Spandidos Publications Logo
  • About
    • About Spandidos
    • Aims and Scopes
    • Abstracting and Indexing
    • Editorial Policies
    • Reprints and Permissions
    • Job Opportunities
    • Terms and Conditions
    • Contact
  • Journals
    • All Journals
    • Oncology Letters
      • Oncology Letters
      • Information for Authors
      • Editorial Policies
      • Editorial Board
      • Aims and Scope
      • Abstracting and Indexing
      • Bibliographic Information
      • Archive
    • International Journal of Oncology
      • International Journal of Oncology
      • Information for Authors
      • Editorial Policies
      • Editorial Board
      • Aims and Scope
      • Abstracting and Indexing
      • Bibliographic Information
      • Archive
    • Molecular and Clinical Oncology
      • Molecular and Clinical Oncology
      • Information for Authors
      • Editorial Policies
      • Editorial Board
      • Aims and Scope
      • Abstracting and Indexing
      • Bibliographic Information
      • Archive
    • Experimental and Therapeutic Medicine
      • Experimental and Therapeutic Medicine
      • Information for Authors
      • Editorial Policies
      • Editorial Board
      • Aims and Scope
      • Abstracting and Indexing
      • Bibliographic Information
      • Archive
    • International Journal of Molecular Medicine
      • International Journal of Molecular Medicine
      • Information for Authors
      • Editorial Policies
      • Editorial Board
      • Aims and Scope
      • Abstracting and Indexing
      • Bibliographic Information
      • Archive
    • Biomedical Reports
      • Biomedical Reports
      • Information for Authors
      • Editorial Policies
      • Editorial Board
      • Aims and Scope
      • Abstracting and Indexing
      • Bibliographic Information
      • Archive
    • Oncology Reports
      • Oncology Reports
      • Information for Authors
      • Editorial Policies
      • Editorial Board
      • Aims and Scope
      • Abstracting and Indexing
      • Bibliographic Information
      • Archive
    • Molecular Medicine Reports
      • Molecular Medicine Reports
      • Information for Authors
      • Editorial Policies
      • Editorial Board
      • Aims and Scope
      • Abstracting and Indexing
      • Bibliographic Information
      • Archive
    • World Academy of Sciences Journal
      • World Academy of Sciences Journal
      • Information for Authors
      • Editorial Policies
      • Editorial Board
      • Aims and Scope
      • Abstracting and Indexing
      • Bibliographic Information
      • Archive
    • International Journal of Functional Nutrition
      • International Journal of Functional Nutrition
      • Information for Authors
      • Editorial Policies
      • Editorial Board
      • Aims and Scope
      • Abstracting and Indexing
      • Bibliographic Information
      • Archive
    • International Journal of Epigenetics
      • International Journal of Epigenetics
      • Information for Authors
      • Editorial Policies
      • Editorial Board
      • Aims and Scope
      • Abstracting and Indexing
      • Bibliographic Information
      • Archive
    • Medicine International
      • Medicine International
      • Information for Authors
      • Editorial Policies
      • Editorial Board
      • Aims and Scope
      • Abstracting and Indexing
      • Bibliographic Information
      • Archive
  • Articles
  • Information
    • Information for Authors
    • Information for Reviewers
    • Information for Librarians
    • Information for Advertisers
    • Conferences
  • Language Editing
Spandidos Publications Logo
  • About
    • About Spandidos
    • Aims and Scopes
    • Abstracting and Indexing
    • Editorial Policies
    • Reprints and Permissions
    • Job Opportunities
    • Terms and Conditions
    • Contact
  • Journals
    • All Journals
    • Biomedical Reports
      • Information for Authors
      • Editorial Policies
      • Editorial Board
      • Aims and Scope
      • Abstracting and Indexing
      • Bibliographic Information
      • Archive
    • Experimental and Therapeutic Medicine
      • Information for Authors
      • Editorial Policies
      • Editorial Board
      • Aims and Scope
      • Abstracting and Indexing
      • Bibliographic Information
      • Archive
    • International Journal of Epigenetics
      • Information for Authors
      • Editorial Policies
      • Editorial Board
      • Aims and Scope
      • Abstracting and Indexing
      • Bibliographic Information
      • Archive
    • International Journal of Functional Nutrition
      • Information for Authors
      • Editorial Policies
      • Editorial Board
      • Aims and Scope
      • Abstracting and Indexing
      • Bibliographic Information
      • Archive
    • International Journal of Molecular Medicine
      • Information for Authors
      • Editorial Policies
      • Editorial Board
      • Aims and Scope
      • Abstracting and Indexing
      • Bibliographic Information
      • Archive
    • International Journal of Oncology
      • Information for Authors
      • Editorial Policies
      • Editorial Board
      • Aims and Scope
      • Abstracting and Indexing
      • Bibliographic Information
      • Archive
    • Medicine International
      • Information for Authors
      • Editorial Policies
      • Editorial Board
      • Aims and Scope
      • Abstracting and Indexing
      • Bibliographic Information
      • Archive
    • Molecular and Clinical Oncology
      • Information for Authors
      • Editorial Policies
      • Editorial Board
      • Aims and Scope
      • Abstracting and Indexing
      • Bibliographic Information
      • Archive
    • Molecular Medicine Reports
      • Information for Authors
      • Editorial Policies
      • Editorial Board
      • Aims and Scope
      • Abstracting and Indexing
      • Bibliographic Information
      • Archive
    • Oncology Letters
      • Information for Authors
      • Editorial Policies
      • Editorial Board
      • Aims and Scope
      • Abstracting and Indexing
      • Bibliographic Information
      • Archive
    • Oncology Reports
      • Information for Authors
      • Editorial Policies
      • Editorial Board
      • Aims and Scope
      • Abstracting and Indexing
      • Bibliographic Information
      • Archive
    • World Academy of Sciences Journal
      • Information for Authors
      • Editorial Policies
      • Editorial Board
      • Aims and Scope
      • Abstracting and Indexing
      • Bibliographic Information
      • Archive
  • Articles
  • Information
    • For Authors
    • For Reviewers
    • For Librarians
    • For Advertisers
    • Conferences
  • Language Editing
Login Register Submit
  • This site uses cookies
  • You can change your cookie settings at any time by following the instructions in our Cookie Policy. To find out more, you may read our Privacy Policy.

    I agree
Search articles by DOI, keyword, author or affiliation
Search
Advanced Search
presentation
International Journal of Molecular Medicine
Join Editorial Board Propose a Special Issue
Print ISSN: 1107-3756 Online ISSN: 1791-244X
Journal Cover
February-2017 Volume 39 Issue 2

Full Size Image

Sign up for eToc alerts
Recommend to Library

Journals

International Journal of Molecular Medicine

International Journal of Molecular Medicine

International Journal of Molecular Medicine is an international journal devoted to molecular mechanisms of human disease.

International Journal of Oncology

International Journal of Oncology

International Journal of Oncology is an international journal devoted to oncology research and cancer treatment.

Molecular Medicine Reports

Molecular Medicine Reports

Covers molecular medicine topics such as pharmacology, pathology, genetics, neuroscience, infectious diseases, molecular cardiology, and molecular surgery.

Oncology Reports

Oncology Reports

Oncology Reports is an international journal devoted to fundamental and applied research in Oncology.

Experimental and Therapeutic Medicine

Experimental and Therapeutic Medicine

Experimental and Therapeutic Medicine is an international journal devoted to laboratory and clinical medicine.

Oncology Letters

Oncology Letters

Oncology Letters is an international journal devoted to Experimental and Clinical Oncology.

Biomedical Reports

Biomedical Reports

Explores a wide range of biological and medical fields, including pharmacology, genetics, microbiology, neuroscience, and molecular cardiology.

Molecular and Clinical Oncology

Molecular and Clinical Oncology

International journal addressing all aspects of oncology research, from tumorigenesis and oncogenes to chemotherapy and metastasis.

World Academy of Sciences Journal

World Academy of Sciences Journal

Multidisciplinary open-access journal spanning biochemistry, genetics, neuroscience, environmental health, and synthetic biology.

International Journal of Functional Nutrition

International Journal of Functional Nutrition

Open-access journal combining biochemistry, pharmacology, immunology, and genetics to advance health through functional nutrition.

International Journal of Epigenetics

International Journal of Epigenetics

Publishes open-access research on using epigenetics to advance understanding and treatment of human disease.

Medicine International

Medicine International

An International Open Access Journal Devoted to General Medicine.

Journal Cover
February-2017 Volume 39 Issue 2

Full Size Image

Sign up for eToc alerts
Recommend to Library

  • Article
  • Citations
    • Cite This Article
    • Download Citation
    • Create Citation Alert
    • Remove Citation Alert
    • Cited By
  • Similar Articles
    • Related Articles (in Spandidos Publications)
    • Similar Articles (Google Scholar)
    • Similar Articles (PubMed)
  • Download PDF
  • Download XML
  • View XML
Article Open Access

Redistribution of adrenomedullary nicotinic acetylcholine receptor subunits and the effect on circulating epinephrine levels in a murine model of acute asthma

  • Authors:
    • Xi Chen
    • Juntao Feng
    • Chengping Hu
    • Qingwu Qin
    • Yuanyuan Li
    • Ling Qin
  • View Affiliations / Copyright

    Affiliations: Department of Respiratory Medicine, Xiangya Hospital, Central South University (Key Site of the National Clinical Research Center for Respiratory Disease), Changsha, Hunan 410008, P.R. China
    Copyright: © Chen et al. This is an open access article distributed under the terms of Creative Commons Attribution License.
  • Pages: 337-346
    |
    Published online on: December 23, 2016
       https://doi.org/10.3892/ijmm.2016.2836
  • Expand metrics +
Metrics: Total Views: 0 (Spandidos Publications: | PMC Statistics: )
Metrics: Total PDF Downloads: 0 (Spandidos Publications: | PMC Statistics: )
Cited By (CrossRef): 0 citations Loading Articles...

This article is mentioned in:



Abstract

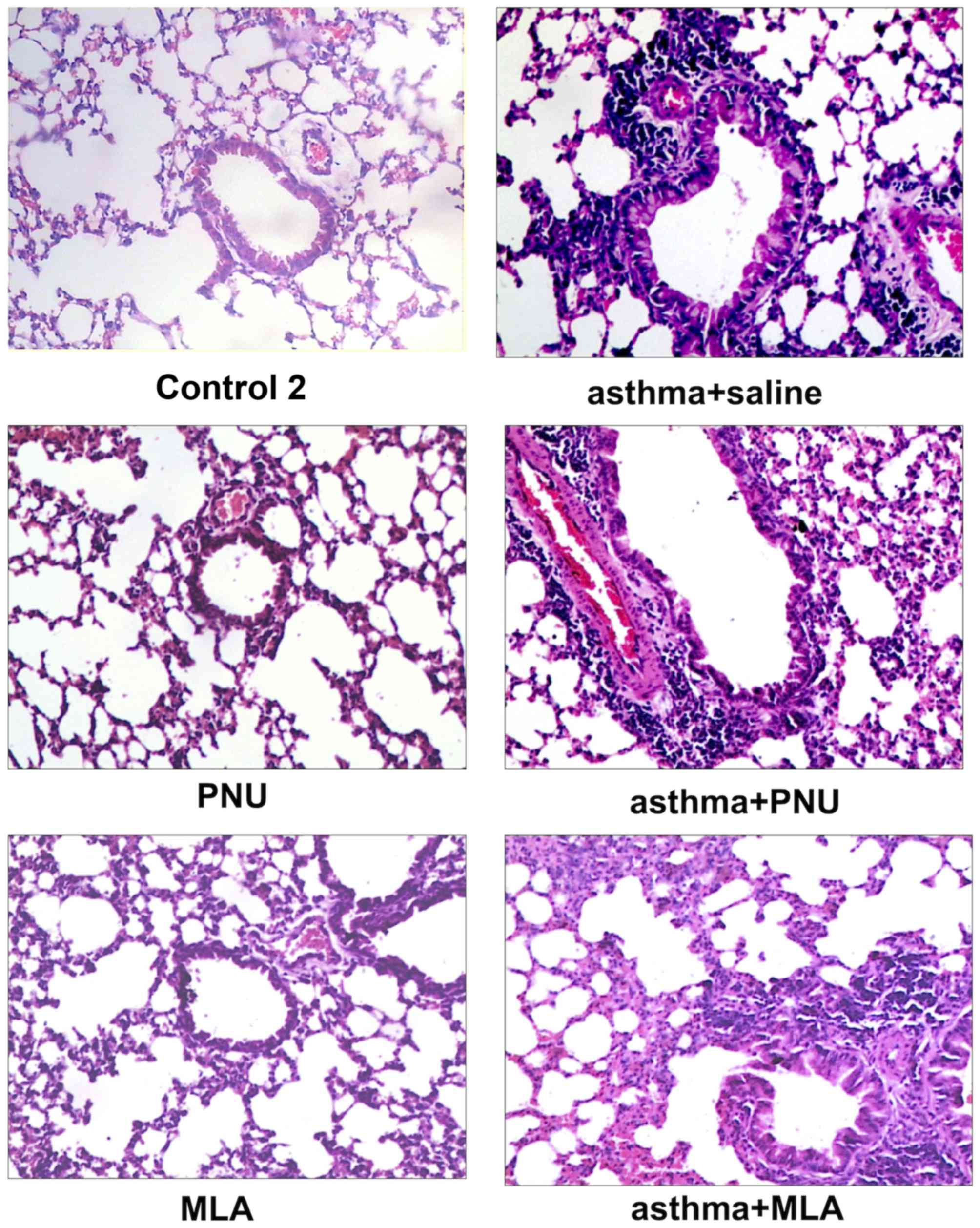
The lack of circulating epinephrine (EPI) in the pathogenesis of asthma has long been attributed to the lack of adrenergic nerves in human airways. However, in this study we considered that EPI levels are regulated by EPI release in addition to synthesis. Nicotinic acetylcholine receptors (nAChRs) have been shown to control EPI release, and we hypothesized that redistribution of nAChR subunits modulates EPI release and circulating EPI levels. Using a mouse model of asthma, circulating EPI levels were measured by enzyme-linked immunosorbent assays. Changes in the expression of nAChR subunits in the adrenal medulla were observed by reverse transcription-quantitative polymerase chain reaction (RT-qPCR) and western blot analysis. Expression of phenylethanolamine N-methyltransferase, tyrosine hydroxylase and galanin was detected by RT-qPCR. Lung pathology, airway resistance (RL) and EPI levels were also assessed after treatment with an α7 nAChR agonist or antagonist. α7 nAChR mRNA expression in the adrenal medulla was increased by more than 2-fold (P<0.05), and circulating EPI levels increased rapidly after treatment with the α7 nAChR agonist. These results indicated that increased EPI release, which was caused by the overexpression of α7 nAChR, was responsible for elevated circulating EPI levels. After treatment with an agonist of α7 nAChR, RL was significantly decreased. Serum corticosterone levels in individual mice were measured to rule out glucocorticoid as the main mediator of changes in EPI levels. On the whole, redistribution of nAChR subunits, primarily α7 nAChR, occurs in the adrenal medulla in asthmatic mice. Increased α7 nAChR expression can rapidly increase serum EPI levels and decrease airway responsiveness.
View Figures

Figure 1

Figure 2

Figure 3

Figure 4

Figure 5

Figure 6

Figure 7

Figure 8

Figure 9

View References

1 

Barnes PJ, Brown MJ, Silverman M and Dollery CT: Circulating catecholamines in exercise and hyperventilation induced asthma. Thorax. 36:435–440. 1981. View Article : Google Scholar : PubMed/NCBI

2 

Ind PW, Causon RC, Brown MJ and Barnes PJ: Circulating catecholamines in acute asthma. Br Med J (Clin Res Ed). 290:267–269. 1985. View Article : Google Scholar

3 

Wang J, Hu CP and Feng JT: Dysfunction of releasing adrenaline in asthmatic adrenaline medullary chromaffin cells due to functional redundancy primed by nerve growth factor. Zhonghua Jie He He Hu Xi Za Zhi. 29:812–815. 2006.In Chinese.

4 

Feng JT and Hu CP: Dysfunction of releasing adrenaline in asthma by nerve growth factor. Med Hypotheses. 65:1043–1046. 2005. View Article : Google Scholar : PubMed/NCBI

5 

Yamaguchi-Shima N, Okada S, Shimizu T, Usui D, Nakamura K, Lu L and Yokotani K: Adrenal adrenaline- and noradrena- line-containing cells and celiac sympathetic ganglia are differentially controlled by centrally administered corticotropin-releasing factor and arginine-vasopressin in rats. Eur J Pharmacol. 564:94–102. 2007. View Article : Google Scholar : PubMed/NCBI

6 

Fenster CP, Rains MF, Noerager B, Quick MW and Lester RA: Influence of subunit composition on desensitization of neuronal acetylcholine receptors at low concentrations of nicotine. J Neurosci. 17:5747–5759. 1997.PubMed/NCBI

7 

Fucile S: Ca2+ permeability of nicotinic acetylcholine receptors. Cell Calcium. 35:1–8. 2004. View Article : Google Scholar

8 

Nai Q, McIntosh JM and Margiotta JF: Relating neuronal nicotinic acetylcholine receptor subtypes defined by subunit composition and channel function. Mol Pharmacol. 63:311–324. 2003. View Article : Google Scholar : PubMed/NCBI

9 

Takahashi T, Yamashita H, Nakamura S, Ishiguro H, Nagatsu T and Kawakami H: Effects of nerve growth factor and nicotine on the expression of nicotinic acetylcholine receptor subunits in C12 cells. Neurosci Res. 35:175–181. 1999. View Article : Google Scholar : PubMed/NCBI

10 

Shin MK, Han W, Bevans-Fonti S, Jun JC, Punjabi NM and Polotsky VY: The effect of adrenal medullectomy on metabolic responses to chronic intermittent hypoxia. Respir Physiol Neurobiol. 203:60–67. 2014. View Article : Google Scholar : PubMed/NCBI

11 

Utsugisawa K, Nagane Y, Obara D and Tohgi H: Increased expression of alpha7 nAChR after transient hypoxia in C12 cells. Neuroreport. 11:2209–2212. 2000. View Article : Google Scholar : PubMed/NCBI

12 

Rogers SW, Mandelzys A, Deneris ES, Cooper E and Heinemann S: The expression of nicotinic acetylcholine receptors by C12 cells treated with NGF. J Neurosci. 12:4611–4623. 1992.PubMed/NCBI

13 

Dajas-Bailador F and Wonnacott S: Nicotinic acetylcholine receptors and the regulation of neuronal signalling. Trends Pharmacol Sci. 25:317–324. 2004. View Article : Google Scholar : PubMed/NCBI

14 

Fischer-Colbrie R, Eskay RL, Eiden LE and Maas D: Transsynaptic regulation of galanin, neurotensin, and substance P in the adrenal medulla: combinatorial control by second-messenger signaling pathways. J Neurochem. 59:780–783. 1992. View Article : Google Scholar : PubMed/NCBI

15 

Fischer-Colbrie R, Iacangelo A and Eiden LE: Neural and humoral factors separately regulate neuropeptide Y, enkephalin, and chromogranin A and B mRNA levels in rat adrenal medulla. Proc Natl Acad Sci USA. 85:3240–3244. 1988. View Article : Google Scholar : PubMed/NCBI

16 

Gahring LC, Myers E, Palumbos S and Rogers SW: Nicotinic receptor alpha7 expression during mouse adrenal gland development. PLoS One. 9:e1038612014. View Article : Google Scholar : PubMed/NCBI

17 

Barnes P, FitzGerald G, Brown M and Dollery C: Nocturnal asthma and changes in circulating epinephrine, histamine, and cortisol. N Engl J Med. 303:263–267. 1980. View Article : Google Scholar : PubMed/NCBI

18 

van Aalderen WM, Postma DS, Koëter GH and Knol K: Nocturnal airflow obstruction, histamine, and the autonomic central nervous system in children with allergic asthma. Thorax. 46:366–371. 1991. View Article : Google Scholar : PubMed/NCBI

19 

Bates ME, Clayton M, Calhoun W, Jarjour N, Schrader L, Geiger K, Schultz T, Sedgwick J, Swenson C and Busse W: Relationship of plasma epinephrine and circulating eosinophils to nocturnal asthma. Am J Respir Crit Care Med. 149:667–672. 1994. View Article : Google Scholar : PubMed/NCBI

20 

Bates JH, Rincon M and Irvin CG: Animal models of asthma. Am J Physiol Lung Cell Mol Physiol. 297:L401–L410. 2009. View Article : Google Scholar : PubMed/NCBI

21 

Reddy AT, Lakshmi SP and Reddy RC: Murine model of allergen induced asthma. J Vis Exp. 63:e37712012.

22 

Secor ER, Carson WF, Singh A, Pensa M, Guernsey LA, Schramm CM and Thrall RS: Oral bromelain attenuates inflammation in an ovalbumin-induced murine model of asthma. Evid Based Complement Alternat Med. 5:61–69. 2008. View Article : Google Scholar : PubMed/NCBI

23 

Ahn JH, Kim CH, Kim YH, Kim SJ, Lee SY, Kim YK, Kim KH, Moon HS, Song JS, Park SH, et al: Inflammatory and remodeling events in asthma with chronic exposure to house dust mites: a murine model. J Korean Med Sci. 22:1026–1033. 2007. View Article : Google Scholar : PubMed/NCBI

24 

Johnson JR Jr, Wiley RE, Fattouh R, Swirski FK, Gajewska BU, Coyle AJ, Gutierrez-Ramos JC, Ellis R, Inman MD and Jordana M: Continuous exposure to house dust mite elicits chronic airway inflammation and structural remodeling. Am J Respir Crit Care Med. 169:378–385. 2004. View Article : Google Scholar

25 

Jiang XB, Zhu Y and Yin KS: Reproduction of severe asthma model in mice. Zhongguo Wei Zhong Bing Ji Jiu Yi Xue. 18:733–736. 2006.In Chinese. PubMed/NCBI

26 

Hu CP, Zou YQ, Feng JT and Li XZ: The effect of unilateral adrenalectomy on transformation of adrenal medullary chromaffin cells in vivo: a potential mechanism of asthma pathogenesis. PLoS One. 7:e445862012. View Article : Google Scholar : PubMed/NCBI

27 

Hu CP, Zou JT, Zou YQ, Li XZ and Feng JT: Kidney-tonifying recipe can repair alterations in adrenal medullary chromaffin cells in asthmatic rats. Evid Based Complement Alternat Med. 2012:5426212012. View Article : Google Scholar : PubMed/NCBI

28 

Feng JT, Wu XM, Li XZ, Zou YQ, Qin L and Hu CP: Transformation of adrenal medullary chromaffin cells increases asthmatic susceptibility in pups from allergen-sensitized rats. Respir Res. 13:992012. View Article : Google Scholar : PubMed/NCBI

29 

Morioka N, Tokuhara M, Nakamura Y, Idenoshita Y, Harano S, Zhang FF, Hisaoka-Nakashima K and Nakata Y: Primary cultures of rat cortical microglia treated with nicotine increases in the expression of excitatory amino acid transporter 1 (GLAST) via the activation of the α7 nicotinic acetylcholine receptor. Neuroscience. 258:374–384. 2014. View Article : Google Scholar

30 

O'Neill MJ, Murray TK, Lakics V, Visanji NP and Duty S: The role of neuronal nicotinic acetylcholine receptors in acute and chronic neurodegeneration. Curr Drug Targets CNS Neurol Disord. 1:399–411. 2002. View Article : Google Scholar

31 

Vicens P, Ribes D, Heredia L, Torrente M and Domingo JL: Effects of an alpha7 nicotinic receptor agonist and stress on spatial memory in an animal model of Alzheimer's disease. Biomed Res Int. 2013:9527192013. View Article : Google Scholar : PubMed/NCBI

32 

Han Z, Shen F, He Y, Degos V, Camus M, Maze M, Young WL and Su H: Correction: activation of α-7 nicotinic acetylcholine receptor reduces ischemic stroke injury through reduction of pro-inflammatory macrophages and oxidative stress. PLoS One. 11:e01522182016. View Article : Google Scholar

33 

Bodnar AL, Cortes-Burgos LA, Cook KK, Dinh DM, Groppi VE, Hajos M, Higdon NR, Hoffmann WE, Hurst RS, Myers JK, et al: Discovery and structure-activity relationship of quinuclidine benzamides as agonists of alpha7 nicotinic acetylcholine receptors. J Med Chem. 48:905–908. 2005. View Article : Google Scholar : PubMed/NCBI

Related Articles

  • Abstract
  • View
  • Download
  • Twitter
Copy and paste a formatted citation
Spandidos Publications style
Chen X, Feng J, Hu C, Qin Q, Li Y and Qin L: Redistribution of adrenomedullary nicotinic acetylcholine receptor subunits and the effect on circulating epinephrine levels in a murine model of acute asthma. Int J Mol Med 39: 337-346, 2017.
APA
Chen, X., Feng, J., Hu, C., Qin, Q., Li, Y., & Qin, L. (2017). Redistribution of adrenomedullary nicotinic acetylcholine receptor subunits and the effect on circulating epinephrine levels in a murine model of acute asthma. International Journal of Molecular Medicine, 39, 337-346. https://doi.org/10.3892/ijmm.2016.2836
MLA
Chen, X., Feng, J., Hu, C., Qin, Q., Li, Y., Qin, L."Redistribution of adrenomedullary nicotinic acetylcholine receptor subunits and the effect on circulating epinephrine levels in a murine model of acute asthma". International Journal of Molecular Medicine 39.2 (2017): 337-346.
Chicago
Chen, X., Feng, J., Hu, C., Qin, Q., Li, Y., Qin, L."Redistribution of adrenomedullary nicotinic acetylcholine receptor subunits and the effect on circulating epinephrine levels in a murine model of acute asthma". International Journal of Molecular Medicine 39, no. 2 (2017): 337-346. https://doi.org/10.3892/ijmm.2016.2836
Copy and paste a formatted citation
x
Spandidos Publications style
Chen X, Feng J, Hu C, Qin Q, Li Y and Qin L: Redistribution of adrenomedullary nicotinic acetylcholine receptor subunits and the effect on circulating epinephrine levels in a murine model of acute asthma. Int J Mol Med 39: 337-346, 2017.
APA
Chen, X., Feng, J., Hu, C., Qin, Q., Li, Y., & Qin, L. (2017). Redistribution of adrenomedullary nicotinic acetylcholine receptor subunits and the effect on circulating epinephrine levels in a murine model of acute asthma. International Journal of Molecular Medicine, 39, 337-346. https://doi.org/10.3892/ijmm.2016.2836
MLA
Chen, X., Feng, J., Hu, C., Qin, Q., Li, Y., Qin, L."Redistribution of adrenomedullary nicotinic acetylcholine receptor subunits and the effect on circulating epinephrine levels in a murine model of acute asthma". International Journal of Molecular Medicine 39.2 (2017): 337-346.
Chicago
Chen, X., Feng, J., Hu, C., Qin, Q., Li, Y., Qin, L."Redistribution of adrenomedullary nicotinic acetylcholine receptor subunits and the effect on circulating epinephrine levels in a murine model of acute asthma". International Journal of Molecular Medicine 39, no. 2 (2017): 337-346. https://doi.org/10.3892/ijmm.2016.2836
Follow us
  • Twitter
  • LinkedIn
  • Facebook
About
  • Spandidos Publications
  • Careers
  • Cookie Policy
  • Privacy Policy
How can we help?
  • Help
  • Live Chat
  • Contact
  • Email to our Support Team