Spandidos Publications Logo
  • About
    • About Spandidos
    • Aims and Scopes
    • Abstracting and Indexing
    • Editorial Policies
    • Reprints and Permissions
    • Job Opportunities
    • Terms and Conditions
    • Contact
  • Journals
    • All Journals
    • Oncology Letters
      • Oncology Letters
      • Information for Authors
      • Editorial Policies
      • Editorial Board
      • Aims and Scope
      • Abstracting and Indexing
      • Bibliographic Information
      • Archive
    • International Journal of Oncology
      • International Journal of Oncology
      • Information for Authors
      • Editorial Policies
      • Editorial Board
      • Aims and Scope
      • Abstracting and Indexing
      • Bibliographic Information
      • Archive
    • Molecular and Clinical Oncology
      • Molecular and Clinical Oncology
      • Information for Authors
      • Editorial Policies
      • Editorial Board
      • Aims and Scope
      • Abstracting and Indexing
      • Bibliographic Information
      • Archive
    • Experimental and Therapeutic Medicine
      • Experimental and Therapeutic Medicine
      • Information for Authors
      • Editorial Policies
      • Editorial Board
      • Aims and Scope
      • Abstracting and Indexing
      • Bibliographic Information
      • Archive
    • International Journal of Molecular Medicine
      • International Journal of Molecular Medicine
      • Information for Authors
      • Editorial Policies
      • Editorial Board
      • Aims and Scope
      • Abstracting and Indexing
      • Bibliographic Information
      • Archive
    • Biomedical Reports
      • Biomedical Reports
      • Information for Authors
      • Editorial Policies
      • Editorial Board
      • Aims and Scope
      • Abstracting and Indexing
      • Bibliographic Information
      • Archive
    • Oncology Reports
      • Oncology Reports
      • Information for Authors
      • Editorial Policies
      • Editorial Board
      • Aims and Scope
      • Abstracting and Indexing
      • Bibliographic Information
      • Archive
    • Molecular Medicine Reports
      • Molecular Medicine Reports
      • Information for Authors
      • Editorial Policies
      • Editorial Board
      • Aims and Scope
      • Abstracting and Indexing
      • Bibliographic Information
      • Archive
    • World Academy of Sciences Journal
      • World Academy of Sciences Journal
      • Information for Authors
      • Editorial Policies
      • Editorial Board
      • Aims and Scope
      • Abstracting and Indexing
      • Bibliographic Information
      • Archive
    • International Journal of Functional Nutrition
      • International Journal of Functional Nutrition
      • Information for Authors
      • Editorial Policies
      • Editorial Board
      • Aims and Scope
      • Abstracting and Indexing
      • Bibliographic Information
      • Archive
    • International Journal of Epigenetics
      • International Journal of Epigenetics
      • Information for Authors
      • Editorial Policies
      • Editorial Board
      • Aims and Scope
      • Abstracting and Indexing
      • Bibliographic Information
      • Archive
    • Medicine International
      • Medicine International
      • Information for Authors
      • Editorial Policies
      • Editorial Board
      • Aims and Scope
      • Abstracting and Indexing
      • Bibliographic Information
      • Archive
  • Articles
  • Information
    • Information for Authors
    • Information for Reviewers
    • Information for Librarians
    • Information for Advertisers
    • Conferences
  • Language Editing
Spandidos Publications Logo
  • About
    • About Spandidos
    • Aims and Scopes
    • Abstracting and Indexing
    • Editorial Policies
    • Reprints and Permissions
    • Job Opportunities
    • Terms and Conditions
    • Contact
  • Journals
    • All Journals
    • Biomedical Reports
      • Information for Authors
      • Editorial Policies
      • Editorial Board
      • Aims and Scope
      • Abstracting and Indexing
      • Bibliographic Information
      • Archive
    • Experimental and Therapeutic Medicine
      • Information for Authors
      • Editorial Policies
      • Editorial Board
      • Aims and Scope
      • Abstracting and Indexing
      • Bibliographic Information
      • Archive
    • International Journal of Epigenetics
      • Information for Authors
      • Editorial Policies
      • Editorial Board
      • Aims and Scope
      • Abstracting and Indexing
      • Bibliographic Information
      • Archive
    • International Journal of Functional Nutrition
      • Information for Authors
      • Editorial Policies
      • Editorial Board
      • Aims and Scope
      • Abstracting and Indexing
      • Bibliographic Information
      • Archive
    • International Journal of Molecular Medicine
      • Information for Authors
      • Editorial Policies
      • Editorial Board
      • Aims and Scope
      • Abstracting and Indexing
      • Bibliographic Information
      • Archive
    • International Journal of Oncology
      • Information for Authors
      • Editorial Policies
      • Editorial Board
      • Aims and Scope
      • Abstracting and Indexing
      • Bibliographic Information
      • Archive
    • Medicine International
      • Information for Authors
      • Editorial Policies
      • Editorial Board
      • Aims and Scope
      • Abstracting and Indexing
      • Bibliographic Information
      • Archive
    • Molecular and Clinical Oncology
      • Information for Authors
      • Editorial Policies
      • Editorial Board
      • Aims and Scope
      • Abstracting and Indexing
      • Bibliographic Information
      • Archive
    • Molecular Medicine Reports
      • Information for Authors
      • Editorial Policies
      • Editorial Board
      • Aims and Scope
      • Abstracting and Indexing
      • Bibliographic Information
      • Archive
    • Oncology Letters
      • Information for Authors
      • Editorial Policies
      • Editorial Board
      • Aims and Scope
      • Abstracting and Indexing
      • Bibliographic Information
      • Archive
    • Oncology Reports
      • Information for Authors
      • Editorial Policies
      • Editorial Board
      • Aims and Scope
      • Abstracting and Indexing
      • Bibliographic Information
      • Archive
    • World Academy of Sciences Journal
      • Information for Authors
      • Editorial Policies
      • Editorial Board
      • Aims and Scope
      • Abstracting and Indexing
      • Bibliographic Information
      • Archive
  • Articles
  • Information
    • For Authors
    • For Reviewers
    • For Librarians
    • For Advertisers
    • Conferences
  • Language Editing
Login Register Submit
  • This site uses cookies
  • You can change your cookie settings at any time by following the instructions in our Cookie Policy. To find out more, you may read our Privacy Policy.

    I agree
Search articles by DOI, keyword, author or affiliation
Search
Advanced Search
presentation
Experimental and Therapeutic Medicine
Join Editorial Board Propose a Special Issue
Print ISSN: 1792-0981 Online ISSN: 1792-1015
Journal Cover
April-2024 Volume 27 Issue 4

Full Size Image

Sign up for eToc alerts
Recommend to Library

Journals

International Journal of Molecular Medicine

International Journal of Molecular Medicine

International Journal of Molecular Medicine is an international journal devoted to molecular mechanisms of human disease.

International Journal of Oncology

International Journal of Oncology

International Journal of Oncology is an international journal devoted to oncology research and cancer treatment.

Molecular Medicine Reports

Molecular Medicine Reports

Covers molecular medicine topics such as pharmacology, pathology, genetics, neuroscience, infectious diseases, molecular cardiology, and molecular surgery.

Oncology Reports

Oncology Reports

Oncology Reports is an international journal devoted to fundamental and applied research in Oncology.

Experimental and Therapeutic Medicine

Experimental and Therapeutic Medicine

Experimental and Therapeutic Medicine is an international journal devoted to laboratory and clinical medicine.

Oncology Letters

Oncology Letters

Oncology Letters is an international journal devoted to Experimental and Clinical Oncology.

Biomedical Reports

Biomedical Reports

Explores a wide range of biological and medical fields, including pharmacology, genetics, microbiology, neuroscience, and molecular cardiology.

Molecular and Clinical Oncology

Molecular and Clinical Oncology

International journal addressing all aspects of oncology research, from tumorigenesis and oncogenes to chemotherapy and metastasis.

World Academy of Sciences Journal

World Academy of Sciences Journal

Multidisciplinary open-access journal spanning biochemistry, genetics, neuroscience, environmental health, and synthetic biology.

International Journal of Functional Nutrition

International Journal of Functional Nutrition

Open-access journal combining biochemistry, pharmacology, immunology, and genetics to advance health through functional nutrition.

International Journal of Epigenetics

International Journal of Epigenetics

Publishes open-access research on using epigenetics to advance understanding and treatment of human disease.

Medicine International

Medicine International

An International Open Access Journal Devoted to General Medicine.

Journal Cover
April-2024 Volume 27 Issue 4

Full Size Image

Sign up for eToc alerts
Recommend to Library

  • Article
  • Citations
    • Cite This Article
    • Download Citation
    • Create Citation Alert
    • Remove Citation Alert
    • Cited By
  • Similar Articles
    • Related Articles (in Spandidos Publications)
    • Similar Articles (Google Scholar)
    • Similar Articles (PubMed)
  • Download PDF
  • Download XML
  • View XML
Case Report Open Access

Whipple's disease of the respiratory system: A case report

  • Authors:
    • Yue Deng
    • Hongmei Zhang
    • Junyu Lu
    • Zhiyu Zhou
    • Ting Zhang
    • Xuerong Cui
  • View Affiliations / Copyright

    Affiliations: Department of Respiratory and Critical Care Medicine, The Fifth People's Hospital of Chongqing, Chongqing 400062, P.R. China, Department of Respiratory and Critical Care Medicine, The Fifth People's Hospital of Chongqing, Chongqing 400062, P.R. China, Department of Respiratory and Critical Care Medicine, The Second Affiliated Hospital of Chongqing Medical University, Chongqing 400010, P.R. China, Department of Respiratory Medicine, People's Hospital of Shizhu Tujia Autonomous County, Chongqing 409199, P.R. China
    Copyright: © Deng et al. This is an open access article distributed under the terms of Creative Commons Attribution License.
  • Article Number: 133
    |
    Published online on: February 7, 2024
       https://doi.org/10.3892/etm.2024.12421
  • Expand metrics +
Metrics: Total Views: 0 (Spandidos Publications: | PMC Statistics: )
Metrics: Total PDF Downloads: 0 (Spandidos Publications: | PMC Statistics: )
Cited By (CrossRef): 0 citations Loading Articles...

This article is mentioned in:



Abstract

Whipple's disease (WD) is a multiple‑system chronic disease caused by Tropheryma whipplei (T. whipplei) infection. The present study describes 3 cases of WD with clinical manifestations of cough, chest pain, headache, dyspnea, sputum, joint pain, abdominal pain, diarrhea and weight loss. Chest computed tomography (CT) showed signs of plaques, nodules and pleural thickening; and bronchoscopic alveolar lavage fluid metagenomic‑sequencing indicated that it was T. whipplei. One patient was treated with meropenem as the starting regimen and two patients were treated with ceftriaxone as the starting regimen. Furthermore, two patients were provided with a maintenance regimen of cotrimoxazole and one was given a maintenance regimen of minocycline, which was combined with meropenem and ceftriaxone in order to improve their cough, chest pain, headache and dyspnea symptoms. To the best of our knowledge, there are few reports on WD of the respiratory system caused by T. whipplei, and differential diagnosis is the key to clinical diagnosis. When WD of the respiratory system is difficult to diagnose, metagenomic second‑generation sequencing (mNGS) may be a better choice, which can achieve early diagnosis and early treatment. However, its clinical value is still limited; therefore, more research needs to be conducted in the future.

Introduction

Whipple's disease (WD) is a complicated and rarely chronic multi-system disease caused by Tropheryma whipplei (T. whipplei); while the disease has been observed and investigated for >100 years, it remains a difficult diagnostic and therapeutic challenge in clinical practice (1,2). The majority of cases of WD disease have been reported in North America and Europe, with only a minority of cases reported in native Asian and African individuals (3). The annual incidence rate is an approximate of <1,000,000, with a mean age of onset of symptoms of 55 years (3,4). The disease is more frequent in the male population, with a male/female ratio of 4:1(5).

The imaging manifestations of WD lung involvement are also diverse, with the most common chest imaging manifestations being nodules, interstitial changes and patchy infiltrates, of which nodules are the most commonly observed, with cavitation-like changes, pleural thickening and pleural effusion being less common (6). WD is mainly a chronic infection with multi-organ involvement, with occasional acute onset (7). Due to the heterogeneity of the clinical manifestations of the disease and the variety of imaging manifestations, there is a possibility that the disease may not be diagnosed and treated in a timely manner, leading to serious consequences or even mortalities (7).

The present article presents an analysis of three patients with WD admitted to the Department of Respiratory Medicine, The Second Affiliated Hospital of Chongqing Medical University (Chongqing, China) from January 2022 to August 2023, as well as a review of the relevant literature, with the goal of raising awareness of WD for clinical physicians.

The Clinical characteristics of three patients with WD are presented in Table I. All patients had signed the informed consent form and consented to publication appropriately.

Table I

Clinical characteristics of patients with Whipple's disease.

Table I

Clinical characteristics of patients with Whipple's disease.

Patient no.SexAge, yearsPast medical historyFeverCough, sputum, joint pain, abdominal pain, diarrhea and weight loss?Chest painOtherBMI, kg/m2
1Male53Pulmonary noduleNoYesYesHeadaches28.1
2Male37Bronchial asthmaYesYesNoDyspnea26.0
3Female34Thyroid cysts, adenomyosis, post-chocolate cyst debridementNoYesYesHeadaches28.8

Case report

Case 1

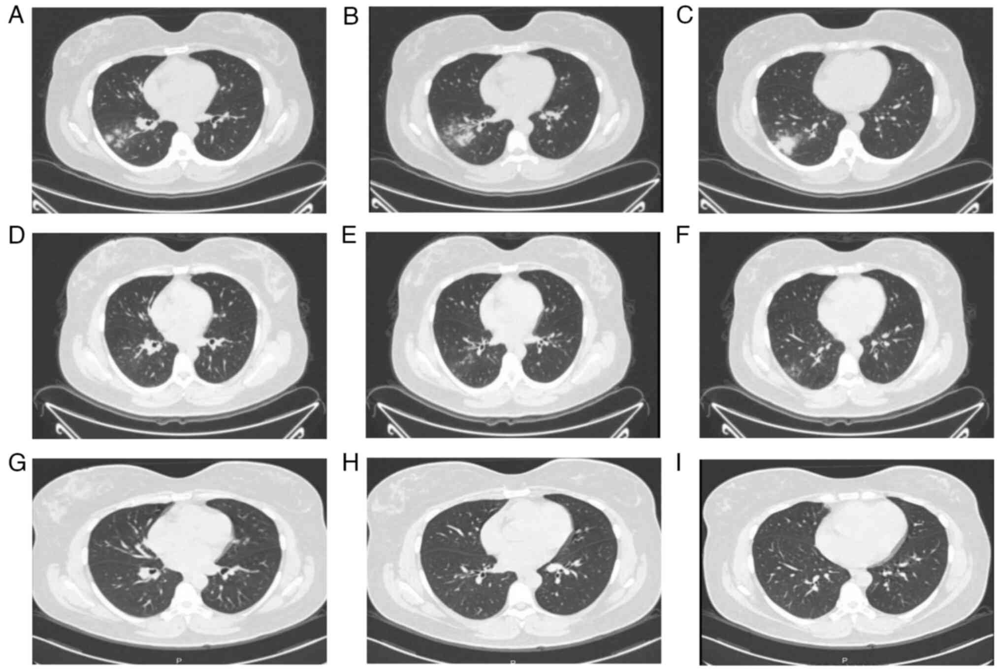
A 53-year-old male presented to the Second Affiliated Hospital of Chongqing Medical University (Chongqing, China) outpatient clinic with persistent chest pain on the right side that was aggravated by inspiration, accompanied by dizziness, headache, cough, and white mucous sputum, with progressive aggravation of the symptoms. The patient was admitted to our outpatient clinic with the condition of ‘Chest pain to be investigated’ (July 2023). Since the onset of the disease, the mental health and appetite of the patient were fine, his bowel and urine were normal and there was no significant change in his weight. Past history was physically healthy. A physical examination of the heart, lungs and abdomen revealed no abnormalities. On the same day as presentation, a computed tomography (CT)-enhanced examination of the chest revealed (Fig. 1A-C): i) Possible infectious lesions in both lungs; ii) multiple enlarged lymph nodes in the hilar and mediastinum of both lungs; iii) multiple air-containing cystic cavities in both lungs; iv) minor effusions in the pleural cavities bilaterally; and v) sclerosis of the aorta and coronary arteries.

Figure 1

Comparison of chest CT in patient 1. (A-C) Chest CT in July 2023. (D-F) Chest CT 2 weeks later. (G-I) Chest CT in August 2023. The lesions were more clearly absorbed in August compared with at the first CT scan in July.

At 2-days post admission, brain MRI revealed: i) High signal in the cerebral white matter (Fazekas grade I) considered to be associated with small vessel hemorrhage; and ii) no other structural or organizational abnormalities. Electron bronchoscopy revealed that the left and right main bronchi and their mucous membranes of the lobes and segments were congested, carbon deposition was observed in the middle lobe of the right lung and a white, thin sputum was observed. The results of other relevant laboratory tests are presented in Table II.

Table II

Laboratory Results in patients with Whipple's Disease.

Table II

Laboratory Results in patients with Whipple's Disease.

Inspection and examinationCase 1Case 2Case 3
Hemoglobin (115-150 g/l)130137140
WBC (3.5-9.5 g/l)5.1614.245.53
N, % (45-75%)6893.859.5
L, % (20-50%)15.32.231.1
Ultra-sensitive CRP <1 mg/l>5>51.82
CRP (<10 mg/l)75.3152.44<5
PCT (0.02-0.05 ng/ml)0.150.30.03
Fecal occult blood(-)(-)(±)
Creatine kinase (38-174 U/l)119.5581187
ESR (0-15 mm/first h)79--
GGT (10-60 U/l)1037919
ALT (9-50 U/l)395216
AST (15-40 U/l)372920
Serum albumin41.841.439.3
Respiratory failureNoYesNo
Chest CT(July 2023) Multiple patches, nodules and striated high-density shadows in both lungs with uneven density and unclear borders, with thickening of the surrounding interlobular septa, and some foci located in the bilateral subpleura in the adjacent pleura with slightly thickened adhesions(March 2023) Scattered inflammation and nodules in the upper lobes of both lungs and the lower lobe of the right lung(January 2022) Patchy solid metaplasia and perifocal small speckled exudates in the extra-basal segment of the lower lobe of the right lung, considering the possibility of an infectious lesion
Alveolar lavage fluid mNGS results219 for T. whipplei, 1 for Pneumocystis japonicus21,793 for T . whipplei, and 20,889 for the influenza A virusT. whipplei

[i] N, neutrophil; L, lymphocyte; GGT, γ-glutamyl transpeptidase; WBC, white blood cells; CRP, C reactive protein; PCT, procalcitonin; ESR, erythrocyte sedimentation rate; ALT, alanine aminotransferase; AST, aspartate aminotransferase.

Therefore, the patient was initially diagnosed with pneumonia and WD. Meropenem 1 g* q8h anti-infective treatment was given, and the patient was discharged after 8 days of symptom improvement, followed by cotrimoxazole 0.96 g bis in die (BID; twice a day) maintenance treatment for 1 year.

After treatment, the chest CT was reviewed in July 2023 (Fig. 1D-F) and August 2023 (Fig. 1G-I), respectively, and significant improvement of the lesion was observed.

Case 2

A 37-year-old male was admitted to the Second Affiliated Hospital of Chongqing Medical University (Chongqing, China) in March 2023, with recurrent wheezing for 4 months, aggravated by fever for 3 days. The patient was intubated, sedated, and administered an analgesic, so the examinations were limited, and the findings of the relevant physical examinations were as follows: Respiratory sounds were low bilaterally, and no obvious rales or wet rhonchi were heard. A physical examination of the heart and abdomen revealed no abnormalities. Electronic bronchoscopy was performed and bronchial congestion and edema were observed in all lobe segments of the left lung and the upper and lower lobes of the right lung; a small amount of yellowish-white mucous sputum was aspirated.

At 6 days post-admission, a chest CT (Fig. 2A-C) suggested scattered inflammation and nodules in the upper lobes of both lungs and the lower lobe of the right lung. The results of metagenomic second-generation sequencing (mNGS) and other relevant laboratory tests are presented in Table II. The initial diagnosis was critical bronchial asthma, type II respiratory failure, WD and influenza A.

Figure 2

Comparison of chest CT in patient 2. (A-C) Chest CT in March 2023. (D-F) Chest CT in April 2023. (G-I) Chest CT in August 2023. The lesions were more clearly absorbed in August compared with in March.

Invasive ventilation, anti-inflammatory [methylprednisolone 40 mg quaque die (qd) for 5 days], and bronchodilator (budesonide 2 mg BID for 7 days) treatments were given, followed by oseltamivir antiviral and ceftriaxone 2 g qd anti-infective treatments for 7 days. According to the mNGS results, symptoms of wheezing, exhaustion and dyspnea improved. influenza A nucleic acid was negative, and the patient was discharged, with postminocycline 200 mg quaque 12 hora (every 12 h), and 100 mg BID for maintenance treatment for 1 year.

Subsequent review of the chest CT in April 2023 (Fig. 2D-F) and August 2023 (Fig. 2G-I) showed significant improvement of the lesion.

Case 3

A 34-year-old female patient was admitted to the Second Affiliated Hospital of Chongqing Medical University (Chongqing, China) in January 2022, with a cough that had been worsening for >1 month and had been present for half a month. Chest CT in January 2022 (Fig. 3A-C) revealed: i) Patchy solid shadow and small perifocal speckled exudative foci in the extra-basal segment of the lower lobe of the right lung, indicating the possibility of an infectious lesion; and ii) several small nodular foci in both lungs. An electronic bronchoscopy was performed, which revealed congested and swollen bronchial tubes in all lobar segments bilaterally. The results of mNGS and other relevant laboratory tests are presented in Table II.

Figure 3

Comparison of chest CT in patient 3. (A-C) Chest CT in January 2022. (D-F) Chest CT 2 weeks later. (G-I) Chest CT in March 2022. The lesions were more clearly absorbed in March compared with at the first CT scan in January.

Therefore, the initial diagnosis was pneumonia with WD. The patient was discharged from the hospital after 7 days of anti-infective treatment with ceftriaxone (2 g qd), followed by maintenance treatment with cotrimoxazole (0.96 g BID). Subsequently, a follow-up chest CT in January 2023 (Fig. 3D-F) and March 2023 (Fig. 3G-I) showed significant improvement of the lesion.

Discussion

The present study diagnosed two male and one female patients; all three were middle-aged patients with an average age of 41.3 years. In terms of clinical symptoms, all three patients had cough and sputum; two had chest pain; two had mixed headache manifestations; and one had fever and dyspnea that were thought to be associated with influenza A and bronchial asthma. One of the three patients had elevated leukocyte and neutrophil percentages, two had decreased lymphocyte percentages, all three patients had ultrasensitive C-reaction protein (CRP) and significantly elevated CRP, two patients had increased calcitoninogen, two patients had raised creatine kinase and γ-glutamyl transpeptadase, and one patient with influenza A and bronchial asthma had combined respiratory failure and was critically ill. The chest CT manifestations of the three patients showed exudative changes in the form of patches of shadows; two patients showed lung nodules, and one patient had pleural thickenings and adhesion manifestations.

In terms of treatment protocols, one patient was given meropenem as the starting regimen and two were given ceftriaxone as the starting regimen; furthermore, two were provided with a maintenance regimen of cotrimoxazole and one was given a maintenance regimen of minocycline; the mean hospitalization day of the three patients was 12.3 days, and the mean hospitalization cost was $3,900 (Table III). After the treatment, all three patients improved, and the lesions were significantly improved.

Table III

Treatment and cost of patients with Whipple's Disease.

Table III

Treatment and cost of patients with Whipple's Disease.

Clinical dataCase 1Case 2Cases 3
Therapeutic regimenMeropenem 1 g q8h*8 daysCeftriaxone 2 g qd*7 daysCeftriaxone 2 g qd*7 days
Maintenance regimenCotrimoxazole 0.92 g BIDMinocycline 100 mg BIDCotrimoxazole 0.92 g BID
Average hospitalization days161210
Hospitalization costs ($)3,0805,4601,820

[i] BID, bis in die/twice a day; qd, quaque die/every day; q8h, quaque 8 hora/every 8 h.

T. whipplei is a gram-positive bacterium found mainly in water and soil. WD is most commonly seen in immunodeficient patients, such as HIV-infected patients with low CD4 levels, use of corticosteroid hormone therapy, diabetes mellitus, tumors, organ transplants and the use of TNF-α inhibitors, who are usually infected after contact with contaminated soil or water (8,9). WD is genetically susceptible to the human leukocyte antigen alleles DRB1*13 and DQB1*06(10). WD mainly affects the digestive tract, nervous system, heart and skin, and less frequently the lungs. It has been reported that the respiratory infection rate of WD is only 13-14%, that the digestive system mainly manifests symptoms such as weight loss due to malabsorption, abdominal pain and diarrhea, and that some patients suffer from insidious gastrointestinal hemorrhage; some patients also have hidden gastrointestinal bleeding (10,11). The common clinical manifestations of the respiratory system are chest pain, dyspnea, chronic cough and phlegm (8). Other systems are characterized by migratory arthritis, uveitis, endocarditis, pericarditis and a variety of neurological symptoms (12).

Laboratory results of WD showed that 90% of patients have combined anemia as well as iron, folate or vitamin B12 deficiencies, and ~1/3 had neutrophilia with decreased lymphocyte counts, hypoalbuminemia and elevated C-reactive protein being more common; if T. whipplei nucleic acid is not detected before treatment, some patients may test negative for T. whipplei nucleic acid after broad-spectrum antibiotic therapy, but this may be a false negative (4,13). It has been suggested that: i) Positive macrophage peroxynitrite-staining in pathologic tissues; ii) anomalies in pathological specimens and a positive T. whipplei polymerase chain reaction (PCR); and iii) a positive T. whipplei PCR in sterile tissues can validate the diagnosis of WD. When one of the three aforementioned criteria are met, the diagnosis is verified (14).

mNGS has performed well in identifying rare, novel, difficult-to-detect and co-infectious pathogens directly from clinical samples and has shown great potential in resistance prediction by sequencing antibiotic resistance genes, providing new diagnostic evidence that can be used to guide the treatment of infectious diseases (15). Owing to the rapid development of mNGS, the number of confirmed cases of WD has increased significantly, and the number of related case reports has also increased in recent years compared with the previous ones (16-18). The three patients with WD reported in the present study had their pathogens identified by mNGS.

The treatment of WD is mainly antibiotic anti-infection treatment; commonly used drugs include penicillin, tetracycline, streptomycin, ceftriaxone, meropenem, hydroxychloroquine, doxycycline and cotrimoxazole (4). Initial treatment with ceftriaxone and meropenem for 2 weeks followed by maintenance treatment with cotrimoxazole for ~1 year is the typical treatment protocol, but in recent years, some studies have shown that T. whipplei is resistant to cotrimoxazole, which may increase the chances of recurrence of WD (19-21). In this situation, doxycycline combined with hydroxychloroquine as an alternative treatment can also achieve improved efficacy (19-21).

In the present case reports, one patient improved after treatment with ceftriaxone combined with cotrimoxazole; one patient improved after treatment with meropenem combined with cotrimoxazole; and one patient benefited after treatment with ceftriaxone combined with minocycline. There are fewer reports related to the treatment of WD with minocycline, which provides some value to the study of minocycline for WD. Clinical symptoms of WD improve significantly within a few days to weeks after treatment with antibiotics, but WD requires a certain period of maintenance therapy to prevent recurrence (22). Nevertheless, WD has a lifelong potential for relapse, and Lin et al (6) suggested that the disease requires lifelong monitoring.

WD is a rare multi-system disease with no obvious specificity in clinical manifestations, laboratory tests, or imaging tests. Currently, WD can be diagnosed by mNGS detection of T. whipplei, which can achieve early diagnosis and early treatment. Previous studies only indicated that WD disease damages the respiratory system, but there were no concrete case reports. In the present case report, the three patients, all with the respiratory system as the main manifestation, achieved good efficacy after treatment, and there was no recurrence or death in the follow-up, which provides a valuable reference for the diagnosis and treatment of WD in the future. Since they did not have obvious symptoms of other systems, they did not have other system-related examinations, which demonstrates that clinical physicians need to fully communicate with the patients and screen for multisystemic diseases in WD. Furthermore, to the best of our knowledge, there have been no reports of differences in symptoms or prognosis due to differences of ethnicity. It is necessary to merge Asian and Caucasian data on Whipple's disease for analysis to clarify whether ethnic differences lead to different symptoms or prognosis; however, due to regional discrepancies, the present study was unable to do this.

Acknowledgements

Not applicable.

Funding

Funding: No funding was received.

Availability of data and materials

The data generated in the present study may be requested from the corresponding author.

Authors' contributions

YD conceived and designed the work. YD and XC analyzed and summarized the data and wrote the manuscript. HZ, ZZ, JL and TZ collected the laboratory examination and CT images of the case. XC critically revised the manuscript. YD and XC confirm the authenticity of all the raw data. All authors read and approved the final manuscript.

Ethics approval and consent to participate

This study was conducted in accordance with the principles expressed in the Declaration of Helsinki and was approved by the Research Medical Ethics Committee of the Second Affiliated Hospital of Chongqing Medical University.

Patient consent for publication

The patients involved in the present study were subjected to standard clinical practice and provided written, informed consent for publication.

Competing interests

The authors declare that they have no competing interests.

References

1 

Kutlu O, Erhan SS, Gökden Y, Kandemir Ö and Tükek T: Whipple's Disease: A case report. Med Princ Pract. 29:90–93. 2020.PubMed/NCBI View Article : Google Scholar

2 

Lagier JC, Papazian L, Fenollar F, Edouard S, Melenotte C, Laroumagne S, Michel G, Martin C, Gainnier M, Lions C, et al: Tropheryma whipplei DNA in bronchoalveolar lavage samples: A case control study. Clin Microbiol Infect. 22:875–879. 2016.PubMed/NCBI View Article : Google Scholar

3 

El-Abassi R, Soliman MY, Williams F and England JD: Whipple's disease. J Neurol Sci. 377:197–206. 2017.PubMed/NCBI View Article : Google Scholar

4 

Dolmans RA, Boel CH, Lacle MM and Kusters JG: Clinical manifestations, treatment, and diagnosis of Tropheryma whipplei infections. Clin Microbiol Rev. 30:529–555. 2017.PubMed/NCBI View Article : Google Scholar

5 

Biagi F, Balduzzi D, Delvino P, Schiepatti A, Klersy C and Corazza GR: Prevalence of Whipple's disease in north-western Italy. Eur J Clin Microbiol Infect Dis. 34:1347–1348. 2015.PubMed/NCBI View Article : Google Scholar

6 

Lin M, Wang K, Qiu L, Liang Y, Tu C, Chen M, Wang Z, Wu J, Huang Y, Tan C, et al: Tropheryma whipplei detection by metagenomic next-generation sequencing in bronchoalveolar lavage fluid: A cross-sectional study. Front Cell Infect Microbiol. 12(961297)2022.PubMed/NCBI View Article : Google Scholar

7 

Ojeda E, Cosme A, Lapaza J, Torrado J, Arruabarrena I and Alzate L: Whipple's disease in Spain: A clinical review of 91 patients diagnosed between 1947 and 2001. Rev Esp Enferm Dig. 102:108–123. 2010.PubMed/NCBI View Article : Google Scholar : (In English, Spanish).

8 

Dutly F and Altwegg M: Whipple's disease and ‘Tropheryma whippelii’. Clin Microbiol Rev. 14:561–583. 2001.PubMed/NCBI View Article : Google Scholar

9 

Freeman HJ: Tropheryma whipplei infection. World J Gastroenterol. 15:2078–2080. 2009.PubMed/NCBI View Article : Google Scholar

10 

Marth T, Moos V, Müller C, Biagi F and Schneider T: Tropheryma whipplei infection and Whipple's disease. Lancet Infect Dis. 16:e13–e22. 2016.PubMed/NCBI View Article : Google Scholar

11 

Ruggiero E, Zurlo A, Giantin V, Galeazzi F, Mescoli C, Nante G, Petruzzellis F and Manzato E: Short article: Relapsing Whipple's disease: A case report and literature review. Eur J Gastroenterol Hepatol. 28:267–270. 2016.PubMed/NCBI View Article : Google Scholar

12 

Obst W, von Arnim U and Malfertheiner P: Whipple's Disease. Viszeralmedizin. 30:167–172. 2014.PubMed/NCBI View Article : Google Scholar

13 

Crews NR, Cawcutt KA, Pritt BS, Patel R and Virk A: Diagnostic approach for classic compared with localized whipple disease. Open Forum Infect Dis. 5(ofy136)2018.PubMed/NCBI View Article : Google Scholar

14 

Duss FR, Jaton K, Vollenweider P, Troillet N and Greub G: Whipple disease: A 15-year retrospective study on 36 patients with positive polymerase chain reaction for Tropheryma whipplei. Clin Microbiol Infect. 27:910.e9–910.e13. 2021.PubMed/NCBI View Article : Google Scholar

15 

Han D, Li Z, Li R, Tan P, Zhang R and Li J: mNGS in clinical microbiology laboratories: On the road to maturity. Crit Rev Microbiol. 45:668–685. 2019.PubMed/NCBI View Article : Google Scholar

16 

Zhang WM and Xu L: Pulmonary parenchymal involvement caused by Tropheryma whipplei. Open Med (Wars). 16:843–846. 2021.PubMed/NCBI View Article : Google Scholar

17 

Chen Q, Niu YL and Zhang T: Diagnosis and treatment of Whipple disease after kidney transplantation: A case report. World J Clin Cases. 11:6019–6024. 2023.PubMed/NCBI View Article : Google Scholar

18 

Fang Z, Liu Q, Tang W, Yu H, Zou M, Zhang H, Xue H, Lin S, Pei Y, Ai J and Chen J: Experience in the diagnosis and treatment of pneumonia caused by infection with Tropheryma whipplei: A case series. Heliyon. 9(e17132)2023.PubMed/NCBI View Article : Google Scholar

19 

Hujoel IA, Johnson DH, Lebwohl B, Leffler D, Kupfer S, Wu TT, Murray JA and Rubio-Tapia A: Tropheryma whipplei Infection (Whipple Disease) in the USA. Dig Dis Sci. 64:213–223. 2019.PubMed/NCBI View Article : Google Scholar

20 

Camboulive A, Jutant EM, Savale L, Jaïs X, Sitbon O, Mussini C, Bénichou J, Lagier JC, Humbert M and Montani D: Reversible pulmonary hypertension associated with multivisceral Whipple's disease. Eur Respir J. 57(2003132)2021.PubMed/NCBI View Article : Google Scholar

21 

Feurle GE, Moos V, Bläker H, Loddenkemper C, Moter A, Stroux A, Marth T and Schneider T: Intravenous ceftriaxone, followed by 12 or three months of oral treatment with trimethoprim-sulfamethoxazole in Whipple's disease. J Infect. 66:263–270. 2013.PubMed/NCBI View Article : Google Scholar

22 

Hagel S, Epple HJ, Feurle GE, Kern WV, Lynen Jansen P, Malfertheiner P, Marth T, Meyer E, Mielke M, Moos V, et al: S2k-guideline gastrointestinal infectious diseases and Whipple's disease. Z Gastroenterol. 53:418–459. 2015.PubMed/NCBI View Article : Google Scholar : (In German).

Related Articles

  • Abstract
  • View
  • Download
  • Twitter
Copy and paste a formatted citation
Spandidos Publications style
Deng Y, Zhang H, Lu J, Zhou Z, Zhang T and Cui X: Whipple's disease of the respiratory system: A case report. Exp Ther Med 27: 133, 2024.
APA
Deng, Y., Zhang, H., Lu, J., Zhou, Z., Zhang, T., & Cui, X. (2024). Whipple's disease of the respiratory system: A case report. Experimental and Therapeutic Medicine, 27, 133. https://doi.org/10.3892/etm.2024.12421
MLA
Deng, Y., Zhang, H., Lu, J., Zhou, Z., Zhang, T., Cui, X."Whipple's disease of the respiratory system: A case report". Experimental and Therapeutic Medicine 27.4 (2024): 133.
Chicago
Deng, Y., Zhang, H., Lu, J., Zhou, Z., Zhang, T., Cui, X."Whipple's disease of the respiratory system: A case report". Experimental and Therapeutic Medicine 27, no. 4 (2024): 133. https://doi.org/10.3892/etm.2024.12421
Copy and paste a formatted citation
x
Spandidos Publications style
Deng Y, Zhang H, Lu J, Zhou Z, Zhang T and Cui X: Whipple's disease of the respiratory system: A case report. Exp Ther Med 27: 133, 2024.
APA
Deng, Y., Zhang, H., Lu, J., Zhou, Z., Zhang, T., & Cui, X. (2024). Whipple's disease of the respiratory system: A case report. Experimental and Therapeutic Medicine, 27, 133. https://doi.org/10.3892/etm.2024.12421
MLA
Deng, Y., Zhang, H., Lu, J., Zhou, Z., Zhang, T., Cui, X."Whipple's disease of the respiratory system: A case report". Experimental and Therapeutic Medicine 27.4 (2024): 133.
Chicago
Deng, Y., Zhang, H., Lu, J., Zhou, Z., Zhang, T., Cui, X."Whipple's disease of the respiratory system: A case report". Experimental and Therapeutic Medicine 27, no. 4 (2024): 133. https://doi.org/10.3892/etm.2024.12421
Follow us
  • Twitter
  • LinkedIn
  • Facebook
About
  • Spandidos Publications
  • Careers
  • Cookie Policy
  • Privacy Policy
How can we help?
  • Help
  • Live Chat
  • Contact
  • Email to our Support Team