Spandidos Publications Logo
  • About
    • About Spandidos
    • Aims and Scopes
    • Abstracting and Indexing
    • Editorial Policies
    • Reprints and Permissions
    • Job Opportunities
    • Terms and Conditions
    • Contact
  • Journals
    • All Journals
    • Oncology Letters
      • Oncology Letters
      • Information for Authors
      • Editorial Policies
      • Editorial Board
      • Aims and Scope
      • Abstracting and Indexing
      • Bibliographic Information
      • Archive
    • International Journal of Oncology
      • International Journal of Oncology
      • Information for Authors
      • Editorial Policies
      • Editorial Board
      • Aims and Scope
      • Abstracting and Indexing
      • Bibliographic Information
      • Archive
    • Molecular and Clinical Oncology
      • Molecular and Clinical Oncology
      • Information for Authors
      • Editorial Policies
      • Editorial Board
      • Aims and Scope
      • Abstracting and Indexing
      • Bibliographic Information
      • Archive
    • Experimental and Therapeutic Medicine
      • Experimental and Therapeutic Medicine
      • Information for Authors
      • Editorial Policies
      • Editorial Board
      • Aims and Scope
      • Abstracting and Indexing
      • Bibliographic Information
      • Archive
    • International Journal of Molecular Medicine
      • International Journal of Molecular Medicine
      • Information for Authors
      • Editorial Policies
      • Editorial Board
      • Aims and Scope
      • Abstracting and Indexing
      • Bibliographic Information
      • Archive
    • Biomedical Reports
      • Biomedical Reports
      • Information for Authors
      • Editorial Policies
      • Editorial Board
      • Aims and Scope
      • Abstracting and Indexing
      • Bibliographic Information
      • Archive
    • Oncology Reports
      • Oncology Reports
      • Information for Authors
      • Editorial Policies
      • Editorial Board
      • Aims and Scope
      • Abstracting and Indexing
      • Bibliographic Information
      • Archive
    • Molecular Medicine Reports
      • Molecular Medicine Reports
      • Information for Authors
      • Editorial Policies
      • Editorial Board
      • Aims and Scope
      • Abstracting and Indexing
      • Bibliographic Information
      • Archive
    • World Academy of Sciences Journal
      • World Academy of Sciences Journal
      • Information for Authors
      • Editorial Policies
      • Editorial Board
      • Aims and Scope
      • Abstracting and Indexing
      • Bibliographic Information
      • Archive
    • International Journal of Functional Nutrition
      • International Journal of Functional Nutrition
      • Information for Authors
      • Editorial Policies
      • Editorial Board
      • Aims and Scope
      • Abstracting and Indexing
      • Bibliographic Information
      • Archive
    • International Journal of Epigenetics
      • International Journal of Epigenetics
      • Information for Authors
      • Editorial Policies
      • Editorial Board
      • Aims and Scope
      • Abstracting and Indexing
      • Bibliographic Information
      • Archive
    • Medicine International
      • Medicine International
      • Information for Authors
      • Editorial Policies
      • Editorial Board
      • Aims and Scope
      • Abstracting and Indexing
      • Bibliographic Information
      • Archive
  • Articles
  • Information
    • Information for Authors
    • Information for Reviewers
    • Information for Librarians
    • Information for Advertisers
    • Conferences
  • Language Editing
Spandidos Publications Logo
  • About
    • About Spandidos
    • Aims and Scopes
    • Abstracting and Indexing
    • Editorial Policies
    • Reprints and Permissions
    • Job Opportunities
    • Terms and Conditions
    • Contact
  • Journals
    • All Journals
    • Biomedical Reports
      • Information for Authors
      • Editorial Policies
      • Editorial Board
      • Aims and Scope
      • Abstracting and Indexing
      • Bibliographic Information
      • Archive
    • Experimental and Therapeutic Medicine
      • Information for Authors
      • Editorial Policies
      • Editorial Board
      • Aims and Scope
      • Abstracting and Indexing
      • Bibliographic Information
      • Archive
    • International Journal of Epigenetics
      • Information for Authors
      • Editorial Policies
      • Editorial Board
      • Aims and Scope
      • Abstracting and Indexing
      • Bibliographic Information
      • Archive
    • International Journal of Functional Nutrition
      • Information for Authors
      • Editorial Policies
      • Editorial Board
      • Aims and Scope
      • Abstracting and Indexing
      • Bibliographic Information
      • Archive
    • International Journal of Molecular Medicine
      • Information for Authors
      • Editorial Policies
      • Editorial Board
      • Aims and Scope
      • Abstracting and Indexing
      • Bibliographic Information
      • Archive
    • International Journal of Oncology
      • Information for Authors
      • Editorial Policies
      • Editorial Board
      • Aims and Scope
      • Abstracting and Indexing
      • Bibliographic Information
      • Archive
    • Medicine International
      • Information for Authors
      • Editorial Policies
      • Editorial Board
      • Aims and Scope
      • Abstracting and Indexing
      • Bibliographic Information
      • Archive
    • Molecular and Clinical Oncology
      • Information for Authors
      • Editorial Policies
      • Editorial Board
      • Aims and Scope
      • Abstracting and Indexing
      • Bibliographic Information
      • Archive
    • Molecular Medicine Reports
      • Information for Authors
      • Editorial Policies
      • Editorial Board
      • Aims and Scope
      • Abstracting and Indexing
      • Bibliographic Information
      • Archive
    • Oncology Letters
      • Information for Authors
      • Editorial Policies
      • Editorial Board
      • Aims and Scope
      • Abstracting and Indexing
      • Bibliographic Information
      • Archive
    • Oncology Reports
      • Information for Authors
      • Editorial Policies
      • Editorial Board
      • Aims and Scope
      • Abstracting and Indexing
      • Bibliographic Information
      • Archive
    • World Academy of Sciences Journal
      • Information for Authors
      • Editorial Policies
      • Editorial Board
      • Aims and Scope
      • Abstracting and Indexing
      • Bibliographic Information
      • Archive
  • Articles
  • Information
    • For Authors
    • For Reviewers
    • For Librarians
    • For Advertisers
    • Conferences
  • Language Editing
Login Register Submit
  • This site uses cookies
  • You can change your cookie settings at any time by following the instructions in our Cookie Policy. To find out more, you may read our Privacy Policy.

    I agree
Search articles by DOI, keyword, author or affiliation
Search
Advanced Search
presentation
International Journal of Molecular Medicine
Join Editorial Board Propose a Special Issue
Print ISSN: 1107-3756 Online ISSN: 1791-244X
Journal Cover
July-2017 Volume 40 Issue 1

Full Size Image

Sign up for eToc alerts
Recommend to Library

Journals

International Journal of Molecular Medicine

International Journal of Molecular Medicine

International Journal of Molecular Medicine is an international journal devoted to molecular mechanisms of human disease.

International Journal of Oncology

International Journal of Oncology

International Journal of Oncology is an international journal devoted to oncology research and cancer treatment.

Molecular Medicine Reports

Molecular Medicine Reports

Covers molecular medicine topics such as pharmacology, pathology, genetics, neuroscience, infectious diseases, molecular cardiology, and molecular surgery.

Oncology Reports

Oncology Reports

Oncology Reports is an international journal devoted to fundamental and applied research in Oncology.

Experimental and Therapeutic Medicine

Experimental and Therapeutic Medicine

Experimental and Therapeutic Medicine is an international journal devoted to laboratory and clinical medicine.

Oncology Letters

Oncology Letters

Oncology Letters is an international journal devoted to Experimental and Clinical Oncology.

Biomedical Reports

Biomedical Reports

Explores a wide range of biological and medical fields, including pharmacology, genetics, microbiology, neuroscience, and molecular cardiology.

Molecular and Clinical Oncology

Molecular and Clinical Oncology

International journal addressing all aspects of oncology research, from tumorigenesis and oncogenes to chemotherapy and metastasis.

World Academy of Sciences Journal

World Academy of Sciences Journal

Multidisciplinary open-access journal spanning biochemistry, genetics, neuroscience, environmental health, and synthetic biology.

International Journal of Functional Nutrition

International Journal of Functional Nutrition

Open-access journal combining biochemistry, pharmacology, immunology, and genetics to advance health through functional nutrition.

International Journal of Epigenetics

International Journal of Epigenetics

Publishes open-access research on using epigenetics to advance understanding and treatment of human disease.

Medicine International

Medicine International

An International Open Access Journal Devoted to General Medicine.

Journal Cover
July-2017 Volume 40 Issue 1

Full Size Image

Sign up for eToc alerts
Recommend to Library

  • Article
  • Citations
    • Cite This Article
    • Download Citation
    • Create Citation Alert
    • Remove Citation Alert
    • Cited By
  • Similar Articles
    • Related Articles (in Spandidos Publications)
    • Similar Articles (Google Scholar)
    • Similar Articles (PubMed)
  • Download PDF
  • Download XML
  • View XML
Article Open Access

Protective effect of Salvia miltiorrhiza Bunge on 5-fluorouracil-induced oral mucositis

  • Authors:
    • Do Rim Kim
    • Jinsung Kim
    • Ja Young Oh
    • Ha Young Kim
    • Young Joo Kim
    • Mun Seog Chang
  • View Affiliations / Copyright

    Affiliations: Department of Prescriptionology, College of Korean Medicine, Kyung Hee University, Seoul 130-701, Republic of Korea, Department of Gastroenterology, College of Korean Medicine, Kyung Hee University, Seoul 130-701, Republic of Korea, Department of Gastroenterology, Graduate School, Kyung Hee University, Seoul 130-701, Republic of Korea
    Copyright: © Kim et al. This is an open access article distributed under the terms of Creative Commons Attribution License.
  • Pages: 39-46
    |
    Published online on: May 23, 2017
       https://doi.org/10.3892/ijmm.2017.2999
  • Expand metrics +
Metrics: Total Views: 0 (Spandidos Publications: | PMC Statistics: )
Metrics: Total PDF Downloads: 0 (Spandidos Publications: | PMC Statistics: )
Cited By (CrossRef): 0 citations Loading Articles...

This article is mentioned in:



Abstract

Oral mucositis is a common side-effect caused by chemotherapy or radiotherapy occurring in the majority of cancer patients and is characterized by inflammation and ulcers in the oral mucosa. In the present study, we examined the protective effects of Salvia miltiorrhiza Bunge (SM) on oral mucositis induced by 5-fluorouracil (5-FU) in human pharyngeal cells and golden Syrian hamsters. We investigated the proliferation and antioxidant abilities of SM using MTT, 2-diphenyl-1-picrylhydrazyl (DPPH) and reactive oxygen species (ROS) assays in vitro. Additionally, TUNEL assay was performed, and the expression levels of nuclear factor-κB (NF-κB), caspase-3 and proinflammatory cytokines were assessed by immunoblotting. The results showed that SM increased the cell proliferation rate in human pharyngeal cells up to 128.97±9.7% compared with this rate in the untreated cells and exerted protective effects on mucosal injury caused by 5-FU treatment. In addition, all concentrations of SM increased DPPH scavenging ability and blocked ROS generation in the treated cells. Taken together, following SM treatment, expression of NF-κB and cleaved caspase-3 were significantly decreased followed by inhibition of cell death. These data suggest that SM could be used for the prevention and treatment of oral mucositis caused by cancer therapies.

Introduction

Oral mucositis is inflammation of the oral and oropharyngeal mucosa and usually occurs as a side-effect of cancer chemotherapy or radiotherapy in the head and neck region (1). This condition affects 10–40% of patients receiving the standard dose of chemotherapy for tumors and 60–100% of patients undergoing myeloablative chemotherapy for hematopoietic stem cell transplant and high-dose radiation therapy (2,3). Symptoms include pain, vomiting, dry mouth and diarrhea, and sequentially secondary infection of the oral mucosa leading to decreased quality of life (3,4). Oral mucositis can reduce the effectiveness of chemotherapy as a result of the alteration or discontinuation of the chemotherapy (5). Therefore, the development of therapeutic agents that can be combined with chemotherapy to prevent oral mucositis as a side-effect of chemotherapy is crucial.

The incidence of oral mucositis is divided into five biological steps: initiation, upregulation and generation of messenger signals, signal amplification, ulceration and healing (6). Chemotherapy-induced damage to cells or tissues is caused by reactive oxygen species (ROS) (7), thus ROS play a main role in the initiation phase of oral mucositis and activate several transcription factors such as nuclear factor-κB (NF-κB), a key transcription factor involved in the development of mucositis. NF-κB increases the production of proinflammatory cytokines, such as tumor necrosis factor (TNF)-α, interleukin (IL)-1β, IL-6, and induces apoptosis (8,9). Upregulation of proinflammatory cytokines amplifies the primary damage (10). Recently, mechanistically based oral mucositis drugs were evaluated and developed such as keratinocyte growth factor (KGF), benzydamine HCl and COX-2 inhibitors (10–12).

The dried root of Salvia miltiorrhiza Bunge (SM) (Lamiaceae), has been used in Korea, China and Japan for the treatment of various diseases, including coronary heart disease (13), cerebrovascular disease (14), Alzheimer's disease (15), Parkinson's disease (16), renal deficiency (17), hepatocirrhosis (18), cancer (19) and bone loss (20). The antioxidant (21), antidiabetic (22) and hepatoprotective (23) effects of SM on apoptosis and inflammation were investigated in a rat model of stroke (24). However, knowledge regarding the effects of SM extract on oral mucositis is limited. The effects of SM on molecular mechanisms in vitro and in vivo need to be elucidated. In the present study, we examined whether SM could be used in the development of a novel therapeutic agent for the treatment of mucositis induced by 5-fluorouracil (5-FU). To identify the effects of SM on human pharyngeal cells and hamster, we performed scavenging of free radical activities against 2,2-diphenyl-1-picrylhydrazyl (DPPH), cell viability assay, ROS level measurements, TUNEL assay and immunoblotting.

Materials and methods

Preparation of SM extract

SM was purchased from Kyung Hee University Medical Center (Seoul, Korea). A 300 g sample of dried medicinal herb was boiled in 3 l water for 2 h at 100°C, and the suspension was filtered and evaporated under reduced pressure. The filtrate was lyophilized and yielded 69.1 g powder. The dried extract was dissolved in distilled deionized water (Millipore, Billerica, MA, USA) and vortexed for 2 min at room temperature.

In vitro studies
Human pharyngeal cell culture

Human pharyngeal cell line (Detroit 562, ATCC CCL-138) was purchased from the American Type Culture Collection (ATCC; Manassas, VA, USA). The Detroit 562 cell line was cultured in modified Eagle's medium (MEM) supplemented with 10% fetal bovine serum (FBS; both from Gibco-BRL, Grand Island, NY, USA), 100 U/ml penicillin and 100 μg/ml streptomycin at 37°C in a humidified atmosphere of 5% CO2.

Cell viability and proliferation assays

Cell proliferation was determined using the MTT assay. The Detroit 562 cells were starved for 24 h and simultaneously treated with several concentrations of SM (1, 5, 10, 50 or 100 μg/ml) only or with several concentrations of SM plus 10 μM 5-FU. After 48 h, the medium was removed, and the cells were incubated with 3-(4,5-dimethylthiazol-2-yl)-2,5-diphenyltetrazolium bromide (MTT) to measure metabolic activity. Spectrophotometric analysis at 450 nm to measure metabolic activity was performed using a microtiter plate reader (Molecular Devices, LLC, Sunnyvale, CA, USA).

ROS assay

ROS production was performed according to the protocol of the intracellular ROS assay kit (Cell Biolabs, Inc., San Diego, CA, USA). Cells were cultured in a 96-well cell culture plate and treated with several concentrations of SM (1, 5, 10, 50 or 100 μg/ml) with 10 μM 5-FU for 48 h. Next, the cells pretreated with 1 mM 2′,7′-dichlorofluorescein diacetate (DCFH-DA) were incubated for 60 min at 37°C. After a brief incubation, the cell fluorescence was read on a fluorometric plate reader (Thermo Fisher Scientific, Inc., Waltham, MA, USA) at 480/530 nm. ROS production was determined by comparison with the predetermined 2′,7′-dichlorofluorescein (DCF) standard curve.

DPPH assay

Mixtures of 0.1 mM 2,2-diphenyl-1-picrylhydrazyl (DPPH) solution with methanol and SM (1, 5, 10, 50 or 100 μg/ml) were incubated in the dark for 30 min at room temperature. After 30 min, the absorbance at 517 nm was read for each sample on a microtiter plate reader (Molecular Devices, LLC). Radical scavenging activity was calculated using the following formula: DPPH radical scavenging activity (%) = [(AB-AT)/AB] × 100; where AB is the absorbance of the blank sample and AT is the absorbance of the tested extract solution.

In vivo studies

Animals and experimental protocol

Seven-week-old male golden Syrian hamsters (SLC, Inc., Hamamatsu, Japan) weighing 100–110 g each were used. The animals were housed in a specific pathogen-free environment with a 12 h light/dark cycle at the Center for Laboratory Animal Care and Use at Kyung Hee University. Animal care and experimental procedures conformed to the 'Guide for the Care and Use of Laboratory Animals'. The protocol for the induction of oral mucositis was modified on the basis of a previously published protocol (25). The protocols for the use of hamsters in this study were approved by the Institutional Animal Care and Use Committee (IACUC) of Kyung Hee University. Briefly, all the animals received intraperitoneal (i.p.) administration of 80 mg/kg of the chemotherapy drug 5-FU on day 0, followed by i.p. administration of 60 mg/kg 5-FU on day 2. The cheek pouch of the animals was everted and the mucosa was irritated by superficial scratching with the tip of an 18-gauge needle by the same operator on days 3 and 4.

Experimental groups

The hamsters were randomly divided into six groups: normal group (vehicle-treated, n=6), control (5-FU 80 mg/kg, i.p. n=6), positive control (0.15% benzydi-mine HCl, o.p. n=6) and three groups treated with different concentrations of SM with 80 mg/kg of 5-FU (5-FU + SM: 100, 500 and 1,000 mg/kg of SM and 5-FU, o.p. n=6/each group). 5-FU was administered on days 1 and 2 from the beginning of the study and SM and benzydimine HCl were administered for 5 days a week for 2 weeks. The animals were weighed weekly in order to adjust the gavage volume and to monitor their general health.

Histological evaluation of oral mucositis

For histological studies, the cheek pouches were fixed overnight in Bouin's solution, dehydrated in 70, 80, 95 and 100% ethanol, xylene and embedded in paraffin. Tissue sections (5 μm) were prepared in order to perform hematoxylin and eosin (H&E) staining. The sections were deparaffinized and rehydrated in xylene, 100, 95, 80 and 70% ethanol. The sections were over-stained with hematoxylin, usually 3–5 min and excess stain was rinsed off in deionized water. Then the sections were destained for a few seconds in acidic alcohol until the sections appeared red in color (usually 4–5 dips) and then rinsed briefly in deionized water to remove the acid. Hematoxylin-stained slides from the last tap water were rinsed and placed in 70% ethanol for 3 min. Slides were placed in eosin for 2 min and then slides were put through 95 and 100% ethanol and xylene. After H&E staining, the slides were mounted with Canada balsam.

TUNEL assay

5-FU-induced cell death was investigated on the day 14 using the terminal deoxynucleotidyltransferase (TdT)-mediated dUTP nick end labelling (TUNEL) method (ApopTag®, no. S7101; Merck Millipore, Darmstadt, Germany). Briefly, after deparaffinizing, the samples were rehydrated and incubated with 20 mg/ml proteinase K for 15 min at room temperature. Endogenous peroxidases were blocked by treatment with 3% (v/v) hydrogen peroxide in phosphate-buffered saline (PBS) for 5 min at room temperature. After washing, the sections were then incubated in a humidified chamber at 37°C for 1 h with TdT buffer containing TdT enzyme and reaction buffer. Specimens were incubated for 10 min at room temperature with a stop/wash buffer and then incubated in a humidified chamber for 30 min with anti-digoxigenin peroxidase conjugate at room temperature. After a series of PBS washes, the slides were covered with peroxidase substrate for color development and then washed in three changes of dH2O and counterstained in 0.5% (w/v) methyl green for 10 min at room temperature. The TUNEL-positive cells were counted (10 fields/slide; magnification, ×1,000) for statistical comparisons.

Western blotting

Proteins from homogenized cheek pouches of hamsters were separated using a nuclear extraction kit following a modification of the manufacturer's instructions (Active Motif, Carlsbad, CA, USA). SDS-PAGE and western blotting were performed as previously described (26). Samples for protein extraction were half of the same cheek pouches of hamsters used for RNA extractions. Equivalent amount (50 μg) of protein extracts was separated on 10% Tris-glycine gels by SDS-PAGE and transferred to nitrocellulose membranes using 25 mM Tris and 250 mM glycine buffer containing 20% methanol, pH 8.3. Transfer was performed at a constant voltage of 120 mA for 1 h. After transfer, the membranes were blocked in PBS containing 0.05% Tween-20 (PBS-T) with 5% skim milk for 2 h at room temperature and incubated with the primary antibodies (1:1,000) for IL-1β (sc-12742), TNF-α (sc-1350), NF-κB (sc-109) and IL-4 (sc-32242) (all from Santa Cruz Biotechnology, Inc., Dallas, TX, USA) in PBS-T overnight at 4°C. Following overnight incubation, the membranes were rinsed with 1X PBS three times and incubated with conjugated goat anti-rabbit IgG for 1 h at room temperature, followed by three additional washes with 1X PBS.

Statistical analysis

Statistical analysis was performed using GraphPrism 4.0.3 software (GraphPad Software, Inc., San Diego, CA, USA). Data are presented as means with standard deviation (SD) and analyzed using the statistical software SPSS, version 12.0 (SPSS, Inc., Chicago, IL, USA).

Results

SM enhances proliferation of the human pharyngeal cells

The effects of SM on proliferation of the Detroit 562 human pharyngeal cells were determined from cell growth kinetics using the MTT assay, which measures the metabolic activity of viable cells. Growth-arrested Detroit 562 cells were cultured in starvation medium for 24 h prior to the experiment and incubated for 48 h with SM and 10 μM 5-FU. SM activated cell proliferation; specifically, the number of cells treated with 100 μg/ml SM increased by 128.97±9.7% compared with that noted in the untreated cells (p<0.01; Fig. 1A). The cell viability in the 5-FU and SM-treated groups (1, 5, 10, 50 or 100 μg/ml) was significantly increased compared with the cell viability of the control (10 μM 5-FU-only treated) group (75.19±7.01, 78.43±7.0, 81.33±2.41, 102.1±6.8 and 95.97±8.54 vs. 56.01±3.48%, respectively; p<0.01, Fig. 1A), indicating that SM enhanced the proliferation rate of Detroit 562 cells and exerted protective effects against 5-FU-induced cytotoxicity.

Figure 1

Effect of Salvia miltiorrhiza Bunge (SM) on 5-fluorouracil (5-FU)-treated human pharyngeal cells. (A) The effect of SM on the growth of a human pharyngeal cells. Human pharyngeal cells treated with SM were incubated in the presence or absence of 10 μM 5-FU at 37°C for 48 h. (B) Effect of SM on 5-FU-induced reactive oxygen species (ROS) production. Normal represents untreated cells (0) and control represents 10 μM 5-FU (5′flu)-treated cells. (C) 2-Diphenyl-1-picrylhydrazyl (DPPH) scavenging ability of SM. Columns represent the means ± SD (n=3). Significantly different from the normal (*p<0.05, **p<0.01, ***p<0.001). Significantly different from the control (#p<0.05, ##p<0.01, ###p<0.001).

SM decreased intracellular ROS production and increases the DPPH-scavenging activity

As shown in Fig. 1B, the production of superoxide anions in the 10 μM 5-FU-treated cells was decreased markedly by co-treatment of 1, 10 and 100 μg/ml of SM compared with the (10 μM 5-FU-only treated) control. Next, the effects of SM on DPPH-scavenging activity were assessed. The DPPH-scavenging activity increased to 20.30, 24.21, 24.95, 58.65 and 61.96% at 1, 5, 10, 50 and 100 μg/ml of SM treatment, respectively. The IC50 value of SM was 42.6 μg/ml. As a positive control, we measured the effects of ascorbic acid (AC) on DPPH-scavenging activity, which increased to 20.35, 54.08, 53.39, 59.95 and 64.23% at 1, 5, 10, 50 and 100 μg/ml SM concentrations, respectively. The IC50 value of AC was 4.6 μg/ml (Fig. 1C).

SM reduces apoptosis in the human pharyngeal cell line

Nuclear DNA breaks in human pharyngeal cells were detected using TUNEL staining to estimate the extent of apoptosis and assessed under magnification, ×400. The results of the TUNEL staining showed positive staining for DNA fragmentation in the 5-FU-treated compared with the untreated cells (Fig. 2). The number of TUNEL-positive cells was reduced by 1, 10 and 100 μg/ml following SM treatment.

Figure 2

Effects of Salvia miltiorrhiza Bunge (SM) on 5-fluorouracil (5-FU)-induced apoptosis in human pharyngeal cells. TUNEL assays were performed to detect the apoptotic cells. Arrows indicate TUNEL-positive nuclei. Images were obtained at an objective magnification, ×400. (A) Normal, (B) control (10 μM 5-FU), (C) 1 μg/ml SM + 10 μM 5-FU-treated group, (D) 10 μg/ml SM + 10 μM 5-FU-treated group and (E) 100 μg/ml SM + 10 μM 5-FU-treated group.

SM regulates apoptosis-related signaling pathways

We investigated whether SM is associated with NF-κB and caspase-dependent apoptosis. The NF-κB and caspase-3 signaling pathways were activated by 5-FU treatment but were decreased by all concentrations of SM (Fig. 3).

Figure 3

Immunoblot analysis of nuclear factor-κB (NF-κB) and caspase-3 proteins from 5-fluorouracil (5-FU)-induced apoptotic human pharyngeal cells after SM treatment. β-tubulin was used as the internal control. Western blot results of (A) NF-κB and cleaved caspase-3 and (B) the relative expression levels.

Histological effects of SM on cheek pouches of hamsters

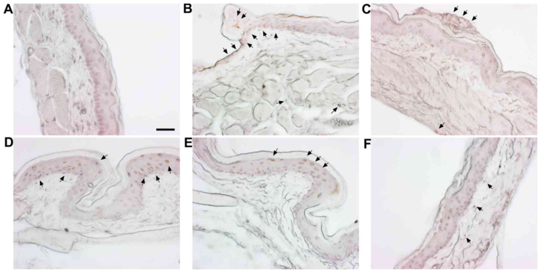
H&E staining was carried out to observe the histological changes in the cheek pouches. The normal group is the vehicle-treated group and the control is the 5-FU (80 mg/kg, i.p.) only treated group. Positive control is the benzydimine HCl-treated group. In addition, there were three co-treatment groups with SM (100, 500 and 1,000 mg/kg) and 5-FU (80 mg/kg, i.p.). Histological examination demonstrated a normal arrangement of cellular components in the cheek pouches of the hamsters (Fig. 4A). Stratum corneum exfoliation, degradation of the epithelial layer and ulcers were observed in the control (Fig. 4B). The observed damages were recovered in the positive control (Fig. 4C) and the 500, 1,000 mg/kg of SM-treated groups (Fig. 4E and F); epithelial layers were recovered.

Figure. 4

Examination of histological changes in cheek pouches of hamsters using hematoxylin and eosin (H&E) staining. (A) Normal (vehicle-treated) group, (B) control [5-FU (80 mg/kg, i.p.) only], (C) positive control (benzydimine HCl-treated group), (D) 100 mg/kg SM + 5-fluorouracil (5-FU)-treated group, (E) 500 mg/kg SM + 5-FU-treated group and (F) 1,000 mg/kg SM + 5-FU-treated group. Arrows indicate the histological changes in the epithelial layer, granular layer and muscle layer on the cheek pouches of the hamsters. Images were obtained at an objective magnification, ×200. Scale bar, 200 μm.

Detection of apoptosis in cheek pouches of hamsters

To examine the apoptosis in cheek pouches of the hamsters, TUNEL staining was carried out. The cheek pouches of hamsters showed a significant increase in apoptotic changes in the group treated with 5-FU (Fig. 5B, arrow) when compared with the normal group (Fig. 5A), while the positive control group (Fig. 5C) and SM and 5-FU-treated groups showed epithelial layer and granular layer (Fig. 5D–F).

Figure 5

TUNEL assay in the cheek pouches of hamsters subjected to 5-fluorouracil (5-FU)-induced oral mucositis. (A) Normal (vehicle-treated) group, (B) control [5-FU (80 mg/kg, i.p.) only], (C) positive control (benzydimine HCl-treated group), (D) 100 mg/kg SM + 5-FU-treated group, (E) 500 mg/kg SM + 5-FU-treated group and (F) 1,000 mg/kg SM + 5-FU-treated group. Arrows indicate TUNEL-positive nuclei in the epithelial layer and granular layer on the cheek pouches of the hamsters. Images were obtained at an objective magnification, ×200. Scale bar, 200 μm.

Effect of SM on the expression of IL-1β, TNF-α, NF-κB and caspase-3 in cheek pouches of hamsters

Western blotting was performed to determine the effect of SM on proinflammatory cytokines (IL-1β and TNF-α), NF-κB and caspase-3 expression level in cheek pouches of hamsters. As shown in Fig. 6, NF-κB, TNF-α and IL-1β protein expression levels in the control group were increased compared to the normal group (136.01%, p<0.05; 141.5%, p<0.05; 147.0%, p<0.01, respectively). NF-κB, TNF-α and IL-1β, protein levels in the positive control (benzydimine HCl-treated) group were decreased compared to the control group (94.7 vs. 136.0%, p<0.01; 110.1 vs. 141.5%, p<0.01 and 129.9 vs. 147.0%, p<0.01, respectively). In contrast, in the 1,000 mg/kg SM and 5-FU-treated group, NF-κB, TNF-α and IL-1β protein expression levels were significantly decreased when compared to these levels in the control group (108.7 vs. 136.0%; 118.19 vs. 141.5%; 115.3 vs. 147.0%, p<0.05, respectively; Fig. 6).

Figure 6

Effect of Salvia miltiorrhiza Bunge (SM) on the expression of nuclear factor-κB (NF-κB), interleukin (IL)-1β, tumor necrosis factor (TNF)-α and caspase-3 proteins in cheek pouches of hamsters. (A) Western blot showing the protein expression levels. (B) The western blot bands were quantified by normalization to those from the vehicle-treated group and individuals. Each column represents the mean ± SD (n=3). Significantly different from the normal value (*p<0.05, **p<0.01). #Significantly different from the control value (#p<0.05, ##p<0.01).

Caspase-3 cleaved protein level in the control group was incre ased compared to that noted in the normal group (136.62, p<0.05, respectively). This level was decreased in the positive control (benzydimine HCl) group compared to the control group (108.3 vs. 136.6%, p<0.05, respectively). In addition, in the SM and 5-FU-treated groups, caspase-3 protein expression was significantly decreased when compared with that noted in the control group (103.7%, p<0.05 and 96.1%, p<0.01 vs. 136.6%, respectively; Fig. 6).

Discussion

Cancer chemotherapy targets rapidly dividing cancer cells but also interferes with DNA, RNA and protein synthesis (27). Therefore, normal tissue cells as well as cancer cells are damaged. Oral mucositis is an adverse effect of cancer chemotherapeutic drugs (28). Ulceration of the oral mucosa and oropharynx can lead to decreased quality of life and modification with highly expensive cancer treatments (29). The use of current medications for mucositis such as palifermin and benzydamine is limited due to their high cost (30). Therefore, the development of new oral mucositis therapeutic drugs that can be universally used to promote effectiveness is necessary. Salvia miltiorrhiza Bunge (SM) is known for its antioxidative and anti-inflammatory effects (22,23). However, the molecular mechanisms of SM are poorly understood, and its effects on oral mucositis have yet to be determined. In the present study, we investigated the effects of SM on 5-FU-induced oral mucositis.

5-FU is an anticancer drug which is used most frequently for carcinomas of the breast, colon, and skin (31). 5-FU inhibits thymidylate synthase or incorporation of nucleic acid into RNA and DNA and causes cell death. But it can induce oral mucositis. Therefore, inhibition or the prevention of the cytotoxic effects of 5-FU on the mucosa is a reasonable strategy (32).

In this study, we examined cell viability using an MTT assay, DPPH and ROS reproduction to determine the antioxidant activities of SM. Generation of ROS linked to increased oxidative stress causes oxidative damage and the pathogenesis of several diseases (33). ROS are an important mediator of downstream biological of oral mucositis (34). The antioxidant ability of natural products is crucial in oral mucositis treatment. SM promoted proliferation of human pharyngeal cells without cytotoxic effects. Additionally, SM showed protective effects against 5-FU-induced cytotoxicity and, as expected, stimulated cell growth.

The DPPH assay is widely used to assess free radical-scavenging abilities of natural products reflecting their antioxidant properties (35). SM reduced the stable radical DPPH to yellow-colored diphenylpicryl hydrazine dose-dependently. Based on this result, SM showed antioxidant activities against scavenging DPPH free radicals. Additionally, ROS production was effectively suppressed at all concentrations in the SM-treated cells. To further understand the antioxidant effects of SM on the human pharyngeal cell line, we examined ROS production. SM-treated cells showed significantly lowered ROS production implying that SM may protect mucosal injury initiated by ROS generation.

DNA strand breaks caused by ROS activate transcription factors such as NF-κB (36). Activation of the NF-κB pathway leads to the expression of antiapoptotic genes and induces proinflammatory cytokines (37). Additionally, these reactions cause oral mucositis. The biological steps of oral mucositis involve various pathways including those associated with mitogen-activated protein kinase (MAPK), ceramide and matrix metalloproteinases (MMPs) (38). Thus, therapeutic drugs for oral mucositis will help reduce apoptosis and recover epithelial cells in the oral mucositis. To examine the regulation of apoptosis by SM in our study, the NF-κB and caspase-independent apoptotic pathways were examined by immunoblotting using 5-FU-treated human pharyngeal cells and hamster cheek pouches. In the TUNEL assay, the number of apoptosis-positive cells in the SM-treated groups was decreased compared with the control, and SM treatment also reduced the expression of NF-κB and cleaved caspase-3 both in vitro and in vivo. Several transcription factors and proinflammatory cytokines such as IL-1β and TNF-α are known to be involved in the development of mucositis (39). SM treatment for 14 days led to a decrease in the expression level of proinflammatory cytokines (IL-1β and TNF-α) and NF-κB in the 5-FU-induced oral mucositis.

In conclusion, the present study demonstrated that SM promoted cell proliferation and had protective effects against oxidative stress. Additionally, SM inhibited apoptotic cell death mediated by the NF-κB-caspase-3 signaling pathways. Moreover, changes in NF-κB and proinflammatory cytokine expression following SM treatment suggest that SM reduces inflammation during the development of mucositis. Although other molecular mechanisms remain to be elucidated in further studies, this study showed the possible use of SM as a therapeutic agent for oral mucositis.

References

1 

Sonis ST and Fey EG: Oral complications of cancer therapy. Oncology (Williston Park). 16:680–686. 2002.

2 

Pico JL, Avila-Garavito A and Naccache P: Mucositis: its occurrence, consequences, and treatment in the Oncology setting. Oncologist. 3:446–451. 1998.

3 

Bowen JM and Keefe DM: New pathways for alimentary mucositis. J Oncol. 2008:9078922008. View Article : Google Scholar : PubMed/NCBI

4 

Loury D, Embree JR, Steinberg DA, Sonis ST and Fiddes JC: Effect of local application of the antimicrobial peptide IB-367 on the incidence and severity of oral mucositis in hamsters. Oral Surg Oral Med Oral Pathol Oral Radiol Endod. 87:544–551. 1999. View Article : Google Scholar : PubMed/NCBI

5 

Sonis ST, Elting LS, Keefe D, Peterson DE, Schubert M, Hauer-Jensen M, Bekele BN, Raber-Durlacher J, Donnelly JP and Rubenstein EB; Mucositis Study Section of the Multinational Association for Supportive Care in Cancer; International Society for Oral Oncology: Perspectives on cancer therapy-induced mucosal injury: pathogenesis, measurement, epidemiology, and consequences for patients. Cancer. 100(Suppl 9): 1995–2025. 2004. View Article : Google Scholar : PubMed/NCBI

6 

Raber-Durlacher JE, Elad S and Barasch A: Oral mucositis. Oral Oncol. 46:452–456. 2010. View Article : Google Scholar : PubMed/NCBI

7 

Cheng KK, Goggins WB, Lee VW and Thompson DR: Risk factors for oral mucositis in children undergoing chemotherapy: a matched case-control study. Oral Oncol. 44:1019–1025. 2008. View Article : Google Scholar : PubMed/NCBI

8 

Mantovani G, Macciò A, Madeddu C, Mura L, Massa E, Gramignano G, Lusso MR, Murgia V, Camboni P and Ferreli L: Reactive oxygen species, antioxidant mechanisms and serum cytokine levels in cancer patients: impact of an antioxidant treatment. J Cell Mol Med. 6:570–582. 2002. View Article : Google Scholar

9 

Sonis ST, Peterson RL, Edwards LJ, Lucey CA, Wang L, Mason L, Login G, Ymamkawa M, Moses G, Bouchard P, et al: Defining mechanisms of action of interleukin-11 on the progression of radiation-induced oral mucositis in hamsters. Oral Oncol. 36:373–381. 2000. View Article : Google Scholar : PubMed/NCBI

10 

Sonis ST: The pathobiology of mucositis. Nat Rev Cancer. 4:277–284. 2004. View Article : Google Scholar : PubMed/NCBI

11 

Beaven AW and Shea TC: Palifermin: a keratinocyte growth factor that reduces oral mucositis after stem cell transplant for haematological malignancies. Expert Opin Pharmacother. 7:2287–2299. 2006. View Article : Google Scholar : PubMed/NCBI

12 

Kazemian A, Kamian S, Aghili M, Hashemi FA and Haddad P: Benzydamine for prophylaxis of radiation-induced oral mucositis in head and neck cancers: a double-blind placebo-controlled randomized clinical trial. Eur J Cancer Care (Engl). 18:174–178. 2009. View Article : Google Scholar

13 

Su CY, Ming QL, Rahman K, Han T and Qin LP: Salvia miltiorrhiza: traditional medicinal uses, chemistry, and pharmacology. Chin J Nat Med. 13:163–182. 2015.PubMed/NCBI

14 

Yu XY, Lin SG, Chen X, Zhou ZW, Liang J, Duan W, Chowbay B, Wen JY, Chan E, Cao J, et al: Transport of cryptotanshinone, a major active triterpenoid in Salvia miltiorrhiza Bunge widely used in the treatment of stroke and Alzheimer's disease, across the blood-brain barrier. Curr Drug Metab. 8:365–378. 2007. View Article : Google Scholar : PubMed/NCBI

15 

Zhang XZ, Qian SS, Zhang YJ and Wang RQ: Salvia miltiorrhiza: a source for anti-Alzheimer's disease drugs. Pharm Biol. 54:18–24. 2016. View Article : Google Scholar

16 

Ren B, Zhang YX, Zhou HX, Sun FW, Zhang ZF, Wei Z, Zhang CY and Si DW: Tanshinone IIA prevents the loss of nigrostriatal dopaminergic neurons by inhibiting NADPH oxidase and iNOS in the MPTP model of Parkinson's disease. J Neurol Sci. 348:142–152. 2015. View Article : Google Scholar

17 

Hu L, Yu T and Jia Z: Experimental study of the protective effects of Astragalus and Salvia miltiorrhiza bunge on glycerol induced acute renal failure in rabbits. Zhonghua Wai Ke Za Zhi. 34:311–314. 1996.In Chinese. PubMed/NCBI

18 

Sun XG, Fu XQ, Cai HB, Liu Q, Li CH, Liu YW, Li YJ, Liu ZF, Song YH and Lv ZP: Proteomic analysis of protective effects of polysaccharides from Salvia miltiorrhiza against immunological liver injury in mice. Phytother Res. 25:1087–1094. 2011. View Article : Google Scholar : PubMed/NCBI

19 

Chen X, Guo J, Bao J, Lu J and Wang Y: The anticancer properties of Salvia miltiorrhiza Bunge (Danshen): a systematic review. Med Res Rev. 34:768–794. 2014. View Article : Google Scholar

20 

Cui L, Li T, Liu Y, Zhou L, Li P, Xu B, Huang L, Chen Y, Liu Y, Tian X, et al: Salvianolic acid B prevents bone loss in prednisone-treated rats through stimulation of osteogenesis and bone marrow angiogenesis. PLoS One. 7:e346472012. View Article : Google Scholar : PubMed/NCBI

21 

Jiang Y, Wang L, Zhang L, Wang T, Zhou Y, Ding C, Yang R, Wang X and Yu L: Optimization of extraction and antioxidant activity of polysaccharides from Salvia miltiorrhiza Bunge residue. Int J Biol Macromol. 79:533–541. 2015. View Article : Google Scholar : PubMed/NCBI

22 

Qiang G, Yang X, Shi L, Zhang H, Chen B, Zhao Y, Zu M, Zhou D, Guo J, Yang H, et al: Antidiabetic effect of salvianolic acid A on diabetic animal models via AMPK activation and mitochondrial regulation. Cell Physiol Biochem. 36:395–408. 2015. View Article : Google Scholar : PubMed/NCBI

23 

Jin Q, Jiang S, Wu YL, Bai T, Yang Y, Jin X, Lian LH and Nan JX: Hepatoprotective effect of cryptotanshinone from Salvia miltiorrhiza in D-galactosamine/lipopolysaccharide-induced fulminant hepatic failure. Phytomedicine. 21:141–147. 2014. View Article : Google Scholar

24 

Lv H, Wang L, Shen J, Hao S, Ming A, Wang X, Su F and Zhang Z: Salvianolic acid B attenuates apoptosis and inflammation via SIRT1 activation in experimental stroke rats. Brain Res Bull. 115:30–36. 2015. View Article : Google Scholar : PubMed/NCBI

25 

Sonis ST, Tracey C, Shklar G, Jenson J and Florine D: An animal model for mucositis induced by cancer chemotherapy. Oral Surg Oral Med Oral Pathol. 69:437–443. 1990. View Article : Google Scholar : PubMed/NCBI

26 

Florin A, Maire M, Bozec A, Hellani A, Chater S, Bars R, Chuzel F and Benahmed M: Androgens and postmeiotic germ cells regulate claudin-11 expression in rat Sertoli cells. Endocrinology. 146:1532–1540. 2005. View Article : Google Scholar

27 

Blijlevens NM: Cytotoxic treatment-induced gastrointestinal symptoms. Curr Opin Support Palliat Care. 1:16–22. 2007. View Article : Google Scholar

28 

Stringer AM and Logan RM: The role of oral flora in the development of chemotherapy-induced oral mucositis. J Oral Pathol Med. 44:81–87. 2015. View Article : Google Scholar

29 

Nonzee NJ, Dandade NA, Patel U, Markossian T, Agulnik M, Argiris A, Patel JD, Kern RC, Munshi HG, Calhoun EA, et al: Evaluating the supportive care costs of severe radiochemotherapy-induced mucositis and pharyngitis: results from a Northwestern University. Costs of Cancer program pilot study with head and neck and nonsmall cell lung cancer patients who received care at a county hospital, a Veterans administration hospital, or a comprehensive cancer care center. Cancer. 113:1446–1452. 2008. View Article : Google Scholar : PubMed/NCBI

30 

Ahmed KM: The effect of olive leaf extract in decreasing the expression of two pro-inflammatory cytokines in patients receiving chemotherapy for cancer. A randomized clinical trial. Saudi Dent J. 25:141–147. 2013. View Article : Google Scholar : PubMed/NCBI

31 

Evrard A, Cuq P, Robert B, Vian L, Pèlegrin A and Cano JP: Enhancement of 5-fluorouracil cytotoxicity by human thymidine-phosphorylase expression in cancer cells: in vitro and in vivo study. Int J Cancer. 80:465–470. 1999. View Article : Google Scholar : PubMed/NCBI

32 

Kodach LL, Bos CL, Durán N, Peppelenbosch MP, Ferreira CV and Hardwick JC: Violacein synergistically increases 5-fluorouracil cytotoxicity, induces apoptosis and inhibits Akt-mediated signal transduction in human colorectal cancer cells. Carcinogenesis. 27:508–516. 2006. View Article : Google Scholar

33 

Criswell T, Leskov K, Miyamoto S, Luo G and Boothman DA: Transcription factors activated in mammalian cells after clinically relevant doses of ionizing radiation. Oncogene. 22:5813–5827. 2003. View Article : Google Scholar : PubMed/NCBI

34 

Mendoza G, Alvarez AI, Pulido MM, Molina AJ, Merino G, Real R, Fernandes P and Prieto JG: Inhibitory effects of different antioxidants on hyaluronan depolymerization. Carbohydr Res. 342:96–102. 2007. View Article : Google Scholar

35 

Kaji H, Inukai Y, Maiguma T, Ono H, Teshima D, Hiramoto K and Makino K: Radical scavenging activity of bisbenzylisoquinoline alkaloids and traditional prophylactics against chemotherapy-induced oral mucositis. J Clin Pharm Ther. 34:197–205. 2009. View Article : Google Scholar : PubMed/NCBI

36 

Erstad DJ and Cusack JC Jr: Targeting the NF-κB pathway in cancer therapy. Surg Oncol Clin N Am. 22:705–746. 2013. View Article : Google Scholar : PubMed/NCBI

37 

Lappas M, Permezel M and Rice GE: N-acetyl-cysteine inhibits phospholipid metabolism, proinflammatory cytokine release, protease activity, and nuclear factor-kappaB deoxyribonucleic acid-binding activity in human fetal membranes in vitro. J Clin Endocrinol Metab. 88:1723–1729. 2003. View Article : Google Scholar : PubMed/NCBI

38 

Bamba S, Andoh A, Yasui H, Araki Y, Bamba T and Fujiyama Y: Matrix metalloproteinase-3 secretion from human colonic subepithelial myofibroblasts: role of interleukin-17. J Gastroenterol. 38:548–554. 2003.PubMed/NCBI

39 

Curra M, Martins MA, Lauxen IS, Pellicioli AC, Sant'Ana Filho M, Pavesi VC, Carrard VC and Martins MD: Effect of topical chamomile on immunohistochemical levels of IL-1β and TNF-α in 5-fluorouracil-induced oral mucositis in hamsters. Cancer Chemother Pharmacol. 71:293–299. 2013. View Article : Google Scholar

Related Articles

  • Abstract
  • View
  • Download
  • Twitter
Copy and paste a formatted citation
Spandidos Publications style
Kim D, Kim J, Oh J, Kim H, Kim Y and Chang M: Protective effect of Salvia miltiorrhiza Bunge on 5-fluorouracil-induced oral mucositis. Int J Mol Med 40: 39-46, 2017.
APA
Kim, D., Kim, J., Oh, J., Kim, H., Kim, Y., & Chang, M. (2017). Protective effect of Salvia miltiorrhiza Bunge on 5-fluorouracil-induced oral mucositis. International Journal of Molecular Medicine, 40, 39-46. https://doi.org/10.3892/ijmm.2017.2999
MLA
Kim, D., Kim, J., Oh, J., Kim, H., Kim, Y., Chang, M."Protective effect of Salvia miltiorrhiza Bunge on 5-fluorouracil-induced oral mucositis". International Journal of Molecular Medicine 40.1 (2017): 39-46.
Chicago
Kim, D., Kim, J., Oh, J., Kim, H., Kim, Y., Chang, M."Protective effect of Salvia miltiorrhiza Bunge on 5-fluorouracil-induced oral mucositis". International Journal of Molecular Medicine 40, no. 1 (2017): 39-46. https://doi.org/10.3892/ijmm.2017.2999
Copy and paste a formatted citation
x
Spandidos Publications style
Kim D, Kim J, Oh J, Kim H, Kim Y and Chang M: Protective effect of Salvia miltiorrhiza Bunge on 5-fluorouracil-induced oral mucositis. Int J Mol Med 40: 39-46, 2017.
APA
Kim, D., Kim, J., Oh, J., Kim, H., Kim, Y., & Chang, M. (2017). Protective effect of Salvia miltiorrhiza Bunge on 5-fluorouracil-induced oral mucositis. International Journal of Molecular Medicine, 40, 39-46. https://doi.org/10.3892/ijmm.2017.2999
MLA
Kim, D., Kim, J., Oh, J., Kim, H., Kim, Y., Chang, M."Protective effect of Salvia miltiorrhiza Bunge on 5-fluorouracil-induced oral mucositis". International Journal of Molecular Medicine 40.1 (2017): 39-46.
Chicago
Kim, D., Kim, J., Oh, J., Kim, H., Kim, Y., Chang, M."Protective effect of Salvia miltiorrhiza Bunge on 5-fluorouracil-induced oral mucositis". International Journal of Molecular Medicine 40, no. 1 (2017): 39-46. https://doi.org/10.3892/ijmm.2017.2999
Follow us
  • Twitter
  • LinkedIn
  • Facebook
About
  • Spandidos Publications
  • Careers
  • Cookie Policy
  • Privacy Policy
How can we help?
  • Help
  • Live Chat
  • Contact
  • Email to our Support Team