Spandidos Publications Logo
  • About
    • About Spandidos
    • Aims and Scopes
    • Abstracting and Indexing
    • Editorial Policies
    • Reprints and Permissions
    • Job Opportunities
    • Terms and Conditions
    • Contact
  • Journals
    • All Journals
    • Oncology Letters
      • Oncology Letters
      • Information for Authors
      • Editorial Policies
      • Editorial Board
      • Aims and Scope
      • Abstracting and Indexing
      • Bibliographic Information
      • Archive
    • International Journal of Oncology
      • International Journal of Oncology
      • Information for Authors
      • Editorial Policies
      • Editorial Board
      • Aims and Scope
      • Abstracting and Indexing
      • Bibliographic Information
      • Archive
    • Molecular and Clinical Oncology
      • Molecular and Clinical Oncology
      • Information for Authors
      • Editorial Policies
      • Editorial Board
      • Aims and Scope
      • Abstracting and Indexing
      • Bibliographic Information
      • Archive
    • Experimental and Therapeutic Medicine
      • Experimental and Therapeutic Medicine
      • Information for Authors
      • Editorial Policies
      • Editorial Board
      • Aims and Scope
      • Abstracting and Indexing
      • Bibliographic Information
      • Archive
    • International Journal of Molecular Medicine
      • International Journal of Molecular Medicine
      • Information for Authors
      • Editorial Policies
      • Editorial Board
      • Aims and Scope
      • Abstracting and Indexing
      • Bibliographic Information
      • Archive
    • Biomedical Reports
      • Biomedical Reports
      • Information for Authors
      • Editorial Policies
      • Editorial Board
      • Aims and Scope
      • Abstracting and Indexing
      • Bibliographic Information
      • Archive
    • Oncology Reports
      • Oncology Reports
      • Information for Authors
      • Editorial Policies
      • Editorial Board
      • Aims and Scope
      • Abstracting and Indexing
      • Bibliographic Information
      • Archive
    • Molecular Medicine Reports
      • Molecular Medicine Reports
      • Information for Authors
      • Editorial Policies
      • Editorial Board
      • Aims and Scope
      • Abstracting and Indexing
      • Bibliographic Information
      • Archive
    • World Academy of Sciences Journal
      • World Academy of Sciences Journal
      • Information for Authors
      • Editorial Policies
      • Editorial Board
      • Aims and Scope
      • Abstracting and Indexing
      • Bibliographic Information
      • Archive
    • International Journal of Functional Nutrition
      • International Journal of Functional Nutrition
      • Information for Authors
      • Editorial Policies
      • Editorial Board
      • Aims and Scope
      • Abstracting and Indexing
      • Bibliographic Information
      • Archive
    • International Journal of Epigenetics
      • International Journal of Epigenetics
      • Information for Authors
      • Editorial Policies
      • Editorial Board
      • Aims and Scope
      • Abstracting and Indexing
      • Bibliographic Information
      • Archive
    • Medicine International
      • Medicine International
      • Information for Authors
      • Editorial Policies
      • Editorial Board
      • Aims and Scope
      • Abstracting and Indexing
      • Bibliographic Information
      • Archive
  • Articles
  • Information
    • Information for Authors
    • Information for Reviewers
    • Information for Librarians
    • Information for Advertisers
    • Conferences
  • Language Editing
Spandidos Publications Logo
  • About
    • About Spandidos
    • Aims and Scopes
    • Abstracting and Indexing
    • Editorial Policies
    • Reprints and Permissions
    • Job Opportunities
    • Terms and Conditions
    • Contact
  • Journals
    • All Journals
    • Biomedical Reports
      • Information for Authors
      • Editorial Policies
      • Editorial Board
      • Aims and Scope
      • Abstracting and Indexing
      • Bibliographic Information
      • Archive
    • Experimental and Therapeutic Medicine
      • Information for Authors
      • Editorial Policies
      • Editorial Board
      • Aims and Scope
      • Abstracting and Indexing
      • Bibliographic Information
      • Archive
    • International Journal of Epigenetics
      • Information for Authors
      • Editorial Policies
      • Editorial Board
      • Aims and Scope
      • Abstracting and Indexing
      • Bibliographic Information
      • Archive
    • International Journal of Functional Nutrition
      • Information for Authors
      • Editorial Policies
      • Editorial Board
      • Aims and Scope
      • Abstracting and Indexing
      • Bibliographic Information
      • Archive
    • International Journal of Molecular Medicine
      • Information for Authors
      • Editorial Policies
      • Editorial Board
      • Aims and Scope
      • Abstracting and Indexing
      • Bibliographic Information
      • Archive
    • International Journal of Oncology
      • Information for Authors
      • Editorial Policies
      • Editorial Board
      • Aims and Scope
      • Abstracting and Indexing
      • Bibliographic Information
      • Archive
    • Medicine International
      • Information for Authors
      • Editorial Policies
      • Editorial Board
      • Aims and Scope
      • Abstracting and Indexing
      • Bibliographic Information
      • Archive
    • Molecular and Clinical Oncology
      • Information for Authors
      • Editorial Policies
      • Editorial Board
      • Aims and Scope
      • Abstracting and Indexing
      • Bibliographic Information
      • Archive
    • Molecular Medicine Reports
      • Information for Authors
      • Editorial Policies
      • Editorial Board
      • Aims and Scope
      • Abstracting and Indexing
      • Bibliographic Information
      • Archive
    • Oncology Letters
      • Information for Authors
      • Editorial Policies
      • Editorial Board
      • Aims and Scope
      • Abstracting and Indexing
      • Bibliographic Information
      • Archive
    • Oncology Reports
      • Information for Authors
      • Editorial Policies
      • Editorial Board
      • Aims and Scope
      • Abstracting and Indexing
      • Bibliographic Information
      • Archive
    • World Academy of Sciences Journal
      • Information for Authors
      • Editorial Policies
      • Editorial Board
      • Aims and Scope
      • Abstracting and Indexing
      • Bibliographic Information
      • Archive
  • Articles
  • Information
    • For Authors
    • For Reviewers
    • For Librarians
    • For Advertisers
    • Conferences
  • Language Editing
Login Register Submit
  • This site uses cookies
  • You can change your cookie settings at any time by following the instructions in our Cookie Policy. To find out more, you may read our Privacy Policy.

    I agree
Search articles by DOI, keyword, author or affiliation
Search
Advanced Search
presentation
Experimental and Therapeutic Medicine
Join Editorial Board Propose a Special Issue
Print ISSN: 1792-0981 Online ISSN: 1792-1015
Journal Cover
May-2026 Volume 31 Issue 5

Full Size Image

Sign up for eToc alerts
Recommend to Library

Journals

International Journal of Molecular Medicine

International Journal of Molecular Medicine

International Journal of Molecular Medicine is an international journal devoted to molecular mechanisms of human disease.

International Journal of Oncology

International Journal of Oncology

International Journal of Oncology is an international journal devoted to oncology research and cancer treatment.

Molecular Medicine Reports

Molecular Medicine Reports

Covers molecular medicine topics such as pharmacology, pathology, genetics, neuroscience, infectious diseases, molecular cardiology, and molecular surgery.

Oncology Reports

Oncology Reports

Oncology Reports is an international journal devoted to fundamental and applied research in Oncology.

Experimental and Therapeutic Medicine

Experimental and Therapeutic Medicine

Experimental and Therapeutic Medicine is an international journal devoted to laboratory and clinical medicine.

Oncology Letters

Oncology Letters

Oncology Letters is an international journal devoted to Experimental and Clinical Oncology.

Biomedical Reports

Biomedical Reports

Explores a wide range of biological and medical fields, including pharmacology, genetics, microbiology, neuroscience, and molecular cardiology.

Molecular and Clinical Oncology

Molecular and Clinical Oncology

International journal addressing all aspects of oncology research, from tumorigenesis and oncogenes to chemotherapy and metastasis.

World Academy of Sciences Journal

World Academy of Sciences Journal

Multidisciplinary open-access journal spanning biochemistry, genetics, neuroscience, environmental health, and synthetic biology.

International Journal of Functional Nutrition

International Journal of Functional Nutrition

Open-access journal combining biochemistry, pharmacology, immunology, and genetics to advance health through functional nutrition.

International Journal of Epigenetics

International Journal of Epigenetics

Publishes open-access research on using epigenetics to advance understanding and treatment of human disease.

Medicine International

Medicine International

An International Open Access Journal Devoted to General Medicine.

Journal Cover
May-2026 Volume 31 Issue 5

Full Size Image

Sign up for eToc alerts
Recommend to Library

  • Article
  • Citations
    • Cite This Article
    • Download Citation
    • Create Citation Alert
    • Remove Citation Alert
    • Cited By
  • Similar Articles
    • Related Articles (in Spandidos Publications)
    • Similar Articles (Google Scholar)
    • Similar Articles (PubMed)
  • Download PDF
  • Download XML
  • View XML
Article

Deciphering the dynamics of the splenium: A comprehensive analysis of flair hyperintensity variations

  • Authors:
    • Ezel Yaltirik Bilgin
    • Özkan Ünal
    • Yasin Özdemir
    • Onur Şimşek
  • View Affiliations / Copyright

    Affiliations: Department of Radiology, Dr Abdurrahman Yurtaslan Ankara Oncology Training and Research Hospital, Ankara 06200, Turkey, Department of Radiology, Dr Abdurrahman Yurtaslan Ankara Oncology Training and Research Hospital, Ankara 06200, Turkey
  • Article Number: 133
    |
    Published online on: March 9, 2026
       https://doi.org/10.3892/etm.2026.13128
  • Expand metrics +
Metrics: Total Views: 0 (Spandidos Publications: | PMC Statistics: )
Metrics: Total PDF Downloads: 0 (Spandidos Publications: | PMC Statistics: )
Cited By (CrossRef): 0 citations Loading Articles...

This article is mentioned in:


Abstract

The splenium of the corpus callosum plays a pivotal role in interhemispheric communication and undergoes various changes with ageing. The present study aimed to elucidate the age‑related variations in splenial fluid‑attenuated inversion recovery (FLAIR) hyperintensity, providing insights into the normal ageing process of the brain and enhancing the clinical interpretation of magnetic resonance (MR) imaging. In the present retrospective cohort study, cerebral MR imaging of 1,176 patients was analysed following application of strict inclusion and exclusion criteria to isolate age and sex‑related changes and other factors that can affect splenium hyperintensity. The present study focused on measuring the thickness (anteroposterior) of splenial FLAIR hyperintensity, with interobserver agreement assessed to ensure measurement reliability. Statistical analyses, including the Mann‑Whitney U test for sex comparisons and the Kruskal‑Wallis test for age group comparisons, were employed to investigate the effects of age, sex, radiation therapy and Fazekas score on splenial FLAIR hyperintensity. The present study demonstrated a significant increase in the presence of splenial FLAIR hyperintensity and thickness (P<0.001; P=0.006) with advancing age, particularly in individuals >57 years of age. No significant differences were observed between male and female participants, suggesting that these age‑related changes were consistent across sex. Splenium hyperintensity thickness was significantly higher in the group that received radiation therapy and in the patient group with a Fazekas score of 3 (0.048, 0.018). Interobserver agreement was evaluated using the intraclass correlation coefficient (ICC) to assess measurement consistency (ICC=0.977; P<0.001). The present study provides crucial insights into the age‑related dynamics of the splenium.

Introduction

The human brain undergoes structural and functional changes throughout the aging process. Among these changes, the corpus callosum, the largest white matter structure in the brain, plays a notable role in interhemispheric communication and exhibits age-related structural and microstructural alterations (1-4). In particular, the splenium of the corpus callosum is involved in the integration of visual, auditory and somatosensory information, and its morphological and signal intensity alterations have been recognized as potential imaging biomarkers of brain aging (1).

Fluid-attenuated inversion recovery (FLAIR) hyperintensity in the splenium has been observed in a variety of neurological disorders, including ischemia, metabolic disorders and demyelinating diseases (5,6). However, limited research has investigated the presence and significance of splenial hyperintensity in otherwise healthy individuals as part of the normal aging process. Given the growing elderly population and the increasing utilization of magnetic resonance (MR) imaging in clinical practice, the understanding of the normal variations of splenial FLAIR hyperintensity across different age groups is essential for distinguishing physiological changes from pathology.

Previous studies have suggested that splenial signal abnormalities may be linked to changes noted in myelin density, axonal integrity and vascular supply, which naturally evolve with age (7-9). In addition, radiotherapy and white matter disease have been implicated as factors contributing to increased splenial hyperintensity; however, their precise impact remains unclear (10). The identification of the threshold at which these changes become statistically significant can provide a valuable reference for radiologists and clinicians interpreting brain MR imaging scans.

The present study aimed to fill this gap by systematically analysing splenial FLAIR hyperintensity in a large cohort of patients, establishing age-related reference values and assessing the influence of sex, radiation therapy and white matter disease on these findings. By using a comprehensive statistical approach, the present study aimed to refine the interpretation of MR imaging findings and contribute to the standardization of diagnostic criteria for aging-related changes in the splenium.

The subsequent sections detail the methodology used in the current retrospective cohort study, present the results derived from a thorough examination of cerebral MR imaging and discuss the broader implications of these findings in clinical practice. By elucidating the normal aging dynamics of the splenium, the current research study sought to provide a foundation for more accurate and reliable neuroradiological assessments, ultimately improving patient care and diagnostic accuracy.

Patients and methods

Study design and population

The present study was approved by the Ethics Committee of Dr Abdurrahman Yurtaslan Ankara Oncology Training and Research Hospital (approval no. 2022-01/27) in accordance with institutional guidelines and The Declaration of Helsinki. The present study analysed cerebral MR imaging, which was performed between January 2018 and December 2021. The most common clinical indication for MR imaging referral was headache. The patients' neurological history was evaluated from the information recorded in the hospital and exclusion criteria were applied. Initially, 1,176 patients were screened and following application of strict inclusion and exclusion criteria, 975 patients were included in the final analysis (Fig. 1).

Flow diagram of the study population.
A total of 1,176 patients were screened. After applying the
inclusion and exclusion criteria, 975 patients were included in the
final analysis. FLAIR, fluid-attenuated inversion recovery; TBI,
traumatic brain injury; WM, white matter.

Figure 1

Flow diagram of the study population. A total of 1,176 patients were screened. After applying the inclusion and exclusion criteria, 975 patients were included in the final analysis. FLAIR, fluid-attenuated inversion recovery; TBI, traumatic brain injury; WM, white matter.

Inclusion and exclusion criteria

The inclusion criteria were as follows: Availability of high-quality axial FLAIR MR imaging, adults aged ≥18 years with no history of neurological disorders and no contraindications to MR imaging. The exclusion criteria were as follows: Presence of intracranial mass lesions or stroke that could alter the structure and signal of the splenium, diagnosis of white matter diseases such as multiple sclerosis or leukoencephalopathy, prior traumatic brain injury with reported MR imaging abnormalities, use of medications known to affect FLAIR signal intensity such as antiepileptics and corticosteroids and severe metabolic disorders such as uncontrolled diabetes and hepatic encephalopathy (11).

MR imaging protocol

All MR imaging was performed on a 1.5T MR imaging scanner (SIGNA™ Experience; GE HealthCare) with the following standardized FLAIR protocol: Repetition time, 9,000 msec; echo time, 85 msec; inversion time, 2,500 msec; slice thickness, 5 mm (no interslice gap); field of view, 240 mm.

Measurement of splenial FLAIR hyperintensity

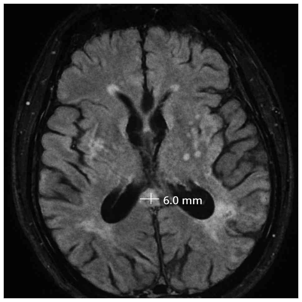
Splenial FLAIR hyperintensity thickness was measured in the anteroposterior direction on the axial FLAIR slice where the hyperintensity appeared most prominent, using the outer margins of the hyperintense area as anatomical reference points; a sample case is presented in Fig. 2. Two independent observers (one with 2 years and another with 10 years of neuroradiology experience) performed the measurements in a blinded manner to minimize bias. The interobserver agreement was assessed using the intraclass correlation coefficient (ICC).

Anteroposterior thickness of splenium
hyperintensity.

Figure 2

Anteroposterior thickness of splenium hyperintensity.

Assessment of white matter hyperintensities

White matter hyperintensities were evaluated using the Fazekas scale, which classifies lesions into four categories: 0, absent; I, punctate foci; II, beginning confluence of foci; and III, large confluent areas (12).

Statistical analysis

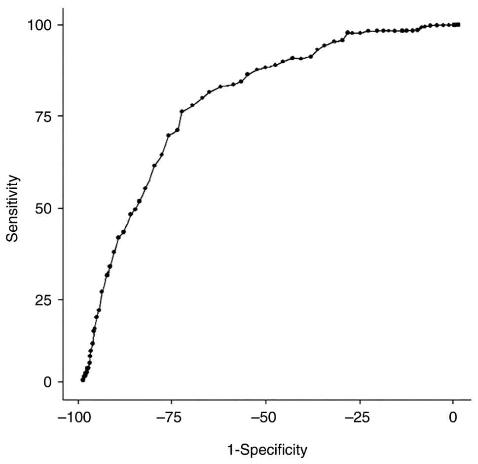
Statistical analysis was performed using IBM SPSS Statistics for Windows (version 25.0; IBM Corp.). The Kolmogorov-Smirnov test was applied to assess normality of continuous variables. The Mann-Whitney U test was used to compare sex differences in splenial hyperintensity thickness. The Kruskal-Wallis test followed by Dunn's multiple comparison test with Bonferroni correction was conducted for age group differences. Spearman correlation test was used to determine relationships between continuous variables. Receiver operating characteristic (ROC) curve analysis and Youden index were utilized to define an optimal age cut-off for hyperintensity presence [57 years; area under the curve (AUC)=0.79; P<0.001]. Interobserver reliability was assessed using the κ coefficient for categorical data and ICC for continuous measurements (ICC=0.977; P<0.001).

Results

Study population and demographics

Following application of the inclusion and exclusion criteria, 975 patients were included in the final analysis. The present study population consisted of 653 females (67%) and 322 males (33%) with an age range of 18 to 91 years (mean, 49.47±16.30 years). There were no statistically significant differences in the demographic distribution between sex (P=0.929).

Presence and thickness of splenial hyperintensity

Splenium hyperintensity was detected in 165 (16.9%) of the 975 patients. Patients with hyperintensity exhibited a significantly higher mean age compared with those without hyperintensity (Z=-11.855; P<0.001; Tables I and II). A statistically significant but weak positive correlation was observed between age and splenial FLAIR hyperintensity thickness (Spearman's r=0.214; P=0.006). This relationship is visually demonstrated in the dot plot shown in Fig. 3.

Scatter plot demonstrating the
relationship between age and splenial FLAIR hyperintensity
thickness (mm) in patients with visible hyperintensity (n=165).
Each point represents an individual measurement recorded as a
continuous variable in mm. Apparent clustering of points reflects
measurement precision and rounding (~0.5 mm increments), as well as
overlapping values in the visualization, rather than categorization
of the data. A small amount of jitter was applied to improve
visualization. A significant positive correlation was observed
between age and splenial hyperintensity thickness (Spearman
r=0.214; P=0.006).

Figure 3

Scatter plot demonstrating the relationship between age and splenial FLAIR hyperintensity thickness (mm) in patients with visible hyperintensity (n=165). Each point represents an individual measurement recorded as a continuous variable in mm. Apparent clustering of points reflects measurement precision and rounding (~0.5 mm increments), as well as overlapping values in the visualization, rather than categorization of the data. A small amount of jitter was applied to improve visualization. A significant positive correlation was observed between age and splenial hyperintensity thickness (Spearman r=0.214; P=0.006).

Table I

Presence of splenium hyperintensity according to age and sex.

Table I

Presence of splenium hyperintensity according to age and sex.

VariableTotalYesNoTest valueP-value
All975(100)165 (16.9)810 (83.1)  
Age, years49.47±6.3062.92±12.7846.73±5.57-11.855a<0.001
Sex   0.008b0.929
     Male322(33)54 (16.8)268 (83.2)  
     Female653(67)111 (17.0)542 (83.0)  

[i] Values are presented as number (percentage) or mean ± standard deviation.

[ii] aStudent's t-test;

[iii] bχ2 test.

Table II

Thickness of splenium hyperintensity according to patient characteristics.

Table II

Thickness of splenium hyperintensity according to patient characteristics.

VariablenThickness (mean ± SD)Test valueP-value
Age165 0.214a0.006
Sex  -0.579b0.562
     Male542.24±1.30  
     Female1112.06±1.10  
Radiation therapy  -1.982b0.048
     Yes462.50±1.45  
     No1191.98±1.01  
Fazekas scale  10.026c0.018
     0591.86±1.16  
     I632.12±1.07  
     II252.28±1.03  
     III182.78±1.48  

[i] aSpearman correlation analysis;

[ii] bMann-Whitney U test;

[iii] cKruskal-Wallis test with Dunn's multiple comparison test. Post hoc analysis using Dunn's test revealed a significant difference between the Fazekas scale 0 and III groups.

Age threshold analysis

ROC analysis was performed to evaluate the potential of age to predict the presence of splenial FLAIR hyperintensity. The analysis identified an optimal age cut-off value of 57 years, with an AUC of 0.79 (95% confidence interval: 0.76-0.83; P<0.001). At this threshold, the sensitivity and specificity were 76 and 73%, respectively (Fig. 4).

Receiver operating characteristic
analysis.

Figure 4

Receiver operating characteristic analysis.

Effect of sex

No significant differences were noted between males and females with regard of the splenium hyperintensity presence (P=0.929) or thickness (P=0.562), indicating that sex does not significantly influence these findings (Tables I and II).

Impact of radiation therapy and white matter disease

The patients who had undergone cranial radiation therapy exhibited significantly increased splenial hyperintensity thickness compared with those without radiation therapy (RT) history (Z=-1.982; P=0.048). In addition, a significant difference was observed between the Fazekas score groups (χ²=10.026, P=0.018). Post-hoc analysis revealed that patients with a Fazekas score of III exhibited significantly higher splenial hyperintensity thickness compared with those with a score of 0 (P<0.05).

Information regarding the radiation therapy subgroup, including primary diagnoses, radiation dose parameters and the time interval since treatment, was not consistently available due to the retrospective design of the study; therefore, the observed association between cranial radiation therapy and increased splenial hyperintensity thickness should be interpreted with caution.

Interobserver agreement

The interobserver agreement was found to be high for the presence of splenial hyperintensity (κ=0.821; P<0.001) and excellent for thickness measurements (ICC=0.977; P<0.001), confirming the reliability of the measurement methodology used in the present study.

Discussion

The findings of the present study provide compelling evidence that splenial FLAIR hyperintensity is a common feature of the aging brain, with a significant increase observed in individuals >57 years. This threshold, determined via ROC analysis, underscores the requirement for age-adjusted interpretation of MR imaging findings to differentiate normal age-related changes from pathological conditions.

There are certain studies in the literature explaining the causes of splenium involvement, but the specific cause of involvement of this region and pathophysiological changes have not yet been explained. Cytotoxic oedema, focal inflammatory changes, electrolyte changes in the cell membrane and focal demyelination due to antiepileptic drugs are considered responsible for the involvement of this area (3,11,13). It has been postulated that isolated involvement may be due to the histopathological difference between the other parts of the corpus callosum or the difference in vascular circulation (3,11,13). Studies have further highlighted the importance of age-adjusted interpretation of white matter signal changes on MR imaging, emphasizing that age-related FLAIR hyperintensities may overlap with imaging features of subclinical pathology, notably in older adults. The distinction of physiological aging from early or subclinical disease therefore requires careful consideration of patient age, lesion distribution and associated imaging findings, underscoring the clinical value of age-specific reference thresholds in routine neuroradiological practice.

Splenium abnormalities on MR imaging have been reported commonly and unexpectedly in various cases. Various studies have been conducted on this topic; however, the majority of the studies are limited to case reports (7,9,14,15). Age-related white matter alterations have been widely studied, with previous literature suggesting a decline in myelin density and axonal integrity contributing to increased signal intensities in FLAIR imaging (1-3). The significant association between splenial hyperintensity and Fazekas grade III further reinforces the link between white matter degeneration and hyperintensity formation in the corpus callosum. These findings align with earlier reports that have associated deep white matter disease with microvascular dysfunction and gliosis, both of which may play a role in splenial hyperintensity progression (6,7). The absence of significant sex differences in the current findings suggests that these age-related alterations are a universal aspect of human ageing rather than being influenced by sex-specific factors. This universality necessitates a nuanced approach to interpret MR imaging, where age-related changes are considered alongside potential pathological findings.

Due to the retrospective and cross-sectional design of the present study, the observed association between age and splenial FLAIR hyperintensity reflects differences across age groups rather than longitudinal progression within the same individuals; therefore, prospective longitudinal studies are required to confirm the development and temporal progression of these changes. Given the retrospective and cross-sectional design of the present study, the observed association between age and splenial FLAIR hyperintensity represents inter-individual differences across distinct age groups rather than a true temporal progression within the same individuals. Therefore, these findings should not be interpreted as evidence of progressive development of splenial hyperintensity over time. Confirmation of the natural evolution and progression of these changes would require well-designed longitudinal studies with follow-up imaging of the same subjects.

In addition to age-related changes, the present study highlights the influence of RT on splenial hyperintensity thickness. Patients with a history of RT exhibited significantly increased hyperintensity, suggesting a potential impact of radiation-induced demyelination or gliosis in the corpus callosum. This aligns with previous studies that have identified RT-related white matter changes, notably in patients undergoing cranial irradiation for malignancies (10). Future research with longitudinal imaging follow-ups is warranted to delineate the temporal progression of RT-associated splenial changes.

From a clinical perspective, differentiating between normal ageing processes and pathological changes is paramount. The increased splenial FLAIR hyperintensity observed in older individuals may mimic or obscure pathological hyperintensities, potentially leading to misdiagnosis or overdiagnosis of conditions such as mild cognitive impairment or early dementia. Therefore, the findings advocate for incorporating age-specific reference ranges in assessing splenial FLAIR hyperintensity, diagnostic accuracy and patient management.

One of the key strengths of the present study is the high interobserver agreement, ensuring the reliability of the splenial hyperintensity measurements. This consistency strengthens the validity of the present findings and supports the potential integration of splenial hyperintensity as a neuroimaging biomarker for age-related white matter changes. However, several limitations should be acknowledged in the present study. Firstly, the retrospective nature of the present study limits the ability to establish causality between aging and hyperintensity development. Future prospective studies with longitudinal assessments could provide a clearer picture of the progression of splenial changes over time. Secondly, while patients with known white matter diseases were excluded, subclinical neurodegenerative processes may have introduced a confounding factor despite exclusion criteria. Incorporating cognitive assessments and advanced neuroimaging techniques, such as diffusion tensor imaging or MR spectroscopy could enhance the current understanding of the underlying mechanisms.

While headache was the primary indication for MR imaging referral, rigorous exclusion criteria were used to minimize confounding pathology and this limitation inherent to retrospective, clinically referred cohorts has been considered when interpreting the results. In addition, the retrospective design limited the availability of detailed radiation therapy-related clinical parameters, which may have influenced the interpretation of its effect on splenial hyperintensity.

A further limitation is the use of 1.5T MR imaging scanners, which, while widely used in clinical practice, may not capture the full extent of subtle signal changes compared with higher-resolution 3T imaging. Future studies using higher-field MR scanners could improve sensitivity in detecting microstructural alterations in the splenium. In addition, expanding the study population to include diverse ethnic backgrounds and larger datasets from multiple institutions would enhance the generalizability of these findings.

Despite these limitations, the findings of the present study provide critical insights into the normal aging process of the splenium and emphasize the importance of contextualizing hyperintensity findings in older adults. The integration of these imaging biomarkers with volumetric analysis and machine learning-based pattern recognition may aid the refinement of the diagnostic criteria and the improvement of the differentiation between physiological aging and neurodegenerative disorders.

In conclusion, the present study demonstrated that splenial FLAIR hyperintensity was a frequent finding in aging individuals, with a marked increase observed beyond the age of 57. These findings could assist geriatricians and radiologists in collaborative decision-making, notably in distinguishing benign imaging findings from early neurodegenerative conditions. Future research integrating multimodal imaging and longitudinal assessments will be crucial in further understanding the clinical implications of these changes and their potential role in neurodegenerative disease prediction.

The present study demonstrated that splenial FLAIR hyperintensity was a common finding in aging, significantly increasing following 57 years. These hyperintensities likely reflect normal aging rather than pathology, necessitating an age-adjusted approach to MR imaging interpretation. Given the aging global population, recognizing normative imaging changes in older adults is essential to avoid overdiagnosis of white matter pathology and unnecessary interventions in geriatric care. The association between splenial hyperintensity and Fazekas grade III suggests an association with white matter changes and vascular factors. In addition, radiation therapy history was associated with increased hyperintensity thickness, highlighting the requirement to consider patient history in MR imaging interpretation.

Acknowledgements

Not applicable.

Funding

Funding: No funding was received.

Availability of data and materials

The data generated in the present may be requested from the corresponding author.

Authors' contributions

EYB and YÖ designed the study and analysed the data. ÖÜ and OŞ analysed the data and prepared the manuscript. EYB and YÖ confirm the authenticity of all the raw data. All authors read and approved the final version of the manuscript.

Ethics approval and consent to participate

The present retrospective study was approved by the local Ethics Committee (approval no. 2022-01/27). According to institutional and national regulations, the requirement for informed consent was waived.

Patient consent for publication

Not applicable.

Competing interests

The authors declare that they have no competing interests.

References

1 

Blaauw J and Meiners LC: The splenium of the corpus callosum: Embryology, anatomy, function and imaging with pathophysiological hypothesis. Neuroradiology. 62:563–585. 2020.PubMed/NCBI View Article : Google Scholar

2 

Wang HX, Li YD, Liang J, Xue YZ, Zhu L, Xiong TW, Chen PD, Kang X, Huang JP, Gong ZL and Sun HL: Altitude-related features and prognosis in patients with reversible splenial lesion syndrome. Ann Med. 56(2401107)2024.PubMed/NCBI View Article : Google Scholar

3 

Wilson CA, Mullen MT, Jackson BP, Ishida K and Messé SR: Etiology of corpus callosum lesions with restricted diffusion. Clin Neuroradiol. 27:31–37. 2017.PubMed/NCBI View Article : Google Scholar

4 

Georgy BA, Hesselink JR and Jernigan TL: MR imaging of the corpus callosum. AJR Am J Roentgenol. 160:949–955. 1993.PubMed/NCBI View Article : Google Scholar

5 

Lee SK, Kim DI, Kim J, Kim DJ, Kim HD, Kim DS and Mori S: Diffusion-tensor MR imaging and fiber tractography: A new method of describing aberrant fiber connections in developmental CNS anomalies. Radiographics. 25:53–65. 2005.PubMed/NCBI View Article : Google Scholar

6 

Barkovich AJ and Norman D: Anomalies of the corpus callosum: Correlation with further anomalies of the brain. AJR Am J Roentgenol. 151:171–179. 1988.PubMed/NCBI View Article : Google Scholar

7 

Lo L, Tan AC, Umapathi T and Lim CC: Diffusion-weighted MR imaging in early diagnosis and prognosis of hypoglycemia. AJNR Am J Neuroradiol. 27:1222–1224. 2006.PubMed/NCBI

8 

Serdenes R, Orr S, Trio P, Chandrasekhara S and Musselman M: A rare case report of a corpus callosal splenial lesion in the context of atypical neuroleptic malignant syndrome. J Investig Med High Impact Case Rep: Jan-Dec 9, 2021 (Epub ahead of print).

9 

Li S, Hu D, Li P, Xiao W, Li H, Liu G, Song Y, Ning S, Peng Q, Zhao D, et al: Parameters indicating development of influenza-associated acute necrotizing encephalopathy: Experiences from a single center. Med Sci Monit. 27(e930688)2021.PubMed/NCBI View Article : Google Scholar

10 

Katsura M, Sato J, Akahane M, Furuta T, Mori H and Abe O: Recognizing radiation-induced changes in the central nervous system: Where to look and what to look for. Radiographics. 41:224–248. 2021.PubMed/NCBI View Article : Google Scholar

11 

Park MK, Hwang SH, Jung S, Hong SS and Kwon SB: Lesions in the splenium of the corpus callosum: Clinical and radiological implications. Neurology Asia. 19:79–88. 2014.

12 

Fazekas F, Chawluk JB, Alavi A, Hurtig HI and Zimmerman RA: MR signal abnormalities at 1.5 T in Alzheimer's dementia and normal aging. AJR Am J Roentgenol. 149:351–356. 1987.PubMed/NCBI View Article : Google Scholar

13 

Marsala SZ, Antichi E, Pistacchi M, Gioulis M, Candeago RM, Montemurro RT, Gentile M, D'Andrea P and Ferracci F: Mild encephalitis with a reversible splenial lesion: A clinically benign condition, often underrecognized - Clinical case and literature review. J Neurosci Rural Pract. 8:281–284. 2017.PubMed/NCBI View Article : Google Scholar

14 

Balcik ZE, Senadim S, Keskek A, Ozudogru A, Koksal A, Soysal A and Atakli D: Does restricted diffusion in the splenium indicate an acute infarct? Acta Neurol Belg. 120:1085–1089. 2020.PubMed/NCBI View Article : Google Scholar

15 

Han J, Wang Y, Wu Y, Zhang J, Song X and Ji G: A case of reversible splenial lesion syndrome secondary to Fanconi syndrome with white matter swelling as the main manifestation. J Int Med Res: Jan 20, 2021 (Epub ahead of print).

Related Articles

  • Abstract
  • View
  • Download
  • Twitter
Copy and paste a formatted citation
Spandidos Publications style
Bilgin EY, Ünal Ö, Özdemir Y and Şimşek O: Deciphering the dynamics of the splenium: A comprehensive analysis of flair hyperintensity variations. Exp Ther Med 31: 133, 2026.
APA
Bilgin, E.Y., Ünal, Ö., Özdemir, Y., & Şimşek, O. (2026). Deciphering the dynamics of the splenium: A comprehensive analysis of flair hyperintensity variations. Experimental and Therapeutic Medicine, 31, 133. https://doi.org/10.3892/etm.2026.13128
MLA
Bilgin, E. Y., Ünal, Ö., Özdemir, Y., Şimşek, O."Deciphering the dynamics of the splenium: A comprehensive analysis of flair hyperintensity variations". Experimental and Therapeutic Medicine 31.5 (2026): 133.
Chicago
Bilgin, E. Y., Ünal, Ö., Özdemir, Y., Şimşek, O."Deciphering the dynamics of the splenium: A comprehensive analysis of flair hyperintensity variations". Experimental and Therapeutic Medicine 31, no. 5 (2026): 133. https://doi.org/10.3892/etm.2026.13128
Copy and paste a formatted citation
x
Spandidos Publications style
Bilgin EY, Ünal Ö, Özdemir Y and Şimşek O: Deciphering the dynamics of the splenium: A comprehensive analysis of flair hyperintensity variations. Exp Ther Med 31: 133, 2026.
APA
Bilgin, E.Y., Ünal, Ö., Özdemir, Y., & Şimşek, O. (2026). Deciphering the dynamics of the splenium: A comprehensive analysis of flair hyperintensity variations. Experimental and Therapeutic Medicine, 31, 133. https://doi.org/10.3892/etm.2026.13128
MLA
Bilgin, E. Y., Ünal, Ö., Özdemir, Y., Şimşek, O."Deciphering the dynamics of the splenium: A comprehensive analysis of flair hyperintensity variations". Experimental and Therapeutic Medicine 31.5 (2026): 133.
Chicago
Bilgin, E. Y., Ünal, Ö., Özdemir, Y., Şimşek, O."Deciphering the dynamics of the splenium: A comprehensive analysis of flair hyperintensity variations". Experimental and Therapeutic Medicine 31, no. 5 (2026): 133. https://doi.org/10.3892/etm.2026.13128
Follow us
  • Twitter
  • LinkedIn
  • Facebook
About
  • Spandidos Publications
  • Careers
  • Cookie Policy
  • Privacy Policy
How can we help?
  • Help
  • Live Chat
  • Contact
  • Email to our Support Team