Spandidos Publications Logo
  • About
    • About Spandidos
    • Aims and Scopes
    • Abstracting and Indexing
    • Editorial Policies
    • Reprints and Permissions
    • Job Opportunities
    • Terms and Conditions
    • Contact
  • Journals
    • All Journals
    • Oncology Letters
      • Oncology Letters
      • Information for Authors
      • Editorial Policies
      • Editorial Board
      • Aims and Scope
      • Abstracting and Indexing
      • Bibliographic Information
      • Archive
    • International Journal of Oncology
      • International Journal of Oncology
      • Information for Authors
      • Editorial Policies
      • Editorial Board
      • Aims and Scope
      • Abstracting and Indexing
      • Bibliographic Information
      • Archive
    • Molecular and Clinical Oncology
      • Molecular and Clinical Oncology
      • Information for Authors
      • Editorial Policies
      • Editorial Board
      • Aims and Scope
      • Abstracting and Indexing
      • Bibliographic Information
      • Archive
    • Experimental and Therapeutic Medicine
      • Experimental and Therapeutic Medicine
      • Information for Authors
      • Editorial Policies
      • Editorial Board
      • Aims and Scope
      • Abstracting and Indexing
      • Bibliographic Information
      • Archive
    • International Journal of Molecular Medicine
      • International Journal of Molecular Medicine
      • Information for Authors
      • Editorial Policies
      • Editorial Board
      • Aims and Scope
      • Abstracting and Indexing
      • Bibliographic Information
      • Archive
    • Biomedical Reports
      • Biomedical Reports
      • Information for Authors
      • Editorial Policies
      • Editorial Board
      • Aims and Scope
      • Abstracting and Indexing
      • Bibliographic Information
      • Archive
    • Oncology Reports
      • Oncology Reports
      • Information for Authors
      • Editorial Policies
      • Editorial Board
      • Aims and Scope
      • Abstracting and Indexing
      • Bibliographic Information
      • Archive
    • Molecular Medicine Reports
      • Molecular Medicine Reports
      • Information for Authors
      • Editorial Policies
      • Editorial Board
      • Aims and Scope
      • Abstracting and Indexing
      • Bibliographic Information
      • Archive
    • World Academy of Sciences Journal
      • World Academy of Sciences Journal
      • Information for Authors
      • Editorial Policies
      • Editorial Board
      • Aims and Scope
      • Abstracting and Indexing
      • Bibliographic Information
      • Archive
    • International Journal of Functional Nutrition
      • International Journal of Functional Nutrition
      • Information for Authors
      • Editorial Policies
      • Editorial Board
      • Aims and Scope
      • Abstracting and Indexing
      • Bibliographic Information
      • Archive
    • International Journal of Epigenetics
      • International Journal of Epigenetics
      • Information for Authors
      • Editorial Policies
      • Editorial Board
      • Aims and Scope
      • Abstracting and Indexing
      • Bibliographic Information
      • Archive
    • Medicine International
      • Medicine International
      • Information for Authors
      • Editorial Policies
      • Editorial Board
      • Aims and Scope
      • Abstracting and Indexing
      • Bibliographic Information
      • Archive
  • Articles
  • Information
    • Information for Authors
    • Information for Reviewers
    • Information for Librarians
    • Information for Advertisers
    • Conferences
  • Language Editing
Spandidos Publications Logo
  • About
    • About Spandidos
    • Aims and Scopes
    • Abstracting and Indexing
    • Editorial Policies
    • Reprints and Permissions
    • Job Opportunities
    • Terms and Conditions
    • Contact
  • Journals
    • All Journals
    • Biomedical Reports
      • Information for Authors
      • Editorial Policies
      • Editorial Board
      • Aims and Scope
      • Abstracting and Indexing
      • Bibliographic Information
      • Archive
    • Experimental and Therapeutic Medicine
      • Information for Authors
      • Editorial Policies
      • Editorial Board
      • Aims and Scope
      • Abstracting and Indexing
      • Bibliographic Information
      • Archive
    • International Journal of Epigenetics
      • Information for Authors
      • Editorial Policies
      • Editorial Board
      • Aims and Scope
      • Abstracting and Indexing
      • Bibliographic Information
      • Archive
    • International Journal of Functional Nutrition
      • Information for Authors
      • Editorial Policies
      • Editorial Board
      • Aims and Scope
      • Abstracting and Indexing
      • Bibliographic Information
      • Archive
    • International Journal of Molecular Medicine
      • Information for Authors
      • Editorial Policies
      • Editorial Board
      • Aims and Scope
      • Abstracting and Indexing
      • Bibliographic Information
      • Archive
    • International Journal of Oncology
      • Information for Authors
      • Editorial Policies
      • Editorial Board
      • Aims and Scope
      • Abstracting and Indexing
      • Bibliographic Information
      • Archive
    • Medicine International
      • Information for Authors
      • Editorial Policies
      • Editorial Board
      • Aims and Scope
      • Abstracting and Indexing
      • Bibliographic Information
      • Archive
    • Molecular and Clinical Oncology
      • Information for Authors
      • Editorial Policies
      • Editorial Board
      • Aims and Scope
      • Abstracting and Indexing
      • Bibliographic Information
      • Archive
    • Molecular Medicine Reports
      • Information for Authors
      • Editorial Policies
      • Editorial Board
      • Aims and Scope
      • Abstracting and Indexing
      • Bibliographic Information
      • Archive
    • Oncology Letters
      • Information for Authors
      • Editorial Policies
      • Editorial Board
      • Aims and Scope
      • Abstracting and Indexing
      • Bibliographic Information
      • Archive
    • Oncology Reports
      • Information for Authors
      • Editorial Policies
      • Editorial Board
      • Aims and Scope
      • Abstracting and Indexing
      • Bibliographic Information
      • Archive
    • World Academy of Sciences Journal
      • Information for Authors
      • Editorial Policies
      • Editorial Board
      • Aims and Scope
      • Abstracting and Indexing
      • Bibliographic Information
      • Archive
  • Articles
  • Information
    • For Authors
    • For Reviewers
    • For Librarians
    • For Advertisers
    • Conferences
  • Language Editing
Login Register Submit
  • This site uses cookies
  • You can change your cookie settings at any time by following the instructions in our Cookie Policy. To find out more, you may read our Privacy Policy.

    I agree
Search articles by DOI, keyword, author or affiliation
Search
Advanced Search
presentation
Experimental and Therapeutic Medicine
Join Editorial Board Propose a Special Issue
Print ISSN: 1792-0981 Online ISSN: 1792-1015
Journal Cover
April-2025 Volume 29 Issue 4

Full Size Image

Sign up for eToc alerts
Recommend to Library

Journals

International Journal of Molecular Medicine

International Journal of Molecular Medicine

International Journal of Molecular Medicine is an international journal devoted to molecular mechanisms of human disease.

International Journal of Oncology

International Journal of Oncology

International Journal of Oncology is an international journal devoted to oncology research and cancer treatment.

Molecular Medicine Reports

Molecular Medicine Reports

Covers molecular medicine topics such as pharmacology, pathology, genetics, neuroscience, infectious diseases, molecular cardiology, and molecular surgery.

Oncology Reports

Oncology Reports

Oncology Reports is an international journal devoted to fundamental and applied research in Oncology.

Experimental and Therapeutic Medicine

Experimental and Therapeutic Medicine

Experimental and Therapeutic Medicine is an international journal devoted to laboratory and clinical medicine.

Oncology Letters

Oncology Letters

Oncology Letters is an international journal devoted to Experimental and Clinical Oncology.

Biomedical Reports

Biomedical Reports

Explores a wide range of biological and medical fields, including pharmacology, genetics, microbiology, neuroscience, and molecular cardiology.

Molecular and Clinical Oncology

Molecular and Clinical Oncology

International journal addressing all aspects of oncology research, from tumorigenesis and oncogenes to chemotherapy and metastasis.

World Academy of Sciences Journal

World Academy of Sciences Journal

Multidisciplinary open-access journal spanning biochemistry, genetics, neuroscience, environmental health, and synthetic biology.

International Journal of Functional Nutrition

International Journal of Functional Nutrition

Open-access journal combining biochemistry, pharmacology, immunology, and genetics to advance health through functional nutrition.

International Journal of Epigenetics

International Journal of Epigenetics

Publishes open-access research on using epigenetics to advance understanding and treatment of human disease.

Medicine International

Medicine International

An International Open Access Journal Devoted to General Medicine.

Journal Cover
April-2025 Volume 29 Issue 4

Full Size Image

Sign up for eToc alerts
Recommend to Library

  • Article
  • Citations
    • Cite This Article
    • Download Citation
    • Create Citation Alert
    • Remove Citation Alert
    • Cited By
  • Similar Articles
    • Related Articles (in Spandidos Publications)
    • Similar Articles (Google Scholar)
    • Similar Articles (PubMed)
  • Download PDF
  • Download XML
  • View XML
Case Report Open Access

A rare and challenging pediatric case of drug toxicity and immune reconstitution inflammatory syndrome during the treatment of intracranial tuberculoma: A case report

  • Authors:
    • Fatma Tuğba Çetin
    • Ümmühan Çay
    • Fatma Kilinç
    • Ömer Kaya
    • Nisanur Tapaç
    • Emel Bakanoğlu
    • Asena Ünal
    • Özlem Özgür Gündeşli̇oğlu
    • Arzu Demir
    • Derya Alabaz
  • View Affiliations / Copyright

    Affiliations: Department of Pediatric Infection, Faculty of Medicine, Cukurova University, Balcalı Hospital, Sarıçam, 01790 Adana, Turkey, Department of Radiology, Faculty of Medicine, Cukurova University, Balcalı Hospital, Sarıçam, 01790 Adana, Turkey, Department of Medical Pathology, Faculty of Medicine, Cukurova University, Balcalı Hospital, Sarıçam, 01790 Adana, Turkey
    Copyright: © Çetin et al. This is an open access article distributed under the terms of Creative Commons Attribution License.
  • Article Number: 66
    |
    Published online on: February 5, 2025
       https://doi.org/10.3892/etm.2025.12815
  • Expand metrics +
Metrics: Total Views: 0 (Spandidos Publications: | PMC Statistics: )
Metrics: Total PDF Downloads: 0 (Spandidos Publications: | PMC Statistics: )
Cited By (CrossRef): 0 citations Loading Articles...

This article is mentioned in:



Abstract

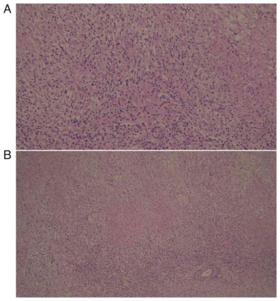
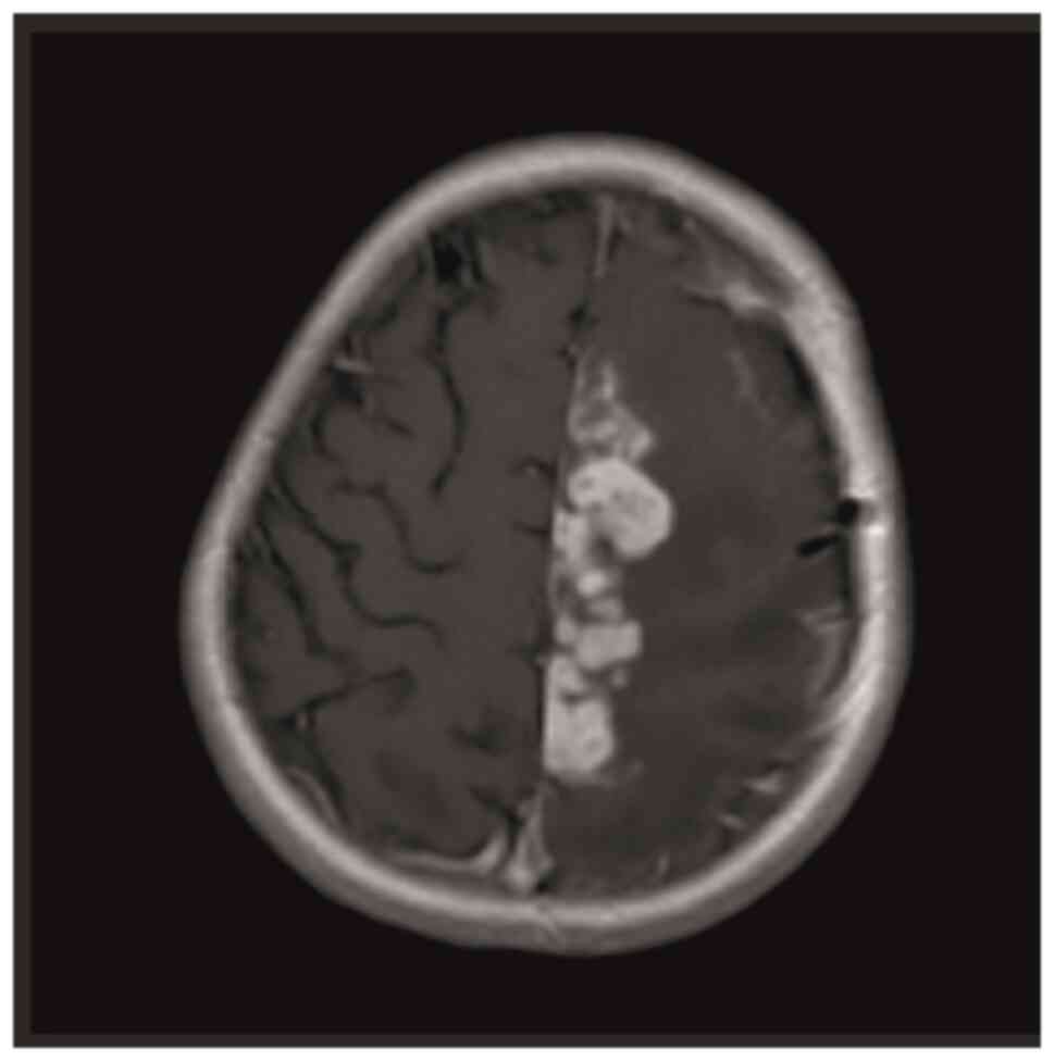
Intracranial tuberculoma represents one of the most severe complications of central nervous system tuberculosis (TB), with an incidence that is relatively low. In cases of intracranial tuberculoma, patients may develop drug toxicity and/or immune reconstitution inflammatory syndrome (IRIS) while receiving anti‑TB treatment. The current study presented the case of a seven‑year‑old female patient with intracranial tuberculoma who developed drug‑induced hepatotoxicity and IRIS during the course of treatment. During the follow‑up of the patient, anti‑TB drug‑induced hepatitis developed, which led to the discontinuation of the drug twice. In the seventh month of treatment, cranial MRI showed the progression of tuberculoma lesions. The possibility of IRIS or treatment failure was considered and the treatment was restarted with steroids and non‑hepatotoxic anti‑TB drugs. With steroid and anti‑TB treatment, the lesions regressed almost completely and the neurological deficit regressed. Patients receiving treatment should be followed up closely due to the possible side effects of anti‑TB drugs, especially IRIS, which develops as an immune restructuring response during the recovery of the immune system.
View Figures

Figure 1

Figure 2

Figure 3

Figure 4

Figure 5

Figure 6

Figure 7

View References

1 

Matsumoto Y, Aikawa H, Narita S, Tsutsumi M, Yoshida H, Etou H, Sakamoto K, Inoue R, Nii K and Kazekawa K: Intracranial tuberculoma in non-immunosuppressive state. Neurol Med Chir (Tokyo). 53:259–262. 2013.PubMed/NCBI View Article : Google Scholar

2 

Perez-Malagon CD, Barrera-Rodriguez R, Lopez-Gonzalez MA and Alva-Lopez LF: Diagnostic and neurological overview of brain tuberculomas: A review of literature. Cureus. 13(e20133)2021.PubMed/NCBI View Article : Google Scholar

3 

Verma R and Gupta R: Multiple ring-enhancing lesions: Diagnostic dilemma between neurocysticercosis and tuberculoma. BMJ Case Rep. 2014(bcr2013202528)2014.PubMed/NCBI View Article : Google Scholar

4 

Yang M, Zhang JT, Yao Y, Tan QC, Gao T, Tian CL, Huang X and Yu SY: A clinical study of miliary brain tuberculomas in China. Jpn J Infect Dis. 69:231–235. 2016.PubMed/NCBI View Article : Google Scholar

5 

Li CR, Li YZ, Li YM and Zheng YS: Dynamic and contrast enhanced CT imaging of lung carcinoma, pulmonary tuberculoma, and inflammatory pseudotumor. Eur Rev Med Pharmacol Sci. 21:1588–1592. 2017.PubMed/NCBI

6 

Sindgikar SP, Narayanaswamy B, Alexander LM and Kanavu R: Paradoxical immune reconstitution inflammatory syndrome in neurotuberculosis. BMJ Case Rep. 14(e243739)2021.PubMed/NCBI View Article : Google Scholar

7 

Salman N, Somer A and Yalçın I (eds): Paediatric Infectious Diseases. Akademi Kitabevi, İstanbul, 2015 (In Türkiye).

8 

Saukkonen JJ, Cohn DL, Jasmer RM, Schenker S, Jereb JA, Nolan CM, Peloquin CA, Gordin FM, Nunes D, Strader DB, et al: An official ATS statement: Hepatotoxicity of antituberculosis therapy. Am J Respir Crit Care Med. 174:935–952. 2006.PubMed/NCBI View Article : Google Scholar

9 

Alsayed SSR and Gunosewoyo H: Tuberculosis: Pathogenesis, current treatment regimens and new drug targets. Int J Mol Sci. 24(5202)2023.PubMed/NCBI View Article : Google Scholar

10 

Dhiman RK, Saraswat VA, Rajekar H, Reddy C and Chawla YK: A guide to the management of tuberculosis in patients with chronic liver disease. J Clin Exp Hepatol. 2:260–270. 2012.PubMed/NCBI View Article : Google Scholar

11 

Abbara A, Chitty S, Roe JK, Ghani R, Collin SM, Ritchie A, Kon OM, Dzvova J, Davidson H, Edwards TE, et al: Drug-induced liver injury from antituberculous treatment: A retrospective study from a large TB centre in the UK. BMC Infect Dis. 17(231)2017.PubMed/NCBI View Article : Google Scholar

12 

Turhan A, Tosun Tasar P, Timur Ö, Karaşahin Ö, Gökgül A and Binici DN: Immune reconstitution inflammatory syndrome during anti-tuberculous therapy: A case report. Tepecik Eğit ve Araşt Hast Dergisi. 29:103–106. 2019.(In Turkish).

13 

Erdoğan FF and Demir S (Ed): (2018). Neurological Evaluation in Infants and Children. Nörolojik Değerlendirme, Türk Nöroloji Derneği, Galenos Yayınevi, İstanbul (In Turkish).

14 

QuantiFERON-TB Gold Plus ELISA Instructions for Use, March. 2023, QIAGEN GmbH QIAGEN Strasse 1, 40724 Hilden, Almanya.

15 

Menentoğlu B, Şimşek C and Hatipoğlu N: Administration and interpretation of PPD test. J Pediatr Inf. 15:57–62. 2021.(In Turkish).

16 

Rümke HC: BCG: An almost 100-year-old vaccine. Ned Tijdschr Geneeskd. 164(D5146)2020.PubMed/NCBI(In Dutch).

17 

Saniç A, Eroğlu C and Kizirgil A: Identification of mycobacterium species by PCR and RFLP methods. 21. Yüzyılda Tüberküloz Sempozyumu ve II. Tüberküloz Laboratuvar Tanı Yöntemleri Kursu, Samsun, 2003 (In Turkish).

18 

Gemnani R, Saboo K, Wanjari A, Kumar S and Acharya S: Tuberculoma masquerading as a sixth cranial nerve palsy in a young patient: A case report. Cureus. 16(e59469)2024.PubMed/NCBI View Article : Google Scholar

19 

Aslan G and Alkaya D: One hundred of tuberculosis vaccine: History of bacille calmette-guérin-could BCG vaccination induce trained immunity? Turk J Immunol. 10:12–21. 2022.

20 

Cherian A, Ajitha KC, Iype T and Divya KP: Neurotuberculosis: An update. Acta Neurol Belg. 121:11–21. 2021.PubMed/NCBI View Article : Google Scholar

21 

Ech-cherif El kettani N, Jerguigue H, Karouache A, El quessar A, El hassani MR, Chakir N, Boukhrissi N and Jiddane M: No 5 Imaging of encephalic tuberculomas. J Radiol. 85(1517)2004.

22 

Dian S, Ganiem AR, Te Brake LH and van Laarhoven A: Current insights into diagnosing and treating neurotuberculosis in adults. CNS Drugs. 37:957–972. 2023.PubMed/NCBI View Article : Google Scholar

23 

Gupta RK and Kumar S: Central nervous system tuberculosis. Neuroimaging Clin N Am. 21:795–814, vii-viii. 2011.PubMed/NCBI View Article : Google Scholar

24 

DeLance AR, Safaee M, Oh MC, Clark AJ, Kaur G, Sun MZ, Bollen AW, Phillips JJ and Parsa AT: Tuberculoma of the central nervous system. J Clin Neurosci. 20:1333–1341. 2013.PubMed/NCBI View Article : Google Scholar

25 

Maheswari EU, Bhoopathy RM, Bhanu K and Anandan H: Clinical spectrum of central nervous system tuberculosis and the efficacy of revised national tuberculosis control program in its management. J Neurosci Rural Pract. 10:71–77. 2019.PubMed/NCBI View Article : Google Scholar

26 

Mehta PK, Singh N, Dharra R, Dahiya B, Sharma S, Sheoran A, Gupta KB, Chaudhary D, Mehta N and Varma-Basil M: Diagnosis of tuberculosis based on the detection of a cocktail of mycobacterial antigen 85B, ESAT-6 and cord factor by immuno-PCR. J Microbiol Methods. 127:24–27. 2016.PubMed/NCBI View Article : Google Scholar

27 

Singh N, Sreenivas V, Gupta KB, Chaudhary A, Mittal A, Varma-Basil M, Prasad R, Gakhar SK, Khuller GK and Mehta PK: Diagnosis of pulmonary and extrapulmonary tuberculosis based on detection of mycobacterial antigen 85B by immuno-PCR. Diagn Microbiol Infect Dis. 83:359–364. 2015.PubMed/NCBI View Article : Google Scholar

28 

Mehta PK, Raj A, Singh NP and Khuller GK: Detection of potential microbial antigens by immuno-PCR (PCR-amplified immunoassay). J Med Microbiol. 63(Pt 5):627–641. 2014.PubMed/NCBI View Article : Google Scholar

29 

Mehta PK, Dahiya B, Sharma S, Singh N, Dharra R, Thakur Z, Mehta N, Gupta KB, Gupta MC and Chaudhary D: Immuno-PCR, a new technique for the serodiagnosis of tuberculosis. J Microbiol Methods. 139:218–229. 2017.PubMed/NCBI View Article : Google Scholar

30 

Ahlawat S, Dabla S, Kumar V, Singh M, Bala K and Mehta PK: Role of immuno-polymerase chain reaction (I-PCR) in resolving diagnostic dilemma between tuberculoma and neurocysticercosis: A case report. Am J Case Rep. 19:599–603. 2018.PubMed/NCBI View Article : Google Scholar

31 

Yurdakul A, Çalışır H, Taci N, Çelik N and Öğretensoy M: Hepatotoxicity occured during anti-tuberculosis treatment. Toraks Dergisi. 4:16–20. 2003.(In Turkish).

32 

Kılınc F, Çay Ü, Çetin FT, Tapac N, Ozgur Gundeslioglu O and Alabaz D: Intracranial tuberculoma developing during the treatment of a case with tuberculous meningitis caused by the zoonotic mycobacterium caprae. Klin Padiatr: Feb 6, 2024 (Epub ahead of print).

33 

Bulterys MA, Wagner B, Redard-Jacot M, Suresh A, Pollock NR, Moreau E, Denkinger CM, Drain PK and Broger T: Point-of-care urine LAM tests for tuberculosis diagnosis: A status update. J Clin Med. 9(111)2019.PubMed/NCBI View Article : Google Scholar

34 

Tibúrcio R, Barreto-Duarte B, Naredren G, Queiroz ATL, Anbalagan S, Nayak K, Ravichandran N, Subramani R, Antonelli LRV, Satagopan K, et al: Dynamics of T-lymphocyte activation related to paradoxical tuberculosis-associated immune reconstitution inflammatory syndrome in persons with advanced HIV. Front Immunol. 12(757843)2021.PubMed/NCBI View Article : Google Scholar

35 

Marais S, Van Toorn R, Chow FC, Manesh A, Siddiqi OK, Figaji A, Schoeman JF and Meintjes G: Tuberculous Meningitis International Research Consortium. Management of intracranial tuberculous mass lesions: how long should we treat for? Wellcome Open Res. 4(158)2019.PubMed/NCBI View Article : Google Scholar

36 

Li H, Liu W and You C: Central nervous system tuberculoma. J Clin Neurosci. 19:691–695. 2012.PubMed/NCBI View Article : Google Scholar

37 

Sadashiva N, Tiwari S, Shukla D, Bhat D, Saini J, Somanna S and Devi BI: Isolated brainstem tuberculomas. Acta Neurochir (Wien). 159:889–897. 2017.PubMed/NCBI View Article : Google Scholar

Related Articles

  • Abstract
  • View
  • Download
  • Twitter
Copy and paste a formatted citation
Spandidos Publications style
Çetin FT, Çay Ü, Kilinç F, Kaya Ö, Tapaç N, Bakanoğlu E, Ünal A, Gündeşli̇oğlu ÖÖ, Demir A, Alabaz D, Alabaz D, et al: A rare and challenging pediatric case of drug toxicity and immune reconstitution inflammatory syndrome during the treatment of intracranial tuberculoma: A case report. Exp Ther Med 29: 66, 2025.
APA
Çetin, F.T., Çay, Ü., Kilinç, F., Kaya, Ö., Tapaç, N., Bakanoğlu, E. ... Alabaz, D. (2025). A rare and challenging pediatric case of drug toxicity and immune reconstitution inflammatory syndrome during the treatment of intracranial tuberculoma: A case report. Experimental and Therapeutic Medicine, 29, 66. https://doi.org/10.3892/etm.2025.12815
MLA
Çetin, F. T., Çay, Ü., Kilinç, F., Kaya, Ö., Tapaç, N., Bakanoğlu, E., Ünal, A., Gündeşli̇oğlu, Ö. Ö., Demir, A., Alabaz, D."A rare and challenging pediatric case of drug toxicity and immune reconstitution inflammatory syndrome during the treatment of intracranial tuberculoma: A case report". Experimental and Therapeutic Medicine 29.4 (2025): 66.
Chicago
Çetin, F. T., Çay, Ü., Kilinç, F., Kaya, Ö., Tapaç, N., Bakanoğlu, E., Ünal, A., Gündeşli̇oğlu, Ö. Ö., Demir, A., Alabaz, D."A rare and challenging pediatric case of drug toxicity and immune reconstitution inflammatory syndrome during the treatment of intracranial tuberculoma: A case report". Experimental and Therapeutic Medicine 29, no. 4 (2025): 66. https://doi.org/10.3892/etm.2025.12815
Copy and paste a formatted citation
x
Spandidos Publications style
Çetin FT, Çay Ü, Kilinç F, Kaya Ö, Tapaç N, Bakanoğlu E, Ünal A, Gündeşli̇oğlu ÖÖ, Demir A, Alabaz D, Alabaz D, et al: A rare and challenging pediatric case of drug toxicity and immune reconstitution inflammatory syndrome during the treatment of intracranial tuberculoma: A case report. Exp Ther Med 29: 66, 2025.
APA
Çetin, F.T., Çay, Ü., Kilinç, F., Kaya, Ö., Tapaç, N., Bakanoğlu, E. ... Alabaz, D. (2025). A rare and challenging pediatric case of drug toxicity and immune reconstitution inflammatory syndrome during the treatment of intracranial tuberculoma: A case report. Experimental and Therapeutic Medicine, 29, 66. https://doi.org/10.3892/etm.2025.12815
MLA
Çetin, F. T., Çay, Ü., Kilinç, F., Kaya, Ö., Tapaç, N., Bakanoğlu, E., Ünal, A., Gündeşli̇oğlu, Ö. Ö., Demir, A., Alabaz, D."A rare and challenging pediatric case of drug toxicity and immune reconstitution inflammatory syndrome during the treatment of intracranial tuberculoma: A case report". Experimental and Therapeutic Medicine 29.4 (2025): 66.
Chicago
Çetin, F. T., Çay, Ü., Kilinç, F., Kaya, Ö., Tapaç, N., Bakanoğlu, E., Ünal, A., Gündeşli̇oğlu, Ö. Ö., Demir, A., Alabaz, D."A rare and challenging pediatric case of drug toxicity and immune reconstitution inflammatory syndrome during the treatment of intracranial tuberculoma: A case report". Experimental and Therapeutic Medicine 29, no. 4 (2025): 66. https://doi.org/10.3892/etm.2025.12815
Follow us
  • Twitter
  • LinkedIn
  • Facebook
About
  • Spandidos Publications
  • Careers
  • Cookie Policy
  • Privacy Policy
How can we help?
  • Help
  • Live Chat
  • Contact
  • Email to our Support Team