Spandidos Publications Logo
  • About
    • About Spandidos
    • Aims and Scopes
    • Abstracting and Indexing
    • Editorial Policies
    • Reprints and Permissions
    • Job Opportunities
    • Terms and Conditions
    • Contact
  • Journals
    • All Journals
    • Oncology Letters
      • Oncology Letters
      • Information for Authors
      • Editorial Policies
      • Editorial Board
      • Aims and Scope
      • Abstracting and Indexing
      • Bibliographic Information
      • Archive
    • International Journal of Oncology
      • International Journal of Oncology
      • Information for Authors
      • Editorial Policies
      • Editorial Board
      • Aims and Scope
      • Abstracting and Indexing
      • Bibliographic Information
      • Archive
    • Molecular and Clinical Oncology
      • Molecular and Clinical Oncology
      • Information for Authors
      • Editorial Policies
      • Editorial Board
      • Aims and Scope
      • Abstracting and Indexing
      • Bibliographic Information
      • Archive
    • Experimental and Therapeutic Medicine
      • Experimental and Therapeutic Medicine
      • Information for Authors
      • Editorial Policies
      • Editorial Board
      • Aims and Scope
      • Abstracting and Indexing
      • Bibliographic Information
      • Archive
    • International Journal of Molecular Medicine
      • International Journal of Molecular Medicine
      • Information for Authors
      • Editorial Policies
      • Editorial Board
      • Aims and Scope
      • Abstracting and Indexing
      • Bibliographic Information
      • Archive
    • Biomedical Reports
      • Biomedical Reports
      • Information for Authors
      • Editorial Policies
      • Editorial Board
      • Aims and Scope
      • Abstracting and Indexing
      • Bibliographic Information
      • Archive
    • Oncology Reports
      • Oncology Reports
      • Information for Authors
      • Editorial Policies
      • Editorial Board
      • Aims and Scope
      • Abstracting and Indexing
      • Bibliographic Information
      • Archive
    • Molecular Medicine Reports
      • Molecular Medicine Reports
      • Information for Authors
      • Editorial Policies
      • Editorial Board
      • Aims and Scope
      • Abstracting and Indexing
      • Bibliographic Information
      • Archive
    • World Academy of Sciences Journal
      • World Academy of Sciences Journal
      • Information for Authors
      • Editorial Policies
      • Editorial Board
      • Aims and Scope
      • Abstracting and Indexing
      • Bibliographic Information
      • Archive
    • International Journal of Functional Nutrition
      • International Journal of Functional Nutrition
      • Information for Authors
      • Editorial Policies
      • Editorial Board
      • Aims and Scope
      • Abstracting and Indexing
      • Bibliographic Information
      • Archive
    • International Journal of Epigenetics
      • International Journal of Epigenetics
      • Information for Authors
      • Editorial Policies
      • Editorial Board
      • Aims and Scope
      • Abstracting and Indexing
      • Bibliographic Information
      • Archive
    • Medicine International
      • Medicine International
      • Information for Authors
      • Editorial Policies
      • Editorial Board
      • Aims and Scope
      • Abstracting and Indexing
      • Bibliographic Information
      • Archive
  • Articles
  • Information
    • Information for Authors
    • Information for Reviewers
    • Information for Librarians
    • Information for Advertisers
    • Conferences
  • Language Editing
Spandidos Publications Logo
  • About
    • About Spandidos
    • Aims and Scopes
    • Abstracting and Indexing
    • Editorial Policies
    • Reprints and Permissions
    • Job Opportunities
    • Terms and Conditions
    • Contact
  • Journals
    • All Journals
    • Biomedical Reports
      • Information for Authors
      • Editorial Policies
      • Editorial Board
      • Aims and Scope
      • Abstracting and Indexing
      • Bibliographic Information
      • Archive
    • Experimental and Therapeutic Medicine
      • Information for Authors
      • Editorial Policies
      • Editorial Board
      • Aims and Scope
      • Abstracting and Indexing
      • Bibliographic Information
      • Archive
    • International Journal of Epigenetics
      • Information for Authors
      • Editorial Policies
      • Editorial Board
      • Aims and Scope
      • Abstracting and Indexing
      • Bibliographic Information
      • Archive
    • International Journal of Functional Nutrition
      • Information for Authors
      • Editorial Policies
      • Editorial Board
      • Aims and Scope
      • Abstracting and Indexing
      • Bibliographic Information
      • Archive
    • International Journal of Molecular Medicine
      • Information for Authors
      • Editorial Policies
      • Editorial Board
      • Aims and Scope
      • Abstracting and Indexing
      • Bibliographic Information
      • Archive
    • International Journal of Oncology
      • Information for Authors
      • Editorial Policies
      • Editorial Board
      • Aims and Scope
      • Abstracting and Indexing
      • Bibliographic Information
      • Archive
    • Medicine International
      • Information for Authors
      • Editorial Policies
      • Editorial Board
      • Aims and Scope
      • Abstracting and Indexing
      • Bibliographic Information
      • Archive
    • Molecular and Clinical Oncology
      • Information for Authors
      • Editorial Policies
      • Editorial Board
      • Aims and Scope
      • Abstracting and Indexing
      • Bibliographic Information
      • Archive
    • Molecular Medicine Reports
      • Information for Authors
      • Editorial Policies
      • Editorial Board
      • Aims and Scope
      • Abstracting and Indexing
      • Bibliographic Information
      • Archive
    • Oncology Letters
      • Information for Authors
      • Editorial Policies
      • Editorial Board
      • Aims and Scope
      • Abstracting and Indexing
      • Bibliographic Information
      • Archive
    • Oncology Reports
      • Information for Authors
      • Editorial Policies
      • Editorial Board
      • Aims and Scope
      • Abstracting and Indexing
      • Bibliographic Information
      • Archive
    • World Academy of Sciences Journal
      • Information for Authors
      • Editorial Policies
      • Editorial Board
      • Aims and Scope
      • Abstracting and Indexing
      • Bibliographic Information
      • Archive
  • Articles
  • Information
    • For Authors
    • For Reviewers
    • For Librarians
    • For Advertisers
    • Conferences
  • Language Editing
Login Register Submit
  • This site uses cookies
  • You can change your cookie settings at any time by following the instructions in our Cookie Policy. To find out more, you may read our Privacy Policy.

    I agree
Search articles by DOI, keyword, author or affiliation
Search
Advanced Search
presentation
International Journal of Molecular Medicine
Join Editorial Board Propose a Special Issue
Print ISSN: 1107-3756 Online ISSN: 1791-244X
Journal Cover
November-2017 Volume 40 Issue 5

Full Size Image

Sign up for eToc alerts
Recommend to Library

Journals

International Journal of Molecular Medicine

International Journal of Molecular Medicine

International Journal of Molecular Medicine is an international journal devoted to molecular mechanisms of human disease.

International Journal of Oncology

International Journal of Oncology

International Journal of Oncology is an international journal devoted to oncology research and cancer treatment.

Molecular Medicine Reports

Molecular Medicine Reports

Covers molecular medicine topics such as pharmacology, pathology, genetics, neuroscience, infectious diseases, molecular cardiology, and molecular surgery.

Oncology Reports

Oncology Reports

Oncology Reports is an international journal devoted to fundamental and applied research in Oncology.

Experimental and Therapeutic Medicine

Experimental and Therapeutic Medicine

Experimental and Therapeutic Medicine is an international journal devoted to laboratory and clinical medicine.

Oncology Letters

Oncology Letters

Oncology Letters is an international journal devoted to Experimental and Clinical Oncology.

Biomedical Reports

Biomedical Reports

Explores a wide range of biological and medical fields, including pharmacology, genetics, microbiology, neuroscience, and molecular cardiology.

Molecular and Clinical Oncology

Molecular and Clinical Oncology

International journal addressing all aspects of oncology research, from tumorigenesis and oncogenes to chemotherapy and metastasis.

World Academy of Sciences Journal

World Academy of Sciences Journal

Multidisciplinary open-access journal spanning biochemistry, genetics, neuroscience, environmental health, and synthetic biology.

International Journal of Functional Nutrition

International Journal of Functional Nutrition

Open-access journal combining biochemistry, pharmacology, immunology, and genetics to advance health through functional nutrition.

International Journal of Epigenetics

International Journal of Epigenetics

Publishes open-access research on using epigenetics to advance understanding and treatment of human disease.

Medicine International

Medicine International

An International Open Access Journal Devoted to General Medicine.

Journal Cover
November-2017 Volume 40 Issue 5

Full Size Image

Sign up for eToc alerts
Recommend to Library

  • Article
  • Citations
    • Cite This Article
    • Download Citation
    • Create Citation Alert
    • Remove Citation Alert
    • Cited By
  • Similar Articles
    • Related Articles (in Spandidos Publications)
    • Similar Articles (Google Scholar)
    • Similar Articles (PubMed)
  • Download PDF
  • Download XML
  • View XML
Article Open Access

Psoralen promotes the expression of cyclin D1 in chondrocytes via the Wnt/β-catenin signaling pathway

  • Authors:
    • Wenwei Zheng
    • Pingdong Lin
    • Yuhuan Ma
    • Xiang Shao
    • Houhuang Chen
    • Da Chen
    • Xianxiang Liu
    • Xihai Li
    • Hongzhi Ye
  • View Affiliations / Copyright

    Affiliations: College of Pharmacy, Fujian University of Traditional Chinese Medicine, Fuzhou, Fujian 350122, P.R. China, Academy of Integrative Medicine, Fujian University of Traditional Chinese Medicine, Fuzhou, Fujian 350122, P.R. China
    Copyright: © Zheng et al. This is an open access article distributed under the terms of Creative Commons Attribution License.
  • Pages: 1377-1384
    |
    Published online on: September 21, 2017
       https://doi.org/10.3892/ijmm.2017.3148
  • Expand metrics +
Metrics: Total Views: 0 (Spandidos Publications: | PMC Statistics: )
Metrics: Total PDF Downloads: 0 (Spandidos Publications: | PMC Statistics: )
Cited By (CrossRef): 0 citations Loading Articles...

This article is mentioned in:



Abstract

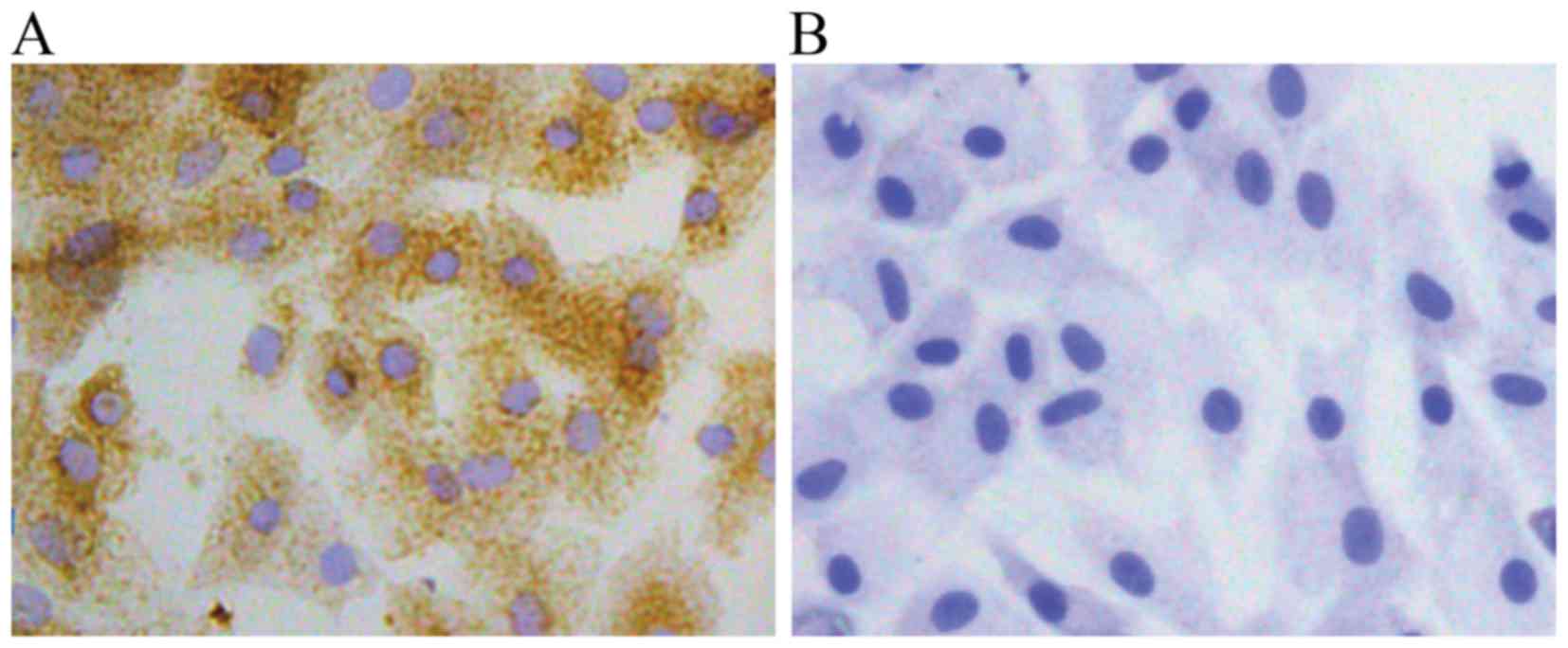
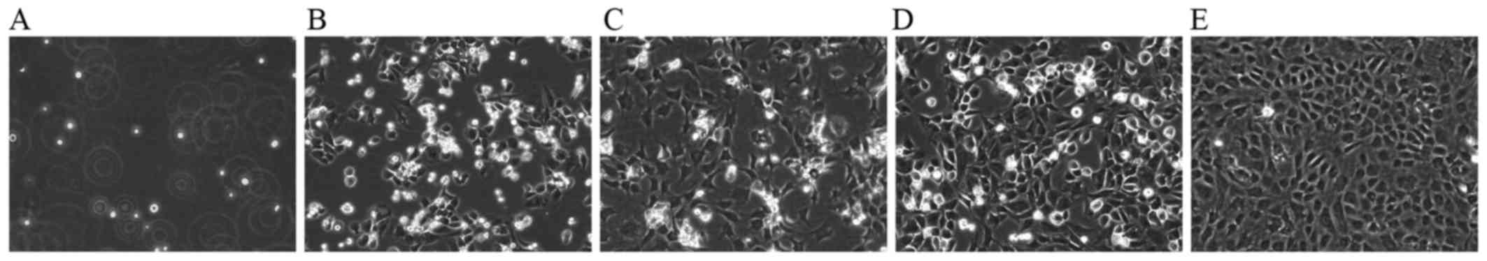
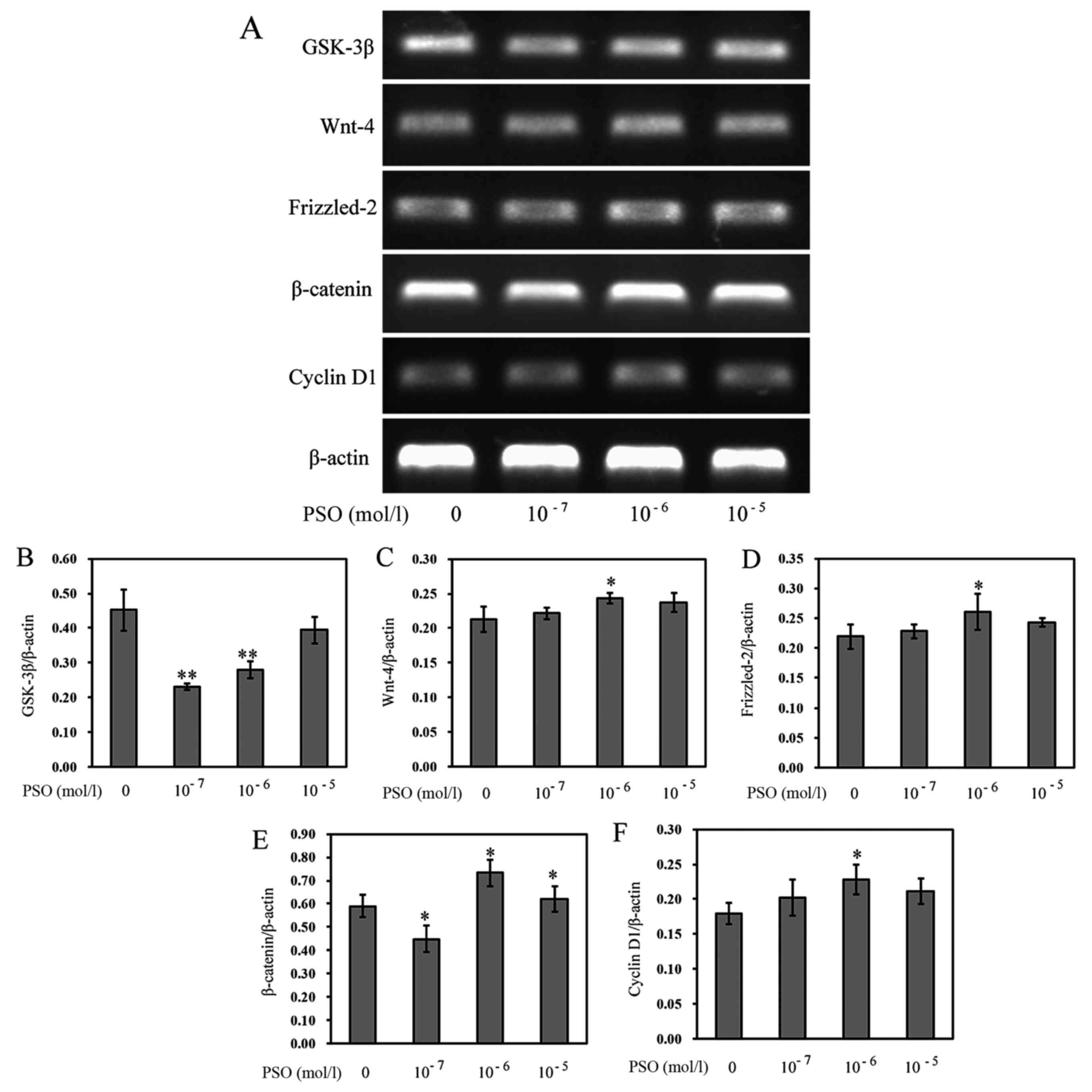
Psoralen (PSO), the active ingredient of Fructus Psoraleae (FP) the dried ripe fruit of Psoralea corylifolia L., has been commonly used in traditional Chinese medicine (TCM) for the treatment of osteoarthritis (OA). We found that PSO activates cartilaginous cellular functions of rat chondrocytes in vitro. However, the effect of PSO on chondrocyte proliferation and the precise mechanisms involved remain to be elucidated. We investigated the effects of PSO on chondrocytes isolated from Sprague‑Dawley (SD) rats and evaluated involvement of the Wnt/β-catenin signaling pathway. The viability of chondrocytes treated with PSO was increased in a dose- and time-dependent manner, as assessed by MTT assay. We found that the gene expression and protein levels of Wnt-4, Frizzled-2, β-catenin and cyclin D1 in the PSO-treated chondrocytes were significantly upregulated, while the gene expression and protein level of glycogen synthase kinase-3β (GSK-3β) were downregulated, compared with the untreated chondrocytes. By immunofluorescence, we also found that PSO induced β-catenin nuclear translocation. Importantly, the expression of β-catenin and cyclin D1 was partly inhibited by Dickkopf-1 (DKK-1), an inhibitor of the Wnt/β-catenin signaling pathway. Additionally, Col-II expression in chondrocytes was increased after treatment with PSO. Taken together, these results indicate that PSO promotes chondrocyte proliferation by activating the Wnt/β-catenin signaling pathway, and it may play an important role in the treatment of OA.
View Figures

Figure 1

Figure 2

Figure 3

Figure 4

Figure 5

Figure 6

Figure 7

Figure 8

Figure 9

View References

1 

Pereira D, Ramos E and Branco J: Osteoarthritis. Osteoarthritis Acta Med Port. 28:99–106. 2015. View Article : Google Scholar : PubMed/NCBI

2 

Blalock D, Miller A, Tilley M and Wang J: Joint instability and osteoarthritis. Clin Med Insights Arthritis Musculoskelet Disord. 8:15–23. 2015.PubMed/NCBI

3 

Thomas JT, Schneider BS, Frank EL and Krizan SJ: Cartilage repair and replacement in the knee. Trends Biotechnol. 31:665–667. 2013. View Article : Google Scholar : PubMed/NCBI

4 

Chen C, Tambe DT, Deng L and Yang L: Biomechanical properties and mechanobiology of the articular chondrocyte. Am J Physiol Cell Physiol. 305:C1202–C1208. 2013. View Article : Google Scholar : PubMed/NCBI

5 

Tonge DP, Pearson MJ and Jones SW: The hallmarks of osteoarthritis and the potential to develop personalised disease-modifying pharmacological therapeutics. Osteoarthritis Cartilage. 22:609–621. 2014. View Article : Google Scholar : PubMed/NCBI

6 

Schulze-Tanzil G: Activation and dedifferentiation of chondrocytes: Implications in cartilage injury and repair. Ann Anat. 191:325–338. 2009. View Article : Google Scholar : PubMed/NCBI

7 

Pap T and Korb-Pap A: Cartilage damage in osteoarthritis and rheumatoid arthritis - two unequal siblings. Nat Rev Rheumatol. 11:606–615. 2015. View Article : Google Scholar : PubMed/NCBI

8 

Aman A, Nguyen M and Piotrowski T: Wnt/β-catenin dependent cell proliferation underlies segmented lateral line morphogenesis. Dev Biol. 349:470–482. 2011. View Article : Google Scholar

9 

Monroe DG, McGee-Lawrence ME, Oursler MJ and Westendorf JJ: Update on Wnt signaling in bone cell biology and bone disease. Gene. 492:1–18. 2012. View Article : Google Scholar :

10 

Ryu JH, Kim SJ, Kim SH, Oh CD, Hwang SG, Chun CH, Oh SH, Seong JK, Huh TL and Chun JS: Regulation of the chondrocyte phenotype by beta-catenin. Development. 129:5541–5550. 2002. View Article : Google Scholar : PubMed/NCBI

11 

Bougault C, Priam S, Houard X, Pigenet A, Sudre L, Lories RJ, Jacques C and Berenbaum F: Protective role of frizzled-related protein B on matrix metalloproteinase induction in mouse chon-drocytes. Arthritis Res Ther. 16:R1372014. View Article : Google Scholar

12 

Lu H, Zhang L, Liu D, Tang P and Song F: Isolation and purification of psoralen and isopsoralen and their efficacy and safety in the treatment of osteosarcoma in nude rats. Afr Health Sci. 14:641–647. 2014. View Article : Google Scholar : PubMed/NCBI

13 

Wong RW and Rabie AB: Effect of psoralen on bone formation. J Orthop Res. 29:158–164. 2011. View Article : Google Scholar

14 

Tang DZ, Yang F, Yang Z, Huang J, Shi Q, Chen D and Wang YJ: Psoralen stimulates osteoblast differentiation through activation of BMP signaling. Biochem Biophys Res Commun. 405:256–261. 2011. View Article : Google Scholar : PubMed/NCBI

15 

Li J, Zhu A, Xie W and Zheng H: Study of the mechanism of benefiting kidney herbs in the prevention and treatment of osteoarthritis in vitro. Chin J Osteoporos. 22:877–882. 2016.In Chinese.

16 

Li H, Li X, Liu G, Chen J, Weng X, Liu F, Xu H, Liu X and Ye H: Bauhinia championi (Benth.) Benth. polysaccharides upregulate Wnt/β-catenin signaling in chondrocytes. Int J Mol Med. 32:1329–1336. 2013. View Article : Google Scholar : PubMed/NCBI

17 

Weng X, Lin P, Liu F, Chen J, Li H, Huang L, Zhen C, Xu H, Liu X, Ye H, et al: Achyranthes bidentata polysaccharides activate the Wnt/β-catenin signaling pathway to promote chondrocyte proliferation. Int J Mol Med. 34:1045–1050. 2014. View Article : Google Scholar : PubMed/NCBI

18 

Yu F, Li X, Cai L, Li H, Chen J, Wong X, Xu H, Zheng C, Liu X and Ye H: Achyranthes bidentata polysaccharides induce chon-drocyte proliferation via the promotion of the G1/S cell cycle transition. Mol Med Rep. 7:935–940. 2013. View Article : Google Scholar : PubMed/NCBI

19 

Maturana JL, Niechi I, Silva E, Huerta H, Cataldo R, Härtel S, Barros LF, Galindo M and Tapia JC: Transactivation activity and nucleocytoplasmic transport of β-catenin are independently regulated by its C-terminal end. Gene. 573:115–122. 2015. View Article : Google Scholar : PubMed/NCBI

20 

Hunter DJ and Felson DT: Osteoarthritis. BMJ. 332:639–642. 2006. View Article : Google Scholar : PubMed/NCBI

21 

Dreier R: Hypertrophic differentiation of chondrocytes in osteoarthritis: The developmental aspect of degenerative joint disorders. Arthritis Res Ther. 12:2162010. View Article : Google Scholar : PubMed/NCBI

22 

Tao HY, He B, Liu SQ, Wei AL, Tao FH, Tao HL, Deng WX, Li HH and Chen Q: Effect of carboxymethylated chitosan on the biosynthesis of NGF and activation of the Wnt/β-catenin signaling pathway in the proliferation of Schwann cells. Eur J Pharmacol. 702:85–92. 2013. View Article : Google Scholar : PubMed/NCBI

23 

Sassi N, Laadhar L, Allouche M, Achek A, Kallel-Sellami M, Makni S and Sellami S: WNT signaling and chondrocytes: From cell fate determination to osteoarthritis physiopathology. J Recept Signal Transduct Res. 34:73–80. 2014. View Article : Google Scholar

24 

Sassi N, Laadhar L, Allouche M, Zandieh-Doulabi B, Hamdoun M, Klein-Nulend J, Makni S and Sellami S: The roles of canonical and non-canonical Wnt signaling in human de-differentiated articular chondrocytes. Biotech Histochem. 89:53–65. 2014. View Article : Google Scholar

25 

Li X, Chen J, Liang W, Li H, Liu F, Weng X, Lin P, Chen W, Zheng C, Xu H, et al: Bushen Zhuangjin Decoction promotes chondrocyte proliferation by stimulating cell cycle progression. Exp Ther Med. 9:839–844. 2015. View Article : Google Scholar : PubMed/NCBI

26 

Zeng X, Tamai K, Doble B, Li S, Huang H, Habas R, Okamura H, Woodgett J and He X: A dual-kinase mechanism for Wnt co-receptor phosphorylation and activation. Nature. 438:873–877. 2005. View Article : Google Scholar : PubMed/NCBI

27 

Doble BW, Patel S, Wood GA, Kockeritz LK and Woodgett JR: Functional redundancy of GSK-3alpha and GSK-3beta in Wnt/beta-catenin signaling shown by using an allelic series of embryonic stem cell lines. Dev Cell. 12:957–971. 2007. View Article : Google Scholar : PubMed/NCBI

28 

MacDonald BT, Tamai K and He X: Wnt/β-catenin signaling: Components, mechanisms, and diseases. Dev Cell. 17:9–26. 2009. View Article : Google Scholar : PubMed/NCBI

29 

Mao B and Niehrs C: Kremen2 modulates Dickkopf2 activity during Wnt/LRP6 signaling. Gene. 302:179–183. 2003. View Article : Google Scholar : PubMed/NCBI

30 

Liu C, Li Y, Semenov M, Han C, Baeg GH, Tan Y, Zhang Z, Lin X and He X: Control of beta-catenin phosphorylation/degradation by a dual-kinase mechanism. Cell. 108:837–847. 2002. View Article : Google Scholar : PubMed/NCBI

Related Articles

  • Abstract
  • View
  • Download
  • Twitter
Copy and paste a formatted citation
Spandidos Publications style
Zheng W, Lin P, Ma Y, Shao X, Chen H, Chen D, Liu X, Li X and Ye H: Psoralen promotes the expression of cyclin D1 in chondrocytes via the Wnt/β-catenin signaling pathway. Int J Mol Med 40: 1377-1384, 2017.
APA
Zheng, W., Lin, P., Ma, Y., Shao, X., Chen, H., Chen, D. ... Ye, H. (2017). Psoralen promotes the expression of cyclin D1 in chondrocytes via the Wnt/β-catenin signaling pathway. International Journal of Molecular Medicine, 40, 1377-1384. https://doi.org/10.3892/ijmm.2017.3148
MLA
Zheng, W., Lin, P., Ma, Y., Shao, X., Chen, H., Chen, D., Liu, X., Li, X., Ye, H."Psoralen promotes the expression of cyclin D1 in chondrocytes via the Wnt/β-catenin signaling pathway". International Journal of Molecular Medicine 40.5 (2017): 1377-1384.
Chicago
Zheng, W., Lin, P., Ma, Y., Shao, X., Chen, H., Chen, D., Liu, X., Li, X., Ye, H."Psoralen promotes the expression of cyclin D1 in chondrocytes via the Wnt/β-catenin signaling pathway". International Journal of Molecular Medicine 40, no. 5 (2017): 1377-1384. https://doi.org/10.3892/ijmm.2017.3148
Copy and paste a formatted citation
x
Spandidos Publications style
Zheng W, Lin P, Ma Y, Shao X, Chen H, Chen D, Liu X, Li X and Ye H: Psoralen promotes the expression of cyclin D1 in chondrocytes via the Wnt/β-catenin signaling pathway. Int J Mol Med 40: 1377-1384, 2017.
APA
Zheng, W., Lin, P., Ma, Y., Shao, X., Chen, H., Chen, D. ... Ye, H. (2017). Psoralen promotes the expression of cyclin D1 in chondrocytes via the Wnt/β-catenin signaling pathway. International Journal of Molecular Medicine, 40, 1377-1384. https://doi.org/10.3892/ijmm.2017.3148
MLA
Zheng, W., Lin, P., Ma, Y., Shao, X., Chen, H., Chen, D., Liu, X., Li, X., Ye, H."Psoralen promotes the expression of cyclin D1 in chondrocytes via the Wnt/β-catenin signaling pathway". International Journal of Molecular Medicine 40.5 (2017): 1377-1384.
Chicago
Zheng, W., Lin, P., Ma, Y., Shao, X., Chen, H., Chen, D., Liu, X., Li, X., Ye, H."Psoralen promotes the expression of cyclin D1 in chondrocytes via the Wnt/β-catenin signaling pathway". International Journal of Molecular Medicine 40, no. 5 (2017): 1377-1384. https://doi.org/10.3892/ijmm.2017.3148
Follow us
  • Twitter
  • LinkedIn
  • Facebook
About
  • Spandidos Publications
  • Careers
  • Cookie Policy
  • Privacy Policy
How can we help?
  • Help
  • Live Chat
  • Contact
  • Email to our Support Team