Spandidos Publications Logo
  • About
    • About Spandidos
    • Aims and Scopes
    • Abstracting and Indexing
    • Editorial Policies
    • Reprints and Permissions
    • Job Opportunities
    • Terms and Conditions
    • Contact
  • Journals
    • All Journals
    • Oncology Letters
      • Oncology Letters
      • Information for Authors
      • Editorial Policies
      • Editorial Board
      • Aims and Scope
      • Abstracting and Indexing
      • Bibliographic Information
      • Archive
    • International Journal of Oncology
      • International Journal of Oncology
      • Information for Authors
      • Editorial Policies
      • Editorial Board
      • Aims and Scope
      • Abstracting and Indexing
      • Bibliographic Information
      • Archive
    • Molecular and Clinical Oncology
      • Molecular and Clinical Oncology
      • Information for Authors
      • Editorial Policies
      • Editorial Board
      • Aims and Scope
      • Abstracting and Indexing
      • Bibliographic Information
      • Archive
    • Experimental and Therapeutic Medicine
      • Experimental and Therapeutic Medicine
      • Information for Authors
      • Editorial Policies
      • Editorial Board
      • Aims and Scope
      • Abstracting and Indexing
      • Bibliographic Information
      • Archive
    • International Journal of Molecular Medicine
      • International Journal of Molecular Medicine
      • Information for Authors
      • Editorial Policies
      • Editorial Board
      • Aims and Scope
      • Abstracting and Indexing
      • Bibliographic Information
      • Archive
    • Biomedical Reports
      • Biomedical Reports
      • Information for Authors
      • Editorial Policies
      • Editorial Board
      • Aims and Scope
      • Abstracting and Indexing
      • Bibliographic Information
      • Archive
    • Oncology Reports
      • Oncology Reports
      • Information for Authors
      • Editorial Policies
      • Editorial Board
      • Aims and Scope
      • Abstracting and Indexing
      • Bibliographic Information
      • Archive
    • Molecular Medicine Reports
      • Molecular Medicine Reports
      • Information for Authors
      • Editorial Policies
      • Editorial Board
      • Aims and Scope
      • Abstracting and Indexing
      • Bibliographic Information
      • Archive
    • World Academy of Sciences Journal
      • World Academy of Sciences Journal
      • Information for Authors
      • Editorial Policies
      • Editorial Board
      • Aims and Scope
      • Abstracting and Indexing
      • Bibliographic Information
      • Archive
    • International Journal of Functional Nutrition
      • International Journal of Functional Nutrition
      • Information for Authors
      • Editorial Policies
      • Editorial Board
      • Aims and Scope
      • Abstracting and Indexing
      • Bibliographic Information
      • Archive
    • International Journal of Epigenetics
      • International Journal of Epigenetics
      • Information for Authors
      • Editorial Policies
      • Editorial Board
      • Aims and Scope
      • Abstracting and Indexing
      • Bibliographic Information
      • Archive
    • Medicine International
      • Medicine International
      • Information for Authors
      • Editorial Policies
      • Editorial Board
      • Aims and Scope
      • Abstracting and Indexing
      • Bibliographic Information
      • Archive
  • Articles
  • Information
    • Information for Authors
    • Information for Reviewers
    • Information for Librarians
    • Information for Advertisers
    • Conferences
  • Language Editing
Spandidos Publications Logo
  • About
    • About Spandidos
    • Aims and Scopes
    • Abstracting and Indexing
    • Editorial Policies
    • Reprints and Permissions
    • Job Opportunities
    • Terms and Conditions
    • Contact
  • Journals
    • All Journals
    • Biomedical Reports
      • Information for Authors
      • Editorial Policies
      • Editorial Board
      • Aims and Scope
      • Abstracting and Indexing
      • Bibliographic Information
      • Archive
    • Experimental and Therapeutic Medicine
      • Information for Authors
      • Editorial Policies
      • Editorial Board
      • Aims and Scope
      • Abstracting and Indexing
      • Bibliographic Information
      • Archive
    • International Journal of Epigenetics
      • Information for Authors
      • Editorial Policies
      • Editorial Board
      • Aims and Scope
      • Abstracting and Indexing
      • Bibliographic Information
      • Archive
    • International Journal of Functional Nutrition
      • Information for Authors
      • Editorial Policies
      • Editorial Board
      • Aims and Scope
      • Abstracting and Indexing
      • Bibliographic Information
      • Archive
    • International Journal of Molecular Medicine
      • Information for Authors
      • Editorial Policies
      • Editorial Board
      • Aims and Scope
      • Abstracting and Indexing
      • Bibliographic Information
      • Archive
    • International Journal of Oncology
      • Information for Authors
      • Editorial Policies
      • Editorial Board
      • Aims and Scope
      • Abstracting and Indexing
      • Bibliographic Information
      • Archive
    • Medicine International
      • Information for Authors
      • Editorial Policies
      • Editorial Board
      • Aims and Scope
      • Abstracting and Indexing
      • Bibliographic Information
      • Archive
    • Molecular and Clinical Oncology
      • Information for Authors
      • Editorial Policies
      • Editorial Board
      • Aims and Scope
      • Abstracting and Indexing
      • Bibliographic Information
      • Archive
    • Molecular Medicine Reports
      • Information for Authors
      • Editorial Policies
      • Editorial Board
      • Aims and Scope
      • Abstracting and Indexing
      • Bibliographic Information
      • Archive
    • Oncology Letters
      • Information for Authors
      • Editorial Policies
      • Editorial Board
      • Aims and Scope
      • Abstracting and Indexing
      • Bibliographic Information
      • Archive
    • Oncology Reports
      • Information for Authors
      • Editorial Policies
      • Editorial Board
      • Aims and Scope
      • Abstracting and Indexing
      • Bibliographic Information
      • Archive
    • World Academy of Sciences Journal
      • Information for Authors
      • Editorial Policies
      • Editorial Board
      • Aims and Scope
      • Abstracting and Indexing
      • Bibliographic Information
      • Archive
  • Articles
  • Information
    • For Authors
    • For Reviewers
    • For Librarians
    • For Advertisers
    • Conferences
  • Language Editing
Login Register Submit
  • This site uses cookies
  • You can change your cookie settings at any time by following the instructions in our Cookie Policy. To find out more, you may read our Privacy Policy.

    I agree
Search articles by DOI, keyword, author or affiliation
Search
Advanced Search
presentation
Experimental and Therapeutic Medicine
Join Editorial Board Propose a Special Issue
Print ISSN: 1792-0981 Online ISSN: 1792-1015
Journal Cover
April-2025 Volume 29 Issue 4

Full Size Image

Sign up for eToc alerts
Recommend to Library

Journals

International Journal of Molecular Medicine

International Journal of Molecular Medicine

International Journal of Molecular Medicine is an international journal devoted to molecular mechanisms of human disease.

International Journal of Oncology

International Journal of Oncology

International Journal of Oncology is an international journal devoted to oncology research and cancer treatment.

Molecular Medicine Reports

Molecular Medicine Reports

Covers molecular medicine topics such as pharmacology, pathology, genetics, neuroscience, infectious diseases, molecular cardiology, and molecular surgery.

Oncology Reports

Oncology Reports

Oncology Reports is an international journal devoted to fundamental and applied research in Oncology.

Experimental and Therapeutic Medicine

Experimental and Therapeutic Medicine

Experimental and Therapeutic Medicine is an international journal devoted to laboratory and clinical medicine.

Oncology Letters

Oncology Letters

Oncology Letters is an international journal devoted to Experimental and Clinical Oncology.

Biomedical Reports

Biomedical Reports

Explores a wide range of biological and medical fields, including pharmacology, genetics, microbiology, neuroscience, and molecular cardiology.

Molecular and Clinical Oncology

Molecular and Clinical Oncology

International journal addressing all aspects of oncology research, from tumorigenesis and oncogenes to chemotherapy and metastasis.

World Academy of Sciences Journal

World Academy of Sciences Journal

Multidisciplinary open-access journal spanning biochemistry, genetics, neuroscience, environmental health, and synthetic biology.

International Journal of Functional Nutrition

International Journal of Functional Nutrition

Open-access journal combining biochemistry, pharmacology, immunology, and genetics to advance health through functional nutrition.

International Journal of Epigenetics

International Journal of Epigenetics

Publishes open-access research on using epigenetics to advance understanding and treatment of human disease.

Medicine International

Medicine International

An International Open Access Journal Devoted to General Medicine.

Journal Cover
April-2025 Volume 29 Issue 4

Full Size Image

Sign up for eToc alerts
Recommend to Library

  • Article
  • Citations
    • Cite This Article
    • Download Citation
    • Create Citation Alert
    • Remove Citation Alert
    • Cited By
  • Similar Articles
    • Related Articles (in Spandidos Publications)
    • Similar Articles (Google Scholar)
    • Similar Articles (PubMed)
  • Download PDF
  • Download XML
  • View XML
Article

Role of right/left ventricular diameter ratio in therapy selection for high and low intermediate‑risk pulmonary embolism in the Emergency Department

  • Authors:
    • Emir Karakaya
    • Bedriye Müge Sönmez
    • Gülsen Cigsar
    • Ilker Sirin
    • Ihsaniye Süer Dogan
  • View Affiliations / Copyright

    Affiliations: Department of Emergency Medicine, University of Health Sciences Dışkapı Ankara Dışkapı Yıldırım Beyazıt Training and Research Hospital, 06110 Ankara, Turkey, Department of Radiology, University of Health Sciences Ankara Dışkapı Yıldırım Beyazıt Training and Research Hospital, 06110 Ankara, Turkey
  • Article Number: 73
    |
    Published online on: February 12, 2025
       https://doi.org/10.3892/etm.2025.12823
  • Expand metrics +
Metrics: Total Views: 0 (Spandidos Publications: | PMC Statistics: )
Metrics: Total PDF Downloads: 0 (Spandidos Publications: | PMC Statistics: )
Cited By (CrossRef): 0 citations Loading Articles...

This article is mentioned in:



Abstract

Patients with intermediate‑risk pulmonary embolism (PE) comprise a significant patient population. Computerized tomographic pulmonary angiography (CTPA) plays a crucial role in diagnosis and determining the prognosis. Right ventricular diameter/left ventricular diameter (RVD/LVD) ratio measured through CTPA provides insight into right ventricular overload. The aim of the present study was to determine the role of RVD/LVD ratio on decision of treatment between high and low intermediate‑risk PE. A retrospective observational study was conducted between May 2018 and May 2022 on patients with intermediate‑risk PE at the Emergency Department (ED) of a tertiary care hospital. The demographic information, risk factors, vital signs at presentation, laboratory data, CTPA images and treatment modality of the patients were obtained. RVD/LVD was calculated from the CTPA images. All‑cause mortality at 24 h, 7 and 30 days were recorded. A total of 127 patients were included. In total, 52 (40.9%) patients were in the low‑intermediate risk group, and 75 (59.1%) patients were in the intermediate‑high risk group. A total of 54 patients were administered thrombolytic therapy while 73 patients were not. The mean RVD/LVD was 1.35±0.25 in patients who were administered thrombolytic therapy and 1.17±0.34 in those who were not. A significant association was identified between RVD/LVD and the administration of thrombolytic therapy (P<0.001). RVD/LVD and mortality were not significantly correlated (P=0.248). No significant association was found between the administration of thrombolytic therapy and mortality (P=0.569). RVD/LVD assessed through CTPA was found to be significantly decisive for administering thrombolytic therapy but not significantly predictive for mortality in intermediate‑risk patients with PE presenting to the ED.

Introduction

In acute pulmonary embolism (PE), hemodynamic stability and the burden on the right side of the heart determine the risk and management approach. Patients with right-sided heart overload and hemodynamic stability are traditionally classified as having intermediate-risk PE (1). Right-sided heart overload can be detected using echocardiography (ECHO), computerized tomographic pulmonary angiography (CTPA) imaging, blood markers [brain natriuretic peptide (BNP) or troponin], and/or electrocardiography (2).

The clinical outcome, risk categorization, and management of PE depend on acute right ventricular (RV) dysfunction, which is mostly a consequence of pathological derangement in the pulmonary vasculature (3). Acute RV pressure overload and the ensuing increased right ventricular diameter (RVD) due to PE can lead to myocardial damage and major complications, including premature death, even in patients with PE who initially present with normal blood pressure (4).

To provide appropriate treatment within a safe and reasonable timeframe, accurate diagnosis is crucial and CTPA is the gold standard for detection of PE, but especially in smaller community Emergency Departments (EDs) without these resources or when the transfer of a patient is unsafe, ECHO can be a vital option for diagnosis and safe treatment. Although ECHO appears to be more accessible and offers no risk of ionizing radiation with a repeatable, portable, and non-invasive manner, it is almost operator-dependent and needs appropriate training (5,6).

There are findings of RV dysfunction on CTPA imaging that are well-defined in the literature, but the RVD/left ventricular diameter (LVD) ratio is a robust marker of RV dysfunction and early death, which may justify its use for prognostification after PE (7,8). Using signs of RV disfunction in the decision-making process for the management of intermediate-risk patients remains controversial, as does the administration of thrombolytic therapy to intermediate-risk patients. Hence, the present study aimed to emphasize the role of the RVD/LVD ratio in decision-making for treatment of this highly ‘grey’ cohort of patients with PE.

Patients and methods

Patient cohort and study design

The present study was a retrospective single-center observational study conducted on 127 male and female patients aged between 19-91 years, with a mean age of 67.8±16.8 years, who presented to the ED of University of Health Sciences Ankara Dıskapı Yıldırım Beyazıt Training and Research Hospital (Ankara, Turkey) with PE between May 31, 2018 and May 31, 2022. The present study was approved (approval no. 140/23) by the Institutional Review Board of the University of Health Sciences Ankara Dıskapı Yıldırım Beyazıt Training and Research Hospital (Ankara, Turkey). A G*Power analysis, using SPSS (v.23.0; IBM Corp.) performed to determine the sample size prior to the study, estimated a total of 108 patients with at least 54 in each group to detect a difference of 0.25 in the RVD/LVD ratio between the groups with a power of 95% and α=0.05.

The inclusion criteria were as follows: A diagnosis of acute PE in patients ≥18 years of age, confirmed by CTPA imaging and stratified as intermediate risk. Intermediate risk was defined as hemodynamic stability on admission, with a systolic blood pressure (SBP) of at least 90 mmHg without hemodynamic support and RV overload findings on CTPA imaging, or an increased cardiac troponin level, according to hospital records. In addition, intermediate risk was sub-stratified as intermediate-high or intermediate-low risk according to the PE guidelines of the European Society of Cardiology (ESC) (1) by incorporating the Pulmonary Embolism Severity Index (PESI) scoring system. Low risk is defined as PESI class III/IV with or without evidence of RV disfunction on imaging (CTPA/ECHO) or an elevated RV biomarker (troponin or BNP), while high risk is defined as PESI class III/IV with imaging evidence of RVD on imaging (CTPA or ECHO), and an elevated RV biomarker (troponin or BNP) (2). The exclusion criteria were as follows: Pregnancy, referral to University of Health Sciences Ankara Dıskapı Yıldırım Beyazıt Training and Research Hospital or referred from University of Health Sciences Ankara Dıskapı Yıldırım Beyazıt Training and Research Hospital to another facility, high-risk PE, intermediate-risk PE with missing medical data, no optimally measured RVD and/or LVD on CTPA images, and anatomical chest deformity.

Demographic characteristics, laboratory test results [troponin, proBNP, D-dimer, blood urea nitrogen (BUN), creatinine, white blood cell (WBC) count, hemoglobin (Hgb), platelet count, lactate], PESI, simplified PESI (sPESI) scores, RVD/LVD ratio and PE location from CTPA imaging, treatment modality (oral or parenteral anticoagulant, thrombolytic, surgical embolectomy, or direct thrombolysis via percutaneous catheter), hospitalization, and clinical outcome were recorded on previously prepared data forms. The patient data were accessed using a hospital automation system. Blood test results were obtained from the Emergency Biochemistry Laboratory of the University of Health Sciences Ankara Dıskapı Yıldırım Beyazıt Training and Research Hospital. Troponin values were recorded only as positive or negative because they were determined using different kits and measurement methods between 2018 and 2022.

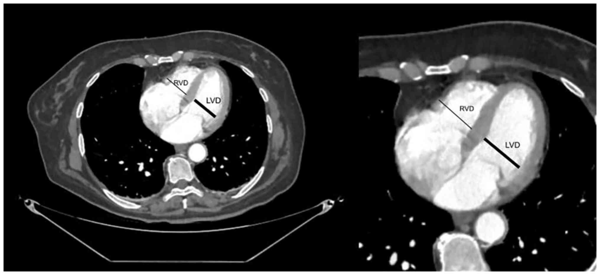
Radiological measurements were performed by a radiologist, who was experienced in cardiovascular CT imaging using standard axial plane reconstructions and who was unaware of the study results. CTPA imaging was performed with the GE Healthcare G-Optima 660 (128 slices) device with intravenous iohexol administered to all patients as a contrast agent. Maximum RVD and LVD were determined by manually marking the maximum distance of the endocardial border of the right or left ventricle from the interventricular septum. The largest RVD and LVD values, which were usually obtained at different craniocaudal cardiac positions determined by the radiologist, were used for the analysis (Fig. 1).

Figure 1

Measurement technique of RVD/LVD from the largest craniocaudal cardiac position. RVD, right ventricular diameter; LVD, left ventricular diameter.

Based on the treatment modality, the patients were categorized into the ‘systemic thrombolysis’ group and the ‘other’ (parenteral/oral conventional anticoagulation alone, surgical embolectomy, or direct thrombolysis via percutaneous catheter) group.

The primary outcome was all-cause mortality within the first 30 days after PE. PESI and sPESI scores were calculated as clinical prediction scores according to the 2019 PE guidelines of the ESC (1). Mortality time points were determined to be 24 h, 1-7, and 7-30 days.

Statistical analysis

Statistical analyses were performed using SPSS (v.23.0; IBM Corp.). Normality of continuous variables was determined using the Kolmogorov-Smirnov test, and skewness and kurtosis were used as ancillary descriptive statistics. All analyses were performed using non-parametric tests because the data were not normally distributed in at least one group for each dataset. Descriptive statistics included number (percentage) for categorical variables, and either mean ± standard deviation or median (minimum-maximum) for numerical variables. Differences between numerical variables in the two independent groups were determined using the Mann-Whitney U test. Comparison of the ratios between independent groups was performed using the χ2 test. The statistical α significance level was set at P<0.05.

Results

There was a significant association between patients who were administered thrombolytic therapy and were in the intermediate-high risk group (P<0.001). The mean RVD/LVD ratio was 1.35±0.25 in patients who were administered thrombolytic therapy and 1.17±0.34 in those who were not. There was a significant association between a high RVD/LVD ratio and the administration of thrombolytic therapy (P<0.001). In addition, there was a similar significant association between both a high D-dimer level and admission to the intensive care unit, with the administration of thrombolytic therapy (P<0.001). Comparisons between demographic information, laboratory data, patient outcomes, patient risk groups, hospitalization status, and survival status by the treatment regimen are shown in Table I.

Table I

Comparison of treatment regimen and variables.

Table I

Comparison of treatment regimen and variables.

CharacteristicsThrombolytic therapy administeredThrombolytic therapy not administeredP-value
Sex, n (%)   
     Female36 (66.7)38 (52.1)0.099
     Male18 (33.3)35 (47.9) 
Age (years), mean ± standard deviation/median (min-max)67±16.6/69.5 (21-88)68.4±17/73 (19-91)0.560a
Laboratory findings, n (%) or mean ± standard deviation/median (min-max)   
     Troponin (+)41 (75.9)47 (64.4)0.163b
     BNP5,858.3±8,732.1/2,165 (116-35,000) 7,996.2±10,560.2/2,290 (196-35,000)0.466
     D-dimer8,044.5±5,992.5/6,810 (90-20,500)4,046.8±3,654.2/2,843 (188-18,200)<0.001
     RVD/LVD1.35±0.25/1.33 (0.88-1.96)1.17±0.34/1.14 (0.63-2.74)<0.001
     BUN47.9±27.7/38 (2-132)42.6±20.8/38 (8-114)0.636
     Creatinine1.39±1.1/1.18 (0.57-8.1)1.08±0.36/0.99 (0.5-2.49)0.038
     WBC11.7±4.31/11.17 (3,13-26)10.71±5.83/9.8 (1-43)0.063
     Hgb14.4±12.2/12.8 (8.7-101)12.6±2.3/12.7 (7.3-17.1)0.655
     Platelets200.8±80.7/183.5 (28-431)247.9±95.2/235 (12-574)0.002
     Lactate4.26±3.63/3.2 (1-19)2.73±1.83/2.1 (0.7-9.5)0.002
     PESI119±31.7/115.5 (60-212)109.5±30.6/107 (40-203)0.065
Risk group, n (%)   
     Intermediate-low risk13 (24.1)39 (53.4)0.001b
     Intermediate-high risk41 (75.9)34 (46.6) 
Hospitalization, n (%)   
     Intensive care unit31 (57.4)9 (12.3) <0.001b
     Ward23 (42.6)64 (87.7) 
Survival (days) mean ± standard deviation/median (min-max)9±7/7 (0-20)11±10/7 (1-29)0.758b
Mortality   
     Deceased11 (20.4)12 (16.4)0.569b
     Survived43 (79.6)61 (83.6) 

[i] aMann-Whitney-U test and

[ii] bχ2 test. BNP, brain natriuretic peptide; RVD, right ventricular diameter; LVD, left ventricular diameter; BUN, blood urea nitrogen; WBC, white blood cell; Hgb, haemoglobin; PESI, pulmonary embolism severity index.

Mortality was significantly associated with higher D-dimer, BUN, lactate levels, WBC count, and a lower Hgb level (P=0.001, P=0.003, P=0.005, P=0.022 and P=0.023, respectively). A high PESI score was significantly correlated with mortality (P<0.001). Comparisons of demographic information, laboratory data, ED patient outcomes, patient risk groups, and hospitalization status by mortality status are presented in Table II.

Table II

Comparison of mortality and the variables.

Table II

Comparison of mortality and the variables.

CharacteristicsDeceasedSurvivedP-value
Sex, n (%)  0.780b
     Female14 (60.9)60 (57.7) 
     Male9 (39.1)44 (42.3) 
Age (years), mean ± standard deviation/median (min-max)74.8±13.7/78 (36-90)66.3±17.1/70 (19-91) 
Thrombolytic therapy, n (%)  0.569a
     Administered11 (47.8)43 (41.3) 
     Not administered12 (52.2)61 (58.7) 
Thrombolytic therapy, n (%)  0.126a
     Positive19 (82.6)69 (66.3) 
     Negative4 (17.4)35 (33.7) 
Laboratory results, mean ± standard deviation/median (min-max)   
     BNP 4,157.3±4,566.1/2,100 (116-10,895) 7,123.5±10,053.6/2,260 (175-35,000)0.509a
     D-dimer 8,330.2±4,705.7/7,560 (1,221-20,500) 5,175.3±5,106.7/3,183.5 (90-20,300)0.001a
     RVD/LVD1.32±0.32/1.21 (0.83-1.95)1.23±0.32/1.2 (0.63-2.74)0.248a
     BUN59.7±30.1/57 (23-132)41.6±21.2/36.5 (2-121)0.003a
     Creatinine1.32±0.54/1.3 (0.57-2.49)1.19±0.82/1.04 (0.5-8.1)0.102a
     WBC13.25±5.62/12.2 (5.13-26)10.66±5.07/9.95 (1-43)0.022a
     Hgb11.7±1.9/11.7 (8-15)13.7±8.9/13 (7.3-101)0.023a
     Platelet258.3±111.2/250 (95-574)221.1±86.4/205.5 (12-492)0.130a
     Lactate4.96±4.24/3.4 (0.7-19)3.03±2.3/2.35 (1-17)0.005a
     PESI137.1±31.4/131 (84-212)108.4±29/105 (40-203) <0.001a
Risk category, n (%)  0.109b
     Low risk6 (26.1)46 (44.2) 
     High risk17 (73.9)58 (55.8) 
Hospitalization, n (%)  0.001b
     Intensive care unit14 (60.9)26 (25.0) 
     Ward9 (39.1)78 (75.0) 

[i] aMann-Whitney-U test and

[ii] bχ2 test. BNP, brain natriuretic peptide; RVD, right ventricular diameter; LVD, left ventricular diameter; BUN, blood urea nitrogen; WBC, white blood cell; Hgb, haemoglobin; PESI, pulmonary embolism severity index.

When the sensitivity and specificity of the D-dimer level, RVD/LVD ratio and platelet count in predicting the requirement for thrombolytic treatment were evaluated by receiver operating curve (ROC) analysis, the cut-off values were determined as 4,394.5 for D-dimer (sensitivity, 66.7%; specificity, 71.2%), 1.21 for RVD/LVD ratio (sensitivity, 64.8%; specificity, 64.4%) and 214.00 for platelet count (sensitivity, 37%; specificity, 39.7%) (Fig. 2; Table III). Univariate and multivariate logistic regression analyses were both performed between the laboratory parameters of patients who were given thrombolytics and those who were not. D-dimer, platelet and RVD/LVD ratio were identified to be statistically significant and cut-off values were determined by logistic regression analysis (Table IV).

Figure 2

ROC curve of D-dimer, RVD/LVD and platelet count. ROC, receiver operating characteristic; RVD, right ventricular diameter; LVD, left ventricular diameter.

Table III

Performances of variables in predicting the need for thrombolytic treatment.

Table III

Performances of variables in predicting the need for thrombolytic treatment.

 Area under the curve
 Asymptotic 95% confidence interval
Test result variableAreaStd. errorAsymptotic sig.Lower boundaryUpper boundary
D-dimer0.7250.0460.0000.6350.814
RVD/LVD0.6980.0460.0000.6070.788
Platelets0.3400.0490.0020.2430.436

[i] Std., standard; sig., significance; RVD, right ventricular diameter; LVD, left ventricular diameter.

Table IV

Logistic regression of variables in predicting the need for thrombolytic therapy.

Table IV

Logistic regression of variables in predicting the need for thrombolytic therapy.

 Univariate analysisMultivariate analysis
  95% CI  95% CI 
ParameterORLower boundaryUpper boundaryP-valueORLower boundaryUpper boundaryP-value
RVD/LVD3.331.5956.9500.0013.0841.3646.9700.007
D-dimer4.9522.31710.585<0.0015.2982.31912.101<0.001
Platelets0.3580.1730.7420.0060.3440.1510.7870.011

[i] OR, odds ratio; CI, confidence interval; RVD/LVD, right ventricular diameter/left ventricular diameter.

Discussion

Hemodynamic stability is the cornerstone of PE management, which is consistent with the results of the present study showing that intermediate-risk patients with a high RVD/LVD ratio were administered thrombolytic therapy. Beyond this, while the RVD/LVD ratio failed to predict 30-day mortality, a decision can be made regarding the therapeutic approach between low- and high-risk patients in the intermediate group. In this regard, PE severity and blood test results must also be considered. On CTPA images, assessment of the axial plane views is the gold standard and the most straightforward method to assess RV dysfunction because the images of the ventricular cavities are noticeably superior (9). Although the majority of patients with PE and assessed as intermediate-risk can be adequately treated with anticoagulants, a sizeable minority may deteriorate and necessitate reperfusion therapy (10), which is consistent with the results of the present study (Table I).

Thrombolytic therapy has several advantages over anticoagulant therapy alone, such as a more rapid elimination of thrombus material, and consequently, a more rapid reduction of pulmonary artery pressure and resistance, as well as a more rapid improvement of RV function (11). Therefore, particularly for patients at intermediate-high risk, there should be close monitoring, and reperfusion therapies should be considered in cases of hemodynamic deterioration, as reported in the ESC guidelines (1). One of the most important indicators of clot burden in the pulmonary arteries is the D-dimer level, where a higher value is associated with higher mortality and complications as a result of RV dysfunction (12). The mean D-dimer values of patients who received thrombolytic therapy were twice those who did not receive it, which is likely to be due to an increased afterload on the right ventricle and the consequences on hemodynamics (Table I). The areas under the ROC curves for the D-dimer level and the RVD/LVD ratio (Table III) represent the ability to distinguish between those who received thrombolytic therapy and those who did not. The proximity of the metrics indicated that the results for the RVD/LVD ratio and the D-dimer level were comparable. The areas under the ROC curve are close to each other but are not perfectly separated. According to these results, it is inferred that RVD/LVD ratio is not superior to D-dimer but can be combined synergistically as a diagnostic marker for thrombolytic therapy. However, the mode of therapy has been shown not to have prognostic significance among high- and low-risk patient groups (12), as also observed in the present study.

In addition, the odds ratio for the RVD/LVD ratio (Table IV) indicates that an increase in the RVD/LVD ratio is associated with an increased likelihood of receiving thrombolytic therapy. The most commonly accepted thresholds for the RVD/LVD ratio on CT imaging are 0.9 and 1.0 and an increase in this ratio is a well-known indicator of RV dysfunction (13). An increased RVD/LVD ratio is associated with a concomitant LV filling defect and decreased cardiac output. It is an important indicator of the severity of PE accompanied by clinical findings such as hypotension, tachycardia, altered consciousness, syncope, chest pain due to decreased coronary circulation, and decreased urine output. It can be used as a surrogate for risk stratification in patients with acute PE, and aid in deciding a course of treatment (14). Given the findings of the present study it is considered that an increased RVD/LVD ratio can adequately stratify the risk for patients with a PE; therefore, this imaging modality can be used to assess patients with PE or individualize their treatment by means of disease severity assessment. In addition, the difference in the therapeutic approach between the high- and low-risk groups was associated with a higher risk of hemodynamic deterioration because patients at intermediate-high risk were at a higher level on the risk scale, as expected. Therefore, a treatment approach that considers RVD/LVD measurements on CTPA imaging without hemodynamic deterioration may guide ED physicians in decision-making, particularly when ultrasonography is unavailable (15,16).

Imaging plays an important role in the evaluation and management of acute PE and CTPA is the imaging modality of choice in the current standard of care (17,18). Beyond this, an ECHO is a dynamic evaluation tool for the assessment of RVD, tricuspid annular plane systolic excursion, RV systolic pressure, qualitative RV function, pulmonary hypertension, and McConnell's sign, although none of these can be used with absolute certainty in diagnosing PE, because some symptoms of RV dysfunction might manifest in the absence of PE as well as other cardiac conditions; but it is ideal for prognostication, identifying high-risk patients for urgent thrombolysis, monitoring medication response and ruling out other conditions. To evaluate patients with acute PE, CTPA and ECHO imaging have been employed in tandem as complementing technologies (18,19). In the present study, the RVD/LVD ratio was not compared with ECHO-derived parameters because it was retrospective in nature and ECHO findings for all patients could not be obtained, but the CT-derived parameters, particularly the RVD/LVD ratio is a promising measurement and an area of more recent focus.

The present study did not detect any significant association between the RVD/LVD ratio and mortality (P=0.248), which implies that the RVD/LVD ratio indicated the risk of hemodynamic deterioration and it can be a marker for the prevention of mortality. However, there was a significant association between a high PESI score, which calculates 30-day mortality in patients with PE, and mortality (P<0.001). Mortality can be accurately predicted using the PESI, particularly for those with a low score (20). In the ESC 2019 guidelines (1), patients are categorized into the intermediate-risk group instead of the low-risk group when they exhibit signs of RV failure, even though they do not have sufficiently high PESI and sPESI scores. Since PESI has such limitations, indicators of RV failure, such as the RVD/LVD ratio, can be used as ancillary parameters to support PESI.

The major limitation of the present study is the retrospective design. As there were multiple thrombi in all patients and a precise classification could not be performed, thrombus location was not considered. During the study, access to CT was periodically restricted due to the coronavirus 2019 outbreak, which meant that CTPA imaging could not be performed at the time of diagnosis in every patient, and this is likely to have resulted in deviations from the diagnostic algorithm. This, in turn, unfavourably affected the number of patients likely to be included in the study. Although the present study yielded results similar to those of other studies (13,14), it included a small number of patients, thus the results cannot be generalized. Beyond this, a lack of inter-rater reliability resulted in measurement bias. A different major limitation was that owing to the retrospective nature of the study, access to ECHO data from all patients was not possible and, therefore, the data could not be compared with the CTPA results. Prospective studies with larger sample sizes are required regarding the routine use of thrombolytic therapy in intermediate-risk patients and the role of the RVD/LVD ratio measured from CTPA imaging, as well as the use of cardiac ECHO in decision-making.

In conclusion, although the use of several parameters obtained from CTPA imaging to risk stratify patients with acute PE has been studied in detail previously, a definitive consensus has not yet been reached, warranting future studies on this subject.

Acknowledgements

Not applicable.

Funding

Funding: No funding was received.

Availability of data and materials

The data generated in the present study may be requested from the corresponding author.

Authors' contributions

EK was responsible for conceptualization, investigation and writing the original draft. BMS was responsible for methodology, project administration, validation, visualization, supervision and editing the written draft. GÇ made substantial contributions to conception and design, acquisition of data, and the analysis and interpretation of data. İS performed data curation, wrote the original draft and was responsible for interpretation of the clinical data. İSD performed acquisition, analysis and interpretation of computer data. EK and İS confirm the authenticity of all the raw data. All authors read and approved the final version of the manuscript.

Ethics approval and consent to participate

All procedures performed in studies involving human participants were approved (approval no. 140/23) by the Institutional Review Board of University of Health Sciences Ankara Dıskapı Yıldırım Beyazıt Training and Research Hospital (Ankara, Turkey) and were in accordance with the 1964 Helsinki Declaration and its later amendments or comparable ethical standards.

Patient consent for publication

Informed consent was obtained from all individual participants included in the present study.

Competing interests

The authors declare that they have no competing interests.

References

1 

Konstantinides SV, Meyer G, Becattini C, Bueno H, Geersing GJ, Harjola VP, Huisman MV, Humbert M, Jennings CS, Jiménez D, et al: 2019 ESC guidelines for the diagnosis and management of acute pulmonary embolism developed in collaboration with the European respiratory society (ERS). Eur Heart J. 41:543–603. 2020.PubMed/NCBI View Article : Google Scholar

2 

Balakrishna AM, Reddi V, Belford PM, Alvarez M, Jaber WA, Zhao DX and Vallabhajosyula S: Intermediate-Risk pulmonary embolism: A review of contemporary diagnosis, risk stratification and management. Medicina (Kaunas). 58(1186)2022.PubMed/NCBI View Article : Google Scholar

3 

Zimmermann L, Laufs U, Petros S and Lenk K: Outcome after thrombolysis in patients with intermediate high-risk pulmonary embolism: A propensity score analysis. J Emerg Med. 62:378–389. 2022.PubMed/NCBI View Article : Google Scholar

4 

Meyer G, Vicaut E, Danays T, Agnelli G, Becattini C, Beyer-Westendorf J, Bluhmki E, Bouvaist H, Brenner B, Couturaud F, et al: Fibrinolysis for patients with intermediate-risk pulmonary embolism. N Engl J Med. 370:1402–1411. 2014.PubMed/NCBI View Article : Google Scholar

5 

Kagima J, Stolbrink M, Masheti S, Mbaiyani C, Munubi A, Joekes E, Mortimer K, Rylance J and Morton B: Diagnostic accuracy of combined thoracic and cardiac sonography for the diagnosis of pulmonary embolism: A systematic review and meta-analysis. PLoS One. 15(e0235940)2020.PubMed/NCBI View Article : Google Scholar

6 

Thomas SE, Weinberg I, Schainfeld RM, Rosenfield K and Parmar GM: Diagnosis of pulmonary embolism: A review of evidence-based approaches. J Clin Med. 13(3722)2024.PubMed/NCBI View Article : Google Scholar

7 

Kang DK, Thilo C, Schoepf UJ, Barraza JM Jr, Nance JW Jr, Bastarrika G, Abro JA, Ravenel JG, Costello P and Goldhaber SZ: CT signs of right ventricular dysfunction: Prognostic role in acute pulmonary embolism. JACC Cardiovasc Imaging. 4:841–849. 2011.PubMed/NCBI View Article : Google Scholar

8 

Miyagawa M, Okumura Y, Fukamachi D, Fukuda I, Nakamura M, Yamada N, Takayama M, Maeda H, Yamashita T, Ikeda T, et al: Clinical implication of the right ventricular/left ventricular diameter ratio in patients with pulmonary thromboembolism. Int Heart J. 63:255–263. 2022.PubMed/NCBI View Article : Google Scholar

9 

Wang J, Guan W, Chen D, Han Y, Xu Z, Qiang J, Chen W, Li N and Gao W: The value of CTPA for diagnosing acute pulmonary thromboembolism and the ensuing right ventricular dysfunction. Cell Biochem Biophys. 69:517–522. 2014.PubMed/NCBI View Article : Google Scholar

10 

Pastré J, Sanchis-Borja M and Benlounes M: Risk stratification and treatment of pulmonary embolism with intermediate-risk of mortality. Curr Opin Pulm Med. 28:375–383. 2022.PubMed/NCBI View Article : Google Scholar

11 

Tapson VF: Thrombolytic therapy in acute pulmonary embolism. Curr Opin Cardiol. 27:585–591. 2012.PubMed/NCBI View Article : Google Scholar

12 

Keller K, Beule J, Balzer JO and Dippold W: D-Dimer and thrombus burden in acute pulmonary embolism. Am J Emerg Med. 36:1613–1618. 2018.PubMed/NCBI View Article : Google Scholar

13 

Hu J, Tian X, Liu XW, Liu YZ, Gao BL and Li CY: Markers of right ventricular dysfunction predict 30-day adverse prognosis of pulmonary embolism on pulmonary computed tomographic angiography. Medicine (Baltimore). 102(e34304)2023.PubMed/NCBI View Article : Google Scholar

14 

Brunton N, McBane R, Casanegra AI, Houghton DE, Balanescu DV, Ahmad S, Caples S, Motiei A and Henkin S: Risk stratification and management of intermediate-risk acute pulmonary embolism. J Clin Med. 13(257)2024.PubMed/NCBI View Article : Google Scholar

15 

Park JR, Chang SA, Jang SY, No HJ, Park SJ, Choi SH, Park SW, Kim H, Choe YH, Lee KS, et al: Evaluation of right ventricular dysfunction and prediction of clinical outcomes in acute pulmonary embolism by chest computed tomography: Comparisons with echocardiography. Int J Cardiovasc Imaging. 28:979–987. 2012.PubMed/NCBI View Article : Google Scholar

16 

Ayöz S, Erol S, Kul M, Kaya AG, Çoruh AG, Savaş İ, Aydın Ö and Kaya A: Using RV/LV ratio and cardiac biomarkers to define the risk of mortality from pulmonary embolism. Tuberk Toraks. 69:297–306. 2021.PubMed/NCBI View Article : Google Scholar

17 

Ammari Z, Hasnie AA, Ruzieh M, Dasa O, Al-Sarie M, Shastri P, Ashcherkin N, Brewster PS, Cooper CJ and Gupta R: Prognostic value of computed tomography versus echocardiography derived right to left ventricular diameter ratio in acute pulmonary embolism. Am J Med Sci. 361:445–450. 2021.PubMed/NCBI View Article : Google Scholar

18 

Moore AJE, Wachsmann J, Chamarthy MR, Panjikaran L, Tanabe Y and Rajiah P: Imaging of acute pulmonary embolism: An update. Cardiovasc Diagn Ther. 8:225–243. 2018.PubMed/NCBI View Article : Google Scholar

19 

Nasser MF, Jabri A, Limaye S, Sharma S, Hamade H, Mhanna M, Aneja A and Gandhi S: Echocardiographic evaluation of pulmonary embolism: A review. J Am Soc Echocardiogr. 36:906–912. 2023.PubMed/NCBI View Article : Google Scholar

20 

Yamashita Y, Morimoto T, Amano H, Takase T, Hiramori S, Kim K, Oi M, Akao M, Kobayashi Y, Toyofuku M, et al: Validation of simplified PESI score for identification of low-risk patients with pulmonary embolism: From the COMMAND VTE registry. Eur Heart J Acute Cardiovasc Care. 9:262–270. 2020.PubMed/NCBI View Article : Google Scholar

Related Articles

  • Abstract
  • View
  • Download
  • Twitter
Copy and paste a formatted citation
Spandidos Publications style
Karakaya E, Sönmez B, Cigsar G, Sirin I and Süer Dogan I: Role of right/left ventricular diameter ratio in therapy selection for high and low intermediate‑risk pulmonary embolism in the Emergency Department. Exp Ther Med 29: 73, 2025.
APA
Karakaya, E., Sönmez, B., Cigsar, G., Sirin, I., & Süer Dogan, I. (2025). Role of right/left ventricular diameter ratio in therapy selection for high and low intermediate‑risk pulmonary embolism in the Emergency Department. Experimental and Therapeutic Medicine, 29, 73. https://doi.org/10.3892/etm.2025.12823
MLA
Karakaya, E., Sönmez, B., Cigsar, G., Sirin, I., Süer Dogan, I."Role of right/left ventricular diameter ratio in therapy selection for high and low intermediate‑risk pulmonary embolism in the Emergency Department". Experimental and Therapeutic Medicine 29.4 (2025): 73.
Chicago
Karakaya, E., Sönmez, B., Cigsar, G., Sirin, I., Süer Dogan, I."Role of right/left ventricular diameter ratio in therapy selection for high and low intermediate‑risk pulmonary embolism in the Emergency Department". Experimental and Therapeutic Medicine 29, no. 4 (2025): 73. https://doi.org/10.3892/etm.2025.12823
Copy and paste a formatted citation
x
Spandidos Publications style
Karakaya E, Sönmez B, Cigsar G, Sirin I and Süer Dogan I: Role of right/left ventricular diameter ratio in therapy selection for high and low intermediate‑risk pulmonary embolism in the Emergency Department. Exp Ther Med 29: 73, 2025.
APA
Karakaya, E., Sönmez, B., Cigsar, G., Sirin, I., & Süer Dogan, I. (2025). Role of right/left ventricular diameter ratio in therapy selection for high and low intermediate‑risk pulmonary embolism in the Emergency Department. Experimental and Therapeutic Medicine, 29, 73. https://doi.org/10.3892/etm.2025.12823
MLA
Karakaya, E., Sönmez, B., Cigsar, G., Sirin, I., Süer Dogan, I."Role of right/left ventricular diameter ratio in therapy selection for high and low intermediate‑risk pulmonary embolism in the Emergency Department". Experimental and Therapeutic Medicine 29.4 (2025): 73.
Chicago
Karakaya, E., Sönmez, B., Cigsar, G., Sirin, I., Süer Dogan, I."Role of right/left ventricular diameter ratio in therapy selection for high and low intermediate‑risk pulmonary embolism in the Emergency Department". Experimental and Therapeutic Medicine 29, no. 4 (2025): 73. https://doi.org/10.3892/etm.2025.12823
Follow us
  • Twitter
  • LinkedIn
  • Facebook
About
  • Spandidos Publications
  • Careers
  • Cookie Policy
  • Privacy Policy
How can we help?
  • Help
  • Live Chat
  • Contact
  • Email to our Support Team