Spandidos Publications Logo
  • About
    • About Spandidos
    • Aims and Scopes
    • Abstracting and Indexing
    • Editorial Policies
    • Reprints and Permissions
    • Job Opportunities
    • Terms and Conditions
    • Contact
  • Journals
    • All Journals
    • Oncology Letters
      • Oncology Letters
      • Information for Authors
      • Editorial Policies
      • Editorial Board
      • Aims and Scope
      • Abstracting and Indexing
      • Bibliographic Information
      • Archive
    • International Journal of Oncology
      • International Journal of Oncology
      • Information for Authors
      • Editorial Policies
      • Editorial Board
      • Aims and Scope
      • Abstracting and Indexing
      • Bibliographic Information
      • Archive
    • Molecular and Clinical Oncology
      • Molecular and Clinical Oncology
      • Information for Authors
      • Editorial Policies
      • Editorial Board
      • Aims and Scope
      • Abstracting and Indexing
      • Bibliographic Information
      • Archive
    • Experimental and Therapeutic Medicine
      • Experimental and Therapeutic Medicine
      • Information for Authors
      • Editorial Policies
      • Editorial Board
      • Aims and Scope
      • Abstracting and Indexing
      • Bibliographic Information
      • Archive
    • International Journal of Molecular Medicine
      • International Journal of Molecular Medicine
      • Information for Authors
      • Editorial Policies
      • Editorial Board
      • Aims and Scope
      • Abstracting and Indexing
      • Bibliographic Information
      • Archive
    • Biomedical Reports
      • Biomedical Reports
      • Information for Authors
      • Editorial Policies
      • Editorial Board
      • Aims and Scope
      • Abstracting and Indexing
      • Bibliographic Information
      • Archive
    • Oncology Reports
      • Oncology Reports
      • Information for Authors
      • Editorial Policies
      • Editorial Board
      • Aims and Scope
      • Abstracting and Indexing
      • Bibliographic Information
      • Archive
    • Molecular Medicine Reports
      • Molecular Medicine Reports
      • Information for Authors
      • Editorial Policies
      • Editorial Board
      • Aims and Scope
      • Abstracting and Indexing
      • Bibliographic Information
      • Archive
    • World Academy of Sciences Journal
      • World Academy of Sciences Journal
      • Information for Authors
      • Editorial Policies
      • Editorial Board
      • Aims and Scope
      • Abstracting and Indexing
      • Bibliographic Information
      • Archive
    • International Journal of Functional Nutrition
      • International Journal of Functional Nutrition
      • Information for Authors
      • Editorial Policies
      • Editorial Board
      • Aims and Scope
      • Abstracting and Indexing
      • Bibliographic Information
      • Archive
    • International Journal of Epigenetics
      • International Journal of Epigenetics
      • Information for Authors
      • Editorial Policies
      • Editorial Board
      • Aims and Scope
      • Abstracting and Indexing
      • Bibliographic Information
      • Archive
    • Medicine International
      • Medicine International
      • Information for Authors
      • Editorial Policies
      • Editorial Board
      • Aims and Scope
      • Abstracting and Indexing
      • Bibliographic Information
      • Archive
  • Articles
  • Information
    • Information for Authors
    • Information for Reviewers
    • Information for Librarians
    • Information for Advertisers
    • Conferences
  • Language Editing
Spandidos Publications Logo
  • About
    • About Spandidos
    • Aims and Scopes
    • Abstracting and Indexing
    • Editorial Policies
    • Reprints and Permissions
    • Job Opportunities
    • Terms and Conditions
    • Contact
  • Journals
    • All Journals
    • Biomedical Reports
      • Information for Authors
      • Editorial Policies
      • Editorial Board
      • Aims and Scope
      • Abstracting and Indexing
      • Bibliographic Information
      • Archive
    • Experimental and Therapeutic Medicine
      • Information for Authors
      • Editorial Policies
      • Editorial Board
      • Aims and Scope
      • Abstracting and Indexing
      • Bibliographic Information
      • Archive
    • International Journal of Epigenetics
      • Information for Authors
      • Editorial Policies
      • Editorial Board
      • Aims and Scope
      • Abstracting and Indexing
      • Bibliographic Information
      • Archive
    • International Journal of Functional Nutrition
      • Information for Authors
      • Editorial Policies
      • Editorial Board
      • Aims and Scope
      • Abstracting and Indexing
      • Bibliographic Information
      • Archive
    • International Journal of Molecular Medicine
      • Information for Authors
      • Editorial Policies
      • Editorial Board
      • Aims and Scope
      • Abstracting and Indexing
      • Bibliographic Information
      • Archive
    • International Journal of Oncology
      • Information for Authors
      • Editorial Policies
      • Editorial Board
      • Aims and Scope
      • Abstracting and Indexing
      • Bibliographic Information
      • Archive
    • Medicine International
      • Information for Authors
      • Editorial Policies
      • Editorial Board
      • Aims and Scope
      • Abstracting and Indexing
      • Bibliographic Information
      • Archive
    • Molecular and Clinical Oncology
      • Information for Authors
      • Editorial Policies
      • Editorial Board
      • Aims and Scope
      • Abstracting and Indexing
      • Bibliographic Information
      • Archive
    • Molecular Medicine Reports
      • Information for Authors
      • Editorial Policies
      • Editorial Board
      • Aims and Scope
      • Abstracting and Indexing
      • Bibliographic Information
      • Archive
    • Oncology Letters
      • Information for Authors
      • Editorial Policies
      • Editorial Board
      • Aims and Scope
      • Abstracting and Indexing
      • Bibliographic Information
      • Archive
    • Oncology Reports
      • Information for Authors
      • Editorial Policies
      • Editorial Board
      • Aims and Scope
      • Abstracting and Indexing
      • Bibliographic Information
      • Archive
    • World Academy of Sciences Journal
      • Information for Authors
      • Editorial Policies
      • Editorial Board
      • Aims and Scope
      • Abstracting and Indexing
      • Bibliographic Information
      • Archive
  • Articles
  • Information
    • For Authors
    • For Reviewers
    • For Librarians
    • For Advertisers
    • Conferences
  • Language Editing
Login Register Submit
  • This site uses cookies
  • You can change your cookie settings at any time by following the instructions in our Cookie Policy. To find out more, you may read our Privacy Policy.

    I agree
Search articles by DOI, keyword, author or affiliation
Search
Advanced Search
presentation
Experimental and Therapeutic Medicine
Join Editorial Board Propose a Special Issue
Print ISSN: 1792-0981 Online ISSN: 1792-1015
Journal Cover
May-2024 Volume 27 Issue 5

Full Size Image

Sign up for eToc alerts
Recommend to Library

Journals

International Journal of Molecular Medicine

International Journal of Molecular Medicine

International Journal of Molecular Medicine is an international journal devoted to molecular mechanisms of human disease.

International Journal of Oncology

International Journal of Oncology

International Journal of Oncology is an international journal devoted to oncology research and cancer treatment.

Molecular Medicine Reports

Molecular Medicine Reports

Covers molecular medicine topics such as pharmacology, pathology, genetics, neuroscience, infectious diseases, molecular cardiology, and molecular surgery.

Oncology Reports

Oncology Reports

Oncology Reports is an international journal devoted to fundamental and applied research in Oncology.

Experimental and Therapeutic Medicine

Experimental and Therapeutic Medicine

Experimental and Therapeutic Medicine is an international journal devoted to laboratory and clinical medicine.

Oncology Letters

Oncology Letters

Oncology Letters is an international journal devoted to Experimental and Clinical Oncology.

Biomedical Reports

Biomedical Reports

Explores a wide range of biological and medical fields, including pharmacology, genetics, microbiology, neuroscience, and molecular cardiology.

Molecular and Clinical Oncology

Molecular and Clinical Oncology

International journal addressing all aspects of oncology research, from tumorigenesis and oncogenes to chemotherapy and metastasis.

World Academy of Sciences Journal

World Academy of Sciences Journal

Multidisciplinary open-access journal spanning biochemistry, genetics, neuroscience, environmental health, and synthetic biology.

International Journal of Functional Nutrition

International Journal of Functional Nutrition

Open-access journal combining biochemistry, pharmacology, immunology, and genetics to advance health through functional nutrition.

International Journal of Epigenetics

International Journal of Epigenetics

Publishes open-access research on using epigenetics to advance understanding and treatment of human disease.

Medicine International

Medicine International

An International Open Access Journal Devoted to General Medicine.

Journal Cover
May-2024 Volume 27 Issue 5

Full Size Image

Sign up for eToc alerts
Recommend to Library

  • Article
  • Citations
    • Cite This Article
    • Download Citation
    • Create Citation Alert
    • Remove Citation Alert
    • Cited By
  • Similar Articles
    • Related Articles (in Spandidos Publications)
    • Similar Articles (Google Scholar)
    • Similar Articles (PubMed)
  • Download PDF
  • Download XML
  • View XML
Case Report Open Access

Control of pleural effusion with prednisolone in a patient with yellow nail syndrome: A case report

  • Authors:
    • Manato Taguchi
    • Hironori Masuko
    • Kai Kawashima
    • Tetsuya Yamagishi
    • Yuka Kitaoka
    • Rie Shigemasa
    • Kazufumi Yoshida
    • Chikako Tsurushige
    • Hiroaki Satoh
    • Nobuyuki Hizawa
  • View Affiliations / Copyright

    Affiliations: Department of Pulmonary Medicine, Institute of Medicine, University of Tsukuba, Tsukuba, Ibaraki 305‑8576, Japan, Department of Respiratory Medicine, Moriya Daiichi General Hospital, Moriya, Ibaraki 302‑0102, Japan, Division of Respiratory Medicine, Mito Medical Center, University of Tsukuba‑Mito Kyodo General Hospital, Mito, Ibaraki 310‑0015, Japan
    Copyright: © Taguchi et al. This is an open access article distributed under the terms of Creative Commons Attribution License.
  • Article Number: 224
    |
    Published online on: March 22, 2024
       https://doi.org/10.3892/etm.2024.12512
  • Expand metrics +
Metrics: Total Views: 0 (Spandidos Publications: | PMC Statistics: )
Metrics: Total PDF Downloads: 0 (Spandidos Publications: | PMC Statistics: )
Cited By (CrossRef): 0 citations Loading Articles...

This article is mentioned in:



Abstract

Yellow nail syndrome (YNS) can induce bilateral exudative pleural effusion; however, to the best of our knowledge, no standard treatment for YNS has been established. The present study describes a patient with YNS for whom the pleural effusion was controlled by prednisolone. A 73‑year‑old man was referred to the University of Tsukuba Hospital (Ibaraki, Japan) complaining of shortness of breath, which was diagnosed as being due to bilateral pleural effusion. Based on the presence of yellowing and growth retardation of the toenails, lymphedema, bilateral exudative pleural fluid of unknown etiology, and lymphatic congestion on lymphoscintigraphy, the patient was diagnosed with YNS. The pleural fluid was predominantly lymphocytic and responded to systemic steroid administration [prednisolone 30 mg/day (0.5 mg/kg) for 2 weeks, with subsequent weekly tapering]. The general condition of the patient and their dyspnea also improved with treatment. These findings indicated that systemic steroid administration should be considered as one of the treatment options for patients with YNS who are reluctant to undergo chest drainage or pleurodesis due to the potential for a decrease in their ability to perform daily activities and respiratory function.

Introduction

Yellow nail syndrome (YNS) is a relatively rare syndrome consisting of a triad of yellow, slow-growing nails; lymphedema; and respiratory lesions (1). More than half of the patients with this syndrome have exudative pleural effusion, which may be attributed to lymphedema (2). At present, the etiology of this syndrome is unclear and no fundamental treatment has been established (1,3). Reportedly, control of the pleural effusion associated with YNS can be achieved with repeated thoracentesis, as well as pleurodesis (2,4,5). However, to the best of our knowledge, no standard therapy for pleural effusion has yet been established. Analysis of the pleural fluid in this syndrome has shown a high proportion of lymphocytes, suggesting that some lymphocytic abnormality may be involved in the development of pleural effusion (6-9). As previously shown, corticosteroids can be administered to reduce inflammation and suppress excessive immune responses in various lymphatic diseases, including lymphedema, lymphangitis and lymphoma (10).

The present study describes the case of a patient with YNS presenting with bilateral pleural effusion, whose disease was controlled with systemic corticosteroid administration. It is considered that this will provide useful information on the future treatment of patients with a similar course.

Case report

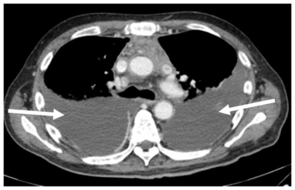
A 73-year-old man (height, 167.8 cm; weight, 64.8 kg) was referred to the University of Tsukuba Hospital (Ibaraki, Japan) in July 2017 with complaints of a cough and shortness of breath. The patient had noticed thickening, yellowing and poor growth of their nails ~5 years earlier, and subsequently became aware of a cough and dyspnea, which gradually worsened, for which the patient visited a nearby clinic. The patient had smoked 10 cigarettes/day for 60 years, but had no history of drinking alcohol. Chest radiography taken at a previous hospital indicated the presence of bilateral pleural effusion. Hence, the patient was admitted to the University of Tsukuba Hospital for further evaluation. Physical examination at admission revealed the following: Blood pressure, 140/63 mmHg (normal range, 90/60-120/60 mmHg); pulse rate, 117 beats/min (normal range, 60-100 beats/min); body temperature, 37.1˚C (normal range, 36.1-37.2˚C); respiratory rate, 24 breaths/min (normal range, 12-18 breaths/min); and blood oxygen level, 92% (normal range, 95-100%) while breathing 3 l/min oxygen via a nasal cannula. Breath sounds were attenuated in both lower lungs. The fingernails and toenails of the patient were yellow and thickened (Fig. 1). Non-pitting edema was observed in both lower extremities, with no palpable lymph nodes in the neck, axilla or groin. Hematological evaluation revealed the following: White blood count (WBC) count, 8,700/µl (normal range, 3,700-9,400/µl) [neutrophils (Neu) 77%, lymphocytes (Lym) 12% and eosinophils (Eos) 2%]; hemoglobin, 17.9 g/dl (normal range, 14-18 g/dl); total proteins, 6.4 g/dl (normal range, 6.8-8.3 g/dl); albumin, 2.9 g/dl (normal range, 3.8-5.3 g/dl); aspartate aminotransferase, 21 U/l (normal range, 13-33 U/l); alanine transaminase, 10 U/l (normal range, 8-42 U/l); lactate dehydrogenase (LDH), 289 U/l (normal range, 101-193 U/l); blood urea nitrogen, 8.9 mg/dl (normal range, 8-20 mg/dl); creatinine, 0.87 mg/dl (normal range, 0.6-1.1 mg/dl); C-reactive protein, 1.87 mg/dl (normal range, <0.2 mg/dl); thyroid-stimulating hormone, 1.48 µIU/ml (normal range, 0.45-4.5 µIU/ml); triiodothyronine, 1.9 pg/ml (normal range, 1.7-4.0 pg/ml); and thyroxine, 1.2 mg/dl (normal range, 0.7-1.5 mg/dl). Rheumatoid factor and anti-nuclear antibodies were both negative, but soluble interleukin-2 receptor (sIL-2R) was elevated (845 U/ml; normal range, 122-496 U/ml). Analysis of pleural fluid showed the following: Protein, 3.9 g/dl; LDH, 120 U/l; WBC, 3,000/µl (Neu 17%, Lym 83% and Eos 2%); adenosine deaminase level, 12.9 U/l. According to Light's criteria, the pleural effusion was diagnosed as exudative. Evaluation for Mycobacterium tuberculosis was negative on smear, PCR (COBAS TaqMan 48; Roche Diagnostics) and culture tests. The PCR was performed according to the manufacturer's protocol and the sequences of the primers were not disclosed. Cytological examination of the pleural fluid showed no atypical cells. Chest computed tomography (CT) showed bilateral pleural effusion, diffuse pleural thickening and mediastinal lymphadenopathy (Fig. 2). Lymphatic scintigraphy confirmed congestion of lymphatic perfusion (Fig. 3).

Figure 1

Image captured at the time of admission showing yellowish toe nails.

Figure 2

Chest computed tomography on admission showing bilateral pleural effusion (arrow).

Figure 3

Lower limb lymphoscintigraphy images showing delay in drainage. (A) 30, (B) 60 and (C) 120 min following 99mTc-HAS-D injection.

To investigate the cause of the pleural effusion, bilateral thoracentesis was performed several times. In addition, CT-guided anterior mediastinal biopsy and thoracoscopic left pleural biopsy were performed for histological examination. However, all tests only showed infiltration of lymphocytes with poor atypia and no definitive diagnosis was made. Since the tuberculosis-specific enzyme-linked immunospot assay (T-SPOT.TB; LSI Medience Corporation; performed according to the manufacturer's protocol) was positive in this case, tuberculous pleurisy could not be ruled out and it was decided that anti-tuberculosis treatment was appropriate. However, despite attempts at anti-tuberculosis drug therapy, consisting of isoniazid (300 mg/day), rifampicin (600 mg/day), ethambutol (750 mg/day) and pyrazinamide (1,500 mg/day) for 6 weeks, along with antibiotics (0.5 g doripenem every 8 h for 2 weeks, followed by 4.5 g tazobactam/piperacillin every 8 h for 2 weeks), the pleural effusion showed an increasing tendency and the general condition worsened due to inadequate dietary intake caused as a side effect of anti-tuberculosis treatment. Finally, after blood tests and physical examination confirmed that the patient did not have autoimmune diseases, which can cause bilateral pleural effusions, and was not using drugs such as bucillamine, which can cause secondary YNS, and based on the aforementioned results and yellowing and growth retardation of the toenails, the patient was diagnosed with YNS. Since the general condition of the patient had worsened, pleurodesis for bilateral pleural effusion was considered to be dangerous due to the possibility of severe deterioration in respiratory function and further deterioration in their ability to perform daily activities. Hence, based on the high serum sIL-2R level and lymphocyte-dominant exudative pleural fluid, 30 mg/day prednisolone was initiated on the assumption that lymphatic congestion and lymphocyte activation were involved in the pathology. After continuing the initial prednisolone dose for 2 weeks, it was gradually tapered in 5 mg/day decrements every week for 3 weeks, to a dose of 15 mg/day. With this treatment, the bilateral pleural effusion, which had increased before starting prednisolone, showed a consistent decrease (Fig. 4), with an improvement in general condition and respiratory symptoms. The patient was subsequently transferred to Moriya Daiichi General Hospital (Ibaraki, Japan) for rehabilitation. The dose of prednisolone was finally reduced to 7.5 mg/day with good control of the disease with this dose. The patient has developed no apparent adverse effects, as far as have been observed until August 2023.

Figure 4

Chest radiographs (A) before starting anti-tuberculosis drugs, (B) before starting prednisolone and at (C) 3, (D) 4 and (E) 6 weeks after starting prednisolone.

Discussion

YNS is a relatively rare syndrome proposed by Samman and White in 1964(1). Administration of vitamin E and topical steroid injections have been reported to be effective for the treatment of yellowing nails (2). Although azole antifungal drugs (11), clarithromycin (12) and octreotide (13) have been reported to be potentially effective and safe systemic treatments, none of them are established treatments. YNS is a disease diagnosed by yellow nails with lymphedema and/or chronic respiratory findings, with no specific findings on hematologic examination. The present case exhibited mild hypoalbuminemia, but this is not necessarily a specific finding. Maldonado et al (14) reported that 97% of patients with YNS have normal albumin levels. In addition, bilateral pleural effusion has been observed in 68.3% of patients with YNS, with most being exudative pleural fluid with a predominant lymphocyte fraction (2). Although its exact etiology is unknown, lymphatic congestion is presumed to be the cause of the pleural effusion (2), and the lymphoscintigraphy performed in the present study showed delayed drainage of contrast media. However, similar findings are also seen in other diseases, such as lymphangiogenic dysplasia, impaired lymphatic transport and lymphatic disorders in congenital heart diseases (15).

Elevated serum sIL-2R levels are well known to be present in patients with malignant lymphoma and this test is used for the auxiliary diagnosis of malignant lymphoma (16). The mechanism by which the serum level of sIL-2R increases is supposedly derived from the extracellular release of sIL-2R and release of the α-chain of its soluble component when antigen-activated T cells express IL-2(17). Therefore, an increase in serum sIL-2R is not specific for malignant lymphoma and it has been suggested to reflect activation of the immune defense mechanism in diseases involving T-cell activation (17). Elevated serum sIL-2R levels in association with T-cell activation have been reported in diseases such as sarcoidosis, rheumatoid arthritis, systemic lupus erythematosus and tuberculosis (6-8,18,19). In order to investigate the state of T-cell activation in the present patient, the serum sIL-2R levels were evaluated and their elevation was confirmed. To the best of our knowledge, there is only one previous report that investigated serum sIL-2R levels in a patient with YNS. Watanabe et al (9) detected elevated serum sIL-2R measurements (877 IU/ml) in a patient with YNS and pleural effusion. This previous study suggested that the mechanism of pleural fluid retention in YNS may involve activation of pleural fluid and blood lymphocytes, in addition to congestion of lymphatic perfusion. The serum sIL-2R level in the present patient was 845 U/ml. Considering the results of the previous study (9) and the course of the present patient, an increase in serum sIL-2R may be noteworthy from the viewpoint of the involvement of T cells and activation of the immune defense mechanism, although its disease specificity is low. In future, further research on the correlation between elevated serum sIL-2R and the etiology of YNS may be useful.

No standard therapy has been established for the treatment of pleural effusion associated with YNS. Although thoracentesis and pleurodesis have been performed (2,4,5,20,21), they are not curative and are known to have a number of possible complications. In particular, since there are patients who develop serious complications with pleurodesis (22), it is necessary to carefully consider the indications for this procedure. In the present case, it was decided that corticosteroids would be administered to the patient due to their poor physical condition and the possibility that pleurodesis would result in restrictive ventilatory impairment that would make discharge difficult. To the best of our knowledge, there is only one previous report of administration of corticosteroids to control bilateral pleural effusion in a patient with YNS, lymphatic congestion and activation of immune defense mechanisms (23). That patient had bucillamine-induced YNS (23). Since there was no improvement despite discontinuation of bucillamine administration, based on the histopathological findings showing a similarity to rheumatoid pleurisy, the patient was administered corticosteroid treatment, resulting in improvement in both pleurisy and lymphedema (23). The present patient was first treated with anti-tuberculosis drugs, but they were ineffective and were discontinued due to side effects. Thereafter, prednisolone was administered to the patient with caution, based on the evidence of bilateral lymphocyte-predominant exudative pleural effusion, pleural biopsy showing lymphocytic infiltration with poor atypia and high serum levels of sIL-2R. Taking these factors into consideration, it was concluded that the expected efficacy of steroid therapy well outweighed the risk of side effects. In the present patient, the bilateral pleural effusion decreased with corticosteroid therapy. It was thus hypothesized that steroid administration might have improved lymphatic congestion and suppressed lymphocyte activation.

There are several limitations to the present report. First, a single case study is not sufficient to establish the efficacy and safety of prednisolone as a treatment for the pleural pathology of YNS, since it is not representative of the entire population of patients with YNS and may not consider other factors that could affect the outcome. Second, it is possible that during longer term follow-up, patients may develop adverse effects due to systemic steroid administration. For these reasons, further studies are needed to validate the efficacy of prednisolone as a treatment option for YNS.

It is clear that corticosteroids are not a treatment that should be selected lightly, considering the risk of exacerbation of infectious diseases caused by a number of pathogens due to the resultant immunosuppression. Therefore, if appropriate evaluation of the differential diagnosis is performed, and relief of lymphatic congestion and inhibition of activation of immune defense mechanisms are considered beneficial for the patient, steroids might be an option for the treatment of pleural fluid associated with YNS. The present study might provide useful information for physicians who encounter similar patients such us that described in the present case report.

Acknowledgements

Not applicable.

Funding

Funding: No funding was received.

Availability of data and materials

The data generated in the present study may be requested from the corresponding author.

Author's contributions

NH was responsible for treatment, scans and blood testing. MT, HM, KK, TY, YK, RS, KY, CT, HS and NH contributed to the planning, acquisition of data and drafting the manuscript. MT and HM confirm the authenticity of all the raw data. All authors read and approved the final manuscript.

Ethics approval and consent to participate

Not applicable.

Patient consent for publication

Written informed consent was obtained from the patient for publication of this case report and all accompanying images.

Competing interests

The authors declare that they have no competing interests.

References

1 

Samman PD and White WF: The ‘Yellow Nail’ Syndrome. Br J Dermatol. 76:153–157. 1964.PubMed/NCBI View Article : Google Scholar

2 

Valdés L, Huggins JT, Gude F, Ferreiro L, Alvarez-Dobaño JM, Golpe A, Toubes ME, González-Barcala FJ, José ES and Sahn SA: Characteristics of patients with yellow nail syndrome and pleural effusion. Respirology. 19:985–992. 2014.PubMed/NCBI View Article : Google Scholar

3 

Vignes S and Baran R: Yellow nail syndrome: A review. Orphanet J Rare Dis. 12(42)2017.PubMed/NCBI View Article : Google Scholar

4 

Hillerdal G: Yellow nail syndrome: Treatment with octreotide. Clin Respir J. 1:120–121. 2007.PubMed/NCBI View Article : Google Scholar

5 

Glazer M, Berkman N, Lafair JS and Kramer MR: Successful talc slurry pleurodesis in patients with nonmalignant pleural effusion. Chest. 117:1404–1409. 2000.PubMed/NCBI View Article : Google Scholar

6 

Symons JA, Wood NC, Di Giovine FS and Duff GW: Soluble IL-2 receptor in rheumatoid arthritis. Correlation with disease activity, IL-1 and IL-2 inhibition. J Immunol. 141:2612–2618. 1988.PubMed/NCBI

7 

Takahashi S, Setoguchi Y, Nukiwa T and Kira S: Soluble interleukin-2 receptor in sera of patients with pulmonary tuberculosis. Chest. 99:310–314. 1991.PubMed/NCBI View Article : Google Scholar

8 

Dik WA and Heron M: Clinical significance of soluble interleukin-2 receptor measurement in immune-mediated diseases. Neth J Med. 78:220–231. 2020.PubMed/NCBI

9 

Watanabe E, Mochiduki Y, Nakahara Y, Kawamura T and Sasaki S: A case of yellow nail syndrome with bilateral pleural effusion. Nihon Kokyuki Gakkai Zasshi. 48:458–462. 2010.PubMed/NCBI(In Japanese).

10 

Hokari R and Tomioka A: The role of lymphatics in intestinal inflammation. Inflamm Regen. 41(25)2021.PubMed/NCBI View Article : Google Scholar

11 

Baran R and Thomas L: Combination of fluconazole and alpha-tocopherol in the treatment of yellow nail syndrome. J Drugs Dermatol. 8:276–278. 2009.PubMed/NCBI

12 

Suzuki M, Yoshizawa A, Sugiyama H, Ichimura Y, Morita A, Takasaki J, Naka G, Hirano S, Izumi S, Takeda Y, et al: A case of yellow nail syndrome with dramatically improved nail discoloration by oral clarithromycin. Case Rep Dermatol. 3:251–258. 2011.PubMed/NCBI View Article : Google Scholar

13 

Lotfollahi L, Abedini A, Alavi Darazam I, Kiani A and Fadaii A: Yellow Nail Syndrome: Report of a case successfully treated with octreotide. Tanaffos. 14:67–71. 2015.PubMed/NCBI

14 

Maldonado F, Tazelaar HD, Wang CW and Ryu JH: Yellow nail syndrome: Analysis of 41 consecutive patients. Chest. 134:375–381. 2008.PubMed/NCBI View Article : Google Scholar

15 

Gaber Y: Diseases of Lymphatics. In: Braun-Falco´s Dermatology. Plewig G, French L, Ruzicka T, Kaufmann R, Hertl M (eds). Springer, Berlin, Heidelberg, 2020.

16 

Chrobák L: Clinical significance of soluble interleukin-2 receptor. Acta Medica (Hradec Kralove). 39:3–6. 1996.PubMed/NCBI

17 

Caruso C, Candore G, Cigna D, Colucci AT and Modica MA: Biological significance of soluble IL-2 receptor. Mediators Inflamm. 2:3–21. 1993.PubMed/NCBI View Article : Google Scholar

18 

Ina Y, Takada K, Sato T, Yamamoto M, Noda M and Morishita M: Soluble interleukin 2 receptors in patients with sarcoidosis. Possible origin. Chest. 102:1128–1133. 1992.PubMed/NCBI View Article : Google Scholar

19 

Rubin LA and Nelson DL: The soluble interleukin-2 receptor: Biology, function and clinical application. Ann Intern Med. 113:619–627. 1990.PubMed/NCBI View Article : Google Scholar

20 

Yamagishi T, Hatanaka N, Kamemura H, Nakazawa I, Hirano Y, Kodaka N, Miura A, Kitahara A, Sawata T, Hosaka K and Sanno K: Idiopathic yellow nail syndrome successfully treated with OK-432. Internal Med. 46:1127–1130. 2007.PubMed/NCBI View Article : Google Scholar

21 

Katsura H, Nakagawa K, Iwasaki T, Tamura M and Nakane S: Thoracoscopic assisted pleuro-peritoneal shunt placement procedure for patient having refractory pleural effusion: A case report of ‘yellow-nail syndrome’. Jpn J Chest Surg. 21:565–570. 2007.(in Japanese).

22 

Mohs Z, DeVillers M, Ziegler S, Basson MD and Newman W: Management of malignant pleural effusions in U.S. Veterans: A retrospective review. Ann Thorac Cardiovasc Surg. 28:420–428. 2022.PubMed/NCBI View Article : Google Scholar

23 

Hase I, Kurasawa K, Takizawa H, Yamaguchi B, Sakuma H and Ishii Y: Hyperplasia of Lymphoid follicles and lymphangiectasia in the parietal pleura in bucillamine-induced yellow nail syndrome. Intern Med. 57:1887–1892. 2018.PubMed/NCBI View Article : Google Scholar

Related Articles

  • Abstract
  • View
  • Download
  • Twitter
Copy and paste a formatted citation
Spandidos Publications style
Taguchi M, Masuko H, Kawashima K, Yamagishi T, Kitaoka Y, Shigemasa R, Yoshida K, Tsurushige C, Satoh H, Hizawa N, Hizawa N, et al: Control of pleural effusion with prednisolone in a patient with yellow nail syndrome: A case report. Exp Ther Med 27: 224, 2024.
APA
Taguchi, M., Masuko, H., Kawashima, K., Yamagishi, T., Kitaoka, Y., Shigemasa, R. ... Hizawa, N. (2024). Control of pleural effusion with prednisolone in a patient with yellow nail syndrome: A case report. Experimental and Therapeutic Medicine, 27, 224. https://doi.org/10.3892/etm.2024.12512
MLA
Taguchi, M., Masuko, H., Kawashima, K., Yamagishi, T., Kitaoka, Y., Shigemasa, R., Yoshida, K., Tsurushige, C., Satoh, H., Hizawa, N."Control of pleural effusion with prednisolone in a patient with yellow nail syndrome: A case report". Experimental and Therapeutic Medicine 27.5 (2024): 224.
Chicago
Taguchi, M., Masuko, H., Kawashima, K., Yamagishi, T., Kitaoka, Y., Shigemasa, R., Yoshida, K., Tsurushige, C., Satoh, H., Hizawa, N."Control of pleural effusion with prednisolone in a patient with yellow nail syndrome: A case report". Experimental and Therapeutic Medicine 27, no. 5 (2024): 224. https://doi.org/10.3892/etm.2024.12512
Copy and paste a formatted citation
x
Spandidos Publications style
Taguchi M, Masuko H, Kawashima K, Yamagishi T, Kitaoka Y, Shigemasa R, Yoshida K, Tsurushige C, Satoh H, Hizawa N, Hizawa N, et al: Control of pleural effusion with prednisolone in a patient with yellow nail syndrome: A case report. Exp Ther Med 27: 224, 2024.
APA
Taguchi, M., Masuko, H., Kawashima, K., Yamagishi, T., Kitaoka, Y., Shigemasa, R. ... Hizawa, N. (2024). Control of pleural effusion with prednisolone in a patient with yellow nail syndrome: A case report. Experimental and Therapeutic Medicine, 27, 224. https://doi.org/10.3892/etm.2024.12512
MLA
Taguchi, M., Masuko, H., Kawashima, K., Yamagishi, T., Kitaoka, Y., Shigemasa, R., Yoshida, K., Tsurushige, C., Satoh, H., Hizawa, N."Control of pleural effusion with prednisolone in a patient with yellow nail syndrome: A case report". Experimental and Therapeutic Medicine 27.5 (2024): 224.
Chicago
Taguchi, M., Masuko, H., Kawashima, K., Yamagishi, T., Kitaoka, Y., Shigemasa, R., Yoshida, K., Tsurushige, C., Satoh, H., Hizawa, N."Control of pleural effusion with prednisolone in a patient with yellow nail syndrome: A case report". Experimental and Therapeutic Medicine 27, no. 5 (2024): 224. https://doi.org/10.3892/etm.2024.12512
Follow us
  • Twitter
  • LinkedIn
  • Facebook
About
  • Spandidos Publications
  • Careers
  • Cookie Policy
  • Privacy Policy
How can we help?
  • Help
  • Live Chat
  • Contact
  • Email to our Support Team