International Journal of Molecular Medicine is an international journal devoted to molecular mechanisms of human disease.
International Journal of Oncology is an international journal devoted to oncology research and cancer treatment.
Covers molecular medicine topics such as pharmacology, pathology, genetics, neuroscience, infectious diseases, molecular cardiology, and molecular surgery.
Oncology Reports is an international journal devoted to fundamental and applied research in Oncology.
Experimental and Therapeutic Medicine is an international journal devoted to laboratory and clinical medicine.
Oncology Letters is an international journal devoted to Experimental and Clinical Oncology.
Explores a wide range of biological and medical fields, including pharmacology, genetics, microbiology, neuroscience, and molecular cardiology.
International journal addressing all aspects of oncology research, from tumorigenesis and oncogenes to chemotherapy and metastasis.
Multidisciplinary open-access journal spanning biochemistry, genetics, neuroscience, environmental health, and synthetic biology.
Open-access journal combining biochemistry, pharmacology, immunology, and genetics to advance health through functional nutrition.
Publishes open-access research on using epigenetics to advance understanding and treatment of human disease.
An International Open Access Journal Devoted to General Medicine.
T cell maturation is an important phase in the development of an effective cell-mediated immune response. The thymus is the organ where T cells differentiate and mature (1). Two functional thymic compartments, known as the cortex and the medulla, are important for the positive selection of immature thymocytes and the deletion of self-reactive T cell clones, respectively (2). It has been shown that thymic atrophy occurs under several conditions. Since the first descriptions (3,4), thymic involution has been classically considered as an irreversible, inevitable age-related deterioration process of this organ (5,6). Although thymic atrophy has been observed in various diseases such as graft-versus-host disease (GVHD) (7) and microbial infections (8), and it is affected by changes in hormone production (9), the mechanisms involved in this phenomenon remain to be elucidated.
We have studied for several years a model system of a mammary tumor named D1-DMBA-3, developed in BALB/c mice by D1-7,12-dimethylbenzanthracene by Medina and DeOme (10). An in vitro cell line (DA-3), was derived in our laboratory from this in vivo tumor (11). Our studies have shown a profound tumor-associated immunosuppression (11) and a progressive thymic atrophy in tumor-bearing mice (12). The tumor-induced immunosuppression observed in our model is associated in part with an accumulation of myeloid-derived suppressor cells in several peripheral organs (13). In addition, the mammary tumor cells used in these studies secreted several molecules which are known to have effects on the immune system (14–16). In a previous study, we observed a decrease in the level of interferon (IFN)-γ in the circulation and in its production by peripheral T cells, mainly due to the downregulation of interleukin (IL)-12 (17). Tumor-induced thymic involution is accompanied by a severe depletion of CD4+CD8+ double-positive (DP) immature thymocytes and an increase in the percentages of CD4+CD8− and CD4−CD8+ single-positive populations and CD4−CD8− double-negative (DN) populations (18). Previous studies from our laboratory have shown that an early block in the maturation of the thymus is associated with severe thymic atrophy in mammary tumor bearers (12,18). In addition, there are changes in the levels of crucial cytokines expressed in the thymic microenvironment (19) and in anti-apoptotic proteins (20), as well as alterations in IFNs and Jak/Stat signaling pathways (21).
Leptin is an adipocyte-derived peptide hormone that plays a central role in regulating body weight by inhibiting food intake and stimulating energy expenditure (22). In addition, leptin appears to modulate innate and adaptive immunity by regulating CD4 Th cell cytokine production, promoting the proliferation of naïve T cells and regulating thymic development (23). Thymopoiesis is an essential process for the development and maintenance of the immune system. This process involves multiple thymocyte differentiation steps (24). Maturing thymocytes differentiate from the CD4/CD8 DN population into DP cells (25). DP thymocytes undergo further selection processes that involve MHC class II or MHC class I restriction between immature thymocytes and thymic stromal cells or other cells, such as macrophages and dendritic cells (26). Some soluble factors, such as IL-7, human growth hormone (hGH), keratinocyte growth factor (KGF), and thymic stromal-derived lymphopoietin (TSLP), can also positively impact both thymopoiesis and thymocyte development (27).
It has been postulated that leptin can provide a survival signal to developing immature thymocytes (23). In leptin-deficient obese mice, the distribution of thymocyte subpopulations differs markedly from that in wild-type mice. Upon the administration of leptin, however, the imbalances in thymic subpopulations are rapidly recovered, with a decrease in the percentage of DN thymocytes and an increase in DP thymocytes (23). Thus, leptin may significantly affect the differentiation of immature thymocytes. Taking into consideration the leptin-mediated signaling effects on cell survival and proliferation, it is plausible that adipocyte infiltration and the expression of leptin in the thymuses of tumor-bearing mice may be closely related to thymic involution. In the present study, we explored this issue by using in vivo and in vitro assay systems. Collectively, our data suggest that the heavy infiltration of adipocytes and the presence of leptin in the thymuses of tumor bearers may affect normal thymopoiesis, leading to the impairment of T cell development observed during tumor-induced thymic atrophy.
BALB/c mice (n=60) were bred and housed at the Division of Veterinary Resources at the University of Miami Miller School of Medicine, with full compliance to the USA Federal Regulations and Institutional Policies. They were placed in cages under pathogen-free conditions and allowed free access to food and water. Two groups of 6 mice in each were tested in each experiment. The groups were the normal control mice and mice that were implanted with mammary tumors for 4 weeks. Mice (aged 10–14 weeks) were used for tumor implantation. BALB/c mice were subcutaneously injected with 1×106 tumor cells in 0.9% saline. The D1-DMBA-3 tumor is a transplantable mammary adenocarcinoma, derived from a non-viral, non-carcinogen-induced preneoplastic nodule in a BALB/c mouse treated with 7,12-dimethylbenzanthracene (10). The D1-DMBA-3 tumor (10) was a generous gift from Dr Daniel Medina and we have maintained and used it in vivo and in vitro in our laboratory for over 25 years. The immunogenic D1-DMBA-3 tumor was routinely transplanted into BALB/c mice by the subcutaneous injection of tumor cells as previously described (12). Palpable tumors were apparent within approximately 8 days following implantation and the mice were sacrificed by cervical dislocation 4 weeks following tumor implantation. All experiments were carried out according to the guidelines of the Animal Care and Use Committee of the University of Miami Miller School of Medicine, Miami, FL. USA.
The mice were sacrificed and both lobes of the thymus were carefully dissected from the chest cavity. Histological examinations were performed after fixing the thymic lobes in 10% neutral-buffered formalin and embedding the tissues in paraffin. To assess adipocyte infiltration, the fixed thymic tissues were stained with Oil Red O (Sigma-Aldrich, St. Louis, MO, USA) according to the manufacturer's instructions. In other experiments, the thymuses were placed in a petri dish containing 1X Hanks' balanced salt solution, 1% calf serum, 10 mM HEPES, pH 7.2. The thymic lobes were weighed and placed in a cell strainer in a petri dish with a drop of medium on the top, and gently compressed with the base of a 3 ml syringe followed by a wash with cold medium and were then transferred to polypropylene tubes. Cells were counted before being used in the various assays described below.
The Mouse Common Cytokines PCR Array was purchased from Qiagen (Valencia, CA, USA). Total RNA was extracted from the entire thymus using TRIzol (ThermoFisher Scientific, Grand Island, NY, USA) using a tissue homogenizer from Omni International (Marietta, GA, USA). cDNA was prepared from this total RNA and hybridized to the arrayed filters according to the manufacturer's instructions. The resulting hybridization signal was visualized by chemiluminescence. Data were subjected to densitometric analysis using Scion Image Software (Scion, Frederick, MD, USA). RNA levels were expressed as relative optical density (OD) measurements after normalizing to the hybridization signals to GAPDH that served as a control.
Whole-cell extracts from thymuses of the normal and tumor-bearing mice were used. The thymuses were lysed using cold RIPA assay buffer supplemented with protease inhibitor cocktail tablets and sodium vanadate (1 mmol/l final concentration) (both from Roche, Indianapolis, IN, USA). The protein concentration was determined using the BCA protein assay kit (Pierce Biotechnology Inc., Rockford, IL, USA) before analyzing the samples by western blot analysis as previously described (19). The primary antibodies used were two rabbit polyclonal antibodies, anti-leptin (Cat. no. 500-P68; PeProtech, Rocky Hill, NJ, USA) and anti-adiponectin (Cat. no. 2789; Cell Signaling Technology, Inc., Danvers. MA, USA). The levels of β-actin (Cat. no. A1978; Sigma-Aldrich, St. Louis, MO, USA) were detected by a rabbit anti-mouse polyclonal antibody (Sigma-Aldrich). The secondary antibody was a peroxidase-conjugated donkey anti-goat IgG from Jackson ImmunoResearch (West Grove, PA, USA). Visualization of the complexes was performed with the chemiluminescence method (West Pico Chemiluminescent Substrate; Pierce Biotechnology Inc.) and the membranes were exposed to X-ray film. The films were scanned and the data was subjected to densitometric analysis using Scion Image Software (NIH). The protein levels were normalized to the hybridization signals of β-actin, and reported as the relative intensity.
Adipocytes were separated from other cell types present in the thymuses of the tumor-bearing mice by enzymatic digestion of the tissue with collagenase. Briefly, approximately 10–15 thymuses from the tumor-bearing were minced into small pieces (~1 mm) and incubated in 4 volumes of 1 mg/ml collagenase IV (Worthington Biochemical Corp., Lakewood, NJ, USA) in phosphate-buffered saline (PBS) for 30 min at 37°C. The samples were centrifuged at 600 × g for 2 min to obtain a floating fraction of adipocytes. The ex vivo isolated adipocytes were counted and mixed with thymocytes from the normal mice as described below.
The isolated total thymocytes from the normal mice (5×105 cells/well) were cultured in 0.2 ml of RPMI-1640 containing 5% fetal calf serum, glutamine (30 µg/ml), penicillin (100 U/ml), streptomycin (100 µg/ml), and 2-mercap-toethanol (5×10−5 M) in 96-well flat-bottom culture plates (Costar, Cambridge, MA, USA), with the addition of anti-CD3 (1 µg/ml) and anti-CD28 (3 µg/ml). In some experiments, the thymic T cells were left untreated (controls) or treated with 50 or 100 ng of leptin prior to incubation for 48 h before collecting the culture supernatants. In co-culture experiments, thymocytes from normal mice were cultured alone (controls) or with thymic adipocytes isolated from tumor bearers as described above. When the ex vivo isolated adipocytes were used, the floating fraction of adipocytes was isolated from thymocytes as described above, and 5×105 adipocytes from this fraction were mixed with 5×105 thymocytes. Co-cultures were carried out for 48 h, and the conditioned medium was harvested, centrifuged and the supernatants were frozen at −80°C for further analyses.
The amounts of IFN-γ, IL-2 and granulocyte-macrophage colony-stimulating factor (GM-CSF) were analyzed using standard ELISA kits (BD Biosciences, San Diego, CA, USA) according to the manufacturer's instructions. The amounts of the cytokine present in each well were quantified by measuring the absorbance at 450–550 nm using a Tecan SLT Rainbow Reader (SLT Lab Instruments, Research Triangle Park, NC, USA). The OD values were converted to pg/ml by including dilutions of known amounts of recombinant murine cytokines in the ELISA. A standard curve was generated by plotting the OD value of the standards versus their known cytokine concentration.
Statistical evaluations were conducted using the Student's t-test. Error bars represent the standard error of the mean (SEM), and all p-values were two-sided. A probability value of p≤0.05 considered to indicate a statistically significant difference.
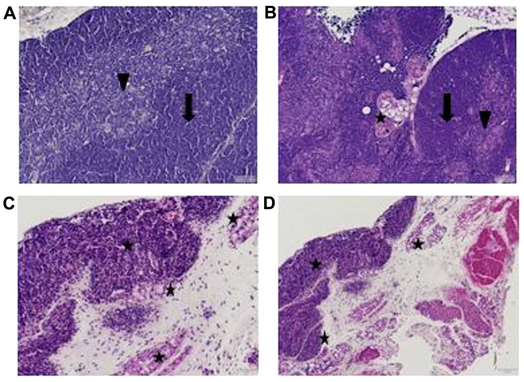
In previous studies of ours, we described profound alterations in the thymuses of tumor-bearing mice (12,18). Thus, while the thymuses from the normal mice exhibited discrete cortical and medullar zones, the mice implanted with D1-DMBA-3 tumors displayed progressively reduced thymuses with the loss of demarcation between the cortex and the medulla (19). In order to determine the possible presence of adipocytes, histological analyses of paraffin-embedded thymic lobes from the normal and tumor-bearing mice were stained with Oil Red O as described in the Materials and methods. As shown in Fig. 1A (×100 magnification), histopathological analysis of the thymuses from a normal mouse thymus revealed a well-defined cortex with a thick layer of thymocytes and a distinct medullar zone. By contrast, as shown in Fig. 1B (×100 magnification), profound thymic disruption was observed in a tumor-bearing mouse at 4 weeks and the accumulation of adipocytes appeared in the tissue surrounding the thymus. In addition, as can be clearly observed at a higher magnification (×400), the accumulation of adipocytes did not occur solely outside the organ, but was also found inside the thymuses of the tumor-bearing mice (Fig. 1C and D) as detected by the red staining of these cells.
Two adipokines that are prominently produced by adipocytes are adiponectin (28), which tends to have anti-inflammatory properties, and leptin, which tends to have pro-inflammatory properties (29). Experiments were conducted to determine the expression of these two molecules, which may be involved in thymic involution in tumor-bearing mice, due to the abnormal functioning of the stromal cell microenvironment in this organ. No changes in the levels of adiponectin were observed in the thymuses of the normal and tumor-bearing mice (data not shown). The expression of leptin in the thymuses was detected by western blot analysis and β-actin was used as a loading control. Fig. 2A shows one of two experiments in which the leptin protein levels of normal mice and tumor bearers were investigated. It can be observed that the thymuses of the tumor-bearing mice (TBM1, TBM2 and TBM3) expressed higher levels of leptin than the thymuses from normal mice (NM1, NM2 and NM3). Densitometric analyses were performed to determine the relative intensity of the adipokine in the thymuses of the two types of mice. Fig. 2B is based on two western blot anlaysis experiments with a total of 6 individual animals per group. The levels of leptin were significantly higher in the thymuses from the tumor-bearing than in the thymuses from normal mice, while the levels of β-actin remained unaltered. These findings suggest that the heavy presence of adipocytes may be linked to the overexpression of leptin in the thymuses of tumor bearers, and may thus alter the functioning of the thymuses.
We have previously reported an upregulation of IFN-γ levels in the thymocytes of tumor-bearing mice (21). In the present study, experiments were performed to evaluate whether the increased expression of leptin in the thymuses from tumor-bearing mice may affect this elevation of IFN-γ levels. Thymocytes from normal and tumor-bearing mice were cultured for 48 h in the presence of IL-2 and anti-CD3/anti-CD28 as co-stimulators, and with or without the addition of leptin. The leptin concentrations used were selected based on the levels of leptin in the serum of BALB/c mice bearing 4T1 mammary tumors, as previously described by Kim et al (30). The protein expression of IFN-γ in the untreated and in the leptin-treated cultures is shown in Fig. 3. Untreated thymocytes from the thymuses of tumor-bearing mice (TBM) had higher levels of IFN-γ than those from normal mice (NM), as previously described (19,21). The addition of 50 ng leptin increased the expression level of IFN-γ in both normal and tumor-bearing mice, and the addition of 100 ng leptin further increased the production of this cytokine. These results indicate that leptin may be involved in the thymic changes occurring during mammary tumorigenesis.
Leptin has been shown to modulate the production of pro-inflammatory molecules (23). Since this molecule is overproduced in the thymuses of tumor bearers, we analyzed the mRNA levels of GM-CSF and those of the Th1 cell cytokines, IL-2 and IFN-γ. We decided to examine the effects of these molecules based on the following reasons: Th cells are very important for the activation of immune responses, and IL-2 and IFN-γ are two important cytokines produced by these lymphocytes (31). GM-CSF is expressed by several types of immune cells, including dendritic cells, macrophages and helper and cytotoxic T lymphocytes. The mammary tumor cells used in our experiments have been shown to produce high levels of GM-CSF (11,16) and to induce the expansion of immunoregulatory macrophages (13). In addition, a novel subset of Th cells named ThGM cells has been described, which promotes immune responses by secreting GM-CSF (32). As shown in Fig. 4, the mRNA expression of the three factors tested was found to be elevated in the thymuses of tumor-bearing mice as compared with those from normal mice.
The experiments described above suggest that the high numbers of adipocytes that infiltrated the thymuses of tumor-bearing mice may be influencing the changes in the microenvironment that appear to be involved in thymic involution. Thymocytes from normal mice were cultured by themselves or co-cultured with the ex vivo isolated adipocytes. GM-CSF, IL-2 and IFN-γ cytokine expression levels in the thymic cells from 6 individual normal mice were measured by ELISA following 48 h of incubation. An increase in the levels of IFN-γ and GM-CSF was observed in the 6 individual cell cultures that contained adipocytes (Fig. 5). A total of 4 of the 6 samples co-cultured with the ex vivo isolated adipocytes also had increased levels of IL-2. These results suggest that the accumulation of adipocytes in the thymuses of tumor bearers modifies the cytokine profiles observed in these organs.
The increased infiltration of adipocytes has been shown to be associated with thymic atrophy in aging (33). Indeed, it has been reported that with increasing age, adipocytes constitute the majority of cells in the thymic space, while the number of thymocytes substantially decreases (34,35). Furthermore, there is evidence that progenitor lymphoid cells from young mice develop into non-functional T lymphocytes when they are exposed to and come into contact with aging thymic cells (36). Although thymics involution has been shown to occur in obesity (37), infections (8) and cancer (12,38) the accumulation of thymic adipocytes under these conditions has not been carefully analyzed to date, to the the best of our knowledge.
Adipose tissues and adipocytes are known to be important sources of pro-inflammatory cytokines as reviewed by Gilbert and Slingerland (39). It has also been shown that adipocytes have a direct impact on immune cells (40,41). In a previous study, the number of bone marrow adipocytes increased following treatment with chemotherapy or following irradiation and the adipocytes acted as negative regulators of the hematopoietic microenvironment (42). Vielma et al (40) demonstrated that medium conditioned with adipocytes stimulated the release of certain cytokines, such as IL-2, IFN-γ and GM-CSF from the cultures of normal spleen cells. In our study, we also found elevated levels of these three cytokines in the thymocytes of tumor bearing-mice in comparison with the levels observed in the thymic cells of normal mice (Fig. 4), where there was no heavy infiltration of adipocytes. Furthermore, the co-culture of normal thymocytes with adipocytes isolated from the thymuses of tumor-bearing mice for 48 h also resulted in increased levels of IL-2, IFN-γ and GM-CSF (Fig. 5). We have previously described that the levels of IFN-γ are elevated in the thymic cells of tumor bearing-mice (21). This finding appeared to be paradoxical, as we have shown in several previous studies that tumor-bearing mice have an overall decreased level of IFN-γ in the circulation (17,38). However, it is important to emphasize that thymic involution is associated with a severe depletion of DP CD4+CD8+ thymocytes due to an arrest at an early stage of differentiation (18). By contrast, the percentages of DN CD4−CD8− thymocytes remains largely unaltered, while the number of single positive CD4+ and CD8+ cells increases. Since after 4 weeks of tumor implantation the remaining thymic cells in the involuted organs are approximately 5% of the normal numbers, the composition of thymocytes is quite different in tumor-bearing mice with an increase in the number of single positive cells (18). Indeed, it has been shown that in aging, an expanded peripheral CD8+ T cell population correlates with an increase in IFN-γ production (41).
The present study found that the expression of leptin was higher in the thymuses of tumor-bearing mice than in normal mice as measured by western blot analysis (Fig. 2). Leptin is an adipokine that has multiple effects in obesity (43), as well as the neuroendocrine and reproductive systems (44), among others. Recently, it has been shown to be an important modulator of the immune system (23). Thymic development has been proposed to be positively influenced by leptin levels (45). Of note, Dixit et al (46) demonstrated that leptin infusion into aged, but not young mice, significantly enhanced thymopoiesis. In our model system, elevated levels of this adipokine correlated with advanced thymic involution. However, we have found previously that there is a profound decrease in hepatocyte growth factor (HGF) in the thymuses of tumor bearers (19). In connection with this, Yamaji et al (47) demonstrated that leptin inhibited the HGF-induced ductal morphogenesis of bovine mammary epithelial cells. Thus, this adipokine may be causing the decrease in HGF that is associated with mammary tumor thymic involution, that we have previously shown is reversible, by restoring the normal levels of this growth factor (19). In future studies, we plan to extensively analyze the possible effects of leptin on the expression of thymic HGF in tumor bearers. In this study, we demonstrated that high leptin levels are associated with a heavy infiltration of adipocytes into and around the involuted thymuses; thus, it appears that these two factors are important contributors to the thymic atrophy observed in tumor-bearing mice.
This study was supported by grants from the Florida Breast Cancer Foundation and from the Cancer Link.
|
Gill J, Malin M, Sutherland J, Gray D, Hollander G and Boyd R: Thymic generation and regeneration. Immunol Rev. 195:28–50. 2003. View Article : Google Scholar : PubMed/NCBI | |
|
Takahama Y: Journey through the thymus: stromal guides for T-cell development and selection. Nat Rev Immunol. 6:127–135. 2006. View Article : Google Scholar : PubMed/NCBI | |
|
Boyd E: The weight of the thymus gland in health and disease. Am J Dis Child. 43:1162–1214. 1932. | |
|
Metcalf D, Moulds R and Pike B: Influence of the spleen and thymus on immune responses in ageing mice. Clin Exp Immunol. 2:109–120. 1967.PubMed/NCBI | |
|
Aspinall R and Andrew D: Thymic involution in aging. J Clin Immunol. 20:250–256. 2000. View Article : Google Scholar : PubMed/NCBI | |
|
Linton PJ and Dorshkind K: Age-related changes in lymphocyte development and function. Nat Immunol. 5:133–139. 2004. View Article : Google Scholar : PubMed/NCBI | |
|
Lapp WS, Ghayur T, Mendes M, Seddik M and Seemayer TA: The functional and histological basis for graft-versus-host-induced immunosuppression. Immunol Rev. 88:107–133. 1985. View Article : Google Scholar : PubMed/NCBI | |
|
Haynes BF, Markert ML, Sempowski GD, Patel DD and Hale LP: The role of the thymus in immune reconstitution in aging, bone marrow transplantation, and HIV-1 infection. Annu Rev Immunol. 18:529–560. 2000. View Article : Google Scholar : PubMed/NCBI | |
|
Montecino-Rodriquez E, Min H and Dorshkind K: Reevaluating current models of thymic involution. Semin Immunol. 17:356–361. 2005. View Article : Google Scholar : PubMed/NCBI | |
|
Medina D and DeOme KB: Response of hyperplastic alveolar nodule outgrowth-line D1 to mammary tumor virus, nodule-inducing virus, and prolonged hormonal stimulation acting singly and in combination. J Natl Cancer Inst. 42:303–310. 1969.PubMed/NCBI | |
|
Sotomayor EM, Fu YX, Lopez-Cepero M, Herbert L, Jimenez JJ, Albarracin C and Lopez DM: Role of tumor-derived cytokines on the immune system of mice bearing a mammary adenocarcinoma. II. Down-regulation of macrophage-mediated cytotoxicity by tumor-derived granulocyte-macrophage colony-stimulating factor. J Immunol. 147:2816–2823. 1991.PubMed/NCBI | |
|
Fu YX, Altman N and Lopez DM: Thymic atrophy induced by murine mammary adenocarcinoma in vivo. In Vivo. 3:1–5. 1989.PubMed/NCBI | |
|
Ilkovitch D and Lopez DM: The liver is a site for tumor-induced myeloid-derived suppressor cell accumulation and immunosuppression. Cancer Res. 69:5514–5521. 2009. View Article : Google Scholar : PubMed/NCBI | |
|
Watson GA, Fu YX and Lopez DM: Splenic macrophages from tumor-bearing mice co-expressing MAC-1 and MAC-2 antigens exert immunoregulatory functions via two distinct mechanisms. J Leukoc Biol. 49:126–138. 1991.PubMed/NCBI | |
|
Ilkovitch D, Carrio R and Lopez DM: Mechanisms of antitumor and immune-enhancing activities of MUC1/sec, a secreted form of mucin-1. Immunol Res. 57:70–80. 2013. View Article : Google Scholar : PubMed/NCBI | |
|
Fu YX, Watson G, Jimenez JJ, Wang Y and Lopez DM: Expansion of immunoregulatory macrophages by granulocyte-macrophage colony-stimulating factor derived from a murine mammary tumor. Cancer Res. 50:227–234. 1990.PubMed/NCBI | |
|
Handel-Fernandez ME, Cheng X, Herbert LM and Lopez DM: Down-regulation of IL-12, not a shift from a T helper-1 to a T helper-2 phenotype, is responsible for impaired IFN-gamma production in mammary tumor-bearing mice. J Immunol. 158:280–286. 1997.PubMed/NCBI | |
|
Adkins B, Charyulu V, Sun QL, Lobo D and Lopez DM: Early block in maturation is associated with thymic involution in mammary tumor-bearing mice. J Immunol. 164:5635–5640. 2000. View Article : Google Scholar : PubMed/NCBI | |
|
Carrio R, Altman NH and Lopez DM: Downregulation of interleukin-7 and hepatocyte growth factor in the thymic microenvironment is associated with thymus involution in tumor-bearing mice. Cancer Immunol Immunother. 58:2059–2072. 2009. View Article : Google Scholar : PubMed/NCBI | |
|
Carrio R and Lopez DM: Impaired thymopoiesis occurring during the thymic involution of tumor-bearing mice is associated with a down-regulation of the antiapoptotic proteins Bcl-XL and A1. Int J Mol Med. 23:89–98. 2009. | |
|
Carrio R, Torroella-Kouri M, Iragavarapu-Charyulu V and Lopez DM: Tumor-induced thymic atrophy: alteration in interferons and Jak/Stats signaling pathways. Int J Oncol. 38:547–553. 2011. | |
|
Friedman JM and Halaas JL: Leptin and the regulation of body weight in mammals. Nature. 395:763–770. 1998. View Article : Google Scholar : PubMed/NCBI | |
|
Procaccini C, Jirillo E and Matarese G: Leptin as an immunomodulator. Mol Aspects Med. 33:35–45. 2012. View Article : Google Scholar | |
|
Miller JF: The golden anniversary of the thymus. Nat Rev Immunol. 11:489–495. 2011. View Article : Google Scholar : PubMed/NCBI | |
|
Ciofani M and Zúñiga-Pflücker JC: The thymus as an inductive site for T lymphopoiesis. Annu Rev Cell Dev Biol. 23:463–493. 2007. View Article : Google Scholar : PubMed/NCBI | |
|
Carpenter AC and Bosselut R: Decision checkpoints in the thymus. Nat Immunol. 11:666–673. 2010. View Article : Google Scholar : PubMed/NCBI | |
|
Germain RN: T-cell development and the CD4-CD8 lineage decision. Nat Rev Immunol. 2:309–322. 2002. View Article : Google Scholar : PubMed/NCBI | |
|
Li S, Bao HG, Han L, Liu L and Wang X: Effects of adiponectin on mortality and its mechanism in a sepsis mouse model. J Invest Surg. 25:214–219. 2012. View Article : Google Scholar : PubMed/NCBI | |
|
Canavan B, Salem RO, Schurgin S, Koutkia P, Lipinska I, Laposata M and Grinspoon S: Effects of physiological leptin administration on markers of inflammation, platelet activation, and platelet aggregation during caloric deprivation. J Clin Endocrinol Metab. 90:5779–5785. 2005. View Article : Google Scholar : PubMed/NCBI | |
|
Kim EJ, Choi MR, Park H, Kim M, Hong JE, Lee JY, Chun HS, Lee KW and Yoon Park JH: Dietary fat increases solid tumor growth and metastasis of 4T1 murine mammary carcinoma cells and mortality in obesity-resistant BALB/c mice. Breast Cancer Res. 13:R782011. View Article : Google Scholar : PubMed/NCBI | |
|
Abbas AK, Murphy KM and Sher A: Functional diversity of helper T lymphocytes. Nature. 383:787–793. 1996. View Article : Google Scholar : PubMed/NCBI | |
|
Zhang J, Roberts AI, Liu C, Ren G, Xu G, Zhang L, Devadas S and Shi Y: A novel subset of helper T cells promotes immune responses by secreting GM-CSF. Cell Death Differ. 20:1731–1741. 2013. View Article : Google Scholar : PubMed/NCBI | |
|
Youm YH, Yang H, Sun Y, Smith RG, Manley NR, Vandanmagsar B and Dixit VD: Deficient ghrelin receptor-mediated signaling compromises thymic stromal cell microenvironment by accelerating thymic adiposity. J Biol Chem. 284:7068–7077. 2009. View Article : Google Scholar : | |
|
Yang H, Youm YH and Dixit VD: Inhibition of thymic adipogenesis by caloric restriction is coupled with reduction in age-related thymic involution. J Immunol. 183:3040–3052. 2009. View Article : Google Scholar : PubMed/NCBI | |
|
Dixit VD: Adipose-immune interactions during obesity and caloric restriction: reciprocal mechanisms regulating immunity and health span. J Leukoc Biol. 84:882–892. 2008. View Article : Google Scholar : PubMed/NCBI | |
|
Clise-Dwyer K, Huston GE, Buck AL, Duso DK and Swain SL: Environmental and intrinsic factors lead to antigen unresponsiveness in CD4(+) recent thymic emigrants from aged mice. J Immunol. 178:1321–1331. 2007. View Article : Google Scholar : PubMed/NCBI | |
|
Yang H, Youm YH, Vandanmagsar B, Ravussin A, Gimble JM, Greenway F, Stephens JM, Mynatt RL and Dixit VD: Obesity increases the production of proinflammatory mediators from adipose tissue T cells and compromises TCR repertoire diversity: implications for systemic inflammation and insulin resistance. J Immunol. 185:1836–1845. 2010. View Article : Google Scholar : PubMed/NCBI | |
|
Carrio R and Lopez DM: Insights into thymic involution in tumor-bearing mice. Immunol Res. 57:106–114. 2013. View Article : Google Scholar : PubMed/NCBI | |
|
Gilbert CA and Slingerland JM: Cytokines, obesity, and cancer: new insights on mechanisms linking obesity to cancer risk and progression. Annu Rev Med. 64:45–57. 2013. View Article : Google Scholar | |
|
Vielma SA, Klein RL, Levingston CA and Young MR: Adipocytes as immune regulatory cells. Int Immunopharmacol. 16:224–231. 2013. View Article : Google Scholar : PubMed/NCBI | |
|
Koethe JR, Hulgan T and Niswender K: Adipose tissue and immune function: a review of evidence relevant to HIV infection. J Infect Dis. 208:1194–1201. 2013. View Article : Google Scholar : PubMed/NCBI | |
|
Bandrés E, Merino J, Vázquez B, Inogés S, Moreno C, Subirá ML and Sánchez-Ibarrola A: The increase of IFN-gamma production through aging correlates with the expanded CD8(+high)CD28(−) CD57(+) subpopulation. Clin Immunol. 96:230–235. 2000. View Article : Google Scholar | |
|
Sáinz N, Barrenetxe J, Moreno-Aliaga MJ and Martínez JA: Leptin resistance and diet-induced obesity: central and peripheral actions of leptin. Metabolism. 64:35–46. 2015. View Article : Google Scholar | |
|
Zhang F, Chen Y, Heiman M and Dimarchi R: Leptin: structure, function and biology. Vitam Horm. 71:345–372. 2005. View Article : Google Scholar : PubMed/NCBI | |
|
Gruver AL and Sempowski GD: Cytokines, leptin, and stress-induced thymic atrophy. J Leukoc Biol. 84:915–923. 2008. View Article : Google Scholar : PubMed/NCBI | |
|
Dixit VD, Yang H, Sun Y, Weeraratna AT, Youm YH, Smith RG and Taub DD: Ghrelin promotes thymopoiesis during aging. J Clin Invest. 117:2778–2790. 2007. View Article : Google Scholar : PubMed/NCBI | |
|
Yamaji D, Kamikawa A, Soliman MM, Ito T, Ahmed MM, Makondo K, Watanabe A, Saito M and Kimura K: Leptin inhibits hepatocyte growth factor-induced ductal morphogenesis of bovine mammary epithelial cells. Jpn J Vet Res. 54:183–189. 2007.PubMed/NCBI |