International Journal of Molecular Medicine is an international journal devoted to molecular mechanisms of human disease.
International Journal of Oncology is an international journal devoted to oncology research and cancer treatment.
Covers molecular medicine topics such as pharmacology, pathology, genetics, neuroscience, infectious diseases, molecular cardiology, and molecular surgery.
Oncology Reports is an international journal devoted to fundamental and applied research in Oncology.
Experimental and Therapeutic Medicine is an international journal devoted to laboratory and clinical medicine.
Oncology Letters is an international journal devoted to Experimental and Clinical Oncology.
Explores a wide range of biological and medical fields, including pharmacology, genetics, microbiology, neuroscience, and molecular cardiology.
International journal addressing all aspects of oncology research, from tumorigenesis and oncogenes to chemotherapy and metastasis.
Multidisciplinary open-access journal spanning biochemistry, genetics, neuroscience, environmental health, and synthetic biology.
Open-access journal combining biochemistry, pharmacology, immunology, and genetics to advance health through functional nutrition.
Publishes open-access research on using epigenetics to advance understanding and treatment of human disease.
An International Open Access Journal Devoted to General Medicine.
Epidemiological studies have demonstrated that transitional cell carcinoma (TCC) of the bladder is a common urologic malignancy in men (1–3). Most of the deaths of patients with muscle invasive bladder cancer are due to the progression of their disease caused by metastasis (2,4,5). Therefore, understanding these metastatic mechanisms is essential for the design of more effective therapeutic targets. Although many reports have studied cascading events leading to the metastasis of muscle invasive bladder tumors (2,6), the exact molecular mechanisms responsible for bladder cancer metastasis remain poorly understood.
The metastatic process is associated with the migration and invasion of tumor cells, which requires the alteration of the extracellular matrix (ECM) and the basement membrane by action of proteinases such as the matrix metalloproteinases (MMPs) (7–9). MMP-2 (gelatinase A) and MMP-9 (gelatinase B) are type IV collagenases that degrade the ECM and the basement membrane, resulting in the migration of tumor cells (7–9). Previous studies suggest that MMP-9 expression is closely correlated with the progression of muscle invasive bladder tumors (10,11). The expression of MMP-9 was found to be induced by various growth factors, growth factor receptors, and cytokines via the binding of several transcription factors including AP-1, Sp-1 and NF-κB (12–15). In addition, intra-cellular signaling, such as the MAPK and Jak-Stat signaling pathways, is known to be involved in the regulation of MMP-9 expression (12,16).
Interleukin-28A (IL-28A) was originally identified as a human IFN-λ2 protein (17,18), and is a member of the IL-10 gene family (17,18). Important signaling pathways, such as MAPK and Jak-Stat, are associated with IL-28A stimulation (17,19). Moreover, IL-28AR1 is reportedly expressed in cancers of the bladder, blood, breast, brain, head, neck and lung (20). IL-28A interacts with the IL-28AR1 receptor leading to many biological activities including antiviral activity and inhibition of tumor growth (17–22). However, the molecular mechanisms of IL-28A in modulating the migration of human cancer cells remain elusive.
Thus, we attempted to elucidate the exact roles and molecular mechanisms of IL-28A in the migration of bladder cancer cells. In the present study, we demonstrated that IL-28A induces cell migration through p38 MAPK-dependent MMP-9 expression by activating transcription factors NF-κB and AP-1 in UMUC-3 bladder cancer cells.
Polyclonal antibodies to ERK, phospho-ERK, p38 MAPK, phospho-p38 MAPK, JNK, and phospho-JNK were obtained from Cell Signaling Technology (Danvers, MA). Polyclonal antibodies to Jak1, Jak2, Jak3, Stat1, Stat2, Stat3, Stat5, phospho-Jak1, phospho-Jak2, phospho-Jak3, phospho-Stat1, phospho-Stat2, phospho-Stat3, and phospho-Stat5 were purchased from Santa Cruz Biotechnology, Inc. (Santa Cruz, CA). SB203580, piceatannol, and AG490 were obtained from Calbiochem (San Diego, CA). The polyclonal MMP-9 antibody was obtained from Chemicon. Dominant negative p38 MAPK (DN-p38) was provided by Dr Roger Davis (University of Massachusetts Medical School, Worcester, MA).
A human bladder carcinoma cell line (UMUC-3) was obtained from the American Type Culture Collection. The cells were maintained in Dulbecco’s modified Eagle’s medium (DMEM) (4.5 g glucose/l) supplemented with 10% fetal bovine serum (FBS), L-glutamine, and antibiotics (Biological Industries, Beit Haemek, Israel) at 37°C in a 5% CO2 humidified incubator.
Total-RNA was isolated from tissue using TRIzol reagent (Life Technologies, Grand Island, NY), according to the manufacturer’s protocol. The quality and integrity of the RNA were confirmed by agarose gel electrophoresis and ethidium bromide staining, followed by visual examination under ultraviolet light.
Real-time PCR assays using a Rotor-Gene 3000 PCR system (Corbett Research, Mortlake, Australia) were performed in the original and independent cohorts. GAPDH was analyzed in parallel as an internal control. Real-time PCR reactions containing primers and SYBR Premix Ex Taq (Takara Bio Inc., Otsu, Japan) were carried out in micro-reaction tubes (Corbett Research). Spectral data were captured and analyzed using Rotor-Gene Real-Time Analysis Software 6.0 Build 14 (Corbett Research). For amplification, IL-28A, sense, 5′-ACC GCT GAC ACT GAC CCA G-3′ and antisense, 5′-CAG CCA GGG GAC TCC TTT-3′ primers or IL-28AR1, sense, 5′-CAG AAT GTG ACG CTG CTC TC-3′ and antisense, 5′-ATC CAG GTA TTC GGA CTC CA-3′ primers were used. GAPDH was analyzed in parallel as an endogenous RNA reference gene, and data were normalized to the expression of GAPDH.
Growth-arrested cells were treated with IL-28A in the absence of 10% FBS for various durations at 37°C. The cells were then washed twice with cold phosphate-buffered saline (PBS) and freeze-thawed in 250 μl lysis buffer (containing, in mmol/l, HEPES [pH 7.5] 50, NaCl 150, EDTA 1, EGTA 2.5, DTT 1, β-glycerophosphate 10, NaF 1, Na3VO4 0.1, and phenylmethylsulfonyl fluoride 0.1 and 10% glycerol, 0.1% Tween-20, 10 g/ml of leupeptin, and 2 μg/ml of aprotinin), and then scraped into 1.5-ml tubes. The lysates were placed on ice for 15 min and then centrifuged at 12,000 rpm for 20 min at 4°C. The protein concentration of the supernatant was determined using a Bradford reagent method (Bio-Rad). Equal amounts of cellular proteins were resolved by electrophoresis on a 0.1% SDS-10% polyacrylamide gel (SDS-PAGE) under denaturing conditions. The proteins were transferred electrophoretically to nitrocellulose membranes (Hybond; Amersham Corp., Arlington Heights, IL). After blocking in 10 mmol/l Tris-HCl (pH 8.0), 150 mmol/l NaCl, and 5% (wt/vol) nonfat dry milk, the membranes were treated with primary antibodies for 90 min, followed by incubation with peroxidase-conjugated secondary antibodies for 45 min. The immunocomplexes were detected using a chemiluminescence reagent kit (Amersham Corp). For the immunoblotting studies, the experiments were repeated at least 3 times.
Cells were plated on 6-well dishes and grown to 90% confluence in 2 ml of growth medium. The cells were damaged using a 2-mm-wide tip and were then treated with IL-5. They were allowed to migrate, and images were captured using an inverted microscope (x40 magnification).
The incorporation of 3-(4,5-dimethylthiazol-2-yl)-2,5-diphenyltetrazolium bromide (MTT; Sigma-Aldrich) was used to assess cell proliferation. Briefly, 5,000 cells/well were seeded on a 96-well plate. After serum starvation for 24 h, the cells were treated with the indicated concentrations of IL-28A and then further incubated for 4 days. MTT (5 mg/ml) was added, and the medium was removed 4 h later. The colored formazan product was resolved in 0.04 N HCl/isopropanol and quantified by absorbance measurements at 570 nm.
Conditioned medium was electrophoresed in a polyacrylamide gel containing 1 mg/ml gelatin. The gel was then washed at room temperature for 2 h with 2.5% Triton X-100 and then soaked overnight at 37°C in a buffer containing 10 mM CaCl2, 150 mM NaCl and 50 mM Tris-HCl, pH 7.5. The gel was stained with 0.2% Coomassie blue and photographed on a light box. Proteolysis was detected as a white zone on a dark blue field (15).
Cells were transfected with DN-p38 using Lipofectamine 2000 transfection reagent according to the manufacturer’s protocol (Invitrogen, Carlsbad, CA). After the indicated incubation with IL-28A, the cells were studied via immunoblotting, zymography, electrophoretic mobility shift assay (EMSA), and wound-healing migration assay.
Cultured cells were collected by centrifugation, washed, and suspended in a buffer containing 10 mM 4-(2-hydroxyethyl)-1-piperazine ethanesulfonic acid (HEPES) (pH 7.9), 10 mM KCl, 0.1 mM EDTA, 0.1 mM EGTA, 1 mM DTT and 0.5 mM PMSF. After 15 min on ice, the cells were vortexed in the presence of 0.5% Nonidet NP-40. The nuclear pellet was then collected by centrifugation and extracted in a buffer containing 20 mM HEPES (pH 7.9), 0.4 M NaCl, 1 mM EDTA, 1 mM EGTA, 1 mM DTT and 1 mM PMSF for 15 min at 4°C.
The nuclear extract (10–20 μg) was preincubated at 4°C for 30 min with a 100-fold excess of an unlabeled oligonucleotide spanning the −79 MMP-9 cis element of interest. The sequences were as follows: AP-1, CTGACCCCTGAGTCAGCACTT; NF-κB, CAGTGGAATTCCCCAGCC; Sp-1, GCCCATTC CTTCCGCCCCCAGATGAAGCAG. The reaction mixture was then incubated at 4°C for 20 min in a buffer (25 mM HEPES buffer pH 7.9, 0.5 mM EDTA, 0.5 mM DTT, 0.05 M NaCl, and 2.5% glycerol) with 2 μg of poly dI/dC and 5 fmol (2x104 cpm) of a Klenow end-labeled (32P-ATP) 30-mer oligonucleotide, which spanned the DNA binding site in the MMP-9 promoter. The reaction mixture was electrophoresed at 4°C in a 6% polyacrylamide gel using a TBE (89 mM Tris, 89 mM boric acid and 1 mM EDTA) running buffer. The gel was rinsed with water, dried, and exposed to X-ray film overnight (15).
Where it was appropriate, data were expressed as the mean ± SE. Data were analyzed by factorial ANOVA and Fisher’s least significant difference test where appropriate. Statistical significance was set at P<0.05.
To determine the expression levels of IL-28A and its receptor IL-28AR1, real-time PCR assay was performed on bladder cancer UMUC-3 cells. Expression of IL-28A mRNA was detected in UMUC-3 cells (Fig. 1A). In addition, IL-28AR1 mRNA was also found to be expressed in UMUC-3 cells (Fig. 1B). Exposure of UMUC-3 cells to 10% FBS for 24 h markedly increased the IL-28A mRNA expression compared with the non-treated cells (Fig. 1A). A similar result was observed in the expression level of IL-28AR1 mRNA (Fig. 1B). These results indicated that both IL-28A and IL-28AR1 mRNA were expressed in the UMUC-3 bladder cancer cells.
MTT assay was used to assess the proliferative ability of IL-28A. IL-28A treatment did not affect the levels of cell proliferation (Fig. 1C). Subsequently, a wound-healing migration assay was carried out to determine whether IL-28A induces cell migration. Monolayer UMUC-3 cells were scratched, and the wounds were allowed to heal for 24 h. Cell migration ability at the wound front was analyzed and compared to the initial wound state. UMUC-3 cells treated with IL-28A for 24 h showed a significant increase in cell migration (Fig. 1D). These results suggest that IL-28A induces migration of UMUC-3 cells in vitro.
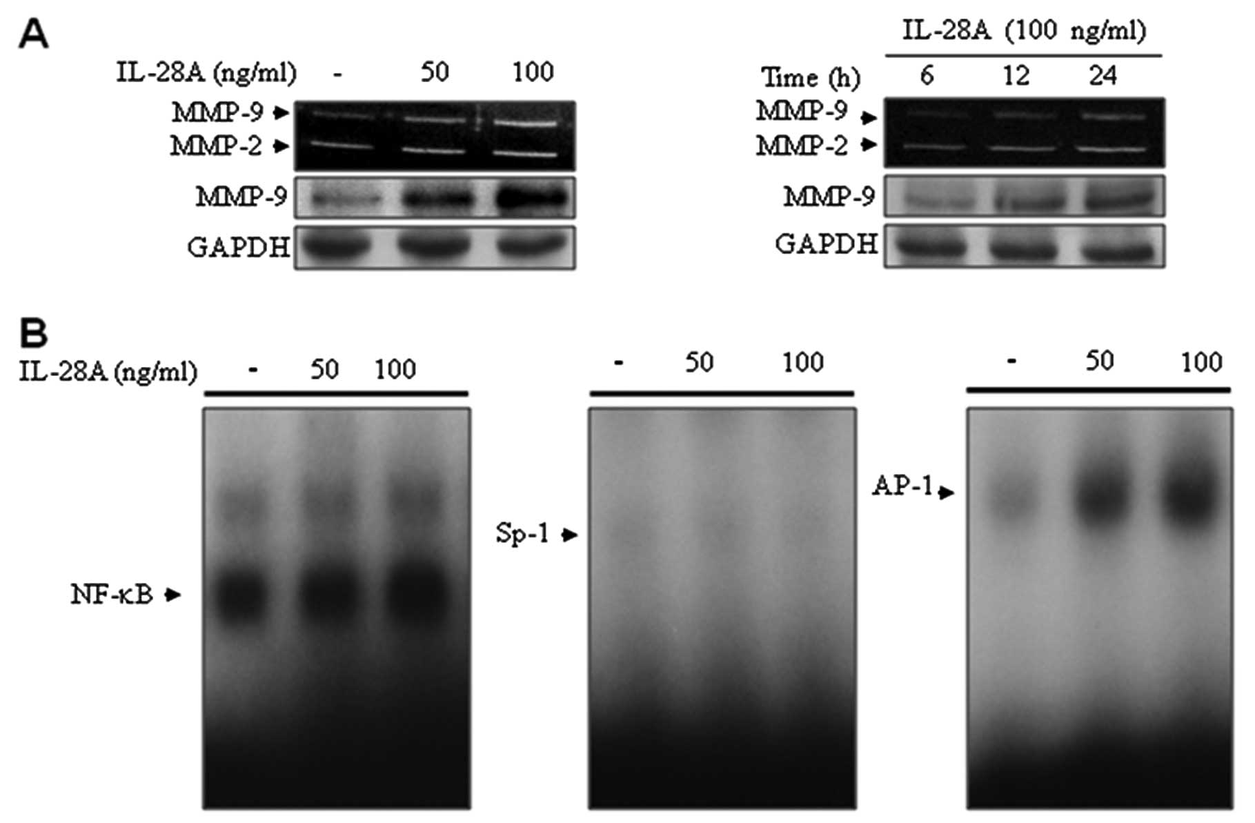
Since cell migration is associated with matrix degradation by MMPs (7–9), we next examined the expression of MMPs in the UMUC-3 cell culture supernatants using zymographic analysis (Fig. 2A). To determine the effect of IL-28A on the expression of MMPs, cells were treated with IL-28A at the indicated concentrations for the indicated times. Treatment with IL-28A induced MMP-9 expression in UMUC-3 cells in a concentration- and a time-dependent manner (Fig. 2A). These results were confirmed by immunoblot analysis using an antibody that detects a band of MMP-9 (Fig. 2A). In addition, MMP-2 levels were also elevated in UMUC-3 cells following IL-28A treatment (Fig. 2A). Previous studies showed that enhanced expression of MMP-9 is directly correlated with the progression of bladder cancer characterized by increased tumor grade, invasion and metastasis (10,11). Therefore, we focused on MMP-9 regulation induced by IL-28A in UMUC-3 cells. To do this, we investigated MMP-9 regulation at the transcriptional level using transcription factors NF-κB, AP-1 and Sp-1, all of which were located in the 5′ flanking region of the MMP-9 gene (12–15). Our results from EMSA showed that IL-28A treatment enhanced binding activation of NF-κB and AP-1 (Fig. 2B). However, no specific binding activation of Sp-1 was detected in the IL-28A-induced UMUC-3 cells (Fig. 2B). These results demonstrate that IL-28A induced MMP-9 expression through binding motifs of the transcription factors NF-κB and AP-1.
To determine the signaling pathway in IL-28A-treated UMUC-3 cells, we examined the MAPK signaling pathway. Treatment with IL-28A significantly induced activation of p38 MAPK in UMUC-3 cells (Fig. 3A). Pretreatment with SB203580 inhibited IL-28A-stimulated activation of p38 MAPK (Fig. 3D). In contrast, activation of both ERK1/2 and JNK was not affected in IL-28A-treated cells (Fig. 3A). We also observed the effects of IL-28A on the activation of Jak-Stat signaling. IL-28A treatment increased activation of Jak1, Jak2, and Stat2. However, activation of Jak3, Stat1, Stat3 and Stat5 was not affected by IL-28A treatment (Fig. 3B and C). To confirm the activation of Jak1 and Jak2 signaling, we used Jak1 inhibitor (piceatannol) and Jak2 inhibitor (AG490). The cells were pretreated with piceatannol or AG490, respectively, and then further incubated with IL-28A treatment for 10 min. IL-28A-induced activation of Jak1 was blocked by piceatannol (Fig. 3D). AG490 also abolished activation of Jak2 in IL-28A-treated UMUC-3 cells (Fig. 3D). Next, we further investigated whether Jak1 or Jak2 was involved in IL-28A-induced Stat2 activation. Inhibition of Jak2 by AG490 suppressed the Stat2 activation that was induced by IL-28A (Fig. 3E). However, piceatannol treatment had no apparent effect on the IL-28A-stimulated activation of Stat2 (Fig. 3E). These results suggest that p38 MAPK and Jak2-Stat2 signaling are involved in IL-28A-treated UMUC-3 cells.
We next investigated which signaling pathway, p38 MAPK and/or Jak2, mediates the enhanced migration of IL-28A-treated UMUC-3 cells. Pretreatment of cells with SB203580 inhibited the IL-28A-induced migration of UMUC-3 cells (Fig. 4A). However, the addition of AG490 had no effect on the cell migration induced by IL-28A (Fig. 4B). These results indicate that p38 MAPK signaling may contribute to the induction of UMUC-3 cell migration. The results obtained above prompted us to examine whether the p38 MAPK signaling pathway is involved in IL-28A-mediated MMP-9 regulation. UMUC cells were treated with SB203580 in the presence or absence of IL-28A. The results from zymographic and immunoblot analyses showed that pretreatment with SB203580 significantly attenuated IL-28A-induced MMP-9 expression (Fig. 4C). To analyze the role of p38 MAPK in the transcriptional mechanism of MMP-9 in IL-28A-treated cells, we performed EMSA on the NF-κB and AP-1 binding sites from the MMP-9 promoter using nuclear extracts. SB203580 treatment inhibited the induction of binding activities of NF-κB and AP-1 (Fig. 4D). These results demonstrate that p38 MAPK signaling is involved in cell migration and MMP-9 expression via the binding activities of NF-κB and AP-1 in IL-28A-treated UMUC-3 cells.
To confirm the direct roles of p38 MAPK in IL-28A-mediated cellular responses, DN-p38, a dominant-negative p38 MAPK mutant gene, was tested. To this end, UMUC-3 cells were transfected with DN-p38 plasmid and then treated with IL-28A. DN-p38 transfectant inhibited the wound-healing migration of UMUC-3 cells induced by IL-28A (Fig. 5A). In addition, IL-28A-induced MMP-9 expression was suppressed in the DN-p38-transfected cells (Fig. 5B). Finally, overexpression of DN-p38 almost abolished increased NF-κB and AP-1 DNA binding activities in the presence of IL-28A (Fig. 5C). Together, these results indicate that p38 MAPK signaling is required for cell migration via MMP-9 expression by inducing activation of NF-κB and AP-1 binding in IL-28A-treated UMUC-3 cells.
There is much evidence linking tumor progression and development to inflammatory cytokines that are produced by tumor cells (23,24). The main inflammatory cytokines include IL-1β, IL-6, IL-23 and TNF-α, which are also associated with the tumorigenic and metastatic potential of several cancer cells (23,24). Previous studies have demonstrated that pro-inflammatory cytokines such as TNF-α, IL-6 and IL-8 are putative mediators of metastasis in bladder cancer cells (2,25–28). However, there has been no report of the functional role of IL-28A in tumor migration. In the present study, we report the role of IL-28A in the migration of UMUC-3 bladder cancer cells.
IL-28A is a human IFN-λ2 protein with pro-inflammatory and antiviral activity (17,18). Despite all of these functions, the migratory mechanisms of IL-28A produced by tumor cells are unclear. In this study, we found that UMUC-3 bladder cancer cells produced IL-28A and its receptor IL-28AR1 as determined by real-time PCR. We next examined whether IL-28A is involved in the migration of bladder cancer cells. The exogenous IL-28A enhanced in vitro migration of UMUC-3 cells without altering cell proliferation, suggesting that IL-28A induces bladder cancer cell migration. These results contradict other reports which have suggested that IL-28A exhibits an antitumor effect against B16 melanoma and murine fibrosarcoma (21,22). Further study is required to verify the in vivo efficacy of the IL-28A gene in bladder tumor migration.
MMPs degrade various components of the extracellular matrix (ECM) and basement membrane proteins that are considered to be essential in tumor migration (7–9). Gelatinases (MMP-2 and -9) have been connected to the metastatic potential of malignant tumors (7–9). The expression of MMP-9 is directly correlated with bladder tumor progression characterized by increased tumor grade, invasion and metastasis (10,11). Our results showed that exposure to IL-28A induced MMP-9 expression in UMUC-3 cells. The MMP-9 promoter contains a proximal AP-1 element, an upstream Sp-1, and a NF-κB binding motif in tumor cell lines (12–15). Previous reseach has demonstrated that the transcription factors NF-κB, AP-1 and Sp-1 are associated with the regulation of TNF-α-stimulated MMP-9 in bladder cancer 5637 and HT1376 cells (27,28). However, the identification of cis elements in the induction of MMP-9 in response to IL-28A in bladder cancer is unclear. The results from EMSA indicated that NF-κB and AP-1 binding sites within the MMP-9 promoter region are crucial for IL-28A-stimulated MMP-9 expression. These data suggest that IL-28A may promote cell migration through the induction of MMP-9 by activating NF-κB and AP-1 binding to the promoter.
Inflammatory cytokine signals of IL-28A have been shown to induce activation of Stat1, Stat2 and Stat3 in HT-29 cells expressing IL-28AR1 (17). In addition, IL-28A treatment was found to decrease cell proliferation in colon cancer cell lines, which was followed by activated signaling of ERK1/2, JNK, AKT and Stat-1 (19). We examined the signaling pathway induced by IL-28A in UMUC-3 bladder cancer cells. The addition of IL-28A induced activation of p38 MAPK and Jak2-Stat2 signaling in UMUC-3 cells. Several signaling pathways, ncluding p38 MAPK and Jak-Stat signaling, are known to be involved in cell migration and MMP-9 regulation in various cell types (12,16). Our results showed that pretreatment with the p38 MAPK inhibitor, SB203580, significantly blocked IL-28A-induced migration and MMP-9 expression. However, unexpectedly, inhibition of cell migration by Jak2 inhibitor AG490 was not observed in IL-28A-treated UMUC-3 cells. We also found that the involvement of p38 MAPK in IL-28A-induced migration and MMP-9 expression was revealed by transfection with DN-p38. Finally, we identified the transcription factors that are involved in the p38 MAPK-mediated control of MMP-9 expression in UMUC-3 cells in the presence of IL-28A using SB203580 and the DN-p38 plasmid. The present study revealed that the ability of SB203580 and DN-p38 to reduce MMP-9 expression in IL-28A-treated UMUC-3 cells was accomplished by suppressing NF-κB and AP-1 binding. Collectively, our results demonstrated that p38 MAPK signaling by IL-28A participated in MMP-9 expression by activating NF-κB and AP-1 binding resulting in the degradation of ECM and leading to the migration of bladder cancer cells.
Cytokines have the potential to stimulate the proliferation and migration of malignant cells. However, the relationship between cytokines and tumor progression has been controversial (23,24). In recent years, many researchers have studied molecular mechanisms by which cytokines may act to promote tumor development. In the present study, we demonstrated that IL-28A induces the migration of bladder cancer cells via the degradation of ECM components by proteolytic enzymes such as type IV collagenase. Previous studies have suggested an opposing role for IL-28A, i.e., that it exhibits an antitumor effect in tumor systems in vitro and in vivo (21,22). Future study is required to clarify the biological action of IL-28A on different tumor cells.
In conclusion, we introduced a novel mechanism by which p38 MAPK is responsible for IL-28A-induced migration of UMUC-3 bladder cancer cells, which is associated with MMP-9 expression via the binding activities of NF-κB and AP-1. Therefore, IL-28A is a potential therapeutic target for suppressing the metastasis of bladder tumor cells.
This research was supported by the Basic Science Research Program through the National Research Foundation of Korea (NRF), funded by the Ministry of Education, Science and Technology (2012-0000482). This research was also supported by a grant from the Academic Research Program of Korea National University of Transportation in 2012.