Spandidos Publications Logo
  • About
    • About Spandidos
    • Aims and Scopes
    • Abstracting and Indexing
    • Editorial Policies
    • Reprints and Permissions
    • Job Opportunities
    • Terms and Conditions
    • Contact
  • Journals
    • All Journals
    • Oncology Letters
      • Oncology Letters
      • Information for Authors
      • Editorial Policies
      • Editorial Board
      • Aims and Scope
      • Abstracting and Indexing
      • Bibliographic Information
      • Archive
    • International Journal of Oncology
      • International Journal of Oncology
      • Information for Authors
      • Editorial Policies
      • Editorial Board
      • Aims and Scope
      • Abstracting and Indexing
      • Bibliographic Information
      • Archive
    • Molecular and Clinical Oncology
      • Molecular and Clinical Oncology
      • Information for Authors
      • Editorial Policies
      • Editorial Board
      • Aims and Scope
      • Abstracting and Indexing
      • Bibliographic Information
      • Archive
    • Experimental and Therapeutic Medicine
      • Experimental and Therapeutic Medicine
      • Information for Authors
      • Editorial Policies
      • Editorial Board
      • Aims and Scope
      • Abstracting and Indexing
      • Bibliographic Information
      • Archive
    • International Journal of Molecular Medicine
      • International Journal of Molecular Medicine
      • Information for Authors
      • Editorial Policies
      • Editorial Board
      • Aims and Scope
      • Abstracting and Indexing
      • Bibliographic Information
      • Archive
    • Biomedical Reports
      • Biomedical Reports
      • Information for Authors
      • Editorial Policies
      • Editorial Board
      • Aims and Scope
      • Abstracting and Indexing
      • Bibliographic Information
      • Archive
    • Oncology Reports
      • Oncology Reports
      • Information for Authors
      • Editorial Policies
      • Editorial Board
      • Aims and Scope
      • Abstracting and Indexing
      • Bibliographic Information
      • Archive
    • Molecular Medicine Reports
      • Molecular Medicine Reports
      • Information for Authors
      • Editorial Policies
      • Editorial Board
      • Aims and Scope
      • Abstracting and Indexing
      • Bibliographic Information
      • Archive
    • World Academy of Sciences Journal
      • World Academy of Sciences Journal
      • Information for Authors
      • Editorial Policies
      • Editorial Board
      • Aims and Scope
      • Abstracting and Indexing
      • Bibliographic Information
      • Archive
    • International Journal of Functional Nutrition
      • International Journal of Functional Nutrition
      • Information for Authors
      • Editorial Policies
      • Editorial Board
      • Aims and Scope
      • Abstracting and Indexing
      • Bibliographic Information
      • Archive
    • International Journal of Epigenetics
      • International Journal of Epigenetics
      • Information for Authors
      • Editorial Policies
      • Editorial Board
      • Aims and Scope
      • Abstracting and Indexing
      • Bibliographic Information
      • Archive
    • Medicine International
      • Medicine International
      • Information for Authors
      • Editorial Policies
      • Editorial Board
      • Aims and Scope
      • Abstracting and Indexing
      • Bibliographic Information
      • Archive
  • Articles
  • Information
    • Information for Authors
    • Information for Reviewers
    • Information for Librarians
    • Information for Advertisers
    • Conferences
  • Language Editing
Spandidos Publications Logo
  • About
    • About Spandidos
    • Aims and Scopes
    • Abstracting and Indexing
    • Editorial Policies
    • Reprints and Permissions
    • Job Opportunities
    • Terms and Conditions
    • Contact
  • Journals
    • All Journals
    • Biomedical Reports
      • Information for Authors
      • Editorial Policies
      • Editorial Board
      • Aims and Scope
      • Abstracting and Indexing
      • Bibliographic Information
      • Archive
    • Experimental and Therapeutic Medicine
      • Information for Authors
      • Editorial Policies
      • Editorial Board
      • Aims and Scope
      • Abstracting and Indexing
      • Bibliographic Information
      • Archive
    • International Journal of Epigenetics
      • Information for Authors
      • Editorial Policies
      • Editorial Board
      • Aims and Scope
      • Abstracting and Indexing
      • Bibliographic Information
      • Archive
    • International Journal of Functional Nutrition
      • Information for Authors
      • Editorial Policies
      • Editorial Board
      • Aims and Scope
      • Abstracting and Indexing
      • Bibliographic Information
      • Archive
    • International Journal of Molecular Medicine
      • Information for Authors
      • Editorial Policies
      • Editorial Board
      • Aims and Scope
      • Abstracting and Indexing
      • Bibliographic Information
      • Archive
    • International Journal of Oncology
      • Information for Authors
      • Editorial Policies
      • Editorial Board
      • Aims and Scope
      • Abstracting and Indexing
      • Bibliographic Information
      • Archive
    • Medicine International
      • Information for Authors
      • Editorial Policies
      • Editorial Board
      • Aims and Scope
      • Abstracting and Indexing
      • Bibliographic Information
      • Archive
    • Molecular and Clinical Oncology
      • Information for Authors
      • Editorial Policies
      • Editorial Board
      • Aims and Scope
      • Abstracting and Indexing
      • Bibliographic Information
      • Archive
    • Molecular Medicine Reports
      • Information for Authors
      • Editorial Policies
      • Editorial Board
      • Aims and Scope
      • Abstracting and Indexing
      • Bibliographic Information
      • Archive
    • Oncology Letters
      • Information for Authors
      • Editorial Policies
      • Editorial Board
      • Aims and Scope
      • Abstracting and Indexing
      • Bibliographic Information
      • Archive
    • Oncology Reports
      • Information for Authors
      • Editorial Policies
      • Editorial Board
      • Aims and Scope
      • Abstracting and Indexing
      • Bibliographic Information
      • Archive
    • World Academy of Sciences Journal
      • Information for Authors
      • Editorial Policies
      • Editorial Board
      • Aims and Scope
      • Abstracting and Indexing
      • Bibliographic Information
      • Archive
  • Articles
  • Information
    • For Authors
    • For Reviewers
    • For Librarians
    • For Advertisers
    • Conferences
  • Language Editing
Login Register Submit
  • This site uses cookies
  • You can change your cookie settings at any time by following the instructions in our Cookie Policy. To find out more, you may read our Privacy Policy.

    I agree
Search articles by DOI, keyword, author or affiliation
Search
Advanced Search
presentation
Experimental and Therapeutic Medicine
Join Editorial Board Propose a Special Issue
Print ISSN: 1792-0981 Online ISSN: 1792-1015
Journal Cover
July-2024 Volume 28 Issue 1

Full Size Image

Sign up for eToc alerts
Recommend to Library

Journals

International Journal of Molecular Medicine

International Journal of Molecular Medicine

International Journal of Molecular Medicine is an international journal devoted to molecular mechanisms of human disease.

International Journal of Oncology

International Journal of Oncology

International Journal of Oncology is an international journal devoted to oncology research and cancer treatment.

Molecular Medicine Reports

Molecular Medicine Reports

Covers molecular medicine topics such as pharmacology, pathology, genetics, neuroscience, infectious diseases, molecular cardiology, and molecular surgery.

Oncology Reports

Oncology Reports

Oncology Reports is an international journal devoted to fundamental and applied research in Oncology.

Experimental and Therapeutic Medicine

Experimental and Therapeutic Medicine

Experimental and Therapeutic Medicine is an international journal devoted to laboratory and clinical medicine.

Oncology Letters

Oncology Letters

Oncology Letters is an international journal devoted to Experimental and Clinical Oncology.

Biomedical Reports

Biomedical Reports

Explores a wide range of biological and medical fields, including pharmacology, genetics, microbiology, neuroscience, and molecular cardiology.

Molecular and Clinical Oncology

Molecular and Clinical Oncology

International journal addressing all aspects of oncology research, from tumorigenesis and oncogenes to chemotherapy and metastasis.

World Academy of Sciences Journal

World Academy of Sciences Journal

Multidisciplinary open-access journal spanning biochemistry, genetics, neuroscience, environmental health, and synthetic biology.

International Journal of Functional Nutrition

International Journal of Functional Nutrition

Open-access journal combining biochemistry, pharmacology, immunology, and genetics to advance health through functional nutrition.

International Journal of Epigenetics

International Journal of Epigenetics

Publishes open-access research on using epigenetics to advance understanding and treatment of human disease.

Medicine International

Medicine International

An International Open Access Journal Devoted to General Medicine.

Journal Cover
July-2024 Volume 28 Issue 1

Full Size Image

Sign up for eToc alerts
Recommend to Library

  • Article
  • Citations
    • Cite This Article
    • Download Citation
    • Create Citation Alert
    • Remove Citation Alert
    • Cited By
  • Similar Articles
    • Related Articles (in Spandidos Publications)
    • Similar Articles (Google Scholar)
    • Similar Articles (PubMed)
  • Download PDF
  • Download XML
  • View XML
Case Report Open Access

Epileptic seizures as an initial symptom for Sturge‑Weber syndrome type III: A report of two cases

  • Authors:
    • Yaping Wang
    • Guifu Geng
    • Wandong Hu
    • Huan Zhang
    • Yong Liu
    • Zaifen Gao
    • Hongwei Zhang
    • Jianguo Shi
  • View Affiliations / Copyright

    Affiliations: Epilepsy Center, Jinan Children's Hospital (Children's Hospital Affiliated to Shandong University), Jinan, Shandong 250000, P.R. China, Epilepsy Center, Jinan Children's Hospital (Children's Hospital Affiliated to Shandong University), Jinan, Shandong 250000, P.R. China
    Copyright: © Wang et al. This is an open access article distributed under the terms of Creative Commons Attribution License.
  • Article Number: 299
    |
    Published online on: May 24, 2024
       https://doi.org/10.3892/etm.2024.12588
  • Expand metrics +
Metrics: Total Views: 0 (Spandidos Publications: | PMC Statistics: )
Metrics: Total PDF Downloads: 0 (Spandidos Publications: | PMC Statistics: )
Cited By (CrossRef): 0 citations Loading Articles...

This article is mentioned in:



Abstract

Sturge‑Weber syndrome (SWS) type III, a rare neurocutaneous disorder, presents diagnostic challenges due to its variable clinical manifestations. The present study focuses on enhancing the understanding of this syndrome by conducting a detailed analysis of two pediatric cases and providing a comprehensive review of the existing literature. The cases, managed at the Children's Hospital Affiliated to Shandong University (Jinan, China), highlight the diverse clinical presentations and successful management strategies for SWS type III. In the first case, a 4‑year‑old male patient exhibited paroxysmal hemiplegia, epileptic seizures and cerebral angiographic findings indicative of left pia mater and venous malformation. The second case involved a 2.5‑year‑old male patient presenting with recurrent seizures and angiographic findings on the right side. Both cases underscore the importance of considering epileptic seizures, acquired and transient hemiplegia and cognitive impairments in the diagnosis of SWS type III. The present study provides insights into the effective use of both pharmacological and surgical interventions, drawing from the positive outcomes observed in these cases. The findings emphasize the need for heightened awareness and a meticulous approach in diagnosing and treating SWS type III, contributing to the better management and prognosis of this condition.

Introduction

Sturge-Weber syndrome (SWS), also recognized as cerebral trigeminal neuroangiomatosis, presents as a noteworthy subject within the realm of rare neurocutaneous disorders, exhibiting a prevalence of ~1 in 50,000 individuals (1). In the initial stages of this condition, the superficial part of the primary vascular system supplies blood to the facial skin, scalp, middle meninges and other regions, whereas its deeper counterpart caters to the needs of the brain. During this phase, reduced blood flow may lead to hypoxia, triggering vascular wall degeneration, calcification and the formation of characteristic high-density shadows detectable in neuroimaging (1). This process can culminate in the development of distinctive hemangiomas. Despite being congenital, this unique cerebrovascular anomaly is not familial, but arises sporadically due to mutations in the G protein subunit α q (GNAQ) gene (2,3). The clinical manifestations of SWS vary widely, ranging from vascular birthmarks to seizures and ocular complications, prompting researchers to delineate the syndrome into three specific types (4,5). Of particular consideration is SWS type III, notable for the conspicuous absence of facial hemangiomas, rendering it exceedingly rare and diagnostically challenging (6). Predominant symptoms include contralateral hemiplegia, hemiatrophy, headaches, seizures and cognitive impairment (7). Given the dearth of literature on SWS type III, along with its unique diagnostic and therapeutic challenges, the present study seeks to bridge several vital knowledge gaps. The rarity of SWS type III, coupled with the absence of facial hemangiomas typically observed in other SWS variants, underscores the necessity for more focused research. Current diagnostic guidelines for SWS, as outlined by Sabeti et al (5), often remain broad and non-specific, failing to adequately capture the distinct features of this subtype, potentially leading to delayed or missed diagnoses. Furthermore, current treatment approaches, largely extrapolated from methods used in more common forms of SWS, lack rigorous validation for their effectiveness in type III cases requiring surgical interventions (7-9).

With these challenges in mind, the present study aims to shed light on the intricacies of SWS type III by presenting two pediatric cases treated at the Children's Hospital Affiliated to Shandong University (Jinan, China), thereby laying a crucial groundwork for future multidisciplinary research and the evolution of patient care protocols.

Case report

Case 1. A 4-year-old boy was treated at the Children's Hospital Affiliated to Shandong University in February 2020 for recurrent right-sided hemiplegia and epileptic seizures, with these symptoms first occurring ~1 year prior to the hospital visit. Initially presenting with impaired mobility in the right limb, which took 2-3 h to recover, the patient suffered progressively worsening episodes, lasting 4-5 h daily. The exacerbation led to continuous hemiplegic states interspersed with seizures characterized by twitching of the right mouth corner, eye and fingers, along with drooling, which lasted minutes to hours.

The patient's comprehensive medical history revealed no significant personal, familial or prior health issues. A physical examination showed consciousness but reduced mental responsiveness, a diminished right nasolabial fold, a leftward mouth angle shift and normal eyelid function. Neurological assessment, utilizing the Medical Research Council (MRC) scale for muscle strength, revealed left limb muscle strength at grade V (normal function), with the distal and proximal muscle strengths of the right limb at grades III and II, respectively (10). According to the MRC scale, grade V represents normal muscle strength, grade III indicates active movement against gravity but not against resistance and grade II signifies active movement with gravity eliminated. Enhanced hyper-reflexia on the right side, compared with normal reflexes, and the presence of the Babinski sign were noted.

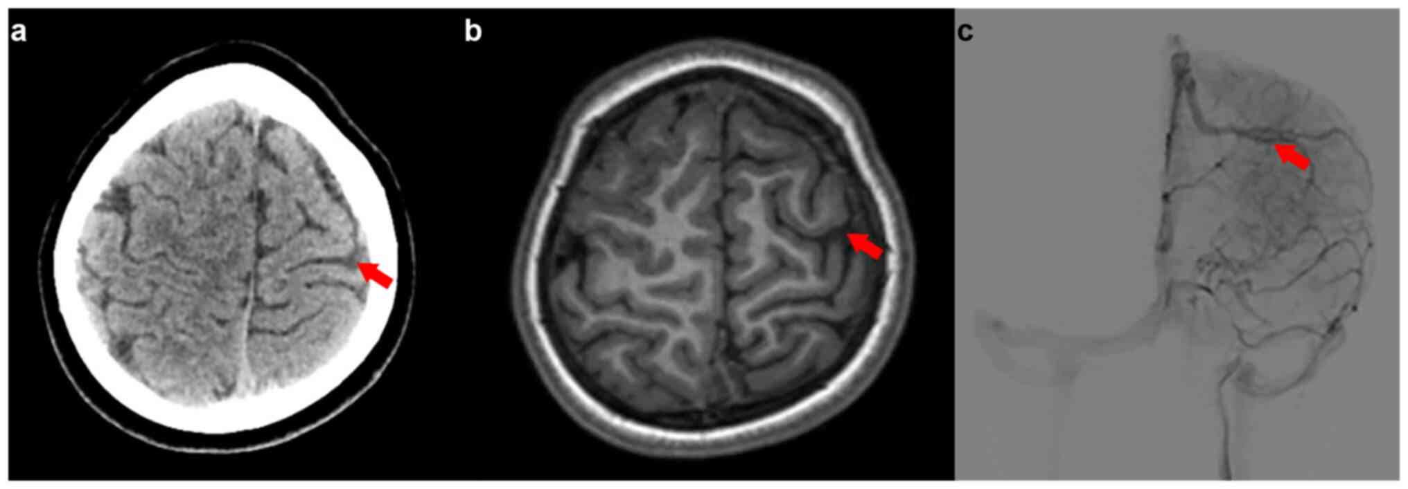
Radiological evaluation using magnetic resonance imaging (MRI) revealed a marginally reduced left frontal-parietal lobe compared with the right parietal lobe, abnormal local myelination and a size disparity in the A1 segment of the left anterior cerebral artery. Notably, a venous malformation in the left frontal region and numerous small, winding superficial veins in the left subarachnoid space were observed (Fig. 1). An electroencephalogram (EEG) indicated slow background activity with left-right asymmetry and slow-wave discharges, sometimes classified as periodic lateralized epileptiform discharges, from the anterior and temporal head regions, pinpointing a focal epileptic episode on the right side (Fig. 2).

Figure 1

Brain MRI showcasing the discrepancy in size between the left and right frontal-parietal lobe. (a) Discrepancy in size between the left frontal-parietal lobe and its right counterpart on skull MRI. (b) Visualization of left pia mater and venous malformations. (c) Evidence of localized structural asymmetries and abnormalities. The red arrow indicates the lesion.

Figure 2

Electroencephalogram results revealing interparoxysmal rhythmic discharge and continuous limb shaking during an episode. (A) Interparoxysmal rhythmic discharge was observed. (B) Continuous limb shaking was observed during an episode, indicative of epilepsia partialis continua. SENS, sensitivity; HF, high frequency filter; LF, low frequency filter; CAL, calibration.

The patient's treatment included immunoglobulin (7.5 g daily, intravenously), dexamethasone (4 mg daily, intravenously), mannitol (60 mg every 12 h, intravenous push) and topiramate (initially 12.5 mg daily, adjusted to 25 mg twice daily), transitioning to oral topiramate post-discharge (25 mg twice daily, continued until the last follow-up visit). This regimen effectively controlled the seizures and normalized muscle strength, allowing for a stable discharge. Following discharge, the patient underwent a systematic follow-up regimen at 1, 3 and 6 months, and then once a year subsequently. Over a 2-year period, this rigorous monitoring confirmed the absence of any recurrence of hemiplegia or epileptic episodes. These findings indicate a stable condition and a favorable prognosis for the patient.

Case 2

In July 2021, a 2.5-year-old male patient was admitted to the Children's Hospital Affiliated to Shandong University with recurrent seizures characterized by leftward eye deviation, the mouth skewing to the left and involuntary shaking of the left side of the body. These brief episodes, lasting 3-5 sec, recurred daily for 3-4 days. The seizures varied in presentation, with some leading to unconsciousness, eye rolling, limb stiffness and temporary left limb dysfunction post-seizure. Initial improvement was noted with levetiracetam treatment (200 mg every 12 h, orally), but seizure recurrence ensued upon medication discontinuation, presenting as rhythmic convulsions affecting the left upper limb.

Upon presentation at the hospital, the patient was preliminarily diagnosed with epilepsy. Despite oxcarbazepine (210 mg every 12 h, orally) and perampanel treatment (3 mg nightly, orally), the seizure patterns changed, involving abrupt shakes, falls and limb tremors. No significant personal, familial or prior health issues were reported. A physical assessment revealed a conscious yet minimally responsive patient with bilateral muscle strength grade V. An EEG showed generalized or right focal myoclonic-atonic seizures (Fig. 3). MRI, MR angiography and MR venography indicated a smaller right parietal gyrus portion and localized cortical dysplasia, with multiple enhanced vascular shadows in the right parietal space suggesting vascular malformation (Fig. 4). A preoperative evaluation, including positron emission tomography (PET)/CT and skull MR fusion, localized an epileptogenic focus in the right central parietal area, indicative of focal cortical dysplasia (FCD). A craniotomy performed to resect the epileptic focus revealed a vascular mass flexion in the right parietal region. The clinical and surgical findings led to a diagnosis of SWS type III (Fig. 4). Post-surgery, the patient was enrolled in a detailed follow-up program, including visits at ~1, 3, 6 and 12 months, to closely monitor recovery and seizure activity. Over the 1-year follow-up period, the patient experienced a stable recovery and remained seizure-free. This follow-up regimen facilitated the early detection and management of any potential complications, contributing to the patient's positive prognosis. The continued absence of seizures post-surgery underscores the effectiveness of the surgical treatment and supports a favorable outlook for the patient's continued neurological health.

Figure 3

Electroencephalogram results captured during a generalized myoclonic seizure. (A) A generalized myoclonic seizure was detected. (B) A potential myoclonic-atonic episode was identified. SENS, sensitivity; HF, high frequency filter; LF, low frequency filter; CAL, calibration.

Figure 4

Brain magnetic resonance imaging and intraoperative image detailing abnormalities in the right parietal lobe. (a) Diminished size of the right parietal gyrus with evidence of local cortical dysplasia. (b) Enhanced vascular shadows suggesting multiple disorders in the right parietal space, pointing to vascular malformations. (c) Positron emission tomography-computed tomography scan revealing a low metabolic signal in the right posterior central gyrus. (d) Intraoperative visual field capturing a vascular mass in the right parietal area. (e) Vascular malformation in the right parietal region shows a complex network of enlarged and intertwined vessels that appear redder or sometimes deep blue, reflecting the oxygenation status within these abnormal vessels. The irregular shape of the vascular malformation is evident, with intricate paths through brain tissue clearly discernible. Surrounding the malformation, there may be signs of tissue atrophy or damage. The red arrow indicates the lesion.

Discussion

SWS has consistently captured the attention of neurologists and clinicians due to its rarity and diverse clinical presentations (8,9,11-13). The syndrome is categorized into three types: Type I, encompassing skin and neurological symptoms with or without glaucoma; type II, characterized by skin involvement without neurological symptoms but potential for glaucoma; and type III, marked by isolated neurological involvement, typically without skin abnormalities or glaucoma (14). Type III presents unique diagnostic challenges, primarily due to the absence of facial hemangiomas, complicating early and specific identification (15). This necessitates a deeper exploration of alternative diagnostic indicators and advanced imaging techniques. The literature suggests that a diagnosis of SWS is considered when hallmark symptoms, such as unilateral facial erythema (port-wine stain) associated with the distribution of the first trigeminal nerve, progressive seizures and cerebral cortex atrophy, become clinically evident (16). The challenge in detecting SWS type III lies not only in its rarity and the subtlety of its clinical presentations but also in the potential for misdiagnosis or delayed intervention, which can profoundly impact patient outcomes. Consequently, dedicated research into SWS type III is imperative to unravel the complexities of its pathophysiology, improve diagnostic accuracy and explore targeted therapeutic strategies. Enhanced understanding and innovation in this area are crucial for advancing patient care and outcomes in this underrecognized and understudied subtype of Sturge-Weber Syndrome.

The diagnosis of SWS type III is generally confirmed through radiological examinations (17,18). Emerging imaging techniques, such as high-resolution MRI and PET scans, are increasingly crucial in the early detection of SWS type III. These modalities can reveal subtle cerebral changes and vascular abnormalities that are not apparent on standard imaging, facilitating earlier diagnostic intervention (19). Key neuroradiological markers of SWS include calcification of the retrocerebral gyrus, localized cerebral atrophy and enlargement of the choroidal plexus on the meningioma-affected side. CT scans tend to reveal more details, whereas brain MRI often shows pia mater enhancement after gadolinium injection, and MR angiography detects abnormal venous flow into the deep venous system. Functional neuroimaging is instrumental in identifying areas of reduced metabolism and perfusion around vascular malformations (7,20).

EEG can also assist in diagnosing SWS, as subclinical seizure activity in SWS may manifest as asymmetries in rhythm and voltage, which could be more prevalent than overt epileptiform abnormalities. Numerous research studies have indicated the effectiveness of quantitative EEG power analysis in both screening for and monitoring brain involvement in SWS (19,21). Employing EEGs before the appearance of symptoms to screen for brain involvement in SWS can facilitate an earlier diagnosis (22). These diagnostic tools collectively contribute to a comprehensive understanding and identification of SWS.

Although the GNAQ mutation is the most frequently occurring mutation, identifying it does not contribute to determining the involvement of the brain or eyes and necessitates a facial skin biopsy (23,24). As a result, genetic testing is not routinely conducted for most patients. Nevertheless, recent advancements in genetic research have begun to shed light on the molecular underpinnings of SWS (19). Identifying specific biomarkers linked to SWS, particularly type III, could revolutionize the diagnostic process. Ongoing research into these genetic markers may soon enable more targeted and efficient diagnoses. Among these, mutations similar to GNAQ, such as GNA11, offer new insights, albeit primarily associated with conditions such as uveal melanoma, suggesting a broader genetic overlap that could inform SWS research (25). The PIK3CA mutations, known for their role in vascular overgrowth syndromes, present another intriguing avenue, highlighting shared pathways that might be relevant to SWS despite not being directly linked. Moreover, the focus on angiogenesis, the process of new blood vessel formation, brings to light potential biomarkers such as vascular endothelial growth factor (VEGF) and angiopoietins. These molecules, critical in vascular development, could correlate with SWS severity or progression (8,26).

The majority of children diagnosed with SWS experience early brain injury and various neurological disorders, with seizures being the most common neurological symptom, affecting ~75% of these patients (9). Studies have suggested that the cerebral capillary-venous malformations characteristic of SWS interfere with normal hemodynamic responses during seizures, perpetuating ischemia and potentially leading to more seizures (27-29). This cycle is associated with cognitive decline and progressive neurological deterioration.

Currently, no specific targeted therapy is available for SWS (19). The primary treatment for seizures in patients with SWS remains the antiepileptic medication. The choice of antiepileptic drugs (AEDs) is guided by a combination of factors, such as the age of onset, the extent of brain involvement and the presence of a family history of seizures. These elements are significant predictors of treatment response and the need for multiple AEDs. For instance, one study showed that patients with bilateral brain involvement, early onset of seizures and a family history of seizures often received a greater number of anticonvulsants due to their more severe clinical courses (8). Multicenter research data showed that among the various AEDs, levetiracetam, oxcarbazepine and low-dose aspirin were predominant choices. Levetiracetam was used in 48% of the cases, reflecting its favorable profile in terms of efficacy and side effects (28). Oxcarbazepine, chosen for 40% of the patients, was another key medication due to its effectiveness in controlling complex partial seizures and generalized tonic-clonic seizures, which are common complications in SWS (28). Notably, low-dose aspirin has emerged as a significant adjunctive therapy in SWS (28), with its role extending beyond seizure control to potentially reducing stroke-like episodes and improving neurological outcomes. This dual benefit is particularly relevant in SWS, where thrombosis and venous stasis are underlying pathologies (7). However, the risk of bleeding and the development of complications such as subdural hematoma, albeit rare, necessitate careful monitoring. The decision for surgical intervention, particularly hemispherectomy, is carefully considered in cases with medically refractory seizures and unilateral brain involvement, acknowledging the risks and potential outcomes, especially in bilaterally affected patients (30,31). Furthermore, the recent addition of cannabidiol (CBD) as a treatment option represents an important development in the management of refractory seizures in SWS (32). The neuroprotective properties of CBD and its effectiveness in reducing seizure frequency make it a viable option for treatment-resistant cases. However, its use requires careful monitoring for potential side effects, such as behavioral changes and increased seizure activity.

It is imperative to consider a comprehensive approach that encompasses both medical and multidisciplinary care for pediatric patients with SWS type III in long-term management. The role of advanced neuroimaging techniques, including gadolinium-enhanced MRI and transcranial Doppler, plays a crucial part in both the diagnosis and ongoing monitoring of the disease (5,33,34). The application of these techniques in identifying early signs of brain involvement, coupled with their utility in assessing disease progression, underscores their value in long-term management. Regular EEG monitoring is also fundamental in detecting subclinical seizure activity, rhythm and voltage asymmetry, which are indicative of neurological involvement in SWS (21). Furthermore, the use of quantitative EEG enhances the ability to predict the risk of brain involvement and guides the timing of diagnostic MRI, particularly in infants with high-risk facial capillary malformations (22). The potential of emerging biomarkers, such as urine levels of MMP-2, MMP-9 and VEGF, offers promising avenues for non-invasive monitoring of disease progression and tailoring of treatment approaches (35). This aligns with the overarching goal of early intervention and optimized management strategies to mitigate the neurological impact of the syndrome. In addition to medical treatment, the integration of occupational and physical therapy is crucial for addressing the physical and cognitive impairments associated with SWS (36). This multidisciplinary approach not only aids in improving the quality of life for these children, but also supports their developmental needs (7). Thus, the long-term management of SWS should encompass regular neuropsychological evaluations to monitor cognitive function and adjust therapies as needed. Lastly, the importance of a coordinated multidisciplinary care team, comprising pediatric neurologists, neurosurgeons, radiologists and therapists, cannot be overstated (7,8,37). This team-based approach is essential for providing comprehensive care tailored to the individual needs of each patient, thereby optimizing the long-term prognosis and overall well-being of children affected by SWS type III.

In the cases presented in the current study, the first patient experienced recurrent seizures and partial hemiplegia. Although the exact cause was initially unclear, a definitive diagnosis was established following a digital subtraction angiography examination. This child showed a decrease in seizure frequency and maintained standard cognitive abilities, responding well to antiepileptic drugs. By contrast, for the second child, who was unresponsive to oral medications and suffered recurrent seizures, SWS could not be confirmed through EEG and MRI alone, but was ultimately confirmed through later surgical intervention, from which the child benefited. Therefore, both medical and surgical interventions can be effective in treating SWS. However, the choice between these approaches should be based on the severity of epilepsy and any associated neurocognitive decline. The cases presented here highlight the complexity and variability of clinical manifestations in SWS type III. Although both patients experienced recurrent seizures, the specific characteristics, duration and accompanying clinical symptoms varied significantly, underscoring the need for a comprehensive and tailored diagnostic approach. The initial presentations, treatment responses and outcomes in these pediatric cases offer crucial insights into the broad spectrum of SWS. Notably, while seizures were a common symptom, the pathophysiological mechanisms underlying these seizures differed, as indicated by the distinct findings on imaging and EEG evaluations. The discovery of a venous malformation in the first patient and a vascular mass flexion in the second patient further emphasize the cerebrovascular anomalies typically associated with SWS. Furthermore, the successful management of these cases, resulting in a seizure-free state post-treatment, highlights the critical importance of early diagnosis, precise treatment and consistent follow-up in managing this rare and complex condition. The current clinical practice faces limitations in the timely and accurate diagnosis of SWS type III, often due to the subtlety of its symptoms and the lack of awareness among clinicians. Investigating the progression of the disease and its response to various interventions can offer valuable insights, aiding in the formulation of more effective management strategies. Future research should aim at developing standardized diagnostic protocols for SWS, particularly type III.

In conclusion, SWS should be suspected in children presenting with epileptic seizures, hemiplegia and intellectual disabilities. The diagnosis involves assessing clinical symptoms, EEG results and imaging. The condition can be misdiagnosed as FCD due to similar symptoms. Often, a definitive diagnosis of SWS requires comprehensive preoperative tests and may only be confirmed during surgery. More research is needed due to the rarity of SWS and its complex pathology.

Acknowledgements

Not applicable.

Funding

Funding: This study was supported by Jinan Municipal Health Commission (grant no. 2023-2-146).

Availability of data and materials

The data generated in the present study are not publicly available due to ethical and privacy restrictions but may be requested from the corresponding author.

Authors' contributions

HWZ and JGS were instrumental in the study conception and design. YPW, WDH and GFG were responsible for drafting of the manuscript, as well as in the acquisition, analysis and interpretation of data. GFG and JGS contributed significantly through the performance of a novel surgical technique. HZ, YL and ZFG provided critical revision of the manuscript for important intellectual content. ZFG was responsible for choosing critical medical imaging, HZ tailored the treatment plan and YL outlined the study design. YPW played a crucial role in analyzing patient data and revising the manuscript critically, ensuring the integrity of the work. HWZ and JGS confirm the authenticity of all the raw data. All authors read and approved the final manuscript.

Ethics approval and consent to participate

The study was approved by the Ethics Committee of Jinan Children's Hospital (approval no. SDFE-IRB/P-2023038; Jinan, China). Written informed consent to participate in the present study was provided by the participants' legal guardian/next of kin.

Patient consent for publication

Written informed consent was obtained from the patients' parents for the publication of any potentially identifiable images or data included in this article.

Competing interests

The authors declare that they have no competing interests.

References

1 

Zeka N, Zeka B, Gerguri A, Bejiqi R, Retkoceri R, Maloku A and Zogaj L: Sturge-Weber syndrome and variability of clinical presentation. Med J Malaysia. 78:145–148. 2023.PubMed/NCBI

2 

Formisano M, di Pippo MC, Scuderi L and Abdolrahimzadeh S: Current concepts on diffuse choroidal hemangioma in Sturge Weber syndrome. Ophthalmic Genet. 42:375–382. 2021.PubMed/NCBI View Article : Google Scholar

3 

Wetzel-Strong SE, Galeffi F, Benavides C, Patrucco M, Bullock JL, Gallione CJ, Lee HK and Marchuk DA: Developmental expression of the Sturge-Weber syndrome-associated genetic mutation in Gnaq: A formal test of Happle's paradominant inheritance hypothesis. Genetics. 224(iyad077)2023.PubMed/NCBI View Article : Google Scholar

4 

Ejike O, Odume C, Ekwochi U, Ndu I and Imanyikwa U: A rare type of congenital Sturge-Weber Syndrome: Presenting with history of perinatal asphyxia. Clin Case Rep. 4:725–727. 2016.PubMed/NCBI View Article : Google Scholar

5 

Sabeti S, Ball KL, Bhattacharya SK, Bitrian E, Blieden LS, Brandt JD, Burkhart C, Chugani HT, Falchek SJ, Jain BG, et al: Consensus statement for the management and treatment of sturge-weber syndrome: Neurology, neuroimaging, and ophthalmology recommendations. Pediatr Neurol. 121:59–66. 2021.PubMed/NCBI View Article : Google Scholar

6 

Manohari S, Banyal P, Saini AG and Vyas S: Sturge-Weber syndrome type III: An important stroke mimic. BMJ Case Rep. 16(e248742)2023.PubMed/NCBI View Article : Google Scholar

7 

Yeom S and Comi AM: Updates on sturge-weber syndrome. Stroke. 53:3769–3779. 2022.PubMed/NCBI View Article : Google Scholar

8 

Sanchez-Espino LF, Ivars M, Antonanzas J and Baselga E: Sturge-Weber Syndrome: A review of pathophysiology, genetics, clinical features, and current management approache. Appl Clin Genet. 16:63–81. 2023.PubMed/NCBI View Article : Google Scholar

9 

Bianchi F, Auricchio AM, Battaglia DI, Chieffo DRP and Massimi L: Sturge-Weber syndrome: An update on the relevant issues for neurosurgeons. Childs Nerv Syst. 36:2553–2570. 2020.PubMed/NCBI View Article : Google Scholar

10 

Vanhoutte EK, Faber CG, van Nes SI, Jacobs BC, van Doorn PA, van Koningsveld R, Cornblath DR, van der Kooi AJ, Cats EA, van den Berg LH, et al: Modifying the Medical Research Council grading system through Rasch analyses. Brain. 135(Pt 5):1639–1649. 2012.PubMed/NCBI View Article : Google Scholar

11 

Raval DM, Rathod VM, Patel AB, Sharma B and Lukhi PD: Sturge-Weber Syndrome: A rare case report. Cureus. 14(e28786)2022.PubMed/NCBI View Article : Google Scholar

12 

Poliner A, Fernandez Faith E, Blieden L, Kelly KM and Metry D: Port-wine Birthmarks: Update on diagnosis, risk assessment for sturge-weber syndrome, and management. Pediatr Rev. 43:507–516. 2022.PubMed/NCBI View Article : Google Scholar

13 

Sabeti S, Ball KL, Burkhart C, Eichenfield L, Fernandez Faith E, Frieden IJ, Geronemus R, Gupta D, Krakowski AC, Levy ML, et al: Consensus statement for the management and treatment of port-wine birthmarks in sturge-weber syndrome. JAMA Dermatol. 157:98–104. 2021.PubMed/NCBI View Article : Google Scholar

14 

Roach ES: Neurocutaneous syndromes. Pediatr Clin North Am. 39:591–620. 1992.PubMed/NCBI View Article : Google Scholar

15 

Mozaffari K, Krishnakumar A, Chen JS, Goel K, Wang A, Shlobin NA, Weil AG and Fallah A: Seizure outcomes in children with Sturge-Weber syndrome undergoing epilepsy surgery: An individual participant data meta-analysis. Seizure. 107:43–51. 2023.PubMed/NCBI View Article : Google Scholar

16 

Singh AK and Keenaghan M: Sturge-Weber Syndrome. In: StatPearls [Internet]. StatPearls Publishing, Treasure Island, FL, 2024.

17 

Mukherjee D, Kundu R and Niyogi PC: Sturge-Weber syndrome type III. Indian J Pediatr. 82:97–98. 2015.PubMed/NCBI View Article : Google Scholar

18 

Mishra B, Singh RK, Garg A, Vibha D, Bhargavi R and Tripathi M: Tram track sign in sturge-weber syndrome type 3. Ann Indian Acad Neurol. 24(592)2021.PubMed/NCBI View Article : Google Scholar

19 

Garcia Caride S, Fernandez-Vigo JI and Valverde-Megias A: Update on the diagnosis and treatment of choroidal hemangioma. Arch Soc Esp Oftalmol (Engl Ed). 98:281–291. 2023.PubMed/NCBI View Article : Google Scholar

20 

Cousyn L, Leclercq D, Ta MC, Gilbert F, Di Meglio L, Marois C, Haddad A, Mathon B, Eyries M and Navarro V: Late-Onset status epilepticus associated with isolated leptomeningeal angioma and sturge-weber syndrome-related GNA11 pathogenic variation. Neurology. 101:1021–1022. 2023.PubMed/NCBI View Article : Google Scholar

21 

Ewen JB, Kossoff EH, Crone NE, Lin DD, Lakshmanan BM, Ferenc LM and Comi AM: Use of quantitative EEG in infants with port-wine birthmark to assess for Sturge-Weber brain involvement. Clin Neurophysiol. 120:1433–1440. 2009.PubMed/NCBI View Article : Google Scholar

22 

Gill RE, Tang B, Smegal L, Adamek JH, McAuliffe D, Lakshmanan BM, Srivastava S, Quain AM, Sebold AJ, Lin DDM, et al: Quantitative EEG improves prediction of Sturge-Weber syndrome in infants with port-wine birthmark. Clin Neurophysiol. 132:2440–2446. 2021.PubMed/NCBI View Article : Google Scholar

23 

Waelchli R, Aylett SE, Robinson K, Chong WK, Martinez AE and Kinsler VA: New vascular classification of port-wine stains: Improving prediction of Sturge-Weber risk. Br J Dermatol. 171:861–867. 2014.PubMed/NCBI View Article : Google Scholar

24 

Shirley MD, Tang H, Gallione CJ, Baugher JD, Frelin LP, Cohen B, North PE, Marchuk DA, Comi AM and Pevsner J: Sturge-Weber syndrome and port-wine stains caused by somatic mutation in GNAQ. N Engl J Med. 368:1971–1979. 2013.PubMed/NCBI View Article : Google Scholar

25 

Thorpe J, Frelin LP, McCann M, Pardo CA, Cohen BA, Comi AM and Pevsner J: Identification of a mosaic activating mutation in GNA11 in atypical sturge-weber syndrome. J Invest Dermatol. 141:685–688. 2021.PubMed/NCBI View Article : Google Scholar

26 

Nguyen V, Hochman M, Mihm MC Jr, Nelson JS and Tan W: The pathogenesis of port wine stain and sturge weber syndrome: Complex interactions between genetic alterations and aberrant MAPK and PI3K Activation. Int J Mol Sci. 20(2243)2019.PubMed/NCBI View Article : Google Scholar

27 

Comi AM, Fischer R and Kossoff EH: Encephalofacial angiomatosis sparing the occipital lobe and without facial nevus: On the spectrum of Sturge-Weber syndrome variants? J Child Neurol. 18:35–38. 2003.PubMed/NCBI View Article : Google Scholar

28 

Smegal LF, Sebold AJ, Hammill AM, Juhász C, Lo WD, Miles DK, Wilfong AA, Levin AV, Fisher B, Ball KL, et al: Multicenter research data of epilepsy management in patients with sturge-weber syndrome. Pediatr Neurol. 119:3–10. 2021.PubMed/NCBI View Article : Google Scholar

29 

Martinez-Lopez A, Salvador-Rodriguez L, Montero-Vilchez T, Molina-Leyva A, Tercedor-Sanchez J and Arias-Santiago S: Vascular malformations syndromes: An update. Curr Opin Pediatr. 31:747–753. 2019.PubMed/NCBI View Article : Google Scholar

30 

Wang S, Pan J, Zhao M, Wang X, Zhang C, Li T, Wang M, Wang J, Zhou J, Liu C, et al: Characteristics, surgical outcomes, and influential factors of epilepsy in Sturge-Weber syndrome. Brain. 145:3431–3443. 2022.PubMed/NCBI View Article : Google Scholar

31 

Ainuz BY, Wolfe EM and Wolfe SA: Surgical management of facial port-wine stain in sturge weber syndrome. Cureus. 13(e12637)2021.PubMed/NCBI View Article : Google Scholar

32 

Kaplan EH, Offermann EA, Sievers JW and Comi AM: Cannabidiol treatment for refractory seizures in sturge-weber syndrome. Pediatr Neurol. 71:18–23 e2. 2017.PubMed/NCBI View Article : Google Scholar

33 

Jimenez-Legido M, Martinez-de-Azagra-Garde A, Bernardino-Cuesta B, Solís-Muñiz I, Soto-Insuga V, Cantarín-Extremera V, García-Salido A, Duat-Rodríguez A, García-Peñas JJ and Ruíz-Falcó-Rojas ML: Utility of the transcranial doppler in the evaluation and follow-up of children with Sturge-Weber Syndrome. Eur J Paediatr Neurol. 27:60–66. 2020.PubMed/NCBI View Article : Google Scholar

34 

Offermann EA, Sreenivasan A, DeJong MR, Lin DDM, McCulloch CE, Chung MG and Comi AM: National Institute of Health Sponsor; Rare Disease Clinical Research Consortium (RDCRN); Brain and Vascular Malformation Consortium (BVMC); National Sturge-Weber Syndrome Workgroup. Reliability and clinical correlation of transcranial doppler ultrasound in sturge-weber syndrome. Pediatr Neurol. 74:15–23 e5. 2017.PubMed/NCBI View Article : Google Scholar

35 

Sreenivasan AK, Bachur CD, Lanier KE, Curatolo AS, Connors SM, Moses MA and Comi AM: Urine vascular biomarkers in Sturge-Weber syndrome. Vasc Med. 18:122–128. 2013.PubMed/NCBI View Article : Google Scholar

36 

Harmon KA, Day AM, Hammill AM, Pinto AL, McCulloch CE and Comi AM: National Institutes of Health Rare Disease Clinical Research Consortium (RDCRN) Brain and Vascular Malformation Consortium (BVMC) SWS Investigator Group. Quality of life in children with sturge-weber syndrome. Pediatr Neurol. 101:26–32. 2019.PubMed/NCBI View Article : Google Scholar

37 

Comi AM: Presentation, diagnosis, pathophysiology, and treatment of the neurological features of Sturge-Weber syndrome. Neurologist. 17:179–184. 2011.PubMed/NCBI View Article : Google Scholar

Related Articles

  • Abstract
  • View
  • Download
  • Twitter
Copy and paste a formatted citation
Spandidos Publications style
Wang Y, Geng G, Hu W, Zhang H, Liu Y, Gao Z, Zhang H and Shi J: Epileptic seizures as an initial symptom for Sturge‑Weber syndrome type III: A report of two cases. Exp Ther Med 28: 299, 2024.
APA
Wang, Y., Geng, G., Hu, W., Zhang, H., Liu, Y., Gao, Z. ... Shi, J. (2024). Epileptic seizures as an initial symptom for Sturge‑Weber syndrome type III: A report of two cases. Experimental and Therapeutic Medicine, 28, 299. https://doi.org/10.3892/etm.2024.12588
MLA
Wang, Y., Geng, G., Hu, W., Zhang, H., Liu, Y., Gao, Z., Zhang, H., Shi, J."Epileptic seizures as an initial symptom for Sturge‑Weber syndrome type III: A report of two cases". Experimental and Therapeutic Medicine 28.1 (2024): 299.
Chicago
Wang, Y., Geng, G., Hu, W., Zhang, H., Liu, Y., Gao, Z., Zhang, H., Shi, J."Epileptic seizures as an initial symptom for Sturge‑Weber syndrome type III: A report of two cases". Experimental and Therapeutic Medicine 28, no. 1 (2024): 299. https://doi.org/10.3892/etm.2024.12588
Copy and paste a formatted citation
x
Spandidos Publications style
Wang Y, Geng G, Hu W, Zhang H, Liu Y, Gao Z, Zhang H and Shi J: Epileptic seizures as an initial symptom for Sturge‑Weber syndrome type III: A report of two cases. Exp Ther Med 28: 299, 2024.
APA
Wang, Y., Geng, G., Hu, W., Zhang, H., Liu, Y., Gao, Z. ... Shi, J. (2024). Epileptic seizures as an initial symptom for Sturge‑Weber syndrome type III: A report of two cases. Experimental and Therapeutic Medicine, 28, 299. https://doi.org/10.3892/etm.2024.12588
MLA
Wang, Y., Geng, G., Hu, W., Zhang, H., Liu, Y., Gao, Z., Zhang, H., Shi, J."Epileptic seizures as an initial symptom for Sturge‑Weber syndrome type III: A report of two cases". Experimental and Therapeutic Medicine 28.1 (2024): 299.
Chicago
Wang, Y., Geng, G., Hu, W., Zhang, H., Liu, Y., Gao, Z., Zhang, H., Shi, J."Epileptic seizures as an initial symptom for Sturge‑Weber syndrome type III: A report of two cases". Experimental and Therapeutic Medicine 28, no. 1 (2024): 299. https://doi.org/10.3892/etm.2024.12588
Follow us
  • Twitter
  • LinkedIn
  • Facebook
About
  • Spandidos Publications
  • Careers
  • Cookie Policy
  • Privacy Policy
How can we help?
  • Help
  • Live Chat
  • Contact
  • Email to our Support Team