Spandidos Publications Logo
  • About
    • About Spandidos
    • Aims and Scopes
    • Abstracting and Indexing
    • Editorial Policies
    • Reprints and Permissions
    • Job Opportunities
    • Terms and Conditions
    • Contact
  • Journals
    • All Journals
    • Oncology Letters
      • Oncology Letters
      • Information for Authors
      • Editorial Policies
      • Editorial Board
      • Aims and Scope
      • Abstracting and Indexing
      • Bibliographic Information
      • Archive
    • International Journal of Oncology
      • International Journal of Oncology
      • Information for Authors
      • Editorial Policies
      • Editorial Board
      • Aims and Scope
      • Abstracting and Indexing
      • Bibliographic Information
      • Archive
    • Molecular and Clinical Oncology
      • Molecular and Clinical Oncology
      • Information for Authors
      • Editorial Policies
      • Editorial Board
      • Aims and Scope
      • Abstracting and Indexing
      • Bibliographic Information
      • Archive
    • Experimental and Therapeutic Medicine
      • Experimental and Therapeutic Medicine
      • Information for Authors
      • Editorial Policies
      • Editorial Board
      • Aims and Scope
      • Abstracting and Indexing
      • Bibliographic Information
      • Archive
    • International Journal of Molecular Medicine
      • International Journal of Molecular Medicine
      • Information for Authors
      • Editorial Policies
      • Editorial Board
      • Aims and Scope
      • Abstracting and Indexing
      • Bibliographic Information
      • Archive
    • Biomedical Reports
      • Biomedical Reports
      • Information for Authors
      • Editorial Policies
      • Editorial Board
      • Aims and Scope
      • Abstracting and Indexing
      • Bibliographic Information
      • Archive
    • Oncology Reports
      • Oncology Reports
      • Information for Authors
      • Editorial Policies
      • Editorial Board
      • Aims and Scope
      • Abstracting and Indexing
      • Bibliographic Information
      • Archive
    • Molecular Medicine Reports
      • Molecular Medicine Reports
      • Information for Authors
      • Editorial Policies
      • Editorial Board
      • Aims and Scope
      • Abstracting and Indexing
      • Bibliographic Information
      • Archive
    • World Academy of Sciences Journal
      • World Academy of Sciences Journal
      • Information for Authors
      • Editorial Policies
      • Editorial Board
      • Aims and Scope
      • Abstracting and Indexing
      • Bibliographic Information
      • Archive
    • International Journal of Functional Nutrition
      • International Journal of Functional Nutrition
      • Information for Authors
      • Editorial Policies
      • Editorial Board
      • Aims and Scope
      • Abstracting and Indexing
      • Bibliographic Information
      • Archive
    • International Journal of Epigenetics
      • International Journal of Epigenetics
      • Information for Authors
      • Editorial Policies
      • Editorial Board
      • Aims and Scope
      • Abstracting and Indexing
      • Bibliographic Information
      • Archive
    • Medicine International
      • Medicine International
      • Information for Authors
      • Editorial Policies
      • Editorial Board
      • Aims and Scope
      • Abstracting and Indexing
      • Bibliographic Information
      • Archive
  • Articles
  • Information
    • Information for Authors
    • Information for Reviewers
    • Information for Librarians
    • Information for Advertisers
    • Conferences
  • Language Editing
Spandidos Publications Logo
  • About
    • About Spandidos
    • Aims and Scopes
    • Abstracting and Indexing
    • Editorial Policies
    • Reprints and Permissions
    • Job Opportunities
    • Terms and Conditions
    • Contact
  • Journals
    • All Journals
    • Biomedical Reports
      • Information for Authors
      • Editorial Policies
      • Editorial Board
      • Aims and Scope
      • Abstracting and Indexing
      • Bibliographic Information
      • Archive
    • Experimental and Therapeutic Medicine
      • Information for Authors
      • Editorial Policies
      • Editorial Board
      • Aims and Scope
      • Abstracting and Indexing
      • Bibliographic Information
      • Archive
    • International Journal of Epigenetics
      • Information for Authors
      • Editorial Policies
      • Editorial Board
      • Aims and Scope
      • Abstracting and Indexing
      • Bibliographic Information
      • Archive
    • International Journal of Functional Nutrition
      • Information for Authors
      • Editorial Policies
      • Editorial Board
      • Aims and Scope
      • Abstracting and Indexing
      • Bibliographic Information
      • Archive
    • International Journal of Molecular Medicine
      • Information for Authors
      • Editorial Policies
      • Editorial Board
      • Aims and Scope
      • Abstracting and Indexing
      • Bibliographic Information
      • Archive
    • International Journal of Oncology
      • Information for Authors
      • Editorial Policies
      • Editorial Board
      • Aims and Scope
      • Abstracting and Indexing
      • Bibliographic Information
      • Archive
    • Medicine International
      • Information for Authors
      • Editorial Policies
      • Editorial Board
      • Aims and Scope
      • Abstracting and Indexing
      • Bibliographic Information
      • Archive
    • Molecular and Clinical Oncology
      • Information for Authors
      • Editorial Policies
      • Editorial Board
      • Aims and Scope
      • Abstracting and Indexing
      • Bibliographic Information
      • Archive
    • Molecular Medicine Reports
      • Information for Authors
      • Editorial Policies
      • Editorial Board
      • Aims and Scope
      • Abstracting and Indexing
      • Bibliographic Information
      • Archive
    • Oncology Letters
      • Information for Authors
      • Editorial Policies
      • Editorial Board
      • Aims and Scope
      • Abstracting and Indexing
      • Bibliographic Information
      • Archive
    • Oncology Reports
      • Information for Authors
      • Editorial Policies
      • Editorial Board
      • Aims and Scope
      • Abstracting and Indexing
      • Bibliographic Information
      • Archive
    • World Academy of Sciences Journal
      • Information for Authors
      • Editorial Policies
      • Editorial Board
      • Aims and Scope
      • Abstracting and Indexing
      • Bibliographic Information
      • Archive
  • Articles
  • Information
    • For Authors
    • For Reviewers
    • For Librarians
    • For Advertisers
    • Conferences
  • Language Editing
Login Register Submit
  • This site uses cookies
  • You can change your cookie settings at any time by following the instructions in our Cookie Policy. To find out more, you may read our Privacy Policy.

    I agree
Search articles by DOI, keyword, author or affiliation
Search
Advanced Search
presentation
International Journal of Molecular Medicine
Join Editorial Board Propose a Special Issue
Print ISSN: 1107-3756 Online ISSN: 1791-244X
Journal Cover
August-2014 Volume 34 Issue 2

Full Size Image

Sign up for eToc alerts
Recommend to Library

Journals

International Journal of Molecular Medicine

International Journal of Molecular Medicine

International Journal of Molecular Medicine is an international journal devoted to molecular mechanisms of human disease.

International Journal of Oncology

International Journal of Oncology

International Journal of Oncology is an international journal devoted to oncology research and cancer treatment.

Molecular Medicine Reports

Molecular Medicine Reports

Covers molecular medicine topics such as pharmacology, pathology, genetics, neuroscience, infectious diseases, molecular cardiology, and molecular surgery.

Oncology Reports

Oncology Reports

Oncology Reports is an international journal devoted to fundamental and applied research in Oncology.

Experimental and Therapeutic Medicine

Experimental and Therapeutic Medicine

Experimental and Therapeutic Medicine is an international journal devoted to laboratory and clinical medicine.

Oncology Letters

Oncology Letters

Oncology Letters is an international journal devoted to Experimental and Clinical Oncology.

Biomedical Reports

Biomedical Reports

Explores a wide range of biological and medical fields, including pharmacology, genetics, microbiology, neuroscience, and molecular cardiology.

Molecular and Clinical Oncology

Molecular and Clinical Oncology

International journal addressing all aspects of oncology research, from tumorigenesis and oncogenes to chemotherapy and metastasis.

World Academy of Sciences Journal

World Academy of Sciences Journal

Multidisciplinary open-access journal spanning biochemistry, genetics, neuroscience, environmental health, and synthetic biology.

International Journal of Functional Nutrition

International Journal of Functional Nutrition

Open-access journal combining biochemistry, pharmacology, immunology, and genetics to advance health through functional nutrition.

International Journal of Epigenetics

International Journal of Epigenetics

Publishes open-access research on using epigenetics to advance understanding and treatment of human disease.

Medicine International

Medicine International

An International Open Access Journal Devoted to General Medicine.

Journal Cover
August-2014 Volume 34 Issue 2

Full Size Image

Sign up for eToc alerts
Recommend to Library

  • Article
  • Citations
    • Cite This Article
    • Download Citation
    • Create Citation Alert
    • Remove Citation Alert
    • Cited By
  • Similar Articles
    • Related Articles (in Spandidos Publications)
    • Similar Articles (Google Scholar)
    • Similar Articles (PubMed)
  • Download PDF
  • Download XML
  • View XML
Review Open Access

Interaction between ingested nutrients and gut endocrine cells in patients with irritable bowel syndrome (Review)

  • Authors:
    • Magdy El-Salhy
    • Odd Helge Gilja
    • Doris Gundersen
    • Jan G. Hatlebakk
    • Trygve Hausken
  • View Affiliations / Copyright

    Affiliations: Section of Gastroenterology, Department of Medicine, Stord Helse-Fonna Hospital, Stord, Norway, Section of Gastroenterology, Department of Clinical Medicine, University of Bergen, Bergen, Norway, Department of Research, Helse-Fonna, Haugesund, Norway
    Copyright: © El-Salhy et al. This is an open access article distributed under the terms of Creative Commons Attribution License [CC BY_NC 3.0].
  • Pages: 363-371
    |
    Published online on: June 17, 2014
       https://doi.org/10.3892/ijmm.2014.1811
  • Expand metrics +
Metrics: Total Views: 0 (Spandidos Publications: | PMC Statistics: )
Metrics: Total PDF Downloads: 0 (Spandidos Publications: | PMC Statistics: )
Cited By (CrossRef): 0 citations Loading Articles...

This article is mentioned in:



Abstract

Several endocrine cell abnormalities have been reported in different segments of the gastrointestinal tract of patients with irritable bowel syndrome (IBS). These cells have specialized microvilli that project into the lumen; they function as sensors for the gut contents and respond to luminal stimuli (mostly ingested nutrients) by releasing hormones into the lamina propria, where they exert their effects via a paracrine/endocrine mode of action. Certain food items trigger the symptoms experienced by IBS patients, including those rich in fermentable oligo-, di- and monosaccharides, and polyols (FODMAPs). In this review, we present the argument that the effects of both FODMAPs and the proportional intake of proteins, fats and carbohydrates on IBS symptoms may be caused by an interaction with the gut endocrine cells. Since the gut hormones control and regulate gastrointestinal motility and sensation, this interaction may be responsible for abnormal gastrointestinal motility and the visceral hypersensitivity observed in these patients. There is no consistent evidence that IBS patients suffer from food allergy. The role of gluten intolerance in the development of IBS symptoms in these patients remains a matter of controversy. Individual guidance on food management, which includes restrictions in the intake of FODMAP-rich foods and testing diets with different proportions of proteins, fats and carbohydrates has been found to reduce the symptoms, improve the quality of life, and make the habitual diet of IBS patients more healthy.

Introduction

Irritable bowel syndrome (IBS) is a chronic functional gastrointestinal disorder with a worldwide prevalence of 10–20% (1–15). The diagnosis of IBS is based mainly on the assessment of the symptoms, which are abdominal discomfort/pain, altered bowel habits and abdominal bloating/distension (1,4). Patients with IBS can be subdivided into four subtypes according to the Rome III criteria and based on the stool pattern: diarrhea-predominant (IBS-D), constipation-predominant (IBS-C), mixed diarrhea and constipation (IBS-M) and unclassified IBS (U-IBS) (16,17).

IBS is usually diagnosed in younger patients (i.e., <50 years of age) and is more common in women than in men (3–6,8,9,11, 12,14,15,18,19). Although IBS is not known to be associated with the development of serious disease or with excess mortality, it considerably reduces the quality of life of patients (1,19–21). In addition to the increased morbidity caused by IBS, this condition represents an economic burden to society as a result of the overconsumption of healthcare resources by and low productivity of IBS patients (22).

IBS patients often associate their symptoms with specific food items, such as milk and milk products, wheat products, caffeine, certain meats, cabbage, onion, peas/beans, hot spices, fried foods and smoked foodstuffs (23–25). However, surveys of the diets of IBS patients have failed to detect any differences in diet composition between IBS patients and the community as regards the intake of energy, carbohydrates, proteins and fats (26–32). However, a study on food intolerance and IBS found that 62% of the subjects had either limited or excluded food items from their daily intake, and 12% of these subjects had made such drastic changes in their diet that nutritional deficiencies could be foreseen in the long term (33).

Certain studies have found IBS patients to be intolerant to various alcoholic beverages and generally have a low alcohol consumption (23,29). However, other studies found that the alcohol intake in patients with IBS was the same as or higher than that in the background population (30,31). The common belief among IBS patients is that lactose is the main cause of their symptoms, and consequently, they often reduce their intake of milk and milk products (29,31,34,35). Milk and other dairy products are the most important dietary source of calcium, vitamin B2 (riboflavin) and phosphorus in the Western world (36). Thus, while IBS patients consume more products that are alternatives to milk, such as soy, rice and oat milk, they have a low daily intake of calcium, vitamin B2 and phosphorus (29).

IBS patients have a lower consumption of foods known to be rich in fermentable oligo-, di- and monosaccharides, and polyols (FODMAPs), such as spaghetti, pasta, rice, millet, couscous and buns than healthy controls (29). Moreover, IBS patients have lower consumptions of certain vegetables (raw vegetables, raw broccoli, paprika, onion, leeks, garlic, cabbage, tomatoes, mushrooms and green beans) (29). On the other hand, they consume more FODMAP-rich fruits and vegetables, such as grapes, pears, peaches, peas, mango, plums and melon (29).

The importance of dietary factors and the associations between diet and symptoms in IBS have been discussed in the literature (23,37–41). The aim of this review was to shed light on the possible interaction between dietary intake and gut hormones, and the importance of diet management in reducing the symptoms and improving the quality of life of IBS patients.

2. The role of diet in IBS

The effect of diet on IBS symptoms may be attributed to the interaction between poorly absorbed carbohydrates/fiber and the intestinal bacterial flora, or between ingested nutrients and the gut neuroendocrine system, and food allergy or intolerance.

Interaction between poorly absorbed carbohydrates/fiber and the intestinal bacterial flora

Certain short-chain carbohydrates (FODMAPs) are poorly absorbed, resulting in a significant proportion of them reaching the distal small bowel and colon (42,43), where they provide a substrate for bacterial fermentation. This results in the production of gas, with the consequent distension of the large intestine and increased intraluminal pressure. FODMAPs include fructose, lactose, sugar alcohols (sorbitol, maltitol, mannitol, xylitol and ismalt), fructans and galactans. Fructose and lactose are present in apples, pears, watermelon, honey, fruit juices, dried fruits, as well as milk and milk products. Polyols are used in low-calorie food products. Galactans and fructans are present in wheat, rye, garlic, onions, legumes, cabbage, artichokes, leeks, asparagus, lentils, inulin, soy, Brussels sprouts and broccoli (39,40,44). A low intake of FODMAPs has been found to reduce the gastrointestinal symptoms in patients with IBS (42,43,45,46).

Increasing the intake of dietary fiber is a standard recommendation for patients with IBS (47). However, in clinical practice, increased fiber intake in these patients has been shown to increase the symptoms of abdominal pain, bloating and distension. The examination of the effects of fiber intake on IBS symptoms has revealed that increased fiber intake does not improve symptoms compared with a placebo or a low-fiber diet (47). However, it has been reported that the intake of soluble fiber is effective in improving overall IBS symptoms relative to consuming insoluble fiber (47–50).

The effects of FODMAPs and fiber on IBS symptoms are strongly associated with the intestinal flora. The dominance of Clostridium spp. in the intestinal flora, which break down FODMAPs and fiber, results in gas production, with a consequent increase in the distension of the large intestine, causing abdominal discomfort or pain. Food supplements with beneficial bacteria, such as Lactobacillus spp. and Bifidobacterium spp. would result in a greater tolerance to both FODMAPs and fiber, since these bacteria do not produce gas on fermenting carbohydrates. It has been reported that the intestinal flora of IBS patients comprise fewer Lactobacillus spp. and Bifidobacterium spp. than the flora of healthy individuals (51,52).

Interaction between ingested nutrients and the gut neuroendocrine system

The gut endocrine cells are spread between the epithelial cells of the mucosa facing the gut lumen (1,53). They are present in all the segments of the gastrointestinal tract apart from the esophagus (1). There are several different populations of gut endocrine cells (22,32,53–55); the distribution, functions and modes of action of the most important types have been reported previously (22,32,53,56–68). Some of the different endocrine cell types are located only in specific areas of the gut, while others are found throughout the gut (53–55). Thus, serotonin- and somatostatin-secreting cells are found throughout the gastrointestinal tract, while those producing ghrelin and gastrin are found in the stomach; those producing secretin, cholecystokinin (CCK), gastric inhibitory peptide (GIP) and motilin are found in the upper small intestine, and those producing polypeptide YY (PYY), pancreatic polypeptide (PP) and enteroglucagon are located in the lower small intestine and large intestine (53–55). These cells have specialized microvilli that project into the lumen and function as sensors for the gut contents (mostly for nutrients), and respond to luminal stimuli by releasing their hormones into the lamina propria (Fig. 1) (69–81). The gut intraluminal contents of carbohydrates, proteins and fats triggers the release of the different signaling substances (i.e., hormones) from the gut endocrine cells (1,53). These signaling substances may exert their actions locally on nearby structures (paracrine mode) or by entering the circulating blood and reaching distant targets (endocrine mode) (82). The gut endocrine cells interact and integrate with each other, and with the enteric nervous system (ENS) and the afferent and efferent nerve fibers of the autonomic nervous system and the central nervous system (CNS) (22,53,59,83). In doing so, they regulate several functions of the gastrointestinal tract, including visceral sensation, motility, secretion, absorption, local immune defense and food intake (22,53–55,83).

Figure 1

The gut hormones released into the interstitial fluid of the lamina propria in response to intraluminal nutrient content vary according to the proportions of (A) carbohydrates, (B) proteins and (C) fats. These hormones may act in an endocrine/paracrine manner or as neurotransmitters/neuromodulators of neurons in the ENS.

Several abnormalities in the gut endocrine cells have been described in IBS patients (84–100), as summarized in Table I and illustrated in Figs. 2 and 3. The etiology of these abnormalities in sporadic (non-specific) IBS patients can be genetically inherited and/or caused by environmental factors. A genetic etiology is supported by the familial aggregation of IBS and the results of twin studies (101–111). Alternatively, endocrine cells have a rapid turnover, and it is possible that factors related to luminal content, such as diet or bacterial flora can provoke an increase or decrease in the endocrine cell population (54,55). In post-infectious IBS (PI-IBS), the abnormalities in gut endocrine cells may be the result of endocrine/immune interactions (i.e., the endocrine/immune axis), which are in turn caused by low-grade inflammation following gastroenteritis in predisposed individuals (112,113).

Figure 2

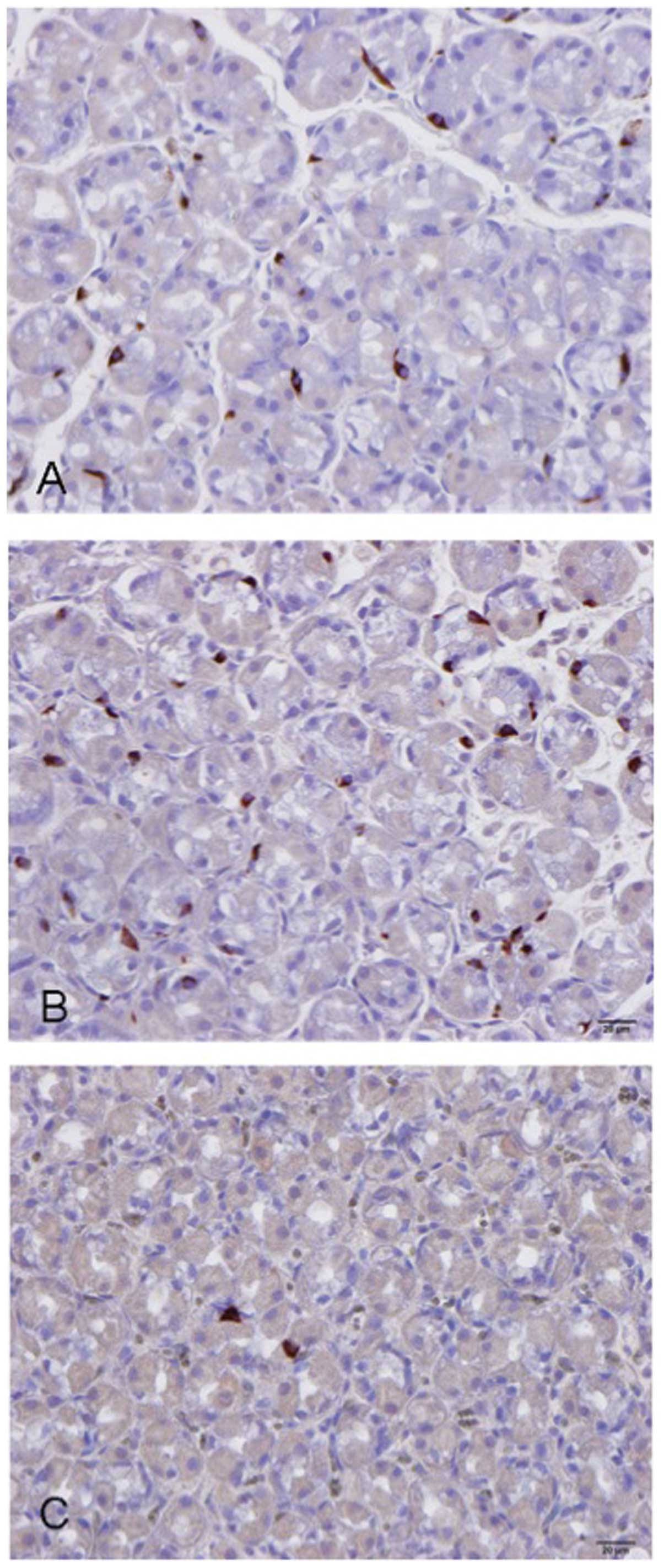
Ghrelin in the oxyntic mucosa of (A) a healthy subject, (B) a patient with diarrhea-predominant IBS (IBS-D), and (C) a patient with constipation-predominant IBS (IBS-C).

Figure 3

Polypeptide YY (PYY)-immunoreactive cells in the colon of (A) a healthy subject and (B) a patient with irritable bowel syndrome (IBS).

Table I

Summary of the abnormalities in the endocrine cell densities in different segments of the gastrointestinal tract of IBS patients, and the factors responsible for the release of gut hormones and the functions of these hormones.

Table I

Summary of the abnormalities in the endocrine cell densities in different segments of the gastrointestinal tract of IBS patients, and the factors responsible for the release of gut hormones and the functions of these hormones.

Gut segmentEndocrine cell typeReleased byFunctionsIBS-DIBS-C
StomachGhrelinProtein and fat ingestion. Suppressed by carbohydrate ingestion.Increases gastric and intestinal motility, and stimulates appetite and food intake.HighLow
SerotoninAdrenaline, acetylcholine, acidification, and increased intraluminal pressure.Activates the submucosal sensory branch of the ENS, inhibits gastric emptying, stimulates colonic motility, and accelerates small- and large-intestinal transit.NormalHigh
GastrinIntraluminal peptides, amino acids, calcium, amines, low pH, and prostaglandins. Release inhibited by somatostatin.Stimulates gastric acid secretion and histamine release, and stimulates contraction of the LES and antrum.HighHigh
SomatostatinMeal and acidification of the stomach.Inhibits gut exocrine and neuroendocrine secretion, and inhibits intestinal contraction.LowLow
Small intestine
 DuodenumCCKIntraluminal protein and fat.Stimulates pancreatic exocrine secretion and growth, regulates food intake, inhibits gastric emptying, and stimulates gallbladder contraction and intestinal motility.LowNormal
SecretinAcidification of the intestinal contents.Stimulates pancreatic bicarbonate and fluid secretion; inhibits gastric emptying; inhibits contractile activity of the small and large intestines.LowNormal
GIPIntraluminal glucose; amino acids and fat.Inhibits gastric acid secretion.LowLow
SomatostatinIntraluminal glucose; amino acids and fat.Inhibits gastric acid secretion.LowLow
 IleumSerotoninIntraluminal glucose; amino acids and fat.Inhibits gastric acid secretion.LowLow
PYYProtein- and fat-rich meals.Delays gastric emptying, stimulates the absorption of water and electrolytes; major mediator of the ileal brake.NormalHigh
Large intestine
 ColonSerotoninProtein- and fat-rich meals.Delays gastric emptying, stimulates the absorption of water and electrolytes; major mediator of the ileal brake.LowLow
PYYProtein- and fat-rich meals.Delays gastric emptying, stimulates the absorption of water and electrolytes; major mediator of the ileal brake.LowLow
 RectumPYYProtein- and fat-rich meals.Delays gastric emptying, stimulates the absorption of water and electrolytes; major mediator of the ileal brake.LowLow
EnteroglucagonIntraluminal carbohydrates and fat.Inhibits gastric and pancreatic secretion, reduces gastric motility, and has also some incretin effect.LowLow
SomatostatinProtein- and fat-rich meals.Delays gastric emptying, stimulates the absorption of water and electrolytes; major mediator of the ileal brake.HighHigh

[i] IBS, irritable bowel syndrom; IBS-D, diarrhea-predominant IBS; IBS-C, constipation-predominant IBS; LES, lower esophageal sphincter; GIP, gastric inhibitory peptide.

As indicated in Table I, gastrointestinal hormone release is triggered by the intraluminal contents of nutrients; thus, the release of ghrelin, CCK and PYY is triggered by proteins and fat, and ghrelin release is suppressed by the presence of carbohydrates. Consequently, while a diet that is poor in fat, proteins and carbohydrates would aggravate the symptoms in patients with IBS-D, a diet containing low levels of fat and proteins and high levels of carbohydrates would worsen the symptoms in patients with IBS-C. In patients with PI-IBS, the symptoms would be worsened by food rich in proteins and fat.

In IBS patients, the gut endocrine cells may be responsible for the abdominal pain/discomfort resulting from the aforementioned gas production and consequent increase in intraluminal pressure and large-intestinal distension following the breakdown of FODMAPs and fibers by the intestinal bacterial flora. An increase in the intraluminal pressure would possibly result in the release of serotonin and substance P into the interstitial fluid. Serotonin activates the submucosal sensory branch of the ENS, which conveys the sensation to the CNS, possibly causing the sensation of abdominal pain/discomfort (114,115). Furthermore, serotonin controls gastrointestinal motility and chloride secretion via interneurons and motor neurons, which may result in disturbances in both motility and gastrointestinal secretion (114,115).

Food allergy or intolerance

There is neither consistent evidence for an allergic response nor documented evidence for intolerance to a specific food in IBS (1,116–122). Although a food allergy mediated by mucosal mechanisms has been suggested for IBS (123,124), these mechanisms may play a role in only a subset of patients who may have atopy or PI-IBS (1,123,125). Different classes of antibodies (IgG) have been implicated in food-related allergies in IBS (126, 127). The results of studies on this subject are controversial, possibly sicne the tests used are not sufficiently sensitive or specific (31,116,117,123,124,128–133).

The association between IBS and celiac disease (CD) has drawn much attention of late. The breadth of the spectrum of symptoms in IBS means that there is the potential for overlap with CD symptomatologies. Thus, patients with CD presenting with relatively vague abdominal symptoms can be diagnosed as having IBS (39,40). Furthermore, the symptoms of both IBS and CD patients are triggered by the ingestion of wheat products. The reported prevalence of CD in IBS varies between 0.04 and 4.7% (134–144). It has been suggested that IBS patients with wheat intolerance and who carry the genotype associated with CD (HLA DQ2 or DR3), but do not have typical serological markers or changes in small-intestine histology exhibit other immunological evidence of gluten reactivity and response to a gluten-free diet (145).

The augmentation of IBS symptoms by the ingestion of wheat products has been attributed to the content of the sugar polymers, fructans and galactans (38,146). In clinical practice, some IBS patients describe a reduction in symptoms upon eating a gluten-free diet. Although this has been dismissed by clinicians as a placebo effect, there is emerging new data regarding non-celiac gluten sensitivity (147). The existence of non-celiac gluten intolerance has been demonstrated by a double-blinded, randomized, placebo-controlled rechallenge trial (148). However, the diets of the subjects in that study excluded wheat products, which contain gluten, as well as fructans and galactans. A recent placebo-controlled, cross-over study found no evidence of the specific effects of gluten in non-celiac gluten sensitivity (149). Thus, the role of gluten intolerance in IBS has yet to be clarified, and further studies are required.

3. Diet management in IBS

It is clear that IBS patients need guidance on diet management. Providing IBS patients with diet guidance has been found to reduce symptoms and to improve their quality of life (29,150). Furthermore, this guidance leads IBS patients to consume a more adequate diet in terms of the levels of vitamins and minerals, and makes them aware of all FODMAP-rich foods, the consumption of which they should either avoid or reduce. They also consume foods supplemented with Lactobacillus spp. and Bifidobacterium spp., which increase their tolerance to FOODMAPs (29).

Diet guidance should be individualized, since IBS patients have different tolerances to various FODMAP-rich foods, possibly due to differences in their intestinal flora. The aim of diet guidance should be to provide information about FODMAPs and their role in the symptoms of individual patients, and to instruct them to avoid such foods. Moreover, the effects of the proportional intakes of protein, fats and carbohydrates on their symptoms should be examined. In clinical practice, we have found that reducing the carbohydrate or fat intake and increasing the protein intake improves the symptoms in certain patients. In addition, IBS patients should be encouraged to consume foods that are supplemented with Lactobacillus spp. and Bifidobacterium spp. Other lifestyle factors, such as regular exercise and regular intake of probiotics, may augment the effect of diet management (151).

4. Conclusion

Diet triggers symptoms in IBS patients, possibly as a result of interactions with the gut endocrine cells, which are defective in IBS patients. The effects of the food content of FODMAPs and fiber on IBS symptoms are possibly mediated through gut endocrine cells. FODMAPs in the diet increase the osmotic pressure and provide a substrate for bacteria fermentation and gas production in the large intestine, resulting in abdominal distension. The increase in intestinal pressure may cause the release of serotonin and substance P, which in turn may result in the sensation of abdominal discomfort or pain. The protein, fat and carbohydrate content of ingested foods determine the amount and type of gut hormones released, which will in turn regulate and control gastrointestinal motility and sensation, that have been reported to be abnormal in IBS patients (152–179). Although it is possible that IBS patients suffer from gluten intolerance, further studies are required to confirm this before any definitive conclusions can be drawn. Guidance on diet management, including individually tailored restrictions of FODMAP-rich foods and the testing of protein-, fat- and carbohydrate-rich/poor diets reduce IBS symptoms and accordingly improve the overall management of the health of IBS patients.

References

1 

El-Salhy M, Gundersen D, Hatlebakk JG and Hausken T: Irritable bowel syndrome: diagnosis, pathogenesis and treatment options. Nova Science Publishers Inc.; New York: 2012

2 

Thompson WG: A world view of IBS. Irritable Bowel Syndrome. Camilleri M and Spiller RC: Saunders; Philadelphia and London: pp. 17–26. 2002

3 

Agreus L, Svardsudd K, Nyren O and Tibblin G: Irritable bowel syndrome and dyspepsia in the general population: overlap and lack of stability over time. Gastroenterology. 109:671–680. 1995. View Article : Google Scholar : PubMed/NCBI

4 

Thompson WG, Irvine EJ, Pare P, Ferrazzi S and Rance L: Functional gastrointestinal disorders in Canada: first population-based survey using Rome II criteria with suggestions for improving the questionnaire. Dig Dis Sci. 47:225–235. 2002. View Article : Google Scholar

5 

Kennedy TM, Jones RH, Hungin AP, O’Flanagan H and Kelly P: Irritable bowel syndrome, gastro-oesophageal reflux, and bronchial hyper-responsiveness in the general population. Gut. 43:770–774. 1998. View Article : Google Scholar : PubMed/NCBI

6 

Drossman DA, Li Z, Andruzzi E, et al: U.S. householder survey of functional gastrointestinal disorders. Prevalence, sociodemography, and health impact. Dig Dis Sci. 38:1569–1580. 1993. View Article : Google Scholar : PubMed/NCBI

7 

Talley NJ, Gabriel SE, Harmsen WS, Zinsmeister AR and Evans RW: Medical costs in community subjects with irritable bowel syndrome. Gastroenterology. 109:1736–1741. 1995. View Article : Google Scholar : PubMed/NCBI

8 

Hungin AP, Whorwell PJ, Tack J and Mearin F: The prevalence, patterns and impact of irritable bowel syndrome: an international survey of 40,000 subjects. Aliment Pharmacol Ther. 17:643–650. 2003. View Article : Google Scholar : PubMed/NCBI

9 

Jones R and Lydeard S: Irritable bowel syndrome in the general population. BMJ. 304:87–90. 1992. View Article : Google Scholar : PubMed/NCBI

10 

Bordie AK: Functional disorders of the colon. J Indian Med Assoc. 58:451–456. 1972.PubMed/NCBI

11 

O’Keefe EA, Talley NJ, Zinsmeister AR and Jacobsen SJ: Bowel disorders impair functional status and quality of life in the elderly: a population-based study. J Gerontol A Biol Sci Med Sci. 50:M184–M189. 1995.PubMed/NCBI

12 

Everhart JE and Renault PF: Irritable bowel syndrome in office-based practice in the United States. Gastroenterology. 100:998–1005. 1991.PubMed/NCBI

13 

Wilson S, Roberts L, Roalfe A, Bridge P and Singh S: Prevalence of irritable bowel syndrome: a community survey. Br J Gen Pract. 54:495–502. 2004.PubMed/NCBI

14 

Quigley EM, Locke GR, Mueller-Lissner S, et al: Prevalence and management of abdominal cramping and pain: a multinational survey. Aliment Pharmacol Ther. 24:411–419. 2006. View Article : Google Scholar : PubMed/NCBI

15 

Harvey RF, Salih SY and Read AE: Organic and functional disorders in 2000 gastroenterology outpatients. Lancet. 1:632–634. 1983. View Article : Google Scholar : PubMed/NCBI

16 

Spiller R, Aziz Q, Creed F, et al: Guidelines on the irritable bowel syndrome: mechanisms and practical management. Gut. 56:1770–1798. 2007. View Article : Google Scholar : PubMed/NCBI

17 

Longstreth GF, Thompson WG, Chey WD, Houghton LA, Mearin F and Spiller RC: Functional bowel disorders. Gastroenterology. 130:1480–1491. 2006. View Article : Google Scholar : PubMed/NCBI

18 

Thompson WG and Heaton KW: Functional bowel disorders in apparently healthy people. Gastroenterology. 79:283–288. 1980.PubMed/NCBI

19 

Miller V, Whitaker K, Morris JA and Whorwell PJ: Gender and irritable bowel syndrome: the male connection. J Clin Gastroenterol. 38:558–560. 2004. View Article : Google Scholar : PubMed/NCBI

20 

Whitehead WE, Burnett CK, Cook EW III and Taub E: Impact of irritable bowel syndrome on quality of life. Dig Dis Sci. 41:2248–2253. 1996. View Article : Google Scholar : PubMed/NCBI

21 

Gralnek IM, Hays RD, Kilbourne A, Naliboff B and Mayer EA: The impact of irritable bowel syndrome on health-related quality of life. Gastroenterology. 119:654–660. 2000. View Article : Google Scholar : PubMed/NCBI

22 

El-Salhy M: Irritable bowel syndrome: diagnosis and pathogenesis. World J Gastroenterol. 18:5151–5163. 2012.

23 

Simren M, Mansson A, Langkilde AM, et al: Food-related gastrointestinal symptoms in the irritable bowel syndrome. Digestion. 63:108–115. 2001. View Article : Google Scholar : PubMed/NCBI

24 

Nanda R, James R, Smith H, Dudley CR and Jewell DP: Food intolerance and the irritable bowel syndrome. Gut. 30:1099–1104. 1989. View Article : Google Scholar : PubMed/NCBI

25 

Bohn L, Storsrud S, Tornblom H, Bengtsson U and Simren M: Self-reported food-related gastrointestinal symptoms in IBS are common and associated with more severe symptoms and reduced quality of life. Am J Gastroenterol. 108:634–641. 2013. View Article : Google Scholar : PubMed/NCBI

26 

Jarrett M, Heitkemper MM, Bond EF and Georges J: Comparison of diet composition in women with and without functional bowel disorder. Gastroenterol Nurs. 16:253–258. 1994. View Article : Google Scholar : PubMed/NCBI

27 

Saito YA, Locke GR III, Weaver AL, Zinsmeister AR and Talley NJ: Diet and functional gastrointestinal disorders: a population-based case-control study. Am J Gastroenterol. 100:2743–2748. 2005. View Article : Google Scholar : PubMed/NCBI

28 

Williams EA, Nai X and Corfe BM: Dietary intakes in people with irritable bowel syndrome. BMC Gastroenterol. 11:92011. View Article : Google Scholar : PubMed/NCBI

29 

Ostgaard H, Hausken T, Gundersen D and El-Salhy M: Diet and effects of diet management on quality of life and symptoms in patients with irritable bowel syndrome. Mol Med Rep. 5:1382–1390. 2012.PubMed/NCBI

30 

Böhn L, Störsrud S and Simrén M: Nutrient intake in patients with irritable bowel syndrome compared with the general population. Neurogastroenterol Motil. 25:23-e212013.PubMed/NCBI

31 

Ligaarden SC, Lydersen S and Farup PG: Diet in subjects with irritable bowel syndrome: a cross-sectional study in the general population. BMC Gastroenterol. 12:612012. View Article : Google Scholar : PubMed/NCBI

32 

El-Salhy M, Ostgaard H, Gundersen D, Hatlebakk JG and Hausken T: The role of diet in the pathogenesis and management of irritable bowel syndrome (Review). Int J Mol Med. 29:723–731. 2012.PubMed/NCBI

33 

Dizdar V, Spiller R, Singh G, et al: Relative importance of abnormalities of CCK and 5-HT (serotonin) in Giardia-induced post-infectious irritable bowel syndrome and functional dyspepsia. Aliment Pharmacol Ther. 31:883–891. 2010.PubMed/NCBI

34 

Monsbakken KW, Vandvik PO and Farup PG: Perceived food intolerance in subjects with irritable bowel syndrome - etiology, prevalence and consequences. Eur J Clin Nutr. 60:667–672. 2006. View Article : Google Scholar : PubMed/NCBI

35 

Vesa TH, Seppo LM, Marteau PR, Sahi T and Korpela R: Role of irritable bowel syndrome in subjective lactose intolerance. Am J Clin Nutr. 67:710–715. 1998.PubMed/NCBI

36 

Geissler C: Human Nutrition. Geissler C and Powers H: Elsevier; Churchill Livingstone: 2005

37 

Wald A and Rakel D: Behavioral and complementary approaches for the treatment of irritable bowel syndrome. Nutr Clin Pract. 23:284–292. 2008. View Article : Google Scholar : PubMed/NCBI

38 

Heizer WD, Southern S and McGovern S: The role of diet in symptoms of irritable bowel syndrome in adults: a narrative review. J Am Diet Assoc. 109:1204–1214. 2009. View Article : Google Scholar : PubMed/NCBI

39 

Morcos A, Dinan T and Quigley EM: Irritable bowel syndrome: role of food in pathogenesis and management. J Dig Dis. 10:237–246. 2009. View Article : Google Scholar : PubMed/NCBI

40 

Eswaran S, Tack J and Chey WD: Food: the forgotten factor in the irritable bowel syndrome. Gastroenterol Clin North Am. 40:141–162. 2011. View Article : Google Scholar : PubMed/NCBI

41 

Austin GL, Dalton CB, Hu Y, et al: A very low-carbohydrate diet improves symptoms and quality of life in diarrhea-predominant irritable bowel syndrome. Clin Gastroenterol Hepatol. 7:706–708. e7012009. View Article : Google Scholar : PubMed/NCBI

42 

Barrett JS and Gibson PR: Fermentable oligosaccharides, disaccharides, monosaccharides and polyols (FODMAPs) and nonallergic food intolerance: FODMAPs or food chemicals? Therap Adv Gastroenterol. 5:261–268. 2012. View Article : Google Scholar

43 

Barrett JS: Extending our knowledge of fermentable, short-chain carbohydrates for managing gastrointestinal symptoms. Nutr Clin Pract. 28:300–306. 2013. View Article : Google Scholar : PubMed/NCBI

44 

Biesiekierski JR, Rosella O, Rose R, et al: Quantification of fructans, galacto-oligosacharides and other short-chain carbohydrates in processed grains and cereals. J Hum Nutr Diet. 24:154–176. 2011. View Article : Google Scholar : PubMed/NCBI

45 

de Roest RH, Dobbs BR, Chapman BA, et al: The low FODMAP diet improves gastrointestinal symptoms in patients with irritable bowel syndrome: a prospective study. Int J Clin Pract. 67:895–903. 2013.PubMed/NCBI

46 

Staudacher HM, Whelan K, Irving PM and Lomer MC: Comparison of symptom response following advice for a diet low in fermentable carbohydrates (FODMAPs) versus standard dietary advice in patients with irritable bowel syndrome. J Hum Nutr Diet. 24:487–495. 2011. View Article : Google Scholar

47 

Bijkerk CJ, Muris JW, Knottnerus JA, Hoes AW and de Wit NJ: Systematic review: the role of different types of fibre in the treatment of irritable bowel syndrome. Aliment Pharmacol Ther. 19:245–251. 2004. View Article : Google Scholar : PubMed/NCBI

48 

Ford AC, Talley NJ, Spiegel BM, et al: Effect of fibre, antispasmodics, and peppermint oil in the treatment of irritable bowel syndrome: systematic review and meta-analysis. BMJ. 337:a23132008. View Article : Google Scholar : PubMed/NCBI

49 

Francis CY and Whorwell PJ: Bran and irritable bowel syndrome: time for reappraisal. Lancet. 344:39–40. 1994. View Article : Google Scholar : PubMed/NCBI

50 

Bijkerk CJ, de Wit NJ, Muris JW, Whorwell PJ, Knottnerus JA and Hoes AW: Soluble or insoluble fibre in irritable bowel syndrome in primary care? Randomised placebo controlled trial. BMJ. 339:b31542009. View Article : Google Scholar : PubMed/NCBI

51 

Kassinen A, Krogius-Kurikka L, Makivuokko H, et al: The fecal microbiota of irritable bowel syndrome patients differs significantly from that of healthy subjects. Gastroenterology. 133:24–33. 2007. View Article : Google Scholar : PubMed/NCBI

52 

Si JM, Yu YC, Fan YJ and Chen SJ: Intestinal microecology and quality of life in irritable bowel syndrome patients. World J Gastroenterol. 10:1802–1805. 2004.PubMed/NCBI

53 

El-Salhy M, Seim I, Chopin L, Gundersen D, Hatlebakk JG and Hausken T: Irritable bowel syndrome: the role of gut neuroendocrine peptides. Front Biosci (Elite Ed). 4:2783–2800. 2012. View Article : Google Scholar : PubMed/NCBI

54 

Gunawardene AR, Corfe BM and Staton CA: Classification and functions of enteroendocrine cells of the lower gastrointestinal tract. Int J Exp Pathol. 92:219–231. 2011. View Article : Google Scholar : PubMed/NCBI

55 

May CL and Kaestner KH: Gut endocrine cell development. Mol Cell Endocrinol. 323:70–75. 2010. View Article : Google Scholar

56 

Mawe GM, Coates MD and Moses PL: Review article: intestinal serotonin signalling in irritable bowel syndrome. Aliment Pharmacol Ther. 23:1067–1076. 2006. View Article : Google Scholar : PubMed/NCBI

57 

Wade PR, Chen J, Jaffe B, Kassem IS, Blakely RD and Gershon MD: Localization and function of a 5-HT transporter in crypt epithelia of the gastrointestinal tract. J Neurosci. 16:2352–2364. 1996.PubMed/NCBI

58 

Gershon MD and Tack J: The serotonin signaling system: from basic understanding to drug development for functional GI disorders. Gastroenterology. 132:397–414. 2007. View Article : Google Scholar : PubMed/NCBI

59 

Gershon MD: 5-Hydroxytryptamine (serotonin) in the gastrointestinal tract. Curr Opin Endocrinol Diabetes Obes. 20:14–21. 2013. View Article : Google Scholar : PubMed/NCBI

60 

Gershon MD: Serotonin is a sword and a shield of the bowel: serotonin plays offense and defense. Trans Am Clin Climatol Assoc. 123:268–280. 2012.PubMed/NCBI

61 

El-Salhy M, Mazzawi T, Gundersen D, Hatlebakk JG and Hausken T: The role of peptide YY in gastrointestinal diseases and disorders (Review). Int J Mol Med. 31:275–282. 2013.PubMed/NCBI

62 

Dubrasquet M, Bataille D and Gespach C: Oxyntomodulin (glucagon-37 or bioactive enteroglucagon): a potent inhibitor of pentagastrin-stimulated acid secretion in rats. Biosci Rep. 2:391–395. 1982. View Article : Google Scholar : PubMed/NCBI

63 

Schjoldager BT, Baldissera FG, Mortensen PE, Holst JJ and Christiansen J: Oxyntomodulin: a potential hormone from the distal gut. Pharmacokinetics and effects on gastric acid and insulin secretion in man. Eur J Clin Invest. 18:499–503. 1988. View Article : Google Scholar : PubMed/NCBI

64 

Schjoldager B, Mortensen PE, Myhre J, Christiansen J and Holst JJ: Oxyntomodulin from distal gut. Role in regulation of gastric and pancreatic functions. Dig Dis Sci. 34:1411–1419. 1989. View Article : Google Scholar : PubMed/NCBI

65 

Dakin CL, Small CJ, Batterham RL, et al: Peripheral oxyntomodulin reduces food intake and body weight gain in rats. Endocrinology. 145:2687–2695. 2004. View Article : Google Scholar : PubMed/NCBI

66 

Wynne K, Park AJ, Small CJ, et al: Subcutaneous oxyntomodulin reduces body weight in overweight and obese subjects: a double-blind, randomized, controlled trial. Diabetes. 54:2390–2395. 2005. View Article : Google Scholar : PubMed/NCBI

67 

Camilleri M: Peripheral mechanisms in irritable bowel syndrome. N Engl J Med. 367:1626–1635. 2012. View Article : Google Scholar

68 

Jianu CS, Fossmark R, Syversen U, Hauso O and Waldum HL: A meal test improves the specificity of chromogranin A as a marker of neuroendocrine neoplasia. Tumour Biol. 31:373–380. 2010. View Article : Google Scholar : PubMed/NCBI

69 

Sandstrom O and El-Salhy M: Ageing and endocrine cells of human duodenum. Mech Ageing Dev. 108:39–48. 1999. View Article : Google Scholar : PubMed/NCBI

70 

El-Salhy M: Ghrelin in gastrointestinal diseases and disorders: a possible role in the pathophysiology and clinical implications (Review). Int J Mol Med. 24:727–732. 2009. View Article : Google Scholar : PubMed/NCBI

71 

Tolhurst G, Reimann F and Gribble FM: Intestinal sensing of nutrients. Handb Exp Pharmacol. 309–335. 2012. View Article : Google Scholar

72 

Lee J, Cummings BP, Martin E, et al: Glucose sensing by gut endocrine cells and activation of the vagal afferent pathway is impaired in a rodent model of type 2 diabetes mellitus. Am J Physiol Regul Integr Comp Physiol. 302:R657–R666. 2012. View Article : Google Scholar : PubMed/NCBI

73 

Parker HE, Reimann F and Gribble FM: Molecular mechanisms underlying nutrient-stimulated incretin secretion. Expert Rev Mol Med. 12:e12010. View Article : Google Scholar : PubMed/NCBI

74 

Raybould HE: Nutrient sensing in the gastrointestinal tract: possible role for nutrient transporters. J Physiol Biochem. 64:349–356. 2008. View Article : Google Scholar : PubMed/NCBI

75 

San Gabriel A, Nakamura E, Uneyama H and Torii K: Taste, visceral information and exocrine reflexes with glutamate through umami receptors. J Med Invest. 56(Suppl): S209–S217. 2009.PubMed/NCBI

76 

Rudholm T, Wallin B, Theodorsson E, Naslund E and Hellstrom PM: Release of regulatory gut peptides somatostatin, neurotensin and vasoactive intestinal peptide by acid and hyperosmolal solutions in the intestine in conscious rats. Regul Pept. 152:8–12. 2009. View Article : Google Scholar : PubMed/NCBI

77 

Sternini C, Anselmi L and Rozengurt E: Enteroendocrine cells: a site of ‘taste’ in gastrointestinal chemosensing. Curr Opin Endocrinol Diabetes Obes. 15:73–78. 2008.

78 

Sternini C: Taste receptors in the gastrointestinal tract. IV. Functional implications of bitter taste receptors in gastrointestinal chemosensing. Am J Physiol Gastrointest Liver Physiol. 292:G457–G461. 2007. View Article : Google Scholar : PubMed/NCBI

79 

Buchan AM: Nutrient Tasting and Signaling Mechanisms in the Gut III. Endocrine cell recognition of luminal nutrients. Am J Physiol. 277:G1103–G1107. 1999.PubMed/NCBI

80 

Montero-Hadjadje M, Elias S, Chevalier L, et al: Chromogranin A promotes peptide hormone sorting to mobile granules in constitutively and regulated secreting cells: role of conserved N- and C-terminal peptides. J Biol Chem. 284:12420–12431. 2009. View Article : Google Scholar

81 

Shooshtarizadeh P, Zhang D, Chich JF, et al: The antimicrobial peptides derived from chromogranin/secretogranin family, new actors of innate immunity. Regul Pept. 165:102–110. 2010. View Article : Google Scholar : PubMed/NCBI

82 

Rindi G, Inzani F and Solcia E: Pathology of gastrointestinal disorders. Endocrinol Metab Clin North Am. 39:713–727. 2010. View Article : Google Scholar

83 

Seim I, El-Salhy M, Hausken T, Gundersen D and Chopin L: Ghrelin and the brain-gut axis as a pharmacological target for appetite control. Curr Pharm Des. 18:768–775. 2012. View Article : Google Scholar : PubMed/NCBI

84 

Wendelbo I, Mazzawi T and El-Salhy M: Increased serotonin transporter immunoreactivity intensity in the ileum of patients with irritable bowel disease. Mol Med Rep. 9:180–184. 2014.PubMed/NCBI

85 

El-Salhy M, Wendelbo IH and Gundersen D: Reduced chromogranin A cell density in the ileum of patients with irritable bowel syndrome. Mol Med Rep. 7:1241–1244. 2013.PubMed/NCBI

86 

El-Salhy M, Vaali K, Dizdar V and Hausken T: Abnormal small-intestinal endocrine cells in patients with irritable bowel syndrome. Dig Dis Sci. 55:3508–3513. 2010. View Article : Google Scholar : PubMed/NCBI

87 

El-Salhy M, Mazzawi T, Gundersen D and Hausken T: Chromogranin A cell density in the rectum of patients with irritable bowel syndrome. Mol Med Rep. 6:1223–1225. 2012.

88 

El-Salhy M, Lomholt-Beck B and Hausken T: Chromogranin A as a possible tool in the diagnosis of irritable bowel syndrome. Scand J Gastroenterol. 45:1435–1439. 2010. View Article : Google Scholar

89 

El-Salhy M, Lillebo E, Reinemo A and Salmelid L: Ghrelin in patients with irritable bowel syndrome. Int J Mol Med. 23:703–707. 2009. View Article : Google Scholar : PubMed/NCBI

90 

El-Salhy M, Hatlebakk JG, Gundersen D and Hausken T: Endocrine cells in the gastric oxyntic mucosa of patients with irritable bowel syndrome. Dig Dis Sci. 2013.

91 

El-Salhy M, Gundersen D, Ostgaard H, Lomholt-Beck B, Hatlebakk JG and Hausken T: Low densities of serotonin and peptide YY cells in the colon of patients with irritable bowel syndrome. Dig Dis Sci. 57:873–878. 2012. View Article : Google Scholar : PubMed/NCBI

92 

El-Salhy M, Gundersen D, Hatlebakk JG and Hausken T: Chromogranin a cell density as a diagnostic marker for lymphocytic colitis. Dig Dis Sci. 57:3154–3159. 2012. View Article : Google Scholar : PubMed/NCBI

93 

El-Salhy M, Gundersen D, Hatlebakk JG and Hausken T: Gastric endocrine cells in the oxyntic mucosa ofpatients with irritable bowel syndrome. Dig Dis Sci. 2013.

94 

El-Salhy M, Gilja OH, Hatlebakk JG and Hausken T: Gastric antral endocrine cells in patients with irritable bowel syndrome. BMC Gastroenterol. 2013.

95 

El-Salhy M, Gilja OH and Hausken T: Chromogranin A cells in the stomach of patients with sporadic irritable bowel syndrome. Histol Histopathol. 2013.

96 

Sjolund K, Ekman R and Wierup N: Covariation of plasma ghrelin and motilin in irritable bowel syndrome. Peptides. 31:1109–1112. 2010. View Article : Google Scholar : PubMed/NCBI

97 

Wang SH, Dong L, Luo JY, et al: Decreased expression of serotonin in the jejunum and increased numbers of mast cells in the terminal ileum in patients with irritable bowel syndrome. World J Gastroenterol. 13:6041–6047. 2007. View Article : Google Scholar : PubMed/NCBI

98 

Park JH, Rhee PL, Kim G, et al: Enteroendocrine cell counts correlate with visceral hypersensitivity in patients with diarrhoea-predominant irritable bowel syndrome. Neurogastroenterol Motil. 18:539–546. 2006. View Article : Google Scholar : PubMed/NCBI

99 

Coates MD, Mahoney CR, Linden DR, et al: Molecular defects in mucosal serotonin content and decreased serotonin reuptake transporter in ulcerative colitis and irritable bowel syndrome. Gastroenterology. 126:1657–1664. 2004. View Article : Google Scholar : PubMed/NCBI

100 

El-Salhy M, Wendelbo I and Gundersen D: Serotonin and serotonin transporter in the rectum of patients with irritable bowel disease. Mol Med Rep. 8:451–455. 2013.PubMed/NCBI

101 

Hotoleanu C, Popp R, Trifa AP, Nedelcu L and Dumitrascu DL: Genetic determination of irritable bowel syndrome. World J Gastroenterol. 14:6636–6640. 2008. View Article : Google Scholar : PubMed/NCBI

102 

Whorwell PJ, McCallum M, Creed FH and Roberts CT: Non-colonic features of irritable bowel syndrome. Gut. 27:37–40. 1986. View Article : Google Scholar : PubMed/NCBI

103 

Locke GR III, Zinsmeister AR, Talley NJ, Fett SL and Melton LJ III: Familial association in adults with functional gastrointestinal disorders. Mayo Clin Proc. 75:907–912. 2000. View Article : Google Scholar : PubMed/NCBI

104 

Kalantar JS, Locke GR III, Zinsmeister AR, Beighley CM and Talley NJ: Familial aggregation of irritable bowel syndrome: a prospective study. Gut. 52:1703–1707. 2003. View Article : Google Scholar : PubMed/NCBI

105 

Kanazawa M, Endo Y, Whitehead WE, Kano M, Hongo M and Fukudo S: Patients and nonconsulters with irritable bowel syndrome reporting a parental history of bowel problems have more impaired psychological distress. Dig Dis Sci. 49:1046–1053. 2004. View Article : Google Scholar : PubMed/NCBI

106 

Morris-Yates A, Talley NJ, Boyce PM, Nandurkar S and Andrews G: Evidence of a genetic contribution to functional bowel disorder. Am J Gastroenterol. 93:1311–1317. 1998. View Article : Google Scholar : PubMed/NCBI

107 

Levy RL, Jones KR, Whitehead WE, Feld SI, Talley NJ and Corey LA: Irritable bowel syndrome in twins: heredity and social learning both contribute to etiology. Gastroenterology. 121:799–804. 2001. View Article : Google Scholar : PubMed/NCBI

108 

Lembo A, Zaman M, Jones M and Talley NJ: Influence of genetics on irritable bowel syndrome, gastro-oesophageal reflux and dyspepsia: a twin study. Aliment Pharmacol Ther. 25:1343–1350. 2007. View Article : Google Scholar : PubMed/NCBI

109 

Wojczynski MK, North KE, Pedersen NL and Sullivan PF: Irritable bowel syndrome: a co-twin control analysis. Am J Gastroenterol. 102:2220–2229. 2007. View Article : Google Scholar : PubMed/NCBI

110 

Bengtson MB, Ronning T, Vatn MH and Harris JR: Irritable bowel syndrome in twins: genes and environment. Gut. 55:1754–1759. 2006. View Article : Google Scholar : PubMed/NCBI

111 

Mohammed I, Cherkas LF, Riley SA, Spector TD and Trudgill NJ: Genetic influences in irritable bowel syndrome: a twin study. Am J Gastroenterol. 100:1340–1344. 2005. View Article : Google Scholar : PubMed/NCBI

112 

Akiho H, Ihara E and Nakamura K: Low-grade inflammation plays a pivotal role in gastrointestinal dysfunction in irritable bowel syndrome. World J Gastrointest Pathophysiol. 1:97–105. 2010. View Article : Google Scholar : PubMed/NCBI

113 

Wouters MM and Boeckxstaens GE: Neuroimmune mechanisms in functional bowel disorders. Neth J Med. 69:55–61. 2011.PubMed/NCBI

114 

Kuwahara A, Kuramoto H and Kadowaki M: 5-HT activates nitric oxide-generating neurons to stimulate chloride secretion in guinea pig distal colon. Am J Physiol. 275:G829–G834. 1998.PubMed/NCBI

115 

Gershon MD: Plasticity in serotonin control mechanisms in the gut. Curr Opin Pharmacol. 3:600–607. 2003. View Article : Google Scholar

116 

Zar S, Benson MJ and Kumar D: Food-specific serum IgG4 and IgE titers to common food antigens in irritable bowel syndrome. Am J Gastroenterol. 100:1550–1557. 2005. View Article : Google Scholar : PubMed/NCBI

117 

Zar S, Kumar D and Benson MJ: Food hypersensitivity and irritable bowel syndrome. Aliment Pharmacol Ther. 15:439–449. 2001. View Article : Google Scholar : PubMed/NCBI

118 

Park MI and Camilleri M: Is there a role of food allergy in irritable bowel syndrome and functional dyspepsia? A systematic review. Neurogastroenterol Motil. 18:595–607. 2006. View Article : Google Scholar : PubMed/NCBI

119 

Uz E, Turkay C, Aytac S and Bavbek N: Risk factors for irritable bowel syndrome in Turkish population: role of food allergy. J Clin Gastroenterol. 41:380–383. 2007. View Article : Google Scholar : PubMed/NCBI

120 

Dainese R, Galliani EA, De Lazzari F, Di Leo V and Naccarato R: Discrepancies between reported food intolerance and sensitization test findings in irritable bowel syndrome patients. Am J Gastroenterol. 94:1892–1897. 1999. View Article : Google Scholar : PubMed/NCBI

121 

Bischoff S and Crowe SE: Gastrointestinal food allergy: new insights into pathophysiology and clinical perspectives. Gastroenterology. 128:1089–1113. 2005. View Article : Google Scholar : PubMed/NCBI

122 

Murch S: Allergy and intestinal dysmotility--evidence of genuine causal linkage? Curr Opin Gastroenterol. 22:664–668. 2006. View Article : Google Scholar : PubMed/NCBI

123 

Gui XY: Mast cells: a possible link between psychological stress, enteric infection, food allergy and gut hypersensitivity in the irritable bowel syndrome. J Gastroenterol Hepatol. 13:980–989. 1998. View Article : Google Scholar : PubMed/NCBI

124 

Teufel M, Biedermann T, Rapps N, et al: Psychological burden of food allergy. World J Gastroenterol. 13:3456–3465. 2007. View Article : Google Scholar : PubMed/NCBI

125 

Walker MM and Talley NJ: Functional gastrointestinal disorders and the potential role of eosinophils. Gastroenterol Clin North Am. 37:383–395. vi2008. View Article : Google Scholar : PubMed/NCBI

126 

Petitpierre M, Gumowski P and Girard JP: Irritable bowel syndrome and hypersensitivity to food. Ann Allergy. 54:538–540. 1985.PubMed/NCBI

127 

Tobin MC, Moparty B, Farhadi A, DeMeo MT, Bansal PJ and Keshavarzian A: Atopic irritable bowel syndrome: a novel subgroup of irritable bowel syndrome with allergic manifestations. Ann Allergy Asthma Immunol. 100:49–53. 2008. View Article : Google Scholar : PubMed/NCBI

128 

Atkinson W, Sheldon TA, Shaath N and Whorwell PJ: Food elimination based on IgG antibodies in irritable bowel syndrome: a randomised controlled trial. Gut. 53:1459–1464. 2004. View Article : Google Scholar : PubMed/NCBI

129 

Whorwell PJ: The growing case for an immunological component to irritable bowel syndrome. Clin Exp Allergy. 37:805–807. 2007. View Article : Google Scholar : PubMed/NCBI

130 

Hunter JO: Food elimination in IBS: the case for IgG testing remains doubtful. Gut. 54:1203author reply 1203. 2005.PubMed/NCBI

131 

Beyer K and Teuber SS: Food allergy diagnostics: scientific and unproven procedures. Curr Opin Allergy Clin Immunol. 5:261–266. 2005. View Article : Google Scholar : PubMed/NCBI

132 

Choung RS, Branda ME, Chitkara D, et al: Longitudinal direct medical costs associated with constipation in women. Aliment Pharmacol Ther. 33:251–260. 2011. View Article : Google Scholar : PubMed/NCBI

133 

Ortolani C, Bruijnzeel-Koomen C, Bengtsson U, et al: Controversial aspects of adverse reactions to food. European Academy of Allergology and Clinical Immunology (EAACI) Reactions to Food Subcommittee. Allergy. 54:27–45. 1999. View Article : Google Scholar : PubMed/NCBI

134 

Frissora CL and Koch KL: Symptom overlap and comorbidity of irritable bowel syndrome with other conditions. Curr Gastroenterol Rep. 7:264–271. 2005. View Article : Google Scholar : PubMed/NCBI

135 

El-Salhy M, Lomholt-Beck B and Gundersen D: The prevalence of celiac disease in patients with irritable bowel syndrome. Mol Med Rep. 4:403–405. 2011.PubMed/NCBI

136 

Catassi C, Kryszak D, Louis-Jacques O, et al: Detection of Celiac disease in primary care: a multicenter case-finding study in North America. Am J Gastroenterol. 102:1454–1460. 2007. View Article : Google Scholar : PubMed/NCBI

137 

Fasano A, Berti I, Gerarduzzi T, et al: Prevalence of celiac disease in at-risk and not-at-risk groups in the United States: a large multicenter study. Arch Intern Med. 163:286–292. 2003. View Article : Google Scholar : PubMed/NCBI

138 

van der Wouden EJ, Nelis GF and Vecht J: Screening for coeliac disease in patients fulfilling the Rome II criteria for irritable bowel syndrome in a secondary care hospital in The Netherlands: a prospective observational study. Gut. 56:444–445. 2007.PubMed/NCBI

139 

Locke GR III, Murray JA, Zinsmeister AR, Melton LJ III and Talley NJ: Celiac disease serology in irritable bowel syndrome and dyspepsia: a population-based case-control study. Mayo Clin Proc. 79:476–482. 2004. View Article : Google Scholar

140 

Hin H, Bird G, Fisher P, Mahy N and Jewell D: Coeliac disease in primary care: case finding study. BMJ. 318:164–167. 1999. View Article : Google Scholar : PubMed/NCBI

141 

Shahbazkhani B, Forootan M, Merat S, et al: Coeliac disease presenting with symptoms of irritable bowel syndrome. Aliment Pharmacol Ther. 18:231–235. 2003. View Article : Google Scholar : PubMed/NCBI

142 

Korkut E, Bektas M, Oztas E, Kurt M, Cetinkaya H and Ozden A: The prevalence of celiac disease in patients fulfilling Rome III criteria for irritable bowel syndrome. Eur J Intern Med. 21:389–392. 2010. View Article : Google Scholar : PubMed/NCBI

143 

Sanders DS, Patel D, Stephenson TJ, et al: A primary care cross-sectional study of undiagnosed adult coeliac disease. Eur J Gastroenterol Hepatol. 15:407–413. 2003. View Article : Google Scholar : PubMed/NCBI

144 

Verdu EF, Armstrong D and Murray JA: Between celiac disease and irritable bowel syndrome: the ‘no man’s land’ of gluten sensitivity. Am J Gastroenterol. 104:1587–1594. 2009.

145 

Wahnschaffe U, Schulzke JD, Zeitz M and Ullrich R: Predictors of clinical response to gluten-free diet in patients diagnosed with diarrhea-predominant irritable bowel syndrome. Clin Gastroenterol Hepatol. 5:844–850; quiz 769. 2007. View Article : Google Scholar : PubMed/NCBI

146 

Carroccio A, Mansueto P, Iacono G, et al: Non-celiac wheat sensitivity diagnosed by double-blind placebo-controlled challenge: exploring a new clinical entity. Am J Gastroenterol. 107:1898–1906; quiz 1907. 2012. View Article : Google Scholar : PubMed/NCBI

147 

Aziz I and Sanders DS: Emerging concepts: from coeliac disease to non-coeliac gluten sensitivity. Proc Nutr Soc. 71:576–580. 2012. View Article : Google Scholar

148 

Newnham ED: Does gluten cause gastrointestinal symptoms in subjects without coeliac disease? J Gastroenterol Hepatol. 26(Suppl 3): S132–S134. 2011. View Article : Google Scholar : PubMed/NCBI

149 

Biesiekierski JR, Peters SL, Newnham ED, Rosella O, Muir JG and Gibson PR: No effects of gluten in patients with self-reported non-celiac gluten sensitivity after dietary reduction of fermentable, poorly absorbed, short-chain carbohydrates. Gastroenterology. 145:320–328. e3232013. View Article : Google Scholar

150 

Mazzawi T, Hausken T, Gundersen D and El-Salhy M: Effects of dietary guidance on the symptoms, quality of life and habitual dietary intake of patients with irritable bowel syndrome. Mol Med Rep. 8:845–852. 2013.PubMed/NCBI

151 

El-Salhy M, Lilbo E, Reinemo A, Salmeøid L and Hausken T: Effects of a health program comprising reassurance, diet management, probiotic administration and regular exercise on symptoms and quality of life in patients with irritable bowel syndrome. Gastroenterol Insights. 2:21–26. 2010.

152 

Posserud I, Syrous A, Lindstrom L, Tack J, Abrahamsson H and Simren M: Altered rectal perception in irritable bowel syndrome is associated with symptom severity. Gastroenterology. 133:1113–1123. 2007. View Article : Google Scholar : PubMed/NCBI

153 

Ritchie J: Pain from distension of the pelvic colon by inflating a balloon in the irritable colon syndrome. Gut. 14:125–132. 1973. View Article : Google Scholar : PubMed/NCBI

154 

Mertz H, Naliboff B, Munakata J, Niazi N and Mayer EA: Altered rectal perception is a biological marker of patients with irritable bowel syndrome. Gastroenterology. 109:40–52. 1995. View Article : Google Scholar : PubMed/NCBI

155 

Whitehead WE and Palsson OS: Is rectal pain sensitivity a biological marker for irritable bowel syndrome: psychological influences on pain perception. Gastroenterology. 115:1263–1271. 1998. View Article : Google Scholar : PubMed/NCBI

156 

Whitehead WE, Holtkotter B, Enck P, et al: Tolerance for rectosigmoid distention in irritable bowel syndrome. Gastroenterology. 98:1187–1192. 1990.PubMed/NCBI

157 

Bouin M, Plourde V, Boivin M, et al: Rectal distention testing in patients with irritable bowel syndrome: sensitivity, specificity, and predictive values of pain sensory thresholds. Gastroenterology. 122:1771–1777. 2002. View Article : Google Scholar

158 

Bradette M, Delvaux M, Staumont G, Fioramonti J, Bueno L and Frexinos J: Evaluation of colonic sensory thresholds in IBS patients using a barostat. Definition of optimal conditions and comparison with healthy subjects. Dig Dis Sci. 39:449–457. 1994. View Article : Google Scholar : PubMed/NCBI

159 

Camilleri M, McKinzie S, Busciglio I, et al: Prospective study of motor, sensory, psychologic, and autonomic functions in patients with irritable bowel syndrome. Clin Gastroenterol Hepatol. 6:772–781. 2008. View Article : Google Scholar : PubMed/NCBI

160 

Costantini M, Sturniolo GC, Zaninotto G, et al: Altered esophageal pain threshold in irritable bowel syndrome. Dig Dis Sci. 38:206–212. 1993. View Article : Google Scholar : PubMed/NCBI

161 

Trimble KC, Farouk R, Pryde A, Douglas S and Heading RC: Heightened visceral sensation in functional gastrointestinal disease is not site-specific. Evidence for a generalized disorder of gut sensitivity. Dig Dis Sci. 40:1607–1613. 1995. View Article : Google Scholar : PubMed/NCBI

162 

Zighelboim J, Talley NJ, Phillips SF, Harmsen WS and Zinsmeister AR: Visceral perception in irritable bowel syndrome. Rectal and gastric responses to distension and serotonin type 3 antagonism. Dig Dis Sci. 40:819–827. 1995. View Article : Google Scholar : PubMed/NCBI

163 

Accarino AM, Azpiroz F and Malagelada JR: Selective dysfunction of mechanosensitive intestinal afferents in irritable bowel syndrome. Gastroenterology. 108:636–643. 1995. View Article : Google Scholar : PubMed/NCBI

164 

Kanazawa M, Hongo M and Fukudo S: Visceral hypersensitivity in irritable bowel syndrome. J Gastroenterol Hepatol. 26(Suppl 3): S119–S121. 2011. View Article : Google Scholar

165 

Whorwell PJ, Clouter C and Smith CL: Oesophageal motility in the irritable bowel syndrome. Br Med J (Clin Res Ed). 282:1101–1102. 1981. View Article : Google Scholar : PubMed/NCBI

166 

Clouse RE and Eckert TC: Gastrointestinal symptoms of patients with esophageal contraction abnormalities. Dig Dis Sci. 31:236–240. 1986. View Article : Google Scholar

167 

Soffer EE, Scalabrini P, Pope CE II and Wingate DL: Effect of stress on oesophageal motor function in normal subjects and in patients with the irritable bowel syndrome. Gut. 29:1591–1594. 1988. View Article : Google Scholar : PubMed/NCBI

168 

Lind CD: Motility disorders in the irritable bowel syndrome. Gastroenterol Clin North Am. 20:279–295. 1991.PubMed/NCBI

169 

Lee OY: Asian motility studies in irritable bowel syndrome. J Neurogastroenterol Motil. 16:120–130. 2010. View Article : Google Scholar : PubMed/NCBI

170 

van Wijk HJ, Smout AJ, Akkermans LM, Roelofs JM and ten Thije OJ: Gastric emptying and dyspeptic symptoms in the irritable bowel syndrome. Scand J Gastroenterol. 27:99–102. 1992.PubMed/NCBI

171 

Charles F, Phillips SF, Camilleri M and Thomforde GM: Rapid gastric emptying in patients with functional diarrhea. Mayo Clin Proc. 72:323–328. 1997. View Article : Google Scholar : PubMed/NCBI

172 

Caballero-Plasencia AM, Valenzuela-Barranco M, Herrerias-Gutierrez JM and Esteban-Carretero JM: Altered gastric emptying in patients with irritable bowel syndrome. Eur J Nucl Med. 26:404–409. 1999. View Article : Google Scholar : PubMed/NCBI

173 

Portincasa P, Moschetta A, Baldassarre G, Altomare DF and Palasciano G: Pan-enteric dysmotility, impaired quality of life and alexithymia in a large group of patients meeting ROME II criteria for irritable bowel syndrome. World J Gastroenterol. 9:2293–2299. 2003.PubMed/NCBI

174 

Stanghellini V, Tosetti C, Barbara G, et al: Dyspeptic symptoms and gastric emptying in the irritable bowel syndrome. Am J Gastroenterol. 97:2738–2743. 2002. View Article : Google Scholar : PubMed/NCBI

175 

Leahy A, Besherdas K, Clayman C, Mason I and Epstein O: Abnormalities of the electrogastrogram in functional gastrointestinal disorders. Am J Gastroenterol. 94:1023–1028. 1999. View Article : Google Scholar : PubMed/NCBI

176 

Evans PR, Bak YT, Shuter B, Hoschl R and Kellow JE: Gastroparesis and small bowel dysmotility in irritable bowel syndrome. Dig Dis Sci. 42:2087–2093. 1997. View Article : Google Scholar : PubMed/NCBI

177 

Nielsen OH, Gjorup T and Christensen FN: Gastric emptying rate and small bowel transit time in patients with irritable bowel syndrome determined with 99mTc-labeled pellets and scintigraphy. Dig Dis Sci. 31:1287–1291. 1986. View Article : Google Scholar : PubMed/NCBI

178 

Narducci F, Bassotti G, Granata MT, et al: Colonic motility and gastric emptying in patients with irritable bowel syndrome. Effect of pretreatment with octylonium bromide. Dig Dis Sci. 31:241–246. 1986. View Article : Google Scholar : PubMed/NCBI

179 

Acharya U, Waite N, Howlett P, Tanner AR and Smith CL: Failure to demonstrate altered gastric emptying in irritable bowel syndrome. Dig Dis Sci. 28:889–892. 1983. View Article : Google Scholar

Related Articles

  • Abstract
  • View
  • Download
  • Twitter
Copy and paste a formatted citation
Spandidos Publications style
El-Salhy M, Gilja OH, Gundersen D, Hatlebakk JG and Hausken T: Interaction between ingested nutrients and gut endocrine cells in patients with irritable bowel syndrome (Review). Int J Mol Med 34: 363-371, 2014.
APA
El-Salhy, M., Gilja, O.H., Gundersen, D., Hatlebakk, J.G., & Hausken, T. (2014). Interaction between ingested nutrients and gut endocrine cells in patients with irritable bowel syndrome (Review). International Journal of Molecular Medicine, 34, 363-371. https://doi.org/10.3892/ijmm.2014.1811
MLA
El-Salhy, M., Gilja, O. H., Gundersen, D., Hatlebakk, J. G., Hausken, T."Interaction between ingested nutrients and gut endocrine cells in patients with irritable bowel syndrome (Review)". International Journal of Molecular Medicine 34.2 (2014): 363-371.
Chicago
El-Salhy, M., Gilja, O. H., Gundersen, D., Hatlebakk, J. G., Hausken, T."Interaction between ingested nutrients and gut endocrine cells in patients with irritable bowel syndrome (Review)". International Journal of Molecular Medicine 34, no. 2 (2014): 363-371. https://doi.org/10.3892/ijmm.2014.1811
Copy and paste a formatted citation
x
Spandidos Publications style
El-Salhy M, Gilja OH, Gundersen D, Hatlebakk JG and Hausken T: Interaction between ingested nutrients and gut endocrine cells in patients with irritable bowel syndrome (Review). Int J Mol Med 34: 363-371, 2014.
APA
El-Salhy, M., Gilja, O.H., Gundersen, D., Hatlebakk, J.G., & Hausken, T. (2014). Interaction between ingested nutrients and gut endocrine cells in patients with irritable bowel syndrome (Review). International Journal of Molecular Medicine, 34, 363-371. https://doi.org/10.3892/ijmm.2014.1811
MLA
El-Salhy, M., Gilja, O. H., Gundersen, D., Hatlebakk, J. G., Hausken, T."Interaction between ingested nutrients and gut endocrine cells in patients with irritable bowel syndrome (Review)". International Journal of Molecular Medicine 34.2 (2014): 363-371.
Chicago
El-Salhy, M., Gilja, O. H., Gundersen, D., Hatlebakk, J. G., Hausken, T."Interaction between ingested nutrients and gut endocrine cells in patients with irritable bowel syndrome (Review)". International Journal of Molecular Medicine 34, no. 2 (2014): 363-371. https://doi.org/10.3892/ijmm.2014.1811
Follow us
  • Twitter
  • LinkedIn
  • Facebook
About
  • Spandidos Publications
  • Careers
  • Cookie Policy
  • Privacy Policy
How can we help?
  • Help
  • Live Chat
  • Contact
  • Email to our Support Team