Spandidos Publications Logo
  • About
    • About Spandidos
    • Aims and Scopes
    • Abstracting and Indexing
    • Editorial Policies
    • Reprints and Permissions
    • Job Opportunities
    • Terms and Conditions
    • Contact
  • Journals
    • All Journals
    • Oncology Letters
      • Oncology Letters
      • Information for Authors
      • Editorial Policies
      • Editorial Board
      • Aims and Scope
      • Abstracting and Indexing
      • Bibliographic Information
      • Archive
    • International Journal of Oncology
      • International Journal of Oncology
      • Information for Authors
      • Editorial Policies
      • Editorial Board
      • Aims and Scope
      • Abstracting and Indexing
      • Bibliographic Information
      • Archive
    • Molecular and Clinical Oncology
      • Molecular and Clinical Oncology
      • Information for Authors
      • Editorial Policies
      • Editorial Board
      • Aims and Scope
      • Abstracting and Indexing
      • Bibliographic Information
      • Archive
    • Experimental and Therapeutic Medicine
      • Experimental and Therapeutic Medicine
      • Information for Authors
      • Editorial Policies
      • Editorial Board
      • Aims and Scope
      • Abstracting and Indexing
      • Bibliographic Information
      • Archive
    • International Journal of Molecular Medicine
      • International Journal of Molecular Medicine
      • Information for Authors
      • Editorial Policies
      • Editorial Board
      • Aims and Scope
      • Abstracting and Indexing
      • Bibliographic Information
      • Archive
    • Biomedical Reports
      • Biomedical Reports
      • Information for Authors
      • Editorial Policies
      • Editorial Board
      • Aims and Scope
      • Abstracting and Indexing
      • Bibliographic Information
      • Archive
    • Oncology Reports
      • Oncology Reports
      • Information for Authors
      • Editorial Policies
      • Editorial Board
      • Aims and Scope
      • Abstracting and Indexing
      • Bibliographic Information
      • Archive
    • Molecular Medicine Reports
      • Molecular Medicine Reports
      • Information for Authors
      • Editorial Policies
      • Editorial Board
      • Aims and Scope
      • Abstracting and Indexing
      • Bibliographic Information
      • Archive
    • World Academy of Sciences Journal
      • World Academy of Sciences Journal
      • Information for Authors
      • Editorial Policies
      • Editorial Board
      • Aims and Scope
      • Abstracting and Indexing
      • Bibliographic Information
      • Archive
    • International Journal of Functional Nutrition
      • International Journal of Functional Nutrition
      • Information for Authors
      • Editorial Policies
      • Editorial Board
      • Aims and Scope
      • Abstracting and Indexing
      • Bibliographic Information
      • Archive
    • International Journal of Epigenetics
      • International Journal of Epigenetics
      • Information for Authors
      • Editorial Policies
      • Editorial Board
      • Aims and Scope
      • Abstracting and Indexing
      • Bibliographic Information
      • Archive
    • Medicine International
      • Medicine International
      • Information for Authors
      • Editorial Policies
      • Editorial Board
      • Aims and Scope
      • Abstracting and Indexing
      • Bibliographic Information
      • Archive
  • Articles
  • Information
    • Information for Authors
    • Information for Reviewers
    • Information for Librarians
    • Information for Advertisers
    • Conferences
  • Language Editing
Spandidos Publications Logo
  • About
    • About Spandidos
    • Aims and Scopes
    • Abstracting and Indexing
    • Editorial Policies
    • Reprints and Permissions
    • Job Opportunities
    • Terms and Conditions
    • Contact
  • Journals
    • All Journals
    • Biomedical Reports
      • Information for Authors
      • Editorial Policies
      • Editorial Board
      • Aims and Scope
      • Abstracting and Indexing
      • Bibliographic Information
      • Archive
    • Experimental and Therapeutic Medicine
      • Information for Authors
      • Editorial Policies
      • Editorial Board
      • Aims and Scope
      • Abstracting and Indexing
      • Bibliographic Information
      • Archive
    • International Journal of Epigenetics
      • Information for Authors
      • Editorial Policies
      • Editorial Board
      • Aims and Scope
      • Abstracting and Indexing
      • Bibliographic Information
      • Archive
    • International Journal of Functional Nutrition
      • Information for Authors
      • Editorial Policies
      • Editorial Board
      • Aims and Scope
      • Abstracting and Indexing
      • Bibliographic Information
      • Archive
    • International Journal of Molecular Medicine
      • Information for Authors
      • Editorial Policies
      • Editorial Board
      • Aims and Scope
      • Abstracting and Indexing
      • Bibliographic Information
      • Archive
    • International Journal of Oncology
      • Information for Authors
      • Editorial Policies
      • Editorial Board
      • Aims and Scope
      • Abstracting and Indexing
      • Bibliographic Information
      • Archive
    • Medicine International
      • Information for Authors
      • Editorial Policies
      • Editorial Board
      • Aims and Scope
      • Abstracting and Indexing
      • Bibliographic Information
      • Archive
    • Molecular and Clinical Oncology
      • Information for Authors
      • Editorial Policies
      • Editorial Board
      • Aims and Scope
      • Abstracting and Indexing
      • Bibliographic Information
      • Archive
    • Molecular Medicine Reports
      • Information for Authors
      • Editorial Policies
      • Editorial Board
      • Aims and Scope
      • Abstracting and Indexing
      • Bibliographic Information
      • Archive
    • Oncology Letters
      • Information for Authors
      • Editorial Policies
      • Editorial Board
      • Aims and Scope
      • Abstracting and Indexing
      • Bibliographic Information
      • Archive
    • Oncology Reports
      • Information for Authors
      • Editorial Policies
      • Editorial Board
      • Aims and Scope
      • Abstracting and Indexing
      • Bibliographic Information
      • Archive
    • World Academy of Sciences Journal
      • Information for Authors
      • Editorial Policies
      • Editorial Board
      • Aims and Scope
      • Abstracting and Indexing
      • Bibliographic Information
      • Archive
  • Articles
  • Information
    • For Authors
    • For Reviewers
    • For Librarians
    • For Advertisers
    • Conferences
  • Language Editing
Login Register Submit
  • This site uses cookies
  • You can change your cookie settings at any time by following the instructions in our Cookie Policy. To find out more, you may read our Privacy Policy.

    I agree
Search articles by DOI, keyword, author or affiliation
Search
Advanced Search
presentation
Experimental and Therapeutic Medicine
Join Editorial Board Propose a Special Issue
Print ISSN: 1792-0981 Online ISSN: 1792-1015
Journal Cover
April-2024 Volume 27 Issue 4

Full Size Image

Sign up for eToc alerts
Recommend to Library

Journals

International Journal of Molecular Medicine

International Journal of Molecular Medicine

International Journal of Molecular Medicine is an international journal devoted to molecular mechanisms of human disease.

International Journal of Oncology

International Journal of Oncology

International Journal of Oncology is an international journal devoted to oncology research and cancer treatment.

Molecular Medicine Reports

Molecular Medicine Reports

Covers molecular medicine topics such as pharmacology, pathology, genetics, neuroscience, infectious diseases, molecular cardiology, and molecular surgery.

Oncology Reports

Oncology Reports

Oncology Reports is an international journal devoted to fundamental and applied research in Oncology.

Experimental and Therapeutic Medicine

Experimental and Therapeutic Medicine

Experimental and Therapeutic Medicine is an international journal devoted to laboratory and clinical medicine.

Oncology Letters

Oncology Letters

Oncology Letters is an international journal devoted to Experimental and Clinical Oncology.

Biomedical Reports

Biomedical Reports

Explores a wide range of biological and medical fields, including pharmacology, genetics, microbiology, neuroscience, and molecular cardiology.

Molecular and Clinical Oncology

Molecular and Clinical Oncology

International journal addressing all aspects of oncology research, from tumorigenesis and oncogenes to chemotherapy and metastasis.

World Academy of Sciences Journal

World Academy of Sciences Journal

Multidisciplinary open-access journal spanning biochemistry, genetics, neuroscience, environmental health, and synthetic biology.

International Journal of Functional Nutrition

International Journal of Functional Nutrition

Open-access journal combining biochemistry, pharmacology, immunology, and genetics to advance health through functional nutrition.

International Journal of Epigenetics

International Journal of Epigenetics

Publishes open-access research on using epigenetics to advance understanding and treatment of human disease.

Medicine International

Medicine International

An International Open Access Journal Devoted to General Medicine.

Journal Cover
April-2024 Volume 27 Issue 4

Full Size Image

Sign up for eToc alerts
Recommend to Library

  • Article
  • Citations
    • Cite This Article
    • Download Citation
    • Create Citation Alert
    • Remove Citation Alert
    • Cited By
  • Similar Articles
    • Related Articles (in Spandidos Publications)
    • Similar Articles (Google Scholar)
    • Similar Articles (PubMed)
  • Download PDF
  • Download XML
  • View XML
Case Report Open Access

Type B3 thymoma complicated with Chlamydia psittaci pneumonia with rare features: A case report

  • Authors:
    • Jianping Jiang
    • Jinmeng Dai
    • Xun Hu
    • Xiujuan Yao
    • Weiqiang Mo
    • Haiqin Wang
  • View Affiliations / Copyright

    Affiliations: Department of Respiratory Medicine, The Second Affiliated Hospital of Jiaxing University, Jiaxing, Zhejiang 314000, P.R. China, Department of Respiratory Medicine, Jiashan County Yaozhuang Town Health Centre, Jiaxing, Zhejiang 314117, P.R. China, Department of Thoracic Surgery, The Second Affiliated Hospital of Jiaxing University, Jiaxing, Zhejiang 314000, P.R. China, Department of Pathology, The Second Affiliated Hospital of Jiaxing University, Jiaxing, Zhejiang 314000, P.R. China
    Copyright: © Jiang et al. This is an open access article distributed under the terms of Creative Commons Attribution License.
  • Article Number: 153
    |
    Published online on: February 20, 2024
       https://doi.org/10.3892/etm.2024.12441
  • Expand metrics +
Metrics: Total Views: 0 (Spandidos Publications: | PMC Statistics: )
Metrics: Total PDF Downloads: 0 (Spandidos Publications: | PMC Statistics: )
Cited By (CrossRef): 0 citations Loading Articles...

This article is mentioned in:



Abstract

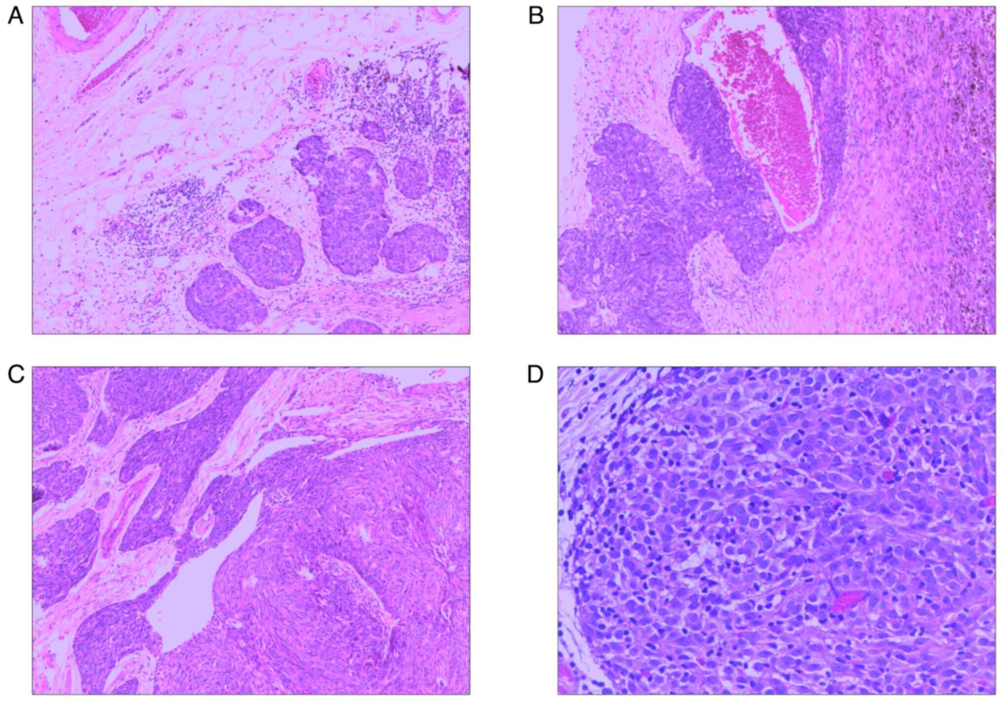
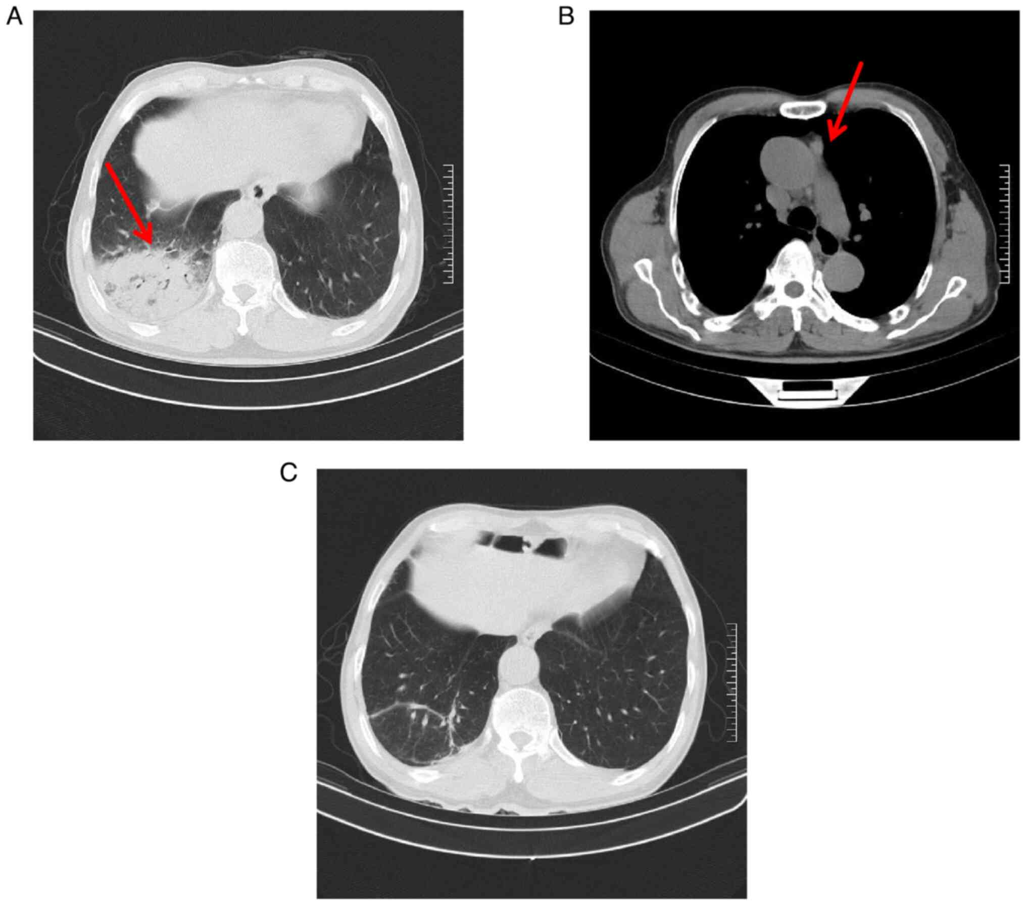
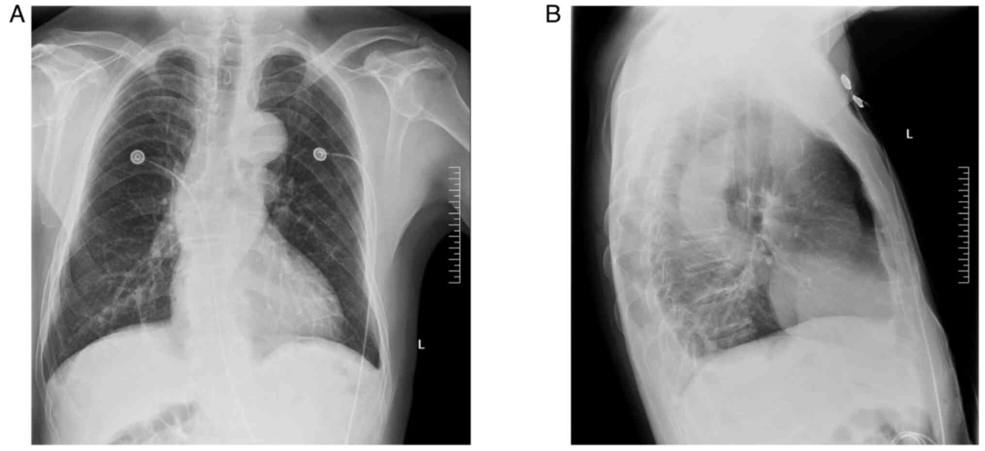
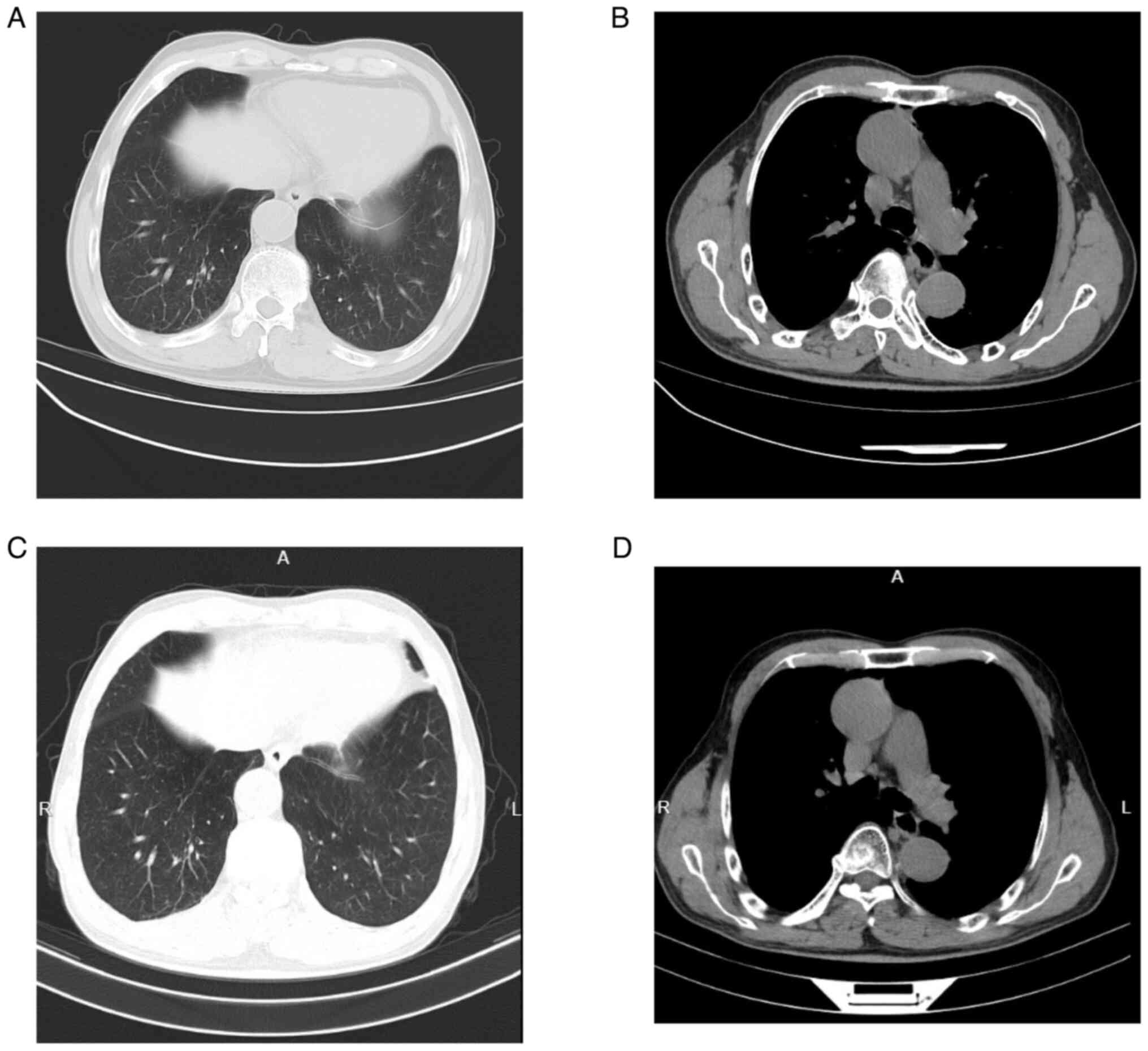
The case of a patient with type B3 thymomacomorbid with Chlamydia psittaci (C. psittaci) pneumonia exhibiting rare features is presented in the current report. The patient was admitted at the Second Affiliated Hospital of Jiaxing University (Jiaxing, China) with a history of direct contact with poultry. Clinical manifestations included fever, shivers, cough, fatigue and poor appetite. Chest computed tomography (CT) indicated right lung pneumonia, while metagenomics next‑generation sequencing using bronchoalveolar lavage fluid confirmed infection with C. psittaci. Additionally, positron emission tomography‑CT suggested the presence of thymoma. After surgery and treatment with doxycycline and imipenem cilastatin, the patient was discharged showing signs of improvement.
View Figures

Figure 1

Figure 2

Figure 3

Figure 4

Figure 5

View References

1 

Hogerwerf L, De Gier B, Baan B and VAN DER Hoek W: Chlamydia psittaci (Psittacosis) as a cause of community-acquired pneumonia: A systematic review and meta-analysis. Epidemiol Infect. 145:3096–3105. 2017.PubMed/NCBI View Article : Google Scholar

2 

Thongprayoon C, Tantrachoti P, Phatharacharukul P, Buranapraditkun S and Klaewsongkram J: Associated immunological disorders and cellular immune dysfunction in thymoma: A study of 87 cases from thailand. Arch Immunol Ther Exp (Warsz). 61:85–93. 2013.PubMed/NCBI View Article : Google Scholar

3 

Kondo K, Yoshizawa K, Tsuyuguchi M, Kimura S, Sumitomo M, Morita J, Miyoshi T, Sakiyama S, Mukai K and Monden Y: WHO histologic classification is a prognostic indicator in thymoma. Ann Thorac Surg. 77:1183–1188. 2004.PubMed/NCBI View Article : Google Scholar

4 

Raoof S, Raoof S and Naidich DP: Imaging of unusual diffuse lung diseases. Curr Opin Pulm Med. 10:383–389. 2004.PubMed/NCBI View Article : Google Scholar

5 

Sato K, Fumimoto S, Kataoka T, Ichihashi Y, Ochi K, Satomi H, Hanaoka N, Okada Y and Katsumata T: Type B3 thymoma with marked neuroendocrine differentiation: Report of a case. SAGE Open Med Case Rep. 7(2050313X19827749X)2019.PubMed/NCBI View Article : Google Scholar

6 

Balsamo G, Maxted AM, Midla JW, Murphy JM, Wohrle R, Edling TM, Fish PH, Flammer K, Hyde D, Kutty PK, et al: Compendium of measures to control Chlamydia psittaci infection among humans (Psittacosis) and Pet Birds (Avian Chlamydiosis), 2017. J Avian Med Surg. 31:262–282. 2017.PubMed/NCBI View Article : Google Scholar

7 

Fang C, Xu L, Lu J, Tan H, Lin J and Zhao Z: Clinical characteristics of Chlamydia psittaci pneumonia confirmed by metagenomic next-generation sequencing. Clin Lab. 68:2022.PubMed/NCBI View Article : Google Scholar

8 

Lindholm K and O'Keefe M: Placental cytomegalovirus infection. Arch Pathol Lab Med. 143:639–642. 2019.PubMed/NCBI View Article : Google Scholar

9 

Gu L, Liu W, Ru M, Lin J, Yu G, Ye J, Zhu ZA, Liu Y, Chen J, Lai G and Wen W: The application of metagenomic next-generation sequencing in diagnosing Chlamydia psittaci pneumonia: A report of five cases. BMC Pulm Med. 20(65)2020.PubMed/NCBI View Article : Google Scholar

10 

Gao L, Wang C, Fang W, Zhang J, Lv C and Fu S: Outcome of multimodality treatment for 188 cases of type B3 thymoma. J Thorac Oncol. 8:1329–1334. 2013.PubMed/NCBI View Article : Google Scholar

11 

Lindholm KE and Moran CA: Cystic and encapsulated atypical thymoma (World Health Organization Type B3). Am J Clin Pathol. 152:512–516. 2019.PubMed/NCBI View Article : Google Scholar

12 

Engels EA: Epidemiology of thymoma and associated malignancies. J Thorac Oncol. 5 (10 Suppl 4):S260–S265. 2010.PubMed/NCBI View Article : Google Scholar

13 

Kong CY, Zhu J, Lu JJ and Xu ZH: Clinical characteristics of Chlamydia psittaci pneumonia. Chin Med J (Engl). 134:353–355. 2021.PubMed/NCBI View Article : Google Scholar

14 

Narahari NK, Gongati PK, Kakarla B, Nizami MI, Boddula RP and Sattavarapu LR: Thymoma-associated immunodeficiency: A diagnostic challenge for the clinician. Asian Cardiovasc Thorac Ann. 25:146–149. 2017.PubMed/NCBI View Article : Google Scholar

15 

Agarwal S and Cunningham-Rundles C: Thymoma and immunodeficiency (Good syndrome): A report of 2 unusual cases and review of the literature. Ann Allergy Asthma Immunol. 98:185–190. 2007.PubMed/NCBI View Article : Google Scholar

16 

Chang R, Duan S, Li S and Zhang P: Viral infection in thymoma and thymic tumors with autoimmune diseases. Thorac Cancer. 12:2971–2980. 2021.PubMed/NCBI View Article : Google Scholar

Related Articles

  • Abstract
  • View
  • Download
  • Twitter
Copy and paste a formatted citation
Spandidos Publications style
Jiang J, Dai J, Hu X, Yao X, Mo W and Wang H: Type B3 thymoma complicated with <em>Chlamydia psittaci</em> pneumonia with rare features: A case report. Exp Ther Med 27: 153, 2024.
APA
Jiang, J., Dai, J., Hu, X., Yao, X., Mo, W., & Wang, H. (2024). Type B3 thymoma complicated with <em>Chlamydia psittaci</em> pneumonia with rare features: A case report. Experimental and Therapeutic Medicine, 27, 153. https://doi.org/10.3892/etm.2024.12441
MLA
Jiang, J., Dai, J., Hu, X., Yao, X., Mo, W., Wang, H."Type B3 thymoma complicated with <em>Chlamydia psittaci</em> pneumonia with rare features: A case report". Experimental and Therapeutic Medicine 27.4 (2024): 153.
Chicago
Jiang, J., Dai, J., Hu, X., Yao, X., Mo, W., Wang, H."Type B3 thymoma complicated with <em>Chlamydia psittaci</em> pneumonia with rare features: A case report". Experimental and Therapeutic Medicine 27, no. 4 (2024): 153. https://doi.org/10.3892/etm.2024.12441
Copy and paste a formatted citation
x
Spandidos Publications style
Jiang J, Dai J, Hu X, Yao X, Mo W and Wang H: Type B3 thymoma complicated with <em>Chlamydia psittaci</em> pneumonia with rare features: A case report. Exp Ther Med 27: 153, 2024.
APA
Jiang, J., Dai, J., Hu, X., Yao, X., Mo, W., & Wang, H. (2024). Type B3 thymoma complicated with <em>Chlamydia psittaci</em> pneumonia with rare features: A case report. Experimental and Therapeutic Medicine, 27, 153. https://doi.org/10.3892/etm.2024.12441
MLA
Jiang, J., Dai, J., Hu, X., Yao, X., Mo, W., Wang, H."Type B3 thymoma complicated with <em>Chlamydia psittaci</em> pneumonia with rare features: A case report". Experimental and Therapeutic Medicine 27.4 (2024): 153.
Chicago
Jiang, J., Dai, J., Hu, X., Yao, X., Mo, W., Wang, H."Type B3 thymoma complicated with <em>Chlamydia psittaci</em> pneumonia with rare features: A case report". Experimental and Therapeutic Medicine 27, no. 4 (2024): 153. https://doi.org/10.3892/etm.2024.12441
Follow us
  • Twitter
  • LinkedIn
  • Facebook
About
  • Spandidos Publications
  • Careers
  • Cookie Policy
  • Privacy Policy
How can we help?
  • Help
  • Live Chat
  • Contact
  • Email to our Support Team