Spandidos Publications Logo
  • About
    • About Spandidos
    • Aims and Scopes
    • Abstracting and Indexing
    • Editorial Policies
    • Reprints and Permissions
    • Job Opportunities
    • Terms and Conditions
    • Contact
  • Journals
    • All Journals
    • Oncology Letters
      • Oncology Letters
      • Information for Authors
      • Editorial Policies
      • Editorial Board
      • Aims and Scope
      • Abstracting and Indexing
      • Bibliographic Information
      • Archive
    • International Journal of Oncology
      • International Journal of Oncology
      • Information for Authors
      • Editorial Policies
      • Editorial Board
      • Aims and Scope
      • Abstracting and Indexing
      • Bibliographic Information
      • Archive
    • Molecular and Clinical Oncology
      • Molecular and Clinical Oncology
      • Information for Authors
      • Editorial Policies
      • Editorial Board
      • Aims and Scope
      • Abstracting and Indexing
      • Bibliographic Information
      • Archive
    • Experimental and Therapeutic Medicine
      • Experimental and Therapeutic Medicine
      • Information for Authors
      • Editorial Policies
      • Editorial Board
      • Aims and Scope
      • Abstracting and Indexing
      • Bibliographic Information
      • Archive
    • International Journal of Molecular Medicine
      • International Journal of Molecular Medicine
      • Information for Authors
      • Editorial Policies
      • Editorial Board
      • Aims and Scope
      • Abstracting and Indexing
      • Bibliographic Information
      • Archive
    • Biomedical Reports
      • Biomedical Reports
      • Information for Authors
      • Editorial Policies
      • Editorial Board
      • Aims and Scope
      • Abstracting and Indexing
      • Bibliographic Information
      • Archive
    • Oncology Reports
      • Oncology Reports
      • Information for Authors
      • Editorial Policies
      • Editorial Board
      • Aims and Scope
      • Abstracting and Indexing
      • Bibliographic Information
      • Archive
    • Molecular Medicine Reports
      • Molecular Medicine Reports
      • Information for Authors
      • Editorial Policies
      • Editorial Board
      • Aims and Scope
      • Abstracting and Indexing
      • Bibliographic Information
      • Archive
    • World Academy of Sciences Journal
      • World Academy of Sciences Journal
      • Information for Authors
      • Editorial Policies
      • Editorial Board
      • Aims and Scope
      • Abstracting and Indexing
      • Bibliographic Information
      • Archive
    • International Journal of Functional Nutrition
      • International Journal of Functional Nutrition
      • Information for Authors
      • Editorial Policies
      • Editorial Board
      • Aims and Scope
      • Abstracting and Indexing
      • Bibliographic Information
      • Archive
    • International Journal of Epigenetics
      • International Journal of Epigenetics
      • Information for Authors
      • Editorial Policies
      • Editorial Board
      • Aims and Scope
      • Abstracting and Indexing
      • Bibliographic Information
      • Archive
    • Medicine International
      • Medicine International
      • Information for Authors
      • Editorial Policies
      • Editorial Board
      • Aims and Scope
      • Abstracting and Indexing
      • Bibliographic Information
      • Archive
  • Articles
  • Information
    • Information for Authors
    • Information for Reviewers
    • Information for Librarians
    • Information for Advertisers
    • Conferences
  • Language Editing
Spandidos Publications Logo
  • About
    • About Spandidos
    • Aims and Scopes
    • Abstracting and Indexing
    • Editorial Policies
    • Reprints and Permissions
    • Job Opportunities
    • Terms and Conditions
    • Contact
  • Journals
    • All Journals
    • Biomedical Reports
      • Information for Authors
      • Editorial Policies
      • Editorial Board
      • Aims and Scope
      • Abstracting and Indexing
      • Bibliographic Information
      • Archive
    • Experimental and Therapeutic Medicine
      • Information for Authors
      • Editorial Policies
      • Editorial Board
      • Aims and Scope
      • Abstracting and Indexing
      • Bibliographic Information
      • Archive
    • International Journal of Epigenetics
      • Information for Authors
      • Editorial Policies
      • Editorial Board
      • Aims and Scope
      • Abstracting and Indexing
      • Bibliographic Information
      • Archive
    • International Journal of Functional Nutrition
      • Information for Authors
      • Editorial Policies
      • Editorial Board
      • Aims and Scope
      • Abstracting and Indexing
      • Bibliographic Information
      • Archive
    • International Journal of Molecular Medicine
      • Information for Authors
      • Editorial Policies
      • Editorial Board
      • Aims and Scope
      • Abstracting and Indexing
      • Bibliographic Information
      • Archive
    • International Journal of Oncology
      • Information for Authors
      • Editorial Policies
      • Editorial Board
      • Aims and Scope
      • Abstracting and Indexing
      • Bibliographic Information
      • Archive
    • Medicine International
      • Information for Authors
      • Editorial Policies
      • Editorial Board
      • Aims and Scope
      • Abstracting and Indexing
      • Bibliographic Information
      • Archive
    • Molecular and Clinical Oncology
      • Information for Authors
      • Editorial Policies
      • Editorial Board
      • Aims and Scope
      • Abstracting and Indexing
      • Bibliographic Information
      • Archive
    • Molecular Medicine Reports
      • Information for Authors
      • Editorial Policies
      • Editorial Board
      • Aims and Scope
      • Abstracting and Indexing
      • Bibliographic Information
      • Archive
    • Oncology Letters
      • Information for Authors
      • Editorial Policies
      • Editorial Board
      • Aims and Scope
      • Abstracting and Indexing
      • Bibliographic Information
      • Archive
    • Oncology Reports
      • Information for Authors
      • Editorial Policies
      • Editorial Board
      • Aims and Scope
      • Abstracting and Indexing
      • Bibliographic Information
      • Archive
    • World Academy of Sciences Journal
      • Information for Authors
      • Editorial Policies
      • Editorial Board
      • Aims and Scope
      • Abstracting and Indexing
      • Bibliographic Information
      • Archive
  • Articles
  • Information
    • For Authors
    • For Reviewers
    • For Librarians
    • For Advertisers
    • Conferences
  • Language Editing
Login Register Submit
  • This site uses cookies
  • You can change your cookie settings at any time by following the instructions in our Cookie Policy. To find out more, you may read our Privacy Policy.

    I agree
Search articles by DOI, keyword, author or affiliation
Search
Advanced Search
presentation
International Journal of Molecular Medicine
Join Editorial Board Propose a Special Issue
Print ISSN: 1107-3756 Online ISSN: 1791-244X
Journal Cover
January 2013 Volume 31 Issue 1

Full Size Image

Sign up for eToc alerts
Recommend to Library

Journals

International Journal of Molecular Medicine

International Journal of Molecular Medicine

International Journal of Molecular Medicine is an international journal devoted to molecular mechanisms of human disease.

International Journal of Oncology

International Journal of Oncology

International Journal of Oncology is an international journal devoted to oncology research and cancer treatment.

Molecular Medicine Reports

Molecular Medicine Reports

Covers molecular medicine topics such as pharmacology, pathology, genetics, neuroscience, infectious diseases, molecular cardiology, and molecular surgery.

Oncology Reports

Oncology Reports

Oncology Reports is an international journal devoted to fundamental and applied research in Oncology.

Experimental and Therapeutic Medicine

Experimental and Therapeutic Medicine

Experimental and Therapeutic Medicine is an international journal devoted to laboratory and clinical medicine.

Oncology Letters

Oncology Letters

Oncology Letters is an international journal devoted to Experimental and Clinical Oncology.

Biomedical Reports

Biomedical Reports

Explores a wide range of biological and medical fields, including pharmacology, genetics, microbiology, neuroscience, and molecular cardiology.

Molecular and Clinical Oncology

Molecular and Clinical Oncology

International journal addressing all aspects of oncology research, from tumorigenesis and oncogenes to chemotherapy and metastasis.

World Academy of Sciences Journal

World Academy of Sciences Journal

Multidisciplinary open-access journal spanning biochemistry, genetics, neuroscience, environmental health, and synthetic biology.

International Journal of Functional Nutrition

International Journal of Functional Nutrition

Open-access journal combining biochemistry, pharmacology, immunology, and genetics to advance health through functional nutrition.

International Journal of Epigenetics

International Journal of Epigenetics

Publishes open-access research on using epigenetics to advance understanding and treatment of human disease.

Medicine International

Medicine International

An International Open Access Journal Devoted to General Medicine.

Journal Cover
January 2013 Volume 31 Issue 1

Full Size Image

Sign up for eToc alerts
Recommend to Library

  • Article
  • Citations
    • Cite This Article
    • Download Citation
    • Create Citation Alert
    • Remove Citation Alert
    • Cited By
  • Similar Articles
    • Related Articles (in Spandidos Publications)
    • Similar Articles (Google Scholar)
    • Similar Articles (PubMed)
  • Download PDF
  • Download XML
  • View XML
Article

Electroacupuncture exerts anti-inflammatory effects in cerebral ischemia-reperfusion injured rats via suppression of the TLR4/NF-κB pathway

  • Authors:
    • Lan Lan
    • Jing Tao
    • Azhen Chen
    • Guanli Xie
    • Jia Huang
    • Jiumao Lin
    • Jun Peng
    • Lidian Chen
  • View Affiliations / Copyright

    Affiliations: College of Rehabilitation Medicine, Fujian University of Traditional Chinese Medicine, Fuzhou, Fujian 350122, P.R. China, MOE Key Laboratory of Traditional Chinese Medicine on Osteology and Traumatology and Exercise Rehabilitation, Fujian University of Traditional Chinese Medicine, Fuzhou, Fujian 350122, P.R. China, Fujian Key Laboratory of Exercise Rehabilitation, Fujian University of Traditional Chinese Medicine, Fuzhou, Fujian 350122, P.R. China, Academy of Integrative Medicine, Fujian University of Traditional Chinese Medicine, Fuzhou, Fujian 350122, P.R. China
  • Pages: 75-80
    |
    Published online on: November 16, 2012
       https://doi.org/10.3892/ijmm.2012.1184
  • Expand metrics +
Metrics: Total Views: 0 (Spandidos Publications: | PMC Statistics: )
Metrics: Total PDF Downloads: 0 (Spandidos Publications: | PMC Statistics: )
Cited By (CrossRef): 0 citations Loading Articles...

This article is mentioned in:



Abstract

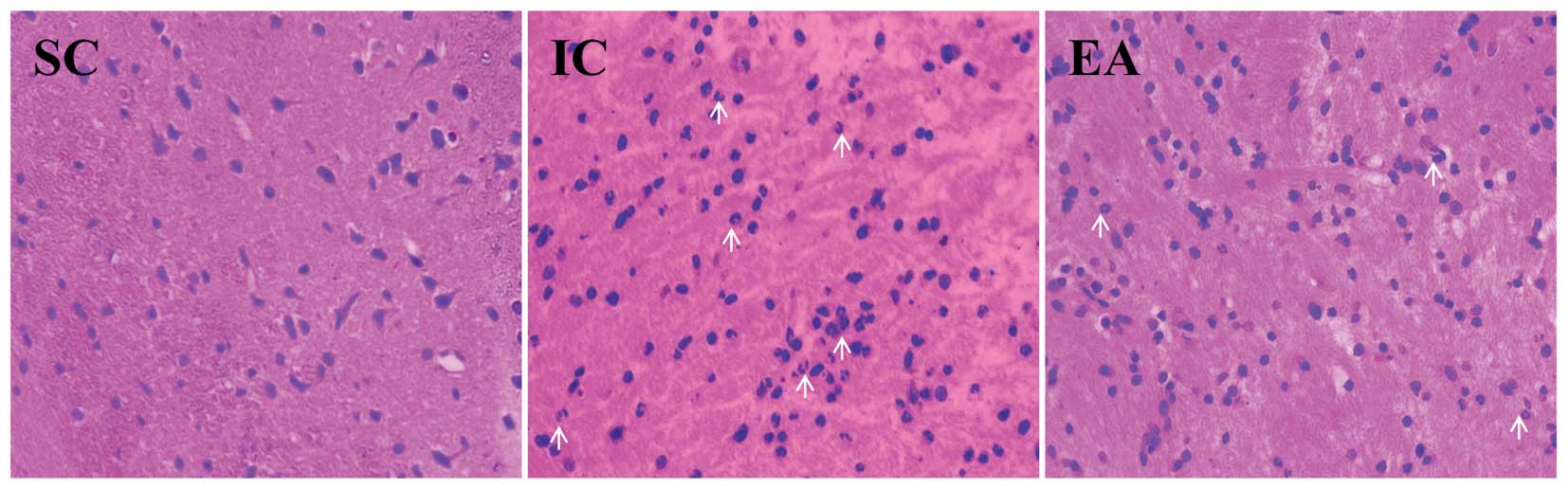
Inflammatory response has been shown to play a critical role in brain damage after cerebral ischemia-reperfusion (I/R) injury, which is tightly regulated by the Toll-like receptor (TLR)4/nuclear factor (NF)-κB pathway; therefore, suppression of TLR4/NF-κB signaling has become a promising target for the anti-inflammatory treatment in ischemic stroke. Acupuncture has been used as a complementary and alternative therapy practice that supplements conventional medicine. Numerous studies have demonstrated the clinical efficacy of acupuncture in stroke rehabilitation. However, the precise mechanism of its neuroprotective effect remains poorly understood. Using a focal cerebral I/R injured rat model, in the present study we evaluated the neuroprotective and anti-inflammatory activities of electroacupuncture at Quchi and Zusanli, and investigated the underlying molecular mechanisms. We found that electroacupuncture at Quchi (LI11) and Zusanli (ST36) acupoints significantly improved the ischemia-associated scores of neurological deficits, reduced cerebral infarction and alleviated inflammatory responses. Moreover, the crucial signaling molecules in the TLR4/NF-κB signaling pathway were regulated by acupuncture, which coincided with suppressed secretion levels of inflammatory cytokines such as TNF-α, IL-1β and IL-6. Our data suggest that electroacupuncture exerts a neuroprotective function in ischemic stroke through inhibition of TLR4/NF-κB-mediated inflammation.
View Figures

Figure 1

Figure 2

Figure 3

Figure 4

Figure 5

View References

1 

Feigin VL: Stroke epidemiology in the developing world. Lancet. 365:2160–2161. 2005. View Article : Google Scholar : PubMed/NCBI

2 

Carolei A, Sacco S, De Santis F and Marini C: Epidemiology of stroke. Clin Exp Hypertens. 24:479–483. 2002. View Article : Google Scholar

3 

Jorgensen HS, Nakayama H, Pedersen PM, et al: Epidemiology of stroke-related disability. Clin Geriatr Med. 15:785–799. 1999.PubMed/NCBI

4 

Kim SK and Bae H: Acupuncture and immune modulation. Auton Neurosci. 157:38–41. 2010. View Article : Google Scholar : PubMed/NCBI

5 

Zhang GC, Fu WB, Xu NG, Liu JH, Zhu XP, Liang ZH, Huang YF and Chen YF: Meta analysis of the curative effect of acupuncture on post-stroke depression. J Tradit Chin Med. 32:6–11. 2012. View Article : Google Scholar : PubMed/NCBI

6 

Hu HH, Chung C, Liu T, et al: A randomized controlled trial on the treatment for acute partial ischemic stroke with acupuncture. Neuroepidemiology. 12:106–113. 1993. View Article : Google Scholar : PubMed/NCBI

7 

Jansen G, Lundeberg T, Kjartansson J and Samuelson U: Acupuncture and sensory neuropeptides increase cutaneous blood flow in rats. Neurosci Lett. 97:305–309. 1989. View Article : Google Scholar : PubMed/NCBI

8 

Johansson K, Lindgren I, Widner H, Wiklund I and Johansson B: Can sensory stimulation improve the functional outcome in stroke patients? Neurology. 43:2189–2192. 1993. View Article : Google Scholar : PubMed/NCBI

9 

Magnusson M, Johansson K and Johansson BB: Sensory stimulation promotes normalization of postural control after stroke. Stroke. 25:1176–1180. 1994. View Article : Google Scholar : PubMed/NCBI

10 

Tao J, Xue XH, Chen LD, Yang SL, Jiang M, Gao YL and Wang XB: Electroacupuncture improves neurological deficits and enhances proliferation and differentiation of endogenous nerve stem cells in rats with focal cerebral ischemia. Neurol Res. 32:198–204. 2010. View Article : Google Scholar : PubMed/NCBI

11 

Chen W, Gu HW, Ma WP, et al: Multicentral randomized controlled study on effects of acupuncture at Zusanli (ST 36) and Xuanzhong (GB 39) on cerebrovascular function in the patient of ischemic stroke. Zhongguo Zhen Jiu. 26:851–853. 2006.(In Chinese).

12 

Fu WB, Guo Y, Chen XK, et al: Comprehensive therapeutic protocol of electroacupuncture combined with Chinese herbs and rehabilitation training for treatment of cerebral infarction: a multi-center randomized controlled trial. Zhongguo Zhen Jiu. 30:6–9. 2010.(In Chinese).

13 

Iadecola C and Alexander M: Cerebral ischemia and inflammation. Curr Opin Neurol. 14:89–94. 2001. View Article : Google Scholar : PubMed/NCBI

14 

Kriz J and Lalancette-Hébert M: Inflammation, plasticity and real-time imaging after cerebral ischemia. Acta Neuropathol. 117:497–509. 2009. View Article : Google Scholar : PubMed/NCBI

15 

Bowie A and O’Neill L: The interleukin-1 receptor/Toll-like receptor superfamily: signal generators for pro-inflammatory interleukins and microbial products. J Leukoc Biol. 67:508–514. 2000.PubMed/NCBI

16 

Slack JL, Schooley K, Bonnert TP, et al: Identification of two major sites in the type I interleukin-1 receptor cytoplasmic region responsible for coupling to pro-inflammatory signaling pathways. J Biol Chem. 275:4670–4678. 2000. View Article : Google Scholar : PubMed/NCBI

17 

Kawai T and Akira S: TLR signaling. Cell Death Differ. 13:816–825. 2006. View Article : Google Scholar : PubMed/NCBI

18 

Johnson GB, Brunn GJ, Kodaira Y and Platt JL: Receptor-mediated monitoring of tissue well-being via detection of soluble heparan sulfate by Toll-like receptor 4. J Immunol. 168:5233–5239. 2002. View Article : Google Scholar : PubMed/NCBI

19 

Lehnardt S, Schott E, Trimbuch T, et al: A vicious cycle involving release of heat shock protein 60 from injured cells and activation of Toll-like receptor 4 mediates neurodegeneration in the CNS. J Neurosci. 28:2320–2331. 2008. View Article : Google Scholar : PubMed/NCBI

20 

Smiley ST, King JA and Hancock WW: Fibrinogen stimulates macrophage chemokine secretion through Toll-like receptor 4. J Immunol. 167:2887–2894. 2001. View Article : Google Scholar : PubMed/NCBI

21 

Longa EZ, Weinstein PR, Carlson S and Cummins R: Reversible middle cerebral artery occlusion without craniectomy in rats. Stroke. 20:84–91. 1989. View Article : Google Scholar : PubMed/NCBI

22 

Chang H, Kwon YD and Yoon SS: Use of acupuncture therapy as a supplement to conventional medical treatments for acute ischemic stroke patients in an academic medical centre in Korea. Complement Ther Med. 19:256–263. 2011. View Article : Google Scholar

23 

Ikeda K, Negishi H and Yamori Y: Antioxidant nutrients and hypoxia/ischemia brain injury in rodents. Toxicology. 189:55–61. 2003. View Article : Google Scholar : PubMed/NCBI

24 

Choi DC, Lee JY, Moon YJ, et al: Acupuncture-mediated inhibition of inflammation facilitates significant functional recovery after spinal cord injury. Neurobiol Dis. 39:272–282. 2010. View Article : Google Scholar : PubMed/NCBI

25 

Jiang JH, Yang EJ, Baek MG, et al: Anti-inflammatory effects of electroacupuncture in the respiratory system of a symptomatic amyotrophic lateral sclerosis animal model. Neurodegener Dis. 8:504–514. 2011. View Article : Google Scholar : PubMed/NCBI

26 

Ridder DA and Schwaninger M: NF-kappaB signaling in cerebral ischemia. Neuroscience. 158:995–1000. 2009. View Article : Google Scholar : PubMed/NCBI

27 

Barton GM and Medzhitov R: Toll-like receptor signaling pathways. Science. 300:1524–1525. 2003. View Article : Google Scholar : PubMed/NCBI

28 

Blanco AM, Pascual M, Valles SL and Guerri C: Ethanol-induced iNOS and COX-2 expression in cultured astrocytes via NF-kappa B. Neuroreport. 15:681–685. 2004. View Article : Google Scholar : PubMed/NCBI

29 

Gao Y, Fang X, Tong Y, et al: TLR4-mediated MyD88-dependent signaling pathway is activated by cerebral ischemia-reperfusion in cortex in mice. Biomed Pharmacother. 63:442–450. 2009. View Article : Google Scholar

30 

Tu XK, Yang WZ, Shi SS, et al: Baicalin inhibits TLR2/4 signaling pathway in rat brain following permanent cerebral ischemia. Inflammation. 34:463–470. 2011. View Article : Google Scholar : PubMed/NCBI

31 

Fan H, Li L, Zhang X, et al: Oxymatrine downregulates TLR4, TLR2, MyD88, and NF-kappaB and protects rat brains against focal ischemia. Mediators Inflamm. 2009:7047062009.PubMed/NCBI

Related Articles

  • Abstract
  • View
  • Download
  • Twitter
Copy and paste a formatted citation
Spandidos Publications style
Lan L, Tao J, Chen A, Xie G, Huang J, Lin J, Peng J and Chen L: Electroacupuncture exerts anti-inflammatory effects in cerebral ischemia-reperfusion injured rats via suppression of the TLR4/NF-κB pathway. Int J Mol Med 31: 75-80, 2013.
APA
Lan, L., Tao, J., Chen, A., Xie, G., Huang, J., Lin, J. ... Chen, L. (2013). Electroacupuncture exerts anti-inflammatory effects in cerebral ischemia-reperfusion injured rats via suppression of the TLR4/NF-κB pathway. International Journal of Molecular Medicine, 31, 75-80. https://doi.org/10.3892/ijmm.2012.1184
MLA
Lan, L., Tao, J., Chen, A., Xie, G., Huang, J., Lin, J., Peng, J., Chen, L."Electroacupuncture exerts anti-inflammatory effects in cerebral ischemia-reperfusion injured rats via suppression of the TLR4/NF-κB pathway". International Journal of Molecular Medicine 31.1 (2013): 75-80.
Chicago
Lan, L., Tao, J., Chen, A., Xie, G., Huang, J., Lin, J., Peng, J., Chen, L."Electroacupuncture exerts anti-inflammatory effects in cerebral ischemia-reperfusion injured rats via suppression of the TLR4/NF-κB pathway". International Journal of Molecular Medicine 31, no. 1 (2013): 75-80. https://doi.org/10.3892/ijmm.2012.1184
Copy and paste a formatted citation
x
Spandidos Publications style
Lan L, Tao J, Chen A, Xie G, Huang J, Lin J, Peng J and Chen L: Electroacupuncture exerts anti-inflammatory effects in cerebral ischemia-reperfusion injured rats via suppression of the TLR4/NF-κB pathway. Int J Mol Med 31: 75-80, 2013.
APA
Lan, L., Tao, J., Chen, A., Xie, G., Huang, J., Lin, J. ... Chen, L. (2013). Electroacupuncture exerts anti-inflammatory effects in cerebral ischemia-reperfusion injured rats via suppression of the TLR4/NF-κB pathway. International Journal of Molecular Medicine, 31, 75-80. https://doi.org/10.3892/ijmm.2012.1184
MLA
Lan, L., Tao, J., Chen, A., Xie, G., Huang, J., Lin, J., Peng, J., Chen, L."Electroacupuncture exerts anti-inflammatory effects in cerebral ischemia-reperfusion injured rats via suppression of the TLR4/NF-κB pathway". International Journal of Molecular Medicine 31.1 (2013): 75-80.
Chicago
Lan, L., Tao, J., Chen, A., Xie, G., Huang, J., Lin, J., Peng, J., Chen, L."Electroacupuncture exerts anti-inflammatory effects in cerebral ischemia-reperfusion injured rats via suppression of the TLR4/NF-κB pathway". International Journal of Molecular Medicine 31, no. 1 (2013): 75-80. https://doi.org/10.3892/ijmm.2012.1184
Follow us
  • Twitter
  • LinkedIn
  • Facebook
About
  • Spandidos Publications
  • Careers
  • Cookie Policy
  • Privacy Policy
How can we help?
  • Help
  • Live Chat
  • Contact
  • Email to our Support Team