Spandidos Publications Logo
  • About
    • About Spandidos
    • Aims and Scopes
    • Abstracting and Indexing
    • Editorial Policies
    • Reprints and Permissions
    • Job Opportunities
    • Terms and Conditions
    • Contact
  • Journals
    • All Journals
    • Oncology Letters
      • Oncology Letters
      • Information for Authors
      • Editorial Policies
      • Editorial Board
      • Aims and Scope
      • Abstracting and Indexing
      • Bibliographic Information
      • Archive
    • International Journal of Oncology
      • International Journal of Oncology
      • Information for Authors
      • Editorial Policies
      • Editorial Board
      • Aims and Scope
      • Abstracting and Indexing
      • Bibliographic Information
      • Archive
    • Molecular and Clinical Oncology
      • Molecular and Clinical Oncology
      • Information for Authors
      • Editorial Policies
      • Editorial Board
      • Aims and Scope
      • Abstracting and Indexing
      • Bibliographic Information
      • Archive
    • Experimental and Therapeutic Medicine
      • Experimental and Therapeutic Medicine
      • Information for Authors
      • Editorial Policies
      • Editorial Board
      • Aims and Scope
      • Abstracting and Indexing
      • Bibliographic Information
      • Archive
    • International Journal of Molecular Medicine
      • International Journal of Molecular Medicine
      • Information for Authors
      • Editorial Policies
      • Editorial Board
      • Aims and Scope
      • Abstracting and Indexing
      • Bibliographic Information
      • Archive
    • Biomedical Reports
      • Biomedical Reports
      • Information for Authors
      • Editorial Policies
      • Editorial Board
      • Aims and Scope
      • Abstracting and Indexing
      • Bibliographic Information
      • Archive
    • Oncology Reports
      • Oncology Reports
      • Information for Authors
      • Editorial Policies
      • Editorial Board
      • Aims and Scope
      • Abstracting and Indexing
      • Bibliographic Information
      • Archive
    • Molecular Medicine Reports
      • Molecular Medicine Reports
      • Information for Authors
      • Editorial Policies
      • Editorial Board
      • Aims and Scope
      • Abstracting and Indexing
      • Bibliographic Information
      • Archive
    • World Academy of Sciences Journal
      • World Academy of Sciences Journal
      • Information for Authors
      • Editorial Policies
      • Editorial Board
      • Aims and Scope
      • Abstracting and Indexing
      • Bibliographic Information
      • Archive
    • International Journal of Functional Nutrition
      • International Journal of Functional Nutrition
      • Information for Authors
      • Editorial Policies
      • Editorial Board
      • Aims and Scope
      • Abstracting and Indexing
      • Bibliographic Information
      • Archive
    • International Journal of Epigenetics
      • International Journal of Epigenetics
      • Information for Authors
      • Editorial Policies
      • Editorial Board
      • Aims and Scope
      • Abstracting and Indexing
      • Bibliographic Information
      • Archive
    • Medicine International
      • Medicine International
      • Information for Authors
      • Editorial Policies
      • Editorial Board
      • Aims and Scope
      • Abstracting and Indexing
      • Bibliographic Information
      • Archive
  • Articles
  • Information
    • Information for Authors
    • Information for Reviewers
    • Information for Librarians
    • Information for Advertisers
    • Conferences
  • Language Editing
Spandidos Publications Logo
  • About
    • About Spandidos
    • Aims and Scopes
    • Abstracting and Indexing
    • Editorial Policies
    • Reprints and Permissions
    • Job Opportunities
    • Terms and Conditions
    • Contact
  • Journals
    • All Journals
    • Biomedical Reports
      • Information for Authors
      • Editorial Policies
      • Editorial Board
      • Aims and Scope
      • Abstracting and Indexing
      • Bibliographic Information
      • Archive
    • Experimental and Therapeutic Medicine
      • Information for Authors
      • Editorial Policies
      • Editorial Board
      • Aims and Scope
      • Abstracting and Indexing
      • Bibliographic Information
      • Archive
    • International Journal of Epigenetics
      • Information for Authors
      • Editorial Policies
      • Editorial Board
      • Aims and Scope
      • Abstracting and Indexing
      • Bibliographic Information
      • Archive
    • International Journal of Functional Nutrition
      • Information for Authors
      • Editorial Policies
      • Editorial Board
      • Aims and Scope
      • Abstracting and Indexing
      • Bibliographic Information
      • Archive
    • International Journal of Molecular Medicine
      • Information for Authors
      • Editorial Policies
      • Editorial Board
      • Aims and Scope
      • Abstracting and Indexing
      • Bibliographic Information
      • Archive
    • International Journal of Oncology
      • Information for Authors
      • Editorial Policies
      • Editorial Board
      • Aims and Scope
      • Abstracting and Indexing
      • Bibliographic Information
      • Archive
    • Medicine International
      • Information for Authors
      • Editorial Policies
      • Editorial Board
      • Aims and Scope
      • Abstracting and Indexing
      • Bibliographic Information
      • Archive
    • Molecular and Clinical Oncology
      • Information for Authors
      • Editorial Policies
      • Editorial Board
      • Aims and Scope
      • Abstracting and Indexing
      • Bibliographic Information
      • Archive
    • Molecular Medicine Reports
      • Information for Authors
      • Editorial Policies
      • Editorial Board
      • Aims and Scope
      • Abstracting and Indexing
      • Bibliographic Information
      • Archive
    • Oncology Letters
      • Information for Authors
      • Editorial Policies
      • Editorial Board
      • Aims and Scope
      • Abstracting and Indexing
      • Bibliographic Information
      • Archive
    • Oncology Reports
      • Information for Authors
      • Editorial Policies
      • Editorial Board
      • Aims and Scope
      • Abstracting and Indexing
      • Bibliographic Information
      • Archive
    • World Academy of Sciences Journal
      • Information for Authors
      • Editorial Policies
      • Editorial Board
      • Aims and Scope
      • Abstracting and Indexing
      • Bibliographic Information
      • Archive
  • Articles
  • Information
    • For Authors
    • For Reviewers
    • For Librarians
    • For Advertisers
    • Conferences
  • Language Editing
Login Register Submit
  • This site uses cookies
  • You can change your cookie settings at any time by following the instructions in our Cookie Policy. To find out more, you may read our Privacy Policy.

    I agree
Search articles by DOI, keyword, author or affiliation
Search
Advanced Search
presentation
International Journal of Molecular Medicine
Join Editorial Board Propose a Special Issue
Print ISSN: 1107-3756 Online ISSN: 1791-244X
Journal Cover
May-2018 Volume 41 Issue 5

Full Size Image

Sign up for eToc alerts
Recommend to Library

Journals

International Journal of Molecular Medicine

International Journal of Molecular Medicine

International Journal of Molecular Medicine is an international journal devoted to molecular mechanisms of human disease.

International Journal of Oncology

International Journal of Oncology

International Journal of Oncology is an international journal devoted to oncology research and cancer treatment.

Molecular Medicine Reports

Molecular Medicine Reports

Covers molecular medicine topics such as pharmacology, pathology, genetics, neuroscience, infectious diseases, molecular cardiology, and molecular surgery.

Oncology Reports

Oncology Reports

Oncology Reports is an international journal devoted to fundamental and applied research in Oncology.

Experimental and Therapeutic Medicine

Experimental and Therapeutic Medicine

Experimental and Therapeutic Medicine is an international journal devoted to laboratory and clinical medicine.

Oncology Letters

Oncology Letters

Oncology Letters is an international journal devoted to Experimental and Clinical Oncology.

Biomedical Reports

Biomedical Reports

Explores a wide range of biological and medical fields, including pharmacology, genetics, microbiology, neuroscience, and molecular cardiology.

Molecular and Clinical Oncology

Molecular and Clinical Oncology

International journal addressing all aspects of oncology research, from tumorigenesis and oncogenes to chemotherapy and metastasis.

World Academy of Sciences Journal

World Academy of Sciences Journal

Multidisciplinary open-access journal spanning biochemistry, genetics, neuroscience, environmental health, and synthetic biology.

International Journal of Functional Nutrition

International Journal of Functional Nutrition

Open-access journal combining biochemistry, pharmacology, immunology, and genetics to advance health through functional nutrition.

International Journal of Epigenetics

International Journal of Epigenetics

Publishes open-access research on using epigenetics to advance understanding and treatment of human disease.

Medicine International

Medicine International

An International Open Access Journal Devoted to General Medicine.

Journal Cover
May-2018 Volume 41 Issue 5

Full Size Image

Sign up for eToc alerts
Recommend to Library

  • Article
  • Citations
    • Cite This Article
    • Download Citation
    • Create Citation Alert
    • Remove Citation Alert
    • Cited By
  • Similar Articles
    • Related Articles (in Spandidos Publications)
    • Similar Articles (Google Scholar)
    • Similar Articles (PubMed)
  • Download PDF
  • Download XML
  • View XML
Article Open Access

Amelioration of inflammatory responses by Socheongryong-Tang, a traditional herbal medicine, in RAW 264.7 cells and rats

  • Authors:
    • Sang Mi Park
    • Tae Hoon Lee
    • Rongjie Zhao
    • Youn Sook Kim
    • Ji Yun Jung
    • Chung A. Park
    • Kyung Hwan Jegal
    • Sae Kwang Ku
    • Jae Kwang Kim
    • Chul Won Lee
    • Young Woo Kim
    • Il Je Cho
    • Won G. An
    • Sang Chan Kim
  • View Affiliations / Copyright

    Affiliations: Medical Research Center-Globalization of Herbal Formulation, College of Korean Medicine, Daegu Haany University, Gyeongsan 38610, Republic of Korea, Department of Biological Sciences, College of Biomedical Sciences and Engineering, Inje University, Gimhae 621-749, Republic of Korea, Department of Psychopharmacology, School of Mental Health, Qiqihar Medical University, Qiqihar, Heilongjiang 161006, P.R. China, Department of Biomedical Sciences, School of Medicine, Pusan National University, Yangsan 626-870, Republic of Korea, Division of Pharmacology, School of Korean Medicine, Pusan National University, Yangsan 626-870, Republic of Korea
    Copyright: © Park et al. This is an open access article distributed under the terms of Creative Commons Attribution License.
  • Pages: 2771-2783
    |
    Published online on: February 6, 2018
       https://doi.org/10.3892/ijmm.2018.3465
  • Expand metrics +
Metrics: Total Views: 0 (Spandidos Publications: | PMC Statistics: )
Metrics: Total PDF Downloads: 0 (Spandidos Publications: | PMC Statistics: )
Cited By (CrossRef): 0 citations Loading Articles...

This article is mentioned in:



Abstract

Socheongryong-Tang (SCRT) is a natural medicine prescription that has been mainly used in East Asia for the treatment of inflammatory disorders, including asthma and allergic rhinitis. The present study evaluated the anti-inflammatory effects of SCRT on lipopolysaccharide (LPS)-stimulated RAW 264.7 cells and in a rat model of carrageenan (CA)-induced paw edema. Levels of tumor necrosis factor-α (TNF-α), interleukin (IL)-1β, IL-6 and prostaglandin E2 (PGE2) in the culture supernatant were quantified and nitric oxide (NO) production was monitored. In addition, the effect of SCRT on the protein expression of nuclear factor-κB (NF-κB), mitogen-activated protein kinases (MAPKs), inducible NO synthase (iNOS) and cyclooxygenase-2 (COX-2) was assessed by western blot analysis. Furthermore, the effects of SCRT on acute inflammation in vivo and changes in the histomorphometry and histopathology of paw skin were observed using CA-treated rats. SCRT (1 mg/ml) inhibited the LPS-induced changes in the protein expression of NF-κB, JNK, ERK1/2, iNOS and COX-2, as well as the production of NO, PGE2 and cytokines. In the rat paw edema assay, administration of 1 g/kg of lyophilized powder obtained from the aqueous extracts of SCRT for 3 consecutive days inhibited the CA-induced increases in skin thickness, mast cell degranulation, and infiltration of inflammatory cells in the ventral and dorsal pedis skin within 4 h. These results demonstrated that SCRT exerts its anti-inflammatory activities in LPS-stimulated RAW 264.7 cells through decreasing the production of inflammatory mediators, including PGE2, NO and cytokines, via suppression of the NF-κB and JNK and ERK1/2 signaling pathways. In addition, the data of the CA-induced paw edema indicated an anti-edema effect of SCRT. SCRT (1 g/kg) reduced acute edematous inflammation through inhibition of mast cell degranulation and infiltration of inflammatory cells. Therefore, the present study provided scientific evidence for the anti-inflammatory activities of SCRT as well as the underlying mechanisms.

Introduction

Socheongryong-Tang (SCRT), also known as Xiao-Qing-Long-Tang or Sho-Seiryu-To, has been commonly used for the treatment of inflammatory diseases, including allergic rhinitis and bronchial asthma, for several centuries in Asian countries (1-3). SCRT is composed of 8 herbal components and is classically administered depending on the specific diseases and symptoms of the patients (4). The major active ingredients of SCRT include liquiritigenin, isoliquiritigenin, glycyrrhizin and homogentisic acid, as well as paeoniflorin, kaempferol, gomisin B and C, O-methoxycinnamaldehyde, higenamine, L-ephedrine and 6-gingerol (2-4).

The inflammatory response is regulated by inflammatory mediators; among these, nitric oxide (NO), prostaglandin E2 (PGE2) and cytokines, including tumor necrosis factor-α (TNF-α), interleukin (IL)-1β, and IL-6, are considered to have central roles (5,6). A significant feature of inducible NO synthase (iNOS) and cyclooxygenase-2 (COX-2), which have a major role in the production of NO and PGE2, is that they are inducible enzymes. NO is a radical produced from L-arginine through the iNOS, which produces high amounts of NO during inflammation (7-9). Another enzyme involved in the generation of PGs, including PGH2 and PGE2, is COX. Specifically, COX-2 is responsible for mediating inflammation by producing PGE2 induced by factors including lipopolysaccharide (LPS) (10,11). IL-1β, which is immunologically associated with TNF-α and IL-6, activates natural killer cells, B cells and T cells and induces fever by acting on the hypothalamus. IL-6 also has a central role in the acute immune response and increases antibody production by activating lymphocytes. It has also been reported that the levels of this cytokine are always increased in inflammatory lesions (12,13). Furthermore, TNF-α is well known to have key roles in numerous autoimmune diseases and as a primary mediator in inflammatory reactions that occur during immune responses via stimulation of the secretion of other inflammatory cytokines (12,14).

Nuclear factor κB (NF-κB) is a transcription factor associated with the transactivation of diverse genes involved in the regulation of tumorigenesis, cellular proliferation and the inflammatory response (15). In addition, mitogen-activated protein kinases (MAPKs) are kinases that are specific to serine and threonine. They include p38 MAPK (p38), extracellular signal-regulated kinases (ERKs) and c-Jun NH2-terminal kinases (JNKs), which have key roles in the modulation of the inflammatory response (16). The signaling pathways of MAPKs may activate NF-κB and cause the expression of pro-inflammatory genes (12-14).

Several studies have reported on the anti-allergic activity of SCRT in guinea pig and mouse models of airway inflammation (1,17,18). In addition, SCRT was demonstrated to exhibit an immunomodulaory effect in allergen-sensitized mice (19). However, to the best of our knowledge, the underlying molecular mechanisms of the anti-inflammatory effects of SCRT have remained elusive. Therefore, the present study evaluated the effects of SCRT on the NF-κB and MAPKs signaling pathways and on NF-κB-dependent induction of inflammatory cytokines, iNOS and COX-2 in RAW 264.7 cells induced with LPS. Furthermore, the effects of SCRT on carrageenan (CA)-induced acute edematous inflammation were examined by histomorphometry and histopathology in vivo. The present study provided a molecular basis for the inhibitory effects of SCRT on inflammatory responses and expanded the current knowledge on the mechanism of action to provide a scientific rationale for the use of SCRT as complementary and alternative medicine.

Materials and methods

Chemicals and reagents

Five reference standards, namely ephedrine, paeoniflorin, cinnamic acid, glycyrrhizin and gomisin-A, were obtained from Wako Inc. (Wako, Japan). The purity of the 5 standards was >98%. Acetonitrile, methanol and other solvents for ultra performance liquid chromatograpy (UPLC) analysis were from J.T. Baker (Avantor, Center Valley, PA, USA). Anti-NF-κB (cat. no. sc-8008), anti-lamin A/C (cat. no. sc-376248), anti-phosphorylated (p) inhibitor of NF-κB (p-I-κBa; cat. no. sc-8404) and anti-COX-2 (cat. no. sc-19999) antibodies were purchased from Santa Cruz Biotechnology Inc. (Dallas, TX, USA) and JNK (cat. no. 9252), p-JNK (cat. no. 9255), ERK1/2 (cat. no. 9102), p-ERK1/2 (cat. no. 9101), p38 (cat. no. 9212) and p-p38 (cat. no. 9211) antibodies were obtained from Cell Signaling Technology, Inc. (Danvers, MA, USA). Anti-β-actin (cat. no. sc-58673) and peroxidase-conjugated secondary (cat. no. sc-51625) antibodies were acquired from Santa Cruz Biotechnology Inc. Anti-iNOS antibody (cat. no. MABN527) was acquired from Calbiochem (San Diego, CA, USA). The immunoassay kit (cat. no. KGE004B) for PGE2 was obtained from R&D Systems (Minneapolis, MN, USA) and ELISA kits for IL-1β (cat. no. EMIL1B), IL-6 (cat. no. EM2IL6) and TNF-α (cat. no. EMTNFA) were purchased from Pierce (Thermo Fisher Scientific, Inc., Waltham, MA, USA). A peroxidase substrate kit (cat. no. SK-4100) and vectastain elite ABC kit (cat. no. PK-6200) were acquired from Vector Lab. Inc. (Burlingame, CA, USA). LPS, sulfanilamide, sodium nitrite, MTT, dexamethasone (DEXA), CA and other chemicals were obtained from Sigma-Aldrich (Merck KGaA, Darmstadt, Germany).

Preparation of SCRT

SCRT (2X, 80 g) consisted of the following medicinal herbs: 12 g of Ephedrae Herba (Ephedra sinica Stadf.), 12 g of Paeoniae Radix (Paeonia lactiflora Pall.), 12 g of Turcz. Ball. Schizandrae Fructus (Schizandra chinensis), 12 g of Tenore et Breit. Pinelliae Rhizoma (Pinellia ternata), 8 g of Asiasari Radix (Asarum sieboldii F. Maekawa), 8 g of Zingiberis Rhizoma (Zingiber officinale Rosc.), 8 g of Cinnamomi Ramulus (Cinnamomum cassia Blume.) and 8 g of Glycyrrhizae Radix (Glycyrrhiza glabra L.). All medicinal herbs were purchased from Daewon Pharmacy (Daegu, Korea) and voucher specimens (no. PNU10-28) were deposited in the Herbarium at the School of Korean Medicine, Pusan National University (Busan, Korea). The mixture (80 g) was extracted with 1.2 l of boiling distilled water for at least 3 h, then filtered through filter paper (Hyundai Micro no. 20; Hyundai Pharmaceutical Co., Ltd., Seoul, South Korea) and the filtrate was then lyophilized. The percentage yield of lyophilized SCRT extract was 14.8%. The lyophilized powder of SCRT was dissolved in distilled water immediately prior to use, and then filter-sterilized (Nalgene, Rochester, NY, USA) using a 0.2-μm syringe filter to avoid contamination.

Chemical profiling of SCRT by UPLC

The UPLC operating system was equipped with a Waters ACQUITY™ (Waters Corp., Milford, MA, USA) pump and photodiode array detector. Signal of the detector was indicated using the Empower Data System. The separation was performed using a Waters ACQUITY™ BEH C18 column (2.1×100 cm; 1.7 μm particle size; Waters Corp.). The mobile phase was comprised of 0.1% formic acid in water and 0.1% formic acid in aceto-nitrile with application of gradient elution (0.4 ml/min). The volume for injection was always 2 μl, the ultraviolet wavelength for detection was 254 nm and the column temperature was kept at 25°C. To obtain the chemical profile of SCRT, the lyophilized powder of SCRT aqueous extracts was dissolved in methanol (10 mg/ml). Prior to UPLC analysis, the sample solution was filtered using a 0.22-μm filter. In addition, standard solutions of 5 components, ephedrine, paeoniflorin, cinnamic acid, glycyrrhizin and gomisin-A, were prepared (1,000 μg/ml in methanol). All solutions were stored at 4°C.

Cell culture

RAW 264.7 cells (American Type Culture Collection, Manassas, VA, USA) were cultured in Dulbecco's modified Eagle's medium (HyClone; Thermo Fisher Scientific, Inc.) containing 10% heat-inactivated fetal bovine serum (Sigma-Aldrich; Merck KGaA), 100 μg/ml streptomycin and 100 U/ml penicillin (Gibco; Thermo Fisher Scientific, Inc.) at 37°C in a 5% CO2 incubator.

MTT assay

To examine the cytotoxicity of SCRT, RAW 264.7 cells (5×104/well) were seeded in a 96-well plate. The cells were serum-starved for 16-17 h, after which they were pre-treated with diverse concentrations of SCRT for 1 h, followed by induction with LPS (1 μg/ml) at 37°C with 5% CO2 for an additional 20 h. After incubation, the cells were stained with MTT (4 h, 0.5 mg/ml). The media were then removed and formazan crystals were dissolved by adding dimethyl sulfoxide at 200 μl/well. Next, the absorbance was read at 570 nm with an automated microplate reader (Infinite 200 Pro; Tecan, Männedorf, Switzerland). The viability of cells relative to that of the untreated cells was calculated as follows: Viability (% of control) = (optical density of treated sample)/(optical density of untreated control) × 100%.

Measurement of NO

According to previously established procedures (20-23), RAW 264.7 cells (5×105 cells/ml) were cultured for ~16 h and then treated with diverse concentrations of SCRT for 1 h, followed by induction with LPS (1 μg/ml). Cells were then incubated in a 5% CO2 incubator (37°C) for 20 h, after which the culture supernatants were collected. NO was measured by reaction with 100 μl Griess reagent [0.1% N-(1-naphthy)-ethylenediamine dihydrochloride + 1% sulfa-nilamide in the 5% phosphoric acid; Hoffmann-La Roche AG, Basel, Switzerland] with 100 μl supernatant of cells at 25°C for 15 min. The absorbance was read at 540 nm with a microplate reader (Tecan). The standard curve was drawn using NaNO2.

IL-1β, IL-6, TNF-α and PGE2 assays

RAW 264.7 cells at a concentration of 5×105 cells/ml were cultured for 16 h, after which they were pre-treated with diverse concentrations of SCRT for 1 h, and then stimulated with 1 μg/ml LPS. The culture supernatants were collected at 20 h after LPS stimulation and levels of IL-1β, IL-6, TNF-α and PGE2 were quantified using a microplate reader (Tecan).

Preparation of whole-cell lysates and nuclear extracts

To prepare whole-cell lysates, control and SCRT-treated RAW 264.7 cells were harvested by centrifugation and rinsed with PBS. Washed pellets of cells were resuspended in lysis buffer [250 mM NaCl, 50 mM 4-(2-hydroxyethyl)-1-piper-azineethanesulfonic acid (HEPES; pH 7.0), 0.1% Nonidet P (NP)-40, 5 mM EDTA, 1 mM phenylmethylsulfonyl fluoride, 0.5 mM dithiothreitol (DTT), 0.5 mM sodium orthovanadate and 5 mM NaF] containing 5 μg/ml each of aprotinin and leupeptin, and then incubated at 4°C for 20 min. Microcentrifugation was performed to remove cell debris, accomplished by rapid freezing of supernatants. To prepare nuclear extracts, cells were then swollen by adding lysis buffer [10 mM KCl, protease inhibitor cocktail, 1 mM DTT, 10 mM HEPES (pH 7.9), 1.5 mM MgCl2 and 0.2% NP-40 (Roche Diagnostics, Indianapolis, IN, USA)]. The samples were then incubated on ice for 10 min and centrifuged at 4°C for 5 min. Pellets containing the nuclei were suspended in 50 μl buffer containing 1.5 mM MgCl2, 20 mM HEPES (pH 7.9), protease inhibitor cocktail, 420 mM NaCl, 1 mM DTT and 20% glycerol, followed by incubation on a shaker at 4°C for 30 min. Finally, samples were centrifuged (16,000 × g) for 10 min. A Bradford assay (Bio-Rad Laboratories, Inc., Hercules, CA, USA) was applied for the determination of protein concentrations.

Western blot analysis

Protein from untreated or treated cell extracts (30 μg) was subjected to 8% SDS-PAGE, after which they were electroblotted onto nitrocellulose membranes (Thermo Fisher Scientific, Inc.). Samples were then blocked in 5% skim milk in 0.1% Tween-20/Tris-buffered saline (TTBS) at room temperature for 1 h, incubated overnight in the primary antibody solutions (1:1,000 dilution) at 4°C. The blots were subsequently rinsed with TTBS, stirred with a dilute solution of horseradish peroxidase-conjugated antibody (1:1,000) at 25°C for 1 h, and then washed 3 times with TTBS. Western blot detection reagents (enhanced chemiluminescence; GE Healthcare, Little Chalfont, UK) were utilized to develop the blots.

CA-induced paw edema

Paw edema experiments were performed according to previously established procedures (20-23). All animal procedures were performed in accordance with the national regulations regarding the welfare and usage of laboratory animals and protocols were approved by the Institutional Animal Care and Use Committee of Daegu Haany University (Gyeongsan, South Korea; approval no. DHU2011-020). Male Sprague Dawley rats (age, 4 weeks; weight, 80-100 g) were obtained from Samtako Co. (Osan, South Korea) and acclimatized for one week. The animals were reared in a pathogen-free environment at 20-23°C under a 12-h light/dark cycle and a relative humidity of 50% with commercial chow (Nestle Purina PetCare Ltd., Seoul, South Korea) and water provided ad libitum. Rats (n=25) were randomly divided into 5 groups that consisted of 5 animals each. SCRT was administered to rats by oral gavage at different doses (0.3 and 1.0 g/kg/day) for 3 consecutive days. An anti-inflammatory drug, DEXA, was applied as a positive control. To cause acute-phase inflammation, rats received a subcutaneous injection of a CA solution (1% in saline; 0.1 ml/rat) into the right hind paw at 1 h after SCRT or vehicle treatment. The paw volumes were measured for 4 h after injection with 1-h intervals. The paw volume was recorded using a plethysmometer (Ugo Basile, Varese, Italy).

Histological examination

The paw skins (ventrum and dorsum) were separated and fixed in neutral buffered formalin (10%), subsequently embedded in paraffin, sliced (3-4 μm) and stained using hematoxylin and eosin for histopathological profiles and toluidine blue for mast cells. To observe the changes induced by CA treatment in greater detail, the thicknesses of dorsal and ventral skins (from the epidermis to the dermis, excluding keratin layers; μm/paw) were measured using an automated image analyzer (DMI-300; DMI, Daegu, South Korea) and a light microscope (Nikon, Tokyo, Japan) under 40× magnification, and the mast and infiltrated inflammatory cells were counted by an automated image analyzer and denoted as cells/mm2 of dermis under 200× magnification.

Statistical analysis

All values are expressed as the mean ± standard deviation. Multiple-comparisons tests were performed for different dose groups. Levene's test was used to test for homogeneity in variance. If the Levene test indicated an insignificant deviation from variance homogeneity, the results were analyzed by one way analysis of variance, followed by the least-significant differences multi-comparison test assess significant differences between pairs of groups. For non-parametric analysis, the Kruskal-Wallis H test was used. When a significant difference was indicated by a Kruskal-Wallis H test, the Mann-Whitney U test was performed to identify specific pairs that differed significantly. SPSS (version 14.0K; SPSS, Inc., Chicago, IL, USA) was applied for statistical analyses. Differences were considered significant at P<0.05.

Results

Analysis of SCRT

Determination of 5 markers, ephedrine, paeoniflorin, cinnamic acid, glycyrrhizin, and gomisin-A, in SCRT was established using an UPLC system. The contents of the 5 components in SCRT were calculated from the standard curve (Table I and Fig. 1).

Figure 1

UPLC chromatogram of 5 marker compounds in SCRT. (A) UPLC chromatogram of commercial standard compounds. (B) UPLC chromatogram of 5 marker compounds in SCRT. The chromatograms were obtained at 254 nm. UPLC, ultra performance liquid chromatography; AU, absorbance units; SCRT, Socheongryong-Tang.

Table I

Contents of 5 marker compounds in Socheongryong-Tang as determined by ultra performance liquid chromatography (n=3).

Table I

Contents of 5 marker compounds in Socheongryong-Tang as determined by ultra performance liquid chromatography (n=3).

CompoundContent (μg/ml)
Ephedrine21.7±0.41
Paeoniflorin10.7±1.09
Cinnamic acid0.19±0.02
Glycyrrhizin2.50±0.03
Gomisin-A1.97±0.08
SCRT inhibits LPS-stimulated NO and PGE2 production and reduction in cell viability

To measure the inhibitory effects of SCRT on LPS-stimulated NO production in RAW 264.7 cells, 0.25, 0.5 and 1 mg/ml SCRT were analyzed. Compared with the control, treatment with LPS (1 μg/ml for 20 h) significantly increased NO production. However, treatment with SCRT significantly inhibited LPS-stimulated NO production (Fig. 2A, left). SCRT (0.25-1 mg/ml) in the absence of LPS did not change the basal levels of NO production in RAW 264.7 cells (Fig. 2A, right). In addition, the effects of SCRT on LPS-stimulated PGE2 production were also measured. When compared with the control, LPS treatment significantly increased PGE2 production. However, treatment with SCRT significantly suppressed LPS-stimulated PGE2 production (Fig. 2B). Furthermore, the possible cytotoxic effects of SCRT in RAW 264.7 cells were examined using an MTT assay. The viability of cells was not affected by SCRT treatment, at least up to the SCRT concentration of 1 mg/ml (Fig. 2C).

Figure 2

Effects of SCRT on the production of (A) NO and (B) PGE2, and on (C) the viability of LPS-stimulated RAW 264.7 cells. Cells at 5×105/ml were treated with different concentrations of SCRT (0.25, 0.5 or 1 mg/ml) for 1 h, followed by induction with 1 μg/ml LPS for 20 h. Control groups were incubated with vehicle instead. The concentrations of NO and PGE2 in the culture supernatant were determined. In addition, the effects of SCRT on the viability of the cells were determined by an MTT assay. Values are expressed as the mean ± standard deviation of 3 replicates for each condition. **P<0.01 vs. vehicle-treated control; ##P<0.01, ###P<0.001 vs. LPS only group. SCRT, Socheongryong-Tang; LPS, lipopolysaccharide; NO, nitric oxide; PGE2, prostaglandin E2.

SCRT inhibits LPS-stimulated iNOS and COX-2 expression

To examine whether the inhibitory effects of SCRT were associated with the expression of iNOS and COX-2, western blot analysis was performed. The protein levels of iNOS and COX-2 were highly upregulated in response to LPS, while treatment with SCRT significantly inhibited the upregulation of iNOS and COX-2 in a dose-dependent manner (Fig. 3A and B).

Figure 3

Inhibitory effects of SCRT on LPS-induced expression of (A) iNOS and (B) COX-2. RAW 264.7 cells (5×105 cells/ml) were treated with different concentrations of SCRT (0.25, 0.5 and 1 mg/ml) for 1 h, followed by induction with 1 μg/ml of LPS for 20 h. Control cells were incubated with vehicle alone. The protein levels of COX-2 and iNOS were examined by western blot analysis. β-Actin was used as a control. The expression levels of iNOS and COX-2 relative to β-actin were quantified by densitometry. Values are expressed as the mean ± standard deviation of 3 replicates for each condition. ***P<0.001 vs. vehicle-treated control; #P<0.05, ##P<0.01, ###P<0.001 vs. LPS only group. iNOS, inducible nitric oxide synthase; COX, cyclooxygenase; SCRT, Socheongryong-Tang; LPS, lipopolysaccharide.

SCRT reduces LPS-inducible IL-1β, IL-6 and TNF-α production

The present study investigated the effects of SCRT on LPS-inducible IL-1β, IL-6 and TNF-α production by ELISA. When compared with the control, treatment with LPS (1 μg/ml for 20 h) significantly increased the production of IL-1β, IL-6 and TNF-α (P<0.01). However, treatment with SCRT significantly inhibited LPS-inducible IL-1β, IL-6 and TNF-α production in a dose-dependent manner (Fig. 4).

Figure 4

Inhibitory effects of SCRT on LPS-induced production of the pro-inflammatory cytokines (A) TNF-α, (B) IL-1β and (C) IL-6 in RAW 264.7 cells. The cells (5×105/ml) were treated with SCRT (0.25, 0.5 and 1 mg/ml) for 1 h, followed by induction with 1 μg/ml LPS for 20 h. Control cells were incubated with vehicle alone. The levels of the pro-inflammatory cytokines were measured using ELISA. Values are expressed as the mean ± standard deviation of 3 replicates for each condition. **P<0.01 vs. vehicle-treated control; ##P<0.01 vs. LPS only group. SCRT, Socheongryong-Tang; LPS, lipopolysaccharide; TNF, tumor necrosis factor; IL, interleukin.

SCRT inhibits LPS-stimulated activation of NF-κB

To examine whether the reduction of nuclear translocation of NF-κB (p65) by SCRT was due to the inhibition of p-I-κBα, western blot analysis was performed to evaluate levels of p-I-κBα and nuclear NF-κB (p65). Treatment with LPS for 15 min increased the levels of p-I-κBα and SCRT significantly blocked this LPS-stimulated increase (Fig. 5A). In addition, NF-κB (p65) was accumulated in the nucleus after treatment with LPS for 15 min, which was significantly inhibited by pretreatment with SCRT (Fig. 5B).

Figure 5

Inhibitory effects of SCRT on the LPS-induced activation of (A) p-I-κBα and (B) nuclear NF-κB (p65). RAW 264.7 cells at a concentration of 5×105/ml were treated with SCRT (0.25, 0.5 or 1 mg/ml) for 1 h and then with LPS (1 μg/ml) for 15 min. Control cells were treated with vehicle only. Western blot analysis was performed to determine the protein levels of p-I-κBα and NF-κB (p65). The level of p-I-κBα vs. β-actin and NF-κB (p65) vs. Lamin A/C were quantified by densitometry. Values are expressed as the mean ± standard deviation of 3 replicates for each condition. **P<0.01 vs. vehicle-treated control; ##P<0.01 vs. LPS only group. SCRT, Socheongryong-Tang; LPS, lipopolysaccharide; NF-κB, nuclear factor κB; p-I-κBα, phosphorylated inhibitor of NF-κB.

Inhibitory effects of SCRT on LPS-stimulated phosphorylation of MAPKs

To examine the molecular targets of SCRT and associated signaling pathways, the effects of SCRT on LPS-stimulated phosphorylation of JNK, ERK1/2 and p38 in RAW 264.7 cells were evaluated. As presented in Fig. 6, the phosphorylation of JNK, ERK1/2 and p38 was significantly increased after LPS treatment (1 μg/ml) for 15 min. However, treatment with SCRT (1 mg/ml) significantly decreased the phosphorylation of JNK and ERK1/2, whereas the phosphorylation of p38 was unaffected.

Figure 6

Inhibitory effects of SCRT on the phosphorylation of mitogen-activated protein kinases (JNK, ERK and p38) in LPS-stimulated RAW 264.7 cells. The cells were treated with the indicated concentrations of SCRT for 1 h, followed by induction with 1 μg/ml LPS for 15 min. Western blot analysis was performed using anti-phosphokinase antibodies for cell extract analysis. Phosphorylated JNK, ERK1/2 and p38 vs. total JNK, ERK1/2 and p38 were measured via densitometry. Values are expressed as the mean ± standard deviation of 3 replicates for each condition. **P<0.01, ***P<0.001 vs. vehicle-treated control; ##P<0.01, ###P<0.001 vs. LPS only group. SCRT, Socheongryong-Tang; LPS, lipopolysaccharide; JNK, c-Jun N-terminal kinase; p-ERK, phosphorylated extracellular signal-regulated kinase.

SCRT reduces CA-induced paw edema, as well as iNOS and COX-2 protein expression in paw tissues

In accordance with the results of previous studies (20-23), the present results indicated that CA injection significantly increased the paw swelling relative to the control group within 4 h. However, treatment with DEXA (positive control; 1 mg/kg/day, per os) resulted in a significant decrease in edema formation relative to that in the CA group (P<0.01). Treatment with SCRT (0.3 and 1 g/kg/day, per os, 3 days) also significantly decreased paw edema volumes within 4 h (Fig. 7A). CA significantly increased the expression of iNOS and COX-2 protein relative to the control in the paw tissues. However, DEXA significantly decreased the expression of iNOS and COX-2 protein. In addition, SCRT (1 g/kg) also significantly decreased the expression of iNOS and COX-2 protein (P<0.001; Fig. 7B).

Figure 7

Effects of SCRT on CA-induced paw edema volume and expression of iNOS and COX-2 by CA in the paw tissues. Rats were orally pretreated with DEXA (1 mg/kg, p.o., 3 days) or SCRT (0.3 or 1 g/kg, p.o., 3 days) and subcutaneously injected with 1% CA (100 μl/rat, dissolved in sterilized saline). (A) The volume of paw swelling was recorded at 0-4 h after CA injection. (B) The protein from paw tissue samples of rats at 4 h after CA injection was isolated and the expression of iNOS and COX-2 was determined using western blot analysis. β-actin was used as a loading control. Values are expressed as the mean ± standard deviation of 3 replicates for each condition. **P<0.01, ***P<0.001 vs. vehicle-treated control; #P<0.05, ##P<0.01, ###P<0.001 vs. CA only group. SCRT, Socheongryong-Tang; LPS, lipopolysaccharide; DEXA, dexamethasone; CA, carrageenan; iNOS, inducible nitric oxide synthase; COX, cyclooxygenase; p.o., per os.

Histological examination

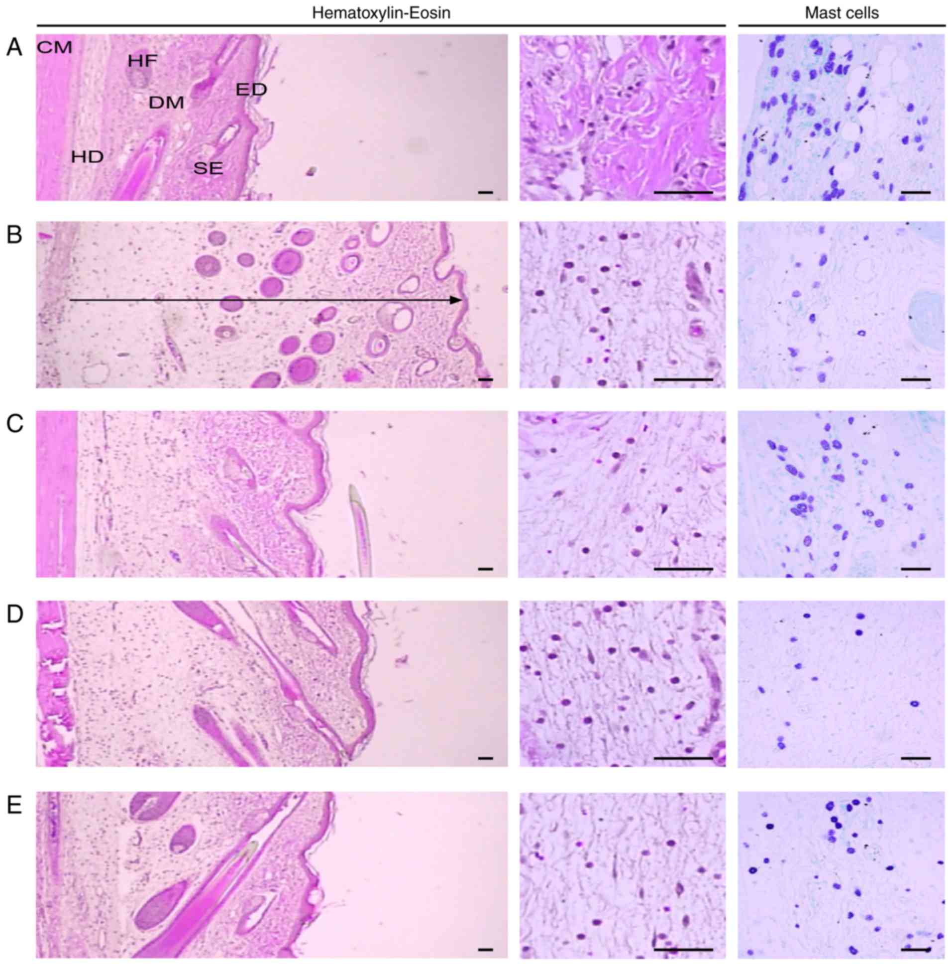
Representative histological profiles of the dorsal and ventral pedis skins observed after CA and DEXA or SCRT treatment are presented in Figs. 8 and 9, respectively. In addition, the histomorphometrical measurements of the dorsal and ventral pedis skins are listed in Table II. The thicknesses of the dorsal and ventral pedis skins at 4 h after CA injection were increased by 152.50 and 132.14%, respectively, as compared with those in the control group. In addition, the thickness of the dorsal pedis skin in rats treated with DEXA and SCRT at 0.3 g/kg (low dose) and 1 g/kg (high dose) was decreased by 44.80, 18.67 and 31.05%, respectively, and that of the ventral pedis skin was decreased by 33.97, 5.27 and 19.73%, respectively, compared with that in the CA group. Furthermore, the number of infiltrated inflammatory cells in the dorsal and ventral pedis skins at 4 h after CA injection was increased by 909.09 and 2,244.55% relative to that in the control group, respectively. The number of infiltrated inflammatory cells in the dorsal pedis skin of rats treated with DEXA and SCRT at 0.3 g/kg (low dose) and 1 g/kg (high dose) was decreased by 60.78, 10.33 and 39.92%, and that in the ventral pedis skin was decreased by 58.32, 12.84 and 29.31% compared with that in the CA group, respectively. Finally, the number of mast cells in the dorsal and ventral pedis skin in the CA group was decreased by 66.67 and 65.71% relative to that in the control group, respectively. In addition, the number of mast cells in the dorsal pedis skins of rats treated with DEXA and SCRT at 0.3 g/kg (low dose) and 1 g/kg (high dose) was changed by 106.19, 15.46 and 110.31%, and that in the ventral pedis skin was changed by 131.67, −8.33 and 71.67% compared with that in the CA group, respectively (Table II).

Figure 8

Histological images of the dorsal pedis skin. Tissue sections from the dorsal pedis of the (A) Control, (B) CA, (C) CA and dexamethasone-treated, (D) CA and SCRT (0.3 g/kg)-treated and the (E) CA and SCRT (1.0 g/kg)-treated rats were stained with hematoxylin and eosin or toluidine blue for histo-pathological examination. The arrow indicates the total thickness and scale bars indicate 40 μm. CM, cutaneous muscle; DM, dermis; ED, epidermis; HD, hypodermis; HF, hair follicle; SE, sebaceous gland; SCRT, Socheongryong-Tang; LPS, lipopolysaccharide.

Figure 9

Histological images of the ventral pedis skin. Tissue sections from the ventral pedis of the (A) Control, (B) CA, (C) CA and dexamethasone-treated, (D) CA and SCRT (0.3 g/kg)-treated and the (E) CA and SCRT (1.0 g/kg)-treated rats were stained with hematoxylin and eosin or toluidine blue. The arrow indicates the total thickness and scale bars indicate 40 μm. DM, dermis; ED, epidermis; HD, hypodermis; PM, paw muscle; SCRT, Socheongryong-Tang; LPS, lipopolysaccharide.

Table II

Changes in the histomorphometrical parameters of paw skins.

Table II

Changes in the histomorphometrical parameters of paw skins.

GroupDorsal pedis skin
Ventral pedis skin
Total thickness (μm)IF cell number (cells/mm2)Mast cell number (cells/mm2)Total thickness (μm)IF cell number (cells/mm2)Mast cell number (cells/mm2)
Control937.49±221.0828.60±11.8058.20±9.98595.58±53.7320.20±5.8935.00±5.10
CA 2,367.14±369.77a 288.60±17.64a19.40±2.30a 1,382.58±165.53a 473.60±45.64b12.00±2.35a
Dexamethasone 1,306.65±98.70c,d 113.20±24.79a,c40.00±10.98a,c 912.94±175.95a,c 197.40±17.04b,e27.80±4.71c,d
SCRT (0.3 g/kg) 1,925.25±217.35a,c 258.80±38.32a22.40±6.91a 1,309.70±162.60a 412.80±55.88b11.00±2.55a
SCRT (1 g/kg) 1,632.05±86.02a,c 173.40±16.70a,c40.80±7.69a,c 1,109.76±108.75a,c 334.80±38.34b,e20.60±6.31a,c

{ label (or @symbol) needed for fn[@id='tfn1-ijmm-41-05-2771'] } Values are expressed as the skin index as a mean ± standard deviation of 5 rat hind paws.

a P<0.01 compared with control group by the LSD test.

b P<0.01 as compared with the control group by the MW test.

c P<0.01 compared with the CA group by the LSD test.

d P<0.05 compared with the control group by the LSD test

e P<0.01 as compared with the CA group by the MW test. SCRT, Socheongryong-Tang; CA, carrageenan; IF, infiltrated inflammatory cells; LSD, least-significant differences; MW, Mann-Whitney U test.

Discussion

Although the exact molecular mechanisms associated with herbal medicines have remained to be fully elucidated, herbal medications have been widely used for centuries and have become attractive therapeutics due to fewer side-effects than certain pharmaceutical drugs. In traditional Korean medicine, SCRT has been commonly used to treat a variety of inflammatory allergic diseases, including allergic rhinitis and bronchial asthma (1-3). However, only few studies have provided a scientific assessment of the benefits of SCRT. Accordingly, the present study investigated the influences of SCRT on inflammatory responses of RAW 264.7 cells and rats.

Inflammation has a key role in health as well as in disease. Specifically, it is a response of the body to injury linked to harmful chemical or physical stimuli and microbiological toxins that is involved in multiple pathologies, including arthritis, asthma, inflammatory bowel diseases and atherosclerosis. The inflammatory response is intended to demolish or inactivate invading organisms and set the stage for tissue repair (6). NO produced by NOS is associated with the development of inflammation after CA administration, and NO generated by iNOS is associated with the maintenance of the inflammatory responses (24). Increases of iNOS activity that influences inflammatory agents, including endotoxin, interferon-γ, IL-1β and TNF-α, may cause shock and inflammatory responses in humans (25,26). Furthermore, it has been reported that COX-2 is activated during the inflammatory response to produce PGE2, which contributes to the formation of tumors by inhibiting apoptosis and inducing cell division, cancer metastasis and angiogenesis (27). In the present study, SCRT significantly inhibited the LPS-stimulated NO production and expression of iNOS protein in RAW 264.7 cells. Furthermore, the PGE2 assay and immunoblot analysis revealed that SCRT significantly blocked the induction of PGE2 and COX-2 protein by LPS. In paw tissues, treatment with CA resulted in significantly increased expression of iNOS and COX-2 protein in comparison with the control group. However, DEXA significantly decreased the expression of iNOS and COX-2 protein. SCRT (1 g/kg) also significantly inhibited the expression of iNOS and COX-2 protein. These results may indirectly suggest that the therapeutic effects of SCRT on various inflammatory symptoms of allergic rhinitis and bronchial asthma are partly due to inhibition of NO and PGE2 production as well as expression of iNOS and COX-2 protein. TNF-α, IL-1β and IL-6 are frequently encountered pro-inflammatory cytokines that are involved in the interaction with various target cells as well as diverse immunological functions (12-14). These cytokines also mediate immunity and inflammation. Large amounts of TNF-α, IL-1β and IL-6 are released by LPS in macrophages. NF-κB is also known have a key role in transmitting proinflammatory cytokine signals to the nucleus (13). Treatment with SCRT significantly inhibited the production of these cytokines, suggesting that SCRT inhibits the expression of these specific genes associated with the inflammatory process. The present results demonstrated that SCRT is a strong inhibitor of the production of IL-1β, IL-6 and TNF-α. Furthermore, the inhibitory mechanism of SCRT on pro-inflammatory cytokines may indicate an important strategy to limit pathological inflammation.

NF-κB is a typical transcription factor that controls the expression of genes associated with apoptosis, immune responses and the cell cycle. Unsuitable NF-κB activation may mediate tumorigenesis and inflammation. However, suppression of NF-κB activity should be useful in the treatment and prevention of cancer (28). The present study demonstrated that SCRT significantly prevented LPS-stimulated NF-κB activation. It has been suggested that NF-κB is associated with the regulation of COX-2 and iNOS protein expression, and that several chemopreventive phytochemicals inhibited COX-2 and iNOS protein expression by suppressing NF-κB activation (20,29). In addition, the NF-κB pathway is a major regulator of LPS-induced pro-inflammatory cytokine release (30). The present results revealed that LPS increased the levels of p-I-κBα and NF-κB (p65), whereas treatment with SCRT resulted in reduced p-I-κBα levels and inhibited the nuclear translocation of NF-κB. Taken together, these results indicate that suppression of NF-κB activation by SCRT was correlated with inhibition of induction of iNOS, COX-2 and pro-inflammatory cytokines by SCRT. Furthermore, MAPKs, a family of protein threonine/serine kinases, represent a major component of intracellular signaling (31,32). LPS has been reported to induce macrophages, leading to increased activation and phosphorylation of JNK, ERK1/2 and p38 (33). In the present study, it was demonstrated that SCRT (1 mg/ml) significantly suppressed the phosphorylation of JNK and ERK1/2, whereas the phosphorylation of p38 was unaffected. Furthermore, the results of the present demonstrated an association between inhibited phosphorylation of JNK and ERK1/2 and inactivation of NF-κB. Therefore, the aforementioned data suggests that the anti-inflammatory activities of SCRT may be due to inhibition of LPS-stimulated activation of NF-kB and phosphorylation of JNK and ERK1/2 in vitro.

Local treatment with CA induces severe acute edematous inflammation, and a variety of inflammatory mediators produced from resident macrophages, damaged tissues, polymorphonuclear cells (e.g., neutrophils) and mast cells are involved in the associated pathogenesis (34-37). Histopathologically, infiltration of inflammatory cells and loosening of connective tissues were observed around CA-treated sites (38-40). Thus, the present study used CA-induced paw edema as a representative model to assess the anti-inflammatory activities of therapeutic candidates (20-23,37,41,42), while the in vivo and in vitro models may exhibit differences of major cell types. In the present study, prominent increases of inflammatory infiltrated cells with increases in skin thicknesses on the dorsal and ventral pedis were observed following treatment of rat paw skins with CA. However, the CA-induced acute edematous inflammation was significantly inhibited by treatment with the higher dosage of SCRT and DEXA (P<0.01). In rats treated with the lower dose of SCRT, a significant decrease in the dorsal pedis skin thickness relative to that in the CA group was demonstrated, but no significant changes in the ventral pedis skin thicknesses or number of infiltrated inflammatory cells on the dorsal and ventral pedis skin tissues were demonstrated. These results are considered as direct evidence that the higher dosage of SCRT has beneficial anti-inflammatory effects sufficient to reduce inflammatory edema and cell infiltration, but that the lower dosage was only effective against edematous changes restricted to dorsal pedis skin tissues but that it was not sufficient to reduce inflammatory cell infiltration and edema in ventral pedis skin tissues. Mast cells are distributed in the body and have an important role in a variety of inflammatory and allergic diseases. These cells also have cell surface immunoglobulin (Ig)E receptors and are provoked by interaction between bound IgE and the pertinent antigen (43). Following activation, mast cells release a variety of bioactive substances, including various lipid mediators and histamine that cause an immediate-type allergic reaction. Mast cell degranulation has been also known to increase in the acute (44,45), as well as the chronic stage (46-48) of diverse inflammatory and allergic diseases. Noticeable increases of mast cell degranulation in dermis tissue have been observed in CA-induced acute inflammation, and the inhibition of these mast cell activities (degranulation) has been used as a beneficial index to predict the efficacy of anti-inflammatory drugs (34,49,50). In the present study, treatment with the higher dosage of SCRT and DEXA markedly and significantly inhibited mast cell degranulation and maintained the mast cell numbers in the dermis of the CA-induced rats (P<0.01), but no significant changes in mast cell numbers were observed in rats treated with the lower dosage of SCRT compared with those in the CA group on the dorsal and ventral pedis skins. These results provide direct evidence that the higher dosage of SCRT exerted anti-inflammatory effects through the control of mast cell activation, as indicated by at least partial degranulation, but that the lower dosage of SCRT did not. Furthermore, as the results of the toluidine blue staining of edematous tissues indicated that SCRT inhibited the numbers of degranulated mast cells, SCRT may have therapeutic potential to reduce type I hypersensitivity. In the present in vivo study, rats were injected with CA once, without any previous injection of any sensitizing agent, so that hypersensitivity could not be assessed. As previously established, CA injection causes a maximum increase in paw volumes within 4 h, and in the present study, paw volumes were monitored at 1-h time intervals for 4 h. Thus, the effect of SCRT on type IV hypersensitivity reactions could also not be determined.

SCRT is an extract from a blend of 8 medicinal herbs. Several active components of SCRT have been reported to exert anti-inflammatory activities. Ephedrine and pseudoephedrine are stereoisomers isolated from the plant Ephedra sinica (Ephedraceae family) or the traditional Chinese medicinal herb Ma Huang (51). These compounds have also been reported to exert powerful anti-inflammatory effects against D-galactosamine/LPS-stimulated acute liver failure in rats (52). Furthermore, ephedrine and pseudoephed-rine were reported to suppress CA-induced hind paw edema in mice. Hind paw edema stimulated by prostaglandin E, histamine and bradykinin was reported to be inhibited by these compounds, demonstrating that they exert anti-inflammatory effects (53). Paeoniflorin has pharmacological properties, including anti-inflammatory and immunomodulatory effects, as well as the ability to suppress rheumatic diseases (18). In addition, Liu et al (54) reported that paeoniflorin reduced 1-methyl-4-phenyl-1,2,3,6-tetrahydropyridine-induced toxicity by suppression of neuroinflammation via activation of adenosine A1 receptor, and that paeoniflorin may be a useful neuroprotective compound for the treatment of Parkinson's disease. Cinnamic acid was reported to have significant anti-inflammatory activities in vitro and in vivo (55). Furthermore, this compound acts as a lipoxygenase inhibitor with antioxidant, anti-inflammatory and anticancer activity (56,57). Glycyrrhizin, a triterpene glycoside from the roots of licorice, resulted in widely inhibited induction of inflammatory mediators stimulated by CpG-DNA in RAW 264.7 cells, as well as attenuated inflammatory responses stimulated by toll-like receptor (TLR)3 and TLR4 (58). In addition, inhibition of NF-κB activity and IL-8 production in lung cells and attenuation of CA-induced lung damage in mice by glycyrrhizin have been demonstrated (59,60). Gomisin A inhibits the activation of NF-κB and oxidative stress, leading to the suppression of pro-inflammatory mediators by attenuating CCl4-stimulated acute liver damage (61). Furthermore, gomisin A was reported to have neuroprotective effects by relieving the microglia-mediated neuroinflammatory response through inhibition of TLR4-mediated MAPKs and NF-κB signaling pathways (62). UPLC analysis revealed that the major active components of SCRT are ephedrine, paeoniflorin, cinnamic acid, glycyrrhizin and gomisin-A. Accordingly, it is suggested that the anti-inflammatory properties of SCRT on LPS-stimulated RAW 264.7 cells and CA-induced rat paw edema may be due to the action of these 5 compounds.

In conclusion, the present results clearly demonstrated that SCRT has anti-inflammatory activities through decreasing the production of inflammatory mediators, including PGE2, NO and pro-inflammatory cytokines via inhibition of the signaling pathways of JNK, ERK1/2 and NF-κB in the LPS-stimulated RAW 264.7 cells. In addition, the results from the CA-induced paw edema model demonstrated an anti-edema effect of SCRT. Furthermore, SCRT (1 g/kg) inhibited acute edematous inflammation through inhibition of mast cell degranulation and infiltration of inflammatory cells. Therefore, the present study provided scientific evidence for the anti-inflammatory activities of SCRT.

Glossary

Abbreviations

Abbreviations:

CA

carrageenan

COX-2

cyclooxygenase

DEXA

dexamethasone

ERK

extracellular signal-regulated kinase

IL

interleukin

iNOS

inducible nitric oxide synthase

I-κB

inhibitory-κB

JNK

c-Jun N-terminal kinase

LPS

lipopolysaccharide

MAPK

mitogen-activated protein kinase

NF-κB

nuclear factor-κB

NO

nitric oxide

PGE2

prostaglandin E2

SCRT

Socheongryong-Tang

TNF-α

tumor necrosis factor-α

TLR

toll-like receptor

UPLC

ultra performance liquid chromatography

Acknowledgments

This study was supported by the Basic Science Research Program through the National Research Foundation of Korea (NRF) funded by the Ministry of Education (grant no. NRF-2015 R1D1A1A01059994) and by the NRF grant funded by the Korean Government (Ministry of Science, ICT and Future Planning; grant no. 2012 R1A5A2A42671316).

Notes

[1] Competing interests

The authors declare that they have no competing interests.

References

1 

Kao ST, Lin CS, Hsieh CC, Hsieh WT and Lin JG: Effects of Xiao-Qing-Long-Tang (XQLT) on bronchoconstriction and airway eosinophil infiltration in ovalbumin-sensitized guinea pigs: In vivo and in vitro studies. Allergy. 56:1164–1171. 2001. View Article : Google Scholar : PubMed/NCBI

2 

Ko E, Rho S, Cho C, Choi H, Ko S, Lee Y, Hong MC, Shin MK, Jung SG and Bae H: So-Cheong-Ryong-Tang, traditional Korean medicine, suppresses Th2 lineage development. Biol Pharm Bull. 27:739–743. 2004. View Article : Google Scholar : PubMed/NCBI

3 

Ko E, Rho S, Lee E, Seo Y, Cho C, Lee Y, Min BI, Shin MK, Hong MC and Bae H: Traditional Korean medicine (SCRT) modulate Th1/Th2 specific cytokine production in mice CD4+ T cell. J Ethnopharmacol. 92:121–128. 2004. View Article : Google Scholar : PubMed/NCBI

4 

Nakao M, Muramoto Y, Hisadome M, Yamano N, Shoji M, Fukushima Y, Saruwatari J and Nakagawa K: The effect of Shoseiryuto, a traditional Japanese medicine, on cytochrome P450s, N-acetyltransferase 2 and xanthine oxidase, in extensive or intermediate metabolizers of CYP2D6. Eur J Clin Pharmacol. 63:345–353. 2007. View Article : Google Scholar : PubMed/NCBI

5 

Lawrence T, Willoughby DA and Gilroy DW: Anti-inflammatory lipid mediators and insights into the resolution of inflammation. Nat Rev Immunol. 2:787–795. 2002. View Article : Google Scholar : PubMed/NCBI

6 

Guzik TJ, Korbut R and Adamek-Guzik T: Nitric oxide and superoxide in inflammation and immune regulation. J Physiol Pharmacol. 54:469–487. 2003.

7 

Nathan C: Nitric oxide as a secretory product of mammalian cells. FASEB J. 6:3051–3064. 1992. View Article : Google Scholar : PubMed/NCBI

8 

MacMicking J, Xie QW and Nathan C: Nitric oxide and macrophage function. Annu Rev Immunol. 15:323–350. 1997. View Article : Google Scholar : PubMed/NCBI

9 

Nagy G, Clark JM, Buzás EI, Gorman CL and Cope AP: Nitric oxide, chronic inflammation and autoimmunity. Immunol Lett. 111:1–5. 2007. View Article : Google Scholar : PubMed/NCBI

10 

Botting RM: Cyclooxygenase: Past, present and future. A tribute to John R. Vane (1927–2004). J Therm Biol. 31:208–219. 2006. View Article : Google Scholar

11 

Blobaum AL and Marnett LJ: Structural and functional basis of cyclooxygenase inhibition. J Med Chem. 50:1425–1441. 2007. View Article : Google Scholar : PubMed/NCBI

12 

Delgado AV, McManus AT and Chambers JP: Production of tumor necrosis factor-alpha, interleukin 1-beta, interleukin 2, and interleukin 6 by rat leukocyte subpopulations after exposure to substance P. Neuropeptides. 37:355–361. 2003. View Article : Google Scholar : PubMed/NCBI

13 

Yoshimura A: Signal transduction of inflammatory cytokines and tumor development. Cancer Sci. 97:439–447. 2006. View Article : Google Scholar : PubMed/NCBI

14 

Beutler B and Cerami A: The biology of cachectin/TNF-α primary mediator of the host response. Annu Rev Immunol. 7:625–655. 1989. View Article : Google Scholar

15 

Ghosh S and Ksarin M: Missing pieces in the NF-kappaB puzzle. Cell. 109(Suppl): S81–S96. 2002. View Article : Google Scholar : PubMed/NCBI

16 

Chan ED and Riches DW: IFN-gamma + LPS induction of iNOS is modulated by ERK, JNK/SAPK, and p38 (mapk) in a mouse macrophage cell line. Am J Physiol Cell Physiol. 280:C441–C450. 2001. View Article : Google Scholar : PubMed/NCBI

17 

Nagai T, Arai Y, Emori M, Nunome SY, Yabe T, Takeda T and Yamada H: Anti-allergic activity of a Kampo (Japanese herbal) medicine 'Sho-seiryu-to (Xiao-Qing-Long-Tang)' on airway inflammation in a mouse model. Int Immunopharmacol. 4:1353–1365. 2004. View Article : Google Scholar : PubMed/NCBI

18 

Wang SD, Lin LJ, Chen CL, Lee SC, Lin CC, Wang JY and Kao ST: Xiao-Qing-Long-Tang attenuates allergic airway inflammation and remodeling in repetitive Dermatogoides pteronyssinus challenged chronic asthmatic mice model. J Ethnopharmacol. 142:531–538. 2012. View Article : Google Scholar : PubMed/NCBI

19 

Kao ST, Wang SD, Wang JY, Yu CK and Lei HY: The Effect of herbal medicine, xiao-qing-long-tang (XQLT), on allergen-induced bronchial inflammation in mite-sensitized mice. Allergy. 55:1127–1130. 2000. View Article : Google Scholar : PubMed/NCBI

20 

Kim YW, Zhao RJ, Park SJ, Lee JR, Cho IJ, Yang CH, Kim SG and Kim SC: Anti-inflammatory effects of liquiritigenin as a consequence of the inhibition of NF-kappaB-dependent iNOS and pro-inflammatory cytokines production. Br J Pharmacol. 154:165–173. 2008. View Article : Google Scholar : PubMed/NCBI

21 

Lee CW, Park SM, Kim YS, Jegal KH, Lee JR, Cho IJ, Ku SK, Lee JY, Ahn YT, Son Y, et al: Biomolecular evidence of anti-inflammatory effects by Clematis mandshurica Ruprecht root extract in rodent cells. J Ethnopharmacol. 155:1141–1155. 2014. View Article : Google Scholar : PubMed/NCBI

22 

Lee CW, Park SM, Zhao R, Lee C, Chun W, Son Y, Kim SH, Jung JY, Jegal KH, Cho IJ, et al: Hederagenin, a major component of Clematis mandshurica Ruprecht root, attenuates inflammatory responses in RAW 264.7 cells and in mice. Int Immunopharmacol. 29:528–537. 2015. View Article : Google Scholar : PubMed/NCBI

23 

Kim SY, Park SM, Hwangbo M, Lee JR, Byun SH, Ku SK, Cho IJ, Kim SC, Jee SY and Park SJ: Cheongsangbangpung-tang ameliorated the acute inflammatory response via the inhibition of NF-κB activation and MAPK phosphorylation. BMC Complement Altern Med. 17:462017. View Article : Google Scholar

24 

Borthakur A, Bhattacharyya S, Dudeja PK and Tobacman JK: Carrageenan induces interleukin-8 production through distinct Bcl10 pathway in normal human colonic epithelial cells. Am J Physiol Gastrointest Liver Physiol. 292:G829–G838. 2007. View Article : Google Scholar

25 

Szabó C: Alterations in nitric oxide production in various forms of circulatory shock. New Horiz. 3:2–32. 1995.PubMed/NCBI

26 

Southan GJ and Szabó C: Selective pharmacological inhibition of distinct nitric oxide synthase isoforms. Biochem Pharmacol. 51:383–394. 1996. View Article : Google Scholar : PubMed/NCBI

27 

Gröesch S, Maier TJ, Schiffmann S and Geisslinger G: Cyclooxygenase-2 (COX-2)-independent anticarcinogenic effects of selective COX-2 inhibitors. J Natl Cancer Inst. 98:736–747. 2006. View Article : Google Scholar

28 

Aggarwal BB: Nuclear factor-kappaB: The enemy within. Cancer Cell. 6:203–208. 2004. View Article : Google Scholar : PubMed/NCBI

29 

Surh YJ, Chun KS, Cha HH, Han SS, Keum YS, Park KK and Lee SS: Molecular mechanisms underlying chemopreventive activities of anti-inflammatory phytochemicals: Down-regulation of COX-2 and iNOS through suppression of NF-kappa B activation. Mutat Res. 480–481:243–268. 2001. View Article : Google Scholar

30 

Lappas M, Permezel M, Georgiou HM and Rice GE: Nuclear factor kappa B regulation of pro-inflammatory cytokines in human gestational tissues in vitro. Biol Reprod. 67:668–673. 2002. View Article : Google Scholar : PubMed/NCBI

31 

Guha M and Mackman N: LPS induction of gene expression in human monocytes. Cell Signal. 13:85–94. 2001. View Article : Google Scholar : PubMed/NCBI

32 

Xiao ZY, Zhou WX, Zhang YX, Cheng JP, He JF, Yang RF and Yun LH: Inhibitory effect of linomide on lipopolysaccharide-induced proinflammatory cytokine tumor necrosis factor-alpha production in RAW264.7 macrophages through suppression of NF-kappaB, p38, and JNK activation. Immunol Lett. 114:81–85. 2007. View Article : Google Scholar : PubMed/NCBI

33 

Choi MS, Lee SH, Cho HS, Kim Y, Yun YP, Jung HY, Jung JK, Lee BC, Pyo HB and Hong JT: Inhibitory effect of obovatol on nitric oxide production and activation of NF-kappaB/MAP kinases in lipopolysaccharide-treated RAW 264.7 cells. Eur J Pharmacol. 556:181–189. 2007. View Article : Google Scholar

34 

Mazzari S, Canella R, Petrelli L, Marcolongo G and Leon A: N-(2-hydroxyethyl)hexadecanamide is orally active in reducing edema formation and inflammatory hyperalgesia by down-modulating mast cell activation. Eur J Pharmacol. 300:227–236. 1996. View Article : Google Scholar : PubMed/NCBI

35 

Antonio MA and Souza Brito AR: Oral anti-inflammatory and anti-ulcerogenic activities of a hydroalcoholic extract and partitioned fractions of Turnera ulmifolia (Turneraceae). J Ethnopharmacol. 61:215–228. 1998. View Article : Google Scholar : PubMed/NCBI

36 

Handy RL and Moore PK: A comparison of the effects of L-NAME, 7-NI and L-NIL on carrageenan-induced hind paw oedema and NOS activity. Br J Pharmacol. 123:1119–1126. 1998. View Article : Google Scholar : PubMed/NCBI

37 

Gupta M, Mazumder UK, Gomathi P and Selvan VT: Antiinflammatory evaluation of leaves of Plumeria acuminate. BMC Complement Altern Med. 6:362006. View Article : Google Scholar

38 

Holt S, Comelli F, Costa B and Fowler CJ: Inhibitors of fatty acid amide hydrolase reduce carrageenan-induced hind paw inflammation in pentobarbital-treated mice: Comparison with indomethacin and possible involvement of cannabinoid receptors. Br J Pharmacol. 146:467–476. 2005. View Article : Google Scholar : PubMed/NCBI

39 

Liu J, Zhang W, Zhou L, Wang X and Lian Q: Anti-inflammatory effect and mechanism of osthole in rats. Zhong Yao Cai. 28:1002–1006. 2005.

40 

Beloeil H, Ababneh Z, Chung R, Zurakowski D, Mulkern RV and Berde CB: Effects of bupivacaine and tetrodotoxin on carrageenan-induced hind paw inflammation in rats (Part 1): Hyperalgesia, edema, and systemic cytokines. Anesthesiol. 105:128–138. 2006. View Article : Google Scholar

41 

Lee JH, Choi YH and Choi BT: The anti-inflammatory effects of 2 Hz electroacupuncture with different intensities on acute carrageenan-induced inflammation in the rat paw. Int J Mol Med. 16:99–102. 2005.PubMed/NCBI

42 

Rao CV, Verma AR, Gupta PK and Vijayakumar M: Anti-inflammatory and anti-nociceptive activities of Fumaria indica whole plant extract in experimental animals. Acta Pharm. 57:491–498. 2007. View Article : Google Scholar

43 

Holgate ST: The role of mast cells and basophils in inflammation. Clin Exp Allergy. 30(Suppl 1): S28–S32. 2000. View Article : Google Scholar

44 

Crimi E, Chiaramondia M, Milanese M, Rossi GA and Brusasco V: Increased numbers of mast cells in bronchial mucosa after the late-phase asthmatic response to allergen. Am Rev Respir Dis. 144:1282–1286. 1991. View Article : Google Scholar : PubMed/NCBI

45 

Gauvreau GM, Lee JM, Watson RM, Irani AM, Schwartz LB and O'Byrne PM: Increased numbers of both airway basophils and mast cells in sputum after allergen inhalation challenge of atopic asthmatics. Am J Respir Crit Care Med. 161:1473–1478. 2000. View Article : Google Scholar : PubMed/NCBI

46 

Mitchell EB, Crow J, Williams G and Platts-Mills TA: Increase in skin mast cells following chronic house dust mite exposure. Br J Dermatol. 114:65–73. 1986. View Article : Google Scholar : PubMed/NCBI

47 

Chanez P, Lacoste JY, Guillot B, Giron J, Barnéon G, Enander I, Godard P, Michel FB and Bousquet J: Mast cells' contribution to the fibrosing alveolitis of the scleroderma lung. Am Rev Respir Dis. 147:1497–1502. 1993. View Article : Google Scholar : PubMed/NCBI

48 

Armbrust T, Batusic D, Ringe B and Ramadori G: Mast cells distribution in human liver disease and experimental rat liver fibrosis. Indications for mast cell participation in development of liver fibrosis. J Hepatol. 26:1042–1054. 1997. View Article : Google Scholar : PubMed/NCBI

49 

Weischer CH: Experimental studies on the possibility of influencing mast cells in experimental carrageenin-induced rat paw edema: Histological study on the effects of some non-steroidal anti-inflammatory agents (author's transl). Arzneimittelforschung. 26:1867–1870. 1976.In German.

50 

Sin YM, Sedgwick AD, Chea EP and Willoughby DA: Mast cells in newly formed lining tissue during acute inflammation: A six day air pouch model in the mouse. Ann Rheum Dis. 45:873–877. 1986. View Article : Google Scholar : PubMed/NCBI

51 

Mehendale SR, Bauer BA and Yuan CS: Ephedra-containing dietary supplements in the US versus ephedra as a Chinese medicine. Am J Chin Med. 32:1–10. 2004. View Article : Google Scholar : PubMed/NCBI

52 

Wu Z, Kong X, Zhang T, Ye J, Fang Z and Yang X: Pseudo-ephedrine/ephedrine shows potent anti-inflammatory activity against TNF-α-mediated acute liver failure induced by lipopolysaccharide/D-galactosamine. Eur J Pharmacol. 724:112–121. 2014. View Article : Google Scholar

53 

Kasahara Y, Hikino H, Tsurufuji S, Watanabe M and Ohuchi K: Anti-inflammatory actions of ephedrines in acute inflammations. Planta Med. 325–331. 1985. View Article : Google Scholar

54 

Liu HQ, Zhang WY, Luo XT, Ye Y and Zhu XZ: Paeoniflorin attenuates neuroinflammation and dopaminergic neurodegeneration in the MPTP model of Parkinson's disease by activation of adenosine A1 receptor. Br J Pharmacol. 148:314–325. 2006. View Article : Google Scholar : PubMed/NCBI

55 

Liao JC, Deng JS, Chiu CS, Hou WC, Huang SS, Shie PH and Huang GJ: Anti-inflammatory activities of Cinnamomum cassia constituents in vitro and in vivo. Evid Based Complement Alternat Med. 2012:4293202012. View Article : Google Scholar : PubMed/NCBI

56 

Liu L, Hudgins WR, Shack S, Yin MQ and Samid D: Cinnamic acid: A natural product with potential use in cancer intervention. Int J Cancer. 62:345–350. 1995. View Article : Google Scholar : PubMed/NCBI

57 

Hadjipavlou-Litina D and Pontiki E: Aryl-acetic and cinnamic acids as lipoxygenase inhibitors with antioxidant, anti-inflammatory, and anticancer activity. Methods Mol Biol. 1208:361–377. 2015. View Article : Google Scholar

58 

Schröfelbauer B, Raffetseder J, Hauner M, Wolkerstorfer A, Ernst W and Szolar OH: Glycyrrhizin, the main active compound in liquorice, attenuates pro-inflammatory responses by interfering with membrane-dependent receptor signaling. Biochem J. 421:473–482. 2009. View Article : Google Scholar

59 

Takei H, Baba Y, Hisatsune A, Katsuki H, Miyata T, Yokomizo K and Isohama Y: Glycyrrhizin inhibits interleukin-8 production and nuclear factor-kappa B activity in lung epithelial cells, but not through glucocorticoid receptors. J Pharmacol Sci. 106:460–468. 2008. View Article : Google Scholar : PubMed/NCBI

60 

Menegazzi M, Di Paola R, Mazzon E, Genovese T, Crisafulli C, Dal Bosco M, Zou Z and Suzuki H: Glycyrrhizin attenuates the development of carrageenan-induced lung injury in mice. Pharmacol Res. 58:22–31. 2008. View Article : Google Scholar : PubMed/NCBI

61 

Teraoka R, Shimada T and Aburada M: The molecular mechanisms of the hepatoprotective effect of gomisin A against oxidative stress and inflammatory response in rats with carbon tetrachloride-induced acute liver injury. Biol Pharm Bull. 35:171–177. 2012. View Article : Google Scholar : PubMed/NCBI

62 

Wang X, Hu D, Zhang L, Lian G, Zhao S, Wang C, Yin J, Wu C and Yang J: Gomisin A inhibits lipopolysaccharide-induced inflammatory responses in N9 microglia via blocking the NF-κB/MAPKs pathway. Food Chem Toxicol. 63:119–127. 2014. View Article : Google Scholar

Related Articles

  • Abstract
  • View
  • Download
  • Twitter
Copy and paste a formatted citation
Spandidos Publications style
Park SM, Lee TH, Zhao R, Kim YS, Jung JY, Park CA, Jegal KH, Ku SK, Kim JK, Lee CW, Lee CW, et al: Amelioration of inflammatory responses by Socheongryong-Tang, a traditional herbal medicine, in RAW 264.7 cells and rats. Int J Mol Med 41: 2771-2783, 2018.
APA
Park, S.M., Lee, T.H., Zhao, R., Kim, Y.S., Jung, J.Y., Park, C.A. ... Kim, S.C. (2018). Amelioration of inflammatory responses by Socheongryong-Tang, a traditional herbal medicine, in RAW 264.7 cells and rats. International Journal of Molecular Medicine, 41, 2771-2783. https://doi.org/10.3892/ijmm.2018.3465
MLA
Park, S. M., Lee, T. H., Zhao, R., Kim, Y. S., Jung, J. Y., Park, C. A., Jegal, K. H., Ku, S. K., Kim, J. K., Lee, C. W., Kim, Y. W., Cho, I. J., An, W. G., Kim, S. C."Amelioration of inflammatory responses by Socheongryong-Tang, a traditional herbal medicine, in RAW 264.7 cells and rats". International Journal of Molecular Medicine 41.5 (2018): 2771-2783.
Chicago
Park, S. M., Lee, T. H., Zhao, R., Kim, Y. S., Jung, J. Y., Park, C. A., Jegal, K. H., Ku, S. K., Kim, J. K., Lee, C. W., Kim, Y. W., Cho, I. J., An, W. G., Kim, S. C."Amelioration of inflammatory responses by Socheongryong-Tang, a traditional herbal medicine, in RAW 264.7 cells and rats". International Journal of Molecular Medicine 41, no. 5 (2018): 2771-2783. https://doi.org/10.3892/ijmm.2018.3465
Copy and paste a formatted citation
x
Spandidos Publications style
Park SM, Lee TH, Zhao R, Kim YS, Jung JY, Park CA, Jegal KH, Ku SK, Kim JK, Lee CW, Lee CW, et al: Amelioration of inflammatory responses by Socheongryong-Tang, a traditional herbal medicine, in RAW 264.7 cells and rats. Int J Mol Med 41: 2771-2783, 2018.
APA
Park, S.M., Lee, T.H., Zhao, R., Kim, Y.S., Jung, J.Y., Park, C.A. ... Kim, S.C. (2018). Amelioration of inflammatory responses by Socheongryong-Tang, a traditional herbal medicine, in RAW 264.7 cells and rats. International Journal of Molecular Medicine, 41, 2771-2783. https://doi.org/10.3892/ijmm.2018.3465
MLA
Park, S. M., Lee, T. H., Zhao, R., Kim, Y. S., Jung, J. Y., Park, C. A., Jegal, K. H., Ku, S. K., Kim, J. K., Lee, C. W., Kim, Y. W., Cho, I. J., An, W. G., Kim, S. C."Amelioration of inflammatory responses by Socheongryong-Tang, a traditional herbal medicine, in RAW 264.7 cells and rats". International Journal of Molecular Medicine 41.5 (2018): 2771-2783.
Chicago
Park, S. M., Lee, T. H., Zhao, R., Kim, Y. S., Jung, J. Y., Park, C. A., Jegal, K. H., Ku, S. K., Kim, J. K., Lee, C. W., Kim, Y. W., Cho, I. J., An, W. G., Kim, S. C."Amelioration of inflammatory responses by Socheongryong-Tang, a traditional herbal medicine, in RAW 264.7 cells and rats". International Journal of Molecular Medicine 41, no. 5 (2018): 2771-2783. https://doi.org/10.3892/ijmm.2018.3465
Follow us
  • Twitter
  • LinkedIn
  • Facebook
About
  • Spandidos Publications
  • Careers
  • Cookie Policy
  • Privacy Policy
How can we help?
  • Help
  • Live Chat
  • Contact
  • Email to our Support Team