Spandidos Publications Logo
  • About
    • About Spandidos
    • Aims and Scopes
    • Abstracting and Indexing
    • Editorial Policies
    • Reprints and Permissions
    • Job Opportunities
    • Terms and Conditions
    • Contact
  • Journals
    • All Journals
    • Oncology Letters
      • Oncology Letters
      • Information for Authors
      • Editorial Policies
      • Editorial Board
      • Aims and Scope
      • Abstracting and Indexing
      • Bibliographic Information
      • Archive
    • International Journal of Oncology
      • International Journal of Oncology
      • Information for Authors
      • Editorial Policies
      • Editorial Board
      • Aims and Scope
      • Abstracting and Indexing
      • Bibliographic Information
      • Archive
    • Molecular and Clinical Oncology
      • Molecular and Clinical Oncology
      • Information for Authors
      • Editorial Policies
      • Editorial Board
      • Aims and Scope
      • Abstracting and Indexing
      • Bibliographic Information
      • Archive
    • Experimental and Therapeutic Medicine
      • Experimental and Therapeutic Medicine
      • Information for Authors
      • Editorial Policies
      • Editorial Board
      • Aims and Scope
      • Abstracting and Indexing
      • Bibliographic Information
      • Archive
    • International Journal of Molecular Medicine
      • International Journal of Molecular Medicine
      • Information for Authors
      • Editorial Policies
      • Editorial Board
      • Aims and Scope
      • Abstracting and Indexing
      • Bibliographic Information
      • Archive
    • Biomedical Reports
      • Biomedical Reports
      • Information for Authors
      • Editorial Policies
      • Editorial Board
      • Aims and Scope
      • Abstracting and Indexing
      • Bibliographic Information
      • Archive
    • Oncology Reports
      • Oncology Reports
      • Information for Authors
      • Editorial Policies
      • Editorial Board
      • Aims and Scope
      • Abstracting and Indexing
      • Bibliographic Information
      • Archive
    • Molecular Medicine Reports
      • Molecular Medicine Reports
      • Information for Authors
      • Editorial Policies
      • Editorial Board
      • Aims and Scope
      • Abstracting and Indexing
      • Bibliographic Information
      • Archive
    • World Academy of Sciences Journal
      • World Academy of Sciences Journal
      • Information for Authors
      • Editorial Policies
      • Editorial Board
      • Aims and Scope
      • Abstracting and Indexing
      • Bibliographic Information
      • Archive
    • International Journal of Functional Nutrition
      • International Journal of Functional Nutrition
      • Information for Authors
      • Editorial Policies
      • Editorial Board
      • Aims and Scope
      • Abstracting and Indexing
      • Bibliographic Information
      • Archive
    • International Journal of Epigenetics
      • International Journal of Epigenetics
      • Information for Authors
      • Editorial Policies
      • Editorial Board
      • Aims and Scope
      • Abstracting and Indexing
      • Bibliographic Information
      • Archive
    • Medicine International
      • Medicine International
      • Information for Authors
      • Editorial Policies
      • Editorial Board
      • Aims and Scope
      • Abstracting and Indexing
      • Bibliographic Information
      • Archive
  • Articles
  • Information
    • Information for Authors
    • Information for Reviewers
    • Information for Librarians
    • Information for Advertisers
    • Conferences
  • Language Editing
Spandidos Publications Logo
  • About
    • About Spandidos
    • Aims and Scopes
    • Abstracting and Indexing
    • Editorial Policies
    • Reprints and Permissions
    • Job Opportunities
    • Terms and Conditions
    • Contact
  • Journals
    • All Journals
    • Biomedical Reports
      • Information for Authors
      • Editorial Policies
      • Editorial Board
      • Aims and Scope
      • Abstracting and Indexing
      • Bibliographic Information
      • Archive
    • Experimental and Therapeutic Medicine
      • Information for Authors
      • Editorial Policies
      • Editorial Board
      • Aims and Scope
      • Abstracting and Indexing
      • Bibliographic Information
      • Archive
    • International Journal of Epigenetics
      • Information for Authors
      • Editorial Policies
      • Editorial Board
      • Aims and Scope
      • Abstracting and Indexing
      • Bibliographic Information
      • Archive
    • International Journal of Functional Nutrition
      • Information for Authors
      • Editorial Policies
      • Editorial Board
      • Aims and Scope
      • Abstracting and Indexing
      • Bibliographic Information
      • Archive
    • International Journal of Molecular Medicine
      • Information for Authors
      • Editorial Policies
      • Editorial Board
      • Aims and Scope
      • Abstracting and Indexing
      • Bibliographic Information
      • Archive
    • International Journal of Oncology
      • Information for Authors
      • Editorial Policies
      • Editorial Board
      • Aims and Scope
      • Abstracting and Indexing
      • Bibliographic Information
      • Archive
    • Medicine International
      • Information for Authors
      • Editorial Policies
      • Editorial Board
      • Aims and Scope
      • Abstracting and Indexing
      • Bibliographic Information
      • Archive
    • Molecular and Clinical Oncology
      • Information for Authors
      • Editorial Policies
      • Editorial Board
      • Aims and Scope
      • Abstracting and Indexing
      • Bibliographic Information
      • Archive
    • Molecular Medicine Reports
      • Information for Authors
      • Editorial Policies
      • Editorial Board
      • Aims and Scope
      • Abstracting and Indexing
      • Bibliographic Information
      • Archive
    • Oncology Letters
      • Information for Authors
      • Editorial Policies
      • Editorial Board
      • Aims and Scope
      • Abstracting and Indexing
      • Bibliographic Information
      • Archive
    • Oncology Reports
      • Information for Authors
      • Editorial Policies
      • Editorial Board
      • Aims and Scope
      • Abstracting and Indexing
      • Bibliographic Information
      • Archive
    • World Academy of Sciences Journal
      • Information for Authors
      • Editorial Policies
      • Editorial Board
      • Aims and Scope
      • Abstracting and Indexing
      • Bibliographic Information
      • Archive
  • Articles
  • Information
    • For Authors
    • For Reviewers
    • For Librarians
    • For Advertisers
    • Conferences
  • Language Editing
Login Register Submit
  • This site uses cookies
  • You can change your cookie settings at any time by following the instructions in our Cookie Policy. To find out more, you may read our Privacy Policy.

    I agree
Search articles by DOI, keyword, author or affiliation
Search
Advanced Search
presentation
Experimental and Therapeutic Medicine
Join Editorial Board Propose a Special Issue
Print ISSN: 1792-0981 Online ISSN: 1792-1015
Journal Cover
April-2026 Volume 31 Issue 4

Full Size Image

Sign up for eToc alerts
Recommend to Library

Journals

International Journal of Molecular Medicine

International Journal of Molecular Medicine

International Journal of Molecular Medicine is an international journal devoted to molecular mechanisms of human disease.

International Journal of Oncology

International Journal of Oncology

International Journal of Oncology is an international journal devoted to oncology research and cancer treatment.

Molecular Medicine Reports

Molecular Medicine Reports

Covers molecular medicine topics such as pharmacology, pathology, genetics, neuroscience, infectious diseases, molecular cardiology, and molecular surgery.

Oncology Reports

Oncology Reports

Oncology Reports is an international journal devoted to fundamental and applied research in Oncology.

Experimental and Therapeutic Medicine

Experimental and Therapeutic Medicine

Experimental and Therapeutic Medicine is an international journal devoted to laboratory and clinical medicine.

Oncology Letters

Oncology Letters

Oncology Letters is an international journal devoted to Experimental and Clinical Oncology.

Biomedical Reports

Biomedical Reports

Explores a wide range of biological and medical fields, including pharmacology, genetics, microbiology, neuroscience, and molecular cardiology.

Molecular and Clinical Oncology

Molecular and Clinical Oncology

International journal addressing all aspects of oncology research, from tumorigenesis and oncogenes to chemotherapy and metastasis.

World Academy of Sciences Journal

World Academy of Sciences Journal

Multidisciplinary open-access journal spanning biochemistry, genetics, neuroscience, environmental health, and synthetic biology.

International Journal of Functional Nutrition

International Journal of Functional Nutrition

Open-access journal combining biochemistry, pharmacology, immunology, and genetics to advance health through functional nutrition.

International Journal of Epigenetics

International Journal of Epigenetics

Publishes open-access research on using epigenetics to advance understanding and treatment of human disease.

Medicine International

Medicine International

An International Open Access Journal Devoted to General Medicine.

Journal Cover
April-2026 Volume 31 Issue 4

Full Size Image

Sign up for eToc alerts
Recommend to Library

  • Article
  • Citations
    • Cite This Article
    • Download Citation
    • Create Citation Alert
    • Remove Citation Alert
    • Cited By
  • Similar Articles
    • Related Articles (in Spandidos Publications)
    • Similar Articles (Google Scholar)
    • Similar Articles (PubMed)
  • Download PDF
  • Download XML
  • View XML
Case Report

Sagittal sinus thrombosis in pregnancy: A case report

  • Authors:
    • Zaheera Saadia
    • Misbah Ilyas
    • Jayd Saud Althwiny
    • Fai Alaqel
    • Alanoud Abdullah Alsufayri
    • Lujain Husain Almutairi
  • View Affiliations / Copyright

    Affiliations: Department of Obstetrics and Gynecology, College of Medicine, Qassim University, Buraydah, Al‑Qassim 52571, Saudi Arabia, Department of Obstetrics and Gynecology, Maternity and Children Hospital, Buraydah, Al‑Qassim 52384, Saudi Arabia, College of Medicine, Qassim University, Buraydah, Al‑Qassim 52571, Saudi Arabia
  • Article Number: 100
    |
    Published online on: February 5, 2026
       https://doi.org/10.3892/etm.2026.13095
  • Expand metrics +
Metrics: Total Views: 0 (Spandidos Publications: | PMC Statistics: )
Metrics: Total PDF Downloads: 0 (Spandidos Publications: | PMC Statistics: )
Cited By (CrossRef): 0 citations Loading Articles...

This article is mentioned in:


Abstract

Cerebral venous sinus thrombosis (CVST) is a rare but serious cause of maternal morbidity. It most frequently occurs during late pregnancy and puerperium, and occurs due to pregnancy‑induced hypercoagulability. The present report documents a 37‑year‑old multiparous woman diagnosed with acute superior sagittal sinus thrombosis involving multiple dural sinuses at 6 weeks gestation. The patient was managed with therapeutic low‑molecular‑weight heparin (enoxaparin 100 mg twice daily) under multidisciplinary supervision throughout pregnancy; at 33 weeks, recurrent headaches and vomiting occurred, but imaging showed no new thrombosis. Delivery by elective cesarean section at 38 weeks resulted in a healthy neonate. Postpartum anticoagulation was transitioned to apixaban for 3 months with complete neurological recovery. Early diagnosis, appropriate anticoagulation and multidisciplinary management are key to favorable maternal and fetal outcomes in CVST during pregnancy. The present case report contributes to the literature that sagittal sinus thrombosis can present in early pregnancy with symptoms, such as headache and vomiting, which overlap with the normal symptoms of pregnancy; therefore, a high index of suspicion should be kept in mind.

Introduction

Cerebral venous sinus thrombosis (CVST) is an uncommon but potentially life-threatening neurological condition that is caused by thrombosis of the dural venous sinuses or cortical veins (1). In pregnancy, it accounts for a rare but notable cause of maternal morbidity and mortality (2,3). The incidence ranges between 10 and 20 per 100,000 deliveries, based on population-based studies from developed countries, with the highest risk during the third trimester and immediate postpartum periods (4,5)

Pregnancy induces prothrombotic changes, including elevated clotting factors VII, VIII, X and fibrinogen, coupled with reduced natural anticoagulants, such as protein S, and impaired fibrinolysis. Additional risk factors include obesity, dehydration, infection, hypertensive disorders and thrombophilia (2,6). Headache is the most common presenting symptom, which is frequently accompanied by visual disturbances, seizures or neurological deficits. MRI with MR venography is the preferred diagnostic method for this condition. Low-molecular-weight heparin (LMWH) is the treatment mainstay, since it is considered safe for patients who are pregnant as it cannot cross the placenta (1,4). Because of its presentation, including headaches, it may be misdiagnosed as migraine or preeclampsia. Therefore, it is important for clinicians to keep in mind the diagnosis of sagittal sinus thrombosis.

Case report

A 37-year-old female patient designated G2P1+0, with a previous normal delivery 4 years ago with no complications and a body mass index (BMI) of 42 kg/m2, presented at 33 weeks of gestation in November 2023 at Maternity and Children Hospital (Buraydah, Saudi Arabia) with complaints of severe headache and intermittent vomiting. These symptoms had been occurring since the patient had been diagnosed with a case of acute sagittal sinus thrombosis earlier in the pregnancy at 6 weeks gestation at another facility, in June 2023, where the patient presented with severe persistent headache and vomiting for 3 days; the headache was unresponsive to analgesics.

At the time of diagnosis, the patient had no blurring of vision or epigastric pain. Vital signs and blood pressure were normal; there was no proteinuria, thus excluding the possibility of pregnancy-induced hypertension. Meningitis and hyperemesis were also unlikely because of the absence of fever, meningeal signs, severe vomiting and dehydration. There was no neurological deficits detected therefore the possibility of a stroke was remote; thus, the severe persistent headache prompted ophthalmologic examination by fundoscopy, which suggested papilledema (bilateral grade 4). MRI (Fig. 1, Fig. 2 and Fig. 3) and MR venography (MRV; data not shown) showed thrombosis involving the superior sagittal sinus without ischemia or hemorrhage. The patient was prescribed enoxaparin (LMWH) 100 mg twice daily (subcutaneous administration) for thrombosis and acetazolamide 500 mg twice a day (subcutaneous administration) for the papilledema attributed to the dural sinus thrombosis.

MRI T1-weighted mid sagittal section.
The arrow shows high intensity in the superior sagittal sinus.
Image was obtained in June 2023.

Figure 1

MRI T1-weighted mid sagittal section. The arrow shows high intensity in the superior sagittal sinus. Image was obtained in June 2023.

MRI FLAIR sequence axial section. The
arrow shows loss of normal flow void. Image was obtained in June
2023.

Figure 2

MRI FLAIR sequence axial section. The arrow shows loss of normal flow void. Image was obtained in June 2023.

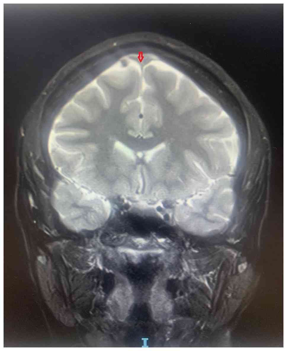
MRI T2-weighted coronal section. The
arrow shows loss of flow void in the superior sagittal sinus. Image
was obtained in June 2023.

Figure 3

MRI T2-weighted coronal section. The arrow shows loss of flow void in the superior sagittal sinus. Image was obtained in June 2023.

Ophthalmology review in July 2023 showed bilateral grade 4 papilledema with preserved visual acuity. Intraocular pressure was normal, with no focal neurological deficits. Acetazolamide 500 mg twice daily was continued along with enoxaparin 100 mg twice a day subcutaneously.

At 19 weeks gestation, the patient reported mild productive cough and headache but no neurological deficits. Abdominal ultrasound confirmed the presence of a fetus corresponding to 19 weeks gestation with good cardiac activity; the patient received antibiotics (oral cefixime 500 mg once a day for 7 days) and continued enoxaparin, acetazolamide and supplements (combination tablet of 800 mg calcium and 1,000 IU vitamin D/day).

The patient was admitted again at 33 weeks to Maternity and Children Hospital with headaches; the general physical examination was unremarkable and the Glasgow coma scale was 15/15. Abdominal examination at 33 weeks revealed normal fundal height and no neurological abnormality was noted. On fundoscopy, there was grade 1 bilateral papilledema, especially in the left eye, where the intraocular pressure was normal digitally.

MRI (Figs. 4 and 5) and MRV analysis (data not shown) did not find anomalies therefore, carotid Doppler imaging was performed (data not shown), which showed the normal sonographic appearance of both internal jugular veins (IJVs), with no obvious sonographic evidence to suggest IJV thrombosis bilaterally; no focal carotid artery stenosis was noted The laboratory investigations of the patient, including proteinuria, liver functions and renal functions, were all normal. The patient was managed conservatively (500 mg paracetamol tablet administered every 8 h for 1 day, and increased fluid intake), and the headache improved; therefore, the patient was discharged and prescribed enoxaparin 100 mg twice a day. The headache was not attributed to previous CVST, and may have been caused by stress or anxiety from the past experience of the patient. The patient was managed throughout the pregnancy period by the multidisciplinary team involving the obstetrician, internal medicine physician, ophthalmologist, neurologist and hematologist.

MRI T1-weighted sagittal view of the
brain. The arrow shows normal flow voids in the superior sagittal
sinus. Image was obtained in November 2023.

Figure 4

MRI T1-weighted sagittal view of the brain. The arrow shows normal flow voids in the superior sagittal sinus. Image was obtained in November 2023.

MRI T2-weighted axial section at the
level of the pons. The arrow shows normal flow void of the terminal
superior sagittal sinus and transverse sinuses. Image was obtained
in November 2023.

Figure 5

MRI T2-weighted axial section at the level of the pons. The arrow shows normal flow void of the terminal superior sagittal sinus and transverse sinuses. Image was obtained in November 2023.

Elective cesarean section (CS) was performed on the patient at 38 weeks gestation in January 2024, due to breech presentation. The patient was discharged in a stable condition on day 4 after CS with a healthy baby and was prescribed apixaban (an anticoagulant) 5 mg twice daily (oral administration) by a hematologist for 3 months postpartum. The treatment with acetazolamide was stopped by the ophthalmologist before discharge from the hospital. The patient was advised to follow-up with the obstetrician, ophthalmologist, hematologist and neurologist in the outpatient department at 6 weeks postpartum, and then at 3 and 6 months. The patient was in good general condition at the last follow-up (June 2024) and has been inserted with an intrauterine contraceptive device for future birth spacing.

The patient had undergone complete neurological and ophthalmological recovery by June 2024; serial imaging confirmed complete CVST resolution (Fig. 6). Both mother and infant remained healthy, and the patient was advised to seek pre-conceptional counselling when planning any future pregnancies.

Follow-up image. MRI T1-weighted
sagittal view of the brain. The arrow shows normal flow voids in
the superior sagittal sinus. Image was obtained in June 2024.

Figure 6

Follow-up image. MRI T1-weighted sagittal view of the brain. The arrow shows normal flow voids in the superior sagittal sinus. Image was obtained in June 2024.

Discussion

The present case is unique in demonstrating that sagittal sinus thrombosis can present early in pregnancy with symptoms overlapping with the normal symptoms of pregnancy; therefore, a high index of suspicion should be kept in mind. Early identification, adequate anticoagulation and multidisciplinary care can result in good pregnancy outcomes. CVST diagnosis in pregnancy is challenging due to an overlap of symptoms with common pregnancy complaints, such as headaches, nausea and vomiting (7). Typically, headaches are common in pregnancy, whereas progressive and persistent headaches may be a manifestation of a serious condition (8). Hypertensive disorders of pregnancy are one of the most common differential diagnoses, but they are associated with nausea, vomiting, blurring of vision and epigastric pain, along with proteinuria and high blood pressure (9). Other conditions such as intracranial hemorrhage and meningitis also present with headache, but are associated with neurological dysfunction (10,11). Hyperemesis is a common symptom of pregnancy that may be associated with neurological symptoms (12). Thus, the overlap of common pregnancy symptoms makes it difficult to consider a serious pathology and can result in a delay in diagnosis. Sagittal sinus thrombosis is a serious condition that, along with all other possibilities, should be kept in mind when there is persistent headache in the absence of neurological deficits, to be diagnosed with early neuroimaging (7,13).

In the present case, a persistent headache that did not respond to conventional therapy and the visual symptoms prompted physicians to perform an ophthalmologic examination and neuroimaging. It has been demonstrated that obesity and pregnancy-induced hypercoagulability can contribute to thrombosis (2,5); therefore, in the present case, it is likely that high BMI and the pregnancy-related hypercoagulable state contributed towards thrombosis. The common site of thrombosis during pregnancy is the iliofemoral region (6), where the diagnosis of CVST is difficult and only a high index of suspicion can direct physicians toward this possibility. MRV is the gold standard for imaging, and LMWH is the preferred treatment during pregnancy due to its proven safety and efficacy (14,15). Postpartum oral anticoagulation with apixaban complies with the current American Heart Association and European Stroke Organization guidelines (14,15). Multidisciplinary management and timely anticoagulation can further optimize outcomes (16). As far as recurrence is concerned, pregnancy is a thrombogenic state itself and in the absence of thrombophilia, risk assessment is difficult. Mehraein et al (17) followed 39 patients with a history of CVST of reproductive age, of which 22 became pregnant. Out of these 22 pregnancies, 19 births occurred, 1 pregnancy was terminated electively and 2 spontaneously miscarried; notably, none of the patients had a recurrence of cerebral or extracerebral thrombosis. Another previous study followed up 119 women of child-bearing age who had a history of CVST for 14 years. According to the data, 83% received antithrombotic prophylaxis during the first trimester or at least during puerperium, and 17% did not receive antithrombotic prophylaxis. In total, 51 term deliveries, 9 preterm births, 2 stillbirths and 2 miscarriages were observed (18); only 3 women had a recurrence of CVST, 2 of which received antithrombotic prophylaxis, thus highlighting the fact that obstetrical outcome may be good after a previous history of CVST, if managed by antithrombotic prophylaxis during pregnancy, and there is little risk of recurrence.

Zhou et al (19) reported on the case of a 29-year-old woman at 8 weeks gestation with severe headache, nausea and vomiting' the patient was treated for hyperemesis. When the patient developed acute left hemiplegia imaging confirmed superior sagittal sinus thrombosis. At this stage, anticoagulant treatment was ineffective and a thrombectomy was required to relieve the symptoms (19).

Another case report by Khan et al (20) reported on the case of a 25-year-old woman who developed left-sided hemiparesis on post-delivery day 4 following 3 days of headache and vomiting. Urgent contrast CT revealed sagittal sinus thrombosis with subarachnoid hemorrhage, which resulted in post-delivery headache and seizure; after the diagnosis of superior sagittal sinus thrombosis, the patient responded well to anticoagulation (20).

The onset in early pregnancy, the absence of thrombophilia and a previous normal course of pregnancy are unique features of the present case study. However, the factor of obesity (BMI 42 kg/m2) observed in the present case highlights the need for caution even during early pregnancy as a risk factor for thrombosis. Therefore, obesity should be considered as a risk factor for thrombosis. Early identification, adequate anticoagulation and multidisciplinary care can result in improved pregnancy outcomes.

In summary, CVST is a rare condition where a blood clot forms in the dural venous sinuses, which are channels that drain blood from the brain (1,2,13). In the present case report, the patient was treated with enoxaparin and underwent MRI. Enoxaparin is an injectable anticoagulant (blood thinner) medication that can be used to prevent and treat dangerous blood clots, which belongs to the LMWH class of drugs. MRI is a medical imaging technique that uses strong magnetic fields and radio waves to create detailed pictures of the organs, tissues and bones without using radiation. The present case report provided a unique contribution to the present literature in terms of onset of sagittal sinus thrombosis in early pregnancy, with no previous risk factors except obesity. It highlights that headaches and vomiting in pregnancy should be taken seriously, and early imaging, timely management and multidisciplinary care can result in an improved outcome.

Acknowledgements

Not applicable.

Funding

Funding: The Researchers would like to thank the Deanship of Graduate Studies and Scientific Research at Qassim University for financial support.

Availability of data and materials

The data generated in the present study may be requested from the corresponding author.

Authors' contributions

ZS conceptualized the case report. MI and ZS were involved in the data curation. MI cared for the patient. JSA, FA, AAA and LHA were involved in conceptualization, image formatting, drafting, reviewing and editing the report. ZS and MI confirm the authenticity of all the raw data. All authors read and approved the final manuscript.

Ethics approval and consent to participate

Approval from the Ministry of Health, Regional Research Ethics Committee (Al-QAssim, Buraydah, Saudi Arabia) was obtained (approval no. 607-47-005880; 29/10/2025). This was for the use of data information from the patient's file and of the radiological images.

Patient consent for publication

Written informed consent was obtained from the patient for publishing the case report and radiological images with all identifiable information removed.

Competing interests

The authors declare that they have no competing interests.

References

1 

Saposnik G, Barinagarrementeria F, Brown RD Tr, Bushnell CD, Cucchiara B, Cushman M, deVeber G, Ferro JM and Tsai FY: American heart association stroke council and the council on epidemiology and prevention. Diagnosis and management of cerebral venous thrombosis: A statement for healthcare professionals from the American heart association/American stroke association. Stroke. 42:1158–1192. 2011.PubMed/NCBI View Article : Google Scholar

2 

Algahtani H, Bazaid A, Shirah B and Bouges RN: Cerebral venous sinus thrombosis in pregnancy and puerperium: A comprehensive review. Brain Circ. 8:180–187. 2022.PubMed/NCBI View Article : Google Scholar

3 

Cantú C and Barinagarrementeria F: Cerebral venous thrombosis associated with pregnancy and puerperium. Review of 67 cases. Stroke. 24:1880–1884. 1993.PubMed/NCBI View Article : Google Scholar

4 

Coutinho JM: Cerebral venous thrombosis. J Thromb Haemost. 13 (Suppl 1):S238–S244. 2015.PubMed/NCBI View Article : Google Scholar

5 

Silvis SM, de Sousa DA, Ferro JM and Coutinho JM: Cerebral venous thrombosis. Nat Rev Neurol. 13:555–565. 2017.PubMed/NCBI View Article : Google Scholar

6 

James AH: Pregnancy-associated thrombosis. Hematology Am Soc Hematol Educ Program. 2009:277–285. 2009.PubMed/NCBI View Article : Google Scholar

7 

Leach JL, Fortuna RB, Jones BV and Gaskill-Shipley MF: Imaging of cerebral venous thrombosis: Current techniques, spectrum of findings, and diagnostic pitfalls. Radiographics. 26 (Suppl 1):S19–S43. 2006.PubMed/NCBI View Article : Google Scholar

8 

MacGregor EA: Headache in pregnancy. Neurol Clin. 30:835–866. 2012.PubMed/NCBI View Article : Google Scholar

9 

Gestational hypertension and preeclampsia. ACOG practice bulletin number 222. Obstet Gynecol. 135:e237–e260. 2020.PubMed/NCBI View Article : Google Scholar

10 

Swartz RH, Cayley ML, Foley N, Ladhani NNN, Leffert L, Bushnell C, McClure JA and Lindsay MP: The incidence of pregnancy-related stroke: A systematic review and meta-analysis. Int J Stroke. 12:687–697. 2017.PubMed/NCBI View Article : Google Scholar

11 

Tunkel AR, Hasbun R, Bhimraj A, Byers K, Kaplan SL, Scheld WM, van de Beek D, Bleck TP, Garton HJL and Zunt JR: 2017 infectious diseases society of America's Clinical Practice Guidelines for Healthcare-Associated Ventriculitis and Meningitis. Clin Infect Dis. 64:e34–e65. 2017.PubMed/NCBI View Article : Google Scholar

12 

Goodwin TM: Hyperemesis gravidarum. Obstet Gynecol Clin North Am. 35:401–417. 2008.PubMed/NCBI View Article : Google Scholar

13 

Ferro JM, Canhão P, Stam J, Bousser MG and Barinagarrementeria F: ISCVT Investigators. Prognosis of cerebral vein and dural sinus thrombosis: Results of the international study on cerebral vein and dural sinus thrombosis. Stroke. 35:664–670. 2004.PubMed/NCBI View Article : Google Scholar

14 

Saposnik G, Bushnell C, Coutinho JM, Field TS, Furie KL, Galadanci N, Kam W, Kirkham FC, McNair ND, Singhal AB, et al: Diagnosis and management of cerebral venous thrombosis: A scientific statement from the American heart association. Stroke. 55:e77–e90. 2024.PubMed/NCBI View Article : Google Scholar

15 

Ferro JM, Bousser MG, Canhão P, Coutinho JM, Crassard I, Dentali F, di Minno M, Maino A, Martinelli I, Masuhr F, et al: European stroke organization guideline for the diagnosis and treatment of cerebral venous thrombosis - endorsed by the European academy of neurology. Eur J Neurol. 24:1203–1213. 2017.PubMed/NCBI View Article : Google Scholar

16 

Bates SM, Greer IA, Middeldorp S, Veenstra DL, Prabulos AM and Vandvik PO: VTE, thrombophilia, antithrombotic therapy, and pregnancy: Antithrombotic Therapy and Prevention of Thrombosis, 9th ed: American College of Chest Physicians Evidence-Based Clinical Practice Guidelines. Chest. 141 (2 Suppl):e691S–e736S. 2012.PubMed/NCBI View Article : Google Scholar

17 

Mehraein S, Ortwein H, Busch M, Weih M, Einhäupl K and Masuhr F: Risk of recurrence of cerebral venous and sinus thrombosis during subsequent pregnancy and puerperium. J Neurol Neurosurg Psychiatry. 74:814–816. 2003.PubMed/NCBI View Article : Google Scholar

18 

Aguiar de Sousa D, Canhão P, Crassard I, Coutinho J, Arauz A, Conforto A, Béjot Y, Giroud M and Ferro JM: ISCVT-2-PREGNANCY Investigators. Safety of pregnancy after cerebral venous thrombosis: Results of the ISCVT (international study on cerebral vein and dural sinus thrombosis)-2 PREGNANCY study. Stroke. 48:3130–3133. 2017.PubMed/NCBI View Article : Google Scholar

19 

Zhou B, Huang SS, Huang C and Liu SY: Cerebral venous sinus thrombosis in pregnancy: A case report. World J Clin Cases. 10:309–315. 2022.PubMed/NCBI View Article : Google Scholar

20 

Khan YM, Al Yaqoubi HN and Fatema N: Complete superior sagittal sinus thrombosis along with subarachnoid hemorrhage during early postpartum period: A rare case report. J Neurol Res. 7:89–93. 2017.

Related Articles

  • Abstract
  • View
  • Download
  • Twitter
Copy and paste a formatted citation
Spandidos Publications style
Saadia Z, Ilyas M, Althwiny JS, Alaqel F, Alsufayri AA and Almutairi LH: <p>Sagittal sinus thrombosis in pregnancy: A case report</p>. Exp Ther Med 31: 100, 2026.
APA
Saadia, Z., Ilyas, M., Althwiny, J.S., Alaqel, F., Alsufayri, A.A., & Almutairi, L.H. (2026). <p>Sagittal sinus thrombosis in pregnancy: A case report</p>. Experimental and Therapeutic Medicine, 31, 100. https://doi.org/10.3892/etm.2026.13095
MLA
Saadia, Z., Ilyas, M., Althwiny, J. S., Alaqel, F., Alsufayri, A. A., Almutairi, L. H."<p>Sagittal sinus thrombosis in pregnancy: A case report</p>". Experimental and Therapeutic Medicine 31.4 (2026): 100.
Chicago
Saadia, Z., Ilyas, M., Althwiny, J. S., Alaqel, F., Alsufayri, A. A., Almutairi, L. H."<p>Sagittal sinus thrombosis in pregnancy: A case report</p>". Experimental and Therapeutic Medicine 31, no. 4 (2026): 100. https://doi.org/10.3892/etm.2026.13095
Copy and paste a formatted citation
x
Spandidos Publications style
Saadia Z, Ilyas M, Althwiny JS, Alaqel F, Alsufayri AA and Almutairi LH: <p>Sagittal sinus thrombosis in pregnancy: A case report</p>. Exp Ther Med 31: 100, 2026.
APA
Saadia, Z., Ilyas, M., Althwiny, J.S., Alaqel, F., Alsufayri, A.A., & Almutairi, L.H. (2026). <p>Sagittal sinus thrombosis in pregnancy: A case report</p>. Experimental and Therapeutic Medicine, 31, 100. https://doi.org/10.3892/etm.2026.13095
MLA
Saadia, Z., Ilyas, M., Althwiny, J. S., Alaqel, F., Alsufayri, A. A., Almutairi, L. H."<p>Sagittal sinus thrombosis in pregnancy: A case report</p>". Experimental and Therapeutic Medicine 31.4 (2026): 100.
Chicago
Saadia, Z., Ilyas, M., Althwiny, J. S., Alaqel, F., Alsufayri, A. A., Almutairi, L. H."<p>Sagittal sinus thrombosis in pregnancy: A case report</p>". Experimental and Therapeutic Medicine 31, no. 4 (2026): 100. https://doi.org/10.3892/etm.2026.13095
Follow us
  • Twitter
  • LinkedIn
  • Facebook
About
  • Spandidos Publications
  • Careers
  • Cookie Policy
  • Privacy Policy
How can we help?
  • Help
  • Live Chat
  • Contact
  • Email to our Support Team