Spandidos Publications Logo
  • About
    • About Spandidos
    • Aims and Scopes
    • Abstracting and Indexing
    • Editorial Policies
    • Reprints and Permissions
    • Job Opportunities
    • Terms and Conditions
    • Contact
  • Journals
    • All Journals
    • Oncology Letters
      • Oncology Letters
      • Information for Authors
      • Editorial Policies
      • Editorial Board
      • Aims and Scope
      • Abstracting and Indexing
      • Bibliographic Information
      • Archive
    • International Journal of Oncology
      • International Journal of Oncology
      • Information for Authors
      • Editorial Policies
      • Editorial Board
      • Aims and Scope
      • Abstracting and Indexing
      • Bibliographic Information
      • Archive
    • Molecular and Clinical Oncology
      • Molecular and Clinical Oncology
      • Information for Authors
      • Editorial Policies
      • Editorial Board
      • Aims and Scope
      • Abstracting and Indexing
      • Bibliographic Information
      • Archive
    • Experimental and Therapeutic Medicine
      • Experimental and Therapeutic Medicine
      • Information for Authors
      • Editorial Policies
      • Editorial Board
      • Aims and Scope
      • Abstracting and Indexing
      • Bibliographic Information
      • Archive
    • International Journal of Molecular Medicine
      • International Journal of Molecular Medicine
      • Information for Authors
      • Editorial Policies
      • Editorial Board
      • Aims and Scope
      • Abstracting and Indexing
      • Bibliographic Information
      • Archive
    • Biomedical Reports
      • Biomedical Reports
      • Information for Authors
      • Editorial Policies
      • Editorial Board
      • Aims and Scope
      • Abstracting and Indexing
      • Bibliographic Information
      • Archive
    • Oncology Reports
      • Oncology Reports
      • Information for Authors
      • Editorial Policies
      • Editorial Board
      • Aims and Scope
      • Abstracting and Indexing
      • Bibliographic Information
      • Archive
    • Molecular Medicine Reports
      • Molecular Medicine Reports
      • Information for Authors
      • Editorial Policies
      • Editorial Board
      • Aims and Scope
      • Abstracting and Indexing
      • Bibliographic Information
      • Archive
    • World Academy of Sciences Journal
      • World Academy of Sciences Journal
      • Information for Authors
      • Editorial Policies
      • Editorial Board
      • Aims and Scope
      • Abstracting and Indexing
      • Bibliographic Information
      • Archive
    • International Journal of Functional Nutrition
      • International Journal of Functional Nutrition
      • Information for Authors
      • Editorial Policies
      • Editorial Board
      • Aims and Scope
      • Abstracting and Indexing
      • Bibliographic Information
      • Archive
    • International Journal of Epigenetics
      • International Journal of Epigenetics
      • Information for Authors
      • Editorial Policies
      • Editorial Board
      • Aims and Scope
      • Abstracting and Indexing
      • Bibliographic Information
      • Archive
    • Medicine International
      • Medicine International
      • Information for Authors
      • Editorial Policies
      • Editorial Board
      • Aims and Scope
      • Abstracting and Indexing
      • Bibliographic Information
      • Archive
  • Articles
  • Information
    • Information for Authors
    • Information for Reviewers
    • Information for Librarians
    • Information for Advertisers
    • Conferences
  • Language Editing
Spandidos Publications Logo
  • About
    • About Spandidos
    • Aims and Scopes
    • Abstracting and Indexing
    • Editorial Policies
    • Reprints and Permissions
    • Job Opportunities
    • Terms and Conditions
    • Contact
  • Journals
    • All Journals
    • Biomedical Reports
      • Information for Authors
      • Editorial Policies
      • Editorial Board
      • Aims and Scope
      • Abstracting and Indexing
      • Bibliographic Information
      • Archive
    • Experimental and Therapeutic Medicine
      • Information for Authors
      • Editorial Policies
      • Editorial Board
      • Aims and Scope
      • Abstracting and Indexing
      • Bibliographic Information
      • Archive
    • International Journal of Epigenetics
      • Information for Authors
      • Editorial Policies
      • Editorial Board
      • Aims and Scope
      • Abstracting and Indexing
      • Bibliographic Information
      • Archive
    • International Journal of Functional Nutrition
      • Information for Authors
      • Editorial Policies
      • Editorial Board
      • Aims and Scope
      • Abstracting and Indexing
      • Bibliographic Information
      • Archive
    • International Journal of Molecular Medicine
      • Information for Authors
      • Editorial Policies
      • Editorial Board
      • Aims and Scope
      • Abstracting and Indexing
      • Bibliographic Information
      • Archive
    • International Journal of Oncology
      • Information for Authors
      • Editorial Policies
      • Editorial Board
      • Aims and Scope
      • Abstracting and Indexing
      • Bibliographic Information
      • Archive
    • Medicine International
      • Information for Authors
      • Editorial Policies
      • Editorial Board
      • Aims and Scope
      • Abstracting and Indexing
      • Bibliographic Information
      • Archive
    • Molecular and Clinical Oncology
      • Information for Authors
      • Editorial Policies
      • Editorial Board
      • Aims and Scope
      • Abstracting and Indexing
      • Bibliographic Information
      • Archive
    • Molecular Medicine Reports
      • Information for Authors
      • Editorial Policies
      • Editorial Board
      • Aims and Scope
      • Abstracting and Indexing
      • Bibliographic Information
      • Archive
    • Oncology Letters
      • Information for Authors
      • Editorial Policies
      • Editorial Board
      • Aims and Scope
      • Abstracting and Indexing
      • Bibliographic Information
      • Archive
    • Oncology Reports
      • Information for Authors
      • Editorial Policies
      • Editorial Board
      • Aims and Scope
      • Abstracting and Indexing
      • Bibliographic Information
      • Archive
    • World Academy of Sciences Journal
      • Information for Authors
      • Editorial Policies
      • Editorial Board
      • Aims and Scope
      • Abstracting and Indexing
      • Bibliographic Information
      • Archive
  • Articles
  • Information
    • For Authors
    • For Reviewers
    • For Librarians
    • For Advertisers
    • Conferences
  • Language Editing
Login Register Submit
  • This site uses cookies
  • You can change your cookie settings at any time by following the instructions in our Cookie Policy. To find out more, you may read our Privacy Policy.

    I agree
Search articles by DOI, keyword, author or affiliation
Search
Advanced Search
presentation
Experimental and Therapeutic Medicine
Join Editorial Board Propose a Special Issue
Print ISSN: 1792-0981 Online ISSN: 1792-1015
Journal Cover
April-2024 Volume 27 Issue 4

Full Size Image

Sign up for eToc alerts
Recommend to Library

Journals

International Journal of Molecular Medicine

International Journal of Molecular Medicine

International Journal of Molecular Medicine is an international journal devoted to molecular mechanisms of human disease.

International Journal of Oncology

International Journal of Oncology

International Journal of Oncology is an international journal devoted to oncology research and cancer treatment.

Molecular Medicine Reports

Molecular Medicine Reports

Covers molecular medicine topics such as pharmacology, pathology, genetics, neuroscience, infectious diseases, molecular cardiology, and molecular surgery.

Oncology Reports

Oncology Reports

Oncology Reports is an international journal devoted to fundamental and applied research in Oncology.

Experimental and Therapeutic Medicine

Experimental and Therapeutic Medicine

Experimental and Therapeutic Medicine is an international journal devoted to laboratory and clinical medicine.

Oncology Letters

Oncology Letters

Oncology Letters is an international journal devoted to Experimental and Clinical Oncology.

Biomedical Reports

Biomedical Reports

Explores a wide range of biological and medical fields, including pharmacology, genetics, microbiology, neuroscience, and molecular cardiology.

Molecular and Clinical Oncology

Molecular and Clinical Oncology

International journal addressing all aspects of oncology research, from tumorigenesis and oncogenes to chemotherapy and metastasis.

World Academy of Sciences Journal

World Academy of Sciences Journal

Multidisciplinary open-access journal spanning biochemistry, genetics, neuroscience, environmental health, and synthetic biology.

International Journal of Functional Nutrition

International Journal of Functional Nutrition

Open-access journal combining biochemistry, pharmacology, immunology, and genetics to advance health through functional nutrition.

International Journal of Epigenetics

International Journal of Epigenetics

Publishes open-access research on using epigenetics to advance understanding and treatment of human disease.

Medicine International

Medicine International

An International Open Access Journal Devoted to General Medicine.

Journal Cover
April-2024 Volume 27 Issue 4

Full Size Image

Sign up for eToc alerts
Recommend to Library

  • Article
  • Citations
    • Cite This Article
    • Download Citation
    • Create Citation Alert
    • Remove Citation Alert
    • Cited By
  • Similar Articles
    • Related Articles (in Spandidos Publications)
    • Similar Articles (Google Scholar)
    • Similar Articles (PubMed)
  • Download PDF
  • Download XML
  • View XML
Case Report Open Access

Erdheim‑Chester disease of multisystem involvement with delayed diagnosis: A case report and literature review

  • Authors:
    • Xiaotong Shi
    • Guangzhi Sun
    • Tongguan Li
    • Mengjiao Xu
    • Yixuan Liu
    • Zhankui Wang
    • Yanfeng Hou
  • View Affiliations / Copyright

    Affiliations: School of Clinical Medicine, Shandong Second Medical University, Weifang, Shandong 261053, P.R. China, Department of Orthopedic Surgery, The First Affiliated Hospital of Shandong First Medical University and Shandong Provincial Qianfoshan Hospital, Shandong Key Laboratory of Rheumatic Disease and Translational Medicine, Jinan, Shandong 250000, P.R. China, The First Affiliated Hospital of Shandong First Medical University and Shandong Provincial Qianfoshan Hospital, School of Clinical Medicine, Shandong First Medical University, Jinan, Shandong 250117, P.R. China, Department of Rheumatology and Autoimmunology, The First Affiliated Hospital of Shandong First Medical University and Shandong Provincial Qianfoshan Hospital, Shandong Key Laboratory of Rheumatic Disease and Translational Medicine, Shandong Medicine and Health Key Laboratory of Rheumatism, Jinan, Shandong 250000, P.R. China
    Copyright: © Shi et al. This is an open access article distributed under the terms of Creative Commons Attribution License.
  • Article Number: 159
    |
    Published online on: February 22, 2024
       https://doi.org/10.3892/etm.2024.12447
  • Expand metrics +
Metrics: Total Views: 0 (Spandidos Publications: | PMC Statistics: )
Metrics: Total PDF Downloads: 0 (Spandidos Publications: | PMC Statistics: )
Cited By (CrossRef): 0 citations Loading Articles...

This article is mentioned in:



Abstract

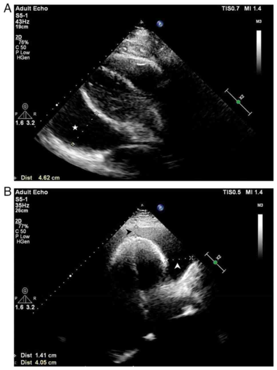
Erdheim‑Chester disease (ECD) is a rare tumor of histiocytic origin, characterized by foamy or lipid‑laden histiocytes mixed or surrounded by fibrosis that infiltrate multiple organs. Misdiagnosis is common due to the diversity of clinical presentations. The present study reported a case of ECD with the involvements of bone, cardiac, aorta and retroperitoneum. The patient had no obvious clinical symptoms and no noteworthy foamy histiocytes or Touton giant cells were found on pathological examination, delaying the diagnosis. The patient was a young male found to have pericardial effusion on physical examination, and computed tomography (CT) revealed soft tissue infiltrates in the retroperitoneum and around the aorta. A mediastinal biopsy revealed fibrous connective tissue with small‑vessel hyperplasia and acute‑chronic inflammatory cell infiltration. The initial diagnosis was retroperitoneal fibrosis (RPF), and hormonal and tamoxifen treatments were administered. The patient presented with oliguria, eyelid edema and fever four years later. A repeat CT revealed an increase in the extent of tissue infiltration and pericardial effusion compared with the previous CT. Subsequent cardiac magnetic resonance imaging revealed massive thickening in the form of fibrotic tissue infiltrating the heart and surrounding thoracic and abdominal aorta. Single photon emission CT revealed multiple areas of increased bone metabolism, particularly symmetrical involvement of the long bones of both lower extremities. A biopsy of the perirenal tissue revealed fibrous tissue and a small number of lymphocytes and macrophages [typical foamy histiocytes observed via x200 magnification and hematoxylin‑eosin (HE) staining, no presence of xanthogranuloma or Touton giant cells]. After a comprehensive evaluation and ruling out other diseases, the diagnosis of ECD was determined. The prognosis of this disease is poor; early diagnosis is critical and requires accurate judgment by clinicians. Biopsies of all involved sites and refinement of genetic tests to guide treatment, if possible, are both necessary.
View Figures

Figure 1

Figure 2

Figure 3

Figure 4

Figure 5

View References

1 

Khoury JD, Solary E, Abla O, Akkari Y, Alaggio R, Apperley JF, Bejar R, Berti E, Busque L, Chan JKC, et al: The 5th edition of the World Health Organization Classification of Haematolymphoid Tumours: Myeloid and histiocytic/dendritic neoplasms. Leukemia. 36:1703–1719. 2022.PubMed/NCBI View Article : Google Scholar

2 

Emile JF, Cohen-Aubart F, Collin M, Fraitag S, Idbaih A, Abdel-Wahab O, Rollins BJ, Donadieu J and Haroche J: Histiocytosis. Lancet. 398:157–170. 2021.PubMed/NCBI View Article : Google Scholar

3 

Goyal G, Heaney ML, Collin M, Cohen-Aubart F, Vaglio A, Durham BH, Hershkovitz-Rokah O, Girschikofsky M, Jacobsen ED, Toyama K, et al: Erdheim-Chester disease: Consensus recommendations for evaluation, diagnosis, and treatment in the molecular era. Blood. 135:1929–1945. 2020.PubMed/NCBI View Article : Google Scholar

4 

Haroche J, Cohen-Aubart F, Rollins BJ, Donadieu J, Charlotte F, Idbaih A, Vaglio A, Abdel-Wahab O, Emile JF and Amoura Z: Histiocytoses: Emerging neoplasia behind inflammation. Lancet Oncol. 18:e113–e125. 2017.PubMed/NCBI View Article : Google Scholar

5 

Campochiaro C, Tomelleri A, Cavalli G, Berti A and Dagna L: Erdheim-Chester disease. Eur J Intern Med. 26:223–229. 2015.PubMed/NCBI View Article : Google Scholar

6 

McClain KL, Bigenwald C, Collin M, Haroche J, Marsh RA, Merad M, Picarsic J, Ribeiro KB and Allen CE: Histiocytic disorders. Nat Rev Dis Primers. 7(73)2021.PubMed/NCBI View Article : Google Scholar

7 

Cao XX, Sun J, Li J, Zhong DR, Niu N, Duan MH, Liang ZY and Zhou DB: Evaluation of clinicopathologic characteristics and the BRAF V600E mutation in Erdheim-Chester disease among Chinese adults. Ann Hematol. 95:745–750. 2016.PubMed/NCBI View Article : Google Scholar

8 

Diamond EL, Dagna L, Hyman DM, Cavalli G, Janku F, Estrada-Veras J, Ferrarini M, Abdel-Wahab O, Heaney ML, Scheel PJ, et al: Consensus guidelines for the diagnosis and clinical management of Erdheim-Chester disease. Blood. 124:483–492. 2014.PubMed/NCBI View Article : Google Scholar

9 

Papo M, Cohen-Aubart F, Trefond L, Bauvois A, Amoura Z, Emile JF and Haroche J: Systemic Histiocytosis (langerhans cell histiocytosis, erdheim-chester disease, destombes-rosai-dorfman disease): From oncogenic mutations to inflammatory disorders. Curr Oncol Rep. 21(62)2019.PubMed/NCBI View Article : Google Scholar

10 

Cohen Aubart F, Emile JF, Carrat F, Charlotte F, Benameur N, Donadieu J, Maksud P, Idbaih A, Barete S, Hoang-Xuan K, et al: Targeted therapies in 54 patients with Erdheim-Chester disease, including follow-up after interruption (the LOVE study). Blood. 130:1377–1380. 2017.PubMed/NCBI View Article : Google Scholar

11 

Campochiaro C, Cavalli G, Farina N, Tomelleri A, De Luca G and Dagna L: Efficacy and improved tolerability of combination therapy with interleukin-1 blockade and MAPK pathway inhibitors for the treatment of Erdheim-Chester disease. Ann Rheum Dis. 81(e11)2022.PubMed/NCBI View Article : Google Scholar

12 

Arnaud L, Hervier B, Néel A, Hamidou MA, Kahn JE, Wechsler B, Pérez-Pastor G, Blomberg B, Fuzibet JG, Dubourguet F, et al: CNS involvement and treatment with interferon-α are independent prognostic factors in Erdheim-Chester disease: A multicenter survival analysis of 53 patients. Blood. 117:2778–2782. 2011.PubMed/NCBI View Article : Google Scholar

13 

Miller RC, Villà S, Kamer S, Pasquier D, Poortmans P, Micke O and Call TG: Palliative treatment of Erdheim-Chester disease with radiotherapy: A rare cancer network study. Radiother Oncol. 80:323–326. 2006.PubMed/NCBI View Article : Google Scholar

14 

Palmisano A, Campochiaro C, Vignale D, Tomelleri A, De Luca G, Bruno E, Monti CB, Cavalli G, Dagna L and Esposito A: Cardiovascular involvement in Erdheim-Chester diseases is associated with myocardial fibrosis and atrial dysfunction. Radiol Med. 128:456–466. 2023.PubMed/NCBI View Article : Google Scholar

15 

Bartoli L, Angeli F, Stefanizzi A, Fabrizio M, Paolisso P, Bergamaschi L, Broccoli A, Zinzani PL, Galiè N, Rucci P, et al: Genetics and clinical phenotype of Erdheim-Chester disease: A case report of constrictive pericarditis and a systematic review of the literature. Front Cardiovasc Med. 9(876294)2022.PubMed/NCBI View Article : Google Scholar

16 

De Abreu MR, Chung CB, Biswal S, Haghighi P, Hesselink J and Resnick D: Erdheim-Chester disease: MR imaging, anatomic, and histopathologic correlation of orbital involvement. AJNR Am J Neuroradiol. 25:627–630. 2004.PubMed/NCBI

17 

Hervier B, Haroche J, Arnaud L, Charlotte F, Donadieu J, Néel A, Lifermann F, Villabona C, Graffin B, Hermine O, et al: Association of both Langerhans cell histiocytosis and Erdheim-Chester disease linked to the BRAFV600E mutation. Blood. 124:1119–1126. 2014.PubMed/NCBI View Article : Google Scholar

18 

Wang F, Cao X, Niu N, Zhang Y, Wang Y, Feng F and Jin Z: Multisystemic imaging findings in chinese patients with erdheim-chester disease. AJR Am J Roentgenol. 213:1179–1186. 2019.PubMed/NCBI View Article : Google Scholar

19 

Haroche J, Arnaud L, Cohen-Aubart F, Hervier B, Charlotte F, Emile JF and Amoura Z: Erdheim-Chester disease. Curr Rheumatol Rep. 16(412)2014.PubMed/NCBI View Article : Google Scholar

20 

Brun AL, Touitou-Gottenberg D, Haroche J, Toledano D, Cluzel P, Beigelman-Aubry C, Piette JC, Amoura Z and Grenier PA: Erdheim-Chester disease: CT findings of thoracic involvement. Eur Radiol. 20:2579–2587. 2010.PubMed/NCBI View Article : Google Scholar

21 

Nikpanah M, Kim L, Mirmomen SM, Symons R, Papageorgiou I, Gahl WA, O'Brien K, Estrada-Veras JI and Malayeri AA: Abdominal involvement in Erdheim-Chester disease (ECD): MRI and CT imaging findings and their association with BRAFV600E mutation. Eur Radiol. 28:3751–3759. 2018.PubMed/NCBI View Article : Google Scholar

22 

Dion E, Graef C, Haroche J, Renard-Penna R, Cluzel P, Wechsler B, Piette JC and Grenier PA: Imaging of thoracoabdominal involvement in Erdheim-Chester disease. AJR Am J Roentgenol. 183:1253–1260. 2004.PubMed/NCBI View Article : Google Scholar

23 

Gianfreda D, Palumbo AA, Rossi E, Buttarelli L, Manari G, Martini C, De Filippo M and Vaglio A: Cardiac involvement in Erdheim-Chester disease: An MRI study. Blood. 128:2468–2471. 2016.PubMed/NCBI View Article : Google Scholar

24 

Chazal T, Pegoraro F, Manari G, Bettiol A, Maniscalco V, Gelain E, Charlotte F, Mazor RD, Renard-Penna R, Amoura Z, et al: Clinical phenotypes and long-term outcome of kidney involvement in Erdheim-Chester histiocytosis. Kidney Int. 103:177–186. 2023.PubMed/NCBI View Article : Google Scholar

25 

Vaglio A, Palmisano A, Alberici F, Maggiore U, Ferretti S, Cobelli R, Ferrozzi F, Corradi D, Salvarani C and Buzio C: Prednisone versus tamoxifen in patients with idiopathic retroperitoneal fibrosis: An open-label randomised controlled trial. Lancet. 378:338–346. 2011.PubMed/NCBI View Article : Google Scholar

26 

Wang DL, Liu SB, Feng YC, Li J, Zhang T, Wan L and Gao H: Corticosteroid combinated with cyclophosphamide in the patients with retroperiteneal fibrosis: A clinical features and prognostic analysis. J Clin Med. 17:18–22. 2019.

27 

van Bommel EF, Pelkmans LG, van Damme H and Hendriksz TR: Long-term safety and efficacy of a tamoxifen-based treatment strategy for idiopathic retroperitoneal fibrosis. Eur J Intern Med. 24:444–450. 2013.PubMed/NCBI View Article : Google Scholar

28 

Marando A, D'Ambrosio G, Catanzaro F, La Rosa S and Sessa F: IgG4-related disease of the ureter: Report of two cases and review of the literature. Virchows Arch. 462:673–678. 2013.PubMed/NCBI View Article : Google Scholar

29 

Deshpande V, Zen Y, Chan JK, Yi EE, Sato Y, Yoshino T, Klöppel G, Heathcote JG, Khosroshahi A, Ferry JA, et al: Consensus statement on the pathology of IgG4-related disease. Mod Pathol. 25:1181–1192. 2012.PubMed/NCBI View Article : Google Scholar

30 

Verdalles U, Goicoechea M, García de Vinuesa S, Mosse A and Luño J: Erdheim-Chester disease: A rare cause of renal failure. Nephrol Dial Transplant. 22:1776–1777. 2007.PubMed/NCBI View Article : Google Scholar

31 

Elbaz Younes I, Sokol L and Zhang L: Rosai-Dorfman disease between proliferation and neoplasia. Cancers (Basel). 14(5271)2022.PubMed/NCBI View Article : Google Scholar

32 

Balink H, Hemmelder MH, de Graaf W and Grond J: Scintigraphic diagnosis of Erdheim-Chester disease. J Clin Oncol. 29:e470–e472. 2011.PubMed/NCBI View Article : Google Scholar

33 

Lin E: FDG PET/CT for biopsy guidance in Erdheim-Chester disease. Clin Nucl Med. 32:860–861. 2007.PubMed/NCBI View Article : Google Scholar

34 

Hervier B, Arnaud L, Charlotte F, Wechsler B, Piette JC, Amoura Z and Haroche J: Treatment of Erdheim-Chester disease with long-term high-dose interferon-α. Semin Arthritis Rheum. 41:907–913. 2012.PubMed/NCBI View Article : Google Scholar

35 

Braiteh F, Boxrud C, Esmaeli B and Kurzrock R: Successful treatment of Erdheim-Chester disease, a non-Langerhans-cell histiocytosis, with interferon-alpha. Blood. 106:2992–2994. 2005.PubMed/NCBI View Article : Google Scholar

Related Articles

  • Abstract
  • View
  • Download
  • Twitter
Copy and paste a formatted citation
Spandidos Publications style
Shi X, Sun G, Li T, Xu M, Liu Y, Wang Z and Hou Y: Erdheim‑Chester disease of multisystem involvement with delayed diagnosis: A case report and literature review. Exp Ther Med 27: 159, 2024.
APA
Shi, X., Sun, G., Li, T., Xu, M., Liu, Y., Wang, Z., & Hou, Y. (2024). Erdheim‑Chester disease of multisystem involvement with delayed diagnosis: A case report and literature review. Experimental and Therapeutic Medicine, 27, 159. https://doi.org/10.3892/etm.2024.12447
MLA
Shi, X., Sun, G., Li, T., Xu, M., Liu, Y., Wang, Z., Hou, Y."Erdheim‑Chester disease of multisystem involvement with delayed diagnosis: A case report and literature review". Experimental and Therapeutic Medicine 27.4 (2024): 159.
Chicago
Shi, X., Sun, G., Li, T., Xu, M., Liu, Y., Wang, Z., Hou, Y."Erdheim‑Chester disease of multisystem involvement with delayed diagnosis: A case report and literature review". Experimental and Therapeutic Medicine 27, no. 4 (2024): 159. https://doi.org/10.3892/etm.2024.12447
Copy and paste a formatted citation
x
Spandidos Publications style
Shi X, Sun G, Li T, Xu M, Liu Y, Wang Z and Hou Y: Erdheim‑Chester disease of multisystem involvement with delayed diagnosis: A case report and literature review. Exp Ther Med 27: 159, 2024.
APA
Shi, X., Sun, G., Li, T., Xu, M., Liu, Y., Wang, Z., & Hou, Y. (2024). Erdheim‑Chester disease of multisystem involvement with delayed diagnosis: A case report and literature review. Experimental and Therapeutic Medicine, 27, 159. https://doi.org/10.3892/etm.2024.12447
MLA
Shi, X., Sun, G., Li, T., Xu, M., Liu, Y., Wang, Z., Hou, Y."Erdheim‑Chester disease of multisystem involvement with delayed diagnosis: A case report and literature review". Experimental and Therapeutic Medicine 27.4 (2024): 159.
Chicago
Shi, X., Sun, G., Li, T., Xu, M., Liu, Y., Wang, Z., Hou, Y."Erdheim‑Chester disease of multisystem involvement with delayed diagnosis: A case report and literature review". Experimental and Therapeutic Medicine 27, no. 4 (2024): 159. https://doi.org/10.3892/etm.2024.12447
Follow us
  • Twitter
  • LinkedIn
  • Facebook
About
  • Spandidos Publications
  • Careers
  • Cookie Policy
  • Privacy Policy
How can we help?
  • Help
  • Live Chat
  • Contact
  • Email to our Support Team