Spandidos Publications Logo
  • About
    • About Spandidos
    • Aims and Scopes
    • Abstracting and Indexing
    • Editorial Policies
    • Reprints and Permissions
    • Job Opportunities
    • Terms and Conditions
    • Contact
  • Journals
    • All Journals
    • Oncology Letters
      • Oncology Letters
      • Information for Authors
      • Editorial Policies
      • Editorial Board
      • Aims and Scope
      • Abstracting and Indexing
      • Bibliographic Information
      • Archive
    • International Journal of Oncology
      • International Journal of Oncology
      • Information for Authors
      • Editorial Policies
      • Editorial Board
      • Aims and Scope
      • Abstracting and Indexing
      • Bibliographic Information
      • Archive
    • Molecular and Clinical Oncology
      • Molecular and Clinical Oncology
      • Information for Authors
      • Editorial Policies
      • Editorial Board
      • Aims and Scope
      • Abstracting and Indexing
      • Bibliographic Information
      • Archive
    • Experimental and Therapeutic Medicine
      • Experimental and Therapeutic Medicine
      • Information for Authors
      • Editorial Policies
      • Editorial Board
      • Aims and Scope
      • Abstracting and Indexing
      • Bibliographic Information
      • Archive
    • International Journal of Molecular Medicine
      • International Journal of Molecular Medicine
      • Information for Authors
      • Editorial Policies
      • Editorial Board
      • Aims and Scope
      • Abstracting and Indexing
      • Bibliographic Information
      • Archive
    • Biomedical Reports
      • Biomedical Reports
      • Information for Authors
      • Editorial Policies
      • Editorial Board
      • Aims and Scope
      • Abstracting and Indexing
      • Bibliographic Information
      • Archive
    • Oncology Reports
      • Oncology Reports
      • Information for Authors
      • Editorial Policies
      • Editorial Board
      • Aims and Scope
      • Abstracting and Indexing
      • Bibliographic Information
      • Archive
    • Molecular Medicine Reports
      • Molecular Medicine Reports
      • Information for Authors
      • Editorial Policies
      • Editorial Board
      • Aims and Scope
      • Abstracting and Indexing
      • Bibliographic Information
      • Archive
    • World Academy of Sciences Journal
      • World Academy of Sciences Journal
      • Information for Authors
      • Editorial Policies
      • Editorial Board
      • Aims and Scope
      • Abstracting and Indexing
      • Bibliographic Information
      • Archive
    • International Journal of Functional Nutrition
      • International Journal of Functional Nutrition
      • Information for Authors
      • Editorial Policies
      • Editorial Board
      • Aims and Scope
      • Abstracting and Indexing
      • Bibliographic Information
      • Archive
    • International Journal of Epigenetics
      • International Journal of Epigenetics
      • Information for Authors
      • Editorial Policies
      • Editorial Board
      • Aims and Scope
      • Abstracting and Indexing
      • Bibliographic Information
      • Archive
    • Medicine International
      • Medicine International
      • Information for Authors
      • Editorial Policies
      • Editorial Board
      • Aims and Scope
      • Abstracting and Indexing
      • Bibliographic Information
      • Archive
  • Articles
  • Information
    • Information for Authors
    • Information for Reviewers
    • Information for Librarians
    • Information for Advertisers
    • Conferences
  • Language Editing
Spandidos Publications Logo
  • About
    • About Spandidos
    • Aims and Scopes
    • Abstracting and Indexing
    • Editorial Policies
    • Reprints and Permissions
    • Job Opportunities
    • Terms and Conditions
    • Contact
  • Journals
    • All Journals
    • Biomedical Reports
      • Information for Authors
      • Editorial Policies
      • Editorial Board
      • Aims and Scope
      • Abstracting and Indexing
      • Bibliographic Information
      • Archive
    • Experimental and Therapeutic Medicine
      • Information for Authors
      • Editorial Policies
      • Editorial Board
      • Aims and Scope
      • Abstracting and Indexing
      • Bibliographic Information
      • Archive
    • International Journal of Epigenetics
      • Information for Authors
      • Editorial Policies
      • Editorial Board
      • Aims and Scope
      • Abstracting and Indexing
      • Bibliographic Information
      • Archive
    • International Journal of Functional Nutrition
      • Information for Authors
      • Editorial Policies
      • Editorial Board
      • Aims and Scope
      • Abstracting and Indexing
      • Bibliographic Information
      • Archive
    • International Journal of Molecular Medicine
      • Information for Authors
      • Editorial Policies
      • Editorial Board
      • Aims and Scope
      • Abstracting and Indexing
      • Bibliographic Information
      • Archive
    • International Journal of Oncology
      • Information for Authors
      • Editorial Policies
      • Editorial Board
      • Aims and Scope
      • Abstracting and Indexing
      • Bibliographic Information
      • Archive
    • Medicine International
      • Information for Authors
      • Editorial Policies
      • Editorial Board
      • Aims and Scope
      • Abstracting and Indexing
      • Bibliographic Information
      • Archive
    • Molecular and Clinical Oncology
      • Information for Authors
      • Editorial Policies
      • Editorial Board
      • Aims and Scope
      • Abstracting and Indexing
      • Bibliographic Information
      • Archive
    • Molecular Medicine Reports
      • Information for Authors
      • Editorial Policies
      • Editorial Board
      • Aims and Scope
      • Abstracting and Indexing
      • Bibliographic Information
      • Archive
    • Oncology Letters
      • Information for Authors
      • Editorial Policies
      • Editorial Board
      • Aims and Scope
      • Abstracting and Indexing
      • Bibliographic Information
      • Archive
    • Oncology Reports
      • Information for Authors
      • Editorial Policies
      • Editorial Board
      • Aims and Scope
      • Abstracting and Indexing
      • Bibliographic Information
      • Archive
    • World Academy of Sciences Journal
      • Information for Authors
      • Editorial Policies
      • Editorial Board
      • Aims and Scope
      • Abstracting and Indexing
      • Bibliographic Information
      • Archive
  • Articles
  • Information
    • For Authors
    • For Reviewers
    • For Librarians
    • For Advertisers
    • Conferences
  • Language Editing
Login Register Submit
  • This site uses cookies
  • You can change your cookie settings at any time by following the instructions in our Cookie Policy. To find out more, you may read our Privacy Policy.

    I agree
Search articles by DOI, keyword, author or affiliation
Search
Advanced Search
presentation
Experimental and Therapeutic Medicine
Join Editorial Board Propose a Special Issue
Print ISSN: 1792-0981 Online ISSN: 1792-1015
Journal Cover
February-2026 Volume 31 Issue 2

Full Size Image

Sign up for eToc alerts
Recommend to Library

Journals

International Journal of Molecular Medicine

International Journal of Molecular Medicine

International Journal of Molecular Medicine is an international journal devoted to molecular mechanisms of human disease.

International Journal of Oncology

International Journal of Oncology

International Journal of Oncology is an international journal devoted to oncology research and cancer treatment.

Molecular Medicine Reports

Molecular Medicine Reports

Covers molecular medicine topics such as pharmacology, pathology, genetics, neuroscience, infectious diseases, molecular cardiology, and molecular surgery.

Oncology Reports

Oncology Reports

Oncology Reports is an international journal devoted to fundamental and applied research in Oncology.

Experimental and Therapeutic Medicine

Experimental and Therapeutic Medicine

Experimental and Therapeutic Medicine is an international journal devoted to laboratory and clinical medicine.

Oncology Letters

Oncology Letters

Oncology Letters is an international journal devoted to Experimental and Clinical Oncology.

Biomedical Reports

Biomedical Reports

Explores a wide range of biological and medical fields, including pharmacology, genetics, microbiology, neuroscience, and molecular cardiology.

Molecular and Clinical Oncology

Molecular and Clinical Oncology

International journal addressing all aspects of oncology research, from tumorigenesis and oncogenes to chemotherapy and metastasis.

World Academy of Sciences Journal

World Academy of Sciences Journal

Multidisciplinary open-access journal spanning biochemistry, genetics, neuroscience, environmental health, and synthetic biology.

International Journal of Functional Nutrition

International Journal of Functional Nutrition

Open-access journal combining biochemistry, pharmacology, immunology, and genetics to advance health through functional nutrition.

International Journal of Epigenetics

International Journal of Epigenetics

Publishes open-access research on using epigenetics to advance understanding and treatment of human disease.

Medicine International

Medicine International

An International Open Access Journal Devoted to General Medicine.

Journal Cover
February-2026 Volume 31 Issue 2

Full Size Image

Sign up for eToc alerts
Recommend to Library

  • Article
  • Citations
    • Cite This Article
    • Download Citation
    • Create Citation Alert
    • Remove Citation Alert
    • Cited By
  • Similar Articles
    • Related Articles (in Spandidos Publications)
    • Similar Articles (Google Scholar)
    • Similar Articles (PubMed)
  • Download PDF
  • Download XML
  • View XML
Case Report Open Access

Bilateral presacral tumors in an adult female patient: A case report and literature review

  • Authors:
    • Yongping Hong
    • Guofeng Li
    • Liyu Zhou
  • View Affiliations / Copyright

    Affiliations: Department of Anorectal Surgery, The First People's Hospital of Xiaoshan District, Hangzhou, Zhejiang 311200, P.R. China
    Copyright: © Hong et al. This is an open access article distributed under the terms of Creative Commons Attribution License.
  • Article Number: 61
    |
    Published online on: December 29, 2025
       https://doi.org/10.3892/etm.2025.13056
  • Expand metrics +
Metrics: Total Views: 0 (Spandidos Publications: | PMC Statistics: )
Metrics: Total PDF Downloads: 0 (Spandidos Publications: | PMC Statistics: )
Cited By (CrossRef): 0 citations Loading Articles...

This article is mentioned in:



Abstract

Presacral tumors are uncommon lesions located between the rectum and sacrum; developmental cysts account for 50‑75% of cases. Bilateral presacral tumors are exceedingly rare. A 32‑year‑old woman presented to the First People's Hospital of Xiaoshan District (Hangzhou, China) with abdominal pain. A digital rectal examination revealed a firm, fixed mass on the posterolateral rectal wall. Magnetic resonance imaging (MRI) was employed, leading to the identification of bilateral presacral lesions. A complete excision was performed via a posterior sacral approach under general anesthesia. The patient recovered well; wound healing was found to be satisfactory, and no recurrence was observed at the 12‑month follow‑up. In conclusion, the current report presents a rare case of bilateral presacral epidermoid cysts. Precise preoperative characterization by MRI and careful surgical planning enabled successful resection. The case emphasizes the importance of tailored surgical strategies in the treatment of rare presacral lesions.

Introduction

Presacral tumors, also known as tumors of the presacral or retrorectal space, are rare and heterogeneous lesions arising in the anatomically complex area between the rectum and sacrum. The incidence of these tumors is projected to be ~1 in every 40,000 patients, with a higher prevalence observed in females and an average age of onset of 30 years (1). The classification of presacral tumors is intricate, with the tumors being traditionally categorized into the following five groups based on histological origin: Congenital tumors (such as epidermoid cysts and teratomas), neurogenic tumors (including schwannomas and ganglioneuromas), osseous tumors (such as chordomas and chondrosarcomas), soft-tissue tumors (such as liposarcomas) and other inflammatory or infectious lesions (2-4). Among these, malignant variants, such as chordomas, are characterized by rapid growth, invasive characteristics and potential for distant metastasis, and occur more frequently in males. By contrast, benign lesions, including teratomas and cysts, typically manifest as slow-growing masses with variable cystic or solid appearances on imaging studies, and predominate in females. Presacral tumors are often asymptomatic in the early stages but may present with non-specific symptoms, including pelvic discomfort, bowel or urinary disturbances, and sciatic pain as the tumor grows (5,6). The present study reports the rare case of a young woman with bilateral sacral anterior cysts who exhibited abdominal pain as the only symptom. To the best of our knowledge, this has not been reported in previous literature. A discussion of the literature based around this rare tumor is also presented in the current study.

Case report

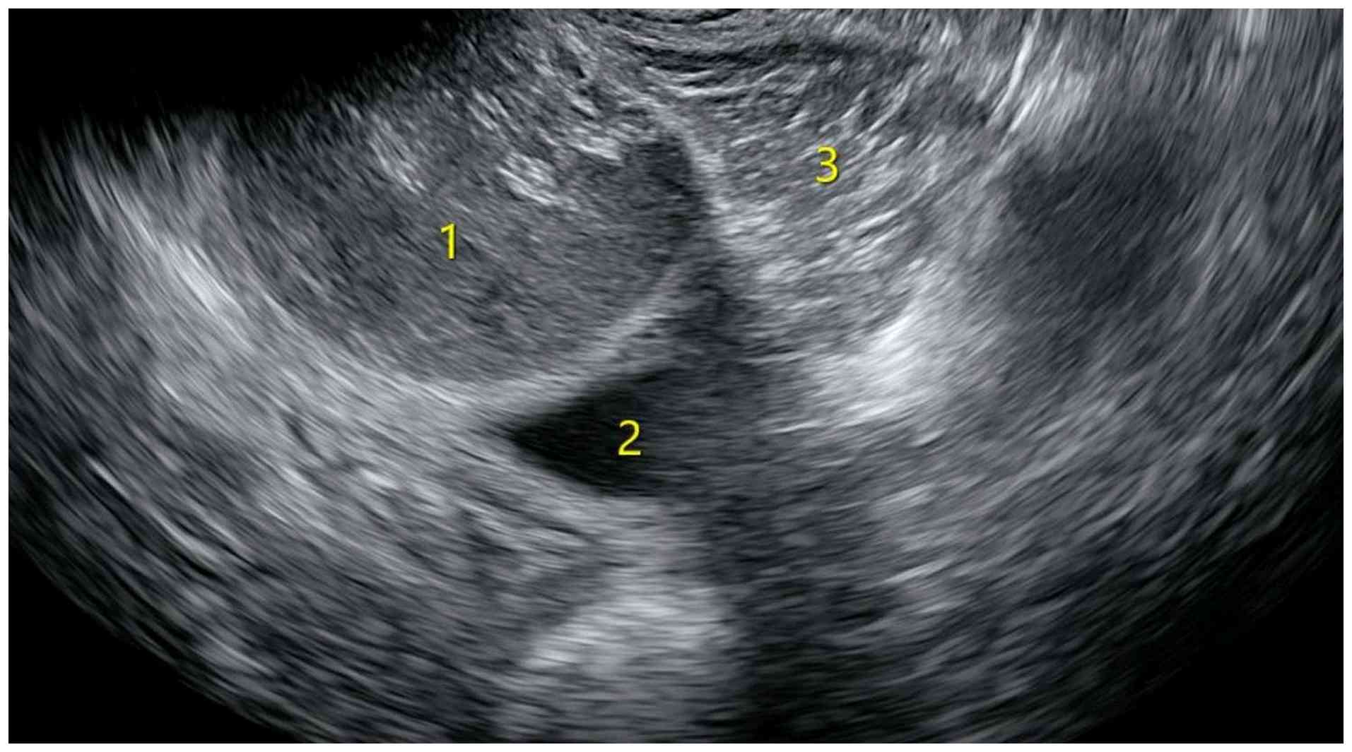
A 32-year-old previously healthy female presented to the First People's Hospital of Xiaoshan District (Hangzhou, China) in September 2024 with unexplained abdominal pain, which was the first occurrence of such symptoms within the preceding 2 months. The patient exhibited no signs of intestinal dysfunction or symptoms indicative of urinary tract irritation. Notably, a digital rectal examination revealed a solid, fixed mass located on the posterolateral wall of the rectum. Gynecological ultrasound prior to surgery revealed two unevenly strong echo masses in the pelvic cavity that were located posterior to the cervix and lateral to the rectum (Fig. 1). The larger mass measured ~8.0x6.5x6.1 cm, whereas the second largest measured ~6.4x6.0x4.8 cm. Both masses had clear boundaries and regular shapes, with no obvious blood flow signals detected. MRI revealed two abnormal signal shadows in the perirectal and bilateral rectal fossa. The larger shadow measured ~53x81 mm, with a clear boundary and smooth edges. The cyst fluid exhibited low signal intensity on T1-weighted imaging (T1WI), and high signal intensity on T2WI (Fig. 2). The internal signal was slightly mixed, with pronounced high signal intensity on diffusion-weighted imaging (DWI) and low signal intensity on apparent diffusion coefficient (ADC) mapping. No enhancement within the cyst was observed after contrast administration. A circular low signal intensity was visible on T2WI in the cyst wall, which was moderately enhanced after contrast administration.

Ultrasonography shows two
heterogeneous hyperechoic masses. The numeral 1 indicates the
larger mass, numeral 2 depicts a hypoechoic liquid region, and
numeral 3 denotes the smaller mass.

Figure 1

Ultrasonography shows two heterogeneous hyperechoic masses. The numeral 1 indicates the larger mass, numeral 2 depicts a hypoechoic liquid region, and numeral 3 denotes the smaller mass.

Magnetic resonance imaging T2-weighted
imaging scan showing two cystic masses characterized by
well-defined boundaries and smooth margins. The internal
composition exhibited slightly heterogeneous signals, predominantly
hyperintense, accompanied by annular hypointense signals within the
cystic walls. Arrows indicate the presacral tumors.

Figure 2

Magnetic resonance imaging T2-weighted imaging scan showing two cystic masses characterized by well-defined boundaries and smooth margins. The internal composition exhibited slightly heterogeneous signals, predominantly hyperintense, accompanied by annular hypointense signals within the cystic walls. Arrows indicate the presacral tumors.

The patient underwent a mass resection via the sacral approach under general anesthesia. A circular incision was made at the anal margin, positioned 3 cm from the lower edge of the coccyx, measuring ~8 cm in length. Subsequently, the subcutaneous tissue was meticulously dissected layer by layer. Initially, the subcutaneous tissue was separated along the perimeter of the right pelvic mass until its base was reached. The mass exhibited well defined boundaries, a discernible capsule and a firm consistency, allowing for complete excision under direct visualization (Fig. 3). The left pelvic mass was excised using an identical technique. Following thorough hemostasis, a negative pressure drainage device was placed in the surgical sites of both masses, and the wound was closed with intermittent sutures. Postoperatively, the excised mass was examined and identified as a bean curd-like material, encased in a distinct envelope (Fig. 4). The excised tissues were submitted for pathological examination. The tissue specimens were fixed in 10% neutral buffered formalin for 24 h at room temperature and routinely embedded in paraffin. The tissues were sliced to a 3-µm thickness and baked at 60˚C for 30 min. Using the conventional hematoxylin and eosin staining method, hematoxylin staining was performed for 5 min and eosin staining for 2 min at room temperature. Light microscopic examination revealed a cyst lined by epidermis-like keratinized stratified squamous epithelium, confirming that both masses were epidermoid cysts (Fig. 5). The wound exhibited satisfactory healing, and the patient was discharged on the seventh postoperative day. Regular follow-up visits were conducted approximately every 3 months, beginning 1 month postoperatively when complete wound healing. The 12-month assessment, performed in September 2025, revealed no evidence of presacral tumor recurrence. Given the current disease-free status and favorable postoperative course, the risk of subsequent recurrence appears to be low.

Detachment and excision of the larger
mass from one side.

Figure 3

Detachment and excision of the larger mass from one side.

Two completely resected lesions,
filled with material resembling curd.

Figure 4

Two completely resected lesions, filled with material resembling curd.

Hematoxylin and eosin staining
revealing the cyst lining and keratinaceous debris within the cyst
(magnification, x100).

Figure 5

Hematoxylin and eosin staining revealing the cyst lining and keratinaceous debris within the cyst (magnification, x100).

Discussion

The precise etiology of presacral tumors remains incompletely elucidated, with a strong association with embryonic developmental abnormalities. This region represents an area of caudal bud embryo remnants, where abnormal tissue differentiation may lead to the formation of congenital lesions (7). For example, a previous study indicated a potential association between the occurrence of sacrococcygeal teratoma and abnormalities in isochromosome 12p (8). However, molecular and biological research on presacral tumors remains in its early stages due to the rarity of these neoplasms and their pathological diversity. Furthermore, the anatomical configuration of this region is remarkably complex, bounded anteriorly by the mesorectum, posteriorly by the presacral fascia, and laterally by the iliac vessels and ureters, presenting significant surgical challenges (9). The therapeutic difficulty in the present case stemmed not only from the intricate presacral anatomy but also from the discontinuous bilateral distribution of the lesions, which substantially increased the difficulty of achieving an en bloc resection. After comprehensive preoperative preparation and imaging assessment, a posterior approach was used and complete tumor excision was achieved. The successful outcome depended not only on a meticulous intraoperative technique but also on thorough preoperative imaging evaluation and careful intraoperative route planning.

MRI has emerged as the cornerstone imaging modality for assessing presacral tumors due to its superior soft-tissue resolution. MRI provides detailed visualization of tumor characteristics and extent, and their association with adjacent structures, which is critical for preoperative planning (10). Multisequence MRI techniques have demonstrated considerable value in tumor characterization: T1WI can identify fatty components, assisting in the diagnosis of teratomas, whereas T2WI helps in differentiating cystic components from their solid counterparts (11). Additionally, DWI and ADC mapping have demonstrated robust diagnostic performance, and have been widely used both for preoperative evaluation and postoperative follow-up of presacral tumors. For example, in preoperative staging, changes in ADC values can indicate the invasiveness and risk of metastasis of tumors, thereby guiding the selection of surgical plans (12). In the present case, MRI effectively delineated the patient's dual discontinuous cysts and their anatomical positioning relative to surrounding tissues and organs. MRI serves as an indispensable reference for facilitating comprehensive and precise surgical resection. During the surgical procedure, the discontinuity between the two masses initially hindered the ability to locate the smaller mass; however, with the assistance of MRI, the mass situated in the deeper region could ultimately be identified and excised. Consequently, we recommend performing an MRI examination prior to surgical intervention for presacral tumors, in order to aid in diagnosis and treatment.

Computed tomography (CT) both offers comprehensive anatomical insights and facilitates the differentiation between cystic and solid lesions (13). Moreover, it effectively delineates bone invasion and the calcification features of tumors, with particular emphasis on chordomas and giant cell tumors affecting the sacrum (14,15). A previous study demonstrated that 78% of malignant sacral tumors exhibit bone disruption on CT, contrasting with the compressive bone remodeling typically observed in benign tumors (16). CT also affords valuable insights into tumor vascularization, which aids in preoperative risk assessment (17).

Ultrasound remains a cost-effective, non-radiative and real-time imaging tool for presacral tumor screening, especially for cystic lesions such as teratomas (18). Transabdominal and transrectal ultrasound scans are able to delineate tumor size, location and internal echo patterns. Furthermore, Doppler ultrasound evaluates tumor vascularity, assisting in surgical risk stratification, and ultrasound-guided percutaneous biopsy provides precise tissue sampling, thereby minimizing complications. A study of ultrasound-guided biopsy of thoracic lesions in 146 patients reported a diagnostic accuracy of 90.5%, with a complication rate of 2.7% (19,20). In the present case study, since both the ultrasound and MRI scans of the patient's cyst indicated a benign cystic mass with well-defined boundaries and smooth edges, and to avoid unnecessary complications, a puncture biopsy was not performed.

Multimodal imaging has a pivotal role in diagnosing presacral tumors. MRI remains the gold standard due to its superior soft-tissue characterization (20). In the present case, on the basis of the preoperative imaging assessment, especially MRI, the lesion in the presacral region was initially suspected to be a benign epidermoid cyst. The differential diagnosis for presacral tumors primarily encompasses teratoma (18), chordoma (16), schwannoma (21), neurofibroma (22), giant cell tumor of bone (23) and osteosarcoma (24), among others.

Surgical resection remains the cornerstone of treatment for presacral tumors, especially for benign lesions and resectable malignancies (11,25,26). The selection of the type of surgical approach is primarily determined by tumor location, size, association with adjacent structures and surgeon experience. Currently employed approaches include anterior (transabdominal), posterior (transsacral) and combined approaches (27).

The anterior approach is advantageous for tumors located predominantly anterior to the sacrum, providing excellent exposure, especially for lesions above the S3 level. However, sacral resection through an anterior approach may be limited, and protection of the lower sacral nerves can be challenging. One documented case reported a presacral epidermoid cyst situated as high as the S3 vertebra, measuring 65x50 cm, which was excised via abdominal surgery (28). Another case involved a sacral anterior cyst measuring 45x40 cm located at the S5 level; due to its distance from the sacrum, a laparoscopic-assisted transabdominal resection was performed (29). By contrast, the mass in the present patient was notably larger, exceeding 8 cm, and it was bilateral in nature, with no similar cases reported to date. Given the tumor's size and location, and the characteristics of both lesions, it was determined that a posterior surgical approach was more appropriate, ultimately achieving a complete tumor excision. The posterior approach is deemed appropriate for tumors that are located inferior to the S3 level. However, this approach presents significant limitations, including inadequate control over the pelvic vasculature and the potential risk of injury to the lateral pelvic nerves (27,30). Preoperative MRI providing precise anatomical visualization, combined with meticulously executed surgical techniques, effectively prevented the anticipated iatrogenic injuries considered in the preoperative assessment.

The combined approach merges anterior and posterior exposures to enhance visualization of complex presacral tumors, especially large or multi-structure tumors (31). The approach provides extensive exposure for curative treatment and allows control of the internal iliac and sacral vessels to reduce the bleeding risk. However, one disadvantage is that it often requires longer surgery times and position changes, which can increase the risk of complications, such as pelvic instability and neurological deficits in the perineal or lower limb areas.

Radiation therapy has a pivotal role in the management of presacral tumors, especially malignant lesions such as chordomas and soft-tissue sarcomas, and in cases with incomplete resection (5). Although conventional three-dimensional conformal radiation therapy provides a degree of local control, its application in the presacral region is often limited by the proximity of critical organs (for example, the rectum, bladder and small intestine), resulting in either inadequate dose delivery or excessive normal tissue irradiation. Technological advancements have facilitated the widespread implementation of precision radiotherapy techniques, including intensity-modulated radiation therapy (32), stereotactic radiosurgery (33) and image-guided radiation therapy (34), for sacral tumors.

Conventional chemotherapy demonstrates limited efficacy for most presacral tumors, and is primarily utilized for specific pathological subtypes, such as neuroendocrine neoplasms, malignant teratoid neoplasm, osteosarcoma, chondrosarcoma and chordoma (24,35,36). Regarding epidermoid cysts, it was reported that a 66-year-old female patient with malignant transformation of presacral epidermoid cysts and parapharyngeal metastasis received FOLFOX chemotherapy (comprising the drugs folinic acid, fluorouracil and oxaliplatin) after the operation and achieved good results, although the effectiveness of this scheme for other presacral tumors still requires further study (37).

The advent of immune checkpoint inhibitors has revolutionized treatment paradigms for various malignancies, with emerging applications in presacral malignant tumors. A previous study has demonstrated that certain sacral tumors, including chondrosarcoma and chordomas, exhibit the expression of programmed death-ligand 1 and immune cell infiltration within the tumor microenvironment, suggesting potential immunotherapy responsiveness (38).

In conclusion, in the current case report, a challenging case of bilateral presacral tumors is presented, where preoperative MRI was shown to serve a pivotal diagnostic and surgical planning role. The imaging studies comprehensively characterized the tumors' benign morphology, while also revealing significant anatomical complexities that potentially complicated surgical intervention. Recognizing the intrinsic surgical challenges posed by the tumors' location and interconnected spatial configuration, a posterior surgical approach was designed. This strategic decision was predicated on minimizing potential operative risks and maximizing surgical precision. Employing intraoperative MRI guidance, the smaller, potentially challenging tumor was successfully identified and precisely localized, thereby preventing potential surgical omission and guaranteeing complete oncological clearance. This surgical strategy exemplified the synergistic application of imaging technologies and refined surgical techniques, successfully mitigating potential operative risks and facilitating a comprehensive resection with minimal surrounding tissue trauma.

Several limitations exist in the present study. First, this is a single-case report with a limited sample size, which restricts the generalizability of the findings. Second, standardized quantitative imaging metrics or a reproducible scoring system to guide surgical approach selection were not established, which limits methodological reproducibility and clinical applicability. To address these limitations, future studies should assemble multicenter, larger cohorts to validate the present observations and improve external validity, and should develop standardized quantitative imaging scores and objective preoperative planning protocols to guide approach selection. Through these efforts, the diagnostic workflows can be optimized and the therapeutic strategies refined for presacral lesions.

Acknowledgements

The authors extend their sincere gratitude to Professor Jingyong Luo and Professor Lijiang Chen from The First People's Hospital of Xiaoshan District (Hangzhou, China) for providing invaluable suggestions and guidance in the composition of this article.

Funding

Funding: No funding was received.

Availability of data and materials

The data generated in the present study may be requested from the corresponding author.

Authors' contributions

LZ conceived the study. YH gathered medical images, conducted the surgical procedure and wrote the original draft manuscript. GL collected, analyzed and interpreted the patient data. The manuscript was critically reviewed by GL and LZ. All authors have read and approved the final version of the manuscript. YH, GL and LZ confirm the authenticity of all the raw data.

Ethics approval and consent to participate

The study was approved by institutional Review Board of The First People's Hospital of Xiaoshan District (Hangzhou, China; approval no. 2025-14).

Patient consent for publication

The patient provided written informed consent for publication.

Competing interests

The authors declare that they have no competing interests.

References

1 

Baek SK, Hwang GS, Vinci A, Jafari MD, Jafari F, Moghadamyeghaneh Z and Pigazzi A: Retrorectal tumors: A comprehensive literature review. World J Surg. 40:2001–2015. 2016.PubMed/NCBI View Article : Google Scholar

2 

Balci B, Yildiz A, Leventoğlu S and Mentes B: Retrorectal tumors: A challenge for the surgeons. World J Gastro Surg. 13:1327–1337. 2021.PubMed/NCBI View Article : Google Scholar

3 

Brown IS, Sokolova A, Rosty C and Graham RP: Cystic lesions of the retrorectal space. Histopathology. 82:232–241. 2023.PubMed/NCBI View Article : Google Scholar

4 

A E, Prakash A, Ashta A, Garg A, Verma A and Padaliya P: Pediatric presacral tumors with intraspinal extension: A rare entity with diagnostic challenges. Acta Radiol. 64:3056–3073. 2023.PubMed/NCBI View Article : Google Scholar

5 

Noël G, Habrand JL, Jauffret E, de Crevoisier R, Dederke S, Mammar H, Haie-Méder C, Pontvert D, Hasboun D, Ferrand R, et al: Radiation therapy for chordoma and chondrosarcoma of the skull base and the cervical spine. Prognostic factors and patterns of failure. Strahlenther Onkol. 179:241–248. 2003.PubMed/NCBI View Article : Google Scholar

6 

Barraqué M, Filippello A, Brek A, Baccot S, Porcheron J and Barabino G: Surgical management of retro-rectal tumors in the adult. J Visc Surg. 156:229–237. 2019.PubMed/NCBI View Article : Google Scholar

7 

Cearns MD, Hettige S, De Coppi P and Thompson DNP: Currarino syndrome: Repair of the dysraphic anomalies and resection of the presacral mass in a combined neurosurgical and general surgical approach. J Neurosurg Pediatr. 22:584–590. 2018.PubMed/NCBI View Article : Google Scholar

8 

Emerson RE, Kao CS, Eble JN, Grignon DJ, Wang M, Zhang S, Wang X, Fan R, Masterson TA, Roth LM and Cheng L: Evidence of a dual histogenetic pathway of sacrococcygeal teratomas. Histopathology. 70:290–300. 2017.PubMed/NCBI View Article : Google Scholar

9 

Otote J, Butnari V, Ravichandran PS, Mansuri A, Ahmed M, Pestrin O, Rajendran N and Kaul S: Presacral tumors: A systematic review of literature. J Clin Imag Sci. 14(17)2024.PubMed/NCBI View Article : Google Scholar

10 

Yu ML, Lee KH, Fang B and Lau V: Sacral tumours and their mimics: Pictorial review and diagnostic strategy. Clin Radiol. 76:153.e9–153.e16. 2021.PubMed/NCBI View Article : Google Scholar

11 

Fuchs B, Dickey ID, Yaszemski MJ, Inwards CY and Sim FH: Operative management of sacral chordoma. J Bone Joint Surg Am. 87:2211–2216. 2005.PubMed/NCBI View Article : Google Scholar

12 

Yin P, Chen W, Fan Q, Yu R, Liu X, Liu T, Wang D and Hong N: Development and evaluation of a deep learning framework for pelvic and sacral tumor segmentation from multi-sequence MRI: A retrospective study. Cancer Imaging. 25(34)2025.PubMed/NCBI View Article : Google Scholar

13 

Malutan AM, Suciu VE, Ignat FL, Diculescu D, Ciortea R, Boțan EC, Bucuri CE, Roman MP, Nati I, Ormindean C and Mihu D: Tailgut cyst-gynecologist's pitfall: Literature review and case report. Diagnostics (Basel). 15(108)2025.PubMed/NCBI View Article : Google Scholar

14 

Yang YK, Chan CM, Zhang Q, Xu HR and Niu XH: Computer navigation-aided resection of sacral chordomas. Chin Med J (Engl). 129:162–168. 2016.PubMed/NCBI View Article : Google Scholar

15 

Huang W, Peng Y, Zhang Y, Chao F, Li L, Qiu Y, Gao J and Kang L: Multimodality imaging of an unusual giant cell tumor of thoracic spine with mediastinal invasion: A case report. Am J Nucl Med Mol Imaging. 13:289–294. 2023.PubMed/NCBI

16 

Jin CJ, Berry-Candelario J, Reiner AS, Laufer I, Higginson DS, Schmitt AM, Lis E, Barzilai O, Boland P, Yamada Y and Bilsky MH: Long-term outcomes of high-dose single-fraction radiosurgery for chordomas of the spine and sacrum. J Neurosurg Spine. 32:79–88. 2019.PubMed/NCBI View Article : Google Scholar

17 

Weidlich A, Schaser KD, Weitz J, Kirchberg J, Fritzmann J, Reeps C, Schwabe P, Melcher I, Disch A, Dragu A, et al: Surgical and oncologic outcome following sacrectomy for primary malignant bone tumors and locally recurrent rectal cancer. Cancers (Basel). 16(2334)2024.PubMed/NCBI View Article : Google Scholar

18 

Batukan C, Ozgun MT and Basbug M: First trimester diagnosis of sacrococcygeal teratoma using two- and three-dimensional ultrasound. J Clin Ultrasound. 39:160–163. 2011.PubMed/NCBI View Article : Google Scholar

19 

Kim JW and Shin SS: Ultrasound-guided percutaneous core needle biopsy of abdominal viscera: Tips to ensure safe and effective biopsy. Korean J Radiol. 18:309–322. 2017.PubMed/NCBI View Article : Google Scholar

20 

Patel N, Maturen KE, Kaza RK, Gandikota G, Al-Hawary MM and Wasnik AP: Imaging of presacral masses-a multidisciplinary approach. Brit J Radiol. 89(20150698)2016.PubMed/NCBI View Article : Google Scholar

21 

Makni A, Fetirich F, Mbarek M and Ben Safta Z: Presacral schwannoma. J Visc Surg. 149:426–427. 2012.PubMed/NCBI View Article : Google Scholar

22 

Hebert-Blouin M, Sullivan PS, Merchea A, Leonard D, Spinner RJ and Dozois EJ: Neurological outcome following resection of benign presacral neurogenic tumors using a nerve-sparing technique. Dis Colon Rectum. 56:1185–1193. 2013.PubMed/NCBI View Article : Google Scholar

23 

Raskin KA, Schwab JH, Mankin HJ, Springfield DS and Hornicek FJ: Giant cell tumor of bone. J Am Acad Orthop Surg. 21:118–126. 2013.PubMed/NCBI View Article : Google Scholar

24 

Whelan JS and Davis LE: Osteosarcoma, chondrosarcoma, and chordoma. J Clin Oncol. 36:188–193. 2018.PubMed/NCBI View Article : Google Scholar

25 

Burke JR, Shetty K, Thomas O, Kowal M, Quyn A and Sagar P: The management of retrorectal tumours: Tertiary centre retrospective study. BJS Open. 6(zrac044)2022.PubMed/NCBI View Article : Google Scholar

26 

Galán C, Hernández MP, Martínez MC, Sánchez A, Bollo J and Targarona EM: Surgical treatment of retrorectal tumors: A plea for a laparoscopic approach. Surg Endosc. 37:9080–9088. 2023.PubMed/NCBI View Article : Google Scholar

27 

Naseri A, Behboudi B, Faryabi A, Tafti SMA, Sharifi A, Keramati MR, Fazeli MS, Keshvari A, Zeinalizadeh M, Asbagh RA, et al: Surgical management of retrorectal tumors: A single-center 12 years' experience. Ann Coloproctol: Oct 11, 2022 (Epub ahead of print).

28 

Riojas CM, Hahn CD and Johnson EK: Presacral epidermoid cyst in a male: A case report and literature review. J Surg Educ. 67:227–232. 2010.PubMed/NCBI View Article : Google Scholar

29 

Yoshida N, Nakamura K, Shigaki T, Fujiyoshi K, Koushi K, Yoshida T, Isobe T, Mori N, Sudo T, Sakai H, et al: Laparoscopic transabdominal approach for resection of presacral epidermoid cyst in an obese man: A case report. Surg Case Rep. 10(120)2024.PubMed/NCBI View Article : Google Scholar

30 

Aranda-Narváez JM, González-Sánchez AJ, Montiel-Casado C, Sánchez-Pérez B, Jiménez-Mazure C, Valle-Carbajo M and Santoyo-Santoyo J: Posterior approach (Kraske procedure) for surgical treatment of presacral tumors. World J Gastrointest Surg. 4:126–130. 2012.PubMed/NCBI View Article : Google Scholar

31 

Böhm B, Milsom JW, Fazio VW, Lavery IC, Church JM and Oakley JR: Our approach to the management of congenital presacral tumors in adults. Int J Colorectal Dis. 8:134–138. 1993.PubMed/NCBI View Article : Google Scholar

32 

Osborn VW, Lee A and Yamada Y: Stereotactic body radiation therapy for spinal malignancies. Technol Cancer Res Treat. 17(1533033818802304)2018.PubMed/NCBI View Article : Google Scholar

33 

Zhuang H, Zhuang H, Lang N and Liu J: Precision stereotactic radiotherapy for spinal tumors: Mechanism, efficacy, and issues. Front Oncol. 10(826)2020.PubMed/NCBI View Article : Google Scholar

34 

Sterzing F, Engenhart-Cabillic R, Flentje M and Debus J: Image-guided radiotherapy: A new dimension in radiation oncology. Dtsch Arztebl Int. 108:274–280. 2011.PubMed/NCBI View Article : Google Scholar

35 

Violante T, Murphy B, Ferrari D, Graham RP, Navin P, Merchea A, Larson DW, Dozois EJ, Halfdanarson TR and Perry WR: Presacral Neuroendocrine neoplasms: A multi-site review of surgical outcomes. Ann Surg Oncol. 31:4551–4557. 2024.PubMed/NCBI View Article : Google Scholar

36 

Nakano Y, Hasegawa D, Stewart DR, Schultz KAP, Harris AK, Hirato J, Uemura S, Tamura A, Saito A, Kawamura A, et al: Presacral malignant teratoid neoplasm in association with pathogenic DICER1 variation. Mod Pathol. 32:1744–1750. 2019.PubMed/NCBI View Article : Google Scholar

37 

Kitano D, Komatsu Y and Omori M: A case of oropharyngeal carcinoma accompanying a presacral malignant epidermoid cyst. Cureus. 16(e69841)2024.PubMed/NCBI View Article : Google Scholar

38 

Traylor JI, Pernik MN, Plitt AR, Lim M and Garzon-Muvdi T: Immunotherapy for chordoma and chondrosarcoma: Current evidence. Cancers (Basel). 13(2408)2021.PubMed/NCBI View Article : Google Scholar

Related Articles

  • Abstract
  • View
  • Download
  • Twitter
Copy and paste a formatted citation
Spandidos Publications style
Hong Y, Li G and Zhou L: Bilateral presacral tumors in an adult female patient: A case report and literature review. Exp Ther Med 31: 61, 2026.
APA
Hong, Y., Li, G., & Zhou, L. (2026). Bilateral presacral tumors in an adult female patient: A case report and literature review. Experimental and Therapeutic Medicine, 31, 61. https://doi.org/10.3892/etm.2025.13056
MLA
Hong, Y., Li, G., Zhou, L."Bilateral presacral tumors in an adult female patient: A case report and literature review". Experimental and Therapeutic Medicine 31.2 (2026): 61.
Chicago
Hong, Y., Li, G., Zhou, L."Bilateral presacral tumors in an adult female patient: A case report and literature review". Experimental and Therapeutic Medicine 31, no. 2 (2026): 61. https://doi.org/10.3892/etm.2025.13056
Copy and paste a formatted citation
x
Spandidos Publications style
Hong Y, Li G and Zhou L: Bilateral presacral tumors in an adult female patient: A case report and literature review. Exp Ther Med 31: 61, 2026.
APA
Hong, Y., Li, G., & Zhou, L. (2026). Bilateral presacral tumors in an adult female patient: A case report and literature review. Experimental and Therapeutic Medicine, 31, 61. https://doi.org/10.3892/etm.2025.13056
MLA
Hong, Y., Li, G., Zhou, L."Bilateral presacral tumors in an adult female patient: A case report and literature review". Experimental and Therapeutic Medicine 31.2 (2026): 61.
Chicago
Hong, Y., Li, G., Zhou, L."Bilateral presacral tumors in an adult female patient: A case report and literature review". Experimental and Therapeutic Medicine 31, no. 2 (2026): 61. https://doi.org/10.3892/etm.2025.13056
Follow us
  • Twitter
  • LinkedIn
  • Facebook
About
  • Spandidos Publications
  • Careers
  • Cookie Policy
  • Privacy Policy
How can we help?
  • Help
  • Live Chat
  • Contact
  • Email to our Support Team