Spandidos Publications Logo
  • About
    • About Spandidos
    • Aims and Scopes
    • Abstracting and Indexing
    • Editorial Policies
    • Reprints and Permissions
    • Job Opportunities
    • Terms and Conditions
    • Contact
  • Journals
    • All Journals
    • Oncology Letters
      • Oncology Letters
      • Information for Authors
      • Editorial Policies
      • Editorial Board
      • Aims and Scope
      • Abstracting and Indexing
      • Bibliographic Information
      • Archive
    • International Journal of Oncology
      • International Journal of Oncology
      • Information for Authors
      • Editorial Policies
      • Editorial Board
      • Aims and Scope
      • Abstracting and Indexing
      • Bibliographic Information
      • Archive
    • Molecular and Clinical Oncology
      • Molecular and Clinical Oncology
      • Information for Authors
      • Editorial Policies
      • Editorial Board
      • Aims and Scope
      • Abstracting and Indexing
      • Bibliographic Information
      • Archive
    • Experimental and Therapeutic Medicine
      • Experimental and Therapeutic Medicine
      • Information for Authors
      • Editorial Policies
      • Editorial Board
      • Aims and Scope
      • Abstracting and Indexing
      • Bibliographic Information
      • Archive
    • International Journal of Molecular Medicine
      • International Journal of Molecular Medicine
      • Information for Authors
      • Editorial Policies
      • Editorial Board
      • Aims and Scope
      • Abstracting and Indexing
      • Bibliographic Information
      • Archive
    • Biomedical Reports
      • Biomedical Reports
      • Information for Authors
      • Editorial Policies
      • Editorial Board
      • Aims and Scope
      • Abstracting and Indexing
      • Bibliographic Information
      • Archive
    • Oncology Reports
      • Oncology Reports
      • Information for Authors
      • Editorial Policies
      • Editorial Board
      • Aims and Scope
      • Abstracting and Indexing
      • Bibliographic Information
      • Archive
    • Molecular Medicine Reports
      • Molecular Medicine Reports
      • Information for Authors
      • Editorial Policies
      • Editorial Board
      • Aims and Scope
      • Abstracting and Indexing
      • Bibliographic Information
      • Archive
    • World Academy of Sciences Journal
      • World Academy of Sciences Journal
      • Information for Authors
      • Editorial Policies
      • Editorial Board
      • Aims and Scope
      • Abstracting and Indexing
      • Bibliographic Information
      • Archive
    • International Journal of Functional Nutrition
      • International Journal of Functional Nutrition
      • Information for Authors
      • Editorial Policies
      • Editorial Board
      • Aims and Scope
      • Abstracting and Indexing
      • Bibliographic Information
      • Archive
    • International Journal of Epigenetics
      • International Journal of Epigenetics
      • Information for Authors
      • Editorial Policies
      • Editorial Board
      • Aims and Scope
      • Abstracting and Indexing
      • Bibliographic Information
      • Archive
    • Medicine International
      • Medicine International
      • Information for Authors
      • Editorial Policies
      • Editorial Board
      • Aims and Scope
      • Abstracting and Indexing
      • Bibliographic Information
      • Archive
  • Articles
  • Information
    • Information for Authors
    • Information for Reviewers
    • Information for Librarians
    • Information for Advertisers
    • Conferences
  • Language Editing
Spandidos Publications Logo
  • About
    • About Spandidos
    • Aims and Scopes
    • Abstracting and Indexing
    • Editorial Policies
    • Reprints and Permissions
    • Job Opportunities
    • Terms and Conditions
    • Contact
  • Journals
    • All Journals
    • Biomedical Reports
      • Information for Authors
      • Editorial Policies
      • Editorial Board
      • Aims and Scope
      • Abstracting and Indexing
      • Bibliographic Information
      • Archive
    • Experimental and Therapeutic Medicine
      • Information for Authors
      • Editorial Policies
      • Editorial Board
      • Aims and Scope
      • Abstracting and Indexing
      • Bibliographic Information
      • Archive
    • International Journal of Epigenetics
      • Information for Authors
      • Editorial Policies
      • Editorial Board
      • Aims and Scope
      • Abstracting and Indexing
      • Bibliographic Information
      • Archive
    • International Journal of Functional Nutrition
      • Information for Authors
      • Editorial Policies
      • Editorial Board
      • Aims and Scope
      • Abstracting and Indexing
      • Bibliographic Information
      • Archive
    • International Journal of Molecular Medicine
      • Information for Authors
      • Editorial Policies
      • Editorial Board
      • Aims and Scope
      • Abstracting and Indexing
      • Bibliographic Information
      • Archive
    • International Journal of Oncology
      • Information for Authors
      • Editorial Policies
      • Editorial Board
      • Aims and Scope
      • Abstracting and Indexing
      • Bibliographic Information
      • Archive
    • Medicine International
      • Information for Authors
      • Editorial Policies
      • Editorial Board
      • Aims and Scope
      • Abstracting and Indexing
      • Bibliographic Information
      • Archive
    • Molecular and Clinical Oncology
      • Information for Authors
      • Editorial Policies
      • Editorial Board
      • Aims and Scope
      • Abstracting and Indexing
      • Bibliographic Information
      • Archive
    • Molecular Medicine Reports
      • Information for Authors
      • Editorial Policies
      • Editorial Board
      • Aims and Scope
      • Abstracting and Indexing
      • Bibliographic Information
      • Archive
    • Oncology Letters
      • Information for Authors
      • Editorial Policies
      • Editorial Board
      • Aims and Scope
      • Abstracting and Indexing
      • Bibliographic Information
      • Archive
    • Oncology Reports
      • Information for Authors
      • Editorial Policies
      • Editorial Board
      • Aims and Scope
      • Abstracting and Indexing
      • Bibliographic Information
      • Archive
    • World Academy of Sciences Journal
      • Information for Authors
      • Editorial Policies
      • Editorial Board
      • Aims and Scope
      • Abstracting and Indexing
      • Bibliographic Information
      • Archive
  • Articles
  • Information
    • For Authors
    • For Reviewers
    • For Librarians
    • For Advertisers
    • Conferences
  • Language Editing
Login Register Submit
  • This site uses cookies
  • You can change your cookie settings at any time by following the instructions in our Cookie Policy. To find out more, you may read our Privacy Policy.

    I agree
Search articles by DOI, keyword, author or affiliation
Search
Advanced Search
presentation
International Journal of Molecular Medicine
Join Editorial Board Propose a Special Issue
Print ISSN: 1107-3756 Online ISSN: 1791-244X
Journal Cover
March-2015 Volume 35 Issue 3

Full Size Image

Sign up for eToc alerts
Recommend to Library

Journals

International Journal of Molecular Medicine

International Journal of Molecular Medicine

International Journal of Molecular Medicine is an international journal devoted to molecular mechanisms of human disease.

International Journal of Oncology

International Journal of Oncology

International Journal of Oncology is an international journal devoted to oncology research and cancer treatment.

Molecular Medicine Reports

Molecular Medicine Reports

Covers molecular medicine topics such as pharmacology, pathology, genetics, neuroscience, infectious diseases, molecular cardiology, and molecular surgery.

Oncology Reports

Oncology Reports

Oncology Reports is an international journal devoted to fundamental and applied research in Oncology.

Experimental and Therapeutic Medicine

Experimental and Therapeutic Medicine

Experimental and Therapeutic Medicine is an international journal devoted to laboratory and clinical medicine.

Oncology Letters

Oncology Letters

Oncology Letters is an international journal devoted to Experimental and Clinical Oncology.

Biomedical Reports

Biomedical Reports

Explores a wide range of biological and medical fields, including pharmacology, genetics, microbiology, neuroscience, and molecular cardiology.

Molecular and Clinical Oncology

Molecular and Clinical Oncology

International journal addressing all aspects of oncology research, from tumorigenesis and oncogenes to chemotherapy and metastasis.

World Academy of Sciences Journal

World Academy of Sciences Journal

Multidisciplinary open-access journal spanning biochemistry, genetics, neuroscience, environmental health, and synthetic biology.

International Journal of Functional Nutrition

International Journal of Functional Nutrition

Open-access journal combining biochemistry, pharmacology, immunology, and genetics to advance health through functional nutrition.

International Journal of Epigenetics

International Journal of Epigenetics

Publishes open-access research on using epigenetics to advance understanding and treatment of human disease.

Medicine International

Medicine International

An International Open Access Journal Devoted to General Medicine.

Journal Cover
March-2015 Volume 35 Issue 3

Full Size Image

Sign up for eToc alerts
Recommend to Library

  • Article
  • Citations
    • Cite This Article
    • Download Citation
    • Create Citation Alert
    • Remove Citation Alert
    • Cited By
  • Similar Articles
    • Related Articles (in Spandidos Publications)
    • Similar Articles (Google Scholar)
    • Similar Articles (PubMed)
  • Download PDF
  • Download XML
  • View XML
Article

B cell translocation gene 1 reduces the biological outcome of kidney cancer through induction of cell proliferation, cell cycle arrest, cell apoptosis and cell metastasis

  • Authors:
    • Guogui Sun
    • Qing Liu
    • Yunjie Cheng
    • Wanning Hu
  • View Affiliations / Copyright

    Affiliations: Department of Chemoradiotherapy, Tangshan People's Hospital, Tangshan, Hebei 063000, P.R. China, Department of Radiotherapy, The Fourth Hospital of Hebei Medical University, Shijiazhuang, Hebei 050017, P.R. China
  • Pages: 777-783
    |
    Published online on: December 31, 2014
       https://doi.org/10.3892/ijmm.2014.2058
  • Expand metrics +
Metrics: Total Views: 0 (Spandidos Publications: | PMC Statistics: )
Metrics: Total PDF Downloads: 0 (Spandidos Publications: | PMC Statistics: )
Cited By (CrossRef): 0 citations Loading Articles...

This article is mentioned in:



Abstract

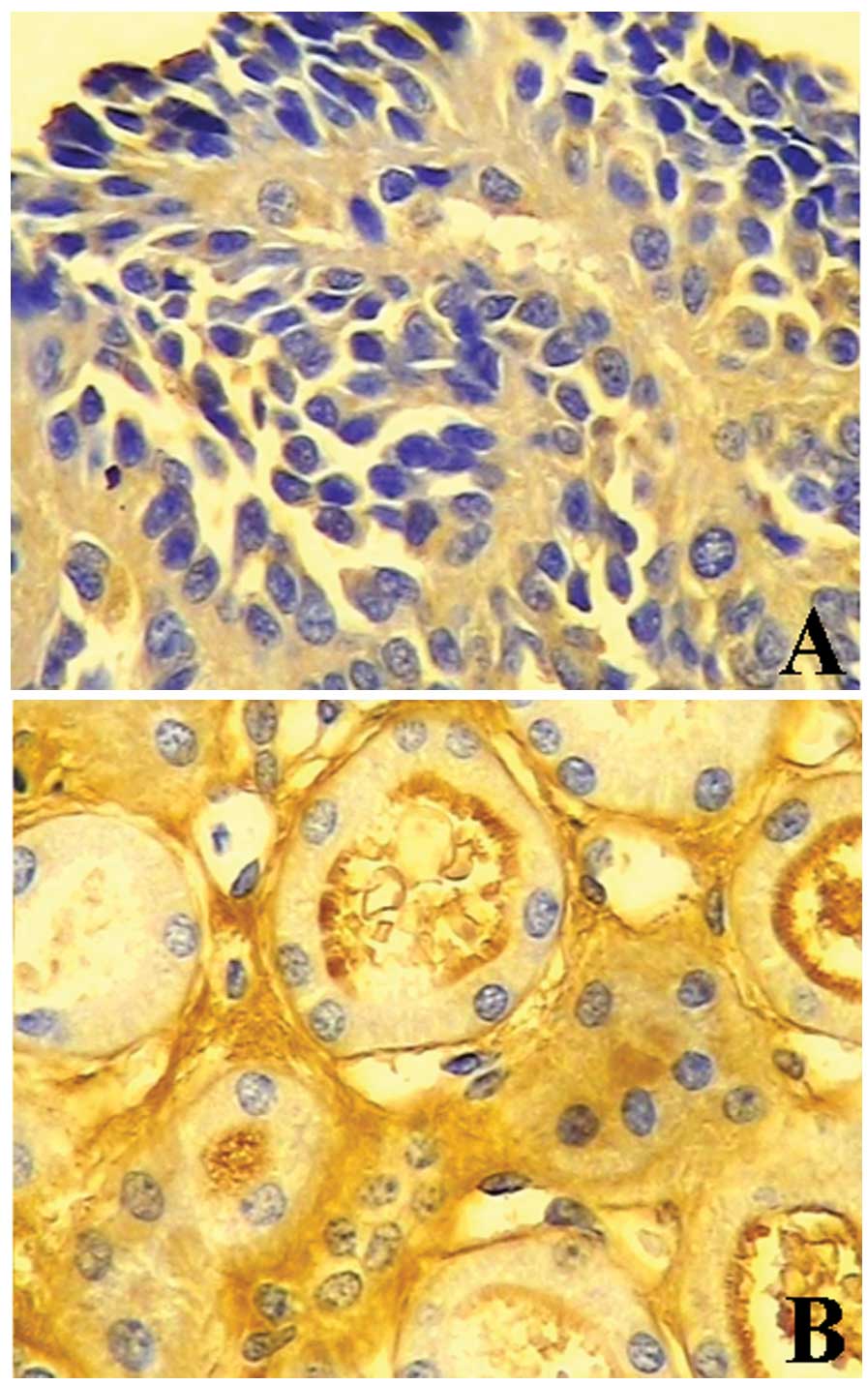
The aim of the present study was to determine the expression and function of B cell translocation gene 1 (BTG1) in kidney carcinoma. Kidney samples were obtained from cancer lesions (n=85) and the adjacent normal tissue (n=40) in kidney cancer patients immediately following endoscopic biopsy. The effect of BTG1 overexpression was examined in vitro utilizing a human kidney cancer cell line, ACHN, stably transfected with a recombinant lentivirus (LeBTG1 cells) and compared to empty vector‑transfected controls (LeEmpty). BTG1 protein expression was significantly lower in kidney cancer tissue biopsies compared to normal tissue, as measured by immunohistochemistry (34.1 vs. 77.8% of tissues; P<0.05) and western blotting (0.481±0.051 vs. 0.857±0.081; P<0.05). In vitro analyses revealed that LeBTG1 cells had a reduced survival fraction compared to control LeEmpty cells, with higher rates of apoptosis (16.6±2.5 vs. 6.1±0.7%; P<0.05). The proportion of LeBTG1 cells in G0/G1 stage and S phase was also significantly different from LeEmpty cells (66.8±5.3 and 22.2±1.5% vs. 44.4±3.1 and 34.5±2.3%, respectively; P<0.05), and the migration and invasion of LeBTG1 cells was significantly impaired with respect to LeEmpty cells (74.0±9.0 and 53.0±7.0 vs. 118.0±15.0 and 103.0±13.0, respectively; P<0.05). These effects were accompanied by decreased protein expression of cyclin D1, B‑cell lymphoma 2 and matrix metalloproteinase 9 in LeBTG1 cells (0.118±0.018, 0.169±0.015 and 0.207±0.027, respectively) compared to control LeEmpty cells (0.632±0.061, 0.651±0.063 and 0.443±0.042, respectively; P<0.05). Reduced BTG1 expression is associated with increased disease severity, suggesting it is a negative regulator of kidney cancer and can serve as a prognostic indicator. The results of the present study show that BTG1 protein levels were significantly reduced in kidney cancer biopsy specimens and were associated with disease progression and prognosis.
View Figures

Figure 1

Figure 2

Figure 3

Figure 4

Figure 5

Figure 6

Figure 7

Figure 8

Figure 9

View References

1 

Agathocleous M and Harris WA: Metabolism in physiological cell proliferation and differentiation. Trends Cell Biol. 23:484–492. 2013. View Article : Google Scholar : PubMed/NCBI

2 

Hofmockel G: Molecular genetic principles of tumor development and progression. Urologe A. 39:212–213. 2000.(In German). PubMed/NCBI

3 

Shibata D and Aaltonen LA: Genetic predisposition and somatic diversification in tumor development and progression. Adv Cancer Res. 80:83–114. 2001. View Article : Google Scholar

4 

Lee EY and Muller WJ: Oncogenes and tumor suppressor genes. Cold Spring Harb Perspect Biol. 2:a0032362010. View Article : Google Scholar : PubMed/NCBI

5 

Okuyama T, Maehara Y, Kabashima A, Takahashi I, Kakeji Y and Sugimachi K: Combined evaluation of expressions of p53 and p21 proteins as prognostic factors for patients with gastric carcinoma. Oncology. 63:353–361. 2002. View Article : Google Scholar : PubMed/NCBI

6 

Vadgama JV, Scuric Z, Chakrabarti R, Marzo E, Shen D and Wu Y: Insulin-like growth factor I differentially regulates the expression of HIRF1/hCAF1 and BTG1 genes in human MCF-7 breast cancer cells. Int J Mol Med. 18:129–139. 2006.PubMed/NCBI

7 

Cortes U, Moyret-Lalle C, Falette N, Duriez C, Ghissassi FE, Barnas C, Morel AP, Hainaut P, Magaud JP and Puisieux A: BTG gene expression in the p53-dependent and -independent cellular response to DNA damage. Mol Carcinog. 27:57–64. 2000. View Article : Google Scholar : PubMed/NCBI

8 

Winkler GS: The mammalian anti-proliferative BTG/Tob protein family. J Cell Physiol. 222:66–72. 2010. View Article : Google Scholar

9 

Rouault JP, Rimokh R, Tessa C, Paranhos G, Ffrench M, Duret L, Garoccio M, Germain D, Samarut J and Magaud JP: BTG1, a member of a new family of antiproliferative genes. EMBO J. 11:1663–1670. 1992.PubMed/NCBI

10 

Rouault JP, Falette N, Guéhenneux F, Guillot C, Rimokh R, Wang Q, Berthet C, Moyret-Lalle C, Savatier P, Pain B, Shaw P, Berger R, Samarut J, Magaud JP, Ozturk M, Samarut C and Puisieux A: Identification of BTG2, an antiproliferative p53-dependent component of the DNA damage cellular response pathway. Nat Genet. 14:482–486. 1996. View Article : Google Scholar : PubMed/NCBI

11 

Matsuda S, Rouault J, Magaud J and Berthet C: In search of a function for the TIS21/PC3/BTG1/TOB family. FEBS Lett. 497:67–72. 2001. View Article : Google Scholar : PubMed/NCBI

12 

Bozec A, Peyrade F and Milano G: Molecular targeted therapies in the management of head and neck squamous cell carcinoma: recent developments and perspectives. Anticancer Agents Med Chem. 13:389–402. 2013.

13 

Suzuki K, Nakamura K, Kato K, Hamada H and Tsukamoto T: Exploration of target molecules for prostate cancer gene therapy. Prostate. 67:1163–1173. 2007. View Article : Google Scholar : PubMed/NCBI

14 

Turashvili G, Bouchal J, Ehrmann J, Fridman E, Skarda J and Kolar Z: Novel immunohistochemical markers for the differentiation of lobular and ductal invasive breast carcinomas. Biomed Pap Med Fac Univ Palacky Olomouc Czech Repub. 151:59–64. 2007. View Article : Google Scholar : PubMed/NCBI

15 

Ranganathan V and De PK: Western blot of proteins from Coomassie-stained poly-acrylamide gels. Anal Biochem. 234:102–104. 1996. View Article : Google Scholar : PubMed/NCBI

16 

van Meerloo J, Kaspers GJ and Cloos J: Cell sensitivity assays: the MTT assay. Methods Mol Biol. 731:237–245. 2011. View Article : Google Scholar : PubMed/NCBI

17 

Rasola A and Geuna M: A flow cytometry assay simultaneously detects independent apoptotic parameters. Cytometry. 45:151–157. 2001. View Article : Google Scholar : PubMed/NCBI

18 

Kramer N, Walzl A, Unger C, Rosner M, Krupitza G, Hengstschläger M and Dolznig H: In vitro cell migration and invasion assays. Mutat Res. 752:10–24. 2013. View Article : Google Scholar

19 

Richards RJ: Responsibility for statistical analyses. Endocr Pract. 9:3292003.PubMed/NCBI

20 

Zhu R, Zou ST, Wan JM, Li W, Li XL and Zhu W: BTG1 inhibits breast cancer cell growth through induction of cell cycle arrest and apoptosis. Oncol Rep. 30:2137–2144. 2013.PubMed/NCBI

21 

Manjili MH, Najarian K and Wang XY: Signatures of tumor-immune interactions as biomarkers for breast cancer prognosis. Future Oncol. 8:703–711. 2012. View Article : Google Scholar : PubMed/NCBI

22 

Martinez-Outschoorn UE, Pavlides S, Sotgia F and Lisanti MP: Mitochondrial biogenesis drives tumor cell proliferation. Am J Pathol. 178:1949–1952. 2011. View Article : Google Scholar : PubMed/NCBI

23 

Koff A, Cross F, Fisher A, Schumacher J, Leguellec K, Philippe M and Roberts JM: Human cyclin E, a new cyclin that interacts with two members of the CDC2 gene family. Cell. 66:1217–1228. 1991. View Article : Google Scholar : PubMed/NCBI

24 

Tirone F: The gene PC3(TIS21/BTG2), prototype member of the PC3/BTG/TOB family: regulator in control of cell growth, differentiation, and DNA repair? J Cell Physiol. 187:155–165. 2001. View Article : Google Scholar : PubMed/NCBI

25 

Nicholson DW and Thornberry NA: Apoptosis. Life and death decisions. Science. 299:214–215. 2003. View Article : Google Scholar : PubMed/NCBI

26 

Corjay MH, Kearney MA, Munzer DA, Diamond SM and Stoltenborg JK: Antiproliferative gene BTG1 is highly expressed in apoptotic cells in macrophage-rich areas of advanced lesions in Watanabe heritable hyperlipidemic rabbit and human. Lab Invest. 78:847–858. 1998.PubMed/NCBI

27 

Lee H, Cha S, Lee MS, Cho GJ, Choi WS and Suk K: Role of antiproliferative B cell translocation gene-1 as an apoptotic sensitizer in activation-induced cell death of brain microglia. J Immunol. 171:5802–5811. 2003. View Article : Google Scholar : PubMed/NCBI

28 

Nahta R, Yuan LX, Fiterman DJ, Zhang L, Symmans WF, Ueno NT and Esteva FJ: B cell translocation gene 1 contributes to antisense Bcl-2-mediated apoptosis in breast cancer cells. Mol Cancer Ther. 5:1593–1601. 2006. View Article : Google Scholar : PubMed/NCBI

29 

Wiseman BS and Werb Z: Stromal effects on mammary gland development and breast cancer. Science. 296:1046–1049. 2002. View Article : Google Scholar : PubMed/NCBI

30 

Alok C and Bharat B: Nuclear factor-kappa Band cancer: its role in prevention and therapy. Biochem Phamacol. 64:883–888. 2002. View Article : Google Scholar

31 

Virós D, Camacho M, Zarraonandia I, García J, Quer M, Vila L and León X: Prognostic role of MMP-9 expression in head and neck carcinoma patients treated with radiotherapy or chemoradiotherapy. Oral Oncol. 49:322–325. 2013. View Article : Google Scholar

Related Articles

  • Abstract
  • View
  • Download
  • Twitter
Copy and paste a formatted citation
Spandidos Publications style
Sun G, Liu Q, Cheng Y and Hu W: B cell translocation gene 1 reduces the biological outcome of kidney cancer through induction of cell proliferation, cell cycle arrest, cell apoptosis and cell metastasis. Int J Mol Med 35: 777-783, 2015.
APA
Sun, G., Liu, Q., Cheng, Y., & Hu, W. (2015). B cell translocation gene 1 reduces the biological outcome of kidney cancer through induction of cell proliferation, cell cycle arrest, cell apoptosis and cell metastasis. International Journal of Molecular Medicine, 35, 777-783. https://doi.org/10.3892/ijmm.2014.2058
MLA
Sun, G., Liu, Q., Cheng, Y., Hu, W."B cell translocation gene 1 reduces the biological outcome of kidney cancer through induction of cell proliferation, cell cycle arrest, cell apoptosis and cell metastasis". International Journal of Molecular Medicine 35.3 (2015): 777-783.
Chicago
Sun, G., Liu, Q., Cheng, Y., Hu, W."B cell translocation gene 1 reduces the biological outcome of kidney cancer through induction of cell proliferation, cell cycle arrest, cell apoptosis and cell metastasis". International Journal of Molecular Medicine 35, no. 3 (2015): 777-783. https://doi.org/10.3892/ijmm.2014.2058
Copy and paste a formatted citation
x
Spandidos Publications style
Sun G, Liu Q, Cheng Y and Hu W: B cell translocation gene 1 reduces the biological outcome of kidney cancer through induction of cell proliferation, cell cycle arrest, cell apoptosis and cell metastasis. Int J Mol Med 35: 777-783, 2015.
APA
Sun, G., Liu, Q., Cheng, Y., & Hu, W. (2015). B cell translocation gene 1 reduces the biological outcome of kidney cancer through induction of cell proliferation, cell cycle arrest, cell apoptosis and cell metastasis. International Journal of Molecular Medicine, 35, 777-783. https://doi.org/10.3892/ijmm.2014.2058
MLA
Sun, G., Liu, Q., Cheng, Y., Hu, W."B cell translocation gene 1 reduces the biological outcome of kidney cancer through induction of cell proliferation, cell cycle arrest, cell apoptosis and cell metastasis". International Journal of Molecular Medicine 35.3 (2015): 777-783.
Chicago
Sun, G., Liu, Q., Cheng, Y., Hu, W."B cell translocation gene 1 reduces the biological outcome of kidney cancer through induction of cell proliferation, cell cycle arrest, cell apoptosis and cell metastasis". International Journal of Molecular Medicine 35, no. 3 (2015): 777-783. https://doi.org/10.3892/ijmm.2014.2058
Follow us
  • Twitter
  • LinkedIn
  • Facebook
About
  • Spandidos Publications
  • Careers
  • Cookie Policy
  • Privacy Policy
How can we help?
  • Help
  • Live Chat
  • Contact
  • Email to our Support Team