Spandidos Publications Logo
  • About
    • About Spandidos
    • Aims and Scopes
    • Abstracting and Indexing
    • Editorial Policies
    • Reprints and Permissions
    • Job Opportunities
    • Terms and Conditions
    • Contact
  • Journals
    • All Journals
    • Oncology Letters
      • Oncology Letters
      • Information for Authors
      • Editorial Policies
      • Editorial Board
      • Aims and Scope
      • Abstracting and Indexing
      • Bibliographic Information
      • Archive
    • International Journal of Oncology
      • International Journal of Oncology
      • Information for Authors
      • Editorial Policies
      • Editorial Board
      • Aims and Scope
      • Abstracting and Indexing
      • Bibliographic Information
      • Archive
    • Molecular and Clinical Oncology
      • Molecular and Clinical Oncology
      • Information for Authors
      • Editorial Policies
      • Editorial Board
      • Aims and Scope
      • Abstracting and Indexing
      • Bibliographic Information
      • Archive
    • Experimental and Therapeutic Medicine
      • Experimental and Therapeutic Medicine
      • Information for Authors
      • Editorial Policies
      • Editorial Board
      • Aims and Scope
      • Abstracting and Indexing
      • Bibliographic Information
      • Archive
    • International Journal of Molecular Medicine
      • International Journal of Molecular Medicine
      • Information for Authors
      • Editorial Policies
      • Editorial Board
      • Aims and Scope
      • Abstracting and Indexing
      • Bibliographic Information
      • Archive
    • Biomedical Reports
      • Biomedical Reports
      • Information for Authors
      • Editorial Policies
      • Editorial Board
      • Aims and Scope
      • Abstracting and Indexing
      • Bibliographic Information
      • Archive
    • Oncology Reports
      • Oncology Reports
      • Information for Authors
      • Editorial Policies
      • Editorial Board
      • Aims and Scope
      • Abstracting and Indexing
      • Bibliographic Information
      • Archive
    • Molecular Medicine Reports
      • Molecular Medicine Reports
      • Information for Authors
      • Editorial Policies
      • Editorial Board
      • Aims and Scope
      • Abstracting and Indexing
      • Bibliographic Information
      • Archive
    • World Academy of Sciences Journal
      • World Academy of Sciences Journal
      • Information for Authors
      • Editorial Policies
      • Editorial Board
      • Aims and Scope
      • Abstracting and Indexing
      • Bibliographic Information
      • Archive
    • International Journal of Functional Nutrition
      • International Journal of Functional Nutrition
      • Information for Authors
      • Editorial Policies
      • Editorial Board
      • Aims and Scope
      • Abstracting and Indexing
      • Bibliographic Information
      • Archive
    • International Journal of Epigenetics
      • International Journal of Epigenetics
      • Information for Authors
      • Editorial Policies
      • Editorial Board
      • Aims and Scope
      • Abstracting and Indexing
      • Bibliographic Information
      • Archive
    • Medicine International
      • Medicine International
      • Information for Authors
      • Editorial Policies
      • Editorial Board
      • Aims and Scope
      • Abstracting and Indexing
      • Bibliographic Information
      • Archive
  • Articles
  • Information
    • Information for Authors
    • Information for Reviewers
    • Information for Librarians
    • Information for Advertisers
    • Conferences
  • Language Editing
Spandidos Publications Logo
  • About
    • About Spandidos
    • Aims and Scopes
    • Abstracting and Indexing
    • Editorial Policies
    • Reprints and Permissions
    • Job Opportunities
    • Terms and Conditions
    • Contact
  • Journals
    • All Journals
    • Biomedical Reports
      • Information for Authors
      • Editorial Policies
      • Editorial Board
      • Aims and Scope
      • Abstracting and Indexing
      • Bibliographic Information
      • Archive
    • Experimental and Therapeutic Medicine
      • Information for Authors
      • Editorial Policies
      • Editorial Board
      • Aims and Scope
      • Abstracting and Indexing
      • Bibliographic Information
      • Archive
    • International Journal of Epigenetics
      • Information for Authors
      • Editorial Policies
      • Editorial Board
      • Aims and Scope
      • Abstracting and Indexing
      • Bibliographic Information
      • Archive
    • International Journal of Functional Nutrition
      • Information for Authors
      • Editorial Policies
      • Editorial Board
      • Aims and Scope
      • Abstracting and Indexing
      • Bibliographic Information
      • Archive
    • International Journal of Molecular Medicine
      • Information for Authors
      • Editorial Policies
      • Editorial Board
      • Aims and Scope
      • Abstracting and Indexing
      • Bibliographic Information
      • Archive
    • International Journal of Oncology
      • Information for Authors
      • Editorial Policies
      • Editorial Board
      • Aims and Scope
      • Abstracting and Indexing
      • Bibliographic Information
      • Archive
    • Medicine International
      • Information for Authors
      • Editorial Policies
      • Editorial Board
      • Aims and Scope
      • Abstracting and Indexing
      • Bibliographic Information
      • Archive
    • Molecular and Clinical Oncology
      • Information for Authors
      • Editorial Policies
      • Editorial Board
      • Aims and Scope
      • Abstracting and Indexing
      • Bibliographic Information
      • Archive
    • Molecular Medicine Reports
      • Information for Authors
      • Editorial Policies
      • Editorial Board
      • Aims and Scope
      • Abstracting and Indexing
      • Bibliographic Information
      • Archive
    • Oncology Letters
      • Information for Authors
      • Editorial Policies
      • Editorial Board
      • Aims and Scope
      • Abstracting and Indexing
      • Bibliographic Information
      • Archive
    • Oncology Reports
      • Information for Authors
      • Editorial Policies
      • Editorial Board
      • Aims and Scope
      • Abstracting and Indexing
      • Bibliographic Information
      • Archive
    • World Academy of Sciences Journal
      • Information for Authors
      • Editorial Policies
      • Editorial Board
      • Aims and Scope
      • Abstracting and Indexing
      • Bibliographic Information
      • Archive
  • Articles
  • Information
    • For Authors
    • For Reviewers
    • For Librarians
    • For Advertisers
    • Conferences
  • Language Editing
Login Register Submit
  • This site uses cookies
  • You can change your cookie settings at any time by following the instructions in our Cookie Policy. To find out more, you may read our Privacy Policy.

    I agree
Search articles by DOI, keyword, author or affiliation
Search
Advanced Search
presentation
Experimental and Therapeutic Medicine
Join Editorial Board Propose a Special Issue
Print ISSN: 1792-0981 Online ISSN: 1792-1015
Journal Cover
April-2024 Volume 27 Issue 4

Full Size Image

Sign up for eToc alerts
Recommend to Library

Journals

International Journal of Molecular Medicine

International Journal of Molecular Medicine

International Journal of Molecular Medicine is an international journal devoted to molecular mechanisms of human disease.

International Journal of Oncology

International Journal of Oncology

International Journal of Oncology is an international journal devoted to oncology research and cancer treatment.

Molecular Medicine Reports

Molecular Medicine Reports

Covers molecular medicine topics such as pharmacology, pathology, genetics, neuroscience, infectious diseases, molecular cardiology, and molecular surgery.

Oncology Reports

Oncology Reports

Oncology Reports is an international journal devoted to fundamental and applied research in Oncology.

Experimental and Therapeutic Medicine

Experimental and Therapeutic Medicine

Experimental and Therapeutic Medicine is an international journal devoted to laboratory and clinical medicine.

Oncology Letters

Oncology Letters

Oncology Letters is an international journal devoted to Experimental and Clinical Oncology.

Biomedical Reports

Biomedical Reports

Explores a wide range of biological and medical fields, including pharmacology, genetics, microbiology, neuroscience, and molecular cardiology.

Molecular and Clinical Oncology

Molecular and Clinical Oncology

International journal addressing all aspects of oncology research, from tumorigenesis and oncogenes to chemotherapy and metastasis.

World Academy of Sciences Journal

World Academy of Sciences Journal

Multidisciplinary open-access journal spanning biochemistry, genetics, neuroscience, environmental health, and synthetic biology.

International Journal of Functional Nutrition

International Journal of Functional Nutrition

Open-access journal combining biochemistry, pharmacology, immunology, and genetics to advance health through functional nutrition.

International Journal of Epigenetics

International Journal of Epigenetics

Publishes open-access research on using epigenetics to advance understanding and treatment of human disease.

Medicine International

Medicine International

An International Open Access Journal Devoted to General Medicine.

Journal Cover
April-2024 Volume 27 Issue 4

Full Size Image

Sign up for eToc alerts
Recommend to Library

  • Article
  • Citations
    • Cite This Article
    • Download Citation
    • Create Citation Alert
    • Remove Citation Alert
    • Cited By
  • Similar Articles
    • Related Articles (in Spandidos Publications)
    • Similar Articles (Google Scholar)
    • Similar Articles (PubMed)
  • Download PDF
  • Download XML
  • View XML
Case Report Open Access

Secondary bladder stone caused by delayed penetration of the bladder by a pubic fracture: A case report and literature review

  • Authors:
    • Xinghao Wang
    • Xiao Guo
    • Zhiling Tang
    • Xiangjun Ying
    • Chenye Tang
    • Ruilin Shen
  • View Affiliations / Copyright

    Affiliations: Jiaxing University Master Degree Cultivation Base, Zhejiang Chinese Medical University, Hangzhou, Zhejiang 310000, P.R. China, Department of Urology, The Second Hospital of Jiaxing, Jiaxing, Zhejiang 314000, P.R. China
    Copyright: © Wang et al. This is an open access article distributed under the terms of Creative Commons Attribution License [CC BY 4.0].
  • Article Number: 167
    |
    Published online on: February 27, 2024
       https://doi.org/10.3892/etm.2024.12455
  • Expand metrics +
Metrics: Total Views: 0 (Spandidos Publications: | PMC Statistics: )
Metrics: Total PDF Downloads: 0 (Spandidos Publications: | PMC Statistics: )
Cited By (CrossRef): 0 citations Loading Articles...

This article is mentioned in:



Abstract

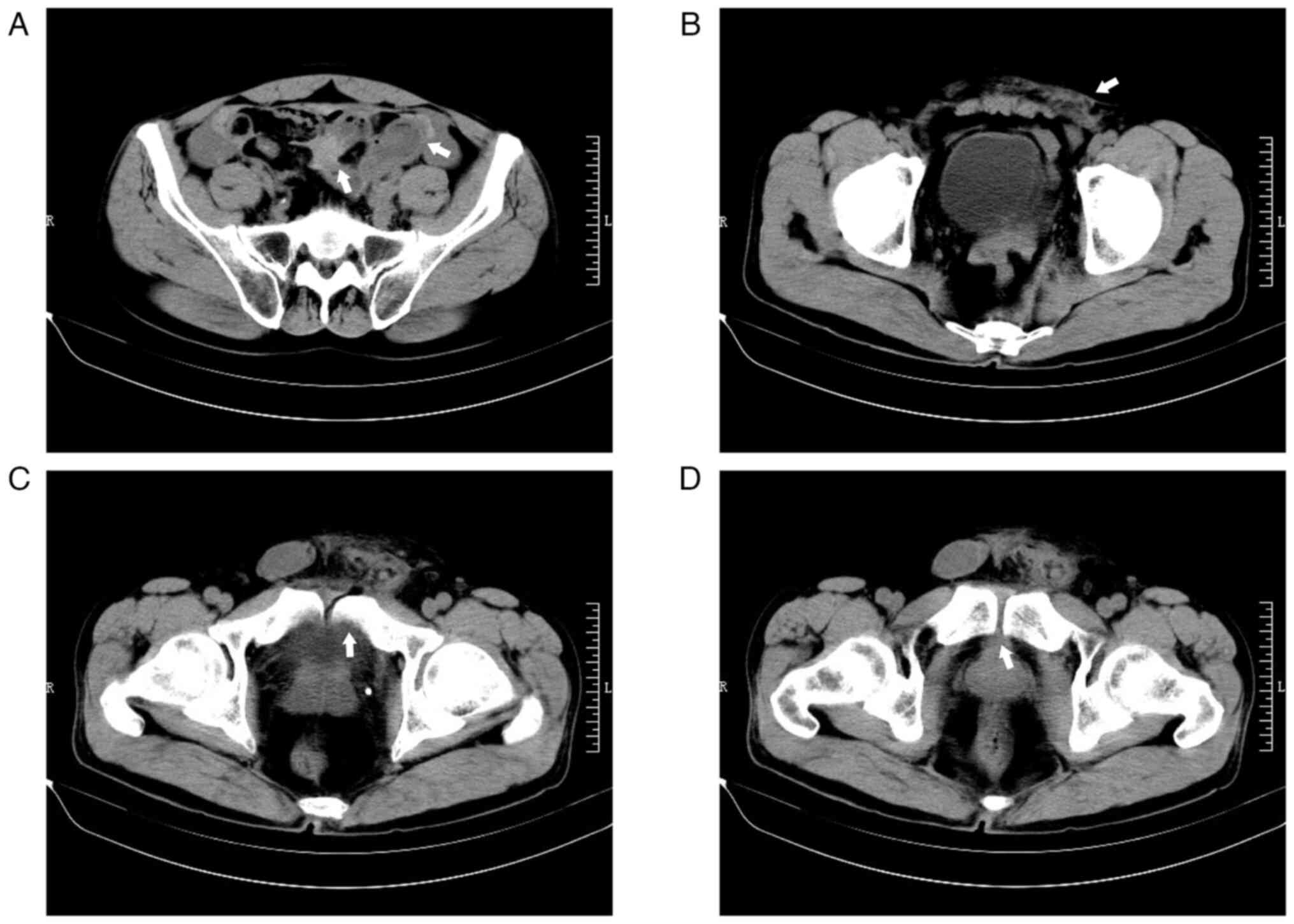
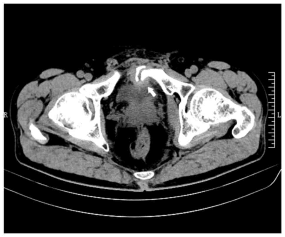
Pelvic fractures sometimes lead to injuries of the urinary bladder, which commonly present as gross hematuria, dysuria and lower abdominal pain. As a type of urinary stone, bladder stones are usually secondary to lower urinary tract obstruction, such as benign prostatic hyperplasia, urethral stricture, and neurogenic bladder. The present case report examines an unusual case of a delayed pubic fracture penetrating the bladder, which caused a secondary bladder stone. A 53-year-old man was first hospitalized at The Second Hospital of Jiaxing (Jiaxing, China) in January 2020 because of trauma-induced bleeding in the scalp and abdominal pain. The patient underwent abdominal exploration and partial bowel resection, and his condition stabilized after surgery. After discharge, the patient had regular outpatient check-ups every 2-3 weeks. However, after 3 months, in April 2020, the patient was readmitted to the hospital because of frequent urination, an urgent need for urination and dysuria. Abdominal computed tomography imaging and cystoscopy revealed a pubic fracture that had penetrated the bladder wall, accompanied by a bladder stone. Subsequently, cystolithotomy was performed, which provided significant relief of symptoms once the catheter was removed after 2 weeks. Since then, the patient has been followed up until January 2023 and had remained asymptomatic. Bladder stones caused by necrotic bone fragmentation are rare. Bladder injuries resulting from pelvic fractures can have delayed onset; therefore, clinicians should be aware of the possibility of urogenital injury in such patients. It is crucial for clinicians to comprehend the potential mechanisms involved, analyze the clinical data of patients, closely monitor their condition and implement appropriate treatment measures when necessary.
View Figures

Figure 1

Figure 2

Figure 3

Figure 4

Figure 5

View References

1 

Coccolini F, Moore EE, Kluger Y, Biffl W, Leppaniemi A, Matsumura Y, Kim F, Peitzman AB, Fraga GP, Sartelli M, et al: Kidney and Uro-trauma: WSES-AAST guidelines. World J Emerg Surg. 14(54)2019.PubMed/NCBI View Article : Google Scholar

2 

Coccolini F, Stahel PF, Montori G, Biffl W, Horer TM, Catena F, Kluger Y, Moore EE, Peitzman AB, Ivatury R, et al: Pelvic trauma: WSES classification and guidelines. World J Emerg Surg. 12(5)2017.PubMed/NCBI View Article : Google Scholar

3 

Hertz AM, Hertz NM and Johnsen NV: Identifying bladder rupture following traumatic pelvic fracture: A machine learning approach. Injury. 51:334–339. 2020.PubMed/NCBI View Article : Google Scholar

4 

Koraitim MM: Pelvic fracture urethral injuries: The unresolved controversy. J Urol. 161:1433–1441. 1999.PubMed/NCBI

5 

Morgan DE, Nallamala LK, Kenney PJ, Mayo MS and Rue LW III: CT cystography: Radiographic and clinical predictors of bladder rupture. AJR Am J Roentgenol. 174:89–95. 2000.PubMed/NCBI View Article : Google Scholar

6 

Kurniawan D and Pramod SV: Spontaneous intraperitoneal bladder rupture managed conservatively. Urol Case Rep. 45(102220)2022.PubMed/NCBI View Article : Google Scholar

7 

Ma M, Wei G, Liu C and Xu Y: An uncommon and easily overlooked case: Delayed intraperitoneal bladder rupture following blunt trauma: A case report and review of the literature. Medicine (Baltimore). 103(e37147)2024.PubMed/NCBI View Article : Google Scholar

8 

Phillips B, Holzmer S, Turco L, Mirzaie M, Mause E, Mause A, Person A, Leslie SW, Cornell DL, Wagner M, et al: Trauma to the bladder and ureter: A review of diagnosis, management, and prognosis. Eur J Trauma Emerg Surg. 43:763–773. 2017.PubMed/NCBI View Article : Google Scholar

9 

Terrier JE, Paparel P, Gadegbeku B, Ruffion A, Jenkins LC and N'Diaye A: Genitourinary injuries after traffic accidents: Analysis of a registry of 162,690 victims. J Trauma Acute Care Surg. 82:1087–1093. 2017.PubMed/NCBI View Article : Google Scholar

10 

Dobrowolski ZF, Lipczyñski W, Drewniak T, Jakubik P and Kusionowicz J: External and iatrogenic trauma of the urinary bladder: A survey in Poland. BJU Int. 89:755–756. 2002.PubMed/NCBI View Article : Google Scholar

11 

Schwartz BF and Stoller ML: The vesical calculus. Urol Clin North Am. 27:333–346. 2000.PubMed/NCBI View Article : Google Scholar

12 

Kittanamongkolchai W, Vaughan LE, Enders FT, Dhondup T, Mehta RA, Krambeck AE, McCollough CH, Vrtiska TJ, Lieske JC and Rule AD: The changing incidence and presentation of urinary stones over 3 decades. Mayo Clin Proc. 93:291–299. 2018.PubMed/NCBI View Article : Google Scholar

13 

Gaspar SS, Dias JS, Martins F and Lopes TM: Sexual urological emergencies. Sex Med Rev. 3:93–100. 2015.PubMed/NCBI View Article : Google Scholar

14 

van Ophoven A and deKernion JB: Clinical management of foreign bodies of the genitourinary tract. J Urol. 164:274–287. 2000.PubMed/NCBI View Article : Google Scholar

15 

Schmitt BH, Feder MT, Rokke DL, Moyer TP and Pritt BS: An unusual foreign body in the urinary bladder mimicking a parasitic worm. J Clin Microbiol. 50:2520–2522. 2012.PubMed/NCBI View Article : Google Scholar

16 

Cardinale M, Scheiwe C, Boubotte-Salmon F and Laitselart P: A rare Foreign Body in the bladder: A surgical dressing as a bladder stone. Med Sante Trop. 29:222–224. 2019.PubMed/NCBI View Article : Google Scholar

17 

Jamburaj A, Darlington D and Chinnathambi J: An unusual cause of vesical calculi. Cureus. 12(e6701)2020.PubMed/NCBI View Article : Google Scholar

18 

Dietrick DD, Issa MM, Kabalin JN and Bassett JB: Intravesical migration of intrauterine device. J Urol. 147:132–134. 1992.PubMed/NCBI View Article : Google Scholar

19 

Kalathia J, Undaviya D, Patel K, Valiya A and Vala G: Endourological management of migrated intravesical intrauterine contraceptive device: Neglected case with stone formation. Urol Case Rep. 46(102313)2023.PubMed/NCBI View Article : Google Scholar

20 

Stenquist DS, Chavez TJ and Weaver MJ: Entrapment of the urinary bladder: A rare mechanism of bladder injury in pelvic trauma. Trauma Case Rep. 21(100199)2019.PubMed/NCBI View Article : Google Scholar

21 

Tolkach Y, Gadjiev N, Korol V and Gonchar I: Vesico-Acetabular fistula and urolithiasis in the hip joint cavity due to persistent bladder entrapment after acetabular fracture. Korean J Urol. 52:221–224. 2011.PubMed/NCBI View Article : Google Scholar

22 

Ziran BH, Chamberlin E, Shuler FD and Shah M: Delays and difficulties in the diagnosis of lower urologic injuries in the context of pelvic fractures. J Trauma. 58:533–537. 2005.PubMed/NCBI View Article : Google Scholar

23 

Iverson AJ and Morey AF: Radiographic evaluation of suspected bladder rupture following blunt trauma: Critical review. World J Surg. 25:1588–1591. 2001.PubMed/NCBI View Article : Google Scholar

24 

Bryk DJ and Zhao LC: Guideline of guidelines: A review of urological trauma guidelines. BJU Int. 117:226–234. 2016.PubMed/NCBI View Article : Google Scholar

25 

Figler BD, Hoffler CE, Reisman W, Carney KJ, Moore T, Feliciano D and Master V: Multi-disciplinary update on pelvic fracture associated bladder and urethral injuries. Injury. 43:1242–1249. 2012.PubMed/NCBI View Article : Google Scholar

26 

Morey AF, Brandes S, Dugi DD III, Armstrong JH, Breyer BN, Broghammer JA, Erickson BA, Holzbeierlein J, Hudak SJ, Pruitt JH, et al: Urotrauma: AUA guideline. J Urol. 192:327–335. 2014.PubMed/NCBI View Article : Google Scholar

27 

Min W, Gaines RJ and Sagi HC: Delayed presentation of bladder entrapment secondary to nonoperative treatment of a lateral compression pelvic fracture. J Orthop Trauma. 24:e44–e48. 2010.PubMed/NCBI View Article : Google Scholar

28 

Sahai A, Ali A, Barratt R, Belal M, Biers S, Hamid R, Harding C, Parkinson R, Reid S and Thiruchelvam N: British Association of Urological Surgeons (BAUS) consensus document: Management of bladder and ureteric injury. BJU Int. 128:539–547. 2021.PubMed/NCBI View Article : Google Scholar

Related Articles

  • Abstract
  • View
  • Download
  • Twitter
Copy and paste a formatted citation
Spandidos Publications style
Wang X, Guo X, Tang Z, Ying X, Tang C and Shen R: Secondary bladder stone caused by delayed penetration of the bladder by a pubic fracture: A case report and literature review. Exp Ther Med 27: 167, 2024.
APA
Wang, X., Guo, X., Tang, Z., Ying, X., Tang, C., & Shen, R. (2024). Secondary bladder stone caused by delayed penetration of the bladder by a pubic fracture: A case report and literature review. Experimental and Therapeutic Medicine, 27, 167. https://doi.org/10.3892/etm.2024.12455
MLA
Wang, X., Guo, X., Tang, Z., Ying, X., Tang, C., Shen, R."Secondary bladder stone caused by delayed penetration of the bladder by a pubic fracture: A case report and literature review". Experimental and Therapeutic Medicine 27.4 (2024): 167.
Chicago
Wang, X., Guo, X., Tang, Z., Ying, X., Tang, C., Shen, R."Secondary bladder stone caused by delayed penetration of the bladder by a pubic fracture: A case report and literature review". Experimental and Therapeutic Medicine 27, no. 4 (2024): 167. https://doi.org/10.3892/etm.2024.12455
Copy and paste a formatted citation
x
Spandidos Publications style
Wang X, Guo X, Tang Z, Ying X, Tang C and Shen R: Secondary bladder stone caused by delayed penetration of the bladder by a pubic fracture: A case report and literature review. Exp Ther Med 27: 167, 2024.
APA
Wang, X., Guo, X., Tang, Z., Ying, X., Tang, C., & Shen, R. (2024). Secondary bladder stone caused by delayed penetration of the bladder by a pubic fracture: A case report and literature review. Experimental and Therapeutic Medicine, 27, 167. https://doi.org/10.3892/etm.2024.12455
MLA
Wang, X., Guo, X., Tang, Z., Ying, X., Tang, C., Shen, R."Secondary bladder stone caused by delayed penetration of the bladder by a pubic fracture: A case report and literature review". Experimental and Therapeutic Medicine 27.4 (2024): 167.
Chicago
Wang, X., Guo, X., Tang, Z., Ying, X., Tang, C., Shen, R."Secondary bladder stone caused by delayed penetration of the bladder by a pubic fracture: A case report and literature review". Experimental and Therapeutic Medicine 27, no. 4 (2024): 167. https://doi.org/10.3892/etm.2024.12455
Follow us
  • Twitter
  • LinkedIn
  • Facebook
About
  • Spandidos Publications
  • Careers
  • Cookie Policy
  • Privacy Policy
How can we help?
  • Help
  • Live Chat
  • Contact
  • Email to our Support Team