Spandidos Publications Logo
  • About
    • About Spandidos
    • Aims and Scopes
    • Abstracting and Indexing
    • Editorial Policies
    • Reprints and Permissions
    • Job Opportunities
    • Terms and Conditions
    • Contact
  • Journals
    • All Journals
    • Oncology Letters
      • Oncology Letters
      • Information for Authors
      • Editorial Policies
      • Editorial Board
      • Aims and Scope
      • Abstracting and Indexing
      • Bibliographic Information
      • Archive
    • International Journal of Oncology
      • International Journal of Oncology
      • Information for Authors
      • Editorial Policies
      • Editorial Board
      • Aims and Scope
      • Abstracting and Indexing
      • Bibliographic Information
      • Archive
    • Molecular and Clinical Oncology
      • Molecular and Clinical Oncology
      • Information for Authors
      • Editorial Policies
      • Editorial Board
      • Aims and Scope
      • Abstracting and Indexing
      • Bibliographic Information
      • Archive
    • Experimental and Therapeutic Medicine
      • Experimental and Therapeutic Medicine
      • Information for Authors
      • Editorial Policies
      • Editorial Board
      • Aims and Scope
      • Abstracting and Indexing
      • Bibliographic Information
      • Archive
    • International Journal of Molecular Medicine
      • International Journal of Molecular Medicine
      • Information for Authors
      • Editorial Policies
      • Editorial Board
      • Aims and Scope
      • Abstracting and Indexing
      • Bibliographic Information
      • Archive
    • Biomedical Reports
      • Biomedical Reports
      • Information for Authors
      • Editorial Policies
      • Editorial Board
      • Aims and Scope
      • Abstracting and Indexing
      • Bibliographic Information
      • Archive
    • Oncology Reports
      • Oncology Reports
      • Information for Authors
      • Editorial Policies
      • Editorial Board
      • Aims and Scope
      • Abstracting and Indexing
      • Bibliographic Information
      • Archive
    • Molecular Medicine Reports
      • Molecular Medicine Reports
      • Information for Authors
      • Editorial Policies
      • Editorial Board
      • Aims and Scope
      • Abstracting and Indexing
      • Bibliographic Information
      • Archive
    • World Academy of Sciences Journal
      • World Academy of Sciences Journal
      • Information for Authors
      • Editorial Policies
      • Editorial Board
      • Aims and Scope
      • Abstracting and Indexing
      • Bibliographic Information
      • Archive
    • International Journal of Functional Nutrition
      • International Journal of Functional Nutrition
      • Information for Authors
      • Editorial Policies
      • Editorial Board
      • Aims and Scope
      • Abstracting and Indexing
      • Bibliographic Information
      • Archive
    • International Journal of Epigenetics
      • International Journal of Epigenetics
      • Information for Authors
      • Editorial Policies
      • Editorial Board
      • Aims and Scope
      • Abstracting and Indexing
      • Bibliographic Information
      • Archive
    • Medicine International
      • Medicine International
      • Information for Authors
      • Editorial Policies
      • Editorial Board
      • Aims and Scope
      • Abstracting and Indexing
      • Bibliographic Information
      • Archive
  • Articles
  • Information
    • Information for Authors
    • Information for Reviewers
    • Information for Librarians
    • Information for Advertisers
    • Conferences
  • Language Editing
Spandidos Publications Logo
  • About
    • About Spandidos
    • Aims and Scopes
    • Abstracting and Indexing
    • Editorial Policies
    • Reprints and Permissions
    • Job Opportunities
    • Terms and Conditions
    • Contact
  • Journals
    • All Journals
    • Biomedical Reports
      • Information for Authors
      • Editorial Policies
      • Editorial Board
      • Aims and Scope
      • Abstracting and Indexing
      • Bibliographic Information
      • Archive
    • Experimental and Therapeutic Medicine
      • Information for Authors
      • Editorial Policies
      • Editorial Board
      • Aims and Scope
      • Abstracting and Indexing
      • Bibliographic Information
      • Archive
    • International Journal of Epigenetics
      • Information for Authors
      • Editorial Policies
      • Editorial Board
      • Aims and Scope
      • Abstracting and Indexing
      • Bibliographic Information
      • Archive
    • International Journal of Functional Nutrition
      • Information for Authors
      • Editorial Policies
      • Editorial Board
      • Aims and Scope
      • Abstracting and Indexing
      • Bibliographic Information
      • Archive
    • International Journal of Molecular Medicine
      • Information for Authors
      • Editorial Policies
      • Editorial Board
      • Aims and Scope
      • Abstracting and Indexing
      • Bibliographic Information
      • Archive
    • International Journal of Oncology
      • Information for Authors
      • Editorial Policies
      • Editorial Board
      • Aims and Scope
      • Abstracting and Indexing
      • Bibliographic Information
      • Archive
    • Medicine International
      • Information for Authors
      • Editorial Policies
      • Editorial Board
      • Aims and Scope
      • Abstracting and Indexing
      • Bibliographic Information
      • Archive
    • Molecular and Clinical Oncology
      • Information for Authors
      • Editorial Policies
      • Editorial Board
      • Aims and Scope
      • Abstracting and Indexing
      • Bibliographic Information
      • Archive
    • Molecular Medicine Reports
      • Information for Authors
      • Editorial Policies
      • Editorial Board
      • Aims and Scope
      • Abstracting and Indexing
      • Bibliographic Information
      • Archive
    • Oncology Letters
      • Information for Authors
      • Editorial Policies
      • Editorial Board
      • Aims and Scope
      • Abstracting and Indexing
      • Bibliographic Information
      • Archive
    • Oncology Reports
      • Information for Authors
      • Editorial Policies
      • Editorial Board
      • Aims and Scope
      • Abstracting and Indexing
      • Bibliographic Information
      • Archive
    • World Academy of Sciences Journal
      • Information for Authors
      • Editorial Policies
      • Editorial Board
      • Aims and Scope
      • Abstracting and Indexing
      • Bibliographic Information
      • Archive
  • Articles
  • Information
    • For Authors
    • For Reviewers
    • For Librarians
    • For Advertisers
    • Conferences
  • Language Editing
Login Register Submit
  • This site uses cookies
  • You can change your cookie settings at any time by following the instructions in our Cookie Policy. To find out more, you may read our Privacy Policy.

    I agree
Search articles by DOI, keyword, author or affiliation
Search
Advanced Search
presentation
Experimental and Therapeutic Medicine
Join Editorial Board Propose a Special Issue
Print ISSN: 1792-0981 Online ISSN: 1792-1015
Journal Cover
March-2024 Volume 27 Issue 3

Full Size Image

Sign up for eToc alerts
Recommend to Library

Journals

International Journal of Molecular Medicine

International Journal of Molecular Medicine

International Journal of Molecular Medicine is an international journal devoted to molecular mechanisms of human disease.

International Journal of Oncology

International Journal of Oncology

International Journal of Oncology is an international journal devoted to oncology research and cancer treatment.

Molecular Medicine Reports

Molecular Medicine Reports

Covers molecular medicine topics such as pharmacology, pathology, genetics, neuroscience, infectious diseases, molecular cardiology, and molecular surgery.

Oncology Reports

Oncology Reports

Oncology Reports is an international journal devoted to fundamental and applied research in Oncology.

Experimental and Therapeutic Medicine

Experimental and Therapeutic Medicine

Experimental and Therapeutic Medicine is an international journal devoted to laboratory and clinical medicine.

Oncology Letters

Oncology Letters

Oncology Letters is an international journal devoted to Experimental and Clinical Oncology.

Biomedical Reports

Biomedical Reports

Explores a wide range of biological and medical fields, including pharmacology, genetics, microbiology, neuroscience, and molecular cardiology.

Molecular and Clinical Oncology

Molecular and Clinical Oncology

International journal addressing all aspects of oncology research, from tumorigenesis and oncogenes to chemotherapy and metastasis.

World Academy of Sciences Journal

World Academy of Sciences Journal

Multidisciplinary open-access journal spanning biochemistry, genetics, neuroscience, environmental health, and synthetic biology.

International Journal of Functional Nutrition

International Journal of Functional Nutrition

Open-access journal combining biochemistry, pharmacology, immunology, and genetics to advance health through functional nutrition.

International Journal of Epigenetics

International Journal of Epigenetics

Publishes open-access research on using epigenetics to advance understanding and treatment of human disease.

Medicine International

Medicine International

An International Open Access Journal Devoted to General Medicine.

Journal Cover
March-2024 Volume 27 Issue 3

Full Size Image

Sign up for eToc alerts
Recommend to Library

  • Article
  • Citations
    • Cite This Article
    • Download Citation
    • Create Citation Alert
    • Remove Citation Alert
    • Cited By
  • Similar Articles
    • Related Articles (in Spandidos Publications)
    • Similar Articles (Google Scholar)
    • Similar Articles (PubMed)
  • Download PDF
  • Download XML
  • View XML
Case Report

Clonorchis sinensis infection in a non‑endemic area: A case report

  • Authors:
    • Xingqi Chen
    • Jixin He
    • Chong Tan
    • Yaxuan Xu
    • Lijin Zhao
  • View Affiliations / Copyright

    Affiliations: Department of General Surgery, Digestive Disease Hospital, Affiliated Hospital of Zunyi Medical University, Zunyi, Guizhou 563000, P.R. China, Department of Gastroenterology, Affiliated Hospital of Zunyi Medical University, Zunyi, Guizhou 563000, P.R. China, Department of General Surgery, Digestive Disease Hospital, Affiliated Hospital of Zunyi Medical University, Zunyi, Guizhou 563000, P.R. China
  • Article Number: 106
    |
    Published online on: January 17, 2024
       https://doi.org/10.3892/etm.2024.12394
  • Expand metrics +
Metrics: Total Views: 0 (Spandidos Publications: | PMC Statistics: )
Metrics: Total PDF Downloads: 0 (Spandidos Publications: | PMC Statistics: )
Cited By (CrossRef): 0 citations Loading Articles...

This article is mentioned in:



Abstract

Non‑endemic Clonorchis sinensis infection is challenging to diagnose. The present study reports the case of a 40‑year‑old female patient with severe epigastric pain, initially suspected to be a liver lesion, who was admitted to The Affiliated Hospital of Zunyi Medical University (Zunyi, China). A combination of diagnostic procedures, including computed tomography and magnetic resonance imaging, revealed an abnormality in the left hepatic lobe. Postoperative evaluation and the epidemiologic history of the patient (consumption of raw fish slices) revealed characteristics of Clonorchis sinensis infection, including chronic bile duct inflammation and eosinophilic liver infiltration. The present case highlights the unexpected emergence of this disease outside of recognized endemic areas and advocates clinical vigilance. Even in non‑endemic areas, individuals should be reminded not to eat raw fish and shrimp.

Introduction

Clonorchis sinensis is a trematode with a high prevalence in East Asia that can cause hepatobiliary infection (1). Clonorchis sinensis is mainly prevalent in China, South Korea, northern Vietnam and parts of Russia (2,3). Clonorchis sinensis (also referred to as liver fluke) generally parasitizes the liver and hepatic duct, and causes a serious foodborne parasitic disease (4). Furthermore, ~15 million humans have been estimated to be infected worldwide, with 85% of worldwide infections occurring in China (5). Much research in recent years has focused on endemic areas, and patients with Clonorchis sinensis infections are usually asymptomatic or only mildly symptomatic (2-4). Therefore, the infection is easy to overlook in non-endemic areas, and patients have little awareness of taking the initiative to seek medical attention. Even when they do seek medical attention, the probability of a missed diagnosis or misdiagnosis is high. Clonorchiasis generally appears as jaundice, indigestion, biliary inflammation and bile duct obstruction, and even liver cirrhosis, cholangiocarcinoma and hepatic carcinoma (2). The lack of obvious clinical symptoms in the early stages of Clonorchis sinensis infection often leads to underdiagnosis (2). Clonorchis sinensis infection is often misdiagnosed as gastroenteritis and liver abscesses due to its non-specific symptoms, such as inappetence, nausea, bellyache, jaundice and hepatosplenomegaly (2). The present report describes a case of Clonorchis sinensis infection in a non-endemic area with a history of raw fish consumption, as well as a characteristic presentation on ancillary examination, which provides some basis for the diagnosis of Clonorchis sinensis infection.

Case report

A 40-year-old woman was admitted to the Department of Hepatobiliary and Pancreatic Surgery of the First Affiliated Hospital of Zunyi Medical University (Zunyi, China) in December 2021 due to upper abdominal pain that had persisted for 2 weeks and been aggravated for 2 days. There was no evident cause for the abdominal pain, which had been intermittent and varied in intensity for 2 weeks. Over the last 2 days, the pain had intensified, extending to the back, with no chills or fever. In order to seek further diagnosis and treatment, the patient was admitted to the Outpatient Clinic with a liver space-occupying lesion, which required further examination and preliminary diagnosis after admission because the cause could not be determined prior to hospitalization. The patient reported being generally healthy in the past and consumed raw fish slices approximately once a month.

A physical examination indicated the following: i) No jaundice observed in the skin or sclera; ii) no signs of liver palms or spider nevi; iii) no significant abnormalities detected in the cardiac and pulmonary examinations; and iv) slight pain upon applying pressure in the right upper abdomen, but no rebound tenderness.

Routine blood laboratory examinations indicated the following: i) White blood cell count, 5.6x109/l (reference range, 3.5-9.5x109/l); ii) eosinophil percentage, 16% (reference range, 0.4-8%); iii) absolute eosinophil count, 0.9x109/l (reference range, 0.02-0.52x109/l); iv) alanine aminotransferase (ALT), 29 U/l (reference range, 9-50 U/l); and v) alkaline phosphatase (ALP), 136 U/l (reference range, 35-100 U/l).

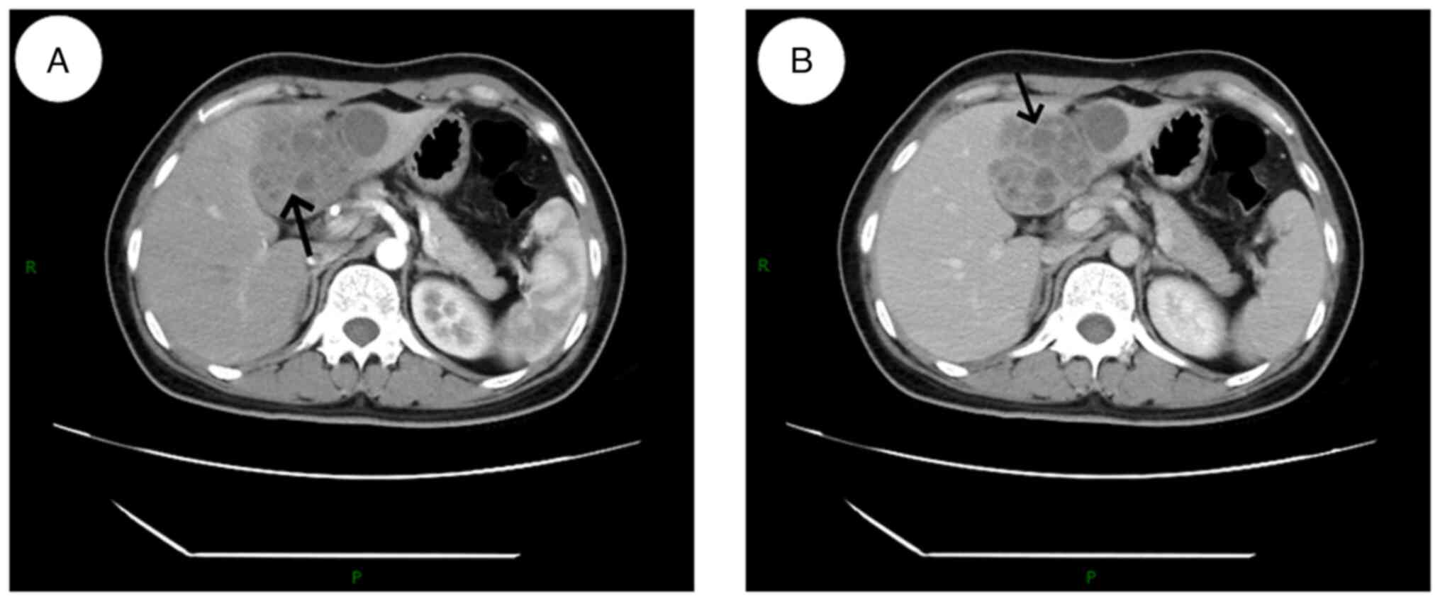
An upper abdominal computed tomography (CT) examination revealed multiple rounded, small flaky hypodense lesions in the left lobe of the liver, some of which were fused, with a larger cross-section of ~58x54 mm. Enhanced scanning with edge and segregation enhancement and marked inhomogeneous enhancement of the hepatic parenchyma in the arterial phase around the lesions were observed (Fig. 1). The diagnosis indicated a lesion in the left lobe of the liver, considered to be of an infectious origin. A liver abscess was highly likely, although a tumor could not be ruled out.

Figure 1

Preoperative abdominal CT examination results. (A) Contract-enhanced CT scan of the liver in the arterial phase after iohexol injection, showing enhancement at the edges and septation (arrow). (B) CT images in the venous phase showing multiple quasi-circular, small, patchy, low-density lesions (arrow). CT, computed tomography; P, CT section was started from the posterior side; R, CT section was started from the right side.

On hepatobiliary and pancreatic magnetic resonance imaging (MRI), 78x7-mm mixed long T1 and T2 signals were observed in the left lobe of the liver on a plain scan. The signal was uneven with a poorly defined edge, and a small patch of short T1 signal was visible. T1-weighted imaging (T1WI) indicated a low signal, while T2WI indicated a high signal. Enhanced scanning revealed progressive mild to moderate uneven enhancement in the lesion area. The central necrotic area was not enhanced, and a small patch of edema was observed around it (Fig. 2). The diagnosis was of a suspected liver abscess, and a neoplastic lesion needed to be excluded based on a combination of the clinical symptoms and examination findings. The postoperative pathology did not reveal tumor cells.

Figure 2

Preoperative abdominal magnetic resonance imaging examination results. (A) T1WI results showing the tunnel sign (arrow). (B) Gadolinium-enhanced T1WI results showing tunnel wall enhancement, with no enhancement in the tunnel itself (arrow). (C) T2WI results exhibiting high signal intensity and diffuse mildly dilated terminal bile ducts can be seen both in the center and periphery of the lesion. WI, weighted imaging; P, CT section was started from the posterior side; R, CT section was started from the right side.

A laparoscopic left hepatic lobectomy and laparoscopic cholecystectomy was performed under general anesthesia in December 2021, 6 days after admission. Gross pathology during the surgery revealed a partly cystic-solid grayish-white liver tissue, and grayish-red tunnel-like lesions were observed in the section of the remaining liver tissue (Fig. 3). Postoperative pathology results indicated that the examined liver tissue (left half) exhibited chronic inflammation in the bile duct area. Local fibrous connective tissue proliferation, small bile duct hyperplasia and eosinophilic granuloma formation were observed. Charcot-Leyden crystals were found in the necrotic area of the granuloma (Fig. 4). The tissues were fixed with 10% neutral formalin fix solution for 36 h at room temperature, and stained with hematoxylin stain at a ratio of 1:6 for 4 h at room temperature. Tissues were rehydrated in a descending ethanol series (95, 80 and 70%) for 1 min each, the tissues were stained with eosin stain at a ratio of 1:6 for 2 h at room temperature. The tissues were then subjected to alcohol dehydration (acidic ethanol at 1% for 1.5 h, followed by 100% ethanol dehydration for 1 h), clearing with xylene in order to remove impurities from the tissue and paraffin tissue embedding, and finally cut into 6 µm sections. Observation was performed with a light microscope. Clonorchiasis was suspected, and confirmation with clinical and laboratory examinations was recommended. CT, MRI and routine blood laboratory examination results were combined with the epidemiologic history (consumption of raw fish). The postoperative diagnosis was clonorchiasis (caused by Clonorchis sinensis infection) with abscess formation. Postoperatively, the patient received symptomatic supportive treatments, including anti-infection, liver protection and maintenance of water and electrolyte balance treatments (1 g ceftriaxone to 100 ml sodium chloride injection twice daily for 3 days for a course of treatment, 0.1 g magnesium isoglycyrrhizinate to 250 ml sodium chloride injection once daily and 500 ml sodium potassium magnesium calcium injection twice daily for 1 week for a course of treatment).

Figure 3

Postoperative pathological tissue. Tunnel-like lesions (arrow) were apparent in the resected tissue.

Figure 4

Pathology findings. Liver tissue (left half) biopsy with hematoxylin and eosin staining (magnification, x200) revealed Charcot-Leyden crystals (arrow) in the necrotic area of the granuloma.

On the second postoperative day, a laboratory examination revealed the following: i) White blood cell count, 11.6x109/l; ii) eosinophil percentage, 0%; iii) absolute eosinophil count, 0; iv) ALT, 55 U/l; and v) ALP, 101 U/l.

The patient was cured and discharged from the hospital 9 days postoperatively, and was re-examined in the Department of Hepatobiliary and Pancreatic Surgery of the First Affiliated Hospital of Zunyi Medical University at 1, 6 and 12 months after discharge. The disease lesions did not recur. The patient was advised to undergo an abdominal CT every 6 months to ensure that there was no recurrence.

Discussion

Clonorchiasis is a zoonotic parasitic disease caused by the parasitism of Clonorchis sinensis in the human intrahepatic bile ducts (6). In 2009, the International Agency for Research on Cancer listed Clonorchis sinensis as a Group I carcinogen (7). This disease primarily transmits to humans through the consumption of raw fish slices or undercooked freshwater shrimp contaminated with the parasite (8). During its lifecycle, the liver fluke undergoes eight morphological stages across various hosts. The cercariae (larval stage) latch onto the fish or shrimp upon entering freshwater, penetrating their flesh and maturing into metacercariae. Humans and other definitive hosts, when consuming contaminated raw or undercooked freshwater fish or shrimp, become infected. Inside the duodenum, these cysts release larvae, which migrate into the bile ducts, maturing into adult worms (2). In China, ~140 species of freshwater fish and four species of shrimp have been recognized as complementary intermediate hosts for Clonorchis sinensis (9). Small fish such as Pseudorasbora parva and Parapelecus argenteus are more susceptible to infection with the metacercariae, in terms of infection rates and metacercarial burden, than large fish such as Cyprinus carpio and Parabramis pekinensis (10). It is difficult to eradicate Clonorchis sinensis from the environment due to the wide distribution and host range of this parasite in China. However, human infections can be avoided or minimized by blocking the transmission route of the parasite. The easiest way to do this is to convince citizens in epidemic areas not to eat raw or undercooked freshwater fish. The difficulty with prevention is that most people have limited or no knowledge of the parasite and are unaware of the dangers of consuming it (11). If people are not aware of the threat of a raw fish diet, it is unrealistic to change their habits (11). Therefore, one of the most effective measures is to spread the knowledge that Clonorchis sinensis is a biocarcinogen for bile duct cancer and to encourage individuals to give up the habit of eating raw fish (11). Subsequent to infection, the main clinical manifestations encompass cholangitis, cholecystitis and gallbladder stones and complications, such as biliary obstruction, abscesses and even cholangiocarcinoma (12). A predominant laboratory finding associated with Clonorchis sinensis infection is an elevated eosinophil count or percentage (13). In the present case, the preoperative blood tests indicated an eosinophil percentage of 16% and an absolute eosinophil count of 0.9x109/l.

In previous years, with the progress of medical imaging technology, CT and MRI have been widely used in the diagnosis of parasitic infections of the liver and biliary tract. Due to the non-specific clinical symptoms of Clonorchis sinensis infection, solely relying on the clinical presentation for diagnosis is challenging, emphasizing the importance of characteristic radiological findings (14). MRI findings typical of Clonorchis sinensis infection include diffuse dilation of the intrahepatic peripheral bile ducts, with larger and extrahepatic bile ducts remaining undilated (14,15). In the present case, high signal was observed on T2WI, and diffuse mildly dilated terminal bile ducts were observed both in the center and periphery of the lesion. This characteristic is attributed to Clonorchis sinensis predominantly infesting the terminal bile ducts, causing obstructions in the smaller peripheral ducts (13). The most common finding on MRI of Clonorchis sinensis is a diffuse mild dilatation of the small intrahepatic bile ducts without dilatation of the extrahepatic bile ducts (15). The patient in the present report exhibited small patchy low-density lesions within the liver on the preoperative abdominal CT, with enhanced margins and septation upon contrast scanning. The hepatobiliary and pancreatic MRI findings included mixed long T1 and T2 signals, inconsistent signal intensities with indistinct borders, small patches of short T1 signals, low signal intensity on T1WI and high signal intensity on T2WI. The enhanced scans revealed a progressive, mild to moderate, uneven enhancement within the lesion area.

Emphasizing early diagnosis and treatment can prevent complications, such as recurrent suppurative cholangitis and cholangiocarcinoma (16). However, prevention is more pivotal than timely post-diagnosis intervention. Recognizing the epidemiological characteristics of clonorchiasis, the primary preventive strategy revolves around amplifying public awareness, especially regarding the risks associated with consuming raw fish slices and undercooked fish and shrimp, and this is potentially the most effective method to counteract Clonorchis sinensis infection (17). Preventing eggs from entering the water by appealing to the public for improved fecal management is another method of control. The easiest way to do this is to advise the public not to dump or discharge fecal matter directly into the water (18). After liver fluke infection, most infected individuals do not have any symptoms; only some of them may have epigastric pain, pain on applying pressure, fever, jaundice, diarrhea and other clinical manifestations (19). As a result, the condition can easily be unnoticed, leading to a general lack of urgency in seeking medical care. Given the non-specific nature of the symptoms, there is potential for delays in both diagnosis and treatment, which can culminate in a chronic infection (20). Therefore, even in non-endemic areas of clonorchiasis, patients presenting with appropriate symptoms at the time of medical consultation need to be made aware of the differential diagnosis of clonorchiasis, focusing on the investigation of its epidemiological history, to minimize the occurrence of underdiagnosis and misdiagnosis.

In China, the Clonorchis sinensis epidemic is mainly due to the habit of eating raw fish and shrimp (2). The current patient also had a history of consuming raw fish slices, the imaging manifestations were consistent with the characteristics of the disease and characteristic Charcot-Leyden crystals were found on postoperative pathological examination. In conclusion, the present report describes a case of Clonorchis sinensis infection in a non-endemic area and provides a basis for its diagnosis. It is important to educate the public not to consume raw fish and shrimp, even in non-endemic areas.

Acknowledgements

Not applicable.

Funding

Funding: This study was supported by the National Natural Science Foundation of China (grant no. 81960125) and the Guizhou Science and Technology Planning Project [grant no. Guizhou Kehe Support (2020) 1Y302].

Availability of data and materials

All data generated or analyzed during this study are included in this published article.

Authors' contributions

XC and JH wrote the manuscript and analyzed patient data. XC, YX and CT collected the literature and obtained medical images (including pathology, MRI and CT scans). YX collected the patient files and signed the informed consent for case publication, and improved the article for language and style. LZ advised on patient treatment and gave final approval of the version to be published. XC and LZ confirm the authenticity of all the raw data. All authors read and approved the final manuscript.

Ethics approval and consent to participate

This study was approved by the Biomedical Research Ethics Committee of the Affiliated Hospital of Zunyi Medical University (Zunyi, China; approval no. KLL-2022-763).

Patient consent for publication

Written informed consent was obtained for the publication of the present case report and any accompanying images.

Competing interests

The authors declare that they have no competing interests.

References

1 

Reddy AK, Chakrabarty M, Liu Y, Cohen SH and Maniar AH: Case report: Clonorchis sinensis infection associated with eosinophilic pneumonia. Am J Trop Med Hyg. 104:2065–2068. 2021.PubMed/NCBI View Article : Google Scholar

2 

Tang ZL, Huang Y and Yu XB: Current status and perspectives of Clonorchis sinensis and clonorchiasis: Epidemiology, pathogenesis, omics, prevention and control. Infect Dis Poverty. 5(71)2016.PubMed/NCBI View Article : Google Scholar

3 

Zhang Y, Gong QL, Lv QB, Qiu YY, Wang YC, Qiu HY, Guo XR, Gao JF, Chang QC and Wang CR: Prevalence of clonorchis sinensis infection in fish in South-East Asia: A systematic review and meta-analysis. J Fish Dis. 43:1409–1418. 2020.PubMed/NCBI View Article : Google Scholar

4 

Correia da Costa JM, Vale N, Gouveia MJ, Botelho MC, Sripa B, Santos LL, Santos JH, Rinaldi G and Brindley PJ: Schistosome and liver fluke derived catechol-estrogens and helminth associated cancers. Front Genet. 5(444)2014.PubMed/NCBI View Article : Google Scholar

5 

Palmer LJ, Celedón JC, Weiss ST, Wang B, Fang Z and Xu X: Ascaris lumbricoides infection is associated with increased risk of childhood asthma and atopy in rural China. Am J Respir Crit Care Med. 165:1489–1493. 2002.PubMed/NCBI View Article : Google Scholar

6 

Oh JK, Lim MK, Yun EH, Cho H, Park EY, Choi MH, Shin HR and Hong ST: Control of clonorchiasis in Korea: Effectiveness of health education for community leaders and individuals in an endemic area. Trop Med Int Health. 19:1096–1104. 2014.PubMed/NCBI View Article : Google Scholar

7 

Chang JI, Lee K, Kim D, Yang JI, Park JK, Choi K, Kang SH, Lee KH, Lee KT, Lee JK, et al: Clinical characteristics of clonorchis sinensis-associated cholangiocarcinoma: A large-scale, single-center study. Front Med (Lausanne). 8(675207)2021.PubMed/NCBI View Article : Google Scholar

8 

Xu M, Jiang Y, Yin J, Cao S, Shen Y and Cao J: Risk factors for clonorchis sinensis infection in residents of binyang, guangxi: A cross-sectional and logistic analysis study. Front Public Health. 9(588325)2021.PubMed/NCBI View Article : Google Scholar

9 

Zhou P, Chen N, Zhang RL, Lin RQ and Zhu XQ: Food-borne parasitic zoonoses in China: Perspective for control. Trends Parasitol. 24:190–196. 2008.PubMed/NCBI View Article : Google Scholar

10 

Lun ZR, Gasser RB, Lai DH, Li AX, Zhu XQ, Yu XB and Fang YY: Clonorchiasis: A key foodborne zoonosis in China. Lancet Infect Dis. 5:31–41. 2005.PubMed/NCBI View Article : Google Scholar

11 

Lai DH, Hong XK, Su BX, Liang C, Hide G, Zhang X, Yu X and Lun ZR: Current status of Clonorchis sinensis and clonorchiasis in China. Trans R Soc Trop Med Hyg. 110:21–27. 2016.PubMed/NCBI View Article : Google Scholar

12 

Kim TS, Pak JH, Kim JB and Bahk YY: Clonorchis sinensis, an oriental liver fluke, as a human biological agent of cholangiocarcinoma: A brief review. BMB Rep. 49:590–597. 2016.PubMed/NCBI View Article : Google Scholar

13 

Zhang XH, Huang D, Li YL and Chang B: Novel mechanism of hepatobiliary system damage and immunoglobulin G4 elevation caused by Clonorchis sinensis infection. World J Clin Cases. 9:6639–6653. 2021.PubMed/NCBI View Article : Google Scholar

14 

Choi D and Hong ST: Imaging diagnosis of clonorchiasis. Korean J Parasitol. 45:77–85. 2007.PubMed/NCBI View Article : Google Scholar

15 

Jeong YY, Kang HK, Kim JW, Yoon W, Chung TW and Ko SW: MR Imaging Findings of Clonorchiasis. Korean J Radiol. 5:25–30. 2004.PubMed/NCBI View Article : Google Scholar

16 

Lo WK, Yu SM and Chan JC: Characteristic imaging features of clonorchiasis. Hong Kong Med J. 24:206.e3–e4. 2018.PubMed/NCBI View Article : Google Scholar

17 

Chen Y, Wen T, Lai DH, Wen YZ, Wu ZD, Yang TB, Yu XB, Hide G and Lun ZR: Development and evaluation of loop-mediated isothermal amplification (LAMP) for rapid detection of Clonorchis sinensis from its first intermediate hosts, freshwater snails. Parasitology. 140:1377–1383. 2013.PubMed/NCBI View Article : Google Scholar

18 

Na BK, Pak JH and Hong SJ: Clonorchis sinensis and clonorchiasis. Acta Tropica. 203(105309)2020.PubMed/NCBI View Article : Google Scholar

19 

Hong ST and Fang Y: Clonorchis sinensis and clonorchiasis, an update. Parasitol Int. 61:17–24. 2012.PubMed/NCBI View Article : Google Scholar

20 

Qian MB, Utzinger J, Keiser J and Zhou XN: Clonorchiasis. Lancet. 387:800–810. 2016.PubMed/NCBI View Article : Google Scholar

Related Articles

  • Abstract
  • View
  • Download
  • Twitter
Copy and paste a formatted citation
Spandidos Publications style
Chen X, He J, Tan C, Xu Y and Zhao L: <em>Clonorchis sinensis</em> infection in a non‑endemic area: A case report. Exp Ther Med 27: 106, 2024.
APA
Chen, X., He, J., Tan, C., Xu, Y., & Zhao, L. (2024). <em>Clonorchis sinensis</em> infection in a non‑endemic area: A case report. Experimental and Therapeutic Medicine, 27, 106. https://doi.org/10.3892/etm.2024.12394
MLA
Chen, X., He, J., Tan, C., Xu, Y., Zhao, L."<em>Clonorchis sinensis</em> infection in a non‑endemic area: A case report". Experimental and Therapeutic Medicine 27.3 (2024): 106.
Chicago
Chen, X., He, J., Tan, C., Xu, Y., Zhao, L."<em>Clonorchis sinensis</em> infection in a non‑endemic area: A case report". Experimental and Therapeutic Medicine 27, no. 3 (2024): 106. https://doi.org/10.3892/etm.2024.12394
Copy and paste a formatted citation
x
Spandidos Publications style
Chen X, He J, Tan C, Xu Y and Zhao L: <em>Clonorchis sinensis</em> infection in a non‑endemic area: A case report. Exp Ther Med 27: 106, 2024.
APA
Chen, X., He, J., Tan, C., Xu, Y., & Zhao, L. (2024). <em>Clonorchis sinensis</em> infection in a non‑endemic area: A case report. Experimental and Therapeutic Medicine, 27, 106. https://doi.org/10.3892/etm.2024.12394
MLA
Chen, X., He, J., Tan, C., Xu, Y., Zhao, L."<em>Clonorchis sinensis</em> infection in a non‑endemic area: A case report". Experimental and Therapeutic Medicine 27.3 (2024): 106.
Chicago
Chen, X., He, J., Tan, C., Xu, Y., Zhao, L."<em>Clonorchis sinensis</em> infection in a non‑endemic area: A case report". Experimental and Therapeutic Medicine 27, no. 3 (2024): 106. https://doi.org/10.3892/etm.2024.12394
Follow us
  • Twitter
  • LinkedIn
  • Facebook
About
  • Spandidos Publications
  • Careers
  • Cookie Policy
  • Privacy Policy
How can we help?
  • Help
  • Live Chat
  • Contact
  • Email to our Support Team