Spandidos Publications Logo
  • About
    • About Spandidos
    • Aims and Scopes
    • Abstracting and Indexing
    • Editorial Policies
    • Reprints and Permissions
    • Job Opportunities
    • Terms and Conditions
    • Contact
  • Journals
    • All Journals
    • Oncology Letters
      • Oncology Letters
      • Information for Authors
      • Editorial Policies
      • Editorial Board
      • Aims and Scope
      • Abstracting and Indexing
      • Bibliographic Information
      • Archive
    • International Journal of Oncology
      • International Journal of Oncology
      • Information for Authors
      • Editorial Policies
      • Editorial Board
      • Aims and Scope
      • Abstracting and Indexing
      • Bibliographic Information
      • Archive
    • Molecular and Clinical Oncology
      • Molecular and Clinical Oncology
      • Information for Authors
      • Editorial Policies
      • Editorial Board
      • Aims and Scope
      • Abstracting and Indexing
      • Bibliographic Information
      • Archive
    • Experimental and Therapeutic Medicine
      • Experimental and Therapeutic Medicine
      • Information for Authors
      • Editorial Policies
      • Editorial Board
      • Aims and Scope
      • Abstracting and Indexing
      • Bibliographic Information
      • Archive
    • International Journal of Molecular Medicine
      • International Journal of Molecular Medicine
      • Information for Authors
      • Editorial Policies
      • Editorial Board
      • Aims and Scope
      • Abstracting and Indexing
      • Bibliographic Information
      • Archive
    • Biomedical Reports
      • Biomedical Reports
      • Information for Authors
      • Editorial Policies
      • Editorial Board
      • Aims and Scope
      • Abstracting and Indexing
      • Bibliographic Information
      • Archive
    • Oncology Reports
      • Oncology Reports
      • Information for Authors
      • Editorial Policies
      • Editorial Board
      • Aims and Scope
      • Abstracting and Indexing
      • Bibliographic Information
      • Archive
    • Molecular Medicine Reports
      • Molecular Medicine Reports
      • Information for Authors
      • Editorial Policies
      • Editorial Board
      • Aims and Scope
      • Abstracting and Indexing
      • Bibliographic Information
      • Archive
    • World Academy of Sciences Journal
      • World Academy of Sciences Journal
      • Information for Authors
      • Editorial Policies
      • Editorial Board
      • Aims and Scope
      • Abstracting and Indexing
      • Bibliographic Information
      • Archive
    • International Journal of Functional Nutrition
      • International Journal of Functional Nutrition
      • Information for Authors
      • Editorial Policies
      • Editorial Board
      • Aims and Scope
      • Abstracting and Indexing
      • Bibliographic Information
      • Archive
    • International Journal of Epigenetics
      • International Journal of Epigenetics
      • Information for Authors
      • Editorial Policies
      • Editorial Board
      • Aims and Scope
      • Abstracting and Indexing
      • Bibliographic Information
      • Archive
    • Medicine International
      • Medicine International
      • Information for Authors
      • Editorial Policies
      • Editorial Board
      • Aims and Scope
      • Abstracting and Indexing
      • Bibliographic Information
      • Archive
  • Articles
  • Information
    • Information for Authors
    • Information for Reviewers
    • Information for Librarians
    • Information for Advertisers
    • Conferences
  • Language Editing
Spandidos Publications Logo
  • About
    • About Spandidos
    • Aims and Scopes
    • Abstracting and Indexing
    • Editorial Policies
    • Reprints and Permissions
    • Job Opportunities
    • Terms and Conditions
    • Contact
  • Journals
    • All Journals
    • Biomedical Reports
      • Information for Authors
      • Editorial Policies
      • Editorial Board
      • Aims and Scope
      • Abstracting and Indexing
      • Bibliographic Information
      • Archive
    • Experimental and Therapeutic Medicine
      • Information for Authors
      • Editorial Policies
      • Editorial Board
      • Aims and Scope
      • Abstracting and Indexing
      • Bibliographic Information
      • Archive
    • International Journal of Epigenetics
      • Information for Authors
      • Editorial Policies
      • Editorial Board
      • Aims and Scope
      • Abstracting and Indexing
      • Bibliographic Information
      • Archive
    • International Journal of Functional Nutrition
      • Information for Authors
      • Editorial Policies
      • Editorial Board
      • Aims and Scope
      • Abstracting and Indexing
      • Bibliographic Information
      • Archive
    • International Journal of Molecular Medicine
      • Information for Authors
      • Editorial Policies
      • Editorial Board
      • Aims and Scope
      • Abstracting and Indexing
      • Bibliographic Information
      • Archive
    • International Journal of Oncology
      • Information for Authors
      • Editorial Policies
      • Editorial Board
      • Aims and Scope
      • Abstracting and Indexing
      • Bibliographic Information
      • Archive
    • Medicine International
      • Information for Authors
      • Editorial Policies
      • Editorial Board
      • Aims and Scope
      • Abstracting and Indexing
      • Bibliographic Information
      • Archive
    • Molecular and Clinical Oncology
      • Information for Authors
      • Editorial Policies
      • Editorial Board
      • Aims and Scope
      • Abstracting and Indexing
      • Bibliographic Information
      • Archive
    • Molecular Medicine Reports
      • Information for Authors
      • Editorial Policies
      • Editorial Board
      • Aims and Scope
      • Abstracting and Indexing
      • Bibliographic Information
      • Archive
    • Oncology Letters
      • Information for Authors
      • Editorial Policies
      • Editorial Board
      • Aims and Scope
      • Abstracting and Indexing
      • Bibliographic Information
      • Archive
    • Oncology Reports
      • Information for Authors
      • Editorial Policies
      • Editorial Board
      • Aims and Scope
      • Abstracting and Indexing
      • Bibliographic Information
      • Archive
    • World Academy of Sciences Journal
      • Information for Authors
      • Editorial Policies
      • Editorial Board
      • Aims and Scope
      • Abstracting and Indexing
      • Bibliographic Information
      • Archive
  • Articles
  • Information
    • For Authors
    • For Reviewers
    • For Librarians
    • For Advertisers
    • Conferences
  • Language Editing
Login Register Submit
  • This site uses cookies
  • You can change your cookie settings at any time by following the instructions in our Cookie Policy. To find out more, you may read our Privacy Policy.

    I agree
Search articles by DOI, keyword, author or affiliation
Search
Advanced Search
presentation
Experimental and Therapeutic Medicine
Join Editorial Board Propose a Special Issue
Print ISSN: 1792-0981 Online ISSN: 1792-1015
Journal Cover
April-2026 Volume 31 Issue 4

Full Size Image

Sign up for eToc alerts
Recommend to Library

Journals

International Journal of Molecular Medicine

International Journal of Molecular Medicine

International Journal of Molecular Medicine is an international journal devoted to molecular mechanisms of human disease.

International Journal of Oncology

International Journal of Oncology

International Journal of Oncology is an international journal devoted to oncology research and cancer treatment.

Molecular Medicine Reports

Molecular Medicine Reports

Covers molecular medicine topics such as pharmacology, pathology, genetics, neuroscience, infectious diseases, molecular cardiology, and molecular surgery.

Oncology Reports

Oncology Reports

Oncology Reports is an international journal devoted to fundamental and applied research in Oncology.

Experimental and Therapeutic Medicine

Experimental and Therapeutic Medicine

Experimental and Therapeutic Medicine is an international journal devoted to laboratory and clinical medicine.

Oncology Letters

Oncology Letters

Oncology Letters is an international journal devoted to Experimental and Clinical Oncology.

Biomedical Reports

Biomedical Reports

Explores a wide range of biological and medical fields, including pharmacology, genetics, microbiology, neuroscience, and molecular cardiology.

Molecular and Clinical Oncology

Molecular and Clinical Oncology

International journal addressing all aspects of oncology research, from tumorigenesis and oncogenes to chemotherapy and metastasis.

World Academy of Sciences Journal

World Academy of Sciences Journal

Multidisciplinary open-access journal spanning biochemistry, genetics, neuroscience, environmental health, and synthetic biology.

International Journal of Functional Nutrition

International Journal of Functional Nutrition

Open-access journal combining biochemistry, pharmacology, immunology, and genetics to advance health through functional nutrition.

International Journal of Epigenetics

International Journal of Epigenetics

Publishes open-access research on using epigenetics to advance understanding and treatment of human disease.

Medicine International

Medicine International

An International Open Access Journal Devoted to General Medicine.

Journal Cover
April-2026 Volume 31 Issue 4

Full Size Image

Sign up for eToc alerts
Recommend to Library

  • Article
  • Citations
    • Cite This Article
    • Download Citation
    • Create Citation Alert
    • Remove Citation Alert
    • Cited By
  • Similar Articles
    • Related Articles (in Spandidos Publications)
    • Similar Articles (Google Scholar)
    • Similar Articles (PubMed)
  • Download PDF
  • Download XML
  • View XML
Case Report

Preoperative treatment with thyroid artery embolization in a patient with a giant retrosternal goiter causing severe tracheal compression: A case report

  • Authors:
    • Jingxian Li
    • Fang Wang
    • Yuanshu Du
    • Yonghui Wang
  • View Affiliations / Copyright

    Affiliations: Department of Clinical Medicine, Weifang People's Hospital, Shandong Second Medical University, Weifang, Shandong 261041, P.R. China, Department of Thyroid Surgery, Weifang People's Hospital, Weifang, Shandong 261041, P.R. China, Department of Thyroid Surgery, Weifang People's Hospital, Weifang, Shandong 261041, P.R. China
  • Article Number: 87
    |
    Published online on: February 2, 2026
       https://doi.org/10.3892/etm.2026.13082
  • Expand metrics +
Metrics: Total Views: 0 (Spandidos Publications: | PMC Statistics: )
Metrics: Total PDF Downloads: 0 (Spandidos Publications: | PMC Statistics: )
Cited By (CrossRef): 0 citations Loading Articles...

This article is mentioned in:


Abstract

More than one‑tenth of the world's population is to some degree affected by goiters. Patients with thyroid nodules usually have no symptoms, but giant retrosternal goiters often causes symptoms such as difficulty breathing due to compression. Surgical operation is currently the main treatment for giant retrosternal goiters. However, retrosternal goiters usually require open chest surgery, which carries considerable risks, increases the rate of recurrence and increases the risk of intraoperative damage to important structures such as the large blood vessels and thoracic ducts. Thyroid artery embolization has been used in the treatment of Graves' disease and as a preoperative treatment prior to thyroidectomy. In March 2025, a 70‑year‑old female presented to Weifang People's Hospital (Shandong, China) with a neck mass and dyspnea. A neck CT scan demonstrated an enlarged left thyroid lobe measuring 7.7x13.0 cm, extending inferiorly into the anterior mediastinum and causing tracheal compression that resulted in rightward displacement and flattening of the trachea. The patient presented with dyspnoea at rest. Given the notable size of the mass, thyroid artery embolization was performed, followed by left thyroidectomy. The surgery was conducted without complications such as hoarseness or hypocalcemia and did not necessitate a thoracotomy. Thyroid artery embolization alleviated the tracheal compression symptoms of the patient, restored oxygen saturation to normal levels and rendered the patient suitable for general anesthesia. The mass was successfully removed through cervical surgery alone, thereby avoiding thoracotomy and minimizing iatrogenic trauma during treatment.

Introduction

Nodular goiter is a prevalent thyroid disease. According to the study by Carlé et al (1) (2014), more than one-tenth of the world's population is to some degree affected by goiters and most of these individuals harbour nodules (1). Ablation therapy or systematic follow-up monitoring is the standard therapeutic approach for small nodular goiters localized within the cervical region (2). However, retrosternal goiters or those presenting with compressive symptoms typically necessitate surgical intervention (2-4). Large or deeply invasive mediastinal thyroid tumors typically require combined cervicothoracic surgical intervention, which increases surgical trauma outcomes and elevates operative risks (2-4).

Selective arterial embolization has emerged as a key therapeutic modality in clinical medicine. It is extensively employed in the management of vascular anomalies, life-threatening hemorrhages as well as benign and malignant neoplasms (5-7). In the management of both neoplasms, selective arterial embolization precisely occludes targeted blood vessels to induce tumor ischemia and decrease the tumor volume, establishing itself as an indispensable element of holistic management for neoplastic diseases (5,8).

However, current literature on thyroid artery embolization as a preoperative therapeutic approach for thyroid disorders remains limited. Graves' disease is an autoimmune thyroid disease and the most common cause of hyperthyroidism in clinical practice. Medication, surgery and radioactive iodine therapy are the main treatment methods (9). A number of clinical studies have documented the application of thyroid artery embolization in the management of Graves' disease, demonstrating its efficacy in restoring the thyroid function of patients to normative levels (10-12). However, the literature provides limited reports on the application of thyroid artery embolization in the management of large thyroid masses (3,4). These studies demonstrate that preoperative thyroid artery embolization not only reduces intraoperative hemorrhage risk but also serves as a palliative intervention for surgically ineligible patients (3,4,8). The present report outlines the clinical case of a patient diagnosed with a giant retrosternal goiter, who successfully underwent preoperative thyroid artery embolization prior to thyroidectomy.

Case report

A 70-year-old female patient presented with a goiter that had persisted for 40 years without intervention. Over the past 2 years, the patient had observed an increase in goiter size and experienced dyspnoea while at rest. The patient self-administered Spica Prunellae oral liquid, which was ineffective and was subsequently admitted to the Department of Thyroid Surgery at Weifang People's Hospital (Shandong, China) in March 2025. The patient's arterial oxygen saturation was 92%. Physical examination revealed a well-defined and mobile 5x10 cm mass in the left thyroid gland. It exhibited a smooth surface and showed synchronous movement during swallowing. B-mode ultrasonography identified a complex cystic-solid nodule in the parenchyma of the left thyroid lobe, measuring 99.3x87.3x50.3 mm (Fig. 1A). Color doppler flow imaging revealed extensive vascularization within the lesion (Fig. 1B). CT imaging of the neck and thoracic region demonstrated notable enlargement of the left thyroid lobe, measuring ~7.7x13.0x9.3 cm, with inferior extension into the anterior mediastinum. The mass volume was estimated using the ellipsoid volume formula (V=0.52 x length x width x height), resulting in a value of 484.1 cm3. Imaging findings indicated that tracheal compression leads to a rightward displacement and flattening of the trachea. Quantitative assessment indicated severe tracheal stenosis with a luminal diameter of 4.75 mm (Fig. 2A). Furthermore, the tracheal softening test showed that the trachea moved to the right and was compressed. The inner diameter of the trachea in the Miller's test was 6.06 mm, and the inner diameter of the trachea in the Valsalva test was 11.50 mm (13). (Negative reference value for tracheal softening test: Cross-sectional diameter of the trachea in the ward >7 mm; difference in inner diameter between the Miller's and Valsalva experimental wards <2-3 mm).

(A) Thyroid B-mode ultrasound image of
the patient before thyroid artery embolization showing the mass
with a dimension of 99.3x87.3x50.3 mm. (B) Thyroid color Doppler
ultrasound blood flow signal image before embolization, noting the
marked hypervascularity in the mass. (C) Thyroid B-mode ultrasound
image of the patient after thyroid artery embolization showing the
mass with a dimension of 97.6x40.8 mm. (D) Thyroid color Doppler
ultrasound blood flow signal image after embolization showing that
there is almost no blood flow signal within the mass.

Figure 1

(A) Thyroid B-mode ultrasound image of the patient before thyroid artery embolization showing the mass with a dimension of 99.3x87.3x50.3 mm. (B) Thyroid color Doppler ultrasound blood flow signal image before embolization, noting the marked hypervascularity in the mass. (C) Thyroid B-mode ultrasound image of the patient after thyroid artery embolization showing the mass with a dimension of 97.6x40.8 mm. (D) Thyroid color Doppler ultrasound blood flow signal image after embolization showing that there is almost no blood flow signal within the mass.

(A) CT images of the mass and trachea
before thyroid artery embolization in the patient. (B) CT images of
the mass and trachea after thyroid artery embolization.

Figure 2

(A) CT images of the mass and trachea before thyroid artery embolization in the patient. (B) CT images of the mass and trachea after thyroid artery embolization.

Laboratory investigations revealed endocrine dysfunction, which was indicated by elevated free triiodothyronine (FT3) levels at 6.48 pmol/l (reference range: 2.77-6.31 pmol/l), reduced free thyroxine (FT4) levels at 7.19 pmol/l (reference range: 10.44-24.38 pmol/l) and thyroid-stimulating hormone (TSH) levels at 3.089 µIU/ml (reference range: 0.380-4.340 µIU/ml). A comprehensive reassessment of the thyroid profile of the patient was conducted 72 h post-admission due to the abnormal thyroid function indices. The laboratory results indicated an FT3 level of 5.98 pmol/l, an FT4 level of 12.25 pmol/l and an FSH level of 2.496 µIU/ml. Subsequent re-evaluations suggested that the initially observed abnormal thyroid function in the patient may have resulted from various confounding factors, such as inaccuracies in laboratory testing. Parathyroid hormone (PTH) levels were notably elevated at 69.10 pg/ml, exceeding the reference range of 15-65 pg/ml. Serum calcium levels were normal at 2.39 mmol/l (reference range: 2.11-2.58 mmol/l).

The patient possessed a 20-year history of hypertension and had been consistently administered telmisartan orally. The advanced age of the patient and compromised oxygen saturation levels considerably increased the risk associated with the administration of general anesthesia. The thyroid mass exhibited a notable size with mediastinal extension, potentially requiring a combined cervicothoracic surgical approach for effective management. A thoracotomy, due to the condition of the patient, represented a highly invasive procedure with marked associated risks, including potential intraoperative hemorrhage and iatrogenic injury, as well as adjacent major vascular and neural structures (14). Accordingly, a strategic therapeutic approach was developed, whereby initial thyroid artery embolization was conducted, followed by subsequent surgical intervention.

Radiologists from Weifang People's Hospital conducted the angiography procedure with the Seldinger technique for bilateral carotid and subclavian artery angiography (2). The imaging results demonstrated multiple abnormal feeding vessels (superior and inferior thyroid arteries) supplying the neck mass with notable staining. Embolization was performed using a combination of 500-700 µm microspheres and gelatin sponge particles measuring 560-710 or 710-1,000 µm. Post-embolization angiography demonstrated a lack of abnormal staining. A final slow angiography demonstrated total obstruction of the aberrant vessels, indicating the successful outcomes of the embolization procedure (data not shown).

Post-embolization, the patient reported cervicalgia and was prescribed a therapeutic regimen that included nalbuphine hydrochloride solution (20 mg) through intravenous infusion for analgesia across 3 days, oral nifedipine sustained-release tablets (20 mg) twice a day for hypertension, dexamethasone sodium phosphate injection (5 mg) administered intravenously for anti-inflammatory treatment across 3 days and oral cefixime (50 mg) twice a day for prophylactic antibiotic therapy across 3 days.

The patient underwent comprehensive clinical assessment 3 days after embolization, which included symptomatic evaluation, physical examination and diagnostic imaging analysis. The patient exhibited a notable enhancement in respiratory function, indicating a marked decrease in dyspnoea. Subsequent measurements of oxygen saturation indicated a stable reading of 98%, demonstrating the restoration of normal pulmonary oxygenation status. B-mode ultrasonography revealed a mass in the left thyroid lobe parenchyma (Fig. 1C), measuring 97.6x40.8x87.3 mm in maximal dimensions. The mass exhibited minimal vascularity, indicated by the lack of considerable blood flow signals on Doppler imaging (Fig. 1D). A CT scan of the cervical region indicated that the mass measured 7.6x12.5x9.6 cm, with stable thyroid morphological changes and no notable progression compared with prior imaging studies. The diameter of the trachea at the corresponding anatomical level was measured at 7.54 mm (Fig. 2B). The mass volume was estimated using the ellipsoid volume formula (V=0.52 x length x width x height), resulting in a value of 474.2 cm3. At 1-week post-embolization, the patient underwent a left thyroidectomy. In the surgical procedure, the trachea was carefully suspended on the sternocleidomastoid muscle and anterior cervical muscles to avert the risk of postoperative tracheal collapse. Postoperative monitoring indicated notable enhancement in the symptoms of dyspnoea and choking initially presented by the patient. No instances of hoarseness were observed during the postoperative period. Subsequent laboratory analyses indicated serum calcium levels of 2.25 mmol/l and PTH levels of 64.37 pg/ml, which fell within the normal reference ranges.

Routine postoperative pathological examination revealed a grey-red irregular mass measuring 13x7x6 cm, as shown in Fig. 3A. After cutting open the tumor, it could be seen that the section was cystic and solid, containing a gray red jelly-like substance, as shown in Fig. 3B. Tissue specimens were fixed with 4% formalin at room temperature for 12 h, embedded in paraffin at 60˚C for 15 min, cut into 4 µm sections, stained for 5 min at room temperature with hematoxylin and eosin, and observed under a light microscope (Nikon Corporation). The pathological findings indicated nodular goiter, marked by cystic degeneration, fibrosis, calcification and necrosis (Fig. 4).

(A) Image of the completely excised
mass. (B) Image when the mass was incised.

Figure 3

(A) Image of the completely excised mass. (B) Image when the mass was incised.

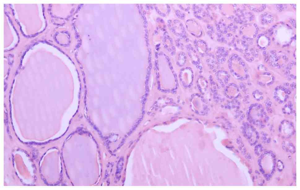
Histological analysis after H&E
staining showing that the specimen exhibits multiple nodules within
the mass, exhibiting heterogeneous dimensions, which is
pathognomonic of nodular goiter. Magnification, x100.

Figure 4

Histological analysis after H&E staining showing that the specimen exhibits multiple nodules within the mass, exhibiting heterogeneous dimensions, which is pathognomonic of nodular goiter. Magnification, x100.

A total of 5 days after the partial thyroidectomy, a comprehensive evaluation of the patient revealed that the surgical incision had healed well. The cervical drainage tube had been removed and the symptoms of breathing difficulties had improved. The patient was discharged from hospital. Furthermore, 2 months after discharge, the patient returned to the institution for a scheduled follow-up evaluation. The clinical assessment indicated a complete resolution of the aforementioned dyspnoea. Laboratory investigations revealed the following thyroid function parameters: i) FT3 at 4.45 pmol/l; ii) FT4 at 14.40 pmol/l; and iii) TSH at 5.101 µmol/l, collectively indicating the onset of subclinical hypothyroidism post-thyroid tumor resection (Table I). The patient commenced oral levothyroxine therapy at a dosage of 25 mg daily. Follow-up for re-examination was scheduled every 3 months for thyroid function determination. Color Doppler ultrasound and CT were performed 6 months after the operation.

Table I

Thyroid function indices and serum calcium levels before and after thyroid artery embolization.

Table I

Thyroid function indices and serum calcium levels before and after thyroid artery embolization.

Test itemNormal rangePreoperative valuePostoperative value
FT3, pmol/l2.77-6.316.484.45
FT4, pmol/l10.44-24.387.1914.40
TSH, µIU/ml0.380-4.3403.0895.101
PTH, pg/ml15-6569.1064.37
Ca+, mmol/l2.11-2.582.392.25

[i] FT3, free triiodothyronine; FT4, free thyroxine; TSH, thyroid-stimulating hormone; PTH, parathyroid hormone; Ca+, calcium.

Discussion

In the present clinical case, sustained airway compression by the mass led to the development of tracheomalacia and grade 2 tracheal stenosis. A comparative analysis of pre- and post-thyroid artery embolization CT imaging indicated that the calculation and reporting of estimated goiter volume remained stable 3 days after the procedure, showing no considerable reduction compared with the preoperative state. The tracheal stenosis showed improvement, as the minimum tracheal diameter increased from 4.75 to 7.54 mm at the corresponding anatomical level. Notably, the comparison of pre- and post-thyroid artery embolization revealed no marked change in tumor volume. However, a notable increase in tracheal diameter was observed. This finding indicates that the initial relief of tracheal compression was not due to changes in tumor volume. However, it resulted from reduced blood flow perfusion in the thyroid gland. The patient exhibited a notable improvement in symptoms of dyspnoea and no distress was observed during rest. The oxygen saturation levels of the patient increased from 92 to 98%, falling within the normal physiological range. The clinical observations suggested that thyroid artery embolization effectively reduces tracheal compression. At 1 week post-embolization, the anesthesiology department at Weifang People's Hospital performed a thorough preoperative evaluation and approved the patient for left thyroidectomy under general anesthesia. The surgical procedure was conducted through a standard cervical incision, resulting in complete resection of the left thyroid gland without the need for a combined cervicothoracic approach, thus reducing surgical trauma and enhancing patient outcomes. Additionally, following thyroid artery embolization, the patient experienced transient neck pain and localized discomfort as the only adverse reactions, with no other complications or systemic effects noted during the clinical course.

The vascular supply of the thyroid gland originates mainly from three principal arterial sources and the bilateral superior thyroid arteries contributed to ~70% of the overall blood perfusion (15,16). The vascular anatomy indicates that selective embolization of the superior thyroid arteries alone can greatly compromise the vascular integrity of the gland (15,16). In the present case, owing to the notable size of the intrathyroidal mass, a thorough embolization approach was implemented, directed at the superior and inferior thyroid arteries bilaterally to maximize therapeutic efficacy (15,16). Furthermore, 500-700 µm microspheres were employed alongside 560-710 or 710-1,000 µm gelatin sponge particles for embolization, considering the absorbable characteristics of gelatin sponge that promote the subsequent recanalization of the embolized vessels. This therapeutic approach aligned with the decision to perform unilateral thyroidectomy. Short-term vascular embolization notably diminishes thyroid blood supply, thereby lowering surgical complexity (17). After the reabsorption of gelatin sponge particles, the thyroid arteries undergo recanalization, thereby restoring blood supply to the unaffected thyroid lobe, and preserves thyroid functionality (17).

Current literature regarding thyroid artery embolization primarily focuses on its role in managing Graves' disease. However, studies that specifically examine the use of thyroid artery embolization in the treatment of thyroid masses remain limited (11,15-17). Yilmaz et al (17) conducted a clinical investigation on the non-surgical management of nodular goiter through thyroid artery embolization. This study indicated that 25 of 56 patients developed a range of complications, which included hoarseness, visual disturbances, hyperthyroidism, groin hematoma and cervical pain (17). The patient only exhibited cervical pain after treatment, without the occurrence of any of the aforementioned complications. The postoperative increase in TSH levels aligned with anticipated results after unilateral thyroidectomy, thereby demonstrating the safety profile of the selected thyroid artery embolization method. Tartaglia et al (2) reported a clinical case of a patient with retrosternal goiter complicated by hyperthyroidism, who received preoperative arterial embolization. The surgical intervention was performed 30 days after embolization and imaging studies indicated a reduction in thyroid mass volume (2). However, the mass remained in the retrosternal position. Consequently, a prolonged interval between embolization and surgery may lead to vessel recanalization, which can result in marked intraoperative hemorrhage (2).

Ramos et al (3) reported the clinical case of a patient with a giant retrosternal goiter complicated by papillary thyroid carcinoma, who received preoperative thyroid artery embolization. The surgical team noted a considerable decrease in intraoperative hemorrhage relative to similar procedures (3). The treatment strategy included total thyroidectomy, necessitating lifelong exogenous levothyroxine replacement therapy for the patient. By contrast, the decision to perform unilateral thyroidectomy not only effectively alleviated compressive symptoms but also optimally preserved thyroid tissue and physiological function. Postoperatively, the patient required only temporary exogenous thyroid hormone supplementation until the remaining thyroid tissue restored sufficient secretory function, eliminating the need for extended hormone replacement therapy, and this approach enhanced their quality of life (18).

In summary, thyroid artery embolization is a safe and efficacious therapeutic intervention and within the present case report, this treatment approach allowed the patient to avoid thoracotomy, reduced the surgical risks and complications and improved the long-term quality of life.

Acknowledgements

Not applicable.

Funding

Funding: The Research Project of Weifang Municipal Health Commission (grant no. WFWSJK-2022-014) supported the present study.

Availability of data and materials

The data generated in the present study may be requested from the corresponding author.

Authors' contributions

JL and FW contributed to drafting the manuscript and the design of the present study. JL, FW, YD and YW contributed to the conceptualization and design of the present study, as well as performing the surgery. JL and FW collected clinical information and assisted with drafting the manuscript. YW and YD critically revised the intellectual content of the manuscript. YW and YD confirm the authenticity of all the raw data. All authors have read and approved the final version of the manuscript.

Ethics approval and consent to participate

Not applicable.

Patient consent for publication

Written informed consent was obtained from the patient for publication of the present study and any accompanying images.

Competing interests

The authors declare that they have no competing interests.

References

1 

Carlé A, Krejbjerg A and Laurberg P: Epidemiology of nodular goitre. Influence of iodine intake. Best Pract Res Clin Endocrinol Metab. 28:465–479. 2014.PubMed/NCBI View Article : Google Scholar

2 

Tartaglia F, Salvatori FM, Pichelli D, Sgueglia M, Blasi S and Custureri F: Preoperative embolization of thyroid arteries in a patient with a large cervicomediastinal hyperfunctioning goiter. Thyroid. 17:787–792. 2007.PubMed/NCBI View Article : Google Scholar

3 

Ramos HE, Braga-Basaria M, Haquin C, Mesa CO, Noronha L, Sandrini R, Carvalho Gde A and Graf H: Preoperative embolization of thyroid arteries in a patient with large multinodular goiter and papillary carcinoma. Thyroid. 14:967–970. 2004.PubMed/NCBI View Article : Google Scholar

4 

Tartaglia F, Salvatori FM, Russo G, Blasi S, Sgueglia M, Tromba L and Berni A: Selective embolization of thyroid arteries for preresection or palliative treatment of large cervicomediastinal goiters. Surg Innov. 18:70–78. 2011.PubMed/NCBI View Article : Google Scholar

5 

Tartaglia F, Sorrenti S, Maturo A and Ulisse S: Selective embolization of the thyroid arteries (SETA): Ten years' experience. Asian J Surg. 42:847–848. 2019.PubMed/NCBI View Article : Google Scholar

6 

Kaushik H, Deshmukh M, Gupte S, Kanchankar N and Dongre A: A case report on primary pulmonary choriocarcinoma. Cureus. 16(e63466)2024.PubMed/NCBI View Article : Google Scholar

7 

Sahoo B, Pitchaimuthu A, Swain PK and Nayak M: Bleeding lymph node mass in a postoperative case of thyroid carcinoma: Transarterial embolization to the rescue. Cureus. 17(e86214)2025.PubMed/NCBI View Article : Google Scholar

8 

Dedecjus M, Tazbir J, Kaurzel Z, Strózyk G, Zygmunt A, Lewiński A and Brzeziński J: Evaluation of selective embolization of thyroid arteries (SETA) as a preresective treatment in selected cases of toxic goitre. Thyroid Res. 2(7)2009.PubMed/NCBI View Article : Google Scholar

9 

Mahzari MM, Alanazi MM, Alabdulkareem YM, Alharbi WA, Alzahrani AS, Alqahtani NA, Ajwah IM and Ardah HI: Efficacy of anti-thyroid medications in patients with Graves' disease. BMC Endocr Disord. 24(180)2024.PubMed/NCBI View Article : Google Scholar

10 

Zhao W, Gao BL, Yang HY, Li H, Song DP, Xiang ST and Shen J: Thyroid arterial embolization to treat Graves' disease. Acta Radiol. 48:186–192. 2007.PubMed/NCBI View Article : Google Scholar

11 

Xiao H, Zhuang W, Wang S, Yu B, Chen G, Zhou M and Wong NC: Arterial embolization: A novel approach to thyroid ablative therapy for Graves' disease. J Clin Endocrinol Metab. 87:3583–3589. 2002.PubMed/NCBI View Article : Google Scholar

12 

Bonnici M, Nevin C and Boo S: Thyroid ima artery embolization for the treatment of Graves' disease and thyroid storm. Radiol Case Rep. 18:2641–2644. 2023.PubMed/NCBI View Article : Google Scholar

13 

Wright CD: Tracheomalacia. Chest Surg Clin N Am. 13:349–357, viii. 2003.PubMed/NCBI View Article : Google Scholar

14 

Tikka T, Nixon IJ, Harrison-Phipps K and Simo R: Predictors of the need for an extracervical approach to intrathoracic goitre. BJS Open. 3:174–179. 2018.PubMed/NCBI View Article : Google Scholar

15 

Ducloux R, Sapoval M and Russ G: Embolization of thyroid arteries in a patient with compressive intrathoracic goiter ineligible to surgery or radioiodine therapy. Ann Endocrinol (Paris). 77:670–674. 2016.PubMed/NCBI View Article : Google Scholar

16 

Yilmaz S and Habibi HA: Safety of thyroidal artery embolization. J Vasc Interv Radiol. 33(200)2022.PubMed/NCBI View Article : Google Scholar

17 

Yilmaz S, Habibi HA, Yildiz A and Altunbas H: Thyroid embolization for nonsurgical treatment of nodular goiter: A single-center experience in 56 consecutive patients. J Vasc Interv Radiol. 32:1449–1456. 2021.PubMed/NCBI View Article : Google Scholar

18 

Meyer C, Anderson D, Dong Z, Riddick JB, Elrod M and Ayala M: Prediction of thyroid hormone replacement following thyroid lobectomy: A long-term retrospective study. OTO Open. 5(2473974x21992001)2021.PubMed/NCBI View Article : Google Scholar

Related Articles

  • Abstract
  • View
  • Download
  • Twitter
Copy and paste a formatted citation
Spandidos Publications style
Li J, Wang F, Du Y and Wang Y: <p>Preoperative treatment with thyroid artery embolization in a patient with a giant retrosternal goiter causing severe tracheal compression: A case report</p>. Exp Ther Med 31: 87, 2026.
APA
Li, J., Wang, F., Du, Y., & Wang, Y. (2026). <p>Preoperative treatment with thyroid artery embolization in a patient with a giant retrosternal goiter causing severe tracheal compression: A case report</p>. Experimental and Therapeutic Medicine, 31, 87. https://doi.org/10.3892/etm.2026.13082
MLA
Li, J., Wang, F., Du, Y., Wang, Y."<p>Preoperative treatment with thyroid artery embolization in a patient with a giant retrosternal goiter causing severe tracheal compression: A case report</p>". Experimental and Therapeutic Medicine 31.4 (2026): 87.
Chicago
Li, J., Wang, F., Du, Y., Wang, Y."<p>Preoperative treatment with thyroid artery embolization in a patient with a giant retrosternal goiter causing severe tracheal compression: A case report</p>". Experimental and Therapeutic Medicine 31, no. 4 (2026): 87. https://doi.org/10.3892/etm.2026.13082
Copy and paste a formatted citation
x
Spandidos Publications style
Li J, Wang F, Du Y and Wang Y: <p>Preoperative treatment with thyroid artery embolization in a patient with a giant retrosternal goiter causing severe tracheal compression: A case report</p>. Exp Ther Med 31: 87, 2026.
APA
Li, J., Wang, F., Du, Y., & Wang, Y. (2026). <p>Preoperative treatment with thyroid artery embolization in a patient with a giant retrosternal goiter causing severe tracheal compression: A case report</p>. Experimental and Therapeutic Medicine, 31, 87. https://doi.org/10.3892/etm.2026.13082
MLA
Li, J., Wang, F., Du, Y., Wang, Y."<p>Preoperative treatment with thyroid artery embolization in a patient with a giant retrosternal goiter causing severe tracheal compression: A case report</p>". Experimental and Therapeutic Medicine 31.4 (2026): 87.
Chicago
Li, J., Wang, F., Du, Y., Wang, Y."<p>Preoperative treatment with thyroid artery embolization in a patient with a giant retrosternal goiter causing severe tracheal compression: A case report</p>". Experimental and Therapeutic Medicine 31, no. 4 (2026): 87. https://doi.org/10.3892/etm.2026.13082
Follow us
  • Twitter
  • LinkedIn
  • Facebook
About
  • Spandidos Publications
  • Careers
  • Cookie Policy
  • Privacy Policy
How can we help?
  • Help
  • Live Chat
  • Contact
  • Email to our Support Team