Spandidos Publications Logo
  • About
    • About Spandidos
    • Aims and Scopes
    • Abstracting and Indexing
    • Editorial Policies
    • Reprints and Permissions
    • Job Opportunities
    • Terms and Conditions
    • Contact
  • Journals
    • All Journals
    • Oncology Letters
      • Oncology Letters
      • Information for Authors
      • Editorial Policies
      • Editorial Board
      • Aims and Scope
      • Abstracting and Indexing
      • Bibliographic Information
      • Archive
    • International Journal of Oncology
      • International Journal of Oncology
      • Information for Authors
      • Editorial Policies
      • Editorial Board
      • Aims and Scope
      • Abstracting and Indexing
      • Bibliographic Information
      • Archive
    • Molecular and Clinical Oncology
      • Molecular and Clinical Oncology
      • Information for Authors
      • Editorial Policies
      • Editorial Board
      • Aims and Scope
      • Abstracting and Indexing
      • Bibliographic Information
      • Archive
    • Experimental and Therapeutic Medicine
      • Experimental and Therapeutic Medicine
      • Information for Authors
      • Editorial Policies
      • Editorial Board
      • Aims and Scope
      • Abstracting and Indexing
      • Bibliographic Information
      • Archive
    • International Journal of Molecular Medicine
      • International Journal of Molecular Medicine
      • Information for Authors
      • Editorial Policies
      • Editorial Board
      • Aims and Scope
      • Abstracting and Indexing
      • Bibliographic Information
      • Archive
    • Biomedical Reports
      • Biomedical Reports
      • Information for Authors
      • Editorial Policies
      • Editorial Board
      • Aims and Scope
      • Abstracting and Indexing
      • Bibliographic Information
      • Archive
    • Oncology Reports
      • Oncology Reports
      • Information for Authors
      • Editorial Policies
      • Editorial Board
      • Aims and Scope
      • Abstracting and Indexing
      • Bibliographic Information
      • Archive
    • Molecular Medicine Reports
      • Molecular Medicine Reports
      • Information for Authors
      • Editorial Policies
      • Editorial Board
      • Aims and Scope
      • Abstracting and Indexing
      • Bibliographic Information
      • Archive
    • World Academy of Sciences Journal
      • World Academy of Sciences Journal
      • Information for Authors
      • Editorial Policies
      • Editorial Board
      • Aims and Scope
      • Abstracting and Indexing
      • Bibliographic Information
      • Archive
    • International Journal of Functional Nutrition
      • International Journal of Functional Nutrition
      • Information for Authors
      • Editorial Policies
      • Editorial Board
      • Aims and Scope
      • Abstracting and Indexing
      • Bibliographic Information
      • Archive
    • International Journal of Epigenetics
      • International Journal of Epigenetics
      • Information for Authors
      • Editorial Policies
      • Editorial Board
      • Aims and Scope
      • Abstracting and Indexing
      • Bibliographic Information
      • Archive
    • Medicine International
      • Medicine International
      • Information for Authors
      • Editorial Policies
      • Editorial Board
      • Aims and Scope
      • Abstracting and Indexing
      • Bibliographic Information
      • Archive
  • Articles
  • Information
    • Information for Authors
    • Information for Reviewers
    • Information for Librarians
    • Information for Advertisers
    • Conferences
  • Language Editing
Spandidos Publications Logo
  • About
    • About Spandidos
    • Aims and Scopes
    • Abstracting and Indexing
    • Editorial Policies
    • Reprints and Permissions
    • Job Opportunities
    • Terms and Conditions
    • Contact
  • Journals
    • All Journals
    • Biomedical Reports
      • Information for Authors
      • Editorial Policies
      • Editorial Board
      • Aims and Scope
      • Abstracting and Indexing
      • Bibliographic Information
      • Archive
    • Experimental and Therapeutic Medicine
      • Information for Authors
      • Editorial Policies
      • Editorial Board
      • Aims and Scope
      • Abstracting and Indexing
      • Bibliographic Information
      • Archive
    • International Journal of Epigenetics
      • Information for Authors
      • Editorial Policies
      • Editorial Board
      • Aims and Scope
      • Abstracting and Indexing
      • Bibliographic Information
      • Archive
    • International Journal of Functional Nutrition
      • Information for Authors
      • Editorial Policies
      • Editorial Board
      • Aims and Scope
      • Abstracting and Indexing
      • Bibliographic Information
      • Archive
    • International Journal of Molecular Medicine
      • Information for Authors
      • Editorial Policies
      • Editorial Board
      • Aims and Scope
      • Abstracting and Indexing
      • Bibliographic Information
      • Archive
    • International Journal of Oncology
      • Information for Authors
      • Editorial Policies
      • Editorial Board
      • Aims and Scope
      • Abstracting and Indexing
      • Bibliographic Information
      • Archive
    • Medicine International
      • Information for Authors
      • Editorial Policies
      • Editorial Board
      • Aims and Scope
      • Abstracting and Indexing
      • Bibliographic Information
      • Archive
    • Molecular and Clinical Oncology
      • Information for Authors
      • Editorial Policies
      • Editorial Board
      • Aims and Scope
      • Abstracting and Indexing
      • Bibliographic Information
      • Archive
    • Molecular Medicine Reports
      • Information for Authors
      • Editorial Policies
      • Editorial Board
      • Aims and Scope
      • Abstracting and Indexing
      • Bibliographic Information
      • Archive
    • Oncology Letters
      • Information for Authors
      • Editorial Policies
      • Editorial Board
      • Aims and Scope
      • Abstracting and Indexing
      • Bibliographic Information
      • Archive
    • Oncology Reports
      • Information for Authors
      • Editorial Policies
      • Editorial Board
      • Aims and Scope
      • Abstracting and Indexing
      • Bibliographic Information
      • Archive
    • World Academy of Sciences Journal
      • Information for Authors
      • Editorial Policies
      • Editorial Board
      • Aims and Scope
      • Abstracting and Indexing
      • Bibliographic Information
      • Archive
  • Articles
  • Information
    • For Authors
    • For Reviewers
    • For Librarians
    • For Advertisers
    • Conferences
  • Language Editing
Login Register Submit
  • This site uses cookies
  • You can change your cookie settings at any time by following the instructions in our Cookie Policy. To find out more, you may read our Privacy Policy.

    I agree
Search articles by DOI, keyword, author or affiliation
Search
Advanced Search
presentation
Experimental and Therapeutic Medicine
Join Editorial Board Propose a Special Issue
Print ISSN: 1792-0981 Online ISSN: 1792-1015
Journal Cover
June-2025 Volume 29 Issue 6

Full Size Image

Sign up for eToc alerts
Recommend to Library

Journals

International Journal of Molecular Medicine

International Journal of Molecular Medicine

International Journal of Molecular Medicine is an international journal devoted to molecular mechanisms of human disease.

International Journal of Oncology

International Journal of Oncology

International Journal of Oncology is an international journal devoted to oncology research and cancer treatment.

Molecular Medicine Reports

Molecular Medicine Reports

Covers molecular medicine topics such as pharmacology, pathology, genetics, neuroscience, infectious diseases, molecular cardiology, and molecular surgery.

Oncology Reports

Oncology Reports

Oncology Reports is an international journal devoted to fundamental and applied research in Oncology.

Experimental and Therapeutic Medicine

Experimental and Therapeutic Medicine

Experimental and Therapeutic Medicine is an international journal devoted to laboratory and clinical medicine.

Oncology Letters

Oncology Letters

Oncology Letters is an international journal devoted to Experimental and Clinical Oncology.

Biomedical Reports

Biomedical Reports

Explores a wide range of biological and medical fields, including pharmacology, genetics, microbiology, neuroscience, and molecular cardiology.

Molecular and Clinical Oncology

Molecular and Clinical Oncology

International journal addressing all aspects of oncology research, from tumorigenesis and oncogenes to chemotherapy and metastasis.

World Academy of Sciences Journal

World Academy of Sciences Journal

Multidisciplinary open-access journal spanning biochemistry, genetics, neuroscience, environmental health, and synthetic biology.

International Journal of Functional Nutrition

International Journal of Functional Nutrition

Open-access journal combining biochemistry, pharmacology, immunology, and genetics to advance health through functional nutrition.

International Journal of Epigenetics

International Journal of Epigenetics

Publishes open-access research on using epigenetics to advance understanding and treatment of human disease.

Medicine International

Medicine International

An International Open Access Journal Devoted to General Medicine.

Journal Cover
June-2025 Volume 29 Issue 6

Full Size Image

Sign up for eToc alerts
Recommend to Library

  • Article
  • Citations
    • Cite This Article
    • Download Citation
    • Create Citation Alert
    • Remove Citation Alert
    • Cited By
  • Similar Articles
    • Related Articles (in Spandidos Publications)
    • Similar Articles (Google Scholar)
    • Similar Articles (PubMed)
  • Download PDF
  • Download XML
  • View XML

  • Supplementary Files
    • Supplementary_Data.pdf
Case Report Open Access

Cryobiopsy for diagnosing acute fibrinous and organizing pneumonia during breast cancer treatment: A case report

  • Authors:
    • Susumu Tsunoda
    • Takahiro Mitsumura
    • Tatsuya Kato
    • Hiroshi Nakahama
    • Yuichiro Nei
    • Shigeo Hanada
    • Atsushi Miyamoto
    • Hironori Uruga
    • Takeshi Fujii
    • Yoko Kobayashi
    • Meiyo Tamaoka
  • View Affiliations / Copyright

    Affiliations: Department of Respiratory Medicine, Respiratory Center, Toranomon Hospital, Minato‑ku, Tokyo 105‑8470, Japan, Department of Diagnostic Pathology, Toranomon Hospital, Minato‑ku, Tokyo 105‑8470, Japan, Department of Breast and Endocrinology Surgery, Toranomon Hospital, Minato‑ku, Tokyo 105‑8470, Japan
    Copyright: © Tsunoda et al. This is an open access article distributed under the terms of Creative Commons Attribution License.
  • Article Number: 115
    |
    Published online on: April 8, 2025
       https://doi.org/10.3892/etm.2025.12865
  • Expand metrics +
Metrics: Total Views: 0 (Spandidos Publications: | PMC Statistics: )
Metrics: Total PDF Downloads: 0 (Spandidos Publications: | PMC Statistics: )
Cited By (CrossRef): 0 citations Loading Articles...

This article is mentioned in:



Abstract

Current standard treatments for breast cancer have the potential to induce interstitial pneumonia. The present report describes a case of acute fibrinous and organizing pneumonia (AFOP) in a 52‑year‑old female patient undergoing adjuvant therapy with abemaciclib following breast cancer surgery. The patient received abemaciclib after completion of radiation therapy. On the 85th day of abemaciclib administration and 157th day after radiation therapy initiation, the patient presented with dyspnea. CT findings were indicative of interstitial pneumonitis, warranting hospitalization. During hospitalization, transbronchial lung cryobiopsy (TBLC) was performed, which revealed pathological findings consistent with AFOP. Following two 3‑day doses of 1 g intravenous methylprednisolone therapy, tacrolimus (2 mg/day) was administered and the patient was switched to oral prednisolone. The patient was discharged on the 25th day of hospitalization. Advances in bronchoscopic techniques, including TBLC, may aid in diagnosing lung injuries.

Introduction

Recent advancements in breast cancer treatment have established chemotherapy, hormone therapy, and radiation therapy as standard adjuvant therapies after surgery (1). Additionally, CDK4/6 inhibitors are recommended as the first-line treatment for hormone receptor-positive, HER2-negative advanced, or recurrent breast cancer in combination with endocrine therapies, such as aromatase inhibitors or fulvestrant. This combination substantially improves the progression-free survival of patients (2-4). In addition, abemaciclib in an adjuvant setting improves the invasive disease-free survival in patients with high-risk HR+/HER2-early breast cancer (1). However, these treatments are associated with a potential risk of inducing interstitial pneumonitis, which can sometimes become severe and impact subsequent treatments. Herein, we report a case of acute fibrinous and organizing pneumonia (AFOP) diagnosed using transbronchial lung cryobiopsy (TBLC), complicating adjuvant therapy in a patient who had undergone surgical intervention for breast cancer.

Case report

A 52-year-old woman underwent left total mastectomy with axillary dissection and right total mastectomy for pT2N3aM0 stage IIIC breast cancer (left breast; invasive ductal carcinoma, estrogen receptor-positive, progesterone receptor-negative, Ki-67 25%) and pTisN0M0 stage 0 breast cancer (right breast; ductal carcinoma in situ, estrogen receptor-positive, progesterone receptor-positive, Ki-67 5%). Post-surgery, the patient received adjuvant therapy consisting of four cycles of dose-dense doxorubicin and cyclophosphamide chemotherapy, four cycles of dose-dense paclitaxel monotherapy, tamoxifen hormone therapy, and tangential irradiation therapy of 50 Gy in 25 fractions (Fig. 1). The radiation therapy caused erythema at the irradiation site, which improved after application of dimethyl isopropyl azulene ointment (dermatitis radiation grade 2). On day 366 after mastectomy and 20 days after the completion of radiation therapy, the adjuvant therapy with abemaciclib (300 mg/day) was initiated. On day 85 of abemaciclib treatment and 157 days after completion of radiation therapy, the patient presented with a history of cough, fever, and dyspnea for 1 week. CT findings were suggestive of interstitial pneumonitis (Fig. 2), and the patient was admitted for suspected drug-induced pneumonitis or radiation pneumonitis. The pneumonitis was classified as grade 3 according to the Common Terminology Criteria for Adverse Events, and abemaciclib was discontinued. Ampicillin/sulbactam treatment was initiated because bacterial pneumonia could not be ruled out.

Figure 1

Radiation dose distribution of three-dimensional chemoradiotherapy for initial treatment. (A) Axial view. (B) Coronal view. (C) Sagittal view.

Figure 2

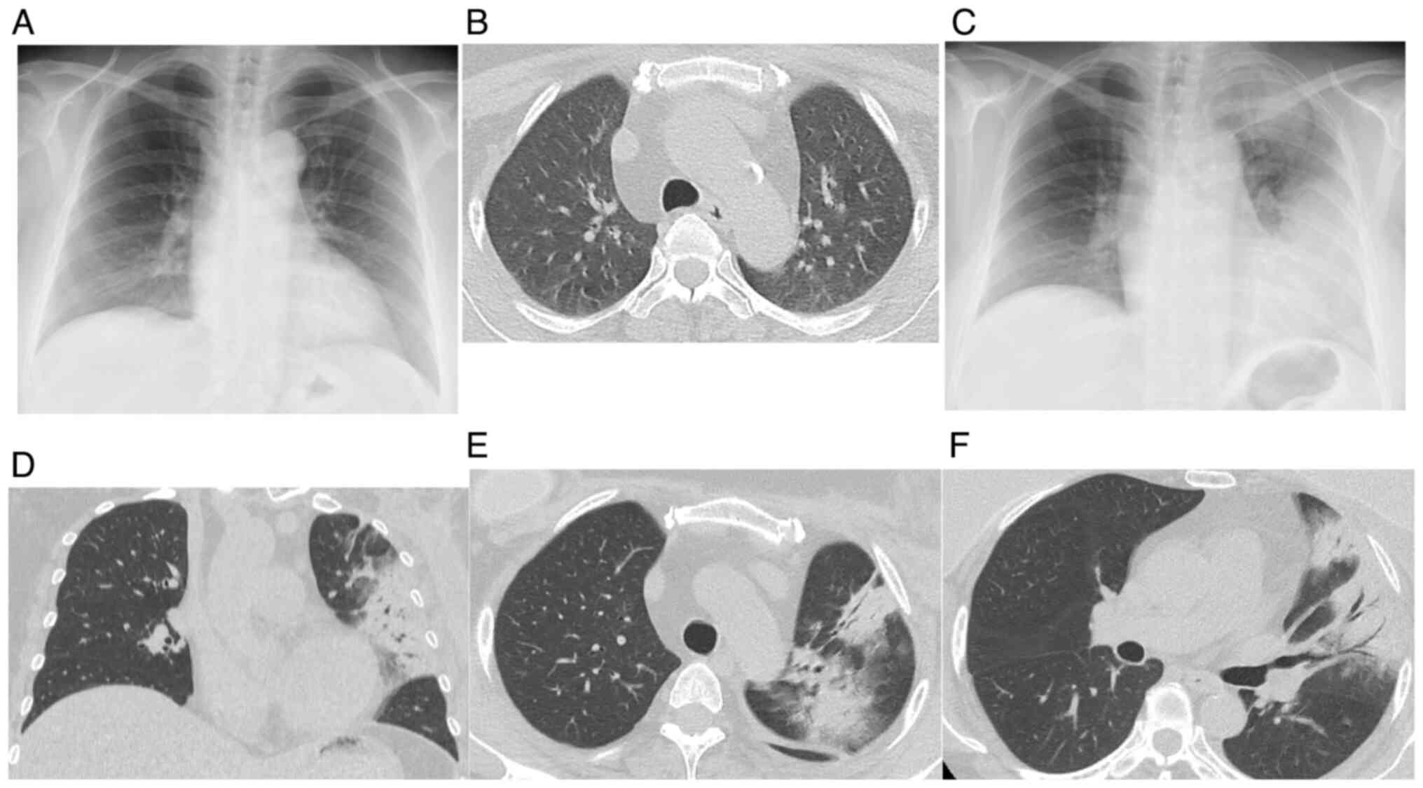
CT findings and chest radiograph findings. (A) Chest radiograph and (B) chest CT taken before the initiation of radiation therapy and abemaciclib treatment. (C) Chest radiograph revealing extensively decreased transparency throughout the left lung. Chest CT showing infiltrative shadows with bronchial transparency corresponding to the radiation-exposed area. (D) Coronal view. (E) Axial view. (F) Axial view.

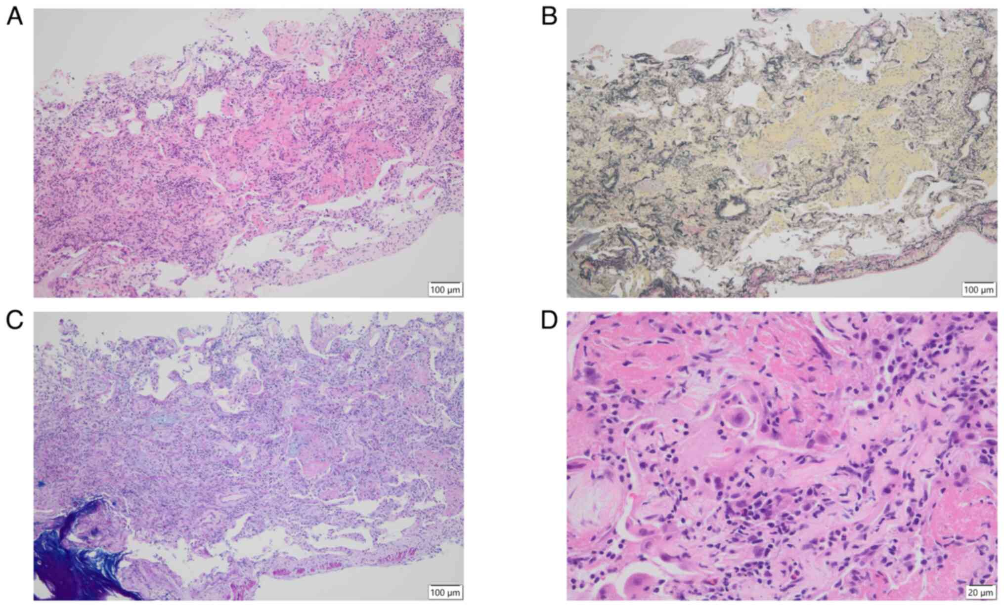
On day 3, TBLC was performed, followed by intravenous methylprednisolone therapy (1 g/day, 15 mg/kg for 3 days) and oral prednisolone (50 mg daily, 0.8 mg/kg). Pathological analysis of the TBLC specimens obtained on hospital day 9 confirmed the diagnosis of AFOP (Fig. 3). Given the unilateral distribution of the lesions, corresponding to the radiation field and extending centrally, radiation pneumonitis-induced AFOP was diagnosed. Pathological examination revealed no evidence of viral or fungal infections. Despite the initial high-dose steroid therapy, the symptoms persisted. Therefore, on day 10, intravenous methylprednisolone therapy (1 g/day, 15 mg/kg for 3 days) was re-administered, and oral prednisolone (50 mg daily, 0.8 mg/kg) was re-administered after a second round of intravenous methylprednisolone therapy. On day 13, tacrolimus (2 mg/day) was added to allow for a faster tapering of steroids. Chest CT performed on day 14 revealed improvements in left upper lobe consolidation. Because bacterial pneumonia was considered unlikely, ampicillin/sulbactam was discontinued. With further improvement in CT findings and respiratory status with combined use of tacrolimus, the dose of prednisolone was reduced to 40 mg/day on day 15. Owing to the low concentration of tacrolimus, the dose was increased to 3 mg on day 18. As there was no respiratory deterioration, prednisolone was further tapered to 30 mg/day on day 22, and the patient was discharged on day 25. Following discharge, the prednisolone taper dose was tapered by 5 mg/day every 2 weeks. Tacrolimus was discontinued 2 weeks after discharge because CT revealed fluid accumulation around the surgical site in the left breast (Fig. S1). The infection was successfully treated with aspiration drainage and a 14-day course of cephalexin. Prednisolone was fully discontinued at the 19th week after discharge, and the patient experienced no further respiratory symptoms (Figs. 4 and 5).

Figure 3

Histological findings of cryobiopsy samples. (A) Hematoxylin and eosin-stained transbronchial lung cryobiopsy specimen revealing extensive fibrin accumulation within the alveolar spaces. Scale bar, 100 µm. (B) Elastica van Gieson staining showing relatively preserved alveolar septa. Scale bar, 100 µm. (C) Alcian Blue Periodic acid-Schiff staining demonstrating scattered intra-alveolar organizing fibrosis. Scale bar, 100 µm. (D) At a higher magnification of (A), alveolar type 2 pneumocyte swelling was observed. Scale bar, 20 µm.

Figure 4

Progress chart and chest radiography findings. This shows the progress of steroid and Tac dosages along with the chest radiography findings over time. PSL, prednisolone; Tac, tacrolimus.

Figure 5

CT findings after immunosuppressive therapy. (A) Day 45. (B) Day 194. Infiltrative shadows improved progressively over time.

Discussion

This report described a case of lung injury during treatment with abemaciclib following postoperative doxorubicin and cyclophosphamide chemotherapy, paclitaxel monotherapy, tamoxifen hormone therapy, and radiation therapy in a patient with pT2N3aM0 stage IIIC breast cancer (left breast) and pTisN0M0 stage 0 breast cancer (right breast). The lung injury was localized to one side, corresponding to the radiation field, and extended centrally. Based on these findings, TBLC confirmed the diagnosis of radiation pneumonitis-induced AFOP.

AFOP is a rare histological pattern of interstitial pneumonitis characterized by intra-alveolar fibrin deposition and organizing pneumonitis. AFOP is a histological subtype characterized by more severe epithelial injury and a poorer prognosis compared to organizing pneumonia (OP) (5). The diagnosis and treatment of AFOP can be challenging because of its rarity and lack of consensus on clinical management. TBLC has emerged as a valuable tool for diagnosing AFOP and other interstitial lung diseases. TBLC can effectively diagnose AFOP by revealing characteristic histological features, such as intra-alveolar fibrin deposition and OP (6). TBLC allows for larger and better-preserved tissue samples than that of traditional forceps biopsy, which is crucial for accurate histopathological evaluation. In the present case, TBLC played a key role in confirming the diagnosis of AFOP.

Radiation pneumonitis is a critical adverse event associated with breast cancer radiotherapy. A systematic review of articles published between 1995 and 2014 reported a prevalence of 0.8-2.9% (7). The estimated incidence of radiation pneumonitis was 3.0-76%, particularly in patients who had received prior systemic treatments (7,8). The incidence of grade 2 or higher radiation pneumonitis in breast cancer ranges from 0.8 to 19.6% (9-16). Although cases of radiation pneumonitis diagnosed using TBLC have been reported, they are relatively few (17,18).

Moreover, lung injury caused by abemaciclib has also been reported, with 2.7% of the patients treated with abemaciclib developing interstitial lung disease (ILD) of any grade, 0.3% of patients developing grade 3 ILD (1). Factors such as previous radiation therapy, pre-existing lung conditions, and concurrent use of other pulmonary toxic agents may further elevate this risk (19). In the present case, the patient developed lung injury after undergoing radiation therapy and had multiple risk factors. Given these considerations, we closely monitored for potential adverse effects of abemaciclib or radiation therapy when respiratory symptoms appeared. Patients were also advised to contact the hospital promptly in case of any respiratory concerns. Discontinuation of abemaciclib was considered as part of the management strategy.

AFOP requires more intensive treatment than OP. The treatment of AFOP is determined based on the individual patient's condition and underlying etiology, and there are no standardized treatment guidelines. However, treatment commonly involves high-dose steroid therapy and concomitant use of immunosuppressive agents (20). In contrast, mild OP may improve spontaneously and can sometimes be managed with observation. Treatment typically involves steroid therapy administered for several weeks to months. In our patient, treatment included high-dose steroid therapy in addition to immunosuppressive therapy with tacrolimus, and the diagnosis of AFOP by TBLC altered the treatment approach.

As drug- and radiation-induced lung injuries have become increasingly common in patients with advanced breast cancer, careful evaluation of treatment-associated pulmonary complications is essential. Advances in bronchoscopic techniques, including TBLC, may facilitate the diagnosis of lung injuries and highlight the importance of prompt bronchoscopic biopsy.

Supplementary Material

Chest CT image taken 2 weeks after discharge. Fluid accumulation was observed around the surgical site in the left breast, suggesting a postoperative infection (yellow arrowhead).

Acknowledgements

Not applicable.

Funding

Funding: No funding was received.

Availability of data and materials

The data generated in the present study may be requested from the corresponding author.

Authors' contributions

ST and TM wrote the manuscript, and conducted the background research. ST, TM, TK, HN, YN, SH, AM, YK and MT were the attending doctors of the patient and contributed to acquiring the patient data. ST, TM and MT played essential roles in interpreting the pathogenesis of this case and determining the treatment strategy. HU and TF interpreted the lung biopsy specimens as specialists in pathology. ST, TM and MT confirmed the authenticity of all the raw data. TM and MT supervised manuscript writing. All authors read and approved the final version of the manuscript.

Ethics approval and consent to participate

Not applicable.

Patient consent for publication

The patient provided written consent for the publication of this case report under anonymity.

Competing interests

The authors declare that they have no competing interests.

References

1 

Johnston SRD, Harbeck N, Hegg R, Toi M, Martin M, Shao ZM, Zhang QY, Martinez Rodriguez JL, Campone M, Hamilton E, et al: Abemaciclib combined with endocrine therapy for the adjuvant treatment of HR+, HER2-, node-positive, high-risk, early breast cancer (monarchE). J Clin Oncol. 38:3987–3998. 2020.PubMed/NCBI View Article : Google Scholar

2 

Goetz MP, Toi M, Campone M, Sohn J, Paluch-Shimon S, Huober J, Park IH, Trédan O, Chen SC, Manso L, et al: MONARCH 3: Abemaciclib as initial therapy for advanced breast cancer. J Clin Oncol. 35:3638–3646. 2017.PubMed/NCBI View Article : Google Scholar

3 

Johnston S, Martin M, Di Leo A, Im SA, Awada A, Forrester T, Frenzel M, Hardebeck MC, Cox J, Barriga S, et al: MONARCH 3 final PFS: A randomized study of abemaciclib as initial therapy for advanced breast cancer. NPJ Breast Cancer. 17(5)2019.PubMed/NCBI View Article : Google Scholar

4 

Johnston S, O'Shaughnessy J, Martin M, Huober J, Toi M, Sohn J, André VAM, Martin HR, Hardebeck MC and Goetz MP: Abemaciclib as initial therapy for advanced breast cancer: MONARCH 3 updated results in prognostic subgroups. NPJ Breast Cancer. 7(80)2021.PubMed/NCBI View Article : Google Scholar

5 

Santos C, Oliveira RC, Serra P, Baptista JP, Sousa E, Casanova P, Pimentel J and Carvalho L: Pathophysiology of acute fibrinous and organizing pneumonia-Clinical and morphological spectra. Pathophysiology. 26:213–217. 2019.PubMed/NCBI View Article : Google Scholar

6 

Zhao X, Cheng Y, Xiong Y and Wang G: Pulmonary tuberculosis associated acute fibrinous and organizing pneumonia: A case report and literature review. Clin Respir J. 17:499–506. 2023.PubMed/NCBI View Article : Google Scholar

7 

Epler GR and Kelly EM: Systematic review of postradiotherapy bronchiolitis obliterans organizing pneumonia in women with breast cancer. Oncologist. 19:1216–1226. 2014.PubMed/NCBI View Article : Google Scholar

8 

Vasiljevic D, Arnold C, Neuman D, Fink K, Popovscaia M, Kvitsaridze I, Nevinny-Stickel M, Glatzer M, Lukas P and Seppi T: Occurrence of pneumonitis following radiotherapy of breast cancer-A prospective study. Strahlenther Onkol. 194:520–532. 2018.PubMed/NCBI View Article : Google Scholar

9 

Eggert MC, Yu NY and Rades D: Radiation dermatitis and pneumonitis in patients irradiated for breast cancer. In Vivo. 37:2654–2661. 2023.PubMed/NCBI View Article : Google Scholar

10 

Werner EM, Eggert MC, Bohnet S and Rades D: Prevalence and characteristics of pneumonitis following irradiation of breast cancer. Anticancer Res. 39:6355–6358. 2019.PubMed/NCBI View Article : Google Scholar

11 

Abdeltawab AA, Ali SA, Mostafa HG and Hassan MA: Predictive factors increasing the risk of radiation toxicity in patients with early breast cancer. Asian Pac J Cancer Prev. 22:145–149. 2021.PubMed/NCBI View Article : Google Scholar

12 

Sato H, Ebi J, Tamaki T, Yukawa A, Nakajima M, Ohtake T and Suzuki Y: Incidence of organizing pneumonia after whole-breast radiotherapy for breast cancer, and risk factor analysis. J Radiat Res. 298–302. 2018.PubMed/NCBI View Article : Google Scholar

13 

Wen G, Tan YT, Lan XW, He ZC, Huang JH, Shi JT, Lin X and Huang XB: New clinical features and dosimetric predictor identification for symptomatic radiation pneumonitis after tangential irradiation in breast cancer patients. J Cancer. 8:3795–3802. 2017.PubMed/NCBI View Article : Google Scholar

14 

Yu TK, Whitman GJ, Thames HD, Buzdar AU, Strom EA, Perkins GH, Schechter NR, McNeese MD and Kau SW: Clinically relevant pneumonitis after sequential paclitaxel-based chemotherapy and radiotherapy in breast cancer patients. J Natl Cancer Inst. 96:1676–1681. 2004.PubMed/NCBI View Article : Google Scholar

15 

Dörr W, Bertmann S and Herrmann T: Radiation induced lung reactions in breast cancer therapy: Modulating factors and consequential effects. Strahlenther Onkol. 181:567–573. 2005.PubMed/NCBI View Article : Google Scholar

16 

Jeba J, Isiah R, Subhashini J, Backianathan S, Thangakunam B and Christopher DJ: Radiation pneumonitis after conventional radiotherapy for breast cancer: A prospective study. J Clin Diagn Res. 9:XC01–XC05. 2015.PubMed/NCBI View Article : Google Scholar

17 

Zaizen Y, Tachibana Y, Ozasa M, Yamano Y, Takei R, Kohashi Y, Kataoka K, Saito Y, Tabata K, Okamoto M, et al: Sensitivity of transbronchial lung cryobiopsy in the diagnosis of different interstitial lung diseases. Sci Rep. 12(22037)2022.PubMed/NCBI View Article : Google Scholar

18 

Ramaswamy A, Homer R, Killam J, Pisani MA, Murphy TE, Araujo K and Puchalski J: Comparison of transbronchial and cryobiopsies in evaluation of diffuse parenchymal lung disease. J Bronchology Interv Pulmonol. 23:14–21. 2016.PubMed/NCBI View Article : Google Scholar

19 

Mathew N, Joel A, Andrews AG, John AO and Singh A: CDK 4/6 inhibitor induced lung injury: A case report and review of literature. Ecancermedicalscience. 15(1245)2021.PubMed/NCBI View Article : Google Scholar

20 

Kuza C, Matheos T, Kathman D and Heard SO: Life after acute fibrinous and organizing pneumonia: A case report of a patient 30 months after diagnosis and review of the literature. J Crit Care. 31:255–261. 2016.PubMed/NCBI View Article : Google Scholar

Related Articles

  • Abstract
  • View
  • Download
  • Twitter
Copy and paste a formatted citation
Spandidos Publications style
Tsunoda S, Mitsumura T, Kato T, Nakahama H, Nei Y, Hanada S, Miyamoto A, Uruga H, Fujii T, Kobayashi Y, Kobayashi Y, et al: Cryobiopsy for diagnosing acute fibrinous and organizing pneumonia during breast cancer treatment: A case report. Exp Ther Med 29: 115, 2025.
APA
Tsunoda, S., Mitsumura, T., Kato, T., Nakahama, H., Nei, Y., Hanada, S. ... Tamaoka, M. (2025). Cryobiopsy for diagnosing acute fibrinous and organizing pneumonia during breast cancer treatment: A case report. Experimental and Therapeutic Medicine, 29, 115. https://doi.org/10.3892/etm.2025.12865
MLA
Tsunoda, S., Mitsumura, T., Kato, T., Nakahama, H., Nei, Y., Hanada, S., Miyamoto, A., Uruga, H., Fujii, T., Kobayashi, Y., Tamaoka, M."Cryobiopsy for diagnosing acute fibrinous and organizing pneumonia during breast cancer treatment: A case report". Experimental and Therapeutic Medicine 29.6 (2025): 115.
Chicago
Tsunoda, S., Mitsumura, T., Kato, T., Nakahama, H., Nei, Y., Hanada, S., Miyamoto, A., Uruga, H., Fujii, T., Kobayashi, Y., Tamaoka, M."Cryobiopsy for diagnosing acute fibrinous and organizing pneumonia during breast cancer treatment: A case report". Experimental and Therapeutic Medicine 29, no. 6 (2025): 115. https://doi.org/10.3892/etm.2025.12865
Copy and paste a formatted citation
x
Spandidos Publications style
Tsunoda S, Mitsumura T, Kato T, Nakahama H, Nei Y, Hanada S, Miyamoto A, Uruga H, Fujii T, Kobayashi Y, Kobayashi Y, et al: Cryobiopsy for diagnosing acute fibrinous and organizing pneumonia during breast cancer treatment: A case report. Exp Ther Med 29: 115, 2025.
APA
Tsunoda, S., Mitsumura, T., Kato, T., Nakahama, H., Nei, Y., Hanada, S. ... Tamaoka, M. (2025). Cryobiopsy for diagnosing acute fibrinous and organizing pneumonia during breast cancer treatment: A case report. Experimental and Therapeutic Medicine, 29, 115. https://doi.org/10.3892/etm.2025.12865
MLA
Tsunoda, S., Mitsumura, T., Kato, T., Nakahama, H., Nei, Y., Hanada, S., Miyamoto, A., Uruga, H., Fujii, T., Kobayashi, Y., Tamaoka, M."Cryobiopsy for diagnosing acute fibrinous and organizing pneumonia during breast cancer treatment: A case report". Experimental and Therapeutic Medicine 29.6 (2025): 115.
Chicago
Tsunoda, S., Mitsumura, T., Kato, T., Nakahama, H., Nei, Y., Hanada, S., Miyamoto, A., Uruga, H., Fujii, T., Kobayashi, Y., Tamaoka, M."Cryobiopsy for diagnosing acute fibrinous and organizing pneumonia during breast cancer treatment: A case report". Experimental and Therapeutic Medicine 29, no. 6 (2025): 115. https://doi.org/10.3892/etm.2025.12865
Follow us
  • Twitter
  • LinkedIn
  • Facebook
About
  • Spandidos Publications
  • Careers
  • Cookie Policy
  • Privacy Policy
How can we help?
  • Help
  • Live Chat
  • Contact
  • Email to our Support Team