Spandidos Publications Logo
  • About
    • About Spandidos
    • Aims and Scopes
    • Abstracting and Indexing
    • Editorial Policies
    • Reprints and Permissions
    • Job Opportunities
    • Terms and Conditions
    • Contact
  • Journals
    • All Journals
    • Oncology Letters
      • Oncology Letters
      • Information for Authors
      • Editorial Policies
      • Editorial Board
      • Aims and Scope
      • Abstracting and Indexing
      • Bibliographic Information
      • Archive
    • International Journal of Oncology
      • International Journal of Oncology
      • Information for Authors
      • Editorial Policies
      • Editorial Board
      • Aims and Scope
      • Abstracting and Indexing
      • Bibliographic Information
      • Archive
    • Molecular and Clinical Oncology
      • Molecular and Clinical Oncology
      • Information for Authors
      • Editorial Policies
      • Editorial Board
      • Aims and Scope
      • Abstracting and Indexing
      • Bibliographic Information
      • Archive
    • Experimental and Therapeutic Medicine
      • Experimental and Therapeutic Medicine
      • Information for Authors
      • Editorial Policies
      • Editorial Board
      • Aims and Scope
      • Abstracting and Indexing
      • Bibliographic Information
      • Archive
    • International Journal of Molecular Medicine
      • International Journal of Molecular Medicine
      • Information for Authors
      • Editorial Policies
      • Editorial Board
      • Aims and Scope
      • Abstracting and Indexing
      • Bibliographic Information
      • Archive
    • Biomedical Reports
      • Biomedical Reports
      • Information for Authors
      • Editorial Policies
      • Editorial Board
      • Aims and Scope
      • Abstracting and Indexing
      • Bibliographic Information
      • Archive
    • Oncology Reports
      • Oncology Reports
      • Information for Authors
      • Editorial Policies
      • Editorial Board
      • Aims and Scope
      • Abstracting and Indexing
      • Bibliographic Information
      • Archive
    • Molecular Medicine Reports
      • Molecular Medicine Reports
      • Information for Authors
      • Editorial Policies
      • Editorial Board
      • Aims and Scope
      • Abstracting and Indexing
      • Bibliographic Information
      • Archive
    • World Academy of Sciences Journal
      • World Academy of Sciences Journal
      • Information for Authors
      • Editorial Policies
      • Editorial Board
      • Aims and Scope
      • Abstracting and Indexing
      • Bibliographic Information
      • Archive
    • International Journal of Functional Nutrition
      • International Journal of Functional Nutrition
      • Information for Authors
      • Editorial Policies
      • Editorial Board
      • Aims and Scope
      • Abstracting and Indexing
      • Bibliographic Information
      • Archive
    • International Journal of Epigenetics
      • International Journal of Epigenetics
      • Information for Authors
      • Editorial Policies
      • Editorial Board
      • Aims and Scope
      • Abstracting and Indexing
      • Bibliographic Information
      • Archive
    • Medicine International
      • Medicine International
      • Information for Authors
      • Editorial Policies
      • Editorial Board
      • Aims and Scope
      • Abstracting and Indexing
      • Bibliographic Information
      • Archive
  • Articles
  • Information
    • Information for Authors
    • Information for Reviewers
    • Information for Librarians
    • Information for Advertisers
    • Conferences
  • Language Editing
Spandidos Publications Logo
  • About
    • About Spandidos
    • Aims and Scopes
    • Abstracting and Indexing
    • Editorial Policies
    • Reprints and Permissions
    • Job Opportunities
    • Terms and Conditions
    • Contact
  • Journals
    • All Journals
    • Biomedical Reports
      • Information for Authors
      • Editorial Policies
      • Editorial Board
      • Aims and Scope
      • Abstracting and Indexing
      • Bibliographic Information
      • Archive
    • Experimental and Therapeutic Medicine
      • Information for Authors
      • Editorial Policies
      • Editorial Board
      • Aims and Scope
      • Abstracting and Indexing
      • Bibliographic Information
      • Archive
    • International Journal of Epigenetics
      • Information for Authors
      • Editorial Policies
      • Editorial Board
      • Aims and Scope
      • Abstracting and Indexing
      • Bibliographic Information
      • Archive
    • International Journal of Functional Nutrition
      • Information for Authors
      • Editorial Policies
      • Editorial Board
      • Aims and Scope
      • Abstracting and Indexing
      • Bibliographic Information
      • Archive
    • International Journal of Molecular Medicine
      • Information for Authors
      • Editorial Policies
      • Editorial Board
      • Aims and Scope
      • Abstracting and Indexing
      • Bibliographic Information
      • Archive
    • International Journal of Oncology
      • Information for Authors
      • Editorial Policies
      • Editorial Board
      • Aims and Scope
      • Abstracting and Indexing
      • Bibliographic Information
      • Archive
    • Medicine International
      • Information for Authors
      • Editorial Policies
      • Editorial Board
      • Aims and Scope
      • Abstracting and Indexing
      • Bibliographic Information
      • Archive
    • Molecular and Clinical Oncology
      • Information for Authors
      • Editorial Policies
      • Editorial Board
      • Aims and Scope
      • Abstracting and Indexing
      • Bibliographic Information
      • Archive
    • Molecular Medicine Reports
      • Information for Authors
      • Editorial Policies
      • Editorial Board
      • Aims and Scope
      • Abstracting and Indexing
      • Bibliographic Information
      • Archive
    • Oncology Letters
      • Information for Authors
      • Editorial Policies
      • Editorial Board
      • Aims and Scope
      • Abstracting and Indexing
      • Bibliographic Information
      • Archive
    • Oncology Reports
      • Information for Authors
      • Editorial Policies
      • Editorial Board
      • Aims and Scope
      • Abstracting and Indexing
      • Bibliographic Information
      • Archive
    • World Academy of Sciences Journal
      • Information for Authors
      • Editorial Policies
      • Editorial Board
      • Aims and Scope
      • Abstracting and Indexing
      • Bibliographic Information
      • Archive
  • Articles
  • Information
    • For Authors
    • For Reviewers
    • For Librarians
    • For Advertisers
    • Conferences
  • Language Editing
Login Register Submit
  • This site uses cookies
  • You can change your cookie settings at any time by following the instructions in our Cookie Policy. To find out more, you may read our Privacy Policy.

    I agree
Search articles by DOI, keyword, author or affiliation
Search
Advanced Search
presentation
International Journal of Molecular Medicine
Join Editorial Board Propose a Special Issue
Print ISSN: 1107-3756 Online ISSN: 1791-244X
Journal Cover
February-2015 Volume 35 Issue 2

Full Size Image

Sign up for eToc alerts
Recommend to Library

Journals

International Journal of Molecular Medicine

International Journal of Molecular Medicine

International Journal of Molecular Medicine is an international journal devoted to molecular mechanisms of human disease.

International Journal of Oncology

International Journal of Oncology

International Journal of Oncology is an international journal devoted to oncology research and cancer treatment.

Molecular Medicine Reports

Molecular Medicine Reports

Covers molecular medicine topics such as pharmacology, pathology, genetics, neuroscience, infectious diseases, molecular cardiology, and molecular surgery.

Oncology Reports

Oncology Reports

Oncology Reports is an international journal devoted to fundamental and applied research in Oncology.

Experimental and Therapeutic Medicine

Experimental and Therapeutic Medicine

Experimental and Therapeutic Medicine is an international journal devoted to laboratory and clinical medicine.

Oncology Letters

Oncology Letters

Oncology Letters is an international journal devoted to Experimental and Clinical Oncology.

Biomedical Reports

Biomedical Reports

Explores a wide range of biological and medical fields, including pharmacology, genetics, microbiology, neuroscience, and molecular cardiology.

Molecular and Clinical Oncology

Molecular and Clinical Oncology

International journal addressing all aspects of oncology research, from tumorigenesis and oncogenes to chemotherapy and metastasis.

World Academy of Sciences Journal

World Academy of Sciences Journal

Multidisciplinary open-access journal spanning biochemistry, genetics, neuroscience, environmental health, and synthetic biology.

International Journal of Functional Nutrition

International Journal of Functional Nutrition

Open-access journal combining biochemistry, pharmacology, immunology, and genetics to advance health through functional nutrition.

International Journal of Epigenetics

International Journal of Epigenetics

Publishes open-access research on using epigenetics to advance understanding and treatment of human disease.

Medicine International

Medicine International

An International Open Access Journal Devoted to General Medicine.

Journal Cover
February-2015 Volume 35 Issue 2

Full Size Image

Sign up for eToc alerts
Recommend to Library

  • Article
  • Citations
    • Cite This Article
    • Download Citation
    • Create Citation Alert
    • Remove Citation Alert
    • Cited By
  • Similar Articles
    • Related Articles (in Spandidos Publications)
    • Similar Articles (Google Scholar)
    • Similar Articles (PubMed)
  • Download PDF
  • Download XML
  • View XML
Article

Effects of lactic acid bacteria on cardiac apoptosis are mediated by activation of the phosphatidylinositol-3 kinase/AKT survival-signalling pathway in rats fed a high-fat diet

  • Authors:
    • Hsueh‑Fang Wang
    • Pei‑Pei Lin
    • Chun‑Hua Chen
    • Yu‑Lan Yeh
    • Chun‑Chih Huang
    • Chih‑Yang Huang
    • Cheng‑Chih Tsai
  • View Affiliations / Copyright

    Affiliations: Institute of Biomedical Nutrition, Hungkuang University, Taichung 43302, Taiwan, R.O.C., Graduate Institute of Clinical Medical Science, China Medical University, Taichung 40402, Taiwan, R.O.C., Department of Pathology, Changhua Christian Hospital, Changhua 50006, Taiwan, R.O.C., New Bellus Enterprise Co, Ltd., Tainan 72042, Taiwan, R.O.C., Department of Healthcare Administration, Asia University, Taichung 41354, Taiwan, R.O.C., Department of Food Science and Technology, Hungkuang University, Taichung 43302, Taiwan, R.O.C.
  • Pages: 460-470
    |
    Published online on: December 4, 2014
       https://doi.org/10.3892/ijmm.2014.2021
  • Expand metrics +
Metrics: Total Views: 0 (Spandidos Publications: | PMC Statistics: )
Metrics: Total PDF Downloads: 0 (Spandidos Publications: | PMC Statistics: )
Cited By (CrossRef): 0 citations Loading Articles...

This article is mentioned in:



Abstract

Through a high-fat diet, obesity leads to cardiomyocyte dysfunction and apoptosis. In addition, there is no evidence that probiotics have potential health effects associated with cardiac apoptosis in obese rats. The present study aimed to explore the effects of probiotics on obesity and cardiac apoptosis in rats fed a high-fat diet (HF). Eight‑week‑old male Wistar rats were separated randomly into five equally sized experimental groups: Normal diet (NC) and high-fat diet (HFC) groups, and high-fat diet supplemented with low (HFL), medium (HFM) or high (HFH) doses of multi‑strain probiotics groups. The rats were subsequently studied for 8 weeks. Food intake and body weights were recorded following sacrifice, and food utilization rates, body fat and serum cholesterol levels were analysed. The myocardial architecture of the left ventricle was evaluated by hematoxylin‑eosin staining, and key apoptotic‑related pathway molecules were analysed by western blotting. Rat weights and triglyceride levels were decreased with oral administration of high doses of probiotics (HFH) compared to the HFC group. Abnormal myocardial architecture and enlarged interstitial spaces were observed in HFC hearts, but were significantly decreased in groups that were provided multi‑strain probiotics compared with NC hearts. Western blot analysis demonstrated that key components of the Fas receptor‑ and mitochondrial‑dependent apoptotic pathways were significantly suppressed in multi‑strain probiotic treated groups compared to the HF group. Additionally, cardiac insulin, such as the insulin‑like growth factor I receptor (IGFIR)‑dependent survival signalling components, were highly induced in left ventricles from rats administered probiotics. Together, these findings strongly suggest that oral administration of probiotics may attenuate cardiomyocyte apoptosis by activation of the phosphatidylinositol‑3 kinase/AKT survival‑signalling pathway in obese rats.

Introduction

Obesity is associated with numerous cardiovascular diseases (CVD). Hyperlipidemia, inflammation, oxidative stress, myocardial apoptosis, lipid metabolic disorders and insulin resistance are all important pathological factors associated with increased CVD in diabetic and obese patients (1–4).

High fat intake often leads to obesity, insulin resistance and hypertension, which are common and detrimental health problems (5). The precise mechanism underlying obesity-driven tissue damage in mice and rats fed a high-fat diet involves caspase activation and apoptosis leading to cardiac dysfunction (5,6). Furthermore, enhancement of the apoptotic response in cardiomyocytes was accompanied by increased mitochondrial damage and decreased survival rates for genetically obese mice (7). Apoptosis is a known mechanism for the elimination of redundant cells, and it may inhibit cell proliferation. Additionally, it has been suggested that apoptosis plays a critical role in cardiac disorder pathogenesis (8–10). Fas- and mitochondrial-dependent apoptotic pathways are considered to be major pathways causing cardiac apoptosis (11,12). Elevated activity of the cardiac Fas-dependent apoptotic pathway has been observed in obese Zucker rats (13). Fas ligand and death receptor protein levels, as well as activities of caspase-8 and caspase-3, were significantly upregulated in hearts from obese rats, suggesting the involvement of Fas receptor-dependent apoptosis in obesity-associated heart disease (13). Lu et al (14) observed an increase in cardiac mitochondrial-dependent apoptotic activity in obese rats, shown by increased levels of Bad and cytochrome c release in hearts, as well as suppressed expression of the anti-apoptotic factor B-cell lymphoma 2 (Bcl-2). Furthermore, levels of activated caspase-9 and caspase-3 were increased in hearts from obese Zucker rats, suggesting the involvement of the mitochondrial-dependent apoptotic pathway.

Previous evidence indicates that insulin-like growth hormone (IGF-I) signalling contributes to the modulation of cardiomyocyte survival responses, and low IGF-I levels are associated with a high risk for myocardial infarction and heart failure (15,16). IGF-I is the survival factor used for IGF-1 receptor (IGF-IR) activation of the phosphatidylinositol-3 kinase/Akt (PI3K/AKT) pathway, and it is considered to prevent myocyte apoptosis (17). In particular, activated PI3K promotes phosphorylation of Akt to form p-Akt (18), which in turn regulates the activity of phosphorylated-BAD (p-Bad) and Bcl-2 to inhibit cardiomyocyte apoptotic activity (15). An earlier study demonstrated that a high-fat diet led to decreased circulating IGF-1 levels, and exogenous IGF-1 treatment alleviated cardiac dysfunction induced by the high-fat diet (19).

For obese mice, reduction of body fat attenuated apoptosis, oxidative stress and inflammation, leading to the rescue of the left ventricular remodelling and heart dysfunction (20). Recent studies have indicated that dietary probiotic supplementation may alter low density lipoprotein (LDL) cholesterol levels, and reduce weight gain and body fat (21–23). The use of probiotics or probiotic fermentation products to manipulate the composition of the gut microbial ecosystem may be a novel approach for treatment of obesity and to affect the risk of cardiovascular disease (24). The mechanisms used by probiotics to protect the hearts of obese rats are unclear, although evidence suggests that probiotics may have more powerful effects on weight and body fat (22,23). The purpose of the present study was to confirm the potential benefits of probiotics on cardiac apoptotic pathways through enhancement of PI3K/AKT survival signalling pathway activity in rats with obesity induced by a high-fat diet.

Materials and methods

Animals and experimental groups

Fifty 8-week-old male Wistar rats were purchased from the National Laboratory Animal Centre in Taipei, Taiwan. Animals were housed individually in a temperature- and humidity-controlled environment at 20±2°C and 55±5% humidity. The rats were maintained on a 12-h dark-light cycle with lights on from 8 AM to 8 PM and provided chow pellets (AIN-76; Young Li Trading Co. Ltd., Taipei, Taiwan) and water ad libitum during an eight-week acclimatisation period. The rats were randomly divided into five groups: Normal control (NC), high-fat diet with 15.47% butter powder (HFC), and high-fat diet with 15.47% butter powder and low (78 mg/kg BW/day 4.18×105 CFU/ml, HFL), medium (390 mg/kg BW/day 4.22×106 CFU/ml, HFM) or high (1950 mg/kg BW/day 4.48×107 CFU/ml, HFH) doses of multi-strain probiotics. Multi strain probiotic powder was produced by freeze-drying and obtained from New Bellus Enterprise Co., Ltd (Tainan, Taiwan). Animal weights and food intake were recorded, and serum was collected for determination of triglycerides, cholesterol and LDL and high-density lipoprotein (HDL) concentrations. Following the 8-week experimental period, the rats were sacrificed. The entire experiment was performed according to the NIH Guide for the Care and Use of Laboratory Animals, and the protocol was approved by the Institutional Animal Care and Use Committee of Hungkuang University in Taichung, Taiwan.

Body weight, body fat and cardiac characteristics

Rats were weighed prior to being sacrificed by decapitation. Epididymal tissues, perirenal adipose tissues and hearts were removed, washed with double-distilled H2O and weighed prior to dehydration. The left and right sides of the atrium and ventricle were separated, and dry weights of whole heart and left ventricle were obtained. The ratios of the two measurements to rat body weight and the ratios of left ventricle weight to whole heart weight were calculated for each rat.

Cross-sectioning and hematoxylin and eosin staining

Following removal, hearts were fixed in formalin and covered with wax. Whole heart cross-sections were prepared and the optimal cross-sections were selected. Slides were prepared by first soaking for dehydration and were subsequently passed through a series of graded alcohols (100, 95 and 75%), with 15 min incubation in each solution. Slides were dyed with Mayer’s hematoxylin for 5–10 min and were washed with tap water for 10–20 min. Slides were subsequently soaked in mild warm water until they became bright violet, and were stained with eosin solution for 3–5 min. After gentle rinsing with water, slides were soaked for 15 min in 85% alcohol once and in 100% alcohol twice. Finally, slides were soaked in Xylene I and Xylene II. Photomicrographs were obtained using Zeiss Axiophot microscopes with magnification, ×200 (Olympus, Tokyo, Japan).

Masson trichrome staining

Animal hearts were excised, fixed in formalin and covered with wax. Slides were prepared by deparaffinisation and dehydration and were passed through a series of graded alcohols (100, 95 and 75%) with 15 min incubation in each solution. Slides were dyed with Masson trichrome, gently rinsed with water and soaked for 15 min in 85% alcohol once and in 100% alcohol twice. Finally, slides were soaked in Xylene I and Xylene II. Photomicrographs were obtained using Zeiss Axiophot microscopes (Zeiss, Oberkochen, Germany).

Tissue extraction

Left ventricles were cut into eight sections; one piece from each ventricle was minced with scissors and added to lysis buffer [20 mM Tris, 2.0 mM EDTA, 50 mM 2-mercaptoethanol and 10% glycerol (pH 7.4)] containing a proteinase inhibitor cocktail tablet and phosphatase inhibitor cocktail (Roche, Mannheim, Germany) at a final concentration of 100 mg tissue/ml buffer. Tissues were homogenized on ice using a Model PT l0/35 Polytron homogenizer with 2×10 sec cycles. Homogenates were placed on ice for 10 min and were subsequently centrifuged at 12,000 × g for 40 min. Finally, the supernatants were collected and stored at −70°C until western blot analysis.

Protein contents

Protein contents of the left ventricle extracts were determined using the Bradford protein assay with the protein-dye kit (Bio-Rad, Richmond, CA, USA). Bovine serum albumin (Sigma Chemical, St. Louis, MO, USA) was used for standards and absorption was monitored at 595 nm.

Electrophoresis and western blot analysis

Left ventricle extracts were prepared as described above and SDS-PAGE was performed using 10% polyacrylamide gels. Equal amounts (20 mg) of the samples were electrophoresed at 100 V for 3 h and equilibrated for 15 min in transfer buffer [25 mM Tris-HCl (pH 8.3), plus 192 mM glycine and 20% (v/v) methanol]. Following equilibration, proteins were transferred to polyvinylidene difluoride (PVDF) membranes (0.45-μm pore size) (Millipore, Bedford, MA, USA) using a transfer buffer and a Bio-Rad Scientific Instruments Transphor Unit at 100 V for 3 h. PVDF membranes were incubated at room temperature for 1 h in blocking buffer containing 100 mM Tris-Base, 0.9% (w/v) NaCl, 0.1% (v/v) Tween-20 (pH 7.4) and 5% skimmed milk. Monoclonal antibodies recognising p-Bad (Cat. no. sc-7999; Santa Cruz Biotechnology, Inc., Santa Cruz, CA, USA), phosphorylated-Akt (p-Akt) (Cat. no. 9271; Cell Signaling, Danvers, MA, USA), Bcl-2 (Cat. no. 610539; BD Biosciences Pharmingen, San Diego, CA, USA) and polyclonal antibodies recognising Fas (Cat. no. sc-7886), Fas-associated protein with death domain (FADD; Cat. no. sc-6035), Bid/t-Bid (Cat. no. sc-11423), Bcl-xL (Cat. no. sc-8392), phosphorylated-PI3K (p-PI3K; Cat. no. sc-12929), caspase-3 (Cat. no. sc-7148), caspase-9 (Cat. no. sc-8355), p-Bad (Cat. no. sc-7999), α-tubulin (Cat. no. sc-5286; Santa Cruz Biotechnology, Inc.), phosphorylated-IGFIR (p-IGFIR) (Cat. no. ab39398; Abcam, Taipei, Taiwan) and caspase-8 (Cat. no. AB1879; Chemicon, Temecula, CA, USA) were diluted in antibody-binding buffer containing 100 mM Tris-Base (pH 7.5), 0.9% (w/v) NaCl and 0.1% (v/v) Tween-20. Immunoblots were washed three times in binding buffer for 10 min and were subsequently immersed in a secondary antibody solution of goat anti-mouse immunoglobulin G (IgG)-horseradish peroxidase (HRP; Cat. no. SC-2005), goat anti-rabbit IgG-HRP (Cat. no. SC-2004) or donkey anti goat IgG-HRP (Cat. no. SC-2020; Santa Cruz Biotechnology, Inc.) diluted 500-fold in binding buffer for 1 h. The blots were washed three times with blotting buffer for 10 min per wash. The results were visualized using an enhanced chemiluminescence Western Blotting Luminal Reagent (Santa Cruz Biotechnology, Inc.) and quantified using a Fujifilm LAS-3000 chemiluminescence detection system (Tokyo, Japan). Blot colour was developed using 20 ml of a solution containing 7 mg nitroblue tetrazolium, 5 mg 5-bromo-4-chloro-3-indolyl-phosphate, 100 mM NaCl, 5 mM MgCl2 and 100 mM Tris-HCl (pH 9.5). As an internal control, the immunoblots were also probed with an antibody recognising α-tubulin prepared using the same procedure.

Statistical analysis

Statistical analyses were performed using SPSS 17.0 software (SPSS Inc., Chicago, IL, USA). Data were compared between groups of animals using one-way analysis of variance. Dunnett’s test was used to identify significant differences and P<0.05 was considered to indicate a statistically significant difference between the NC versus the HFC, HFL, HFM and HFH groups, and between the HFC versus the HFL, HFM and HFH groups. Significant differences are indicated by the symbols ‘a, b, c and d’ (in superscript) in the tables and figures.

Results

Body weight, food intake, water intake and feed efficiency

As shown in Table I, body weight, food intake, water intake and feed efficiency were not significantly different for any group during the experiment (Table I). By contrast, at the end of the experiment the food intake was significantly increased (2.62%) for the HFH group compared to the NC and HFC groups (P<0.05). Simultaneously, HFH group water intake increased 4.12% and feed efficiency decreased 12.25%, whereas there were no significant differences compared to the NC and HFC groups (Table I).

Table I

Effects of body weight, food intake and water intake on Wistar rats fed with a high-fat diet and different concentrations of mix lactic acid bacteria.

Table I

Effects of body weight, food intake and water intake on Wistar rats fed with a high-fat diet and different concentrations of mix lactic acid bacteria.

Number of animalsNormal
High-fat diet
NC (n=10)HFC (n=7)HFL (n=10)HFM (n=10)HFH (n=7)
Body weight, g
 Initial436.43±32.91451.70±39.81434.34±40.67431.53±40.30423.24±16.23
 Final511.24±14.54531.78±14.35523.75±11.47516.73±13.10495.93±14.44
 Change, %15.9316.3119.3918.3216.34
Food intake, g
 Initial29.96±1.13a22.97±2.36b23.16±2.91b22.76±2.63b21.11±0.55b
 Final28.32±1.76a21.60±1.61b21.43±1.54b21.40±1.69b22.17±1.12b
 Change, %−2.60b2.92b3.69b2.95b2.62a
Water intake, g
 Initial50.99±1.40b41.29±3.96d48.88±3.70b,c47.29±3.01c56.05±3.00a
 Final52.37±2.59b44.19±3.17d48.27±2.08c,d49.54±3.27b,c61.23±2.08a
 Change, %1.403.35−0.752.254.12
Feed efficiency, %
 Initial14.58±0.96c19.86±0.98a,b18.78±1.14b18.97±1.20a,b20.15±1.53a
 Final18.03±1.59c24.91±2.83a24.42±2.04a,b24.15±2.53a,b22.56±1.20b
 Change %23.58a25.35a30.11a27.10a12.25b
Perirenal fat, g8.95±3.25b15.71±3.41a15.04±4.96a14.74±4.38a8.16±4.15b
Epididymal fat, g8.28±1.60b13.27±2.70a12.45±3.92a12.50±4.36a8.01±2.59b

{ label (or @symbol) needed for fn[@id='tfn1-ijmm-35-02-0460'] } Data are expressed as the means ± standard deviation (n=7–10).

a,b,c,d Values in the same row with a significant difference (P<0.05). NC, normal control; HFC, high-fat diet; HFL, high-fat diet and low dose of multi-strain probiotics; HFM, high-fat diet and medium dose of multi-strain probiotics; HFH, high-fat diet and high dose of multi-strain probiotics.

Multi-strain probiotic supplementation suppressed body fat accumulation in HF rats with diet-induced obesity

The HF group had significantly increased perirenal and epididymal adipose tissue weights compared to the NC group (P<0.05) (Table I). By contrast, perirenal and epididymal adipose tissue weights were significantly reduced for the HFH group (P<0.05) (Table I), even below tissue weights of the NC group. Additionally, the HFL and HFM groups had significantly increased perirenal and epididymal adipose tissue weights compared to the NC group (P<0.05).

Plasma cholesterol-lowering effects of multi-strain probiotics

Prior to administration of the high-fat diet, plasma lipids (triglycerides, total cholesterol, HDL-C and LDL-C) were not significantly different for any group (P>0.05) (Table II). Following 8 weeks of the high fat diet, triglycerides were elevated, but were lower for the HFL, HFM and HFH groups compared to the HFC group (P<0.05) (Table II). Total cholesterol levels were significantly decreased for the HFH group compared to the initial levels (P<0.05), whereas there were no significant differences compared to the HFC group (P<0.05) (Table II). The HFM group had the smallest HDL-C difference (−6.22) among all the groups at 8 weeks (P<0.05), and LDL-C was decreased for all the groups at 8 weeks (P<0.05). Notably, HFL showed the greatest change in LDL-C (calculated as the final minus the initial values) among all the groups (−59.77); however, the HFC groups had the greatest change in HDL-C (−15.04) and the smallest change in LDL-C (−56.20) (P<0.05). The change in HDL-C is calculated by the final minus the initial HDL-C level.

Table II

Analysis of blood biochemistry of Wistar rats fed with a normal diet, high-fat diet and different concentrations of mix lactic acid bacteria.

Table II

Analysis of blood biochemistry of Wistar rats fed with a normal diet, high-fat diet and different concentrations of mix lactic acid bacteria.

Number of animalsNormal
High-fat diet
NC (n=10)HFC (n=5)HFL (n=10)HFM (n=10)HFH (n=5)
TG, mg/dl
 Initial68.99±20.56a66.48±12.00a,b54.99±15.53a,b,c51.72±6.91b,c44.25±5.69c
 Final86.40±20.79a,b 102.75±32.57a,*87.05±19.21a,b,*91.68±14.64a,*67.38±14.30b,*
 Change %45.9673.4165.2079.9065.69
CHOL, mg/dl
 Initial71.44±11.6267.01±11.9968.74±9.9369.85±11.7077.64±8.70
 Final61.48±7.64*62.17±11.8460.18±8.8061.11±8.6365.11±9.36*
 Change, %−13.17−16.08−13.35−10.58−15.82
HDL-C, mg/dl
 Initial56.40±9.0953.60±9.0655.78±7.1955.36±7.3761.70±8.32
 Final50.47±6.9451.56±9.4950.43±7.1151.45±5.6253.27±7.46
 Change, %−10.02a,b15.04b9.45a,b6.22a12.38a,b
LDL-C, mg/dl
 Initial15.52±2.8716.75±4.4417.87±4.8816.89±5.4417.08±1.83
 Final8.95±2.37a,b,*8.08±2.42a,b,*7.07±2.12b,*7.83±2.43a,b,*9.41±1.96a,*
 Change, %−42.49a56.20a,b59.77b52.59a,b46.38a,b

{ label (or @symbol) needed for fn[@id='tfn3-ijmm-35-02-0460'] } Data are expressed as the means ± standard deviation (n=5–10).

a,b,c Values in the same row with a significant difference (P<0.05).

* P<0.05, significant differences between prior and subsequent to the experimentation period within the same group. NC, normal control; HFC, high-fat diet; HFL, high-fat diet and low dose of multi-strain probiotics; HFM, high-fat diet and medium dose of multi-strain probiotics; HFH, high-fat diet and high dose of multi strain probiotics; TG, triglycerides; CHOL, cholesterol; HDL-C, high density lipoprotein cholesterol; LDL-C, low-density lipoprotein cholesterol.

Body weight and cardiac characteristics

There were no significant differences in body weight (P>0.05) among the HFL, HFM and HFH and NC groups (Table III). Whole heart weight, left ventricular weight and the ratios of whole heart weight to body weight, left ventricular weight to body weight, and left ventricular weight to whole heart weight were higher for the NC group, while there were no significant differences among all the groups. By contrast, the ratio of whole heart weight to body weight, traditionally regarded as an index of cardiac hypertrophy, was lower for the HFC, HFL and HFM groups compared to the NC group (Table III).

Table III

Cardiac characteristics and body weight of Wistar rats fed with a normal diet, high-fat diet and different concentrations of mix lactic acid bacteria.

Table III

Cardiac characteristics and body weight of Wistar rats fed with a normal diet, high-fat diet and different concentrations of mix lactic acid bacteria.

Number of animalsNormal
High-fat diet
NC (n=5)HFC (n=5)HFL (n=5)HFM (n=5)HFH (n=4)
Body weight, g492.17±57.46543.11±49.64512.95±53.07503.63±60.61476.164±35.93
Whole heart weight, g1.294±0.1841.298±0.1141.207±0.0851.227±0.1801.239±0.100
Left ventricle weight, g0.987±0.0860.982±0.0850.913±0.0850.908±0.1190.912±0.085
Whole heart weight, g/Body weight, g 0.0026±0.0002c 0.0024±0.0000a,b 0.0024±0.0002a 0.0024±0.0002a,b 0.0026±0.0002b,c
Left ventricle weight, g/Body weight, g 0.0020±0.0002b 0.0018±0.0001a 0.0018±0.0000a 0.0018±0.0000a 0.0019±0.0001a
Left ventricle weight, g/Whole heart weight, g0.767±0.038b 0.757±0.0191a 0.756±0.0331a 0.742±0.0185a 0.751±0.0163a
Tibia, mm44.82±3.40247.28±3.78444.78±1.953747.22±2.86045.5±3.266

{ label (or @symbol) needed for fn[@id='tfn6-ijmm-35-02-0460'] } Data are expressed as the means ± standard deviation.

a,b,c Values in the same row with different superscripts mean significant difference (P<0.05). NC, normal control; HFC, high-fat diet; HFL, high-fat diet and low dose of multi-strain probiotics; HFM, high-fat diet and medium dose of multi-strain probiotics; HFH, high fat diet and high dose of multi-strain probiotics.

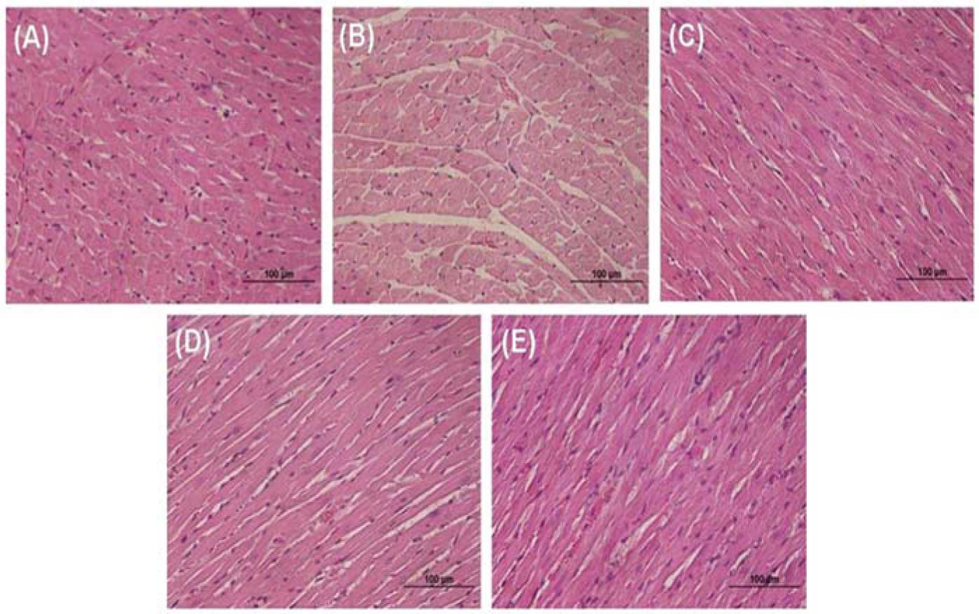
Changes in cardiac architecture

To further define the characteristics of changes in cardiac architecture, histopathological analysis was performed of ventricular tissue using a cross-section of whole heart tissue stained with haematoxylin and eosin. The NC group had normal ventricular myocardium architecture and interstitial space, while the HFC group had abnormal myocardial architecture, such as cardiomyocyte disarray and increased interstitial space (Fig. 1). By contrast, myocardial architecture and normal interstitial space were restored in the HFL, HFM and HFH groups (Fig. 1).

Figure 1

Representive histopathological analysis of cardiac tissue sections stained with hematoxylin and eosin staining in Wistar rats divided into (A) normal diet (NC), (B) high fat diet control (HFC) and HF diet with different dosages multistrain probiotics groups (C, D and E: low, medium and high; HFL, HFM and HFH). The images of myocardial architecture were ×200, magnification.

Changes in the expression of Fas death receptor-related components in the hearts of rats fed a high-fat diet with different dosages of probiotics

Western blot analysis was used to examine the influence of different probiotic doses on Fas death receptor-associated protein levels in hearts from rats fed a high fat diet (Fig. 2). Fas and FADD levels were slightly increased in extracts prepared from the left ventricles of hearts excised from the HF group compared to samples from the NC, HFL, HFL and HFM groups (Fig. 2B and C), which were not significantly different from one another. By contrast, Fas and FADD levels were decreased for the HFL, HFM and HFH groups that showed no significant differences compared to the HFC group (Fig. 2B and C). In addition, the level of activated caspase-8 was significantly decreased for the HFH group compared to the HF group (P<0.05) (Fig. 3B). However, the level of activated caspase-8 was increased for the HF group compared to the NC group (Fig. 3B) but was not significantly decreased for the HFL and HFM groups compared to the HF group (Fig. 3B).

Figure 2

(A) Protein products of Fas and FADD extracted from the left ventricles of excised hearts in Wistar rats divided into normal diet (NC), high-fat diet control (HFC) and HF diet with different dosages multistrain probiotics groups (low, medium and high; HFL, HFM and HFH) as measured by western blot analysis. (B,C) Bars represent the relative protein quantification of Fas and FADD on the basis of α-tubulin, and indicate mean values ± standard deviation (n=3 in each group). FADD, Fas-associated protein with death domain.

Figure 3

(A) Protein products of caspase-8, -9 and 3 extracted from the left ventricles of excised hearts in Wistar rats divided into normal diet (NC), high fat diet control (HFC) and HF diet with different dosages multistrain probiotics groups (low, medium and high; HFL, HFM and HFH) as measured by western blot analysis. (B–D) Bars represent the relative protein quantification of active caspase-8, -9 and -3, respectively, on the basis of α-tubulin, and indicate mean values ± standard deviation (n=3 in each group).a,b,c,dP<0.05, significant differences among the NC, HFC, HFL, HFM and HFH groups.

Changes in expression of mitochondrial-dependent apoptotic components in the hearts of rats fed a high-fat diet with different dosages of probiotics

The association between the probiotic dosage and expression of mitochondrial-dependent apoptotic components in cardiac tissue was investigated. The levels of Bcl-2 family members (t-Bid, Bcl-xL, BcL-2, Bad and p-Bad) and caspase-9 and caspase-3 were examined using western blot analysis (Figs. 3–6). Left ventricle tissue from the HFH group exhibited significantly decreased t-Bid levels compared to the HFC group (P<0.05); however, the HFC group was not significantly different from the NC group (Fig. 4B). Additionally, the levels of the anti-apoptotic proteins Bcl-xL and BcL-2 were significantly increased for the HFH group compared to the HFC group (Fig. 5B and C). p-Bad levels were significantly increased for the HFM and HFH groups compared to the HFC group (P<0.05) (Fig. 6C), while significantly decreased levels of Bad were detected for the HFL, HFM, HFH and NC groups compared to the HFC group (P<0.05) (Fig. 6B). In addition, the levels of activated caspase-9 were not significantly different for the HFL, HFM, HFH and NC groups compared to the HFC group (Fig. 3C). By contrast, activated caspase-3 levels were significantly increased for the HFC group compared to the NC group (P<0.05) (Fig. 3D). Activated caspase-3 levels were significantly decreased for the HFL, HFM, and HFH groups compared to the HFC group (P<0.05) (Fig. 3D).

Figure 6

(A) Protein products of Bad and p-Bad extracted from the left ventricles of excised hearts in Wistar rats divided into normal diet (NC), high-fat diet control (HFC) and HF diet with different dosages multistrain probiotics groups (low, medium and high; HFL, HFM and HFH) as measured by western blotting analysis. (B,C) Bars represent the relative protein quantification of Bad and p-Bad on the basis of α-tubulin, and indicate mean values ± standard deviation (n=3 in each group). a,b,cP<0.05, significant differences among the NC, HFC, HFL, HFM and HFH groups.

Figure 4

(A) Protein products of Bid and t-Bid extracted from the left ventricles of excised hearts in Wistar rats divided into normal diet (NC), high fat diet control (HFC) and HF diet with different dosages multistrain probiotics groups (low, medium and high; HFL, HFM and HFH) as measured by western blotting analysis. (B) Bars represent the relative protein quantification of t-Bid on the basis of α-tubulin, and indicate mean values ± standard deviation (n=3 in each group). a,bP<0.05, significant differences among the NC, HFC, HFL, HFM and HFH groups.

Figure 5

(A) Protein products of Bcl-xL and Bcl-2 extracted from the left ventricles of excised hearts in Wistar rats divided into normal diet (NC), high fat diet control (HFC) and HF diet with different dosages multistrain probiotics groups (low, medium and high; HFL, HFM and HFH) as measured by western blotting analysis. (B,C) Bars represent the relative protein quantification of Bcl-xL and Bcl-2 on the basis of α-tubulin, and indicate mean values ± standard deviation (n=3 in each group). a,b,cP<0.05, significant differences among the NC, HFC, HFL, HFM and HFH groups. Bcl, B-cell lymphoma.

Changes in expression of cardiac survival signalling components in the hearts of rats fed a high-fat diet with different dosages of probiotics

To identify the effects of probiotics on the cardiac IGFIR-dependent survival pathway, the levels of p-IGFIR and IGF-IR signalling components, including p-PI3K and p-AKT, were examined. The levels of p-IGFIR were significantly increased for the HFM and HFH groups compared to the HFC group (P<0.05) (Fig. 7); however, p-PI3K levels were not significantly different for the HFL, HFM, HFH and NC groups compared to the HFC group (Fig. 7B). Notably, significantly increased p-AKT levels were used for the HFL, HFM and HFH groups compared to the HFC group (P<0.05) (Fig. 7D). Additionally, significantly decreased levels of cardiac p-AKT were observed for the HFC group compared to the NC group (P<0.05) (Fig. 7D).

Figure 7

(A) Protein products of p-IGF1R, p-PI3K and p-Akt extracted from the left ventricles of excised hearts in Wistar rats divided into normal diet (NC), high fat diet control (HFC) and HF diet with different dosages multistrain probiotics groups (low, medium and high; HFL, HFM and HFH) as measured by western blotting analysis. (B-D) Bars represent the relative protein quantification of p-IGF1R, p-PI3K and p-Akt on the basis of α-tubulin, and indicate mean values ± standard deviation (n=3 in each group). a,b,cP<0.05,significant differences among the NC, HFC, HFL, HFM and HFH groups. IGF1R, insulin-like growth factor 1 receptor.

Discussion

The major findings of the present study can be summarized in four main points. i) The body fat and plasma lipids of HF rats were lower in response to probiotic administration. ii) The myocardial architecture in HF rats was improved with probiotic administration. iii) The two major apoptotic pathways in obese hearts were significantly suppressed in response to dietary probiotic supplementation, and this suppression was indicated by decreased expression of Fas receptor- (Fas receptor, FADD and activated caspase-8) and mitochondria-dependent apoptotic proteins (t-Bid, Bad and activated caspase-9 and caspase-3) for the HFC group compared to the NC group. iv) By contrast, the levels of the anti-apoptotic proteins BcL-2, Bcl-xL and p-Bad were increased in hearts from the HFL, HFM and HFH groups compared to the HFC group. The survival pathway activity in obese hearts was significantly increased in response to dietary probiotic supplementation; this change was indicated by increases in p-IGF1R, p-PI3K and p-Akt in the HFL, HFM and HFH groups compared to the HFC group. Following integration of the current findings into the previously proposed apoptotic theories, a proposed mechanism (Fig. 8) was developed suggesting that cardiac Fas receptor- and mitochondria-dependent pathways are activated in obese rats and can be suppressed by dietary probiotic supplementation. By contrast, cardiac survival components are decreased in obesity and their expression can be enhanced by probiotic supplementation to the point of restoration. The present findings demonstrate novel therapeutic uses for probiotics in preventing apoptosis and enhancing survival in hearts of obese rats.

Figure 8

Proposed hypothesis of the probiotic-suppressed cardiac Fas- and mitochondria-dependent apoptotic pathways in obese rats relevant to the present study. Cardiac Fas- and mitochondria dependent apoptotic pathways may be activated in high-fat (HF) diet fed rats and supplementation of probiotics my enhance cardiac IGFI-R/PI3K/Akt survival and anti apoptotic Bcl-2 family (Bcl-xL and Bcl-2) associated pathways in HF diet fed rats. IGF-I, insulin-like growth factor 1; IGF-IR, IGF-1 receptor; PI3K, phosphatidylinositol-3 kinase; Bcl, B-cell lymphoma; FADD, Fas-associated protein with death domain.

Obesity prone rodents fed a high-fat diet are used as models of human predisposition for obesity (25). Recently, a study clearly demonstrated that feeding mice a high-fat diet was associated with significant body mass alterations and substantial modification of blood lipids, glucose homeostasis, fat pads and adipocyte remodelling (26). The present data shows that body weight, food intake, water intake and feed efficiencies were not different between groups during the experimental period. In addition, rats with high levels of dietary probiotic supplementation (4.48×107 CFU/kg/day) had increased food and water intake after 8 weeks of the HF diet, and in contrast to the HFC group, the HFH group feed efficiency was decreased. Notably, in high doses it was observed that dietary probiotic supplementation may promote perirenal and epididymal fat loss and decrease plasma lipid levels in rats with HF diet-induced obesity. This result demonstrates that in rats, dietary supplementation with high levels of probiotics has a protective effect against obesity induced by a high-fat diet. This effect was not due to decreased food intake, but rather resulted from decreased plasma lipids and body fat in HF-fed rats. Recent studies have reported that probiotics can influence gut microbial ecology and reduce gains in body weight and fat in obese rats and ApoE−/− mice (27,28), as well as in humans (23). Furthermore, these findings warrant a subsequent longer-term prospective clinical investigation of >12 weeks duration and with a large population (29). In the present data, rat body weight was not changed between groups in a manner that may result from the present experimental period lasting only 8 weeks. Of note, Tanida et al (30) observed that an intragastric injection of a probiotic strain Lactobacillus casei Shirota in rats may affect tissue-specific autonomic nerves through the afferent vagal nerve pathway to modulate glucose and lipid metabolism.

The balance between cell death and survival is tightly controlled, particularly in terminally-differentiated cells, such as cardiomyocytes (31). The Fas receptor-dependent apoptotic pathway is mediated by Fas ligand, Fas receptor, tumor necrosis factor (TNF)-α, TNF receptor, FADD and activated caspase-8 (9,15). As evidenced by a decrease in Fas receptor and activated caspase-8 levels in hearts from obese rats following oral administration of probiotics, the present findings indicate that probiotics suppress the activated Fas receptor-dependent apoptotic pathway in rats fed a high-fat diet. To the best of our knowledge, the current study is the first to demonstrate inhibition of cardiac Fas receptor-dependent apoptotic pathways in obese rats by probiotics.

The mitochondria-dependent apoptotic pathway is tightly controlled by the Bcl-2 protein family. Pro-apoptotic and anti-apoptotic members of the Bcl-2 family appear to interact with and neutralize one another such that the relative balance of these effectors strongly influences cell fate (32). Shifting the balance of Bcl-2 family members towards pro-apoptotic factors leads to activated caspase-9, which subsequently activates caspase-3 and leads to execution of the apoptotic program (33). In the present study, probiotics were found to significantly inhibit increases in activated pro-apoptotic members of the Bcl-2 family observed for the HFC group. This activity was indicated by decreased levels of obesity upregulated t-Bid with medium, and particularly high probiotic supplementation. Probiotic supplementation also significantly increased the levels of anti-apoptotic components as evidenced by elevated Bcl-xL, Bcl-2 and p-Bad levels, thus decreasing activated caspase-3 levels in HF-fed rats. Therefore, the present results strongly suggest that oral administration of probiotics may prevent activation of cardiac apoptotic pathways for HF-fed rats.

The cardiac survival pathway can be mediated by IGFI-related survival pathway components, such as IGF-I, IGF-IR, p-PI3K and p-Akt. Previous studies have indicated that increased Bcl-xL levels were observed in mitochondria of IGF-I pretreated rats and that cardiac-specifc IGF-I overexpression is anti-apoptotic, whereas increased apoptosis followed by myocardial infarction was observed for IGF-I deficient mice (34,35). Consistent with earlier findings, the present experimental results indicated a reduction in the levels of IGF-IR pathway-associated components in ventricles excised from HF-fed rats. By contrast, increased p-IGFIR levels indicated that oral administration of probiotics significantly enhanced compensative cardiac survival pathways in HF-fed rats. Additionally, probiotic supplementation facilitated the restoration of PI3K, p-PI3K, Akt and p-Akt levels. Taken together, these findings suggest that, particularly in high doses, probiotics can attenuate cardiac apoptosis and facilitate the compensative IGFI/PI3K/Akt survival pathway.

Clinical obesity is currently recognised as a low-grade inflammatory condition associated with increased macrophage infiltration of adipose tissue (36,37). Adipose tissue itself also contributes to inflammation via production of proinflammatory cytokines (interleukin-6, TNF-α and adiponectin). Cardiovascular apoptosis and fibrosis are believed to result from a tissue repair process associated with excessive chronic inflammation (38), and this major process for cardiovascular disease development may be a primary therapeutic target (39). Vijay-Kumar et al (40) further postulated that alterations in gut microbiota resulting from a loss of toll-like receptor 5 promoted the development of metabolic syndrome in mice. Dietary probiotic supplementation appears to be particularly suited to restoring resilient microbiota and reducing inflammation (22,41,42), as well as subsequently improving cardiovascular function. Toral et al (42) demonstrated an endothelial-protective effect of L. coryniformis CEC T5711 in obese mice through increased nitric oxide bioavailability. Sobol et al (43) considered that lactic acid bacteria, and their metabolic products in particular, may positively affect calcium signalling in cardiovascular cells, resulting in increased contractile activity of blood vessels and cardiac cells. However, the present limited findings suggest that probiotics may directly reduce cardiac apoptosis in rats fed a high-fat diet.

Based on a previous study, we presume that the supplementation of fermented milk with multi-strains of probiotics may also potentially contribute to the activation of the PI3K/AKT survival signalling pathway and the attenuation of cardiac apoptosis in hypertensive rats (44).

Obesity increases the risk of developing cardiovascular disease and heart failure. The present findings indicate that impaired cardiac IGFI/PI3K/Akt-mediated survival and Bcl-2 family anti-apoptotic pathways in HF-fed rats may comprise an important mechanism explaining the development of obesity-related heart disease. Additionally, dietary probiotic supplementation was found to be beneficial towards the enhancement of cardiac survival and anti-apoptotic pathways in the hearts of obese rats, and may potentially be considered as a novel therapeutic strategy to prevent development of apoptosis-related cardiac diseases in obesity. Further clinical analysis is required to clarify the survival and apoptotic mechanisms associated with the beneficial effects of probiotics on the hearts of obese humans.

Acknowledgments

The present study was supported in part by Taiwan Department of Health Clinical Trial and Research Center of Excellence (grant no. DOH103-TD-B-111-004), Taiwan Department of Health Cancer Research Center of Excellence (grant no. DOH103-TD-C-111-005) and the Ministry of Science and Technology, Taiwan, R.O.C. (grant no. NSC 98-2622-E-241-019-CC3).

References

1 

Jang H, Conklin DJ and Kong M: Piecewise nonlinear mixed-effects models for modeling cardiac function and assessing treatment effects. Comput Methods Programs Biomed. 110:240–252. 2013. View Article : Google Scholar

2 

Subramanian S, Turner MS, Ding Y, Goodspeed L, Wang S, Buckner JH, O'Brien K, Getz GS, Reardon CA and Chait A: Increased levels of invariant natural killer T lymphocytes worsens metabolic abnormalities and atherosclerosis in obese mice. J Lipid Res. 54:2831–2841. 2013. View Article : Google Scholar : PubMed/NCBI

3 

Younce CW, Burmeister MA and Ayala JE: Exendin-4 attenuates high glucose-induced cardiomyocyte apoptosis via inhibition of endoplasmic reticulum stress and activation of SERCA2a. Am J Physiol Cell Physiol. 304:C508–C518. 2013. View Article : Google Scholar : PubMed/NCBI

4 

Sun W, Zhang Z, Chen Q, Yin X, Fu Y, Zheng Y, Cai L, Kim KS, Kim KH, Tan Y and Kim YH: Magnolia extract (BL153) protection of heart from lipid accumulation caused cardiac oxidative damage, inflammation, and cell death in high fat diet fed mice. Oxid Med Cell Longev. 2014:2058492014. View Article : Google Scholar

5 

Hua Y, Zhang Y, Dolence J, Shi GP, Ren J and Nair S: Cathepsin K knockout mitigates high fat diet-induced cardiac hypertrophy and contractile dysfunction. Diabetes. 62:498–509. 2013. View Article : Google Scholar :

6 

Li SY, Liu Y, Sigmon VK, McCort A and Ren J: High fat diet enhances visceral advanced glycation end products, nuclear O-Glc-Nac modification, p38 mitogen activated protein kinase activation and apoptosis. Diabetes Obes Metab. 7:448–454. 2005. View Article : Google Scholar : PubMed/NCBI

7 

Barouch LA, Gao D, Chen L, Miller KL, Xu W, Phan AC, Kittleson MM, Minhas KM, Berkowitz DE, Wei C and Hare JM: Cardiac myocyte apoptosis is associated with increased DNA damage and decreased survival in murine models of obesity. Circ Res. 98:119–124. 2006. View Article : Google Scholar

8 

Lee SD, Chu CH, Huang EJ, Lu MC, Liu JY, Liu CJ, Hsu HH, Lin JA, Kuo WW and Huang CY: Roles of insulin-like growth factor II in cardiomyoblast apoptosis and in hypertensive rat heart with abdominal aorta ligation. Am J Physiol Endocrinol Metab. 291:E306–E314. 2006. View Article : Google Scholar : PubMed/NCBI

9 

Haunstetter A and Izumo S: Apoptosis: basic mechanisms and implications for cardiovascular disease. Circ Res. 82:1111–1129. 1998. View Article : Google Scholar : PubMed/NCBI

10 

Narula J, Haider N, Arbustini E and Chandrashekhar Y: Mechanisms of disease: apoptosis in heart failure-seeing hope in death. Nat Clin Pract Cardiovasc Med. 3:681–688. 2006. View Article : Google Scholar : PubMed/NCBI

11 

Fujio Y, Nguyen T, Wencker D, Kitsis RN and Walsh K: Akt promotes survival of cardiomyocytes in vitro and protects against ischemia-reperfusion injury in mouse heart. Circ. 101:660–667. 2000. View Article : Google Scholar

12 

Athanasiou A, Clarke AB, Turner AE, Kumaran NM, Vakilpour S, Smith PA, Bagiokou D, Bradshaw TD, Westwell AD, Fang L, Lobo DN, Constantinescu CS, Calabrese V, Loesch A, Alexander SP, Clothier RH, Kendall DA and Bates TE: Cannabinoid receptor agonists are mitochondrial inhibitors: a unified hypothesis of how cannabinoids modulate mitochondrial function and induce cell death. Biochem Biophys Res Commun. 364:131–137. 2007. View Article : Google Scholar : PubMed/NCBI

13 

Lee SD, Tzang BS, Kuo WW, Lin YM, Yang AL, Chen SH, Tsai FJ, Wu FL, Lu MC and Huang CY: Cardiac fas receptor-dependent apoptotic pathway in obese Zucker rats. Obesity. 15:2407–2415. 2007. View Article : Google Scholar : PubMed/NCBI

14 

Lu MC, Tzang BS, Kuo WW, Wu FL, Chen YS, Tsai CH, Huang CY and Lee SD: More activated cardiac mitochondrial-dependent apoptotic pathway in obese Zucker rats. Obesity. 15:2634–2642. 2007. View Article : Google Scholar : PubMed/NCBI

15 

Bishopric NH, Andreka P, Slepak T and Webster KA: Molecular mechanisms of apoptosis in the cardiac myocyte. Curr Opin Pharmacol. 1:141–150. 2001. View Article : Google Scholar : PubMed/NCBI

16 

Ren J, Samson WK and Sowers JR: Insulin-like growth factor I as a cardiac hormone: physiological and pathophysiological implications in heart disease. J Mol Cell Cardiol. 31:2049–2061. 1999. View Article : Google Scholar : PubMed/NCBI

17 

Vincent AM and Feldman EL: Control of cell survival by IGF signaling pathways. Growth Horm IGF Res. 12:193–197. 2002. View Article : Google Scholar : PubMed/NCBI

18 

Simoncini T, Hafezi-Moghadam A, Brazil DP, Ley K, Chin WW and Liao JK: Interaction of oestrogen receptor with the regulatory subunit of phosphatidylinositol-3-OH kinase. Nature. 407:538–541. 2000. View Article : Google Scholar : PubMed/NCBI

19 

Zhang Y, Yuan M, Bradley KM, Dong F, Anversa P and Ren J: Insulin-like growth factor 1 alleviates high fat diet-induced myocardial contractile dysfunction: role of insulin signaling and mitochondrial function. Hypertension. 59:680–693. 2012. View Article : Google Scholar : PubMed/NCBI

20 

Wang HT, Liu CF, Tsai TH, Chen YL, Chang HW, Tsai CY, Leu S, Zhen YY, Chai HT, Chung SY, Chua S, Yen CH and Yip HK: Effect of obesity reduction on preservation of heart function and attenuation of left ventricular remodeling, oxidative stress and inflammation in obese mice. J Transl Med. 10:1452012. View Article : Google Scholar : PubMed/NCBI

21 

Huang Y, Wang X, Wang J, Wu F, Sui Y, Yang L and Wang Z: Lactobacillus plantarum strains as potential probiotic cultures with cholesterol-lowering activity. J Dairy Sci. 96:2746–2753. 2013. View Article : Google Scholar : PubMed/NCBI

22 

Park DY, Ahn YT, Park SH, Huh CS, Yoo SR, Yu R, Sung MK, McGregor RA and Choi MS: Supplementation of Lactobacillus curvatus HY7601 and Lactobacillus plantarum KY1032 in diet-induced obese mice is associated with gut microbial changes and reduction in obesity. PLoS One. 8:e594702013. View Article : Google Scholar : PubMed/NCBI

23 

Sanchez M, Darimont C, Drapeau V, Emady-Azar S, Lepage M, Rezzonico E, Ngom-Bru C, Berger B, Philippe L, Ammon-Zuffrey C, Leone P, Chevrier G, St-Amand E, Marette A, Dore J and Tremblay A: Effect of Lactobacillus rhamnosus CGMCC1.3724 supplementation on weight loss and maintenance in obese men and women. Br J Nutr. 111:1507–1519. 2014. View Article : Google Scholar

24 

Agerholm-Larsen L, Raben A, Haulrik N, Hansen AS, Manders M and Astrup A: Effect of 8 week intake of probiotic milk products on risk factors for cardiovascular diseases. Eur J Clin Nutr. 54:288–297. 2000. View Article : Google Scholar : PubMed/NCBI

25 

Azzout-Marniche D, Chaumontet C, Nadkarni NA, Piedcoq J, Fromentin G, Tome D and Even PC: Food intake and energy expenditure are increased in high fat-sensitive but not in high carbohydrate-sensitive obesity prone rats. Am J Physiol Regul Integr Comp Physiol. 2014. View Article : Google Scholar

26 

Barbo-da-Silva S, Fraulob-Aquino JC, Lopes JR, Mandarim-de-Lacerda CA and Aguila MB: Weight cycling enhances adipose tissue inflammatory responses in male mice. PLoS One. 7:e398372012. View Article : Google Scholar

27 

Park JE, Oh SH and Cha YS: Lactobacillus plantarum LG42 isolated from gajami sik-hae decreases body and fat pad weights in diet-induced obese mice. J Appl Microbiol. 116:145–156. 2014. View Article : Google Scholar

28 

Fåk F1 and Bäckhed F: Lactobacillus reuteri prevents diet-induced obesity, but not atherosclerosis, in a strain dependent fashion in Apoe−/− mice. PLoS One. 7:e468372012. View Article : Google Scholar

29 

Jung SP, Lee KM, Kang JH, Yun SI, Park HO, Moon Y and Kim JY: Effect of Lactobacillus gasseri BNR17 on overweight and obese adults: A randomized, double-blind clinical trial. Korean J Fam Med. 34:80–89. 2013. View Article : Google Scholar : PubMed/NCBI

30 

Tanida M, Imanishi K, Akashi H, Kurata Y, Chonan O, Naito E, Kunihiro S, Kawai M, Kato-Kataoka A and Shibamoto T: Injection of Lactobacillus casei strain Shirota affects autonomic nerve activities in a tissue-specific manner, and regulates glucose and lipid metabolism in rats. J Diabetes Investig. 5:153–161. 2014. View Article : Google Scholar : PubMed/NCBI

31 

Fortuno MA, Ravassa S, Fortuno A, Zalba G and Diez J: Cardiomyocyte apoptotic cell death in arterial hypertension: mechanisms and potential management. Hypertension. 38:1406–1412. 2001. View Article : Google Scholar : PubMed/NCBI

32 

McGowan BS, Ciccimaro EF, Chan TO and Feldman AM: The balance between proapoptotic and anti-apoptotic pathways in the failing myocardium. Cardiovasc Toxicol. 3:191–206. 2003. View Article : Google Scholar

33 

Brown GC and Borutaite V: Nitric oxide, cytochrome c and mitochondria. Biochem Soc Symp. 66:17–25. 1999.

34 

Torella D, Rota M, Nurzynska D, Musso E, Monsen A, Shiraishi I, Zias E, Walsh K, Rosenzweig A, Sussman MA, Urbanek K, Nadal-Ginard B, Kajstura J, Anversa P and Leri A: Cardiac stem cell and myocyte aging, heart failure, and insulin-like growth factor-1 overexpression. Circ Res. 94:514–524. 2004. View Article : Google Scholar : PubMed/NCBI

35 

Palmen M, Daemen MJ, Bronsaer R, Dassen WR, Zandbergen HR, Kockx M, Smits JF, van der Zee R and Doevendans PA: Cardiac remodeling after myocardial infarction is impaired in IGF-1 deficient mice. Circ Res. 50:516–524. 2001.

36 

Wellen KE and Hotamisligil GS: Inflammation, stress, and diabetes. J Clin Invest. 115:1111–1119. 2005. View Article : Google Scholar : PubMed/NCBI

37 

Heilbronn LK and Campbell LV: Adipose tissue macrophages, low grade inflammation and insulin resistance in human obesity. Curr Pharm Design. 14:1225–1230. 2008. View Article : Google Scholar

38 

Xu S, Zhi H, Hou X, Cohen RA and Jiang B: IкBβ attenuates angiotensin II-induced cardiovascular inflammation and fibrosis in mice. Hypertension. 58:310–316. 2011. View Article : Google Scholar : PubMed/NCBI

39 

Li JJ and Chen JL: Inflammation may be a bridge connecting hypertension and atherosclerosis. Med Hypotheses. 64:925–929. 2005. View Article : Google Scholar : PubMed/NCBI

40 

Vijay-Kumar M, Aitken JD, Carvalho FA, Cullender TC, Mwangi S, Srinivasan S, Sitaraman SV, Knight R, Ley RE and Gewirtz AT: Metabolic syndrome and altered gut microbiota in mice lacking toll-like receptor 5. Science. 328:228–231. 2010. View Article : Google Scholar : PubMed/NCBI

41 

Ebel B, Lemetais G, Beney L, Cachon R, Sokol H, Langella P and Gervais P: Impact of probiotics on risk factors for cardiovascular diseases. A review. Crit Rev Food Sci Nutr. 54:175–189. 2014. View Article : Google Scholar

42 

Toral M, Gomez-Guzman M, Jimenez R, Romero M, Sanchez M, Utrilla MP, Garrido-Mesa N, Rodriguez-Cabezas ME, Olivares M, Galvez J and Duarte J: The probiotic Lactobacillus coryniformis CECT5711 reduces the vascular pro-oxidant and pro-inflammatory status in obese mice. Clin Sci (Lond). 127:33–45. 2014. View Article : Google Scholar

43 

Sobol KV, Belostotskaya GB and Nesterov VP: The effect of probiotics and their metabolic products on cardiovascular system cells in vitro. Dokl Biol Sci. 436:9–12. 2011. View Article : Google Scholar : PubMed/NCBI

44 

Lin PP, Hsieh YM, Kuo WW, Lin YM, Yeh YL, Lin CC, Tsai FJ, Tsai CH, Huang CY and Tsai CC: Probiotic-fermented purple sweet potato yogurt activates compensatory IGF-IR/PI3K/Akt survival pathways and attenuates cardiac apoptosis in the hearts of spontaneously hypertensive rat. Int J Mol Med. 32:1319–1328. 2013.PubMed/NCBI

Related Articles

  • Abstract
  • View
  • Download
  • Twitter
Copy and paste a formatted citation
Spandidos Publications style
Wang HF, Lin PP, Chen CH, Yeh YL, Huang CC, Huang CY and Tsai CC: Effects of lactic acid bacteria on cardiac apoptosis are mediated by activation of the phosphatidylinositol-3 kinase/AKT survival-signalling pathway in rats fed a high-fat diet. Int J Mol Med 35: 460-470, 2015.
APA
Wang, H., Lin, P., Chen, C., Yeh, Y., Huang, C., Huang, C., & Tsai, C. (2015). Effects of lactic acid bacteria on cardiac apoptosis are mediated by activation of the phosphatidylinositol-3 kinase/AKT survival-signalling pathway in rats fed a high-fat diet. International Journal of Molecular Medicine, 35, 460-470. https://doi.org/10.3892/ijmm.2014.2021
MLA
Wang, H., Lin, P., Chen, C., Yeh, Y., Huang, C., Huang, C., Tsai, C."Effects of lactic acid bacteria on cardiac apoptosis are mediated by activation of the phosphatidylinositol-3 kinase/AKT survival-signalling pathway in rats fed a high-fat diet". International Journal of Molecular Medicine 35.2 (2015): 460-470.
Chicago
Wang, H., Lin, P., Chen, C., Yeh, Y., Huang, C., Huang, C., Tsai, C."Effects of lactic acid bacteria on cardiac apoptosis are mediated by activation of the phosphatidylinositol-3 kinase/AKT survival-signalling pathway in rats fed a high-fat diet". International Journal of Molecular Medicine 35, no. 2 (2015): 460-470. https://doi.org/10.3892/ijmm.2014.2021
Copy and paste a formatted citation
x
Spandidos Publications style
Wang HF, Lin PP, Chen CH, Yeh YL, Huang CC, Huang CY and Tsai CC: Effects of lactic acid bacteria on cardiac apoptosis are mediated by activation of the phosphatidylinositol-3 kinase/AKT survival-signalling pathway in rats fed a high-fat diet. Int J Mol Med 35: 460-470, 2015.
APA
Wang, H., Lin, P., Chen, C., Yeh, Y., Huang, C., Huang, C., & Tsai, C. (2015). Effects of lactic acid bacteria on cardiac apoptosis are mediated by activation of the phosphatidylinositol-3 kinase/AKT survival-signalling pathway in rats fed a high-fat diet. International Journal of Molecular Medicine, 35, 460-470. https://doi.org/10.3892/ijmm.2014.2021
MLA
Wang, H., Lin, P., Chen, C., Yeh, Y., Huang, C., Huang, C., Tsai, C."Effects of lactic acid bacteria on cardiac apoptosis are mediated by activation of the phosphatidylinositol-3 kinase/AKT survival-signalling pathway in rats fed a high-fat diet". International Journal of Molecular Medicine 35.2 (2015): 460-470.
Chicago
Wang, H., Lin, P., Chen, C., Yeh, Y., Huang, C., Huang, C., Tsai, C."Effects of lactic acid bacteria on cardiac apoptosis are mediated by activation of the phosphatidylinositol-3 kinase/AKT survival-signalling pathway in rats fed a high-fat diet". International Journal of Molecular Medicine 35, no. 2 (2015): 460-470. https://doi.org/10.3892/ijmm.2014.2021
Follow us
  • Twitter
  • LinkedIn
  • Facebook
About
  • Spandidos Publications
  • Careers
  • Cookie Policy
  • Privacy Policy
How can we help?
  • Help
  • Live Chat
  • Contact
  • Email to our Support Team