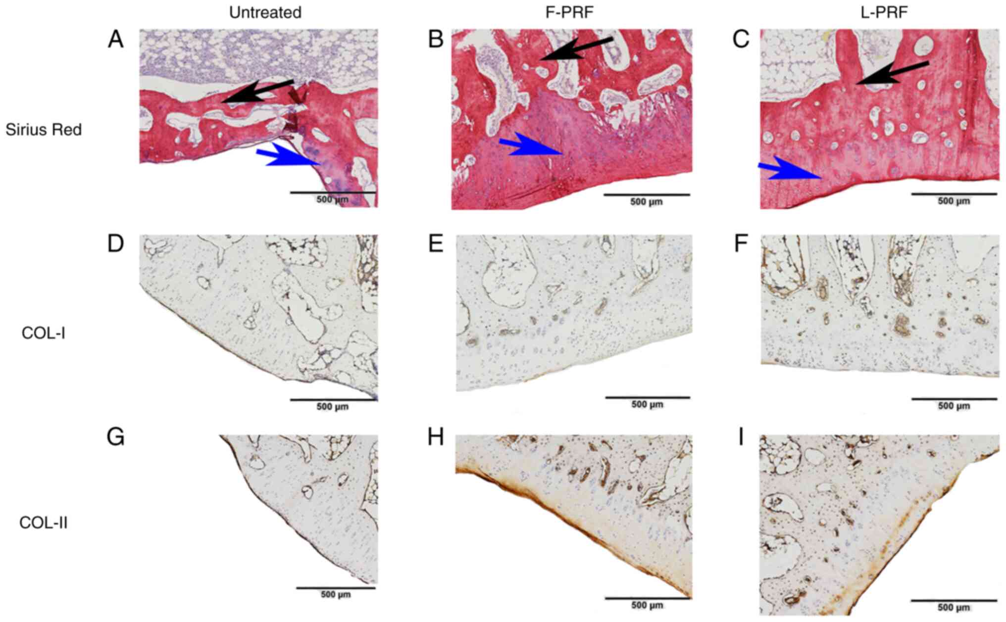
Osteochondral defects caused by degenerative diseases of joints, traumas and inflammation are important issues in clinical practice. Different types of autologous platelet concentrate (PCs) are used in bone and cartilage regeneration. The present study aimed to investigate the effect of lyophilized platelet‑rich fibrin (L‑PRF) on the repair of osteochondral defects in rabbits. L‑PRF was first prepared from fresh PRF (F‑PRF) through freeze‑drying, and histological and microstructural observations were performed to compare the characteristics of L‑PRF and F‑PRF. Thereafter, these bioactive scaffolds were implanted into osteochondral defects surgically created in rabbits to assess their effects on tissue repair using micro‑CT scanning, histological observations and the evaluation scoring method for cartilage repair established by the International Cartilage Repair Society (ICRS). L‑PRF had a histological structure similar to F‑PRF. At 16 weeks after implantation surgery, full‑thickness osteochondral defects with a diameter of 5 mm and a depth of 4 mm were well‑filled with newly regenerated tissues, exhibiting the simultaneous regeneration of avascular articular cartilage and well‑vascularized subchondral bone, as proven through macroscopic and microscopic observations in PRF‑treated groups compared with that in the untreated group. The application of L‑PRF and F‑PRF for osteochondral defects in rabbits contributed to massive host remodeling and reconstruction of osteochondral tissues, thus offering a prospective bioactive scaffold for the simultaneous reconstruction of articular cartilage and subchondral bone tissue.
View Figures

Figure 1

Figure 2

Figure 3

Figure 4

Figure 5

View References

1 

Deng C, Chang J and Wu C: Bioactive scaffolds for osteochondral regeneration. J Orthop Translat. 17:15–25. 2018.PubMed/NCBI View Article : Google Scholar

2 

Xue J, Feng B, Zheng R, Lu Y, Zhou G, Liu W, Cao Y, Zhang Y and Zhang WJ: Engineering ear-shaped cartilage using electrospun fibrous membranes of gelatin/polycaprolactone. Biomaterials. 34:2624–2631. 2013.PubMed/NCBI View Article : Google Scholar

3 

Huey DJ, Hu JC and Athanasiou KA: Unlike bone, cartilage regeneration remains elusive. Science. 338:917–921. 2012.PubMed/NCBI View Article : Google Scholar

4 

Brittberg M, Lindahl A, Nilsson A, Ohlsson C, Isaksson O and Peterson L: Treatment of deep cartilage defects in the knee with autologous chondrocyte transplantation. N Engl J Med. 331:889–895. 1994.PubMed/NCBI View Article : Google Scholar

5 

Nooeaid P, Salih V, Beier JP and Boccaccini AR: Osteochondral tissue engineering: Scaffolds, stem cells and applications. J Cell Mol Med. 16:2247–2270. 2012.PubMed/NCBI View Article : Google Scholar

6 

Mendelson A, Frank E, Allred C, Jones E, Chen M, Zhao W and Mao JJ: Chondrogenesis by chemotactic homing of synovium, bone marrow, and adipose stem cells in vitro. FASEB J. 25:3496–3504. 2011.PubMed/NCBI View Article : Google Scholar

7 

Wang Z, Li Z, Li Z, Wu B, Liu Y and Wu W: Cartilaginous extracellular matrix derived from decellularized chondrocyte sheets for the reconstruction of osteochondral defects in rabbits. Acta Biomater. 81:129–145. 2018.PubMed/NCBI View Article : Google Scholar

8 

Lee CH, Cook JL, Mendelson A, Moioli EK, Yao H and Mao JJ: Regeneration of the articular surface of the rabbit synovial joint by cell homing: A proof of concept study. Lancet. 376:440–448. 2010.PubMed/NCBI View Article : Google Scholar

9 

Zlotnick HM, Locke RC, Stoeckl BD, Patel JM, Gupta S, Browne KD, Koh J, Carey JL and Mauck RL: Marked differences in local bone remodelling in response to different marrow stimulation techniques in a large animal. Eur Cell Mater. 41:546–557. 2021.PubMed/NCBI View Article : Google Scholar

10 

Park MS, Kim YH, Jung Y, Kim SH, Park JC, Yoon DS, Kim SH and Lee JW: In situ recruitment of human bone marrow-derived mesenchymal stem cells using chemokines for articular cartilage regeneration. Cell Transplant. 24:1067–1083. 2015.PubMed/NCBI View Article : Google Scholar

11 

Kazemi D, Fakhrjou A, Dizaji VM and Alishahi MK: Effect of autologous platelet rich fibrin on the healing of experimental articular cartilage defects of the knee in an animal model. Biomed Res Int. 2014(486436)2014.PubMed/NCBI View Article : Google Scholar

12 

Dohan DM, Choukroun J, Diss A, Dohan SL, Dohan AJ, Mouhyi J and Gogly B: Platelet-rich fibrin (PRF): A second-generation platelet concentrate. Part I: Technological concepts and evolution. Oral Surg Oral Med Oral Pathol Oral Radiol Endod. 101:e37–e44. 2006.PubMed/NCBI View Article : Google Scholar

13 

Serra CI, Soler C, Carrillo JM, Sopena JJ, Redondo JI and Cugat R: Effect of autologous platelet-rich plasma on the repair of full-thickness articular defects in rabbits. Knee Surg Sports Traumatol Arthrosc. 21:1730–1736. 2013.PubMed/NCBI View Article : Google Scholar

14 

Wang Z, Weng Y, Lu S, Zong C, Qiu J, Liu Y and Liu B: Osteoblastic mesenchymal stem cell sheet combined with Choukroun platelet-rich fibrin induces bone formation at an ectopic site. J Biomed Mater Res B Appl Biomater. 103:1204–1216. 2015.PubMed/NCBI View Article : Google Scholar

15 

Wang Z, Hu H, Li Z, Weng Y, Dai T, Zong C, Liu Y and Liu B: Sheet of osteoblastic cells combined with platelet-rich fibrin improves the formation of bone in critical-size calvarial defects in rabbits. Br J Oral Maxillofac Surg. 54:316–321. 2016.PubMed/NCBI View Article : Google Scholar

16 

Wang Z, Han L, Sun T, Wang W, Li X and Wu B: Preparation and effect of lyophilized platelet-rich fibrin on the osteogenic potential of bone marrow mesenchymal stem cells in vitro and in vivo. Heliyon. 5(e02739)2019.PubMed/NCBI View Article : Google Scholar

17 

Lei X, Yang Y, Shan G, Pan Y and Cheng B: Preparation of ADM/PRP freeze-dried dressing and effect of mice full-thickness skin defect model. Biomed Mater. 14(035004)2019.PubMed/NCBI View Article : Google Scholar

18 

Chumroenphat T, Somboonwatthanakul I, Saensouk S and Siriamornpun S: Changes in curcuminoids and chemical components of turmeric (Curcuma longa L.) under freeze-drying and low-temperature drying methods. Food Chem. 339(128121)2021.PubMed/NCBI View Article : Google Scholar : Haugh MG, Murphy CM and O'Brien FJ: Novel freeze-drying methods to produce a range of collagen-glycosaminoglycan scaffolds with tailored mean pore sizes. Tissue Eng Part C Methods 16: 887-894, 2010.

19 

Shi L, Li R, Wei S, Zhou M, Li L, Lin F, Li Y, Guo Z, Zhang W, Chen M and Shan G: Effects of a protective agent on freeze-dried platelet-rich plasma. Blood Coagul Fibrinolysis. 30:58–65. 2019.PubMed/NCBI View Article : Google Scholar

20 

Ba R, Wei J, Li M, Cheng X, Zhao Y and Wu W: Cell-bricks based injectable niche guided persistent ectopic chondrogenesis of bone marrow-derived mesenchymal stem cells and enabled nasal augmentation. Stem Cell Res Ther. 6(16)2015.PubMed/NCBI View Article : Google Scholar

21 

van den Borne MP, Raijmakers NJ, Vanlauwe J, Victor J, de Jong SN, Bellemans J and Saris DB: International Cartilage Repair Society. International cartilage repair society (ICRS) and oswestry macroscopic cartilage evaluation scores validated for use in autologous chondrocyte implantation (ACI) and microfracture. Osteoarthritis Cartilage. 15:1397–1402. 2007.PubMed/NCBI View Article : Google Scholar

22 

Mainil-Varlet P, Van Damme B, Nesic D, Knutsen G, Kandel R and Roberts S: A new histology scoring system for the assessment of the quality of human cartilage repair: ICRS II. Am J Sports Med. 38:880–890. 2010.PubMed/NCBI View Article : Google Scholar

23 

Wang Z, Han L, Sun T, Ma J, Sun S, Ma L and Wu B: Extracellular matrix derived from allogenic decellularized bone marrow mesenchymal stem cell sheets for the reconstruction of osteochondral defects in rabbits. Acta Biomater. 118:54–68. 2020.PubMed/NCBI View Article : Google Scholar

24 

Temmerman A, Cleeren GJ, Castro AB, Teughels W and Quirynen M: L-PRF for increasing the width of keratinized mucosa around implants: A split-mouth, randomized, controlled pilot clinical trial. J Periodontal Res. 53:793–800. 2018.PubMed/NCBI View Article : Google Scholar

25 

Sameera S, Nagasri M, Aravind Kumar P, Indeevar P, Raviraj K and Musalaiah SVVS: Comparison of two surgical techniques in the treatment of multiple gingival recessions sandwiched with a combination of A-PRF and L-PRF. Saudi Dent J. 30:183–189. 2018.PubMed/NCBI View Article : Google Scholar

26 

Beitzel K, McCarthy MB, Cote MP, Russell RP, Apostolakos J, Ramos DM, Kumbar SG, Imhoff AB, Arciero RA and Mazzocca AD: Properties of biologic scaffolds and their response to mesenchymal stem cells. Arthroscopy. 30:289–298. 2014.PubMed/NCBI View Article : Google Scholar

27 

Dohan DM, Choukroun J, Diss A, Dohan SL, Dohan AJ, Mouhyi J and Gogly B: Platelet-rich fibrin (PRF): A second-generation platelet concentrate. Part III: Leucocyte activation: a new feature for platelet concentrates? Oral Surg Oral Med Oral Pathol Oral Radiol Endod. 101:e51–e55. 2006.PubMed/NCBI View Article : Google Scholar

28 

Ma L, Wang X, Zhao N, Zhu Y, Qiu Z, Li Q, Zhou Y, Lin Z, Li X, Zeng X, et al: Integrating 3D printing and biomimetic mineralization for personalized enhanced osteogenesis, angiogenesis, and osteointegration. ACS Appl Mater Interfaces. 10:42146–42154. 2018.PubMed/NCBI View Article : Google Scholar

29 

Isobe K, Watanebe T, Kawabata H, Kitamura Y, Okudera T, Okudera H, Uematsu K, Okuda K, Nakata K, Tanaka T and Kawase T: Mechanical and degradation properties of advanced platelet-rich fibrin (A-PRF), concentrated growth factors (CGF), and platelet-poor plasma-derived fibrin (PPTF). Int J Implant Dent. 3(17)2017.PubMed/NCBI View Article : Google Scholar

30 

Pichotano EC, de Molon RS, de Souza RV, Austin RS, Marcantonio E and Zandim-Barcelos DL: Evaluation of L-PRF combined with deproteinized bovine bone mineral for early implant placement after maxillary sinus augmentation: A randomized clinical trial. Clin Implant Dent Relat Res. 21:253–262. 2019.PubMed/NCBI View Article : Google Scholar

31 

Lundquist R, Dziegiel MH and Agren MS: Bioactivity and stability of endogenous fibrogenic factors in platelet-rich fibrin. Wound Repair Regen. 16:356–363. 2008.PubMed/NCBI View Article : Google Scholar

32 

Dohan Ehrenfest DM, Del Corso M, Diss A, Mouhyi J and Charrier JB: Three-dimensional architecture and cell composition of a Choukroun's platelet-rich fibrin clot and membrane. J Periodontol. 81:546–555. 2010.PubMed/NCBI View Article : Google Scholar

33 

White JG: Platelet secretion during clot retraction. Platelets. 11:331–343. 2000.PubMed/NCBI View Article : Google Scholar

34 

Mao Z, Bi X, Wu C, Zheng Y, Shu X, Wu S, Guan J and Ritchie RO: A cell-free silk fibroin biomaterial strategy promotes in situ cartilage regeneration via programmed releases of bioactive molecules. Adv Healthc Mater. 12(e2201588)2023.PubMed/NCBI View Article : Google Scholar

35 

Ravindran S, Kotecha M, Huang CC, Ye A, Pothirajan P, Yin Z, Magin R and George A: Biological and MRI characterization of biomimetic ECM scaffolds for cartilage tissue regeneration. Biomaterials. 71:58–70. 2015.PubMed/NCBI View Article : Google Scholar

36 

Crapo PM, Gilbert TW and Badylak SF: An overview of tissue and whole organ decellularization processes. Biomaterials. 32:3233–3243. 2011.PubMed/NCBI View Article : Google Scholar

37 

Cortiella J, Niles J, Cantu A, Brettler A, Pham A, Vargas G, Winston S, Wang J, Walls S and Nichols JE: Influence of acellular natural lung matrix on murine embryonic stem cell differentiation and tissue formation. Tissue Eng Part A. 16:2565–2580. 2010.PubMed/NCBI View Article : Google Scholar

38 

Li Z, Ba R, Wang Z, Wei J, Zhao Y and Wu W: Angiogenic potential of human bone marrow-derived mesenchymal stem cells in chondrocyte brick-enriched constructs promoted stable regeneration of craniofacial cartilage. Stem Cells Transl Med. 6:601–612. 2017.PubMed/NCBI View Article : Google Scholar

39 

Li J, Kang F, Gong X, Bai Y, Dai J, Zhao C, Dou C, Cao Z, Liang M, Dong R, et al: Ceria nanoparticles enhance endochondral ossification-based critical-sized bone defect regeneration by promoting the hypertrophic differentiation of BMSCs via DHX15 activation. FASEB J. 33:6378–6389. 2019.PubMed/NCBI View Article : Google Scholar

40 

Gaut C and Sugaya K: Critical review on the physical and mechanical factors involved in tissue engineering of cartilage. Regen Med. 10:665–679. 2015.PubMed/NCBI View Article : Google Scholar

41 

Nukavarapu SP and Dorcemus DL: Osteochondral tissue engineering: current strategies and challenges. Biotechnol Adv. 31:706–721. 2013.PubMed/NCBI View Article : Google Scholar

42 

Brown BN and Badylak SF: Extracellular matrix as an inductive scaffold for functional tissue reconstruction. Transl Res. 163:268–285. 2014.PubMed/NCBI View Article : Google Scholar

Related Articles

  • Abstract
  • View
  • Download
  • Twitter
Copy and paste a formatted citation
Spandidos Publications style
Sun J, Han L, Liu C, Ma J, Li X, Sun S and Wang Z: Effect of autologous lyophilized platelet‑rich fibrin on the reconstruction of osteochondral defects in rabbits. Exp Ther Med 26: 569, 2023.
APA
Sun, J., Han, L., Liu, C., Ma, J., Li, X., Sun, S., & Wang, Z. (2023). Effect of autologous lyophilized platelet‑rich fibrin on the reconstruction of osteochondral defects in rabbits. Experimental and Therapeutic Medicine, 26, 569. https://doi.org/10.3892/etm.2023.12268
MLA
Sun, J., Han, L., Liu, C., Ma, J., Li, X., Sun, S., Wang, Z."Effect of autologous lyophilized platelet‑rich fibrin on the reconstruction of osteochondral defects in rabbits". Experimental and Therapeutic Medicine 26.6 (2023): 569.
Chicago
Sun, J., Han, L., Liu, C., Ma, J., Li, X., Sun, S., Wang, Z."Effect of autologous lyophilized platelet‑rich fibrin on the reconstruction of osteochondral defects in rabbits". Experimental and Therapeutic Medicine 26, no. 6 (2023): 569. https://doi.org/10.3892/etm.2023.12268
Copy and paste a formatted citation
x
Spandidos Publications style
Sun J, Han L, Liu C, Ma J, Li X, Sun S and Wang Z: Effect of autologous lyophilized platelet‑rich fibrin on the reconstruction of osteochondral defects in rabbits. Exp Ther Med 26: 569, 2023.
APA
Sun, J., Han, L., Liu, C., Ma, J., Li, X., Sun, S., & Wang, Z. (2023). Effect of autologous lyophilized platelet‑rich fibrin on the reconstruction of osteochondral defects in rabbits. Experimental and Therapeutic Medicine, 26, 569. https://doi.org/10.3892/etm.2023.12268
MLA
Sun, J., Han, L., Liu, C., Ma, J., Li, X., Sun, S., Wang, Z."Effect of autologous lyophilized platelet‑rich fibrin on the reconstruction of osteochondral defects in rabbits". Experimental and Therapeutic Medicine 26.6 (2023): 569.
Chicago
Sun, J., Han, L., Liu, C., Ma, J., Li, X., Sun, S., Wang, Z."Effect of autologous lyophilized platelet‑rich fibrin on the reconstruction of osteochondral defects in rabbits". Experimental and Therapeutic Medicine 26, no. 6 (2023): 569. https://doi.org/10.3892/etm.2023.12268
Follow us
  • Twitter
  • LinkedIn
  • Facebook
About
  • Spandidos Publications
  • Careers
  • Cookie Policy
  • Privacy Policy
How can we help?
  • Help
  • Live Chat
  • Contact
  • Email to our Support Team